Angiosome-Targeted Infrapopliteal Angioplasty: Impact on Clinical Outcomes—An Observational Study
Abstract
1. Introduction
1.1. Chronic Limb-Threatening Ischemia
1.2. Diabetes Mellitus
1.3. WIfI Classification
1.4. Angiosomes Concept
2. Materials and Methods
2.1. Study Design and Ethical Approval
2.2. Inclusion and Exclusion Criteria
2.3. Definitions
2.4. Patients and Variables
2.5. Outcomes of Interest and Follow-Up Protocols
2.6. Statistical Analyses
3. Results
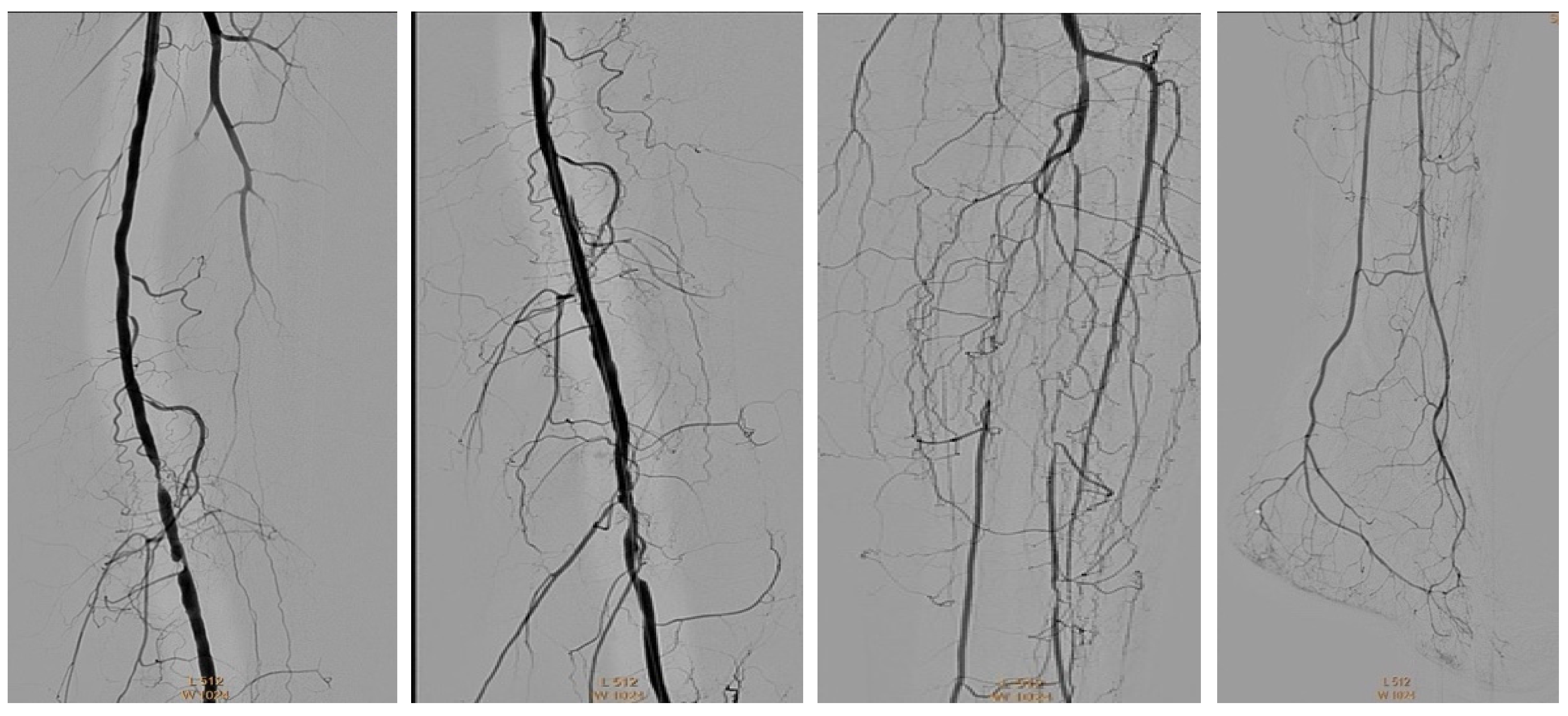
4. Clinical Cases
4.1. Case 1—Direct Revascularization-Minor Amputation
4.2. Case 2—Indirect Revascularization-Major Amputation
5. Discussion
5.1. Direct vs. Indirect Revascularization
5.2. Endovascular versus Bypass
6. Limitations
7. Conclusions
8. The Angiosome Concept in Clinical Practice
- (1)
- Identification of the affected angiosomes and patent arteries of the foot and establishment of the practical, not ideal, technical approach to revascularization.
- (2)
- Precise imaging diagnosis of the plantar arch and Choke vessels and identification of the vascular distribution particularities of the affected foot. The presence of Choke vessels represents a key decision factor for the necessity of direct endovascular revascularization but does not influence indirect surgical revascularization.
- (3)
- Placing importance on the presence of Choke vessels in patients with CLTI (critical limb-threatening ischemia) when making decisions about targeted revascularization based on the AC.
- (4)
- Clinical classification of the degree of wound depth is a key aspect of targeted revascularization based on the AC.
- (5)
- The AC should be taken into consideration for endovascular revascularization and bypass procedures when feasible, as it is directly linked with the clinical success of the procedures.
- (6)
- In the case of severe wounds, attempts should be made for multi-vascular endovascular revascularization, both direct and indirect.
Author Contributions
Funding
Institutional Review Board Statement
Informed Consent Statement
Data Availability Statement
Conflicts of Interest
Abbreviations
| ABI | Ankle-Brachial Index |
| AC | Angiosome Concept |
| ATA | Anterior Tibial Artery |
| CLI | Critical Limb Ischemia |
| CLTI | Chronic Limb-Threatening Ischemia |
| DR | Direct Revascularization |
| DCB | Drug-Coated Balloon |
| DFU | Diabetic Foot Ulcer |
| DSA | Digital Subtraction Angiography |
| ESRD | End-Stage Renal Disease |
| EVT | Endovascular Thrombectomy |
| GVG | Global Vascular Guidelines |
| HRQL | Health-Related Quality of Life |
| ID | Indirect Revascularization |
| PAOD | Peripheral Arterial Occlusive Disease |
| PTA | Posterior Tibial Artery |
| PTa | Percutaneous Transluminal Angioplasty |
| Per | Peroneal Artery |
| SFA | Superficial Femoral Artery |
| VAC | Vacuum-Assisted Closure |
| WIfI | Wound, Ischemia, and Foot Infection |
References
- Ferraresi, R.; Clerici, G.; Casini, A.; Ucci, A.; Caminiti, M.S.; Minnella, D.; Frykberg, R.G. Foot Angiosomes: Instructions for Use. Int. J. Low. Extrem. Wounds 2020, 19, 293–304. [Google Scholar] [CrossRef]
- van den Berg, J.C. Angiosome perfusion of the foot: An old theory or a new issue? Semin. Vasc. Surg. 2018, 31, 56–65. [Google Scholar] [CrossRef]
- Azuma, N. Response to Commentary on ‘Factors Influencing Wound Healing of Critical Ischaemic Foot after Bypass Surgery: Is the Angiosome Important in Selecting Bypass Target Artery? ’ Eur. J. Vasc. Endovasc. Surg. 2012, 44, 105. [Google Scholar] [CrossRef]
- Conte, M.S.; Bradbury, A.W.; Kolh Ph White, J.V.; Dick, F.; Fitridge, R.; Mills, J.L.; Ricco, J.-B.; Suresh, K.R.; Murad, M.H. Global Vascular Guidelines on the Management of Chronic Limb-Threatening Ischemia. Eur. J. Vasc. Endovasc. Surg. 2019, 58, S1–S109.e33. [Google Scholar] [CrossRef]
- Chou, T.H.; Alvelo, J.L.; Janse, S.; Papademetris, X.; Sumpio, B.E.; Mena-Hurtado, C.; Sinusas, A.J.; Stacy, M.R. Prognostic Value of Radiotracer-Based Perfusion Imaging in Critical Limb Ischemia Patients Undergoing Lower Extremity Revascularization. JACC Cardiovasc. Imaging 2021, 14, 1614–1624. [Google Scholar] [CrossRef]
- Norgren, L.; Hiatt, W.R.; Dormandy, J.A.; Nehler, M.R.; Harris, K.A.; Fowkes, F.G.R.; TASC II Working Group. Inter-Society Consensus for the Management of Peripheral Arterial Disease (TASC II). J. Vasc. Surg. 2007, 45, S5–S67. [Google Scholar] [CrossRef] [PubMed]
- Tange, F.P.; Ferrari, B.R.; van den Hoven, P.; van Schaik, J.; Schepers, A.; van Rijswijk, C.S.P.; van der Meer, R.W.; Putter, H.; Vahrmeijer, A.L.; Hamming, J.F.; et al. Evaluation of the Angiosome Concept Using Near-Infrared Fluorescence Imaging with Indocyanine Green. Ann. Vasc. Surg. 2023, 93, 283–290. [Google Scholar] [CrossRef] [PubMed]
- Manchot, C. The Cutaneous Arteries of the Human Body; Springer: New York, NY, USA, 1983. [Google Scholar] [CrossRef]
- Salmon, M.; Taylor, G.I.; Tempest, M.N. Arteries of the Skin; Churchill Livingstone: London, UK, 1988; ISBN 9780443036057, 0443036055. [Google Scholar]
- Palena, L.M.; Garcia, L.F.; Brigato, C.; Sultato, E.; Candeo, A.; Baccaglini, T.; Manzi, M. Angiosomes: How do they affect my treatment? Tech. Vasc. Interv. Radiol. 2014, 17, 155–169. [Google Scholar] [CrossRef]
- Stratton, I.M.; Adler, A.I.; Neil, H.A.; Matthews, D.R.; Manley, S.E.; Cull, C.A.; Hadden, D.; Turner, R.C.; Holman, R.R. Association of glycaemia with macrovascular and microvascular complications of type 2 diabetes (UKPDS 35): Prospective observational study. BMJ 2000, 321, 405–412. [Google Scholar] [CrossRef]
- Dormandy, J.A.; Rutherford, R.B.; Management of peripheral arterial disease (PAD); TASC Working Group. TransAtlantic Inter-Society Consensus (TASC). J. Vasc. Surg. 2000, 31 Pt 2, S1–S296. [Google Scholar] [PubMed]
- Ardelean, M.G. Retrospective Demographic Study of Deaths from Cardiovascular Diseases-Heart Attack-in Arad, Between 2000 and 2006. Procedia-Soc. Behav. Sci. 2015, 180, 1386–1390. [Google Scholar] [CrossRef]
- Clement, D.L.; Boccalon, H.; Dormandy, J.; Durand-Zaleski, I.; Fowkes, G.; Brown, T. A clinical approach to the management of the patient with coronary (Co) and/or carotid (Ca) artery disease who presents with leg ischaemia (Lis). Int. Angiol. 2000, 19, 97–125. [Google Scholar]
- Rother, U.; Krenz, K.; Lang, W.; Horch, R.E.; Schmid, A.; Heinz, M.; Meyer, A.; Regus, S. Immediate changes of angiosome perfusion during tibial angioplasty. J. Vasc. Surg. 2017, 65, 422–430. [Google Scholar] [CrossRef] [PubMed]
- Ambler, G.K.; Stimpson, A.L.; Wardle, B.G.; Bosanquet, D.C.; Hanif, U.K.; Germain, S.; Chick, C.; Goyal, N.; Twine, C.P. Infrapopliteal angioplasty using a combined angiosomal reperfusion strategy. PLoS ONE 2017, 12, e0172023. [Google Scholar] [CrossRef] [PubMed]
- Lejay, A.; Georg, Y.; Tartaglia, E.; Gaertner, S.; Geny, B.; Thaveau, F.; Chakfe, N. Long-term outcomes of direct and indirect below-the-knee open revascularization based on the angiosome concept in diabetic patients with critical limb ischemia. Ann. Vasc. Surg. 2014, 28, 983–989. [Google Scholar] [CrossRef]
- Taylor, G.I.; Palmer, J.H. Angiosome theory. Br. J. Plast. Surg. 1992, 45, 327–328. [Google Scholar] [CrossRef] [PubMed]
- Forsythe, R.; Hinchliffe, R. Commentary on “Angiosome-targeted lower limb revascularization for ischaemic foot wounds: Systematic review and meta-analysis”. Eur. J. Vasc. Endovasc. Surg. 2014, 47, 523. [Google Scholar] [CrossRef] [PubMed]
- Attinger, C.E.; Evans, K.K.; Bulan, E.; Blume, P.; Cooper, P. Angiosomes of the foot and ankle and clinical implications for limb salvage: Reconstruction, incisions, and revascularization. Plast. Reconstr. Surg. 2006, 117 (Suppl. S7), 261S–293S. [Google Scholar] [CrossRef]
- Kabra, A.; Suresh, K.R.; Vivekanand, V.; Vishnu, M.; Sumanth, R.; Nekkanti, M. Outcomes of angiosome and non-angiosome targeted revascularization in critical lower limb ischemia. J. Vasc. Surg. 2013, 57, 44–49. [Google Scholar] [CrossRef]
- Aerden, D.; Denecker, N.; Gallala, S.; Debing, E.; Van den Brande, P. Wound morphology and topography in the diabetic foot: Hurdles in implementing angiosome-guided revascularization. Int. J. Vasc. Med. 2014, 2014, 672897. [Google Scholar] [CrossRef]
- Azuma, N.; Uchida, H.; Kokubo, T.; Koya, A.; Akasaka, N.; Sasajima, T. Factors influencing wound healing of critical ischaemic foot after bypass surgery: Is the angiosome important in selecting bypass target artery? Eur. J. Vasc. Endovasc. Surg. 2012, 43, 322–328. [Google Scholar] [CrossRef]
- Alexandrescu, V.A.; Hubermont, G.; Philips, Y.; Guillaumie, B.; Ngongang, C.; Vandenbossche, P.; Azdad, K.; Ledent, G.; Horion, J. Selective primary angioplasty following an angiosome model of reperfusion in the treatment of Wagner 1-4 diabetic foot lesions: Practice in a multidisciplinary diabetic limb service. J. Endovasc. Ther. 2008, 15, 580–593. [Google Scholar] [CrossRef]
- Špillerová, K.; Biancari, F.; Settembre, N.; Albäck, A.; Venermo, M. The Prognostic Significance of Different Definitions for Angiosome-Targeted Lower Limb Revascularization. Ann. Vasc. Surg. 2017, 40, 183–189. [Google Scholar] [CrossRef][Green Version]
- Jongsma, H.; Bekken, J.A.; Akkersdijk, G.P.; Hoeks, S.E.; Verhagen, H.J.; Fioole, B. Angiosome-directed revascularization in patients with critical limb ischemia. J. Vasc. Surg. 2017, 65, 1208–1219.e1. [Google Scholar] [CrossRef]
- Biancari, F.; Salenius, J.P.; Heikkinen, M.; Luther, M.; Ylönen, K.; Lepäntalo, M. Risk-scoring method for prediction of 30-day postoperative outcome after infrainguinal surgical revascularization for critical lower-limb ischemia: A Finnvasc registry study. World J. Surg. 2007, 31, 217–225, discussion 226-7. [Google Scholar] [CrossRef]
- Varela, C.; Acín, F.; de Haro, J.; Bleda, S.; Esparza, L.; March, J.R. The role of foot collateral vessels on ulcer healing and limb salvage after successful endovascular and surgical distal procedures according to an angiosome model. Vasc. Endovascular Surg. 2010, 44, 654–660. [Google Scholar] [CrossRef] [PubMed]
- Blanes Ortí, P.; Riera Vázquez, R.; Puigmaciaà Minguell, R.; Valverde García, S.; Manuel-Rimbau Muñoz, E.; Lozano Vilardell, P. Percutaneous revascularization of specific angiosome in critical limb ischemia. Angiologia 2011, 63, 11–17. [Google Scholar] [CrossRef]
- Chae, K.J.; Shin, J.Y. Is Angiosome-Targeted Angioplasty Effective for Limb Salvage and Wound Healing in Diabetic Foot?: A Meta-Analysis. PLoS ONE 2016, 11, e0159523. [Google Scholar] [CrossRef] [PubMed]
- Neville, R.F.; Attinger, C.E.; Bulan, E.J.; Ducic, I.; Thomassen, M.; Sidawy, A.N. Revascularization of a specific angiosome for limb salvage: Does the target artery matter? Ann. Vasc. Surg. 2009, 23, 367–373. [Google Scholar] [CrossRef] [PubMed]
- Rashid, H.; Slim, H.; Zayed, H.; Huang, D.Y.; Wilkins, C.J.; Evans, D.R.; Sidhu, P.S.; Edmonds, M. The impact of arterial pedal arch quality and angiosome revascularization on foot tissue loss healing and infrapopliteal bypass outcome. J. Vasc. Surg. 2013, 57, 1219–1226. [Google Scholar] [CrossRef] [PubMed]
- Manzi, M.; Palena, L.M.; Cester, G. Revascularization of tibial and foot arteries below the knee angioplasty for limb salvage. In Angioplasty, Various Techniques and Challenges in Treatment of Congenital and Acquired Vascular Stenoses; Forbes, T., Ed.; InTechOpen: London, UK, 2012. [Google Scholar]
- Elsayed, S.; Clavijo, L.C. Critical limb ischemia. Cardiol. Clin. 2015, 33, 37–47. [Google Scholar] [CrossRef] [PubMed]
- Yamada, T.; Gloviczki, P.; Bower, T.C.; Naessens, J.M.; Carmichael, S.W. Variations of the arterial anatomy of the foot. Am. J. Surg. 1993, 166, 130–135, discussion 135. [Google Scholar] [CrossRef] [PubMed]
- Vallabhaneni, R.; Kalbaugh, C.A.; Kouri, A.; Farber, M.A.; Marston, W.A. Current accepted hemodynamic criteria for critical limb ischemia do not accurately stratify patients at high risk for limb loss. J. Vasc. Surg. 2016, 63, 105–112. [Google Scholar] [CrossRef] [PubMed]
- Vogel, T.R.; Petroski, G.F.; Kruse, R.L. Functional status of elderly adults before and after interventions for critical limb ischemia. J. Vasc. Surg. 2014, 59, 350–358. [Google Scholar] [CrossRef] [PubMed]
- Salas, C.A.; Adam, D.J.; Papavassiliou, V.G.; London, N.J. Percutaneous transluminal angioplasty for critical limb ischaemia in octogenarians and nonagenarians. Eur. J. Vasc. Endovasc. Surg. 2004, 28, 142–145. [Google Scholar] [CrossRef]
- Partridge, J.S.; Dhesi, J.K.; Cross, J.D.; Lo, J.W.; Taylor, P.R.; Bell, R.; Martin, F.C.; Harari, D. The prevalence and impact of undiagnosed cognitive impairment in older vascular surgical patients. J. Vasc. Surg. 2014, 60, 1002–1011.e3. [Google Scholar] [CrossRef]
- Ferraresi, R.; Centola, M.; Ferlini, M.; Da Ros, R.; Caravaggi, C.; Assaloni, R.; Sganzaroli, A.; Pomidossi, G.; Bonanomi, C.; Danzi, G.B. Long-term outcomes after angioplasty of isolated, below-the-knee arteries in diabetic patients with critical limb ischaemia. Eur. J. Vasc. Endovasc. Surg. 2009, 37, 336–342. [Google Scholar] [CrossRef]
- Montero-Baker, M.; Schmidt, A.; Bräunlich, S.; Ulrich, M.; Thieme, M.; Biamino, G.; Botsios, S.; Bausback, Y.; Scheinert, D. Retrograde approach for complex popliteal and tibioperoneal occlusions. J. Endovasc. Ther. 2008, 15, 594–604. [Google Scholar] [CrossRef]
- Manzi, M.; Fusaro, M.; Ceccacci, T.; Erente, G.; Dalla Paola, L.; Brocco, E. Clinical results of below-the knee intervention using pedal-plantar loop technique for the revascularization of foot arteries. J. Cardiovasc. Surg. 2009, 50, 331–337. [Google Scholar]
- Adam, D.J.; Beard, J.D.; Cleveland, T.; Bell, J.; Bradbury, A.W.; Forbes, J.F.; Fowkes, F.G.; Gillepsie, I.; Ruckley, C.V.; Raab, G.; et al. Bypass versus angioplasty in severe ischaemia of the leg (BASIL): Multicentre, randomised controlled trial. Lancet 2005, 366, 1925–1934. [Google Scholar] [CrossRef]
- Bosanquet, D.C.; Glasbey, J.C.; Williams, I.M.; Twine, C.P. Systematic review and meta-analysis of direct versus indirect angiosomal revascularisation of infrapopliteal arteries. Eur. J. Vasc. Endovasc. Surg. 2014, 48, 88–97. [Google Scholar] [CrossRef]
- Karthikesalingam, A.; Holt, P.J.; Moxey, P.; Jones, K.G.; Thompson, M.M.; Hinchliffe, R.J. A systematic review of scoring systems for diabetic foot ulcers. Diabet. Med. 2010, 27, 544–549. [Google Scholar] [CrossRef]
- Uccioli, L.; Gandini, R.; Giurato, L.; Fabiano, S.; Pampana, E.; Spallone, V.; Vainieri, E.; Simonetti, G. Long-Term Outcomes of Diabetic Patients with Critical Limb Ischemia Followed in a Tertiary Referral Diabetic Foot Clinic. Diabetes Care 2010, 33, 977–982. [Google Scholar] [CrossRef]
- Sumpio, B.E.; Forsythe, R.O.; Ziegler, K.R.; van Baal, J.G.; Lepantalo, M.J.A.; Hinchliffe, R.J. Clinical implications of the angiosome model in peripheral vascular disease. J. Vasc. Surg. 2013, 58, 814–826. [Google Scholar] [CrossRef] [PubMed]
- Orrapin, S.; Siribumrungwong, B. Successful Revascularization, Angiosome Concept, and Multivessel Revascularization: Effects on Wound Healing: An Asian Perspective. Int. J. Low. Extrem. Wounds. 2023. ahead of print. [Google Scholar] [CrossRef] [PubMed]
- Meecham, L.; Patel, S.; Bate, G.R.; Bradbury, A.W. Editor’s Choice—A Comparison of Clinical Outcomes Between Primary Bypass and Secondary Bypass After Failed Plain Balloon Angioplasty in the Bypass versus Angioplasty for Severe Ischaemia of the Limb (BASIL) Trial. Eur. J. Vasc. Endovasc. Surg. 2018, 55, 666–671. [Google Scholar] [CrossRef]
- Zheng, X.T.; Zeng, R.C.; Huang, J.Y.; Pan, L.M.; Su, X.; Wu, Z.H.; Yu, G.F. The Use of the Angiosome Concept for Treating Infrapopliteal Critical Limb Ischemia through Interventional Therapy and Determining the Clinical Significance of Collateral Vessels. Ann. Vasc. Surg. 2016, 32, 41–49. [Google Scholar] [CrossRef] [PubMed]
- Biancari, F.; Juvonen, T. Angiosome-targeted lower limb revascularization for ischemic foot wounds: Systematic review and meta-analysis. Eur. J. Vasc. Endovasc. Surg. 2014, 47, 517–522. [Google Scholar] [CrossRef]
- Houlind, K.; Christensen, J. Chapter 24—The role of the angiosome model in treatment of critical limb ischemia. In Artery Bypass; InTechOpen: London, UK, 2013; pp. 425–436. [Google Scholar] [CrossRef][Green Version]
- Rutherford, R.B.; Baker, J.D.; Ernst, C.; Johnston, K.W.; Porter, J.M.; Ahn, S.; Jones, D.N. Recommended standards for reports dealing with lower extremity ischemia: Revised version. J. Vasc. Surg. 1997, 26, 517–538. [Google Scholar] [CrossRef]
- Deguchi, J.; Kitaoka, T.; Yamamoto, K.; Matsumoto, H.; Sato, O. Impact of angiosome on treatment of diabetic ischemic foot with paramalleolar bypass. J. Jpn. Coll. Angiol. 2010, 50, 687–691. [Google Scholar]
- Katsanos, K.; Diamantopoulos, A.; Spiliopoulos, S.; Karnabatidis, D.; Siablis, D. Below-the-ankle angioplasty and stenting for limb salvage: Anatomical considerations and long-term outcomes. Cardiovasc. Intervent Radiol. 2013, 36, 926–935. [Google Scholar] [CrossRef] [PubMed]
- Miyamoto, M.; Yasutake, M.; Takano, H.; Takagi, H.; Takagi, G.; Mizuno, H.; Kumita, S.; Takano, T. Therapeutic angiogenesis by autologous bone marrow cell implantation for refractory chronic peripheral arterial disease using assessment of neovascularization by 99mTc-tetrofosmin (TF) perfusion scintigraphy. Cell Transplant. 2004, 13, 429–437. [Google Scholar] [CrossRef] [PubMed]
- Kagaya, Y.; Ohura, N.; Suga, H.; Eto, H.; Takushima, A.; Harii, K. ‘Real angiosome’ assessment from peripheral tissue perfusion using tissue oxygen saturation foot-mapping in patients with critical limb ischemia. Eur. J. Vasc. Endovasc. Surg. 2014, 47, 433–441. [Google Scholar] [CrossRef] [PubMed]
- Feher, A.; Sinusas, A.J. Quantitative Assessment of Coronary Microvascular Function: Dynamic Single-Photon Emission Computed Tomography, Positron Emission Tomography, Ultrasound, Computed Tomography, and Magnetic Resonance Imaging. Circ. Cardiovasc. Imaging. 2017, 10, e006427. [Google Scholar] [CrossRef] [PubMed]
- Kret, M.R.; Cheng, D.; Azarbal, A.F.; Mitchell, E.L.; Liem, T.K.; Moneta, G.L.; Landry, G.J. Utility of direct angiosome revascularization and runoff scores in predicting outcomes in patients undergoing revascularization for critical limb ischemia. J. Vasc. Surg. 2014, 59, 121–128. [Google Scholar] [CrossRef] [PubMed]
- Panse, N.S.; Bhatt, Y.C.; Tandale, M.S. What is safe limit of the perforator flap in lower extremity reconstruction? Do we have answers yet? Plast. Surg. Int. 2011, 2011, 349357. [Google Scholar] [CrossRef] [PubMed]
- Wang, C.; Yang, S.; Zhang, J.; Yan, L.; Song, P.; Hyakusoku, H.; Pu, L.L. An Overview of Pre-expanded Perforator Flaps: Part 1, Current Concepts. Clin. Plast. Surg. 2017, 44, 1–11. [Google Scholar] [CrossRef]
- Hata, Y.; Iida, O.; Mano, T. Is Angiosome-Guided Endovascular Therapy Worthwhile? Ann. Vasc. Dis. 2019, 12, 315–318. [Google Scholar] [CrossRef]
- Rueda, C.A.; Nehler, M.R.; Perry, D.J.; McLafferty, R.B.; Casserly, I.P.; Hiatt, W.R.; Peyton, B.D. Patterns of artery disease in 450 patients undergoing revascularization for critical limb ischemia: Implications for clinical trial design. J. Vasc. Surg. 2008, 47, 995–999, discussion 999–1000. [Google Scholar] [CrossRef]























| Inclusion Criteria | Exclusion Criteria |
|---|---|
| 1. Patients with Rutherford Stage 5–6 or Leriche-Fontaine IV. | 1. Allergy to iodine. |
| 2. Diabetic patients with syndromes of “Neuro-ischemic diabetic legs”. | 2. Liver failure. |
| 3. Patients requiring infragenicular revascularization via the endovascular technique. | 3. Pregnancy |
| 4. The presence of arteries viable for revascularization. | 4. Hyperthyroidism. |
| 5. The number of angiosomes affected by the wound >1. | 5. Pulmonary arterial hypertension. |
| 6. Comorbidities. | 6. End-stage renal failure and dialysis. |
| 7. Critical limb-threatening ischemia. | 7. Acute ischemia. |
| 8. Complications of the underlying disease. | 8. Fem-popliteal aneurysmal disease. |
| 9. Smoking. | 9. Extensive gangrene of the leg with systemic sepsis and inevitable amputation. |
| 10. Age > 50 years. | 10. Myocardial infarction less than three months ago. |
| 11. ABI < 0.7. | 11. Anterior and thrombosed infra-genicular bypass. |
| 12. Consent for surgery. | 12. Chronic treatment with cortisone or cytostatics. |
| 13. Rest pain | 13. Dementia or psychotic behavior. |
| 14. Patients with endovascular revascularization solution. | 14. Total absence of collaterals of the foot (“Desert foot”). |
| 15. Essential arterial hypertension. | 15. Diagnosed thrombophilia. |
| Characteristics | Angioplasty Type | p | |
|---|---|---|---|
| Direct | Indirect | ||
| Age, years | 68.4 ± 8.7 | 67.9 ± 6.3 | 0.696 |
| Age ≥ 80 years | 4 (10.5) | 0 (0.0) | 0.041 |
| Female | 9 (23.7) | 5 (21.7) | 0.781 |
| Smoking | 13 (34.2) | 9 (39.1) | 0.413 |
| Diabetes Oral Ad | 26 (68.4) | 16 (69.6) | 0.756 |
| Insulin | 16 (42.1) | 10 (43.5) | 0.809 |
| Hypertension | 35 (92.1) | 22 (95.7) | 0.672 |
| Renal failure | 8 (21.1) | 5 (21.7) | 0.693 |
| Hemodialysis | 3 (7.9) | 1 (4.4) | 0.129 |
| Stroke | 5 (13.2) | 6 (26.1) | 0.140 |
| Dyslipidemia | 31 (81.6) | 19 (82.6) | 0.527 |
| Coronary heart disease | 6 (15.8) | 5 (21.7) | 0.092 |
| Heart disease | 21 (55.3) | 14 (60.9) | 0.483 |
| Heart failure | 18 (47.4) | 12 (52.2) | 0.371 |
| Atrial fibrillation | 6 (15.8) | 7 (30.4) | 0.529 |
| Myocardial infarction | 4 (10.5) | 1 (4.4) | 0.453 |
| ABI pre- | 0.40 ± 0.18 | 0.42 ± 0.25 | 0.374 |
| post- | 0.75 ± 0.33 | 0.68 ± 0.37 | 0.392 |
| Angiosome no | 2.05 ± 0.70 | 1.87 ± 0.76 | 0.881 |
| Targeted Atery | Angioplasty Type | p | |
|---|---|---|---|
| Direct | Indirect | ||
| PTA ATA | 25 (65.8) | 12 (52.2) | 0.588 |
| PTA | 11 (28.9) | 7 (30.4) | 0.704 |
| Truncus | 8 (21.1) | 11 (47.8) | 0.147 |
| Per | 13 (34.2) | 10 (43.5) | 0.467 |
| Correlation | Angioplasty Type | |
|---|---|---|
| Direct | Indirect | |
| Angiosome no. vs. Leg salvage at 12 months | 0.026 # | 0.282 # |
| Diabetes insulin vs. Sex | 0.403 * | 0.388 # |
| Hemodialysis vs. Renal failure | 0.567 ** | 0.405 # |
| Dyslipidemia vs. Hemodialysis | −0.364 * | −0.465 * |
| Minor amputation vs. ABI pre | −0.335 * | −0.502 * |
| Wounds on both legs vs. Diabetes Oral Ad | −0.347 * | −0.467 * |
| Wound per vs. Wound ATA | −0.544 ** | −0.707 ** |
| Angiosome no. vs. Wound ATA | 0.449 ** | 0.621 ** |
| Angiosome no. vs. Wound PTA | 0.585 ** | 0.640 ** |
| Healing at 12 months vs. Leg salvage at 12 months | 0.721 ** | 0.550 ** |
| Leg salvage at 12 months vs. Survival at 12 months | 0.854 ** | 0.549 ** |
| Death vs. Healing at 12 months | −0.854 ** | −1.000 ** |
| Death vs. Leg salvage at 12 months | −1.000 ** | −1.000 ** |
Disclaimer/Publisher’s Note: The statements, opinions and data contained in all publications are solely those of the individual author(s) and contributor(s) and not of MDPI and/or the editor(s). MDPI and/or the editor(s) disclaim responsibility for any injury to people or property resulting from any ideas, methods, instructions or products referred to in the content. |
© 2024 by the authors. Licensee MDPI, Basel, Switzerland. This article is an open access article distributed under the terms and conditions of the Creative Commons Attribution (CC BY) license (https://creativecommons.org/licenses/by/4.0/).
Share and Cite
Popitiu, M.I.; Alexandrescu, V.A.; Clerici, G.; Ionac, S.; Gavrila-Ardelean, G.; Ion, M.G.; Ionac, M.E. Angiosome-Targeted Infrapopliteal Angioplasty: Impact on Clinical Outcomes—An Observational Study. J. Clin. Med. 2024, 13, 883. https://doi.org/10.3390/jcm13030883
Popitiu MI, Alexandrescu VA, Clerici G, Ionac S, Gavrila-Ardelean G, Ion MG, Ionac ME. Angiosome-Targeted Infrapopliteal Angioplasty: Impact on Clinical Outcomes—An Observational Study. Journal of Clinical Medicine. 2024; 13(3):883. https://doi.org/10.3390/jcm13030883
Chicago/Turabian StylePopitiu, Mircea Ionut, Vlad Adrian Alexandrescu, Giacomo Clerici, Stefan Ionac, Gloria Gavrila-Ardelean, Miruna Georgiana Ion, and Mihai Edmond Ionac. 2024. "Angiosome-Targeted Infrapopliteal Angioplasty: Impact on Clinical Outcomes—An Observational Study" Journal of Clinical Medicine 13, no. 3: 883. https://doi.org/10.3390/jcm13030883
APA StylePopitiu, M. I., Alexandrescu, V. A., Clerici, G., Ionac, S., Gavrila-Ardelean, G., Ion, M. G., & Ionac, M. E. (2024). Angiosome-Targeted Infrapopliteal Angioplasty: Impact on Clinical Outcomes—An Observational Study. Journal of Clinical Medicine, 13(3), 883. https://doi.org/10.3390/jcm13030883

