Immunoreactivity of Lupine and Soybean Allergens in Foods as Affected by Thermal Processing
Abstract
1. Introduction
2. Materials and Methods
2.1. Sampling
2.2. Model Mixtures and Sample Preparation
2.3. Protein Extraction and Quantification
2.4. SDS-PAGE and Native-PAGE Analysis
2.5. Immunoblotting Analysis
3. Results and Discussion
3.1. Antibody Specificity
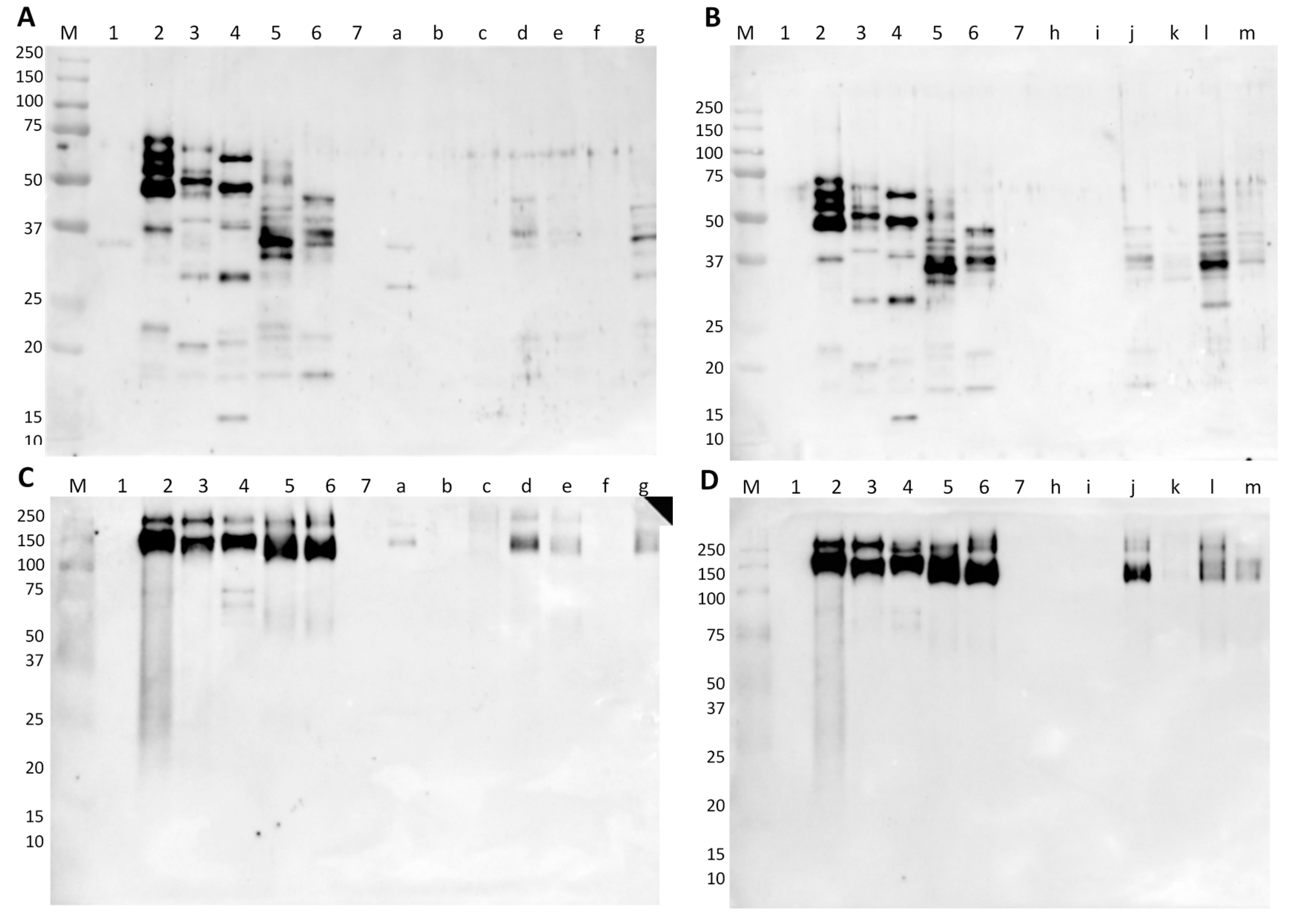
3.2. Effect of the Food Matrix and Heat Processing
3.2.1. Lupine Proteins
3.2.2. Soybean Proteins
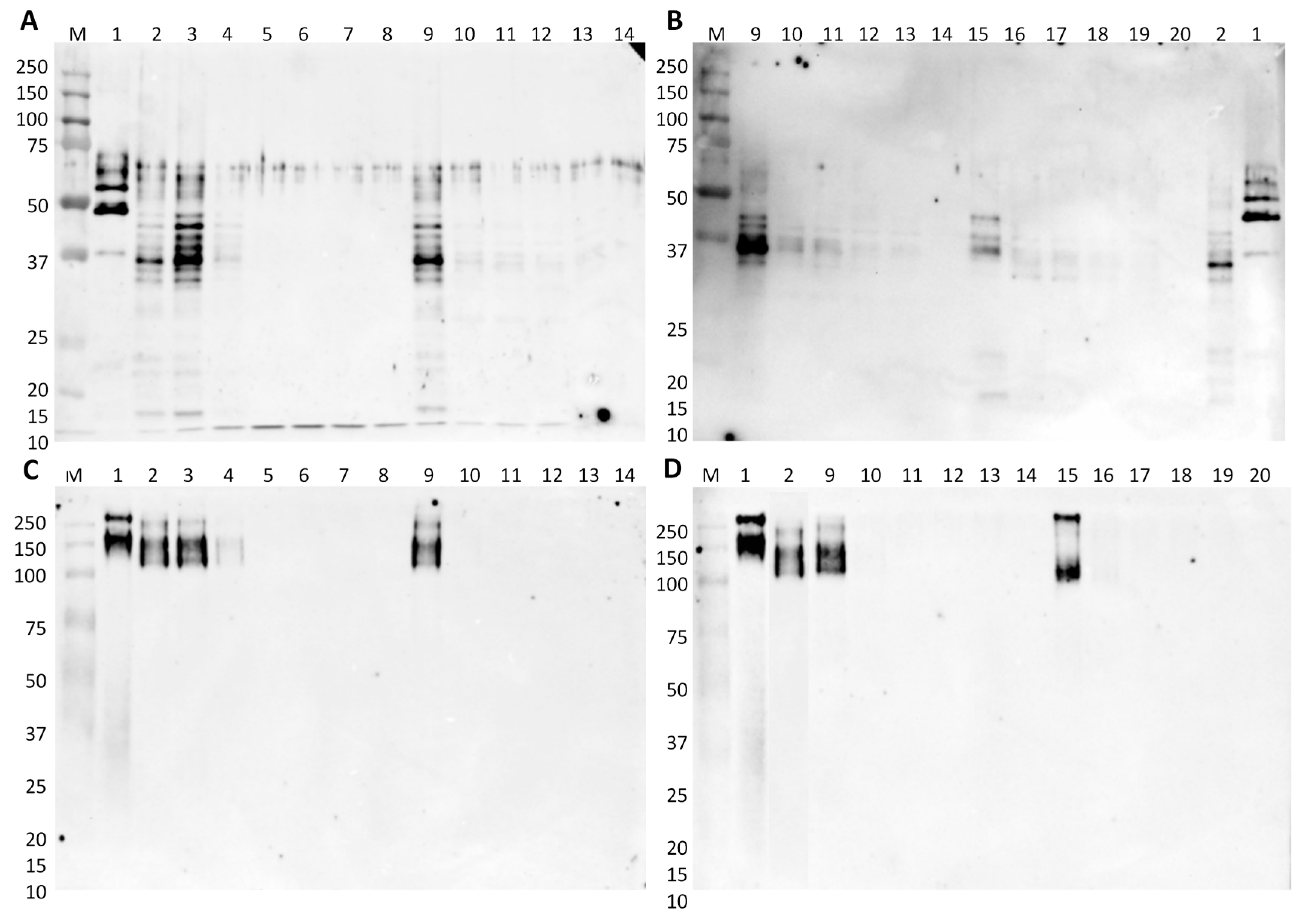
3.3. Analysis of Commercial Samples
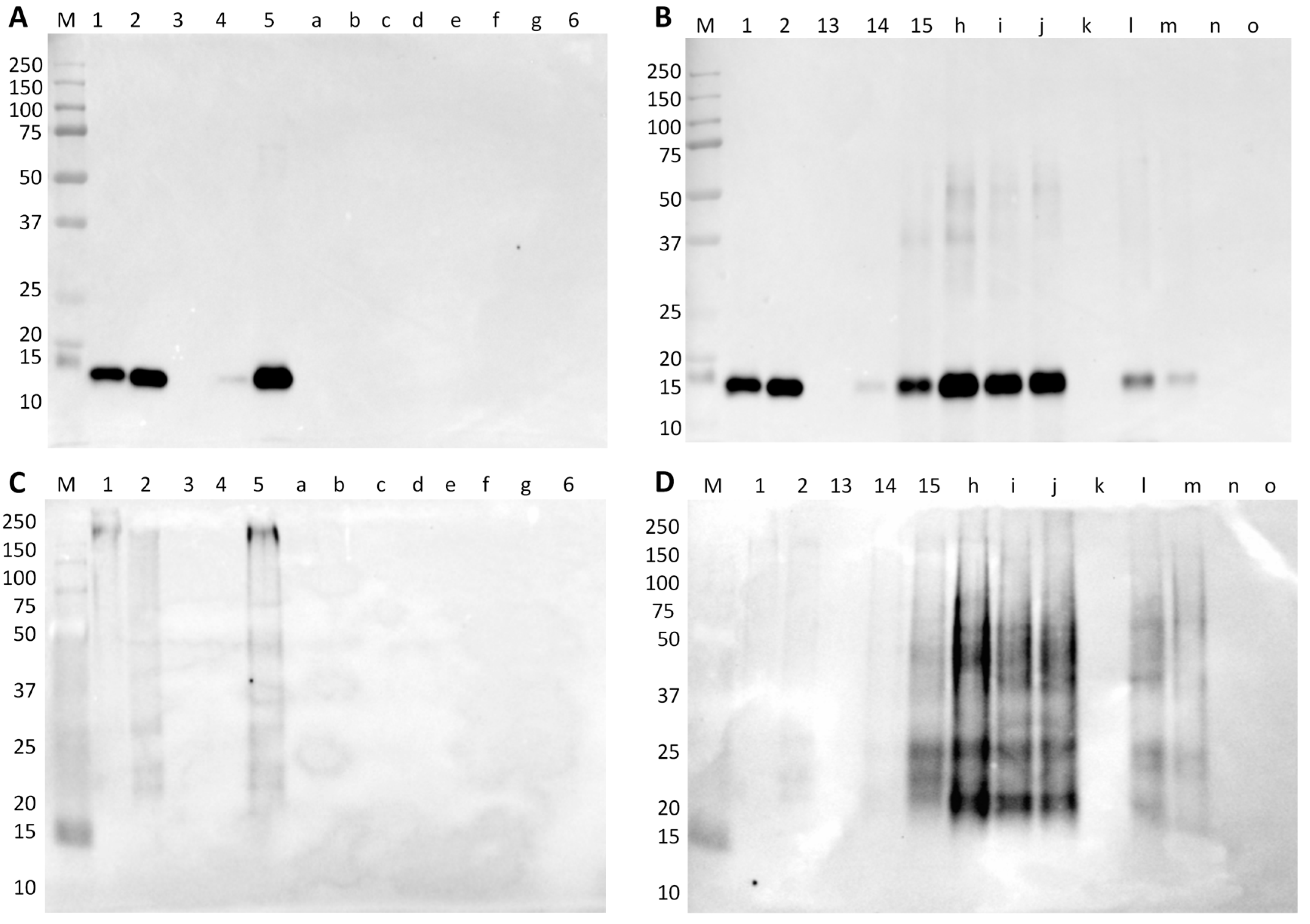
3.3.1. Lupine-Containing Products
3.3.2. Soybean-Containing Products
4. Conclusions
Supplementary Materials
Author Contributions
Funding
Acknowledgments
Conflicts of Interest
References
- Verma, A.K.; Kumar, S.; Das, M.; Dwivedi, P.D. A comprehensive review of legume allergy. Clin. Rev. Allergy Immunol. 2013, 45, 30–46. [Google Scholar] [CrossRef] [PubMed]
- Moneret-Vautrin, D.A.; Guerin, L.; Kanny, G.; Flabbee, J.; Fremont, S.; Morisset, M. Cross-allergenicity of peanut and lupine: The risk of lupine allergy in patients allergic to peanuts. J. Allergy Clin. Immunol. 1999, 104, 883–888. [Google Scholar] [CrossRef]
- Verhoeckx, K.C.M.; Vissers, Y.M.; Baumert, J.L.; Faludi, R.; Feys, M.; Flanagan, S.; Herouet-Guicheney, C.; Holzhauser, T.; Shimojo, R.; van der Bolt, N.; et al. Food processing and allergenicity. Food Chem. Toxicol. 2015, 80, 223–240. [Google Scholar] [CrossRef]
- Burney, P.; Summers, C.; Chinn, S.; Hooper, R.; Van Ree, R.; Lidholm, J. Prevalence and distribution of sensitization to foods in the European Community Respiratory Health Survey: A EuroPrevall analysis. Allergy 2010, 65, 1182–1188. [Google Scholar] [CrossRef] [PubMed]
- Smits, M.; Le, T.-M.; Welsing, P.; Houben, G.; Knulst, A.; Verhoeckx, K. Legume protein consumption and the prevalence of legume sensitization. Nutrients 2018, 10, 1545. [Google Scholar] [CrossRef] [PubMed]
- Fæste, C.K. Lupin Allergen Detection. In Molecular Biological and Immunological Techniques and Applications for Food Chemist; Popping, B., Diaz-Amigo, C., Hoenicke, K., Eds.; John Wiley & Sons, Inc.: Hoboken, NJ, USA, 2010; pp. 423–444. [Google Scholar]
- Asgar, M.A.; Fazilah, A.; Huda, N.; Bhat, R.; Karim, A.A. Non-meat protein alternatives as meat extenders and meat analogs. Compr. Rev. Food Sci. Food Saf. 2010, 9, 513–529. [Google Scholar] [CrossRef]
- CODEX STAN 175. General Standard for Soy Protein Products. Codex Alimentarius International Food Standards. World Health Organization and Food and Agriculture Organization of the United Nations: Rome, Italy. Available online: http://www.fao.org/fao-who-codexalimentarius/standards/list-of-standards/en/ (accessed on 24 September 2019).
- Villa, C.; Costa, J.; Mafra, I. Lupine allergens: Clinical relevance, molecular characterisation, cross-reactivity and detection strategies. Crit. Rev. Food Sci. Nutr. (submitted).
- Regulation (EU) No 1169/2011 of the European Parliament and of the Council of 25 October 2011 on the provision of food information to consumers, amending Regulations (EC) No 1924/2006 and (EC) No 1925/2006 of the European Parliament and of the Council, and repealing Commission Directive 87/250/EEC, Council Directive 90/496/EEC, Commission Directive 1999/10/EC, Directive 2000/13/EC of the European Parliament and of the Council, Commission Directives 2002/67/EC and 2008/5/EC and Commission Regulation (EC) No 608/2004. Off. J. Eur. Un. 2011, L304, 18–63.
- Jiménez-Saiz, R.; Benedé, S.; Molina, E.; López-Expósito, I. Effect of processing technologies on the allergenicity of food products. Crit. Rev. Food Sci. Nutr. 2015, 55, 1902–1917. [Google Scholar] [CrossRef]
- Álvarez-Álvarez, J.; Guillamon, E.; Crespo, J.F.; Cuadrado, C.; Burbano, C.; Rodriguez, J.; Fernández, C.; Muzquiz, M. Effects of extrusion, boiling, autoclaving, and microwave heating on lupine allergenicity. J. Agric. Food Chem. 2005, 53, 1294–1298. [Google Scholar] [CrossRef]
- Duranti, M.; Sessa, F.; Scarafoni, A.; Bellini, T.; Dallocchio, F. Thermal stabilities of lupin seed conglutin γ protomers and tetramers. J. Agric. Food Chem. 2000, 48, 1118–1123. [Google Scholar] [CrossRef] [PubMed]
- Guillamón, E.; Burbano, C.; Cuadrado, C.; Muzquiz, M.; Pedrosa, M.M.; Sánchez, M.; Cabanillas, B.; Crespo, J.F.; Rodriguez, J.; Haddad, J. Effect of an instantaneous controlled pressure drop on in vitro allergenicity to lupins (Lupinus albus var Multolupa). Int. Arch. Allergy Immunol. 2008, 145, 9–14. [Google Scholar] [CrossRef] [PubMed]
- Holden, L.; Sletten, G.B.; Lindvik, H.; Faeste, C.K.; Dooper, M.M. Characterization of IgE binding to lupin, peanut and almond with sera from lupin-allergic patients. Int. Arch. Allergy Immunol. 2008, 146, 267–276. [Google Scholar] [CrossRef] [PubMed]
- Rojas-Hijazo, B.; Garces, M.M.; Caballero, M.L.; Alloza, P.; Moneo, I. Unsuspected lupin allergens hidden in food. Int. Arch. Allergy Immunol. 2006, 141, 47–50. [Google Scholar] [CrossRef]
- Amigo-Benavent, M.; Silvan, J.M.; Moreno, F.J.; Villamiel, M.; Del Castillo, M.D. Protein quality, antigenicity, and antioxidant activity of soy-based foodstuffs. J. Agric. Food Chem. 2008, 56, 6498–6505. [Google Scholar] [CrossRef] [PubMed]
- Codina, R.; Oehling, A.G., Jr.; Lockey, R.F. Neoallergens in heated soybean hull. Int. Arch. Allergy Immunol. 1998, 117, 120–125. [Google Scholar] [CrossRef] [PubMed]
- Gomaa, A.; Boye, J.I. Impact of thermal processing time and cookie size on the detection of casein, egg, gluten and soy allergens in food. Food Res. Int. 2013, 52, 483–489. [Google Scholar] [CrossRef]
- Ohishi, A.; Watanabe, K.; Urushibata, M.; Utsuno, K.; Ikuta, K.; Sugimoto, K.; Harada, H. Detection of soybean antigenicity and reduction by twin-screw extrusion. J. Am. Oil Chem. Soc. 1994, 71, 1391–1396. [Google Scholar] [CrossRef]
- Takagi, K.; Teshima, R.; Okunuki, H.; Sawada, J. Comparative study of in vitro digestibility of food proteins and effect of preheating on the digestion. Biol. Pharm. Bull. 2003, 26, 969–973. [Google Scholar] [CrossRef]
- Wilson, S.; Martinez-Villaluenga, C.; De Mejia, E.G. Purification, thermal stability, and antigenicity of the immunodominant soybean allergen P34 in soy cultivars, ingredients, and products. J. Food Sci. 2008, 73, T106–T114. [Google Scholar] [CrossRef]
- Aguilera, J.M. The food matrix: Implications in processing, nutrition and health. Crit. Rev. Food Sci. Nutr. 2019, 59, 3612–3629. [Google Scholar] [CrossRef]
- Costa, J.; Amaral, J.S.; Grazina, L.; Oliveira, M.B.P.P.; Mafra, I. Matrix-normalised real-time PCR approach to quantify soybean as a potential food allergen as affected by thermal processing. Food Chem. 2017, 221, 1843–1850. [Google Scholar] [CrossRef] [PubMed]
- Villa, C.; Costa, J.; Gondar, C.; Oliveira, M.B.P.P.; Mafra, I. Effect of food matrix and thermal processing on the performance of a normalised quantitative real-time PCR approach for lupine (Lupinus albus) detection as a potential allergenic food. Food Chem. 2018, 262, 251–259. [Google Scholar] [CrossRef] [PubMed]
- Mini-PROTEAN® Tetra Cell Instruction Manual. Available online: https://www.bio-rad.com/webroot/web/pdf/lsr/literature/10007296D.pdf (accessed on 21 January 2019).
- ALLERGOME Database, the Platform for Allergen Knowledge, Latina, Italy. Available online: http://www.allergome.org/ (accessed on 23 March 2019).
- Chan, E.S.; Greenhawt, M.J.; Fleischer, D.M.; Caubet, J.-C. Managing cross-reactivity in those with peanut allergy. J. Allergy Clin. Immunol. 2019, 7, 381–386. [Google Scholar] [CrossRef] [PubMed]
- Cabanillas, B.; Jappe, U.; Novak, N. Allergy to peanut, soybean, and other legumes: Recent advances in allergen characterization, stability to processing and IgE cross-reactivity. Mol. Nutr. Food Res. 2018, 62, 1700446. [Google Scholar] [CrossRef] [PubMed]
- Magni, C.; Herndl, A.; Sironi, E.; Scarafoni, A.; Ballabio, C.; Restani, P.; Bernardini, R.; Novembre, E.; Vierucci, A.; Duranti, M. One- and two-dimensional electrophoretic identification of IgE-binding polypeptides of Lupinus albus and other legume seeds. J. Agric. Food Chem. 2005, 53, 4567–4571. [Google Scholar] [CrossRef] [PubMed]
- Goggin, D.E.; Mir, G.; Smith, W.B.; Stuckey, M.; Smith, P.M.C. Proteomic analysis of lupin seed proteins to identify conglutin β as an allergen, Lup an 1. J. Agric. Food Chem. 2008, 56, 6370–6377. [Google Scholar] [CrossRef]
- Kłos, P.; Poręba, E.; Springer, E.; Lampart-Szczapa, E.; Józefiak, A.G. Identification of a specific IgE-binding protein from narrow-leafed lupin (L. angustifolius) seeds. J. Food Sci. 2010, 75, H39–H43. [Google Scholar]
- Foss, N.; Duranti, M.; Magni, C.; Frokiaer, H. Assessment of lupin allergenicity in the cholera toxin model: Induction of IgE response depends on the intrinsic properties of the conglutins and matrix effects. Int. Arch. Allergy Immunol. 2006, 141, 141–150. [Google Scholar] [CrossRef]
- Roychaudhuri, R.; Sarath, G.; Zeece, M.; Markwell, J. Stability of the allergenic soybean Kunitz trypsin inhibitor. Biochim. Biophys. Acta 2004, 1699, 207–212. [Google Scholar] [CrossRef]
- Mohamed, A.M.; Peterson, S.C.; Hojilla-Evangelista, M.P.; Sessa, D.J.; Rayas-Duarte, P.; Biresaw, G. Effect of heat treatment and pH on the thermal, surface, and rheological properties of Lupinus albus protein. J. Am. Oil Chem. Soc. 2005, 82, 135–140. [Google Scholar] [CrossRef]
- NP 4393. Cooked Ham and Cooked Shoulder: Definition and Characteristics. Portuguese Standard. Instituto Português da Qualidade (IPQ): Caparica, Portugal, 2001. Available online: https://lojanormas.ipq.pt/product/np-4393-2001/ (accessed on 20 January 2020).
- Soares, S.; Amaral, J.S.; Oliveira, M.B.P.P.; Mafra, I. Quantitative detection of soybean in meat products by a TaqMan real-time PCR assay. Meat Sci. 2014, 98, 41–46. [Google Scholar] [CrossRef] [PubMed]
- NP 724. “Frankfurt” Type Sausage: Definition and Characteristics. Portuguese Standard. Instituto Português da Qualidade (IPQ): Caparica, Portugal, 2006. Available online: https://lojanormas.ipq.pt/product/np-724-2006/ (accessed on 20 January 2020).
- NP 723. Raw Sausage: Definition and Characteristics. Portuguese Standard. Instituto Português da Qualidade (IPQ): Caparica, Portugal, 2006. Available online: https://lojanormas.ipq.pt/product/np-723-2006/ (accessed on 20 January 2020).





| Sample | Type of Product | Relevant Label Information |
|---|---|---|
| Lupine | ||
| a | Cereal bread | May contain traces of lupine |
| b | Cookies | May contain traces of lupine |
| c | Lupine biscuits | Lupine flour |
| d | Pan Carré (bread) | Lupine protein |
| e | Crostini (mini toasts) | Lupine protein |
| f | Lupine cookies with lemon flavor | Lupine flour |
| g | Flour for bread | Lupine protein |
| h | Cookies | Sweet lupine flour |
| i | Chocolate wafers | Sweet lupine flour |
| j | Bread | Model bread (containing 2.5% of lupine flour) |
| k | Bread | Model bread (containing 0.25% of lupine flour) |
| l | Flour for bread | Flour mixture (containing 2.5% of lupine flour) |
| m | Rice flour | Flour mixture (containing 2.0% of lupine flour) |
| Soybean | ||
| a | Pork cooked ham (Fiambre da perna extra) | Flavors (milk, gluten, soybean) |
| b | Pork cooked ham (Fiambre da perna extra) | Flavors (contains gluten and soybean) |
| c | Pork cooked ham (Fiambre da perna extra) | Flavors (contains soybean products) |
| d | Turkey ham | Model cooked ham |
| e | Turkey breast ham | Soybean protein (may contain traces of milk) |
| f | Chicken breast ham | May contain traces of milk protein and soybean |
| g | Turkey breast ham | Milk protein (may contain traces of soybean) |
| h | Pork sausages (canned) | Soybean protein |
| i | Pork sausages (canned) | Soybean protein |
| j | Pork sausages (canned) | Soybean protein |
| k | Turkey sausage | Model sausages |
| l | Turkey sausages (bottled) | Soybean protein (may contain traces of milk) |
| m | Chicken sausages (bottled) | Soybean protein (may contain traces of milk) |
| n | Turkey Frankfurt sausages (vacuum packed) | May contain traces of soy and milk protein |
| o | Turkey and chicken sausages (vacuum packed) | No information about soybean (Gluten and milk “free”) |
© 2020 by the authors. Licensee MDPI, Basel, Switzerland. This article is an open access article distributed under the terms and conditions of the Creative Commons Attribution (CC BY) license (http://creativecommons.org/licenses/by/4.0/).
Share and Cite
Villa, C.; Moura, M.B.M.V.; Costa, J.; Mafra, I. Immunoreactivity of Lupine and Soybean Allergens in Foods as Affected by Thermal Processing. Foods 2020, 9, 254. https://doi.org/10.3390/foods9030254
Villa C, Moura MBMV, Costa J, Mafra I. Immunoreactivity of Lupine and Soybean Allergens in Foods as Affected by Thermal Processing. Foods. 2020; 9(3):254. https://doi.org/10.3390/foods9030254
Chicago/Turabian StyleVilla, Caterina, Mónica B. M. V. Moura, Joana Costa, and Isabel Mafra. 2020. "Immunoreactivity of Lupine and Soybean Allergens in Foods as Affected by Thermal Processing" Foods 9, no. 3: 254. https://doi.org/10.3390/foods9030254
APA StyleVilla, C., Moura, M. B. M. V., Costa, J., & Mafra, I. (2020). Immunoreactivity of Lupine and Soybean Allergens in Foods as Affected by Thermal Processing. Foods, 9(3), 254. https://doi.org/10.3390/foods9030254

