Primary Intraosseous Squamous Cell Carcinoma of the Anterior Mandible Arising in an Odontogenic Cyst in 34-Year-Old Male
Abstract
1. Introduction
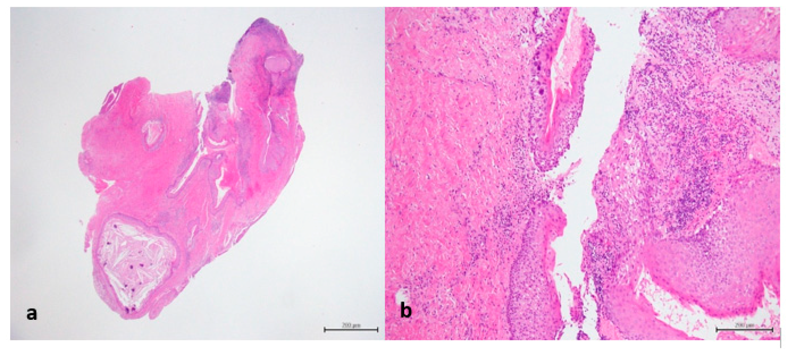
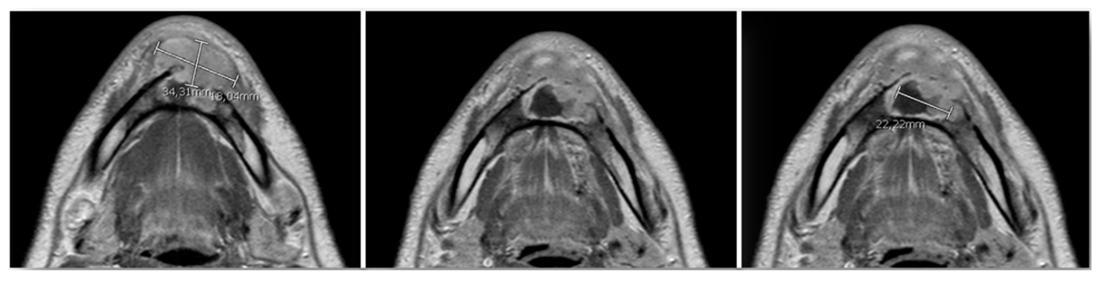
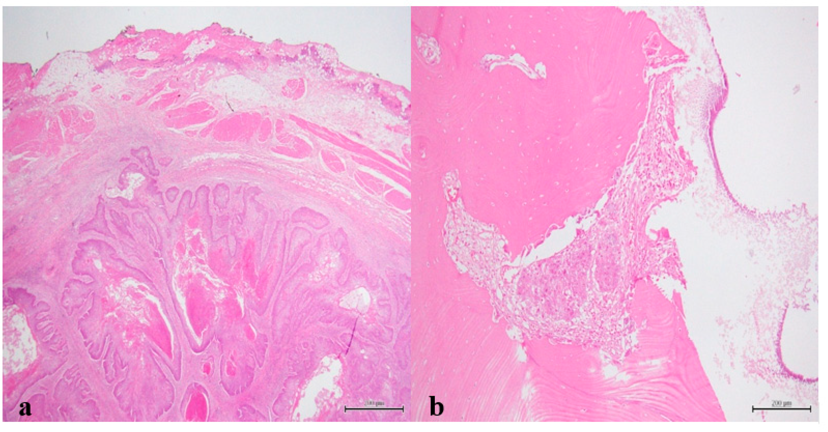
2. Case Presentation Section
3. Discussion
- ▪
- The solid type that invades marrow spaces and induces osseous resorption (carcinomas arising de novo);
- ▪
- Squamous cancers arising from the lining of odontogenic cysts, divided into two different subtypes:
- Keratocystic odontogenic tumor,
- Odontogenic cysts (such as residual periapical cysts, root cysts, dentigerous cyst, and lateral periodontal cyst);
- ▪
- SCC associated with other benign epithelial odontogenic tumors.
- ▪
- an alveolar pattern of the tumor nests in a prominent stroma,
- ▪
- clear cell components,
- ▪
- palisading arrangement of the peripheral basal cells [2].
- ▪
- Absence of ulcers in the oral mucosa during the examination, except if associated with a trauma or a recent tooth extraction
- ▪
- Exclusion of metastatic SCC from the distant primary tumor through the demonstration of a clear chest x-ray at the time of diagnosis and with a minimum follow-up of six months
- ▪
- Histological evidence of SCC
- ▪
- absence of mucosal lesion and metastasis,
- ▪
- presence of mucosal lesion but histological identification of an underlying odontogenic cyst.
4. Conclusions
Supplementary Materials
Author Contributions
Funding
Conflicts of Interest
References
- Praetorius, F. Primary Intraosseous Squamous Cell Carcinoma. In Surgical Pathology of the Head and Neck; Barnes, L., Ed.; CRC Press: New York, NY, USA, 2008; Volume 3, pp. 1297–1301. ISBN 9780429075469. [Google Scholar]
- Huang, J.W.; Luo, H.Y.; Li, Q.; Li, T.J. Primary intraosseous squamous cell carcinoma of the jaws: Clinicopathologic presentation and prognostic factors. Arch. Pathol. Lab. Med. 2009, 133, 1834–1840. [Google Scholar]
- Eversole, L.R.; Siar, C.H.; Van Der Waal, I. Primary intraosseous squamous cell carcinomas. In World Health Organization Classification of Tumors. Pathology and Genetics of Head and Neck Tumors; Barnes, L., Eveson, J.W., Reichart, P., Sidransky, D., Eds.; IARC Press: Lyon, France, 2005; pp. 290–291. [Google Scholar]
- Morrison, R.; Deeley, T.J. Intra-alveolar carcinoma of the jaw. Treatment by supervoltage radiotherapy. Br. J. Radiol. 1962, 35, 321–326. [Google Scholar] [CrossRef]
- Willis, R.A. Pathology of Tumours; Butterworth & Co., Ed.; CV Mosby Co.: London, UK, 1948. [Google Scholar]
- Shear, M. Primary intra-alveolar epidermoid carcinoma of the jaw. J. Pathol. 1969, 97, 645–651. [Google Scholar] [CrossRef]
- Pindborg, J.J.; Kramer, I.R.H.; Torloni, H. Histological Typing of Odontogenic Tumours, Jaw Cysts and Allied Lesions.; Geneva World Health Organization: Geneva, Switzerland, 1971. [Google Scholar]
- Kramer, I.R.H.; Pindborg, J.J.; Shear, M. Histological Typing of Odontogenic Tumors, 2nd ed.; World Health Organization, Ed.; Springer: Heidelberg, Germany, 1992. [Google Scholar]
- Elzay, R.P. Primary intraosseous carcinoma of the jaws. Oral Surg. Oral Med. Oral Pathol. 1982, 54, 299–303. [Google Scholar] [CrossRef]
- Slootweg, P.J.; Müller, H. Malignant ameloblastoma or ameloblastic carcinoma. Oral Surg. Oral Med. Oral. Pathol. 1984, 57, 168–176. [Google Scholar] [CrossRef]
- Waldron, C.A.; Mustoe, T.A. Primary intraosseous carcinoma of the mandible with probable origin in an odontogenic cyst. Oral Surg. Oral. Med. Oral Pathol. 1989, 67, 716–724. [Google Scholar] [CrossRef]
- Lopes Dias, J.; Borges, A.; Lima Rego, R. Primary intraosseous squamous cell carcinoma of the mandible: A case with atypical imaging features. BJR Case Rep. 2016, 2, 20150276. [Google Scholar] [CrossRef] [PubMed]
- Jain, M.; Mittal, S.; Gupta, D.K. Primary intraosseous squamous cell carcinoma arising in odontogenic cysts: An insight in pathogenesis. J. Oral Maxillofac. Surg. 2013, 71, e7-14. [Google Scholar] [CrossRef] [PubMed]
- Bodner, L.; Manor, E.; Shear, M.; van der Waal, I. Primary intraosseous squamous cell carcinoma arising in an odontogenic cyst: A clinicopathologic analysis of 116 reported cases. J. Oral Pathol. Med. 2011, 40, 733–738. [Google Scholar] [CrossRef] [PubMed]
- Shen, Q.; Chen, Y.; Gokavarapu, S.; Cao, W.; Ji, T. Primary intraosseous squamous cell carcinoma of the mandible: Locoregional control and survival is significantly reduced if the tumour is more than 4cm in size. Br. J. Oral Maxillofac. Surg. 2018, 56, 48–53. [Google Scholar] [CrossRef]
- Thakur, A.; Tupkari, J.V.; Joy, T.; Gogri, A.A. Primary intraosseous squamous cell carcinoma—A rare odontogenic malignancy. J. Oral Maxillofac. Pathol. 2017, 21, 320. [Google Scholar] [CrossRef] [PubMed]
- Xu, W.; Shen, H.; Qi, X.; Wang, Z.; Wang, Y.; Hu, Q.; Han, W. Prognostic factors of primary intraosseous squamous cell carcinoma (PIOSCC): A retrospective review. PLoS ONE 2016, 11, e0153646. [Google Scholar]
- Jewer, D.D.; Boyd, J.B.; Manktelow, R.T.; Zuker, R.M.; Rosen, I.B.; Gullane, P.J.; Rotstein, L.E.; Freeman, J.E. Orofacial and mandibular reconstruction with the iliac crest free flap: A review of 60 cases and a new method of classification. Plast. Reconstr. Surg. 1989, 84, 391–403. [Google Scholar] [CrossRef] [PubMed]
- Cordeiro, P.G.; Henderson, P.W.; Matros, E. A 20-year experience with 202 segmental mandibulectomy defects: A defect classification system, algorithm for flap selection, and surgical outcomes. Plast. Reconstr. Surg. 2018, 141, 571e–581e. [Google Scholar] [CrossRef] [PubMed]
- Chiarini, L.; Anesi, A.; Negrello, S. Mandible: Lateral, Hemimandibular, Anterior; Springer International Publishing: Cham, Switzerland, 2019; pp. 27–38. [Google Scholar]
- Anesi, A.; Ferretti, M.; Cavani, F.; Salvatori, R.; Bianchi, M.; Russo, A.; Chiarini, L.; Palumbo, C. Structural and ultrastructural analyses of bone regeneration in rabbit cranial osteotomy: Piezosurgery versus traditional osteotomes. J. Cranio Maxillofac. Surg. 2018, 46, 107–118. [Google Scholar] [CrossRef] [PubMed]
- Eversole, L.R.; Sabes, W.R.; Rovin, S. Aggressive growth and neoplastic potential of odontogenic cysts. With special reference to central epidermoid and mucoepidermoid carcinomas. Cancer 1975, 35, 270–282. [Google Scholar] [CrossRef]
- Cariati, P.; Fernandez, A.B.M.; Tara, M.P.D.P.; Solis, J.F.; Lara, I.M. Primary intraosseous odontogenic squamous cell carcinoma of the mandible. J. Oral Maxillofac. Pathol. 2017, 21, 182. [Google Scholar] [CrossRef]
- Thomas, G.; Pandey, M.; Mathew, A.; Abraham, E.K.; Francis, A.; Somanathan, T.; Iype, E.M.; Sebastian, P.; Nair, M.K. Primary intraosseous carcinoma of the jaw: Pooled analysis of world literature and report of two new cases. Int. J. Oral Maxillofac. Surg. 2001, 30, 349–355. [Google Scholar] [CrossRef]
- Tamgadge, S.; Tamgadge, A.; Modak, N.; Bhalerao, S. Primary intraosseous squamous cell carcinoma arising from an odontogenic keratocyst: A case report and literature review. Ecancermedicalscience 2013, 7, 316. [Google Scholar]
- Reichart, P.A.; Philipsen, H.P. Odontogenic Tumors and Allied Lesions; Quintessence Publishing Co., Ltd.: London, UK, 2004. [Google Scholar]
- Bereket, C.; Bekçioğlu, B.; Koyuncu, M.; Şener, İ.; Kandemir, B.; Türer, A. Intraosseous carcinoma arising from an odontogenic cyst: A case report. Oral Surg. Oral Med. Oral Pathol. Oral Radiol. 2013, 116, e445-9. [Google Scholar] [CrossRef]
- Susan, M.; Charles, A. Primary intraosseous squamous carcinoma. Int. J. Oral Maxillofac. Surg. 1991, 20, 362–365. [Google Scholar]
- Kaffe, I.; Ardekian, L.; Peled, M.; Machtey, E.; Laufer, D. Radiological features of primary intra-osseous carcinoma of the jaws. Analysis of the literature and report of a new case. Dentomaxillofac. Radiol. 1998, 27, 209–214. [Google Scholar] [CrossRef] [PubMed]
- Matsuzaki, H.; Katase, N.; Matsumura, T.; Hara, M.; Yanagi, Y.; Nagatsuka, H.; Iida, S.; Asaumi, J.-I. Solid-type primary intraosseous squamous cell carcinoma of the mandible: A case report with histopathological and imaging features. Oral Surg. Oral Med. Oral Pathol. Oral Radiol. 2012, 114, e71-7. [Google Scholar] [CrossRef] [PubMed]
- Gardner, A.F. A survey of odontogenic cysts and their relationship to squamous cell carcinoma. J. Can. Dent. Assoc. 1975, 3, 161. [Google Scholar]
- Shambhulingappa, P.; Sheikh, S.; Puri, N.; Jindal, S.K. Primary intraosseous carcinoma of mandible: An update on review of literature with a case report. J. Clin. Exp. Dent. 2010, 2, 2–5. [Google Scholar] [CrossRef]
- McGowan, R.H. Primary intra-alveolar carcinoma. A difficult diagnosis. Br. J. Oral Surg. 1980, 18, 259–265. [Google Scholar] [CrossRef]
- Amin, M.B.; Edge, S.; Greene, F.; Byrd, D.R.; Brookland, R.K.; Washington, M.K.; Gershenwald, J.E.; Compton, C.C.; Hess, K.R.; Sullivan, D.C.; et al. AJCC Cancer Staging Manual, 8th ed.; Springer International Publishing: Berlin, Germany, 2017; ISBN 9783319406176. [Google Scholar]
- Woolgar, J.A.; Triantafyllou, A.; Ferlito, A.; Devaney, K.O.; Lewis, J.S.; Rinaldo, A.; Slootweg, P.J.; Barnes, L. Intraosseous carcinoma of the jaws: A clinicopathologic review. Part III: Primary intraosseous squamous cell carcinoma. Head Neck 2013, 35, 906–909. [Google Scholar] [CrossRef]
- To, E.H.W.; Brown, J.S.; Ward-Booth, R.P.; Avery, B.S. Primary intraosseous carcinoma of the jaws. Three new cases and a review of the literature. Br. J. Oral Maxillofac. Surg. 1991, 29, 19–25. [Google Scholar] [CrossRef]
- Boyd, J.B.; Mulholland, R.S.; Davidson, J.; Gullane, P.J.; Rotstein, L.E.; Brown, D.H.; Freeman, J.E.; Irish, J.C. The Free Flap and Plate in Oromandibular Reconstruction: Long-Term Review and Indications. Plast. Reconstr. Surg. 1995, 95, 1018–1028. [Google Scholar] [CrossRef]













| Year | Authors | Definition and Classification |
|---|---|---|
| 1913 | Loos [4] | Intra-alveolar Carcinoma of the jaw |
| 1948 | Wills [5] | Intra-alveolar Epidermoid Carcinoma |
| 1969 | Shear [6] | Primary Intra-alveolar Epidermoid Carcinoma |
| 1971 | WHO–Pindborg [7,8] | Primary Intraosseous Odontogenic Carcinoma (PIOC) |
| 1982 | Elzay [9] | PIOC of the jaw |
| 1984 | Slootweg and Müller [10] | Type 1: PIOC ex odontogenic cyst |
| Type 2: | ||
| - 2a: Malignant ameloblastoma | ||
| - 2b: Ameloblastic carcinoma arising de novo, ex ameloblastoma or ex odontogenic cyst | ||
| Type 3: PIOC arising de novo: | ||
| - Keratinizing Type | ||
| - Nonkeratinizing Type | ||
| 1989 | Waldron and Mustoe [11] | Type 1: PIOC ex odontogenic cyst |
| Type 2: | ||
| - 2a: Malignant ameloblastoma | ||
| - 2b: Ameloblastic carcinoma arising de novo, ex ameloblastoma or ex Odontogenic cyst | ||
| Type 3: PIOC arising de novo: | ||
| - Keratinizing Type | ||
| - Nonkeratinizing Type | ||
| Type 4: Intraosseous Mucoepidermoid Carcinoma (IMEC) |
| Date | Clinical Findings | Clinical Management |
|---|---|---|
| 2007 | Incidental finding of radiolucent lesion around left impacted lower canine * | Private dentist’s indication for cyst removal (not accepted by the patient) |
| January 2017 | Mandibular abscess with pus discharge from fistula in 32 vestibular region | Private dentist’s prescription for Ceftriaxone 1 g IM for 7 days |
| 10 March 2017 | Reinfection | Amoxicillin/clavulanate 1g per OS for 21 days + Ceftriaxone 1g IM for 7 days ** |
| 22 April 2017 | Reinfection | Emergency department visit with subsequent hospitalization at Cranio-Maxillo-Facial Unit University Hospital of Modena and Reggio Emilia |
| 26 April 2017 | - | Incisional biopsy |
| 22 May 2017 | Admission of the patient and surgical intervention | Segmental mandibulectomy (Type C defect according to Jewer et al. [18] and Type IB according to Cordeiro [19,20] + elective bilateral lymph node (levels I-III) neck dissection + reconstruction with osteo-septo-cutaneous free fibula flap |
| 12 June 2017 | Discharge of the patient (21 days after surgery) | |
| 22 June 2017 | - | Start of radiotherapy *** |
| 17 July 2017 | Fever (37.5 °C), lower cheek lump | Suspension of radiotherapy |
| 9 August 2017 | Metastasis in a left masseteric lymph node (anterior border of the left masseter muscle) | Salvage surgery |
| 28 September 2017 | - | Start of chemoradiotherapy |
| 23 November 2017 | - | End of chemoradiotherapy |
| 11 March 2020 | No tumor recurrence at 31-month follow-up. |
| Main Criteria | Present Case |
|---|---|
| Absence of ulcers in the oral mucosa during the examination [31] | Fulfilled |
| Exclusion of metastatic SCC from distant primary tumor [31] | Fulfilled |
| Histological evidence of SCC [31] | Fulfilled |
| Minor Radiological Criteria | |
| Indistinct margins without sclerotic outline [29] | Fulfilled |
| Cup or dish-shaped appearance [24] | Fulfilled |
| ‘Floating-teeth’ pattern [2] | Fulfilled |
| Authors | n. of Case (Total) | N Status | n. | % | Treatment Modality | n. | % | Reconstruction Modality | n. | % |
|---|---|---|---|---|---|---|---|---|---|---|
| Thomas et al. * [24] | 35 | N− | 24 | 68.4 | S | 14 | 40 | Unspecified | - | - |
| S + R | 8 | 22.8 | ||||||||
| S + C | 1 | 2.8 | ||||||||
| N+ | 11 | 31.6 | S + R + C | 2 | 5.7 | |||||
| R + C | 2 | 5.7 | ||||||||
| R | 3 | 8.6 | ||||||||
| Huang et al. ** [2] | 39 | N− | 18 | 48.6 | S | 14 | 37.8 | Unspecified | - | - |
| A + R | 18 | 48.6 | ||||||||
| S + C | - | - | ||||||||
| N+ | 17 | 45.9 | S + R + C | 5 | 13.5 | |||||
| R + C | - | - | ||||||||
| R | - | - | ||||||||
| Bodner et al. *** [14] | 116 | N− | S | 53 | 46 | Unspecified | - | - | ||
| S + R | 44 | 38 | ||||||||
| S + C | 7 | 6 | ||||||||
| N+ | 6 | S + R + C | 7 | 6 | ||||||
| R + C | - | - | ||||||||
| R | 4 | 4 | ||||||||
| Xu et al. [17] | 77 | N− | 57 | 74 | S | 43 | 55.8 | Unspecified | - | - |
| S + R | 19 | 24.7 | ||||||||
| S + C | 6 | 7.8 | ||||||||
| N+ | 20 | 26 | S + R + C | 9 | 11.7 | |||||
| R + C | - | - | ||||||||
| R | - | - | ||||||||
| Shen et al. **** [15] | 36 | N− | 26 | 72 | S | 6 | 17.6 | Primary closure | 2 | 5.8 |
| S + R | 28 | 82.3 | Flap: | |||||||
| S + C | - | - | Adjacent | 5 | 14.7 | |||||
| N+ | 10 | 27.7 | S + R + C | - | - | Fibular | 14 | 44.2 | ||
| R + C | - | - | Anterolateral thigh | 3 | 8.8 | |||||
| R | - | - | Pectoralis major musculocutaneous | 10 | 29.4 |
© 2020 by the authors. Licensee MDPI, Basel, Switzerland. This article is an open access article distributed under the terms and conditions of the Creative Commons Attribution (CC BY) license (http://creativecommons.org/licenses/by/4.0/).
Share and Cite
Negrello, S.; Pellacani, A.; di Bartolomeo, M.; Bernardelli, G.; Nocini, R.; Pinelli, M.; Chiarini, L.; Anesi, A. Primary Intraosseous Squamous Cell Carcinoma of the Anterior Mandible Arising in an Odontogenic Cyst in 34-Year-Old Male. Reports 2020, 3, 12. https://doi.org/10.3390/reports3020012
Negrello S, Pellacani A, di Bartolomeo M, Bernardelli G, Nocini R, Pinelli M, Chiarini L, Anesi A. Primary Intraosseous Squamous Cell Carcinoma of the Anterior Mandible Arising in an Odontogenic Cyst in 34-Year-Old Male. Reports. 2020; 3(2):12. https://doi.org/10.3390/reports3020012
Chicago/Turabian StyleNegrello, Sara, Arrigo Pellacani, Mattia di Bartolomeo, Giuditta Bernardelli, Riccardo Nocini, Massimo Pinelli, Luigi Chiarini, and Alexandre Anesi. 2020. "Primary Intraosseous Squamous Cell Carcinoma of the Anterior Mandible Arising in an Odontogenic Cyst in 34-Year-Old Male" Reports 3, no. 2: 12. https://doi.org/10.3390/reports3020012
APA StyleNegrello, S., Pellacani, A., di Bartolomeo, M., Bernardelli, G., Nocini, R., Pinelli, M., Chiarini, L., & Anesi, A. (2020). Primary Intraosseous Squamous Cell Carcinoma of the Anterior Mandible Arising in an Odontogenic Cyst in 34-Year-Old Male. Reports, 3(2), 12. https://doi.org/10.3390/reports3020012

