Investigation on the Anaphylaxis and Anti-Digestive Stable Peptides Identification of Ultrasound-Treated α-Lactalbumin during In-Vitro Gastroduodenal Digestion
Abstract
:1. Introduction
2. Materials and Methods
2.1. Materials
2.2. Preparing of Rabbit Anti-ALA IgG
2.3. Ultrasound Treatment
2.4. Gastroduodenal Digestion In-Vitro
2.5. Structure Analysis after Ultrasound Treatment
2.5.1. Fluorescence Spectrophotometer
2.5.2. Analysis of Tricine SDS PAGE
2.6. Indirect Competitive ELISA
2.7. Degranulation Assay in KU812 Cells
2.8. Gel Filtration Chromatography Isolation
2.9. Identification of Anti-Digestive Stable Peptides by HPLC-MS/MS
3. Results and Discussion
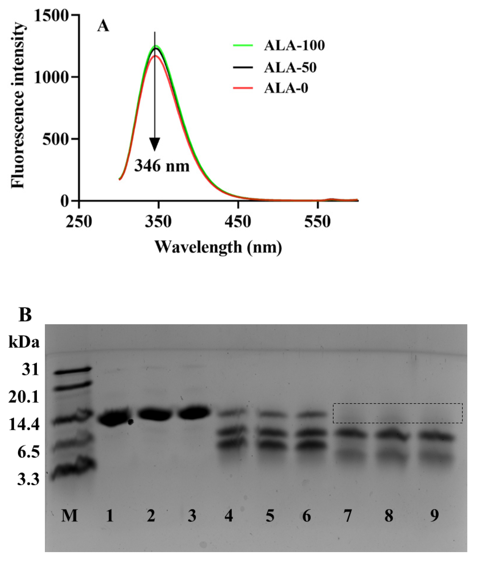
3.1. Structural Characterization
3.1.1. Structure of Ultrasound-Treated ALA
3.1.2. Structure Characteristic of Ultrasound-Treated ALA during Gastroduodenal Digestion In-Vitro
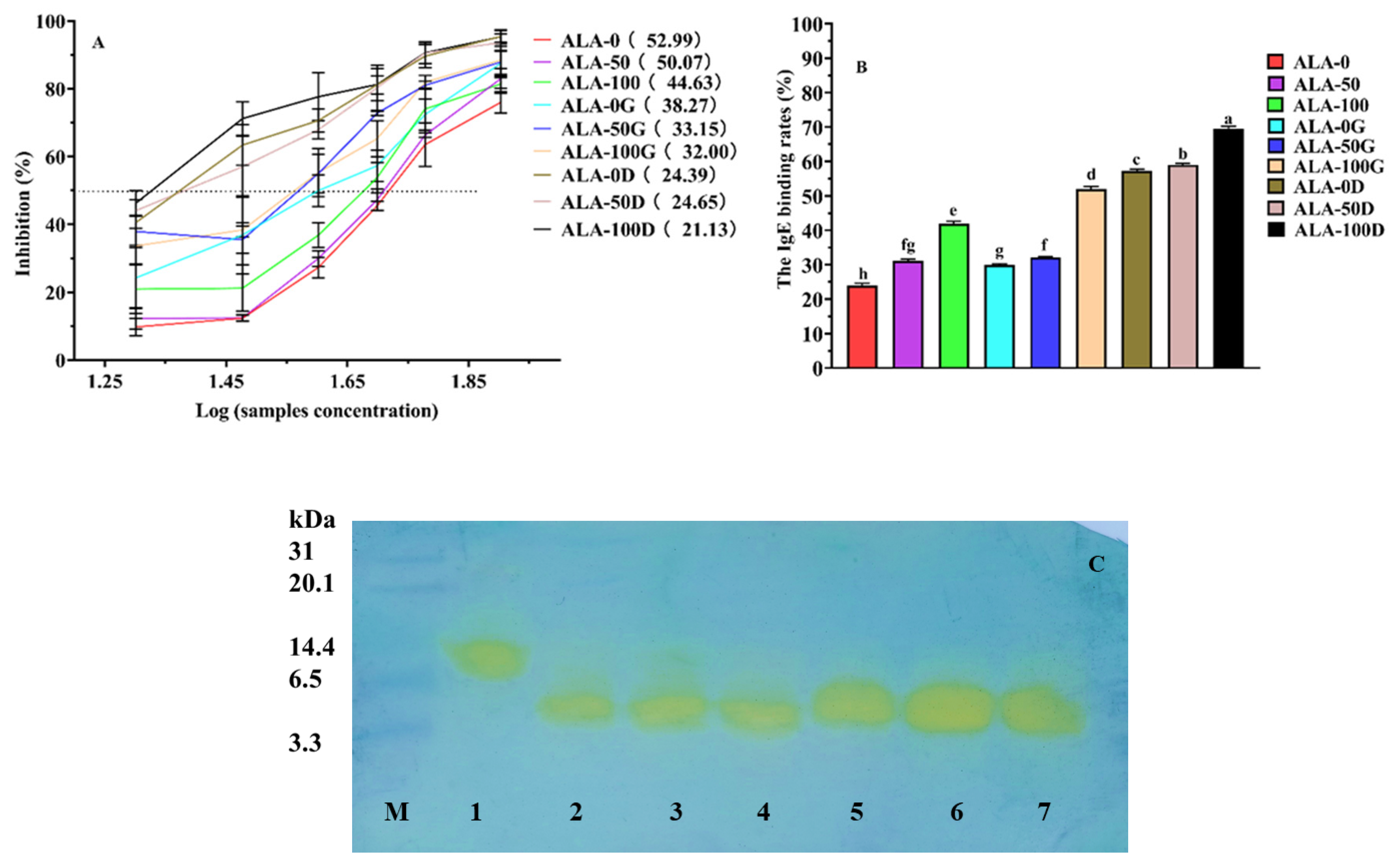
3.2. IgG/IgE-Binding Abilities and Western Blotting
3.3. Bioactive Mediators Release Activity
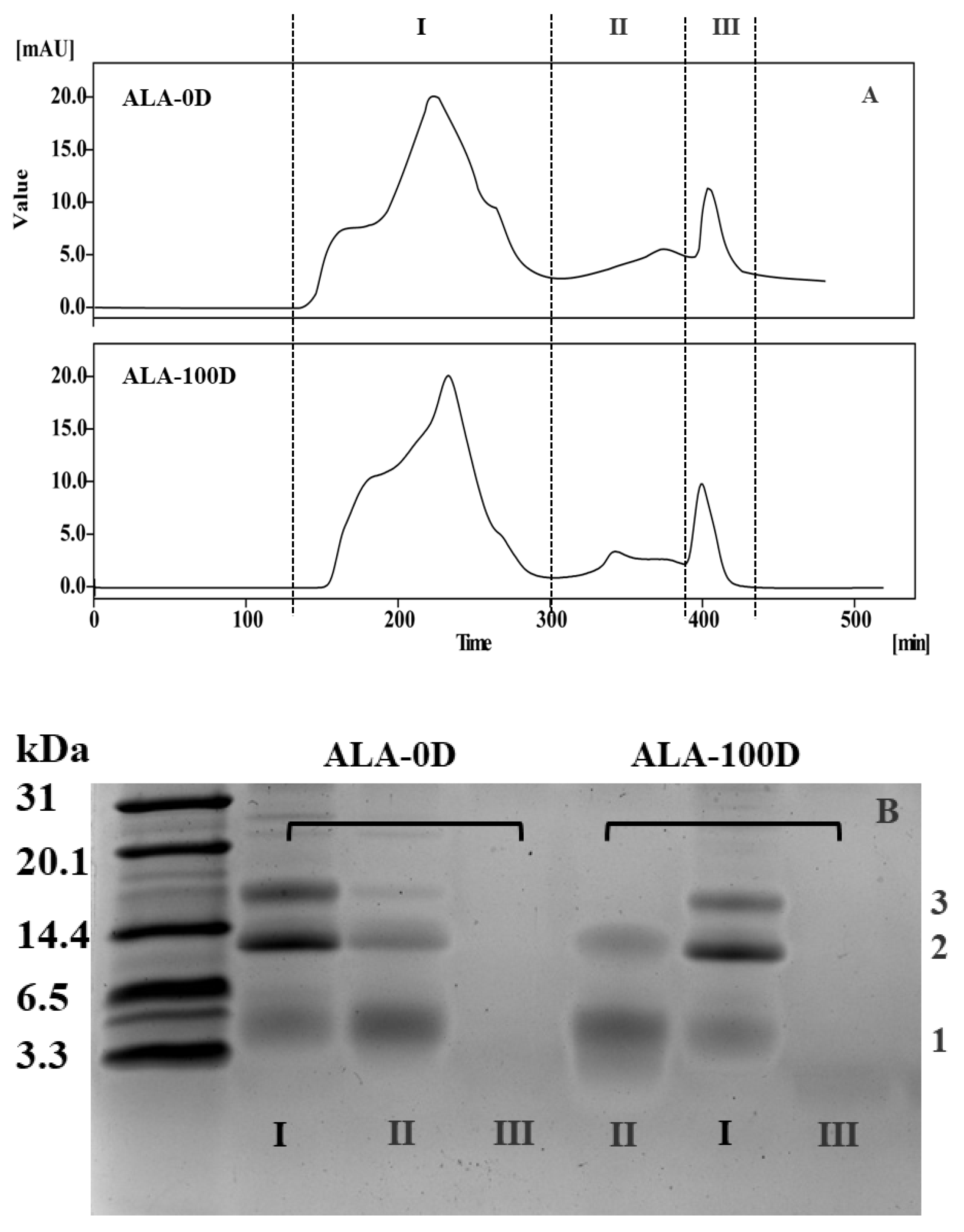
3.4. Isolation and Anaphylaxis Analysis of Gastroduodenal Digesta Groups
3.5. Anti-Digestive Stable Peptides Identification
4. Conclusions
Supplementary Materials
Author Contributions
Funding
Conflicts of Interest
References
- Dong, X.; Wang, J.; Raghavan, V. Critical reviews and recent advances of novel non-thermal processing techniques on the modification of food allergens. Crit. Rev. Food Sci. 2020, 61, 196–210. [Google Scholar] [CrossRef] [PubMed]
- Kadam, S.U.; Tiwari, B.K.; Álvarez, C.; O’Donnell, C.P. Ultrasound applications for the extraction, identification and delivery of food proteins and bioactive peptides. Trends Food Sci. Tech. 2015, 46, 60–67. [Google Scholar] [CrossRef]
- Ma, S.; Wang, C.; Guo, M.R. Changes in structure and antioxidant activity of β-lactoglobulin by ultrasound and enzymatic treatment. Ultrason. Sonochem. 2018, 43, 227–236. [Google Scholar] [CrossRef]
- Wu, Q.Y.; Zhang, X.F.; Jia, J.Q.; Kuang, C.; Yang, H.S. Effect of ultrasonic pretreatment on whey protein hydrolysis by alcalase: Thermodynamic parameters, physicochemical properties and bioactivities. Process Biochem. 2018, 67, 46–54. [Google Scholar] [CrossRef]
- Dong, X.; Wang, J.; Raghavan, V. Effects of high-intensity ultrasound processing on the physiochemical and allergenic properties of shrimp. Innov. Food Sci. Emerg. 2020, 65, 102441. [Google Scholar] [CrossRef]
- Yang, A.S.; Zuo, L.L.; Cheng, Y.F.; Wu, Z.H.; Li, X.; Tong, P.; Chen, H.B. Degradation of major allergens and allergenicity reduction of soybean meal through solid-state fermentation with microorganisms. Food Funct. 2018, 9, 1899–1909. [Google Scholar] [CrossRef]
- Sicherer, S.H.; Sampson, H.A. Food allergy: Epidemiology, pathogenesis, diagnosis, and treatment. J. Allergy Clin. Immun. 2014, 133, 291–307. [Google Scholar] [CrossRef] [PubMed]
- Tordesillas, L.; Berin, M.C.; Sampson, H.A. Immunology of food allergy. Immunity 2017, 47, 32–50. [Google Scholar] [CrossRef] [Green Version]
- Meglio, P.; Bartone, E.; Plantamura, M.; Arabito, E.; Giampietro, P.G. A protocol for oral desensitization in children with IgE-mediated cow’s milk allergy. Allergy 2015, 59, 980–987. [Google Scholar] [CrossRef] [PubMed]
- Martin, C.R.; Ling, P.R.; Blackburn, G.L. Review of infant feeding: Key features of breast milk and infant formula. Nutrients 2016, 8, 279. [Google Scholar] [CrossRef] [Green Version]
- Fiocchi, A.; Schünemann, H.J.; Brozek, J.; Restani, P.; Beyer, K.; Troncone, R.; Martelli, A.; Terracciano, L.; Bahna, S.L.; Rancé, F. Diagnosis and rationale for action against cow’s milk allergy (DRACMA): A summary report. J. Allergy Clin. Immun. 2010, 126, 1119–1128. [Google Scholar] [CrossRef] [PubMed]
- Luyt, D.; Ball, H.; Makwana, N.; Green, M.R.; Bravin, K.; Nasser, S.M.; Clark, A.T. BSACI guideline for the diagnosis and management of cow’s milk allergy. Clin. Exp. Allergy 2014, 44, 642–672. [Google Scholar] [CrossRef]
- Wal, J.M. Cow’s milk allergens. Allergy 1998, 53, 1013–1022. [Google Scholar] [CrossRef] [PubMed]
- Jambrak, A.R.; Mason, T.J.; Lelas, V.; Krešić, G. Ultrasonic effect on physicochemical and functional properties of α-lactalbumin. LWT-Food Sci. Technol. 2010, 43, 254–262. [Google Scholar] [CrossRef]
- Ma, L.; Li, A.; Li, T.Q.; Li, M.; Wang, X.D.; Hussain, M.A.; Qayum, A.; Jiang, Z.M.; Hou, J.C. Structure and characterization of laccase-crosslinked α-lactalbumin: Impacts of high pressure homogenization pretreatment. LWT-Food Sci. Technol. 2020, 118, 108843. [Google Scholar] [CrossRef]
- Qayum, A.; Hussain, M.; Li, M.; Li, J.Q.; Shi, R.J.; Li, T.Q.; Anwar, A.; Ahmed, Z.; Hou, J.C.; Jiang, Z.M. Gelling, microstructure and water-holding properties of alpha-lactalbumin emulsion gel: Impact of combined ultrasound pretreatment and laccase cross-linking. Food Hydrocoll. 2020, 110, 106122. [Google Scholar] [CrossRef]
- Wang, C.; Xie, Q.; Wang, Y.B.; Fu, L.L. Effect of ultrasound treatment on allergenicity reduction of milk casein via colloid formation. J. Agric. Food Chem. 2020, 68, 4678–4686. [Google Scholar] [CrossRef] [PubMed]
- Yuan, X.Y.; Li, X.Y.; Zhang, X.L.; Mu, Z.S.; Gao, Z.L.; Jiang, L.Z.; Jiang, Z.M. Effect of ultrasound on structure and functional properties of laccase-catalyzed α-lactalbumin. J. Food Eng. 2018, 223, 116–123. [Google Scholar] [CrossRef]
- Untersmayr, E.; Jensen-Jarolim, E. The role of protein digestibility and antacids on food allergy outcomes. J. Allergy Clin. Immun. 2008, 121, 1301–1308. [Google Scholar] [CrossRef] [Green Version]
- Dupont, D.; Mandalari, G.; Molle, D.; Jardin, J.; Léonil, J.; Faulks, R.M.; Wickham, M.S.; Clare Mills, E.N.; Mackie, A.R. Comparative resistance of food proteins to adult and infant in vitro digestion models. Mol. Nutr. Food Res. 2010, 54, 767–780. [Google Scholar] [CrossRef]
- Tong, P.; Gao, J.Y.; Chen, H.B.; Li, X.; Zhang, Y.; Jian, S.; Wichers, H.; Wu, Z.H.; Yang, A.S.; Liu, F.H. Effect of heat treatment on the potential allergenicity and conformational structure of egg allergen ovotransferrin. Food Chem. 2012, 131, 603–610. [Google Scholar] [CrossRef]
- Meng, X.Y.; Li, X.; Wang, X.K.; Gao, J.Y.; Yang, H.; Chen, H.B. Potential allergenicity response to structural modification of irradiated bovine α-lactalbumin. Food Funct. 2016, 7, 3102–3110. [Google Scholar] [CrossRef]
- Yang, W.H.; Tu, Z.C.; Wang, H.; Li, X.; Tian, M. High-intensity ultrasound enhances the immunoglobulin (Ig) G and IgE binding of ovalbumin. J. Sci. Food Agric. 2017, 97, 2714–2720. [Google Scholar] [CrossRef]
- Cattaneo, S.; Stuknytė, M.; Masotti, F.; De Noni, I. Protein breakdown and release of β-casomorphins during in vitro gastro-intestinal digestion of sterilised model systems of liquid infant formula. Food Chem. 2017, 217, 476–482. [Google Scholar] [CrossRef] [PubMed]
- Yang, Y.P.; Liu, G.X.; Tu, Z.C.; Wang, H.; Hu, Y.M.; Mao, J.H.; Zhang, J.J. Insight into the Mechanism of Reduced IgG/IgE Binding Capacity in Ovalbumin as Induced by Glycation with Monose Epimers through Liquid Chromatography and High-Resolution Mass Spectrometry. J. Agric. Food Chem. 2020, 68, 6065–6075. [Google Scholar] [CrossRef] [PubMed]
- De Carvalho, N.C.; Pessato, T.B.; Fernandes, L.G.R.; De Lima Zollner, R.; Netto, F.M. Physicochemical characteristics and antigenicity of whey protein hydrolysates obtained with and without pH control. Int. Dairy J. 2017, 71, 24–34. [Google Scholar] [CrossRef]
- Cabanillas, B.; Maleki, S.J.; Rodriguez, J.; Burbano, C.; Muzquiz, M.; Jimenez, M.A.; Pedrosa, M.M.; Cuadrado, C.; Crespo, J.F. Heat and pressure treatments effects on peanut allergenicity. Food Chem. 2012, 132, 360–366. [Google Scholar] [CrossRef] [PubMed]
- Wang, W.M.; Ye, Y.H.; Tu, Z.C.; Hu, Y.M.; Wang, H.; He, C.Y. Investigation of the mechanism underlying the influence of mild glycation on the digestibility and IgG/IgE-binding abilities of β-lactoglobulin and its digests through LC orbitrap MS/MS. LWT-Food Sci. Technol. 2021, 139, 110506. [Google Scholar] [CrossRef]
- Fang, Y.; Pan, X.; Zhao, E.M.; Shi, Y.; Shen, X.C.; Wu, J.; Pei, F.; Hu, Q.H.; Qiu, W.F. Isolation and identification of immunomodulatory selenium-containing peptides from selenium-enriched rice protein hydrolysates. Food Chem. 2019, 275, 696–702. [Google Scholar] [CrossRef]
- Shao, Y.H.; Zhang, Y.; Liu, J.; Tu, Z.C. Influence of ultrasonic pretreatment on the structure, antioxidant and IgG/IgE binding activity of β-lactoglobulin during digestion in vitro. Food Chem. 2020, 312, 126080. [Google Scholar] [CrossRef]
- Huang, L.R.; Ding, X.N.; Dai, C.H.; Ma, H.L. Changes in the structure and dissociation of soybean protein isolate induced by ultrasound-assisted acid pretreatment. Food Chem. 2017, 232, 727–732. [Google Scholar] [CrossRef]
- Hodgkinson, A.J.; Wallace, O.A.M.; Boggs, I.; Broadhurst, M.; Prosser, C.G. Gastric digestion of cow and goat milk: Impact of infant and young child in vitro digestion conditions. Food Chem. 2018, 245, 275–281. [Google Scholar] [CrossRef] [PubMed]
- Gazme, B.; Rezaei, K.; Udenigwe, C.C. Effect of enzyme immobilization and in vitro digestion on the immune-reactivity and sequence of IgE epitopes in egg white proteins. Food Funct. 2020, 11, 6632–6642. [Google Scholar] [CrossRef] [PubMed]
- Guimaraes, V.; Drumare, M.F.O.; Lereclus, D.; Gohar, M.; Lamourette, P.; Nevers, M.C.; Vaisanen-Tunkelrott, M.L.; Bernard, H.; Guillon, B.; Cre Minon, C. In vitro digestion of Cry1Ab proteins and analysis of the impact on their immunoreactivity. J. Agric. Food Chem. 2010, 58, 3222. [Google Scholar] [CrossRef]
- Yu, W.; Freeland, D.M.H.; Nadeau, K.C. Food allergy: Immune mechanisms, diagnosis and immunotherapy. Nat. Rev. Immunol. 2016, 16, 751–765. [Google Scholar] [CrossRef]
- Auml, J.; Rvinen, K.M.; Chatchatee, P.; Bardina, L.; Beyer, K.; Sampson, H.A. IgE and IgG Binding Epitopes on α-Lactalbumin and β-Lactoglobulin in Cow’s Milk Allergy. Int. Arch. Allergy Immunol. 2001, 126, 111–118. [Google Scholar]
- Maynard, F.; Jost, R.; Wal, J.M. Human IgE binding capacity of tryptic peptides from bovine α-lactalbumin. Int. Arch. Allergy Immunol. 2009, 113, 478–488. [Google Scholar] [CrossRef] [PubMed]
- Li, X.; Yuan, S.L.; Huang, M.J.; Gao, J.Y.; Wu, Z.Y.; Tong, P.; Yang, A.S.; Chen, H.B. Identification of IgE and IgG epitopes on native Bos d 4 allergen specific to allergic children. Food Funct. 2006, 7, 2996–3005. [Google Scholar] [CrossRef] [PubMed]








| Peptide | Mass | Length | ppm | m/z | Start | End |
|---|---|---|---|---|---|---|
| Group II in ALA-0D | ||||||
| GGVSLPEWV | 942.4811 | 9 | 1.4 | 472.2485 | 19 | 27 |
| TSGYDTQAIVQ | 1181.5564 | 11 | 1.6 | 591.7864 | 33 | 43 |
| YDTQAIVQ | 936.4553 | 8 | 0.2 | 469.235 | 36 | 43 |
| DTQAIVQN | 909.4168 | 8 | 0.1 | 455.7157 | 37 | 44 |
| DTQAIVQNND | 1099.4781 | 10 | 1.5 | 550.7472 | 37 | 46 |
| DTQAIVQNNDSTE | 1433.6271 | 13 | 2.4 | 717.8225 | 37 | 49 |
| DTQAIVQNNDSTEY | 1618.6722 | 14 | 0.1 | 810.3435 | 37 | 50 |
| AIVQNNDSTEY | 1274.5391 | 11 | −0.2 | 638.2767 | 40 | 50 |
| IVQNNDSTEY | 1181.52 | 10 | −0.4 | 1182.5269 | 41 | 50 |
| KFLDDDLTDDIM | 1421.6384 | 12 | 2.5 | 711.8282 | 79 | 90 |
| FLDDDLT | 859.3575 | 7 | 0.3 | 430.6862 | 80 | 86 |
| FLDDDLTDDI | 1162.5029 | 10 | 0.3 | 582.2589 | 80 | 89 |
| FLDDDLTDDIM | 1333.536 | 11 | 0.1 | 667.7753 | 80 | 90 |
| FLDDDLTDDIMCV | 1513.6316 | 13 | 0.1 | 757.8231 | 80 | 92 |
| FLDDDLTDDIMCVKKI | 1966.9268 | 16 | 0.3 | 984.4709 | 80 | 95 |
| LDDDLTDDIM | 1146.4751 | 10 | 0.8 | 574.2453 | 81 | 90 |
| DDDLTDDIM | 1073.3835 | 9 | 1.9 | 537.7001 | 82 | 90 |
| KILDKVGINY | 1161.6758 | 10 | −0.1 | 581.8451 | 94 | 103 |
| ILDKVGINY | 1055.5627 | 9 | 0.7 | 1056.5708 | 95 | 103 |
| ILDKVGINYW | 1219.66 | 10 | 1 | 610.8379 | 95 | 104 |
| LDKVGINY | 920.4967 | 8 | 1 | 461.2561 | 96 | 103 |
| LDQWLCEKL | 1146.5743 | 9 | 1.8 | 574.2955 | 115 | 123 |
| Group III in ALA-0D | ||||||
| HTSGYDTQ | 907.3672 | 8 | 1.7 | 454.6906 | 32 | 39 |
| DTQAIVQN | 869.4243 | 8 | 3 | 435.7197 | 37 | 44 |
| DTQAIVQNND | 1138.4867 | 10 | −0.4 | 570.249 | 37 | 46 |
| DTQAIVQNNDSTEY | 1618.6722 | 14 | −0.1 | 810.3413 | 37 | 50 |
| TQAIVQNNDSTEY | 1498.6899 | 13 | 3 | 750.3527 | 38 | 50 |
| IVQNNDSTEY | 1203.502 | 10 | 0.5 | 602.7571 | 41 | 50 |
| GLFQINNK | 932.5079 | 8 | 3.1 | 467.2615 | 51 | 58 |
| KFLDDDLTD | 1080.4974 | 9 | 4.9 | 541.2573 | 79 | 87 |
| KFLDDDLTDDIM | 1455.6439 | 12 | 0.3 | 728.8277 | 79 | 90 |
| FLDDDLTDDIM | 1333.536 | 11 | 0 | 667.7736 | 80 | 90 |
| FLDDDLTDDIMCV | 1513.6316 | 13 | 2.3 | 757.823 | 80 | 92 |
| LDDDLTDDIM | 1180.4806 | 10 | 3.2 | 591.248 | 81 | 90 |
| DDDLTDDIM | 1051.4016 | 9 | 3.2 | 526.7085 | 82 | 90 |
| DLTDDIM | 821.3477 | 7 | 3.6 | 822.3559 | 84 | 90 |
| LDKVGIN | 870.5175 | 8 | 1.7 | 436.2657 | 95 | 102 |
| ILDKVGINYW | 1220.644 | 10 | 4.7 | 611.3307 | 95 | 104 |
| Group II in ALA-100D | ||||||
| ELKDLKGY | 946.5123 | 8 | 1.1 | 474.2639 | 11 | 18 |
| HTSGYDTQAIVQ | 1319.5994 | 12 | −0.3 | 660.8068 | 32 | 43 |
| TSGYDTQAIVQ | 1181.5564 | 11 | 1.5 | 591.7864 | 33 | 43 |
| DTQAIVQN | 888.4189 | 8 | 0.9 | 445.2171 | 37 | 44 |
| DTQAIVQNND | 1117.4888 | 10 | 0.4 | 559.7519 | 37 | 46 |
| DTQAIVQNNDSTE | 1415.6165 | 13 | −0.9 | 708.8149 | 37 | 49 |
| DTQAIVQNNDSTEY | 1634.6373 | 14 | 0 | 818.3259 | 37 | 50 |
| TQAIVQNNDSTEY | 1481.6635 | 13 | 1.4 | 1482.6727 | 38 | 50 |
| AIVQNNDSTEY | 1274.5391 | 11 | 0.1 | 638.2769 | 40 | 50 |
| IVQNNDSTEY | 1203.502 | 10 | −0.4 | 602.758 | 41 | 50 |
| KFLDDDLTDDIM | 1455.6439 | 12 | 1.5 | 728.8303 | 79 | 90 |
| FLDDDLTDDIM | 1333.536 | 11 | 0.1 | 667.7753 | 80 | 90 |
| FLDDDLTDDIMCV | 1529.6266 | 13 | −2.2 | 765.8189 | 80 | 92 |
| LDDDLTDDIM | 1180.4806 | 10 | 0.7 | 591.248 | 81 | 90 |
| KILDKVGINY | 1183.6577 | 10 | −0.4 | 1184.6646 | 94 | 103 |
| KILDKVGINYW | 1369.7369 | 11 | 0.6 | 685.8762 | 94 | 104 |
| ILDKVGINYW | 1219.66 | 10 | 1.1 | 610.838 | 95 | 104 |
| ILDKVGINY | 1033.5808 | 9 | 0.7 | 517.798 | 95 | 103 |
| LDKVGINY | 921.4807 | 8 | 0.2 | 461.7477 | 96 | 103 |
| LDQWLCEKL | 1146.5743 | 9 | 0.4 | 574.2947 | 115 | 123 |
| Group III in ALA-100D | ||||||
| GYGGVSLPEWV | 1162.5658 | 11 | 1.3 | 582.291 | 17 | 27 |
| DTQAIVQNNDSTEY | 1618.6722 | 14 | 1.8 | 810.3448 | 37 | 50 |
| LDDDLTDDIM | 1333.536 | 11 | 0 | 667.7753 | 80 | 90 |
| KILDKVGINY | 1143.6652 | 10 | 1.4 | 572.8406 | 94 | 103 |
| KILDKVGINYW | 1363.75 | 11 | −0.6 | 682.8818 | 94 | 104 |
| ILDKVGINY | 1032.5968 | 9 | 1.2 | 517.3063 | 95 | 103 |
| ILDKVGINYW | 1235.655 | 10 | 0.7 | 618.8352 | 95 | 104 |
| LDKVGINYW | 1106.576 | 9 | 0 | 554.2953 | 96 | 104 |
| VGINYWLAH | 1071.5502 | 9 | 0.7 | 536.7827 | 99 | 107 |
| VGINYWLAHK | 1200.6292 | 10 | 0.8 | 601.3223 | 99 | 108 |
Publisher’s Note: MDPI stays neutral with regard to jurisdictional claims in published maps and institutional affiliations. |
© 2021 by the authors. Licensee MDPI, Basel, Switzerland. This article is an open access article distributed under the terms and conditions of the Creative Commons Attribution (CC BY) license (https://creativecommons.org/licenses/by/4.0/).
Share and Cite
Wang, X.; Tu, Z.; Liu, G.; Wang, H.; Hu, Y.; Huang, T. Investigation on the Anaphylaxis and Anti-Digestive Stable Peptides Identification of Ultrasound-Treated α-Lactalbumin during In-Vitro Gastroduodenal Digestion. Foods 2021, 10, 2760. https://doi.org/10.3390/foods10112760
Wang X, Tu Z, Liu G, Wang H, Hu Y, Huang T. Investigation on the Anaphylaxis and Anti-Digestive Stable Peptides Identification of Ultrasound-Treated α-Lactalbumin during In-Vitro Gastroduodenal Digestion. Foods. 2021; 10(11):2760. https://doi.org/10.3390/foods10112760
Chicago/Turabian StyleWang, Xumei, Zongcai Tu, Guangxian Liu, Hui Wang, Yueming Hu, and Tao Huang. 2021. "Investigation on the Anaphylaxis and Anti-Digestive Stable Peptides Identification of Ultrasound-Treated α-Lactalbumin during In-Vitro Gastroduodenal Digestion" Foods 10, no. 11: 2760. https://doi.org/10.3390/foods10112760
APA StyleWang, X., Tu, Z., Liu, G., Wang, H., Hu, Y., & Huang, T. (2021). Investigation on the Anaphylaxis and Anti-Digestive Stable Peptides Identification of Ultrasound-Treated α-Lactalbumin during In-Vitro Gastroduodenal Digestion. Foods, 10(11), 2760. https://doi.org/10.3390/foods10112760

