Abstract
The tomato is an economically important crop worldwide, although fungal infections by Alternaria alternata are the main cause of large postharvest fruit losses. One alternative to chemical control is the induction of the defense mechanism of plants with natural molecules such as chitin. Chitin is a polysaccharide of the fungal cell wall that is recognized by plasma membrane receptors that activates the transcription of plant defense genes. Because there is little information on the genes involved in chitin perception and defense responses to fungal chitin oligomers in tomato fruits, the main objective of this study was to identify pattern recognition receptor-associated genes in tomato fruits that perceive chitin oligomers from the necrotrophic fungus A. alternata using RNA-Seq. Chitin oligomers were obtained from A. alternata via enzymatic treatment. Tomato fruits in the pink ripening stage were exposed to these chitin oligomers for 30 min. The induction of tomato genes encoding a plasma membrane receptor that recognizes fungal chitin (LRR, RLK, SlLYK4, and SlCERK1) was observed 30 min after treatment. Similarly, the perception of Alternaria chitin oligomers triggered the induction of genes involved in signaling pathways regulated by ethylene and jasmonic acid. Further, activation of plant defense phenomena was confirmed by the upregulation of several genes encoding pathogenesis-related proteins. The scientific information generated in the present work will help to better elucidate tomato fruit’s response to pathogens and to design protocols to reduce postharvest losses due to fungal infection.
1. Introduction
Postharvest fungal diseases of fruits and vegetables represent one of the main factors causing significant losses in the food industry. Worldwide, these losses are estimated to vary between 5 and 25% in developed countries and between 20 and 50% in underdeveloped countries [1]. The tomato is a highly perishable fruit that is susceptible to pathogen attacks such as those from Botrytis cinerea, Rhizopus stolonifer, Colletotrichum gloeosporioides, and Alternaria alternata [2,3]. For the control of these fungi, the use of synthetic fungicides is no longer allowed due to the possible negative effects on human health, environmental contamination, and the generation of resistant strains [4]. Therefore, the current world trend demands a reduction in the use of synthetic fungicides or the development of a policy of sustainable use of pesticides [5]. For these reasons, there is a growing scientific interest towards the search for ecologically safer alternatives that guarantee food safety. Among the alternatives to the use of synthetic fungicides proposed thus far, the activation of natural defense mechanisms stands out as an environmentally friendly, safe, and sustainable strategy to protect plants against pathogen attacks.
In nature, plants are attacked by various pathogens, especially fungal pathogens. In response, they have developed an “immune system” to defend themselves against fungal attacks. The defense system can be elicited by the pathogen attack or biological compounds, such as chitin and its oligosaccharides, to induce resistance to postharvest diseases. Some studies have demonstrated that chitin increases the resistance to postharvest disease by activating defense mechanisms in fruits. For instance, pear fruits treated with colloidal chitin showed an increase in peroxidase and polyphenol oxidase activities, and a significant reduction in disease caused by Penicillium expansum was observed [6]. In another study, tomato fruits exposed to chitin from Saccharomyces cerevisiae showed a significant increase in the activity of some defense-related enzymes such as glucanase and chitinase, and the rot caused by Botrytis cinerea was significantly reduced [7]. Recently, in previous work performed in our lab, it was observed that tomato fruits exposed for 30 min to chitin oligomers obtained from A. alternata showed a significant increase in the enzymatic activity of the chitinase and glucanase, and also the disease caused by the fungus A. alternata was reduced by 78% [8]. However, in those studies no information is included about how chitin is perceived, or about the molecular mechanism through which the defense response is induced in fruits. Chitin is an amino polysaccharide made up of repeating β-1,4-N-acetyl-glucosamine units and is one of the most abundant polysaccharides in nature. Due to its characteristics, it exhibits biological activity in plants by eliciting the plant immune response in dicotyledons and monocotyledons [9,10]. Scientific evidence indicates that chitin and its oligosaccharides, classified as pathogen-associated molecular patterns (PAMPs), are recognized by pattern recognition receptors (PRRs), which are localized in the plasma membrane. These PRRs coordinate with other associated proteins to initiate signal transduction to the nucleus, leading to PAMP-triggered immunity (PTI) [11].
The perception of chitin and its oligosaccharides has been studied in some plants such as Arabidopsis thaliana (Arabidopsis), Oryza sativa (rice), Lotus japonicus [12], Brassica juncea [13], Gossypium hirsutum [14], and, recently, Solanum lycopersicum [15]. Chitin perception has been studied mainly in Arabidopsis and rice. Arabidopsis perceives chitin oligosaccharides via chitin elicitor receptor kinase 1 (CERK1) [16], which was first considered the main chitin receptor found in this plant. This receptor belongs to the receptor-like kinase (RLK) family, and it is composed of three extracellular lysine domains involved in chitin recognition, a transmembrane domain, and an intracellular cytoplasmic kinase domain, which can initiate a signaling cascade within the cell [17,18]. According to various authors, once chitin perception occurs, other proteins such as the lysine motif receptor kinase, known as LYK5 in Arabidopsis, form a heterotetramer complex with AtCERK1, activating the AtCERK1 cytoplasmic kinase domain and the downstream immune system responses [19,20,21]. Analysis of the crystal structure of chito-oligosaccharides binding to the Arabidopsis thaliana CERK1 ectodomain (AtCERK1-ECD) [22] suggested that chito-oligosaccharides acted as a bivalent ligand binding two AtCERK1-ECD proteins through a continuous space formed between two LysMs, inducing homodimerization. This dimerization induces the formation of an active receptor complex which is crucial for activating the plant immune response. Another type of chitin receptor is receptor-like proteins (RLPs), such as the chitin elicitor-binding protein (CEBiP) receptor that was identified in rice. This receptor is similar to an RLK but does not possess intracellular domains that are required to initiate signal transduction, and thus it needs to interact with an RLK and initiate a signaling cascade within the cell [19,23,24].
When recognition of PAMPs occurs in plants, the signal is transduced into the plant cell through cytoplasmic receptor-like kinase (RLCK) proteins, which bind to the intracellular domains of receptor-type chitin kinases (RLKs) [17,25]. The message induces the production of signaling hormones such as salicylic acid (SA), jasmonic acid (JA), ethylene (ET), abscisic acid (ABA), auxins (AUXs), cytokinins (CKs), gibberellins (GBs), and brassinosteroids (BRs) [26]. Throughout these signaling pathways, a complex defense response is activated, including modifications to create structural defenses (the random creation of bonds between cell wall polymers by hydrogen peroxide, and lignification); the induction of reactive oxygen species (ROS), nitric oxide (NO), and calcium-dependent protein kinases; and the stimulation of MAP kinases. This activation plays a role in transcriptional reprogramming and the activation of early defense-related genes [21,27]. These genes encode pathogenesis-related (PR) proteins that play important roles in the defense against pathogens, such as glucanases, chitinases, peroxidases, and enzymes such as phenylalanine ammonia-lyase, which is a key enzyme involved in the synthesis of phytoalexins [28]. On the other hand, once pathogens are perceived, they are capable of developing several strategies to counter the plant immune system. Among these strategies are the following: preventing cell wall chitin hydrolysis by plant chitinases, transforming chitin oligomers into immunogenically inactive chitosan; and interfering with chitin receptors or signaling in plants [29]. Some fungi produce specific effectors that contain the LysM motif and bind to chitin or its oligomers, preventing recognition of these oligomers by plants. For example, Rhizoctonia solani produce RsLysM, a LysM effector that interacts with chitin to suppress chitin-triggered immunity [30]. In the case of necrotrophic pathogens, they produce effectors that suppress plant immunity, e.g., toxins, cell-death-inducing proteins (CDIPs), and small RNAs [31]. Some similar strategies were observed in beneficial fungi such as Trichoderma spp. when was cultured in presence of tomato plants or chitin. Genes coding for tripsin (PRA1) and endochitinase (Chit42) were strongly induced by chitin, both enzymes are associated with the hydrolysis of fungal cell wall components during interactions between Trichoderma and the fungal host [32]. All these strategies promote fungal colonization and disease development.
As mentioned previously, chitin receptors have been studied in some plants, and they have been shown to mediate basal resistance to fungal infection in these plant species. However, all those studies were conducted on leaves or roots, and few studies have been carried out on fruits such as the banana (Musa acuminata) [33] and apple (Malus domestica) [34]. To our knowledge, the published information on chitin receptors that perceive chitin oligomers from deteriorative fungi and activate the immune response in tomato fruits is very limited. In fact, the scientific information that exists refers to chitin receptors that perceive chitin from shrimp shell, or yeast, bacteria, or chemically synthesized chitin [9,10], and there is little or no information on chitin receptors in fruits that perceive chitin oligomers from deteriorative fungi. On the other side, there are studies in the literature regarding the genes encoding chitin receptors that were induced in tomato plants in response to pathogen infections or in response to arbuscular mycorrhizae (AMs). In tomato plants, the Bti9 gene, which encodes a LysM receptor-like kinase in response to the AvrPtoB protein from Pseudomonas syringae, was isolated [35]. Based on the tomato genome sequence, the authors found three homologs of Bti9, designated SlLYK11, SlLYK12, and SlLYK13, which share the same clade with Bti9 and could be involved in the molecular responses to PAMPs. In another study, four orthologous genes to CERK1 (SlLYK1, SlLYK11, SlLYK12, and SlLYK13) that encode for chitin receptor protein kinase were identified in tomato plants inoculated with an arbuscular mycorrhiza (AM) [36]. Recently, a chitin receptor was analyzed in tomato leaves and fruits in response to commercial chitin mixture. It was found that the SlLYK4 gene encoding a LysM receptor-like kinase was highly expressed in tomato fruits, and its overexpression enhanced fruit resistance to Botrytis cinerea [37]. Although there is information about chitin receptors in tomato plants/fruits in response to different microorganims, such as Pseudomonas syringae [35], arbuscular mycorrhizae [36], Clavibacter michiganensis subsp. michiganensis [38], or in transformed tomato plants, in which the chitin receptors SlLYK4 and SlLYK1 were analyzed with respect to the defense mechanism in tomato plants and fruits [37]. In these studies, the overexpression of different genes encoding chitin receptors has been reported, such as SlLYK1, SlLYK4, SlLYK9, SlLYK11, SlLYK12, SlLYK13, CERK1, Bti9, depending on the microorganism that interacts with the different tomato tissues. In this sense, it is unclear if the specific fungal molecules, such as chitin oligomers obtained from Alternaria, are recognized in tomato fruit by the same chitin receptors reported previously and if the defense mechanism is induced in the same way as has been reported in other studies.
The creation of the interaction between chitin and the tomato fruit transcriptome will be a helpful tool for further understanding tomato fruit immunity. Thus far, some studies have investigated the changes in the transcriptome after infection by pathogens, in which live fungi were used [38,39]. In those studies, RNA-seq analyses revealed that several genes involved in defense and stress responses were overexpressed in resistant lines [40]. However, there is little knowledge about the recognition phenomena of pathogen-specific molecules such as chitin oligomers in fruits. Given the lack of information regarding PRRs in tomato fruit that perceive fungal chitin oligosaccharides, the objective of the present study was to identify putative PRRs as well as pathogenesis-related genes in tomato fruits in response to the presence of chitin oligomers isolated from the necrotrophyic fungus Alternaria alternata through RNA-seq.
2. Materials and Methods
2.1. Fruit Material
Fruits of the round-type tomato (Solanum lycopersicum L.) were obtained from a local market located in Hermosillo, Sonora, México. Plants were grown in the Valley of Culiacan, Sinaloa State, México, and the fruits were harvest at commercial ripeness (based on the seller’s information). Waxed cardboard boxes each containing 40 fruits arrived at the research facility the day after packing. They were maintained overnight at room temperature (20 °C) to stabilize the temperature and ensure evaporation of surface condensation moisture. Fruits were selected based on uniformity in size, a pink maturity stage (color number 4 of the USDA color card) and being free of visual damage or decay.
2.2. Fungal Chitin Oligomers
Chitin oligomers were obtained from the fungus Alternaria alternata by enzymatic treatment as reported previously [41]. The chitin oligomers were partially characterized based on the degree of acetylation measured by conductometric titration [42], GlcNAc content, protein content, and analysis of absorption bands associated with chemical bonds (by FTIR) [41]. The degree of polymerization was estimated based on the molecular weight of chitin and the NMWL of the ultrafiltration membrane (<1 kDa) used to obtain the low molecular weight of chitin oligomers. These chitin oligomers showed a low molecular weight (≤1 kDa), an estimated polymerization degree of <5, and an acetylation degree of 76.7%.
2.3. Postharvest Application of Chitin Oligomers
Tomato fruits were disinfected with a NaClO solution (150 μL/L) for 3 min. Fruits were rinsed with sterile distilled water to remove traces of chlorine and were divided into two batches of nine fruits each. Fruits from one of the groups were exposed to a solution of chitin oligomers (F1) at a concentration of 50 ng/mL by immersion for 30 s. Thereafter, the fruits were held at 20 °C for 30 min. Fruits from the other group were immersed in sterile distilled water, which was considered the control group. Based on a preliminary study conducted in our lab, high enzymatic activity was observed 30 min after the fruit was challenged with fungal chitin oligomers. Given these preliminary results, after 30 min of tomato exposure, samples of tomato pericarp were taken, frozen at −80 °C and held at that temperature until analyzed.
2.4. RNA Isolation from Tomato Fruits
Tomato pericarp tissue was frozen with liquid nitrogen and pulverized. Three biological replicates (three fruits per each biological replicate) were analyzed for each treatment. RNA extraction was performed according to the method based on the precipitation of RNA with lithium chloride [43]. The RNA concentration was determined using a NanoDrop ND-1000 UV–vis spectrophotometer (NanoDrop Technologies Inc., Wilmington, DE, USA). The RNA purity was measured using a NanoDrop spectrophotometer based on the relationship between absorbance at 260 and 280 nm. RNA integrity was visualized by electrophoresis with a 1% agarose gel. Nuclease-free water was added to the RNA for a final concentration of 200 ng/µL, and the samples were stored at −80 °C.
2.5. RNA-Seq Library Construction and Sequencing
RNA from the treatment and control groups was used to make six independent libraries using a TruSeq RNA kit following the manufacturer’s instructions (Illumina Systems). These libraries were sequenced using the Illumina Next-seq platform at the Genomic Services Laboratory, CINVESTAV, México (http://langebio.cinvestav.mx/labsergen/, accessed on 12 February 2021). Sequencing by synthesis technology was perform in single-end mode with a 150 bp read length. Approximately 25 million single reads were generated per sample.
2.6. RNA-Seq Processing
The quality of the raw reads obtained from the sequencing data for the transcriptome was determined using the FastQC program [44]. Raw reads were filtered using the FASTX-Toolkit (http://hannonlab.cshl.edu/fastx_toolkit/, accessed on 1 March 2021); only sequences with a quality higher than Q30 across at least 85% of the entire read without sequencing adapters and a length of more than 35 nt were selected. Subsequently, reads were trimmed using the rRNA silva database (http://www.arb-silva.de/, accessed on 1 March 2021) with information available for Solanum lycopersicum for removing the rRNA reads.
2.7. Mapping the Short Reads to the Tomato Genome
The high-quality reads were mapped to the reference genome of Solanum lycopersicum [45] (Sol Genomics platform current version SL4.0 and ITAG4.0 annotation; https://solgenomics.net/, accessed on 9 January 2023) using HISAT2 [46]. Then, the Htseq-count function [47] was used to calculate the read counts with the default mode. The read counts for each gene were used to create the read counts table for all samples.
2.8. Differential Gene Expression and Enrichment Analysis
To determine the levels of gene expression, raw read counts for all samples were normalized to transcripts per million (TPM). The principal component analysis (PCA) and the multidimensional scaling (MDS) [48] plot were used to determine and visualize the variation between samples. One of the control libraries not grouped with their treatment were consider outliers and were removed from the analysis to eliminate the bias. Once samples and biological replicates were validated, the raw read counts were used to identify the differentially expressed genes using the edgeR package v.3.38.4 in R v4.2.1 [48]. Lowly expressed genes were removed, and only genes with a CPM > 0.1 in at least two of three replicates were kept. Differentially expressed genes in tomato fruits treated with chitin oligomers in comparison with the control group were identified with paired comparisons using the common dispersion. As a criterion, genes with FDR < 0.05 and Fold Change > 1.5 were considered as differentially expressed. Functional annotation and enrichment analysis were performed using the Database for Annotation, Visualization, and Integrated Discovery (DAVID, [49,50]) (https://david.ncifcrf.gov/home.jsp, accessed on 16 January 2023) with FDR < 0.05. Heatmaps and hierarchical clustering were carried out using hclust and gplots v3.1.3 in R v4.2.1.
2.9. Gene Expression Based on qRT-PCR
Six differentially expressed genes (DEGs) in response to chitin oligomer exposure were selected for qRT–PCR analysis (Table 1). For this method, total RNA was cleaned with the DNase RQ1 kit (Promega, Madison, WI, USA). After this step, the first strand of cDNA was synthesized from clean RNA with the SuperScript® III Reverse Transcriptase kit (Invitrogen, Carlsbad, CA, USA), with some modifications. Samples of RNA were mixed with 1 μL of dNTP Mix, 1 μL of the reverse primers to increase the amplification efficiency as reported previously [51], reverse transcriptase MMLV-RT (SuperScriptTM III), and sterile water.
Table 1.
Primers used for gene expression analysis via qRT–PCR.
Quantification of expression was determined using HotStart-IT SYBR Green Affimetrix® in a StepOne Applied Biosystem (Thermo Fisher, Carlsbad, CA, USA). The mixture contained 10 μL of SYBR Green Master Mix, 60 ng of cDNA, 1 μL of 10 μM forward and reverse primers, and ddH2O. The genes actin, TIP41-like family protein, and glyceraldehyde-3-phosphate-dehydrogenase (GAPDH) were measured as housekeeping genes, and a dynamic range assay including a fivefold serial dilution was used [52]. The primers used in the assay are shown in Table 1. The relative quantification was calculated with three technical repetitions per biological sample (three biological samples) using the 2−∆∆Ct method [53].
2.10. Statistical Analysis
Expression level data were analyzed by a completely randomized design. One-way analysis of variance was performed, and the Tukey-Kramer multiple range test with a confidence level of 95% was performed using NCSS statistical analysis software (2010; NCSS, Kaysville, UT, USA).
3. Results and Discussion
To evaluate the transcriptional responses of the tomato fruits after the application of chitin oligomers, RNA-seq analysis was performed on the tomato fruits exposed to fungal chitin oligomers for 30 min (treatment) and the control tomato fruits without treatment. In total, six libraries per group (three treatment and three control) were sequenced using the Illumina NextSeq platform in single-end mode. The general statistics for the transcriptome sequencing results are provided in Table 2. The total number of clean single reads was 81,343,998 (~12.2 Gb) for the treatment and 93,935,830 (~14.09 Gb) for the control. These clean reads were obtained after removing bases with a low quality in the phred score, rRNA, and adaptor sequences. These clean reads (more than 97%) were used for mapping to the Solanum lycopersicum reference genome (SL4.0) version ITAG4.0. This reference genome is available on the Solanaceae Genomics Network website (https://solgenomics.net/, accessed on 9 January 2023), which comprises 12 chromosomes and 34,075 predicted protein-coding genes. An average of 97.4% of the clean reads were mapped to the reference genome, which indicated the robustness of the transcriptome data (Table 2).
Table 2.
Transcriptome samples statistics.
The RNA-seq data were deposited in GenBank under the accession number PRJNA788682. The samples in the SRA archive (http://www.ncbi.nlm.nih.gov/sra, accessed on 18 December 2021) were designated RTISL1SS01, RTISL1SS02, and RTISL1SS03 for the three biological replicates of the fruits exposed to chitin oligomers and RTISL1SS04, RTISL1SS05, and RTISL1SS06 for the three biological replicates of the fruits exposed to water and considered controls. Here, for clarity, the samples are renamed as “F1” corresponding to the fruits exposed to chitin oligomers for 30 min, and “C”, corresponding to the fruits exposed to water and evaluated after 30 min (control group).
3.1. Gene Expression Analysis
To gain insights into the molecular mechanisms associated with the recognition and response of tomato fruits to fungal chitin oligomers, gene expression analysis was carried out using RNA-seq analysis of tomato pericarp tissue exposed to chitin oligomers from A. alternata. The exploratory analysis showed a Pearson correlation coefficient of more than 0.95 among the six libraries, indicating good reproducibility between the biological replicates. Moreover, in the fruits exposed to chitin oligomers, the principal component analysis (PCA) and multidimensional scaling (MDS) showed similarity between the three biological replicates and grouped them together, representing a similar level of transcription. Additionally, in the control fruits, the PCA and MDS presented similarities between the two biological replicates (Figure 1). This suggests that the samples were grouped by treatment, although no clear separation was observed between the fruits exposed to chitin oligomers for 30 min and the control fruits, indicating that the overall expression patterns between the different samples were similar, and few significant differences were found.
Figure 1.
Principal component analysis (A) and multidimensional scaling (B) of transcriptome profile displaying differences between tomato fruit exposed to Alternaria chitin oligomers for 30 min (F1.1–3) and control (C1.1 and C1.3).
The expression levels of the genes were normalized to TPM (transcripts per million) values. RNA expression analysis showed that 19,210 genes out of the 34,075 predicted in the tomato genome (56.38%) were expressed in the tomato fruits transcriptome in response to chitin oligomers of A. alternata. From these, 39.01% and 33.32% were expressed in the 1–10 and 10–100 TPM ranges, respectively. Further, 20.32% of the genes showed an expression of <1 TPM, 6.74% showed an expression of 100–1000 TPM, and 0.61% showed an expression of >1000 TPM (Supplementary Table S1). In order to determine the transcriptional regulatory role of fungal chitin oligomers, a comparative RNA-seq analysis was performed between the pericarp tissue of the tomato fruits exposed to chitin oligomers for 30 min and fruit tissue without treatment. The comparison performed using the edgeR package with FDR < 0.05 and fold change > 1.5 showed that 650 genes were differentially expressed, including 217 upregulated and 433 downregulated, in response to fungal chitin oligomers. Volcano and heatmap plots based on the fold change levels of the differentially expressed genes in the treated fruits are shown in Figure 2 and Supplementary Table S2.
Figure 2.
Volcano and heatmap plots depicting the expression profiles of the genes in tomato fruit control (C1 and C3) and exposed with fungal chitin oligomers (F1–F3). ((A): Volcano plot; blue dots: upregulated genes; red dots: downregulated genes. (B): Heatmap plot; red to white to blue indicates the increase in the gene expression).
To identify the functional Gene Ontology categories and metabolic pathways that were affected by fungal chitin oligomer application, enrichment analysis using the DAVID tool with FDR < 0.05 was performed. The results showed that the biological process of photosynthesis and the cellular components related to plastid thylakoid membrane, chloroplast, and membrane protein complex were enriched in the upregulated genes. Meanwhile, the biological processes of “response to stress”, “defense response”, and “response to external biotic stimulus”, as well as the molecular functions “transcription factor activity, sequence-specific DNA binding” and “calcium ion binding”, were enriched mainly in the downregulated genes (Supplementary Table S3). In agreement with these data, the KEGG metabolic pathways showed that the upregulated genes were enriched in metabolic pathways related to photosynthesis (sly01100, sly00195, and sly00710). No significantly enriched metabolic pathways were found to be enriched in the downregulated genes. These data suggest the activation of the photosynthesis process through the expression of genes related to electron transport in mitochondria and chloroplasts, and inactivation of genes related to calcium signaling may play an important role in the tomato fruit response to chitin oligomers of A. alternata (Supplementary Table S4). In agreement with these results, other studies reported the activation of photosynthesis in response to chitosan treatment in strawberry fruits [54], rice [55], and potato [56]. In this study, chitosan applied to Solanum tuberosum significantly induced the overexpression of genes related to electron transport in chloroplasts and mitochondria, as well as the overexpression of genes related to the formation of reactive oxygen species (ROS). It is possible that the activation of the transfer of electrons could result in the crosstalk of different organelles through redox signals, which may activate defense responses against pathogens, resulting in a better metabolic state, promoting plant growth and development. Chitosan is a partially or fully deacetylated derivative of chitin, which has been shown to have antimicrobial activity and elicit defense reactions in plants [57], having a positive influence on plant growth and development [58]. Moreover, no studies can be found in the literature regarding the activation of photosynthesis in response to treatment with low-molecular-weight fungal chitin oligomers.
From the data obtained in the present study, it is clear that upregulated genes in response to fungal chitin oligomers have roles in metabolic processes, biosynthetic processes, and physiological processes such as growth, maturation, and respiration. For instance, upregulation of the constitutive ubiquitin (Solyc02g014670.2) and actin genes (Solyc02g067510.3) was found, which have important functions within the cell, such as marking proteins to be degraded by the proteasome and participating in mobility and cell contraction during cell division, respectively [59]. Additionally, other important genes such as cytochrome P450, glutaredoxin family protein, NAC protein aspartic proteinase, calmodulin-like protein, subtilisin-like protease, Avr9/Cf-9, ethylene-responsive transcription factor, and acetolactate synthase, which have been reported to be involved in tomato defense against powdery mildew [60], were enriched in the GO terms.
3.2. Expression of the Genes Encoding Chitin-Binding Receptors of Alternaria Chitin Oligomers
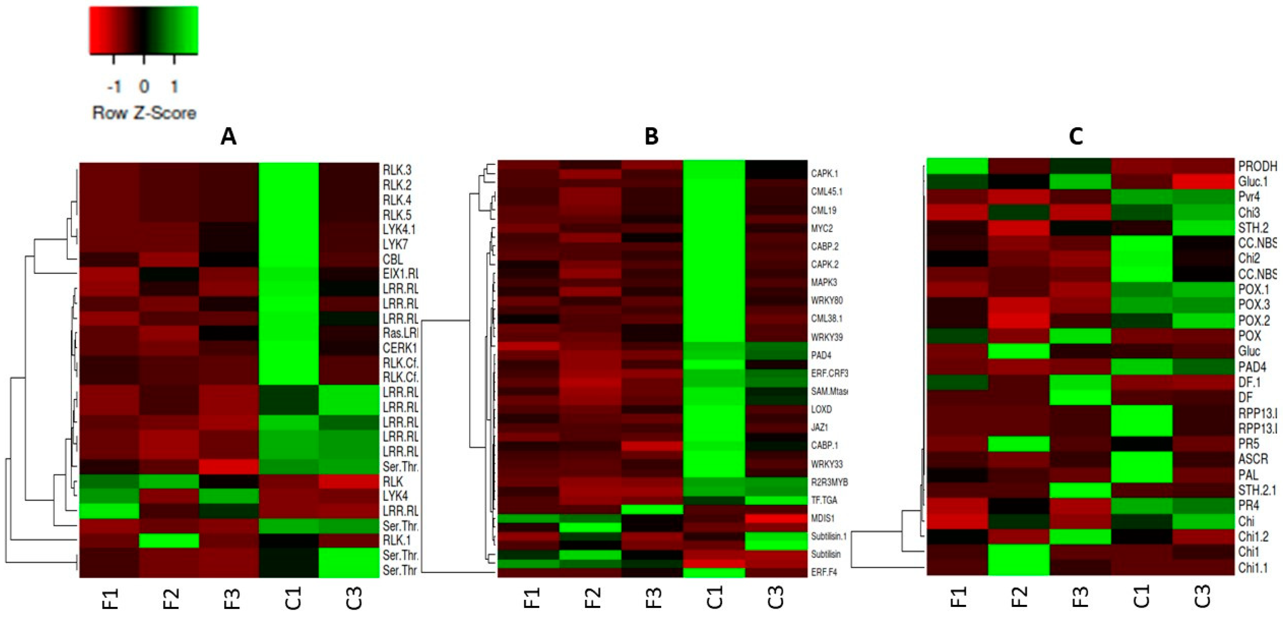
In order to identify the putative genes implicated in the recognition of chitin oligomers of Alternaria alternata as well as the activation of the defense response in tomato fruits, the genes assigned to “signaling”, “immune system process”, and “response to stimulus” were analyzed. It is important to highlight that some upregulated genes in the treatment group are implicated in chitin perception, signaling, and defense responses. In this study, the differential expression of several genes encoding probable chitin receptor-like protein kinases was found, of which Solyc12g039080.3, Solyc08g150135.1, Solyc07g006770.2, and Solyc11g010730.3 were overexpressed by 6.84-, 2.84-, 2.23-, and 2.14-fold, respectively, in response to Alternaria chitin treatment (Figure 3). Based on the tomato genome (Solanum lycopersicum, http://solgenomicss.net, accessed on 8 May 2023), other putative genes encoding chitin receptor-like protein kinases were expressed in the tomato fruits in response to fungal chitin oligomers (Table 3). These genes included those encoding chitin receptor-like protein kinase 1 (SlCERK1), LysM domain receptor-like 7 (SlLYK7), receptor-like protein kinase (RLK), leucin-rich repeat receptor-like protein kinase (LRR), and leucin-rich repeat receptor-like serine/threonine-protein kinase (LRR-RLK).
Figure 3.
Heatmap displaying the change in the expression profiles of the genes in tomato fruit control (C1 and C3) and exposed with chitin oligomers of Alternaria alternata for 30 min (F1–F3). (A) Genes encoding chitin receptors. (B) Genes involved in signaling. (C) Genes encoding pathogenesis related proteins. (Red to black to green marks the increase in the gene expression).
Table 3.
Detailed information on differentially expressed genes related to the chitin receptor in tomato fruits exposed to chitin oligomers of Alternaria alternata for 30 min.
The results of this study show that the chitin oligomers of A. alternata applied to the surface of tomato fruits, induced the overexpression of genes involved in chitin perception in tomato fruits after 30 min of treatment. Among the overexpressed genes, we found the gene Solyc11g010730.3, which putatively encodes chitin receptor-like protein kinase containing the lysin motif (LysM) and shows 99% identity with the gene At2g23770, which encodes LYK4 previously reported in Arabidopsis [61,62,63]. The LYK4 gene was also reported in tomato leaves exposed to Planticine®, which is a mixture of α(1→4)-linked D-galacturonic acid oligomers. According to the authors, the results found 48 h after treatment indicated that these D-galacturonic acid oligomers were perceived by plant membrane receptors in the tomato leaves, and increased expressions of genes encoding chitin elicitor receptor kinase 1, LysM domain receptor-like kinase 4 (CERK1/LYK4), and receptor-like protein kinase (RLK) were observed [15]. In another study, tomato chitin receptor mutants, sllyk4 and slcerk1, were generated and investigated in terms of chitin-induced immunity and fungal resistance [37]. The authors found that the transcript levels of SlLYK4 and SlCERK1 were higher in tomato fruits than in other organs, e.g., the leaves, stems, roots, or flowers. Further, the results of the qRT-PCR analysis performed showed that SlLYK4 was highly expressed in tomato fruits in the mature green stage. Additionally, from the binding affinity assay carried out in that study, the authors indicated that SlLYK4′s extracellular domain showed greater binding affinity to chitin compared to that of SlCERK1.
On the other side, the gene Solyc07g049180.3 encoding chitin receptor-like protein kinase showed 81.05% identity to the Bti9 and SlLYK1 genes that were previously reported in tomato plants [35,36]. However, these genes were downregulated at 30 min post-treatment, with lower FDR values (<0.05) and a fold change less than 1.0. Bti9 is a LysM-RLK gene encoding a serine/threonine-protein kinase domain with a high percentage of amino acid similarity to the Arabidopsis CERK1 receptor. In tomato plants, the Bti9 gene was found to perceive AvrPtoB from P. syringae [35]. On the other side, the SlLYK1 gene was induced in tomato roots and leaves in response to chitin oligosaccharides [36]. In the same study, the authors found that the SlLYK1, SlLYK11, SlLYK12, and SlLYK13 genes were in the same clade as the CERK1 gene and concluded that these genes are orthologs of CERK1. Based on NCBI data, the Bti9 and SlLYK1 genes are highly similar and share the same function.
As mentioned previously, chitin oligomers are perceived by PRRs through chitin receptor-like protein kinase. This union occurs between the acetyl group of chitin and the lysine domains of the RLK or RLP receptor, giving rise to the formation of homodimers and/or heterodimers [64,65]. Additionally, the participation of chitin receptors such as protein kinases with lysine domains that interact with RLK receptors has been reported. In the case of Arabidopsis, studies have shown that chitin is recognized by AtLYK4/LYK5 and subsequently induces the association with AtCERK1, leading to AtCERK1 activation that transduces the signal from the outside to the cytosol [19]. Later, it was confirmed that CERK1 is essential for the recognition of chitin oligosaccharides in Arabidopsis and that there are other receptor proteins that are important for this interaction to be effective. In the present study, genes encoding receptor-like protein kinase (RLK), receptor-like protein kinase with lysine domains (LYK), and receptor-like protein kinase and serine/threonine-protein kinase were identified. However, more studies are required to determine the receptor characteristics and which receptor plays the main role in detecting chitin oligomers of A. alternata to initiate signal transduction.
3.3. Signaling Molecules Were Differentially Expressed in Response to Fungal Chitin Oligomers
Another fundamental step that can occur during the plant-pathogen interaction once chitin oligomers are recognized by PRRs is the activation of several proteins that play a role in the signal transduction pathway, such as mitogen-activated protein kinases (MAPKs), calcium signaling, transcription factors (TFs), and hormone signaling [66]. In the present study, as a response to exposure to fungal chitin oligomers for 30 min, most of the genes encoding proteins playing a role in signal transduction were downregulated in the tomato fruits. Only a few of them were upregulated, such as WRKY transcription factor 3, BZIP transcription factor, transcription factor HEC1, and respiratory burst oxidase-like protein (0.77, 0.98, 0.90, and 0.75 FC, respectively), which could be involved in the regulation of the expression of defense genes [67,68]. WRKY3 is a transcription factor widely conserved in higher plants and involved in the expression of defense-associated genes [67]. In the tomato, 81 WRKY were identified and classified into different groups. Previous transcriptome analyses performed on the tomato have demonstrated that 22 WRKY genes were upregulated in tomato cotyledons six days post-infection with Clavibacter michiganensis subsp. michiganensis [38]. In the present study, only one WRKY gene was upregulated in the tomato fruits as a response to fungal chitin oligomers. This result is consistent with other studies, where chitosan (deacetylated version of chitin) induced a low number of upregulated defense-associated genes after 2 h of exposure in Solanum tuberosum L. In that study, the chitosan treatment induced the expression of only one gene involved in signaling events, a WRKY transcription factor [56].
Signal transduction can also be regulated by plant hormones such as ethylene (ET), jasmonic acid (JA), and salicylic acid (SA) that mediate the expression changes of many genes. Some studies reported that JA/ET signaling activates the defense response against necrotrophic fungi [26] such as A. alternata. In fruits, ethylene is a hormone that plays a fundamental role in the ripening process [69]. This hormone is synthesized through the Yang cycle, where the enzyme 1-aminocyclopropane-1-carboxylic acid synthetase (ACS) transforms S-adenosyl methionine to 1-aminocyclopropane-1-carboxylic acid, and it is converted to ethylene by the enzyme ACC oxidase (ACO) [70]. On the other side, JA is synthesized from linolenic acid by lipoxygenase (LOX), allene oxide cyclase (AOC), allene oxide synthase (AOS), and 12-oxo-phytodienoic acid reductase 3 (OPR3). Subsequently, jasmonoyl-Ile synthase (JAR1) converts JA into the active form jasmonoyl-Ile (JA-Ile) [71]. SA may be synthesized through two pathways. One is the isochorismate synthase (ICS) pathway, where SA is converted by pyruvoyl-glutamate lyase (EPS1/IPGL). In the alternative pathway, SA is synthesized from L-phenylalanine by the enzymes phenylalanine ammonia-lyase (PAL), 3-hydroxy acyl-CoA dehydrogenase (AIM1), and 4-coumarate:CoA ligase (4CL) [72]. In response to fungal attacks, these three plant hormones play an important role. SA and JA/ET modulate resistance to biotrophic and necrotrophic fungi, respectively [73].
In agreement with the explanation mentioned above, the RNA-seq results of the present study show the differential expression of genes playing a role in the ET, JA, and SA biosynthetic pathways. Some genes related to ET response factors (ETR) were differentially expressed in response to fungal chitin oligomers, including ethylene-responsive transcription factor-like proteins and ethylene response factors (ERFs). Among them, the expressions of the genes encoding ethylene response factor E.1 (Solyc09g075420.3), ACO (Solyc07g026650.3), and SAM-Mtases (Solyc02g091140.3.3), were upregulated (Figure 3). The last two genes (ACO and SAM-Mtases) are involved in ET biosynthesis. ERFs have been extensively reported to be involved in the regulation of both fruit ripening and resistance to pathogen stresses in the tomato. The response to pathogen attacks occurs when ERFs bind to the cis-acting element AGCCGCC (the GCC box), which is highly enriched in the promoter regions of multiple genes expressed in response to pathogen infection [74,75]. In the present study, tomato fruits exposed to Alternaria chitin oligomers showed overexpression of the transcription factor SlERF.E1 (Solyc09g075420.3), which could be responsible for modulating the transcription of ethylene-regulated genes [76]. These findings are consistent with the results reported by other authors, who observed overexpression of ERF.A2 (ERF1) and ERF.F5 (ERF3) in tomato fruits after B. cinerea infection in the mature-green and red-ripe stages, respectively [77]. In another study, it was observed that overexpression of the gene SlERF2 (ERF.E1) enhanced the resistance of tomato fruits against B. cinerea. In addition, the authors observed that methyl jasmonate (MeJA) treatment increased the production of ethylene, chitinase, β-1,3-glucanase, peroxidase, and phenylalanine ammonia-lyase, as well as the phenolic content. The authors concluded that SlERF2 was involved in MeJA-mediated disease resistance against Botrytis cinerea in the tomato fruits [78]. On the other side, some genes related to JA biosynthesis were overexpressed, i.e., lipoxygenases (LOX, Solyc08g029000.3, Solyc01g017860.3, and Solyc03g122340.3), and an allene oxide synthase (ACS, Solyc04g079730.1). Additionally, two genes (Solyc12g049400.2, and Solyc03g093610.1) associated with the jasmonate signal transduction pathway were upregulated in tomato fruits in response to fungal chitin oligomers (Table 3). These results are consistent with those reported by some authors [15] who observed overexpression of the LOX and AOS genes, as well as the genes TIF5A, JAZ7, JAZ2, MYC2 and ERF1 involved in the jasmonate signal transduction pathway in tomato leaves exposed to a mixture of oligomers of D-galacturonic acids. On the other side, some putative genes that could be involved in regulating SA biosynthesis were detected. In the PAL biosynthetic pathway, the PAL gene (Solyc09g007900.4) and genes encoding enzymes in the ICS pathway were not upregulated. Similar results were found by other authors [38]. These results suggest that exposure of tomato fruits to fungal chitin oligomers for 30 min does not induce the expression of genes encoding SA, but more studies are required to test this statement.
3.4. Alternaria Chitin Oligomer Perception Induces Changes in the Expression of Genes Encoding Defense-Related Proteins in Tomato Fruit
Fungal chitin oligomers activated the defense response in the tomato fruits. The expression of genes encoding PR proteins such as chitinase (Chi1, Solyc07g009530.1, Solyc10g017980.1), endo β-1,3 glucanase (PR2, Solyc01g060020.4, Solyc04g016470.4), thaumatin-like protein (PR5, Solyc08g080670.1), pathogenesis-related protein STH-2-like (Solyc09g090970.4), and defensins (Solyc07g007710.4, Solyc09g009725.1), was observed (Figure 3). In addition, other genes encoding peroxidase (POX, Solyc01g006290.4), and PAL (Solyc09g007900.4), which are responsible for the synthesis of antifungal compounds (among others) were expressed (Table 3). It is widely documented that chitinases and β-1,3 glucanases have antifungal activity [79] both in vitro and in vivo conditions [28,79,80]. These results are consistent with previously reported results [7], where the overexpression of the genes that encode chitinase (LeCHI9), PR2 (LePRb), and PAL (LePAL) was observed in tomato fruits in response to the chitin of Saccharomyces cerevisiae. LePR2b expression in chitin-treated fruits was 19.3-fold higher than in the control at 24 h, whereas LeCHI9 expression was 2.2-fold higher at 12 h and 6.3-fold higher at 48 h. The authors suggested that increased enzymatic activities and transcriptional levels of glucanase and chitinase might be essential mechanisms induced by yeast cell wall chitin to prepare fruits for increased disease resistance. In another study, the defense genes regulated by ethylene increased substantially in tomato fruits inoculated with Colletotrichum gloeosporioides [81]. The authors found overexpression of the genes encoding class 1 chitinases (Solyc07g009510.1), pathogenesis-related protein 1 (PR1, Sol-yc09g091000.2), and PR 10 (Solyc09g090990.2). Recently, the elicitor effect of the chitin oligomers (low molecular weight and polymerization degree < 5) of A. alternata was demonstrated. Tomato fruits exposed to these chitin oligomers showed a significant increase in the enzymatic activity of glucanase and chitinase, and the disease caused by A. alternata was significantly reduced [8]. Based on those results, the application of chitin oligomers from the fungus A. alternata could be a potential strategy for the control of postharvest fruit diseases, since they are safe, and easy to apply in the postharvest process.
3.5. Validation of the Results Obtained In Silico by qRT-PCR
Figure 4a shows the relative expression level from the qRT-PCR of the genes encoding chitin receptors and some pathogenesis-related proteins in tomato fruits exposed to fungal chitin oligomers for 30 min. The qRT-PCR results showed high expression of Bti9 (Solyc01g098420.3, 6.27-fold), whereas SlLYK1 and LYK4 registered similar expression levels (2.57- and 2.85-fold, respectively). The expression results from qRT-PCR and the RNA-seq differential expression data were similar, revealing a high correlation between the two methods. The linear regression analysis showed an R2 value of 0.79 (Figure 4b), indicating a close correlation between transcript abundance as quantified by qRT-PCR and the transcription profile obtained in silico, which supports the precision and robustness of the data and validates the data generated by RNA-seq.
Figure 4.
(a) qRT-PCR results for the relative expression level of the genes encoding chitin receptors and some pathogenesis-related proteins in tomato fruits exposed to Alternaria chitin oligomers for 30 min. (b) Linear regression analysis between the expression of tomato genes induced by the chitin treatment calculated in silico and determined by qRT–PCR. The genes included in the analysis were chitin-binding receptor (Bti9, SlLYK1, LYK4), chitinase (Chi1), and β-1,3 glucanase (GLUC, PR2).
The overall results obtained in the present study indicate that 30 min exposure to chitin oligomers of Alternaria alternata with a polymerization degree of less than or equal to 5, induced the expression of genes encoding plasma membrane receptors such as SlLYK1, LYK4, RLK, and LRR-RLK in tomato fruits. These results agree with other studies [82,83], in which it was reported that chitin oligosaccharides with a degree of polymerization of 5 to 9 ((GlcNac)5–(GlcNac)9) were strongly recognized by plasma membrane receptor in Arabidopsis.
A model created based on the bibliographic data and the data generated in the present study is shown in Figure 5. After chitin is recognized by the receptor, the signal is transmitted to the plant cell interior through the intracellular kinase domain, which interacts with cytoplasmic proteins that activate MAPKs phosphorylation [25,84], triggering a complicated network of biochemical and molecular events that induce the activation of the defense response in tomato fruits.
Figure 5.
Representative scheme of Alternaria chitin oligomers perception by chitin receptors. Alternaria chitin oligomers bind to CERK1, LYK4, LYK1, and others RLK receptors. This complex sends the signal to the cytoplasmic kinase proteins that bind to the intracellular domains of the chitin receptor (RLCK), which will begin to phosphorylate and trigger the MAP kinase pathway, inducing the accumulation of JA, ET, and activating the defense responses.
4. Conclusions
Chitin oligomers isolated from A. alternata induced the overexpression of genes that encode chitin receptor-like protein kinase in tomato fruits. These genes showed a high percent identity to AtCERK1 and LYK4 reported in Arabidopsis and tomato and were highly similar to SlLYK1 reported in tomato plants. Similarly, the perception of fungal chitin oligomers induced the expression of genes involved in signaling mediated by JA and ET, thus activating the defense mechanism, which was reflected by the overexpression of genes encoding pathogenesis-related proteins.
The identification of different genes implicated in the recognition of fungal chitin in tomato fruits represents an advancement in the understanding of the phenomena of fungal chitin perception in fruits. However, more studies are required to generate information that allows researchers to propose more effective control strategies that guarantee the development of environmentally friendly alternatives to preserve postharvest fruit quality.
Supplementary Materials
The following supporting information can be downloaded at: https://www.mdpi.com/article/10.3390/horticulturae9101064/s1, Table S1: distribution of expression levels in F1 and C samples. Table S2: list of differentially expressed genes in response to chitin oligomers. Table S3: Gene Ontology enrichment analysis using the DAVID tool (FDR < 0.05). Table S4: KEGG metabolic pathway enrichment analysis using the DAVID tool (FDR < 0.05).
Author Contributions
Y.H.G. and R.T.-R. conceived and designed the idea and wrote the manuscript; M.Á.H.-O. provided technical assistance on transcriptomic data; M.E.B.-F. and M.E.T.-H. provided technical assistance, scientific correction, and language revision for the final versions of the manuscript. All authors have read and agreed to the published version of the manuscript.
Funding
This research received financial support from the Sectoral Research Fund for Education of the National Council for Humanities, Sciences and Technologies (CONAHCYT) from Mexico (CB 2016-01, Grant No. 287254).
Institutional Review Board Statement
Not Applicable.
Informed Consent Statement
Not Applicable.
Data Availability Statement
Data associated with this article can be found in online repositories. The names of the repository/repositories and accession number(s) can be found below: National Center for Biotechnology Information (NCBI) BioProject database under accession number PRJNA788682 (http://www.ncbi.nlm.nih.gov/sra).
Acknowledgments
Financial support from the CONAHCYT (Mexico) is fully appreciated. The author H.G.Y. thanks to CONAHCYT for the PhD scholarship assigned. We are grateful to the Research Center of Food and Development (CIAD, AC) for all the equipment facilities.
Conflicts of Interest
The authors declare no conflict of interest.
References
- Kitinoja, L.; Kader, A.A. Measuring postharvest losses of fresh fruits and vegetables in developing countries. Postharvest Educ. Found. 2015, 15, 26. [Google Scholar]
- Pane, C.; Fratianni, F.; Parisi, M.; Nazzaro, F.; Zaccardelli, M. Control of Alternaria post-harvest infections on cherry tomato fruits by wild pepper phenolic-rich extracts. Crop. Protect. 2016, 84, 81–87. [Google Scholar] [CrossRef]
- Troncoso-Rojas, R.; Tiznado-Hernández, M. Alternaria alternata (black rot, black spot). In Postharvest Decay of Fruits and Vegetables: Control Strategies; Bautista-Baños, S., Ed.; Elsevier, Inc.: Amsterdam, The Netherlands, 2014; pp. 147–187. [Google Scholar]
- Pathak, V.M.; Verma, V.K.; Rawat, B.S.; Kaur, B.; Babu, N.; Sharma, A.; Dewali, S.; Yadav, M.; Kumari, R.; Singh, S.; et al. Current status of pesticide effects on environment, human health and it’s eco-friendly management as bioremediation: A comprehensive review. Front. Microbiol. 2022, 13, 962619. [Google Scholar] [CrossRef]
- European Commission. Regulation of the European Parliament and of the Council on the Sustainable Use of Plant Protection Products and Amending Regulation (EU) 2021/2115. 2022, pp. 1–71. Available online: https://food.ec.europa.eu/plants/pesticides/sustainable-use-pesticides_en (accessed on 14 June 2023).
- Fu, D.; Xiang, H.; Yu, C.; Zheng, X.; Yu, T. Colloidal chitin reduces disease incidence of wounded pear fruit inoculated by Penicillium expansum. Postharvest Biol. Technol. 2016, 111, 1–5. [Google Scholar] [CrossRef]
- Sun, C.; Fu, D.; Jin, L.; Chen, M.; Zheng, X.; Yu, T. Chitin isolated from yeast cell wall induces the resistance of tomato fruit to Botrytis cinerea. Carbohydr. Polym. 2018, 199, 341–352. [Google Scholar] [CrossRef]
- Valle-Sotelo, E.; Troncoso-Rojas, R.; Tiznado-Hernández, M.; Carvajal-Millan, E.; Estrada, A.; García, Y. Bioefficacy of fungal chitin oligomers in the control of postharvest decay in tomato fruit. Int. Food Res. J. 2022, 29, 1131–1142. [Google Scholar] [CrossRef]
- Malerba, M.; Cerana, R. Recent Applications of Chitin- and Chitosan-Based Polymers in Plants. Polymers 2019, 11, 839. [Google Scholar] [CrossRef]
- Singh, R.; Upadhyay, S.K.; Singh, M.K.; Sharma, I.; Sharma, P.; Pooja, K.; Saini, A.K.; Voraha, R.; Sharma, A.; Upadhyay, T.K.; et al. Chitin, Chitinases and Chitin Derivatives in Biopharmaceutical, Agricultural and Environmental Perspective. Biointerface Res. Appl. Chem. 2021, 11, 9985–10005. [Google Scholar]
- Sanchez-Vallet, A.; Mesters, J.R.; Thomma, B.P. The battle for chitin recognition in plant-microbe interactions. FEMS Microbiol. Rev. 2015, 39, 171–183. [Google Scholar] [CrossRef]
- Bozsoki, Z.; Cheng, J.; Feng, F.; Gysel, K.; Vinther, M.; Andersen, K.R.; Oldroyd, G.; Blaise, M.; Radutoiu, S.; Stougaard, J. Receptor-mediated chitin perception in legume roots is functionally separable from Nod factor perception. Proc. Natl. Acad. Sci. USA 2017, 114, E8118–E8127. [Google Scholar] [CrossRef]
- Gao, Y.; Zhao, K. Molecular mechanism of BjCHI1-mediated plant defense against Botrytis cinerea infection. Plant Signal. Behav. 2017, 12, e1271859. [Google Scholar] [CrossRef] [PubMed][Green Version]
- Wang, P.; Zhou, L.; Jamieson, P.; Zhang, L.; Zhao, Z.; Babilonia, K.; Shao, W.; Wu, L.; Mustafa, R.; Amin, I.; et al. The Cotton Wall-Associated Kinase GhWAK7A Mediates Responses to Fungal Wilt Pathogens by Complexing with the Chitin Sensory Receptors. Plant Cell 2020, 32, 3978–4001. [Google Scholar] [CrossRef] [PubMed]
- Rakoczy-Lelek, R.; Czernicka, M.; Ptaszek, M.; Jarecka-Boncela, A.; Furmanczyk, E.M.; Kęska-Izworska, K.; Grzanka, M.; Skoczylas, Ł.; Kuźnik, N.; Smoleń, S.; et al. Transcriptome Dynamics Underlying Planticine(®)-Induced Defense Responses of Tomato (Solanum lycopersicum L.) to Biotic Stresses. Int. J. Mol. Sci. 2023, 24, 6494. [Google Scholar] [CrossRef]
- Zhang, B.; Ramonell, K.; Somerville, S.; Stacey, G. Characterization of early, chitin-induced gene expression in Arabidopsis. Mol. Plant Microbe Interact. 2002, 15, 963–970. [Google Scholar] [CrossRef]
- Bi, G.; Zhou, Z.; Wang, W.; Li, L.; Rao, S.; Wu, Y.; Zhang, X.; Menke, F.L.H.; Chen, S.; Zhou, J.M. Receptor-like Cytoplasmic Kinases Directly Link Diverse Pattern Recognition Receptors to the Activation of Mitogen-Activated Protein Kinase Cascades in Arabidopsis. Plant Cell 2018, 30, 1543–1561. [Google Scholar] [CrossRef]
- Abdul Malik, N.A.; Kumar, I.S.; Nadarajah, K. Elicitor and Receptor Molecules: Orchestrators of Plant Defense and Immunity. Int. J. Mol. Sci. 2020, 21, 963. [Google Scholar] [CrossRef]
- Cao, Y.; Liang, Y.; Tanaka, K.; Nguyen, C.; Jedrzejczak, R.; Joachimiak, A.; Stacey, G. The kinase LYK5 is a major chitin receptor in Arabidopsis and forms a chitin-induced complex with related kinase CERK1. eLife 2014, 3, e03766. [Google Scholar] [CrossRef] [PubMed]
- Henry, G.Y.; Zamora, O.R.; Troncoso-Rojas, R.; Tiznado-Hernández, M.E.; Báez-Flores, M.E.; Carvajal-Millan, E.; Rascón-Chu, A. Toward Understanding the Molecular Recognition of Fungal Chitin and Activation of the Plant Defense Mechanism in Horticultural Crops. Molecules 2021, 26, 6513. [Google Scholar] [CrossRef]
- Zipfel, C.; Oldroyd, G.E. Plant signalling in symbiosis and immunity. Nature 2017, 543, 328–336. [Google Scholar] [CrossRef]
- Liu, T.; Liu, Z.; Song, C.; Hu, Y.; Han, Z.; She, J.; Fan, F.; Wang, J.; Jin, C.; Chang, J.; et al. Chitin-induced dimerization activates a plant immune receptor. Science 2012, 336, 1160–1164. [Google Scholar] [CrossRef]
- Buendia, L.; Girardin, A.; Wang, T.; Cottret, L.; Lefebvre, B. LysM Receptor-Like Kinase and LysM Receptor-Like Protein Families: An Update on Phylogeny and Functional Characterization. Front. Plant Sci. 2018, 9, 1531. [Google Scholar] [CrossRef] [PubMed]
- Shimizu, T.; Nakano, T.; Takamizawa, D.; Desaki, Y.; Ishii-Minami, N.; Nishizawa, Y.; Minami, E.; Okada, K.; Yamane, H.; Kaku, H.; et al. Two LysM receptor molecules, CEBiP and OsCERK1, cooperatively regulate chitin elicitor signaling in rice. Plant J. 2010, 64, 204–214. [Google Scholar] [CrossRef] [PubMed]
- Jaiswal, N.; Liao, C.J.; Mengesha, B.; Han, H.; Lee, S.; Sharon, A.; Zhou, Y.; Mengiste, T. Regulation of plant immunity and growth by tomato receptor-like cytoplasmic kinase TRK1. New Phytol. 2022, 233, 458–478. [Google Scholar] [CrossRef]
- Li, N.; Han, X.; Feng, D.; Yuan, D.; Huang, L.-J. Signaling Crosstalk between Salicylic Acid and Ethylene/Jasmonate in Plant Defense: Do We Understand What They Are Whispering? Int. J. Mol. Sci. 2019, 20, 671. [Google Scholar] [CrossRef] [PubMed]
- Skelly, M.J.; Furniss, J.J.; Grey, H.; Wong, K.W.; Spoel, S.H. Dynamic ubiquitination determines transcriptional activity of the plant immune coactivator NPR1. eLife 2019, 8, e47005. [Google Scholar] [CrossRef]
- Sanchez-Estrada, A.; Tiznado-Hernandez, M.; Ojeda-Contreras, A.-J.; Valenzuela-Quintanar, A.; Troncoso-Rojas, R. Induction of Enzymes and Phenolic Compounds Related to the Natural Defence Response of Netted Melon Fruit by a Bio-elicitor. J. Phytopathol. 2008, 157, 24–32. [Google Scholar] [CrossRef]
- Bakhat, N.; Vielba-Fernández, A.; Padilla-Roji, I.; Martínez-Cruz, J.; Polonio, Á.; Fernández-Ortuño, D.; Pérez-García, A. Suppression of Chitin-Triggered Immunity by Plant Fungal Pathogens: A Case Study of the Cucurbit Powdery Mildew Fungus Podosphaera xanthii. J. Fungi 2023, 9, 771. [Google Scholar] [CrossRef]
- Dölfors, F.; Holmquist, L.; Dixelius, C.; Tzelepis, G. A LysM effector protein from the basidiomycete Rhizoctonia solani contributes to virulence through suppression of chitin-triggered immunity. Mol. Genet. Genom. 2019, 294, 1211–1218. [Google Scholar] [CrossRef]
- Liao, C.J.; Hailemariam, S.; Sharon, A.; Mengiste, T. Pathogenic strategies and immune mechanisms to necrotrophs: Differences and similarities to biotrophs and hemibiotrophs. Curr. Opin. Plant Biol. 2022, 69, 102291. [Google Scholar] [CrossRef]
- Samolski, I.; de Luis, A.; Vizcaíno, J.A.; Monte, E.; Suárez, M.B. Gene expression analysis of the biocontrol fungus Trichoderma harzianum in the presence of tomato plants, chitin, or glucose using a high-density oligonucleotide microarray. BMC Microbiol. 2009, 9, 217. [Google Scholar] [CrossRef]
- Zhang, L.; Yuan, L.; Staehelin, C.; Li, Y.; Ruan, J.; Liang, Z.; Xie, Z.; Wang, W.; Xie, J.; Huang, S. The LYSIN MOTIF-CONTAINING RECEPTOR-LIKE KINASE 1 protein of banana is required for perception of pathogenic and symbiotic signals. New Phytol. 2019, 223, 1530–1546. [Google Scholar] [CrossRef] [PubMed]
- Chen, Q.; Dong, C.; Sun, X.; Zhang, Y.; Dai, H.; Bai, S. Overexpression of an apple LysM-containing protein gene, MdCERK1–2, confers improved resistance to the pathogenic fungus, Alternaria alternata, in Nicotiana benthamiana. BMC Plant Biol. 2020, 20, 146. [Google Scholar] [CrossRef] [PubMed]
- Zeng, L.; Velasquez, A.C.; Munkvold, K.R.; Zhang, J.; Martin, G.B. A tomato LysM receptor-like kinase promotes immunity and its kinase activity is inhibited by AvrPtoB. Plant J. 2012, 69, 92–103. [Google Scholar] [CrossRef] [PubMed]
- Liao, D.; Sun, X.; Wang, N.; Song, F.; Liang, Y. Tomato LysM Receptor-Like Kinase SlLYK12 Is Involved in Arbuscular Mycorrhizal Symbiosis. Front. Plant Sci. 2018, 9, 1004. [Google Scholar] [CrossRef]
- Ai, Y.; Li, Q.; Li, C.; Wang, R.; Sun, X.; Chen, S.; Cai, X.Z.; Qi, X.; Liang, Y. Tomato LysM receptor kinase 4 mediates chitin-elicited fungal resistance in both leaves and fruit. Hortic. Res. 2023, 10, uhad082. [Google Scholar] [CrossRef]
- Yokotani, N.; Hasegawa, Y.; Sato, M.; Hirakawa, H.; Kouzai, Y.; Nishizawa, Y.; Yamamoto, E.; Naito, Y.; Isobe, S. Transcriptome analysis of Clavibacter michiganensis subsp. michiganensis-infected tomatoes: A role of salicylic acid in the host response. BMC Plant Biol. 2021, 21, 476. [Google Scholar] [CrossRef]
- Alkan, N.; Fortes, A.M. Insights into molecular and metabolic events associated with fruit response to post-harvest fungal pathogens. Front. Plant Sci. 2015, 6, 889. [Google Scholar] [CrossRef]
- Basim, H.; Basim, E.; Tombuloglu, H.; Unver, T. Comparative transcriptome analysis of resistant and cultivated tomato lines in response to Clavibacter michiganensis subsp. michiganensis. Genomics 2021, 113, 2455–2467. [Google Scholar] [CrossRef]
- Henry García, Y.; Troncoso-Rojas, R.; Tiznado-Hernández, M.E.; Báez-Flores, M.E.; Carvajal-Millan, E.; Rascón-Chu, A.; Lizardi-Mendoza, J.; Martínez-Robinson, K.G. Enzymatic treatments as alternative to produce chitin fragments of low molecular weight from Alternaria alternata. J. Appl. Polym. Sci. 2019, 136, 47339. [Google Scholar] [CrossRef]
- Farris, S.; Mora, L.; Capretti, G.; Piergiovanni, L. Charge Density Quantification of Polyelectrolyte Polysaccharides by Conductometric Titration: An Analytical Chemistry Experiment. J. Chem. Educ. 2012, 89, 121–124. [Google Scholar] [CrossRef]
- López-Gómez, R.; Gómez-Lim, M.A. A Method for Extracting Intact RNA from Fruits Rich in Polysaccharides using Ripe Mango Mesocarp. HortScience 1992, 27, 440–442. [Google Scholar] [CrossRef]
- Krueger, F.; Andrews, S.R.; Osborne, C.S. Large Scale Loss of Data in Low-Diversity Illumina Sequencing Libraries Can Be Recovered by Deferred Cluster Calling. PLoS ONE 2011, 6, e16607. [Google Scholar] [CrossRef]
- Causse, M.; Giovannoni, J.; Bouzayen, M.; Zouine, M. The Tomato Genome; Springer: Berlin/Heidelberg, Germany, 2017. [Google Scholar]
- Kim, D.; Paggi, J.M.; Park, C.; Bennett, C.; Salzberg, S.L. Graph-based genome alignment and genotyping with HISAT2 and HISAT-genotype. Nat. Biotechnol. 2019, 37, 907–915. [Google Scholar] [CrossRef] [PubMed]
- Anders, S.; Pyl, P.T.; Huber, W. HTSeq—A Python framework to work with high-throughput sequencing data. Bioinformatics 2015, 31, 166–169. [Google Scholar] [CrossRef] [PubMed]
- Robinson, M.D.; McCarthy, D.J.; Smyth, G.K. edgeR: A Bioconductor package for differential expression analysis of digital gene expression data. Bioinformatics 2010, 26, 139–140. [Google Scholar] [CrossRef] [PubMed]
- Sherman, B.T.; Hao, M.; Qiu, J.; Jiao, X.; Baseler, M.W.; Lane, H.C.; Imamichi, T.; Chang, W. DAVID: A web server for functional enrichment analysis and functional annotation of gene lists (2021 update). Nucleic Acids Res. 2022, 50, W216–W221. [Google Scholar] [CrossRef]
- Huang, D.W.; Sherman, B.T.; Lempicki, R.A. Systematic and integrative analysis of large gene lists using DAVID bioinformatics resources. Nat. Protoc. 2009, 4, 44–57. [Google Scholar] [CrossRef]
- Feng, L.; Lintula, S.; Ho, T.H.; Anastasina, M.; Paju, A.; Haglund, C.; Stenman, U.H.; Hotakainen, K.; Orpana, A.; Kainov, D.; et al. Technique for strand-specific gene-expression analysis and monitoring of primer-independent cDNA synthesis in reverse transcription. BioTechniques 2012, 52, 263–270. [Google Scholar] [CrossRef]
- Nolan, T.; Hands, R.E.; Bustin, S.A. Quantification of mRNA using real-time RT-PCR. Nat. Protoc. 2006, 1, 1559–1582. [Google Scholar] [CrossRef]
- Schmittgen, T.D.; Livak, K.J. Analyzing real-time PCR data by the comparative C(T) method. Nat. Protoc. 2008, 3, 1101–1108. [Google Scholar] [CrossRef]
- Landi, L.; De Miccolis Angelini, R.M.; Pollastro, S.; Feliziani, E.; Faretra, F.; Romanazzi, G. Global Transcriptome Analysis and Identification of Differentially Expressed Genes in Strawberry after Preharvest Application of Benzothiadiazole and Chitosan. Front. Plant Sci. 2017, 8, 235. [Google Scholar] [CrossRef] [PubMed]
- Akter Mukta, J.; Rahman, M.; As Sabir, A.; Gupta, D.R.; Surovy, M.Z.; Rahman, M.; Islam, M.T. Chitosan and plant probiotics application enhance growth and yield of strawberry. Biocatal. Agric. Biotechnol. 2017, 11, 9–18. [Google Scholar] [CrossRef]
- Lemke, P.; Moerschbacher, B.M.; Singh, R. Transcriptome Analysis of Solanum Tuberosum Genotype RH89-039-16 in Response to Chitosan. Front. Plant Sci. 2020, 11, 1193. [Google Scholar] [CrossRef]
- Suarez-Fernandez, M.; Marhuenda-Egea, F.C.; Lopez-Moya, F.; Arnao, M.B.; Cabrera-Escribano, F.; Nueda, M.J.; Gunsé, B.; Lopez-Llorca, L.V. Chitosan Induces Plant Hormones and Defenses in Tomato Root Exudates. Front. Plant Sci. 2020, 11, 572087. [Google Scholar] [CrossRef] [PubMed]
- Maluin, F.N.; Hussein, M.Z. Chitosan-Based Agronanochemicals as a Sustainable Alternative in Crop Protection. Molecules 2020, 25, 1611. [Google Scholar] [CrossRef]
- Sundvall, M. Role of Ubiquitin and SUMO in Intracellular Trafficking. Curr. Issues Mol. Biol. 2020, 35, 99–108. [Google Scholar] [CrossRef]
- Gao, Y.; Zan, X.L.; Wu, X.F.; Yao, L.; Chen, Y.L.; Jia, S.W.; Zhao, K.J. Identification of fungus-responsive cis-acting element in the promoter of Brassica juncea chitinase gene, BjCHI1. Plant Sci. 2014, 215–216, 190–198. [Google Scholar] [CrossRef]
- Wan, J.; Tanaka, K.; Zhang, X.C.; Son, G.H.; Brechenmacher, L.; Nguyen, T.H.; Stacey, G. LYK4, a lysin motif receptor-like kinase, is important for chitin signaling and plant innate immunity in Arabidopsis. Plant Physiol. 2012, 160, 396–406. [Google Scholar] [CrossRef]
- Hu, S.P.; Li, J.J.; Dhar, N.; Li, J.P.; Chen, J.Y.; Jian, W.; Dai, X.F.; Yang, X.Y. Lysin Motif (LysM) Proteins: Interlinking Manipulation of Plant Immunity and Fungi. Int. J. Mol. Sci. 2021, 22, 3114. [Google Scholar] [CrossRef]
- Huang, C.; Yan, Y.; Zhao, H.; Ye, Y.; Cao, Y. Arabidopsis CPK5 Phosphorylates the Chitin Receptor LYK5 to Regulate Plant Innate Immunity. Front. Plant Sci. 2020, 11, 702. [Google Scholar] [CrossRef]
- Asensio, J.L.; Canada, F.J.; Siebert, H.C.; Laynez, J.; Poveda, A.; Nieto, P.M.; Soedjanaamadja, U.M.; Gabius, H.J.; Jimenez-Barbero, J. Structural basis for chitin recognition by defense proteins: GlcNAc residues are bound in a multivalent fashion by extended binding sites in hevein domains. Chem. Biol. 2000, 7, 529–543. [Google Scholar] [CrossRef] [PubMed]
- Kawasaki, T.; Yamada, K.; Yoshimura, S.; Yamaguchi, K. Chitin receptor-mediated activation of MAP kinases and ROS production in rice and Arabidopsis. Plant Signal. Behav. 2017, 12, e1361076. [Google Scholar] [CrossRef] [PubMed]
- Andersen, E.J.; Ali, S.; Byamukama, E.; Yen, Y.; Nepal, M.P. Disease Resistance Mechanisms in Plants. Genes 2018, 9, 339. [Google Scholar] [CrossRef]
- Bai, Y.; Sunarti, S.; Kissoudis, C.; Visser, R.G.F.; van der Linden, C.G. The Role of Tomato WRKY Genes in Plant Responses to Combined Abiotic and Biotic Stresses. Front. Plant Sci. 2018, 9, 801. [Google Scholar] [CrossRef] [PubMed]
- Pan, Y.; Hu, X.; Li, C.; Xu, X.; Su, C.; Li, J.; Song, H.; Zhang, X.; Pan, Y. SlbZIP38, a Tomato bZIP Family Gene Downregulated by Abscisic Acid, is a Negative Regulator of Drought and Salt Stress Tolerance. Genes 2017, 8, 402. [Google Scholar] [CrossRef] [PubMed]
- Alós, E.; Rodrigo, M.J.; Zacarias, L. Chapter 7—Ripening and Senescence. In Postharvest Physiology and Biochemistry of Fruits and Vegetables; Yahia, E.M., Ed.; Woodhead Publishing: Sawston, UK, 2019; pp. 131–155. [Google Scholar]
- Alexander, L.; Grierson, D. Ethylene biosynthesis and action in tomato: A model for climacteric fruit ripening. J. Exp. Bot. 2002, 53, 2039–2055. [Google Scholar] [CrossRef]
- Pratiwi, P.; Tanaka, G.; Takahashi, T.; Xie, X.; Yoneyama, K.; Matsuura, H.; Takahashi, K. Identification of Jasmonic Acid and Jasmonoyl-Isoleucine, and Characterization of AOS, AOC, OPR and JAR1 in the Model Lycophyte Selaginella moellendorffii. Plant Cell Physiol. 2017, 58, 789–801. [Google Scholar] [CrossRef]
- Lefevere, H.; Bauters, L.; Gheysen, G. Salicylic Acid Biosynthesis in Plants. Front. Plant Sci. 2020, 11, 338. [Google Scholar] [CrossRef]
- Aerts, N.; Pereira Mendes, M.; Van Wees, S.C.M. Multiple levels of crosstalk in hormone networks regulating plant defense. Plant J. 2021, 105, 489–504. [Google Scholar] [CrossRef]
- Müller, M.; Munné-Bosch, S. Ethylene Response Factors: A Key Regulatory Hub in Hormone and Stress Signaling. Plant Physiol. 2015, 169, 32–41. [Google Scholar] [CrossRef]
- Li, S.; Wu, P.; Yu, X.; Cao, J.; Chen, X.; Gao, L.; Chen, K.; Grierson, D. Contrasting Roles of Ethylene Response Factors in Pathogen Response and Ripening in Fleshy Fruit. Cells 2022, 11, 2484. [Google Scholar] [CrossRef] [PubMed]
- Pattyn, J.; Vaughan-Hirsch, J.; Van de Poel, B. The regulation of ethylene biosynthesis: A complex multilevel control circuitry. New Phytol. 2021, 229, 770–782. [Google Scholar] [CrossRef] [PubMed]
- Blanco-Ulate, B.; Vincenti, E.; Powell, A.L.; Cantu, D. Tomato transcriptome and mutant analyses suggest a role for plant stress hormones in the interaction between fruit and Botrytis cinerea. Front. Plant Sci. 2013, 4, 142. [Google Scholar] [CrossRef]
- Yu, W.; Zhao, R.; Sheng, J.; Shen, L. SlERF2 Is Associated with Methyl Jasmonate-Mediated Defense Response against Botrytis cinerea in Tomato Fruit. J. Agric. Food Chem. 2018, 66, 9923–9932. [Google Scholar] [CrossRef] [PubMed]
- Cota, I.E.; Troncoso-Rojas, R.; Sotelo-Mundo, R.; Sánchez-Estrada, A.; Tiznado-Hernández, M.E. Chitinase and β-1,3-glucanase enzymatic activities in response to infection by Alternaria alternata evaluated in two stages of development in different tomato fruit varieties. Sci. Hortic. 2007, 112, 42–50. [Google Scholar] [CrossRef]
- Ali, S.; Ganai, B.A.; Kamili, A.N.; Bhat, A.A.; Mir, Z.A.; Bhat, J.A.; Tyagi, A.; Islam, S.T.; Mushtaq, M.; Yadav, P.; et al. Pathogenesis-related proteins and peptides as promising tools for engineering plants with multiple stress tolerance. Microbiol. Res. 2018, 212–213, 29–37. [Google Scholar] [CrossRef] [PubMed]
- Alkan, N.; Friedlander, G.; Ment, D.; Prusky, D.; Fluhr, R. Simultaneous transcriptome analysis of Colletotrichum gloeosporioides and tomato fruit pathosystem reveals novel fungal pathogenicity and fruit defense strategies. New Phytol. 2015, 205, 801–815. [Google Scholar] [CrossRef]
- Iizasa, E.; Mitsutomi, M.; Nagano, Y. Direct binding of a plant LysM receptor-like kinase, LysM RLK1/CERK1, to chitin in vitro. J. Biol. Chem. 2010, 285, 2996–3004. [Google Scholar] [CrossRef]
- Petutschnig, E.K.; Jones, A.M.; Serazetdinova, L.; Lipka, U.; Lipka, V. The lysin motif receptor-like kinase (LysM-RLK) CERK1 is a major chitin-binding protein in Arabidopsis thaliana and subject to chitin-induced phosphorylation. J. Biol. Chem. 2010, 285, 28902–28911. [Google Scholar] [CrossRef]
- Gong, B.Q.; Wang, F.Z.; Li, J.F. Hide-and-Seek: Chitin-Triggered Plant Immunity and Fungal Counterstrategies. Trends Plant Sci. 2020, 25, 805–816. [Google Scholar] [CrossRef]
Disclaimer/Publisher’s Note: The statements, opinions and data contained in all publications are solely those of the individual author(s) and contributor(s) and not of MDPI and/or the editor(s). MDPI and/or the editor(s) disclaim responsibility for any injury to people or property resulting from any ideas, methods, instructions or products referred to in the content. |
© 2023 by the authors. Licensee MDPI, Basel, Switzerland. This article is an open access article distributed under the terms and conditions of the Creative Commons Attribution (CC BY) license (https://creativecommons.org/licenses/by/4.0/).




