Diagnostic Accuracy in Detecting Fungal Infection with Ultra-Low-Dose Computed Tomography (ULD-CT) Using Filtered Back Projection (FBP) Technique in Immunocompromised Patients
Abstract
1. Introduction
2. Material and Methods
2.1. Study Design and Patients
2.2. Inclusion Criteria
2.3. Exclusion Criteria
2.4. Scan Protocol
2.5. Image Review
2.6. Image Quality (IQ) Assessment
2.7. Diagnostic Confidence Assessment
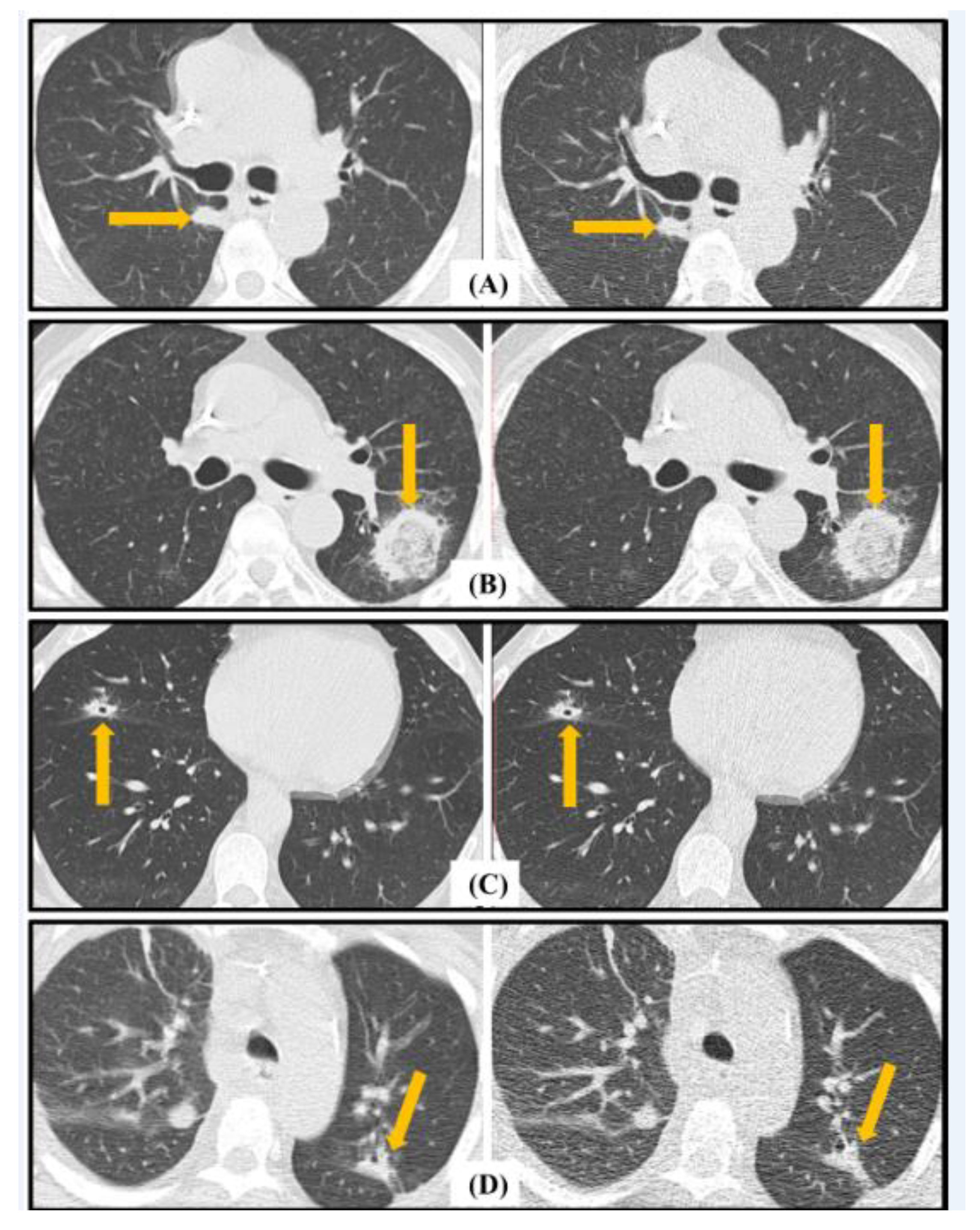
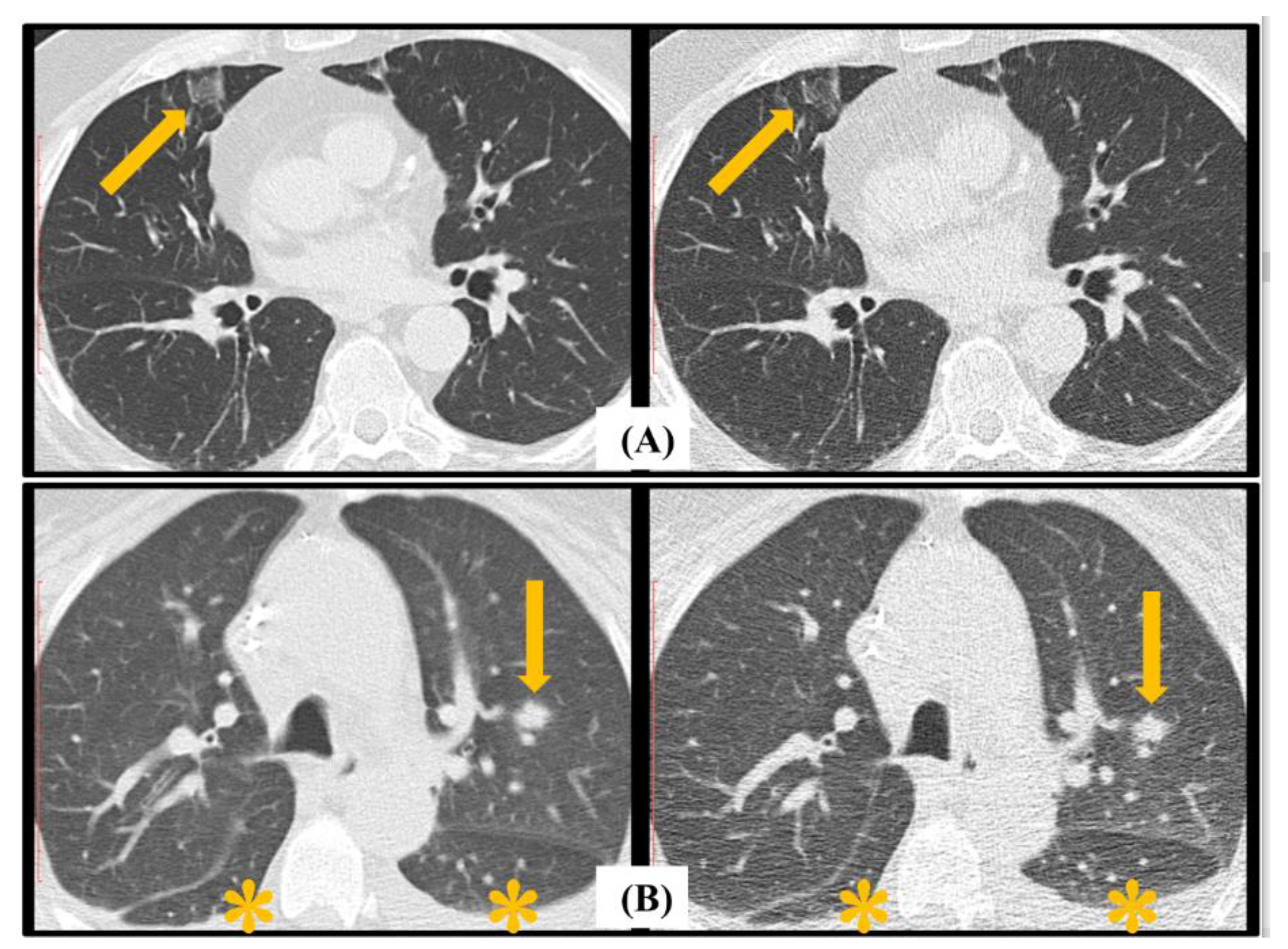
2.8. EORTC Radiological Findings of Fungal Disease Assessment
3. Statistics
4. Results
4.1. Image Quality (IQ) Assessment
4.2. Diagnostic Confidence Assessment
4.3. EORTC Radiological Findings Assessment
5. Discussion
6. Conclusions
Author Contributions
Funding
Institutional Review Board Statement
Informed Consent Statement
Data Availability Statement
Conflicts of Interest
References
- Soubani, A.O.; Miller, K.B.; Hassoun, P.M. Pulmonary complications of bone marrow transplantation. Chest 1996, 109, 1066–1078. [Google Scholar] [CrossRef] [PubMed]
- Pauw, B.E.D. Treatment of Documented and Suspected Neutropenia-Associated Invasive Fungal Infections. J. Chemother. 2001, 13 (Suppl. S4), 181–192. [Google Scholar] [CrossRef] [PubMed]
- Maimon, N.; Almog, Y. Pulmonary infiltrates in the immunocompromised host. Isr. Med. Assoc. J. IMAJ 2003, 5, 112–115. [Google Scholar] [PubMed]
- Adiga, S.; Athreya, S. Safety, efficacy, and feasibility of an ultra-low dose radiation protocol for CT-guided percutaneous needle biopsy of pulmonary lesions: Initial experience. Clin. Radiol. 2014, 69, 709–714. [Google Scholar] [CrossRef] [PubMed]
- Ascioglu, S.; Rex, J.H.; de Pauw, B.; Bennett, J.E.; Bille, J.; Crokaert, F.; Denning, D.W.; Donnelly, J.P.; Edwards, J.E.; Erjavec, Z.; et al. Defining opportunistic invasive fungal infections in immunocompromised patients with cancer and hematopoietic stem cell transplants: An international consensus. Clin. Infect. Dis. Off. Publ. Infect. Dis. Soc. Am. 2002, 34, 7–14. [Google Scholar] [CrossRef] [PubMed]
- Patsios, D.; Maimon, N.; Chung, T.; Roberts, H.; Disperati, P.; Minden, M.; Paul, N. Chest low-dose computed tomography in neutropenic acute myeloid leukaemia patients. Respir. Med. 2010, 104, 600–605. [Google Scholar] [CrossRef] [PubMed][Green Version]
- Gerritsen, M.G.; Willemink, M.J.; Pompe, E.; Van Der Bruggen, T.; Van Rhenen, A.; Lammers, J.W.J.; Wessels, F.; Sprengers, R.W.; De Jong, P.A.; Minnema, M.C. Improving early diagnosis of pulmonary infections in patients with febrile neutropenia using low-dose chest computed tomography. PLoS ONE 2017, 12, e172256. [Google Scholar] [CrossRef] [PubMed]
- Krowka, M.J.; Rosenow, E.C.; Hoagland, H.C. Pulmonary Complications of Bone Marrow Transplantation. Chest 1985, 87, 237–246. [Google Scholar] [CrossRef]
- Yolin-Raley, D.S.; Dagogo-Jack, I.; Niell, H.B.; Soiffer, R.J.; Antin, J.H.; Alyea, E.P.; Glotzbecker, B.E. The utility of routine chest radiography in the initial evaluation of adult patients with febrile neutropenia patients undergoing HSCT. J. Natl. Compr. Cancer Netw. 2015, 13, 184–189. [Google Scholar] [CrossRef]
- Kang, E.Y.; Staples, C.A.; McGuinness, G.; Primack, S.L.; Müller, N.L. Detection and differential diagnosis of pulmonary infections and tumors in patients with AIDS: Value of chest radiography versus CT. AJR Am. J. Roentgenol. 1996, 166, 15–19. [Google Scholar] [CrossRef]
- Caillot, D.; Casasnovas, O.; Bernard, A.; Couaillier, J.F.; Durand, C.; Cuisenier, B.; Solary, E.; Piard, F.; Petrella, T.; Bonnin, A.; et al. Improved management of invasive pulmonary aspergillosis in neutropenic patients using early thoracic computed tomographic scan and surgery. J. Clin. Oncol. 1997, 15, 139–147. [Google Scholar] [CrossRef]
- Ekinci, A.; Uçarkuş, T.Y.; Okur, A.; Öztürk, M.; Doğan, S. MRI of pneumonia in immunocompromised patients: Comparison with CT. Diagn. Interv. Radiol. 2017, 23, 22–28. [Google Scholar] [CrossRef]
- Gonzalez, A.V.; Ullmann, A.J.; Almyroudis, N.G.; Segal, B.H. Broad-Spectrum Antifungal Prophylaxis in Patients with Cancer at High Risk for Invasive Mold Infections: Point. J. Natl. Compr. Cancer Netw. 2008, 6, 175–182. [Google Scholar] [CrossRef]
- Caillot, D.; Couaillier, J.F.; Bernard, A.; Casasnovas, O.; Denning, D.W.; Mannone, L.; Lopez, J.; Couillault, G.; Piard, F.; Vagner, O.; et al. Increasing Volume and Changing Characteristics of Invasive Pulmonary Aspergillosis on Sequential Thoracic Computed Tomography Scans in Patients with Neutropenia. J. Clin. Oncol. 2001, 19, 253–259. [Google Scholar] [CrossRef]
- Rehani, M.M.; Yang, K.; Melick, E.R.; Heil, J.; Šalát, D.; Sensakovic, W.F.; Liu, B. Patients undergoing recurrent CT scans: Assessing the magnitude. Eur. Radiol. 2020, 30, 1828–1836. [Google Scholar] [CrossRef] [PubMed]
- Shah, D.J.; Sachs, R.K.; Wilson, D.J. Radiation-induced cancer: A modern view. Br. J. Radiol. 2012, 85, e1166–e1173. [Google Scholar] [CrossRef] [PubMed]
- Escuissato, D.L.; Gasparetto, E.L.; Marchiori, E.; Rocha, G.d.M.; Inoue, C.; Pasquini, R.; Müller, N.L. Pulmonary infections after bone marrow transplantation: High-resolution CT findings in 111 patients. AJR Am. J. Roentgenol. 2005, 185, 608–615. [Google Scholar] [CrossRef] [PubMed]
- De Pauw, B.; Walsh, T.J.; Donnelly, J.P.; Stevens, D.A.; Edwards, J.E.; Calandra, T.; Pappas, P.G.; Maertens, J.; Lortholary, O.; Kauffman, C.A.; et al. Revised Definitions of Invasive Fungal Disease from the European Organization for Research and Treatment of Cancer/Invasive Fungal Infections Cooperative Group and the National Institute of Allergy and Infectious Diseases Mycoses Study Group (EORTC/MSG) Consensus Group. Clin. Infect. Dis. Off. Publ. Infect. Dis. Soc. Am. 2008, 46, 1813–1821. [Google Scholar] [CrossRef]
- Orlowski, H.L.P.; McWilliams, S.; Mellnick, V.M.; Bhalla, S.; Lubner, M.G.; Pickhardt, P.J.; Menias, C.O. Imaging Spectrum of Invasive Fungal and Fungal-like Infections. RadioGraphics 2017, 37, 1119–1134. [Google Scholar] [CrossRef] [PubMed]
- Hussien, A.; Lin, C.T. CT findings of fungal pneumonia with emphasis on aspergillosis. Emerg. Radiol. 2018, 25, 685–689. [Google Scholar] [CrossRef] [PubMed]
- Sharma, R.; Kanne, J.P.; Martin, M.D.; Meyer, C.A. Thoracic Infections in Immunocompromised Patients. Curr. Radiol. Rep. 2018, 6, 11. [Google Scholar] [CrossRef]
- AgreeStat 360: Cloud-Based Inter-Rater Reliability Analysis. Available online: https://agreestat360.com/ (accessed on 11 May 2020).
- Koo, T.K.; Li, M.Y. A Guideline of Selecting and Reporting Intraclass Correlation Coefficients for Reliability Research. J. Chiropr. Med. 2016, 15, 155–163. [Google Scholar] [CrossRef] [PubMed]
- Leader, J.K.; Warfel, T.E.; Fuhrman, C.R.; Golla, S.K.; Weissfeld, J.L.; Avila, R.S.; Turner, W.D.; Zheng, B. Pulmonary nodule detection with low-dose CT of the lung: Agreement among radiologists. AJR Am. J. Roentgenol. 2005, 185, 973–978. [Google Scholar] [CrossRef] [PubMed]
- Gierada, D.S.; Pilgram, T.K.; Ford, M.; Fagerstrom, R.M.; Church, T.R.; Nath, H.; Garg, K.; Strollo, D.C. Lung cancer: Interobserver agreement on interpretation of pulmonary findings at low-dose CT screening. Radiology 2008, 246, 265–272. [Google Scholar] [CrossRef] [PubMed]
- Kim, H.J.; Park, S.Y.; Lee, H.Y.; Lee, K.S.; Shin, K.E.; Moon, J.W. Ultra-Low-Dose Chest CT in Patients with Neutropenic Fever and Hematologic Malignancy: Image Quality and Its Diagnostic Performance. Cancer Res. Treat. 2014, 46, 393–402. [Google Scholar] [CrossRef]
- Ludes, C.; Labani, A.; Severac, F.; Jeung, M.; Leyendecker, P.; Roy, C.; Ohana, M. Ultra-low-dose unenhanced chest CT: Prospective comparison of high kV/low mA versus low kV/high mA protocols. Diagn. Interv. Imaging 2019, 100, 85–93. [Google Scholar] [CrossRef]
- Laqmani, A.; Buhk, J.H.; Henes, F.O.; Klink, T.; Sehner, S.; von Schultzendorff, H.C.; Hammerle, D.; Nagel, H.D.; Adam, G.; Regier, M. Impact of a 4th generation iterative reconstruction technique on image quality in low-dose computed tomography of the chest in immunocompromised patients. ROFO Fortschr. Geb. Rontgenstr. Nuklearmed. 2013, 185, 749–757. [Google Scholar] [CrossRef]
- Nam, J.G.; Ahn, C.; Choi, H.; Hong, W.; Park, J.; Kim, J.H.; Goo, J.M. Image quality of ultralow-dose chest CT using deep learning techniques: Potential superiority of vendor-agnostic post-processing over vendor-specific techniques. Eur. Radiol. 2021, 31, 5139–5147. [Google Scholar] [CrossRef]
- Canada’s Drug and Health Technology Agency (CADTH). The Age of Imaging Equipment in Canada. 2021, 7. Available online: https://www.cadth.ca/sites/default/files/attachments/2021-11/cmii_service_age_of_imaging_equipment.pdf (accessed on 5 August 2022).
- Waters, N.; Ahmadvand, Z. Medical Imaging Equipment in Canada 2022: Trends, Challenges, and Opportunities. The Conference Board of Canada. Available online: https://www.conferenceboard.ca/e-library/abstract.aspx?did=11660 (accessed on 5 August 2022).





| Category | Likert Score |
|---|---|
| Image Quality (Anatomy) | 1—Poor 2—Suboptimal 3—Good 4—Very Good 5—Excellent |
| Airways | |
| Vasculature | |
| Lung parenchyma | |
| Pleura | |
| Bone | |
| Image Quality (Anatomy) | |
| Streak artifacts | |
| Image noise | |
| Image sharpness | |
| Lung Reconstruction Diagnostic Confidence | 1—Unacceptable 2—Limited confidence 3—Average (clinically acceptable) 4—Above average 5—Fully confident |
| EORTC Criteria | 1—Definitely none 2—Unlikely 3—Not sure 4—Likely 5—Definitely Present |
| Major: • Macro nodule. • Halo sign. • Cavitation. • Consolidation. | |
| Minor: • Ground-glass opacity (GGO). • Nodules (4–10 mm), clustered or isolated. |
| All | Underweight | Normal | Overweight | Obese | |
|---|---|---|---|---|---|
| Number of patients | 100 | 5 | 46 | 28 | 21 |
| Male/Female | 53/47 | 3/2 | 26/20 | 16/12 | 8/13 |
| Age (years) | 55.3 ± 14.7 [18–80] | 51.4 ± 18.6 [22–69] | 55.3 ± 15.8 [19–80] | 56.3 ± 13.1 [27–74] | 55.1 ± 15.0 [18–76] |
| BMI a (kg/m2) | 26.2 ± 6.3 [14.7–60.2] | 16.5 ± 1.6 [14.7–18.2] | 22.6 ± 1.4 [19.8–24.9] | 27.1 ± 1.5 [25.1–29.4] | 34.0 ± 3.8 [30.0–44.6] |
| LDCT DLP a (mGy × cm) | 125.7 ± 18.9 [85.5–160.8] | 123.8 ± 21.7 [93.9–148.5] | 123.2 ± 21.5 [85.5–158.3] | 125.2 ± 17.4 [95.7–160.8] | 132.0 ± 12.9 [100.6–150.7] |
| uLDCT DLP a (mGy × cm) | 30.5 ± 4.7 [20.6–39.1] | 30.0 ± 5.4 [22.7–36.1] | 29.9 ± 5.3 [20.6–38.5] | 30.4 ± 4.3 [23.1–39.1] | 32.1 ± 3.2 [24.3–36.7] |
| LDCT Effective a Dose (mSv) | 1.76 ± 0.26 [1.20–2.25] | 1.73 ± 0.30 [1.31–2.08] | 1.73 ± 0.30 [1.20–2.22] | 1.75 ± 0.24 [1.34–2.25] | 1.85 ± 0.18 [1.41–2.11] |
| uLDCT Effective a Dose (mSv) | 0.43 ± 0.07 [0.29–0.55] | 0.42 ± 0.08 [0.32–0.51] | 0.42 ± 0.07 [0.29–0.54] | 0.43 ± 0.06 [0.32–0.55] | 0.45 ± 0.04 [0.34–0.51] |
| True Positive | False Negative | False Positive | True Negative | Sensitivity (%) | Specificity (%) | Accuracy (%) | |
|---|---|---|---|---|---|---|---|
| Any Major Radiological Sign * | 24 | 2 | 2 | 72 | 92.3% | 97.3% | 96.0% |
| Macro Nodule | 4 | 0 | 0 | 96 | 100% | 100% | 100% |
| Halo Sign | 2 | 1 | 0 | 97 | 66.7 | 100.0 | 99.0 |
| Cavitation | 2 | 0 | 0 | 98 | 100.0 | 100.0 | 100.0 |
| Consolidation | 22 | 2 | 3 | 73 | 91.7 | 96.1 | 95.0 |
| Any Minor Radiological Sign * | 71 | 13 | 3 | 13 | 84.5% | 81.3% | 84.0% |
| Nodules (4–10 mm) | 49 | 13 | 8 | 30 | 79.0 | 78.9 | 79.0 |
| GGO | 56 | 16 | 3 | 25 | 77.8 | 89.3 | 81.0 |
| LDCT ICC a [95% CI] | uLDCT ICC a [95% CI] | |
|---|---|---|
| EORTC Major Findings | ||
| Any major findings | 0.83 [0.45–0.99] | 0.82 [0.46–0.97] |
| Macro nodule | 0.87 [0.2–0.97] | 0.83 [0.27–0.94] |
| Halo sign | 0.74 [0.07–0.93] | 0.95 [0.29–0.98] |
| Cavitation | 0.92 [0.25–0.98] | 0.96 [0.27–1] |
| Consolidation | 0.84 [0.45–0.97] | 0.85 [0.49–0.98] |
| EORTC Minor Findings | ||
| Any minor findings | 0.65 [0.22–0.93] | 0.66 [0.32–0.92] |
| GGO | 0.67 [0.33–0.92] | 0.69 [0.39–0.94] |
| Nodules (4–10 mm) | 0.58 [0.22–0.98] | 0.51 [0.25–0.89] |
Disclaimer/Publisher’s Note: The statements, opinions and data contained in all publications are solely those of the individual author(s) and contributor(s) and not of MDPI and/or the editor(s). MDPI and/or the editor(s) disclaim responsibility for any injury to people or property resulting from any ideas, methods, instructions or products referred to in the content. |
© 2024 by the authors. Licensee MDPI, Basel, Switzerland. This article is an open access article distributed under the terms and conditions of the Creative Commons Attribution (CC BY) license (https://creativecommons.org/licenses/by/4.0/).
Share and Cite
D’Errico, L.; Ghali, A.; Pakkal, M.; McInnis, M.; Mehrez, H.; Schuh, A.C.; Kuruvilla, J.G.; Minden, M.; Paul, N.S. Diagnostic Accuracy in Detecting Fungal Infection with Ultra-Low-Dose Computed Tomography (ULD-CT) Using Filtered Back Projection (FBP) Technique in Immunocompromised Patients. J. Clin. Med. 2024, 13, 1704. https://doi.org/10.3390/jcm13061704
D’Errico L, Ghali A, Pakkal M, McInnis M, Mehrez H, Schuh AC, Kuruvilla JG, Minden M, Paul NS. Diagnostic Accuracy in Detecting Fungal Infection with Ultra-Low-Dose Computed Tomography (ULD-CT) Using Filtered Back Projection (FBP) Technique in Immunocompromised Patients. Journal of Clinical Medicine. 2024; 13(6):1704. https://doi.org/10.3390/jcm13061704
Chicago/Turabian StyleD’Errico, Luigia, Anita Ghali, Mini Pakkal, Micheal McInnis, Hatem Mehrez, Andre C. Schuh, John G. Kuruvilla, Mark Minden, and Narinder S. Paul. 2024. "Diagnostic Accuracy in Detecting Fungal Infection with Ultra-Low-Dose Computed Tomography (ULD-CT) Using Filtered Back Projection (FBP) Technique in Immunocompromised Patients" Journal of Clinical Medicine 13, no. 6: 1704. https://doi.org/10.3390/jcm13061704
APA StyleD’Errico, L., Ghali, A., Pakkal, M., McInnis, M., Mehrez, H., Schuh, A. C., Kuruvilla, J. G., Minden, M., & Paul, N. S. (2024). Diagnostic Accuracy in Detecting Fungal Infection with Ultra-Low-Dose Computed Tomography (ULD-CT) Using Filtered Back Projection (FBP) Technique in Immunocompromised Patients. Journal of Clinical Medicine, 13(6), 1704. https://doi.org/10.3390/jcm13061704

