Abstract
To investigate the effect of prickly ash (Zanthoxylum bungeanum) seed kernel oil (PASO) on the lipid metabolism of grass carp (Ctenopharyngodon idellus) under a high-fat diet, PASO were added into two lipid-level (4 g/kg and 8 g/kg) diets to form four isonitrogenous diets: soybean oil (SO), PASO, high-fat soybean oil (HSO), and high-fat prickly ash seed oil (HPASO). A total of 216 healthy grass carp (9.43 ± 0.82 g) were randomly divided into four groups and fed with the four diets, respectively, for 56 days. The result showed that the viscerosomatic index (VSI) and the content of the crude lipid in the hepatopancreas and muscle was significantly higher by oil levels (p < 0.05). The linolenic acid content in the body of the fish significantly increased in PASO and HPASO compared to that in SO and HSO (p < 0.05). The fatty acid composition of the hepatopancreas, intraperitoneal fat, and muscle in four dietary groups was significantly similar to the fatty acid composition in the diets (p < 0.05). More significant fat infiltration and nuclear translocation in the hepatopancreas of fish was found in the HSO group but was decreased in the HPASO group. The adipocyte size in the intraperitoneal fat tissue in the PASO group was significantly lower than that in the SO group (p < 0.05). The relative mRNA expression of the lipogenesis-related genes ppar-γ, cebp-α, and srebp-1c was significantly down-regulated in the PASO group compared with the SO group (p < 0.05), and the mRNA expression of lipolysis-related genes ppar-α and cpt-1 were significantly up-regulated in the PASO group (p < 0.05). In conclusion, dietary PASO showed the function of reducing lipid accumulation in the fish. This reduction might be attributed to the inhibition of the lipogenesis-related genes and the stimulation of the lipolysis-related genes, which were probably modulated by the high content of linolenic acid in PASO.
Keywords:
prickly ash seed kernel oil; growth performance; lipid metabolism; grass carp (Ctenopharyngodon idellus) Key Contribution:
This study is the first to evaluate the effect of prickly ash seed kernel oil (PASO) on the lipid metabolism of grass carp fed a high-fat diet. The results showed the dietary PASO’s function of reducing lipid accumulation in the fish. The study provides valuable preliminary data for the commercial development and feasibility of PASO in artificial diets for grass carp.
1. Introduction
Lipids are the source of energy and the essential fatty acids for fish [1,2,3]; therefore, high-fat diets are constantly used in aquaculture for greater growth of fish and a reduced cost of feeds [4,5,6,7]. However, long term use of high-fat diets was found to have negative impacts on the growth and health of fish [8,9,10], which included excessive fat accumulation, growth inhibition, and weak antioxidant properties and immunity [11,12,13]. High-fat diets were also found to induce mitochondrial dysfunction and inhibit β-oxidation of fatty acids [14,15].
A previous report showed that dietary intake of polyunsaturated fatty acid (PUFA), e.g., linoleic acid (LA), linolenic acid (LNA), and n-3 long-chain PUFAs (LC-PUFAs), etc., was associated with reduced lipid accumulation in the hepatopancreatic of fish [16,17,18], and the PUFA contributed to the inhibition of lipid synthesis by inhibiting the gene expression of lipogeneses and improving the gene expression of lipolysis [19,20].
Prickly ash (Zanthoxylum bungeanum) is the fruit of the Zanthoxylum plant in the Rutaceae family, which is widely cultivated in China, and there is a huge annual yield production of more than 500,000 tons [21]. The husk of the prickly ash seed (PAS) is commonly used as a spice in Chinese cuisine, while the kernel is often overlooked and discarded as waste. However, the PAS kernel contains a large amount of lipids, ranging from 27% to 31% [22]. PAS oil (PASO) is rich in unsaturated fatty acids, accounting for 70% of the total fatty acids, including 17.7~32.64% LA and 17.36~24.13% LNA, respectively, which are promising ingredients for fish feed [23,24]. A previous report showed that the levels of T-chol, TG, and LDL-C in the serum of mice [25] and the lipid level in the blood of rats [26] and hamsters [27] was reduced by oral administration of PASO, indicating that PASO may promote lipid metabolism and inhibit lipid accumulation in mammals, highlighting its potential as an oil source in feed for improving animal health and performance.
The grass carp (Ctenopharyngodon idellus) is a typically herbivorous fish and yields the highest production of freshwater fish in China [28]. In previous research, it was shown that the lipid requirement of grass carp is about 6% (60 g/k), and higher dietary lipid levels were found to cause excessive lipid accumulation and even injure the health of fish [29,30]. While the utilization of feeds with high lipid levels are common in the actual aquaculture of grass carp to gain higher production [31,32], the dietary use of PUFA to reduce lipid accumulation in grass carp has also been reported [33,34]. However, information about the utilization of PASO, with its richness in LA and LNA, to inhibit excessive accumulation of lipids in grass carp fed a high-fat diet is very scarce. Therefore, in the present study, PASO was added in normal and high-fat diets of grass carp, respectively, to form four diets, and the grass carp were fed the diets, respectively, for 56 days; then, the fish were sampled, and the growth and lipid metabolism were determined.
2. Materials and Methods
2.1. Experimental Diets
The prickly ash seed oil (PASO) was obtained from the pressing of prickly ash seed purchased from Hancheng, Shaanxi. Feed resources such as fish meal and soybean meal, etc., were purchased from Shaanxi Huaqin Agriculture and Animal Husbandry Technology Co., Ltd. (Yangling, Shaanxi, China). PASO was added into two diets at normal (4 g/kg)- and high (8 g/kg)-lipid levels, respectively, to form four isonitrogenous feeds: the soybean oil (SO), PASO, high-fat soybean oil (HSO), and high-fat prickly ash seed oil (HPASO) groups. All the ingredients were crushed and mixed thoroughly to form a dough, which was pressed into granules with a diameter of 2 mm. The experimental diets were stored at −20 °C after air drying. The formula and the proximate composition of the diets are given in Table 1.
Table 1.
The formulation and proximate composition of the diets.
2.2. Fish and Feeding Management
The total of 216 healthy grass carp (mean weight 9.43 ± 0.82 g), provided by Ankang Aquatic Experiment Demonstration Station of Northwest A&F University (Shanxi, China), were randomly and evenly assigned into four groups (triplicate per group) and cultured in the 12 net cages (1.5 m × 1.0 m × 1.0 m) erected in outdoor incubation tanks (4.75 m × 3.65 m × 0.8 m); then, they were fed with the four diets mentioned above three times a day (08:30, 12:30, and 16:30) by hand to apparent satiation. The fish were kept under natural light conditions, and micro-flowing water circulation was used 24 h a day during the experimental period, and the water temperature, dissolved oxygen, pH, and ammonia content were 28.0 ± 2.1 °C, 7.5 ± 1.54 mg/L, 7.8 ± 0.20, and 0.05 ± 0.01 mg/L, respectively. The feeding period was 56 days.
2.3. Sample Collection
Prior to the sampling collection, the fish were fasted for 24 h; then. they were anesthetized using the 100 mg/L MS-222 (tricaine isophthalic acid ethyl methanesulfonate) to obtain the weight and length of each fish. The weight of the viscera, hepatopancreas, and abdominal fat of the six fish per cage were obtained, and the hepatopancreas and abdominal fat were sampled and stored in 4% paraformaldehyde solution. Then, samples of the hepatopancreas, abdominal fat, and muscle were taken from another six fish to measure proximate composition. Finally, the hepatopancreas, abdominal fat, and muscle of the remaining six fish were sampled, quickly frozen in liquid nitrogen, and then stored at −80 °C for biochemical analyses, fatty acid profile, and gene expressions.
Growth performance and various biological parameters were calculated using the following formulas:
Survival rate (SR, %) = (final number of fish/initial number of fish) × 100.
Specific growth rate (SGR, %/d) =100 × [ln final body weight (g) − ln initial body weight (g)]/days.
Feed conversion ratio (FCR, g/g) = feed provided (g)/body weight gain (g)].
Condition factor (CF, g/cm3) = 100 × [body weight (g)/body length (cm)3].
Hepatosomatic index (HSI, %) =100 × [hepatopancreas weight (g)/body weight (g)].
Viscerosomatic index (VSI, %) = 100 × [weight of viscera (g)/body weight (g)].
Intraperitoneal fat index (IPFI, %) = 100 × [intraperitoneal fat weight (g)/body weight (g)].
Specific growth rate (SGR, %/d) =100 × [ln final body weight (g) − ln initial body weight (g)]/days.
Feed conversion ratio (FCR, g/g) = feed provided (g)/body weight gain (g)].
Condition factor (CF, g/cm3) = 100 × [body weight (g)/body length (cm)3].
Hepatosomatic index (HSI, %) =100 × [hepatopancreas weight (g)/body weight (g)].
Viscerosomatic index (VSI, %) = 100 × [weight of viscera (g)/body weight (g)].
Intraperitoneal fat index (IPFI, %) = 100 × [intraperitoneal fat weight (g)/body weight (g)].
2.4. Proximate Composition Analysis
The contents of crude protein, crude fat, moisture, and ash in the diets, whole fish body, hepatopancreas, and the muscle tissues were analyzed by the methods of AOAC [35], where the Kjeldahl method, Soxhlet extraction method, 70 degrees constant weight drying method and 550 °C muffle furnace burning method were used, respectively.
2.5. Fatty Acid Composition Analysis
Firstly, the 0.3~0.5 g tissue sample was homogenized in 5 mL chloroform/methanol (2:1 v/v) with a high-speed disperser (XHF-D, SCIENIZ®, Ningbo, China), and the supernatant was obtained by filtering the solid residue after standing for 1–2 h. Then, 4 mL of deionized water was added to the supernatant sample, mixed, and then centrifuged at 3000 rpm for 5 min. The upper layer was sucked out, and the bottom layer was drained by nitrogen sweeping method in a water bath (40 °C) to obtain the pure lipids. Subsequently, 1 mL of chromatographically pure hexane was added to dissolve the lipids, and then, 1 mL of potassium hydroxide methanol (0.4 M) was added for 30 min for methyl esterification. Finally, 2 mL of deionized water was added and centrifuged to extract the supernatant for determination on a gas chromatograph (Agilent 7820A, Agilent Technologies, Santa Clara, CA, USA). Each fatty acid was identified against a known standard (47015-U, Sigma-Aldrich, Inc., St. Louis, MO, USA). The results were calculated by the area normalization method and are presented as a percentage of each fatty acid to total fatty acids. The fatty acid composition of the diets is given in Table 2.
Table 2.
The fatty acid composition of the diets (%).
2.6. Histological Observation
The fixed samples were washed in running water for 12 h. According to the standard procedures, the samples were dehydrated in ethanol with gradient concentrations, soaked in xylene, and embedded in paraffin. A 5μm thick paraffin section was successively cut using a slicer (RM2235, Leica, Germany) and mounted on a slide and stained with hematoxylin and eosin (H&E). All histological procedures were performed at the Pathology Laboratory of the Yangling Demonstration Zone Hospital (Yangling, Shaanxi, China). Images were taken using a forward microscope (Leica Biosystems, Germany). Adipocyte area per image was quantified using Photoshop (Adobe, San Jose, CA, USA), and the mean adipocyte area per group was calculated by five non-overlapping images of adipose tissue.
2.7. Gene Expression Analysis
Total RNA extraction and reverse transcription from tissues were performed using methods common to our laboratory. The CFX96 Real-Time Quantitative PCR Detection System (Bio-Rad, Hercules, CA, USA). was used for real-time quantitative PCR determination of gene expression. According to the kit protocol, the 20 μL reaction system contained 0.6 μL primers, 1 μL diluted cDNA, 10 μL 2× SYBR® Premix Ex TaqTM II, and 7.8 μL sterile non-enzymatic water. The qPCR reaction conditions were followed: an initial activation step at 95 °C for 30 s, followed by 40 cycles (95 °C for 15 s, 60 °C for 15 s). The CT values of the target genes and the housekeeping gene (β-actin) were obtained using the amplification curves after PCR reactions, and the relative expression of target gene in each group was calculated according to the formula 2−ΔΔCT. The PCR primer sequences of each gene are shown in Table 3.
Table 3.
Nucleotide sequences of the primers.
2.8. Data Analysis
Data are presented as mean ± S.D. (standard deviation). Experimental data were analyzed by two-way ANOVA and tested for homogeneity of variance by Levene’s test, followed by Duncan’s multiple comparisons to determine differences between groups. The non-nested statistical analyses were performed using SPSS 21.0 for Windows Software (SPSS, Chicago, IL, USA). The significance difference was determined at a probability of 5% (p < 0.05). The Pearson correlation coefficients (PCCs) were calculated by the CORREL function with reference to Tian’s study [36], which shows the tissue–diet correlation coefficients.
3. Results
3.1. Growth Performance and Biological Parameters
Table 4 shows that the FBW, SR, SGR, FCR, CF, HSI, and IPFI of grass carp were not significantly affected by oil levels and oil sources (p > 0.05). The VSI of the HSO and HPASO groups was significantly higher than that of the SO group (p < 0.05) and was significantly affected by the oil level, and the interaction between the oil level and oil source had an impact on VSI (p < 0.05).
Table 4.
Effects of PASO on growth performance and biological indices of grass carp (n = 3).
3.2. Proximate Composition of the Hepatopancreas and Muscle
As shown in Table 5, there was a significant interaction between oil levels and oil sources, which impacted the hepatopancreatic crude protein level (p < 0.05). Both the hepatopancreas and muscle crude lipid levels were significantly affected by oil levels (p < 0.05). And there were no significant differences in hepatopancreas moisture and ash and muscle crude fat, moisture, and ash (p > 0.05).
Table 5.
Effects of PASO on proximate composition of the hepatopancreas and muscle of grass carp (%, air-dried basis, n = 3).
3.3. Fatty Acid Composition
The fatty acid composition of the hepatopancreas, intraperitoneal fat, and muscle is presented in Table 6, Table 7 and Table 8, respectively. The oil levels significantly increased the LA, LNA, and n-3PUFA content of hepatopancreas, abdominal fat, and muscle (p < 0.05). PASO significantly elevated 16:1n-7 in the hepatopancreas, abdominal fat, and muscle as well as LNA in the abdominal fat. Additionally, in the hepatopancreas, abdominal fat, and muscle, the correlation between the HPASO group and dietary fatty acid composition was significantly higher than that with the other groups (p < 0.05).
Table 6.
Effects of PASO on fatty acid composition of hepatopancreas in grass carp (%, n = 3).
Table 7.
Effects of PASO on fatty acid composition of intraperitoneal fat in grass carp (%, n = 3).
Table 8.
Effects of PASO on fatty acid of muscle in grass carp (%, n = 3).
3.4. Histological Observation
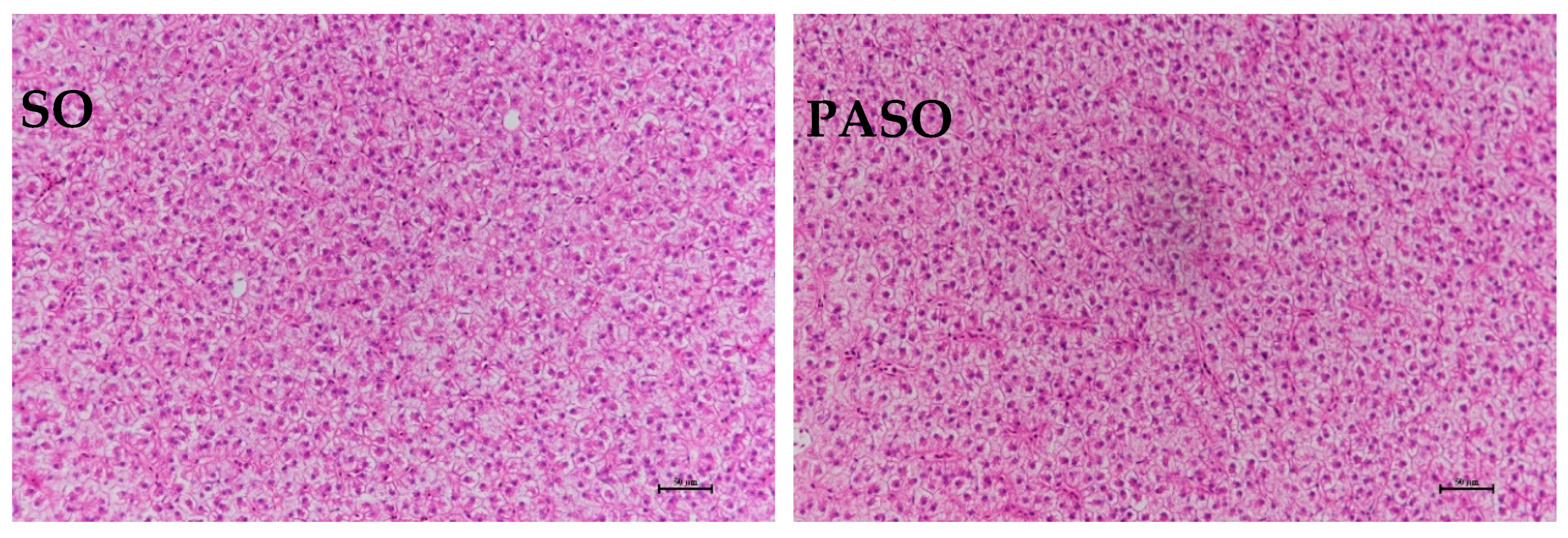
The cell membranes of the hepatopancreas in the four groups were intact (Figure 1), while a higher degree of vacuolization and lipid droplets was found in the HSO group, and a lower degree of vacuolization and lipid droplets was found in the PASO and HPASO groups, respectively.

Figure 1.
Hepatopancreas of the grass carp. (n = 3).
The cell membranes of the adipocytes in the abdominal adipose tissue were intact, and the cells were arranged regularly in the four dietary groups (Figure 2a). The adipocyte size in the PASO group was significantly lower than that in the SO group (p < 0.05; Figure 2b), while the adipocyte size was not significantly different between the HSO and HPASO groups (p > 0.05, Figure 2b). The frequency distribution of the greatest adipocyte size in the four dietary groups was within the range of 2000~5999 μm2, which was above 10% (Figure 2c), and there was no significant difference among the four groups (p > 0.05, Figure 2c).
Figure 2.
Adipocyte of the abdominal fat in grass carp. (a) Morphology of the abdominal fat tissues (HE stains, 10 × 20 times). (b) Adipocyte size of abdominal fat tissues (μm2). (c) Frequency distribution of the adipocyte size. Different lowercase letters in the figure indicate significant differences. p1, the effect of oil levels on data; p2, the effect of oil sources on data; p3, effect of the interaction between oil levels and oil sources on the data. p < 0.05 means significant difference. (%, n = 3).
3.5. Relative Expression of Genes Related to Lipid Metabolism
Figure 3 shows that in a normal-lipid-level diet, the mRNA relative expression of ppar-γ, cebp-α, and srebp-1c, being lipid-synthesis-related genes, significantly decreased in the PASO group compared with that in the SO group (p < 0.05), while in the high-lipid-level diet, the mRNA expression levels of cebp-α and srebp-1c (but not ppar-γ) were not significantly different between the HSO and HPASO groups (p > 0.05). The results of the two-way ANOVA showed that ppar-γ, cebp-α, and srebp-1c were affected by the interaction between oil sources and oil levels; in addition, PASO had a significant effect on srebp-1c.
Figure 3.
Effects of prickly ash seed oil on the lipid-metabolism-related gene mRNA level of the hepatopancreas in grass carp. Different lowercase letters in the figure indicate significant differences. p1, the effect of oil levels on data; p2, the effect of oil sources on data; p3, effect of the interaction between oil levels and oil sources on the data. p < 0.05 means significant difference. (n = 6).
The mRNA relative expression of lipolysis-related genes ppar-α and ucp-1 in the PASO group was higher than that in the SO group, while the HPASO group showed lower relative expression than the HSO group, although the differences were not significant (p > 0.05). The mRNA expression level of cpt-1 in the PASO group showed a significant increase (p < 0.05). Two-way ANOVA analysis showed that both oil levels and oil sources had significant and interactive effects on cpt-1 (p < 0.05).
4. Discussion
The present results indicate that SR, SGR, and FCR were not affected by the high lipid levels of the diets, which is consistent with previous research [37]. They were also not significantly affected by PASO, which may be related to the proximity of the gross energy of the four dietary groups on one hand, and on the other hand, it may be due to satiation feeding, where fish may have adjusted their energy intake to meet other needs [38]. Therefore, this suggests that the addition of PASO to diets of normal or high lipid levels is beneficial for the growth of grass carp.
The present VSI values were significantly higher in the high-lipid-level diets of the HSO and HPASO groups than those in the SO and PASO groups (Table 4), which was similar to the previous results in turbot: higher VSI values of fish were found in the higher-lipid diet [39], showing the higher lipid deposition was caused by a high-lipid diet. Similarly, in the present study, higher lipid accumulation and greater accumulation of lipid droplets was found in the hepatopancreas of grass carp in the HSO and HPASO groups than in the SO and PASO groups (Table 5 and Figure 1), which was in agreement with previous results that high-fat diets trigger lipid accumulation [40,41]. Immoderately high lipid in the diet usually results in the excessive accumulation of lipid in the tissue of fish and probably caused fatty liver disease [42,43] and these results have also been previously reported in blunt snout bream [41], common carp [40,44], tilapia [45], and grass carp [46,47]. Although the present addition of PASO in normal- or high-lipid diets showed no significant effect on the lipid accumulation in the hepatopancreas of grass carp, the PASO group showed significantly reduced adipocyte size under a two-way ANOVA analysis (Figure 2b). As LNA was previously reported to reduce lipid accumulation in fish [17,48,49], and PASO is rich in LNA, this was postulated to cause the reduction of lipid accumulation in the adipocyte of the PASO group in the present study.
The synthesis and decomposition of lipid were regulated by a series of key enzymes and transcription factors [50]. The srebp-1c gene directly regulates the expression of fas, a key gene in the de novo biogenesis of fatty acids [51,52]. In addition, ppar-α and cpt-1 regulate key enzymes in the β-oxidation pathway to facilitate the process [53]. In the present study, PASO decreased the relative expression of ppar-γ, cebp-α, and srebp-1c, i.e., lipogenesis-related genes, and it simultaneously increased the relative expression of ppar-α and cpt-1, i.e., lipolysis-related genes. Previous result also showed that the high content of LNA regulated the lipid metabolism by affecting the expression of genes related to lipid synthesis and catabolism [54,55] and that LNA decreased the expression of srebp-1c in grass carp [17] and increased the expression of cpt-1 in oriental river prawn (Macrobrachium nipponense) [56] as well as ppar-α in goat [57]. In the present study, the rich LNA in PASO was postulated to inhibit the lipid accumulation in grass carp by inhibiting the de novo synthesis and promoting β-oxidation of fatty acids.
In our results, the fatty acid composition showed a significant correlation between that in the fish and in the diets (Table 6, Table 7 and Table 8), suggesting that the fatty acid composition of the fish was significantly affected by the dietary fatty acid composition, which is in line with previous results in fish [58,59,60]. LA and LNA are the precursors of n-6 and n-3 PUFA, respectively, and their conversion relies on the processes of chain elongation and desaturation [36,61]. Previous studies have confirmed the desaturase function of the fads and elvols for LA and LNA in grass carp with the ability to biosynthesize LC-PUFAs [62,63]. In the present study, the significant decrease in the LNA content and the significant increase in the n-3 PUFA content in the muscle of fish compared to the diet suggests that the LNA in the PASO diet may be converted to LC-PUFAs in grass carp muscle. On the other hand, there was no significant change in LC-PUFA in the hepatopancreas and abdominal fat compared to the diet, and presumably, LNA is used for oxidative energy supply in these two tissues. Therefore, the grass carp in this study had the ability to biosynthesize LNA into LC-PUFA.
5. Conclusions
In conclusion, in the present study, high-fat diets and PASO did not significantly affect the growth of grass carp, while PASO reduced the lipid accumulation of grass carp fed diets with normal lipid levels. The fatty acid composition of the grass carp was significantly affected by their diets, and grass carp had the ability to biosynthesize LNA into LC-PUFA.
Author Contributions
P.W., methodology, investigation, formal analysis, data curation, and writing—original draft; Z.Z., data curation and investigation; Q.X., methodology and investigation; Y.X., investigation; M.Z., investigation; J.Z., methodology, supervision, funding acquisition, project administration, and writing—review and editing. All authors have read and agreed to the published version of the manuscript.
Funding
This study was financially supported by the National Key Research and Development Program of China (2019YFD0900200), Special Research and Development Program Project of Chinese Academy of Se-enriched Industry (2019ZKG-1), Key Research and Development plan of Shaanxi Province (2018ZDXM-NY-045), and Shaanxi Special plan project of technological innovation guidance (2022QFY12-03).
Institutional Review Board Statement
All experimental procedures conducted in this study were performed following the guidelines and regulations set by Northwest A&F University of Animal Experimentation Ethics Committee, Yangling, China (No. DK2022007). This study followed the guidelines provided by the National Council for Control of Animal Experimentation (CONCEA) for the care and use of laboratory animals.
Data Availability Statement
Data are contained within the article.
Conflicts of Interest
The authors declare no conflicts of interest.
References
- Sargent, J.; Bell, G.; McEvoy, L.; Tocher, D.; Estevez, A. Recent Developments in the Essential Fatty Acid Nutrition of Fish. Aquaculture 1999, 177, 191–199. [Google Scholar] [CrossRef]
- Wang, L.; Lu, Q.; Luo, S.; Zhan, W.; Chen, R.; Lou, B.; Xu, D. Effect of Dietary Lipid on Growth Performance, Body Composition, Plasma Biochemical Parameters and Liver Fatty Acids Content of Juvenile Yellow Drum Nibea albiflora. Aquac. Rep. 2016, 4, 10–16. [Google Scholar] [CrossRef][Green Version]
- Sargent, J.R.; Tocher, D.R.; Bell, J.G. 4—The Lipids. In Fish Nutrition, 3rd ed.; Halver, J.E., Hardy, R.W., Eds.; Academic Press: San Diego, CA, USA, 2003; pp. 181–257. ISBN 978-0-12-319652-1. [Google Scholar]
- Naiel, M.A.E.; Negm, S.S.; Ghazanfar, S.; Shukry, M.; Abdelnour, S.A. The Risk Assessment of High-Fat Diet in Farmed Fish and Its Mitigation Approaches: A Review. J. Anim. Physiol. Anim. Nutr. 2023, 107, 948–969. [Google Scholar] [CrossRef] [PubMed]
- Gou, N.; Jin, T.; Yang, B.; Wang, K. Influences of Dietary Sodium Butyrate on Growth, Digestion, Antioxidant Capacity and Health in Juvenile Onychostoma Macrolepis Fed on High-Fat Diet. Aquacult. Rep. 2023, 33, 101808. [Google Scholar] [CrossRef]
- Pohlenz, C.; Gatlin, D.M. Interrelationships between Fish Nutrition and Health. Aquaculture 2014, 431, 111–117. [Google Scholar] [CrossRef]
- Boujard, T.; Gélineau, A.; Covès, D.; Corraze, G.; Dutto, G.; Gasset, E.; Kaushik, S. Regulation of Feed Intake, Growth, Nutrient and Energy Utilisation in European Sea Bass (Dicentrarchus labrax) Fed High Fat Diets. Aquaculture 2004, 231, 529–545. [Google Scholar] [CrossRef]
- Lu, K.; Xu, W.; Li, J.; Li, X.; Huang, G.; Liu, W. Alterations of Liver Histology and Blood Biochemistry in Blunt Snout Bream Megalobrama amblycephala Fed High-Fat Diets. Fish Sci. 2013, 79, 661–671. [Google Scholar] [CrossRef]
- Du, Z.-Y.; Liu, Y.J.; Tian, L.X.; Wang, J.T.; Wang, Y.; Liang, G.Y. Effect of Dietary Lipid Level on Growth, Feed Utilization and Body Composition by Juvenile Grass Carp (Ctenopharyngodon idella). Aquac. Nutr. 2005, 11, 139–146. [Google Scholar] [CrossRef]
- Wang, J.; Liu, T.; Zheng, P.; Xu, H.; Su, H.; Tao, H.; Yang, Y. Effect of Dietary Lipid Levels on Growth Performance, Body Composition, and Feed Utilization of Juvenile Spotted Knifejaw Oplegnathus punctatus. Aquac. Rep. 2021, 21, 100797. [Google Scholar] [CrossRef]
- Navarro-Barrón, E.; Hernández, C.; Llera-Herrera, R.; García-Gasca, A.; Gómez-Gil, B. Overfeeding a High-Fat Diet Promotes Sex-Specific Alterations on the Gut Microbiota of the Zebrafish (Danio rerio). Zebrafish 2019, 16, 268–279. [Google Scholar] [CrossRef]
- Zhao, W.; Yao, R.; Wei, H.-L.; Guo, Y.C.; Chen, A.Q.; Chen, B.Y.; Jin-Niu. Astaxanthin, Bile Acid and Chlorogenic Acid Attenuated the Negative Effects of High-Fat Diet on the Growth, Lipid Deposition, and Liver Health of Oncorhynchus mykiss. Aquaculture 2023, 567, 739255. [Google Scholar] [CrossRef]
- Liang, C.; Jiao, L.; Zhou, Q. Effects of Choline on the Growth Performance, Antioxidant Function and Lipid Metabolism in Juvenile Largemouth Bass Fed with High-Fat Diet. Aquac. Rep. 2023, 30, 101605. [Google Scholar] [CrossRef]
- Lu, K.L.; Xu, W.N.; Liu, W.B.; Wang, L.N.; Zhang, C.N.; Li, X.F. Association of Mitochondrial Dysfunction with Oxidative Stress and Immune Suppression in Blunt Snout Bream Megalobrama amblycephala Fed a High-Fat Diet. J. Aquat. Anim. Health 2014, 26, 100–112. [Google Scholar] [CrossRef]
- Li, J.M.; Zhang, Z.; Kong, A.; Lai, W.; Xu, W.; Cao, X.; Zhao, M.; Li, J.; Shentu, J.; Guo, X.; et al. Dietary L-Carnitine Regulates Liver Lipid Metabolism via Simultaneously Activating Fatty Acid β-Oxidation and Suppressing Endoplasmic Reticulum Stress in Large Yellow Croaker Fed with High-Fat Diets. Br. J. Nutr. 2023, 129, 29–40. [Google Scholar] [CrossRef] [PubMed]
- Li, C.; Liu, P.; Ji, H.; Huang, J.; Zhang, W. Dietary N-3 Highly Unsaturated Fatty Acids Affect the Biological and Serum Biochemical Parameters, Tissue Fatty Acid Profile, Antioxidation Status and Expression of Lipid-Metabolism-Related Genes in Grass Carp, Ctenopharyngodon idellus. Aquac. Nutr. 2015, 21, 373–383. [Google Scholar] [CrossRef]
- Lei, C.X.; Tian, J.J.; Ji, H.; Chen, L.Q.; Du, Z.Y. Dietary α-Linolenic Acid Affects Lipid Metabolism and Tissue Fatty Acid Profile and Induces Apoptosis in Intraperitoneal Adipose Tissue of Juvenile Grass Carp (Ctenopharyngodon idella). Aquac. Nutr. 2017, 23, 160–170. [Google Scholar] [CrossRef]
- Zou, Q.; Yang, Y.; Wei, B.H.; Yu, D.; Chen, L.; Zhou, T.; Huang, F.; Dong, G.F. Effects of Dietary Conjugated Linoleic Acid on Growth Performance, Tissue Adipocytokine Levels and Lipid Metabolism of Grass Carp. Aquac. Nutr. 2018, 24, 1752–1768. [Google Scholar] [CrossRef]
- Xie, D.; Chen, C.; Dong, Y.; You, C.; Wang, S.; Monroig, Ó.; Tocher, D.R.; Li, Y. Regulation of Long-Chain Polyunsaturated Fatty Acid Biosynthesis in Teleost Fish. Prog. Lipid Res. 2021, 82, 101095. [Google Scholar] [CrossRef] [PubMed]
- Harayama, T.; Shimizu, T. Roles of Polyunsaturated Fatty Acids, from Mediators to Membranes. J. Lipid Res. 2020, 61, 1150–1160. [Google Scholar] [CrossRef]
- Chen, L.; Yang, T.X.; Wei, A.Z.; Feng, S.J.; Liu, Y.H. Research Progress on Chinese Prickly Ash. China Condiment 2016, 41, 149–156. [Google Scholar]
- Tian, J.; Yang, K.; Chen, H.; Ji, H.; Li, J.; Nie, W.; Zhou, J. Effect of Dietary Prickly Ash (Zanthoxylum bungeanum) Seeds (PAS) on Growth, Body Composition, and Health of Juvenile Jian Carp (Cyprinus carpio Var. Jian). Aquacult. Int. 2017, 25, 107–120. [Google Scholar] [CrossRef]
- Xue, T.; Huang, J.R.; Li, H.L. Research Progress on Domestic and Foreign Pepper By-products. China Condiment 2013, 38, 106–110. [Google Scholar]
- Feng, S.; Yang, T.; Li, X.; Chen, L.; Liu, Z.; Wei, A. Genetic Relationships of Chinese Prickly Ash as Revealed by ISSR Markers. Biologia 2015, 70, 45–51. [Google Scholar] [CrossRef]
- Wei, Q.M.; Chen, C.; Tan, Y.H.; Mo, G.X.; Liang, X.J.; Lin, M.Y.; Huang, S.Y. Effect of the kernel of zanthoxylum seed oil on atherosclerosis in rats. Pract. Pharm. Clin. Remedies 2017, 20, 9–11. [Google Scholar] [CrossRef]
- Liu, Y.Y.; Wang, D.N.; Liu, Y.S.; Yang, Y.; Zhao, Y.W.; Wang, Z.L.; Yang, J.Q. Preventive and therapeutical effect of the kernel of zanthoxylum seed oil on experimental hyperlipidemia in rats. J. Air Force Med. Univ. 2007, 411–413. [Google Scholar]
- Xia, L.; You, J.; Li, G.; Sun, Z.; Suo, Y. Compositional and Antioxidant Activity Analysis of Zanthoxylum bungeanum Seed Oil Obtained by Supercritical CO2 Fluid Extraction. J. Am. Oil Chem. Soc. 2011, 88, 23–32. [Google Scholar] [CrossRef]
- Xie, C.; Jiale, L.J.; Li, D.; Shen, Y.; Gao, Y.; Zhang, Z. Grass Carp: The Fish That Feeds Half of China: Success Stories and Modern Trends. In Aquaculture in China: Success Stories and Modern Trends; Wiley-Blackwell: Hoboken, NJ, USA, 2018; pp. 93–115. ISBN 978-1-119-12074-2. [Google Scholar]
- Du, Z.Y.; Clouet, P.; Zheng, W.H.; Degrace, P.; Tian, L.X.; Liu, Y.J. Biochemical Hepatic Alterations and Body Lipid Composition in the Herbivorous Grass Carp (Ctenopharyngodon idella) Fed High-Fat Diets. Br. J. Nutr. 2006, 95, 905–915. [Google Scholar] [CrossRef]
- Du, Z.Y.; Clouet, P.; Degrace, P.; Zheng, W.H.; Frøyland, L.; Tian, L.X.; Liu, Y.J. Hypolipidaemic Effects of Fenofibrate and Fasting in the Herbivorous Grass Carp (Ctenopharyngodon idella) Fed a High-Fat Diet. Br. J. Nutr. 2008, 100, 1200–1212. [Google Scholar] [CrossRef]
- Wang, J.; Lu, R.; Sun, J.; Xie, D.; Yang, F.; Nie, G. Differential Expression of Lipid Metabolism-Related Genes and miRNAs in Ctenopharyngodon idella Liver in Relation to Fatty Liver Induced by High Non-Protein Energy Diets. Aquac. Res. 2017, 48, 4070–4085. [Google Scholar] [CrossRef]
- Xie, N.; Wen, H.; Xie, S.; Jiang, M.; Yu, L.; Wu, F.; Lu, X.; Meng, X.; Tian, J. Adaptations of Hepatic Lipid and Glucose Metabolism in Response to High-Macronutrient Diets in Juvenile Grass Carp. Aquac. Nutr. 2021, 27, 1738–1749. [Google Scholar] [CrossRef]
- Lei, C.; Ji, H.; Zhang, J.; Li, J. Effects of Dietary DHA/EPA Ratios on Fatty Acid Composition, Lipid Metabolism-Related Enzyme Activity, and Gene Expression of Juvenile Grass Carp, Ctenopharyngodon idellus. J. World Aquac. Soc. 2016, 47, 287–296. [Google Scholar] [CrossRef]
- Xing, J.; Xiao, F.; Luo, X.; Sun, J.; Li, H.; Yuan, X.; Ji, H. Effect of Dietary Schizochytrium Sp. Oil as an n-3 Long-Chain Polyunsaturated Fatty Acid Source on Growth Performance, Lipid Metabolism and Antioxidant Status in Juvenile Grass Carp (Ctenopharyngodon idellus): A Comparative Study with Fish Oil. Aquac. Res. 2020, 51, 4551–4564. [Google Scholar] [CrossRef]
- Association of Official Analytical Chemists (AOAC). Official Methods of Analysis of the Association of Official Analytical Chemists, 17th ed.; AOAC: Arlington, TX, USA, 2003. [Google Scholar]
- Tian, J.J.; Lei, C.X.; Ji, H. Influence of Dietary Linoleic Acid (18:2n-6) and α-Linolenic Acid (18:3n-3) Ratio on Fatty Acid Composition of Different Tissues in Freshwater Fish Songpu Mirror Carp, Cyprinus carpio. Aquac. Res. 2016, 47, 3811–3825. [Google Scholar] [CrossRef]
- Huang, C.; Sun, J.; Ji, H.; Oku, H.; Chang, Z.; Tian, J.; Yu, E.; Xie, J. Influence of Dietary Alpha-Lipoic Acid and Lipid Level on the Growth Performance, Food Intake and Gene Expression of Peripheral Appetite Regulating Factors in Juvenile Grass Carp (Ctenopharyngodon idellus). Aquaculture 2019, 505, 412–422. [Google Scholar] [CrossRef]
- Wang, J.T.; Liu, Y.J.; Tian, L.X.; Mai, K.S.; Du, Z.Y.; Wang, Y.; Yang, H.J. Effect of Dietary Lipid Level on Growth Performance, Lipid Deposition, Hepatic Lipogenesis in Juvenile Cobia (Rachycentron canadum). Aquaculture 2005, 249, 439–447. [Google Scholar] [CrossRef]
- Man, M.S.; Sui, Z.M.; Zhou, H.H.; Wang, X.; Xu, W.; Mai, K.S.; He, G. Effects of Dietary Lipid Level and Lipid Source on the Growth and Metabolism of Juvenile Turbot (Scophthalmus maximus L.). Period. Ocean Univ. China 2020, 50, 26–36. [Google Scholar] [CrossRef]
- Yang, L.; Liu, M.; Zhao, M.; Zhi, S.; Zhang, W.; Qu, L.; Xiong, J.; Yan, X.; Qin, C.; Nie, G.; et al. Dietary Bile Acid Supplementation Could Regulate the Glucose, Lipid Metabolism, and Microbiota of Common Carp (Cyprinus carpio L.) Fed with a High-Lipid Diet. Aquac. Nutr. 2023, 2023, e9953927. [Google Scholar] [CrossRef] [PubMed]
- Cao, X.F.; Dai, Y.J.; Liu, M.Y.; Yuan, X.Y.; Wang, C.C.; Huang, Y.Y.; Liu, W.B.; Jiang, G.Z. High-Fat Diet Induces Aberrant Hepatic Lipid Secretion in Blunt Snout Bream by Activating Endoplasmic Reticulum Stress-Associated IRE1/XBP1 Pathway. Biochim. Biophys. Acta Mol. Cell Biol. Lipids 2019, 1864, 213–223. [Google Scholar] [CrossRef]
- Lu, K.L.; Xu, W.N.; Li, X.F.; Liu, W.B.; Wang, L.N.; Zhang, C.N. Hepatic Triacylglycerol Secretion, Lipid Transport and Tissue Lipid Uptake in Blunt Snout Bream (Megalobrama amblycephala) Fed High-Fat Diet. Aquaculture 2013, 408–409, 160–168. [Google Scholar] [CrossRef]
- Tao, Y.F.; Qiang, J.; Bao, J.W.; Chen, D.J.; Yin, G.J.; Xu, P.; Zhu, H.J. Changes in Physiological Parameters, Lipid Metabolism, and Expression of MicroRNAs in Genetically Improved Farmed Tilapia (Oreochromis niloticus) with Fatty Liver Induced by a High-Fat Diet. Front. Physiol. 2018, 9, 1521. [Google Scholar] [CrossRef]
- Yang, L.; Zhao, M.; Liu, M.; Zhang, W.; Zhi, S.; Qu, L.; Xiong, J.; Wang, L.; Qin, C.; Nie, G. Effects of Genistein on Lipid Metabolism, Antioxidant Activity, and Immunity of Common Carp (Cyprinus carpio L.) Fed with High-Carbohydrate and High-Fat Diets. Aquac. Nutr. 2023, 2023, 9555855. [Google Scholar] [CrossRef] [PubMed]
- Xie, D.; Yang, L.; Yu, R.; Chen, F.; Lu, R.; Qin, C.; Nie, G. Effects of Dietary Carbohydrate and Lipid Levels on Growth and Hepatic Lipid Deposition of Juvenile Tilapia, Oreochromis niloticus. Aquaculture 2017, 479, 696–703. [Google Scholar] [CrossRef]
- Tang, T.; Hu, Y.; Peng, M.; Chu, W.; Hu, Y.; Zhong, L. Effects of High-Fat Diet on Growth Performance, Lipid Accumulation and Lipid Metabolism-Related MicroRNA/Gene Expression in the Liver of Grass Carp (Ctenopharyngodon idella). Comp. Biochem. Physiol. Part B Biochem. Mol. Biol. 2019, 234, 34–40. [Google Scholar] [CrossRef] [PubMed]
- Yuan, X.; Liang, X.F.; Liu, L.; Fang, J.; Li, J.; Li, A.; Cai, W.; Xue, M.; Wang, J.; Wang, Q. Fat Deposition Pattern and Mechanism in Response to Dietary Lipid Levels in Grass Carp, Ctenopharyngodon idellus. Fish Physiol. Biochem. 2016, 42, 1557–1569. [Google Scholar] [CrossRef] [PubMed]
- Wang, X.; Li, Q.; Wang, J.; Li, E.; Qin, J.G.; Chen, L. Effects of Dietary Alpha-Linolenic Acids on Growth Performance, Lipid Metabolism and Antioxidant Responses of Juvenile Russian Sturgeon Acipenser gueldenstaedtii. Aquac. Nutr. 2019, 25, 184–193. [Google Scholar] [CrossRef]
- Chen, C.; Sun, B.; Li, X.; Li, P.; Guan, W.; Bi, Y.; Pan, Q. N-3 Essential Fatty Acids in Nile Tilapia, Oreochromis niloticus: Quantification of Optimum Requirement of Dietary Linolenic Acid in Juvenile Fish. Aquaculture 2013, 416–417, 99–104. [Google Scholar] [CrossRef]
- Kloska, A.; Węsierska, M.; Malinowska, M.; Gabig-Cimińska, M.; Jakóbkiewicz-Banecka, J. Lipophagy and Lipolysis Status in Lipid Storage and Lipid Metabolism Diseases. Int. J. Mol. Sci. 2020, 21, 6113. [Google Scholar] [CrossRef] [PubMed]
- Shimano, H. Sterol Regulatory Element-Binding Proteins (SREBPs): Transcriptional Regulators of Lipid Synthetic Genes. Prog. Lipid Res. 2001, 40, 439–452. [Google Scholar] [CrossRef] [PubMed]
- Xu, Y.H.; Tan, X.Y.; Xu, Y.C.; Zhao, T.; Zhang, L.H.; Luo, Z. Novel Insights for SREBP-1 as a Key Transcription Factor in Regulating Lipogenesis in a Freshwater Teleost, Grass Carp Ctenopharyngodon idella. Br. J. Nutr. 2019, 122, 1201–1211. [Google Scholar] [CrossRef] [PubMed]
- Houten, S.M.; Violante, S.; Ventura, F.V.; Wanders, R.J.A. The Biochemistry and Physiology of Mitochondrial Fatty Acid β-Oxidation and Its Genetic Disorders. Annu. Rev. Physiol. 2016, 78, 23–44. [Google Scholar] [CrossRef]
- Yuan, Q.; Xie, F.; Huang, W.; Hu, M.; Yan, Q.; Chen, Z.; Zheng, Y.; Liu, L. The Review of Alpha-Linolenic Acid: Sources, Metabolism, and Pharmacology. Phytother. Res. 2022, 36, 164–188. [Google Scholar] [CrossRef] [PubMed]
- Urrutia, O.; Mendizabal, J.A.; Alfonso, L.; Soret, B.; Insausti, K.; Arana, A. Adipose Tissue Modification through Feeding Strategies and Their Implication on Adipogenesis and Adipose Tissue Metabolism in Ruminants. Int. J. Mol. Sci. 2020, 21, 3183. [Google Scholar] [CrossRef] [PubMed]
- Luo, N.; Ding, Z.L.; Kong, Y.Q.; Zhang, R.F.; Zhang, Y.X.; Wu, C.L.; Jiang, Z.Q.; Ye, J.Y. An Evaluation of Increasing Linolenic Acid Level in the Diet of Macrobrachium nipponense: Lipid Deposition, Fatty Acid Composition and Expression of Lipid Metabolism-Related Genes. Aquac. Nutr. 2018, 24, 758–767. [Google Scholar] [CrossRef]
- Ebrahimi, M.; Rajion, M.A.; Meng, G.Y.; Farjam, A.S.; Oskoueian, E.; Jafari, S. Diet High in α-Linolenic Acid Up-Regulate PPAR-α Gene Expression in the Liver of Goats. Electron. J. Biotechnol. 2015, 18, 210–214. [Google Scholar] [CrossRef]
- Xiao, F.; Xing, J.; Li, H.; Xu, X.; Hu, Z.; Ji, H. Effects of the Defatted Schizochytrium Sp. on Growth Performance, Fatty Acid Composition, Histomorphology and Antioxidant Status of Juvenile Mirror Carp (Cyprinus carpio Var. specularis). Aquac. Res. 2021, 52, 3062–3076. [Google Scholar] [CrossRef]
- Jiang, Y.; Hu, Y.; Xu, W.; Luo, H.; Chen, J.; Tao, B.; Luo, D.; Han, D.; Zhu, X.; Xie, S.; et al. Effects of Dietary Arachidonic Acid on Growth, Gonadal Development, and Tissue Fatty Acid Composition in the Hermaphroditic Swamp Eel (Monopterus albus). Aquac. Rep. 2023, 33, 101791. [Google Scholar] [CrossRef]
- Gou, N.; Chang, Z.; Deng, W.; Ji, H.; Zhou, J. Effects of Dietary Lipid Levels on Growth, Fatty Acid Composition, Antioxidant Status and Lipid Metabolism in Juvenile Onychostoma macrolepis. Aquac. Res. 2019, 50, 3369–3381. [Google Scholar] [CrossRef]
- Chilton, F.H.; Dutta, R.; Reynolds, L.M.; Sergeant, S.; Mathias, R.A.; Seeds, M.C. Precision Nutrition and Omega-3 Polyunsaturated Fatty Acids: A Case for Personalized Supplementation Approaches for the Prevention and Management of Human Diseases. Nutrients 2017, 9, 1165. [Google Scholar] [CrossRef] [PubMed]
- Marrero, M.; Monroig, Ó.; Navarro, J.C.; Ribes-Navarro, A.; Pérez, J.A.; Galindo, A.; Rodríguez, C. Metabolic and Molecular Evidence for Long-Chain PUFA Biosynthesis Capacity in the Grass Carp Ctenopharyngodon idella. Comp. Biochem. Physiol. Part A Mol. Integr. Physiol. 2022, 270, 111232. [Google Scholar] [CrossRef] [PubMed]
- Xie, D.; Ye, J.; Lu, M.; Wang, S.; You, C.; Li, Y. Comparsion of Activities of Fatty Acyl Desaturases and Elongases Among Six Teleosts with Different Feeding and Ecological Habits. Front. Mar. Sci. 2020, 7, 117. [Google Scholar] [CrossRef]
Disclaimer/Publisher’s Note: The statements, opinions and data contained in all publications are solely those of the individual author(s) and contributor(s) and not of MDPI and/or the editor(s). MDPI and/or the editor(s) disclaim responsibility for any injury to people or property resulting from any ideas, methods, instructions or products referred to in the content. |
© 2024 by the authors. Licensee MDPI, Basel, Switzerland. This article is an open access article distributed under the terms and conditions of the Creative Commons Attribution (CC BY) license (https://creativecommons.org/licenses/by/4.0/).



