Ergonomic Consideration in Pillow Height Determinants and Evaluation
Abstract
1. Introduction
2. Methods
2.1. Search Strategy
2.2. Study Selection
2.3. Data Extraction
2.4. Data Synthesis
3. Results
3.1. Subjects and Population
3.2. Pillow Samples
3.3. Postures
3.4. Determinants and Measurement Methods
3.5. Optimization or Selection Criteria
3.6. Study Scope and Key Findings
4. Discussion
5. Perspective
6. Conclusions
Author Contributions
Funding
Institutional Review Board Statement
Informed Consent Statement
Conflicts of Interest
References
- Krueger, J.M.; Frank, M.G.; Wisor, J.P.; Roy, S. Sleep function: Toward elucidating an enigma. Sleep Med. Rev. 2016, 28, 46–54. [Google Scholar] [CrossRef] [PubMed]
- Li, Y.; Wu, J.; Lu, C.; Tang, Z.; Li, C. Pillow Support Model with Partitioned Matching Based on Body Pressure Distribution Matrix. Healthcare 2021, 9, 571. [Google Scholar] [CrossRef]
- Irwin, M.; McClintick, J.; Costlow, C.; Fortner, M.; White, J.; Gillin, J.C. Partial night sleep deprivation reduces natural killer and cellular immune responses in humans. FASEB J. Off. Publ. Fed. Am. Soc. Exp. Biol. 1996, 10, 643–653. [Google Scholar] [CrossRef]
- Swanson, L.M.; Arnedt, J.T.; Rosekind, M.R.; Belenky, G.; Balkin, T.J.; Drake, C. Sleep disorders and work performance: Findings from the 2008 National Sleep Foundation Sleep in America poll. J. Sleep Res. 2011, 20, 487–494. [Google Scholar] [CrossRef] [PubMed]
- Wong, D.W.; Wang, Y.; Lin, J.; Tan, Q.; Chen, T.L.; Zhang, M. Sleeping mattress determinants and evaluation: A biomechanical review and critique. PeerJ 2019, 7, e6364. [Google Scholar] [CrossRef] [PubMed]
- Meerlo, P.; Sgoifo, A.; Suchecki, D. Restricted and disrupted sleep: Effects on autonomic function, neuroendocrine stress systems and stress responsivity. Sleep Med. Rev. 2008, 12, 197–210. [Google Scholar] [CrossRef]
- Palermo, T.M.; Wilson, A.C.; Lewandowski, A.S.; Toliver-Sokol, M.; Murray, C.B. Behavioral and psychosocial factors associated with insomnia in adolescents with chronic pain. Pain 2011, 152, 89–94. [Google Scholar] [CrossRef]
- Di Cagno, A.; Minganti, C.; Quaranta, F.; Pistone, E.M.; Fagnani, F.; Fiorilli, G.; Giombini, A. Effectiveness of a new cervical pillow on pain and sleep quality in recreational athletes with chronic mechanical neck pain: A preliminary comparative study. J. Sports Med. Phys. Fit. 2017, 57, 1154–1161. [Google Scholar] [CrossRef]
- Her, J.G.; Ko, D.H.; Woo, J.H.; Choi, Y.E. Development and comparative evaluation of new shapes of pillows. J. Phys. Ther. Sci. 2014, 26, 377–380. [Google Scholar] [CrossRef][Green Version]
- Lavin, R.A.; Pappagallo, M.; Kuhlemeier, K.V. Cervical pain: A comparison of three pillows. Arch. Phys. Med. Rehabil. 1997, 78, 193–198. [Google Scholar] [CrossRef]
- Chen, H.-L.; Cai, D. Body dimension measurements for pillow design for Taiwanese. Work A J. Prev. Assess. Rehabil. 2012, 41, 1288–1295. [Google Scholar] [CrossRef] [PubMed]
- Chun-Yiu, J.P.; Man-Ha, S.T.; Chak-Lun, A.F. The effects of pillow designs on neck pain, waking symptoms, neck disability, sleep quality and spinal alignment in adults: A systematic review and meta-analysis. Clin. Biomech. 2021, 85, 105353. [Google Scholar] [CrossRef]
- Huang, P.-T.; Alice, M.K. Prediction of optimal pillow height by anthropometric parameters. In Proceedings of the 3rd Kuala Lumpur International Conference on Biomedical Engineering 2006, Kuala Lumpur, Malaysia, 11–14 December 2006; Ibrahim, F., Osman, N.A.A., Usman, J., Kadri, N.A., Eds.; IFMBE Proceedings: Berlin/Heidelberg, Germany, 2007; Volume 15, pp. 222–223. [Google Scholar]
- Wang, J.-C.; Chan, R.-C.; Wu, H.-L.; Lai, C.-J. Effect of pillow size preference on extensor digitorum communis muscle strength and electromyographic activity during maximal contraction in healthy individuals: A pilot study. J. Chin. Med. Assoc. 2015, 78, 182–187. [Google Scholar] [CrossRef][Green Version]
- Gordon, S.J.; Grimmer-Somers, K. Your Pillow May Not Guarantee a Good Night’s Sleep or Symptom-Free Waking. Physiother. Canada. Physiother. Can. 2011, 63, 183–190. [Google Scholar] [CrossRef]
- Radwan, A.; Ashton, N.; Gates, T.; Kilmer, A.; VanFleet, M. Effect of different pillow designs on promoting sleep comfort, quality, & spinal alignment: A systematic review. Eur. J. Integr. Med. 2021, 42. [Google Scholar] [CrossRef]
- Huysmans, T.; Haex, B.; De Wilde, T.; Van Audekereke, R.; Vander Sloten, J.; Van der Perre, G. A 3D active shape model for the evaluation of the alignment of the spine during sleeping. Gait Posture 2006, 24, 54–61. [Google Scholar] [CrossRef] [PubMed]
- Verhaert, V.; Haex, B.; De Wilde, T.; Berckmans, D.; Verbraecken, J.; de Valck, E.; Sloten, J.V. Ergonomics in bed design: The effect of spinal alignment on sleep parameters. Ergonomics 2011, 54, 169–178. [Google Scholar] [CrossRef] [PubMed]
- Sacco, I.C.; Pereira, I.L.; Dinato, R.C.; Silva, V.C.; Friso, B.; Viterbo, S.F. The effect of pillow height on muscle activity of the neck and mid-upper back and patient perception of comfort. J. Manip. Physiol. Ther. 2015, 38, 375–381. [Google Scholar] [CrossRef]
- Kim, H.C.; Jun, H.S.; Kim, J.H.; Ahn, J.H.; Chang, I.B.; Song, J.H.; Oh, J.K. The Effect of Different Pillow Heights on the Parameters of Cervicothoracic Spine Segments. Korean J. Spine 2015, 12, 135–138. [Google Scholar] [CrossRef]
- Cai, D.; Chen, H.-L. Ergonomic approach for pillow concept design. Appl. Ergon. 2016, 52, 142–150. [Google Scholar] [CrossRef] [PubMed]
- Ren, S.; Wong, D.W.; Yang, H.; Zhou, Y.; Lin, J.; Zhang, M. Effect of pillow height on the biomechanics of the head-neck complex: Investigation of the cranio-cervical pressure and cervical spine alignment. PeerJ 2016, 4, e2397. [Google Scholar] [CrossRef] [PubMed]
- Li, X.; Hu, H.; Liao, S. Can Pillow Height Effect the Body Pressure Distribution and Sleep Comfort: A Study of Quinquagenarian Women. In Proceedings of the 3rd International Conference on Energy Equipment Science and Engineering, Beijing, China, 28–31 December 2017; Volume 128.
- Lin, Y.H.; Huang, W.Y. Cervical postures and electromyographic activities of related neck muscles when using a neck support pillow. J. Biomech. 2007, 40, S414. [Google Scholar] [CrossRef]
- Gordon, S.J.; Grimmer-Somers, K.; Trott, P. Pillow use: The behaviour of cervical pain, sleep quality and pillow comfort in side sleepers. Man. Ther. 2009, 14, 671–678. [Google Scholar] [CrossRef]
- Jeon, M.Y.; Jeong, H.; Lee, S.; Choi, W.; Park, J.H.; Tak, S.J.; Choi, D.H.; Yim, J. Improving the quality of sleep with an optimal pillow: A randomized, comparative study. Tohoku J. Exp. Med. 2014, 233, 183–188. [Google Scholar] [CrossRef] [PubMed]
- De Koninck, J.; Lorrain, D.; Gagnon, P. Sleep positions and position shifts in five age groups: An ontogenetic picture. Sleep 1992, 15, 143–149. [Google Scholar] [CrossRef]
- Gordon, S.; Jones, A.; Sealey, R.; Buettner, P. Body position and cardio-respiratory variables in older people. Arch. Gerontol. Geriatr. 2011, 52, 23–27. [Google Scholar] [CrossRef] [PubMed][Green Version]
- Leung, R.S.; Bowman, M.E.; Parker, J.D.; Newton, G.E.; Bradley, T.D. Avoidance of the left lateral decubitus position during sleep in patients with heart failure: Relationship to cardiac size and function. J. Am. Coll. Cardiol. 2003, 41, 227–230. [Google Scholar] [CrossRef][Green Version]
- Oksenberg, A.; Khamaysi, I.; Silverberg, D.S.; Tarasiuk, A. Association of body position with severity of apneic events in patients with severe nonpositional obstructive sleep apnea. Chest 2000, 118, 1018–1024. [Google Scholar] [CrossRef]
- Penzel, T.; Möller, M.; Becker, H.F.; Knaack, L.; Peter, J.H. Effect of sleep position and sleep stage on the collapsibility of the upper airways in patients with sleep apnea. Sleep 2001, 24, 90–95. [Google Scholar] [CrossRef]
- Verhaert, V.; Van Deun, D.; Verbraecken, J.; Vandekerckhove, M.; Exadaktylos, V.; Haex, B.; Vander Sloten, J. Smart control of spinal alignment through active adjustment of mechanical bed properties during sleep. J. Ambient Intell. Smart Environ. 2013, 5, 369–380. [Google Scholar] [CrossRef]
- Yang, T.-H.; Xirasagar, S.; Cheng, Y.-F.; Wu, C.-S.; Kao, Y.-W.; Shia, B.-C.; Lin, H.-C. Association of cervical spondylosis with obstructive sleep apnea. Sleep Med. 2020, 71, 54–58. [Google Scholar] [CrossRef]
- Hanel, S.E.; Dartman, T.; Shishoo, R. Measuring methods for comfort rating of seats and beds. Int. J. Ind. Ergon. 1997, 20, 163–172. [Google Scholar] [CrossRef]
- Adams, M.A.; Hutton, W.C. The effect of posture on the fluid content of lumbar intervertebral discs. Spine 1983, 8, 665–671. [Google Scholar] [CrossRef]
- Mork, P.J.; Westgaard, R.H. The association between nocturnal trapezius muscle activity and shoulder and neck pain. Eur. J. Appl. Physiol. 2004, 92, 18–25. [Google Scholar] [CrossRef]
- Suter, E.; McMorland, G. Decrease in elbow flexor inhibition after cervical spine manipulation in patients with chronic neck pain. Clin. Biomech. 2002, 17, 541–544. [Google Scholar] [CrossRef]
- Alizadeh, M.; Knapik, G.G.; Mageswaran, P.; Mendel, E.; Bourekas, E.; Marras, W.S. Biomechanical musculoskeletal models of the cervical spine: A systematic literature review. Clin. Biomech. 2020, 71, 115–124. [Google Scholar] [CrossRef] [PubMed]
- Liu, S.-F.; Lee, Y.-L.; Liang, J.-C. Shape design of an optimal comfortable pillow based on the analytic hierarchy process method. J. Chiropr. Med. 2011, 10, 229–239. [Google Scholar] [CrossRef]
- Li, G.; Wang, D.; Xue, C. Study on Measurement of Pillow Height in cervical Spondylosis in Young and Middle-Aged Patients. Chin. J. Tradit. Med. Traumatol. Orthop. 2002, 10, 30–32. [Google Scholar]
- Erfanian, P.; Tenzif, S.; Guerriero, R.C. Assessing effects of a semi-customized experimental cervical pillow on symptomatic adults with chronic neck pain with and without headache. J. Can. Chiropr. Assoc. 2004, 48, 20–28. [Google Scholar] [PubMed]
- López-Torres, M.; Porcar, R.; Solaz, J.; Romero, T. Objective firmness, average pressure and subjective perception in mattresses for the elderly. Appl. Ergon. 2008, 39, 123–130. [Google Scholar] [CrossRef] [PubMed]
- Low, F.Z.; Chua, M.C.; Lim, P.Y.; Yeow, C.H. Effects of Mattress Material on Body Pressure Profiles in Different Sleeping Postures. J. Chiropr. Med. 2017, 16, 1–9. [Google Scholar] [CrossRef]
- Lee, W.D.; Lee, J.U.; Park, J.; Kim, J. Analysis of the body pressure-related sensory changes in the static supine position for healthy science research: A randomized controlled pilot trial. Toxicol. Environ. Health Sci. 2015, 7, 211–216. [Google Scholar] [CrossRef]
- Nachemson, A.; Elfström, G. Intravital dynamic pressure measurements in lumbar discs. A study of common movements, maneuvers and exercises. Scandinavian journal of rehabilitation medicine. Supplement 1970, 1, 1–40. [Google Scholar]
- Knott, P.T.; Mardjetko, S.M.; Techy, F. The use of the T1 sagittal angle in predicting overall sagittal balance of the spine. Spine J. Off. J. N. Am. Spine Soc. 2010, 10, 994–998. [Google Scholar] [CrossRef] [PubMed]
- Bridges, E.J.; Schmelz, J.O.; Mazer, S. Skin interface pressure on the NATO litter. Mil. Med. 2003, 168, 280–286. [Google Scholar] [CrossRef] [PubMed][Green Version]
- Harrison, M.F.; Garcia, K.M.; Sargsyan, A.E.; Ebert, D.; Riascos-Castaneda, R.F.; Dulchavsky, S.A. Preflight, In-Flight, and Postflight Imaging of the Cervical and Lumbar Spine in Astronauts. Aerosp. Med. Hum. Perform. 2018, 89, 32–40. [Google Scholar] [CrossRef] [PubMed]
- Belavy, D.L.; Adams, M.; Brisby, H.; Cagnie, B.; Danneels, L.; Fairbank, J.; Hargens, A.R.; Judex, S.; Scheuring, R.A.; Sovelius, R.; et al. Disc herniations in astronauts: What causes them, and what does it tell us about herniation on earth? Eur. Spine J. 2016, 25, 144–154. [Google Scholar] [CrossRef] [PubMed]
- Zhang, J.; Zhang, Q.; Wang, Y.; Qiu, C. A Real-time Auto-Adjustable Smart Pillow System for Sleep Apnea Detection and Treatment. IEEE 2013, 179–190. [Google Scholar]
- Yang, I. Height Self-Adjusting Smart Air Pillow, Has Smart Phone Bluetooth Sensor Interlocked with Detection Sensor in Pillow Cover to Enable Custom Customization Based on Information Collected in Conjunction with Smart Phone Application. Patent KR2019139527-A, 8 June 2018. [Google Scholar]
- Gordon, S.J.; Grimmer-Somers, K.A.; Trott, P.H. A randomized, comparative trial: Does pillow type alter cervico-thoracic spinal posture when side lying? J. Multidiscip. Healthc. 2011, 4, 321–327. [Google Scholar] [CrossRef][Green Version]








| Author (Year) | Subjects | Exclusion Criteria | Pillow Characteristics | Manufacturer | Sleeping Postures |
|---|---|---|---|---|---|
| Spinal alignment | |||||
| Kim et al. (2015) [20] | 16 asymptomatic adult subjects Gender: NA Age: 20–30 years | Spinal diagnosis, symptoms, or treatment; Accident or injury to the cervicothoracic spine in the preceding year; Currently receiving treatment for neck symptoms. | NA | NA | Supine |
| Body dimension measurements | |||||
| Huang & Alice. (2007) [13] | 40 healthy adult subjects Gender: 20 males, 20 females Age: NA | Organic pathology, neck pain. | A urethane foam foundation, an overlying “memory foam” supporting the head and neck, a stretch terry-cloth cover, and a cotton pillowcase. | NA | No control |
| Chen & Cai. (2012) [11] | 20 students Gender: 10 males, 10 females Mean age: 22.8 ± 1.3 years | NS | NA | NA | No sleeping, the body dimensions of participants were measured in the standard standing posture. |
| Cai & Chen. (2016) [21] | 40 healthy subjects Gender: 20 males, 20 females Mean age: 25.7 ± 7.1 years 40 healthy subjects Gender: 20 males, 20 females Mean age: 34.4 ± 13.0 years 6 healthy subjects Gender: 3 males, 3 females Mean age: 34.2 ± 4.1 years | Sleep disorder; Have important work to do the next day. No physical impairments. Sleep disorder; Have important job the following day. | NA NA Materials: foam rubber Pillow types: new designed pillow prototype and current pillow of participants. | NA NA NA | A three-step testing procedure: No control, sleeping postures were recorded for further analysis. No sleeping, the body dimension of participants were measured in the standard standing posture. No control, the participants were asked to sleep using their ordinary sleeping postures. |
| Pressure distribution in the head and neck | |||||
| Ren et al. (2016) [22] | 10 healthy subjects Gender: 5 males, 5 females Mean age: 26 ± 3.6 years | Chronic myofascial pain, acute injury, or inflection over the spine. | Materials: polyurethane foamShape: B-shaped cervical pillow | Benelife, Infinitus Co. Ltd., China | Supine |
| Li, Hu & Liao. (2018) [23] | 19 quinquagenarian women Gender: 19 females Mean age: 53.74 ± 6.80 years | Cervical/lumbar disease; Cannot complete the questionnaire independently. | Materials: buckwheatSize: 55 × 35 cm | NA | Supine |
| Li et al. (2021) [2] | 6 graduate students Gender: males and females, the number is not specified. Mean age: 25 ± 2 years | Abnormal cervical curvatures; Unhealthy bodies. | 7 common ergonomic sleeping pillows with different size on the market. Materials: memory foam Density: 60D or 40D | NA | Supine and lateral |
| Electromyographic activity of neck and shoulder muscles | |||||
| Lin & Huang (2007) [24] | 30 young volunteers Gender: NA Mean age: NA | Neck disability | NA | NA | Supine |
| Sacco et al. (2015) [19] | 21 young volunteers Gender: 6 males, 15 females Mean age: 24.3 ± 6.7 years | Neurologic cervicalgia, temporomandibular disorders, cervical disc disease, sleep disorders, or shoulder joint lesions. | Materials: foam Shape: a rectangular shape Size: 55 cm width | NA | Lateral |
| Wang et al. (2015) [14] | Healthy individuals Age: >18 years | Injury to the cervicothoracic spine or dominant upper limb in the previous 6 months; Have a neurological or orthopedic condition on the dominant upper limb, cervicogenic dizziness/ headache; Currently receiving treatment for cervicothoracic spine pain. | Eleven cervical pillows with the same content but different sizes were tested. The pillow height varied from 6 cm to 12 cm and pillow width from 31 cm to 34 cm. The length of the pillows was 61 cm. | NS (from the same manufacturer) | Supine |
| Author (Year) | Measurement | Instrument (Methods) | Manufacturer | Interventions | Measurement Outcome |
|---|---|---|---|---|---|
| Spinal alignment | |||||
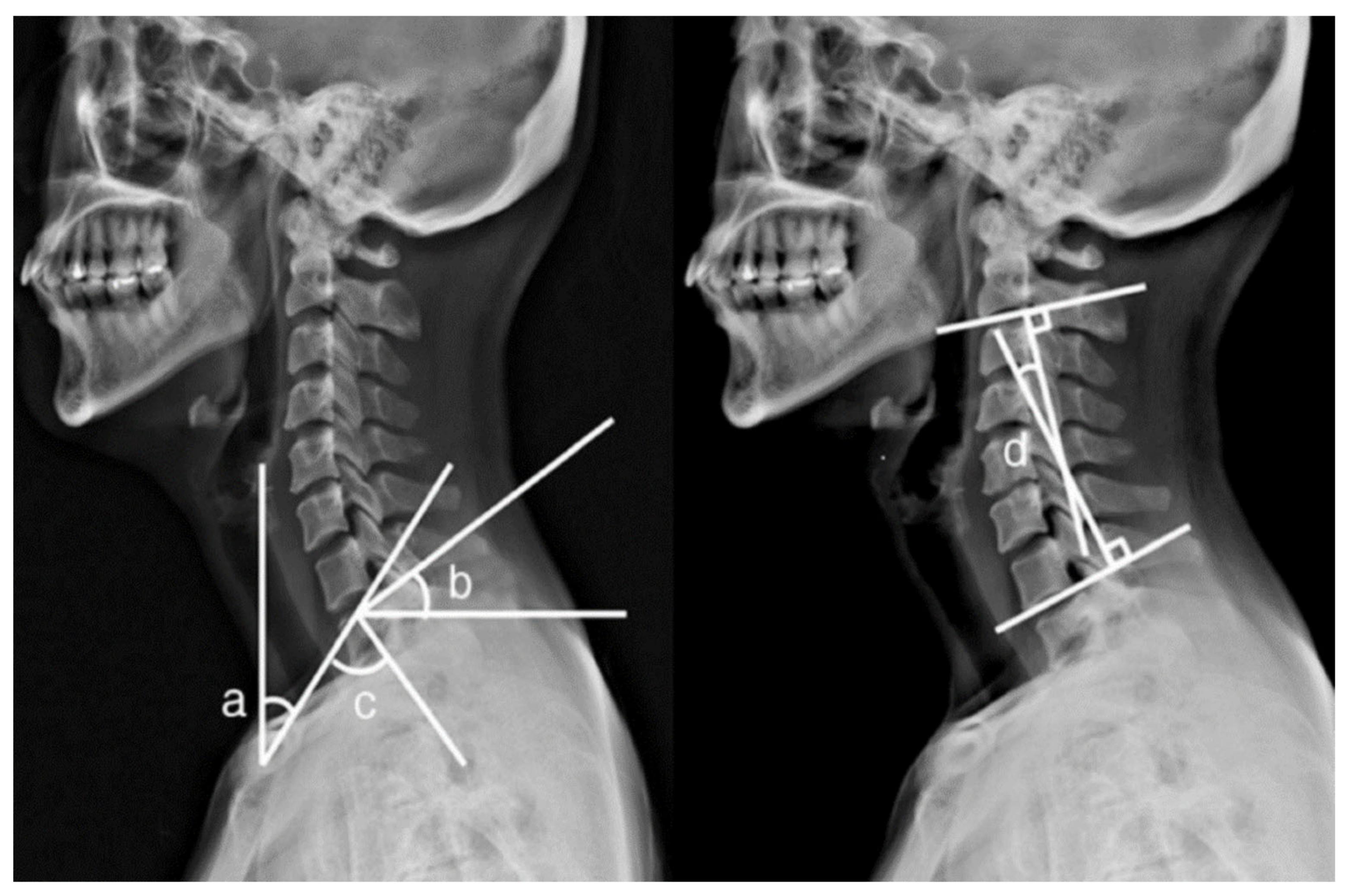
| Kim et al. (2015) [20] | Parameters of Cervicothoracic Spine Segments | Radiographs | NA | All participants were asked to try three pillows of different heights (0, 10, 20 cm). | The thoracic inlet angle (TIA), T1 slope (T1S), neck tilt (NT), and C2-7 Cobb’s angle. |
| Body dimension measurements | |||||
| Huang & Alice. (2007) [13] | 7-Day Daily Sleep Log Assessment of sleep quality Anthropometric parameters Pressure distribution | Questionnaire, record the time associated with sleep. Sleep Quality Visual Analogue Scale (SQVAS): It can assess individual subjective feelings of overall sleep quality with a possible score ranging from 0 to 10. Whole Body 3D Laser Scanner FSA pressure mapping system | NA NA From Chang Gung University, Taipei, Taiwan NA | NI NI NI NI | Time to go to bed, time to fall sleep, time to wake up and so on. Score for sleep quality. Body weight, head girth, half shoulder length, the distance of external occipital protuberance to cervical seven. Physiological interface pressure imaging (NS) |
| Chen & Cai. (2012) [11] | Body dimension | A set of Martin’s anthropometric measuring instrument: stature gauge, beam calipers, slide calipers, measure, and ruler; Body-curve measurer. | NA;Made by the study. | NI | Some body dimensions, mainly including: the width from ear to shoulder, the width from neck to shoulder, the length from hindbrain to wall, the length from neck to wall. |
| Cai & Chen. (2016) [21] | Sleep position investigation Body dimension measurements Sleep quality test | Infrared video Automatic stature and weight scale; the Martin’s anthropometric measuring instruments, including stature gauge, beam calipers, slide calipers, outside calipers, tape measure, and ruler. A compact sleep quality recorder called EZsleep (TX-EK3). | NA NA DynaDx Corporation | NI NI All participants were asked to sleep on the new designed pillow prototype and their currently used pillows for three days each. | Sleep positions were classified into four types: supine position, left lateral position, right lateral position, and prone position. The duration, rotation frequencies and the proportion of duration of the four sleep positions were recorded. Some body dimensions, mainly including: the width from ear to shoulder, the width from neck to shoulder, the length from hindbrain to wall, the length from neck to wall. Sleep quality indexes, such as total sleepduration, time taken to fall asleep, sleep apnea and so on. |
| Pressure distribution in the head and neck | |||||
| Ren et al. (2016) [22] | Craniocervical pressure distribution Cervical spine alignment | Pressure sensitive mat Abaqus finite element model | BodiTrak BT1526, Vista Medical Ltd., Winnipeg, MB, Canada Mimics (Materialise, Leuven, Belgium); Abaqus (Dassault Systèmes, RI, USA). | All participants were asked to try four pillowsof different heights (11, 13, 15 and 17 cm). Finite element predicted position of the cervical vertebrae under the four pillow height conditions. | Cranial region: average and peak pressure;Cervical region: average and peak pressure. CA: Cervical Angle; LD: Lordotic distance; KD: Kyphotic distance. |
| Li, Hu & Liao. (2018) [23] | Subjective Comfort Evaluation Body Pressure Distribution | The score ranged from 0 to 5, and 5 is the full score. Subjects were asked to rate the comfort of the following body parts: head, shoulder, waist and hip. BPMS TEK scan system | NA NA | NI All participants were asked to try four pillows of different heights (3, 7, 11 and 15 cm). | Head, shoulder, waist and hip comfort score Peak Force, Peak Contact Pressure, Contact Area on the following body parts: head, shoulder, waist and hip. |
| Li et al. (2021) [2] | Body Pressure Distribution Subjective Comfort Evaluation Body dimension | American Tekscan body pressure measurement system (BPMS) Evaluation form, including four items: softness, wrapping, support, and fit. Each item was scored on a 5-point scale, with 1 being the least comfortable and 5 being the most comfortable A profile ruler and a Martin measurement instrument. | NA NA NA | All participants were asked to try 7 common ergonomic sleeping pillows with different size on the market. NI NI | Average pressure, peak pressure, maximum pressure gradient, and average pressure gradient Score for comfort Anthropometric parameters of head, neck and shoulder. |
| Electromyographic activity of neck and shoulder muscles | |||||
| Lin & Huang (2007) [24] | Craniocervical postures Neck muscle activities | Universal goniometer. NA | NA NA | Interventions included different pillow conditions and time. (NS) All participants were asked to try three conditions: a neck support pillow, a standard pillow, and without using pillow. | The craniocervical angle in sagittal, frontal, transverse plane. Electromyography (EMG) of sternocleidomastoid (SCM) and upper trapezius (UT). |
| Sacco et al. (2015) [19] | Comfort evaluation. Electromyographic (EMG) activity of the neck and mid-upper back | 100-mm visual analog scale (VAS; 0 mm as the less comfort and 100 mm being the most comfortable). EMG system, including: an analogic-to-digital converter and Ag/AgCl circular electrodes | NA Model 800C; EMG System do Brasil, São José dos Campos, Brazil | NI All participants were asked to try three pillows of different heights (5, 10, 14 cm). | Comfort score in the neck, shoulders, and upper trunk for each pillow height Electromyographic (EMG) activity of upper trapezius, middle trapezius, sternocleidomastoid muscle. |
| Wang et al. (2015) [14] | Subjective comfort evaluation Anthropometric parameters Extensor digitorum communis (EDC) muscle activity | Subjects experienced on pillows and verbally described comfort. NA Silver/silverchloride surface electrodes | NA NA Model 9013S0242, Alpine Biomed, Skovlunde, Denmark | NI NI All participants were asked to try four pillow conditions: most comfortable pillow, next most comfortable pillow, next worst pillow and worst pillow. | Pillows are classified as most comfortable pillow, next most comfortable pillow, next worst pillow and worst pillow. Body mass index (BMI), neck length, and neck width. The isometric maximal voluntary contraction force and surface EMG of the extensor digitorum communis (EDC). |
| Author (Year) | Study Design | Scope/Objective | Key Findings |
|---|---|---|---|
| Spinal alignment | |||
| Kim et al. (2015) [20] | Crossover design | To investigate the effect of different pillow heights on the slope of the cervicothoracic spine segments. | As the height of the pillow increased, the T1S and C2-7 Cobb’s angle increased, while the NT values tended to decrease. The TIA values, however, remained constant. The 10 cm is recommended as the most suitable pillow height to maintain the physiological curvature of cervical spine. |
| Body dimension measurements | |||
| Huang & Alice. (2007) [13] | Repeated measurements | To find out the optimal pillow height fit for comfortable sleep. | A linear regression equation between pillow height and anthropometric parameters was established. |
| Chen & Cai. (2012) [11] | Repeated measurements | To determine the pillow dimensions for fitting supine and lateral positions for Taiwanese. | Two pillow models for male and female were designed. The basic form of the pillow for both genders is a U form from the front view. The pillow is lower in the middle for supine position and higher on the two sides for lateral position. A neck rest with 1.5 cm of height is proposed to pillow design for neck support during sleep. As a result of the difference of male and female body dimensions, the pillow size for female and male is also different. For male, the form of the base of pillow is a rectangle with a width of 75 cm and a depth of 40 cm from the top view. The height of middle area and both side are 4 cm and 14 cm, respectively. For female, the form of the base of pillow is a rectangle with a width of 70 cm and a depth of 35 cm from the top view. The height of middle area and both side are 2 cm and 12 cm, respectively. |
| Cai & Chen. (2016) [21] | Repeated measurements | Design of a suitable pillow for promoting sleep quality based on: Sleep position investigation to derive key-points for a pillow design. Body dimension measurements to determine pillow sizes. Pillow concept design to create pillow prototype. Sleep quality test to evaluate the new pillow prototype and the current pillow. | The supine and lateral positions were alternatively 24 times a night, and the current pillows were too high for the supine position and too low for lateral positions. The pillow height was quite different in supine position and lateral position and needed to take into consideration for a pillow design. In addition, the pillow height was also different for male and female, which was related to their body dimensions. A neck rest should be considered for neck support in the supine position. The pillow prototype was a U-form in the front of view. The pillow height in the middle area was lower for the supine position, and both sides were higher for the lateral position. The newly designed pillow led to significantly higher sleep quality, and the new design received an innovation patent. |
| Pressure distribution in the head and neck | |||
| Ren et al. (2016) [22] | Randomized crossover trial, validation of simulation | To evaluate the effect of pillow height on craniocervical pressure and cervical spine alignment. | Craniocervical pressure: The average cranial pressure at pillow height H3 was approximately 30% higher than that at H0, and significantly different from those at H1 and H2 (p < 0.05). The average cervical pressure at pillow height H0 was 65% lower than that at H3, and significantly different from those at H1 and H2 (p < 0.05). The peak cervical pressures at pillow heights H2 and H3 were significantly different from that at H0 (p < 0.05). Cervical spine alignment: Raising pillow height from H0 to H3 caused an increase of 66.4% and 25.1% in cervical angle and lordosis distance, respectively, and a reduction of 43.4% in kyphosis distance.(H0: 11 cm; H1: 13 cm; H2: 15 cm; H3: 17 cm) |
| Li, Hu & Liao. (2018) [23] | Crossover design | To explore the effect of different height buckwheat pillows on body pressure distribution and comfort for quinquagenarian women. | As the pillow height increased, neck peak contact pressure, contact area and peak force increased. At the same time, the peak force and peak contact pressure gradually shifted from the head to the hip area. It has shown that 7cm pillow height was more comfortable for supine position compared to the rest heights in this study. |
| Li et al. (2021) [2] | Crossover design | To construct an ideal pressure distribution model for head and neck support through research on the partitioned support surface of a pillow. | An ideal support model with seven partitions, including three partitions in the supine position and four partitions in the lateral position, was constructed. The ideal body pressure distribution matrix and ideal body pressure indicators and pressure sensitivity weights for each partition were provided. The pillow that was designed and manufactured based on this model reproduced the ideal pressure distribution matrix evaluated by various groups of people. |
| Electromyographic activity of neck and shoulder muscles | |||
| Lin & Huang (2007) [24] | Randomized crossover trial | To examine the changes of neck muscle activities when using different kinds of pillow. | The neck muscle activities of sternocleidomastoid was decreased mostly when using neck support pillow and been a relaxation condition. The condition without pillows would cause an unstable posture and keep sternocleidomastoid activated to maintain cephalic postures. The neck muscle activities of trapezius both had not changed within 30 min in supine position no matter what conditions with pillows or not were used. |
| Sacco et al. (2015) [19] | Single-blind randomized crossover trial | To evaluate the comfort and the electromyographic (EMG) activity of the neck and mid-upper back of asymptomatic adults using foam pillows of 3 different heights. | EMG activity: The middle trapezius muscle of the down-side showed the highest EMG activity in height 1 when compared with heights 2 (P = 0.0163) and 3 (P = 0.0313), with no statistical significance between pillow heights 2 and 3 for this muscle. There were no statistical differences between pillow heights 2 and 3 in any muscle activity. Comfort evaluation: Height 2 was considered the most comfortable (P < 0.001) compared with heights 1 and 3, and height 1 the least comfortable (P < 0.001) compared with the other heights. Conclusion: It was found that there is an association among pillow height, myoelectric activity, and comfort. (Height 1: 5 cm; Height 2: 10 cm; Height 3: 14 cm; EMG: electromyographic) |
| Wang et al. (2015) [14] | Double-blind randomized crossover trial | To study the effect of pillow size preference on the strength and electromyographic (EMG) signals of the upper extremity muscle. | The two most comfortable pillows were associated with significantly larger maximal EDC force than the two worst pillows. However, no significant differences in EMG were observed between pillows. No statistically significant correlation was found between anthropometric parameters and pillow height preference.Anatomical body measurements are not good predictors of optimal pillow height. As EDC muscle strength is affected by pillow height preference, maximal EDC muscle strength may be a useful complement for selecting the optimal pillow size. (EDC: extensor digitorum communis; EMG: electromyographic) |
Publisher’s Note: MDPI stays neutral with regard to jurisdictional claims in published maps and institutional affiliations. |
© 2021 by the authors. Licensee MDPI, Basel, Switzerland. This article is an open access article distributed under the terms and conditions of the Creative Commons Attribution (CC BY) license (https://creativecommons.org/licenses/by/4.0/).
Share and Cite
Lei, J.-X.; Yang, P.-F.; Yang, A.-L.; Gong, Y.-F.; Shang, P.; Yuan, X.-C. Ergonomic Consideration in Pillow Height Determinants and Evaluation. Healthcare 2021, 9, 1333. https://doi.org/10.3390/healthcare9101333
Lei J-X, Yang P-F, Yang A-L, Gong Y-F, Shang P, Yuan X-C. Ergonomic Consideration in Pillow Height Determinants and Evaluation. Healthcare. 2021; 9(10):1333. https://doi.org/10.3390/healthcare9101333
Chicago/Turabian StyleLei, Jia-Xing, Peng-Fei Yang, Ai-Ling Yang, Yan-Feng Gong, Peng Shang, and Xi-Chen Yuan. 2021. "Ergonomic Consideration in Pillow Height Determinants and Evaluation" Healthcare 9, no. 10: 1333. https://doi.org/10.3390/healthcare9101333
APA StyleLei, J.-X., Yang, P.-F., Yang, A.-L., Gong, Y.-F., Shang, P., & Yuan, X.-C. (2021). Ergonomic Consideration in Pillow Height Determinants and Evaluation. Healthcare, 9(10), 1333. https://doi.org/10.3390/healthcare9101333

