Abstract
Early socialization during lactation is advocated as a feeding strategy to reduce the weaning stress of piglets. However, early socialization has often been accompanied by more frequent aggression between individuals, and its effect on the immune system of piglets has yet to be evaluated. In this study, 89 piglets were raised separately under conventional feeding and early socialization environments. Based on differences in the aggressive behavior of the piglets in different environments during lactation, we further investigated the effects of early socialization on oxidative stress in the spleen of the piglets and the inflammatory responses involved in the canonical nuclear factor kappa-B (NF-κB) signaling pathway. The results revealed that early socialization led to a higher aggression level between individuals (p < 0.01), increased malondialdehyde (MDA) and H2O2 levels and inducible nitric oxide synthase (iNOS) activity, and inhibited glutathione (GSH) levels and the activities of catalase (CAT), superoxide dismutase (SOD), and glutathione peroxidase (GPX) in the piglet spleens (p < 0.05). The mRNA expression levels of the protein kinase A (PKA), inhibitor of kappa B kinase-α (IKK-α), inhibitor of kappa B kinase-β (IKK-β), inhibitor of NF-κB-α (IκB-α), NF-κB(p65), interleukin-1β (IL-1β), interleukin-6 (IL-6), tumor necrosis factor-α (TNF-α), cyclooxygenase-2 (COX2), iNOS, and heat shock protein (HSP) genes were significantly up-regulated, as well as the protein levels of P-p65, IKK-β, P-IkB-α, pro-IL-1β, and TNF-α. In summary, early socialization caused oxidative stress and inflammatory responses in the spleen of the piglets by inducing ROS production and the activation of the canonical NF-κB pathway. Our study revealed that early socialization significantly increased the ROS level in the piglet spleens and activated the canonical NF-κB signaling pathway, which induced a high expression of pro-inflammatory cytokines (TNF-α, IL-1β, IL-6, and COX2) and HSP genes regulated by NF-κB signaling, leading to oxidative stress and the inflammatory response.
1. Introduction
In the management process of commercial pig farms, piglets are often mixed with piglets from different litters after weaning [1]. The aggressive behavior of piglets for the competition of space and feed and the establishment of social hierarchy [2] will lead to skin lesions, limb injuries, and cause further infection and reduced growth performance [3]. To reduce the stress levels of weaned and mixed piglets, early socialization has been proposed and put into practice by animal welfare scholars [4]. In previous studies, early socialization was usually achieved by removing the barriers between two adjacent farrowing pens, which allowed piglets from two adjacent litters to have access to each other while the sows remained in their original pens until they were weaned [4,5]. Early socialization is aimed at creating social conditions for piglets in order to reduce social stress after weaning and mixing, which is considered to be effective and has long-term effects [5,6]. However, the immune system of lactating piglets is not well developed and is vulnerable to pathogenic microorganisms from the environment [7]. Previous research revealed that early socialization increased the frequency of aggressive behavior [8] and the degree of skin lesions in piglets [9] and reduced their growth rate [5], but the effects on the immune and inflammatory responses of piglets are still unclear.
As the largest secondary lymphoid tissue, the spleen, with its special structure and function, can rapidly initiate both innate and adaptive immune responses to pathogens [10]. Nuclear factor-kappa B (NF-κB) plays a key role in numerous inflammatory and immune responses [11], and the lymphatic organs that promote the immune responses of immune cells are also the main sites for NF-κB to exercise its biological functions [12]. Both NF-κB and TNF-α play key roles in regulating the normal tissue structure and physiological function of the spleen [12]. As a powerful pro-inflammatory factor, TNF-α can induce the activation of the NF-κB signaling pathway [13]. Social stress may also lead to oxidative stress [14]. In addition to cytokines, excessive ROS under oxidative stress may also lead to the activation of NF-κB [15]. The activated NF-κB enters the nucleus to regulate the transcription of the TNF-α, IL-1β, IL-6, and COX2 genes, thus further enhancing the inflammatory response [16].
Here, we assume that early socialization may have negative effects on the immune system of suckling piglets, triggering inflammatory responses and oxidative stress. In this study, the expression of canonical NF-κB-signaling-pathway-related genes and proteins were detected by transcriptome sequencing (RNA-seq), qRT-PCR, and Western blot, and the ROS staining technique (Dihydroethidium fluorescent probe labeling) was used to explore the influence of early socialization on the immune response of suckling piglets’ spleens and verify the above hypothesis.
2. Materials and Methods
2.1. Treatment of Experimental Animals
A total of 89 YDM three-way-crossed suckling piglets (Yorkshire 50%, Duroc 25%, and Min pigs 25%) [17] were selected from the pig breeding base of Northeast Agricultural University, Harbin, China. Before the start of the experiment, eight sows with similar body weights were randomly divided into the control group (four litters) and intermittent contact group (four litters). The piglets in the control group (CON, n = 44, male = 21, female = 23) were kept in the original pens during lactation, while those in the intermittent contact group (IC, n = 45, male = 21, female = 24) were allowed into the public activity area and neighboring pen to contact with the neighboring litters at 13:00 h–16:00 h at 14 d, 15 d, 21 d, 22 d, 28 d, 29 d, 33 d, and 34 d days of age. The piglets in the neighboring pens were marked with ear tags of different colors for easy identification during the behavioral observation. Sows could drink water freely and were fed in accordance with the provisions of the feeding program. Each pen contained 11.2 ± 1.5 piglets on average. All piglets were treated with teeth clipping within one day after birth. Heat preservation devices were arranged above and on the ground of the piglet lying area to provide a proper temperature for the piglets. From 21 days of age, all piglets were additionally provided with the same creep feed (V-RuBao, Wellhope Food Co., Ltd., Shenyang, China) as a nutritional supplement, and the sows in each group were also fed with the same sow compound feed (535B-JinNaiDuo, Wellhope Food Co., Ltd., Shenyang, China) and provided with ad lib water during lactation. The nutritional information of the feed was provided by Wellhope Food Co., Ltd., and is shown in Table 1. Transverse mechanical ventilation and natural lighting were adopted in the delivery room, and the air temperature was 22 ± 2 °C. The fallowing pens were kept clean and sanitary throughout the lactation period. Six female piglets (three piglets per group) with similar body weights were anesthetized by electric shock followed by carotid exsanguination at 10:00 h at 35 d. The medulla samples of the same part of the spleen in each group were stored at −80 °C.
Table 1.
Main dietary nutrition composition of sows and suckling piglets.
2.2. Behavioral Observation
In this study, the aggressive behaviors of piglets during lactation were recorded using the HIKVISION DS-IT5 behavioral observation system (i.e., Hikvision Co., Ltd., Hangzhou, China). The monitoring system recorded the aggressive behaviors of the piglets in each litter for a three-hour session (13:00 h to 16:00 h) at 14 d (days of age), 15 d, 21 d, 22 d, 28 d, 29 d, 33 d, and 34 d, respectively. The scanning sampling method [18] was adopted in this study and the aggressive behaviors of the piglets in each pen were observed every 20 s within three hours. Each aggressive behavior was defined as “event behavior” and is expressed as the frequency of this behavior per litter. The definition of aggressive behavior is shown in Table 2.
Table 2.
Aggressive behavior definition of piglets.
2.3. Growth Performance and Intake Measurement
After the farrowing of the sows, each piglet was weighed separately, all piglets were weighed separately at 8:00 h on the day of weaning, and these data were recorded. From 21 days of age, each litter was provided with two kilograms of creep feed at 8:00 h each day and the remaining feed was weighed at the same time on the following day until weaning. This method was used for calculating the feed intake of each piglet during lactation.
2.4. Detection of Reactive Oxygen Species (ROS) and Oxidative Stress Indexes
In this study, dihydroethidium (DHE) fluorescence probe technology was used to stain the spleen tissue sections. DHE could enter cells and be oxidized by intracellular reactive oxygen species (ROS) to form ethidium oxide, which could be incorporated into chromosomes to produce red fluorescence. According to the density of red fluorescence, changes in the ROS content in cells can be judged. The technology was provided by Servicebio Technology Co., Ltd., Wuhan, China. In this study, Image J software (NIH, Bethesda, MD, USA) was used for fluorescence quantitative analysis on the ROS fluorescence staining images, and the mean fluorescence density values were calculated within the color gradation of 30−255. The spleen tissue was cut into small pieces at a low temperature and mixed with physiological saline (1:9). The mixture was homogenized by a high-speed homogenizer and centrifuged at 4 °C/3000 rpm for 10 min to collect the supernatant. The activities of iNOS, CAT, SOD, and GPX and the contents of MDA, H2O2, and GSH were detected by specialized assay kits (Nanjing Jiancheng Bioengineering Institute, Nanjing, China) under the guidance of the manual. The optical density (OD) values were measured at 530, 405, 450, 412, 532, 405, and 405 nm, respectively. The content of total protein was measured by the Coomassie blue staining method.
2.5. Transcriptome Sequencing
In this study, TRIzol (Invitrogen, Carlsbad, CA, USA) reagent was used to separate and purify the RNA from the spleen samples of each group, and NanoDrop ND-1000 (Wilmington, DE, USA) was used to detect the content of total RNA in each sample. The mRNA containing PolyA was specifically captured in two purification rounds using oligo magnetic beads (DYNA BEADS oligo (DT), Thermo Fisher, Waltham, MA, USA). The synthesis of first-strand cDNA was performed using random primers and reverse transcriptase (SuperScript™ II Reverse Transcriptase, Invitrogen, Carlsbad, CA, USA). RNase H (Roche, Basel, Switzerland) and E. coli DNA polymerase I (New England Biolabs, Ipswich, MA, USA) were used for second-chain synthesis. The construction of an RNA library, quality control, and sequencing were completed by Lian Chuan-Biotechnology Co., Ltd. (Hangzhou, China). The sequencing data were filtered and sorted out using the high-speed Illumina Illumina Novaseq™ 6000 Sequencer, and differentially expressed genes were analyzed with edgeR. Differentially expressed genes (DEGs) met the following conditions: | log2 (Fold Change) | > 1.5 or | log2 (Fold Change) | < 0.5 and p value < 0.05. The Kyoto Encyclopedia of Genes and Genomes (KEGG) was downloaded to analyze the pathway.
2.6. Real-Time Quantitative-PCR Verification
To verify the reliability of the DEG data obtained from the transcriptome sequencing, eight DEGs (Table 3) were selected and verified by the qRT-PCR method. In addition, the β-actin gene served as the internal reference, and 14 DEGs (Table 3) related to oxidative stress, inflammation, and the canonical NF-κB signaling pathway were detected in this study to investigate the expression differences of mRNAs between different treatments. The qRT-PCR analysis was performed by the Light Cy-KER® 480 system (Roche, Basel, Switzerland). In the analysis of the melting curve, there was only one peak for each PCR product. The relative abundance of mRNA was calculated using the 2∆∆CT method.
Table 3.
Primer sets for qRT-PCR.
2.7. Western Blot Analysis
After the extraction of total proteins, samples with the same protein contents were added into SDS-polyacrylamide gel at a 10% concentration, respectively, and separated under reduction conditions. Then, they were transferred to nitrocellulose (NC) membrane in Tris-Glyine buffer containing 20% methanol at a constant 200 mA current. The nitrocellulose membrane was blocked in 5% bovine serum albumin (BSA) for 2 h at 37 °C and incubated overnight with β -actin (1:5000), p65 (1:500), p-p65 (1:500), IKK-β (1:500), IKB-α (1:500), P-IkB-α (1:500), pro-IL-1β (1:500), and TNF-α (1:500) antibodies, respectively, at 4 °C, followed by peroxidase-labeled rabbit IgG secondary antibody at room temperature for 1 h. After washing the NC membrane with TBST three times, the band signals were visualized with the enhanced chemiluminescence detection kit (Biosharp, Beijing, China) and imaged by the c300 chemiluminescent imaging system (Azure Biosystems, Inc., CA, USA). The Adobe Photoshop CS6 (Adobe Systems, San Jose, CA, USA) was used for the image treatment. The Western blot bands were quantitatively analyzed by ImageJ software (NIH, Bethesda, MD, USA). The β-actin content was used as an internal reference.
2.8. Statistical Analysis
SPSS (Version 21.0, IBM) statistical software was used for statistical analysis. Differences in the data on aggressive behavior, growth performance, feed consumption, ROS, qRT-PCR, and Western Blot were analyzed by independent-samples t-tests, and the linear model is as follows:
where Xij, indicates the “j-th” observation value in treatment “i”, μ is the overall mean, “Ti” represents the effect of the “i-th” treatment (including control and intermittent contact), and “eij” is the random error component and accords with a normal distribution N(0, σ2). The Shapiro–Wilk test was used to test the normality of the values (p > 0.05), and the homogeneity of variances across treatments was tested using the Hartley F test (p > 0.05). The results of the verification of the transcriptome by qRT-PCR are expressed as mean ± standard error (SE). The data on aggressive behavior, growth performance, feed consumption, ROS, mRNA, and protein expression are expressed as mean and pooled standard error (SEp). p value < 0.05 indicated a significant difference between groups, and p value < 0.01 indicated an extremely significant difference.
3. Results
3.1. Aggressive Behavior of Piglets
The aggressive behaviors recorded on the behavioral observation days of a total of 89 suckling piglets during lactation are shown in Table 4. The frequency of fighting behavior of the piglets in the IC group was significantly higher than that in the CON group (IC = 7.39 ± 0.54, CON = 4.14 ± 0.63, p = 0.002). At the same time, head knocking behavior was also significantly higher than that in the CON group (IC = 4.78 ± 0.05, CON = 2.86 ± 0.35, p = 0.001).
Table 4.
The aggressive behaviors of each group recorded by scan sampling (times/per hour).
3.2. Growth Performance and Intake Measurement
Through statistical analysis (Table 5), it was determined that there was no significant difference in the birth weight and weaning weight of the piglets between the IC group and CON group (IC = 1.46 ± 0.11, CON = 1.44 ± 0.14, p = 0.710; IC = 10.47 ± 0.31, CON = 10.22 ± 0.45, p = 0.710). There was also no significant difference in the mean feed consumption from 21 days of age until weaning between the two treatment groups (IC = 0.063 ± 0.005, CON = 0.057 ± 0.006, p = 0.211).
Table 5.
Growth performance and intake measurement of piglets (kg).
3.3. Comparison of ROS Expression Levels and Oxidative Stress Indexes
To find out whether early socialization could induce oxidative stress in the piglets, we detected the ROS level, the activities of iNOS, CAT, SOD, and GPX, and the contents of MDA, H2O2, and GSH in the spleen. As shown in Figure 1, the mean fluorescence densities of the ROS-stained samples from the spleens of piglets in the control group (CON) and intermittent exposure group (IC) were calculated by ImageJ software. The results revealed that, compared with the CON group (42.67 ± 1.81), the ROS expression in the spleen of the IC group (54.07 ± 2.51) was significantly increased (p = 0.030).
Figure 1.
The ROS expression level of suckling piglets’ liver tissues (400×) after early socialization. (a) The red fluorescence in dihydroethidium staining revealed the level of ROS, and the relative fluorescence density was quantitatively analyzed. (b) The data of fluorescence intensity are shown as the mean ± SD, “*” indicates significant differences between the treatments at p < 0.05.
Early socialization significantly increased the activity of iNOS, but inhibited the activities of CAT, SOD, and GPX (PiNOS = 0.011, PCAT = 0.010, PSOD = 0.029, and PGPX = 0.015, Figure 2). The levels of MDA and H2O2 were significantly increased, while the GSH level was significantly decreased in the IC group (PMDA = 0.016, PH2O2 = 0.028, and PGSH = 0.005, Figure 2). These results indicate that early socialization increased the level of oxidative stress in the piglets.
Figure 2.
Effect of early socialization on oxidative stress in piglet spleen tissue. Data are expressed as the mean ± SD, “*” indicates significant differences between the treatments at p < 0.05, and “**” indicates that p < 0.01.
3.4. Transcriptomics DEGs’ Analysis and Validation
In order to explore the effect of early socialization during lactation on the genetic level of the spleens of the piglets, the content of DEGs in the spleen tissues was determined by transcriptome sequencing. As shown in Figure 3a, a total of 1310 DEGs were detected. Compared with the CON group, 559 up-regulated genes and 751 down-regulated genes were annotated in the spleen tissues of IC group, respectively. As shown in Figure 3b, a KEGG enrichment analysis was performed on the DEGs, and a scatter diagram was drawn by selecting the top 20 signaling pathways with the smallest p values (the most significant enrichment) from the enrichment analysis results. This study focused on the effects of early socialization on the NF-κB signaling pathway in the spleens of piglets.
Figure 3.
DEG profiling using high-throughput transcriptomics sequencing technology (n = 6). (a): DEGs’ volcano of spleen between IC group and CON group and (b): relative abundance of Kyoto Encyclopedia of Genes and Genomes (KEGG) pathways of spleen.
To ensure the confidence of the transcriptome results, we selected four significantly up-regulated genes and four significantly down-regulated genes, respectively, and verified their trends using qRT-PCR. Consistent with the predicted results, the relative mRNA expression levels of KCNMB4, ATP6V1B1, NME3, and HS3ST3B1 were significantly up-regulated and the mRNA relative expression levels of FOXH1, FCN2, SVIP, and FAM209B were down-regulated in the IC spleen tissues compared with the CON group (Figure 4). The above results were consistent with the transcriptome analysis results, indicating that the transcriptome analysis results had a good credibility.
Figure 4.
The trend of DEG expression levels of suckling piglets’ spleen tissues after early socialization. Each value of qRT-PCR verification of DEGs is expressed as mean ± SD. The relative expression level of mRNA was calculated based on the 2∆∆CT.
3.5. Early Socialization Induced an Abnormally High Expression of NF-κB Signaling Pathway and Inflammation-Related Protein and mRNA Levels in the Spleen of Piglets
To investigate the effects of early socialization on the splenic inflammation in piglets, we detected the expressions of genes and proteins related to the canonical NF-κB signaling pathway. As shown in Figure 5, the mRNA expression levels of PKA, NF-κB(p65), IKK-α, IKK-β, IL-1β, IL-6, and TNF-α in the spleens of piglets in the IC group after early socialization treatment were significantly increased (p < 0.05). The mRNA expression levels of IkB-α, COX2, and iNOS were significantly higher than those of the CON group (p < 0.01). In addition, compared with the CON group, the mRNA expression levels of HSP27, HSP40, HSP60, and HSP90 in the spleens of the piglets in the IC group were also significantly increased (p < 0.05).
Figure 5.
Effects of early socialization on the mRNA expression of canonical NF-κB signaling/inflammation-related genes. Data are expressed as the mean ± SD, “*” indicates significant differences between the treatments at p < 0.05 and “**” indicates that p < 0.01.
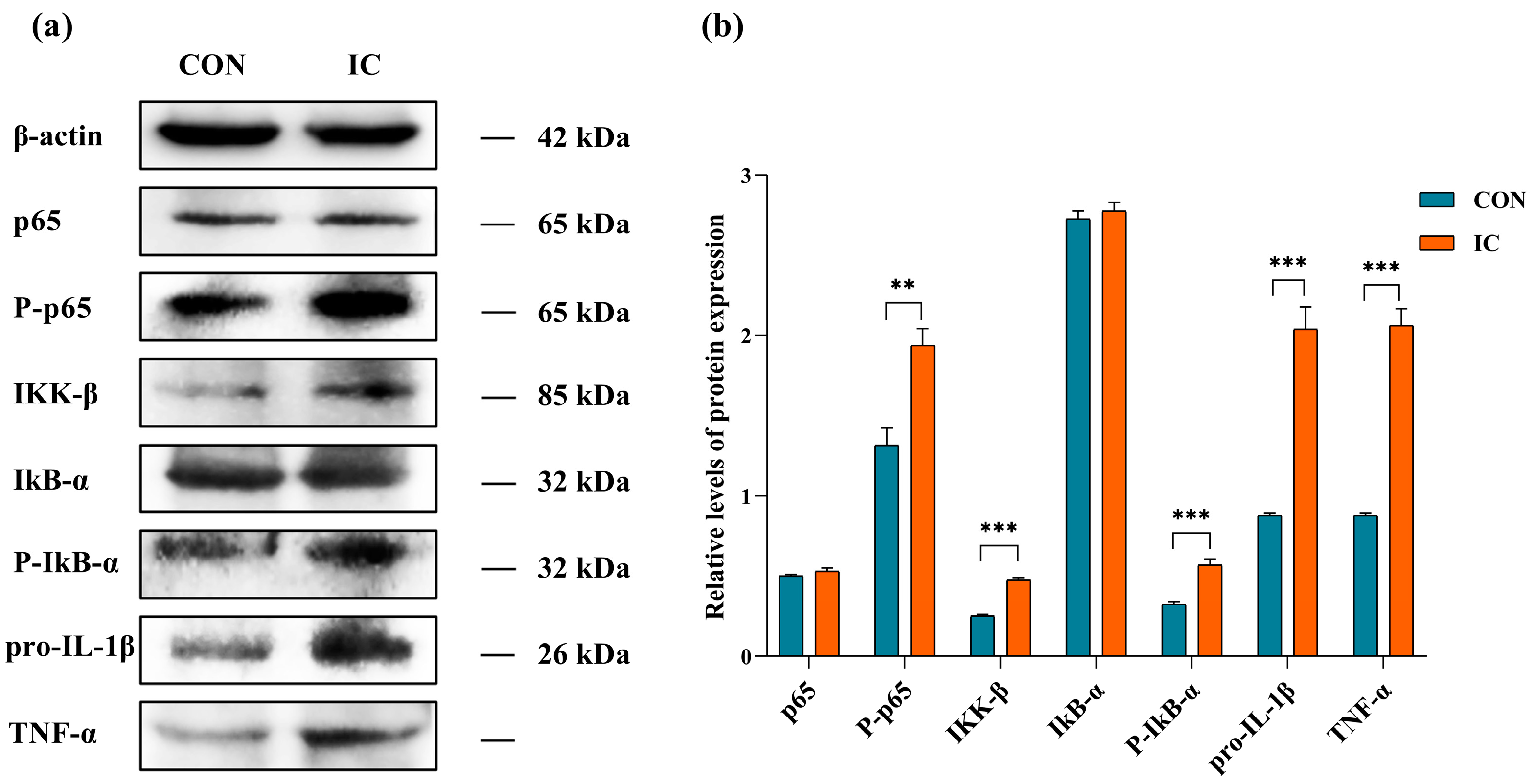
After the total proteins of the spleen tissue samples in each group were quantified, the expression levels of key proteins in the NF-κB signaling pathway and their downstream proteins were detected, respectively (Figure 6a). The relative expression levels of each protein were calculated by ImageJ software and the results of the statistical analysis are shown in Figure 6b. Except for there being no significant difference in the expression levels of p65 and IkB-α (p > 0.05), the expression level of P-p65 in the IC group was significantly higher than that in the CON group (p < 0.01) and the expression levels of IKK-β, P-IkB-α, pro-IL-1β, and TNF-α were significantly higher than those in the CON group (p < 0.001).
Figure 6.
Effects of early socialization on the protein expression of canonical NF-κB signaling pathway. (a) Early socialization activated NF-κB signaling pathway. (b) Data are expressed as the mean ± SD, “**” indicates significant differences between the treatments at p < 0.01, and “***” indicates that p < 0.001.
4. Discussion
In commercial pig production, the early weaning mode of production forces piglets to face a variety of stressors, including sudden mixing with unfamiliar individuals [21]. The early socialization of piglets was proposed as a lactation feeding management strategy to reduce the stress levels caused by the mixing of weaning piglets [4]. Without increasing the breeding density, we provided piglets with a more comfortable activity area and an enriched social environment, providing opportunities for the behavior development of piglets. In this study, compared with the control group, the socialized piglets showed more frequent fighting and head knocking during lactation, which was consistent with the findings of D’ Eath (2005) and Salazar et al. (2018) [4,5]. The socialization and mixing of piglets from different litters during lactation are essential for the development of their social relationships, and this aggressive behavior is the direct means for piglets to establish the dominant relationship in the group [4]. But with an expansion in the size of the social group, the piglets were more likely to face unfamiliar individuals, which led to an increase in the fighting behavior of piglets in order to establish a dominant position [22]. The results of the birth and weaning weights in this study revealed that early socialization had no significant effect on the growth performance of the suckling piglets, which was the same as in previous studies [4]. Lucas et al. (2023) simulated a changing trend of the influence of early life stress exposure on the later-life stress-coping ability of pigs [23]. Early socialization undoubtedly exposed piglets to a more complicated social/physical environment, which also cultivated their ability to successfully overcome challenges. The current research mostly takes a positive attitude towards early socialization as a housing and management model during lactation. However, the health and productivity of piglets after weaning largely depend on the housing and management quality after weaning and later life, so we need to provide a more comfortable living environment for pigs to maintain the positive impact of this early socialization.
Oxidative stress is often closely related to the excessive production of ROS [24]. Therefore, we investigated whether early socialization promoted the production of ROS in the spleens of the piglets in this study. We found through morphological observation that the ROS levels in the spleen tissues of the socialized piglets with more frequent aggressive behaviors were abnormally increased, which also indicated that the spleen cells of the piglets might have been in a state of oxidative stress. A recent study revealed that social stress leads to increased concentrations of ROS in the prefrontal cortex of the mouse brain and leads to oxidative stress states [15]. Rammal et al. (2010) revealed that the aggression level of mice had a significant correlation with the degree of oxidative stress of peripheral blood granulocytes, that is, the blood of mice with a high aggression level had a strong oxidative state [25], which showed a similar trend to the results of this study.
NF-κB often plays the most important role in the immune system and inflammation in organisms, and is also a transcription factor sensitive to the oxidation reduction reaction [12]. Under oxidative stress, ROS can induce the IkB kinase (IKK)-mediated activation of the canonical NF-κB signaling pathway [26]. In this study, the key proteins and genes in the canonical NF-κB signaling pathway were detected and analyzed, and the results revealed that the relative expression levels of mRNA and the proteins of IKK-β and P-IkB-α in the spleens of the piglets socialized during lactation were significantly increased. It is well known that IKK-β plays a key role in the activation of NF-κB in the canonical NF-κB signaling pathway. IKK-β phosphorylates IkB-α at Ser32 and Ser36 sites, and separates it from the NF-κB dimer (p65/p50) for ubiquitination and degradation [27], which also explains the changes in the canonical NF-κB signaling pathway in this experiment. After the phosphorylation and degradation of IkB-α, PKA enhanced the binding and transcriptional activity of p65 to DNA by phosphorylating p65 at Ser276 [28]. The results of this study revealed that the significantly increased mRNA expression level of PKA and relative expression of the P-p65 protein in the spleens of the piglets in the IC group indicated that NF-κB was activated and might further regulate the inflammatory process. However, the activation of NF-κB was not long-term, but cyclical [27]. As one of many target genes for NF-κB transcriptional activation, the expression of IkB-α will be up-regulated with the activation of NF-κB and IkB-α proteins can enter the nucleus, bind to the activated NF-κB, and dissociate it from DNA, thus regulating the activity of NF-κB [11], which may explain the insignificant difference in the relative protein contents of p65 and IkB-α in the spleens of the two treatment groups.
In this study, the significantly increased expression levels of the TNF-α, IL-1β, IL-6, and COX-2 genes in the spleens of the piglets in the IC group also indicated the activation of the NF-κB signaling pathway. The pro-inflammatory factors TNF-α, IL-1β, and COX-2 are important markers of the inflammatory response, and their transcription is regulated by the activated NF-κB [11]. It is known that the activation of NF-κB induced by TNF-α and IL-1β occupies the main position in lymphoid organs [29]. The redox activation of NF-κB requires the involvement of ROS and regulates the expression of the COX-2 and IL-6 genes [30,31]. Under oxidative stress, these inflammatory factors can further promote the activation of NF-κB and form the inflammatory cascade amplification [32]. HSPs are secreted in the body as inflammatory mediators, and various forms of stress, including oxidative stress, are often accompanied by the up-regulation of heat shock proteins’ (HSPs) expression [33]. In this study, the high mRNA expression levels of HSP 27, 40, 60, and 90 in the spleens of the piglets in the IC group also indicated that early socialization would lead to the enhancement of the inflammatory response in the spleens of piglets.
5. Conclusions
Our study revealed that early socialization significantly increased the ROS level in piglet spleens and activated the canonical NF-κB signaling pathway, which induced a high expression of pro-inflammatory cytokines (TNF-α, IL-1β, IL-6, and COX-2) and HSP genes regulated by NF-κB signaling, leading to oxidative stress and the inflammatory response. This study provides a reference for exploring the influence and mechanism of early socialization on the immune system of piglets. In addition, we suggest fully developing the adaptability of piglets by increasing the socialization time to balance the influence of early socialization with the behavior development and immune system of piglets.
Author Contributions
Conceptualization, Y.Y., M.W., W.J. and H.L.; methodology, Y.Y., M.W., W.J. and H.L.; software, X.Z. and Y.Z.; validation, Y.Y., M.W., X.Z. and Y.Z.; formal analysis, Y.Y., M.W., W.J. and H.L.; investigation, Y.Y., M.W., X.Z. and Y.Z.; resources, H.L.; data curation, Y.Y. and M.W.; writing—original draft preparation, Y.Y. and M.W.; writing—review and editing, W.J. and H.L.; visualization, Y.Y. and M.W.; supervision, S.Z.; project administration, W.J. and H.L.; funding acquisition, H.L. All authors have read and agreed to the published version of the manuscript.
Funding
This research was funded by the Basic Research Support Program for C Young Teachers of Provincial Undergraduate Universities in Heilongjiang Province and Cooperative Innovation and Extension System for Heilongjiang Modern Agricultural Industry Technology of Pig, grant number YQTH2023182.
Institutional Review Board Statement
All experimental protocols and animals for this study complied with the Guidelines of Northeast Agricultural University Rules concerning Animal Care and Use and were approved by the Northeast Agricultural University Animal Care and Use Committee (IACUCNEAU20220903).
Data Availability Statement
The raw data supporting the conclusions of this article will be made available by the authors on request.
Acknowledgments
The authors would like to greatly thank Houjuan Xing, Jing Liu, and members of the Animal behavior and Welfare Laboratory in the College of Animal Science and Technology for their help in this study.
Conflicts of Interest
None of the authors have any financial or personal relationships that could inappropriately influence or bias the content of the paper.
References
- Morgan, T.; Pluske, J.; Miller, D.; Collins, T.; Barnes, A.L.; Wemelsfelder, F.; Fleming, P.A. Socialising piglets in lactation positively affects their post-weaning behaviour. Appl. Anim. Behav. Sci. 2014, 158, 23–33. [Google Scholar] [CrossRef]
- Peden, R.S.E.; Turner, S.P.; Boyle, L.A.; Camerlink, I. The translation of animal welfare research into practice: The case of mixing aggression between pigs. Appl. Anim. Behav. Sci. 2018, 204, 1–9. [Google Scholar] [CrossRef]
- Alina, S.; Jarkko, K.N.; Mari, H.; Anna, V. Tail biting and production performance in fattening pigs. Livest. Sci. 2012, 143, 220–225. [Google Scholar] [CrossRef]
- D’Eath, R.B. Socialising piglets before weaning improves social hierarchy formation when pigs are mixed post-weaning. Appl. Anim. Behav. Sci. 2005, 93, 199–211. [Google Scholar] [CrossRef]
- Salazar, L.C.; Ko, H.L.; Yang, C.H.; Llonch, L.; Manteca, X.; Camerlink, I.; Llonch, P. Early socialization as a strategy to increase piglets’social skills in intensive farming conditions. Appl. Anim. Behav. Sci. 2018, 206, 25–31. [Google Scholar] [CrossRef]
- Ko, H.L.; Chong, Q.; Escribano, D.; Camerlink, I.; Manteca, X.; Llonch, P. Pre-weaning socialization and environmental enrichment affect life-long response to regrouping in commercially-reared pigs. Appl. Anim. Behav. Sci. 2020, 229, 105044. [Google Scholar] [CrossRef]
- Becker, B.A.; Misfeldt, M.L. Evaluation of the mitogen-induced proliferation and cell surface differentiation antigens of lymphocytes from pigs 1 to 30 days of age. J. Anim. Sci. 1993, 71, 2073–2078. [Google Scholar] [CrossRef]
- Ji, W.B.; Li, X.; Zhang, X.H.; Liu, R.Z.; Shu, Y.F.; Cheng, Z.; Bi, Y.J.; Liu, H.G.; Bao, J. Effects of two different early socialization models on social behavior and physiology of suckling piglets. Appl. Anim. Behav. Sci. 2021, 243, 105436. [Google Scholar] [CrossRef]
- Camerlink, I.; Farish, M.; D’Eath, R.B.; Arnott, G.; Turner, S.P. Long term benefits on social behaviour after early life socialization of piglets. Animals 2018, 8, 192. [Google Scholar] [CrossRef]
- Bronte, V.; Pittet, M.J. The Spleen in Local and Systemic Regulation of Immunity. Immunity 2013, 39, 806–818. [Google Scholar] [CrossRef]
- Hayden, M.S.; Ghosh, S. Shared Principles in NF-κB Signalling. Cell 2008, 132, 344–362. [Google Scholar] [CrossRef] [PubMed]
- Hayden, M.S.; Ghosh, S. NF-κB in immunobiology. Cell Res. 2011, 21, 223–244. [Google Scholar] [CrossRef]
- Klement, J.F.; Rice, N.R.; Car, B.D.; Abbondanzo, S.J.; Powers, G.D.; Bhatt, P.H.; Chen, C.H.; Rosen, C.A.; Stewart, C.L. I-kappaB-alpha deficiency results in a sustained NF-kappaB response and severe widespread dermatitis in mice. Mol. Cell. Biol. 1996, 16, 2341–2349. [Google Scholar] [CrossRef] [PubMed]
- Beaulieu, M.; Mboumba, S.; Willaume, E.; Kappeler, P.M.; Charpentier, M.J.E. The oxidative cost of unstable social dominance. J. Exp. Biol. 2014, 217, 2629–2632. [Google Scholar] [CrossRef]
- Felippe, R.M.; Oliveira, G.M.; Barbosa, R.S.; Esteves, B.D.; Gonzaga, B.M.S.; Horita, S.I.M.; Garzoni, L.R.; Beghini, D.G.; Araujo-Jorge, T.C.; Fragoso, V.M.S. Experimental Social Stress: Dopaminergic Receptors, Oxidative Stress, and c-Fos Protein Are Involved in Highly Aggressive Behavior. Front. Cell. Neurosci. 2021, 15, 696834. [Google Scholar] [CrossRef] [PubMed]
- Zhang, S.Q.; Kovalenko, A.; Cantarella, G.; Wallach, D. Recruitment of the IKK signalosome to the p55 TNF receptor: RIP and A20 bind to NEMO (IKKgamma) upon receptor stimulation. Immunity 2000, 12, 301–311. [Google Scholar] [CrossRef]
- Liu, H.G.; Wang, C.; Lv, J.; Yu, Y.Q.; Zhang, J.L.; Bao, J. Behavior and performance in primiparous sows of two Min pig hybrid breeds in outdoor housing systems. Appl. Anim. Behav. Sci. 2013, 146, 37–44. [Google Scholar] [CrossRef]
- Altmann, J. Observational Study of Behavior: Sampling Methods. Behaviour 1974, 49, 227–266. [Google Scholar] [CrossRef]
- Kelley, K.W.; McGlone, J.J.; Gaskins, C.T. Porcine aggression: Measurement and effects of crowding and fasting. J. Anim. Sci. 1980, 50, 336–341. [Google Scholar] [CrossRef]
- Jensen, P. Effects of confinement on social interaction patterns in dry sows. Appl. Anim. Behav. Sci. 1984, 12, 93–101. [Google Scholar] [CrossRef]
- Worobec, E.K.; Duncan, I.J.H.; Widowski, T. The effects of weaning at 7, 14 and 28 days on piglet behaviour. Appl. Anim. Behav. Sci. 1999, 62, 173–182. [Google Scholar] [CrossRef]
- Morrison, R.S.; Hemsworth, P.H.; Cronin, G.M.; Campbell, R.G. The social and feeding behaviour of growing pigs in deep-litter, large group housing systems. Appl. Anim. Behav. Sci. 2003, 82, 173–188. [Google Scholar] [CrossRef]
- Lucas, M.E.; Hemsworth, L.M.; Hemsworth, P.H. Review: Early life piglet experiences and impacts on immediate and longer-term adaptability. Animal 2023, 100889. [Google Scholar] [CrossRef] [PubMed]
- Sturza, A.; Popoiu, C.M.; Ionică, M.; Duicu, O.M.; Olariu, S.; Muntean, D.M.; Boia, E.S. Monoamine Oxidase-Related Vascular Oxidative Stress in Diseases Associated with Inflammatory Burden. Oxidative Med. Cell. Longev. 2019, 2019, 8954201. [Google Scholar] [CrossRef] [PubMed]
- Rammal, H.; Bouayed, J.; Soulimani, R. A direct relationship between aggressive behavior in the resident/intruder test and cell oxidative status in adult male mice. Eur. J. Pharmacol. 2010, 627, 173–176. [Google Scholar] [CrossRef] [PubMed]
- Gloire, G.; Legrand-Poels, S.; Piette, J. NF-κB activation by reactive oxygen species: Fifteen years later. Biochem. Pharmacol. 2006, 72, 1493–1505. [Google Scholar] [CrossRef] [PubMed]
- Gilmore, T.D. Introduction to NF-κB: Players, pathways, perspectives. Oncogene 2006, 25, 6680–6684. [Google Scholar] [CrossRef] [PubMed]
- Chen, L.F.; Greene, W.C. Shaping the nuclear action of NF-kappaB. Nat. Rev. Mol. Cell Biol. 2004, 5, 392–401. [Google Scholar] [CrossRef]
- Blonska, M.; Shambharkar, P.B.; Kobayashi, M.; Zhang, D.; Sakurai, H.; Su, B.; Lin, X. TAK1 is recruited to the tumor necrosis factor-alpha (TNF-alpha) receptor 1 complex in a receptor-interacting protein (RIP)-dependent manner and cooperates with MEKK3 leading to NF-kappaB activation. J. Biol. Chem. 2005, 280, 43056–43063. [Google Scholar] [CrossRef]
- Simeonova, P.P.; Toriumi, W.; Kommineni, C.; Erkan, M.; Munson, A.E.; Rom, W.N.; Luster, M.I. Molecular regulation of IL-6 activation by asbestos in lung epithelial cells: Role of reactive oxygen species. J. Immunol. 1997, 159, 3921–3928. [Google Scholar] [CrossRef]
- Bonizzi, G.; Piette, J.; Merville, M.P.; Bours, V. Cell type-specific role for reactive oxygen species in nuclear factor-kappaB activation by interleukin-1. Biochem. Pharmacol. 2000, 59, 7–11. [Google Scholar] [CrossRef] [PubMed]
- Liu, J.; Wang, S.; Zhang, Q.; Li, X.; Xu, S. Selenomethionine alleviates LPS-induced chicken myocardial inflammation by regulating the miR-128-3p-p38 MAPK axis and oxidative stress. Metallomics 2019, 12, 54–64. [Google Scholar] [CrossRef] [PubMed]
- Van Noort, J. Stress proteins in CNS inflammation. J. Pathol. 2008, 214, 267–275. [Google Scholar] [CrossRef] [PubMed]
Disclaimer/Publisher’s Note: The statements, opinions and data contained in all publications are solely those of the individual author(s) and contributor(s) and not of MDPI and/or the editor(s). MDPI and/or the editor(s) disclaim responsibility for any injury to people or property resulting from any ideas, methods, instructions or products referred to in the content. |
© 2024 by the authors. Licensee MDPI, Basel, Switzerland. This article is an open access article distributed under the terms and conditions of the Creative Commons Attribution (CC BY) license (https://creativecommons.org/licenses/by/4.0/).





