Predictive Factors of Local Recurrence after Colorectal Cancer Liver Metastases Thermal Ablation
Abstract
1. Introduction
2. Materials and Methods
2.1. Lesion Characteristics
2.2. Thermoablation Procedures
2.3. Statistical Analyses
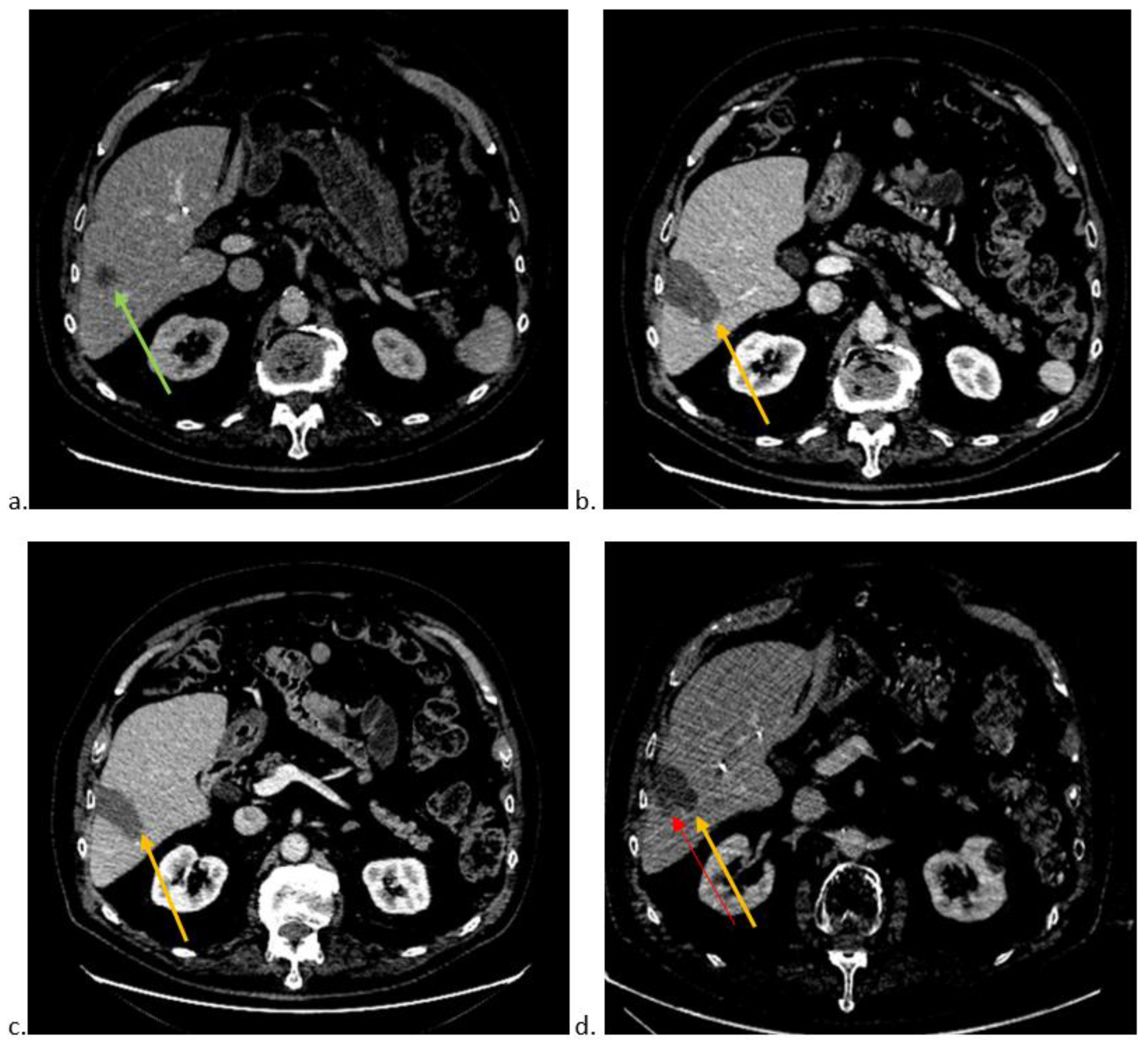
3. Results
Patient Characteristics
- -
- mild risk: total number of chemotherapy lines (OR = 1.69), size of nearby vessel (OR = 1.27), sizes of the metastasis (OR = 1.11 for length and 1.14 for width);
- -
- moderate risk: extrahepatic lesions at the time of thermoablation (OR = 2.48), number of chemotherapy lines before thermoablation (OR = 2.17), percutaneous approach (OR = 3.97);
- -
- high risk: treatment of a local recurrence on previous thermoablation site (OR = 5.03), treatment of a liver subject to metastatic recurrence (OR = 5.16), non-ovoid thermoablation site shape (OR = 4.25).
4. Discussion
5. Conclusions
Author Contributions
Funding
Institutional Review Board Statement
Informed Consent Statement
Data Availability Statement
Conflicts of Interest
References
- Viganò, L.; Capussotti, L.; Majno, P.; Toso, C.; Ferrero, A.; De Rosa, G.; Rubbia-Brandt, L.; Mentha, G. Liver Resection in Patients with Eight or More Colorectal Liver Metastases. Br. J. Surg. 2015, 102, 92–101. [Google Scholar] [CrossRef]
- Imai, K.; Benitez, C.C.; Allard, M.-A.; Vibert, E.; Cunha, A.S.; Cherqui, D.; Castaing, D.; Bismuth, H.; Baba, H.; Adam, R. Failure to Achieve a 2-Stage Hepatectomy for Colorectal Liver Metastases: How to Prevent It? Ann. Surg. 2015, 262, 772–778; discussion 778–779. [Google Scholar] [CrossRef] [PubMed]
- Ruers, T.; Van Coevorden, F.; Punt, C.J.A.; Pierie, J.-P.E.N.; Borel-Rinkes, I.; Ledermann, J.A.; Poston, G.; Bechstein, W.; Lentz, M.-A.; Mauer, M.; et al. Local Treatment of Unresectable Colorectal Liver Metastases: Results of a Randomized Phase II Trial. J. Natl. Cancer Inst. 2017, 109, djx015. [Google Scholar] [CrossRef] [PubMed]
- de Baere, T.; Elias, D.; Dromain, C.; Din, M.G.; Kuoch, V.; Ducreux, M.; Boige, V.; Lassau, N.; Marteau, V.; Lasser, P.; et al. Radiofrequency Ablation of 100 Hepatic Metastases with a Mean Follow-up of More than 1 Year. AJR Am. J. Roentgenol. 2000, 175, 1619–1625. [Google Scholar] [CrossRef] [PubMed]
- Solbiati, L.; Livraghi, T.; Goldberg, S.N.; Ierace, T.; Meloni, F.; Dellanoce, M.; Cova, L.; Halpern, E.F.; Gazelle, G.S. Percutaneous Radio-Frequency Ablation of Hepatic Metastases from Colorectal Cancer: Long-Term Results in 117 Patients. Radiology 2001, 221, 159–166. [Google Scholar] [CrossRef]
- Kuvshinoff, B.W.; Ota, D.M. Radiofrequency Ablation of Liver Tumors: Influence of Technique and Tumor Size. Surgery 2002, 132, 605–611; discussion 611–612. [Google Scholar] [CrossRef]
- Shady, W.; Petre, E.N.; Gonen, M.; Erinjeri, J.P.; Brown, K.T.; Covey, A.M.; Alago, W.; Durack, J.C.; Maybody, M.; Brody, L.A.; et al. Percutaneous Radiofrequency Ablation of Colorectal Cancer Liver Metastases: Factors Affecting Outcomes—A 10-Year Experience at a Single Center. Radiology 2016, 278, 601–611. [Google Scholar] [CrossRef]
- Leung, U.; Kuk, D.; D’Angelica, M.I.; Kingham, T.P.; Allen, P.J.; DeMatteo, R.P.; Jarnagin, W.R.; Fong, Y. Long-Term Outcomes Following Microwave Ablation for Liver Malignancies. Br. J. Surg. 2014, 102, 85–91. [Google Scholar] [CrossRef]
- Kose, E.; Kahramangil, B.; Aydin, H.; Donmez, M.; Takahashi, H.; Aucejo, F.; Siperstein, A.; Berber, E. Outcomes of Laparoscopic Tumor Ablation for Neuroendocrine Liver Metastases: A 20-Year Experience. Surg. Endosc. 2020, 34, 249–256. [Google Scholar] [CrossRef]
- North, D.A.; Groeschl, R.T.; Sindram, D.; Martinie, J.B.; Iannitti, D.A.; Bloomston, M.; Schmidt, C.; Rilling, W.S.; Gamblin, T.C.; Martin, R.C.G. Microwave Ablation for Hepatic Malignancies: A Call for Standard Reporting and Outcomes. Am. J. Surg. 2014, 208, 284–294. [Google Scholar] [CrossRef]
- Correa-Gallego, C.; Fong, Y.; Gonen, M.; D’Angelica, M.I.; Allen, P.J.; DeMatteo, R.P.; Jarnagin, W.R.; Kingham, T.P. A Retrospective Comparison of Microwave Ablation vs. Radiofrequency Ablation for Colorectal Cancer Hepatic Metastases. Ann. Surg. Oncol. 2014, 21, 4278–4283. [Google Scholar] [CrossRef] [PubMed]
- Swan, R.Z.; Sindram, D.; Martinie, J.B.; Iannitti, D.A. Operative Microwave Ablation for Hepatocellular Carcinoma: Complications, Recurrence, and Long-Term Outcomes. J. Gastrointest. Surg. Off. J. Soc. Surg. Aliment. Tract 2013, 17, 719–729. [Google Scholar] [CrossRef] [PubMed]
- Martin, R.C.G.; Scoggins, C.R.; McMasters, K.M. Safety and Efficacy of Microwave Ablation of Hepatic Tumors: A Prospective Review of a 5-Year Experience. Ann. Surg. Oncol. 2010, 17, 171–178. [Google Scholar] [CrossRef] [PubMed]
- Kennedy, T.J.; Cassera, M.A.; Khajanchee, Y.S.; Diwan, T.S.; Hammill, C.W.; Hansen, P.D. Laparoscopic Radiofrequency Ablation for the Management of Colorectal Liver Metastases: 10-Year Experience. J. Surg. Oncol. 2013, 107, 324–328. [Google Scholar] [CrossRef]
- Machi, J.; Oishi, A.J.; Sumida, K.; Sakamoto, K.; Furumoto, N.L.; Oishi, R.H.; Kylstra, J.W. Long-Term Outcome of Radiofrequency Ablation for Unresectable Liver Metastases from Colorectal Cancer: Evaluation of Prognostic Factors and Effectiveness in First- and Second-Line Management. Cancer J. Sudbury Mass 2006, 12, 318–326. [Google Scholar] [CrossRef]
- Hildebrand, P.; Kleemann, M.; Roblick, U.J.; Mirow, L.; Birth, M.; Leibecke, T.; Bruch, H.-P. Radiofrequency-Ablation of Unresectable Primary and Secondary Liver Tumors: Results in 88 Patients. Langenbecks Arch. Surg. 2006, 391, 118–123. [Google Scholar] [CrossRef]
- Berber, E.; Tsinberg, M.; Tellioglu, G.; Simpfendorfer, C.H.; Siperstein, A.E. Resection versus Laparoscopic Radiofrequency Thermal Ablation of Solitary Colorectal Liver Metastasis. J. Gastrointest. Surg. Off. J. Soc. Surg. Aliment. Tract 2008, 12, 1967–1972. [Google Scholar] [CrossRef]
- Takahashi, H.; Berber, E. Role of Thermal Ablation in the Management of Colorectal Liver Metastasis. Hepatobiliary Surg. Nutr. 2020, 9, 49–58. [Google Scholar] [CrossRef]
- Berber, E.; Siperstein, A.E. Perioperative Outcome after Laparoscopic Radiofrequency Ablation of Liver Tumors: An Analysis of 521 Cases. Surg. Endosc. 2007, 21, 613–618. [Google Scholar] [CrossRef]
- Solbiati, L.; Ierace, T.; Goldberg, S.N.; Sironi, S.; Livraghi, T.; Fiocca, R.; Servadio, G.; Rizzatto, G.; Mueller, P.R.; Del Maschio, A.; et al. Percutaneous US-Guided Radio-Frequency Tissue Ablation of Liver Metastases: Treatment and Follow-up in 16 Patients. Radiology 1997, 202, 195–203. [Google Scholar] [CrossRef]
- COLLISION Trial Group; Puijk, R.S.; Ruarus, A.H.; Vroomen, L.G.P.H.; van Tilborg, A.A.J.M.; Scheffer, H.J.; Nielsen, K.; de Jong, M.C.; de Vries, J.J.J.; Zonderhuis, B.M.; et al. Colorectal Liver Metastases: Surgery versus Thermal Ablation (COLLISION)—A Phase III Single-Blind Prospective Randomized Controlled Trial. BMC Cancer 2018, 18, 821. [Google Scholar] [CrossRef]
- Meijerink, M.R.; Puijk, R.S.; van Tilborg, A.A.J.M.; Henningsen, K.H.; Fernandez, L.G.; Neyt, M.; Heymans, J.; Frankema, J.S.; de Jong, K.P.; Richel, D.J.; et al. Radiofrequency and Microwave Ablation Compared to Systemic Chemotherapy and to Partial Hepatectomy in the Treatment of Colorectal Liver Metastases: A Systematic Review and Meta-Analysis. Cardiovasc. Intervent. Radiol. 2018, 41, 1189–1204. [Google Scholar] [CrossRef] [PubMed]
- Takahashi, H.; Kahramangil, B.; Berber, E. Local Recurrence after Microwave Thermosphere Ablation of Malignant Liver Tumors: Results of a Surgical Series. Surgery 2018, 163, 709–713. [Google Scholar] [CrossRef] [PubMed]
- Takahashi, H.; Akyuz, M.; Aksoy, E.; Karabulut, K.; Berber, E. Local Recurrence after Laparoscopic Radiofrequency Ablation of Malignant Liver Tumors: Results of a Contemporary Series. J. Surg. Oncol. 2017, 115, 830–834. [Google Scholar] [CrossRef]
- Groeschl, R.T.; Pilgrim, C.H.C.; Hanna, E.M.; Simo, K.A.; Swan, R.Z.; Sindram, D.; Martinie, J.B.; Iannitti, D.A.; Bloomston, M.; Schmidt, C.; et al. Microwave Ablation for Hepatic Malignancies: A Multiinstitutional Analysis. Ann. Surg. 2014, 259, 1195–1200. [Google Scholar] [CrossRef] [PubMed]
- Petre, E.N.; Sofocleous, C. Thermal Ablation in the Management of Colorectal Cancer Patients with Oligometastatic Liver Disease. Visc. Med. 2017, 33, 62–68. [Google Scholar] [CrossRef]
- Berber, E.; Siperstein, A. Local Recurrence After Laparoscopic Radiofrequency Ablation of Liver Tumors: An Analysis of 1032 Tumors. Ann. Surg. Oncol. 2008, 15, 2757–2764. [Google Scholar] [CrossRef]
- Wong, S.L.; Mangu, P.B.; Choti, M.A.; Crocenzi, T.S.; Dodd, G.D.; Dorfman, G.S.; Eng, C.; Fong, Y.; Giusti, A.F.; Lu, D.; et al. American Society of Clinical Oncology 2009 Clinical Evidence Review on Radiofrequency Ablation of Hepatic Metastases From Colorectal Cancer. J. Clin. Oncol. 2010, 28, 493–508. [Google Scholar] [CrossRef]
- Tibshirani, R. Regression Shrinkage and Selection via the LASSO. J. R. Stat. Soc. B 1996, 58, 267–288. [Google Scholar] [CrossRef]
- Mulier, S.; Ni, Y.; Jamart, J.; Ruers, T.; Marchal, G.; Michel, L. Local Recurrence After Hepatic Radiofrequency Coagulation: Multivariate Meta-Analysis and Review of Contributing Factors. Ann. Surg. 2005, 242, 158–171. [Google Scholar] [CrossRef]
- Frericks, B.B.; Ritz, J.P.; Albrecht, T.; Valdeig, S.; Schenk, A.; Wolf, K.-J.; Lehmann, K. Influence of Intrahepatic Vessels on Volume and Shape of Percutaneous Thermal Ablation Zones: In Vivo Evaluation in a Porcine Model. Investig. Radiol. 2008, 43, 211–218. [Google Scholar] [CrossRef]
- Rhaiem, R.; Kianmanesh, R.; Minon, M.; Tashkandi, A.; Aghaei, A.; Ledoux, G.; Hoeffel, C.; Bouche, O.; Sommacale, D.; Piardi, T. Microwave Thermoablation of Colorectal Liver Metastases Close to Large Hepatic Vessels Under Pringle Maneuver Minimizes the “Heat Sink Effect”. World J. Surg. 2020, 44, 1595–1603. [Google Scholar] [CrossRef] [PubMed]
- Bhardwaj, N.; Dormer, J.; Ahmad, F.; Strickland, A.D.; Gravante, G.; West, K.; Dennison, A.R.; Lloyd, D.M. Microwave Ablation of the Liver: A Description of Lesion Evolution over Time and an Investigation of the Heat Sink Effect. Pathology 2011, 43, 725–731. [Google Scholar] [CrossRef] [PubMed]
- Vogl, T.J.; Nour-Eldin, N.-E.A.; Hammerstingl, R.M.; Panahi, B.; Naguib, N.N.N. Microwave Ablation (MWA): Basics, Technique and Results in Primary and Metastatic Liver Neoplasms—Review Article. RoFo-Fortschr. Geb. Rontgenstr. Nuklearmed. 2017, 189, 1055–1066. [Google Scholar] [CrossRef]
- Belfiore, M.P.; De Chiara, M.; Reginelli, A.; Clemente, A.; Urraro, F.; Grassi, R.; Belfiore, G.; Cappabianca, S. An Overview of the Irreversible Electroporation for the Treatment of Liver Metastases: When to Use It. Front. Oncol. 2022, 12, 943176. [Google Scholar] [CrossRef]
- Koethe, Y.; Wilson, N.; Narayanan, G. Irreversible Electroporation for Colorectal Cancer Liver Metastasis: A Review. Int. J. Hyperth. 2022, 39, 682–687. [Google Scholar] [CrossRef]
- Tameez Ud Din, A.; Tameez-Ud-Din, A.; Chaudhary, F.M.D.; Chaudhary, N.A.; Siddiqui, K.H. Irreversible Electroporation For Liver Tumors: A Review Of Literature. Cureus 2019, 11, e4994. [Google Scholar] [CrossRef]
- Scheffer, H.J.; Melenhorst, M.C.A.M.; Echenique, A.M.; Nielsen, K.; van Tilborg, A.A.J.M.; van den Bos, W.; Vroomen, L.G.P.H.; van den Tol, P.M.P.; Meijerink, M.R. Irreversible Electroporation for Colorectal Liver Metastases. Tech. Vasc. Interv. Radiol. 2015, 18, 159–169. [Google Scholar] [CrossRef] [PubMed]
- Yang, T.; Chen, Q.; Kuang, L.; Fu, Z.; Wang, Y.; Chen, Y.; Yang, L.; Xu, Y. Effectiveness and Safety of Ultrasound-Guided High-Intensity Focused Ultrasound Ablation for the Treatment of Colorectal Cancer Liver Metastases. Int. J. Hyperth. 2022, 39, 829–834. [Google Scholar] [CrossRef]
- Militello, C.; Vitabile, S.; Rundo, L.; Russo, G.; Midiri, M.; Gilardi, M.C. A Fully Automatic 2D Segmentation Method for Uterine Fibroid in MRgFUS Treatment Evaluation. Comput. Biol. Med. 2015, 62, 277–292. [Google Scholar] [CrossRef]
- Vorontsov, E.; Cerny, M.; Régnier, P.; Di Jorio, L.; Pal, C.J.; Lapointe, R.; Vandenbroucke-Menu, F.; Turcotte, S.; Kadoury, S.; Tang, A. Deep Learning for Automated Segmentation of Liver Lesions at CT in Patients with Colorectal Cancer Liver Metastases. Radiol. Artif. Intell. 2019, 1, 180014. [Google Scholar] [CrossRef] [PubMed]
- Rundo, L.; Beer, L.; Ursprung, S.; Martin-Gonzalez, P.; Markowetz, F.; Brenton, J.D.; Crispin-Ortuzar, M.; Sala, E.; Woitek, R. Tissue-Specific and Interpretable Sub-Segmentation of Whole Tumour Burden on CT Images by Unsupervised Fuzzy Clustering. Comput. Biol. Med. 2020, 120, 103751. [Google Scholar] [CrossRef] [PubMed]
- Escudero Sanchez, L.; Rundo, L.; Gill, A.B.; Hoare, M.; Mendes Serrao, E.; Sala, E. Robustness of Radiomic Features in CT Images with Different Slice Thickness, Comparing Liver Tumour and Muscle. Sci. Rep. 2021, 11, 8262. [Google Scholar] [CrossRef]
- Wang, Y.; Ma, L.-Y.; Yin, X.-P.; Gao, B.-L. Radiomics and Radiogenomics in Evaluation of Colorectal Cancer Liver Metastasis. Front. Oncol. 2022, 11, 689509. [Google Scholar] [CrossRef] [PubMed]
- Choy, P.Y.G.; Koea, J.; McCall, J.; Holden, A.; Osbourne, M. The Role of Radiofrequency Ablation in the Treatment of Primary and Metastatic Tumours of the Liver: Initial Lessons Learned. N. Z. Med. J. 2002, 115, U128. [Google Scholar]
- Jiao, L.R.; Hansen, P.D.; Havlik, R.; Mitry, R.R.; Pignatelli, M.; Habib, N. Clinical Short-Term Results of Radiofrequency Ablation in Primary and Secondary Liver Tumors. Am. J. Surg. 1999, 177, 303–306. [Google Scholar] [CrossRef] [PubMed]
- Poon, R.T.; Ng, K.K.; Lam, C.M.; Ai, V.; Yuen, J.; Fan, S.T.; Wong, J. Learning Curve for Radiofrequency Ablation of Liver Tumors: Prospective Analysis of Initial 100 Patients in a Tertiary Institution. Ann. Surg. 2004, 239, 441–449. [Google Scholar] [CrossRef]
- Lu, D.S.K.; Raman, S.S.; Limanond, P.; Aziz, D.; Economou, J.; Busuttil, R.; Sayre, J. Influence of Large Peritumoral Vessels on Outcome of Radiofrequency Ablation of Liver Tumors. J. Vasc. Interv. Radiol. JVIR 2003, 14, 1267–1274. [Google Scholar] [CrossRef]
- Shady, W.; Petre, E.N.; Vakiani, E.; Ziv, E.; Gonen, M.; Brown, K.T.; Kemeny, N.E.; Solomon, S.B.; Solit, D.B.; Sofocleous, C.T. Kras Mutation Is a Marker of Worse Oncologic Outcomes after Percutaneous Radiofrequency Ablation of Colorectal Liver Metastases. Oncotarget 2017, 8, 66117–66127. [Google Scholar] [CrossRef]
- Dijkstra, M.; Nieuwenhuizen, S.; Puijk, R.S.; Timmer, F.E.F.; Geboers, B.; Schouten, E.A.C.; Opperman, J.; Scheffer, H.J.; de Vries, J.J.J.; Versteeg, K.S.; et al. Primary Tumor Sidedness, RAS and BRAF Mutations and MSI Status as Prognostic Factors in Patients with Colorectal Liver Metastases Treated with Surgery and Thermal Ablation: Results from the Amsterdam Colorectal Liver Met Registry (AmCORE). Biomedicines 2021, 9, 962. [Google Scholar] [CrossRef]
- Hoffer, E.K.; Borsic, A.; Patel, S.D. Validation of Software for Patient-Specific Real-Time Simulation of Hepatic Radiofrequency Ablation. Acad. Radiol. 2022, 29, e219–e227. [Google Scholar] [CrossRef] [PubMed]
- Luo, M.; Jiang, H.; Shi, T. Multi-Stage Puncture Path Planning Algorithm of Ablation Needles for Percutaneous Radiofrequency Ablation of Liver Tumors. Comput. Biol. Med. 2022, 145, 105506. [Google Scholar] [CrossRef] [PubMed]
- Reinhardt, M.; Brandmaier, P.; Seider, D.; Kolesnik, M.; Jenniskens, S.; Sequeiros, R.B.; Eibisberger, M.; Voglreiter, P.; Flanagan, R.; Mariappan, P.; et al. A Prospective Development Study of Software-Guided Radio-Frequency Ablation of Primary and Secondary Liver Tumors: Clinical Intervention Modelling, Planning and Proof for Ablation Cancer Treatment (ClinicIMPPACT). Contemp. Clin. Trials Commun. 2017, 8, 25–32. [Google Scholar] [CrossRef] [PubMed]

| Characteristics | N = 69 1 |
|---|---|
| Gender Male Female | 49 (71%) 20 (29%) |
| BMI (kg·m−2) | 26.0 (23.4–28.3) |
| WHO performance status 0 1 2 | 53 (76.8%) 15 (21.7%) 1 (1.5%) |
| Age at primary cancer diagnosis (years) | 65 (57–70) |
| Primary cancer site Left colon Right colon Rectum | 26 (37.7%) 17 (24.6%) 26 (37.7%) |
| Chemotherapy prior to primary cancer surgery Yes No | 36 (52%) 33 (48%) |
| CEA (µg/L) Unknown | 3 (2–13) 4 |
| CA19-9 (U/mL) Unknown | 12 (8–30) 4 |
| Extrahepatic secondary lesions at the time of thermoablation No Yes | 40 (58%) 29 (42%) |
| Colorectal TNM:T 1 2 3 4 | 0 (0%) 4 (6%) 46 (67%) 19 (27%) |
| Colorectal TNM:N 0 1 2 | 11 (16%) 45 (66%) 10 (18%) |
| Genetics RAS mutation RAS Wild type BRAF mutation BRAF Wild type MSI phenotype MSS phenotype | 26 (38%) 43 (62%) 6 (9%) 63 (91%) 2 (2.9%) 67 (97%) |
| Characteristics | N = 69 1 |
|---|---|
| Hepatic metastases chronological occurrence Synchronous Metachronous | 41 (59%) 28 (41%) |
| Interval between primary cancer diagnosis and metachronous metastases occurrence (days) | 694 (454–1058) |
| Hepatic metastatic recurrence Yes No | 21 (30%) 48 (70%) |
| Metastases preoperative chemotherapy Yes No | 66 (96%) 3 (4%) |
| Number of chemotherapy lines prior to thermoablation | 1 (1–2) |
| Total number of chemotherapy lines | 3 (2–4) |
| Underlying liver condition None Steatosis Child A6 cirrhosis | 30 (43.5%) 38 (55%) 1 (1.5%) |
| Number of liver metastases to be treated by episode (thermoablation only) | 2 (1–3) |
| Number of liver metastases to be treated by episode (thermoablation + surgery) | 3 (2–6) |
| Treatment of a previous thermoablation site recurrence Yes No | 9 (13%) 60 (87%) |
| Characteristics | No Recurrence (N = 146 1) | Recurrence (N = 31 1) | p-Value 2 |
|---|---|---|---|
| Metastases’ chronological occurrence Synchronous Metachronous | 100 (68%) 46 (32%) | 17 (55%) 14 (45%) | 0.14 |
| Hepatic metastatic recurrence | 25 (17%) | 16 (52%) | <0.001 |
| Metastases preoperative chemotherapy | 142 (97%) | 31 (100%) | >0.9 |
| Number of chemotherapy lines prior to thermoablation | 1 (1–2) | 2 (1–3) | 0.001 |
| Total number of chemotherapy lines | 3 (2–4) | 4 (3–4) | 0.002 |
| Underlying liver condition None Others (steatosis, cirrhosis) | 55 (38%) 91 (62%) | 15 (48%) 16 (52%) | 0.3 |
| Number of liver metastases to be treated with thermoablation by episode | 3 (2–6) | 2 (2–4) | 0.009 |
| Treatment of a previous thermoblation site reccurence Yes No | 8 (5.5%) 138 (94.5%) | 7 (23%) 24 (77%) | 0.006 |
| Thermoablation type Radiofrequency ablation Microwave ablation | 102 (70%) 44 (30%) | 16 (52%) 15 (48%) | 0.050 |
| Thermoablation approach Surgical Percutaneous | 135 (92.5%) 11 (7.5%) | 24 (77%) 7 (23%) | 0.020 |
| Guidance during procedure Ultrasonography CT scan | 136 (93.2%) 10 (6.8%) | 25 (81%) 6 (19%) | 0.039 |
| Pringle Manoeuvre | 13 (8.9%) | 1 (3.2%) | 0.5 |
| Procedure complication grade (Clavien–Dindo classification) 0 1 2 3 Unknown | 78 (58%) 40 (29%) 15 (11%) 3 (2%) 10 | 13 (52%) 11 (44%) 1 (4%) 0 (0%) 6 | 0.5 |
| Hepatic segment I II III IV V VI VII VIII | 2 (50%) 12 (86%) 9 (100%) 16 (89%) 20 (77%) 18 (78%) 28 (90%) 41 (78%) | 2 (50%) 2 (14%) 0 (0%) 2 (11%) 6 (23%) 5 (22%) 3 (10%) 11 (22%) | 0.14 1 0.36 0.74 0.41 0.56 0.3 0.51 |
| Characteristics | N | OR 1 | 95% CI 1 | p-Value |
|---|---|---|---|---|
| Gender (male vs. female) | 177 | 2.73 | [0.99–9.64] | 0.076 |
| WHO performance status | 177 | 0.73 | [0.26–1.73] | 0.5 |
| BMI | 177 | 0.98 | [0.88–1.08] | 0.6 |
| CEA | 168 | 1.00 | [1.00–1.00] | 0.7 |
| CA19-9 | 168 | 0.99 | [0.98–1.00] | 0.3 |
| Age at primary cancer diagnosis | 177 | 0.99 | [0.95–1.02] | 0.5 |
| Extrahepatic secondary lesions at the time of thermoablation | 177 | 2.48 | [1.12–5.52] | 0.024 |
| Genetics RAS wild type BRAF wild type MSS phenotype | 177 177 177 | 1.14 0.69 1.06 | [0.52–2.57] [0.20–3.20] [0.16–20.8] | 0.8 0.6 >0.9 |
| Metastases chronological occurrence | 177 | 1.79 | [0.80–3.94] | 0.15 |
| Hepatic metastatic recurrence | 177 | 5.16 | [2.27–11.9] | <0.001 |
| Number of chemotherapy lines prior to thermoablation | 177 | 2.17 | [1.39–3.50] | <0.001 |
| Total number of chemotherapy lines | 177 | 1.69 | [1.23–2.41] | 0.002 |
| Underlying liver condition | 177 | 0.64 | [0.29–1.42] | 0.3 |
| Number of metastases to be treated with thermoablation | 177 | 0.79 | [0.64–0.94] | 0.016 |
| Treatment of a previous thermoablation site | 177 | 5.03 | [1.63–15.3] | 0.004 |
| Characteristics | N | OR 1 | 95% CI 1 | p-Value |
|---|---|---|---|---|
| Thermoablation type (MWA versus RFA) | 177 | 2.17 | [0.98–4.80] | 0.054 |
| Thermoablation approach (percutaneous versus surgical) | 177 | 3.97 | [1.33–11.4] | 0.011 |
| Heating Time (sec) | 177 | 1.05 | [0.94–1.19] | 0.4 |
| Power (MWA) (Watts) | 59 | 1.02 | [0.99–1.07] | 0.2 |
| Electrode size (RFA) (mm) | 118 | 1.10 | [0.99–1.23] | 0.087 |
| End of procedure temperature | 118 | 1.09 | [0.96–1.26] | 0.2 |
| Size of nearby vessel (mm) | 177 | 1.27 | [1.13–1.45] | <0.001 |
| Distance to vessel with diameter > 3 mm | 177 | 0.59 | [0.44–0.78] | <0.001 |
| Thermoablation site shape (non-ovoid versus ovoid) | 177 | 4.25 | [1.87–9.76] | <0.001 |
| Metastasis length (mm) | 177 | 1.11 | [1.05–1.18] | <0.001 |
| Metastasis width (mm) | 177 | 1.14 | [1.07–1.23] | <0.001 |
| Thermoablation site length (mm) | 177 | 1.02 | [0.98–1.07] | 0.3 |
| Thermoablation site width (mm) | 177 | 1.00 | [0.95–1.06] | 0.9 |
| Thermoablation length margin (mm) | 177 | 0.95 | [0.89–1.00] | 0.080 |
| Thermoablation width margin (mm) | 177 | 0.90 | [0.83–0.96] | 0.002 |
| Characteristics | N | OR 1 | 95% CI 1 | p-Value |
|---|---|---|---|---|
| Treatment of a previous thermoablation site | 177 | 2.47 | [0.64–9.26] | 0.2 |
| Thermoablation approach (surgical versus percutaneous) | 177 | 0.35 | [0.10–1.30] | 0.10 |
| Metastasis width (mm) | 177 | 1.09 | [1.01–1.19] | 0.029 |
| Size of nearby vessel (mm) | 177 | 1.17 | [1.03–1.35] | 0.025 |
| Distance to vessel > 3 mm | 177 | 0.45 | [0.11–1.48] | 0.2 |
| Shape of thermoablation site (non-ovoid versus ovoid) | 177 | 2.60 | [0.97–6.80] | 0.052 |
Disclaimer/Publisher’s Note: The statements, opinions and data contained in all publications are solely those of the individual author(s) and contributor(s) and not of MDPI and/or the editor(s). MDPI and/or the editor(s) disclaim responsibility for any injury to people or property resulting from any ideas, methods, instructions or products referred to in the content. |
© 2023 by the authors. Licensee MDPI, Basel, Switzerland. This article is an open access article distributed under the terms and conditions of the Creative Commons Attribution (CC BY) license (https://creativecommons.org/licenses/by/4.0/).
Share and Cite
Odet, J.; Pellegrinelli, J.; Varbedian, O.; Truntzer, C.; Midulla, M.; Ghiringhelli, F.; Orry, D. Predictive Factors of Local Recurrence after Colorectal Cancer Liver Metastases Thermal Ablation. J. Imaging 2023, 9, 66. https://doi.org/10.3390/jimaging9030066
Odet J, Pellegrinelli J, Varbedian O, Truntzer C, Midulla M, Ghiringhelli F, Orry D. Predictive Factors of Local Recurrence after Colorectal Cancer Liver Metastases Thermal Ablation. Journal of Imaging. 2023; 9(3):66. https://doi.org/10.3390/jimaging9030066
Chicago/Turabian StyleOdet, Julien, Julie Pellegrinelli, Olivier Varbedian, Caroline Truntzer, Marco Midulla, François Ghiringhelli, and David Orry. 2023. "Predictive Factors of Local Recurrence after Colorectal Cancer Liver Metastases Thermal Ablation" Journal of Imaging 9, no. 3: 66. https://doi.org/10.3390/jimaging9030066
APA StyleOdet, J., Pellegrinelli, J., Varbedian, O., Truntzer, C., Midulla, M., Ghiringhelli, F., & Orry, D. (2023). Predictive Factors of Local Recurrence after Colorectal Cancer Liver Metastases Thermal Ablation. Journal of Imaging, 9(3), 66. https://doi.org/10.3390/jimaging9030066

