Abstract
Scarce information exists on the role of mTOR pathway proteins and their association to aggressiveness and prognosis of patients with canine oral cancers. We aimed to investigate the activated form of mTOR and its downstream S6 protein in canine oral squamous cell carcinoma (OSCC), and to evaluate potential associations between protein expression and clinic-pathologic variables and survival. For that we analysed p-mTOR and p-S6 protein expression by immunohistochemistry in 61 canine OSCCs. Multivariate analysis was conducted to examine their role in patients’ cancer-specific survival (CSS). p-mTOR and p-S6 expression were present in almost all cases. High-expression of p-mTOR was observed in 44 (72.1%) cases using extent score and 52 (85.2%) cases using intensity score. For p-S6, high expression was observed in 53 (86.9%) cases using extent score and in 54 (88.5%) cases using intensity score. An independent prognostic value for p-S6 extension (p = 0.027), tumour stage (p = 0.013) and treatment (p = 0.0009) was found in patients’ CSS analysis. Our data suggest that p-mTOR and p-S6 proteins are commonly expressed in canine OSCC and p-S6 expression is correlated with poor CSS in dogs with OSCC. More studies should be performed to identify possible therapeutic targets related with mTOR pathway for these patients.
1. Introduction
The oral cavity is a common site for malignant tumours, accounting for 5% to 7% of all canine cancers. Oral squamous cell carcinoma (OSCC) is the second most common malignant oral neoplasm (17% to 25%) in dogs, after melanoma (30% to 40%) and followed by fibrosarcoma (8% to 25%) [1,2].
Many similarities exist between the World Health Organisation classification scheme of oral cancers in human and canine tumours. Recently, canine OSCC were divided in canine oral papillary squamous cell carcinoma and conventional squamous cell carcinoma [3], with papillary subtype usually without metastasis, amenable to curative treatment and having a better outcome [4,5]. Other less common subtypes are also described including basaloid SCC, spindle cell carcinoma and adenosquamous carcinoma [6].
Risk factors for human oral cancer are well stablished and include tobacco consumption, alcohol misuse and other factors such as HPV infection in some oral sites (e.g., oropharynx) [7,8,9,10,11]. In dogs, aetiology and risk factors are poorly documented and the existing ones have weak scientific evidence. Dogs and other companion animals share the human environment and are exposed to many of the same carcinogens as man (e.g., as second-hand smoking). Second-hand smoking has been demonstrated as a risk factor for oral cancer in humans with strong evidence [12,13], suggesting a possible role also for dogs. Nevertheless, many canine cancers occur naturally and could be related with intrinsic genetic alterations. All of them, could be used as a potential model in the study of carcinogenesis of these neoplasms not only in dogs but also in humans [14].
The PI3K/AKT/mTOR intracellular signalling pathway plays a crucial role in several biological and metabolic processes, such as cellular growth and survival, proliferation, protein synthesis, angiogenesis and glucose metabolism [15,16,17,18,19,20].
mTOR can combine with different proteins and form two distinct complexes: mTORC1 and mTORC2. These complexes have different downstream effectors and physiological functions: mTORC1 effectors are 4EBP1 and S6K1, a 70-kDa ribosomal S6 kinase which participate in the subsequent phosphorylation of S6 ribosomal protein (also called p-S6) with important functions on cellular growth, proliferation and survival. mTORC2 can phosphorylate protein kinase C-alfa (PKC-α) and AKT (Ser 473) and regulates the actin cytoskeleton and thus cell migration [15,21]. This pathway is often dysregulated in many human cancers, such as thyroid, breast, ovarian, lung, gastric and oral cancers [15,16,17,18,22,23]. Previous studies [17] demonstrated that phospho-mTOR (p-mTOR) is associated with an adverse outcome in OSCC indicating that this marker may serve to identify patients at high-risk of worse prognosis. Additionally, p-S6, a downstream target of p-mTOR, has been shown to be a biomarker of mTOR activity, specially using immunohistochemistry method, and could be studied as a prognostic biomarker related with PI3K/mTOR signalling [24]. Research on this pathway in canine tumours is scarce. Some studies in canine mammary carcinomas [25], prostatic carcinomas [26], haemangiosarcomas [27] and in canine cell lines of B-cell lymphoma, glioma and mast cell tumour cells [28] have reported that mTOR pathway and its downstream effectors are activated in dogs, suggesting the need for research directed to the potential use of these proteins not only as prognostic biomarkers but also as a target for molecular therapies aimed at these biomarkers in canine SCC, as has been studied in human cancers [24,29,30,31].
The aim of the present study was to evaluate p-mTOR and p-S6 expression in OSCC and relate them to clinic, pathologic and prognostic features in a cohort of dog patients.
2. Materials and Methods
2.1. Patients and Tissue Specimens
Formalin-fixed and paraffin-embedded tissue samples of OSCC from 61 dog patients, obtained consecutively from Pathology Laboratory—INNO, between January 1st of 2010 and December 31st of 2017, were included in this retrospective study. The study was approved by the INNO lab administration board (nº INNO/2021/01) and was performed according to the Helsinki declaration. As inclusion criteria we included cases from several anatomical sites of the oral cavity (ICD 10: C00-06) with a confirmed histopathology diagnosis of oral squamous cell carcinomas. Cases with a history of previous treatment for oral cancer or cases without any histopathological confirmation were excluded. The variables analysed (including information’s obtained from Portuguese veterinary hospitals and clinics of respective samples; by direct contact, email or repeated telephone interviews with referring veterinarians) comprised age, gender, breed, location of the lesion, size of lesion, histopathological diagnosis, histopathological grade, presence of bone and vascular invasion, number of mitosis, presence of necrosis, presence of nuclear pleomorphism and lymphocytic infiltration and follow-up.
Age was grouped in two groups, one comprising “young and adult” dogs with age below 7 year-old and other above 7 year-old classified as “senior to geriatric” dogs [32]. Breeds were grouped into small breeds, medium breeds, large breeds and mixed breeds as applied in a previous study [2]. Tumour location was grouped into mouth not otherwise specified (MNOS), gingiva, tongue, tonsil/oropharynx, palate and other locations [2].
Histopathological diagnosis was performed based on World Health Organisation (WHO) histological classification of tumours of the alimentary system of domestic animals (2003) [33]. Histopathological grade was performed according to the Anneroth’s et al. (1987) [34] multifactorial grading system. According to this system, six morphological parameters were evaluated: degree of keratinisation; nuclear pleomorphism; number of mitosis/high power field (hpf); pattern of invasion; stage of invasion; and lymphoplasmacytic infiltration. Degree of keratinisation was evaluated by observing the percentage of tumour keratinised cells as follows: I—>50% cells keratinised; II—20–50% cells keratinised; III—5–20% cells keratinised; and IV—0–5% cells keratinised. Nuclear pleomorphism was evaluated as: I—little nuclear pleomorphism; II—moderately abundant nuclear pleomorphism; III—abundant nuclear pleomorphism; IV—extreme nuclear pleomorphism. Number of mitoses were evaluated in 1 hpf as: I—0 to 1 mitosis/hpf; II—2 to 3 mitosis/hpf; III—4 to 5 mitosis/hpf; IV—>5 mitosis/hpf. Pattern of invasion was evaluated as: I—pushing, well delineated infiltrating borders; II—infiltrating, solid cords, bands and/or strands; III—small groups or cords of infiltrating cells; IV—marked and widespread cellular dissemination in small groups and/or in single cells. Stage of invasion was classified as: I—corresponding to carcinoma-in situ and/or questionable invasion; II—distinct invasion, but involving lamina propria only; III—invasion below lamina propria adjacent to muscles, salivary gland tissues and periosteum; IV—extensive and deep invasion replacing most of the stromal tissue and infiltrating the jawbone. Lymphoplasmacytic infiltration was evaluated as: I—marked; II—moderate; III—slight; IV—none. For Anneroth’s overall grade score [34], the sum of the scores (with each parameter graded in the 4 categories) originate the following groups: grade I—6 to 12 points; grade II—13 to 18 points; and grade III—19 to 24 points. Cases were also graded according to Bryne’s et al. (1989) [35] score. In this system, the number of mitosis and stage of invasion is omitted from the Anneroth’s grading system, while the rest of the four parameters mentioned above were measured in the deepest invasive margins, and graded similarly. The sum of scores were grouped as follows: grade I—4 to 8 points; grade II—9 to 12 points; and grade III—13 to 16 points.
Presence of vascular and bone invasion was categorised as present or absent by histopathological evaluation [17].
We classified tumour stage by combining information of tumour size and presence of invasion from clinical, imagiological, macroscopic or microscopic analysis adapted from the human classification of AJCC Cancer Staging Manual, 8th edition [36] and corroborated by the authors of tumours of the alimentary tract [37].
2.2. Immunohistochemistry Methodology and Evaluation
The expression of p-mTOR and p-S6 proteins was evaluated by immunohistochemistry on 3-µm whole-tissue sections, using the antibodies: anti-phospho mTOR at Ser2448 (rabbit monoclonal antibody, clone 49F9; Cell Signaling Technology, Beverly, MA, USA), and anti-phospho S6 Ribosomal Protein at Ser235/236 (rabbit polyclonal antibody; Cell Signalling Technology, Beverly, MA, USA). These primary antibodies were previously validated in canine tissues [25,28,38]. Briefly, tissue sections were dewaxed in xylene and hydrated through a decreasing series of alcohol concentrations, followed by antigen-retrieval treatment (citrate buffer 0.01 M pH 6.0 for both antibodies) at high temperature (water bath, 30 min at 98 °C). After blocking for nonspecific binding, primary antibody was added to the sections in an optimised dilution (p-mTOR 1/150; p-S6 1/300) and incubated for 60 min at room temperature. The primary antibodies were detected using a standard peroxidase-labelled dextran polymer for visualisation with diaminobenzidine as chromogen (NovoLink Polymer Detection System; Novocastra, Leica Biosystems Newcastle, UK), according to the manufacturer’s instructions. Then, sections were lightly counterstained with Gill’s haematoxylin and cover-slipped. Negative (omission of primary antibody) and positive controls (a breast carcinoma) were used in each staining run.
All samples were evaluated independently by two observers (LD and LM) blinded to clinic and pathologic characteristics and using a ZEISS AxioLab A1® microscope (Carl Zeiss Microscopy GmbH, Jena, Germany), equipped with a ZEISS Axiocam 105 colour ® and ZEISS Zen2® software (Carl Zeiss Microscopy GmbH, Jena, Germany). The discordant cases were reviewed by a third observer (JP) and discussed together to achieve a final score.
Phospho-mTOR and phospho-S6 immunoreactivity was assessed semi-quantitatively on the basis of the extent of labelling (percentage of stained tumour cells, in 10 high power field, considering a minimum count of 150 tumour cells per field) (considering cytoplasm staining) and was scored as follows: 0, 0–9% of tumour cells labelled; 1+, 10–24% of tumour cells labelled; 2+, 25–49% of tumour cells labelled; 3+, 50–74% of tumour cells labelled; or 4+, 75–100% of tumour cells labelled and intensity of staining of p-mTOR and p-S6 as 0 (negative), 1 (weak), 2 (moderate) and 3 (strong). For data analysis of each biomarker, we calculate cut-off values using ROC curves (dead as event) that were used to distinguish low and high-expression cases: p-mTOR extension, 0/1+/2+ vs 3+/4+; p-S6 extension, 0/1+ vs 2+/3+/4+; and intensity scores for p-mTOR and p-S6, absent/weak vs moderate/strong intensity.
2.3. Statistical Analysis
Statistical analysis was performed using IBM SPSS Statistics version 27.0 software (IBM Corporation, Armonk, NY, USA). The associations of p-mTOR and p-S6 expression with clinic and pathologic parameters variables were assessed by chi-square test.
For univariate survival analysis, Kaplan–Meier and log-rank tests were performed. For multivariable analysis, Cox proportional hazards model was used, considering variables with significant result in the univariate analyses. Cancer-specific survival (CSS) for each dog was defined as the time interval (months) between histologic diagnosis of OSCC and death as a result of oral cancer. Cases of loss of follow-up but with previous information of evidence of persistent/or advanced or disseminated disease or if they had died or been euthanised for reasons related to their tumour were considered as dead by tumour (using date of dead or their last contact) [39,40]. Survival times of the patients who were still alive at the end of follow-up or who died from other causes not associated with oral cancer were censured at the last date that they were seen alive or at the date of death, respectively.
For all tests, the level of significance was set at probabilities of p < 0.05.
3. Results
The study group included 61 canine patients, 33 male (54.1%) and 28 female dogs (45.9%), with ages ranging from 1 to 15 years, with an average age of 10.9 ± 2.7 years. Further clinical and pathologic characteristics are presented in the Table 1.
Table 1.
Patient characteristics (n = 61).
3.1. p-mTOR Expression Analysis
The p-mTOR expression was classified as 0–9% in 4 (6.6%), 10–24% in 3 cases (4.9%), 25–49% in 10 (16.4%), 50–74% in 18 (29.5%) and 75–100% in 26 cases (42.5%). For data analysis, p-mTOR was divided regarding extent score into low expression (from 0 to 49%) in 17 (27.9%) cases and high expression (from 50 to 100%) in 44 (72.1%) cases (Table 2).
Table 2.
Clinicopathological characteristics of the OSCC patients and its association with p-mTOR expression.
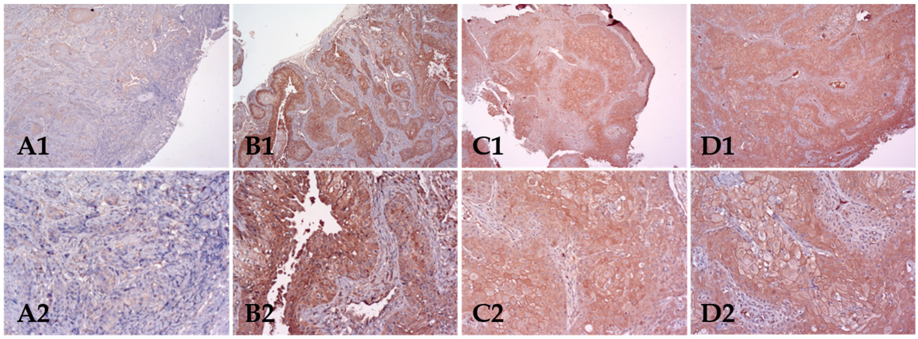
Regarding intensity, 9 cases (14.8%) were classified as weak, 25 (41%) as moderate and 27 (44.3%) as strong intensity cases and grouped as negative/weak intensity (9; 14.8%) and moderate/strong intensity (52; 85.2%) cases for statistical analysis (Table 2). Most of the staining was detected in cytoplasm and cell membrane of tumour cells (53; 86.9%) and in nucleus in 3 cases (4.9%) and only in cell cytoplasm of 5 (8.2%) cases. Most of the staining was homogenously distributed over the tumour islands in 49 cases (80.3%), in central part of tumour islands in 8 cases (13.1%) and in the periphery of tumour islands in 4 cases (6.6%) (Figure 1).
Figure 1.
Immunohistochemical (IHC) staining of the p-mTOR in four cases of OSCC (A–D), showing low expression (extent and intensity) (case (A2,A3)), high extent and low intensity (B2,B3,C2,C3) and high expression (extent and intensity) (D2,D3), (B2,B3). Numbers 1, 2 and 3 correspond to magnification at 5× (HE), 10× (IHC) and 20× (IHC), respectively.
When we analysed the association between p-mTOR and clinic/pathologic characteristics, a significant association was observed between p-mTOR extent score with pattern of tumour invasion when categorised by I vs II + III + IV grades (p = 0.03) and between p-mTOR intensity score expression and number of mitosis (p = 0.005) (Table 2). Tumours with a high pattern of invasion were less likely to have a high p-mTOR extent score. Moreover, tumours with a high number of mitoses were less likely to have a high p-mTOR intensity score.
3.2. p-S6 Expression Analysis
The p-S6 expression was detected in almost all of the cases (60; 98.4%) and classified as 0–9% in 2 cases (3.3%), 10–24% in 6 cases (9.8%), 25–49% in 7 (11.5%), 50–74% in 20 (32.8%) and 75–100% in 26 cases (42.6%). For data analysis, p-S6 expression was divided 0–24% in 8 (13.1%) cases and high-expression in 53 (86.9%) cases (Table 3).
Table 3.
Clinicopathological characteristics of the OSCC patients and its association with p-S6 expression.
Regarding intensity, one case was negative (1.6%), 6 cases (9.8%) were classified as weak, 25 (41%) as moderate and 29 (47.5%) as strong intensity cases and grouped as negative/weak intensity (7; 11.5%) and moderate/strong intensity (54; 88.5%) cases for statistical analysis (Table 3). Staining was observed in cell cytoplasm of all detected cases and in some cases (28; 45.9%) also in the membrane. The expression distribution within the tumour islands was homogeneous in 44 (73.3%) cases, or was predominantly detected in their central part in 7 cases (11.7%) or at the periphery in 9 cases (15%) (Figure 2).
Figure 2.
Immunohistochemical staining of the p-S6 in four cases of OSCC already observed in Figure 1, showing now low expression (extent and intensity) (A) and high expression (extent and intensity) of p-S6 (B–D). Numbers 1 and 2 correspond to magnification of 10× and 20×, respectively.
A significant association was observed between p-S6 intensity expression and presence of necrosis (p = 0.042) where tumours with necrosis were less likely to have a high p-S6 intensity score (Table 3).
3.3. Correlation between Biomarkers
Tumours with high expression of p-mTOR tend to possess a higher expression of p-S6, although this was observed with statistically significant correlation only in extent score analysis (p < 0.001) even when categorised in two categories (p = 0.001). Correlation of both biomarkers using intensity score was not significantly evident (p = 0.237) even when categorised in two categories (p = 0.281).
3.4. Analysis of Cancer-Specific Survival
At the end of the study, from 50 patients with information concerning survival, 5 patients (10%) were alive without oral cancer, 6 patients (12%) were alive with oral cancer, 33 patients (66%) had died as a result of oral cancer and 6 (12%) died from other causes. Cancer-specific survival rate corresponded to 30.5% at 1-year of follow-up and 22% at 2-years of follow-up. The follow-up mean for all patients was 6.8 ± 1.5 months.
In univariate analysis, tumour stage (p = 0.001), histological type (p = 0.013), pattern of invasion (p = 0.011), stage of invasion (p = 0.009), treatment (p = 0.048) and p-S6 extension (p = 0.023) were statistically associated with cancer-specific survival (Table 4 and Table 5; Figure 3 and Figure 4).
Table 4.
Univariate analysis of cancer-specific survival (CSS) according to clinical and histopathological variables.
Table 5.
Univariate analysis of cancer-specific survival (CSS) according to biomarkers expression.
Figure 3.
Kaplan Meier curve of CCS for tumour stage, pattern of invasion, histological type and stage of invasion.
Figure 4.
Kaplan Meier curves of CCS for p-mTOR and p-S6 extent and intensity scores.
In multivariate analysis for CSS, we found an independent prognostic value for treatment, p-S6 extension and tumour stage, where dogs with tumours treated with palliative or support approach (HR 1.949; 95% CI, 1.178–3.223, p = 0.009), with tumours with high p-S6 expression (HR 11.577; 95% CI, 1.316–101.826, p = 0.027) or tumours with advanced tumour stage (HR 5.005; 95% CI, 1.405–17.829, p = 0.013) had more risk of dying comparing with the respective other categories of each variable (Table 6).
Table 6.
Multivariate analysis of the cancer-specific survival.
4. Discussion
This study provides the first analysis of protein expression associated with the PI3K/AKT/mTOR pathway in canine oral squamous cell carcinoma, correlating them with clinic and pathologic parameters. Based on the present sample, we found that almost all cases expressed the activated (i.e., phosphorylated) form of mTOR, with the majority of the cases revealing a high expression of this marker (72.1%). In one study including canine mammary carcinomas, p-mTOR labelling was found in 78% of the cases (n = 45) [25] and in another study on canine prostatic carcinomas p-mTOR occurred at higher levels (more than 75%) [26]. By contrast, in canine hemangiosarcomas only 35% of samples had weak to moderate expression of p-mTOR [27]. These variations may be associated to the different locations of the tumours, with our results suggesting high expression in canine OSCC.
Increasing attention has been paid to the mTOR pathway specially because it could be a potential target for cancer therapy in both dogs and humans [15,16,21,23,26,27,41,42,43,44,45,46]. This is directed to decrease the activity of tumour cell using single molecules such as everolimus, curcumin or in combination with other therapies [47,48,49], to decrease the resistance to chemotherapy by mTOR inhibition (e.g., temsirolimus) [50] and radiotherapy [51] and interestingly also to prevent oral cancer, by its use in human oral potentially malignant disorders (OPMD), where the use of molecules such as metformin, or other molecules decreased these premalignant lesions with decreased mTOR activity [24]. Our results on mTOR expression (mostly high expression) suggest that canine OSCC should be a candidate for further investigation of target therapy directed toward mTOR.
No information on the association of p-mTOR expression with clinical/pathologic variables in canine oral cancer exists so far, to our knowledge, which makes comparisons of the present results difficult. In the present study, we found significant association only between p-mTOR extent score and pattern of tumour invasion (when grouped I + II vs III + IV) and between p-mTOR intensity score expression and number of mitosis, although in a different association direction than the expected. This can be related with the present sample constitution, by the participation of other phosphorylation sites than that evaluated in this study or an indirect effect of other regulation mechanism by other genes/proteins or pathways. In other canine cancers, associations with clinic and pathologic variables were not common. In one study by Delgado et al. (2015) [25] in canine mammary carcinomas no significant relationship was found between p-mTOR cytoplasmic expression and histological type or grading of carcinomas, degree of tubular formation, anisokaryosis, mitotic activity or lymph node metastasis. In another study on canine prostatic carcinoma, p-mTOR protein level was positively correlated with higher Gleason score [26]. In human OSCC, p-mTOR was not significantly related with any of the clinical and pathologic variables [17].
Proteins in the mTOR pathway could indicate some information on prognosis of patients with head and neck cancers [23]. In one study on human OSCC, tumours with high expression of p-mTOR had lower overall survival with an independent effect noted in multivariate analysis [17]. In the present study p-mTOR expression was not statistically related with CSS. By contrast, tumours with advanced tumour stage, high pattern or high stage of invasion, conventional histological type tumours, or higher rate of squamous differentiation were related with worse survival rates. mTOR deregulated status in canine carcinogenesis could be related with other several molecules with multidirectional functions, compromising the value of this protein as a biomarker of prognosis in these tumours. However, the p-S6 protein has been used as a biomarker of the function of mTOR in human cancers [24]. We initially hypothesised if this protein could be more specific as prognostic biomarker than mTOR. Mammalian TOR is a serine/threonine kinase which phosphorylates translation regulators such as the p70-S6 kinase that in turn phosphorylates the ribosomal protein S6, the most downstream target of this pathway [52]. In this view, an overexpression of p-S6 could indicate a deregulated activation of mTOR pathway. In the present sample, we found that the majority of cases reveal a high expression of p-S6 which is in line with that observed in canine cutaneous squamous cell carcinoma (cSCC) in Ressel et al., 2019 [52] study. Most of their cSCC samples (130/140, 92.85%) showed a high expression of p-S6, with many of the cells with a cytoplasmic staining located in the basal and parabasal cells layers, as observed in our samples of OSCC. Furthermore, and confirming our initial hypothesis, in the present study, p-S6 expression was related to CSS, where tumours with high expression had lower survival with an independent effect noted in multivariate analysis. To the best of our knowledge, the data presented here is the first report of both p-mTOR and p-S6 expression in canine OSCC, highlighting p-S6 as an independent prognostic factor in canine OSCC. Unfortunately, there is no other study evaluating p-S6 as prognostic biomarkers in canine OSCC. In human OSCC, Vicent et al. (2017) analysed the expression of p-S6 in a series of 125 human patients with OSCC and verified expression of p-S6 protein on either serine 235/236 or serine 240/244 in 83% and 88% tumours, respectively, and both of them were inversely and significantly associated with the tumour size and local infiltration, however no associations were found with survival outcomes [53].
Additionally, to these results, many interest is also directed to the possibility of using this molecule, as a target for anticancer therapy or as a biomarker of therapy response. On a study by Enjoji et al. (2015) [54] on canine melanoma cell lines phosphorylation level of p70, S6 kinase was decreased by SET (an endogenous inhibitor for PP2A, a serine/threonine phosphatase) knockdown. The results of this study demonstrated the potential therapeutic application of SET inhibitors for canine melanoma. On a similar manner, S6 kinase inhibitors may be used on canine squamous cell carcinomas. On two others similar studies, one by Kent et al. (2009) [43] in canine melanoma cell lines and the other in canine osteosarcoma cell lines treated with rapamycin, both resulted in a reduction of phosphorylated mTOR expression and phosphorylated p70S6K expression. These data support the molecular basis for using mTOR inhibitors as an antineoplastic approach in canine cancer. Another study (Hsu C, et al. (2018)) confirmed the effect of NVP-BEZ235 (dactolisib), a dual PI3K/mTOR inhibitor, on human OSCC cells, showing a new strategy for controlling the proliferation, migration and invasion of OSCC cells using a phopho-p70S6K inhibitor [55].
We acknowledge some limitations in our study, including its retrospective nature, small sample of patients, short follow-up time and incomplete clinical information that led to the exclusion of some cases that could have participated in the study. However, including multivariate analysis we controlled some potential confounding variables showing a promising role of these biomarkers, specially p-S6, in canine OSCC.
5. Conclusions
Our data suggest that p-mTOR and p-S6 proteins are commonly expressed in canine OSCC, and p-S6 expression is correlated with poor CSS in dogs with OSCC. Further understanding with regard to the role of the mTOR pathway in canine OSCC may provide an improved insight of oral tumorigenesis and may open up new treatment possibilities for these tumours.
Author Contributions
Conceptualisation, L.D., L.M., I.P. and J.P.; search and collection of data, L.D. and P.B.-S.; histological evaluation, L.D. and J.P.; immunohistochemistry and analysis, L.D. and F.G.; analysis and interpretation of the results was performed by all authors. All authors contributed to the manuscript development. All authors have read and agreed to the published version of the manuscript.
Funding
The participation of Justina Prada and Isabel Pires were supported by the projects UIDB/CVT/00772/2020 and LA/P/0059/2020 funded by the Portuguese Foundation for Science and Technology (FCT). The research uses some material from the project grant IPO2021_PI2RL_IINFACTS_2021 from CESPU University.
Institutional Review Board Statement
The study was conducted according to the guidelines of the Declaration of Helsinki, and approved by the INNO lab administration board (nº INNO/2021/01).
Informed Consent Statement
Informed consent was obtained from patient’s tutors involved in the study, when applicable, according INNO lab administration board rules.
Data Availability Statement
The data information could be asked to the correspondent author.
Acknowledgments
The authors would like to thank the Departments of Pathology of INNO lab and to the Histopathology and Advanced Microscopy Lab from UNIPRO Research Unit (IUCS).
Conflicts of Interest
There are no potential conflict of interest.
References
- Vail, D.M.; Thamm, D.H.; Liptak, J.M. 23—Cancer of the Gastrointestinal Tract. In Withrow and MacEwen’s Small Animal Clinical Oncology, 6th ed.; Vail, D.M., Thamm, D.H., Liptak, J.M., Eds.; W.B. Saunders: St. Louis, MO, USA, 2020; pp. 432–491. [Google Scholar]
- Delgado, L.; Simões, P.; Prada, J.; Monteiro, L. Oral pathology in a portuguese dogs population: An eight-year biopsy-based retrospective cross-sectional study. J. Vet. Dent. 2022; in press. [Google Scholar]
- Thaiwong, T.; Sledge, D.G.; Collins-Webb, A.; Kiupel, M. Immunohistochemical Characterization of Canine Oral Papillary Squamous Cell Carcinoma. Vet. Pathol. 2018, 55, 224–232. [Google Scholar] [CrossRef] [PubMed]
- Soukup, J.W.; Snyder, C.J.; Simmons, B.T.; Pinkerton, M.E.; Chun, R. Clinical, Histologic, and Computed Tomographic Features of Oral Papillary Squamous Cell Carcinoma in Dogs: 9 Cases (2008–2011). J. Vet. Dent. 2013, 30, 18–24. [Google Scholar] [CrossRef]
- Van der Steen, F.; Zandvliet, M. Treatment of canine oral papillary squamous cell carcinoma using definitive-intent radiation as a monotherapy—A case series. Vet. Comp. Oncol. 2021, 19, 152–159. [Google Scholar] [CrossRef]
- Nemec, A.; Murphy, B.; Kass, P.H.; Verstraete, F.J. Histological subtypes of oral non-tonsillar squamous cell carcinoma in dogs. J. Comp. Pathol. 2012, 147, 111–120. [Google Scholar] [CrossRef] [PubMed]
- Miranda-Filho, A.; Bray, F. Global patterns and trends in cancers of the lip, tongue and mouth. Oral Oncol. 2020, 102, 104551. [Google Scholar] [CrossRef]
- Warnakulasuriya, S.; Kerr, A.R. Oral Cancer Screening: Past, Present, and Future. J. Dent. Res. 2021, 100, 1313–1320. [Google Scholar] [CrossRef]
- Johnson, N.W.; Warnakulasuriya, S.; Gupta, P.C.; Dimba, E.; Chindia, M.; Otoh, E.C.; Sankaranarayanan, R.; Califano, J.; Kowalski, L. Global oral health inequalities in incidence and outcomes for oral cancer: Causes and solutions. Adv. Dent. Res. 2011, 23, 237–246. [Google Scholar] [CrossRef]
- Warnakulasuriya, S. Causes of oral cancer--an appraisal of controversies. Br. Dent. J. 2009, 207, 471–475. [Google Scholar] [CrossRef]
- Secretan, B.; Straif, K.; Baan, R.; Grosse, Y.; El Ghissassi, F.; Bouvard, V.; Benbrahim-Tallaa, L.; Guha, N.; Freeman, C.; Galichet, L.; et al. A review of human carcinogens—Part E: Tobacco, areca nut, alcohol, coal smoke, and salted fish. Lancet Oncol. 2009, 10, 1033–1034. [Google Scholar] [CrossRef]
- Mariano, L.C.; Warnakulasuriya, S.; Straif, K.; Monteiro, L. Secondhand smoke exposure and oral cancer risk: A systematic review and meta-analysis. Tob. Control 2021. [Google Scholar] [CrossRef] [PubMed]
- Gupta, R.; Mariano, L.C.; Nethan, S.T.; Kedar, A.; Sinha, D.N.; Warnakulasuriya, S.; Monteiro, L.; Sharma, S.; Gupta, S.; Singh, S.; et al. Risk Reversal of Oral, Pharyngeal and Oesophageal Cancers after Cessation of Betel Quid Users: A Systematic Review and Meta-Analysis. Ann. Glob. Health 2022, 88, 5. [Google Scholar] [CrossRef] [PubMed]
- Maekawa, N.; Konnai, S.; Okagawa, T.; Nishimori, A.; Ikebuchi, R.; Izumi, Y.; Takagi, S.; Kagawa, Y.; Nakajima, C.; Suzuki, Y.; et al. Immunohistochemical Analysis of PD-L1 Expression in Canine Malignant Cancers and PD-1 Expression on Lymphocytes in Canine Oral Melanoma. PLoS ONE 2016, 11, e0157176. [Google Scholar] [CrossRef]
- Tavares, C.; Eloy, C.; Melo, M.; Gaspar da Rocha, A.; Pestana, A.; Batista, R.; Bueno Ferreira, L.; Rios, E.; Sobrinho Simões, M.; Soares, P. mTOR Pathway in Papillary Thyroid Carcinoma: Different Contributions of mTORC1 and mTORC2 Complexes for Tumor Behavior and SLC5A5 mRNA Expression. Int. J. Mol. Sci. 2018, 19, 1448. [Google Scholar] [CrossRef]
- Fattahi, S.; Amjadi-Moheb, F.; Tabaripour, R.; Ashrafi, G.H.; Akhavan-Niaki, H. PI3K/AKT/mTOR signaling in gastric cancer: Epigenetics and beyond. Life Sci. 2020, 262, 118513. [Google Scholar] [CrossRef] [PubMed]
- Monteiro, L.S.; Delgado, M.L.; Ricardo, S.; Garcez, F.; do Amaral, B.; Warnakulasuriya, S.; Lopes, C. Phosphorylated mammalian target of rapamycin is associated with an adverse outcome in oral squamous cell carcinoma. Oral Surg. Oral Med. Oral Pathol. Oral Radiol. 2013, 115, 638–645. [Google Scholar] [CrossRef] [PubMed]
- Vivanco, I.; Sawyers, C.L. The phosphatidylinositol 3-Kinase AKT pathway in human cancer. Nat. Rev. Cancer 2002, 2, 489–501. [Google Scholar] [CrossRef]
- Aggarwal, S.; John, S.; Sapra, L.; Sharma, S.C.; Das, S.N. Targeted disruption of PI3K/Akt/mTOR signaling pathway, via PI3K inhibitors, promotes growth inhibitory effects in oral cancer cells. Cancer Chemother. Pharmacol. 2019, 83, 451–461. [Google Scholar] [CrossRef]
- Dey, S.; Singh, A.K.; Singh, A.K.; Rawat, K.; Banerjee, J.; Agnihotri, V.; Upadhaya, D. Critical pathways of oral squamous cell carcinoma: Molecular biomarker and therapeutic intervention. Med. Oncol. 2022, 39, 30. [Google Scholar] [CrossRef]
- Pópulo, H.; Lopes, J.M.; Soares, P. The mTOR signalling pathway in human cancer. Int. J. Mol. Sci. 2012, 13, 1886–1918. [Google Scholar] [CrossRef]
- Moura, A.C.; Assad, D.X.; Amorim Dos Santos, J.; Porto de Toledo, I.; Barra, G.B.; Castilho, R.M.; Squarize, C.H.; Guerra, E.N.S. Worldwide prevalence of PI3K-AKT-mTOR pathway mutations in head and neck cancer: A systematic review and meta-analysis. Crit. Rev. Oncol. Hematol. 2021, 160, 103284. [Google Scholar] [CrossRef] [PubMed]
- Marques, A.E.; Elias, S.T.; Porporatti, A.L.; Castilho, R.M.; Squarize, C.H.; De Luca Canto, G.; Guerra, E.N. mTOR pathway protein immunoexpression as a prognostic factor for survival in head and neck cancer patients: A systematic review and meta-analysis. J. Oral Pathol. Med. 2016, 45, 319–328. [Google Scholar] [CrossRef] [PubMed]
- Gutkind, J.S.; Molinolo, A.A.; Wu, X.; Wang, Z.; Nachmanson, D.; Harismendy, O.; Alexandrov, L.B.; Wuertz, B.R.; Ondrey, F.G.; Laronde, D.; et al. Inhibition of mTOR signaling and clinical activity of metformin in oral premalignant lesions. JCI Insight 2021, 6, e147096. [Google Scholar] [CrossRef]
- Delgado, L.; Gärtner, F.; Dias Pereira, P. Activation of Mammalian target of rapamycin in canine mammary carcinomas: An immunohistochemical study. J. Comp. Pathol. 2015, 152, 138–144. [Google Scholar] [CrossRef]
- Rivera-Calderón, L.G.; Fonseca-Alves, C.E.; Kobayashi, P.E.; Carvalho, M.; Vasconcelos, R.O.; Laufer-Amorim, R. p-mTOR, p-4EBP-1 and eIF4E expression in canine prostatic carcinoma. Res. Vet. Sci. 2019, 122, 86–92. [Google Scholar] [CrossRef] [PubMed]
- Murai, A.; Abou Asa, S.; Kodama, A.; Sakai, H.; Hirata, A.; Yanai, T. Immunohistochemical analysis of the Akt/mTOR/4E-BP1 signalling pathway in canine haemangiomas and haemangiosarcomas. J. Comp. Pathol. 2012, 147, 430–440. [Google Scholar] [CrossRef]
- Chen, Y.T.; Tan, K.A.; Pang, L.Y.; Argyle, D.J. The class I PI3K/Akt pathway is critical for cancer cell survival in dogs and offers an opportunity for therapeutic intervention. BMC Vet. Res. 2012, 8, 73. [Google Scholar] [CrossRef] [PubMed]
- Wang, Z.; Valera, J.C.; Zhao, X.; Chen, Q.; Gutkind, J.S. mTOR co-targeting strategies for head and neck cancer therapy. Cancer Metastasis. Rev. 2017, 36, 491–502. [Google Scholar] [CrossRef]
- Day, T.A.; Shirai, K.; O’Brien, P.E.; Matheus, M.G.; Godwin, K.; Sood, A.J.; Kompelli, A.; Vick, J.A.; Martin, D.; Vitale-Cross, L.; et al. Inhibition of mTOR Signaling and Clinical Activity of Rapamycin in Head and Neck Cancer in a Window of Opportunity Trial. Clin. Cancer Res. 2019, 25, 1156–1164. [Google Scholar] [CrossRef]
- Amornphimoltham, P.; Patel, V.; Sodhi, A.; Nikitakis, N.G.; Sauk, J.J.; Sausville, E.A.; Molinolo, A.A.; Gutkind, J.S. Mammalian target of rapamycin, a molecular target in squamous cell carcinomas of the head and neck. Cancer Res. 2005, 65, 9953–9961. [Google Scholar] [CrossRef]
- Epstein, M.; Kuehn, N.F.; Landsberg, G.; Lascelles, B.D.; Marks, S.L.; Schaedler, J.M.; Tuzio, H. AAHA senior care guidelines for dogs and cats. J. Am. Anim. Hosp. Assoc. 2005, 41, 81–91. [Google Scholar] [CrossRef] [PubMed]
- Head, K.W. Histological Classification of Tumors of the Alimentary System of Domestic Animals; Armed Forces Institute of Pathology: USA, 2003. [Google Scholar]
- Anneroth, G.; Batsakis, J.; Luna, M. Review of the literature and a recommended system of malignancy grading in oral squamous cell carcinomas. Scand. J. Dent. Res. 1987, 95, 229–249. [Google Scholar] [CrossRef] [PubMed]
- Bryne, M.; Koppang, H.S.; Lilleng, R.; Stene, T.; Bang, G.; Dabelsteen, E. New malignancy grading is a better prognostic indicator than Broders’ grading in oral squamous cell carcinomas. J. Oral Pathol. Med. 1989, 18, 432–437. [Google Scholar] [CrossRef]
- Edge, S.B. AJCC Cancer Staging Manual, 8th ed.; Springer: New York, NY, USA, 2017. [Google Scholar]
- Munday, J.S.; Löhr, C.V.; Kiupel, M. Tumors of the Alimentary Tract. In Tumors in Domestic Animals; Wiley-Blackwell: USA, 2016; pp. 499–601. [Google Scholar]
- Clemente-Vicario, F.; Alvarez, C.E.; Rowell, J.L.; Roy, S.; London, C.A.; Kisseberth, W.C.; Lorch, G. Human Genetic Relevance and Potent Antitumor Activity of Heat Shock Protein 90 Inhibition in Canine Lung Adenocarcinoma Cell Lines. PLoS ONE 2015, 10, e0142007. [Google Scholar] [CrossRef] [PubMed]
- Riggs, J.; Adams, V.J.; Hermer, J.V.; Dobson, J.M.; Murphy, S.; Ladlow, J.F. Outcomes following surgical excision or surgical excision combined with adjunctive, hypofractionated radiotherapy in dogs with oral squamous cell carcinoma or fibrosarcoma. J. Am. Vet. Med. Assoc. 2018, 253, 73–83. [Google Scholar] [CrossRef] [PubMed]
- Fulton, A.J.; Nemec, A.; Murphy, B.G.; Kass, P.H.; Verstraete, F.J. Risk factors associated with survival in dogs with nontonsillar oral squamous cell carcinoma 31 cases (1990–2010). J. Am. Vet. Med. Assoc. 2013, 243, 696–702. [Google Scholar] [CrossRef]
- Simpson, D.R.; Mell, L.K.; Cohen, E.E. Targeting the PI3K/AKT/mTOR pathway in squamous cell carcinoma of the head and neck. Oral Oncol. 2015, 51, 291–298. [Google Scholar] [CrossRef]
- Gordon, I.K.; Ye, F.; Kent, M.S. Evaluation of the mammalian target of rapamycin pathway and the effect of rapamycin on target expression and cellular proliferation in osteosarcoma cells from dogs. Am. J. Vet. Res. 2008, 69, 1079–1084. [Google Scholar] [CrossRef]
- Kent, M.S.; Collins, C.J.; Ye, F. Activation of the AKT and mammalian target of rapamycin pathways and the inhibitory effects of rapamycin on those pathways in canine malignant melanoma cell lines. Am. J. Vet. Res. 2009, 70, 263–269. [Google Scholar] [CrossRef]
- Yin, X.; Hu, L.; Feng, X.; Wang, H.; Zhang, C.; Wang, H.; Wang, S. Simultaneous activation of impaired autophagy and the mammalian target of rapamycin pathway in oral squamous cell carcinoma. J. Oral Pathol. Med. 2019, 48, 705–711. [Google Scholar] [CrossRef]
- Paoloni, M.C.; Mazcko, C.; Fox, E.; Fan, T.; Lana, S.; Kisseberth, W.; Vail, D.M.; Nuckolls, K.; Osborne, T.; Yalkowsy, S.; et al. Rapamycin pharmacokinetic and pharmacodynamic relationships in osteosarcoma: A comparative oncology study in dogs. PLoS ONE 2010, 5, e11013. [Google Scholar] [CrossRef] [PubMed]
- Harsha, C.; Banik, K.; Ang, H.L.; Girisa, S.; Vikkurthi, R.; Parama, D.; Rana, V.; Shabnam, B.; Khatoon, E.; Kumar, A.P.; et al. Targeting AKT/mTOR in Oral Cancer: Mechanisms and Advances in Clinical Trials. Int. J. Mol. Sci. 2020, 21, 3285. [Google Scholar] [CrossRef] [PubMed]
- Borges, G.A.; Elias, S.T.; Amorim, B.; de Lima, C.L.; Coletta, R.D.; Castilho, R.M.; Squarize, C.H.; Guerra, E.N.S. Curcumin downregulates the PI3K-AKT-mTOR pathway and inhibits growth and progression in head and neck cancer cells. Phytother. Res. 2020, 34, 3311–3324. [Google Scholar] [CrossRef] [PubMed]
- Patel, J.; Nguyen, S.A.; Ogretmen, B.; Gutkind, J.S.; Nathan, C.A.; Day, T. mTOR inhibitor use in head and neck squamous cell carcinoma: A meta-analysis on survival, tumor response, and toxicity. Laryngoscope Investig. Otolaryngol. 2020, 5, 243–255. [Google Scholar] [CrossRef]
- Marquard, F.E.; Jücker, M. PI3K/AKT/mTOR signaling as a molecular target in head and neck cancer. Biochem. Pharmacol. 2020, 172, 113729. [Google Scholar] [CrossRef] [PubMed]
- Nakano, T.; Warner, K.A.; Oklejas, A.E.; Zhang, Z.; Rodriguez-Ramirez, C.; Shuman, A.G.; Nör, J.E. mTOR Inhibition Ablates Cisplatin-Resistant Salivary Gland Cancer Stem Cells. J. Dent. Res. 2021, 100, 377–386. [Google Scholar] [CrossRef]
- Wanigasooriya, K.; Tyler, R.; Barros-Silva, J.D.; Sinha, Y.; Ismail, T.; Beggs, A.D. Radiosensitising Cancer Using Phosphatidylinositol-3-Kinase (PI3K), Protein Kinase B (AKT) or Mammalian Target of Rapamycin (mTOR) Inhibitors. Cancers 2020, 12, 1278. [Google Scholar] [CrossRef]
- Sanz Ressel, B.L.; Massone, A.R.; Barbeito, C.G. Immunohistochemical expression of selected phosphoproteins of the mTOR signalling pathway in canine cutaneous squamous cell carcinoma. Vet. J. 2019, 245, 41–48. [Google Scholar] [CrossRef]
- De Vicente, J.C.; Peña, I.; Rodrigo, J.P.; Rodríguez-Santamarta, T.; Lequerica-Fernández, P.; Suárez-Fernández, L.; Allonca, E.; García-Pedrero, J.M. Phosphorylated ribosomal protein S6 correlation with p21 expression and inverse association with tumor size in oral squamous cell carcinoma. Head Neck 2017, 39, 1876–1887. [Google Scholar] [CrossRef]
- Enjoji, S.; Yabe, R.; Fujiwara, N.; Tsuji, S.; Vitek, M.P.; Mizuno, T.; Nakagawa, T.; Usui, T.; Ohama, T.; Sato, K. The therapeutic effects of SET/I2PP2A inhibitors on canine melanoma. J. Vet. Med. Sci. 2015, 77, 1451–1456. [Google Scholar] [CrossRef][Green Version]
- Hsu, C.M.; Lin, P.M.; Lin, H.C.; Tsai, Y.T.; Tsai, M.S.; Li, S.H.; Wu, C.Y.; Yang, Y.H.; Lin, S.F.; Yang, M.Y. NVP-BEZ235 Attenuated Cell Proliferation and Migration in the Squamous Cell Carcinoma of Oral Cavities and p70S6K Inhibition Mimics its Effect. Int. J. Mol. Sci. 2018, 19, 3546. [Google Scholar] [CrossRef] [PubMed]
Publisher’s Note: MDPI stays neutral with regard to jurisdictional claims in published maps and institutional affiliations. |
© 2022 by the authors. Licensee MDPI, Basel, Switzerland. This article is an open access article distributed under the terms and conditions of the Creative Commons Attribution (CC BY) license (https://creativecommons.org/licenses/by/4.0/).



