Virtual Non-Contrast Spectral CT in Renal Masses: Is It Time to Discard Conventional Unenhanced Phase?
Abstract
1. Introduction
2. Materials and Methods
2.1. Study Population
2.2. DECT Scan Protocol
2.3. Image Reconstruction
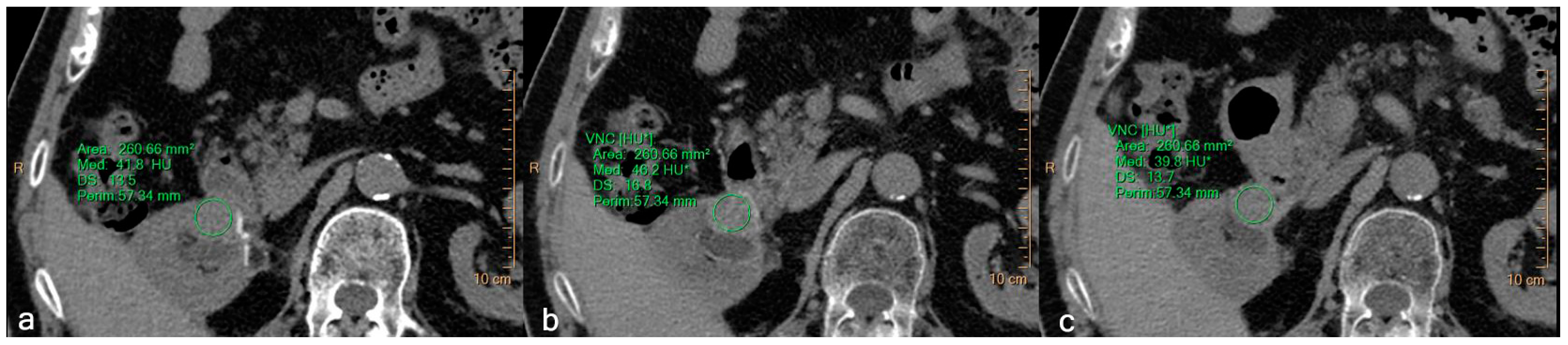
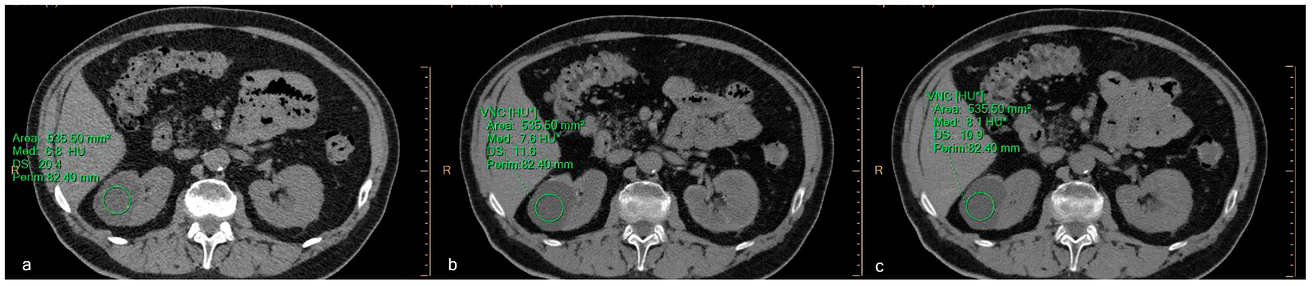
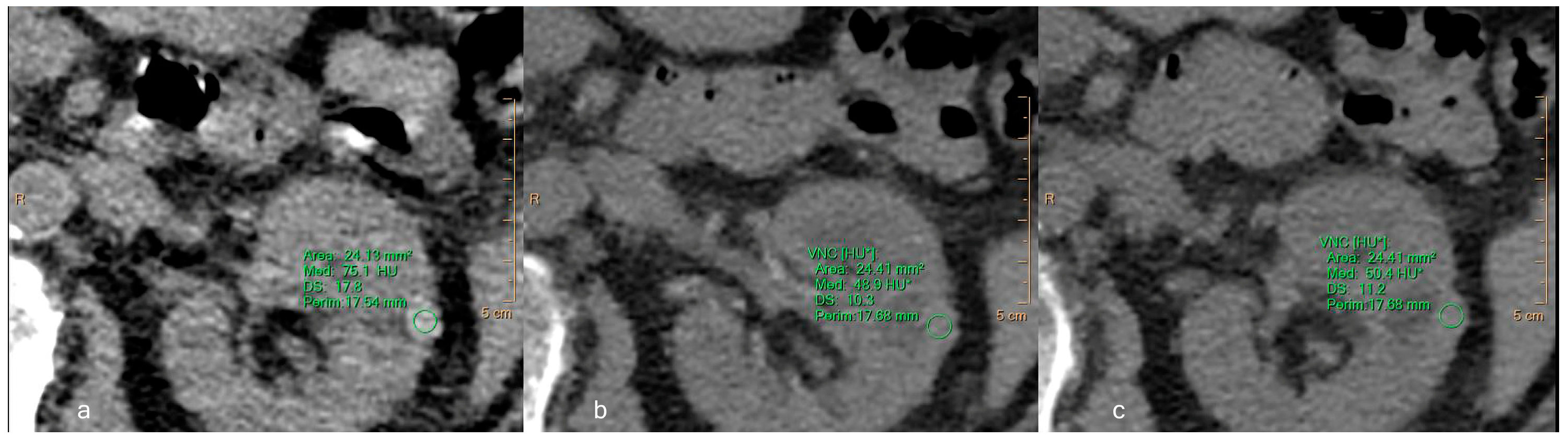
2.4. Objective Image Evaluation
2.5. Statistical Analysis
3. Results
3.1. Population Characteristics
3.2. Quantitative Assessment
4. Discussion
5. Conclusions
Author Contributions
Funding
Institutional Review Board Statement
Informed Consent Statement
Data Availability Statement
Conflicts of Interest
Abbreviations
| dl-DECT | dual layer-Dual Energy CT |
| HU | Hounsfield Unit |
| ROI | Region of Interest |
| SBI | Spectral Basis Images |
| TNC | True Non-Contrast |
| VNC | Virtual Non-Contrast |
References
- Meulepas, J.M.; Ronckers, C.M.; Smets, A.; Nievelstein, R.A.J.; Gradowska, P.; Lee, C.; Jahnen, A.; van Straten, M.; de Wit, M.Y.; Zonnenberg, B.; et al. Radiation Exposure From Pediatric CT Scans and Subsequent Cancer Risk in the Netherlands. J. Natl. Cancer Inst. 2019, 111, 256–263. [Google Scholar] [CrossRef] [PubMed]
- Berdahl, C.T.; Vermeulen, M.J.; Larson, D.B.; Schull, M.J. Emergency department computed tomography utilization in the United States and Canada. Ann. Emerg. Med. 2013, 62, 486–494.e3. [Google Scholar] [CrossRef]
- Hu, Y.; Ma, M.; Yin, H.; Ren, P.; Tian, X.; Zheng, Z.; Zhong, Z.; Wang, Z.; Yang, Z.; Chen, H. Assessment of cumulative cancer risk attributable to diagnostic X-ray radiation: A large cohort study. Eur. Radiol. 2022, 33, 1769–1778. [Google Scholar] [CrossRef]
- Langevin, C.; Normandeau, L.; Bouin, M. Diagnostic Radiation Exposure in Patients with Inflammatory Bowel Disease. Can. J. Gastroenterol. Hepatol. 2019, 2019, 2030735. [Google Scholar] [CrossRef]
- Solomon, J.; Marin, D.; Roy Choudhury, K.; Patel, B.; Samei, E. Effect of Radiation Dose Reduction and Reconstruction Algorithm on Image Noise, Contrast, Resolution, and Detectability of Subtle Hypoattenuating Liver Lesions at Multidetector CT: Filtered Back Projection versus a Commercial Model-based Iterative Reconstruction Algorithm. Radiology 2017, 284, 777–787. [Google Scholar] [CrossRef] [PubMed]
- Nakamoto, A.; Yamamoto, K.; Sakane, M.; Nakai, G.; Higashiyama, A.; Juri, H.; Yoshikawa, S.; Narumi, Y. Reduction of the radiation dose and the amount of contrast material in hepatic dynamic CT using low tube voltage and adaptive iterative dose reduction 3-dimensional. Medicine 2018, 97, e11857. [Google Scholar] [CrossRef] [PubMed]
- Greffier, J.; Dabli, D.; Hamard, A.; Belaouni, A.; Akessoul, P.; Frandon, J.; Beregi, J.P. Effect of a new deep learning image reconstruction algorithm for abdominal computed tomography imaging on image quality and dose reduction compared with two iterative reconstruction algorithms: A phantom study. Quant. Imaging Med. Surg. 2022, 12, 229–243. [Google Scholar] [CrossRef]
- Nagayama, Y.; Oda, S.; Nakaura, T.; Tsuji, A.; Urata, J.; Furusawa, M.; Utsunomiya, D.; Funama, Y.; Kidoh, M.; Yamashita, Y. Radiation Dose Reduction at Pediatric CT: Use of Low Tube Voltage and Iterative Reconstruction. Radiographics 2018, 38, 1421–1440. [Google Scholar] [CrossRef] [PubMed]
- Siegel, M.J.; Bhalla, S.; Cullinane, M. Dual-Energy CT Material Decomposition in Pediatric Thoracic Oncology. Radiol. Imaging Cancer 2021, 3, e200097. [Google Scholar] [CrossRef]
- Tatsugami, F.; Higaki, T.; Nakamura, Y.; Honda, Y.; Awai, K. Dual-energy CT: Minimal essentials for radiologists. Jpn. J. Radiol. 2022, 40, 547–559. [Google Scholar] [CrossRef]
- Rassouli, N.; Etesami, M.; Dhanantwari, A.; Rajiah, P. Detector-based spectral CT with a novel dual-layer technology: Principles and applications. Insights Imaging 2017, 8, 589–598. [Google Scholar] [CrossRef]
- Zhang, L.J.; Peng, J.; Wu, S.Y.; Wang, Z.J.; Wu, X.S.; Zhou, C.S.; Ji, X.M.; Lu, G.M. Liver virtual non-enhanced CT with dual-source, dual-energy CT: A preliminary study. Eur. Radiol. 2010, 20, 2257–2264. [Google Scholar] [CrossRef] [PubMed]
- Mileto, A.; Mazziotti, S.; Gaeta, M.; Bottari, A.; Zimbaro, F.; Giardina, C.; Ascenti, G. Pancreatic dual-source dual-energy CT: Is it time to discard unenhanced imaging? Clin. Radiol. 2012, 67, 334–339. [Google Scholar] [CrossRef] [PubMed]
- Silverman, S.G.; Pedrosa, I.; Ellis, J.H.; Hindman, N.M.; Schieda, N.; Smith, A.D.; Remer, E.M.; Shinagare, A.B.; Curci, N.E.; Raman, S.S.; et al. Bosniak Classification of Cystic Renal Masses, Version 2019: An Update Proposal and Needs Assessment. Radiology 2019, 292, 475–488. [Google Scholar] [CrossRef]
- Israel, G.M.; Bosniak, M.A. Pitfalls in renal mass evaluation and how to avoid them. Radiographics 2008, 28, 1325–1338. [Google Scholar] [CrossRef]
- Giavarina, D. Understanding Bland Altman analysis. Biochem. Med. 2015, 25, 141–151. [Google Scholar] [CrossRef]
- Pallwein-Prettner, L.; Flory, D.; Rotter, C.R.; Pogner, K.; Syre, G.; Fellner, C.; Frauscher, F.; Aigner, F.; Krause, F.S.; Fellner, F. Assessment and characterisation of common renal masses with CT and MRI. Insights Imaging 2011, 2, 543–556. [Google Scholar] [CrossRef]
- Bazzocchi, M.V.; Zilioli, C.; Gallone, V.I.; Commisso, C.; Bertolotti, L.; Pagnini, F.; Ziglioli, F.; Maestroni, U.; Aliprandi, A.; Buti, S.; et al. The Role of CT Imaging in Characterization of Small Renal Masses. Diagnostics 2023, 13, 334. [Google Scholar] [CrossRef]
- Parakh, A.; Kortesniemi, M.; Schindera, S.T. CT Radiation Dose Management: A Comprehensive Optimization Process for Improving Patient Safety. Radiology 2016, 280, 663–673. [Google Scholar] [CrossRef] [PubMed]
- Sauter, A.P.; Muenzel, D.; Dangelmaier, J.; Braren, R.; Pfeiffer, F.; Rummeny, E.J.; Noel, P.B.; Fingerle, A.A. Dual-layer spectral computed tomography: Virtual non-contrast in comparison to true non-contrast images. Eur. J. Radiol. 2018, 104, 108–114. [Google Scholar] [CrossRef] [PubMed]
- Holz, J.A.; Alkadhi, H.; Laukamp, K.R.; Lennartz, S.; Heneweer, C.; Pusken, M.; Persigehl, T.; Maintz, D.; Grosse Hokamp, N. Quantitative accuracy of virtual non-contrast images derived from spectral detector computed tomography: An abdominal phantom study. Sci. Rep. 2020, 10, 21575. [Google Scholar] [CrossRef] [PubMed]
- Meyer, M.; Nelson, R.C.; Vernuccio, F.; Gonzalez, F.; Farjat, A.E.; Patel, B.N.; Samei, E.; Henzler, T.; Schoenberg, S.O.; Marin, D. Virtual Unenhanced Images at Dual-Energy CT: Influence on Renal Lesion Characterization. Radiology 2019, 291, 381–390. [Google Scholar] [CrossRef] [PubMed]
- Zhang, X.; Zhang, G.; Xu, L.; Bai, X.; Lu, X.; Yu, S.; Sun, H.; Jin, Z. Utilisation of virtual non-contrast images and virtual mono-energetic images acquired from dual-layer spectral CT for renal cell carcinoma: Image quality and radiation dose. Insights Imaging 2022, 13, 12. [Google Scholar] [CrossRef] [PubMed]
- Si-Mohamed, S.; Dupuis, N.; Tatard-Leitman, V.; Rotzinger, D.; Boccalini, S.; Dion, M.; Vlassenbroek, A.; Coulon, P.; Yagil, Y.; Shapira, N.; et al. Virtual versus true non-contrast dual-energy CT imaging for the diagnosis of aortic intramural hematoma. Eur. Radiol. 2019, 29, 6762–6771. [Google Scholar] [CrossRef]
- Jamali, S.; Michoux, N.; Coche, E.; Dragean, C.A. Virtual unenhanced phase with spectral dual-energy CT: Is it an alternative to conventional true unenhanced phase for abdominal tissues? Diagn. Interv. Imaging 2019, 100, 503–511. [Google Scholar] [CrossRef]









| Parameters | DECT |
|---|---|
| Collimation (mm) | 64 × 0.625 |
| Tube voltage (kv) | 120 |
| Rotation time (s) | 0.33 |
| Tube current (ma) | 89 |
| Pitch | 0.9 |
| Duration of tube current (s) | 0.5 |
| CTDI (mgy) | 2.9 |
| Type of Lesion | Phase | Mean Value (HU) | SD |
|---|---|---|---|
| All lesions | TNC | 17.6 | 16.5 |
| VNCcort | 15.7 | 13.2 | |
| VNCneph | 15.6 | 12.7 | |
| Simple Cysts | TNC | 10.7 | 15.6 |
| VNCcort | 7.8 | 12.2 | |
| VNCneph | 7.5 | 11.9 | |
| Complex Cysts | TNC | 15.3 | 18.6 |
| VNCcort | 12.7 | 13.6 | |
| VNCneph | 13.1 | 14.4 | |
| Renal Masses | TNC | 34.3 | 16.9 |
| VNCcort | 34.1 | 15.1 | |
| VNCneph | 33.9 | 13.4 |
| Corticomedullar Phase | Nephrographic Phase | |||||||
|---|---|---|---|---|---|---|---|---|
| p Value | CI 95% | p Value | CI 95% | |||||
| Range (HU) | ±3 | ±5 | ±10 | ±3 | ±5 | ±10 | ||
| All lesions | 0.003 | 4.68 × 10−9 | 8.42 × 10−15 | [0.8, 2.4] | 0.002 | 2.19 × 10−8 | 2.03 × 10−15 | [1, 2.54] |
| Renal masses | 0.001 | 4.54 × 10−5 | 6.27 × 10−6 | [−1.3, 1.5] | 0.001 | 2.63 × 10−5 | 1.5 × 10−6 | [−0.8, 2] |
| Cystic lesions | 0.16 * | 2.38 × 10−5 | 1.61 × 10−10 | [1.4, 3.25] | 0.07 * | 6.26 × 10−5 | 2.47 × 10−10 | [1.4, 3.3] |
Disclaimer/Publisher’s Note: The statements, opinions and data contained in all publications are solely those of the individual author(s) and contributor(s) and not of MDPI and/or the editor(s). MDPI and/or the editor(s) disclaim responsibility for any injury to people or property resulting from any ideas, methods, instructions or products referred to in the content. |
© 2023 by the authors. Licensee MDPI, Basel, Switzerland. This article is an open access article distributed under the terms and conditions of the Creative Commons Attribution (CC BY) license (https://creativecommons.org/licenses/by/4.0/).
Share and Cite
Bucolo, G.M.; Ascenti, V.; Barbera, S.; Fontana, F.; Aricò, F.M.; Piacentino, F.; Coppola, A.; Cicero, G.; Marino, M.A.; Booz, C.; et al. Virtual Non-Contrast Spectral CT in Renal Masses: Is It Time to Discard Conventional Unenhanced Phase? J. Clin. Med. 2023, 12, 4718. https://doi.org/10.3390/jcm12144718
Bucolo GM, Ascenti V, Barbera S, Fontana F, Aricò FM, Piacentino F, Coppola A, Cicero G, Marino MA, Booz C, et al. Virtual Non-Contrast Spectral CT in Renal Masses: Is It Time to Discard Conventional Unenhanced Phase? Journal of Clinical Medicine. 2023; 12(14):4718. https://doi.org/10.3390/jcm12144718
Chicago/Turabian StyleBucolo, Giuseppe M., Velio Ascenti, Simone Barbera, Federico Fontana, Francesco M. Aricò, Filippo Piacentino, Andrea Coppola, Giuseppe Cicero, Maria Adele Marino, Christian Booz, and et al. 2023. "Virtual Non-Contrast Spectral CT in Renal Masses: Is It Time to Discard Conventional Unenhanced Phase?" Journal of Clinical Medicine 12, no. 14: 4718. https://doi.org/10.3390/jcm12144718
APA StyleBucolo, G. M., Ascenti, V., Barbera, S., Fontana, F., Aricò, F. M., Piacentino, F., Coppola, A., Cicero, G., Marino, M. A., Booz, C., Vogl, T. J., D’Angelo, T., Venturini, M., & Ascenti, G. (2023). Virtual Non-Contrast Spectral CT in Renal Masses: Is It Time to Discard Conventional Unenhanced Phase? Journal of Clinical Medicine, 12(14), 4718. https://doi.org/10.3390/jcm12144718

