Protection and Rehabilitation Effects of Cordyceps militaris Fruit Body Extract and Possible Roles of Cordycepin and Adenosine
Abstract
1. Introduction
2. Materials and Methods
2.1. Materials and Reagent
2.1.1. Animals
2.1.2. Material and Chemicals
2.2. Experimental Instrument
2.3. Toxicity Evaluation of C. militaris Extract on Experimental Animals
2.3.1. Acute Toxicity on Wistar Rats
2.3.2. Semi-Chronic Toxicity on Wistar Rats
2.4. Androgenic Activity of C. militaris Extract on Castrated Premature Male Wistar Rats
2.5. Effects of C. militaris Extract on Reproductive Function of Wistar Rats Induced by VPA
2.5.1. Protective Effect
2.5.2. Rehabilitation Effect
2.6. Statistical Analysis
3. Results
3.1. Impact of Possible Toxicity of C. militaris on Experimental Animals
3.1.1. Acute Toxicity on Wistar Rats
3.1.2. Semi-Chronic Toxicity in Wistar Rats
3.2. Effect of C. militaris Extract on the Reproduction Function of Wistar Rats Induced by VPA
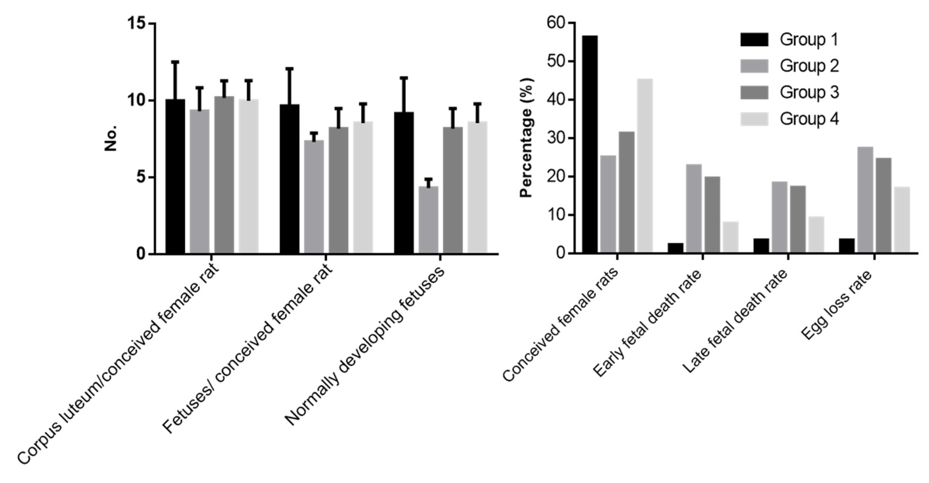
3.2.1. Protective Effect
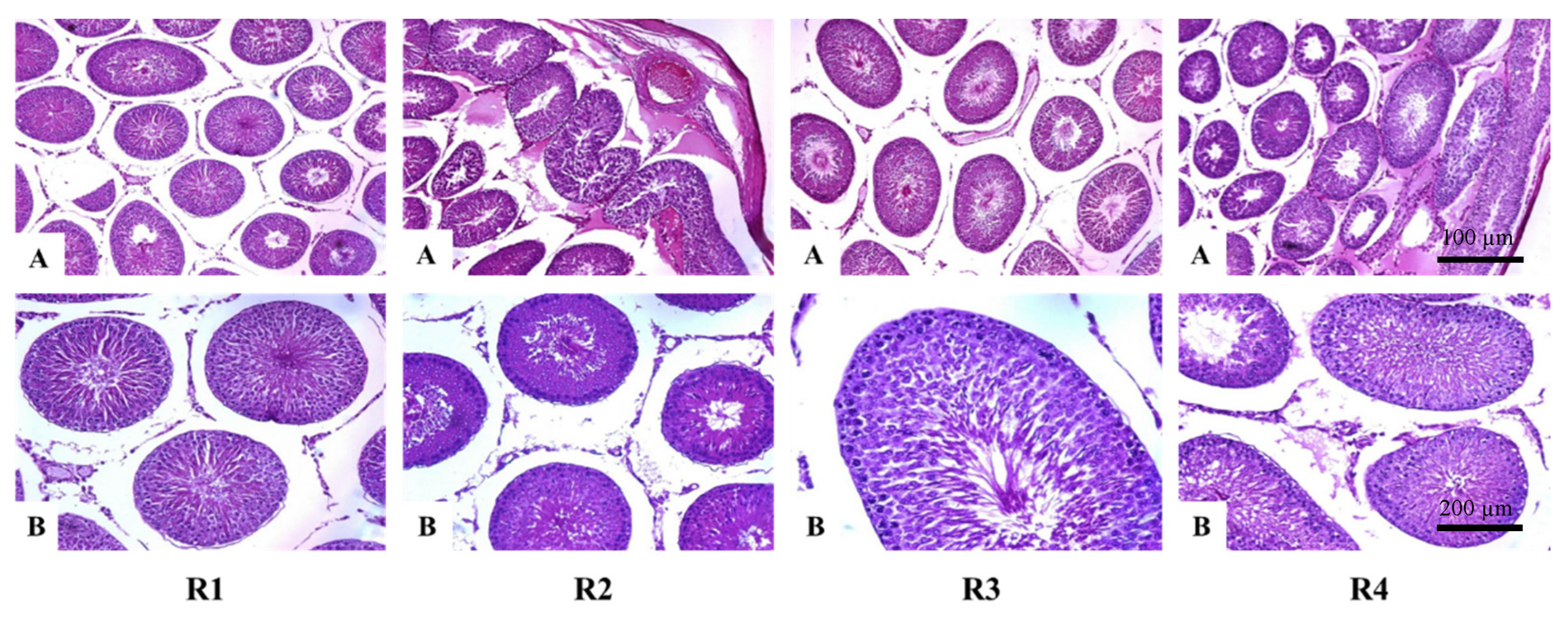
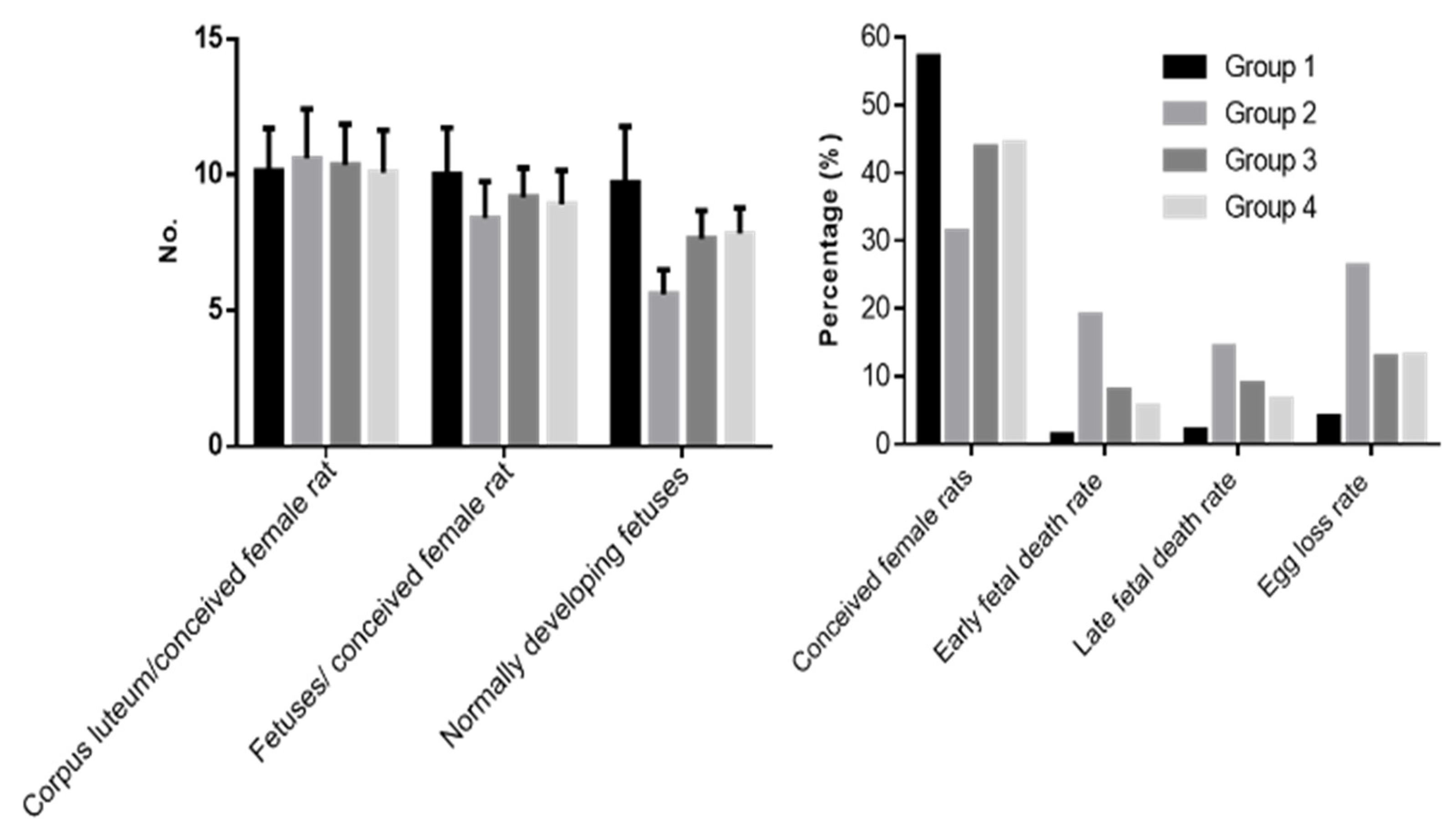
3.2.2. Rehabilitation Effect
4. Discussion
5. Conclusions
Author Contributions
Funding
Institutional Review Board Statement
Informed Consent Statement
Data Availability Statement
Acknowledgments
Conflicts of Interest
References
- Semah, F.; Picot, M.-C.; Derambure, P.; Dupont, S.; Vercueil, L.; Chassagnon, S.; Marchal, C.; Thomas, P.; Ryvlin, P. The Choice of Antiepileptic Drugs in Newly Diagnosed Epilepsy: A National French Survey. Epileptic Disord. 2004, 6, 255–265. [Google Scholar] [PubMed]
- Mattson, R.H.; Cramer, J.A.; Collins, J.F.; Smith, D.B.; Delgado-Escueta, A.V.; Browne, T.R.; Williamson, P.D.; Treiman, D.M.; McNamara, J.O.; McCutchen, C.B. Comparison of Carbamazepine, Phenobarbital, Phenytoin, and Primidone in Partial and Secondarily Generalized Tonic-Clonic Seizures. N. Engl. J. Med. 1985, 313, 145–151. [Google Scholar] [CrossRef] [PubMed]
- Curtis, V.L.; Oelberg, D.G.; Willmore, L.J. Infertility Secondary to Valproate. J. Epilepsy 1994, 7, 259–261. [Google Scholar] [CrossRef]
- Isojärvi, J.I.T.; Taubøll, E.; Herzog, A.G. Effect of Antiepileptic Drugs on Reproductive Endocrine Function in Individuals with Epilepsy. CNS Drugs 2005, 19, 207–223. [Google Scholar] [CrossRef]
- Nishimura, T.; Sakai, M.; Yonezawa, H. Effects of Valproic Acid on Fertility and Reproductive Organs in Male Rats. J. Toxicol. Sci. 2000, 25, 85–93. [Google Scholar] [CrossRef]
- Sveberg Røste, L.; Taubøll, E.; Berner, A.; Berg, K.A.; Aleksandersen, M.; Gjerstad, L. Morphological Changes in the Testis after Long-Term Valproate Treatment in Male Wistar Rats. Seizure 2001, 10, 559–565. [Google Scholar] [CrossRef]
- Graf, W.; Oleinik, O.; Glauser, T.; Maertens, P.; Eder, D.; Pippenger, C. Altered Antioxidant Enzyme Activities in Children with a Serious Adverse Experience Related to Valproic Acid Therapy. Neuropediatrics 1998, 29, 195–201. [Google Scholar] [CrossRef]
- Klee, S.; Johanssen, S.; Ungemach, F.R. Evidence for a Trigger Function of Valproic Acid in Xenobiotic-Induced Hepatotoxicity. Pharmacol. Toxicol. 2000, 87, 89–95. [Google Scholar] [CrossRef]
- Bykov, I.L.; Mal’tsev, A.N.; Gurinovich, V.A.; Nefedov, L.I. Biochemical Basis of Valproic Acid Toxicity: Role of Oxidative Stress and Effects of L-carnitine. Biomed. Khim. 2004, 50, 384–389. [Google Scholar]
- Osivand, A.; Araya, H.; Appiah, K.; Mardani, H.; Ishizaki, T.; Fujii, Y. Allelopathy of Wild Mushrooms—An Important Factor for Assessing Forest Ecosystems in Japan. Forests 2018, 9, 773. [Google Scholar] [CrossRef]
- Idrees, H.; Javaid, A. Screening of Some Pathogenic Fungi for Their Herbicidal Potential Against Parthenium Weed. Pak. J. Phytopathol. 2008, 20, 150–155. [Google Scholar]
- Xuan, T.D.; Shinkichi, T.; Khanh, T.D.; Chung, I.M. Biological Control of Weeds and Plant Pathogens in Paddy Rice by Exploiting Plant Allelopathy: An Overview. Crop. Prot. 2005, 24, 197–206. [Google Scholar] [CrossRef]
- Ziment, I.; Tashkin, D.P. Alternative Medicine for Allergy and Asthma. J. Allergy Clin. Immunol. 2000, 106, 603–614. [Google Scholar] [CrossRef] [PubMed]
- Winkler, D. Cordyceps sinensis. Field Mycol. 2010, 11, 60–67. [Google Scholar] [CrossRef]
- Chou, T.-Y.; Kuo, H.-P.; Tsai, S.-F.; Huang, S.-T.; Yang, M.-J.; Lee, S.-S.; Chang, C.-C. Doubled Production of Cordycepin Analogs in Cultured Cordyceps militaris by Addition of Andrea Droppings. Nat. Prod. Res. 2021, 35, 5459–5464. [Google Scholar] [CrossRef]
- Huang, L.-F.; Liang, Y.-Z.; Guo, F.-Q.; Zhou, Z.-F.; Cheng, B.-M. Simultaneous Separation and Determination of Active Components in Cordyceps sinensis and Cordyceps militarris by LC/ESI-MS. J. Pharm. Biomed. Anal. 2003, 33, 1155–1162. [Google Scholar] [CrossRef]
- Dong, J.Z.; Wang, S.H.; Ai, X.R.; Yao, L.; Sun, Z.W.; Lei, C.; Wang, Y.; Wang, Q. Composition and Characterization of Cordyxanthins from Cordyceps militaris Fruit Bodies. J. Funct. Foods 2013, 5, 1450–1455. [Google Scholar] [CrossRef]
- Das, S.K.; Masuda, M.; Sakurai, A.; Sakakibara, M. Medicinal Uses of the Mushroom Cordyceps militaris: Current State and Prospects. Fitoterapia 2010, 81, 961–968. [Google Scholar] [CrossRef]
- Koh, J.-H.; Kim, K.-M.; Kim, J.-M.; Song, J.-C.; Suh, H.-J. Antifatigue and Antistress Effect of the Hot-Water Fraction from Mycelia of Cordyceps sinensis. Biol. Pharm. Bull. 2003, 26, 691–694. [Google Scholar] [CrossRef]
- Liu, J.-Y.; Feng, C.-P.; Li, X.; Chang, M.-C.; Meng, J.-L.; Xu, L.-J. Immunomodulatory and Antioxidative Activity of Cordyceps militaris Polysaccharides in Mice. Int. J. Biol. Macromol. 2016, 86, 594–598. [Google Scholar] [CrossRef]
- Cho, S.H.; Kang, I.-C. The Inhibitory Effect of Cordycepin on the Proliferation of Cisplatin-Resistant A549 Lung Cancer Cells. Biochem. Biophys. Res. Commun. 2018, 498, 431–436. [Google Scholar] [CrossRef] [PubMed]
- Quy, T.; Xuan, T. Xanthine Oxidase Inhibitory Potential, Antioxidant and Antibacterial Activities of Cordyceps militaris (L.) Link Fruiting Body. Medicines 2019, 6, 20. [Google Scholar] [CrossRef] [PubMed]
- Wang, H.-J.; Pan, M.-C.; Chang, C.-K.; Chang, S.-W.; Hsieh, C.-W. Optimization of Ultrasonic-Assisted Extraction of Cordycepin from Cordyceps militaris Using Orthogonal Experimental Design. Molecules 2014, 19, 20808–20820. [Google Scholar] [CrossRef] [PubMed]
- Lee, H.J.; Burger, P.; Vogel, M.; Friese, K.; Brüning, A. The Nucleoside Antagonist Cordycepin Causes DNA Double Strand Breaks in Breast Cancer Cells. Investig. New Drugs 2012, 30, 1917–1925. [Google Scholar] [CrossRef]
- Wu, W.-C.; Hsiao, J.-R.; Lian, Y.-Y.; Lin, C.-Y.; Huang, B.-M. The Apoptotic Effect of Cordycepin on Human OEC-M1 Oral Cancer Cell Line. Cancer Chemother. Pharmacol. 2007, 60, 103–111. [Google Scholar] [CrossRef]
- Zhou, X.; Yao, Y. Unexpected Nephrotoxicity in Male Ablactated Rats Induced by Cordyceps militaris: The Involvement of Oxidative Changes. Evid. Based Complement. Altern. Med. 2013, 2013, 786528. [Google Scholar] [CrossRef][Green Version]
- Wang, J.; Chen, C.; Jiang, Z.; Wang, M.; Jiang, H.; Zhang, X. Protective Effect of Cordyceps militaris Extract against Bisphenol A Induced Reproductive Damage. Syst. Biol. Reprod. Med. 2016, 62, 249–257. [Google Scholar] [CrossRef]
- Xu, Y.-F. Effect of Polysaccharide from Cordyceps militaris (Ascomycetes) on Physical Fatigue Induced by Forced Swimming. Int. J. Med. Mushrooms 2016, 18, 1083–1092. [Google Scholar] [CrossRef]
- Deshmukh, L.; Sharma, A.K.; Sandhu, S.S. Contrive Himalayan Soft Gold Cordyceps Species: A Lineage of Eumycota Bestowing Tremendous Pharmacological and Therapeutic Potential. Curr. Pharmacol. Rep. 2020, 6, 155–166. [Google Scholar] [CrossRef]
- Yu, R.; Yin, Y.; Yang, W.; Ma, W.; Yang, L.; Chen, X.; Zhang, Z.; Ye, B.; Song, L. Structural Elucidation and Biological Activity of a Novel Polysaccharide by Alkaline Extraction from Cultured Cordyceps militaris. Carbohydr. Polym. 2009, 75, 166–171. [Google Scholar] [CrossRef]
- Zhu, J.S.; Halpern, G.M.; Jones, K. The Scientific Rediscovery of an Ancient Chinese Herbal Medicine: Cordyceps sinensis: Part I. J. Altern. Complement. Med. 1998, 4, 289–303. [Google Scholar] [CrossRef] [PubMed]
- Lin, W.-H.; Tsai, M.-T.; Chen, Y.-S.; Hou, R.C.-W.; Hung, H.-F.; Li, C.-H.; Wang, H.-K.; Lai, M.-N.; Jeng, K.-C.G. Improvement of Sperm Production in Subfertile Boars by Cordyceps militaris Supplement. Am. J. Chin. Med. 2007, 35, 631–641. [Google Scholar] [CrossRef] [PubMed]
- Chang, Y.; Jeng, K.-C.; Huang, K.-F.; Lee, Y.-C.; Hou, C.-W.; Chen, K.-H.; Cheng, F.-Y.; Liao, J.-W.; Chen, Y.-S. Effect of Cordyceps militaris Supplementation on Sperm Production, Sperm Motility and Hormones in Sprague-Dawley Rats. Am. J. Chin. Med. 2008, 36, 849–859. [Google Scholar] [CrossRef] [PubMed]
- Jin, L.; Chen, S.Z. The Effect of Chinese Caterpillar Fungus Ontestis Oxidative Damage Induced by Cyclopho-Sphamide in the Mice. Matern. Child Health Care China 2008, 23, 1858–1860. [Google Scholar]
- Litchfield, J.T., Jr.; Wilcoxon, F. A Simplified Method of Evaluating Dose-Effect Experiments. J. Pharmacol. Exp. Ther. 1949, 96, 99–113. [Google Scholar] [PubMed]
- Hershberger, L.G.; Shipley, E.G.; Meyer, R.K. Myotrophic Activity of 19-Nortestosterone and Other Steroids Determined by Modified Levator Ani Muscle Method. Proc. Soc. Exp. Biol. Med. 1953, 83, 175–180. [Google Scholar] [CrossRef]
- Jędrejko, K.J.; Lazur, J.; Muszyńska, B. Cordyceps militaris: An Overview of Its Chemical Constituents in Relation to Biological Activity. Foods 2021, 10, 2634. [Google Scholar] [CrossRef]
- Yu, H.M.; Wang, B.-S.; Huang, S.C.; Duh, P.-D. Comparison of Protective Effects between Cultured Cordyceps militaris and Natural Cordyceps sinensis against Oxidative Damage. J. Agric. Food Chem. 2006, 54, 3132–3138. [Google Scholar] [CrossRef] [PubMed]
- Tuli, H.S.; Sandhu, S.S.; Sharma, A.K. Pharmacological and Therapeutic Potential of Cordyceps with Special Reference to Cordycepin. 3 Biotech 2014, 4, 153. [Google Scholar] [CrossRef]
- Chiang, S.-S.; Liang, Z.-C.; Wang, Y.-C.; Liang, C.-H. Effect of Light-Emitting Diodes on the Production of Cordycepin, Mannitol and Adenosine in Solid-State Fermented Rice by Cordyceps militaris. J. Food Compost. Anal. 2017, 60, 51–56. [Google Scholar] [CrossRef]
- Iamtham, S.; Kaewkam, A.; Chanprame, S.; Pan-utai, W. Effect of Spirulina Biomass Residue on Yield and Cordycepin and Adenosine Production of Cordyceps militaris Culture. Bioresour. Technol. Rep. 2022, 17, 100893. [Google Scholar] [CrossRef]
- Cunningham, K.G.; Hutchinson, S.A.; Manson, W.; Spring, F.S. 508. Cordycepin, a Metabolic Product from Cultures of Cordyceps militaris (Linn.) Link. Part I. Isolation and Characterisation. J. Chem. Soc. 1951, 508, 2299. [Google Scholar] [CrossRef]
- Ling, J.-Y.; Sun, Y.-J.; Zhang, H.; Lv, P.; Zhang, C.-K. Measurement of Cordycepin and Adenosine in Stroma of Cordyceps Sp. by Capillary Zone Electrophoresis (CZE). J. Biosci. Bioeng. 2002, 94, 371–374. [Google Scholar] [CrossRef]
- Kim, J.; Shin, J.Y.; Choi, Y.-H.; Lee, S.Y.; Jin, M.H.; Kim, C.D.; Kang, N.-G.; Lee, S. Adenosine and Cordycepin Accelerate Tissue Remodeling Process through Adenosine Receptor Mediated Wnt/β-Catenin Pathway Stimulation by Regulating GSK3b Activity. Int. J. Mol. Sci. 2021, 22, 5571. [Google Scholar] [CrossRef] [PubMed]
- Chen, Y.-C.; Chen, Y.-H.; Pan, B.-S.; Chang, M.-M.; Huang, B.-M. Functional Study of Cordyceps sinensis and Cordycepin in Male Reproduction: A Review. J. Food Drug Anal. 2017, 25, 197–205. [Google Scholar] [CrossRef] [PubMed]
- Liu, Y.; Wang, J.; Wang, W.; Zhang, H.; Zhang, X.; Han, C. The Chemical Constituents and Pharmacological Actions of Cordyceps sinensis. Evid. Based Complement. Altern. Med. 2015, 2015, 575063. [Google Scholar] [CrossRef]
- Cho, H.-J.; Cho, J.Y.; Rhee, M.H.; Park, H.-J. Cordycepin (3′-Deoxyadenosine) Inhibits Human Platelet Aggregation in a Cyclic AMP- and Cyclic GMP-Dependent Manner. Eur. J. Pharmacol. 2007, 558, 43–51. [Google Scholar] [CrossRef]
- Jeong, J.-W.; Jin, C.-Y.; Kim, G.-Y.; Lee, J.-D.; Park, C.; Kim, G.-D.; Kim, W.-J.; Jung, W.-K.; Seo, S.K.; Choi, I.-W. Anti-Inflammatory Effects of Cordycepin via Suppression of Inflammatory Mediators in BV2 Microglial Cells. Int. Immunopharmacol. 2010, 10, 1580–1586. [Google Scholar] [CrossRef]
- Freitas, M.C.; Cholewa, J.M.; Gerosa-Neto, J.; Gonçalves, D.C.; Caperuto, E.C.; Lira, F.S.; Rossi, F.E. A Single Dose of Oral ATP Supplementation Improves Performance and Physiological Response during Lower Body Resistance Exercise in Recreational Resistance-Trained Males. J. Strength Cond. Res. 2019, 33, 3345–3352. [Google Scholar] [CrossRef]
- Lee, E.-J.; Kim, W.-J.; Moon, S.-K. Cordycepin Suppresses TNF-Alpha-Induced Invasion, Migration and Matrix Metalloproteinase-9 Expression in Human Bladder Cancer Cells: Cordycepin Inhibits Invasion, Migration and Mmp-9 Expression. Phytother. Res. 2010, 24, 1755–1761. [Google Scholar] [CrossRef]
- Ralevic, V.; Burnstock, G. Receptors for Purines and Pyrimidines. Pharmacol. Rev. 1998, 50, 413–492. [Google Scholar] [PubMed]
- Fredholm, B.B.; IJzerman, A.P.; Jacobson, K.A.; Klotz, K.N.; Linden, J. International Union of Pharmacology. XXV. Nomenclature and Classification of Adenosine Receptors. Pharmacol. Rev. 2001, 53, 527–552. [Google Scholar] [PubMed]
- Drury, A.N.; Szent-Györgyi, A. The Physiological Activity of Adenine Compounds with Especial Reference to Their Action upon the Mammalian Heart1. J. Physiol. 1929, 68, 213–237. [Google Scholar] [CrossRef] [PubMed]
- Gu, Y.-X.; Wang, Z.-S.; Li, S.-X.; Yuan, Q.-S. Effect of Multiple Factors on Accumulation of Nucleosides and Bases in Cordyceps militaris. Food Chem. 2007, 102, 1304–1309. [Google Scholar] [CrossRef]
- Kitakaze, M.; Hori, M. Adenosine Therapy: A New Approach to Chronic Heart Failure. Expert Opin. Investig. Drugs 2000, 9, 2519–2535. [Google Scholar] [CrossRef]
- Jiang, Y.; Wong, J.H.; Fu, M.; Ng, T.B.; Liu, Z.K.; Wang, C.R.; Li, N.; Qiao, W.T.; Wen, T.Y.; Liu, F. Isolation of Adenosine, Iso-Sinensetin and Dimethylguanosine with Antioxidant and HIV-1 Protease Inhibiting Activities from Fruiting Bodies of Cordyceps militaris. Phytomedicine 2011, 18, 189–193. [Google Scholar] [CrossRef]
- Bairy, L.; Paul, V.; Rao, Y. Reproductive Toxicity of Sodium Valproate in Male Rats. Indian J. Pharmacol. 2010, 42, 90–94. [Google Scholar] [CrossRef]
- Tallon, E.; O’Donovan, L.; Delanty, N. Reversible Male Infertility with Valproate Use: A Review of the Literature. Epilepsy Behav. Rep. 2021, 16, 100446. [Google Scholar] [CrossRef]
- Ha, T.T.; Anh, P.; Tuyen, P.B.; Thanh, M.P.; Lien, N.; Binh, P.Q.; Phuong, P.T.; Huy, D.Q.; Tam, T.; Tuyet, N. Protective Role of TD0014 against Sodium Valproate-Induced Reproductive Toxicity in Male Wistar Rats. Med. Sci. 2021, 25, 1241–1247. [Google Scholar]
- HMA Hamouda, M.; S Abdel Aal, F.; HY El-Mashad, F. Effect of Sodium Valproate on the Structure of the Renal Cortex of Adult Male Albino Rat and the Role of Cinnamon. Al Azhar Med. J. 2019, 48, 1–28. [Google Scholar] [CrossRef]
- Van Nguyen, T.; Chumnanpuen, P.; Parunyakul, K.; Srisuksai, K.; Fungfuang, W. A Study of the Aphrodisiac Properties of Cordyceps militaris in Streptozotocin-Induced Diabetic Male Rats. Vet. World 2021, 14, 537–544. [Google Scholar] [CrossRef] [PubMed]
- Huang, Y.-L.; Leu, S.-F.; Liu, B.-C.; Sheu, C.-C.; Huang, B.-M. In Vivo Stimulatory Effect of Cordyceps sinensis Mycelium and Its Fractions on Reproductive Functions in Male Mouse. Life Sci. 2004, 75, 1051–1062. [Google Scholar] [CrossRef] [PubMed]
- Hsu, C.C.; Huang, Y.L.; Tsai, S.J.; Sheu, C.C.; Huang, B.M. In Vivo and in Vitro Stimulatory Effects of Cordyceps sinensis on Testosterone Production in Mouse Leydig Cells. Life Sci. 2003, 73, 2127–2136. [Google Scholar] [CrossRef] [PubMed]
- Dong, C.-H.; Yao, Y.-J. In Vitro Evaluation of Antioxidant Activities of Aqueous Extracts from Natural and Cultured Mycelia of Cordyceps sinensis. Lebenson. Wiss. Technol. 2008, 41, 669–677. [Google Scholar] [CrossRef] [PubMed]
- Pao, H.-Y.; Pan, B.-S.; Leu, S.-F.; Huang, B.-M. Cordycepin Stimulated Steroidogenesis in MA-10 Mouse Leydig Tumor Cells through the Protein Kinase C Pathway. J. Agric. Food Chem. 2012, 60, 4905–4913. [Google Scholar] [CrossRef]
- Kopalli, S.R.; Cha, K.-M.; Lee, S.-H.; Hwang, S.-Y.; Lee, Y.-J.; Koppula, S.; Kim, S.-K. Cordycepin, an Active Constituent of Nutrient Powerhouse and Potential Medicinal Mushroom Cordyceps militaris Linn., Ameliorates Age-Related Testicular Dysfunction in Rats. Nutrients 2019, 11, 906. [Google Scholar] [CrossRef]
- Leu, S.-F.; Poon, S.L.; Pao, H.-Y.; Huang, B.-M. The in Vivo and in Vitro Stimulatory Effects of Cordycepin on Mouse Leydig Cell Steroidogenesis. Biosci. Biotechnol. Biochem. 2011, 75, 723–731. [Google Scholar] [CrossRef]
- Sheth, S.; Brito, R.; Mukherjea, D.; Rybak, L.P.; Ramkumar, V. Adenosine Receptors: Expression, Function and Regulation. Int. J. Mol. Sci. 2014, 15, 2024–2052. [Google Scholar] [CrossRef]
- Rivkees, S.A.; Wendler, C.C. Adverse and Protective Influences of Adenosine on the Newborn and Embryo: Implications for Preterm White Matter Injury and Embryo Protection. Pediatr. Res. 2011, 69, 271–278. [Google Scholar] [CrossRef]
- Bellezza, I.; Minelli, A. Adenosine in Sperm Physiology. Mol. Asp. Med. 2017, 55, 102–109. [Google Scholar] [CrossRef]
- Mansouri, K.; Martin, M.; Judson, R. Multivariate Analysis of Toxicity Experimental Results of Environmental Endpoints; FutureToxII: Chapel Hill, NC, USA, 2014. [Google Scholar]
- Eide, I.; Neverdal, G.; Thorvaldsen, B.; Arneberg, R.; Grung, B.; Kvalheim, O.M. Toxicological Evaluation of Complex Mixtures: Fingerprinting and Multivariate Analysis. Environ. Toxicol. Pharmacol. 2004, 18, 127–133. [Google Scholar] [CrossRef] [PubMed]






| Parameter | S1 a (Control Group)—DW | S2 a—CE (0.336 g/kg/day) | S3 a—CE (1.008 g/kg/day) | |||||||||
|---|---|---|---|---|---|---|---|---|---|---|---|---|
| Day 0 | Day 30 | Day 60 | Day 90 | Day 0 | Day 30 | Day 60 | Day 90 | Day 0 | Day 30 | Day 60 | Day 90 | |
| Weight (g) | 179.5 ± 11.9 | 197.0 ± 25.0 * | 215.5 ± 34.5 * | 229.5 ± 24.7 * | 180.5 ± 13.8 a | 210.0 ± 22.1 * | 230.5 ± 41.4 * | 241.5 ± 43.9 * | 177.0 ± 15.1 | 199.0 ± 22.8 * | 226.5 ± 38.0 * | 236.0 ± 39.4 * |
| Haematopoiesis | ||||||||||||
| Red blood cell (T/L) | 8.4 0.3 | 8.3 ± 0.4 ** | 8.6 ± 0.4 ** | 8.6 ± 0.5 ** | 8.3 ± 0.5 | 8.4 ± 0.5 ** | 8.6 ± 0.3 ** | 8.2 ± 0.5 ** | 8.3 ± 0.5 | 8.5 ± 0.5 ** | 8.3 ± 0.5 ** | 8.2 ± 0.4 ** |
| Hemoglobin level (g/dl) | 13.4 ± 0.5 | 13.4 ± 0.4 ** | 13.5 ± 0.4 ** | 13.5 ± 0.5 ** | 13.4 ± 0.7 | 13.2 ± 0.4 ** | 13.2 ± 0.5 ** | 13.2 ± 0.4 ** | 13.2 ± 0.3 | 13.2 ± 0.5 ** | 13.2 ± 0.5 ** | 13.1 ± 0.5 ** |
| Hematocrit (%) | 39.8 ± 1.7 | 40.0 ± 1.5 ** | 39.8 ± 1.8 ** | 39.4 ± 1.9 ** | 41.0 ± 1.9 | 41.4 ± 1.5 ** | 41.90 ± 1.3 ** | 40.7 ± 1.9 ** | 39.9 ± 1.8 | 40.5 ± 1.6 ** | 39.3 ± 1.9 ** | 39.8 ± 1.9 ** |
| Mean corpuscular volume (fl) | 48.0 ± 1.8 | 48.7 ± 1.6 ** | 48.5 ± 1.3 ** | 48.3 ± 1.8 ** | 49.1 ± 1.0 | 49.5 ± 1.7 ** | 49.4 ± 1.2 ** | 48.7 ± 1.9 ** | 49.1 ± 1.6 | 48.6 ± 1.7 ** | 47.7 ± 1.5 ** | 47.5 ± 1.1 ** |
| White blood cell (G/l) | 8.7 ± 1.6 | 8.9 ± 1.7 ** | 9.2 ± 1.2 ** | 9.3 ± 1.0 ** | 9.1 ± 1.3 | 9.4 ± 1.2 ** | 9.8 ± 1.2 ** | 9.6 ± 1.2 ** | 8.6 ± 1.6 | 8.4 ± 1.1 ** | 9.6 ± 1.3 ** | 9.3 ± 1.5 ** |
| Platelet count (G/l) | 536.3 ± 75.9 | 501.8 ± 45.3 ** | 506.7 ± 61.7 ** | 513.1 ± 76.2 ** | 562.8 ± 74.8 | 519.8 ± 43.1 ** | 534.1 ± 59.7 ** | 502.5 ± 63.9 ** | 529.7 ± 62.4 | 515.6 ± 48.2 ** | 502.6 ± 64.6 ** | 497.9 ± 59.5 ** |
| Hepatic panel | ||||||||||||
| AST (UI/l) | 75.5 ± 9.5 | 74.4 ± 9.6 ** | 72.3 ± 10.9 ** | 79.9 ± 10.5 ** | 74.0 ± 9.2 | 81.3 ± 9.4 ** | 77.6 ± 10.3 ** | 80.4 ± 8.1 ** | 72.5 ± 10.8 | 78.7 ± 10.8 ** | 72.1 ± 8.8 ** | 74.8 ± 8.7 ** |
| ALT (UI/l) | 52.8 ± 6.3 | 55.9 ± 8.2 ** | 55.2 ± 9.9 ** | 54.9 ± 6.2 ** | 57.9 ± 9.1 | 57.4 ± 7.5 ** | 56.8 ± 10.2 ** | 59.6 ± 9.1 ** | 53.6 ± 7.4 | 57.2 ± 9.0 ** | 56.2 ± 9.4 ** | 55.1 ± 7.7 ** |
| Bilirubin | 13.5 ± 0.4 | 13.6 ± 0.6 ** | 13.5 ± 0.5 ** | 13.4 ± 0.5 ** | 13.4 ± 0.5 | 13.5 ± 0.4 ** | 13.6 ± 0.6 ** | 13.5 ± 0.4 ** | 13.6 ± 0.5 | 13.6 ± 0.3 ** | 13.4 ± 0.5 ** | 13.4 ± 0.4 ** |
| Albumin (g/dl) | 2.8 ± 0.2 | 2.7 ± 0.3 ** | 2.7 ± 0.2 ** | 2.7 ± 0.3 ** | 2.8 ± 0.2 | 2.7 ± 0.2 ** | 2.8 ± 0.3 ** | 2.7 ± 0.2 ** | 2.7 ± 0.1 | 2.8 ± 0.3 ** | 2.8 ± 0.3 ** | 2.8 ± 0.2 ** |
| Renal function | ||||||||||||
| Total cholesterol (mmol/l) | 1.5 ± 0.2 | 1.5 ± 0.2 ** | 1.5 ± 0.2 ** | 1.6 ± 0.2 ** | 1.5 ± 0.2 | 1.9 ± 0.2 ** | 1.7 ± 0.2 ** | 1.6 ± 0.3 ** | 1.5 ± 0.1 | 1.8 ± 0.3 ** | 1.7 ± 0.2 ** | 1.6 ± 0.2 ** |
| Creatinin (mg/dl) | 1.07 ± 0.07 | 1.06 ± 0.11 ** | 1.05 ± 0.05 ** | 1.06 ± 0.12 ** | 1.06 ± 0.10 | 1.04 ± 0.07 ** | 1.08 ± 0.09 ** | 1.05 ± 0.08 ** | 1.07 ± 0.09 | 1.06 ± 0.05 ** | 1.05 ± 0.10 ** | 1.08 ± 0.08 ** |
| A1 | A2 | A3 | A4 | A5 | A6 | ||||||
|---|---|---|---|---|---|---|---|---|---|---|---|
| Biological Control (Uncastrated + RS) | RS (10 mL/kg) | p2-1 | TP (0.4 g/kg) | p3-2 | CE (0.112 g/kg) | p4-2 | CE (0.336 g/kg) | p5-2 | CE (0.560 g/kg) | p6-2 | |
| Weight of sexual organs (mg/100 g body weight) | |||||||||||
| Vesicles | 15.81 ± 7.0 | 1.92 ± 0.92 | **** | 75.11 ± 9.49 | **** | 4.33 ± 1.83 | *** | 4.51 ± 1.32 | *** | 3.97 ± 2.20 | ** |
| Prostate | 12.51 ± 4.3 | 1.42 ± 0.66 | **** | 25.38 ± 4.42 | **** | 3.10 ± 1.46 | ** | 4.26 ± 2.64 | ** | 3.16 ± 1.58 | ** |
| Glans | 39.04 ± 13.16 | 19.62 ± 6.19 | **** | 36.46 ± 12.13 | *** | 17.87 ± 5.48 | ** | 18.10 ± 5.56 | ** | 26.79 ± 12.73 | ** |
| Cowper | 1.16 ± 0.33 | 0.37 ± 0.23 | **** | 6.08 ± 2.30 | **** | 0.62 ± 0.52 | * | 1.01 ± 0.70 | *** | 1.28 ± 1.01 | ** |
| Levator Ani Muscle | 38.85 ± 18.18 | 22.63 ± 6.22 | ** | 85.78 ± 28.01 | **** | 32.57 ± 10.27 | * | 24.53 ± 8.01 | * | 21.56 ± 7.53 | * |
| Testosterone (mmol/l) | 0.371 ± 0.278 | 0.119 ± 0.069 | ** | 8.278 ± 5.755 | *** | 0.097 ± 0.021 | * | 0.125 ± 0.032 | * | 0.216 ± 0.154 | * |
| P1 | P2 | P3 | P4 | ||||||
|---|---|---|---|---|---|---|---|---|---|
| Biological Control | VPA + DW | p2-1 | VPA + CE (0.112 g/kg) | p3-1 | p3-2 | VPA + CE (0.336 g/kg) | p4-1 | p4-2 | |
| Weight of sexual organs (mg/100 g body weight) | |||||||||
| Testicular | 1268.2 ± 113.9 | 604.6 ± 202.9 | *** | 533.6 ± 67.5 | *** | 807.4 ± 243.9 | *** | ||
| Vesicles | 110.1 ± 44.9 | 57.4 ± 25.4 | * | 79.8 ± 18.7 | 104.4 ± 23.1 | ** | |||
| Prostate | 69.3 ± 26.7 | 34.8 ± 22.3 | * | 42.6 ± 9.2 | * | 48.3 ± 18.4 | |||
| Cowper | 17.2 ± 5.8 | 15.5 ± 7.6 | 17.1 ± 5.7 | 16.5 ± 4.2 | |||||
| Glans | 48.2 ± 7.5 | 39.4 ± 7.1 | 37.8 ± 3.1 | 48.5 ± 10.7 | |||||
| Levator Ani Muscle | 250.1 ± 67.3 | 162.6 ± 53.3 | * | 168.3 ± 43.4 | 209.0 ± 50.3 | ||||
| Epididymis | 371.1 ± 43.1 | 175.5 ± 38.5 | *** | 191.3 ± 41.4 | *** | 221.6 ± 59.2 | *** | ||
| Semen and Sperm properties | |||||||||
| Sperm density | 144.7 ± 18.7 | 32.8 ± 8.9 | *** | 36.3 ± 3.4 | *** | 132.5 ± 29.5 | *** | ||
| Alive sperm (%) | 93.6 ± 2.7 | 77.5 ± 10.9 | ** | 80.0 ± 11.3 | ** | 89.5 ± 4.8 | ** | ||
| Forward progression | 30.3 ± 11.0 | 4.7 ± 0.8 | *** | 5.5 ± 1.5 | *** | 30.3 ± 12.2 | *** | ||
| Slow-progressive motility | 12.3 ± 4.5 | 2.2 ± 0.8 | *** | 2.0 ± 0.9 | *** | 8.5 ± 3.0 | * | *** | |
| Non-progressive motility | 8.4 ± 4.0 | 12.5 ± 1.9 | * | 11.3 ± 2.2 | 8.6 ± 2.3 | ** | |||
| No-mobility | 49.0 ± 10.5 | 80.7 ± 2.9 | *** | 79.5 ± 7.0 | *** | 52.6 ± 14.8 | |||
| Testosterone (mmol/l) | 6.67 ± 2.42 | 0.96 ± 0.39 | *** | 1.41 ± 0.63 | *** | 24.69 ± 9.39 | *** | *** | |
| Seminiferous tubules (picxel) | 452.74 ± 55.12 | 326.09 ± 62.71 | ** | 316.45 ± 9.44 | *** | 422.81 ± 52.94 | * | ||
| R1 | R2 | R3 | R4 | ||||||
|---|---|---|---|---|---|---|---|---|---|
| Biological Control | VPA + DW | p2-1 | VPA + CE (0.112 g/kg) | p3-1 | p3-2 | VPA + CE (0.336 g/kg) | p4-1 | p4-2 | |
| Weight of sexual organs (mg/100 g body weight) | |||||||||
| Testicular | 1294.5 ± 128.5 | 703.0 ± 80.2 | *** | 759 ± 137.1 | *** | 801.4 ± 82.2 | *** | * | |
| Vesicles | 109.7 ± 30.7 | 100.7 ± 18.1 | 96.3 ± 26.4 | 108.1 ± 43.9 | |||||
| Prostate | 76.6 ± 16.6 | 47.0 ± 17.5 | ** | 65.1 ± 22.0 | 78 ± 21.1 | ** | |||
| Cowper’s Gland | 20.8 ± 8.1 | 15.9 ± 3.5 | 18.8 ± 5.0 | * | 19.9 ± 4.7 | ||||
| Glans | 42.6 ± 5.0 | 37.7 ± 8.4 | 36.8 ± 5.0 | * | 39 ± 4.0 | ||||
| Levator Ani Muscle | 213.4 ± 68.6 | 194.4 ± 83.9 | 227.9 ± 54.3 | 210.9 ± 69.3 | |||||
| Epididymis | 341.4 ± 85.5 | 197.8 ± 51.9 | *** | 244.3 ± 43.4 | ** | 236.8 ± 58.3 | ** | ||
| Semen and Sperm properties | |||||||||
| Sperm density | 161.8 ± 36.3 | 79.2 ± 9.3 | *** | 135.7 ± 58.0 | * | 147.7 ± 45.5 | *** | ||
| Alive sperm (%) | 68.6 ± 8.9 | 53.2 ± 19.0 | * | 71.6 ± 9.6 | * | 67.6 ± 5.6 | * | ||
| Forward progression | 28.9 ± 8.7 | 9.3 ± 2.9 | *** | 13.8 ± 3.8 | *** | * | 13.8 ± 4.6 | *** | * |
| Slow-progressive motility | 15.7 ± 5.6 | 6.4 ± 2.6 | *** | 8.9 ± 2.9 | *** | 7.4 ± 2.0 | *** | ||
| Non-progressive motility | 6.4 ± 3.6 | 7.0 ± 2.2 | * | 4.1 ± 1.5 | * | ** | 4.2 ± 1.2 | * | ** |
| No-mobility | 54.5 ± 4.9 | 77.7 ± 4.9 | *** | 73.2 ± 5.5 | *** | ** | 74.6 ± 4.8 | *** | * |
| Testosterone (mmol/l) | 7.0 ± 1.6 | 5.9 ± 0.9 | 8.4 ± 2.1 | ** | 9.2 ± 2.2 | * | *** | ||
| Seminiferous tubules (picxel) | 430.2 ± 20.1 | 380.9 ± 35.3 | * | 416.1 ± 51.9 | 413.2 ± 34.9 | ||||
Publisher’s Note: MDPI stays neutral with regard to jurisdictional claims in published maps and institutional affiliations. |
© 2022 by the authors. Licensee MDPI, Basel, Switzerland. This article is an open access article distributed under the terms and conditions of the Creative Commons Attribution (CC BY) license (https://creativecommons.org/licenses/by/4.0/).
Share and Cite
Bach, M.X.; Minh, T.N.; Anh, D.T.N.; Anh, H.N.; Anh, L.V.; Trung, N.Q.; Minh, B.Q.; Xuan, T.D. Protection and Rehabilitation Effects of Cordyceps militaris Fruit Body Extract and Possible Roles of Cordycepin and Adenosine. Compounds 2022, 2, 388-403. https://doi.org/10.3390/compounds2040032
Bach MX, Minh TN, Anh DTN, Anh HN, Anh LV, Trung NQ, Minh BQ, Xuan TD. Protection and Rehabilitation Effects of Cordyceps militaris Fruit Body Extract and Possible Roles of Cordycepin and Adenosine. Compounds. 2022; 2(4):388-403. https://doi.org/10.3390/compounds2040032
Chicago/Turabian StyleBach, Mai Xuan, Truong Ngoc Minh, Dao Thi Ngoc Anh, Ho Ngoc Anh, Le Viet Anh, Nguyen Quang Trung, Bui Quang Minh, and Tran Dang Xuan. 2022. "Protection and Rehabilitation Effects of Cordyceps militaris Fruit Body Extract and Possible Roles of Cordycepin and Adenosine" Compounds 2, no. 4: 388-403. https://doi.org/10.3390/compounds2040032
APA StyleBach, M. X., Minh, T. N., Anh, D. T. N., Anh, H. N., Anh, L. V., Trung, N. Q., Minh, B. Q., & Xuan, T. D. (2022). Protection and Rehabilitation Effects of Cordyceps militaris Fruit Body Extract and Possible Roles of Cordycepin and Adenosine. Compounds, 2(4), 388-403. https://doi.org/10.3390/compounds2040032

