Abstract
The southern red snapper, Lutjanus purpureus, is one of the primary fishery resources of the Amazon continental shelf. Due to the demand for specimens of less than 900 g in weight, increased fishing effort focusing on this size class has led to a drastic decrease in catches. The present study was based on the analysis of cellular structures in the female gonads (formation of oocytes and other reproductive tissues) to identify reproductive processes and evaluate the effectiveness of current fishery management practices. The presence of postovulatory follicles (POFs) peaked in April, which was interpreted as a period of intense spawning. In addition to POFs, hydrated oocytes peaked in July, indicating either reproductive continuity or a second peak, based on the presence of atretic oocytes and atresia. Given that the local snapper fishery preferentially targets very young individuals, an extension of the closed season from March to July would be recommendable to guarantee the reproductive potential of the spawning stock.
Keywords:
oocyte development; POF; Lutjanidae; Brazilian north coast; Amazon; sustainability development objective of the United Nations—SDO#14 Key Contribution:
Reproductive biology and spawning period of the red snapper on the Amazon continental shelf.
1. Introduction
Since the 1960s, stocks of the southern red snapper, Lutjanus purpureus (Lutjanidae), have been exploited intensively on Brazil’s northern continental shelf, using the two principal fishing systems of vertical lines and “manzuá” traps [1,2]. Despite this long history of exploitation, the social, ecological, and economic aspects of this fishery are still poorly understood.
Three quarters (75%) of this L. purpureus catch is destined for export, with the remaining 25% of the fish being channeled to the domestic market [2]. In Brazil, these snappers are sold in fish markets and stores, sometimes in the form of fillets [2,3,4]. Because this species commands a high price as an export commodity, catches are often underreported, and monitoring is unreliable, resulting in a mismatch between the few available catch statistics and the volume reported by the Brazilian foreign trade control system SISCOMEX [2,3,5].
Export-size specimens, which typically weigh less than 900 g, are juveniles, and are usually caught over gravel beds or rhodolite reefs [3,6,7]. This preference for smaller individuals, together with the high price of the fish, drives local interest in participation in the local snapper fishery, and it has been estimated that the number of clandestine vessels operating in the region is even larger than that of the licensed ones [3]. This demand appears to be driving growth overfishing, which occurs when large quantities of individuals smaller than the size of first sexual maturity are harvested, as shown by data collected from the fishing ports at which the catches are landed [8,9,10,11].
The traditional practice of exporting smaller specimens has stimulated research into the reproductive strategies of the species, which provide some data for the calculation of estimates of recruitment rates. Given this, the classic management measures based on a minimum capture size determined by the size at first sexual maturity, the regulation of net mesh sizes, and the establishment of official fishing seasons or no-go areas have been replaced or complemented by more dynamic strategies, based on ultrastructures, such as cellular and DNA analyses [3,12,13,14].
The traditional hypotheses on the possible reproductive migratory patterns of L. purpureus were refuted by Freire [3], who proved that the species engages in reproductive aggregations typical of snappers (family Lutjanidae), in the region of the newly discovered Amazon reef system [7]. Since this system was identified, the assessment of the impacts generated by local fisheries has become an urgent priority [2].
The southern red snapper has external fertilization, with spawning occurring continuously throughout the year, but with two principal peaks as follows: one of greater intensity during the first quarter and a secondary peak in October [13,15,16]. Freire [3] recently confirmed that the spawning peak of L. purpureus occurs between January and March, which coincides with the period of maximum discharge of the Amazon River.
The first sexual maturation (L50) of L. purpureus has been estimated at a female total length of between 39 cm and 46 cm [13,14]. However, the most recent study [3] has estimated a furcal length of 32.1 cm.
A number of methods have been developed in recent years for the analysis of reproductive patterns, although the assessment of the phases of oocyte development, and the association of these phases with specific periods and environmental parameters provide fundamental insights for the conservation and management of fish stocks [17,18]. One important stage of oocyte development is the follicular body or postovulatory follicle (POF) of the follicular cells that arise from the empty follicles following spawning. The identification of POFs is fundamental to confirm the effective periods of spawning, which is essential for the effective management of commercial fisheries, especially in the case of high-value species, such as L. purpureus [2].
The characteristics of the POF and the timing of its degeneration phases have been analyzed in a number of different aquatic organisms [19,20,21,22,23,24,25,26,27,28,29], reinforcing the importance of understanding this cell phase to ensure the accurate delimitation of the spawning period. Given the lack of studies that have focused on the reproductive patterns of L. purpureus, and the urgent need for effective management measures for the stocks of this species, especially considering the commercial focus on the smaller individuals, the present study provides new insights into its reproductive parameters. This study is based on recent biological data, which indicate certain shifts in these characteristics, in comparison with previous studies.
The present study identified the reproductive period of L. purpureus based on the microscopic analysis of the principal cell structures involved in the spawning process, which are as follows: hydrated oocytes (HOs), which indicate imminent spawning; postovulatory follicles (POFs), present following recent spawning; atretic oocytes (ATPs), which arise late in the spawning process, and at the onset of the regenerative process; and atresia (ATY), which denotes total regression following the spawning process.
The chronology of the involution of the gonads of L. purpureus was compiled to provide diagnostic tools that can be used as management parameters. The identification of POFs appears to be an effective strategy for the delimitation of the reproductive period, especially in the case of a vulnerable species under intense fishing pressure [23,24,30].
2. Materials and Methods
2.1. Study Area
The specimens analyzed here were collected by the commercial fishing fleet operating on the Amazon continental shelf (Figure 1), an area that stretches along the coast of northern Brazil, between Cabo Orange, in the state of Amapá (51° W), and São Marcos Bay, in the state of Maranhão (46° W). This area is dominated by sedimentary sand banks with gravel [31], which are deposited by the Amazon River, which forms a massive freshwater plume that extends far out into the tropical North Atlantic, with its size varying seasonally in accordance with regional rainfall patterns and the discharge of the Amazon [32].
Figure 1.
Fishing grounds of the southern red snapper (Lutjanus purpureus) on the Amazon continental shelf. The area is distributed off the coasts of the Brazilian states of Amapá (AP), Pará (PA), and Maranhão (MA). Adapted from [7].
A large coral reef area of approximately 56,000 km2 has recently been identified on the Amazon continental shelf [7,33]. This reef system has unique characteristics that make it a hotspot for many endemic species [33]. A number of commercial fisheries focus on this area, including that of spiny lobsters and southern red snapper [7].
2.2. Collection and Laboratory Screening of the Biological Samples
Samples were collected between May 2016 and February 2018, through the Northern Fishing Improvement Project (FIP), with the snappers being obtained from the local Lutjanus fishery during the fishing season established by Brazilian Normative Instruction number 42 of 27 July 2018, which runs from 1 May to 15 December. In the laboratory, the specimens were identified using taxonomic keys [34,35,36] and their sex was determined. Their total length (TL) in centimeters was then measured from the anterior extremity of the snout to the end of the upper lobe of the caudal fin, and they were weighed to determine their wet weight (W) in grams.
After this initial processing, the gonads were extracted and examined macroscopically to determine their maturation stage, based on the scale proposed by Alves [37], with some modifications, and the nomenclature proposed by Brown-Peterson et al. [26]. Each specimen was thus assigned to one of three (in the males) or four (females) classes as follows: IMM (immature), DEV (developing, not applied to the males), SPW (spawning capable), or REG (regressing or regenerating).
2.3. Histology and Reproductive Indicators
The gonads were fixed in Bouin solution (15 parts of picric acid, 5 parts of formaldehyde, and 1 part of acetic acid) and once fixed, the organs were inserted into histological cassettes for the preparation of slides following the standard protocol for the extraction of histological sections developed by Vazzoler [38]. One histological slide with two sections was prepared for each gonad, which were first examined to identify, count, and measure the structures indicative of spawning, i.e., hydrated oocytes (HOs), postovulatory follicles (POFs), atretic oocytes (ATPs), and evidence of atresia in the muscle bundle (ATY) (Figure 2). Histological description and classification of the developmental stages followed the standard terminology (Table 1) [26,39,40]. In addition to the quantitative description of cell types, the area of the POFs identified in the slides was calculated in micrometers (µ) using the Zen 3.4 Blue edition software, linked to a Zeiss Axio Scope A1 microscope [23].
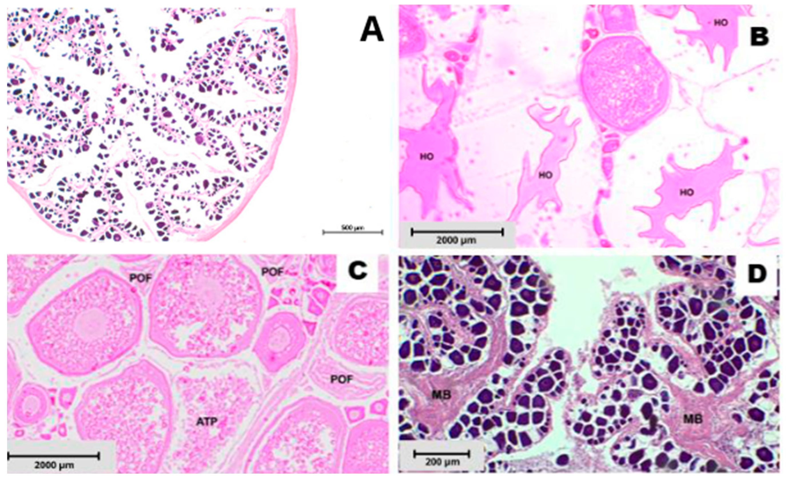
Figure 2.
Histological sections showing the oocyte development stages of the Lutjanus purpureus specimens obtained from the Amazon continental shelf between 2016 and 2017. (A) immature ovary, (B) actively spawning ovary in the spawning capable substage (HO = hydrated oocyte); (C) recently spawned ovary (POF = postovulatory follicle, ATP = atretic oocyte, indicating cell death); (D) ovaries in the regression stage, with thickened muscle bundles (MB), thickened and irregular ovarian walls, and atresia (which differs from the immature stage).
Table 1.
Terminology used for the histological stages of the gonads of L. purpureus, following Brown- Peterson et al. (2011) [26]. PG = primary growth; CA = cortical alveoli; Vtg1 = primary vitellogenic; Vtg2 = secondary vitellogenic; Vtg3 = tertiary vitellogenic; MO = maturing oocyte; GVM = germinal vesicle migration; GVBD = germinal vesicle breakdown.
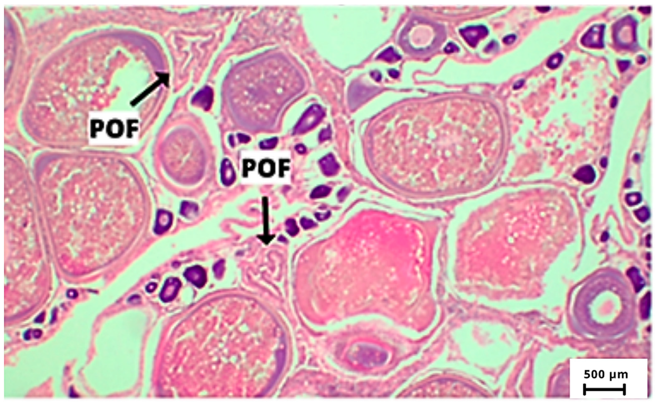
The POF is the remnant membrane of the oocyte that persists after spawning, which is an important indicator of the spawning period, and provides a measure of the age of the follicles, based on the degree of degeneration of this structure, which lasts 24 h, on average. During this period, it changes shape as it shifts from spawning to the total degeneration of the follicle [19,20,21,22]. The phases of this degeneration are classified as recent, intermediate, and old (Table 2; Figure 3).
Table 2.
Stages in the degeneration of the postovulatory follicle and their duration. Adapted from [19,20,21,22].
Figure 3.
Postovulatory follicles (POFs) in the intermediate degeneration phase (2), indicating that spawning took place approximately 12 h ago.
2.4. Data Analysis
The variation in the number of cells of each type, as well as the area of the POF, was evaluated among months and specimen size classes using the median tests of Scheirer–Ray–Hare [41] and the Kruskal–Wallis test, considering α = 0.05 in both cases. A redundancy analysis (RDA), a direct linear ordering method, was also applied. This method does not need to satisfy the assumptions of variance analyses, given that the permutations are run directly on the data. In this approach, the response variables are projected onto a system of axes, in which axis 1 explains a given percentage of the variability in the data set, axis 2 explains the next smallest percentage, and so on, to determine any potential relationships between the two sets of data.
Separate matrices were constructed for each dependent variable, in which each row was a sample with the number of each cell type per specimen. These matrices were then related to a second, “treatment” matrix, in which the independent variables (months, years, and length and weight classes) were added one by one. For this analysis, the length classes were TL1 = 27–35 cm, TL2 = 35.1–40 cm, TL3 = 40.1–45 cm, and TL4 = 45.1–50 cm, and the weight classes were W1 < 200 g, W2 = 201–500 g, W3 = 501–800 g, W4 = 801–1000 g, and W5 > 1000 g. Following the RDA, the Monte Carlo test was run with 9999 permutations to assess the robustness (significance) of the results.
The analyses were run in the Vegan package [42,43,44] of the R Studio® software version 4.0.3 (R Development Core Team, 2020) and CANOCO 7.0 (Software for Canonical Community Ordination; Copyright Petr Šmilauer © 2012–2021).
3. Results
A total of 120 female L. purpureus were analyzed in the present study. These individuals had a mean total length of 41.5 ± 4.74 cm (Table 2). All the reproductive cell types were identified in the female specimens analyzed, with peaks of HO in July and November, which were not significant (F = 0.84, p > 0.05), and POFs, in April (F = 2.57 p > 0.05). Atretic oocytes and atresia of the regressed individuals were found in larger quantities in August and September (F = 0.19, p > 0.05) (Figure 4 and Table 3).
Figure 4.
Monthly variation in the relative frequency of the different types of cell that are indicative of spawning in the Lutjanus purpureus specimens obtained from the Amazon continental shelf in 2016 and 2017. HO = hydrated oocyte (pink); POF = postovulatory follicle (blue); ATP = atretic oocyte (black), and ATY = tissue in atresia (yellow).
Table 3.
Number of Lutjanus purpureus samples analyzed per month by length class between 2016 and 2017.
The frequency of the different cell types did not vary significantly (F = 0.14; p > 0.05) among the body length classes (Table 4), although the frequency POFs did tend to decrease with increasing body length, as shown in particular in the 43.1–50 cm TL class (Figure 5, Figure 6 and Figure 7).
Table 4.
Results of the Kruskal–Wallis and Scheirer–Ray–Hare tests for the number of reproductive cells (HO = hydrated oocyte, POF = postovulatory follicle, ATP = atretic oocyte, and ATY = tissue in Atresia) per total length class (TLC) of the Lutjanus purpureus specimens obtained from the Amazon continental shelf between April and November in 2016 and 2017. DF = degrees of freedom; SQ = sum of squares. The dashed lines indicate insufficient data for the statistical analysis. Significant p values are highlighted in bold type.
Figure 5.
Ordination plot of the cell types indicative of spawning (HO = hydrated oocyte, POF = postovulatory follicle, AtP = Atretic oocyte, and Aty = presence of atresia) and the weight (W in grams) and total length (TL in cm) classes resulting from the redundancy analysis (RDA) of Lutjanus purpureus specimens obtained from the Amazon continental shelf in relation to the months of April through November in 2016 and 2017. W1 < 200 g; W2 = 201–500 g; W3 = 501–800 g; W4 = 801–1000 g; W5 > 1000 g; TL1 < 27 cm; TL2 = 28–35 cm; TL3 = 35.1–40 cm; TL4 = 40.1–45 cm, TL5 = 45.1–50 cm.
Figure 6.
Ordination plot of the spawning cell types (OH, POF, AtP, and Aty) and the weight (W) and total length (TL) classes resulting from the redundancy analysis (RDA) of the Lutjanus purpureus specimens obtained from the Amazon continental shelf in 2016 and 2017. W1 < 200 g; W2 = 201–500 g; W3 = 501–800 g; W4 = 801–1000 g; W5 > 1000 g; TL1 < 27 cm; TL2 = 28–35 cm; TL3 = 35.1–40 cm; TL4 = 40.1–45 cm, TL5 = 45.1–50 cm. HO = hydrated oocyte, ATY = atresia, ATP = atretic oocyte, POF = postovulatory follicle.
Figure 7.
Relative frequency (y axis) of the spawning cell types (HO = hydrated oocyte, POF = postovulatory follicle, ATP = atretic oocyte, and ATY = presence of atresia) and the area of the POFs (z axis—box plot of the mean, standard deviation, and maximum and minimum values) per total length class (x axis) of the Lutjanus purpureus specimens obtained from the Amazon continental shelf between 2016 and 2017.
All the independent variables together accounted for 97% of the variability in the data, and the RDA ordination plot indicated a high level of correlation between the POFs in April and the HO in July and September (Figure 5). The decomposition of the axes by the length and weight classes indicated a higher correlation of POF with the TL4 and W5 classes, and of HO with the TL2 and W2 and W3 classes, which denotes spawning from the TL2 class onward (Figure 5). A decreasing trend in the quantity and area of the POFs was observed from the 43.4–45.4 cm (TL3 and TL4) class onward, which correspond to snappers weighing more than 650 g (Figure 5).
The analysis of the histological sections revealed seven individuals with POFs, all of which were captured in April, which indicates that these individuals spawn during the closed season. All the POFs analyzed were in the intermediate phase (age 2).
4. Discussion
Fishing bans and minimum size limits for snapper catches have been implemented in Brazil since 1984 [45], albeit with little or no practical effect in terms of the maintenance of spawning stocks or the modification of the fisheries [46,47]. Since the mid-1960s, when snapper fisheries first became established on the Amazon continental shelf, L. purpureus has been targeted by regulations, in response to its high commercial value in comparison with the other local species, which induced an exponential growth in fishing effort and catches [1,48,49,50].
The current scenario of the L. purpureus stocks on the Amazon continental shelf reflects ineffective attempts at management (see Supplementary Material) derived from the unique characteristics of the region, the reduced potential for low enforcement, and the frequent opportunities for corrupt actions in the commercial exploitation of snapper stocks. This is not only a threat to the sustainability of these stocks, but also a potential generator of poverty in the region. The migration of the snapper fishing fleet from northeastern Brazil to the Amazon continental shelf has resulted in a major increase in the pressure on the L. purpureus stocks in this region [50].
Overall, projections for the snapper fisheries of northern Brazil envisage a gradual but short-term trend of collapse, reflecting a cyclical process given that, even if Lutjanus purpureus is listed as a vulnerable species [51], fishing effort is likely to remain intense, with a mean catch size (total length) of 28 cm [3,50] (Figure 7).
The confirmation of the occurrence of reproductive processes in L. purpureus during months outside the closed season is of critical importance for the understanding of the life history of the species and its potential adaptability to changes in environmental conditions [52,53,54,55]. Despite the limitations of the present study, which was restricted to the official fishing season, the identification of the reproductive continuity of L. purpureus was extremely important because it extends beyond the legally sanctioned closed season (December through April).
This emphasizes the need for the integration of alternative approaches for the more reliable assessment of the reproductive dynamics of snappers, given the imminent risk of the collapse of fisheries through the accumulation of both historic and more recent overfishing events in traditional fishing countries, such as China and Indonesia [56,57,58]. Better controls of the fleets, in particular clandestine operations, would be one potentially effective option, given the irresponsible behavior of these actors, despite legal restrictions, such as the tracking of boats larger than 15 m and annual licensing.
Energetic adjustments that optimize reproductive processes to ensure the continuity of a population appear to be relatively common biological phenomenon in species faced with intense pressure from fisheries. Recently, a mathematical model of productivity “enhancement” has been proposed, based on the predator (fishery)–prey relationship [59,60,61]. An additional factor is now climate change, which is especially relevant in the case of L. purpureus, which is associated with coral reefs, habitats known to be impacted profoundly by increasing temperatures [7,57].
Up until the early 2000s, the approach to the management of L. purpureus stocks were still based entirely on macroscopic analyses which, while practical, will tend to overlook ultrastructural processes, such as the continued appearance of POFs after the end of the closed season. Nuñez and Duponchelle [62] and, more recently, Brown-Peterson et al. [26] attempted to reduce the mismatch between the macro- and microscopic observation of the gonads by developing a new scale, which included histological data. Because the follicles are formed and then disappear within a period of around five days [23], a significant amount of spawning may still occur during the fishing season. In addition, the POFs have an even shorter cycle in tropical environments, and are thus even more difficult to detect when water temperatures exceed 27 °C [7,23].
The highest percentage of hydrated oocytes (HOs), which indicate imminent spawning, was recorded in July, in specimens in the 42 cm total length class, even though HOs are found in fish as small as 38 cm. In the present study, the POFs also decreased in size with increasing fish body length, which may reflect a reduction in the reproductive capacity of older individuals, as observed in other bony fish [63]. The shape of the POFs changes allometrically, given that the surface area of the POF along the lamellar epithelium decreases at a slower rate than the total area of the follicle. Over the course of its degeneration, then, the shape of the POF shifts from irregular to semiretangular and, finally, triangular, providing an additional morphological criterion for the determination of the stage of the POF [64].
In addition to the difficulties of detecting ultrastructures in tropical environments, multiple spawning patterns, which are common in L. purpureus [65], L. campechanus [66,67,68], Lutjanus synagris [69], Lutjanus peru [70], Lutjanus guttatus [71], and Lutjanus alexandrei [72], and include asynchronous oocyte development in the mature (SPW) females, indicate the production of multiple batches of eggs during the spawning period. Snappers typically spawn in reproductive aggregations, which can be monitored and mapped by divers or underwater camera systems, or through the analysis of the variation in catches. Fishing grounds with higher than average catches per unit effort (CPUEs) will likely represent the areas of reproductive aggregations, as observed in Lutjanus cyanopterus [73], Lutjanus cubera [74], Lutjanus jocu and L. synagris [75], and Lutjanus gibbus [76].
Extensive breeding periods are common in many tropical fish species [68,77,78,79,80,81] and the recognition of the spawning period as a critical moment in the life cycle of these species should be a fundamental consideration in the development of public fishery policies. In the present study, the identification of the POFs and HOs indicates the need for a reappraisal of current regulations, given that a reproductive peak was found in the month of July, in the middle of the official fishing season, threatening stock recruitment. The more effective monitoring and repression of illegal fishing should also be a priority, given that losses may be far greater than those estimated in the most recent estimates. In fact, Freire et al. [50] concluded that the available catch statistics are totally unrealistic, based on a comparison with the records of L. purpureus exports published on the official site siscomex.gov.br [5].
Because the present study recorded individuals that were able to reproduce below the L50 threshold established for the species, and during the official fishing season, it would be relevant to consider the implementation of new regulations to protect the breeding stock, such as the use of more selective fish traps. The fact that this study reconfirms Freire’s [3] findings on the L50 further reinforces the need to review the current measures used to limit pressures on L. purpureus stocks. The availability of updated data on reproductive rates is a major contribution to the control of impacts on fishery stocks.
In addition to the existing studies of snapper fisheries, interdisciplinary research will likely be important to protect stocks most effectively, including a focus on the social actors, and their motivations and internal factors that drive their fishing activities. One possibility here is the application of vulnerability indices, which can be used to assess the influence of the success of a local fishery, including the ecological, socioeconomic and socioecological vulnerability of a population [82].
In addition to biological research, such as that of the present study, there is a clear need for more detailed scientific studies of the Amazon reef, which is a highly sensitive and vulnerable environment, which is crucial to the stocks of many species, but is also affected by intense fishing activity [7,31]. Microscopic analyses aligned with the macroscopic assessment of the involution period of aquatic organisms are proving to be highly effective [26,78,83,84], although other aspects of the reproductive process also require attention, such as the larval life stage and the influence of the lunar phase on spawning patterns [85,86].
What is clear is that fishing is having damaging effects on the L. purpureus stocks of the Amazon continental shelf, reducing their potential for recruitment and, ultimately, their long-term survival [57,58]. Given this, in addition to the existing regulations and a potential extension of the closed season, the more effective control of logbooks and clandestine vessels is clearly needed. Because the snapper fishery is highly socially significant in the region, the vulnerability of this activity to illegal and unsustainable practices must also be carefully considered.
Better controls of the flow of raw materials in the fishing industry, associated with the more systematic use of logbooks, which are already required, may also limit the potential for unrealistic production records. This approach would be complemented by more detailed records of the size distribution of the catches landed at Amazonian ports. As well as identifying spawning grounds and controlling fishing activities, this approach would also help to reduce the damage caused to the species’ stocks.
Even so, further research, with more extensive sampling that also covers the closed season, will be needed to provide realistic estimates of current stocks. A more accurate definition of the spawning period will require the collection of samples throughout the year, including the closed season, in order to define the life cycle of the species more reliably [71,72,87]. In the meantime, more effective controls and monitoring of the industry, including fishing licenses and the establishment of quotas according to the capacity of each vessel, would contribute to the regulation of catches, given the current total lack of controls.
5. Conclusions
Spawning structures (POFs) were found in Lutjanus purpureus specimens in months outside the closed season, indicating that the species may be reproducing during the fishing season, when there are no controls on catches.
Supplementary Materials
The following supporting information can be downloaded at: https://www.mdpi.com/article/10.3390/fishes9040136/s1 Table S1: Brazilian regulations governing the Lutjanus purpureus fishery, in chronological order.
Author Contributions
Conceptualization, L.d.C.P. and B.B.; methodology, L.d.C.P. and B.P.F.; software, P.E.S.; validation, L.d.C.P. and B.B.; formal analysis, L.d.C.P. and U.P.; investigation, L.d.C.P.; resources, L.d.C.P.; data curation, L.d.C.P.; writing—original draft preparation, L.d.C.P.; writing—review and editing, L.d.C.P., B.B. and U.P.; visualization, L.d.C.P. and B.B.; supervision, B.B.; project administration, B.B.; funding acquisition, B.B. and B.P.F. All authors have read and agreed to the published version of the manuscript.
Funding
This research was funded by FIP (Fisheries Improvement Progress), CNPq, through the Repensapesca project (announcement number 22/2015—Process: 445806/2015-0—CNPq/SEAP—Theme 4—Demersal and Pelagic Fishery Resources of the Northern/Northeastern Coast).
Institutional Review Board Statement
The specimens used in this study were obtained through donations from the fishing industry of dead individuals. During the methodology applied, the authors carefully followed the recommendations of the Ethics Committee on the use of animals.
Data Availability Statement
The data analyzed during the study is not made available to the public, but can be made available to the corresponding author upon reasoned inquiry.
Acknowledgments
We thank the Brazilian Ministry of Fisheries and Aquaculture (MPA), COOMPESCAR—the industrial snapper processing sector in Bragança (Pará), NEAP/UFPA (UFPA Nucleus of Amazonian Aquatic Ecology and Fisheries), which all provided essential support for the realization of this study. We also thank the following people who helped us in collect and analyzed samples in Bragança and Tamandaré cities: Aline França, Julliany Lemos, Gabriela Samento, Ítalo Lutz, Diego Trindade, Viviane Santos, Niedja Mescouto, Ana Paula Leite, Maria Clara Pinheiro and Luana Gaia Rabelo.
Conflicts of Interest
The authors declare no conflicts of interest.
References
- Fonteles Filho, A.A. Estudo sobre a Biologia da Pesca do Pargo, Lutjanus purpureus Poey, no Nordeste Brasileiro: Dados de 1970 e 1971. 1972. Available online: http://www.periodicos.ufc.br/arquivosdecienciadomar/article/view/32520 (accessed on 3 April 2024).
- Bentes, B.; Aragão, J.A.N.; Freire, J.L.; Lutz, Í.A.F.; Sarmento, G.C.; Gomes, T. Documento Sobre a Situação Atual das Pescarias do Pargo na Região Norte do Brasil; UFPA: Bragança, Portugal, 2017; Available online: www.fisheryprogress.org (accessed on 3 February 2021).
- Freire, J.L. Pesca, Reprodução e Crescimento de Lutjanus purpureus (Lutjanidae—Perciformes) na Costa Amazônica do Brasil. Tese de Doutorado. Doctoral Thesis, Universidade Federal do ParáUFPA, Belém, Brazil, 2019; Programa pós graduação em ecologia aquática e pesca (PPGEAP). UFPA. 2019. Tese (Doutorado em ecologia aquática e pesca) (PPGEAP).
- Martins, T.S.; Silva, R.D.F.D.; Veneza, I.B.; Santana, P.D.C.P.; Correa, R.R.; Brígida, N.C.N.S.; Gomes, G.F.E. Diversidade e abundância dos peixes comercializados no nordeste paraense, Amazônia costeira: O caso da feira livre de Bragança-PA. 2021. [Google Scholar] [CrossRef]
- Ministério da Economia. Siscomex, Sistema de Comércio Exterior. Available online: https://portalunico.siscomex.gov.br/portal/ (accessed on 22 August 2022).
- Araujo, L.S.; Magdalena, U.R.; Louzada, T.S.; Salomon, P.S.; Moraes, F.C.; Ferreira, B.P.; Paes, E.T.C.; Bastos, A.C.; Pereira, R.C.; Salgado, L.T.; et al. Growing industrialisation and poor conservation planning challenge natural resources’ management in the Amazon Shelf off Brazil. Mar. Policy 2021, 128, 104465. [Google Scholar] [CrossRef]
- Moura, R.L.; Amado-Filho, G.M.; Moraes, F.C.; Brasileiro, P.S.; Mahiques, M.M.; Bastos, A.C.; Almeida, M.G.; Silvia, J.M.; Araújo, B.F.; Brito, F.P.; et al. An extensive reef system at the Amazon River mouth. Sci. Adv. 2016, 2, e1501252. [Google Scholar] [CrossRef] [PubMed]
- Castello, J.P. Gestão sustentável dos recursos pesqueiros, isto é realmente possível. Pan-Am. J. Aquat. Sci. 2007, 2, 47–52. [Google Scholar]
- Diekert, F.K. Growth overfishing: The race to fish extends to the dimension of size. Environ. Resour. Econ. 2012, 52, 549–572. [Google Scholar] [CrossRef]
- Petersen, C.G.J. What is overfishing? J. Mar. Biol. Assoc. U. K. 1903, 6, 587–594. [Google Scholar] [CrossRef]
- Tagliarolo, M.; Cope, J.; Blanchard, F. Stock assessment on fishery-dependent data: Effect of data quality and parametrisation for a red snapper fishery. Fish. Manag. Ecol. 2021, 28, 592–603. [Google Scholar] [CrossRef]
- Benevides, E.A. Diversidade Genética, Conectividade Populacional e a Conservação do Mero (Epinephelus itajara; Percifomes Epinephelidae) na costa Atlântica da América do Sul. Master’s Thesis, Universidade Federal de Pernambuco, Recife, Brazil, 2011. [Google Scholar]
- Gesteira, T.C.; Ivo, C.T. Estudo da Reprodução e Fecundidade do Pargo, Lutjanus purpureus Poey, do norte e nordeste do Brasil. 1973. Available online: www.repositorio.ufc.br (accessed on 19 November 2020).
- Souza, R.F.; Ivo, C.T.; Souza, R.A. Aspectos da Reprodução do pargo, Lutjanus purpureus POEY, 1875 na costa Norte do Brasil. Bol Téc Cient CEPNOR 2003, 3, 107–121. [Google Scholar]
- Almeida, N.U.M. Estudos Preliminares sobre a primeira maturação sexual, época de desova e “sex-ratio” do pargo (Lutjanus aya) na costa nordeste do Brasil. Trab. Inst. Ocean. Univ. De Recife 1964, 5, 1477-158. [Google Scholar]
- Rocha, C.A.; Ivo, C.T.; Lopes, J.A. Análise da distribuição do esforço de pesca nas áreas de captura de pargo, Lutjanus purpureus Poey, no Norte e Nordeste do Brasil. Arq. Ciências Mar 1982, 22, 73–81. [Google Scholar]
- Morgan, M.J. Integrating reproductive biology into scientific advice for fisheries management. J. Northwest Atl. Fish. Sci. 2008, 41, 37–51. [Google Scholar] [CrossRef]
- Sousa, A.F.R.; Santos, N.B.; Neta, R.N.F.C.; Almeida, Z.D.S. Aspectos Reprodutivos Do Peixe Lutjanus synagris (Perciformes, Lutjanidae) Capturado Na Costa Nordeste Do Brasil. Rev. Bras. Eng. Pesca 2017, 10, 106–120. [Google Scholar] [CrossRef]
- Costa, E.F.S.; Dias, J.F.; Murua, H. Diplectrum radiale (Quoy & Gaimard, 1824) (Serranidae): A rare case of simultaneous hermaphroditism in a teleost fish. Acta Zool. 2018, 99, 244–257. [Google Scholar]
- Davis, T.L.O.; West, G.J. Maturation, Reproductive Seasonality, Fecundity, and Spawning Frequency in Lutjanus vittus (Quoy and Gaimard) from the North West Shelf of Australia. Fish. Bull. US 1993, 91, 224–236. [Google Scholar]
- De Santana, I. Ecologia Reprodutiva de Lutjanidae No Litoral Norte da Bahia, Brasil: Contribuições ao Manejo Sustentável da Pesca Artesanal. Doctoral Dissertation, Universidade de Vigo, Vigo, Spain, 2016. [Google Scholar]
- Dickerson, T.L.; Macewicz, B.J.; Hunter, J.R. Spawning frequency and batch fecundity of chub mackerel, Scomber japonicus, during 1985. CalCOFI Rep. 1992, 33, 130–140. [Google Scholar]
- Ganias, K.; Nunes, C.; Stratoudakis, Y. Degeneration of Postovulatory Follicles in the Iberian Sardine Sardina Pilchardus: Structural Changes and Factors Affecting Resorption. Fish. Bull. 2007, 105, 131–139. [Google Scholar]
- Ganias, K. Thirty years of using the postovulatory follicles method: Overview, problems and alternatives. Fish. Res. 2012, 117, 63–74. [Google Scholar] [CrossRef]
- Quagio-Grassiotto, I.; Wildner, D.D.; Ishiba, R. Gametogênese em peixes: Aspectos relevantes para o manejo reprodutivo. Rev. Bras. Reprodução Anim. 2013, 37, 181–191. [Google Scholar]
- Brown-Peterson, N.J.; Wyanski, D.M.; Saborido-Rey, F.; Macewicz, B.J.; Lowerre-Barbieri, S.K. A standardised terminology for describing reproductive development in fishes. Mar. Coast. Fish. 2011, 3, 52–70. [Google Scholar] [CrossRef]
- Guaivira, D.A. Biologia Reprodutiva, Crescimento E Mortalidade. Tese de Doutorado. Instituto de Pesca. 2010. Available online: www.pesca.sp.gov.br (accessed on 1 April 2024).
- Romagosa, E.; Batlouni, S.R.; Borella, M.I.; Leonardo, A.F.G. Involução de folículos pós-ovulatórios em Pseudoplatystoma fasciatum (Pisces, Teleostei). Bol. Inst. Pesca 2005, 31, 129–135. [Google Scholar]
- Chaves, P.d.T.d.C.; Magalhaes, C. The oocyte development of Macrobrachium amazonicum (Heller, 1862), a freshwater shrimp of the Amazon Region (Crustacea: Decapoda: Palaemonidae). Acta Amaz. 1993, 23, 17–23. [Google Scholar] [CrossRef][Green Version]
- Teixeira, S.F.; Ferreira, B.P.; Padovan, I.P. Aspects of fishing and reproduction of the black grouper Mycteroperca bonaci (Poey, 1860) (Serranidae: Epinephelinae) in the Northeastern Brazil. Neotrop. Ichthyol. 2004, 2, 19–30. [Google Scholar] [CrossRef]
- Gualberto, L.P.S.; EL-Robrini, M. Faciologia da cobertura sedimentar superficial da plataforma continental do Maranhão. Estud. Geológicos 2005, 15, 234–243. [Google Scholar]
- Silva, A.C.; Santos, M.D.; Araujo, M.C.; Bourlès, B. Observações hidrológicas e resultados de modelagem no espalhamento sazonal e espacial da pluma de água Amazônica. Acta Amaz. 2009, 39, 361–369. [Google Scholar] [CrossRef]
- Francini-Filho, R.B.; Asp, N.E.; Siegle, E.; Hocevar, J.; Lowyck, K.; D’Avila, N.; Vasconcelos, A.A.; Baitelo, R.; Rezende, C.E.; Omachi, C.Y.; et al. Perspectives on the Great Amazon Reef: Extension, biodiversity, and threats. Front. Mar. Sci. 2018, 5, 142. [Google Scholar] [CrossRef]
- Anderson, W.D.L. Volume 3: Bony fishes part 2 (Opistognathidae to Molidae), sea turtles and marine mammals. In The Living Marine Resources of the Western Central Atlantic, 1st ed.; Carpenter, K.E., Ed.; FAO: Rome, Italy, 2002; pp. 1479–1504. [Google Scholar]
- Allen, G.R. Vol. 6 Snappers of the world: An annotated and illustrated catalogue of the lutjanid species known to date. In FAO Species Catalogue; Food and Agriculture Organization of the United Nations: Rome, Italy, 1985. [Google Scholar]
- Cervigón, F.; Cipriane, R.; Fischer, W.; Garibaldi, L.; Hendrickx, M.; Lemus, A.J.; Rodriquez, B. Guia de Campo de las Espécies Comerciales marinas y de Aguas Salobres de la Costa Septentrional de Sur America; Fichas FAO de Identificacion de especies para los fines de la pesca; FAO: Rome, Italy, 1992; p. 350. [Google Scholar]
- Alves, M.I.M. Sobre a maturação sexual do pargo, Lutjanus purpureus Poey, do Nordeste Brasileiro. 1971. [Google Scholar]
- Vazzoler, A.E.A.M. Biologia da Reprodução de Peixes Teleósteos: Teoria e Prática; Eduem: Maringá, Brazil, 1996; Volume 169. [Google Scholar]
- West, G. Methods of assessing ovarian development in fishes: A Review. Aust. J. Mar. Freshwater Res. 1990, 41, 199–222. [Google Scholar] [CrossRef]
- Lowerre-Barbieri, S.K.; Ganias, K.; Saborido-Rey, F.; Murua, H.; Hunter, J.R. Reproductive timing in marine fishes: Variability, temporal scales, and methods. Mar. Coast. Fish. 2011, 3, 71–91. [Google Scholar] [CrossRef]
- Sokal, R.R.; Rohlf, F.J. Biometry, 3rd ed.; W.H. Freeman: New York, NY, USA, 1995. [Google Scholar]
- Oksanen, J. “Package ‘vegan’.” Community Ecology Package, version 2.9; 2013; pp. 1–295. Available online: http://vegan.r-forger.r-project.org/ (accessed on 1 April 2024).
- Mangiafico, S. _rcompanion: Functions to Support Extension Education Program Evaluation. R Package Version 2.4.18. 2022. Available online: https://CRAN.R-project.org/package=rcompanion (accessed on 12 November 2022).
- R Core Team. R: A Language and Environment for Statistical Computing; R Foundation for Statistical Computing: Vienna, Austria, 2022; Available online: https://www.R-project.org/ (accessed on 7 June 2022).
- Brasil, Portaria Sudepe N° 10, De 09 De Abril De 1984. Define o Tamanho Mínimo de Captura Para Pargo (Lutjanus purpureus), na Área Compreendida Entre o Norte do Amapá até a Divisa do Estado de Alagoas e Sergipe (Foz do Rio São Francisco). Available online: http://www.ibama.gov.br/component/legislacao/?view=legislacao&legislacao=91034 (accessed on 20 June 2022).
- Lucena-Frédou, F.; Eduardo, L.N.; Lira, A.S.; Pelage, L.; Passarone, R.; Frédou, T. Atividade pesqueira artesanal no nordeste do Brasil. In DO MAR; 2021; p. 374. Available online: http://www.researchgate.net (accessed on 1 April 2024).
- Oceana, Auditoria da Pesca Brasil. 2020. Available online: https://brasil.oceana.org/relatorios/auditoria-da-pesca-brasil-2020/ (accessed on 1 April 2024).
- Fonteles Filho, Antonio Adauto. Estudo sobre a biologia da Pesca do pargo, Lutjanus purpureus Poey, no Nordeste brasileiro: Dados de 1969. Arquivos ciência do mar.1. Available online: https://www.repositorio.ufc.br/handle/riufc/2003 (accessed on 8 April 2024).
- Ivo, C.T.C.; Hanson, A.J. Aspectos da biologia e dinâmica populacional do pargo Lutjanus purpureus Poey, no Norte e Nordeste do Brasil. Arq. Ciências Mar (UFCE Fortaleza) 1982, 22, 1–41. [Google Scholar]
- Freire, J.L.; Sarmento, G.C.; Lutz, Í.; Bentes, B.; Isaac, V.J. New insight into the reproductive biology and catch of juveniles of the Lutjanus purpureus in a portion of the Great Amazon reef system off the Northern Brazilian Coast. Front. Mar. Sci. 2022, 9, 804648. [Google Scholar] [CrossRef]
- IUCN. 2021. The IUCN Red List of Threatened Species. Version 2021-3. Available online: https://www.iucnredlist.org (accessed on 8 July 2022).
- Meador, M.R.; Brown, L.M. Life history strategies of fish species and biodiversity in eastern USA streams. Environ. Biol. Fishes 2015, 98, 663–677. [Google Scholar] [CrossRef]
- Stevenson, I.R.; Bryant, D.M. Climate change and constraints on breeding. Nature 2000, 406, 366–367. [Google Scholar] [CrossRef] [PubMed]
- Krabbenhoft, T.J.; Platania, S.P.; Turner, T.F. Interannual variation in reproductive phenology in a riverine fish assemblage: Implications for predicting the effects of climate change and altered flow regimes. Freshw. Biol. 2014, 59, 1744–1754. [Google Scholar] [CrossRef]
- Tao, J.; He, D.; Kennard, M.J.; Ding, C.; Bunn, S.E.; Liu, C.; Chen, Y. Strong evidence for changing fish reproductive phenology under climate warming on the Tibetan Plateau. Glob. Change Biol. 2018, 24, 2093–2104. [Google Scholar] [CrossRef] [PubMed]
- Liu, Y.; Fu, H.; Wang, L.; Lin, L.; He, G.; Fu, P.; Kang, B. Fishery Status and Rebuilding of Major Economic Fishes in the Largest Freshwater Lake in China Based on Limited Data. Fishes 2022, 7, 47. [Google Scholar] [CrossRef]
- Trindade, D.G.; de Almeida de Gouveia, N.; da Mescouto NL, D.C.; de Sousa Moura HT, G.; da Silva UI, P.; Bentes, B. Effects of marine climate variability on the relative abundance of Lutjanus purpureus (POEY, 1866) on the Amazon Continental Shelf. Fish. Oceanogr. 2024, 33, e12662. [Google Scholar] [CrossRef]
- Mescouto, N.; Peixoto, U.I.; Trindade, D.G.; Moura, H.; Bentes, B. Caribean red snapper fishing performance indicators in Brazilian Amazon shelf: Is it the beginning of the end of a fishing system? PLoS ONE, 2024; in press. [Google Scholar]
- Perissi, I.; Bard, U.; El Asmar, T.; Lavacchi, A. Dynamic patterns of overexploitation in fisheries. Ecol. Model. 2017, 359, 285–292. [Google Scholar] [CrossRef] [PubMed]
- Lotze, H.K.; Worm, B. Historical baselines for large marine animals. Trends Ecol. Evol. 2009, 24, 254–262. [Google Scholar] [CrossRef]
- Bayley, K.N. Factors Affecting Reproductive Investment by a Burying Beetle (Nicrophorus orbicollis). Doctoral Dissertation, Oklahoma State University, Stillwater, OK, USA, 2016. [Google Scholar]
- Núñez, J.; Duponchelle, F. Towards a universal scale to assess sexual maturation and related life history traits in oviparous teleost fishes. Fish Physiol. Biochem. 2009, 35, 167–180. [Google Scholar] [CrossRef]
- Miranda, A.C.L.; Bazzoli, N.; Rizzo, E.; Sato, Y. Ovarian follicular atresia in two teleost species: A histological and ultrastructural study. Tissue Cell 1999, 31, 480–488. [Google Scholar] [CrossRef] [PubMed]
- Mcdonough, C.J.; Roumillat, W.A.; Wenner, C.A. Sexual differentiation and gonad development in striped mullet (Mugil cephalus L.) from South Carolina estuaries. Fish. Bull. 2005, 103, 601–619. [Google Scholar]
- González, L.W.; Lugo, T. Ovogenesis of Lutjanus purpureus Poey, 1867 (Pisces: Lutjanidae) in eastern Venezuela. Boletín Investig. Mar. Y Costeras-INVEMAR 1997, 26, 53–56. [Google Scholar]
- Brown-Peterson, N.J.; Burns, K.M.; Overstreet, R.M. Regional Differences in Florida Red Snapper Reproduction. 2009. Available online: http://aquadocs.org (accessed on 1 April 2024).
- Brulé, T.; Colás-marrufo, T.; Pérez-Díaz, E.; Sámano-Zapata, J.C. Red snapper reproductive biology in the southern Gulf of Mexico. Trans. Am. Fish. Soc. 2010, 139, 957–968. [Google Scholar] [CrossRef]
- Kulaw, D.H.; Cowan, J.H., Jr.; Jackson, M.W. Temporal and spatial comparisons of the reproductive biology of northern Gulf of Mexico (USA) red snapper (Lutjanus campechanus) collected a decade apart. PLoS ONE 2017, 12, e0172360. [Google Scholar] [CrossRef]
- Freitas, M.O.; Rocha, G.R.A.; Chaves, P.D.T.D.C.; De Moura, R.L. Reproductive biology of the lane snapper, Lutjanus synagris, and recommendations for its management on the Abrolhos Shelf, Brazil. J. Mar. Biol. Assoc. U. K. 2014, 94, 1711–1720. [Google Scholar] [CrossRef]
- Santamaría-Miranda, A.; Elorduy-Garay, J.F.; Villalejo-Fuerte, M.; Rojas-Herrera, A.A. Gonadal development and reproductive cycle of Lutjanus peru (Pisces: Lutjanidae) in Guerrero, Mexico. Rev. De Biol. Trop. 2003, 51, 489–501. [Google Scholar]
- Arellano-Martínez, M.; Rojas-Herrera, A.; García-Domínguez, F.; Ceballos-Vázquez, B.P.; Villalejo-Fuerte, M. Reproductive cycle of the spotted rose snapper Lutjanus guttatus (Steindachner, 1869) in the Guerrero coast, Mexico. Rev. De Biol. Mar. Y Oceanogr. 2001, 36, 1–8. [Google Scholar]
- Fernandes, C.A.F.; De Oliveira, P.G.; Travassos, P.E.; Hazin, F.H. Reproduction of the Brazilian snapper, Lutjanus alexandrei Moura & Lindeman, 2007 (Perciformes: Lutjanidae), off the northern coast of Pernambuco, Brazil. Neotrop. Ichthyol. 2012, 10, 587–592. [Google Scholar]
- Malafaia, P.N.; França, A.R.; Olavo, G. Spawning aggregation sites of the cubera snapper, Lutjanus cyanopterus, on the continental shelf of Bahia state, Northeastern Brazil. Fish. Res. 2021, 242, 106037. [Google Scholar] [CrossRef]
- Motta, F.S.; Freitas, M.O.; Rolim, F.A.; Abihoa, V.; Pereira, F.G.H. Direct evidence of a spawning aggregation of cubera snapper (Lutjanus cyanopterus) in southeastern Brazil and its management implications. Fish. Res. 2022, 252, 106339. [Google Scholar] [CrossRef]
- França, A.R.; Olavo, G. Indirect signals of spawning aggregations of three commercial reef fish species on the continental shelf of Bahia, east coast of Brazil. Braz. J. Oceanogr. 2015, 63, 289–301. [Google Scholar] [CrossRef]
- Nanninga, G.B.; Spaet, J.L.Y. Spawning aggregations of the Humpback red snapper, Lutjanus gibbus, in the Tuamotus, French Polynesia. Mar. Biodivers. 2017, 47, 375–376. [Google Scholar] [CrossRef]
- Johannes, R.E. Reproductive strategies of coastal marine fishes in the tropics. Environ. Biol. Fishes 1978, 3, 65–84. [Google Scholar] [CrossRef]
- Grimes, C.B. Reproductive Biology of the Lutjanidae: A Review; Westview Press: Boulder, CO, USA, 1987. [Google Scholar]
- Claro, R.; Lindeman, K.C. Spawning aggregation sites of snapper and grouper species (Lutjanidae and Serranidae) on the insular shelf of Cuba. Gulf Caribb. Res. 2003, 14, 91–106. [Google Scholar] [CrossRef]
- Fry, G.; Milton, D.A.; Van Der Velde, T.; Stobutzki, I.; Andamari, R.; Badrudin; Sumiono, B. Reproductive dynamics and nursery habitat preferences of two commercially important Indo-Pacific red snappers Lutjanus erythropterus and L. malabaricus. Fish. Sci. 2009, 75, 145–158. [Google Scholar] [CrossRef]
- Lowerre-Barbieri, S.; Cabtree, L.; Switzer, T.; Burnsed, S.W.; Guenther, C. Assessing reproductive resilience: An example with South Atlantic red snapper Lutjanus campechanus. Mar. Ecol. Prog. Ser. 2015, 526, 125–141. [Google Scholar] [CrossRef]
- Jara, H.J.; Tam, J.; Reguero, B.G.; Ganoza, F.; Castillo, G.; Romero, C.Y.; Gévaudan, M.; Sánchez, A.A. Current and future socio-ecological vulnerability and adaptation of artisanal fisheries communities in Peru, the case of the Huaura province. Mar. Policy 2020, 119, 104003. [Google Scholar] [CrossRef]
- Heins, D.C.; Brown-Peterson, N.J. The reproductive biology of small fishes and the clutch concept: Combining macroscopic and histological approaches. Aquac. Fish Fish. 2022, 2, 253–264. [Google Scholar] [CrossRef]
- Honji, R.M.; Araújo, B.C.; Caneppele, D.; Nostro, F.L.; Moreira, R.G. Dynamics of ovarian maturation during the annual reproductive cycle of the endangered fish Steindachneridion parahybae (Siluriformes: Pimelodidae) in captivity. J. Fish Biol. 2022, 101, 55–68. [Google Scholar] [CrossRef]
- Constante-Pérez, L.G.; Castillo-Rivera, M.; Serrato-Díaz, A. Diversity, seasonal and diel distribution of snappers (Lutjanidae: Perciformes) in a tropical coastal inlet in the southwestern Gulf of Mexico. Neotrop. Ichthyol. 2022, 20, e220009. [Google Scholar] [CrossRef]
- Falfan, E.L.; Ordóñez, U.R.; Ornelas, M.A. Abundancia y Distribución de Larvas del Complejo Lutjanidae–Serranidae en la Plataforma de Yucatán. 2007. Available online: https://aquadocs.org/bitstream/handle/1834/28954/gcfi_58-20.pdf?sequence=1 (accessed on 8 July 2022).
- Viana, J.M.W. Pesca e Biologia Reprodutiva do Dentão(Lutjanus jocu) no Arquipélago de Fernando de Noronha. Master’s Thesis, Universidade Federal de Pernambuco, Recife, Brazil, 2018. [Google Scholar]
Disclaimer/Publisher’s Note: The statements, opinions and data contained in all publications are solely those of the individual author(s) and contributor(s) and not of MDPI and/or the editor(s). MDPI and/or the editor(s) disclaim responsibility for any injury to people or property resulting from any ideas, methods, instructions or products referred to in the content. |
© 2024 by the authors. Licensee MDPI, Basel, Switzerland. This article is an open access article distributed under the terms and conditions of the Creative Commons Attribution (CC BY) license (https://creativecommons.org/licenses/by/4.0/).






