Abstract
Injury to the Luschka ducts (LDs), also named “subvesicular” ducts, is an under-reported cause of biliary leak following laparoscopic cholecystectomy (LC). A systematic literature search according to PRISMA guidelines was conducted in PubMed, EMBASE and Cochrane Library including all publications that described a bile leak from an LD. A total of 136 articles were retrieved from the searched databases. After the removal of duplicates and non-eligible papers, 48 studies reporting 231 leaks were included: 20 (41.6%) case reports, 2 (4.3%) comparative studies, 7 (14.9%) meeting abstracts and 19 (40.4%) retrospective cohort articles. The rate of LD leak ranges from 0.05% to 1.9%, but injury to a duct of Luschka was the second most common cause of biliary leakage in all the cohort studies (5.5% to 41%). In 21 (43.7%) cases, the leak was successfully treated with a sphincterotomy through Endoscopic Retrograde Cholangiopancreatography (ERCP) plus or minus stenting, and in 12 (25%), re-laparoscopy was necessary.
1. Introduction
Laparoscopic cholecystectomy (LC) is one of the most performed procedures in general surgery worldwide [1]. Bile duct injury (BDI) is the most feared complication of LC, and its incidence is reported to be 0.3–0.7% [2]. Several classifications for BDI have been proposed [3]; one of the most recognized is Strasberg’s classification of BDI, which mainly addresses bile leaks which are more commonly seen in the laparoscopic era. Bile leaks may arise from a variety of sites, mainly from cystic stumps, Luschka ducts (LDs) or other main bile ducts [4].
The leakage of Luschka ducts, also named “subvesicular” ducts, along with cystic stump leaks (together classified as Strasberg A) are the most common locations of BDI after LC [5]. LDs were first described by Hubert von Luschka, a German anatomist, in 1863, and in more recent studies, its incidence varies from 1 to 50% due to different diagnostic methods [6]. LDs are usually confused with hepaticocholecystic ducts (HCDs), which are real variations of the biliary tree draining into the gallbladder [6]. LDs originate from the right hepatic lobe, along the gallbladder bed, and usually drain in the extrahepatic bile ducts. Some authors have also proposed a common classification for LDs and HCDs: (1) segmental or sectorial subvesical bile ducts, (2) accessory subvesical bile ducts, (3) hepaticocholecystic bile ducts, and (4) aberrant subvesical bile ducts [7].
Despite the classification methods on these aberrant ducts, the literature mainly relies on case reports [8,9]. To the best of our knowledge, only one case of intraoperative diagnosis has been associated with proper video imaging [10].
The primary aim of our study was to review all reported cases of leaks from LDs.
2. Materials and Methods
2.1. Search Strategy
The present review was conducted according to the Preferred Reporting Items for Systematic Reviews and Meta-Analyses (PRISMA) guidelines [11]. PubMed, EMBASE and Cochrane Library databases were searched using the following terms: “duct of Luschka” AND “leak”. No temporal interval was set. References were further reviewed to find other articles of interest.
2.2. Eligibility Criteria
All types of studies (case reports, case series, comparative, retrospective, prospective, meeting abstracts) in the English language or translated to English reporting cases of bile leakage from an LD were included in our review. Duplicates, previous reviews, and papers on biliary tree injuries not reporting cases of leakage from LDs were excluded.
2.3. Data Extraction
Two authors independently extracted the following data from the extracted articles: first author name, year of publication, type of study, total number and rate of LD leaks, rate of LD leaks/overall cases of leaks, type of intervention.
A dedicated table was filled in by the two authors with this information, and a third author compared and reviewed their results.
3. Results
A total of 136 articles (45 in PubMed, 90 in EMBASE and 1 in Cochrane Library) were retrieved from the searched databases. In total, 44 duplicates were removed, and, after title and abstract review, 43 studies were found to be eligible; another 5 studies were discovered in the references (Table 1) [6,8,9,12,13,14,15,16,17,18,19,20,21,22,23,24,25,26,27,28,29,30,31,32,33,34,35,36,37,38,39,40,41,42,43,44,45,46,47,48,49,50,51,52,53,54,55,56,57]. A PRISMA flowchart [58] is pictured in Figure 1.
Table 1.
Summary of studies reporting leaks from Luschka ducts. PTC = transhepatic cholangiography; LC = laparoscopic cholecystectomy.
Figure 1.
PRISMA flowchart of study selection.
3.1. Types of Studies
In total, 20 (41.6%) case reports, 2 (4.3%) comparative studies, 7 (14.9%) meeting abstracts and 19 (40.4%) retrospective cohort articles were retrieved in our search (Figure 2).
Figure 2.
Pie chart of the included studies.
3.2. Rate of LD Leak
A total number of 231 leaks from ducts of Luschka were reported in the papers included in the present review. The rate of LD leak/intervention ranges from 0.05% to 1.9%, but injury to a duct of Luschka was the second most common cause of biliary leakage in all the cohort studies (5.5% to 41%) (Table 1).
3.3. Type of Intervention and Treatment
In 44 studies, the intervention was a cholecystectomy, which was laparoscopic (LC) in 41, open (OC) and LC in 1 and OC in 1. One study reported a leak after liver surgery, two after liver transplant and two after LC in patients with a previous history of bariatric surgery.
In 21 (43.7%) cases, the leak was successfully treated with a sphincterotomy through Endoscopic Retrograde Cholangiopancreatography (ERCP) plus or minus stenting, and in 12 (25%), re-laparoscopy was necessary; re-laparotomy was performed after open cases (3, 6.3%); in 2 (4.2%) patients, a percutaneous drain was resolutive; in 2 (4.2%), the leak was identified and treated intraoperatively; and in 8 (16.7%) studies, different types of treatment were reported (Figure 3).
Figure 3.
Pie chart of the treatments for LD leakage.
4. Discussion
4.1. Deliberation
BDI continues to be one of the most morbid complications following LC. During the open cholecystectomy era, it used to be 0.1–0.2%, but it increased to 0.4–0.6% in the laparoscopic era [59]. The diagnosis of BDI is most commonly diagnosed intraoperatively. Pekolj et al. [60] found that 90% of BDI cases are diagnosed intraoperatively. BDI is associated with increased morbidity and long-term decreased quality of life and loss of productivity [61]. It is of major importance to emphasize that LD leaks along with cystic stump leaks after LC have been shown to be associated with increased morbidity and mortality [62]. Therefore, if a BDI of any type is suspected, urgent diagnostic studies should be undertaken, and treatment should be started.
In the diagnostic imaging of BDI, an abdominal CT scan is recommended and magnetic resonance cholagiopancreatography (MRCP) can be used to localize the injury [63].
Our systematic review demonstrates that cases of intra- and postoperative leakage from a LDs are well documented in the modern literature. However, LD leaks are frequently presented as case reports.
Bile collection from subvesical duct injury is frequently diagnosed within the first postoperative week. Patients may report specific symptoms, such as abdominal or back pain, and signs such as abdominal wall tenderness and fever. An increase in serum bilirubin or transaminases is reported. This nonspecific symptomatology can be underestimated, and this could lead to serious consequences and to more serious complications (biliary peritonitis and sepsis). However, we also found cases in which symptoms arose weeks after cholecystectomy and cases where patients reported no symptoms at all. Generally, the severity of symptoms depends on the flow of bile into the abdomen and on the subsequent collection.
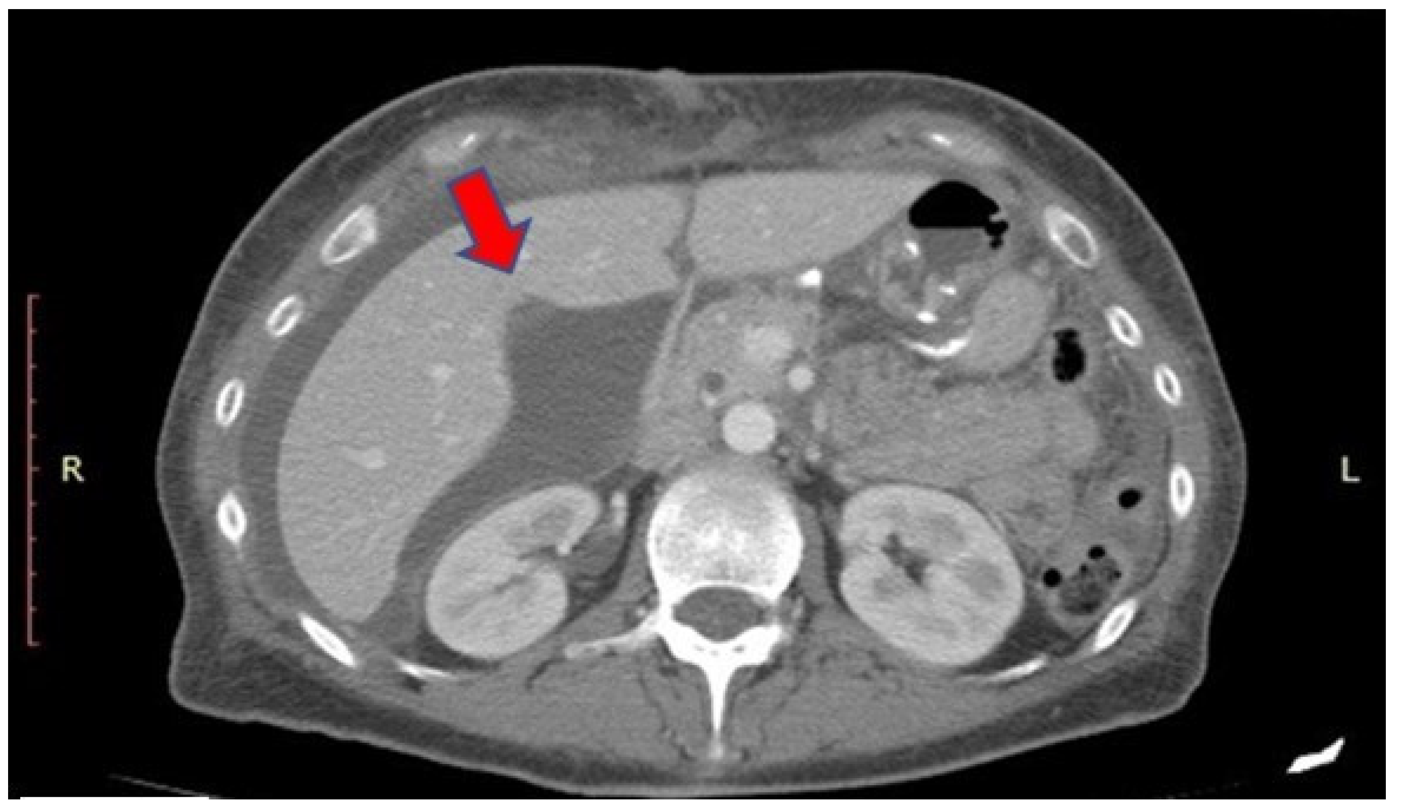
The management of LD leaks mainly depends on the presentation: those cases which are intraoperatively diagnosed are usually clipped during the procedure. However, despite the better view offered by the laparoscope, the intraoperative aspect of the liver bed may appear normal, but a postoperative leak from an LD may occur. The postoperative manifestation of an LD leak is heterogenous and can be treated in several ways according to the clinical manifestation of the patient. In cases where the patient is septic, and a large amount of fluid is seen on imaging (Figure 4) with or without bile duct dilatation, we suggest surgical exploration for abdominal washout. It can be difficult to diagnose the exact location of an LD leak intraoperatively; therefore, we always recommend the assistance of an HPB surgeon and conversion to open surgery in difficult cases. In cases where a small biloma is seen on imaging and the patient is doing well with no signs of sepsis, conservative management can be taken with intravenous antibiotics, ERCP plus or minus stenting and follow-up imaging.
Figure 4.
CT image of a Luschka duct leakage. Red Arrow indicates the bile collection.
Again, we would also like to emphasize the importance of the cooperation of a multidisciplinary team from different surgical units and subspecialties in the treatment of these complicated cases.
In cases of a Luschka leak after liver transplantation, ERCP is both diagnostic and therapeutic. Percutaneous transhepatic cholangiography (PTC) may be preferable to ERCP in the setting of Roux-en-Y Hepatic Jejunostomy given the altered anatomy. If ERCP or PTC fails, surgical treatment with repair is recommended. However, since the cause of a biliary leak after transplantation is often related to other major injuries, surgical exploration is the most preferred approach [64,65].
4.2. Limitations
The main limitation of our study is that it is a review of published articles of different regions and areas of expertise. Another point to note is the under-reporting of BDI in general and LD leaks. We recommend more reporting and future studies regarding these pathologies.
5. Conclusions
Leaks from LDs are rare. However, together with cystic stump leaks, they represent the second most frequent cause of bile leak after laparoscopic cholecystectomy. Thorough inspection of the gallbladder bed is recommended after an LC. Since these leaks are uncommon events, they tend to be described as sporadic case reports. A multidisciplinary team should approach and treat such cases.
Author Contributions
Conceptualization, A.V. and G.B.; formal analysis, A.V., G.B. and M.S.; investigation, M.S., P.C. and M.P.; writing—original draft preparation, A.V. and R.P.; writing—review and editing, V.P., R.T., C.D.W. and C.R. All authors have read and agreed to the published version of the manuscript.
Funding
This research received no external funding.
Institutional Review Board Statement
Not applicable.
Informed Consent Statement
Not applicable.
Data Availability Statement
Not applicable.
Conflicts of Interest
The authors declare no conflicts of interest.
References
- Pesce, A.; Portale, T.R.; Minutolo, V.; Scilletta, R.; Destri, G.L.; Puleo, S. Bile duct injury during laparoscopic cholecystectomy without intraoperative cholangiography: A retrospective study on 1,100 selected patients. Dig. Surg. 2012, 29, 310–314. [Google Scholar] [CrossRef] [PubMed]
- Pesce, A.; Palmucci, S.; La Greca, G.; Puleo, S. Iatrogenic bile duct injury: Impact and management challenges. Clin. Exp. Gastroenterol. 2019, 12, 121–128. [Google Scholar] [CrossRef] [PubMed]
- Chun, K. Recent classifications of the common bile duct injury. Korean J. Hepato-Biliary-Pancreat. Surg. 2014, 18, 69–72. [Google Scholar] [CrossRef]
- Christoforidis, E.; Vasiliadis, K.; Goulimaris, I.; Tsalis, K.; Kanellos, I.; Papachilea, T.; Tsorlini, E.; Betsis, D. A single center experience in minimally invasive treatment of postcholecystectomy bile leak, complicated with biloma formation. J. Surg. Res. 2007, 141, 171–175. [Google Scholar] [CrossRef] [PubMed]
- Viste, A.; Horn, A.; Øvrebø, K.; Christensen, B.; Angelsen, J.-H.; Hoem, D. Bile duct injuries following laparoscopic cholecystectomy. Scand. J. Surg. 2015, 104, 233–237. [Google Scholar] [CrossRef]
- Garcia, S.; Concepción, A.M.; Wakoff, C. Bile Leak Due to Luschka Duct Injury after Laparoscopic Cholecystectomy: A Case Report. Cureus 2022, 14, e28427. [Google Scholar] [CrossRef]
- Doumenc, B.; Boutros, M.; Dégremont, R.; Bouras, A. Biliary leakage from gallbladder bed after cholecystectomy: Luschka duct or hepaticocholecystic duct? Morphologie 2016, 100, 36–40. [Google Scholar] [CrossRef]
- Schnelldorfer, T.; Sarr, M.G.; Adams, D.B. What is the Duct of Luschka?—A Systematic Review. J. Gastrointest. Surg. 2012, 16, 656–662. [Google Scholar] [CrossRef]
- Tabanera, A.V.; Vicente, A.P.; Buenadicha, A.L.; Peromingo, R.; Hervás, P.L.; Vazquez-Garza, J.N. Luschka Duct Leak: An Unexpected Cause of Choleperitoneum after Liver Transplant. Transplantation 2020, 18, 526–528. [Google Scholar] [CrossRef]
- Handra-Luca, A.; Ben Romdhane, H.M.; Hong, S.-M. Luschka Ducts of the Gallbladder in Adults: Case Series Report and Review of the Medical Literature. Int. J. Surg. Pathol. 2020, 28, 482–489. [Google Scholar] [CrossRef]
- Moher, D.; Liberati, A.; Tetzlaff, J.; Altman, D.G. Preferred reporting items for systematic reviews and meta-analyses: The PRISMA statement. Ann. Intern. Med. 2009, 151, 264–269. [Google Scholar] [CrossRef]
- Crowley, C.; Elojeimy, S.; Rieter, W.J. Utility of Dynamic Hepatobiliary Scintigraphy in Identifying a Duct of Luschka Bile Leak. Clin. Nucl. Med. 2021, E172–E173. [Google Scholar] [CrossRef]
- Sánchez, M.; Heiberger, F.; Rojas, R.; Sánchez, R.; Bordón, A. Conservative Management of Bile Leak Secondary to an Accessory Duct of Luschka. HPB 2021, 23 (Suppl. S1), S384. [Google Scholar] [CrossRef]
- Nagaratnam, P.; Ngo, J.S.L.; Ling, L.L.; Kharlina, K.; Gew, L.T.; Sidhu, J. A multicentre study on the endoscopic management of bile duct injury. J. Gastroenterol. Hepatol. 2021, 36 (Suppl. S2). [Google Scholar] [CrossRef]
- Hussain, A.; Lafaurie, G.; Hafeez, R.; El-Hasani, S. Is Specialisation Needed in Laparoscopic Cholecystectomy? A Retrospective Cohort Study of 5122 Patients. Chirurgia 2020, 115, 756–766. [Google Scholar] [CrossRef]
- Chandra, S.; Murali, A.R.; Masadeh, M.; Silverman, W.B.; Johlin, F.C. Comparison of Biliary Stent versus Biliary Sphincterotomy Alone in the Treatment of Bile Leak. Dig. Dis. 2020, 38, 32–37. [Google Scholar] [CrossRef]
- Paramythiotis, D.; Moysidis, M.; Rafailidis, V.; Bangeas, P.; Karakatsanis, A.; Kalogera, A.; Michalopoulos, A. Ducts of Luschka as a rare cause of postoperative biloma. MRCP findings. Radiol. Case Rep. 2019, 14, 1237–1240. [Google Scholar] [CrossRef] [PubMed]
- Masoni, L.; Landi, L.; Maglio, R. Intraoperative Treatment of Duct of Luschka during Laparoscopic Cholecystectomy: A Case Report and Revision of Literature. Case Rep. Surg. 2018, 2018, 9813489. [Google Scholar] [CrossRef] [PubMed]
- Kumar, S.; Chandra, A. Management of bile leak from subvesical duct (duct of Luschka) during laparoscopic cholecystectomy. Turk. J. Surg. 2018, 37, 80–81. [Google Scholar] [CrossRef]
- Lytvyn, O.I.; Usenko, O.Y.U.; Nichitaylo, M.Y.; Ogorodnik, P.V.; Lytvyn, O.I.; Deynichenko, A.G. Re-laparoscopy in diagnostic and management of postoperative bile leak after extrahepatic biliary operations. Surg. Endosc. 2019, 33 (Suppl. S2), S693. [Google Scholar]
- Antequera, A.; MacAno, C.; Lopez, M.; Robba, M.; Edmons, R.; Coleman, N. Duct of Lushcka. Source of complications. Surg. Endosc. 2019, 33 (Suppl. S2), S695. [Google Scholar]
- Abtar, H.K.; Mhana, T.M.; Zbibo, R.; Mneimneh, M.; Asmar, A.E. First case report of bile leak from the duct of Luschka in a patient with mini-gastric bypass: The challenge of management. Ann. Med. Surg. 2018, 35, 29–32. [Google Scholar] [CrossRef] [PubMed]
- Bonatti, H.J.R.; Corey, M.R.; Taylor, J.T.; Geevarghese, S.K. Bile leak from the gallbladder fossa after liver transplantation. Eur. Surg. 2018, 50, 33–36. [Google Scholar] [CrossRef]
- Ko, S.Y.; Lee, J.R.; Wang, J.H. Endoscopic Nasobiliary Drainage for Bile Leak Caused by Injury to the Ducts of Luschka. Korean J. Gastroenterol. 2017, 69, 147–150. [Google Scholar] [CrossRef] [PubMed]
- Mariolis-Sapsakos, T.; Zarokosta, M.; Zoulamoglou, M.; Piperos, T.; Papapanagiotou, I.; Sgantzos, M.; Birbas, K.; Kaklamanos, I. Aberrant subvesical bile ducts identified during laparoscopic cholecystectomy: A rare case report and review of the literature. Int. J. Surg. Case Rep. 2017, 31, 99–102. [Google Scholar] [CrossRef] [PubMed]
- Aspinen, S.; Harju, J.; Kinnunen, M.; Juvonen, P.; Kokki, H.; Eskelinen, M. A randomized multicenter study of minilaparotomy cholecystectomy versus laparoscopic cholecystectomy with ultrasonic dissection in both groups. Scand. J. Gastroenterol. 2016, 51, 354–359. [Google Scholar] [CrossRef][Green Version]
- Shahnawaz, Z.; Arif, M.O.; Roy, A. Post cholecystectomy bile leak from the duct of Luschka in a patient with Marfan’s syndrome. Am. J. Gastroenterol. 2015, 110 (Suppl. S1), S115–S116. [Google Scholar] [CrossRef]
- Salsano, G.; Paparo, F.; Valdata, A.; Patrone, L.; Filauro, M.; Rollandi, G.A.; De Caro, G. Management of Bile Leak from Luschka Ducts after Laparoscopic Cholecystectomy: An Original Procedure for Coil Embolization. Cardiovasc. Interv. Radiol. 2016, 39, 483–486. [Google Scholar] [CrossRef]
- Gutierrez, J.P.; Smith, I.B.; Wilcox, C.M.; Mönkemüller, K. Bile leak from the duct of Luschka treated with double-balloon enteroscopy ERCP in a patient with Roux-en-Y gastric bypass. Endoscopy 2013, 45, E404. [Google Scholar] [CrossRef]
- Tewani, S.K.; Turner, B.G.; Chuttani, R.; Pleskow, D.K.; Sawhney, M.S. Location of bile leak predicts the success of ERCP performed for postoperative bile leaks. Gastrointest. Endosc. 2013, 77, 601–608. [Google Scholar] [CrossRef]
- Thayalasekaran, S.; Gibson, M.; Kinchen, J.; Booth, J.; Booth, M.; Mee, A. Bile duct leaks from an aberrant duct of Luschka. Gut 2012, 61 (Suppl. S2), A381–A382. [Google Scholar] [CrossRef][Green Version]
- Lo Nigro, C.; Geraci, G.; Sciuto, A.; Li Volsi, F.; Sciume, C.; Modica, G. Bile leaks after videolaparoscopic cholecystectomy: Duct of Luschka. Endoscopic treatment in a single centre and brief literature review on current management. Ann. Ital. Chir. 2012, 83, 303–312. [Google Scholar]
- Tran, T.; Kureshi, I. Bile leak from the duct of luschka: A multidisciplinary approach. Am. J. Gastroenterol. 2011, 106 (Suppl. S2), S216. [Google Scholar] [CrossRef]
- Hwang, J.C.; Kim, J.H.; Yoo, B.M.; Lim, S.-G.; Kim, W.H.; Kim, M.W. Temporary placement of a newly designed, fully covered, self-expandable metal stent for refractory bile leaks. Gut Liver 2011, 5, 96–99. [Google Scholar] [CrossRef]
- Fasoulas, K.; Zavos, C.; Chatzimavroudis, G.; Trakateli, C.; Vasiliadis, T.; Ioannidis, A.; Kountouras, J.; Katsinelos, P. Eleven-year experience on the endoscopic treatment of post-cholecystectomy bile leaks. Ann. Gastroenterol. 2011, 24, 200–205. [Google Scholar]
- Neumann, H.; Fry, L.C.; Malfertheiner, P.; Mönkemüller, K. Bile leak from the duct of Luschka. Z. Gastroenterol. 2010, 48, 256–257. [Google Scholar] [CrossRef]
- Pinkas, H.; Brady, P.G. Biliary leaks after laparoscopic cholecystectomy: Time to stent or time to drain. Hepatobiliary Pancreat Dis. Int. 2008, 7, 628–632. [Google Scholar]
- Bledsoe, S.E.; Maull, K.I. Image of the month. Subvesical bile duct (Luschka) leak. Arch. Surg. 2008, 143, 1127. [Google Scholar] [CrossRef] [PubMed][Green Version]
- Tantia, O.; Jain, M.; Khanna, S.; Sen, B. Iatrogenic biliary injury: 13,305 cholecystectomies experienced by a single surgical team over more than 13 years. Surg. Endosc. 2008, 22, 1077–1086. [Google Scholar] [CrossRef] [PubMed]
- Rulli, F.; Grasso, E. Biliary peritonitis for duct of Luschka bile leak after laparoscopic cholecystectomy performed with a 10-mm harmonic scalpel. Langenbeck’s Arch. Surg. 2007, 392, 111–112. [Google Scholar] [CrossRef] [PubMed]
- Ramia, J.M.; Muffak, K.; Mansilla, A.; Villar, J.; Garrote, D.; Ferron, J.A. Postlaparoscopic cholecystectomy bile leak secondary to an accessory duct of Luschka. JSLS 2005, 9, 216–217. [Google Scholar]
- Misra, M.; Schiff, J.; Rendon, G.; Rothschild, J.; Schwaitzberg, S. Laparoscopic cholecystectomy after the learning curve: What should we expect? Surg. Endosc. 2005, 19, 1266–1271. [Google Scholar] [CrossRef]
- Kaffes, A.J.; Hourigan, L.; De Luca, N.; Byth, K.; Williams, S.J.; Bourke, M.J. Impact of endoscopic intervention in 100 patients with suspected postcholecystectomy bile leak. Gastrointest. Endosc. 2005, 61, 269–275. [Google Scholar] [CrossRef] [PubMed]
- Sandha, G.S.; Bourke, M.J.; Haber, G.B.; Kortan, P.P. Endoscopic therapy for bile leak based on a new classification: Results in 207 patients. Gastrointest. Endosc. 2004, 60, 567–574. [Google Scholar] [CrossRef] [PubMed]
- Rossi, P.; Servili, S.; Contine, A.; Graziosi, L.; Carbone, E.; Annesi, M.; Framarini, M.; Tristaino, B. Bile leak from the hepatic bed after laparoscopic cholecystectomy. Chir. Ital. 2002, 54, 507–509. [Google Scholar]
- De Palma, G.D.; Galloro, G.; Iuliano, G.; Puzziello, A.; Persico, F.; Masone, S.; Persico, G. Leaks from laparoscopic cholecystectomy. Hepatogastroenterology 2002, 49, 924–925. [Google Scholar]
- Albishri, S.; Issa, S.; Kneteman, N.; Shapiro, A. Bile leak from duct of Luschka after liver transplantation. Transplantation 2001, 72, 338–340. [Google Scholar] [CrossRef]
- Braghetto, I.; Bastias, J.; Csendes, A.; Debandi, A. Intraperitoneal bile collections after laparoscopic cholecystectomy. Causes, clinical presentation, diagnosis and treatment. Surg. Endosc. 2000, 14, 1037–1041. [Google Scholar] [CrossRef]
- Wills, V.L.; Jorgensen, J.O.; Hunt, D.R. Role of relaparoscopy in the management of minor bile leakage after laparoscopic cholecystectomy. Br. J. Surg. 2000, 87, 176–180. [Google Scholar] [CrossRef] [PubMed]
- Jamshidi, M.; Obermeyer, R.J.; Garcia, G.; Hashmi, M. Post-laparoscopic cholecystectomy bile leak secondary to an accessory duct of Luschka. Int. Surg. 1999, 84, 86–88. [Google Scholar]
- Mergener, K.; Strobel, J.C.; Suhocki, P.; Jowell, P.S.; Enns, R.A.; Branch, M.; Baillie, J. The role of ERCP in diagnosis and management of accessory bile duct leaks after cholecystectomy. Gastrointest. Endosc. 1999, 50, 527–531. [Google Scholar] [CrossRef] [PubMed]
- Aru, G.M.; Davis, C.R.; Elliott, N.L.; Morris, S.J. Endoscopic retrograde cholangiopancreatography in the treatment of bile leaks and bile duct strictures after laparoscopic cholecystectomy. South. Med. J. 1997, 90, 705–708. [Google Scholar] [CrossRef] [PubMed]
- Bour, E.S.; Conter, R.L. Acute right-lower-quadrant mass presenting after laparoscopic cholecystectomy. Surg. Laparosc. Endosc. 1997, 7, 51–52. [Google Scholar] [CrossRef] [PubMed]
- Albasini, J.L.; Aledo, V.S.; Dexter, S.P.; Marton, J.; Martin, I.G.; McMahon, M.J. Bile leakage following laparoscopic cholecystectomy. Surg. Endosc. 1995, 9, 1274–1278. [Google Scholar] [CrossRef] [PubMed]
- Sefr, R.; Ochmann, J.; Kozumplik, L.; Vrastyak, J.; Penka, I. The role of relaparoscopy in the management of bile leaks after laparoscopic cholecystectomy. Int. Surg. 1995, 80, 356–357. [Google Scholar] [PubMed]
- Frakes, J.T.; Bradley, S.J. Endoscopic stent placement for biliary leak from an accessory duct of Luschka after laparoscopic cholecystectomy. Gastrointest. Endosc. 1993, 39, 90–92. [Google Scholar] [CrossRef]
- Brooks, D.C.; Becker, J.M.; Connors, P.J.; Carr-Locke, D.L. Management of bile leaks following laparoscopic cholecystectomy. Surg. Endosc. 1993, 7, 292–295. [Google Scholar] [CrossRef] [PubMed]
- Page, M.J.; McKenzie, J.E.; Bossuyt, P.M.; Boutron, I.; Hoffmann, T.C.; Mulrow, C.D.; Shamseer, L.; Tetzlaff, J.M.; Akl, E.A.; Brennan, S.E.; et al. The PRISMA 2020 statement: An updated guideline for reporting systematic reviews. BMJ 2021, 372, 71. [Google Scholar] [CrossRef]
- Kapoor, V.K. Epidemiology of Bile Duct Injury. In Post-Cholecystectomy Bile Duct Injury; Kapoor, V., Ed.; Springer: Singapore, 2020. [Google Scholar] [CrossRef]
- Pekolj, J.; Alvarez, F.A.; Palavecino, M.; Clariá, R.S.; Mazza, O.; de Santibañes, E. Intraoperative management and repair of bile duct injuries sustained during 10,123 laparoscopic cholecystectomies in a high-volume referral center. J. Am. Coll. Surg. 2013, 216, 894–901. [Google Scholar] [CrossRef]
- Booij, K.A.C.; de Reuver, P.R.; van Dieren, S.; van Delden, O.M.; Rauws, E.A.; Busch, O.R.; van Gulik, T.M.; Gouma, D.J. Long-term Impact of Bile Duct Injury on Morbidity, Mortality, Quality of Life, and Work Related Limitations. Ann. Surg. 2018, 268, 143–150. [Google Scholar] [CrossRef]
- Booij, K.A.C.; de Reuver, P.R.; Yap, K.; van Dieren, S.; van Delden, O.M.; Rauws, E.A.; Gouma, D.J. Morbidity and mortality after minor bile duct injury following laparoscopic cholecystectomy. Endoscopy 2015, 47, 40–46. [Google Scholar] [CrossRef] [PubMed]
- de’angelis, N.; Catena, F.; Memeo, R.; Coccolini, F.; Martínez-Pérez, A.; Romeo, O.M.; De Simone, B.; Di Saverio, S.; Brustia, R.; Rhaiem, R.; et al. 2020 WSES guidelines for the detection and management of bile duct injury during cholecystectomy. World J. Emerg. Surg. 2021, 16, 30. [Google Scholar] [CrossRef] [PubMed]
- Spanos, C.P.; Syrakos, T. Bile leaks from the duct of Luschka (subvesical duct): A review. Langenbeck’s Arch. Surg. 2006, 391, 441–447. [Google Scholar] [CrossRef] [PubMed]
- Selleslag, S.; Vandeputte, M.; Walgraeve, M.-S. Unveiling the Hidden Culprit: A Case of Bile Leakage Post-Cholecystectomy Caused by a Luschka Duct. J. Belg. Soc. Radiol. 2023, 107, 59. [Google Scholar] [CrossRef] [PubMed]
Disclaimer/Publisher’s Note: The statements, opinions and data contained in all publications are solely those of the individual author(s) and contributor(s) and not of MDPI and/or the editor(s). MDPI and/or the editor(s) disclaim responsibility for any injury to people or property resulting from any ideas, methods, instructions or products referred to in the content. |
© 2024 by the authors. Licensee MDPI, Basel, Switzerland. This article is an open access article distributed under the terms and conditions of the Creative Commons Attribution (CC BY) license (https://creativecommons.org/licenses/by/4.0/).



