Aortic Valve Calcium Score: Applications in Clinical Practice and Scientific Research—A Narrative Review
Abstract
1. Introduction
2. Materials and Methods
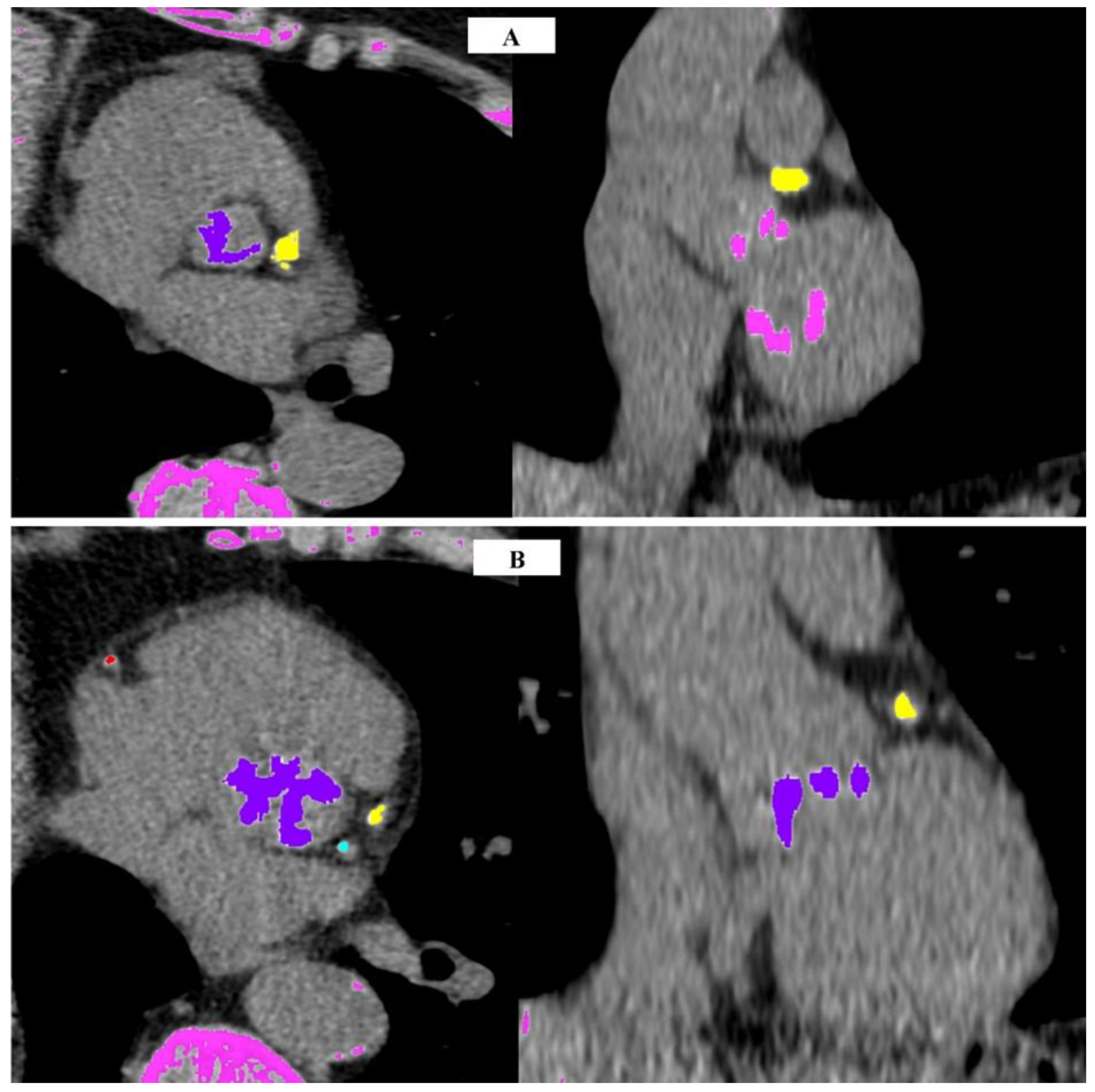
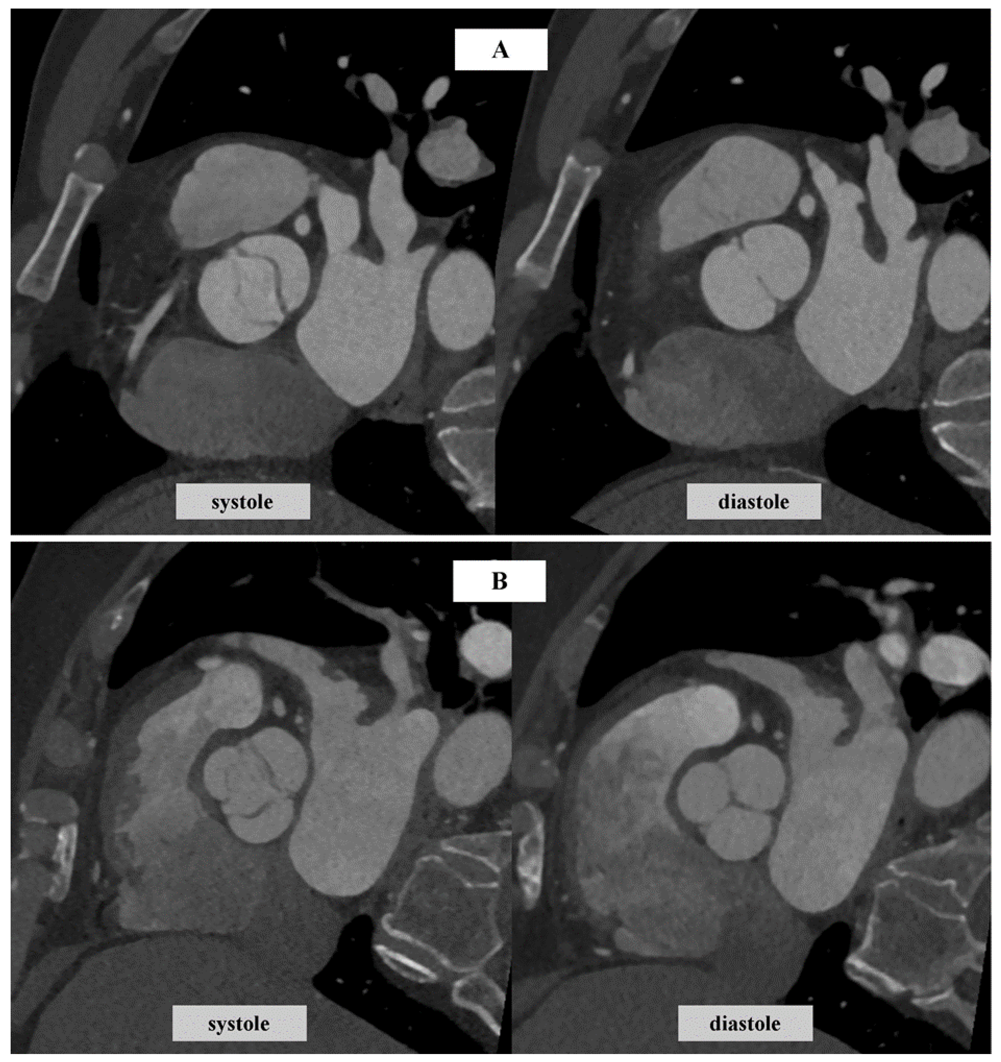
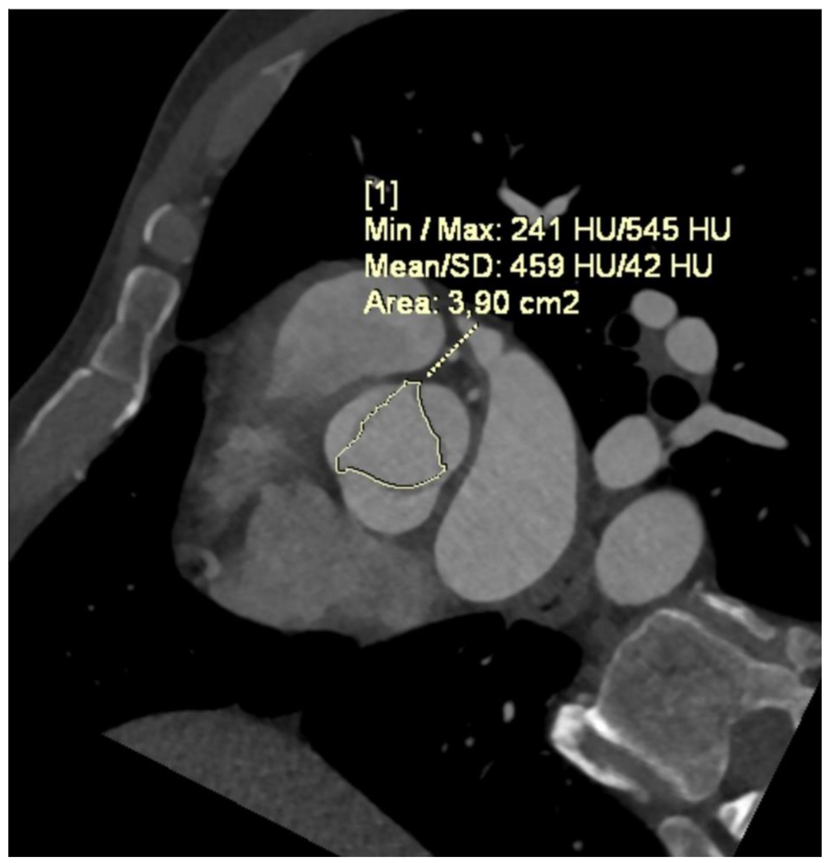
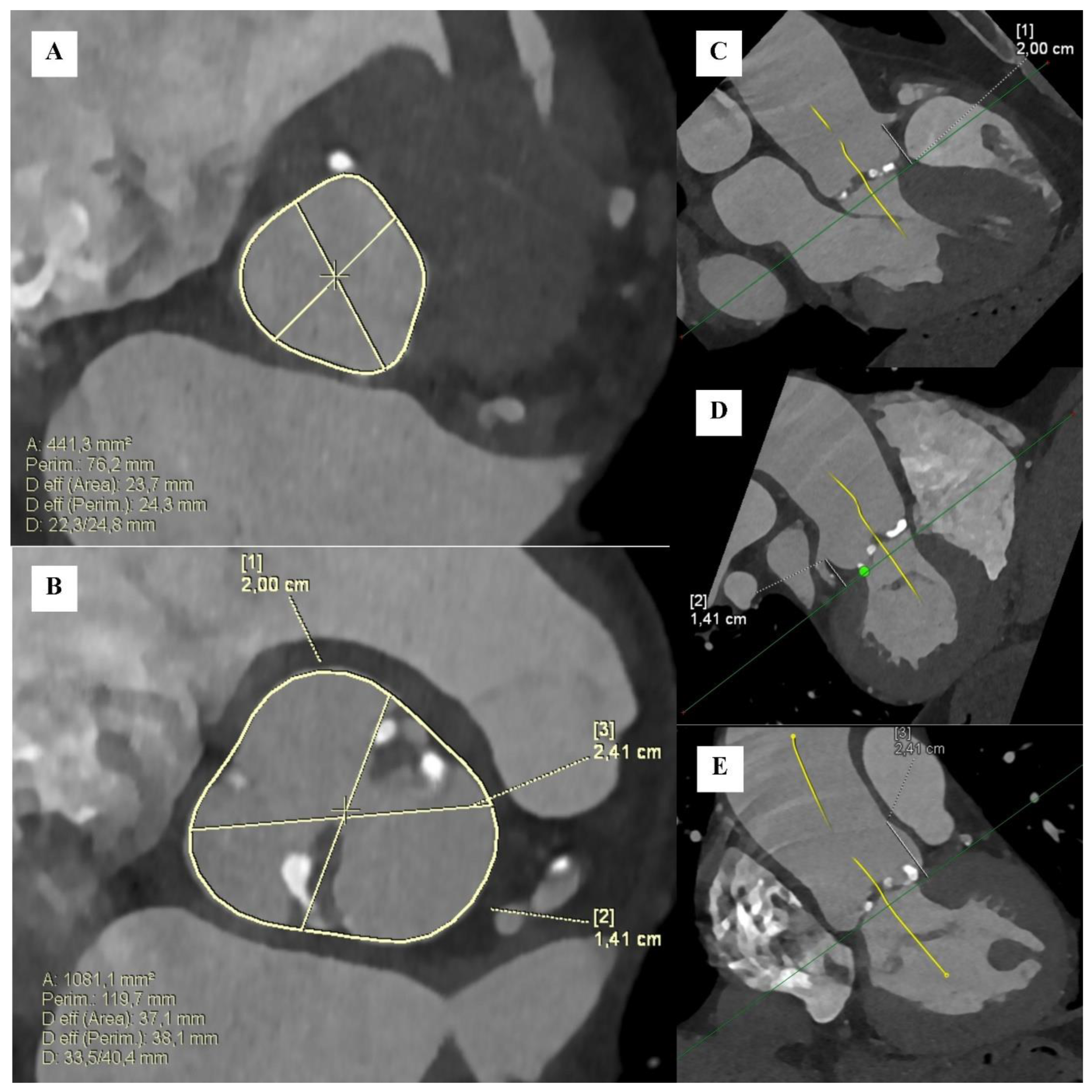
3. What Is and How to Measure AVCS?
4. Mechanisms of Aortic Valve Calcification
5. Diagnosis of Aortic Valve Stenosis
- Contrast-Enhanced CT: This method shows promising results in imaging fibrotic aortic stenosis in women and could potentially be a future method for assessing fibrotic aortic stenosis severity. However, for routine clinical use, it requires more robust evidence and validation [29].
- Cardiac Magnetic Resonance Imaging (CMR): This is a radiation-free and non-invasive method that allows for a thorough structural and functional evaluation, with the option to quantify flow [89].
- Dobutamine-Stress Echocardiography (DSE): This is a variant of TTE where patients are given augmenting doses of dobutamine intravenously every 3–5 min from 5 to 20 μg/kg/min. This provocation test can be used to assess patients with severe AS and discordant echocardiographic values [92].
6. Classification of Aortic Valve Stenosis Severity with AVCS
7. Sex-Specific Aortic Valve Calcification Score
8. Bicuspid Aortic Valve
9. Application of the AVCS
9.1. Why Might AVCS Serve as an Alternative to TTE in Certain Situations?
- High-gradient severe AS (HG-AS);
- Classic low-flow low-gradient AS (LFLG-AS);
- Paradoxical low-flow low-gradient AS (pLFLG-AS);
- Moderate AS.
- Stage D1—severe AS (high-gradient AS, with MG > 40 mmHg independently of flow value and ejection fraction);
- Stage D2—severe AS (reduced EF, low-flow, low-gradient AS, also called classical LF-LG);
- Stage D3—severe AS (preserved EF, low stroke volume index (SVI), low-flow, low-gradient AS, also known as paradoxical LF-LG AS).
9.2. The Potential of Utilizing Contrast-Enhanced CT in Quantifying AVCS
9.3. Calcium Score, TAVR, and the Risk of Stroke
9.4. Association between Calcification, TAVR, and Mortality
9.5. How Can Evaluating the Calcium Content Be Useful in Predicting Outcomes and Complications after TAVR?
10. Application of AVCS in Research
10.1. Research on the Association between Calcium Content and Race, Ethnicity, and Gender
10.2. Research on Improving Specific Diagnostic Methods
10.3. Research on the Possibility of the Incidental Detection of AS through CT for Other Indications
10.4. Research on Environmental Risk Factors
10.5. Research on the Utility of the Score for Predicting Adverse Medical Events
10.6. Research on Concomitant Diseases and Risk States
10.7. Research in Hematology
10.8. Research on the Efficacy of Medications
10.9. Research on Association between Lipids and AS
11. Alternative and Future Diagnostic Indicators of Calcification
12. Will the Future of AVCS Quantification Be Dominated by AI?
13. Summary
Author Contributions
Funding
Institutional Review Board Statement
Informed Consent Statement
Data Availability Statement
Conflicts of Interest
Abbreviations
References
- Rozeik, M.; Wheatley, D.; Gourlay, T. The aortic valve: Structure, complications and implications for transcatheter aortic valve replacement. Perfusion 2014, 29, 285–300. [Google Scholar] [CrossRef] [PubMed]
- Kawahara, Y.; Suzuki, K.; Takahara, S.; Fukasawa, M. Congenital unicuspid aortic valve stenosis in siblings. Gen. Thorac. Cardiovasc. Surg. 2014, 62, 567–569. [Google Scholar] [CrossRef] [PubMed]
- Al Ansari, A.E.; Abdulrahman, A.; Shaikho, N.M.G.; Saif, S.A. A very rare cause of aortic regurgitation: Pentacuspid aortic valve. Eur. Heart J. Case Rep. 2021, 5, ytab038. [Google Scholar] [CrossRef] [PubMed]
- Amoakwa, K.; Fashanu, O.E.; Tibuakuu, M.; Zhao, D.; Guallar, E.; Whelton, S.P.; O’Neal, W.T.; Post, W.S.; Budoff, M.J.; Michos, E.D. Resting heart rate and the incidence and progression of valvular calcium: The Multi-Ethnic Study of Atherosclerosis (MESA). Atherosclerosis 2018, 273, 45–52. [Google Scholar] [CrossRef] [PubMed]
- Messika-Zeitoun, D.; Bielak, L.F.; Peyser, P.A.; Sheedy, P.F.; Turner, S.T.; Nkomo, V.T.; Breen, J.F.; Maalouf, J.; Scott, C.; Tajik, A.J.; et al. Aortic valve calcification: Determinants and progression in the population. Arterioscler. Thromb. Vasc. Biol. 2007, 27, 642–648. [Google Scholar] [CrossRef] [PubMed]
- Goody, P.R.; Hosen, M.R.; Christmann, D.; Niepmann, S.T.; Zietzer, A.; Adam, M.; Bonner, F.; Zimmer, S.; Nickenig, G.; Jansen, F. Aortic Valve Stenosis: From Basic Mechanisms to Novel Therapeutic Targets. Arterioscler. Thromb. Vasc. Biol. 2020, 40, 885–900. [Google Scholar] [CrossRef] [PubMed]
- Aluru, J.S.; Barsouk, A.; Saginala, K.; Rawla, P.; Barsouk, A. Valvular Heart Disease Epidemiology. Med. Sci. 2022, 10, 32. [Google Scholar] [CrossRef] [PubMed]
- Saji, M.; Highchi, R.; Iguchi, N.; Shimuzu, J.; Tobaru, T.; Takanashi, S.; Takayama, M.; Isobe, M. Transcatheter aortic valve replacement in patients with degenerative calcified rheumatic aortic stenosis: A 10-patient case series. Int. J. Cardiol. 2019, 280, 38–42. [Google Scholar] [CrossRef] [PubMed]
- Lindman, B.R.; Clavel, M.A.; Mathieu, P.; Iung, B.; Lancellotti, P.; Otto, C.M.; Pibarot, P. Calcific aortic stenosis. Nat. Rev. Dis. Primers 2016, 2, 16006. [Google Scholar] [CrossRef]
- Osnabrugge, R.L.; Mylotte, D.; Head, S.J.; Van Mieghem, N.M.; Nkomo, V.T.; LeReun, C.M.; Bogers, A.J.; Piazza, N.; Kappetein, A.P. Aortic stenosis in the elderly: Disease prevalence and number of candidates for transcatheter aortic valve replacement: A meta-analysis and modeling study. J. Am. Coll. Cardiol. 2013, 62, 1002–1012. [Google Scholar] [CrossRef]
- Durko, A.P.; Osnabrugge, R.L.; Van Mieghem, N.M.; Milojevic, M.; Mylotte, D.; Nkomo, V.T.; Pieter Kappetein, A. Annual number of candidates for transcatheter aortic valve implantation per country: Current estimates and future projections. Eur. Heart J. 2018, 39, 2635–2642. [Google Scholar] [CrossRef] [PubMed]
- Nathaniel, S.; Saligram, S.; Innasimuthu, A.L. Aortic stenosis: An update. World J. Cardiol. 2010, 2, 135–139. [Google Scholar] [CrossRef] [PubMed]
- Yu, J.; Wang, Z.; Bao, Q.; Lei, S.; You, Y.; Yin, Z.; Xie, X. Global burden of calcific aortic valve disease and attributable risk factors from 1990 to 2019. Front. Cardiovasc. Med. 2022, 9, 1003233. [Google Scholar] [CrossRef]
- Yi, B.; Zeng, W.; Lv, L.; Hua, P. Changing epidemiology of calcific aortic valve disease: 30-year trends of incidence, prevalence, and deaths across 204 countries and territories. Aging 2021, 13, 12710–12732. [Google Scholar] [CrossRef] [PubMed]
- Danielsen, R.; Aspelund, T.; Harris, T.B.; Gudnason, V. The prevalence of aortic stenosis in the elderly in Iceland and predictions for the coming decades: The AGES–Reykjavík study. Int. J. Cardiol. 2014, 176, 916–922. [Google Scholar] [CrossRef] [PubMed]
- Dweck, M.R.; Boon, N.A.; Newby, D.E. Calcific aortic stenosis: A disease of the valve and the myocardium. J. Am. Coll. Cardiol. 2012, 60, 1854–1863. [Google Scholar] [CrossRef]
- Stewart, S.; Afoakwah, C.; Chan, Y.-K.; Strom, J.B.; Playford, D.; Strange, G.A. Counting the cost of premature mortality with progressively worse aortic stenosis in Australia: A clinical cohort study. Lancet Healthy Longev. 2022, 3, e599–e606. [Google Scholar] [CrossRef] [PubMed]
- Otto, C.M.; Nishimura, R.A.; Bonow, R.O.; Carabello, B.A.; Erwin, J.P., 3rd; Gentile, F.; Jneid, H.; Krieger, E.V.; Mack, M.; McLeod, C.; et al. 2020 ACC/AHA Guideline for the Management of Patients with Valvular Heart Disease: A Report of the American College of Cardiology/American Heart Association Joint Committee on Clinical Practice Guidelines. Circulation 2021, 143, e72–e227. [Google Scholar] [CrossRef] [PubMed]
- Jain, H.; Goyal, A.; Khan, A.; Khan, N.U.; Jain, J.; Chopra, S.; Sulaiman, S.A.; Reddy, M.M.; Patel, K.; Khullar, K.; et al. Insights into calcific aortic valve stenosis: A comprehensive overview of the disease and advancing treatment strategies. Ann. Med. Surg. 2024, 86, 3577–3590. [Google Scholar] [CrossRef]
- Nascimento, B.R.; Beaton, A.Z.; Nunes, M.C.P.; Tompsett, A.R.; Oliveira, K.K.B.; Diamantino, A.C.; Barbosa, M.M.; Lourenço, T.V.; Teixeira, I.M.; Ruiz, G.Z.L.; et al. Integration of echocardiographic screening by non-physicians with remote reading in primary care. Heart 2019, 105, 283–290. [Google Scholar] [CrossRef]
- Khanji, M.Y.; Ricci, F.; Galusko, V.; Sekar, B.; Chahal, C.A.A.; Ceriello, L.; Gallina, S.; Kennon, S.; Awad, W.I.; Ionescu, A. Management of aortic stenosis: A systematic review of clinical practice guidelines and recommendations. Eur. Heart J.-Qual. Care Clin. Outcomes 2021, 7, 340–353. [Google Scholar] [CrossRef] [PubMed]
- Ternacle, J.; Clavel, M.A. Assessment of Aortic Stenosis Severity: A Multimodality Approach. Cardiol. Clin. 2020, 38, 13–22. [Google Scholar] [CrossRef] [PubMed]
- Messika-Zeitoun, D.; Oh, J.K.; Topilsky, Y.; Burwash, I.G.; Michelena, H.I.; Enriquez-Sarano, M. Low-Gradient Aortic Stenosis: Solving the Conundrum Using Multi-Modality Imaging. Prog. Cardiovasc. Dis. 2018, 61, 416–422. [Google Scholar] [CrossRef]
- Tzolos, E.; Kwiecinski, J.; Berman, D.; Slomka, P.; Newby, D.E.; Dweck, M.R. Latest Advances in Multimodality Imaging of Aortic Stenosis. J. Nucl. Med. 2022, 63, 353–358. [Google Scholar] [CrossRef]
- Dweck, M.R.; Loganath, K.; Bing, R.; Treibel, T.A.; McCann, G.P.; Newby, D.E.; Leipsic, J.; Fraccaro, C.; Paolisso, P.; Cosyns, B.; et al. Multi-modality imaging in aortic stenosis: An EACVI clinical consensus document. Eur. Heart J.-Cardiovasc. Imaging 2023, 24, 1430–1443. [Google Scholar] [CrossRef] [PubMed]
- Agatston, A.S.; Janowitz, W.R.; Hildner, F.J.; Zusmer, N.R.; Viamonte, M., Jr.; Detrano, R. Quantification of coronary artery calcium using ultrafast computed tomography. J. Am. Coll. Cardiol. 1990, 15, 827–832. [Google Scholar] [CrossRef]
- Shekar, C.; Budoff, M. Calcification of the heart: Mechanisms and therapeutic avenues. Expert Rev. Cardiovasc. Ther. 2018, 16, 527–536. [Google Scholar] [CrossRef] [PubMed]
- Guzzetti, E.; Simard, L.; Clisson, M.; Clavel, M.-A. Multiplanar “En Face” Reconstruction of the Aortic Valve. JACC Cardiovasc. Imaging 2020, 13, 2678–2680. [Google Scholar] [CrossRef]
- Powers, A.; Clavel, M.A. Calcium Scoring to Classify Aortic Valve Stenosis Severity: What Is the Current Data? Curr. Cardiol. Rep. 2023, 25, 1095–1101. [Google Scholar] [CrossRef]
- Pawade, T.; Sheth, T.; Guzzetti, E.; Dweck, M.R.; Clavel, M.A. Why and How to Measure Aortic Valve Calcification in Patients with Aortic Stenosis. JACC Cardiovasc. Imaging 2019, 12, 1835–1848. [Google Scholar] [CrossRef]
- Hinzpeter, R.; Weber, L.; Euler, A.; Kasel, A.M.; Tanner, F.C.; Alkadhi, H.; Eberhard, M. Aortic valve calcification scoring with computed tomography: Impact of iterative reconstruction techniques. Int. J. Cardiovasc. Imaging 2020, 36, 1575–1581. [Google Scholar] [CrossRef] [PubMed]
- Pawade, T.; Clavel, M.A.; Tribouilloy, C.; Dreyfus, J.; Mathieu, T.; Tastet, L.; Renard, C.; Gun, M.; Jenkins, W.S.A.; Macron, L.; et al. Computed Tomography Aortic Valve Calcium Scoring in Patients with Aortic Stenosis. Circ. Cardiovasc. Imaging 2018, 11, e007146. [Google Scholar] [CrossRef] [PubMed]
- Wang, T.K.M.; Flamm, S.D.; Schoenhagen, P.; Griffin, B.P.; Rodriguez, L.L.; Grimm, R.A.; Xu, B. Diagnostic and Prognostic Performance of Aortic Valve Calcium Score with Cardiac CT for Aortic Stenosis: A Meta-Analysis. Radiol. Cardiothorac. Imaging 2021, 3, e210075. [Google Scholar] [CrossRef] [PubMed]
- Linde, L.; Carter-Storch, R.; Christensen, N.L.; Dahl, J.; Ovrehus, K.A.; Diederichsen, A.; Jensen, P.S.; Rasmussen, L.M.; Moller, J.E. Strong Correlation between Aortic Valve Calcification Score by Cardiac Computed Tomography and Total Valve Calcium in Patients with Severe Aortic Valve Stenosis. J. Am. Coll. Cardiol. 2018, 71, A1985. [Google Scholar] [CrossRef]
- Saucedo-Orozco, H.; Torres, I.P.; Vera, S.A.C.; Frausto, A.A.; Godinez, J.A.A.; Guarner-Lans, V.; Rubio, E.; Lopez, M.E.S. Correlation Between Cardiac Computed Tomography and Histopathology for Evaluating Patients with Aortic Valve Disease. Acad. Radiol. 2022, 29 (Suppl. S4), S25–S32. [Google Scholar] [CrossRef] [PubMed]
- Eberhard, M.; Hinzpeter, R.; Polacin, M.; Morsbach, F.; Maisano, F.; Nietlispach, F.; Nguyen-Kim, T.D.L.; Tanner, F.C.; Alkadhi, H. Reproducibility of aortic valve calcification scoring with computed tomography—An interplatform analysis. J. Cardiovasc. Comput. Tomogr. 2019, 13, 92–98. [Google Scholar] [CrossRef] [PubMed]
- Milo, S.M.; Toia, P.; Midiri, F.; D’Alessandro, L.; Sollami, G.; Panci, A.; Pernice, V.; Violante, F.; Fattouch, K.; Cutaia, G.; et al. Aortic valve and vascular calcium score in pre-TAVI CT: Correlation with early post-procedural complications. La Radiol. Medica 2023, 128, 299–306. [Google Scholar] [CrossRef]
- Jebari-Benslaiman, S.; Galicia-García, U.; Larrea-Sebal, A.; Olaetxea, J.R.; Alloza, I.; Vandenbroeck, K.; Benito-Vicente, A.; Martín, C. Pathophysiology of Atherosclerosis. Int. J. Mol. Sci. 2022, 23, 3346. [Google Scholar] [CrossRef]
- Pawade, T.A.; Newby, D.E.; Dweck, M.R. Calcification in Aortic Stenosis: The Skeleton Key. J. Am. Coll. Cardiol. 2015, 66, 561–577. [Google Scholar] [CrossRef]
- Peeters, F.; Meex, S.J.R.; Dweck, M.R.; Aikawa, E.; Crijns, H.; Schurgers, L.J.; Kietselaer, B. Calcific aortic valve stenosis: Hard disease in the heart: A biomolecular approach towards diagnosis and treatment. Eur. Heart J. 2018, 39, 2618–2624. [Google Scholar] [CrossRef]
- Wal, P.; Rathore, S.; Aziz, N.; Singh, Y.K.; Gupta, A. Aortic stenosis: A review on acquired pathogenesis and ominous combination with diabetes mellitus. Egypt. Heart J. 2023, 75, 26. [Google Scholar] [CrossRef] [PubMed]
- Youssef, A.; Clark, J.R.; Koschinsky, M.L.; Boffa, M.B. Lipoprotein(a): Expanding our knowledge of aortic valve narrowing. Trends Cardiovasc. Med. 2021, 31, 305–311. [Google Scholar] [CrossRef] [PubMed]
- Gać, P.; Martuszewski, A.; Paluszkiewicz, P.; Poręba, M.; Mazur, G.; Poręba, R. Aortic Valve Calcification Score in Patients with Arterial Hypertension Environmentally Exposed to Tobacco Smoke. Cardiovasc. Toxicol. 2021, 21, 869–879. [Google Scholar] [CrossRef] [PubMed]
- Stewart, B.F.; Siscovick, D.; Lind, B.K.; Gardin, J.M.; Gottdiener, J.S.; Smith, V.E.; Kitzman, D.W.; Otto, C.M. Clinical factors associated with calcific aortic valve disease. Cardiovascular Health Study. J. Am. Coll. Cardiol. 1997, 29, 630–634. [Google Scholar] [CrossRef] [PubMed]
- Gałąska, R.; Kulawiak-Gałąska, D.; Chmara, M.; Chlebus, K.; Studniarek, M.; Fijałkowski, M.; Wasąg, B.; Rynkiewicz, A.; Gruchała, M. Aortic valve calcium score in hypercholesterolemic patients with and without low-density lipoprotein receptor gene mutation. PLoS ONE 2018, 13, e0209229. [Google Scholar] [CrossRef] [PubMed]
- Pedriali, G.; Morciano, G.; Patergnani, S.; Cimaglia, P.; Morelli, C.; Mikus, E.; Ferrari, R.; Gasbarro, V.; Giorgi, C.; Wieckowski, M.R.; et al. Aortic Valve Stenosis and Mitochondrial Dysfunctions: Clinical and Molecular Perspectives. Int. J. Mol. Sci. 2020, 21, 4899. [Google Scholar] [CrossRef] [PubMed]
- Chen, I.Y.; Vedula, V.; Malik, S.B.; Liang, T.; Chang, A.Y.; Chung, K.S.; Sayed, N.; Tsao, P.S.; Giacomini, J.C.; Marsden, A.L.; et al. Preoperative Computed Tomography Angiography Reveals Leaflet-Specific Calcification and Excursion Patterns in Aortic Stenosis. Circ. Cardiovasc. Imaging 2021, 14, 1122–1132. [Google Scholar] [CrossRef] [PubMed]
- Kaiser, Y.; Nurmohamed, N.S.; Kroon, J.; Verberne, H.J.; Tzolos, E.; Dweck, M.R.; Somsen, A.G.; Arsenault, B.J.; Stroes, E.S.G.; Zheng, K.H.; et al. Lipoprotein(a) has no major impact on calcification activity in patients with mild to moderate aortic valve stenosis. Heart 2022, 108, 61–66. [Google Scholar] [CrossRef]
- Cybulska, B.; Kłosiewicz-Latoszek, L.; Penson, P.E.; Banach, M. What do we know about the role of lipoprotein(a) in atherogenesis 57 years after its discovery? Prog. Cardiovasc. Dis. 2020, 63, 219–227. [Google Scholar] [CrossRef]
- Capoulade, R.; Yeang, C.; Chan, K.L.; Pibarot, P.; Tsimikas, S. Association of Mild to Moderate Aortic Valve Stenosis Progression with Higher Lipoprotein(a) and Oxidized Phospholipid Levels: Secondary Analysis of a Randomized Clinical Trial. JAMA Cardiol. 2018, 3, 1212–1217. [Google Scholar] [CrossRef]
- Virani, S.S.; Koschinsky, M.L.; Maher, L.; Mehta, A.; Orringer, C.E.; Santos, R.D.; Shapiro, M.D.; Saseen, J.J. Global think tank on the clinical considerations and management of lipoprotein(a): The top questions and answers regarding what clinicians need to know. Prog. Cardiovasc. Dis. 2022, 73, 32–40. [Google Scholar] [CrossRef]
- Cegla, J.; Neely, R.D.G.; France, M.; Ferns, G.; Byrne, C.D.; Halcox, J.; Datta, D.; Capps, N.; Shoulders, C.; Qureshi, N.; et al. HEART UK consensus statement on Lipoprotein(a): A call to action. Atherosclerosis 2019, 291, 62–70. [Google Scholar] [CrossRef] [PubMed]
- Alhomoud, I.S.; Talasaz, A.; Mehta, A.; Kelly, M.S.; Sisson, E.M.; Bucheit, J.D.; Brown, R.; Dixon, D.L. Role of lipoprotein(a) in atherosclerotic cardiovascular disease: A review of current and emerging therapies. Pharmacother. J. Human Pharmacol. Drug Ther. 2023, 43, 1051–1063. [Google Scholar] [CrossRef]
- Littmann, K.; Hagström, E.; Häbel, H.; Bottai, M.; Eriksson, M.; Parini, P.; Brinck, J. Plasma lipoprotein(a) measured in the routine clinical care is associated to atherosclerotic cardiovascular disease during a 14-year follow-up. Eur. J. Prev. Cardiol. 2022, 28, 2038–2047. [Google Scholar] [CrossRef] [PubMed]
- Nurmohamed, N.S.; Kraaijenhof, J.M.; Stroes, E.S.G. Lp(a): A New Pathway to Target? Curr. Atheroscler. Rep. 2022, 24, 831–838. [Google Scholar] [CrossRef]
- Kronenberg, F. Lipoprotein(a); Springer International Publishing: Cham, Switzerland, 2021; pp. 201–232. [Google Scholar] [CrossRef]
- Kronenberg, F.; Mora, S.; Stroes, E.S.G.; Ference, B.A.; Arsenault, B.J.; Berglund, L.; Dweck, M.R.; Koschinsky, M.; Lambert, G.; Mach, F.; et al. Lipoprotein(a) in atherosclerotic cardiovascular disease and aortic stenosis: A European Atherosclerosis Society consensus statement. Eur. Heart J. 2022, 43, 3925–3946. [Google Scholar] [CrossRef]
- Ugovšek, S.; Šebeštjen, M. Lipoprotein(a)—The Crossroads of Atherosclerosis, Atherothrombosis and Inflammation. Biomolecules 2021, 12, 26. [Google Scholar] [CrossRef] [PubMed]
- Duarte Lau, F.; Giugliano, R.P. Lipoprotein(a) and its Significance in Cardiovascular Disease: A Review. JAMA Cardiol. 2022, 7, 760–769. [Google Scholar] [CrossRef]
- Li, J.J.; Ma, C.S.; Zhao, D.; Yan, X.W. Lipoprotein(a) and Cardiovascular Disease in Chinese Population: A Beijing Heart Society Expert Scientific Statement. JACC Asia 2022, 2, 653–665. [Google Scholar] [CrossRef]
- Mata, P.; Alonso, R.; Pérez de Isla, L.; Badimón, L. Dyslipidemia and aortic valve disease. Curr. Opin. Lipidol. 2021, 32, 349–354. [Google Scholar] [CrossRef]
- Leibundgut, G.; Scipione, C.; Yin, H.; Schneider, M.; Boffa, M.B.; Green, S.; Yang, X.; Dennis, E.; Witztum, J.L.; Koschinsky, M.L.; et al. Determinants of binding of oxidized phospholipids on apolipoprotein (a) and lipoprotein (a). J. Lipid Res. 2013, 54, 2815–2830. [Google Scholar] [CrossRef] [PubMed]
- Zhong, S.; Li, L.; Shen, X.; Li, Q.; Xu, W.; Wang, X.; Tao, Y.; Yin, H. An update on lipid oxidation and inflammation in cardiovascular diseases. Free Radic. Biol. Med. 2019, 144, 266–278. [Google Scholar] [CrossRef]
- Nsaibia, M.J.; Devendran, A.; Goubaa, E.; Bouitbir, J.; Capoulade, R.; Bouchareb, R. Implication of Lipids in Calcified Aortic Valve Pathogenesis: Why Did Statins Fail? J. Clin. Med. 2022, 11, 3331. [Google Scholar] [CrossRef] [PubMed]
- Zhu, X.; Yang, L.; Han, X.; Huang, C.; Huang, G.; Wei, T.; Shu, L.; Xu, J. Oxidized phospholipids facilitate calcific aortic valve disease by elevating ATF4 through the PERK/eIF2α axis. Aging 2023, 15, 6834–6847. [Google Scholar] [CrossRef] [PubMed]
- Tsamoulis, D.; Siountri, I.; Rallidis, L.S. Lipoprotein(a): Its Association with Calcific Aortic Valve Stenosis, the Emerging RNA-Related Treatments and the Hope for a New Era in “Treating” Aortic Valve Calcification. J. Cardiovasc. Dev. Dis. 2023, 10, 96. [Google Scholar] [CrossRef] [PubMed]
- Di Fusco, S.A.; Arca, M.; Scicchitano, P.; Alonzo, A.; Perone, F.; Gulizia, M.M.; Gabrielli, D.; Oliva, F.; Imperoli, G.; Colivicchi, F. Lipoprotein(a): A risk factor for atherosclerosis and an emerging therapeutic target. Heart 2022, 109, 18–25. [Google Scholar] [CrossRef]
- Nazarzadeh, M.; Pinho-Gomes, A.C.; Bidel, Z.; Dehghan, A.; Canoy, D.; Hassaine, A.; Ayala Solares, J.R.; Salimi-Khorshidi, G.; Smith, G.D.; Otto, C.M.; et al. Plasma lipids and risk of aortic valve stenosis: A Mendelian randomization study. Eur. Heart J. 2020, 41, 3913–3920. [Google Scholar] [CrossRef] [PubMed]
- Greve, A.M.; Bang, C.N.; Boman, K.; Egstrup, K.; Forman, J.L.; Kesäniemi, Y.A.; Ray, S.; Pedersen, T.R.; Best, P.; Rajamannan, N.M.; et al. Effect Modifications of Lipid-Lowering Therapy on Progression of Aortic Stenosis (from the Simvastatin and Ezetimibe in Aortic Stenosis [SEAS] Study). Am. J. Cardiol. 2018, 121, 739–745. [Google Scholar] [CrossRef]
- Kaltoft, M.; Langsted, A.; Nordestgaard, B.G. Triglycerides and remnant cholesterol associated with risk of aortic valve stenosis: Mendelian randomization in the Copenhagen General Population Study. Eur. Heart J. 2020, 41, 2288–2299. [Google Scholar] [CrossRef]
- Bossé, Y.; Mathieu, P.; Pibarot, P. Genomics: The next step to elucidate the etiology of calcific aortic valve stenosis. J. Am. Coll. Cardiol. 2008, 51, 1327–1336. [Google Scholar] [CrossRef]
- Garg, V.; Muth, A.N.; Ransom, J.F.; Schluterman, M.K.; Barnes, R.; King, I.N.; Grossfeld, P.D.; Srivastava, D. Mutations in NOTCH1 cause aortic valve disease. Nature 2005, 437, 270–274. [Google Scholar] [CrossRef] [PubMed]
- Debiec, R.M.; Hamby, S.E.; Jones, P.D.; Safwan, K.; Sosin, M.; Hetherington, S.L.; Sprigings, D.; Sharman, D.; Lee, K.; Salahshouri, P.; et al. Contribution of NOTCH1 genetic variants to bicuspid aortic valve and other congenital lesions. Heart 2022, 108, 1114–1120. [Google Scholar] [CrossRef] [PubMed]
- Dragoș, D.; Timofte, D.; Georgescu, M.-T.; Manea, M.-M.; Vacaroiu, I.A.; Ionescu, D.; Balcangiu-Stroescu, A.-E. Cardiovascular Calcifications Are Correlated with Inflammation in Hemodialysis Patients. Medicina 2023, 59, 1801. [Google Scholar] [CrossRef] [PubMed]
- Katz, R.; Budoff, M.J.; Takasu, J.; Shavelle, D.M.; Bertoni, A.; Blumenthal, R.S.; Ouyang, P.; Wong, N.D.; O’Brien, K.D. Relationship of Metabolic Syndrome with Incident Aortic Valve Calcium and Aortic Valve Calcium Progression. Diabetes 2009, 58, 813–819. [Google Scholar] [CrossRef] [PubMed]
- Hovland, A.; Narverud, I.; Lie Øyri, L.K.; Bogsrud, M.P.; Aagnes, I.; Ueland, T.; Mulder, M.; Leijten, F.; Langslet, G.; Wium, C.; et al. Subjects with familial hypercholesterolemia have lower aortic valve area and higher levels of inflammatory biomarkers. J. Clin. Lipidol. 2021, 15, 134–141. [Google Scholar] [CrossRef]
- Hedegaard, B.S.; Bork, C.S.; Kaltoft, M.; Klausen, I.C.; Schmidt, E.B.; Kamstrup, P.R.; Langsted, A.; Nordestgaard, B.G. Equivalent Impact of Elevated Lipoprotein(a) and Familial Hypercholesterolemia in Patients with Atherosclerotic Cardiovascular Disease. J. Am. Coll. Cardiol. 2022, 80, 1998–2010. [Google Scholar] [CrossRef] [PubMed]
- Laukkanen, J.A.; Lavie, C.J.; Kunutsor, S.K. Association between Serum Testosterone and Aortic Valve Stenosis: A Prospective Cohort Study. J. Cardiovasc. Dev. Dis. 2023, 10, 454. [Google Scholar] [CrossRef] [PubMed]
- Vahanian, A.; Beyersdorf, F.; Praz, F.; Milojevic, M.; Baldus, S.; Bauersachs, J.; Capodanno, D.; Conradi, L.; De Bonis, M.; De Paulis, R.; et al. 2021 ESC/EACTS Guidelines for the management of valvular heart disease. Eur. Heart J. 2022, 43, 561–632. [Google Scholar] [CrossRef] [PubMed]
- Pujari, S.H.; Agasthi, P. Aortic Stenosis. In StatPearls; StatPearls Publishing: Treasure Island, FL, USA, 2023. [Google Scholar]
- Dzaye, O.; Whelton, S.P.; Blaha, M.J. Aortic valve calcium scoring on cardiac computed tomography: Ready for clinical use? J. Cardiovasc. Comput. Tomogr. 2019, 13, 297–298. [Google Scholar] [CrossRef]
- Kuperstein, R.; Michlin, M.; Barbash, I.; Mazin, I.; Brodov, Y.; Fefer, P.; Segev, A.; Guetta, V.; Maor, E.; Goiten, O.; et al. Pseudo-discordance mimicking low-flow low-gradient aortic stenosis in transcatheter aortic valve replacement patients with severe symptomatic aortic stenosis. Cardiol. J. 2023, 30, 422–430. [Google Scholar] [CrossRef]
- Manzo, R.; Ilardi, F.; Nappa, D.; Mariani, A.; Angellotti, D.; Immobile Molaro, M.; Sgherzi, G.; Castiello, D.S.; Simonetti, F.; Santoro, C.; et al. Echocardiographic Evaluation of Aortic Stenosis: A Comprehensive Review. Diagnostics 2023, 13, 2527. [Google Scholar] [CrossRef]
- Xiao, M.H.; Wu, Y.J.; Wang, J.J.; Song, G.Y.; Wang, J.D.; Zhu, Z.H.; Wang, X.; Zhao, Z.Y.; Wang, H. Validation of methods for effective orifice area measurement of prosthetic valves by two-dimensional and Doppler echocardiography following transcatheter self-expanding aortic valve implantation. J. Geriatr. Cardiol. 2020, 17, 766–774. [Google Scholar] [CrossRef]
- Vriesendorp, M.D.; Deeb, G.M.; Reardon, M.J.; Kiaii, B.; Bapat, V.; Labrousse, L.; Rao, V.; Sabik, J.F., 3rd; Gearhart, E.; Klautz, R.J.M. Why the categorization of indexed effective orifice area is not justified for the classification of prosthesis-patient mismatch. J. Thorac. Cardiovasc. Surg. 2022, 164, 822–829.e6. [Google Scholar] [CrossRef] [PubMed]
- Nemchyna, O.; Soltani, S.; Solowjowa, N.; Schoenrath, F.; Hrytsyna, Y.; Unbehaun, A.; Kempfert, J.; Stein, J.; Knosalla, C.; Hagendorff, A.; et al. Validity of visual assessment of aortic valve morphology in patients with aortic stenosis using two-dimensional echocardiography. Int. J. Cardiovasc. Imaging 2021, 37, 813–823. [Google Scholar] [CrossRef]
- Katagiri, Y.; Yamasaki, K.; Hatanaka, N.; Bota, H.; Tani, T.; Koga, T.; Setogawa, Y.; Misawa, M.; Ueda, T.; Yamazaki, S. Revisiting the Aortic Valve Calcium Score in Evaluating the Severity of Aortic Stenosis in Japanese Patients―A Single-Center Study―. Circ. Rep. 2022, 4, 274–284. [Google Scholar] [CrossRef]
- Delgado, V.; Clavel, M.A.; Hahn, R.T.; Gillam, L.; Bax, J.; Sengupta, P.P.; Pibarot, P. How Do We Reconcile Echocardiography, Computed Tomography, and Hybrid Imaging in Assessing Discordant Grading of Aortic Stenosis Severity? JACC Cardiovasc. Imaging 2019, 12, 267–282. [Google Scholar] [CrossRef]
- Guglielmo, M.; Rovera, C.; Rabbat, M.G.; Pontone, G. The Role of Cardiac Magnetic Resonance in Aortic Stenosis and Regurgitation. J. Cardiovasc. Dev. Dis. 2022, 9, 108. [Google Scholar] [CrossRef] [PubMed]
- Lassen, M.L.; Tzolos, E.; Massera, D.; Cadet, S.; Bing, R.; Kwiecinski, J.; Dey, D.; Berman, D.S.; Dweck, M.R.; Newby, D.E.; et al. Aortic valve imaging using 18F-sodium fluoride: Impact of triple motion correction. EJNMMI Phys. 2022, 9, 4. [Google Scholar] [CrossRef] [PubMed]
- Rojulpote, C.; Borja, A.J.; Zhang, V.; Aly, M.; Koa, B.; Seraj, S.M.; Raynor, W.Y.; Kothekar, E.; Kaghazchi, F.; Werner, T.J.; et al. Role of (18)F-NaF-PET in assessing aortic valve calcification with age. Am. J. Nucl. Med. Mol. Imaging 2020, 10, 47–56. [Google Scholar]
- Guzzetti, E.; Annabi, M.-S.; Pibarot, P.; Clavel, M.-A. Multimodality Imaging for Discordant Low-Gradient Aortic Stenosis: Assessing the Valve and the Myocardium. Front. Cardiovasc. Med. 2020, 7, 570689. [Google Scholar] [CrossRef]
- Clavel, M.A.; Messika-Zeitoun, D.; Pibarot, P.; Aggarwal, S.R.; Malouf, J.; Araoz, P.A.; Michelena, H.I.; Cueff, C.; Larose, E.; Capoulade, R.; et al. The complex nature of discordant severe calcified aortic valve disease grading: New insights from combined Doppler echocardiographic and computed tomographic study. J. Am. Coll. Cardiol. 2013, 62, 2329–2338. [Google Scholar] [CrossRef] [PubMed]
- Baumgartner, H.; Falk, V.; Bax, J.J.; De Bonis, M.; Hamm, C.; Holm, P.J.; Iung, B.; Lancellotti, P.; Lansac, E.; Rodriguez Muñoz, D.; et al. 2017 ESC/EACTS Guidelines for the management of valvular heart disease. Eur. Heart J. 2017, 38, 2739–2791. [Google Scholar] [CrossRef] [PubMed]
- Boulif, J.; Slimani, A.; Lazam, S.; De Meester, C.; Piérard, S.; Pasquet, A.; Pouleur, A.-C.; Vancraeynest, D.; El Khoury, G.; De Kerchove, L.; et al. Diagnostic and Prognostic Accuracy of Aortic Valve Calcium Scoring in Patients with Moderate-to-Severe Aortic Stenosis. Front. Cardiovasc. Med. 2021, 8, 673519. [Google Scholar] [CrossRef] [PubMed]
- Fletcher, A.J.; Singh, T.; Syed, M.B.J.; Dweck, M.R. Imaging aortic valve calcification: Significance, approach and implications. Clin. Radiol. 2021, 76, 15–26. [Google Scholar] [CrossRef] [PubMed]
- Tribouilloy, C.; Bohbot, Y.; Rusinaru, D.; Belkhir, K.; Diouf, M.; Altes, A.; Delpierre, Q.; Serbout, S.; Kubala, M.; Levy, F.; et al. Excess Mortality and Undertreatment of Women with Severe Aortic Stenosis. J. Am. Heart Assoc. 2021, 10, e018816. [Google Scholar] [CrossRef] [PubMed]
- Stehli, J.; Zaman, S.; Stähli, B.E. Sex discrepancies in pathophysiology, presentation, treatment, and outcomes of severe aortic stenosis. Front. Cardiovasc. Med. 2023, 10, 1256970. [Google Scholar] [CrossRef]
- Perrin, N.; Ibrahim, R.; Dürrleman, N.; Basmadjian, A.; Leroux, L.; Demers, P.; Modine, T.; Ben Ali, W. Bicuspid Aortic Valve Stenosis: From Pathophysiological Mechanism, Imaging Diagnosis, to Clinical Treatment Methods. Front. Cardiovasc. Med. 2022, 8, 798949. [Google Scholar] [CrossRef] [PubMed]
- Veulemans, V.; Hokken, T.W.; Heermann, J.; Kardys, I.; Maier, O.; Adrichem, R.; Ooms, J.; Nuis, R.J.; Daemen, J.; Hirsch, A.; et al. Sex-Specific Differences in Aortic Valve Calcification Between Bicuspid and Tricuspid Severe Aortic Stenosis. Am. J. Cardiol. 2023, 197, 87–92. [Google Scholar] [CrossRef] [PubMed]
- Ye, Z.; Clavel, M.-A.; Foley, T.A.; Pibarot, P.; Enriquez-Sarano, M.; Michelena, H.I. Computed tomography calcium scoring in aortic stenosis: Bicuspid versus tricuspid morphology. Heart 2023, 110, 594–602. [Google Scholar] [CrossRef]
- Wanchaitanawong, W.; Kanjanavanit, R.; Srisuwan, T.; Wongcharoen, W.; Phrommintikul, A. Diagnostic role of aortic valve calcium scoring in various etiologies of aortic stenosis. Sci. Rep. 2023, 13, 8019. [Google Scholar] [CrossRef]
- Weininger Cohen, D.; Aronow, W.S. Use of Computed Tomography in the Assessment of Severity of Aortic Valve Stenosis; IntechOpen: London, UK, 2022. [Google Scholar] [CrossRef]
- Kim, J.; Kim, S.M.; Ahn, J.; Kim, J.; Choe, Y.H. Diagnostic Performance of Cardiac CT and Transthoracic Echocardiography for Detection of Surgically Confirmed Bicuspid Aortic Valve: Effect of Calcium Extent and Valve Subtypes. J. Korean Soc. Radiol. 2023, 84, 1324. [Google Scholar] [CrossRef] [PubMed]
- Choi, B.H.; Ko, S.M.; Shin, J.K.; Chee, H.K.; Kim, J.S.; Kim, J. Association between aortic valvular calcification and characteristics of the aortic valve in patients with bicuspid aortic valve stenosis. Acta Radiol. 2019, 60, 468–477. [Google Scholar] [CrossRef] [PubMed]
- Shen, M.; Oh, J.K.; Guzzetti, E.; Singh, G.K.; Pawade, T.; Tastet, L.; Clavel, M.-A.; Delgado, V.; Bax, J.J.; Dweck, M.R.; et al. Computed Tomography Aortic Valve Calcium Scoring in Patients with Bicuspid Aortic Valve Stenosis. Struct. Heart 2022, 6, 100027. [Google Scholar] [CrossRef] [PubMed]
- Ahn, Y.; Choi, S.J.; Lim, S.; Kim, J.B.; Song, J.-M.; Kang, D.-H.; Song, J.-K.; Kim, H.J.; Kang, J.-W.; Yang, D.H.; et al. Classification of severe aortic stenosis and outcomes after aortic valve replacement. Sci. Rep. 2022, 12, 7506. [Google Scholar] [CrossRef] [PubMed]
- Cutting, W.B.; Bavry, A.A. The evolving approach to the evaluation of low-gradient aortic stenosis. Cardiovasc. Revasc Med. 2019, 20, 197–201. [Google Scholar] [CrossRef] [PubMed]
- Alluri, K.; Carabello, B.A.; Nekkanti, R. Imaging Strategies for Evaluating Low-Flow, Low-Gradient Aortic Stenosis with Reduced and Preserved Left Ventricular Ejection Fraction. Curr. Cardiol. Rep. 2019, 21, 94. [Google Scholar] [CrossRef] [PubMed]
- Takamatsu, K.; Yamano, T.; Zen, K.; Takahara, M.; Tani, R.; Nakamura, S.; Fujimoto, T.; Yashige, M.; Ito, N.; Yamano, M.; et al. Doppler Underestimates Transvalvular Gradient Measured by Catheterization in Patients with Severe Aortic Stenosis. Am. J. Cardiol. 2023, 195, 28–36. [Google Scholar] [CrossRef] [PubMed]
- Clavel, M.A.; Burwash, I.G.; Pibarot, P. Cardiac Imaging for Assessing Low-Gradient Severe Aortic Stenosis. JACC Cardiovasc. Imaging 2017, 10, 185–202. [Google Scholar] [CrossRef] [PubMed]
- Veulemans, V.; Piayda, K.; Maier, O.; Bosbach, G.; Polzin, A.; Hellhammer, K.; Afzal, S.; Klein, K.; Dannenberg, L.; Zako, S.; et al. Aortic valve calcification is subject to aortic stenosis severity and the underlying flow pattern. Heart Vessel. 2021, 36, 242–251. [Google Scholar] [CrossRef]
- Alsidawi, S.; Khan, S.; Pislaru, S.V.; Thaden, J.J.; El-Am, E.A.; Scott, C.G.; Morant, K.; Oguz, D.; Luis, S.A.; Padang, R.; et al. High Prevalence of Severe Aortic Stenosis in Low-Flow State Associated with Atrial Fibrillation. Circ. Cardiovasc. Imaging 2021, 14, e012453. [Google Scholar] [CrossRef]
- Niemi, H.J.; Suihko, S.; Kylmälä, M.; Rajala, H.; Syväranta, S.; Kivistö, S.; Lommi, J. Impact of Atrial Fibrillation on the Symptoms and Echocardiographic Evaluation of Patients with Aortic Stenosis. Am. J. Cardiol. 2023, 211, 122–129. [Google Scholar] [CrossRef] [PubMed]
- Alkurashi, A.K.; Pislaru, S.V.; Thaden, J.J.; Collins, J.D.; Foley, T.A.; Greason, K.L.; Eleid, M.F.; Sandhu, G.S.; Alkhouli, M.A.; Asirvatham, S.J.; et al. Doppler Mean Gradient Is Discordant to Aortic Valve Calcium Scores in Patients with Atrial Fibrillation Undergoing Transcatheter Aortic Valve Replacement. J. Am. Soc. Echocardiogr. 2022, 35, 116–123. [Google Scholar] [CrossRef] [PubMed]
- Rassi, A.N.; Pibarot, P.; Elmariah, S. Left ventricular remodelling in aortic stenosis. Can. J. Cardiol. 2014, 30, 1004–1011. [Google Scholar] [CrossRef] [PubMed]
- Clavel, M.A.; Pibarot, P.; Messika-Zeitoun, D.; Capoulade, R.; Malouf, J.; Aggarval, S.; Araoz, P.A.; Michelena, H.I.; Cueff, C.; Larose, E.; et al. Impact of aortic valve calcification, as measured by MDCT, on survival in patients with aortic stenosis: Results of an international registry study. J. Am. Coll. Cardiol. 2014, 64, 1202–1213. [Google Scholar] [CrossRef] [PubMed]
- Doris, M.K.; Jenkins, W.; Robson, P.; Pawade, T.; Andrews, J.P.; Bing, R.; Cartlidge, T.; Shah, A.; Pickering, A.; Williams, M.C.; et al. Computed tomography aortic valve calcium scoring for the assessment of aortic stenosis progression. Heart 2020, 106, 1906–1913. [Google Scholar] [CrossRef] [PubMed]
- Sato, K.; Wang, T.K.M.; Desai, M.Y.; Kapadia, S.R.; Krishnaswamy, A.; Rodriguez, L.L.; Grimm, R.A.; Griffin, B.P.; Popović, Z.B. Physical and physiological effects of dobutamine stress echocardiography in low-gradient aortic stenosis. Am. J. Physiol. Heart Circ. Physiol. 2022, 322, H94–H104. [Google Scholar] [CrossRef] [PubMed]
- Nishimura, R.A.; Otto, C.M.; Bonow, R.O.; Carabello, B.A.; Erwin, J.P.; Guyton, R.A.; O’Gara, P.T.; Ruiz, C.E.; Skubas, N.J.; Sorajja, P.; et al. 2014 AHA/ACC Guideline for the Management of Patients with Valvular Heart Disease: Executive Summary. Circulation 2014, 129, 2440–2492. [Google Scholar] [CrossRef] [PubMed]
- Vindhyal, M.R.; Ndunda, P.M.; Fanari, Z. The role of dobutamine stress echocardiography based projected aortic valve area in assessing patients with classical low-flow low-gradient aortic stenosis. Ann. Transl. Med. 2018, 6, 276. [Google Scholar] [CrossRef] [PubMed]
- Kragholm, K.; Abdelkarim, O.; Sinha, A.; Zook, S.; Chao, M.F.; Faza, N.; Goel, S.; Reardon, M.; Kleiman, N.; Little, S.; et al. Aortic Valve Calcium Score in Addition to Dobutamine Stress Echocardiography for Low-Flow, Low-Gradient Aortic Stenosis Assessment. J. Am. Soc. Echocardiogr. 2023, 36, 1324–1326. [Google Scholar] [CrossRef]
- Kim, W.K.; Renker, M.; Rolf, A.; Liebetrau, C.; Van Linden, A.; Arsalan, M.; Doss, M.; Rieck, J.; Opolski, M.P.; Mollmann, H.; et al. Accuracy of device landing zone calcium volume measurement with contrast-enhanced multidetector computed tomography. Int. J. Cardiol. 2018, 263, 171–176. [Google Scholar] [CrossRef]
- El Garhy, M.; Owais, T.; Lauten, P. Aortic valve calcium volume as measured by native versus contrast-enhanced computer tomography and the implications for the diagnosis of severe aortic stenosis in TAVR patients with low-gradient aortic stenosis. Egypt. Heart J. 2022, 74, 71. [Google Scholar] [CrossRef] [PubMed]
- Gać, P.; Kędzierski, B.; Macek, P.; Pawlas, K.; Poręba, R. Estimation of Aortic Valve Calcium Score Based on Angiographic Phase Versus Reduction of Ionizing Radiation Dose in Computed Tomography. Life 2021, 11, 604. [Google Scholar] [CrossRef] [PubMed]
- Angelillis, M.; Costa, G.; De Backer, O.; Mochi, V.; Christou, A.; Giannini, C.; Spontoni, P.; De Carlo, M.; Sondergaard, L.; Miccoli, M.; et al. Threshold for calcium volume evaluation in patients with aortic valve stenosis: Correlation with Agatston score. J. Cardiovasc. Med. 2021, 22, 496–502. [Google Scholar] [CrossRef] [PubMed]
- Cartlidge, T.R.; Bing, R.; Kwiecinski, J.; Guzzetti, E.; Pawade, T.A.; Doris, M.K.; Adamson, P.D.; Massera, D.; Lembo, M.; Peeters, F.; et al. Contrast-enhanced computed tomography assessment of aortic stenosis. Heart 2021, 107, 1905–1911. [Google Scholar] [CrossRef] [PubMed]
- Flores-Umanzor, E.; Keshvara, R.; Reza, S.; Asghar, A.; Rashidul Anwar, M.; Cepas-Guillen, P.L.; Osten, M.; Halankar, J.; Abrahamyan, L.; Horlick, E. A systematic review of contrast-enhanced computed tomography calcium scoring methodologies and impact of aortic valve calcium burden on TAVI clinical outcomes. J. Cardiovasc. Comput. Tomogr. 2023, 17, 373–383. [Google Scholar] [CrossRef] [PubMed]
- Pandey, N.N.; Sharma, S.; Jagia, P.; Gulati, G.S.; Kumar, S. Feasibility and Accuracy of Aortic Valve Calcium Quantification on Computed Tomographic Angiography in Aortic Stenosis. Ann. Thorac. Surg. 2020, 110, 537–544. [Google Scholar] [CrossRef] [PubMed]
- Abdelkhalek, M.; Daeian, M.; Keshavarz-Motamed, Z. Regional assessment of aortic valve calcification using topographic maps in contrast-enhanced CT: In-vivo sex and severity-based differences in calcific presentation. Quant. Imaging Med. Surg. 2024, 14, 1–19. [Google Scholar] [CrossRef]
- Tokarek, T.; Dziewierz, A.; Dudek, D. MitraClip for mitral valve regurgitation and transcatheter aortic valve implantation for severe aortic valve stenosis: State-of-the-art. Adv. Interv. Cardiol. 2021, 17, 155–162. [Google Scholar] [CrossRef] [PubMed]
- Annabi, M.S.; Clisson, M.; Clavel, M.A.; Pibarot, P. Workup and Management of Patients with Paradoxical Low-Flow, Low-Gradient Aortic Stenosis. Curr. Treat. Options Cardiovasc. Med. 2018, 20, 49. [Google Scholar] [CrossRef]
- Seropian, I.M.; Romeo, F.J.; Falconi, M.; Agatiello, C.R.; Berrocal, D.H. Balloon rupture during aortic valvuloplasty with compliant balloon: Predictors and outcomes. Cardiovasc. Interv. Ther. 2020, 35, 291–299. [Google Scholar] [CrossRef]
- Eggebrecht, H.; Schmermund, A.; Voigtländer, T.; Kahlert, P.; Erbel, R.; Mehta, R.H. Risk of stroke after transcatheter aortic valve implantation (TAVI): A meta-analysis of 10,037 published patients. EuroIntervention 2012, 8, 129–138. [Google Scholar] [CrossRef] [PubMed]
- Kheifets, M.; Kruchin, B.; Aviram, I.; Vaknin-Assa, H.; Barnea, R.; Findler, M.; Perl, L.; Witberg, G.; Codner, P.; Talmor-Barkan, Y.; et al. Acute ischemic stroke complicating tavi. predictors, outcomes, and treatment associated outcomes. Eur. Heart J. 2023, 44, ehad655-2247. [Google Scholar] [CrossRef]
- Vlastra, W.; Jimenez-Quevedo, P.; Tchétché, D.; Chandrasekhar, J.; De Brito, F.S.; Barbanti, M.; Kornowski, R.; Latib, A.; D’Onofrio, A.; Ribichini, F.; et al. Predictors, Incidence, and Outcomes of Patients Undergoing Transfemoral Transcatheter Aortic Valve Implantation Complicated by Stroke. Circ. Cardiovasc. Interv. 2019, 12, e007546. [Google Scholar] [CrossRef] [PubMed]
- Muralidharan, A.; Thiagarajan, K.; Van Ham, R.; Gleason, T.G.; Mulukutla, S.; Schindler, J.T.; Jeevanantham, V.; Thirumala, P.D. Meta-Analysis of Perioperative Stroke and Mortality in Transcatheter Aortic Valve Implantation. Am. J. Cardiol. 2016, 118, 1031–1045. [Google Scholar] [CrossRef] [PubMed]
- Haussig, S.; Mangner, N.; Dwyer, M.G.; Lehmkuhl, L.; Lücke, C.; Woitek, F.; Holzhey, D.M.; Mohr, F.W.; Gutberlet, M.; Zivadinov, R.; et al. Effect of a Cerebral Protection Device on Brain Lesions Following Transcatheter Aortic Valve Implantation in Patients with Severe Aortic Stenosis: The CLEAN-TAVI Randomized Clinical Trial. JAMA 2016, 316, 592–601. [Google Scholar] [CrossRef] [PubMed]
- Koren, O.; Gupta, A.; Patel, V.; Nagasaka, T.; Patel, D.; Chakravarty, T.; Jilaihawi, H.; Makkar, R. TCT-213 Effectiveness of Cerebral Embolic Protection in Transcatheter Aortic Valve Replacement with High Aortic Valve Calcium Burden. J. Am. Coll. Cardiol. 2023, 82, B82. [Google Scholar] [CrossRef]
- Miyata, T.; Yashima, F.; Ichikawa, T.; Saito, K.; Inamasu, J. Pitfalls in the diagnosis of post-TAVI (transcatheter aortic valve implantation) stroke. Neurol. Clin. Neurosci. 2023, 11, 316–318. [Google Scholar] [CrossRef]
- Matsuzono, K.; Miura, K.; Ozawa, T.; Mashiko, T.; Fujimoto, S. Outcome of intravenous rt-PA therapy for a stroke patient during the short-term period after TAVI. Neurol. Sci. 2020, 41, 2625–2627. [Google Scholar] [CrossRef] [PubMed]
- Foley, M.; Hall, K.; Howard, J.P.; Ahmad, Y.; Gandhi, M.; Mahboobani, S.; Okafor, J.; Rahman, H.; Hadjiloizou, N.; Ruparelia, N.; et al. Aortic Valve Calcium Score Is Associated with Acute Stroke in Transcatheter Aortic Valve Replacement Patients. J. Soc. Cardiovasc. Angiogr. Amp; Interv. 2022, 1, 100349. [Google Scholar] [CrossRef]
- Bjursten, H.; Koul, S.; Duvernoy, O.; Fagman, E.; Samano, N.; Nilsson, J.; Nielsen, N.E.; Rück, A.; Johansson, J.; James, S.; et al. Calcium Load in the Aortic Valve, Aortic Root, and Left Ventricular Outflow Tract and the Risk for a Periprocedural Stroke. Struct. Heart 2022, 6, 100070. [Google Scholar] [CrossRef]
- Zhang, D.; Dai, X.; Wang, C.; Han, K.; Wang, J.; Dong, Y.; Chen, J.; Hou, L. Aortic valve calcification and risk of stroke: A systematic review and meta-analysis. J. Clin. Neurosci. 2018, 55, 32–37. [Google Scholar] [CrossRef] [PubMed]
- Aggarwal, S.K.; Delahunty Rn, N.; Menezes, L.J.; Perry, R.; Wong, B.; Reinthaler, M.; Ozkor, M.; Mullen, M.J. Patterns of solid particle embolization during transcatheter aortic valve implantation and correlation with aortic valve calcification. J. Interv. Cardiol. 2018, 31, 648–654. [Google Scholar] [CrossRef] [PubMed]
- Pollari, F.; Hitzl, W.; Vogt, F.; Cuomo, M.; Schwab, J.; Söhn, C.; Kalisnik, J.M.; Langhammer, C.; Bertsch, T.; Fischlein, T.; et al. Aortic valve calcification as a risk factor for major complications and reduced survival after transcatheter replacement. J. Cardiovasc. Comput. Tomogr. 2020, 14, 307–313. [Google Scholar] [CrossRef] [PubMed]
- Bayar, N.; Erkal, Z.; Köklü, E.; Güven, R.; Arslan, Ş. Increased Intima-Media Thickness of the Ascending Aorta May Predict Neurological Complications Associated with TAVI. J. Stroke Cerebrovasc. Dis. 2021, 30, 105665. [Google Scholar] [CrossRef] [PubMed]
- Patel, P.P.; El Sabbagh, A.; Johnson, P.W.; Suliman, R.; Salwa, N.; Morales-Lara, A.C.; Pollak, P.; Yamani, M.; Parikh, P.; Sonavane, S.K.; et al. Sex Differences in the Impact of Aortic Valve Calcium Score on Mortality After Transcatheter Aortic Valve Replacement. Circ. Cardiovasc. Imaging 2022, 15, e014034. [Google Scholar] [CrossRef]
- Choi, Y.; Ahn, J.-M.; Yang, D.H.; Koo, H.J.; Lee, S.-A.; Kang, D.-Y.; Kim, J.B.; Park, D.W.; Kim, D.-H.; Choo, S.J.; et al. Clinical outcomes after aortic valve replacement with severe stenosis of trileaflet aortic valve and low valve calcium score. Heart 2023, 109, 1479–1485. [Google Scholar] [CrossRef] [PubMed]
- Spaziano, M.; Chieffo, A.; Watanabe, Y.; Chandrasekhar, J.; Sartori, S.; Lefèvre, T.; Petronio, A.S.; Presbitero, P.; Tchetche, D.; Iadanza, A.; et al. Computed tomography predictors of mortality, stroke and conduction disturbances in women undergoing TAVR: A sub-analysis of the WIN-TAVI registry. J. Cardiovasc. Comput. Tomogr. 2018, 12, 338–343. [Google Scholar] [CrossRef]
- Willemink, M.J.; Maret, E.; Moneghetti, K.J.; Kim, J.B.; Haddad, F.; Kobayashi, Y.; Nishi, T.; Nieman, K.; Cauwenberghs, N.; Kuznetsova, T.; et al. Incremental Value of Aortomitral Continuity Calcification for Risk Assessment after Transcatheter Aortic Valve Replacement. Radiol. Cardiothorac. Imaging 2019, 1, e190067. [Google Scholar] [CrossRef] [PubMed]
- Karahan, S.; Okuyan, E. Monocyte-to-high density lipoprotein cholesterol ratio as a predictor of mortality in patients with transcatheter aortic valve replacement. Eur. Rev. Med. Pharmacol. Sci. 2021, 25, 5153–5162. [Google Scholar] [CrossRef]
- Zieliński, K.; Kalińczuk, Ł.; Chmielak, Z.; Mintz, G.S.; Dąbrowski, M.; Pręgowski, J.; Świerczewski, M.; Kowalik, I.; Demkow, M.; Hryniewiecki, T.; et al. Additive Value of High-Density Lipoprotein Cholesterol and C-Reactive Protein Level Assessment for Prediction of 2-year Mortality After Transcatheter Aortic Valve Implantation. Am. J. Cardiol. 2020, 126, 66–72. [Google Scholar] [CrossRef]
- Gamet, A.; Chatelin, A.; Mergy, J.; Bécat, P.; Roumegou, P.; Christiaens, L. Does Aortic Valve Calcium Score Still Predict Death, Cardiovascular Outcomes, and Conductive Disturbances after Transcatheter Aortic Valve Replacement with New-Generation Prostheses? J. Cardiovasc. Echogr. 2020, 30, 88–92. [Google Scholar] [CrossRef]
- Akodad, M.; Lattuca, B.; Agullo, A.; Macia, J.C.; Gandet, T.; Marin, G.; Iemmi, A.; Vernhet, H.; Schmutz, L.; Nagot, N.; et al. Prognostic Impact of Calcium Score after Transcatheter Aortic Valve Implantation Performed with New Generation Prosthesis. Am. J. Cardiol. 2018, 121, 1225–1230. [Google Scholar] [CrossRef] [PubMed]
- Kofler, M.; Meyer, A.; Schwartz, J.; Sundermann, S.; Penkalla, A.; Solowjowa, N.; Klein, C.; Unbehaun, A.; Falk, V.; Kempfert, J. A new calcium score to predict paravalvular leak in transcatheter aortic valve implantation. Eur. J. Cardiothorac. Surg. 2021, 59, 894–900. [Google Scholar] [CrossRef]
- Siani, A.; Perone, F.; Costantini, P.; Rodolfi, S.; Muscogiuri, G.; Sironi, S.; Carriero, S.; Pavon, A.G.; van der Bilt, I.; van Rosendael, P.; et al. Aortic regurgitation: A multimodality approach. J. Clin. Ultrasound 2022, 50, 1041–1050. [Google Scholar] [CrossRef]
- Larroche, J.; Panh, L.; Lhermusier, T.; Bataille, V.; Marachet, M.A.; Chollet, T.; Petermann, A.; Bouisset, F.; Boudou, N.; Marcheix, B.; et al. Impact of aortic valve calcification severity on device success after transcatheter aortic valve replacement. Int. J. Cardiovasc. Imaging 2020, 36, 731–740. [Google Scholar] [CrossRef] [PubMed]
- Ko, T.Y.; Kao, H.L.; Chen, Y.C.; Lin, L.C.; Liu, Y.J.; Yeh, C.F.; Huang, C.C.; Chen, Y.H.; Chen, Y.S.; Lin, M.S. Temporal Change in Paravalvular Leakage after Transcatheter Aortic Valve Replacement with a Self-Expanding Valve: Impact of Aortic Valve Calcification. Acta Cardiol. Sin. 2020, 36, 140–147. [Google Scholar] [CrossRef]
- Fogante, M.; Esposto Pirani, P.; Cela, F.; Balardi, L.; Piva, T.; Argalia, G.; Schicchi, N. Ultra-low radiation dose and contrast volume CT protocol and TAVI-CT score for TAVI planning and outcome. Br. J. Radiol. 2023, 96, 20221026. [Google Scholar] [CrossRef] [PubMed]
- Mahon, C.; Davies, A.; Gambaro, A.; Musella, F.; Costa, A.L.; Panoulas, V.; Nicol, E.; Duncan, A.; Davies, S.; Mirsadraee, S. Association of individual aortic leaflet calcification on paravalvular regurgitation and conduction abnormalities with self-expanding trans-catheter aortic valve insertion. Quant. Imaging Med. Surg. 2021, 11, 1970–1982. [Google Scholar] [CrossRef]
- Welle, G.A.; El-Sabawi, B.; Thaden, J.J.; Greason, K.L.; Klarich, K.W.; Nkomo, V.T.; Alkhouli, M.A.; Guerrero, M.E.; Crestanello, J.A.; Holmes, D.R., Jr.; et al. Effect of a fourth-generation transcatheter valve enhanced skirt on paravalvular leak. Catheter. Cardiovasc. Interv. 2021, 97, 895–902. [Google Scholar] [CrossRef] [PubMed]
- Uebelacker, R.; Martin, S.S.; Vasa-Nicotera, M.; Mas-Peiro, S. Value of Post-/Pre-Procedural Aortic Regurgitation Ratio vs. Pre-Procedural Aortic Valve Calcium Score to Predict Moderate to Severe Paravalvular Leak Requiring Post-Dilation after Transcatheter Aortic Valve Implantation. J. Clin. Med. 2023, 12, 7735. [Google Scholar] [CrossRef]
- Catalano, M.A.; Saba, S.G.; Rutkin, B.; Maurer, G.; Berg, J.; Esposito, R.; Hartman, A.R.; Yu, P.J. Association between multimodality measures of aortic stenosis severity and quality-of-life improvement outcomes after transcatheter aortic valve replacement. Eur. Heart J. Qual. Care Clin. Outcomes 2022, 8, 143–149. [Google Scholar] [CrossRef] [PubMed]
- Park, S.; Cho, Y.; Oh, Y.-W.; Ko, M.; Lim, D.-S.; Yu, C.W.; Park, S.-M.; Kim, M.-N.; Hwang, S.H. Identifying fragile calcifications of the aortic valve in transcatheter aortic valve replacement: Iodine concentration of aortic valvular calcification by spectral CT. Eur. Radiol. 2022, 33, 1963–1972. [Google Scholar] [CrossRef] [PubMed]
- Clerfond, G.; Combaret, N.; Salazard, J.P.; Innorta, A.; Pereira, B.; Eschalier, R.; Motreff, P.; Chabrot, P.; Souteyrand, G. How to use the aortic valve calcium score to improve the results of transcatheter aortic valve implantation with a self-expanding prosthesis. Arch. Cardiovasc. Dis. 2022, 115, 305–314. [Google Scholar] [CrossRef] [PubMed]
- Milhorini Pio, S.; Bax, J.; Delgado, V. How valvular calcification can affect the outcomes of transcatheter aortic valve implantation. Expert Rev. Med. Devices 2020, 17, 773–784. [Google Scholar] [CrossRef] [PubMed]
- Hu, P.; Lin, N.; Wu, Z. Research and Prediction of Factors Related to High Degree Atrioventricular Block after TAVI Surgery Based on Logistic Regression Model. Heart Surg. Forum 2023, 26, E531–E536. [Google Scholar] [CrossRef] [PubMed]
- Angelillis, M.; Costa, G.; Primerano, C.; Giannini, C.; Adamo, M.; Chizzola, G.; Iadanza, A.; Fineschi, M.; Barletta, M.; Bedogni, F.; et al. Outcomes of Patients with Very Severe Aortic Stenosis Treated with Transcatheter Aortic Valve Implantation. Am. J. Cardiol. 2023, 205, 241–248. [Google Scholar] [CrossRef]
- Muessig, J.M.; Lichtenauer, M.; Wernly, B.; Kelm, M.; Franz, M.; Bäz, L.; Schulze, P.C.; Racher, V.; Zimmermann, G.; Figulla, H.R.; et al. Insulin like growth factor binding protein 2 (IGFBP-2) for risk prediction in patients with severe aortic stenosis undergoing Transcatheter Aortic Valve Implantation (TAVI). Int. J. Cardiol. 2019, 277, 54–59. [Google Scholar] [CrossRef] [PubMed]
- Kraler, S.; Blaser, M.C.; Aikawa, E.; Camici, G.G.; Lüscher, T.F. Calcific aortic valve disease: From molecular and cellular mechanisms to medical therapy. Eur. Heart J. 2022, 43, 683–697. [Google Scholar] [CrossRef] [PubMed]
- Pesarini, G.; Venturi, G.; Tavella, D.; Gottin, L.; Lunardi, M.; Mirandola, E.; Onorati, F.; Faggian, G.; Ribichini, F. Real World Performance Evaluation of Transcatheter Aortic Valve Implantation. J. Clin. Med. 2021, 10, 1890. [Google Scholar] [CrossRef]
- Brito, D.; Goykhman, I.; Lo, K.B.; Alhamshari, Y.; Peñalver, J.L.; Aguilar, F.; Quintero, E.; Kalla, A.; Friend, E.; Pressman, G.S. Aortic stenosis calcium scoring in a racially mixed sample. Monaldi Arch. Chest Dis. 2020, 90. [Google Scholar] [CrossRef]
- Boakye, E.; Dardari, Z.; Obisesan, O.H.; Osei, A.D.; Wang, F.M.; Honda, Y.; Dzaye, O.; Osuji, N.; Carr, J.J.; Howard-Claudio, C.M.; et al. Sex-and race-specific burden of aortic valve calcification among older adults without overt coronary heart disease: The Atherosclerosis Risk in Communities Study. Atherosclerosis 2022, 355, 68–75. [Google Scholar] [CrossRef] [PubMed]
- Jover, E.; Matilla, L.; Martín-Núñez, E.; Garaikoetxea, M.; Navarro, A.; Fernández-Celis, A.; Gainza, A.; Arrieta, V.; García-Peña, A.; Álvarez, V.; et al. Sex-dependent expression of neutrophil gelatinase-associated lipocalin in aortic stenosis. Biol. Sex. Differ. 2022, 13, 71. [Google Scholar] [CrossRef] [PubMed]
- Sancar, K.M.; Guler, G.B.; Tanboga, H.I.; Cansever, A.T.; Demir, A.R.; Guler, A.; Tekin, M.; Uygur, B.; Birant, A.; Avci, Y.; et al. The diagnostic role of “acceleration time” measurement in patients with classical low flow low gradient aortic stenosis with reduced left ventricular ejection fraction. Int. J. Cardiovasc. Imaging 2023, 39, 481–489. [Google Scholar] [CrossRef]
- Dehghani, P.; Singh, J.; Singer, Z.; Booker, J.; Lavoie, A.J.; Zimmermann, R.H.; Shavadia, J.S.; Webb, J.G.; Clavel, M.-A.; Pibarot, P. Catheter-Induced Postextrasystolic Potentiation in the Assessment of Severity of Low-Gradient Aortic Valve Stenosis. Circ. Cardiovasc. Interv. 2023, 16, e012892. [Google Scholar] [CrossRef] [PubMed]
- Prihadi, E.A.; van Rosendael, P.J.; Vollema, E.M.; Bax, J.J.; Delgado, V.; Ajmone Marsan, N. Feasibility, Accuracy, and Reproducibility of Aortic Annular and Root Sizing for Transcatheter Aortic Valve Replacement Using Novel Automated Three-Dimensional Echocardiographic Software: Comparison with Multi-Detector Row Computed Tomography. J. Am. Soc. Echocardiogr. 2018, 31, 505–514.e3. [Google Scholar] [CrossRef] [PubMed]
- Ash, J.; Sandhu, G.S.; Arriola-Montenegro, J.; Agakishiev, D.; Clavel, M.A.; Pibarot, P.; Duval, S.; Nijjar, P.S. Performance of Computed Tomographic Angiography-Based Aortic Valve Area for Assessment of Aortic Stenosis. J. Am. Heart Assoc. 2023, 12, e029973. [Google Scholar] [CrossRef] [PubMed]
- Carter-Storch, R.; Dahl, J.S.; Christensen, N.L.; Søndergaard, E.V.; Irmukhamedov, A.; Pecini, R.; Hassager, C.; Marcussen, N.; Møller, J.E. Exercise Hemodynamics After Aortic Valve Replacement for Severe Aortic Stenosis. J. Am. Soc. Echocardiogr. 2018, 31, 1091–1100. [Google Scholar] [CrossRef] [PubMed]
- Ouchi, K.; Sakuma, T.; Nojiri, A.; Kano, R.; Higuchi, T.; Yakabe, H.; Hasumi, J.; Suzuki, T.; Fujioka, H.; Ogihara, A.; et al. Optimal threshold score of aortic valve calcification for identification of significant aortic stenosis on non-electrocardiographic-gated computed tomography. Eur. Radiol. 2022, 33, 1243–1253. [Google Scholar] [CrossRef] [PubMed]
- Zhu, Y.; Yip, R.; Shemesh, J.; Jirapatnakul, A.C.; Yankelevitz, D.F.; Henschke, C.I. Combined aortic valve and coronary artery calcifications in lung cancer screening as predictors of death from cardiovascular disease. Eur. Radiol. 2020, 30, 6847–6857. [Google Scholar] [CrossRef]
- Zhu, Y.; Wang, Y.; Gioia, W.E.; Yip, R.; Jirapatnakul, A.C.; Chung, M.S.; Yankelevitz, D.F.; Henschke, C.I. Visual scoring of aortic valve calcifications on low-dose CT in lung cancer screening. Eur. Radiol. 2020, 30, 2658–2668. [Google Scholar] [CrossRef]
- Lessmann, N.; Van Ginneken, B.; Zreik, M.; De Jong, P.A.; De Vos, B.D.; Viergever, M.A.; Isgum, I. Automatic Calcium Scoring in Low-Dose Chest CT Using Deep Neural Networks with Dilated Convolutions. IEEE Trans. Med. Imaging 2018, 37, 615–625. [Google Scholar] [CrossRef]
- Klein-Awerjanow, K.; Rzyman, W.; Dziedzic, R.; Fijalkowska, J.; Spychalski, P.; Szurowska, E.; Fijalkowski, M. Assessment of Calcium Score Cutoff Point for Clinically Significant Aortic Stenosis on Lung Cancer Screening Program Low-Dose Computed Tomography—A Cross-Sectional Analysis. Diagnostics 2023, 13, 246. [Google Scholar] [CrossRef] [PubMed]
- Brodov, Y.; Massalha, E.; Shemesh, J.; Chodick, G.; Shalev, V.; Guindy, M.; Goitein, O. Calcium score of the entire thoracic aorta is an independent predictor of all-cause mortality in patients referred to chest computed tomography. Int. J. Cardiovasc. Imaging 2024, 40, 177–183. [Google Scholar] [CrossRef]
- Wada, S.; Iwanaga, Y.; Nakai, M.; Miyamoto, Y.; Noguchi, T. Aortic valve and aortic root calcifications for predicting major adverse cardiovascular events: NADESICO study. Heart Vessel. 2023, 38, 562–569. [Google Scholar] [CrossRef] [PubMed]
- Sawayama, Y.; Hisamatsu, T.; Kadota, A.; Torii, S.; Kondo, K.; Fujiyoshi, A.; Higo, Y.; Harada, A.; Watanabe, Y.; Nakagawa, Y.; et al. Association of ambulatory blood pressure with aortic valve and coronary artery calcification. J. Hypertens. 2022, 40, 1344–1351. [Google Scholar] [CrossRef]
- Yokohama, F.; Takaya, Y.; Ichikawa, K.; Nakayama, R.; Miki, T.; Toda, H.; Toh, N.; Miyoshi, T.; Nakamura, K.; Ito, H. Association Between Aortic Valve Calcification and Severity of Concomitant Aortic Regurgitation in Patients with Severe Aortic Stenosis. Circ. J. 2023, 88, 606–611. [Google Scholar] [CrossRef] [PubMed]
- Massera, D.; Trivieri, M.G.; Andrews, J.P.M.; Sartori, S.; Abgral, R.; Chapman, A.R.; Jenkins, W.S.A.; Vesey, A.T.; Doris, M.K.; Pawade, T.A.; et al. Disease Activity in Mitral Annular Calcification. Circ. Cardiovasc. Imaging 2019, 12, e008513. [Google Scholar] [CrossRef]
- Weferling, M.; Rolf, A.; Fischer-Rasokat, U.; Liebetrau, C.; Renker, M.; Choi, Y.-H.; Hamm, C.W.; Dey, D.; Kim, W.-K. Epicardial fat volume is associated with preexisting atrioventricular conduction abnormalities and increased pacemaker implantation rate in patients undergoing transcatheter aortic valve implantation. Int. J. Cardiovasc. Imaging 2021, 38, 1399–1406. [Google Scholar] [CrossRef]
- Chevance, V.; Valter, R.; Nouri, M.R.; Sifaoui, I.; Moussafeur, A.; Lepeule, R.; Bergoend, E.; Mule, S.; Tacher, V.; Huguet, R.; et al. Should We Quantify Valvular Calcifications on Cardiac CT in Patients with Infective Endocarditis? J. Clin. Med. 2021, 10, 4458. [Google Scholar] [CrossRef]
- Owens, D.S.; Katz, R.; Takasu, J.; Kronmal, R.; Budoff, M.J.; O’Brien, K.D. Incidence and Progression of Aortic Valve Calcium in the Multi-Ethnic Study of Atherosclerosis (MESA). Am. J. Cardiol. 2010, 105, 701–708. [Google Scholar] [CrossRef]
- Katz, R.; Budoff, M.J.; O’Brien, K.D.; Wong, N.D.; Nasir, K. The metabolic syndrome and diabetes mellitus as predictors of thoracic aortic calcification as detected by non-contrast computed tomography in the Multi-Ethnic Study of Atherosclerosis. Diabet. Med. 2016, 33, 912–919. [Google Scholar] [CrossRef] [PubMed]
- Mourino-Alvarez, L.; Corbacho-Alonso, N.; Sastre-Oliva, T.; Corros-Vicente, C.; Solis, J.; Tejerina, T.; Padial, L.R.; Barderas, M.G. Diabetes Mellitus and Its Implications in Aortic Stenosis Patients. Int. J. Mol. Sci. 2021, 22, 6212. [Google Scholar] [CrossRef] [PubMed]
- Hussain, M.; Hanna, M.; Rodriguez, L.; Griffin, B.; Watson, C.; Phelan, D.; Schoenhagen, P.; Jaber, W.; Cremer, P.; Collier, P. Subthreshold Aortic Valve Calcium Scores in Severe Aortic Stenosis and Transthyretin Cardiac Amyloidosis. JACC Case Rep. 2020, 2, 2205–2209. [Google Scholar] [CrossRef] [PubMed]
- Hu, L.; Chen, Z.; Jin, Y.; Jiang, B.; Wang, X.; Yu, H.; Yang, X. Incidence and predictors of aorta calcification in patients with systemic lupus erythematosus. Lupus 2019, 28, 275–282. [Google Scholar] [CrossRef] [PubMed]
- Solli, C.N.; Chamat-Hedemand, S.; Elming, H.; Ngo, A.; Kjær, L.; Skov, V.; Sørensen, A.L.; Ellervik, C.; Fuchs, A.; Sigvardsen, P.E.; et al. Coronary artery- and aortic valve calcifications in patients with Philadelphia-negative myeloproliferative neoplasms. Int. J. Cardiol. 2022, 364, 112–118. [Google Scholar] [CrossRef] [PubMed]
- Pawade, T.A.; Doris, M.K.; Bing, R.; White, A.C.; Forsyth, L.; Evans, E.; Graham, C.; Williams, M.C.; Van Beek, E.J.R.; Fletcher, A.; et al. Effect of Denosumab or Alendronic Acid on the Progression of Aortic Stenosis: A Double-Blind Randomized Controlled Trial. Circulation 2021, 143, 2418–2427. [Google Scholar] [CrossRef] [PubMed]
- Vu, T.; Fujiyoshi, A.; Hisamatsu, T.; Kadota, A.; Zaid, M.; Segawa, H.; Kondo, K.; Torii, S.; Nakagawa, Y.; Suzuki, T.; et al. Lipoprotein Particle Profiles Compared with Standard Lipids in the Association with Subclinical Aortic Valve Calcification in Apparently Healthy Japanese Men. Circ. J. 2021, 85, 1076–1082. [Google Scholar] [CrossRef] [PubMed]
- Perrot, N.; Valerio, V.; Moschetta, D.; Boekholdt, S.M.; Dina, C.; Chen, H.Y.; Abner, E.; Martinsson, A.; Manikpurage, H.D.; Rigade, S.; et al. Genetic and In Vitro Inhibition of PCSK9 and Calcific Aortic Valve Stenosis. JACC Basic. Transl. Sci. 2020, 5, 649–661. [Google Scholar] [CrossRef] [PubMed]
- Bortnick, A.E.; Buzkova, P.; Otvos, J.D.; Jensen, M.K.; Tsai, M.Y.; Budoff, M.J.; Mackey, R.H.; El Khoudary, S.R.; Favari, E.; Kim, R.S.; et al. High-Density Lipoprotein and Long-Term Incidence and Progression of Aortic Valve Calcification: The Multi-Ethnic Study of Atherosclerosis. Arterioscler. Thromb. Vasc. Biol. 2022, 42, 1272–1282. [Google Scholar] [CrossRef]
- Kocyigit, D.; Zimetti, F.; Gurses, K.M.; Zanotti, I.; Marchi, C.; Ståhlman, M.; Borén, J.; Canpinar, H.; Soyal, M.F.T.; Guc, D.; et al. Cholesterol efflux promoting function of high-density lipoproteins in calcific aortic valve stenosis. Atheroscler. Plus 2021, 44, 18–24. [Google Scholar] [CrossRef]
- Zheng, K.H.; Tsimikas, S.; Pawade, T.; Kroon, J.; Jenkins, W.S.A.; Doris, M.K.; White, A.C.; Timmers, N.; Hjortnaes, J.; Rogers, M.A.; et al. Lipoprotein(a) and Oxidized Phospholipids Promote Valve Calcification in Patients with Aortic Stenosis. J. Am. Coll. Cardiol. 2019, 73, 2150–2162. [Google Scholar] [CrossRef] [PubMed]
- Kaiser, Y.; Singh, S.S.; Zheng, K.H.; Verbeek, R.; Kavousi, M.; Pinto, S.-J.; Vernooij, M.W.; Sijbrands, E.J.G.; Boekholdt, S.M.; De Rijke, Y.B.; et al. Lipoprotein(a) is robustly associated with aortic valve calcium. Heart 2021, 107, 1422–1428. [Google Scholar] [CrossRef] [PubMed]
- Kaiser, Y.; Van Der Toorn, J.E.; Singh, S.S.; Zheng, K.H.; Kavousi, M.; Sijbrands, E.J.G.; Stroes, E.S.G.; Vernooij, M.W.; De Rijke, Y.B.; Boekholdt, S.M.; et al. Lipoprotein(a) is associated with the onset but not the progression of aortic valve calcification. Eur. Heart J. 2022, 43, 3960–3967. [Google Scholar] [CrossRef]
- Sweeney, T.; Ogunmoroti, O.; Ndumele, C.E.; Zhao, D.; Varma, B.; Allison, M.A.; Budoff, M.J.; Fashanu, O.E.; Sharma, A.; Bertoni, A.G.; et al. Associations of adipokine levels with the prevalence and extent of valvular and thoracic aortic calcification: The Multi-Ethnic Study of Atherosclerosis (MESA). Atherosclerosis 2021, 338, 15–22. [Google Scholar] [CrossRef] [PubMed]
- Gillis, K.; Bala, G.; Roosens, B.; Hernot, S.; Remory, I.; Scheirlynck, E.; Geers, J.; Droogmans, S.; Cosyns, B. Clinical validation of an ultrasound quantification score for aortic valve calcifications. Int. J. Cardiol. 2018, 252, 68–71. [Google Scholar] [CrossRef] [PubMed]
- d’Humieres, T.; Faivre, L.; Chammous, E.; Deux, J.F.; Bergoend, E.; Fiore, A.; Radu, C.; Couetil, J.P.; Benhaiem, N.; Derumeaux, G.; et al. A New Three-Dimensional Echocardiography Method to Quantify Aortic Valve Calcification. J. Am. Soc. Echocardiogr. 2018, 31, 1073–1079. [Google Scholar] [CrossRef] [PubMed]
- Hirschberg, K.; Reinhart, M.; Mereles, D.; Uhlmann, L.; Andre, F.; Riffel, J.; Ochs, M.; Katus, H.A. Echocardiographic calcification score in patients with low/intermediate cardiovascular risk. Clin. Res. Cardiol. 2019, 108, 194–202. [Google Scholar] [CrossRef] [PubMed]
- Tang, L.; Wang, X.; Yang, J.; Wang, Y.; Qu, M.; Li, H. DLFFNet: A new dynamical local feature fusion network for automatic aortic valve calcification recognition using echocardiography. Comput. Methods Programs Biomed. 2024, 243, 107882. [Google Scholar] [CrossRef] [PubMed]
- Hokken, T.W.; Ooms, J.F.; Kardys, I.; Hirsch, A.; Weustink, A.C.; Schipper, S.; Heil, P.; Daemen, J.; Budde, R.P.J.; Van Mieghem, N.M. Validation of a Three-Dimensional Computed Tomography Reconstruction Tool for Aortic Valve Calcium Quantification. Struct. Heart 2023, 7, 100122. [Google Scholar] [CrossRef]
- Mergen, V.; Ghouse, S.; Sartoretti, T.; Manka, R.; Euler, A.; Kasel, A.M.; Alkadhi, H.; Eberhard, M. Cardiac Virtual Noncontrast Images for Calcium Quantification with Photon-counting Detector CT. Radiol. Cardiothorac. Imaging 2023, 5, e220307. [Google Scholar] [CrossRef]
- Murtazalieva, P.; Ryzhkova, D.; Malev, E.; Zhiduleva, E.; Moiseeva, O. Prediction of Aortic Stenosis Progression by 18F-FDG and 18F-NaF PET/CT in Different Aortic Valve Phenotypes. Front. Pharmacol. 2022, 13, 909975. [Google Scholar] [CrossRef] [PubMed]
- Agasthi, P.; Ashraf, H.; Pujari, S.H.; Girardo, M.E.; Tseng, A.; Mookadam, F.; Venepally, N.R.; Buras, M.; Khetarpal, B.K.; Allam, M.; et al. Artificial Intelligence Trumps TAVI(2)-SCORE and CoreValve Score in Predicting 1-Year Mortality Post-Transcatheter Aortic Valve Replacement. Cardiovasc. Revasc. Med. 2021, 24, 33–41. [Google Scholar] [CrossRef] [PubMed]
- Bray, J.J.H.; Hanif, M.A.; Alradhawi, M.; Ibbetson, J.; Dosanjh, S.S.; Smith, S.L.; Ahmad, M.; Pimenta, D. Machine learning applications in cardiac computed tomography: A composite systematic review. Eur. Heart J. Open 2022, 2, oeac018. [Google Scholar] [CrossRef] [PubMed]
- Chang, S.; Kim, H.; Suh, Y.J.; Choi, D.M.; Kim, H.; Kim, D.K.; Kim, J.Y.; Yoo, J.Y.; Choi, B.W. Development of a deep learning-based algorithm for the automatic detection and quantification of aortic valve calcium. Eur. J. Radiol. 2021, 137, 109582. [Google Scholar] [CrossRef] [PubMed]




| Authors | Male [AU] | Female [AU] |
|---|---|---|
| Clavel et al. (2013) [93] | 2065 | 1274 |
| ESC guidelines (2017) [94] | 2000 | 1200 |
| Pawade et al. (2018) [32] | 2062 | 1377 |
| Boulif et al. (2021) [95] | 2238 | 1569 |
| ESC guidelines (2021) [79] | 3000 | 1600 |
| Aspect | CT-AVCS | TTE |
|---|---|---|
| Morphological assessment | Better assessment of leaflets, annulus, and valve anatomy; quantification of valvular calcium deposits. | Hemodynamic assessment of aortic stenosis; examination of valve function and hemodynamics. |
| Dependency on flow | Independent of flow. | Dependent on flow. |
| Accessibility | Less readily accessible and exposes patients to radiation. | Easily accessible and cheaper. |
| Predictive Value | Powerful predictor in the progression of aortic stenosis severity, death risk, and the future need for TAVR or TAVI. | Risk assessment and classification of aortic stenosis subtypes based on MG, AVA, PSV, and EF. |
| Resolution of Inconclusive Cases | Solves inconclusive cases of severe aortic stenosis with discordant echocardiography data, low-flow low-gradient (LF-LG), and paradoxical LF-LG patients. | A significant group of patients with discordant hemodynamic values can be misinterpreted. |
| Imaging Limitations | No imaging of fibrosis in non-contrast CT assessment; need for different cutoff values based on gender. | Hemodynamic results are independent of the etiology of aortic stenosis, for example, in rheumatic aortic disease. |
| Risk Stratification | New method of risk stratification in aortic stenosis; strong predictor of outcomes even in late-stage disease. | Gold standard method of risk assessment based on hemodynamics; excellent in early-stage disease but less effective in severe aortic stenosis with varying patterns of gradient and blood flow. |
| Quantification Limitation | Possible quantification of extravalvular calcium leading to overestimation of disease severity. | Patient comorbidities, alterations in blood flow, as well as technical faults can result in discordant echocardiographic data. |
| Reproducibility and Sensitivity to Changes | Higher reproducibility and greater sensitivity to minor changes over time compared to TTE. | A more operator-dependent method; possible variation in results obtained by different physicians. |
Disclaimer/Publisher’s Note: The statements, opinions and data contained in all publications are solely those of the individual author(s) and contributor(s) and not of MDPI and/or the editor(s). MDPI and/or the editor(s) disclaim responsibility for any injury to people or property resulting from any ideas, methods, instructions or products referred to in the content. |
© 2024 by the authors. Licensee MDPI, Basel, Switzerland. This article is an open access article distributed under the terms and conditions of the Creative Commons Attribution (CC BY) license (https://creativecommons.org/licenses/by/4.0/).
Share and Cite
Gać, P.; Jaworski, A.; Grajnert, F.; Kicman, K.; Trejtowicz-Sutor, A.; Witkowski, K.; Poręba, M.; Poręba, R. Aortic Valve Calcium Score: Applications in Clinical Practice and Scientific Research—A Narrative Review. J. Clin. Med. 2024, 13, 4064. https://doi.org/10.3390/jcm13144064
Gać P, Jaworski A, Grajnert F, Kicman K, Trejtowicz-Sutor A, Witkowski K, Poręba M, Poręba R. Aortic Valve Calcium Score: Applications in Clinical Practice and Scientific Research—A Narrative Review. Journal of Clinical Medicine. 2024; 13(14):4064. https://doi.org/10.3390/jcm13144064
Chicago/Turabian StyleGać, Paweł, Arkadiusz Jaworski, Filip Grajnert, Katarzyna Kicman, Agnieszka Trejtowicz-Sutor, Konrad Witkowski, Małgorzata Poręba, and Rafał Poręba. 2024. "Aortic Valve Calcium Score: Applications in Clinical Practice and Scientific Research—A Narrative Review" Journal of Clinical Medicine 13, no. 14: 4064. https://doi.org/10.3390/jcm13144064
APA StyleGać, P., Jaworski, A., Grajnert, F., Kicman, K., Trejtowicz-Sutor, A., Witkowski, K., Poręba, M., & Poręba, R. (2024). Aortic Valve Calcium Score: Applications in Clinical Practice and Scientific Research—A Narrative Review. Journal of Clinical Medicine, 13(14), 4064. https://doi.org/10.3390/jcm13144064

