Glymphopathy and Reduced Processing Speed in Community-Dwelling Adults with Silent Cerebral Small Vessel Disease: A DTI-ALPS Study
Abstract
1. Introduction
2. Materials and Methods
2.1. Ethical Approval, Sample Size Estimation, and Subject Recruitment
2.2. Cardio-Cerebrovascular Risk Assessment
2.3. Neurocognitive Assessment
2.4. Diffusion MRI Protocols
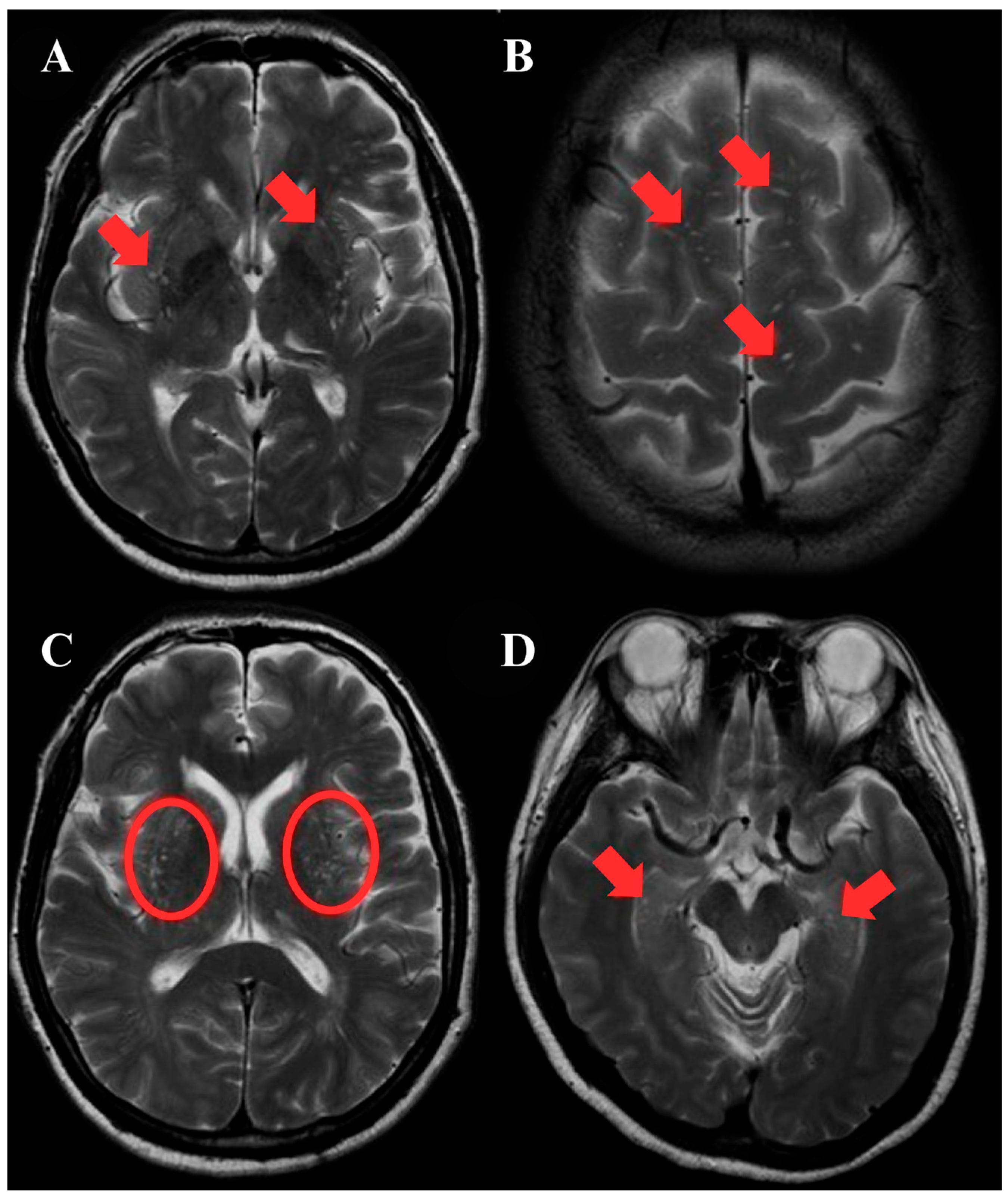
2.5. ePVS Identification and Scoring
2.6. DTI-ALPS Index Analysis
2.7. Statistical Analysis
3. Results
3.1. Subjects’ Demographics and Characteristics
3.2. ePVS
3.3. Risk Factors Associated with the Presence of ePVS
3.4. Relationship Between ePVS with the Risk Factors and Neurocognitive Profiles
3.5. DTI-ALPS Index
3.6. Mediating Role of the DTI-ALPS Index
4. Discussion
5. Conclusions
Author Contributions
Funding
Institutional Review Board Statement
Informed Consent Statement
Data Availability Statement
Acknowledgments
Conflicts of Interest
Abbreviations
| APOE | Apolipoprotein E |
| BBB | Blood–brain barrier |
| CHO | Cholesterol |
| CSF | Cerebrospinal fluid |
| CSVD | Cerebral small vessel disease |
| DTI-ALPS | Diffusion tensor image analysis along the perivascular space |
| ePVS | Enlarged perivascular spaces |
| FA | Fractional anisotropy |
| FLAIR | Attenuated inversion recovery |
| FOV | Field of view |
| HDL | High-density lipoprotein |
| HUSM | Hospital Universiti Sains Malaysia |
| MRI | Magnetic resonance imaging |
| PRI | Perceptual reasoning index |
| PSI | Processing speed index |
| ROI | Region of interest |
| SBP | Systolic blood pressure |
| STRIVE-2 | Standards for Reporting Vascular Changes on Neuroimaging 2 |
| TE | Echo time |
| TI | Inversion time |
| TR | Repetition time |
| WAIS-IV | Wechsler Adult Intelligence Scale—Version IV |
| WMHs | White matter hyperintensities |
| WMI | Working memory index |
References
- Cannistraro, R.J.; Badi, M.; Eidelman, B.H.; Dickson, D.W.; Middlebrooks, E.H.; Meschia, J.F. CNS small vessel disease: A clinical review. Neurology 2019, 92, 1146–1156. [Google Scholar] [CrossRef] [PubMed]
- Ali, H.F.; Fast, L.; Khalil, A.; Siebert, E.; Liman, T.; Endres, M.; Villringer, K.; Kufner, A. White matter hyperintensities are an independent predictor of cognitive decline 3 years following first-ever stroke-results from the PROSCIS-B study. J. Neurol. 2023, 270, 1637–1646. [Google Scholar] [CrossRef] [PubMed]
- Huang, W.Q.; Lin, Q.; Tzeng, C.M. Leukoaraiosis: Epidemiology, imaging, risk factors, and management of age-related cerebral white matter hyperintensities. J. Stroke 2024, 26, 131–163. [Google Scholar] [CrossRef] [PubMed]
- Guo, Y.; Zhao, S.; Hou, X.; Nie, S.; Xu, S.; Hong, Y.; Chen, Y.; Guo, S.; Liu, X.; Xia, Z. Insidious attentional deficits in patients with cerebral small vessel disease revealed by attention network test. Front. Neurol. 2022, 13, 865307. [Google Scholar] [CrossRef]
- Siddiquee, A.T.; Hwang, Y.H.; Kim, S.; Shin, S.J.; Lee, J.S.; Kang, J.C.; Lee, M.H.; Kim, H.J.; Lee, S.K.; Shin, C. Middle-age cerebral small vessel disease and cognitive function in later life: A population-based prospective cohort study. Lancet Reg. Health West Pac. 2025, 55, 101284. [Google Scholar] [CrossRef]
- Rajeev, V.; Fann, D.Y.; Dinh, Q.N.; Kim, H.A.; De Silva, T.M.; Lai, M.K.P.; Chen, C.L.; Drummond, G.R.; Sobey, C.G.; Arumugam, T.V. Pathophysiology of blood-brain barrier dysfunction during chronic cerebral hypoperfusion in vascular cognitive impairment. Theranostics 2022, 12, 1639–1658. [Google Scholar] [CrossRef]
- Inoue, Y.; Shue, F.; Bu, G.; Kanekiyo, T. Pathophysiology and probable etiology of cerebral small vessel disease in vascular dementia and Alzheimer’s disease. Mol. Neurodegener. 2023, 18, 46. [Google Scholar] [CrossRef]
- Duering, M.; Biessels, G.J.; Brodtmann, A.; Chen, C.; Cordonnier, C.; de Leeuw, F.E.; Debette, S.; Frayne, R.; Jouvent, E.; Rost, N.S.; et al. Neuroimaging standards for research into small vessel disease—Advances since 2013. Lancet Neurol. 2023, 22, 602–618. [Google Scholar] [CrossRef]
- Zhang, J.; Liu, S.; Wu, Y.; Tang, Z.; Wu, Y.; Qi, Y.; Dong, F.; Wang, Y. Enlarged perivascular space and index for diffusivity along the perivascular space as emerging neuroimaging biomarkers of neurological diseases. Cell. Mol. Neurobiol. 2024, 44, 14. [Google Scholar] [CrossRef]
- Bown, C.W.; Khan, O.A.; Liu, D.; Remedios, S.W.; Pechman, K.R.; Terry, J.G.; Nair, S.; Davis, L.T.; Landman, B.A.; Gifford, K.A.; et al. Enlarged perivascular space burden associations with arterial stiffness and cognition. Neurobiol. Aging 2023, 124, 85–97. [Google Scholar] [CrossRef]
- Yi, T.; Jin, S.; Yin, H.; Gao, P.; Zhu, T. The glymphatic system: A new exploration of pathological mechanism in stroke. Chin. Gen. Pract. 2022, 25, 1136. [Google Scholar] [CrossRef]
- Taoka, T.; Masutani, Y.; Kawai, H.; Nakane, T.; Matsuoka, K.; Yasuno, F.; Kishimoto, T.; Naganawa, S. Evaluation of glymphatic system activity with the diffusion MR technique: Diffusion tensor image analysis along the perivascular space (DTI-ALPS) in Alzheimer’s disease cases. Jpn. J. Radiol. 2017, 35, 172–178. [Google Scholar] [CrossRef]
- Taoka, T.; Ito, R.; Nakamichi, R.; Nakane, T.; Kawai, H.; Naganawa, S. Diffusion tensor image analysis along the perivascular space (DTI-ALPS): Revisiting the meaning and significance of the method. Magn. Reson. Med. Sci. 2024, 23, 268–290. [Google Scholar] [CrossRef] [PubMed]
- Hamilton, O.K.L.; Backhouse, E.V.; Janssen, E.; Jochems, A.C.C.; Maher, C.; Ritakari, T.E.; Stevenson, A.J.; Xia, L.; Deary, I.J.; Wardlaw, J.M. Cognitive impairment in sporadic cerebral small vessel disease: A systematic review and meta-analysis. Alzheimer’s Dement. 2021, 17, 665–685. [Google Scholar] [CrossRef] [PubMed]
- Wang, S.; Zhang, F.; Huang, P.; Hong, H.; Jiaerken, Y.; Yu, X.; Zhang, R.; Zeng, Q.; Zhang, Y.; Kikinis, R.; et al. Superficial white matter microstructure affects processing speed in cerebral small vessel disease. Hum. Brain Mapp. 2022, 43, 5310–5325. [Google Scholar] [CrossRef] [PubMed]
- Hippisley-Cox, J.; Coupland, C.A.C.; Bafadhel, M.; Russell, R.E.K.; Sheikh, A.; Brindle, P.; Channon, K.M. Development and validation of a new algorithm for improved cardiovascular risk prediction. Nat. Med. 2024, 30, 1440–1447. [Google Scholar] [CrossRef]
- Mu, X.; Wu, A.; Hu, H.; Zhou, H.; Yang, M. Assessment of QRISK3 as a predictor of cardiovascular disease events in type 2 diabetes mellitus. Front. Endocrinol. 2022, 13, 1077632. [Google Scholar] [CrossRef]
- Ferrigno, S.; Conigliaro, P.; Rizza, S.; Longo, S.; Nesi, C.; Carlucci, F.; Bergamini, A.; Mancino, R.; Nucci, C.; Federici, M.; et al. Relationship between retinal microvascular impairment and subclinical atherosclerosis in SLE. Lupus Sci. Med. 2023, 10, e000977. [Google Scholar] [CrossRef]
- Hoagey, D.A.; Lazarus, L.T.T.; Rodrigue, K.M.; Kennedy, K.M. The effect of vascular health factors on white matter microstructure mediates age-related differences in executive function performance. Cortex 2021, 141, 403–420. [Google Scholar] [CrossRef]
- Szucs, D.; Ioannidis, J.P. Sample size evolution in neuroimaging research: An evaluation of highly cited studies (1990–2012) and of latest practices (2017–2018) in high-impact journals. Neuroimage 2020, 221, 117164. [Google Scholar] [CrossRef]
- Kanjilal, S.; Rao, V.S.; Mukherjee, M.; Natesha, B.K.; Renuka, K.S.; Sibi, K.; Iyengar, S.S.; Kakkar, V.V. Application of cardiovascular disease risk prediction models and the relevance of novel biomarkers to risk stratification in Asian Indians. Vasc. Health Risk Manag. 2008, 4, 199–211. [Google Scholar] [CrossRef] [PubMed]
- Zlokovic, B.V.; Gottesman, R.F.; Bernstein, K.E.; Seshadri, S.; McKee, A.; Snyder, H.; Greenberg, S.M.; Yaffe, K.; Schaffer, C.B.; Yuan, C.; et al. Vascular contributions to cognitive impairment and dementia (VCID): A report from the 2018 National Heart, Lung, and Blood Institute and National Institute of Neurological Disorders and Stroke Workshop. Alzheimer’s Dement. 2020, 16, 1714–1733. [Google Scholar] [CrossRef] [PubMed]
- Wechsler, D. Wechsler Adult Intelligence Scale—Fourth Edition (WAIS-IV). APA PsycTests 2008. [Google Scholar] [CrossRef]
- Potter, G.M.; Doubal, F.N.; Jackson, C.A.; Chappell, F.M.; Sudlow, C.L.; Dennis, M.S.; Wardlaw, J.M. Enlarged perivascular spaces and cerebral small vessel disease. Int. J. Stroke 2015, 10, 376–381. [Google Scholar] [CrossRef] [PubMed]
- Potter, G.M.; Chappell, F.M.; Morris, Z.; Wardlaw, J.M. Cerebral perivascular spaces visible on magnetic resonance imaging: Development of a qualitative rating scale and its observer reliability. Cerebrovasc. Dis. 2015, 39, 224–231. [Google Scholar] [CrossRef]
- Taoka, T.; Ito, R.; Nakamichi, R.; Kamagata, K.; Sakai, M.; Kawai, H.; Nakane, T.; Abe, T.; Ichikawa, K.; Kikuta, J.; et al. Reproducibility of diffusion tensor image analysis along the perivascular space (DTI-ALPS) for evaluating interstitial fluid diffusivity and glymphatic function: Changes in ALPS index on multiple condition acquisition experiment (CHAMONIX) study. Jpn. J. Radiol. 2022, 40, 147–158. [Google Scholar] [CrossRef]
- Steward, C.E.; Venkatraman, V.K.; Lui, E.; Malpas, C.B.; Ellis, K.A.; Cyarto, E.V.; Vivash, L.; O’Brien, T.J.; Velakoulis, D.; Ames, D.; et al. Assessment of the DTI-ALPS parameter along the perivascular space in older adults at risk of dementia. J. Neuroimaging 2021, 31, 569–578. [Google Scholar] [CrossRef]
- Li, X.; Shen, M.; Jin, Y.; Jia, S.; Zhou, Z.; Han, Z.; Zhang, X.; Tong, X.; Jiao, J. The effect of cerebral small vessel disease on the subtypes of mild cognitive impairment. Front. Psychiatry 2021, 12, 685965. [Google Scholar] [CrossRef]
- Bae, Y.J.; Choi, B.S.; Kim, J.M.; Choi, J.H.; Cho, S.J.; Kim, J.H. Altered glymphatic system in idiopathic normal pressure hydrocephalus. Park. Relat. Disord. 2021, 82, 56–60. [Google Scholar] [CrossRef]
- Ahmad, W.M.A.; Min Allah, N.U.; Mohd Ibrahim, M.S.; Mamat, M.; Aleng, N.A.; Husein, A.; Awang Nawi, M.A.; Yaqoob, M.A. Using decision tree and response surface methodology to review chronic periodontitis profile in Pakistan: A preliminary case study. Int. J. Eng. Technol. 2018, 7, 76–79. [Google Scholar] [CrossRef]
- Wardlaw, J.M.; Smith, C.; Dichgans, M. Small vessel disease: Mechanisms and clinical implications. Lancet Neurol. 2019, 18, 684–696. [Google Scholar] [CrossRef]
- Ye, M.; Zhou, Y.; Chen, H.; Zhu, S.; Diao, S.; Zhao, J.; Kong, Y.; Li, T. Heterogeneity of white matter hyperintensity and cognitive impairment in patients with acute lacunar stroke. Brain Sci. 2022, 12, 1674. [Google Scholar] [CrossRef] [PubMed]
- Kim, S.; Na, H.K.; Sun, Y.; Yoon, Y.J.; Chung, S.J.; Sohn, Y.H.; Lyoo, C.H.; Lee, P.H. Regional burden of enlarged perivascular spaces and cognition and neuropsychiatric symptoms in drug-naive patients with Parkinson disease. Neurology 2024, 102, e209483. [Google Scholar] [CrossRef] [PubMed]
- Hong, H.; Tozer, D.J.; Chen, Y.; Brown, R.B.; Low, A.; Markus, H.S. Perivascular space dysfunction in cerebral small vessel disease is related to neuroinflammation. Brain 2025, 148, 1540–1550. [Google Scholar] [CrossRef]
- Mestre, H.; Kostrikov, S.; Mehta, R.I.; Nedergaard, M. Perivascular spaces, glymphatic dysfunction, and small vessel disease. Clin. Sci. 2017, 131, 2257–2274. [Google Scholar] [CrossRef]
- Tachibana, A.; Iga, J.I.; Tatewaki, Y.; Thyreau, B.; Chen, H.; Ozaki, T.; Yoshida, T.; Yoshino, Y.; Shimizu, H.; Mori, T.; et al. Late-life high blood pressure and enlarged perivascular spaces in the putaminal regions of community-dwelling Japanese older persons. J. Geriatr. Psychiatry Neurol. 2024, 37, 61–72. [Google Scholar] [CrossRef] [PubMed]
- Pinheiro, A.; Demissie, S.; Scruton, A.; Charidimou, A.; Parva, P.; DeCarli, C.; Seshadri, S.; Romero, J.R. Association of apolipoprotein E ɛ4 allele with enlarged perivascular spaces. Ann. Neurol. 2022, 92, 23–31. [Google Scholar] [CrossRef]
- Zou, Q.; Wang, M.; Wei, X.; Li, W. Prevalence and risk factors for enlarged perivascular spaces in young adults from a neurology clinic-based cohort. Brain Sci. 2022, 12, 1164. [Google Scholar] [CrossRef]
- Zhou, L.; Yang, W.; Liu, Y.; Zheng, Y.; Ge, X.; Ai, K.; Liu, G.; Zhang, J. Moderating effect of education on glymphatic function and cognitive performance in mild cognitive impairment. Front. Aging Neurosci. 2024, 16, 1399943. [Google Scholar] [CrossRef]
- Rossi, L.; Preziosa, P.; Filippi, M.; Rocca, M.A. Perivascular spaces in multiple sclerosis: Markers of neuroinflammation or footprints of vascular pathology? Mult. Scler. Relat. Disord. 2025, 101, 106596. [Google Scholar] [CrossRef]
- Song, H.; Ruan, Z.; Gao, L.; Lv, D.; Sun, D.; Li, Z.; Zhang, R.; Zhou, X.; Xu, H.; Zhang, J. Structural network efficiency mediates the association between glymphatic function and cognition in mild VCI: A DTI-ALPS study. Front. Aging Neurosci. 2022, 14, 974114. [Google Scholar] [CrossRef] [PubMed]
- Zhang, X.; Pei, X.; Shi, Y.; Yang, Y.; Bai, X.; Chen, T.; Zhao, Y.; Yang, Q.; Ye, J.; Leng, X.; et al. Unveiling connections between venous disruption and cerebral small vessel disease using diffusion tensor image analysis along perivascular space (DTI-ALPS): A 7-T MRI study. Int. J. Stroke 2025, 20, 497–506. [Google Scholar] [CrossRef]
- Libecap, T.J.; Zachariou, V.; Bauer, C.E.; Wilcock, D.M.; Jicha, G.A.; Raslau, F.D.; Gold, B.T. Enlarged perivascular spaces are negatively associated with Montreal Cognitive Assessment scores in older adults. Front. Neurol. 2022, 13, 888511. [Google Scholar] [CrossRef]
- Liu, X.; Maillard, P.; Barisano, G.; Caprihan, A.; Cen, S.; Shao, X.; Jann, K.; Ringman, J.M.; Lu, H.; Arfanakis, K.; et al. MRI free water mediates the association between diffusion tensor image analysis along the perivascular space and executive function in four independent middle to aged cohorts. Alzheimer’s Dement. 2025, 21, e14453. [Google Scholar] [CrossRef]
- Lawrence, A.J.; Brookes, R.L.; Zeestraten, E.A.; Barrick, T.R.; Morris, R.G.; Markus, H.S. Pattern and rate of cognitive decline in cerebral small vessel disease: A prospective study. PLoS ONE 2015, 10, e0135523. [Google Scholar] [CrossRef]
- Ke, Z.; Mo, Y.; Li, J.; Yang, D.; Huang, L.; Yang, Z.; Qin, R.; Mao, C.; Lv, W.; Huang, Y.; et al. Glymphatic dysfunction mediates the influence of white matter hyperintensities on episodic memory in cerebral small vessel disease. Brain Sci. 2022, 12, 1611. [Google Scholar] [CrossRef]
- Jokinen, H.; Laakso, H.M.; Arola, A.; Paajanen, T.I.; Virkkala, J.; Särkämö, T.; Makkonen, T.; Kyläheiko, I.; Heinonen, H.; Pitkänen, J.; et al. Executive functions and processing speed in covert cerebral small vessel disease. Eur. J. Neurol. 2025, 32, e16533. [Google Scholar] [CrossRef]
- Koshiyama, D.; Fukunaga, M.; Okada, N.; Morita, K.; Nemoto, K.; Yamashita, F.; Yamamori, H.; Yasuda, Y.; Matsumoto, J.; Fujimoto, M.; et al. Association between the superior longitudinal fasciculus and perceptual organization and working memory: A diffusion tensor imaging study. Neurosci. Lett. 2020, 738, 135349. [Google Scholar] [CrossRef]
- Ribeiro, M.; Yordanova, Y.N.; Noblet, V.; Herbet, G.; Ricard, D. White matter tracts and executive functions: A review of causal and correlation evidence. Brain 2024, 147, 352–371. [Google Scholar] [CrossRef]
- Kochunov, P.; Thompson, P.M.; Winkler, A.; Morrissey, M.; Fu, M.; Coyle, T.R.; Du, X.; Muellerklein, F.; Savransky, A.; Gaudiot, C.; et al. The common genetic influence over processing speed and white matter microstructure: Evidence from the Old Order Amish and Human Connectome Projects. NeuroImage 2016, 125, 189–197. [Google Scholar] [CrossRef]
- Tian, Y.; Cai, X.; Zhou, Y.; Jin, A.; Wang, S.; Yang, Y.; Mei, L.; Jing, J.; Li, S.; Meng, X.; et al. Impaired glymphatic system as evidenced by low diffusivity along perivascular spaces is associated with cerebral small vessel disease: A population-based study. Stroke Vasc. Neurol. 2023, 8, 413–423. [Google Scholar] [CrossRef] [PubMed]
- Yang, J.; Liu, Y.; Ma, Y.; Zhang, W.; Han, L.; Feng, H.; Chen, M.; Zhong, J. Association of glymphatic clearance function with imaging markers and risk factors of cerebral small vessel disease. J. Stroke Cerebrovasc. Dis. 2025, 34, 108187. [Google Scholar] [CrossRef] [PubMed]
- Saito, Y.; Kamagata, K.; Andica, C.; Uchida, W.; Takabayashi, K.; Yoshida, S.; Nakaya, M.; Tanaka, Y.; Kamiyo, S.; Sato, K.; et al. Reproducibility of automated calculation technique for diffusion tensor image analysis along the perivascular space. Jpn. J. Radiol. 2023, 41, 947–954. [Google Scholar] [CrossRef]
- Georgiopoulos, C.; Werlin, A.; Lasic, S.; Hall, S.; van Westen, D.; Spotorno, N.; Hansson, O.; Nilsson, M. Diffusion tensor imaging along the perivascular space: The bias from crossing fibres. Brain Commun. 2024, 6, fcae421. [Google Scholar] [CrossRef] [PubMed]





| Variables | Total (N = 60) | ePVS | ||
|---|---|---|---|---|
| Present (n = 26) | Absent (n = 34) | p-Value | ||
| Age, yrs * | 38.47 ± 8.63 | 43.12 ± 12.2 | 36.3 ± 10.1 | 0.02 |
| Sex, n (%) | 0.22 | |||
| Male | 19 (31.7) | 10 (38.5) | 9 (26.4) | |
| Female | 41 (68.3) | 16 (61.5) | 25 (73.6) | |
| Ethnicity, n (%) | 0.63 | |||
| Malay | 54 (90) | 24 (92.4) | 30 (88.2) | |
| Chinese | 4 (6.7) | 1 (3.8) | 3 (8.8) | |
| Others | 2 (3.3) | 1 (3.8) | 1 (3) | |
| Education level, n (%) | 0.54 | |||
| Low a | 5 (8.3) | 3 (11.5) | 2 (5.9) | |
| Intermediate b | 27 (45) | 12 (46.2) | 15 (44.1) | |
| High c | 28 (46.7) | 11 (42.3) | 17 (50) | |
| Smoking, n (%) | 0.35 | |||
| Non-smoker | 52 (86.6) | 22 (84.6) | 30 (88.2) | |
| Ex-smoker | 6 (10) | 3 (11.5) | 3 (8.8) | |
| Light smoker | 1 (1.7) | 0 (0) | 1 (3.0) | |
| Moderate smoker | 1 (1.7) | 1 (3.9) | 0 (0) | |
| Heavy smoker | 0 (0) | 0 (0) | 0 (0) | |
| Type 2 diabetes, n (%) | 0 (0) | 0 (0) | 0 (0) | - |
| Family history d, n (%) | 15 (25) | 12 (46.2) | 3 (8.8) | 0.004 |
| Atrial fibrillation, n (%) | 0 (0) | 0 (0) | 0 (0) | - |
| Hyperlipidemia, n (%) | 0 (0) | 0 (0) | 0 (0) | - |
| Hypertension, n (%) | 9 (25) | 8 (30.7) | 1 (2.9) | 0.01 |
| CHO to HDL ratio * | 3.80 ± 0.39 | 3.97 ± 0.88 | 3.80 ± 1.09 | 0.52 |
| SBP (mmHg) * | 130.47 ± 10.5 | 134.3 ± 15.8 | 123.9 ± 13.5 | 0.01 |
| BMI (kg/m2) * | 25.06 ± 1.51 | 26.4 ± 3.6 | 23.2 ± 4.6 | p < 0.001 |
| QRISK3 score (%) * | 2.85 ± 3.42 | 4.5 ± 5.9 | 1.3 ± 1.7 | 0.01 |
| WAIS-IV indices * | ||||
| PRI | 100.2 ± 4.29 | 101.7 ± 12.8 | 102.7 ± 12.3 | 0.80 |
| WMI | 110.1 ± 4.01 | 107.4 ± 18.5 | 108.5 ± 19.6 | 0.85 |
| PSI | 101.5 ± 5.20 | 98.7 ± 12.7 | 105.1 ± 14.5 | 0.08 |
| Risk Factors | Multiple Logistic Regression a (With vs. Without) | r (β) | VIF | |||
|---|---|---|---|---|---|---|
| OR (95% CI) | OR per 1 SD (95% CI) | p-Value * | With ePVS | Without ePVS | ||
| Age b | 0.95 (0.89 to 0.99) | 1.32 (1.05–1.65) | 0.03 | 0.30 * (−0.25) | 0.10 (−0.05) | 1.12 |
| Family history c | 9.53 (1.86 to 48.91) | – | 0.01 | −0.25 (−0.20) | −0.05 (−0.02) | 1.05 |
| Hypertension | 12.0 (1.38 to 104.34) | – | 0.02 | −0.28 (−0.22) | −0.08 (−0.04) | 1.08 |
| Systolic blood pressure d | 0.95 (0.91 to 0.99) | 0.84 (0.72–0.98) | 0.02 | 0.32 * (0.27 *) | 0.12 (0.08) | 1.25 |
| Body mass index | 0.83 (0.72 to 0.96) | 0.76 (0.63–0.91) | 0.01 | −0.20 (−0.15) | 0.05 (0.03) | 1.18 |
| QRISK3 score | 0.75 (0.58 to 0.98) | 0.81 (0.66–0.98) | 0.03 | 0.35 * (−0.30 *) | −0.10 (−0.07) | 1.31 |
| WAIS-IV PRI | 0.98 (0.92 to 1.05) | 0.96 (0.87–1.05) | 0.53 | 0.05 (0.03) | 0.10 (0.05) | 1.07 |
| WAIS-IV WMI | 0.99 (0.94 to 1.03) | 0.97 (0.90–1.04) | 0.52 | 0.10 (0.08) | 0.12 (0.10) | 1.06 |
| WAIS-IV PSI | 1.06 (1.00 to 1.13) | 1.15 (1.01–1.32) | 0.04 | −0.42 * (0.38 *) | 0.20 (0.15) | 1.14 |
Disclaimer/Publisher’s Note: The statements, opinions and data contained in all publications are solely those of the individual author(s) and contributor(s) and not of MDPI and/or the editor(s). MDPI and/or the editor(s) disclaim responsibility for any injury to people or property resulting from any ideas, methods, instructions or products referred to in the content. |
© 2025 by the authors. Licensee MDPI, Basel, Switzerland. This article is an open access article distributed under the terms and conditions of the Creative Commons Attribution (CC BY) license (https://creativecommons.org/licenses/by/4.0/).
Share and Cite
Hein, Z.M.; Arbain, M.F.F.; Che Ramli, M.D.; Jaffer, U.; Che Mohd Nassir, C.M.N. Glymphopathy and Reduced Processing Speed in Community-Dwelling Adults with Silent Cerebral Small Vessel Disease: A DTI-ALPS Study. J. Clin. Med. 2025, 14, 6039. https://doi.org/10.3390/jcm14176039
Hein ZM, Arbain MFF, Che Ramli MD, Jaffer U, Che Mohd Nassir CMN. Glymphopathy and Reduced Processing Speed in Community-Dwelling Adults with Silent Cerebral Small Vessel Disease: A DTI-ALPS Study. Journal of Clinical Medicine. 2025; 14(17):6039. https://doi.org/10.3390/jcm14176039
Chicago/Turabian StyleHein, Zaw Myo, Muhammad Faqhrul Fahmy Arbain, Muhammad Danial Che Ramli, Usman Jaffer, and Che Mohd Nasril Che Mohd Nassir. 2025. "Glymphopathy and Reduced Processing Speed in Community-Dwelling Adults with Silent Cerebral Small Vessel Disease: A DTI-ALPS Study" Journal of Clinical Medicine 14, no. 17: 6039. https://doi.org/10.3390/jcm14176039
APA StyleHein, Z. M., Arbain, M. F. F., Che Ramli, M. D., Jaffer, U., & Che Mohd Nassir, C. M. N. (2025). Glymphopathy and Reduced Processing Speed in Community-Dwelling Adults with Silent Cerebral Small Vessel Disease: A DTI-ALPS Study. Journal of Clinical Medicine, 14(17), 6039. https://doi.org/10.3390/jcm14176039

