Putamen Atrophy Is a Possible Clinical Evaluation Index for Parkinson’s Disease Using Human Brain Magnetic Resonance Imaging
Abstract
1. Introduction
2. Materials and Methods
2.1. Study Design
2.2. Imaging Protocol
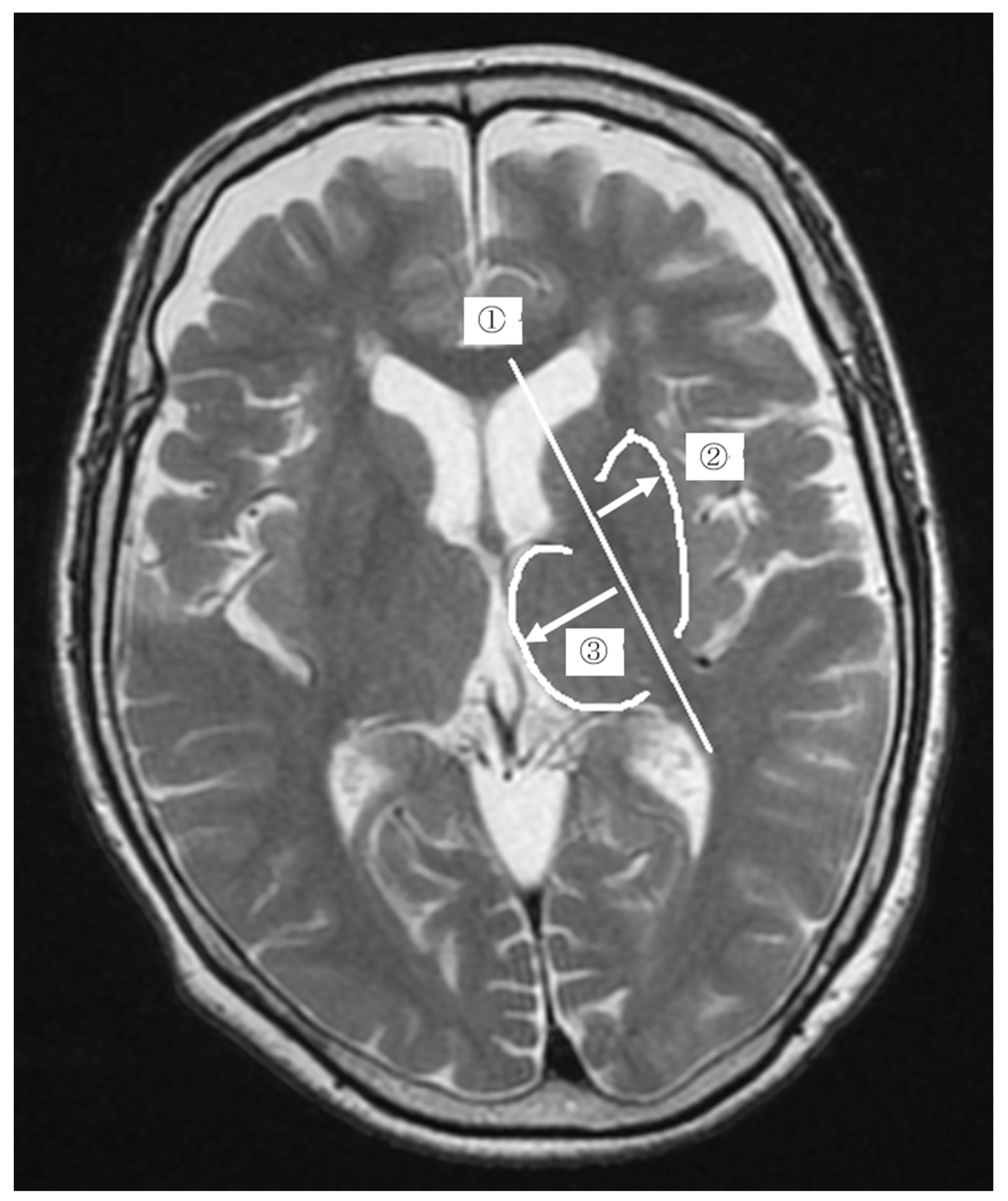
2.3. Measurement Method
2.4. Data Processing
2.5. Statistical Analysis
3. Results
3.1. Demographics
3.2. Change Ratio in the Putamen
3.3. Intraclass Correlation Coefficients
4. Discussion
4.1. Overview
4.2. Method for the Evaluation of Putamen Atrophy
4.3. Change in Ratio in the Putamen in Both Groups
4.4. Limitations
5. Conclusions
Author Contributions
Funding
Institutional Review Board Statement
Informed Consent Statement
Data Availability Statement
Acknowledgments
Conflicts of Interest
References
- Alexander, G.E.; Crutcher, M.D. Functional architecture of basal ganglia circuits: Neural substrates of parallel processing. Trends Neurosci. 1990, 13, 266–271. [Google Scholar] [CrossRef]
- Alexander, G.E.; Crutcher, M.D. Preparation for movement: Neural representations of intended direction in three motor areas of the monkey. J. Neurophysiol. 1990, 64, 133–150. [Google Scholar] [CrossRef] [PubMed]
- Badgaiyan, R.D.; Fischman, A.J.; Alpert, N.M. Explicit motor memory activates the striatal dopamine system. NeuroReport 2008, 19, 409–412. [Google Scholar] [CrossRef]
- Booth, J.R.; Wood, L.; Lu, D.; Houk, J.C.; Bitan, T. The role of the basal ganglia and cerebellum in language processing. Brain Res. 2007, 1133, 136–144. [Google Scholar] [CrossRef] [PubMed]
- Bowman, E.M.; Aigner, T.G.; Richmond, B.J. Neural signals in the monkey ventral striatum related to motivation for juice and cocaine rewards. J. Neurophysiol. 1996, 75, 1061–1073. [Google Scholar] [CrossRef] [PubMed]
- Husain, M.M.; McDonald, W.M.; Doraiswamy, P.M.; Figiel, G.S.; Na, C.; Escalona, P.R.; Boyko, O.B.; Nemeroff, C.B.; Krishnan, K.R.R. A magnetic resonance imaging study of putamen nuclei in major depression. Psychiatry Res. Neuroimaging 1991, 40, 95–99. [Google Scholar] [CrossRef]
- Kumar, R.; Nguyen, H.D.; Ogren, J.A.; Macey, P.M.; Thompson, P.M.; Fonarow, G.C.; Hamilton, M.A.; Harper, R.M.; Woo, M.A. Global and regional putamen volume loss in patients with heart failure. Eur. J. Heart Fail. 2011, 13, 651–655. [Google Scholar] [CrossRef]
- Kumar, R.; Farahvar, S.; Ogren, J.A.; Macey, P.M.; Thompson, P.M.; Woo, M.A.; Yan-Go, F.L.; Harper, R.M. Brain putamen volume changes in newly-diagnosed patients with obstructive sleep apnea. NeuroImage Clin. 2014, 4, 383–391. [Google Scholar] [CrossRef] [PubMed]
- Künzle, H. Bilateral projections from precentral motor cortex to the putamen and other parts of the basal ganglia. An Autoradiographic study in Macaca fascicularis. Brain Res. 1975, 88, 195–209. [Google Scholar] [CrossRef]
- Künzle, H. Projections from the primary somatosensory cortex to basal ganglia and thalamus in the monkey. Exp. Brain Res. 1977, 30, 481–492. [Google Scholar] [CrossRef] [PubMed]
- Aramaki, Y.; Haruno, M.; Osu, R.; Sadato, N. Movement initiation-locked activity of the anterior putamen predicts future movement instability in periodic bimanual movement. J. Neurosci. 2011, 31, 9819–9823. [Google Scholar] [CrossRef] [PubMed]
- Neggers, S.F.; Diepen, R.M.; Zandbelt, B.B.; Vink, M.; Mandl, R.C.; Gutteling, T.P. A Functional and structural investigation of the human fronto-basal volitional saccade network. PLoS ONE 2012, 7, e29517. [Google Scholar] [CrossRef] [PubMed]
- Oberhuber, M.; Parker Jones, ‘Ō.; Hope, T.M.H.; Prejawa, S.; Seghier, M.L.; Green, D.W.; Price, C.J. Functionally distinct contributions of the anterior and posterior putamen during sublexical and lexical reading. Front. Hum. Neurosci. 2013, 7, 787. [Google Scholar] [CrossRef] [PubMed][Green Version]
- Okuma, Y.; Yanagisawa, N. The clinical spectrum of freezing of gait in Parkinson’s disease. Mov. Disord. 2008, 23, S426–S430. [Google Scholar] [CrossRef]
- Usunoff, K.G.; Hassler, R.; Romansky, K.; Usunova, P.; Wagner, A. The nigrostriatal projection in the cat. Part 1. Silver impregnation study. J. Neurol. Sci. 1976, 28, 265–288. [Google Scholar] [CrossRef]
- Wirdefeldt, K.; Adami, H.O.; Cole, P.; Trichopoulos, D.; Mandel, J. Epidemiology and etiology of Parkinson’s disease: A review of the evidence. Eur. J. Epidemiol. 2011, 26, S1–S58. [Google Scholar] [CrossRef] [PubMed]
- GBD. Global, Regional, and National Burden of Neurological Disorders During 1990–2015: A Systematic Analysis for the Global Burden of Disease Study 2015. Lancet Neurol. 2017, 16, 877–897. [Google Scholar] [CrossRef]
- GBD. Global, Regional, and National Burden of Parkinson’s Disease, 1990–2016: A Systematic Analysis for the Global Burden of Disease Study 2016. Lancet Neurol. 2018, 17, 939–953. [Google Scholar] [CrossRef]
- Maiti, P.; Manna, J.; Dunbar, G.L. Current understanding of the molecular mechanisms in Parkinson’s disease: Targets for potential treatments. Transl. Neurodegener. 2017, 6, 28. [Google Scholar] [CrossRef]
- Hornykiewicz, O. Biochemical Aspects of Parkinson’s Disease. Neurology 1998, 51, S2–S9. [Google Scholar] [CrossRef]
- Santos, M.C.; Campos, L.S.; Guimarães, R.P.; Piccinin, C.C.; Azevedo, P.C.; Piovesana, L.G.; De Campos, B.M.; Scarparo Amato-Filho, A.C.; Cendes, F.; D’Abreu, A. Does side of onset influence the pattern of cerebral atrophy in Parkinson’s disease? Front. Neurol. 2016, 7, 145. [Google Scholar] [CrossRef] [PubMed]
- Hughes, A.J.; Daniel, S.E.; Kilford, L.; Lees, A.J. Accuracy of clinical diagnosis of idiopathic Parkinson’s disease: A clinico-pathological study of 100 cases. J. Neurol. Neurosurg. Psychiatry 1992, 55, 181–184. [Google Scholar] [CrossRef]
- Berardelli, A.; Wenning, G.K.; Antonini, A.; Berg, D.; Bloem, B.R.; Bonifati, V.; Brooks, D.; Burn, D.J.; Colosimo, C.; Fanciulli, A.; et al. EFNS/MDS-ES/ENS [Corrected] recommendations for the diagnosis of Parkinson’s disease. Eur. J. Neurol. 2013, 20, 16–34. [Google Scholar] [CrossRef]
- Postuma, R.B.; Berg, D.; Stern, M.; Poewe, W.; Olanow, C.W.; Oertel, W.; Obeso, J.; Marek, K.; Litvan, I.; Lang, A.E.; et al. MDS clinical diagnostic criteria for Parkinson’s disease. Mov. Disord. 2015, 30, 1591–1601. [Google Scholar] [CrossRef] [PubMed]
- Ellmore, T.M.; Hood, A.J.; Castriotta, R.J.; Stimming, E.F.; Bick, R.J.; Schiess, M.C. Reduced volume of the putamen in REM sleep behavior disorder patients. Parkinsonism Relat. Disord. 2010, 16, 645–649. [Google Scholar] [CrossRef] [PubMed]
- Griswold, M.A.; Jakob, P.M.; Heidemann, R.M.; Nittka, M.; Jellus, V.; Wang, J.; Kiefer, B.; Haase, A. Generalized Autocalibrating Partially Parallel Acquisitions (GRAPPA). Magn. Reson. Med. 2002, 47, 1202–1210. [Google Scholar] [CrossRef] [PubMed]
- Tanner, J.J.; McFarland, N.R.; Price, C.C. Striatal and hippocampal atrophy in idiopathic Parkinson’s disease patients without dementia: A morphometric analysis. Front. Neurol. 2017, 8, 139. [Google Scholar] [CrossRef]
- Harvey, H.; Orton, M.R.; Morgan, V.A.; Parker, C.; Dearnaley, D.; Fisher, C.; de Souza, N.M. Volumetry of the dominant intraprostatic tumour lesion: Intersequence and interobserver differences on multiparametric MRI. Br. J. Radiol. 2017, 90, 20160416. [Google Scholar] [CrossRef] [PubMed]
- Sonn, G.A.; Fan, R.E.; Ghanouni, P.; Wang, N.N.; Brooks, J.D.; Loening, A.M.; Daniel, B.L.; To’o, K.J.; Thong, A.E.; Leppert, J.T. Prostate magnetic resonance imaging interpretation varies substantially across radiologists. Eur. Urol. Focus 2019, 5, 592–599. [Google Scholar] [CrossRef] [PubMed]
- Doktor, K.; Jensen, T.S.; Christensen, H.W.; Fredberg, U.; Kindt, M.; Boyle, E.; Hartvigsen, J. Degenerative findings in lumbar spine MRI: An inter-rater reliability study involving three raters. Chiropr. Man. Therap. 2020, 28, 8. [Google Scholar] [CrossRef] [PubMed]
- Kamps, S.; van den Heuvel, O.A.; van der Werf, Y.D.; Berendse, H.W.; Weintraub, D.; Vriend, C. Smaller subcortical volume in Parkinson patients with rapid eye movement sleep behavior disorder. Brain Imaging Behav. 2019, 13, 1352–1360. [Google Scholar] [CrossRef] [PubMed]
- Obeso, J.A.; Rodríguez-Oroz, M.C.; Benitez-Temino, B.; Blesa, F.J.; Guridi, J.; Marin, C.; Rodriguez, M. Functional organization of the basal ganglia: Therapeutic implications for Parkinson’s disease. Mov. Disord. 2008, 23, S548–S559. [Google Scholar] [CrossRef] [PubMed]
- Scahill, R.I.; Frost, C.; Jenkins, R.; Whitwell, J.L.; Rossor, M.N.; Fox, N.C. A longitudinal study of brain volume changes in normal aging using serial registered magnetic resonance imaging. Arch. Neurol. 2003, 60, 989–994. [Google Scholar] [CrossRef]
- Driscoll, I.; Davatzikos, C.; An, Y.; Wu, X.; Shen, D.; Kraut, M.; Resnick, S.M. Longitudinal pattern of regional brain volume change differentiates normal aging from MCI. Neurology 2009, 72, 1906–1913. [Google Scholar] [CrossRef] [PubMed]
- Taki, Y.; Kinomura, S.; Sato, K.; Goto, R.; Kawashima, R.; Fukuda, H. A longitudinal study of gray matter volume decline with age and modifying factors. Neurobiol. Aging 2011, 32, 907–915. [Google Scholar] [CrossRef] [PubMed]
- Du, A.T.; Schuff, N.; Chao, L.L.; Kornak, J.; Jagust, W.J.; Kramer, J.H.; Reed, B.R.; Miller, B.L.; Norman, D.; Chui, H.C.; et al. Age effects on atrophy rates of entorhinal cortex and hippocampus. Neurobiol. Aging 2006, 27, 733–740. [Google Scholar] [CrossRef]
- Thambisetty, M.; Wan, J.; Carass, A.; An, Y.; Prince, J.L.; Resnick, S.M. Longitudinal changes in cortical thickness associated with normal aging. Neuroimage 2010, 52, 1215–1223. [Google Scholar] [CrossRef]
- Claassen, D.O.; McDonell, K.E.; Donahue, M.; Rawal, S.; Wylie, S.A.; Neimat, J.S.; Kang, H.; Hedera, P.; Zald, D.; Landman, B.; et al. Cortical asymmetry in Parkinson’s disease: Early susceptibility of the left hemisphere. Brain Behav. 2016, 6, e00576. [Google Scholar] [CrossRef]
- Prakash, B.D.; Sitoh, Y.Y.; Tan, L.C.S.; Au, W.L. Asymmetrical diffusion tensor imaging indices of the rostral substantia nigra in Parkinson’s disease. Parkinsonism Relat. Disord. 2012, 18, 1029–1033. [Google Scholar] [CrossRef] [PubMed]
- Scherfler, C.; Seppi, K.; Mair, K.J.; Donnemiller, E.; Virgolini, I.; Wenning, G.K.; Poewe, W. Left hemispheric predominance of nigrostriatal dysfunction in Parkinson’s disease. Brain 2012, 135, 3348–3354. [Google Scholar] [CrossRef] [PubMed]
- Chunjie, G.; Daniel, F.; Katarina, F.; Eric, W.; Tobias, G. Repeatability and reproducibility of FreeSurfer, FSL-SIENAX and SPM brain volumetric measurements and the effect of lesion filling in multiple sclerosis. Eur. Radiol. 2019, 29, 1355–1364. [Google Scholar] [CrossRef]
- Matochik, J.A.; Chefer, S.I.; Lane, M.A.; Woolf, R.I.; Morris, E.D.; Ingram, D.K.; Roth, G.S.; London, E.D. Age-related decline in striatal volume in monkeys as measured by magnetic resonance imaging. Neurobiol. Aging 2000, 21, 591–598. [Google Scholar] [CrossRef]


Publisher’s Note: MDPI stays neutral with regard to jurisdictional claims in published maps and institutional affiliations. |
© 2022 by the authors. Licensee MDPI, Basel, Switzerland. This article is an open access article distributed under the terms and conditions of the Creative Commons Attribution (CC BY) license (https://creativecommons.org/licenses/by/4.0/).
Share and Cite
Kinoshita, K.; Kuge, T.; Hara, Y.; Mekata, K. Putamen Atrophy Is a Possible Clinical Evaluation Index for Parkinson’s Disease Using Human Brain Magnetic Resonance Imaging. J. Imaging 2022, 8, 299. https://doi.org/10.3390/jimaging8110299
Kinoshita K, Kuge T, Hara Y, Mekata K. Putamen Atrophy Is a Possible Clinical Evaluation Index for Parkinson’s Disease Using Human Brain Magnetic Resonance Imaging. Journal of Imaging. 2022; 8(11):299. https://doi.org/10.3390/jimaging8110299
Chicago/Turabian StyleKinoshita, Keisuke, Takehito Kuge, Yoshie Hara, and Kojiro Mekata. 2022. "Putamen Atrophy Is a Possible Clinical Evaluation Index for Parkinson’s Disease Using Human Brain Magnetic Resonance Imaging" Journal of Imaging 8, no. 11: 299. https://doi.org/10.3390/jimaging8110299
APA StyleKinoshita, K., Kuge, T., Hara, Y., & Mekata, K. (2022). Putamen Atrophy Is a Possible Clinical Evaluation Index for Parkinson’s Disease Using Human Brain Magnetic Resonance Imaging. Journal of Imaging, 8(11), 299. https://doi.org/10.3390/jimaging8110299

