Alternative Splicing of the Last TKFC Intron Yields Transcripts Differentially Expressed in Human Tissues That Code In Vitro for a Protein Devoid of Triokinase and FMN Cyclase Activity
Abstract
1. Introduction
2. Materials and Methods
2.1. PCR Cloning, Construction, and Sequencing of Plasmid pGEX-6P-3-hF1
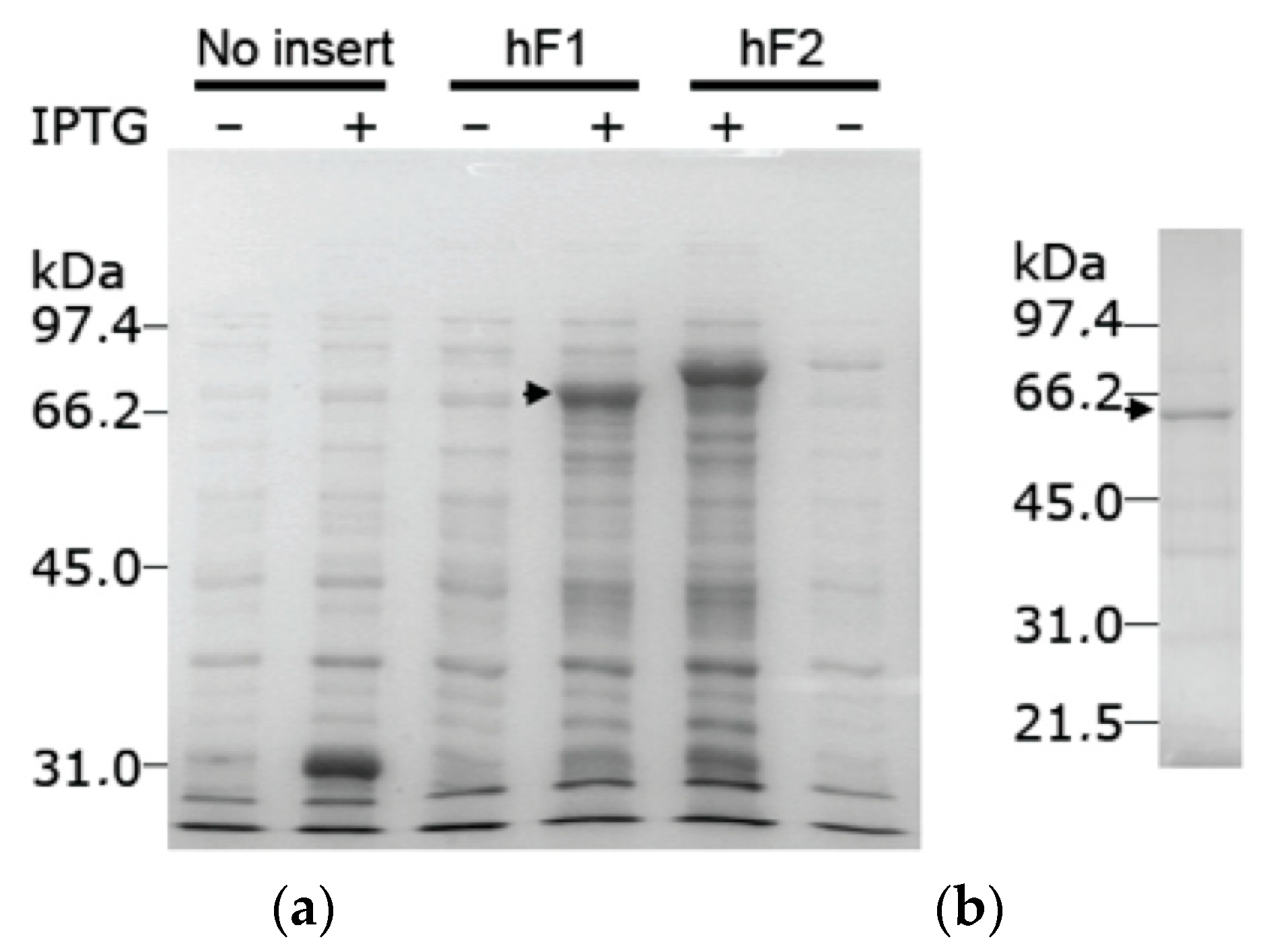
2.2. Expression of Plasmid pGEX-6P-3-hF1 in BL21 Cells
2.3. Purification of TKFC Isoform X8
2.4. Triokinase and FMN Cyclase Assays of Recombinant TKFC Isoform X8
2.5. Multiple Tissue Northern Blot
2.6. Molecular Modeling
3. Results
3.1. Cloning and Sequence Analysis of the Coding Sequence of TKFC Protein Isoform X8 Formed by Intervention of an Alternative 3′-Splice Site in TKFC Intron 17
3.2. Expression and Catalytic Inactivity of the Recombinant Protein Isoform X8
3.3. Tissue Expression of TKFC-Gene Transcripts Formed with Alternative 3′-Splice Sites of Intron 17 Studied by Northern Analysis
3.4. Tissue Expression of TKFC-Gene Transcripts Quantified by RNA-Seq
4. Discussion
4.1. Possible Role of the Inactive TKFC Isoform X8
4.2. Comparison of the TKFC Transcripts Recorded in Databases with Those Detected in the Northern Blot
4.3. Comparison between tkfc-Type and tkfc_ins56-Type Splices of Intron 17 in Different Human Tissues
5. Conclusions
Supplementary Materials
Author Contributions
Funding
Institutional Review Board Statement
Informed Consent Statement
Data Availability Statement
Conflicts of Interest
References
- Cabezas, A.; Costas, M.J.; Pinto, R.M.; Couto, A.; Cameselle, J.C. Identification of human and rat FAD-AMP lyase (cyclic FMN forming) as ATP-dependent dihydroxyacetone kinases. Biochem. Biophys. Res. Commun. 2005, 338, 1682–1689. [Google Scholar] [CrossRef] [PubMed]
 - Rodrigues, J.R.; Couto, A.; Cabezas, A.; Pinto, R.M.; Ribeiro, J.M.; Canales, J.; Costas, M.J.; Cameselle, J.C. Bifunctional homodimeric triokinase/FMN cyclase: Contribution of protein domains to the activities of the human enzyme and molecular dynamics simulation of domain movements. J. Biol. Chem. 2014, 289, 10620–10636. [Google Scholar] [CrossRef] [PubMed]
 - Hers, H.G.; Kusaka, T. Le metabolisme du fructose-1-phosphate dans le foie. Biochim. Biophys. Acta 1953, 11, 427–437. [Google Scholar] [CrossRef] [PubMed]
 - Sillero, M.A.G.; Sillero, A.; Sols, A. Enzymes involved in fructose metabolism in liver and the glyceraldehyde metabolic crossroads. Eur. J. Biochem. 1969, 10, 345–350. [Google Scholar] [CrossRef]
 - Herman, M.A.; Birnbaum, M.J. Molecular aspects of fructose metabolism and metabolic disease. Cell Metab. 2021, 33, 2329–2354. [Google Scholar] [CrossRef]
 - Hannou, S.A.; Haslam, D.E.; McKeown, N.M.; Herman, M.A. Fructose metabolism and metabolic disease. J. Clin. Investig. 2018, 128, 545–555. [Google Scholar] [CrossRef]
 - Hernandez, A.; Hedlich-Dwyer, J.; Hussain, S.; Levi, H.; Sonavane, M.; Suzuki, T.; Kamiya, H.; Gassman, N.R. Acute exposure to dihydroxyacetone promotes genotoxicity and chromosomal instability in lung, cardiac, and liver cell models. Toxicol. Sci. 2024, 201, 85–102. [Google Scholar] [CrossRef]
 - Molin, M.; Norbeck, J.; Blomberg, A. Dihydroxyacetone kinases in Saccharomyces cerevisiae are involved in detoxification of dihydroxyacetone. J. Biol. Chem. 2003, 278, 1415–1423. [Google Scholar] [CrossRef]
 - Mehta, R.; Sonavane, M.; Migaud, M.E.; Gassman, N.R. Exogenous exposure to dihydroxyacetone mimics high fructose induced oxidative stress and mitochondrial dysfunction. Environ. Mol. Mutagen. 2021, 62, 185–202. [Google Scholar] [CrossRef]
 - Beutler, E.; Guinto, E. Dihydroxyacetone metabolism by human erythrocytes: Demonstration of triokinase activity and its characterization. Blood 1973, 41, 559–568. [Google Scholar] [CrossRef]
 - Liu, L.; Li, T.; Liao, Y.; Wang, Y.; Gao, Y.; Hu, H.; Huang, H.; Wu, F.; Chen, Y.G.; Xu, S.; et al. Triose kinase controls the lipogenic potential of fructose and dietary tolerance. Cell Metab. 2020, 32, 605–618. [Google Scholar] [CrossRef] [PubMed]
 - Fraiz, F.J.; Pinto, R.M.; Costas, M.J.; Avalos, M.; Canales, J.; Cabezas, A.; Cameselle, J.C. Enzymic formation of riboflavin 4′,5′-cyclic phosphate from FAD: Evidence for a specific low-Km FMN cyclase in rat liver. Biochem. J. 1998, 330, 881–888. [Google Scholar] [CrossRef] [PubMed]
 - Cabezas, A.; Pinto, R.M.; Fraiz, F.; Canales, J.; González-Santiago, S.; Cameselle, J.C. Purification, characterization, and substrate and inhibitor structure-activity studies of rat liver FAD-AMP lyase (cyclizing): Preference for FAD and specificity for splitting ribonucleoside diphosphate-X into ribonucleotide and a five-atom cyclic phosphodiester of X, either a monocyclic compound or a cis-bicyclic phosphodiester-pyranose fusion. Biochemistry 2001, 40, 13710–13722. [Google Scholar] [CrossRef] [PubMed]
 - Canales, J.; Cabezas, A.; Pinto, R.M.; Cameselle, J.C. Fluorimetric HPLC detection of endogenous riboflavin 4′,5′-cyclic phosphate in rat liver at nanomolar concentrations. Anal. Biochem. 2005, 341, 214–219. [Google Scholar] [CrossRef]
 - Yamano, K.; Saito, H.; Ogasawara, Y.; Fujii, S.; Yamada, H.; Shirahama, H.; Kawai, H. The autofluorescent substance in the posterior flagellum of swarmers of the brown alga Scytosiphon lomentaria. Z. Naturforschung C 1996, 51, 155–159. [Google Scholar] [CrossRef]
 - Diao, F.; Li, S.; Tian, Y.; Zhang, M.; Xu, L.G.; Zhang, Y.; Wang, R.P.; Chen, D.; Zhai, Z.; Zhong, B.; et al. Negative regulation of MDA5- but not RIG-I-mediated innate antiviral signaling by the dihydroxyacetone kinase. Proc. Natl. Acad. Sci. USA 2007, 104, 11706–11711. [Google Scholar] [CrossRef]
 - Liao, G.; Liu, J.; Yin, L.; He, Y.; Qiao, G.; Song, W.; He, Y.; Deng, Z.; Xiao, J.; Feng, H. DAK inhibits MDA5-mediated signaling in the antiviral innate immunity of black carp. Dev. Comp. Immunol. 2022, 126, 104255. [Google Scholar] [CrossRef]
 - Mu, M.; Niu, W.; Chu, F.; Dong, Q.; Hu, S.; Niu, C. CircSOBP suppresses the progression of glioma by disrupting glycolysis and promoting the MDA5-mediated immune response. iScience 2023, 26, 107897. [Google Scholar] [CrossRef]
 - Han, J.; Chu, Q.; Huo, R.; Xu, T. Inducible microRNA-122 modulates RIG-I signaling pathway via targeting DAK in miiuy croaker after poly(I:C) stimulation. Dev. Comp. Immunol. 2018, 78, 52–60. [Google Scholar] [CrossRef]
 - Lee, H.J.; Cha, J.Y. Recent insights into the role of ChREBP in intestinal fructose absorption and metabolism. BMB Rep. 2018, 51, 429–436. [Google Scholar] [CrossRef]
 - Tsukamoto, R.; Watanabe, K.; Kodaka, M.; Iwase, M.; Sakiyama, H.; Inoue, Y.; Suzuki, T.; Yamamoto, Y.; Shimizu, M.; Sato, R.; et al. HNF4α is required for Tkfc promoter activation by ChREBP. Biosci. Biotechnol. Biochem. 2024, 88, 941–947. [Google Scholar] [CrossRef] [PubMed]
 - Iizuka, K. Recent Progress on Fructose Metabolism-Chrebp, Fructolysis, and Polyol Pathway. Nutrients 2023, 15, 1778. [Google Scholar] [CrossRef] [PubMed]
 - Onoufriadis, A.; Cabezas, A.; Ng, J.C.F.; Canales, J.; Costas, M.J.; Ribeiro, J.M.; Rodrigues, J.R.; McAleer, M.A.; Castelo-Soccio, L.; Simpson, M.A.; et al. Autosomal recessive hypotrichosis with loose anagen hairs associated with TKFC mutations. Br. J. Dermatol. 2021, 184, 935–943. [Google Scholar] [CrossRef] [PubMed]
 - Wortmann, S.B.; Meunier, B.; Mestek-Boukhibar, L.; van den Broek, F.; Maldonado, E.M.; Clement, E.; Weghuber, D.; Spenger, J.; Jaros, Z.; Taha, F.; et al. Bi-allelic variants in TKFC encoding triokinase/FMN cyclase are associated with cataracts and multisystem disease. Am. J. Hum. Genet. 2020, 106, 256–263. [Google Scholar] [CrossRef]
 - Tremblay-Laganière, C.; Michaud, C.; Abourjaili-Bilodeau, R.; Cabezas, A.; Canales, J.; Costas, M.J.; Ribeiro, J.M.; Leclerc-Blain, J.; Touzot, F.; Haddad, E.; et al. Homozygous variant in TKFC abolishing triokinase activities is associated with isolated immunodeficiency. J. Med. Genet. 2024, 61, 886–890. [Google Scholar] [CrossRef]
 - Ashaat, E.A.; Esmaiel, N.N.; El-Saiedi, S.A.; Ashaat, N.A.; Hussen, D.F.; Ramadan, A.; Al Kersh, M.A.; AbdelHakim, N.S.; Said, I.; Metwally, A.M.; et al. Biallelic TYR and TKFC variants in Egyptian patients with OCA1 and new expanded TKFC features. BMC Genom. 2024, 25, 844. [Google Scholar] [CrossRef] [PubMed]
 - Morales, J.; Pujar, S.; Loveland, J.E.; Astashyn, A.; Bennett, R.; Berry, A.; Cox, E.; Davidson, C.; Ermolaeva, O.; Farrell, C.M.; et al. A joint NCBI and EMBL-EBI transcript set for clinical genomics and research. Nature 2022, 604, 310–315. [Google Scholar] [CrossRef]
 - Ribeiro, J.M.; Costas, M.J.; Cabezas, A.; Meunier, B.; Onoufriadis, A.; Cameselle, J.C. The TKFC Ala185Thr variant, reported as ‘null’ for fructose metabolism, is fully active as triokinase. FEBS Lett. 2022, 596, 1453–1457. [Google Scholar] [CrossRef]
 - Engler-Blum, G.; Meier, M.; Frank, J.; Muller, G.A. Reduction of background problems in nonradioactive Northern and Southern blot analyses enables higher sensitivity than 32P-based hybridizations. Anal. Biochem. 1993, 210, 235–244. [Google Scholar] [CrossRef]
 - Humphrey, W.; Dalke, A.; Schulten, K. VMD: Visual molecular dynamics. J. Mol. Graph. 1996, 14, 33–38. [Google Scholar] [CrossRef]
 - Reese, M.G.; Eeckman, F.H.; Kulp, D.; Haussler, D. Improved splice site detection in Genie. J. Comput. Biol. 1997, 4, 311–323. [Google Scholar] [CrossRef] [PubMed]
 - Kurosaki, T.; Maquat, L.E. Nonsense-mediated mRNA decay in humans at a glance. J. Cell Sci. 2016, 129, 461–467. [Google Scholar] [CrossRef] [PubMed]
 - Shi, R.; McDonald, L.; Cui, Q.; Matte, A.; Cygler, M.; Ekiel, I. Structural and mechanistic insight into covalent substrate binding by Escherichia coli dihydroxyacetone kinase. Proc. Natl. Acad. Sci. USA 2011, 108, 1302–1307. [Google Scholar] [CrossRef] [PubMed]
 - Uhlén, M.; Fagerberg, L.; Hallström, B.M.; Lindskog, C.; Oksvold, P.; Mardinoglu, A.; Sivertsson, Å.; Kampf, C.; Sjöstedt, E.; Asplund, A.; et al. Proteomics. Tissue-based map of the human proteome. Science 2015, 347, 1260419. [Google Scholar] [CrossRef] [PubMed]
 - Lonsdale, J.; Thomas, J.; Salvatore, M.; Phillips, R.; Lo, E.; Shad, S.; Hasz, R.; Walters, G.; Garcia, F.; Young, N.; et al. The Genotype-Tissue Expression (GTEx) project. Nat. Genet. 2013, 45, 580–585. [Google Scholar] [CrossRef]
 - Li, B.; Dewey, C.N. RSEM: Accurate transcript quantification from RNA-Seq data with or without a reference genome. BMC Bioinform. 2011, 12, 323. [Google Scholar] [CrossRef]
 







| TKFC Transcript Variant 1 | TKFC Protein Isoform 2 | |||||
|---|---|---|---|---|---|---|
| Name | Accession no. | Length (nt) | Intron 17 Splice Type | Name | Accession no. | Same as | 
| 1 | NM_001351977.2 | 2252 | a | NP_001338906.1 | ||
| 2 | NM_015533.4 | 4673 | tkfc 3 | b | NP_056348.2 | T185A-X6 | 
| 3 | NM_001351976.2 | 4755 | tkfc | b | NP_001338905.1 | T185A-X6 | 
| 4 | NM_001351978.2 | 2353 | c | NP_001338907.1 | T185A-X7 | |
| 5 | NM_001351979.2 | 4246 | tkfc_ins56 4 | d | NP_001338908.1 | T185A-X8 | 
| 6 | NM_001351980.2 | 4344 | tkfc_ins56 | e | NP_001338909.1 | |
| X1 | XM_054368358.1 | 3841 | X1 | XP_054224333.1 | ||
| X2 | XM_054368359.1 | 5988 | tkfc | X2 | XP_054224334.1 | |
| X3 | XM_054368360.1 | 3668 | X3 | XP_054224335.1 | ||
| X4 | XM_054368361.1 | 3823 | X4 | XP_054224336.1 | ||
| X5 | XM_054368363.1 | 2526 | X4 | XP_054224338.1 | ||
| X6 | XM_054368364.1 | 2628 | X4 | XP_054224339.1 | ||
| X7 | XM_054368365.1 | 5561 | tkfc_ins56 | X5 | XP_054224340.1 | |
| X8 | XM_054368366.1 | 5970 | tkfc | X6 | XP_054224341.1 | A185T-b (ABA10576.1) 5 | 
| X9 | XM_054368368.1 | 5001 | tkfc | X6 | XP_054224343.1 | A185T-b (ABA10576.1) 5 | 
| X10 | XM_054368369.1 | 3650 | X7 | XP_054224344.1 | A185T-c | |
| X11 | XM_054368370.1 | 2455 | X7 | XP_054224345.1 | A185T-c | |
| X12 | XM_054368371.1 | 5543 | tkfc_ins56 | X8 | XP_054224346.1 | A185T-d (ABC70184.1) 6 | 
| X13 | XM_054368372.1 | 5317 | tkfc_ins56 | X8 | XP_054224347.1 | A185T-d (ABC70184.1) 6 | 
| X14 | XM_054368373.1 | 4348 | tkfc_ins56 | X8 | XP_054224348.1 | A185T-d (ABC70184.1) 6 | 
| X15 | XM_054368362.1 | 3597 | X4 | XP_054224337.1 | ||
| X16 | XM_054368367.1 | 5744 | tkfc | X6 | XP_054224342.1 | A185T-b (ABA10576.1) 5 | 
| Transcript ID | ENST00000529479.5 | ENST00000394900.7 | ENST00000525366.5 | 
|---|---|---|---|
| Length | 1781 nt | 4678 nt | 916 nt | 
| Hybridize with probe | INS50 | E17E18 | E17E18 | 
| Protein isoform encoded | T185A+F437S-X8 1 | T185A-X6 | None | 
| Transcripts per million | |||
| Brain (mean of 11 locations) | 2.27 | 1.40 | 6.93 | 
| Heart (mean of 2 locations) | 1.72 | 0.52 | 3.21 | 
| Skeletal Muscle | 2.34 | 0.68 | 2.99 | 
| Colon | 4.73 | 1.99 | 8.79 | 
| Thymus | not available | not available | not available | 
| Spleen | 6.22 | 1.84 | 13.50 | 
| Kidney (mean of 2 locations) | 8.37 | 2.76 | 21.15 | 
| Liver | 17.40 | 4.47 | 47.80 | 
| Small Intestine | 26.00 | 6.93 | 50.60 | 
| Placenta | not available | not available | not available | 
| Lung | 4.73 | 1.97 | 10.70 | 
Disclaimer/Publisher’s Note: The statements, opinions and data contained in all publications are solely those of the individual author(s) and contributor(s) and not of MDPI and/or the editor(s). MDPI and/or the editor(s) disclaim responsibility for any injury to people or property resulting from any ideas, methods, instructions or products referred to in the content.  | 
© 2024 by the authors. Licensee MDPI, Basel, Switzerland. This article is an open access article distributed under the terms and conditions of the Creative Commons Attribution (CC BY) license (https://creativecommons.org/licenses/by/4.0/).
Share and Cite
Costas, M.J.; Couto, A.; Cabezas, A.; Pinto, R.M.; Ribeiro, J.M.; Cameselle, J.C. Alternative Splicing of the Last TKFC Intron Yields Transcripts Differentially Expressed in Human Tissues That Code In Vitro for a Protein Devoid of Triokinase and FMN Cyclase Activity. Biomolecules 2024, 14, 1288. https://doi.org/10.3390/biom14101288
Costas MJ, Couto A, Cabezas A, Pinto RM, Ribeiro JM, Cameselle JC. Alternative Splicing of the Last TKFC Intron Yields Transcripts Differentially Expressed in Human Tissues That Code In Vitro for a Protein Devoid of Triokinase and FMN Cyclase Activity. Biomolecules. 2024; 14(10):1288. https://doi.org/10.3390/biom14101288
Chicago/Turabian StyleCostas, María Jesús, Ana Couto, Alicia Cabezas, Rosa María Pinto, João Meireles Ribeiro, and José Carlos Cameselle. 2024. "Alternative Splicing of the Last TKFC Intron Yields Transcripts Differentially Expressed in Human Tissues That Code In Vitro for a Protein Devoid of Triokinase and FMN Cyclase Activity" Biomolecules 14, no. 10: 1288. https://doi.org/10.3390/biom14101288
APA StyleCostas, M. J., Couto, A., Cabezas, A., Pinto, R. M., Ribeiro, J. M., & Cameselle, J. C. (2024). Alternative Splicing of the Last TKFC Intron Yields Transcripts Differentially Expressed in Human Tissues That Code In Vitro for a Protein Devoid of Triokinase and FMN Cyclase Activity. Biomolecules, 14(10), 1288. https://doi.org/10.3390/biom14101288
        
                                                
