Abstract
We report the case of a 44-year-old woman who suffered gastric perforation after receiving bag-valve-mask (BVM) ventilation in the setting of alcohol intoxication. She had a markedly distended abdomen and cold, dusky lower extremities upon arrival to the emergency department. Imaging revealed a large volume intra-abdominal accumulation of air with compression of the aorta. Needle decompression relieved symptoms of lower extremity arterial insufficiency. However, the patient quickly decompensated and subsequent exploratory laparotomy confirmed gastric rupture. A subtotal gastrectomy was performed but the patient ultimately passed on post-operative day two due to multi-organ dysfunction. Although BVM ventilation is commonplace in both the hospital and field, there is a lack of awareness of the serious complications of abdominal air accumulation due to their rareness in the adult population. Checking for abdominal distention during resuscitation ought to be routine in all patients. Signs of arterial insufficiency accompanying abdominal distention, once confirmed by diagnostic imaging that shows extensive pneumoperitoneum, are indicators of having reached a life-threatening level of air accumulation, calling for immediate needle decompression and exploratory laparotomy.
1. Introduction
Gastric distention is a known complication of therapeutic oxygen delivery with multiple contributing factors including excessive force, volume, or frequency of air delivery. A retrospective study of 446 computed tomography (CT) scans taken after cardiopulmonary resuscitation (CPR) with bag-valve-mask (BVM) ventilation found median gastric air accumulation volumes of 400 mL [1]. In severe cases, air accumulation rates and volumes are sufficient to cause stomach perforation. While gastric distention from therapeutic oxygen delivery rarely progresses to perforation, there is a small body of literature of such cases with etiologies including bag-valve-mask (BVM) ventilation, accidental esophageal intubation, and mouth-to-mouth resuscitation [2]. When the stomach perforates, high gastric pressure causes air leak into the peritoneum causing pneumoperitoneum. A subset of these perforation cases further exhibits a phenomenon known as tension pneumoperitoneum, where the site of gastric rupture acts as a one-way valve allowing further air accumulation in the peritoneum but preventing air escape [3]. In the most severe cases of tension pneumoperitoneum, intra-abdominal pressures are sufficiently high enough to produce abdominal compartment syndrome (ACS), compressing the aorta and reducing blood flow to vital organs and the lower extremities. However, there are few descriptions in the literature of arterial insufficiency as a sequela of gastric rupture from therapeutic ventilation.
2. Case Presentation
A 44-year-old female with a past medical history of cocaine, alcohol, and cannabis use disorder was brought in by emergency medical services (EMS) with the chief complaint of altered mental status in the setting of alcohol intoxication. According to history obtained from her partner in the field, she consumed approximately 10 small bottles of Fireball whiskey and subsequently experienced sudden-onset abdominal pain and confusion. The EMS report on arrival found her to be “naked on the ground, altered and combative”. Due to the unsafe nature of the patient’s behavior, her lacking medical capacity, and an inability to transport safely, 2.5 mg of droperidol was administered intramuscularly. When this did not cause any change in the patient’s condition, 2.5 mg of midazolam was administered and calmed her down. Her vitals remained stable and within normal limits en route to the emergency department (ED). In the field and en route to the hospital, she was ventilated via BVM.
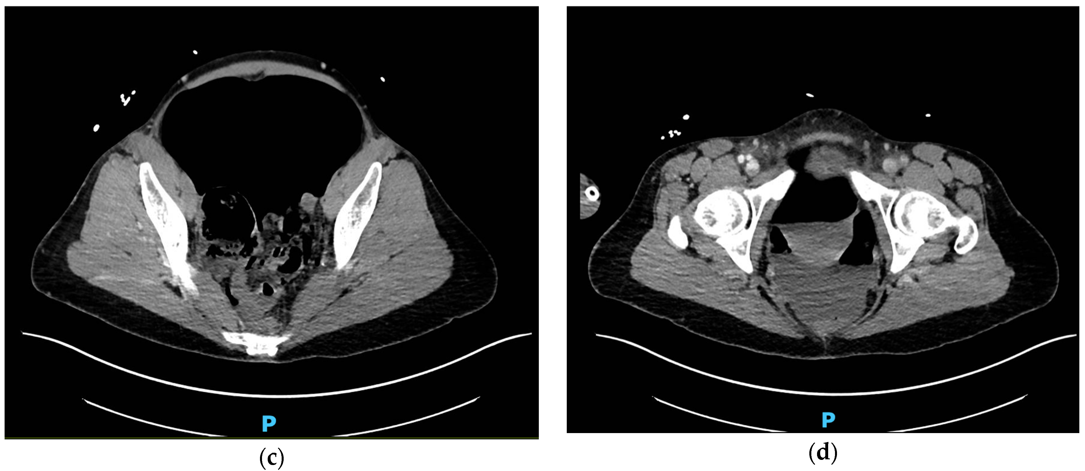
Upon arrival in the ED, patient was combative. Initial vitals were within normal limits, including a blood pressure of 110/70 and heart rate in 70 s. Urine and serum toxicology tests were positive for cocaine, hydrocodone, cannabinoids, and alcohol (serum level 312 mg/dL). She was found to have a significantly distended abdomen described as “rock-hard” to palpation. A lower extremity exam revealed dusky appearing feet that were cool to touch, non-palpable or dopplerable dorsalis pedis pulses, and 1+ radial pulses bilaterally. Bedside ultrasound revealed air in all abdominal quadrants. Subsequent expedient computed tomography angiography (CTA) revealed tension pneumoperitoneum with compression of the vena cava and aorta and presence of pneumatosis intestinalis diffusely throughout the small bowel (Figure 1a–d).

Figure 1.
Computed tomography angiography taken in the emergency department of the patient’s abdomen from superior (a) to inferior (d); (a) diffuse wall thickening with pneumatosis of multiple small bowel loops; (b) large volume pneumoperitoneum is shown to measure 11.34 cm in width and compress posterior structures, including abdominal aorta, via mass effect; (c) pneumoperitoneum is shown occupy over half of the cross-sectional area of the abdominal cavity; (d) mass effect from pneumoperitoneum is shown to compress organs all the way in the pelvis.
With the ultrasound and CTA results coupled with physical exam findings of lower extremity arterial insufficiency, an orogastric tube (OGT) was placed returning frank blood. Additionally, emergent needle decompression of the abdomen was performed with a paracentesis catheter, which was left on suction in the left side of the abdomen. Well over 2 L of air was removed from the peritoneum. Within one minute of needle decompression, there was return of dorsalis pedis pulses and color to bilateral lower extremities. However, shortly after decompression, the patient showed signs of respiratory distress with SpO2 declining to the 80% range. To support declining respiratory status, the patient was endotracheally intubated five minutes after needle decompression was performed. The trauma surgery service was consulted, and the patient was treated supportively with a 1 L lactated ringers IV bolus, norepinephrine infusion with a 0.15 mcg/kg/min rate, and 3.375 g of piperacillin-tazobactam antibiotic.
The patient’s status continued to decline with a sudden drop in systolic BPs to the 80s. A decision was emergently made to intervene with exploratory laparotomy. Pre-operatively, serum lab tests showed lactate 4.3, Hb 10.9 from a baseline of 14.5, Hct 34.9, WBC 9.89, platelets 321, and pH of 7.21 on VBG. Immediately upon incision of midline abdominal fascia, a rush of blood escaped from the abdomen. All four quadrants were opened and packed with 30 total laparotomy pads. In total, 600 mL of blood was suctioned in the process. Anesthesia was then given time to resuscitate and administer blood products before removal of any packed pads from the abdomen. A left-sided Cordis catheter was placed for transfusion. However, it was immediately found to be pulsatile and in the femoral artery rather than vein. This was left in place due to the patient’s coagulopathic state. Anesthesia subsequently placed a central venous catheter through which two units each of packed red blood cells (pRBCs) and fresh frozen plasma (FFP) were transfused, stabilizing blood pressures. Removal of the laparotomy pads revealed perforation at the lesser curvature of the stomach with hemorrhage from the left gastric artery and veins. A Ligasure device was used to stop bleeding at these vessels and others around the stomach. A subtotal gastrectomy was performed using a gastrointestinal anastomosis stapler, with the superior stomach and duodenum left in discontinuity. The abdomen was then washed out extensively. The wound was left open and covered with an AbThera Negative Pressure Wound Therapy.
Post-operatively in the ICU, the patient showed signs of multi-organ failure (ALT 1489, K 5.6, Cr 3.7, Ca 6.4), severe metabolic acidosis (pH 6.9, lactate 15), distributive shock (systolic BP in 60 s, temperatures below 32 °C (90 °F)), and DIC (INR 3.71, platelets 73). Despite treatment with broad spectrum antibiotics, continuous renal replacement therapy, and maximal use of pressors, the patient ultimately developed asystole and passed away approximately two days after initial presentation.
3. Discussion
This patient’s presentation with dusky lower extremities, lack of palpable lower extremity pulses, and CTA findings of a compressed aorta suggest severe tension pneumoperitoneum due to air entry and trapping at the site of gastric rupture. Initial needle decompression and drainage relieved symptoms of arterial insufficiency. However, high intra-abdominal pressures created by the tension pneumoperitoneum had acted as a tamponade, creating ACS that contributed to cessation of bleeding from the site of gastric rupture. Removal of this tamponade is what likely led to more vigorous internal bleeding and hemodynamic instability within minutes. Similarly, the 30 laparotomy pads placed during exploratory laparotomy had acted as a temporary tamponade whose removal required transfusion of 2 units each of pRBCs and FFP.
Gastric distention is a common finding while providing therapeutic ventilation, making it challenging to identify cases which have progressed to perforated viscus and subsequent tension pneumoperitoneum. CTA can provide a definitive diagnosis but cannot help in the field and it is often too late for patients once they have made it a hospital. Return of frank blood from an OGT is a means of diagnosis of this complication [4], and some institutions in the past have reported using diagnostic peritoneal lavage (DPL) to assess for peritoneal bleed [5]. However, gastric blood from OGT does not definitively diagnose perforation as patients may have only developed gastric mucosal layer tears rather than complete gastric perforation. In fact, it is estimated that 9–12% of CPR patients develop mucosal tears, whereas instances of perforation are far rarer, requiring at least approximately 4 L of accumulated gastric air [5]. DPL may also be inconclusive, especially in the setting of pressurized intra-abdominal air slowing a gastric bleed. However, given the rarity in the literature with one prior case attributed to BVM ventilation, only the most severe cases of perforation develop the intra-abdominal pressures necessary to compress the aorta and precipitate vital organ dysfunction [6]. This case suggests that assessing for adequate lower extremity perfusion is more rapidly informative and versatile than the traditional CTA, OGT, or DPL for identifying these severe cases. However, confirmatory imaging ought to be pursued before moving on to treatment due to other pathologies such as congestive heart failure with peripheral vascular disease that could also present with arterial insufficiency and abdominal distention. In those cases where perforated viscus is merely a secondary finding unrelated to arterial insufficiency, the underly cause of arterial insufficiency ought to be identified and stabilized first. In this case, a CTA was obtained instead of a chest or abdominal X-ray specifically to rule out more common causes of arterial insufficiency such as aortic dissection. Nevertheless, lower extremity pulses and pallor can be used as a sign of life-threatening air accumulation that should be treated with immediate cessation of ventilation and preparation for needle decompression and exploratory laparotomy while awaiting confirmatory imaging.
Once diagnosed, treatment for gastric rupture from therapeutic ventilation consists of needle decompression to provide immediate relief of intra-abdominal pressures followed by subtotal or total gastrectomy. Prior cases recommend placement of a 14-gauge catheter midline and just inferior to the umbilicus [5]. Cases of tension pneumoperitoneum often resolve after needle decompression without ensuing hemodynamic stability as in the case presented, but exploratory laparotomy is still warranted to repair the stomach [7].
Contributing factors to gastric rupture present in this case are cocaine and binge alcohol use. A temporal association between cocaine use and gastroduodenal ulcer perforation has been established in the literature [8]. One retrospective cohort study of 78 patients found that cocaine use was more likely to be associated with duodenal ulcer perforation [9]. While the exact mechanisms are not completely understood, one proposed hypothesis is cocaine’s stimulation of the sympathetic nervous system, leading to vasoconstriction and subsequent mucosal tissue damage [10]. While alcohol is a well-established risk factor for peptic ulcer disease, its binge use has also been associated with ulcer perforation [11]. In this case, while the patient did not have a prior history of peptic ulcer disease or H. pylori infection, the same mechanism may have lowered the threshold for barotrauma-induced perforation.
As in the case presented, barotraumatic gastric rupture usually occurs at the lesser curvature of the stomach, a pattern attributed to limited elasticity of the area due to fewer gastric folds and tethering by the nearby gastrohepatic ligament [2]. However, rupture along the lesser curvature, greater curvature, anterior wall, and posterior wall have all been reported in neonates [12].
Causes of gastric air accumulation are often related to improper BVM ventilation technique. In a review of 67 cases of gastric perforation resulting from therapeutic ventilation delivered as part of CPR, bystander delivery of CPR was the number one risk factor for perforation identified in 57% of cases [4]. Improper positioning can cause airway obstruction, which makes air passage down the esophagus and into the stomach more favorable. Lack of adequate jaw support in extension positioning has been identified as a possible cause of upper airway obstruction [13]. As such, head tilt and chin lift are key to relieving airway obstruction during BVM ventilation [14].
Any airway obstruction during BVM ventilation would also be likely worsened by the clinical state for requiring CPR. Although not the clinical picture in the case presented, lower esophageal sphincter pressure has been found to decrease from 20 cmH2O to 5 cmH2O during cardiac arrest, making gastric air accumulation more favorable [15]. Furthermore, patients requiring therapeutic ventilation exhibit hypoxia, leading to increased pulmonary airway pressures and decreased lung compliance, thus making it harder to ventilate the lungs [16]. One study utilizing swine models found a 30% decrease in lung compliance over the course of 15 min of ventricular fibrillation [17]. If given, chest compressions could also increase pulmonary airway pressures, favoring esophageal air accumulation [5]. Obesity, which was absent in the case presented (patient BMI 22.8), would have added additional difficulty in lung ventilation. Other factors that increase the odds of airway obstruction during BVM ventilation include old age due to loss of control of pharyngeal structures and obstructing tongue, tonsils, or uvula [14]. One case series of three patients with barotraumatic gastric rupture reported an association with prior use of antiplatelet drugs and anticoagulants [2].
Comparisons of different therapeutic ventilation-delivery methods have shown BVM to be preferred to endotracheal intubation, mouth-to-mouth, and laryngeal mask airway for quickly establishing ventilation, particularly in pre-hospital settings [18]. However, compared to other ventilation-delivery methods, BVM has a higher risk of gastric insufflation due to lower control over force, pressure, and volume of delivery [19]. This is exacerbated by use of BVM in high-stress resuscitations, where even healthcare professionals trained in airway management have been shown to routinely hyperventilate patients in the field with twice the number of breaths per minute as recommended by guidelines [20]. Nevertheless, other ventilation methods have also been associated with gastric rupture and generally involve more time and resources than BVM to deploy [4,13,21,22].
4. Conclusions
This case, with known high-risk comorbidities (cocaine and alcohol use), highlights the importance of early and frequent assessment of lower extremity perfusion while ventilating patients, particularly in resuscitation scenarios in the field. While ventilation-induced gastric barotrauma is rare, this case has broad applicability due to the relatively high number of ICU patients with intra-abdominal hypertension (IAH) from other causes. In all cases of IAH, including ACS, distal perfusion assessment can be used as a sign of significantly elevated pressures with potential resulting multi-organ dysfunction and threat to life as exhibited in this case.
Author Contributions
Conceptualization, A.P. and J.E.H.J.; methodology, V.B.Y. and A.P.; validation, V.B.Y., A.P., K.A.S. and J.E.H.J.; formal analysis, V.B.Y. and A.P.; investigation, V.B.Y. and A.P.; resources, K.A.S. and J.E.H.J.; data curation, V.B.Y. and A.P.; writing—original draft preparation, V.B.Y. and A.P.; writing—review and editing, V.B.Y., A.P., K.A.S. and J.E.H.J.; visualization, V.B.Y. and A.P.; supervision, K.A.S. and J.H; project administration, K.A.S. and J.E.H.J. All authors have read and agreed to the published version of the manuscript.
Funding
This research received no external funding.
Institutional Review Board Statement
Not applicable for a retrospective case report.
Informed Consent Statement
Verbal and written consent was obtained from the deceased patient’s next of kin.
Data Availability Statement
The original contributions presented in the study are included in the article. Further inquiries can be directed to the corresponding author.
Conflicts of Interest
The authors declare no conflicts of interest.
References
- Naito, H.; Hanafusa, H.; Hongo, T.; Yumoto, T.; Yorifuji, T.; Weissman, A.; Rittenberger, J.C.; Guyette, F.X.; Fujishima, M.; Maeyama, H.; et al. Effect of stomach inflation during cardiopulmonary resuscitation on return of spontaneous circulation in out-of-hospital cardiac arrest patients: A retrospective observational study. Resuscitation 2023, 193, 109994. [Google Scholar] [CrossRef] [PubMed]
- Seth, A.K.; Bansal, R.K. Endoscopic insufflation–induced gastric barotrauma during percutaneous endoscopic gastrostomy: A report of three patients and review of literature. J. Dig. Endosc. 2021, 12, 103–106. [Google Scholar] [CrossRef]
- Ferrara, G.; Kolli, V.S.; Arnaudov, S.; Whiteley, G. Tension pneumoperitoneum. BMJ Case Rep. 2018, 2018, bcr-2017-223069. [Google Scholar] [CrossRef] [PubMed]
- Spoormans, I.; Van Hoorenbeeck, K.; Balliu, L.; Jorens, P.G. Gastric perforation after cardiopulmonary resuscitation: Review of the literature. Resuscitation 2010, 81, 272–280. [Google Scholar] [CrossRef]
- Offerman, S.R.; Holmes, J.F.; Wisner, D.H. Gastric rupture and massive pneumoperitoneum after bystander cardiopulmonary resuscitation. J. Emerg. Med. 2001, 21, 137–139. [Google Scholar] [CrossRef] [PubMed]
- Carvalho, M.; Godinho, P.; Moura, A.; Silva, C.; Tourais, I.; Marques, M.; Machado, H.S. Gastric rupture after bag mask ventilation: A review under a case report. J. Anesth. Clin. Res. 2016, 7, 617. [Google Scholar] [CrossRef]
- Bednarz, S.; Filipovic, M.; Schoch, O.; Mauermann, E. Gastric rupture after bag-mask-ventilation. Respir. Med. Case Rep. 2015, 16, 1–2. [Google Scholar] [CrossRef][Green Version]
- Chander, B.; Aslanian, H.R. Gastric perforations associated with the use of crack cocaine. Gastroenterol. Hepatol. 2010, 6, 733–735. [Google Scholar]
- Sharma, R.; Organ, C.H., Jr.; Hirvela, E.R.; Henderson, V.J. Clinical observation of the temporal association between crack cocaine and duodenal ulcer perforation. Am. J. Surg. 1997, 174, 629–633. [Google Scholar] [CrossRef]
- Lathers, C.M.; Tyau, L.S.Y.; Spino, M.M.; Agarwal, I. Cocaine-Induced Seizures, Arrhythmias and Sudden Death. J. Clin. Pharmacol. 1988, 28, 584–593. [Google Scholar] [CrossRef]
- Mahdi, D.; Ali, M.A. A man with an alcoholic-related duodenal perforation after losing his job due to the SARS-CoV-2 pandemic. Clin. Case Rep. 2021, 9, e04896. [Google Scholar] [CrossRef]
- Theodorou, C.M.; Chen, P.; Vanover, M.A.; Saadai, P.; Brown, E.G.; Haas, K.B.; Hirose, S. Total gastrectomy with delayed Hunt-Lawrence pouch reconstruction for neonatal gastric perforation presenting with hematemesis. J. Pediatr. Surg. Case Rep. 2020, 63, 101686. [Google Scholar] [CrossRef]
- Linch, D.; McDonald, A.; McNicol, L. Tension pneumoperitoneum complicating cardiac resuscitation. Intensive Care Med. 1979, 5, 93–94. [Google Scholar] [CrossRef] [PubMed]
- Buffington, C.W.; Wells, C.M.Q.; Soose, R.J. Expiratory upper airway obstruction caused by the soft palate during bag-mask ventilation. Open J. Anesthesiol. 2012, 2, 38–43. [Google Scholar] [CrossRef][Green Version]
- Bowman, F.P.; Menegazzi, J.J.; Check, B.D.; Duckett, T.M. Lower esophageal sphincter pressure during prolonged cardiac arrest and resuscitation. Ann. Emerg. Med. 1995, 26, 216–219. [Google Scholar] [CrossRef] [PubMed]
- Custer, J.R.; Polley, T.Z.; Moler, F. Gastric perforation following cardiopulmonary resuscitation in a child: Report of a case and review of the literature. Pediatr. Emerg. Care 1987, 3, 24–27. [Google Scholar] [CrossRef] [PubMed]
- Melker, R.J. Recommendation for ventilation during cardiopulmonary resuscitation: Time for a change? Crit. Care Med. 1985, 13, 882–883. [Google Scholar] [CrossRef]
- Yang, Z.; Liang, H.; Li, J.; Qiu, S.; He, Z.; Li, J.; Cao, Z.; Yan, P.; Liang, Q.; Zeng, L.; et al. Comparing the efficacy of bag-valve mask, endotracheal intubation, and laryngeal mask airway for subjects with out-of-hospital cardiac arrest: An indirect meta-analysis. Ann. Transl. Med. 2019, 7, 257. [Google Scholar] [CrossRef]
- Khoury, A.; Hugonnot, S.; Cossus, J.; De Luca, A.; Desmettre, T.; Sall, F.S.; Capellier, G. From mouth-to-mouth to bag-valve-mask ventilation: Evolution and characteristics of actual devices—A review of the literature. BioMed Res. Int. 2014, 2014, 762053. [Google Scholar] [CrossRef]
- Aufderheide, T.P.; Sigurdsson, G.; Pirrallo, R.G.; Yannopoulos, D.; McKnite, S.; von Briesen, C.; Sparks, C.W.; Conrad, C.J.; Provo, T.A.; Lurie, K.G. Hyperventilation-induced hypotension during cardiopulmonary resuscitation. Circulation 2004, 109, 1960–1965. [Google Scholar] [CrossRef]
- O’Hanlon, K.P. Gastric rupture with pneumoperitoneum after mouth-to-nose breathing in an infant. J. Emerg. Med. 2010, 39, 312–315. [Google Scholar] [CrossRef] [PubMed]
- Cassebaum, W.H.; Carberry, D.M.; Stefko, P. Rupture of the stomach from mouth-to-mouth resuscitation. J. Trauma Inj. Infect. Crit. Care 1974, 14, 811–814. [Google Scholar] [CrossRef] [PubMed]
Disclaimer/Publisher’s Note: The statements, opinions and data contained in all publications are solely those of the individual author(s) and contributor(s) and not of MDPI and/or the editor(s). MDPI and/or the editor(s) disclaim responsibility for any injury to people or property resulting from any ideas, methods, instructions or products referred to in the content. |
© 2024 by the authors. Licensee MDPI, Basel, Switzerland. This article is an open access article distributed under the terms and conditions of the Creative Commons Attribution (CC BY) license (https://creativecommons.org/licenses/by/4.0/).

