Correlation between the Leaflet–Annulus Index and Echocardiographic Indices in Maltese Dogs with Myxomatous Mitral Valve Disease
Abstract
Simple Summary
Abstract
1. Introduction
2. Materials and Methods
2.1. Animals
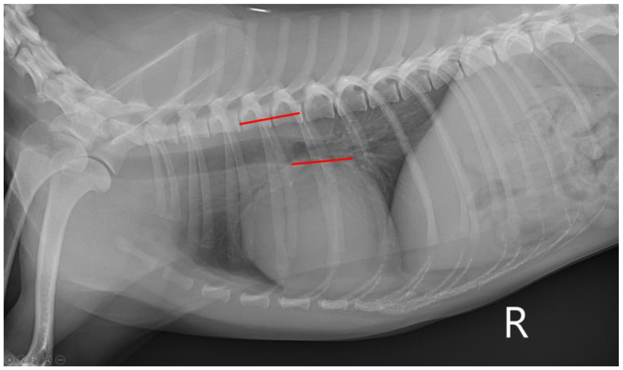
2.2. Thoracic Radiography
2.3. Echocardiography
2.4. Statistical Analysis
3. Results
4. Discussion
Author Contributions
Funding
Institutional Review Board Statement
Informed Consent Statement
Data Availability Statement
Acknowledgments
Conflicts of Interest
References
- Lam, C.; Gavaghan, B.J.; Meyers, F.E. Radiographic quantification of left atrial size in dogs with myxomatous mitral valve disease. J. Vet. Intern. Med. 2021, 35, 747–754. [Google Scholar] [CrossRef]
- Enriquez-Sarano, M.; Akins, C.W.; Vahanian, A. Mitral regurgitation. Lancet 2009, 373, 1382–1394. [Google Scholar] [CrossRef] [PubMed]
- Fox, P.R. Pathology of myxomatous mitral valve disease in the dog. J. Vet. Cardiol. 2012, 14, 103–126. [Google Scholar] [CrossRef] [PubMed]
- Cohn, J.N.; Ferrari, R.; Sharpe, N. Cardiac remodeling—Concepts and clinical implications: A consensus paper from an international forum on cardiac remodeling. J. Am. Coll. Cardiol. 2000, 35, 569–582. [Google Scholar] [CrossRef] [PubMed]
- Keene, B.W.; Atkins, C.E.; Bonagura, J.D.; Fox, P.R.; Häggström, J.; Fuentes, V.L.; Oyama, M.A.; Rush, J.E.; Stepien, R.; Uechi, M. ACVIM consensus guidelines for the diagnosis and treatment of myxomatous mitral valve disease in dogs. J. Vet. Intern. Med. 2019, 33, 1127–1140. [Google Scholar] [CrossRef] [PubMed]
- Malcolm, E.L.; Visser, L.C.; Philips, K.L.; Johnson, L.R. Diagnostic value of vertebral left atrial size as determined from thoracic radiographs for assessment of left atrial size in dogs with myxomatous mitral valve disease. J. Am. Vet. Med. Assoc. 2018, 253, 1038–1045. [Google Scholar] [CrossRef] [PubMed]
- Colli, A.; Besola, L.; Montagner, M.; Azzolina, D.; Soriani, N.; Manzan, E.; Bizzotto, E.; Zucchetta, F.; Bellu, R.; Pittarello, D.; et al. Prognostic impact of leaflet-to-annulus index in patients treated with transapical off-pump echo-guided mitral valve repair with NeoChord implantation. Int. J. Cardiol. 2018, 257, 235–237. [Google Scholar] [CrossRef] [PubMed]
- Isaka, M.; Hisada, S.; Araki, R.; Ueno, H. The leaflet-annulus index in canine myxomatous mitral valve disease. Res. Vet. Sci. 2022, 152, 245–247. [Google Scholar] [CrossRef] [PubMed]
- Lee, C.; Song, D.; Ro, W.; Kang, M.; Park, H. Genome-wide association study of degenerative mitral valve disease in Maltese dogs. J. Vet. Sci. 2019, 20, 63–71. [Google Scholar] [CrossRef] [PubMed]
- Buchanan, J.W.; Bücheler, J. Vertebral scale system to measure canine heart size in radiographs. J. Am. Vet. Med. Assoc. 1995, 206, 194–199. [Google Scholar] [PubMed]
- Thomas, W.P.; Gaber, C.E.; Jacobs, G.J.; Kaplan, P.M.; Lombard, C.W.; Moise, N.S.; Moses, B.L. Recommendations for standards in transthoracic two-dimensional echocardiography in the dog and cat. J. Vet. Intern. Med. 1993, 7, 247–252. [Google Scholar] [CrossRef] [PubMed]
- Hansson, K.; Häggström, J.; Kvart, C.; Lord, P. Left atrial to aortic root indices using two-dimesional and M-mode echocardiography in Cavalier King Charles Spaniels with and without left atrial enlargement. Vet. Radiol. Ultrasound 2002, 43, 568–575. [Google Scholar] [CrossRef] [PubMed]
- Boswood, A.; Gordon, S.G.; Häggström, J.; Wess, G.; Stepien, R.L.; Oyama, M.A.; Keene, B.W.; Bonagura, J.; MacDonald, K.A.; Patteson, M.; et al. Longitudinal analysis of quality of life, clinical, radiographic, echocardiographic, and laboratory variables in dogs with preclinical myxomatous mitral valve disease receiving pimobendane or placebo: The EPIC study. J. Vet. Intern. Med. 2018, 32, 72–85. [Google Scholar] [CrossRef]
- Tabata, N.; Weber, M.; Sugimura, A.; Öztürk, C.; Ishii, M.; Tsujita, K.; Nickening, G.; Sinning, J. Impact of the leaflet-to-annulus index on residual mitral regurgitation in patients undergoing edge-to-edge mitral repair. JACC Cardiovasc. Interv. 2019, 12, 2462–2472. [Google Scholar] [CrossRef]
- Kim, S.H.; Seo, K.Y.; Song, K.H. An assessment of vertebral left atrial size in relation to the progress of myxomatous mitral valve disease in dogs. J. Vet. Clin. 2020, 37, 9–14. [Google Scholar] [CrossRef]
- Ogawa, M.; Hori, Y.; Kanno, N.; Iwasa, N.; Toyofuku, T.; Isayama, N.; Yoshikawa, A.; Akabane, R.; Sakatani, A.; Miyakawa, H.; et al. Comparison of N-terminal pro-atrial natriuretic peptide and three cardiac biomarkers for discriminatory ability of clinical stage in dogs with myxomatous mitral valve disease. J. Vet. Med. Sci. 2021, 83, 705–715. [Google Scholar] [CrossRef] [PubMed]
- Ogawa, M.; Ogi, H.; Miyakawa, H.; Hsu, H.; Miyagawa, Y.; Takemura, N. Evaluation of the association between electrocardiogram parameters and left cardiac remodeling in dogs with myxomatous mitral valve disease. Vet. World 2022, 15, 2072–2083. [Google Scholar] [CrossRef] [PubMed]
- Menciotti, G.; Borgarelli, M. Review of diagnostic and therapeutic approach to canine myxomatous mitral valve disease. Vet. Sci. 2017, 4, 47. [Google Scholar] [CrossRef]





| Group (N) 1 | Age (Year) 2 | Body Weight (kg) 2 | Sex (N) 1 |
|---|---|---|---|
| Control (16) | Male (0) | ||
| 12.81 ± 2.48 | 3.52 ± 1.56 | Female (2) | |
| (8.00–16.00) | (1.65–6.80) | Castrated male (10) | |
| Spayed female (4) | |||
| ACVIM B1 (40) | Male (0) | ||
| 12.13 ± 3.31 | 3.65 ± 1.09 | Female (1) | |
| (5.00–20.00) | (1.90–6.65) | Castrated male (25) | |
| Spayed female (14) | |||
| ACVIM B2 (79) | Male (2) | ||
| 11.80 ± 2.78 | 3.54 ± 1.12 | Female (7) | |
| (6.00–19.00) | (1.45–6.35) | Castrated male (37) | |
| Spayed female (33) | |||
| Total (135) | Male (2) | ||
| 12.01 ± 2.91 | 3.57 ± 1.16 | Female (10) | |
| (5.00–20.00) | (1.45–6.80) | Castrated male (72) | |
| Spayed female (51) |
| Characteristics | Total (N = 135) | Group | p | |||
|---|---|---|---|---|---|---|
| Control (N = 16) | B1 (N = 40) | B2 (N = 79) | ||||
| Sex 1 | Male | 2 (1.5) | 0 (0.0) | 0 (0.0) | 2 (2.5) | 0.404 |
| Female | 10 (7.4) | 2 (12.5) | 1 (2.5) | 7 (8.9) | ||
| Castrated male | 72 (53.3) | 10 (62.5) | 25 (62.5) | 37 (46.8) | ||
| Spayed female | 51 (37.8) | 4 (25.0) | 14 (35.0) | 33 (41.8) | ||
| Age (year) 2 | 12.01 ± 2.91 | 12.81 ± 2.48 | 12.13 ± 3.31 | 11.80 ± 2.78 | 0.431 | |
| Body weight (kg) 2 | 3.57 ± 1.16 | 3.52 ± 1.56 | 12.13 ± 3.31 | 3.54 ± 1.12 | 0.864 | |
| Index | Control a (N = 16) | B1 b (N = 40) | B2 c (N = 79) | p | Post Hoc |
|---|---|---|---|---|---|
| VHS | 10.15 (9.60–10.50) | 10.50 (9.58–10.68) | 11.20 (10.80–12.00) | <0.001 | a,b < c α,γ,ε |
| VLAS | 1.40 (1.20–1.50) | 1.50 (1.40–1.60) | 1.90 (1.80–2.30) | <0.001 | a,b < c α,γ,ε |
| LA:Ao | 1.30 (1.20–1.40) | 1.50 (1.33–1.57) | 1.98 (1.73–2.18) | <0.001 | a < b < c β,γ,ε |
| LVIDDn | 1.29 (1.17–1.37) | 1.34 (1.19–1.45) | 1.70 (1.51–1.87) | <0.001 | a,b < c α,γ,ε |
| APL (mm) | 15.15 (13.09–17.55) | 16.74 (15.08–18.23) | 19.89 (17.45–22.54) | <0.001 | a,b < c α,δ,ε |
| LAI | 1.27 (1.21–1.37) | 1.14 (1.10–1.20) | 1.07 (1.05–1.14) | <0.001 | c < b < a β,γ,ε |
| Variables | VHS | VLAS | LA:Ao | LVIDDn | APL |
|---|---|---|---|---|---|
| LAI | −0.367 ** | −0.356 ** | −0.432 ** | −0.334 ** | −0.392 ** |
Disclaimer/Publisher’s Note: The statements, opinions and data contained in all publications are solely those of the individual author(s) and contributor(s) and not of MDPI and/or the editor(s). MDPI and/or the editor(s) disclaim responsibility for any injury to people or property resulting from any ideas, methods, instructions or products referred to in the content. |
© 2023 by the authors. Licensee MDPI, Basel, Switzerland. This article is an open access article distributed under the terms and conditions of the Creative Commons Attribution (CC BY) license (https://creativecommons.org/licenses/by/4.0/).
Share and Cite
Lee, H.-J.; Park, H.-J.; Song, J.-H.; Song, K.-H. Correlation between the Leaflet–Annulus Index and Echocardiographic Indices in Maltese Dogs with Myxomatous Mitral Valve Disease. Vet. Sci. 2023, 10, 493. https://doi.org/10.3390/vetsci10080493
Lee H-J, Park H-J, Song J-H, Song K-H. Correlation between the Leaflet–Annulus Index and Echocardiographic Indices in Maltese Dogs with Myxomatous Mitral Valve Disease. Veterinary Sciences. 2023; 10(8):493. https://doi.org/10.3390/vetsci10080493
Chicago/Turabian StyleLee, Han-Joon, Hyung-Jin Park, Joong-Hyun Song, and Kun-Ho Song. 2023. "Correlation between the Leaflet–Annulus Index and Echocardiographic Indices in Maltese Dogs with Myxomatous Mitral Valve Disease" Veterinary Sciences 10, no. 8: 493. https://doi.org/10.3390/vetsci10080493
APA StyleLee, H.-J., Park, H.-J., Song, J.-H., & Song, K.-H. (2023). Correlation between the Leaflet–Annulus Index and Echocardiographic Indices in Maltese Dogs with Myxomatous Mitral Valve Disease. Veterinary Sciences, 10(8), 493. https://doi.org/10.3390/vetsci10080493

