Enhancing Mushroom Freezing Quality Using Microwave-Assisted Technology
Abstract
1. Introduction
2. Materials and Methods
2.1. Materials
2.2. Microwave Freezing System
2.3. Microwave-Assisted Freezing (MAF)
2.4. Microstructural Analysis
2.5. Drip Loss Determination
2.6. Texture Profile Analysis
2.7. Color Analysis
2.8. Energy Consumption
2.9. Statistical Analysis
3. Results and Discussion
3.1. Temperature Profile and Freezing Rate
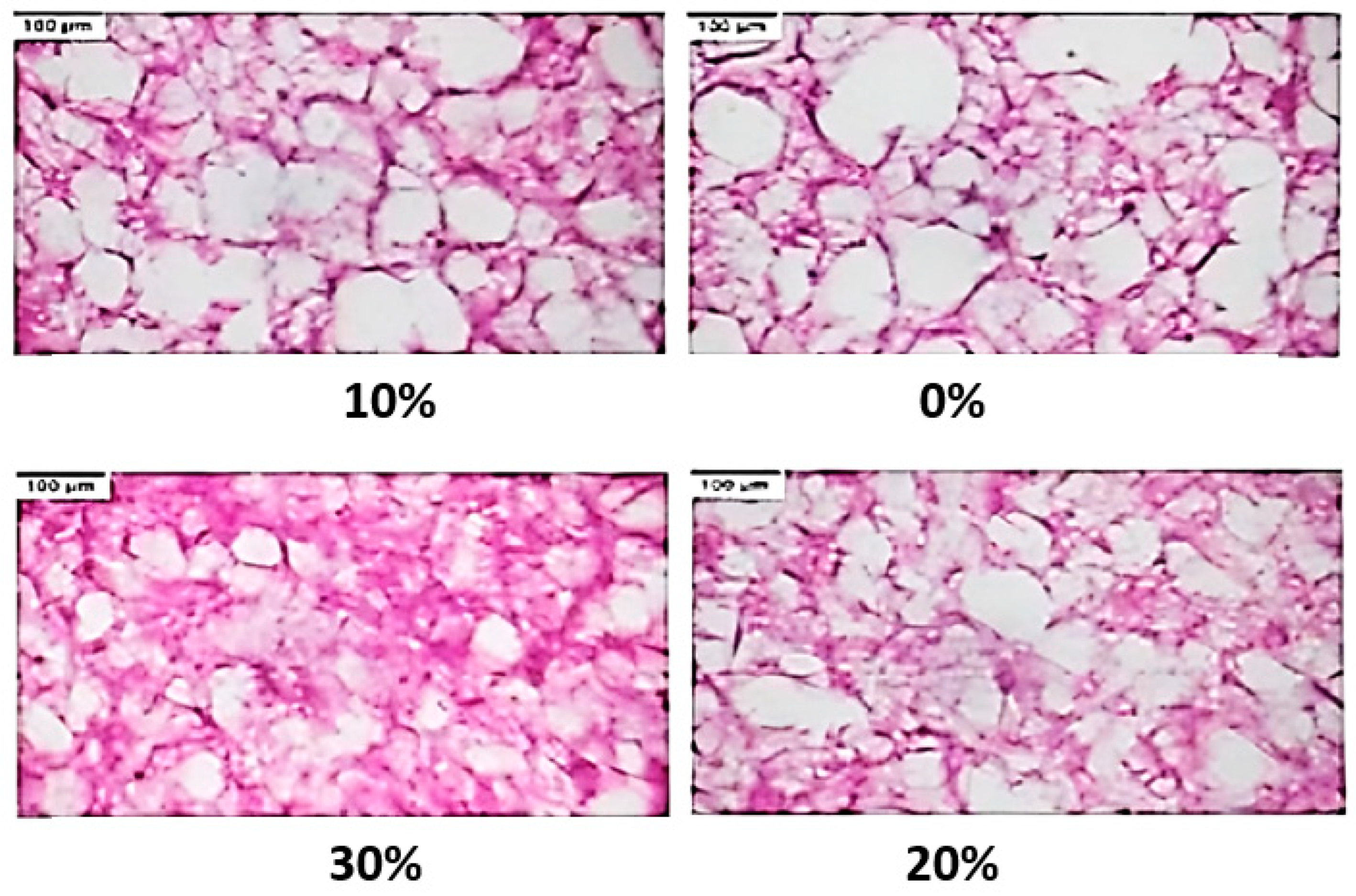
3.2. Microstructure Analysis
3.3. Drip Loss
3.4. Hardness
3.5. Color Evaluation
3.6. Energy Consumption
4. Conclusions
Author Contributions
Funding
Institutional Review Board Statement
Informed Consent Statement
Data Availability Statement
Conflicts of Interest
References
- Zaritzky, N. Physical-chemical principles in freezing. In Handbook of Frozen Food Packaging and Processing, 2nd ed.; Sun, D.W., Ed.; Taylor & Francis: Boca Raton, FL, USA, 2012; pp. 3–37. [Google Scholar]
- Feng, S.; Bi, J.; Laaksonen, T.; Laurén, P.; Yi, J. Texture of freeze-dried intact and restructured fruits: Formation mechanisms and control technologies. Trends Food Sci. Technol. 2024, 143, 104267. [Google Scholar] [CrossRef]
- Dalvi-Isfahan, M.; Hamdami, N.; Xanthakis, E.; Le-Bail, A. Review on the control of ice nucleation by ultrasound waves, electric and magnetic fields. J. Food Eng. 2017, 195, 222–234. [Google Scholar] [CrossRef]
- Sutariya, S.G.; Sunkesula, V. 3.03—Food Freezing: Emerging Techniques for Improving Quality and Process Efficiency a Comprehensive Review. In Innovative Food Processing Technologies; Knoerzer, K., Muthukumarappan, K., Eds.; Elsevier: Oxford, UK, 2021; pp. 36–63. [Google Scholar]
- Dalvi-Isfahan, M.; Hamdami, N.; Le-Bail, A. Effect of freezing under electrostatic field on selected properties of an agar gel. Innov. Food Sci. Emerg. Technol. 2017, 42, 151–156. [Google Scholar] [CrossRef]
- Dalvi-Isfahan, M.; Hamdami, N.; Le-Bail, A. Effect of combined high voltage electrostatic with air blast freezing on quality attributes of lamb meat. J. Food Process Eng. 2018, 41, e12811. [Google Scholar] [CrossRef]
- Hafezparast-Moadab, N.; Hamdami, N.; Dalvi-Isfahan, M.; Farahnaky, A. Effects of radiofrequency-assisted freezing on microstructure and quality of rainbow trout (Oncorhynchus mykiss) fillet. Innov. Food Sci. Emerg. Technol. 2018, 47, 81–87. [Google Scholar] [CrossRef]
- Fallah-Joshaqani, S.; Hamdami, N.; Keshavarzi, E.; Keramat, J.; Dalvi-Isfahan, M. Evaluation of the static electric field effects on freezing parameters of some food systems. Int. J. Refrig. 2019, 99, 30–36. [Google Scholar] [CrossRef]
- Kang, T.; You, Y.; Jun, S. Supercooling preservation technology in food and biological samples: A review focused on electric and magnetic field applications. Food Sci. Biotechnol. 2020, 29, 303–321. [Google Scholar] [CrossRef] [PubMed]
- Atani, S.H.; Hamdami, N.; Dalvi-Isfahan, M.; Soltanizadeh, N.; Fallah-Joshaqani, S. Effects of microwave-assisted freezing on the quality attributes of lamb meat. Int. J. Refrig. 2022, 143, 192–198. [Google Scholar] [CrossRef]
- Xanthakis, E.; Le-Bail, A.; Ramaswamy, H. Development of an innovative microwave assisted food freezing process. Innov. Food Sci. Emerg. Technol. 2014, 26, 176–181. [Google Scholar] [CrossRef]
- Graziele, G.; Patricia, A.-C.; Estefania, L.-Q.; Xanthakis, E. Influence of microwave assisted freezing parameters on ice crystal growth. In Proceedings of the 6th IIR Conference on Sustainability and the Cold Chain ICCC 2020, Nantes, France, 26–28 August 2020. [Google Scholar]
- Jha, P.K.; Chevallier, S.; Xanthakis, E.; Jury, V.; Le-Bail, A. Effect of innovative microwave assisted freezing (MAF) on the quality attributes of apples and potatoes. Food Chem. 2020, 309, 125594. [Google Scholar] [CrossRef]
- Sadot, M.; Curet, S.; Le-Bail, A.; Rouaud, O.; Havet, M. Microwave assisted freezing part 1: Experimental investigation and numerical modeling. Innov. Food Sci. Emerg. Technol. 2020, 62, 102360. [Google Scholar] [CrossRef]
- Sadot, M.; Curet, S.; Chevallier, S.; Le-Bail, A.; Rouaud, O.; Havet, M. Microwave assisted freezing part 2: Impact of microwave energy and duty cycle on ice crystal size distribution. Innov. Food Sci. Emerg. Technol. 2020, 62, 102359. [Google Scholar] [CrossRef]
- Jiang, T. Effect of alginate coating on physicochemical and sensory qualities of button mushrooms (Agaricus bisporus) under a high oxygen modified atmosphere. Postharvest Biol. Technol. 2013, 76, 91–97. [Google Scholar] [CrossRef]
- Fallah-Joshaqani, S.; Hamdami, N.; Keramat, J. Qualitative attributes of button mushroom (Agaricus bisporus) frozen under high voltage electrostatic field. J. Food Eng. 2021, 293, 110384. [Google Scholar] [CrossRef]
- Farshbaf Aghajani, P.; Soltani Firouz, M.; Alikhani Chamgordani, P. The improvement of freezing time and functional quality of frozen mushrooms by application of probe-type power ultrasound. Ultrason. Sonochem. 2023, 100, 106637. [Google Scholar] [CrossRef]
- Dalvi-Isfahan, M.; Hamdami, N.; Le-Bail, A. Effect of freezing under electrostatic field on the quality of lamb meat. Innov. Food Sci. Emerg. Technol. 2016, 37, 68–73. [Google Scholar] [CrossRef]
- Karperien, A. FracLac User’s Guide. 2012. Available online: http://rsbweb.nih.gov/ij/plugins/fraclac/FLHelIntroduction.htm (accessed on 1 January 2020).
- Smoczyński, M. Fractal analysis of the microstructure of milk powders produced at various temperatures. J. Food Sci. Technol. 2020, 57, 2303–2309. [Google Scholar] [CrossRef] [PubMed]
- Islam, M.N.; Zhang, M.; Adhikari, B.; Xinfeng, C.; Xu, B.-G. The effect of ultrasound-assisted immersion freezing on selected physicochemical properties of mushrooms. Int. J. Refrig. 2014, 42, 121–133. [Google Scholar] [CrossRef]
- Petzold, G.; Aguilera, J.M. Ice Morphology: Fundamentals and Technological Applications in Foods. Food Biophys. 2009, 4, 378–396. [Google Scholar] [CrossRef]
- Bevilacqua, A.; Zaritzky, N.E.; Calvelo, A. Histological measurements of ice in frozen beef. Int. J. Food Sci. Technol. 1979, 14, 237–251. [Google Scholar] [CrossRef]
- Bernaś, E.; Jaworska, G. Use of onion extract to prevent enzymatic browning of frozen Agaricus bisporus mushrooms. Int. J. Refrig. 2015, 57, 257–264. [Google Scholar] [CrossRef]
- Jaworska, G.; Bernaś, E.; Cichoń, Z.; Possinger, P. Establishing the optimal period of storage for frozen Agaricus bisporus, depending on the preliminary processing applied. Int. J. Refrig. 2008, 31, 1042–1050. [Google Scholar] [CrossRef]







| Microwave Power Level | 0% | 10% | 20% | 30% | 
|---|---|---|---|---|
| Freezing time (min) | 19 ± 1.1 a | 26 ± 1.6 b | 33 ± 2.1 c | 39 ± 2.4 d | 
| Freezing rate (Δ°C/min) | 1.72 ± 0.22 a | 1.19 ± 0.2 ab | 1.03 ± 0.19 bc | 0.76 ± 0.25 c | 
| Microwave Power Levels (%) | 0% | 10% | 20% | 30% | 
|---|---|---|---|---|
| Total relative ice area (%) | 58.5 ± 3.1 a | 49.3 ± 2.5 b | 47.1 ± 2.6 bc | 44.8 ± 3.3 c | 
| Equivalent diameter (µm) | 52.8 ± 3.42 a | 45.9 ± 1.56 ab | 40.61 ± 1.31 b | 38.3 ± 3.86 b | 
| Fractal dimensions (1–2) | 1.84 ± 0.004 a | 1.86 ± 0.004 b | 1.88 ± 0.002 c | 1.89 ± 0.006 c | 
| Microwave Power Levels (%) | 0% | 10% | 20% | 30% | 
|---|---|---|---|---|
| Browning Index | 27.5 ± 2.0 a | 32.6 ± 3.3 a | 32.6 ± 2.1 a | 32.8 ± 2.8 a | 
| Whiteness Index | 72.4 ± 2.62 a | 72.3 ± 4.68 a | 67.2 ± 2.78 a | 60.8 ± 4.53 a | 
| Total color difference | 11.4 ± 1.71 ab | 7.25 ± 1.57 b | 13.2 ± 3.21 ab | 24.15 ± 3.42 b | 
| Disclaimer/Publisher’s Note: The statements, opinions and data contained in all publications are solely those of the individual author(s) and contributor(s) and not of MDPI and/or the editor(s). MDPI and/or the editor(s) disclaim responsibility for any injury to people or property resulting from any ideas, methods, instructions or products referred to in the content. | 
© 2024 by the authors. Licensee MDPI, Basel, Switzerland. This article is an open access article distributed under the terms and conditions of the Creative Commons Attribution (CC BY) license (https://creativecommons.org/licenses/by/4.0/).
Share and Cite
Vardanjani, M.Y.; Hamdami, N.; Dalvi-Isfahan, M.; Le-Bail, A. Enhancing Mushroom Freezing Quality Using Microwave-Assisted Technology. Foods 2024, 13, 2805. https://doi.org/10.3390/foods13172805
Vardanjani MY, Hamdami N, Dalvi-Isfahan M, Le-Bail A. Enhancing Mushroom Freezing Quality Using Microwave-Assisted Technology. Foods. 2024; 13(17):2805. https://doi.org/10.3390/foods13172805
Chicago/Turabian StyleVardanjani, Majid Yousefi, Nasser Hamdami, Mohsen Dalvi-Isfahan, and Alain Le-Bail. 2024. "Enhancing Mushroom Freezing Quality Using Microwave-Assisted Technology" Foods 13, no. 17: 2805. https://doi.org/10.3390/foods13172805
APA StyleVardanjani, M. Y., Hamdami, N., Dalvi-Isfahan, M., & Le-Bail, A. (2024). Enhancing Mushroom Freezing Quality Using Microwave-Assisted Technology. Foods, 13(17), 2805. https://doi.org/10.3390/foods13172805
 
        


 
       