Undifferentiated Pleomorphic Sarcoma with Reactive Eccrine Syringofibroadenoma: A Case Report
Abstract
1. Introduction
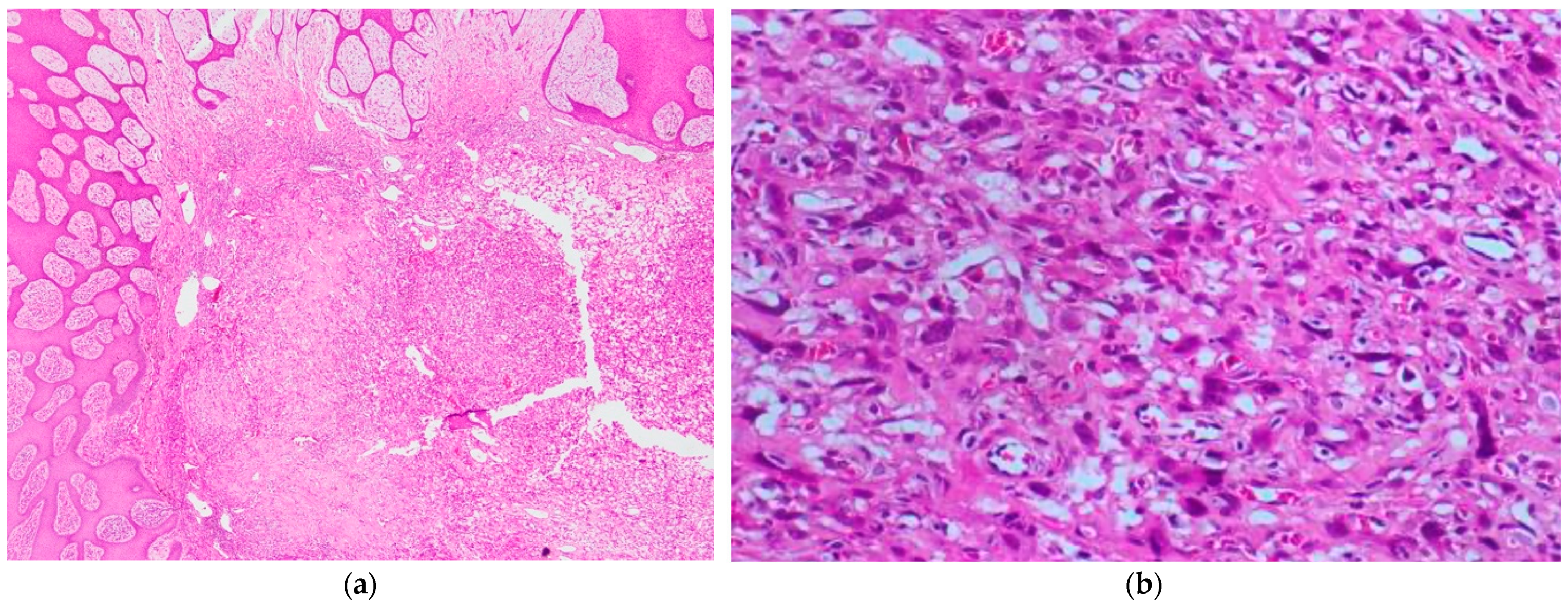
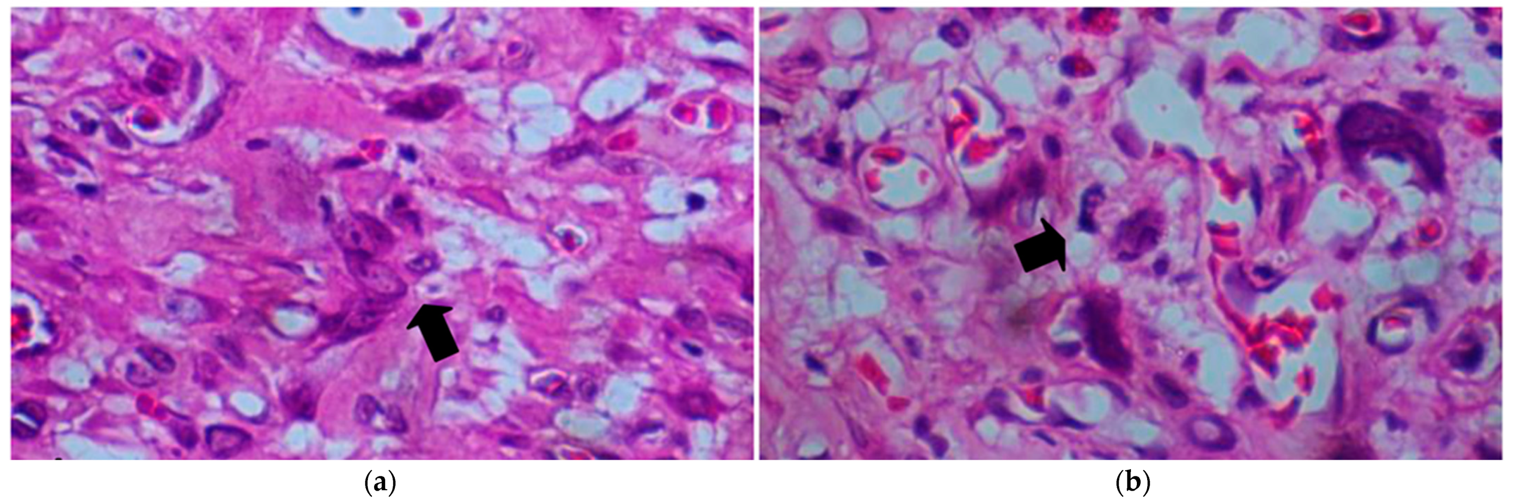
2. Case Report
3. Discussion
Author Contributions
Funding
Institutional Review Board Statement
Informed Consent Statement
Data Availability Statement
Conflicts of Interest
References
- Weiss, S.W.; Enzinger, F.M. Malignant fibrous histiocytoma. Analysis of 200 cases. Cancer 1978, 41, 2250–2566. [Google Scholar] [CrossRef] [PubMed]
- Chen, S.; Huang, W.; Luo, P.; Cai, W.; Yang, L.; Sun, Z.; Zheng, B.; Yan, W.; Wang, C. Undifferentiated Pleomorphic Sarcoma: Long-Term Follow-Up from a Large Institution. Cancer Manag. Res. 2019, 11, 10001–10009. [Google Scholar] [CrossRef]
- Chukwuma, O.; Walker, A.; Motaparthi, K.; Montanez-Wiscovich, M. Recalcitrant erosive plaques on the palms and soles: A rare manifestation of eccrine syringofibroadenoma. JAAD Case Rep. 2000, 6, 590–592. [Google Scholar] [CrossRef]
- Kleihues, P.; Sobin, L.H. World Health Organization classification of tumours. In Pathology and Genetics of Tumours of Soft Tissue and Bone; Fletcher, C.D.M., Unni, K.K., Mertens, F., Eds.; IARC Press: Lyon, France, 2002; pp. 120–125. [Google Scholar]
- Fletcher, C.D. Pleomorphic malignant fibrous histiocytoma: Fact or fiction? A critical reappraisal based on 159 tumors diagnosed as pleomorphic sarcoma. Am. J. Surg. Pathol. 1992, 16, 213–218. [Google Scholar] [CrossRef] [PubMed]
- Fletcher, C.D.; Gustafson, P.; Rydholm, A.; Willén, H.; AÅkerman, M. Clinical pathologic re evalulation of 100 malignant fibrous histiocytomas: Prognostic relevance of subclassification. J. Clin. Oncol. 2001, 19, 3045–3050. [Google Scholar] [CrossRef]
- Sbaraglia, M.; Bellan, E.; Dei Tos, A.P. The 2020 WHO Classification of Soft Tissue Tumours: News and perspectives. Pathologica 2021, 113, 70–84. [Google Scholar] [CrossRef] [PubMed]
- Bertoni, F.; Capanna, R.; Biagini, R.; Bacchini, P.; Guerra, A.; Ruggieri, P.; Present, D.; Campanacci, M. Malignant fibrous histiocytoma of soft tissue. An analysis of 76 cases located and deep seated in the extremities. Cancer 1985, 56, 356–367. [Google Scholar] [CrossRef]
- Tamada, S.; Ackerman, A.B. Dermatofibroma with monster cells. Am. J. Dermatopathol. 1987, 9, 380–387. [Google Scholar] [CrossRef]
- Setoyama, M.; Fukumaru, S.; Kanzaki, T. Case of Dermatofibroma with monster cells: A review and an immohistochemical study. Am. J. Dermatopathol. 1997, 19, 312–315. [Google Scholar] [CrossRef]
- Kaddu, S.; Mc Menamin, M.E.; Fletcher, C.D.M. Atypical fibrous histiocytoma of the skin: Clinicapathologic analysis of 59 cases of evidence of infrequent metastasis. Am. J. Surg. Pathol. 2002, 26, 35–46. [Google Scholar] [CrossRef]
- Beer, T.W.; Drury, P.; Heenan, P.J. Atypical fibroxanthema: A histological and Immunohistochemical review of 171 cases. Am. J. Dermatopathol. 2010, 32, 533–540. [Google Scholar] [CrossRef] [PubMed]
- Luzar, B.; Calonje, E. Morphological and Immunohistochemical characteristics of atypical fiboxanthoma with a special emphasis on potential diagnostic pitfalls: A review. J. Cutan. Pathol. 2010, 37, 301–319. [Google Scholar] [CrossRef]
- Mirza, B.; Weedon, D. Atypical fibroxanthoma: A clincopathological study of 89 cases. Australas. J. Dermatol. 2005, 46, 235–238. [Google Scholar] [CrossRef]
- Engellau, J.; Anderson, H.; Rydholm, A.; Bauer, H.C.; Hall, K.S.; Gustafson, P.; Åkerman, M.; Meis-Kindblom, J.; Alvegård, T.A.; Nilbert, M. Time dependence of prognostic factors for patients with soft tissue sarcoma a Scandinavian group study of 338 malignant fibrohistiocytoma. Cancer 2004, 100, 2233–2239. [Google Scholar] [CrossRef]
- Tiwary, A.K.; Firdous, J.; Mishra, D.K.; Chaudhary, S.S. A case report solitary eccrine syringofibroadenoma. Indian Dermatol. Online J. 2017, 8, 35. [Google Scholar] [CrossRef] [PubMed]
- Starink, T.M. Eccrine synringofibroadenoma: Multiple lesions representing a new cutaneous marker of the Schöpf syndrome, and solitary nonhereditary tumors. J. Am. Acad. Dermatol. 1997, 36, 569–676. [Google Scholar] [CrossRef]
- French, L. Reactive eccrine synringofibroadenoma: An emerging subtype. Dermatology 1997, 195, 309–310. [Google Scholar] [CrossRef] [PubMed]
- Trauner, M.A.; Narurkar, V.A.; Ruben, B.S. Eccrine synringofibroadenoma treated with a dual pulse width flashlamp pumped pulsed dye laser. Dermatol. Surg. 1999, 25, 418–420. [Google Scholar] [CrossRef]
- Siriknam, T.; Rojhirunsakool, S.; Vachiramon, V. Reactive eccrine synringofibroadenoma associated with neuropathy, venous stasis, and diabetic foot ulcer. Case Resp. Dermatol. 2016, 8, 124–129. [Google Scholar] [CrossRef]
- Ichikawa, E.; Fujisawa, Y.; Tateishi, Y.; Imakado, S.; Otsuka, F. Eccrine synringofibroadenoma in a patient with aburn scar ulcer. Br. J. Dermatol. 2000, 143, 591–594. [Google Scholar] [CrossRef]
- Kumar, P.; Das, A.; Das, P. Ractive eccrine synringofibroadenoma. Indian J. Dermatol. 2015, 60, 403–405. [Google Scholar]
- Nomura, K.; Hashimoto, I. Eccrine synringofibroadenomatosis in two patients with bullous pemphigoid. Dermatology 1997, 195, 395–398. [Google Scholar] [CrossRef] [PubMed]
- Temnithikul, B.; Jerasutus, S.; Sudtikoonaseth, P.; Voravutinon, N.; Kootiratrakarn, T.; Kattipathananpong, P. Eccrine synringofibroadenoma (ESFA): A report of two cases. Dermatol. Pract. Concept 2016, 6, 5–8. [Google Scholar] [CrossRef] [PubMed]
- Lee, J.S.; Park, H.; Yoon, H.S.; Cho, S. Eccrine synringofibroadenoma associated with Bowen’s disease: A case report and review of the literature. Ann. Dermatol. 2020, 32, 57–63. [Google Scholar] [CrossRef]
- Hays, J.P.; Malone, C.H.; Goodwin, B.P.; Wagner, R.F., Jr. Reactive eccrine synringofibroadenoma associated with basal cell carcinoma: A histologic mimicker of fibroepithelioma of Pinkus. Dermatol. Surg. 2018, 44, 738–740. [Google Scholar] [CrossRef]
- D’Amato, M.S.; Patterson, R.H.; Guccion, J.G.; White, J.C.; Krasnow, S.H. Porocarcinoma of heel: A case report with unusual histologic features. Cancer 1996, 79, 751–757. [Google Scholar] [CrossRef]
- Salah, H.T.; Czelusta, A.J.; Sanchez, R.L. Reactive Eccrine Syringofibroadenoma (ESFA) in Association with a Merkel Cell Carcinoma Excision Scar. Am. J. Dermatopathol. 2023, 45, 137–141. [Google Scholar] [CrossRef]





| Disclaimer/Publisher’s Note: The statements, opinions and data contained in all publications are solely those of the individual author(s) and contributor(s) and not of MDPI and/or the editor(s). MDPI and/or the editor(s) disclaim responsibility for any injury to people or property resulting from any ideas, methods, instructions or products referred to in the content. | 
© 2024 by the authors. Published by MDPI on behalf of the European Society of Dermatopathology. Licensee MDPI, Basel, Switzerland. This article is an open access article distributed under the terms and conditions of the Creative Commons Attribution (CC BY) license (https://creativecommons.org/licenses/by/4.0/).
Share and Cite
Donsakul, N.; Jerasutus, S.; Tubtieng, I.; Assavanatenapa, R.; Vejjabhinanta, V. Undifferentiated Pleomorphic Sarcoma with Reactive Eccrine Syringofibroadenoma: A Case Report. Dermatopathology 2024, 11, 286-292. https://doi.org/10.3390/dermatopathology11040030
Donsakul N, Jerasutus S, Tubtieng I, Assavanatenapa R, Vejjabhinanta V. Undifferentiated Pleomorphic Sarcoma with Reactive Eccrine Syringofibroadenoma: A Case Report. Dermatopathology. 2024; 11(4):286-292. https://doi.org/10.3390/dermatopathology11040030
Chicago/Turabian StyleDonsakul, Navinda, Suthep Jerasutus, Ittipon Tubtieng, Ravion Assavanatenapa, and Voraphol Vejjabhinanta. 2024. "Undifferentiated Pleomorphic Sarcoma with Reactive Eccrine Syringofibroadenoma: A Case Report" Dermatopathology 11, no. 4: 286-292. https://doi.org/10.3390/dermatopathology11040030
APA StyleDonsakul, N., Jerasutus, S., Tubtieng, I., Assavanatenapa, R., & Vejjabhinanta, V. (2024). Undifferentiated Pleomorphic Sarcoma with Reactive Eccrine Syringofibroadenoma: A Case Report. Dermatopathology, 11(4), 286-292. https://doi.org/10.3390/dermatopathology11040030
 
        


