Bronchiolitis Obliterans in a Young Female Patient with Paraneoplastic Pemphigus Associated with Unicentric Castleman’s Disease
Abstract
1. Introduction
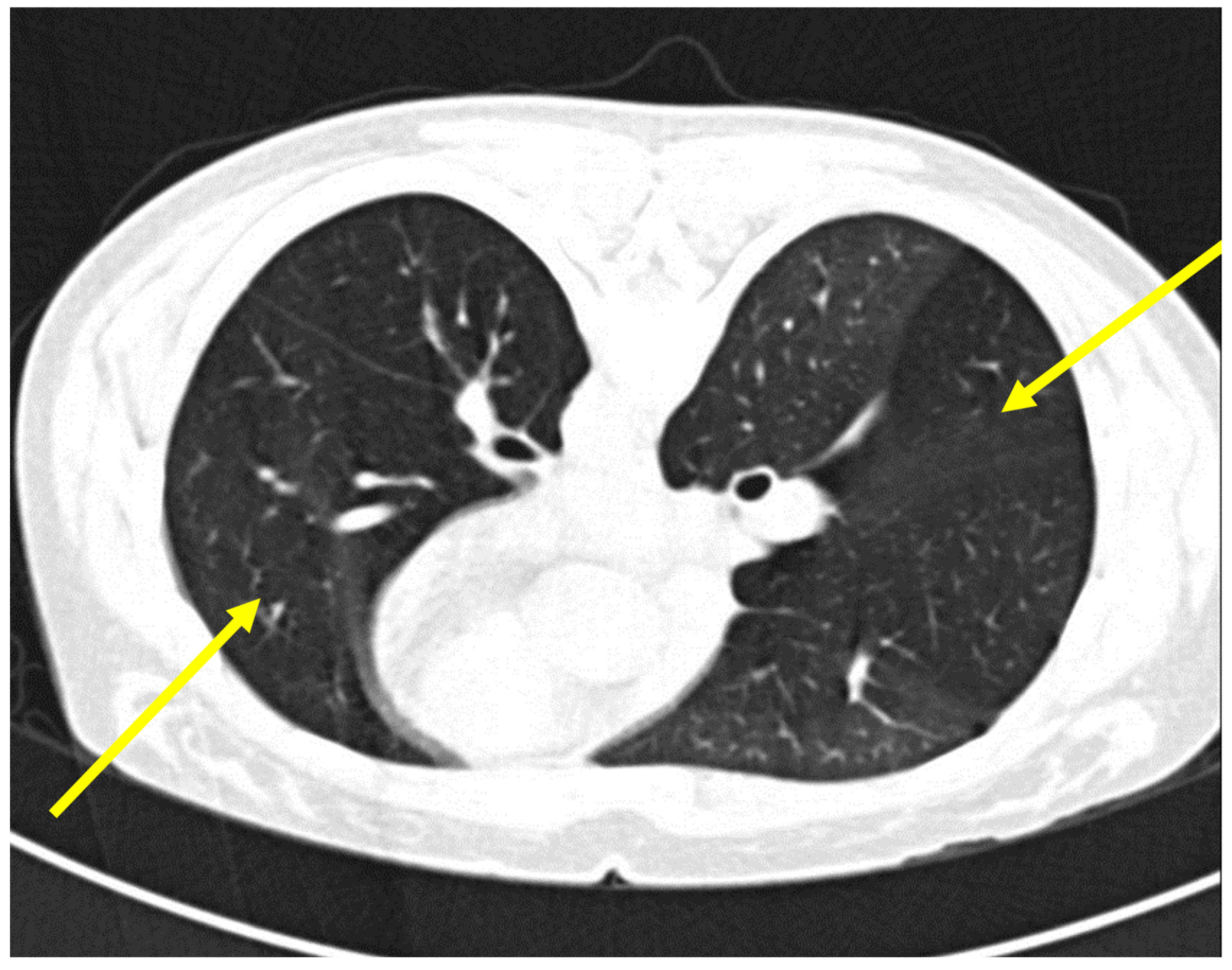
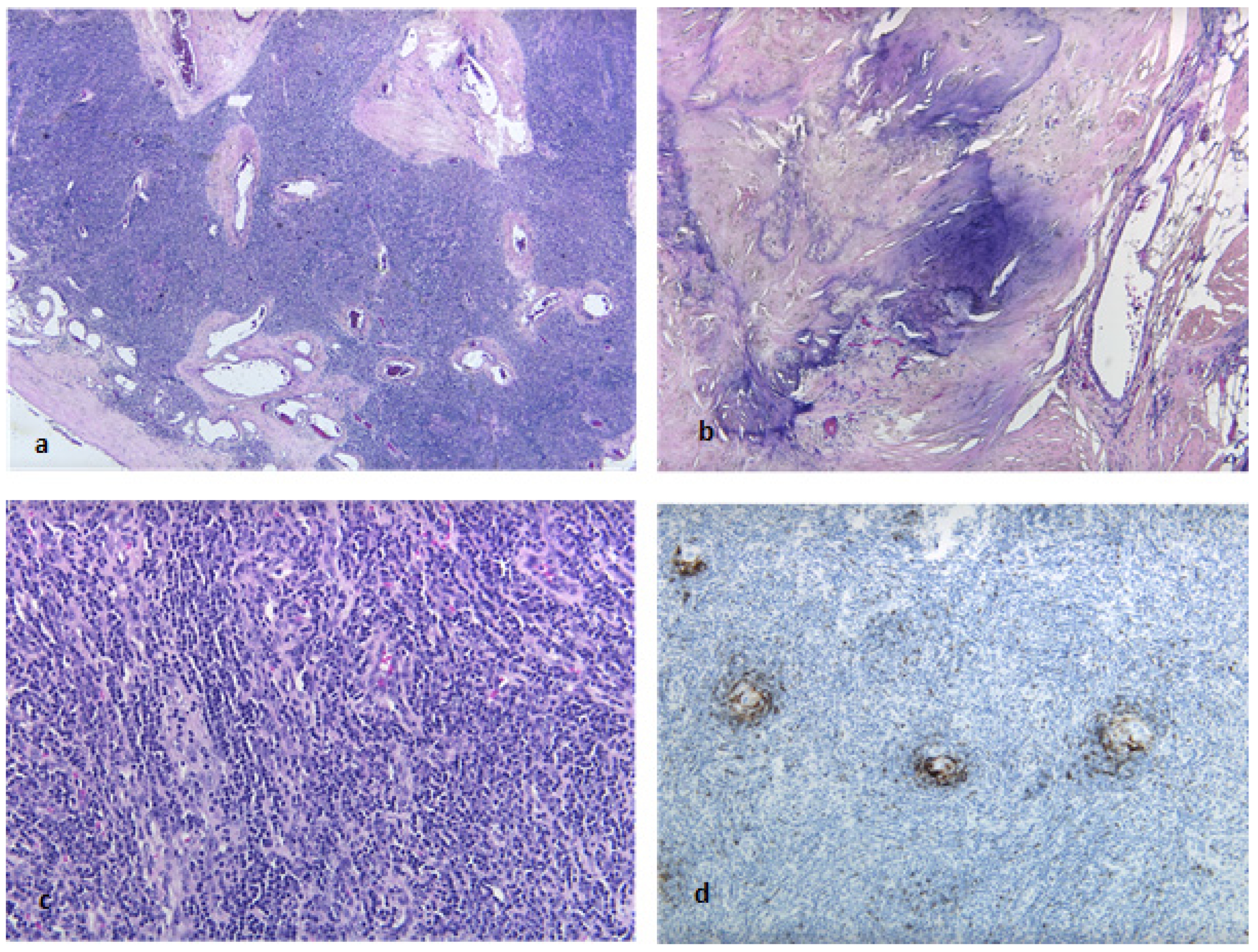
2. Case Presentation
3. Discussion
4. Materials and Methods
5. Conclusions
Author Contributions
Funding
Institutional Review Board Statement
Informed Consent Statement
Data Availability Statement
Conflicts of Interest
Abbreviations
| BO | Bronchiolitis Obliterans |
| CD | Castleman’s Disease |
| CT | Computed Tomography |
| ECMO | Extracorporeal Membrane Oxygenation |
| ELISA | Enzyme-Linked Immunosorbent Assay |
| FDG | Fluorodeoxyglucose |
| FEV1 | Forced Expiratory Volume in 1 Second |
| HHV-8 | Human Herpesvirus-8 |
| HRCT | High-Resolution Computed Tomography |
| IIF | Indirect Immunofluorescence |
| IgG | Immunoglobulin G |
| LAS | Lung Allocation Score |
| LT | Lung Transplantation |
| MCD | Multicentric Castleman’s Disease |
| PET-CT | Positron Emission Tomography–Computed Tomography |
| PNP | Paraneoplastic Pemphigus |
| PAMS | Paraneoplastic Autoimmune Multiorgan Syndrome |
| UCD | Unicentric Castleman’s Disease |
| VV-ECMO | Veno-Venous Extracorporeal Membrane Oxygenation |
References
- Cronin, D.M.; Warnke, R.A. Castleman disease: An update on classification and the spectrum of associated lesions. Adv. Anat. Pathol. 2009, 16, 236–246. [Google Scholar] [CrossRef] [PubMed]
- Yu, L.; Tu, M.; Cortes, J.; Xu-Monette, Z.Y.; Miranda, R.N.; Zhang, J.; Oelowski, R.Z.; Neelapu, S.; Boddu, P.C.; Akosile, M.A.; et al. Clinical and pathological characteristics of HIV- and HHV-8-negative Castleman disease. Blood 2017, 129, 1658–1668. [Google Scholar] [CrossRef] [PubMed]
- van Rhee, F.; Oksenhendler, E.; Srkalovic, G.; Voorhees, P.; Lim, M.; Dispenzieri, A.; Ide, M.; Parennte, S.; Schey, S.; Streetly, M.; et al. International evidence-based consensus diagnostic and treatment guidelines for unicentric Castleman disease. Blood Adv. 2020, 4, 6039–6050. [Google Scholar] [CrossRef] [PubMed]
- Takahashi, M.; Shimatsu, Y.; Kazama, T.; Kimura, K.; Otsuka, T.; Hashimoto, T. Paraneoplastic pemphigus associated with bronchiolitis obliterans. Chest 2000, 117, 603–607. [Google Scholar] [CrossRef] [PubMed]
- Saito, K.; Morita, M.; Enomoto, K. Bronchiolitis obliterans with pemphigus vulgaris and Castleman’s disease of hyaline-vascular type: An autopsy case analyzed by computer-aided 3-D reconstruction of the airway lesions. Hum. Pathol. 1997, 28, 1310–1312. [Google Scholar] [CrossRef] [PubMed]
- Nousari, H.C.; Deterding, R.; Wojtczak, H.; Aho, S.; Uitto, J.; Hashimoto, T.; Anhalt, G.J. The mechanism of respiratory failure in paraneoplastic pemphigus. N. Engl. J. Med. 1999, 340, 1406–1410. [Google Scholar] [CrossRef] [PubMed]
- Raza, H.A. Unicentric Castleman disease complicated by paraneoplastic bronchiolitis obliterans and pemphigus. Respir. Med. Case Rep. 2018, 25, 129–132. [Google Scholar] [CrossRef] [PubMed]
- Chin, A.C.; Stich, D.; White, F.V.; Radhakrishnan, J.; Holterman, M.J. Paraneoplastic pemphigus and bronchiolitis obliterans associated with a mediastinal mass: A rare case of Castleman’s disease with respiratory failure requiring lung transplantation. J. Pediatr. Surg. 2001, 36, E22. [Google Scholar] [CrossRef] [PubMed]
- Chen, W.; Zhao, L.; Guo, L.; Zhao, L.; Niu, H.; Lian, H.; Dai, H.; Chen, J.; Wang, C. Clinical and pathological features of bronchiolitis obliterans requiring lung transplantation in paraneoplastic pemphigus associated with Castleman disease. Clin. Respir. J. 2022, 16, 173–181. [Google Scholar] [CrossRef] [PubMed]
- Yue, B.; Huang, J.; Jing, L.; Yu, H.; Wei, D.; Zhang, J.; Chen, W.; Chen, J. Bilateral lung transplantation for Castleman disease with end-stage bronchiolitis obliterans. Clin. Transpl. 2022, 36, e14496. [Google Scholar] [CrossRef] [PubMed]
- Bender, S.T.; Balakirski, G.; Kteiche, W.; Schmidt, E.; Hofmann, S.C. Morbus Castleman-assoziierter paraneoplastischer Pemphigus bei einer 16-jährigen Patientin. Dermatologie. 2024, 75, 641–646. [Google Scholar] [CrossRef] [PubMed]
- January, S.E.; Fester, K.A.; Halverson, L.P.; Witt, C.A.; Byers, D.E.; Vazquez-Guillamet, R.; Alexander-Brett, J.; Tague, L.K.; Kreisel, D.; Gelman, A.; et al. Tocilizumab for antibody-mediated rejection treatment in lung transplantation. J. Heart Lung Transpl. 2023, 42, 1353–1357. [Google Scholar] [CrossRef] [PubMed]
- Hommelgaard, L.; Perch, M.; Bendstrup, E. Lung Transplantation in a Patient with Severe Bronchiolitis Obliterans Secondary to Castleman Disease. Respir. Med. Case Rep. 2025, 57, 102266. [Google Scholar] [CrossRef] [PubMed]
- Al-Bayati, S.; Villamizar, J.P.; Machuca, T.; Buitrago, D.; Pipkin, M.; Manickavel, S.; Sinha, N.; Pelaez, A.; Salgado, J.; Fernandez, J. ECMO Bridge to Bilateral Lung Transplant for Castleman Disease. J. Heart Lung Transplant. 2024, 43, S479. [Google Scholar] [CrossRef]
- Keller, A.R.; Hochholzer, L.; Castleman, B. Hyaline-vascular and plasma-cell types of giant lymph node hyperplasia of the mediastinum and other locations. Cancer 1972, 29, 670–683. [Google Scholar] [CrossRef] [PubMed]
- Herrada, J.; Cabanillas, F.; Rice, L.; Manning, J.; Pugh, W. The clinical behavior of localized and multicentric Castleman disease. Ann. Intern. Med. 1998, 128, 657–662. [Google Scholar] [CrossRef] [PubMed]
- Hofmann, S.C.; Juratli, H.A.; Eming, R. Bullous autoimmune dermatoses. J. Dtsch. Dermatol. Ges. 2018, 16, 1339–1358. [Google Scholar] [CrossRef] [PubMed]
- Didona, D.; Dizenzo, G.; Joly, P. Paraneoplastic autoimmune multiorgan syndrome. Ital. J. Dermatol. Venerol. 2020, 156, 174–183. [Google Scholar] [CrossRef] [PubMed]
- Maruta, C.W.; Miyamoto, D.; Aoki, V.; Carvalho, R.G.R.; Cunha, B.M.; Santi, C.G. Paraneoplastic pemphigus: A clinical, laboratorial, and therapeutic overview. An. Bras. Dermatol. 2019, 94, 388–398. [Google Scholar] [CrossRef] [PubMed]






| Case/Series | Age/Sex | CD Subtype | PNP | Interval CD to LT | ECMO Used | Post-LT Outcome/Notes |
|---|---|---|---|---|---|---|
| [8] | 14 y/M | UCD (mediastinal, hyaline vascular) | Yes | NR | NR | Pediatric LT for respiratory failure |
| [9] | NR | UCD (reported context) | Yes (all) | 1–5 years | NR | Antibodies fell pre-LT and remained negative post-LT, explaining the observed destructive and constrictive BO |
| [10] | 33 ± 15 y (mean) | UCD (all) | 5/6 | 4.1 ± 2.7 y | 4/6 | Infection common; no CD recurrence; LT viable and safe |
| [13] | 31 y/F | NR | Yes | NR | NR | Progression BO = LT: contemporary adult case |
| [14] | Adult | UCD | Yes | NR | VV-ECMO bridge | First adult UCD PNP/BO transplanted while on ECMO; successful outcome |
Disclaimer/Publisher’s Note: The statements, opinions and data contained in all publications are solely those of the individual author(s) and contributor(s) and not of MDPI and/or the editor(s). MDPI and/or the editor(s) disclaim responsibility for any injury to people or property resulting from any ideas, methods, instructions or products referred to in the content. |
© 2025 by the authors. Licensee MDPI, Basel, Switzerland. This article is an open access article distributed under the terms and conditions of the Creative Commons Attribution (CC BY) license (https://creativecommons.org/licenses/by/4.0/).
Share and Cite
Kteiche, W.; Besa, V.; Werther, S.; Theegarten, D.; Bertram, S.; Schmidt, E.; Daniels, A.; Hofmann, S.C. Bronchiolitis Obliterans in a Young Female Patient with Paraneoplastic Pemphigus Associated with Unicentric Castleman’s Disease. Lymphatics 2025, 3, 30. https://doi.org/10.3390/lymphatics3040030
Kteiche W, Besa V, Werther S, Theegarten D, Bertram S, Schmidt E, Daniels A, Hofmann SC. Bronchiolitis Obliterans in a Young Female Patient with Paraneoplastic Pemphigus Associated with Unicentric Castleman’s Disease. Lymphatics. 2025; 3(4):30. https://doi.org/10.3390/lymphatics3040030
Chicago/Turabian StyleKteiche, Walid, Vasiliki Besa, Stefanie Werther, Dirk Theegarten, Stefanie Bertram, Enno Schmidt, Anna Daniels, and Silke C. Hofmann. 2025. "Bronchiolitis Obliterans in a Young Female Patient with Paraneoplastic Pemphigus Associated with Unicentric Castleman’s Disease" Lymphatics 3, no. 4: 30. https://doi.org/10.3390/lymphatics3040030
APA StyleKteiche, W., Besa, V., Werther, S., Theegarten, D., Bertram, S., Schmidt, E., Daniels, A., & Hofmann, S. C. (2025). Bronchiolitis Obliterans in a Young Female Patient with Paraneoplastic Pemphigus Associated with Unicentric Castleman’s Disease. Lymphatics, 3(4), 30. https://doi.org/10.3390/lymphatics3040030

