Coxsackievirus Group B Infections during Pregnancy: An Updated Literature Review
Abstract
1. Introduction
2. Materials and Methods
2.1. Epidemiology
2.2. Pathophysiology
2.2.1. Coxsackievirus Group B and Heart Tissue
2.2.2. Coxsackievirus Group B and Central Nervous System
2.3. Transmission
3. Diagnosis
3.1. Maternal Diagnosis
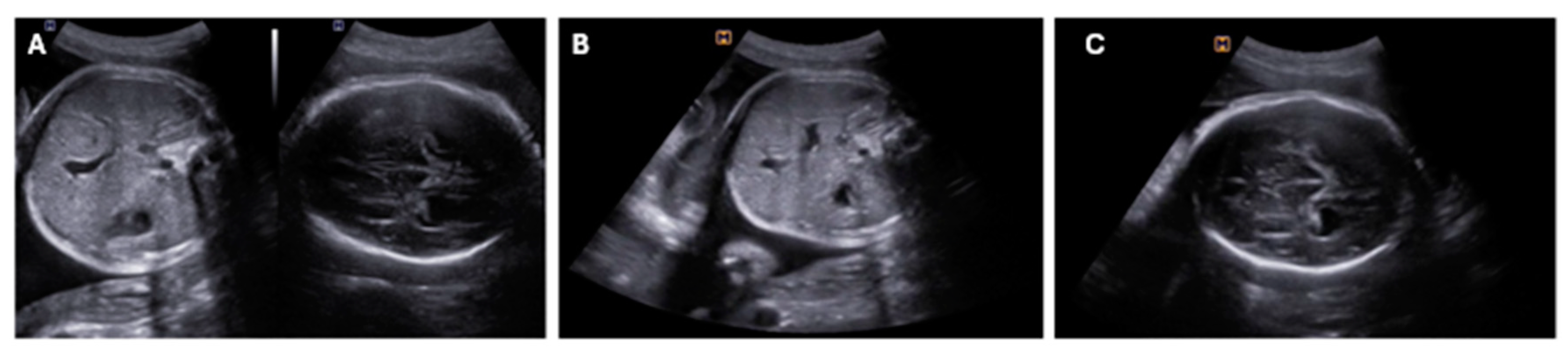
3.2. Fetal Diagnosis
4. Morbidity/Mortality
5. Treatment
6. Prognosis
7. Conclusions
Author Contributions
Funding
Institutional Review Board Statement
Informed Consent Statement
Data Availability Statement
Conflicts of Interest
References
- Kühl, U.; Pauschinger, M.; Noutsias, M.; Seeberg, B.; Bock, T.; Lassner, D.; Poller, W.; Kandolf, R.; Schultheiss, H.-P. High prevalence of viral genomes and multiple viral infections in the myocardium of adults with “idiopathic” left ventricular dysfunction. Circulation 2005, 111, 887–893. [Google Scholar] [CrossRef] [PubMed]
- Romero, J.R. Enteroviruses. In Clinical Virology, 3rd ed; Richman, D.D., Whitley, R.J., Hayden, F.G., Eds.; American Society for Microbiology Press: Washington, DC, USA, 2009; pp. 1031–1062. [Google Scholar]
- Adams, M.J.; Lefkowitz, E.J.; Harrach, B.; Harrison, R.L.; Knowles, N.J.; Kropinski, A.M.; Krupovic, M.; Kuhn, J.H.; Mushegian, A.R.; Nibert, M.; et al. Ratification vote on taxonomic proposals to the International Committee on Taxonomy of Viruses (2016). Arch. Virol. 2016, 161, 2921–2949. [Google Scholar] [CrossRef] [PubMed]
- Konstantinidou, A.; Anninos, H.; Spanakis, N.; Kotsiakis, X.; Syridou, G.; Tsakris, A.; Patsouris, E. Transplacental infection of coxsackievirus B3 pathological findings in the fetus. J. Med. Virol. 2007, 79, 754–757. [Google Scholar] [CrossRef]
- Lim, B.; Ju, E.; Lao, D.H.; Yun, S.; Lee, Y.; Kim, D.; Jeon, E. Development of a enterovirus diagnostic assay system for diagnosis of viral myocarditis in humans. Microbiol. Immunol. 2013, 57, 281–287. [Google Scholar] [CrossRef]
- Muehlenbachs, A.; Bhatnagar, J.; Zaki, S.R. Tissue tropism, pathology and pathogenesis of enterovirus infection. J. Pathol. 2014, 235, 217–228. [Google Scholar] [CrossRef]
- Increased Detections and Severe Neonatal Disease Associated with Coxsackievirus B1 Infection—United States. 2007. Available online: https://www.cdc.gov/mmwr/preview/mmwrhtml/mm5720a4.htm (accessed on 14 July 2024).
- Wikswo, M.E.; Khetsuriani, N.; Fowlkes, A.L.; Zheng, X.; Peñaranda, S.; Verma, N.; Shulman, S.T.; Sircar, K.; Robinson, C.C.; Schmidt, T.; et al. Increased activity of Coxsackievirus B1 strains associated with severe disease among young infants in the United States, 2007–2008. Clin. Infect. Dis. 2009, 49, e44–e51. [Google Scholar] [CrossRef] [PubMed]
- Modlin, J.F. Perinatal Echovirus and Croup B Coxsackievirus infections. Clin. Perinatol. 1988, 15, 233–246. [Google Scholar] [CrossRef]
- Bopegamage, S.; Precechtelova, J.; Marosova, L.; Stipalova, D.; Sojka, M.; Borsanyiova, M.; Gomolcak, P.; Berakova, K.; Galama, J.M. Outcome of challenge with cox-sackievirus B4 in young mice after maternal infection with the same virus during gestation. FEMS Immunol. Med. Microbiol. 2012, 64, 184–190. [Google Scholar]
- Hwang, J.Y.; Lee, K.M.; Kim, Y.H.; Shim, H.M.; Bae, Y.K.; Hwang, J.H.; Park, H. Pregnancy Loss Following Coxsackievirus B3 Infection in Mice during Early Gestation Due to High Expression of Coxsackievirus-Adenovirus Receptor (CAR) in Uterus and Embryo. Exp. Anim. 2014, 63, 63–72. [Google Scholar] [CrossRef]
- Mata, L.; Urrutia, J.J.; Serrato, G.; Mohs, E.; Chin, T.D.Y. Viral infections during pregnancy and in early life. Am. J. Clin. Nutr. 1977, 30, 1834–1842. [Google Scholar] [CrossRef]
- Morens, D.M.; Pallansch, M.A.; Moore, M. Polioviruses and other enteroviruses. In Textbook of Human Virology; Belshe, R.B., Ed.; Mosby Year Book: St. Louis, MO, USA, 1991; pp. 427–497. [Google Scholar]
- Tariq, N.; Kyriakopoulos, C. Group B Coxsackie Virus. In StatPearls; StatPearls Publishing: Treasure Island, FL, USA, 2024. Available online: https://www.ncbi.nlm.nih.gov/books/NBK560783 (accessed on 10 July 2023).
- Selinka, H.-C.; Wolde, A.; Sauter, M.; Kandolf, R.; Klingel, K. Virus-receptor interactions of coxsackie B viruses and their putative influence on cardiotropism. Med. Microbiol. Immunol. 2004, 193, 127–131. [Google Scholar] [CrossRef]
- Schmidtke, M.; Selinka, H.-C.; Heim, A.; Jahn, B.; Tonew, M.; Kandolf, R.; Stelzner, A.; Zell, R. Attachment of coxsackievirus B3 variants to various cell lines: mapping of phenotypic differences to capsid protein VP1. Virology 2000, 275, 77–88. [Google Scholar] [CrossRef] [PubMed]
- Bergelson, J.M.; Cunningham, J.A.; Droguett, G.; Kurt-Jones, E.A.; Krithivas, A.; Hong, J.S.; Horwitz, M.S.; Crowell, R.L.; Finberg, R.W. Isolation of a common receptor for Coxsackie B viruses and adenoviruses 2 and 5. Science 1997, 275, 1320–1323. [Google Scholar] [CrossRef]
- Tomko, R.P.; Xu, R.; Philipson, L. HCAR and MCAR: The human and mouse cellular receptors for subgroup C adenoviruses and group B coxsackieviruses. Proc. Natl. Acad. Sci. USA 1997, 94, 3352–3356. [Google Scholar] [CrossRef] [PubMed]
- Shafren, D.R.; Bates, R.C.; Agrez, M.V.; Herd, R.L.; Burns, G.F.; Barry, R.D. Coxsackieviruses B1, B3, and B5 use decay accelerating factor as a receptor for cell attachment. J. Virol. 1995, 69, 3873–3877. [Google Scholar] [CrossRef]
- Asher, D.R.; Cerny, A.M.; Weiler, S.R.; Horner, J.W.; Keeler, M.L.; Neptune, M.A.; Finberg, R.W. Coxsackievirus and adenovirus receptor is essential for cardiomyocyte development. Genesis 2005, 42, 77–85. [Google Scholar] [PubMed]
- Dorner, A.A.; Wegmann, F.; Butz, S.; Wolburg-Buchholz, K.; Wolburg, H.; Mack, A.; Nasdala, I.; August, B.; Westermann, J.; Rathjen, F.G.; et al. Coxsackievirus-adenovirus receptor (CAR) is essential for early embryonic cardiac development. J. Cell Sci. 2005, 118, 3509–3521. [Google Scholar] [CrossRef]
- Honda, T.; Saitoh, H.; Masuko, M.; Katagiri-Abe, T.; Tominaga, K.; Kozakai, I.; Kobayashi, K.; Kumanishi, T.; Watanabe, Y.G.; Odani, S.; et al. The coxsackievirus-adenovirus receptor protein as a cell adhesion molecule in the developing mouse brain. Mol. Brain Res. 2000, 77, 19–28. [Google Scholar] [CrossRef]
- Koi, H.; Zhang, J.; Makrigiannakis, A.; Getsios, S.; MacCalman, C.D.; Kopf, G.S.; Strauss, J.F.; Parry, S. Differential expression of the coxsackievirus and adenovirus receptor regulates adenovirus infection of the placenta. Biol. Reprod. 2001, 64, 1001–1009. [Google Scholar] [CrossRef]
- MacCalman, C.D.; Furth, E.E.; Omigbodun, A.; Kozarsky, K.F.; Coutifaris, C.; Strauss, I.I.I.J.F. Transduction of human trophoblast cells by recombinant adenoviruses is differentiation dependent. Biol. Reprod. 1996, 54, 682–691. [Google Scholar]
- Smith, S.; Baker, P.N.; Symonds, E. Placental apoptosis in normal human pregnancy. Am. J. Obstet. Gynecol. 1997, 177, 57–65. [Google Scholar] [CrossRef]
- Smith, S.C.; Baker, P.N.; Symonds, E. Increased placental apoptosis in intrauterine growth restriction. Am. J. Obstet. Gynecol. 1997, 177, 1395–1401. [Google Scholar] [CrossRef] [PubMed]
- Greenberg, M.; Abramson, H.; Cooper, H.M.; Solomon, H.E. The relation between recent injections and paralytic poliomyelitis in children. Am. J. Public Health Nations Health 1952, 42, 142–152. [Google Scholar] [CrossRef][Green Version]
- Ren, R.; Racaniello, V.R. Poliovirus Spreads from Muscle to the Central Nervous System by Neural Pathways. J. Infect. Dis. 1992, 166, 747–752. [Google Scholar] [CrossRef] [PubMed]
- Muir, P.; van Loon, A. Enterovirus infections of the central nervous system. Intervirology 1997, 40, 153–166. [Google Scholar] [CrossRef]
- Berger, J.R.; Chumley, W.; Pittman, T.; Given, C.; Nuovo, G. Persistent Coxsackie B encephalitis: Report of a case and review of the literature. J. Neurovirol. 2006, 12, 511–516. [Google Scholar] [PubMed]
- Kaplan, M.H.; Klein, S.W.; McPhee, J.; Harper, R.G. Group B coxsackievirus infections in infants younger than three months of age: A serious childhood illness. Clin. Infect. Dis. 1983, 5, 1019–1032. [Google Scholar] [CrossRef]
- Moore, M.; Kaplan, M.H.; McPhee, J.; Bregman, D.J.; Klein, S.W. Epidemiologic, clinical, and laboratory features of Coxsackie B1-B5 infections in the United States, 1970–1979. Public Health Rep. 1984, 99, 515–522. [Google Scholar]
- Romero, J.R. Pediatric group B coxsackievirus infections. In Group B Coxsackieviruses; Tracy, S., Oberste, M.S., Drescher, K.M., Eds.; Current Topics in Microbiology and Immunology; Springer: Berlin/Heidelberg, Germany, 2008; Volume 323, pp. 223–239. [Google Scholar] [CrossRef]
- Bryant, P.A.; Tingay, D.; Dargaville, P.A.; Starr, M.; Curtis, N. Neonatal coxsackie B virus infection—A treatable disease? Eur. J. Pediatr. 2004, 163, 223–228. [Google Scholar]
- Theodoridou, M.; Kakourou, T.; Laina, I.; Mostrou, G.; Tsakris, A. Vesiculopapular rash as a single presentation in intrauterine cox-sackie virus infection. Eur. J. Pediatr. 2002, 161, 412–413. [Google Scholar]
- Callen, J.; Paes, B.A. A case report of a premature infant with coxsackie B1 meningitis. Adv. Neonatal Care 2007, 7, 238–247. [Google Scholar] [CrossRef] [PubMed]
- Schneider, C.; Menticoglou, S.; Herath, J.; Del Bigio, M.R.; Hunt, J.C. Antenatal and postnatal diagnosis of coxsackie b4 infection: Case series. Am. J. Perinatol. Rep. 2011, 2, 1–6. [Google Scholar] [CrossRef]
- Cheng, L.L.; Ng, P.C.; Chan, P.K.-S.; Wong, H.L.; Cheng, F.W.T.; Tang, J.W.-T. Probable intrafamilial transmission of coxsackievirus b3 with vertical transmission, severe early-onset neonatal hepatitis, and prolonged viral RNA shedding. Pediatrics 2006, 118, e929–e933. [Google Scholar] [CrossRef]
- Khediri, Z.; Vauloup-Fellous, C.; Benachi, A.; Ayoubi, J.M.; Mandelbrot, L.; Picone, O. Adverse effects of maternal enterovirus infection on the pregnancy outcome: A prospective and retrospective pilot study. Virol. J. 2018, 15, 70. [Google Scholar] [PubMed]
- Ornoy, A.; Tenenbaum, A. Pregnancy outcome following infections by coxsackie, echo, measles, mumps, hepatitis, polio and encephalitis viruses. Reprod. Toxicol. 2006, 21, 446–457. [Google Scholar] [CrossRef] [PubMed]
- Samuelson, A.; Skoog, E.; Forsgren, M. Aspects on the serodiagnosis of enterovirus infections by ELISA. Serodiagn. Immunother. Infect. Dis. 1990, 4, 395–406. [Google Scholar] [CrossRef]
- Bendig, J.W.; Franklin, O.M.; Hebden, A.K.; Backhouse, P.J.; Clewley, J.P.; Goldman, A.P.; Piggott, N. Coxsackievirus B3 sequences in the blood of a neonate with congenital myocarditis, plus serological evidence of maternal infection. J. Med. Virol. 2003, 70, 606–609. [Google Scholar] [CrossRef]
- Ouellet, A.; Sherlock, R.; Toye, B.; Fung, K.F.K. Antenatal diagnosis of intrauterine infection with coxsackievirus B3 associated with live birth. Infect. Dis. Obstet. Gynecol. 2000, 12, 23–26. [Google Scholar] [CrossRef]
- Strong, B.; Young, S. Intrauterine coxsackie virus, group B type 1, infection: Viral cultivation from amniotic fluid in the third trimester. Am. J. Perinatol. 1995, 12, 78–79. [Google Scholar] [CrossRef]
- Dommergues, M.; Petitjean, J.; Aubry, M.; Delezoide, A.; Narcy, F.; Fallet-Bianco, C.; Freymuth, F.; Dumez, Y.; Lebon, P. Fetal enteroviral infection with cerebral ventriculomegaly and cardiomyopathy. Fetal Diagn. Ther. 1994, 9, 77–78. [Google Scholar] [CrossRef]
- Krivega, M.; Geens, M.; Van de Velde, H. CAR expression in human embryos and hESC illustrates its role in pluripotency and tight junctions. Reproduction 2014, 148, 531–544. [Google Scholar] [CrossRef]
- Bonnin, A.; Tassin, M.; Vauloup-Fellous, C.; Letamendia, E.; Stos, B.; Bonnet, D.; Gajdos, V.; Mabille, M.; Benachi, A. Case of a healthy infant born following antenatal enterovirus myocarditis and hydrops. J. Clin. Virol. 2014, 61, 459–462. [Google Scholar] [CrossRef] [PubMed]
- Batcup, G.; Holt, P.; Hambling, M.; Gerlis, L.; Glass, M. Placental and fetal pathology in Coxsackie virus A9 infection: A case report. Histopathology 1985, 9, 1227–1235. [Google Scholar] [CrossRef] [PubMed]
- Freund, M.W.; Kleinveld, G.; Krediet, T.G.; van Loon, A.M.; Verboon-Maciolek, M.A. Prognosis for neonates with enterovirus myo-carditis. Arch. Dis. Child-Fetal Neonatal Ed. 2010, 95, F206–F212. [Google Scholar] [PubMed]
- Erickson, L.S.; Hoyle, G.; Abramson, J.; Hester, L.C.; Shetty, A.K. Coxsackie B1 infection associated with ventriculitis. Pediatr. Infect. Dis. J. 2003, 22, 750–751. [Google Scholar] [CrossRef]
- Bauer, S.; Gottesman, G.; Sirota, L.; Litmanovitz, I.; Ashkenazi, S.; Levi, I. Severe Coxsackie virus B infection in preterm newborns treated with pleconaril. Eur. J. Pediatr. 2002, 161, 491–493. [Google Scholar] [CrossRef]
- Dahlquist, G.; Frisk, G.; Ivarsson, S.; Svanberg, L.; Forsgren, M.; Diderholm, H. Indications that maternal coxsackie B virus infection during pregnancy is a risk factor for childhood-onset IDDM. Diabetologia 1995, 38, 1371–1373. [Google Scholar]
- Tracy, S.; Gauntt, C. Current Topics in Microbiology and Immunology: Group B Coxsackievirus Virulence; Springer: Berlin/Heidelberg, Germany, 2008; Volume 323, pp. 49–63. [Google Scholar] [CrossRef]
- Hyöty, H.; Hiltunen, M.; Knip, M.; Laakkonen, M.; Vähäsalo, P.; Karjalainen, J.; Åkerblom, H.K. A prospective study of the role of coxsackie B and other enterovirus infections in the pathogenesis of IDDM. Diabetes 1995, 44, 652–658. [Google Scholar]
- Dahlquist, G.G.; Ivarsson, S.; Lindberg, B.; Forsgren, M. Maternal enteroviral infection during pregnancy as a risk factor for childhood IDDM: A population-based case-control study. Diabetes 1995, 44, 408–413. [Google Scholar]
- Füchtenbusch, M.; Irnstetter, A.; Jäger, G.; Ziegler, A.-G. No evidence for an association of coxsackie virus infections during pregnancy and early childhood with development of islet autoantibodies in offspring of mothers or fathers with type 1 diabetes. J. Autoimmun. 2001, 17, 333–340. [Google Scholar] [CrossRef]
- Euscher, E.; Davis, J.; Holzman, I.; Nuovo, G.J. Coxsackie virus infection of the placenta associated with neurodevelopmental delays in the newborn. Obstet. Gynecol. 2001, 98, 1019–1026. [Google Scholar] [PubMed]
- Watson, W.J.; Awadallah, S.; Jaqua, M.J. Intrauterine infection with coxsackievirus: Is it a cause of congenital cardiac malformations? Infect. Dis. Obstet. Gynecol. 1995, 3, 79–81. [Google Scholar] [PubMed]
- Gauntt, C.J.; Gudvangen, R.J.; Brans, Y.W.; Marlin, A.E. Coxsackievirus group B antibodies in the ventricular fluid of infants with severe anatomic defects in the central nervous sys-tem. Pediatrics 1985, 76, 64–68. [Google Scholar] [CrossRef]
- Abzug, M.J. Prognosis for neonates with enterovirus hepatitis and coagulopathy. Pediatr. Infect. Dis. J. 2001, 20, 758–763. [Google Scholar] [CrossRef] [PubMed]
- Sharma, V.; Goessling, L.S.; Brar, A.K.; Eghtesady, P. In utero infection with coxsackievirus-B is associated with congenital pulmonary atresia. medRxiv 2020. [Google Scholar] [CrossRef]
- Satosar, A.; Ramirez, N.C.; Bartholomew, D.; Davis, J.; Nuovo, G.J. Histologic correlates of viral and bacterial infection of the placenta associated with severe morbidity and mortality in the newborn. Hum. Pathol. 2004, 35, 536–545. [Google Scholar] [CrossRef]
- Axelsson, C.; Bondestam, K.; Frisk, G.; Bergström, S.; Diderholm, H. Coxsackie B virus infections in women with miscarriage. J. Med. Virol. 1993, 39, 282–285. [Google Scholar] [CrossRef]
- Abzug, M.J.; Keyserling, H.L.; Lee, M.L.; Levin, M.J.; Rotbart, H.A. Neonatal enterovirus infection: Virology, serology, and effects of intravenous immune globulin. Clin. Infect. Dis. 1995, 20, 1201–1206. [Google Scholar] [CrossRef]
- Rotbart, H.A.; Webster, A.D.; Pleconaril Treatment Registry Group. Treatment of potentially life-threatening enterovirus infections with pleconaril. Clin. Infect. Dis. 2001, 32, 228–235. [Google Scholar] [CrossRef]
- Hyöty, H.; Leon, F.; Knip, M. Developing a vaccine for type 1 diabetes by targeting coxsackievirus B. Expert Rev. Vaccines 2018, 17, 1071–1083. [Google Scholar] [CrossRef]
- Jubelt, B.; Lipton, H.L. Enterovirus/Picornavirus infections. In Handbook of Clinical Neurology; Elsevier: Amsterdam, The Netherlands, 2014; Volume 123, pp. 379–416. [Google Scholar]


| Binomial | Clinical Presentation |
|---|---|
| Maternal | Asymptomatic Mild nonspecific symptoms Acute, self-limiting febrile illness (flu-like symptoms) Diarrhea Conjunctivitis Rash (exanthema, enanthemas, foot-and-mouth syndrome) Herpangina Myocarditis Pericarditis Pleurodynia (Bornholm disease) Acute hemorrhagic conjunctivitis Aseptic meningitis or encephalitis (occasionally) |
| Fetal | Cerebral ventriculomegaly Cardiomyopathy with ventricular dysfunction Polyhydramnios Ascites Pericardial and pleural effusions Decreased fetal movements Multi-visceral failure Intrauterine fetal death |
| Classification | Definition |
|---|---|
| Recent Infection | IgG and IgM negative previously with results showing seroconversion during pregnancy OR IgG and IgM positive, repeat test in 2 weeks with increasing IgG titers OR IgG negative with IgM positive, repeat test in 2 weeks and IgG becomes positive |
| Previous Infection | IgG positive with IgM negative OR IgG and IgM positive, repeat test in 2 weeks with plateau IgG titers |
| Non-immune (susceptive) | IgG and IgM negative |
| False Positive | IgG negative with IgM positive, test repeated in 2 weeks and IgG remains negative |
| Congenital Infection | PCR positive for parvovirus B19 in fetal blood collected by cordocentesis |
Disclaimer/Publisher’s Note: The statements, opinions and data contained in all publications are solely those of the individual author(s) and contributor(s) and not of MDPI and/or the editor(s). MDPI and/or the editor(s) disclaim responsibility for any injury to people or property resulting from any ideas, methods, instructions or products referred to in the content. |
© 2024 by the authors. Licensee MDPI, Basel, Switzerland. This article is an open access article distributed under the terms and conditions of the Creative Commons Attribution (CC BY) license (https://creativecommons.org/licenses/by/4.0/).
Share and Cite
Longo, C.; Saito, M.; Castro, P.T.; Traina, E.; Werner, H.; Elito Júnior, J.; Araujo Júnior, E. Coxsackievirus Group B Infections during Pregnancy: An Updated Literature Review. J. Clin. Med. 2024, 13, 4922. https://doi.org/10.3390/jcm13164922
Longo C, Saito M, Castro PT, Traina E, Werner H, Elito Júnior J, Araujo Júnior E. Coxsackievirus Group B Infections during Pregnancy: An Updated Literature Review. Journal of Clinical Medicine. 2024; 13(16):4922. https://doi.org/10.3390/jcm13164922
Chicago/Turabian StyleLongo, Carolina, Mauricio Saito, Pedro Teixeira Castro, Evelyn Traina, Heron Werner, Julio Elito Júnior, and Edward Araujo Júnior. 2024. "Coxsackievirus Group B Infections during Pregnancy: An Updated Literature Review" Journal of Clinical Medicine 13, no. 16: 4922. https://doi.org/10.3390/jcm13164922
APA StyleLongo, C., Saito, M., Castro, P. T., Traina, E., Werner, H., Elito Júnior, J., & Araujo Júnior, E. (2024). Coxsackievirus Group B Infections during Pregnancy: An Updated Literature Review. Journal of Clinical Medicine, 13(16), 4922. https://doi.org/10.3390/jcm13164922

