Potato Protein Suppresses Proteolytic Activity and Improves Textural Property of Tropical and Cold-Water Fish Surimi
Abstract
1. Introduction
2. Materials and Methods
2.1. Samples
2.2. Inhibition Against Various Proteases
2.3. Autolytic Activity and Proteolytic Inhibition in Surimi
2.4. Surimi Gel Preparation
2.5. Textural Properties
2.6. Color
2.7. Water-Holding Capacity
2.8. Sodium Dodecyl Sulfate–Polyacrylamide Gel Electrophoresis (SDS-PAGE)
2.9. Statistical Analysis
3. Results and Discussion
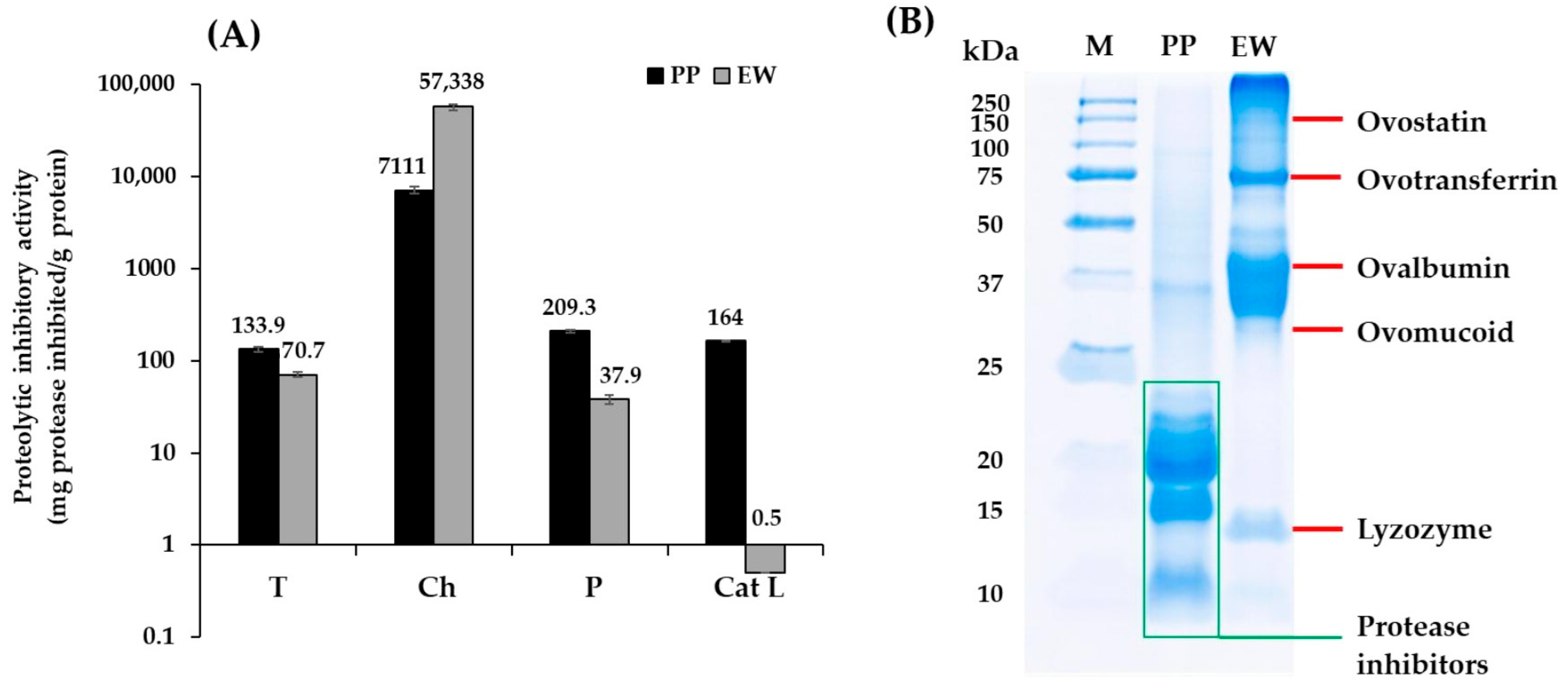
3.1. Proteolytic Inhibitory Activity
3.2. Autolytic Activity
3.3. Gel Texture
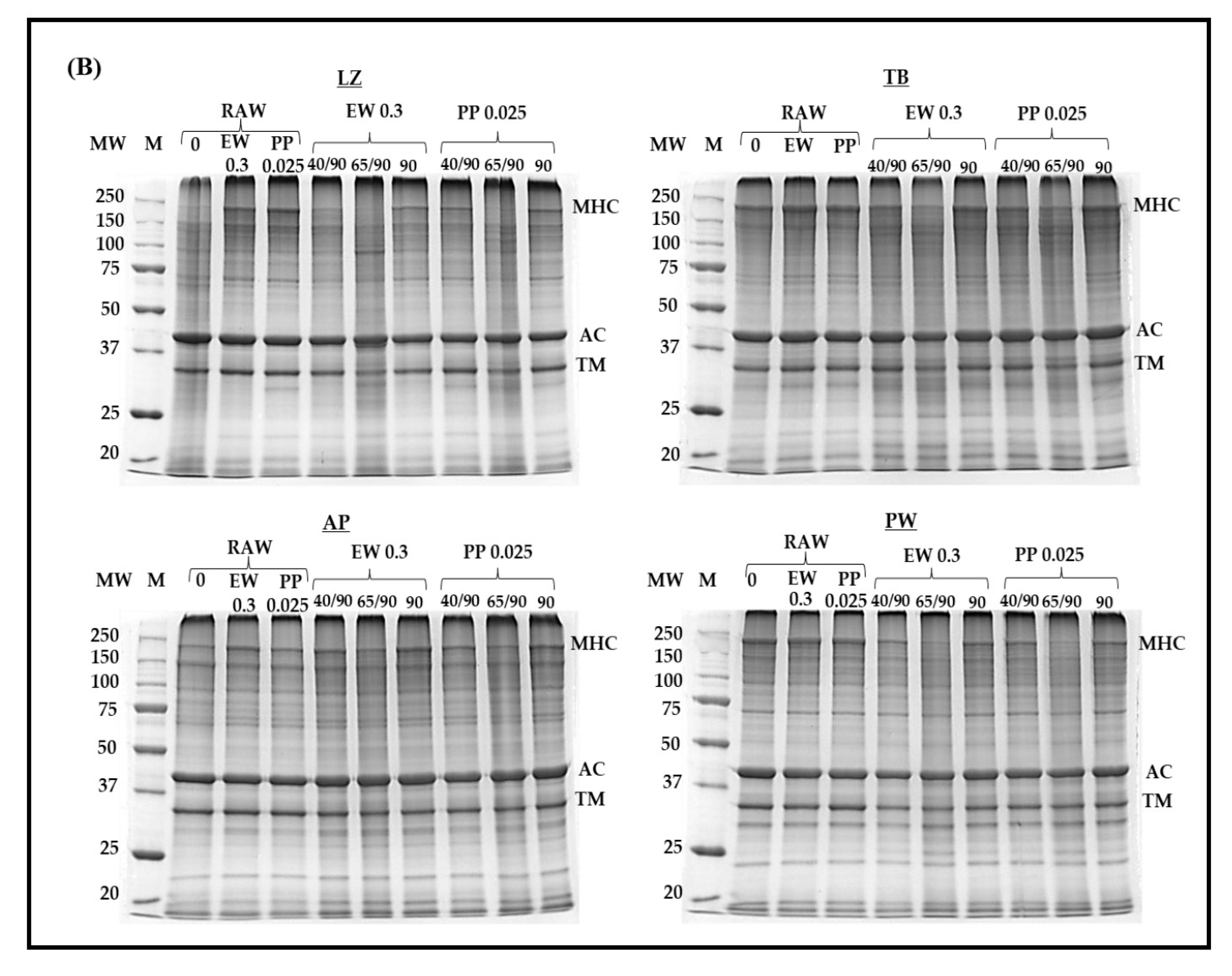
3.4. Protein Patterns on SDS-PAGE
3.5. Water-Holding Capacity (WHC)
3.6. Whiteness
4. Conclusions
Author Contributions
Funding
Institutional Review Board Statement
Informed Consent Statement
Data Availability Statement
Conflicts of Interest
References
- Xiong, Y.L. Muscle Proteins. In Proteins in Food Processing; Yada, Y., Ed.; Woodhead Publishing: Cambridge, UK, 2018; pp. 127–148. [Google Scholar]
- Yamada, K.; Matsumiya, M.; Fukushima, H. Modori reaction in blue grenadier and Alaska pollock frozen surimi and myosin degradation behavior upon addition of protease inhibitors. CyTA-J. Food 2020, 18, 451–460. [Google Scholar] [CrossRef]
- Yoon, W.B.; Park, J.W.; Jung, H. Effects of potato protein isolated using ethanol on the gelation and anti-proteolytic properties in Pacific whiting surimi. Foods 2022, 11, 3114. [Google Scholar] [CrossRef] [PubMed]
- Yogsawatdigul, J.; Piyadhammaviboon, P. Inhibition of autolytic activity of lizardfish surimi by proteinase inhibitors. Food Chem. 2004, 87, 447–455. [Google Scholar] [CrossRef]
- An, H.; Weerasinghe, V.; Seymour, T.A.; Morrissey, M.T. Cathepsin degradation of Pacific whiting surimi proteins. J. Food Sci. 1994, 59, 1013–1017. [Google Scholar] [CrossRef]
- Rawdkuen, S.; Benjakul, S. Whey protein concentrate: Autolysis inhibition and effects on the gel properties of surimi prepared from tropical fish. Food Chem. 2008, 106, 1077–1084. [Google Scholar] [CrossRef]
- Dutt, S.; Raigond, P.; Singh, B.; Manjul, A.S.; Chakrabarti, S.K. Potato proteins. In Potato; Raigond, P., Singh, B., Dutt, S., Chakrabarti, S.K., Eds.; Springer: Singapore, 2020; pp. 51–71. [Google Scholar]
- Hussain, M.; Qayum, A.; Xiuxiu, Z.; Liu, L.; Hussain, K.; Yue, P.; Yue, S.; Koko, M.Y.F.; Hussain, A.; Li, X. Potato protein: An emerging source of high quality and allergy free protein, and its possible future based products. Food Res. Int. 2021, 148, 110583. [Google Scholar] [CrossRef]
- Pouvreau, L.; Gruppen, H.; Piersma, S.R.; van den Broek, L.A.M.; van Koningsveld, G.A.; Voragen, A.G.J. Relative abundance and inhibitory distribution of protease inhibitors in potato juice from cv. Elkana. J. Agric. Food Chem. 2001, 49, 2864–2874. [Google Scholar] [CrossRef]
- Pouvreau, L.; Gruppen, H.; van Koningsveld, G.A.; van den Broek, L.A.M.; Voragen, A.G.J. The most abundant protease inhibitor in potato tuber (cv. Elkana) is a serine protease inhibitor from the Kunitz family. J. Agric. Food Chem. 2003, 51, 5001–5005. [Google Scholar] [CrossRef]
- Pouvreau, L.; Gruppen, H.; van Koningsveld, G.A.; van den Broek, L.A.M.; Voragen, A.G.J. Tentative assignment of the potato serine protease inhibitor group as β-II proteins based on their spectroscopic characteristics. J. Agric. Food Chem. 2004, 52, 7704–7710. [Google Scholar] [CrossRef]
- Harikedua, S.D.; Mireles DeWitt, C.A. Injection of natural protease inhibitors and evaluation of their impact on cooked Pacific whiting (Merluccius productus) fillets. J. Food Sci. 2018, 83, 1200–1207. [Google Scholar] [CrossRef]
- Waglay, A.; Karboune, S.; Alli, I. Potato protein isolates: Recovery and characterization of their properties. Food Chem. 2014, 142, 373–382. [Google Scholar] [CrossRef]
- Herreman, L.C.M.; de Vos, A.M.; Cosijn, M.M.; Tjalma, L.F.; Spelbrink, R.E.J.; van der Voort Maarschalk, K.; Laus, M.C. Potato: A sustainable source of functional and nutritional proteins. In Sustainable Protein Sources, 2nd ed.; Sudarshan, N., Janitha, P.D.W., Scanlin, L., Eds.; Elsevier: Amsterdam, The Netherlands, 2024; pp. 471–491. [Google Scholar]
- Giuseppin, M.L.F.; van der Slius, C.; Laus, M.C. Native Potato Protein Isolate. International Patent Application No. PCT/NL2007/050513, 12 June 2008. [Google Scholar]
- ISO 14902:2001; Animal Feeding Stuffs—Determination of Trypsin Inhibitor Activity of Soya Products. International Organization for Standardization (ISO): Geneva, Switzerland, 2001.
- Tadpitchayangkoon, P.; Park, J.W.; Yongsawatdigul, J. Gelation characteristics of tropical surimi under water bath and ohmic heating. LWT-Food Sci. Technol. 2012, 46, 97–103. [Google Scholar] [CrossRef]
- Lowry, O.H.; Rosebrough, N.J.; Farr, A.L.; Randall, R.J. Protein measurement with the Folin phenol reagent. J. Biol. Chem. 1951, 193, 265–275. [Google Scholar] [CrossRef]
- FAO/WHO Joint FAO/WHO Food Standards Program. Surimi and Surimi Seafood; Jae, W.P., Ed.; CRC Press: Boca Raton, FL, USA, 2005; pp. 869–885. [Google Scholar]
- Pao, D.; Thumanu, K.; Yongsawatdigul, J. Gelation and vibrational spectroscopy of tropical surimi induced by ascorbic acid and hydrogen peroxide. J. Food Sci. 2021, 86, 881–891. [Google Scholar] [CrossRef] [PubMed]
- Hunt, A.; Park, J.W.; Handa, A. Effect of various types of egg white on characteristics and gelation of fish myofibrillar proteins. J. Food Sci. 2009, 74, C683–C692. [Google Scholar] [CrossRef] [PubMed]
- Liu, C.; Li, W.; Lin, B.; Yi, S.; Ye, B.; Mi, H.; Li, J.; Wang, J.; Li, X. Comprehensive analysis of ozone water rinsing on the water-holding capacity of grass carp surimi gel. LWT 2021, 150, 111919. [Google Scholar] [CrossRef]
- Laemmli, U.K. Cleavage of structural proteins during the assembly of the head of bacteriophage T4. Nature 1970, 227, 680–685. [Google Scholar] [CrossRef]
- Katzav, H.; Chirug, L.; Okun, Z.; Davidovich-Pinhas, M.; Shpigelman, A. Comparison of thermal and high-pressure gelation of potato protein isolates. Foods 2020, 9, 1041. [Google Scholar] [CrossRef]
- Hellinger, R.; Gruber, C.W. Peptide-based protease inhibitors from plants. Drug Discov. Today 2019, 24, 1877–1889. [Google Scholar] [CrossRef]
- Beekwilder, J.; Schipper, B.; Bakker, P.; Bosch, D.; Jongsma, M. Characterization of potato proteinase inhibitor II reactive site mutants. Eur. J. Biochem. 2000, 267, 1975–1984. [Google Scholar] [CrossRef]
- Nurliyani, N.; Erwanto, Y.; Rumiyati, R.; Sukarno, A.S. Characteristics of protein and amino acid in various poultry egg white ovomucoid. Food Sci. Technol. 2023, 43, e101722. [Google Scholar] [CrossRef]
- Cui, R.; Ding, L.; Ji, S.; Fu, X.; Cai, Z.; Huang, X. Insights of the trypsin inhibitory activity and ultrasound effect of ovomucoid based on molecular docking and spectroscopic. Food Nutr. Health 2024, 1, 7. [Google Scholar] [CrossRef]
- Martone, C.B.; Busconi, L.; Folco, E.J.E.; Sánchez, J.J. Detection of a trypsin-like serine protease and its endogenous inhibitor in hake skeletal muscle. Arch. Biochem. Biophys 1991, 289, 1–5. [Google Scholar] [CrossRef]
- Cao, M.-J.; Jiang, X.-J.; Zhong, H.-C.; Zhang, Z.-J.; Su, W.-J. Degradation of myofibrillar proteins by a myofibril-bound serine proteinase in the skeletal muscle of crucian carp (Carasius auratus). Food Chem. 2006, 94, 7–13. [Google Scholar] [CrossRef]
- Ding, N.; Sun, X.; Yu, Q.; Hong, H.; Luo, Y.; Tan, Y. Unlocking the secrets of crude myofibril-bound serine protease from grass carp: The role in degrading myofibrillar proteins. Food Chem. 2024, 437, 137844. [Google Scholar] [CrossRef] [PubMed]
- Cao, M.-J.; Osatomi, K.; Hara, K.; Ishihara, T. Purification of a novel myofibril-bound serine proteinase inhibitor (MBSPI) from the skeletal muscle of lizard fish. Comp. Biochem. Physiol. B Biochem. Mol. Biol. 2001, 128, 19–25. [Google Scholar] [CrossRef] [PubMed]
- Liu, Y.; Bian, Y.; Bai, Y.; Yu, S.; Tian, Y.; Li, J.; Li, S.; Li, T. Potato protease inhibitors, a functional food material with antioxidant and anticancer potential. Food Sci. Hum. Wellness 2023, 12, 1762–1771. [Google Scholar] [CrossRef]
- Benjakul, S.; Visessanguan, W.; Chantarasuwan, C. Effect of High-Temperature Setting on Gelling Characteristic of Surimi from Some Tropical Fish. Int. J. Food Sci. Technol. 2004, 39, 671–680. [Google Scholar] [CrossRef]
- Kamath, G.G.; Lanier, T.C.; Foegeding, E.A.; Hamann, D.D. Nondisulfide covalent cross-linking of myosin heavy chain in “setting” of Alaska pollock and Atlantic croaker surimi. J. Food Biochem. 1992, 16, 151–172. [Google Scholar] [CrossRef]
- Yin, T.; Park, J.W. Optimum processing conditions for slowly heated surimi seafood using protease-laden Pacific whiting surimi. LWT-Food Sci. Technol. 2015, 63, 490–496. [Google Scholar] [CrossRef]
- Visser, N.; Herreman, L.C.M.; Vandooren, J.; Pereira, R.V.S.; Opdenakker, G.; Spelbrink, R.E.J.; Wilbrink, M.H.; Bremer, E.; Gosens, R.; Nawijn, M.C.; et al. Novel high-yield potato protease inhibitor panels block a wide array of proteases involved in viral infection and crucial tissue damage. J. Mol. Med. 2024, 102, 521–536. [Google Scholar] [CrossRef]
- Moreno, H.M.; Borderías, A.J.; Tovar, C.A. Effect of frozen storage on the viscoelastic properties of mixed legume-surimi gels. LWT 2021, 145, 111353. [Google Scholar] [CrossRef]
- Luo, Y.; Shen, H.; Pan, D. Gel-forming ability of surimi from grass carp (Ctenopharyngodon idellus): Influence of heat treatment and soy protein isolate. J. Sci. Food Agric. 2006, 86, 687–693. [Google Scholar] [CrossRef]
- Kudre, T.; Benjakul, S.; Kishimura, H. Effects of protein isolates from black bean and mungbean on proteolysis and gel properties of surimi from sardine (Sardinella albella). LWT-Food Sci. Technol. 2013, 50, 511–518. [Google Scholar] [CrossRef]
- Benjakul, S.; Leelapongwattana, K.; Visessanguan, W. Comparative study on proteolysis of two species of bigeye snapper, Priacanthus macracanthus and Priacanthus tayenus. J. Sci. Food Agric. 2003, 83, 871–879. [Google Scholar] [CrossRef]
- Cao, M.-J.; Osatomi, K.; Hara, K.; Ishihara, T. Identification of a myofibril-bound serine proteinase (MBSP) in the skeletal muscle of lizard fish Saurida wanieso which specifically cleaves the arginine site. Comp. Biochem. Physiol. B Biochem. Mol. Biol. 2000, 125, 255–264. [Google Scholar] [CrossRef] [PubMed]
- Kwon, C.W.; Chang, P.-S. Role of endogenous cathepsin L in muscle protein degradation in olive flounder (Paralichthys olivaceus) surimi gel. Molecules 2021, 26, 1901. [Google Scholar] [CrossRef]
- Yongsawatdigul, J.; Piyadhammaviboon, P. Effect of microbial transglutaminase on autolysis and gelation of lizardfish surimi. J. Sci. Food Agric. 2005, 85, 1453–1460. [Google Scholar] [CrossRef]
- Feng, S.; Liu, Y.; Li, J.; Zhang, B.; Liu, C.; Li, X. Mechanism of improving water-holding capacity of Nemipterus virgatus myosin gel by soy protein isolate-stabilized pickering emulsion. LWT 2025, 218, 117512. [Google Scholar] [CrossRef]
- Singh, A.; Prabowo, F.F.; Benjakul, S.; Pranoto, Y.; Chantakun, K. Combined effect of microbial transglutaminase and ethanolic coconut husk extract on the gel properties and in-vitro digestibility of spotted golden goatfish (Parupeneus heptacanthus) surimi gel. Food Hydrocoll. 2020, 109, 106107. [Google Scholar] [CrossRef]







| Sample | Control | 55 °C | 65 °C |
|---|---|---|---|
| LZ | 1.05 ± 0.02 Ca | 6.18 ± 0.03 Ba | 7.67 ± 0.02 Aa |
| TB | 0.43 ± 0.00 Cb | 3.44 ± 0.03 Ab | 2.67 ± 0.07 Bb |
| AP | 0.34 ± 0.00 Cc | 1.14 ± 0.00 Bc | 1.24 ± 0.00 Ac |
| PW | 0.46 ± 0.01 Cb | 1.09 ± 0.02 Bd | 1.15 ± 0.02 Ad |
Disclaimer/Publisher’s Note: The statements, opinions and data contained in all publications are solely those of the individual author(s) and contributor(s) and not of MDPI and/or the editor(s). MDPI and/or the editor(s) disclaim responsibility for any injury to people or property resulting from any ideas, methods, instructions or products referred to in the content. |
© 2025 by the authors. Licensee MDPI, Basel, Switzerland. This article is an open access article distributed under the terms and conditions of the Creative Commons Attribution (CC BY) license (https://creativecommons.org/licenses/by/4.0/).
Share and Cite
Hamzeh, A.; Chumee, S.; Wilbrink, M.H.; Spelbrink, R.E.J.; Laus, M.C.; Yongsawatdigul, J. Potato Protein Suppresses Proteolytic Activity and Improves Textural Property of Tropical and Cold-Water Fish Surimi. Foods 2025, 14, 3444. https://doi.org/10.3390/foods14193444
Hamzeh A, Chumee S, Wilbrink MH, Spelbrink REJ, Laus MC, Yongsawatdigul J. Potato Protein Suppresses Proteolytic Activity and Improves Textural Property of Tropical and Cold-Water Fish Surimi. Foods. 2025; 14(19):3444. https://doi.org/10.3390/foods14193444
Chicago/Turabian StyleHamzeh, Ali, Sunanta Chumee, Maarten Hotse Wilbrink, Robin Eric Jacobus Spelbrink, Marc Christiaan Laus, and Jirawat Yongsawatdigul. 2025. "Potato Protein Suppresses Proteolytic Activity and Improves Textural Property of Tropical and Cold-Water Fish Surimi" Foods 14, no. 19: 3444. https://doi.org/10.3390/foods14193444
APA StyleHamzeh, A., Chumee, S., Wilbrink, M. H., Spelbrink, R. E. J., Laus, M. C., & Yongsawatdigul, J. (2025). Potato Protein Suppresses Proteolytic Activity and Improves Textural Property of Tropical and Cold-Water Fish Surimi. Foods, 14(19), 3444. https://doi.org/10.3390/foods14193444

