Reconstruction of Orbital Wall Fractures with a Combination of Resorbable Plates and Antibiotic-Impregnated Collagen Sheets
Abstract
1. Introduction
2. Methods
3. Results
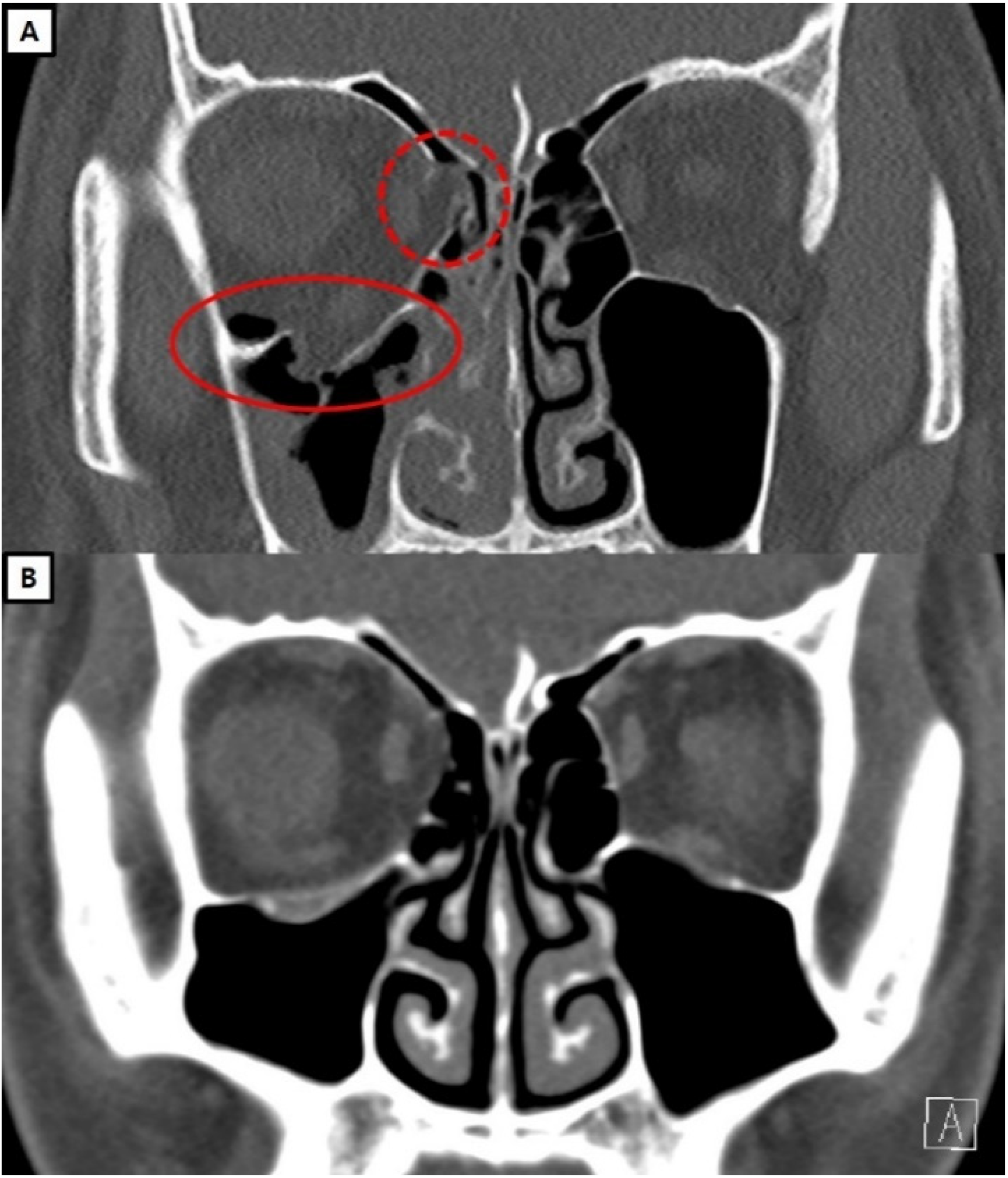
Representative Cases
4. Discussion
Author Contributions
Funding
Institutional Review Board Statement
Informed Consent Statement
Data Availability Statement
Conflicts of Interest
References
- Khojastepour, L.; Moannaei, M.; Eftekharian, H.R.; Khaghaninejad, M.S.; Mahjoori-Ghasrodashti, M.; Tavanafar, S. Prevalence and severity of orbital blowout fractures. Br. J. Oral. Maxillofac. Surg. 2020, 58, e93–e97. [Google Scholar] [CrossRef]
- Young, V.L.; Schuster, R.H.; Harris, L.W. Intracerebral hematoma complicating split calvarial bone-graft harvesting. Plast. Reconstr. Surg. 1990, 86, 763–765. [Google Scholar] [CrossRef]
- Lin, K.Y.; Bartlett, S.P.; Yaremchuk, M.J.; Fallon, M.; Grossman, R.F.; Whitaker, L.A. The effect of rigid fixation on the survival of onlay bone grafts: An experimental study. Plast. Reconstr. Surg. 1990, 86, 449–456. [Google Scholar] [CrossRef]
- Zix, J.; Schaller, B.; Iizuka, T.; Lieger, O. The role of postoperative prophylactic antibiotics in the treatment of facial fractures: A randomised, double-blind, placebo-controlled pilot clinical study. Part 1: Orbital fractures in 62 patients. Br. J. Oral. Maxillofac. Surg. 2013, 51, 332–336. [Google Scholar] [CrossRef]
- Nowinski, D.; Messo, E.; Hedlund, A. Treatment of orbital fractures: Evaluation of surgical techniques and materials for reconstruction. J. Craniofac. Surg. 2010, 21, 1033–1037. [Google Scholar] [CrossRef]
- American Society of Health-System Pharmacists. ASHP Therapeutic Guidelines on Antimicrobial Prophylaxis in Surgery. Am. J. Health Syst. Pharm. 1999, 56, 1839–1888. [Google Scholar] [CrossRef]
- Delaplain, P.T.; Phillips, J.L.; Lundeberg, M.; Nahmias, J.; Kuza, C.M.; Sheehan, B.M.; Murphy, L.S.; Pejcinovska, M.; Grigorian, A.; Gabriel, V.; et al. No Reduction in Surgical Site Infection Obtained with Post-Operative Antibiotics in Facial Fractures, Regardless of Duration or Anatomic Location: A Systematic Review and Meta-Analysis. Surg. Infect. 2020, 21, 112–121. [Google Scholar] [CrossRef] [PubMed]
- Goodyear, P.W.; Firth, A.L.; Strachan, D.R.; Dudley, M. Periorbital swelling: The important distinction between allergy and infection. Emerg. Med. J. 2004, 21, 240–242. [Google Scholar] [CrossRef] [PubMed][Green Version]
- Hodges, E.; Tabbara, K.F. Orbital cellulitis: Review of 23 cases from Saudi Arabia. Br. J. Ophthalmol. 1989, 73, 205–208. [Google Scholar] [CrossRef] [PubMed]
- Tsirouki, T.; Dastiridou, A.I.; Ibanez Flores, N.; Cerpa, J.C.; Moschos, M.M.; Brazitikos, P.; Androudi, S. Orbital cellulitis. Surv. Ophthalmol. 2018, 63, 534–553. [Google Scholar] [CrossRef] [PubMed]
- Song, X.; Li, L.; Sun, Y.; Fan, X.; Li, Z. Long-term infectious complications of using porous polyethylene mesh for orbital fracture reconstruction. Medicine 2016, 95, e3819. [Google Scholar] [CrossRef]
- Mundinger, G.S.; Borsuk, D.E.; Okhah, Z.; Christy, M.R.; Bojovic, B.; Dorafshar, A.H.; Rodriguez, E.D. Antibiotics and facial fractures: Evidence-based recommendations compared with experience-based practice. Craniomaxillofac. Trauma Reconstr. 2015, 8, 64–78. [Google Scholar] [CrossRef]
- Brooke, S.M.; Goyal, N.; Michelotti, B.F.; Guedez, H.M.; Fedok, F.G.; Mackay, D.R.; Samson, T.D. A Multidisciplinary Evaluation of Prescribing Practices for Prophylactic Antibiotics in Operative and Nonoperative Facial Fractures. J. Craniofac. Surg. 2015, 26, 2299–2303. [Google Scholar] [CrossRef]
- Rapetto, F.; Bruno, V.D.; Guida, G.; Marsico, R.; Chivasso, P.; Zebele, C. Gentamicin-Impregnated Collagen Sponge: Effectiveness in Preventing Sternal Wound Infection in High-Risk Cardiac Surgery. Drug Target. Insights 2016, 10, 9–13. [Google Scholar] [CrossRef] [PubMed]
- Monaco, C.; Barone, L.; Cammalleri, V.; Stifano, G.; Magliano, G.; Geuna, F.; Romeo, F.; Sergi, D. Local gentamicin-collagen sponge reduces cardiovascular implantable electronic device infections and pocket hematoma. Eur. Rev. Med. Pharmacol. Sci. 2022, 26, 5218–5224. [Google Scholar] [CrossRef] [PubMed]
- Uckay, I.; Kressmann, B.; Malacarne, S.; Toumanova, A.; Jaafar, J.; Lew, D.; Lipsky, B.A. A randomized, controlled study to investigate the efficacy and safety of a topical gentamicin-collagen sponge in combination with systemic antibiotic therapy in diabetic patients with a moderate or severe foot ulcer infection. BMC Infect. Dis. 2018, 18, 361. [Google Scholar] [CrossRef] [PubMed]
- Mangram, A.J.; Horan, T.C.; Pearson, M.L.; Silver, L.C.; Jarvis, W.R. Guideline for Prevention of Surgical Site Infection, 1999. Centers for Disease Control and Prevention (CDC) Hospital Infection Control Practices Advisory Committee. Am. J. Infect. Control 1999, 27, 97–132, quiz 133–134; discussion 196. [Google Scholar] [CrossRef] [PubMed]
- Ben Simon, G.J.; Bush, S.; Selva, D.; McNab, A.A. Orbital cellulitis: A rare complication after orbital blowout fracture. Ophthalmology 2005, 112, 2030–2034. [Google Scholar] [CrossRef]
- Chaudhry, I.A.; Al-Rashed, W.; Arat, Y.O. The hot orbit: Orbital cellulitis. Middle East. Afr. J. Ophthalmol. 2012, 19, 34–42. [Google Scholar] [CrossRef]
- Tu, Y.; Hong, H.; Wu, W. Orbital Infection Due to Medial Wall Fracture: Three Cases of Orbital Complications Caused by Paranasal Sinusitis Secondary to Medial Orbital Wall Fracture. J. Craniofac. Surg. 2021, 32, e712–e716. [Google Scholar] [CrossRef]
- Jarrett, W.H., 2nd; Gutman, F.A. Ocular complications of infection in the paranasal sinuses. Arch. Ophthalmol. 1969, 81, 683–688. [Google Scholar] [CrossRef]
- Chowdhury, K.; Krause, G.E. Selection of materials for orbital floor reconstruction. Arch. Otolaryngol. Head Neck Surg. 1998, 124, 1398–1401. [Google Scholar] [CrossRef]
- Hollier, L.H.; Rogers, N.; Berzin, E.; Stal, S. Resorbable mesh in the treatment of orbital floor fractures. J. Craniofac. Surg. 2001, 12, 242–246. [Google Scholar] [CrossRef]
- Esmail, M.E.K.; Ibrahiem, M.F.K.; Abdallah, R.M.A.; Elshafei, A.M.K.; Gawdat, T.I. Resorbable polylactic acid polymer plates in repair of blow-out orbital floor fractures. Eur. J. Ophthalmol. 2021, 31, 1384–1390. [Google Scholar] [CrossRef] [PubMed]
- Courtney, D.J.; Thomas, S.; Whitfield, P.H. Isolated orbital blowout fractures: Survey and review. Br. J. Oral. Maxillofac. Surg. 2000, 38, 496–504. [Google Scholar] [CrossRef] [PubMed]
- Aryasit, O.; Ng, D.S.; Goh, A.S.C.; Woo, K.I.; Kim, Y.D. Delayed onset porous polyethylene implant-related inflammation after orbital blowout fracture repair: Four case reports. BMC Ophthalmol. 2016, 16, 94. [Google Scholar] [CrossRef] [PubMed]
- Choi, M.Y.; La, T.Y. Orbital abscess due to infection of a non-absorbable porous orbital implant after orbital wall fracture repair: An uncommon and delayed occurred case. Eur. J. Ophthalmol. 2022, 32, NP51–NP54. [Google Scholar] [CrossRef] [PubMed]
- Suh, S.Y.; Yeom, J.A.; Ahn, J.H. Porous Polyethylene Implant Associated With Delayed Orbital Complications and Osteomyelitis After Orbital Reconstruction. J. Craniofac. Surg. 2018, 29, 1910–1911. [Google Scholar] [CrossRef] [PubMed]
- Ghodke, A.; Mims, M.M.; Shah, R.N.; Clark, J.M. A Complication of Mycobacterium chelonae Infection Following Orbital Floor Fracture Repair. J. Craniofac. Surg. 2021, 32, 1494–1495. [Google Scholar] [CrossRef]
- Huang, W.; Lynham, A.; Wullschleger, M. Orbitozygomatic Fracture Repairs: Are Antibiotics Necessary? Craniomaxillofac Trauma. Reconstr. 2015, 8, 271–276. [Google Scholar] [CrossRef] [PubMed]
- Wladis, E.J. Are post-operative oral antibiotics required after orbital floor fracture repair? Orbit 2013, 32, 30–32. [Google Scholar] [CrossRef]
- Friberg, O.; Svedjeholm, R.; Soderquist, B.; Granfeldt, H.; Vikerfors, T.; Kallman, J. Local gentamicin reduces sternal wound infections after cardiac surgery: A randomized controlled trial. Ann. Thorac. Surg. 2005, 79, 153–161, discussion 161–152. [Google Scholar] [CrossRef]
- Nguyen, A.L.; Pronk, A.A.; Furnee, E.J.; Pronk, A.; Davids, P.H.; Smakman, N. Local administration of gentamicin collagen sponge in surgical excision of sacrococcygeal pilonidal sinus disease: A systematic review and meta-analysis of the literature. Tech. Coloproctol. 2016, 20, 91–100. [Google Scholar] [CrossRef]
- Simpson, J.A.; Peacock, J.; Maxwell-Armstrong, C. Use of a gentamicin-impregnated collagen sheet (Collatamp((R))) following implantation of a sacral nerve stimulator for faecal incontinence. Colorectal Dis. 2012, 14, e200–e202. [Google Scholar] [CrossRef]
- Benito-Gonzalez, F.; Benito, J.; Sanchez, L.A.; Estevez Alonso, S.; Munoz Herrera, A.; Batuecas-Caletrio, A. Use of a gentamicin-impregnated collagen sheet (Collatamp((R))) in the management of major soft tissue complications in pediatric cochlear implants. Cochlear Implants Int. 2014, 15, 272–275. [Google Scholar] [CrossRef] [PubMed]
- Collatamp G. Instructions for Use. Available online: https://collatamp.co.uk/usages/instruction-for-use (accessed on 1 March 2024).
- Ruszczak, Z.; Friess, W. Collagen as a carrier for on-site delivery of antibacterial drugs. Adv. Drug Deliv. Rev. 2003, 55, 1679–1698. [Google Scholar] [CrossRef] [PubMed]
- Leyh, R.G.; Bartels, C.; Sievers, H.H. Adjuvant treatment of deep sternal wound infection with collagenous gentamycin. Ann. Thorac. Surg. 1999, 68, 1648–1651. [Google Scholar] [CrossRef] [PubMed]




| Control Group (n = 176) | Experimental Group (n = 19) | p-Value | |
|---|---|---|---|
| Age (mean ± SD, year) | 48.07 ± 17.12 | 50.26 ± 18.5 | 0.54 |
| Gender (F–M) | 1:1.67 | 1:1.71 | 0.811 |
| Smoking | 21 | 3 | 0.71 |
| Diabetes mellitus | 16 | 2 | 0.69 |
| Right–left distribution (right–left) | 1:1.3 | 1:1 | 0.929 |
| Accident etiology | |||
| Fall accident | 77 | 9 | 0.81 |
| Traffic accident | 35 | 5 | 0.55 |
| Assault | 34 | 3 | 1.0 |
| Sport injury | 17 | 1 | 1.0 |
| Occupational injury | 13 | 1 | 1.0 |
| Associated facial bone fractures | |||
| Zygoma | 50 | 8 | 0.29 |
| Nose | 41 | 2 | 0.26 |
| Follow-up period (mean ± SD, month) | 12.93 ± 1.02 | 12.84 ± 0.99 | 0.48 |
| Control Group (n = 176) | Experimental Group (n = 19) | p-Value | |
|---|---|---|---|
| Operation duration (mean ± SD, min) | 61.53 ± 43.7 | 59.15 ± 18.49 | 0.73 |
| Antibiotic treatment duration (mean ± SD, day) | 5.86 ± 2.35 | 1 ± 0 | <0.01 * |
| Length of hospital day (mean ± SD) | 6.26 ± 2.98 | 4.79 ± 3.91 | <0.01 * |
| Infection | 2 | 0 | 1.0 |
| Minor infection | 1 | 0 | 1.0 |
| Major infection | 1 | 0 | 1.0 |
| Adverse effect of antibiotic use | 43 | 0 | 0.01 * |
| Skin rash | 3 | 0 | 1.0 |
| Diarrhea | 5 | 0 | 1.0 |
| Nausea | 35 | 0 | 0.02 * |
| Kidney injury | 0 | 0 | 1.0 |
Disclaimer/Publisher’s Note: The statements, opinions and data contained in all publications are solely those of the individual author(s) and contributor(s) and not of MDPI and/or the editor(s). MDPI and/or the editor(s) disclaim responsibility for any injury to people or property resulting from any ideas, methods, instructions or products referred to in the content. |
© 2024 by the authors. Licensee MDPI, Basel, Switzerland. This article is an open access article distributed under the terms and conditions of the Creative Commons Attribution (CC BY) license (https://creativecommons.org/licenses/by/4.0/).
Share and Cite
Kim, J.; Chang, J.; Lee, J.; Rha, E.-Y.; Byeon, J.-H.; Shin, J. Reconstruction of Orbital Wall Fractures with a Combination of Resorbable Plates and Antibiotic-Impregnated Collagen Sheets. J. Clin. Med. 2024, 13, 1900. https://doi.org/10.3390/jcm13071900
Kim J, Chang J, Lee J, Rha E-Y, Byeon J-H, Shin J. Reconstruction of Orbital Wall Fractures with a Combination of Resorbable Plates and Antibiotic-Impregnated Collagen Sheets. Journal of Clinical Medicine. 2024; 13(7):1900. https://doi.org/10.3390/jcm13071900
Chicago/Turabian StyleKim, Jeeyoon, Jihyoung Chang, Junho Lee, Eun-Young Rha, Jun-Hee Byeon, and Jongweon Shin. 2024. "Reconstruction of Orbital Wall Fractures with a Combination of Resorbable Plates and Antibiotic-Impregnated Collagen Sheets" Journal of Clinical Medicine 13, no. 7: 1900. https://doi.org/10.3390/jcm13071900
APA StyleKim, J., Chang, J., Lee, J., Rha, E.-Y., Byeon, J.-H., & Shin, J. (2024). Reconstruction of Orbital Wall Fractures with a Combination of Resorbable Plates and Antibiotic-Impregnated Collagen Sheets. Journal of Clinical Medicine, 13(7), 1900. https://doi.org/10.3390/jcm13071900

