Abstract
Patients with head and neck squamous cell carcinoma (HNSCC) continue to have a rather poor prognosis. Treatment-related comorbidities have negative impacts on their quality of life. TRIM21 is a cytosolic E3 ubiquitin ligase that was initially described as an autoantigen in autoimmune diseases and later associated with the intracellular antiviral response. Here, we investigated the role of TRIM21 as a biomarker candidate for HNSCC in predicting tumor progression and patient survival. We analyzed TRIM21 expression and its association with clinical-pathological parameters in our HNSCC cohort using immunohistochemistry. Our HNSCC cohort included samples from 419 patients consisting of primary tumors (n = 337), lymph node metastases (n = 156), recurrent tumors (n = 54) and distant metastases (n = 16). We found that cytoplasmic TRIM21 expression was associated with the infiltration of immune cells into primary tumors. In addition, TRIM21 expression was significantly higher in primary tumors than in lymph node metastases, and increased TRIM21 expression was correlated with shorter progression-free survival in HNSCC patients. These results suggest that TRIM21 could be a new biomarker for progression-free survival.
1. Introduction
Head and neck squamous cell carcinomas (HNSCCs) are epithelial malignancies that arise from mucosal surfaces of the oral cavity, pharynx, and larynx. HNSCCs are generally associated with a poor prognosis, as shown by the development of recurrences in over 50% of patients [1,2,3]. Risk factors for the development of HNSCC include behavioral risk factors, such as alcohol consumption and smoking, and human papillomavirus (HPV) infection [4]. Men have a higher incidence of HNSCC than women, which is thought to be due to higher exposure to behavioral risk factors [5,6]. The current therapies for HNSCC include chemotherapy, radiotherapy, surgery, and (only recently) immune checkpoint inhibitors for recurrent tumors [7]. These treatments can have severe side effects that impair patients’ quality of life. For instance, surgery may result in functional and visible impairments and radiotherapy may result in dysphagia, dental decay, and altered taste [8].
Identifying biomarkers for lower versus higher risk subgroups is important, as this could reduce the aggressiveness of the chosen treatment approach, i.e., help reduce the intensity of systemic treatment in low-risk groups and ultimately improve survivors’ quality of life. For oropharyngeal carcinoma, p16 is associated with a better prognosis and is currently used as a surrogate marker for HPV infection in the Fourth WHO Classification of Head and Neck Tumors [9,10]. However, the reliability of the p16-IHC test as a surrogate marker for HPV status is controversial [11]. Furthermore, immune evasion is a pathological finding in tumor specimens associated with a poor prognosis [12,13]. Nevertheless, additional biomarkers for HNSCC are needed to predict its prognosis, i.e., tumor recurrence, progression, and patient survival.
Recently, tripartite motif containing-21 or TRIM21 has been identified to be a possible HNSCC prognostic marker [14]. TRIM21 is a cytosolic E3 ubiquitin ligase that was initially described as an autoantigen in autoimmune diseases and later associated with the intracellular antiviral response [15,16]. TRIM21 induces the ubiquitin-mediated proteasomal degradation of proteins. Furthermore, TRIM21 binds with cytosolic Fc-receptor antibody–virus-complexes, leading to the degradation of the former and the upregulation of inflammatory signaling pathways [17].
Here, we analyzed the implementation of TRIM21 as a prognostic marker in a large human cohort of HNSCC patients.
2. Results
2.1. Patient Characteristics
The HNSCC cohort included samples of primary tumors (PTs; n = 337), lymph node metastases (LMs; n = 156), recurrent tumors (RTs; n = 54), and distant metastases (DMs; n = 16). The anatomical sites of PTs were the oral cavity (n = 78), larynx (n = 95), hypopharynx (n = 46), and oropharynx (n = 107). The cohort consisted of 89 female (23%) and 306 male (77%) patients. The age of the patients ranged from 29 to 90 years (mean 62.5 years). Using p16 as a surrogate marker for HPV infection, 116 (29%) patients were classified as HPV-positive. Most patients received upfront surgery (98%), and 2% of our patients received salvage surgery. In addition, the patients received either radiotherapy (40%) and/or chemotherapy (30%). The results of our analysis are summarized in Table A1.
2.2. TRIM21 Staining Patterns in Our HNSCC Cohort
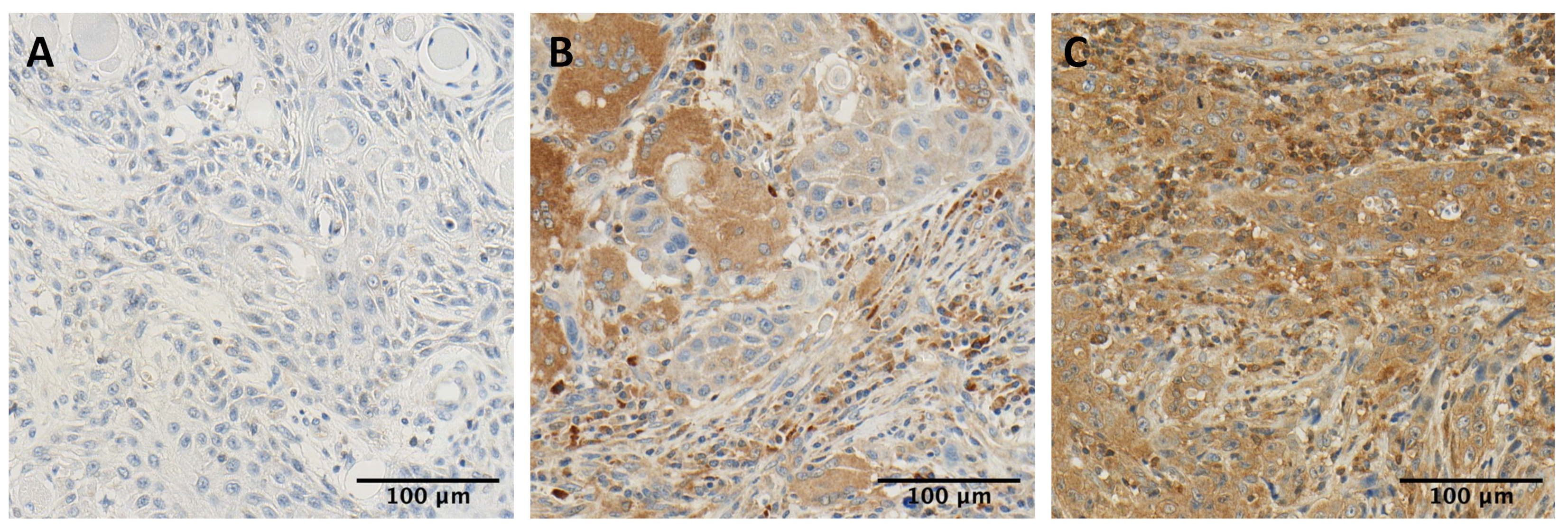
We observed the cytoplasmic staining of TRIM21 in tumor cells (Figure 1). Our cohort’s intratumoral staining patterns were heterogeneous, meaning we observed both negative and positive cells in the same tumor sample. We used the mean positive index for each sample to adequately address these patterns. The mean positive index was considered a measure of protein expression.
Figure 1.
Staining patterns for TRIM21 in HNSCC. We evaluated TRIM21 expression in HNSCC samples from our cohort using immunohistochemistry. We observed heterogenous intratumoral staining patterns, meaning both positive and negative cells were observed within the patients’ samples. In (A), tumor cells show no positive staining with TRIM21. In (B,C), the tumor cells show a positive cytoplasmatic staining with TRIM21.
2.3. TRIM21 Expression Is Higher in Primary Tumors Compared with Lymph Node Metastases
We compared the positive index of the cytoplasmatic TRIM21 expression in samples from PTs with that of RTs, LMs, and DMs (Figure 2). The positive index of PTs vs. RTs (Mann–Whitney test, p = 0.551) and PTs vs. DMs (Mann–Whitney test, p = 0.801) did not significantly differ. The positive index was significantly higher in PTs than in LMs (Mann–Whitney test, p < 0.001).
Figure 2.
Expression of TRIM21 in PTs compared with LMs, RTs, and DMs. TRIM21 expression in PTs was significantly higher compared with LMs (Mann–Whitney test, p < 0.001). Other comparisons did not reach significance (Mann–Whitney test, p > 0.05). (**** p < 0.001, ns = not significant).
Furthermore, we matched the PT samples (n = 123) with the corresponding LM samples from the same patients (Figure 3). In the matched-pair analysis of PTs and the corresponding LMs, the difference in the TRIM21 remained significant (paired sample t-test, p = 0.007).
Figure 3.
TRIM21 expression in primary tumors matched with the corresponding lymph node metastases from the same patient. TRIM21 expression in primary tumors and lymph node metastases also significantly differed in matched samples (paired sample t-test, p = 0.007). (** p < 0.01).
2.4. TRIM21 Expression Regarding the Anatomical Site of the Primary Tumor
We compared the TRIM21 expression in PTs regarding their anatomical site of origin, i.e., oral cavity, hypopharynx, oropharynx, or larynx. No significant differences were observed in the positive index regarding PT location (Kruskal–Wallis test, p = 0.358) (Figure 4).
Figure 4.
TRIM21 expression in primary tumors regarding their anatomical site of origin. TRIM21 expression in primary tumors did not significantly differ in regard to their anatomical site of origin (Kruskal–Wallis test, p = 0.37).
2.5. TRIM21 Expression Is Higher in Primary Tumors with Immune Infiltration
We assessed the positive index of PTs with immune cell infiltration and PTs without immune cell infiltration. Hot and excluded PTs (n = 213) had a significantly higher positive index (Mann–Whitney test, p = 0.008) than cold PTs (n = 65). When comparing hot (n = 66) vs. excluded (n = 147) PTs, we did not observe a significant difference (Mann–Whitney test, p = 0.349). In hot vs. cold (Mann–Whitney test, p = 0.011) and excluded vs. cold (Mann–Whitney test, p = 0.020) tumors, the TRIM21 expression was significantly higher in hot and excluded tumors (Figure 5).
Figure 5.
TRIM21 expression in primary tumors regarding immune cell infiltration. There were significant differences in the TRIM21 expression between cold and excluded primary tumors (Mann–Whitney test, p = 0.02) and between hot and cold primary tumors (Mann–Whitney test, p = 0.011). (* p < 0.05, ns = not significant).
We also compared the positive index of RTs with immune cell infiltration vs. RTs without immune cell infiltration. We did not observe a significant difference (Mann– Whitney test, p = 0.239) between hot/excluded (n = 16) and cold (n = 16) RTs. Nevertheless, the trend observed for PTs was also observed for RTs.
2.6. Higher TRIM21 Expression Is Associated with a Shorter Progression-Free, but Not with a Shorter Overall Survival
We evaluated the prognostic value of TRIM21 expression for overall survival (OS) and progression-free survival (PFS) in HNSCC patients. We determined the optimal cut-off for TRIM21 expression to predict PFS and OS at 60 months through receiver operating characteristic (ROC) curve analysis. Using the cut-off of 0.37, we created two groups (high: TRIM21 expression above cut-off, n = 246; low: TRIM21 expression below cut-off, n = 80). In the Kaplan–Meier survival curve and log-rank test, we recorded statistically significant shorter PFS rates in HNSCC patients with high TRIM21 expression compared with HNSCC patients with low TRIM21 expression (log-rank test, p = 0.024) (Figure 6). The 5-year PFS rates were estimated at 45.9% for high TRIM21 expression and 59.4% for low TRIM21 expression. Subsequently, a univariable and multivariable Cox regression analysis was performed to confirm whether the prognostic value of the TRIM21 expression was independent of p16 status, UICC stage, T stage, and N stage. Univariate Cox regression analysis revealed a significant correlation between patients’ PFS and TRIM21 expression (hazard ratio (HR) = 0.63 (95% CI 0.41–0.97), p = 0.035). High TRIM21 expression remained associated with a significantly shorter PFS in multivariate Cox regression and therefore predicted PFS independently of the factors listed above (HR = 0.63 (95% CI 0.41–0.98), p = 0.040). In addition, we identified p16 status, UICC stage, T stage, and N stage as independent prognostic factors for 5-year PFS in our cohort. The results of our analysis are summarized in Table 1. However, we did not observe a significant correlation between OS and TRIM21 expression in our cohort (log-rank test, p = 0.81) (Figure 6). These results indicate that TRIM21 may be an independent predictor for PFS in HNSCC patients.
Figure 6.
Kaplan–Meier analyses of TRIM21 expression in PTs. (A) We did not observe a significant difference in OS over 60 months in patients with high TRIM21 expression compared with patients with low TRIM21 expression (log-rank test, p = 0.081). (B) We observed a significantly shorter 5-year PFS rate in patients with high TRIM21 expression compared with patients with low TRIM21 expression (log-rank test, p = 0.024).
Table 1.
Cox regression analysis of TRIM21 expression (* p < 0.05).
2.7. TRIM21 Expression Regarding Clinicopathological Features of HNSCC Patients
The correlation of TRIM21 expression with the clinicopathological characteristics of patients was analyzed using the following parameters: age, sex, grading, occurrence of DMs, occurrence of RT, alcohol abuse, nicotine consumption, p16 status, UICC stage, T stage, and N stage at initial diagnosis. However, no significant results were observed. Table 2 summarizes our findings.
Table 2.
TRIM21 expression in primary tumors regarding different clinicopathological features. p-values were calculated using the Mann–Whitney test.
3. Discussion
A recent publication identified TRIM21 as a possible prognostic biomarker for the OS of HNSCC patients [14]. Higher TRIM21 mRNA expression is correlated with a shorter OS according to Gene Expression Profiling Interactive Analysis (GEPIA) data. Here, we reported on TRIM21 protein expression and its relationship to clinicopathological parameters in a large HNSCC cohort to evaluate the role of TRIM21 as a candidate biomarker for HNSCC.
Our comparison of TRIM21 expression in different tissue types revealed a significantly higher level of TRIM21 expression in PTs compared with LMs. In ovarian, renal, and hepatocellular carcinoma, TRIM21 overexpression inhibits cell migration in vitro and in vivo [18,19,20]. Nevertheless, we did not observe significant differences in the TRIM21 expression of PTs in terms of the occurrence of LMs. This may be an indication that the tumor biology of LMs differs from that of accompanying PTs.
Furthermore, we observed significantly higher TRIM21 expression in PTs with immune cell infiltration compared with PTs without immune cell infiltration. Sjöstrand et al. (2013) reported that TRIM21 expression is upregulated by the IFN/JAK/STAT signaling pathway during viral infections [21]. In addition, the JAK/STAT signaling pathway has been found to be constitutively activated in HNSCC [22]. Moreover, TRIM21 is able to induce signaling cascades that lead, for instance, to the activation of inflammatory cytokine production [23]. Nevertheless, we cannot make assumptions about the development of TRIM21 expression during tumor progression, i.e., whether carcinogenesis leads to increased TRIM21 expression and thus to increased immune cell infiltration or whether immune cell infiltration leads to increased TRIM21 expression. Therefore, functional analyses are needed to better understand the relationship between immune cell infiltration and TRIM21 expression in HNSCC.
We also observed increased TRIM21 expression in RTs with immune cell infiltration relative to those without, but the difference was not statistically significant. This could have been due to the small sample size in our cohort of RTs. In future studies, whether TRIM21 expression differs in RTs regarding immune cell infiltration status needs to be investigated.
The role of TRIM21 as a prognostic biomarker has previously been analyzed in other cancer entities. For example, decreased TRIM21 expression in ovarian cancer, diffuse large cell lymphoma, and breast cancer is associated with shorter OS rates [18,24,25]. In thyroid cancer, higher TRIM21 expression is correlated with an increased risk of recurrences and lymph node metastases [26]. In contrast, increased TRIM21 expression in glioma and hepatocellular carcinomas is associated with a poorer prognosis [27,28]. We found that a higher level of TRIM21 expression was associated with shorter PFS rates in our cohort. However, we did not observe an association between increased TRIM21 expression and a shorter OS, though previous studies have reported on increased mortality rates of HNSCC patients. In addition to PTs, causes of death include new malignant tumors and non-cancer causes such as treatment-related and alcohol- and tobacco-associated comorbidities [29,30]. From the available data in our cohort, we were only able to determine OS and not disease-specific mortality. In order to evaluate the value of TRIM21 as a prognostic marker, disease-specific mortality, in particular, should be further investigated.
In nasopharyngeal cancer (NPC), TRIM21 has been reported to promote the radiation resistance of NPC cells [31]. Through the ubiquitination and degradation of guanine monophosphate synthase (GMPS), TRIM21 suppresses TP53 expression. Nevertheless, NPC differs from other HNSCCs in, for example, its carcinogenesis [32]. Future research could investigate whether TRIM21 also plays a role in the development of resistance after radiotherapy in other HNSCC subsites.
The HPV E7 oncoprotein has been described to activate the TRIM21-mediated proteasomal degradation of gamma-interferon-inducible protein-16 (IFI16) in cervical cancer cell lines. The decrease in IFI16 leads to the disruption of pyroptosis and thus enables persistent HPV infections. We hypothesized that the TRIM21 expression might be increased in HPV-positive tumors, but we did not observe a significantly higher TRIM21 expression in HPV-positive tumors. One possible explanation for this could be that the average latency between HPV infection and cancer is at least 10 years [33]. Due to the lack of molecular biomarkers to identify premalignant HNSCC lesions and predict their progression, it may be interesting to investigate the role of TRIM21 in the carcinogenesis of HPV-positive tumors.
In conclusion, cytoplasmatic TRIM21 expression was found to be associated with immune cell infiltration in PTs, as well as a worse PFS rates in HNSCC patients. Furthermore, LMs showed lower TRIM21 expression levels than PTs.
TRIM21 could serve as a new prognostic biomarker for disease progression in HNSCC patients. However, the prognostic value of TRIM21 needs to be validated in other cohorts.
4. Materials and Methods
4.1. Patients and HNSCC Cancer Specimens
We analyzed TRIM21 expression in HNSCC specimens derived from a cohort of 419 patients diagnosed between 2012 and 2015 at the Institute of Pathology of the University Medical Center Schleswig-Holstein, Germany, as reported previously [13,34,35,36,37,38,39]. Tumor samples were derived from PTs, LMs, RTs and DMs. We excluded patients with nasopharyngeal cancer from our cohort since the epidemiology, carcinogenesis, and treatment of nasopharyngeal tumors differ from those of other HNSCCs. Characteristics and clinical data were obtained through a review of clinical records and pathology reports. We defined OS as the duration from the date of initial diagnosis until death, regardless of the cause of death. For patients that survived longer than the cut-off of 60 months after diagnosis, the OS time was set to 60 months. PFS was defined as the length of time between the initial diagnosis and the diagnosis of RT or death, regardless of the cause of death. For cases that survived longer than or had no RT prior to the cut-off of 60 months after diagnosis, the PFS time was set to 60 months. We classified tumors according to the eighth edition of UICC TNM classification [40].
Ethical approval was obtained from the Ethics Committee of the University of Luebeck (AZ16-277). The samples were collected in accordance with the Declaration of Helsinki. All patients consented to the use of their tissue and data for research.
4.2. Tissue Microarray Construction
Formalin-fixed paraffin-embedded (FFPE) HNSCC tissue samples (4 μm thick) were mounted on slides and stained with hematoxylin and eosin (H&E) using standard protocols, as reported previously [41]. The tumor region was subsequently identified on the slides and marked on the FFPE blocks. Three 1 mm2 cores were obtained for every cancer sample and arranged on a tissue microarray (TMA) using a semiautomatic tissue arrayer (Beecher Instruments, Sun Prairie, WI, USA), as previously described [42]. Each TMA consisted of up to 54 tumor samples, up to 6 samples of benign tissue from the head and neck region, and 3 liver samples for orientation.
4.3. Immunohistochemistry
TRIM21 expression in HNSCC cells was assessed using immunohistochemistry. After the deparaffinization of the FFPE tumor tissues and heat-mediated antigen retrieval, immunohistochemical staining was performed as previously described [41]. We applied the polyclonal rabbit anti-human TRIM21/RO52 antibody (1:100, IHC, Cat# LS B15291 LifeSpan BioSciences, Seattle, WA, USA) and revealed its binding through automated IView DAB Detection using a Ventana BenchMark automated staining system (Roche, Basel, Switzerland), as described previously [42]. Human liver tissue served as a positive control, and lymphocytes served as a negative control.
4.4. Digitalization and Evaluation
The scanning and digitalization of the stained slides were performed using a Ventana iScan HT scanner (VentanaTuscon, AZ, USA) with a 40-fold objective. The software QuPath (version 0.2.3) was used to assess the digitalized files [43]. TMA cores were identified using QuPath’s TMA dearranger function, and tumor areas were manually annotated. Cytoplasmic immunoreactivity was expressed as the positive index, meaning the ratio number of positively stained cells divided by the total number of cells. Parameters for cell detection and thresholds for classification in negative and positive cells were verified by a board-certified pathologist. Positive cells within annotated areas were counted using the Positive Cell Detection command. A script was generated and run on all individual TMA slides to automate the detection process. The mean value of the available cores was calculated for each tissue sample for statistical analyses.
4.5. Immune Cell Infiltration
To assess the immune cell infiltration status of the PTs and RTs, H&E-stained tumor sections were classified by a board-certified pathologist into 3 categories according to the presence or absence of tumor-infiltrating immune cells. Diffusely immune-infiltrated tumors were described as “hot”, tumors with immune cell infiltration restricted to stromal areas were described as “excluded”, and tumors without immune cell infiltration were described as “cold” [13].
4.6. P16 Status
To assess the HPV status in the tumor samples, we used the p16 status as a surrogate marker [9]. Protein expression was detected with immunohistochemical staining using the mouse monoclonal antibody p16 (p16 CINtec ready to use kit, clone E6H4™, Roche Ventana Medical Systems, Tucson, AZ, USA), as described previously [18,38]. Binding was revealed using the Dab system delineated above.
4.7. Statistical Analysis and Visualization
Statistical evaluation was carried out using the software jamovi (Version 2.3. accessed on 11 April 2022) [44], which is built on top of the R statistical language, and the R packages finalfit and survival [45,46,47]. First, the conformation of the data to a normal distribution was determined using the Shapiro–Wilk test; consequently, a suitable statistical method was selected. The correlation of TRIM21 expression with the clinicopathological features of patients and different tissue types was analyzed using the Mann–Whitney test. TRIM21 expression levels at different anatomical sites of PTs were compared with the Wilcoxon rank test. The comparison of TRIM21 expression in matched PTs and LMs was performed using the paired t-test. The optimal cut-off for the TRIM21 expression to predict PFS and OS at 60 months was determined using ROC curve analysis and maximizing the sum of sensitivity and specificity. The Kaplan–Meier method and log-rank tests were used to calculate 5-year OS and PFS probability and to test for statistical significance. Univariate and multivariate survival analyses were performed for the PFS using the Cox proportional hazards regression model. The significance level was set at p < 0.05. All tests were two-sided.
Box plots were plotted with the R tidyverse and ggsignif packages, and survival curves were fitted with the R survminer and ggfortify packages [48,49,50,51]. We used Microsoft PowerPoint (Microsoft Office 365 ProPlus, Microsoft, Redmont, Washington, DC, USA) and ImageJ to edit pictures [52].
Author Contributions
Conceptualization, C.I. and S.P.; methodology, A.v.B. and J.R.-I.; validation, A.O. and J.R.-I.; formal and statistical analysis, A.v.B.; investigation, J.R.-I. and V.S.; resources, K.-L.B. and D.R.; data curation, A.v.B. and C.I.; writing—original draft preparation, A.v.B.; writing—review and editing, V.S., K.-L.B., A.L., R.P., D.R., J.R.-I., C.I., T.J. and L.K.; visualization, A.v.B.; supervision, S.P. and C.I.; project administration, S.P. and C.I.; funding acquisition, C.I. All authors have read and agreed to the published version of the manuscript.
Funding
This research was funded by the University of Luebeck, postdoctoral qualification grant to J.R.-I., grant number H01-2022.
Institutional Review Board Statement
The study was conducted in accordance with the Declaration of Helsinki and approved by the Ethics Committee of the University of Luebeck (project code AZ 16-277, date of approval 18 November 2016).
Informed Consent Statement
Patient consent was waived, as only retrospective anonymized data were examined.
Data Availability Statement
The data presented in this study are available on request from the corresponding author.
Acknowledgments
The authors would like to thank the medical–technical staff Wenzel Vogel and Eva Dreyer for creating the TMAs and performing the immunohistochemistry.
Conflicts of Interest
The authors declare no conflict of interest.
Abbreviations
| AUC | Area under the curve |
| CI | Confidence interval |
| DM | Distant metastasis |
| FFPE | Formalin-fixed paraffin-embedded |
| IFI16 | gamma-interferon-inducible protein-16 |
| GEPIA | Gene Expression Profiling Interactive Analysis |
| HNSCC | Head and neck squamous cell carcinoma |
| H&E | Hematoxylin and eosin |
| HPV | Human papillomavirus |
| HR | Hazard Ratio |
| KP | Kaplan–Meier |
| LM | Lymph node metastasis |
| NPC | Nasopharyngeal cancer |
| OS | Overall survival |
| PT | Primary tumor |
| PFS | Progression-free survival |
| ROC | Receiver operating characteristic |
| RT | Recurrent tumor |
| TMA | Tissue microarray |
| TRIM21 | Tripartite motif containing-21 |
Appendix A
Table A1.
Overview of clinicopathological characteristics of our HNSCC cohort.
Table A1.
Overview of clinicopathological characteristics of our HNSCC cohort.
| Variable | n (%) | |
|---|---|---|
| Total patients | 396 | |
| Age (years) at initial diagnosis | Mean ± SD | 62.5 ± 10.5 |
| Range | 29–90 | |
| N/A | 4 | |
| Sex | Female | 89 (23%) |
| Male | 306 (77%) | |
| N/A | 1 | |
| Tissue type | Primary tumor | 337 (59.33%) |
| Lymph node metastasis | 156 (27.46%) | |
| Recurrent tumor | 54 (9.51%) | |
| Distant metastasis | 16 (2.82%) | |
| Anatomical site of primary tumor | Oral cavity | 86 (23.1%) |
| Hypopharynx | 49 (13.2%) | |
| Larynx | 107 (28.8%) | |
| Oropharynx | 130 (34.9%) | |
| T stage at initial diagnosis | T0/CUP | 14 (3.5%) |
| T1 | 89 (22.5%) | |
| T2 | 110 (27.8%) | |
| T3 | 103 (26%) | |
| T4 | 77 (19.4%) | |
| Tx | 3 (0.8%) | |
| N stage at initial diagnosis | N0 | 165 (42%) |
| N1 | 69 (17.5%) | |
| N2 | 99 (25.2%) | |
| N3 | 58 (14.8%) | |
| Nx | 2 (0.5%) | |
| N/A | 3 | |
| UICC at initial diagnosis stadium | 1 | 85 (22%) |
| 2 | 73 (19%) | |
| 3 | 65 (17%) | |
| 4 | 170 (43%) | |
| N/A | 3 | |
| Lymph node metastasis | Yes | 209 (58%) |
| No | 187 (47%) | |
| Distant metastasis | Yes | 53 (13%) |
| No | 342 (87%) | |
| N/A | 1 | |
| Recurrence | No | 299 (76%) |
| Yes | 97 (24%) | |
| p16 status | negative | 280 (71%) |
| positive | 116 (29%) | |
| History of alcohol abuse | Yes | 215 (57%) |
| No | 164 (43%) | |
| N/A | 17 | |
| History of smoking | Yes | 325 (87%) |
| No | 47 (13%) | |
| N/A | 24 | |
| Salvage surgery | Yes | 8 (2%) |
| No | 388 (98%) | |
| Primary tumor chemotherapy | Yes | 117 (30%) |
| No | 273 (70%) | |
| N/A | 6 | |
| Primary tumor radiotherapy | Yes | 233 (60%) |
| No | 158 (40%) | |
| N/A | 5 | |
References
- Amaral, M.N.; Faísca, P.; Ferreira, H.A.; Gaspar, M.M.; Reis, C.P. Current Insights and Progress in the Clinical Management of Head and Neck Cancer. Cancers 2022, 14, 6079. [Google Scholar] [CrossRef] [PubMed]
- Wang, H.; Zhao, Q.; Zhang, Y.; Wei, J.; Wang, B.; Zheng, Z.; Liu, S.; Liu, Z.; Meng, L.; Xin, Y.; et al. Efficacy and Safety of Systemic Treatments for Patients with Recurrent/Metastatic Head and Neck Squamous Cell Carcinoma: A Systematic Review and Network Meta-Analysis. Pharmacol. Res. 2021, 173, 105866. [Google Scholar] [CrossRef] [PubMed]
- Sacco, A.G.; Cohen, E.E. Current Treatment Options for Recurrent or Metastatic Head and Neck Squamous Cell Carcinoma. JCO 2015, 33, 3305–3313. [Google Scholar] [CrossRef] [PubMed]
- Pezzuto, F.; Buonaguro, L.; Caponigro, F.; Ionna, F.; Starita, N.; Annunziata, C.; Buonaguro, F.M.; Tornesello, M.L. Update on Head and Neck Cancer: Current Knowledge on Epidemiology, Risk Factors, Molecular Features and Novel Therapies. Oncology 2015, 89, 125–136. [Google Scholar] [CrossRef] [PubMed]
- Park, J.-O.; Nam, I.-C.; Kim, C.-S.; Park, S.-J.; Lee, D.-H.; Kim, H.-B.; Han, K.-D.; Joo, Y.-H. Sex Differences in the Prevalence of Head and Neck Cancers: A 10-Year Follow-Up Study of 10 Million Healthy People. Cancers 2022, 14, 2521. [Google Scholar] [CrossRef]
- Kaatsch, P.; Spix, C.; Katalinic, A.; Hentschel, S.; Luttmann, S.; Waldeyer-Sauerland, M.; Waldmann, A. Krebs in Deutschland für 2015/2016; Robert Koch-Institut (Hrsg.) und die Gesellschaft der Epidemiologischen Krebsregister in Deutschland e. V. (Hrsg.): Berlin, Germany, 2019; Volume 163. [Google Scholar] [CrossRef]
- Kitamura, N.; Sento, S.; Yoshizawa, Y.; Sasabe, E.; Kudo, Y.; Yamamoto, T. Current Trends and Future Prospects of Molecular Targeted Therapy in Head and Neck Squamous Cell Carcinoma. Int. J. Mol. Sci. 2020, 22, 240. [Google Scholar] [CrossRef]
- Rathod, S.; Livergant, J.; Klein, J.; Witterick, I.; Ringash, J. A Systematic Review of Quality of Life in Head and Neck Cancer Treated with Surgery with or without Adjuvant Treatment. Oral Oncol. 2015, 51, 888–900. [Google Scholar] [CrossRef]
- Marur, S.; D’Souza, G.; Westra, W.H.; Forastiere, A.A. HPV-Associated Head and Neck Cancer: A Virus-Related Cancer Epidemic. Lancet Oncol. 2010, 11, 781–789. [Google Scholar] [CrossRef]
- Lewis, J.S.; Beadle, B.; Bishop, J.A.; Chernock, R.D.; Colasacco, C.; Lacchetti, C.; Moncur, J.T.; Rocco, J.W.; Schwartz, M.R.; Seethala, R.R.; et al. Human Papillomavirus Testing in Head and Neck Carcinomas: Guideline From the College of American Pathologists. Arch. Pathol. Lab. Med. 2018, 142, 559–597. [Google Scholar] [CrossRef]
- Tawk, B.; Debus, J.; Abdollahi, A. Evolution of a Paradigm Switch in Diagnosis and Treatment of HPV-Driven Head and Neck Cancer—Striking the Balance Between Toxicity and Cure. Front. Pharmacol. 2022, 12, 753387. [Google Scholar] [CrossRef]
- Chen, Y.-P.; Wang, Y.-Q.; Lv, J.-W.; Li, Y.-Q.; Chua, M.L.K.; Le, Q.-T.; Lee, N.; Colevas, A.D.; Seiwert, T.; Hayes, D.N.; et al. Identification and Validation of Novel Microenvironment-Based Immune Molecular Subgroups of Head and Neck Squamous Cell Carcinoma: Implications for Immunotherapy. Ann. Oncol. 2019, 30, 68–75. [Google Scholar] [CrossRef]
- Ribbat-Idel, J.; Perner, S.; Kuppler, P.; Klapper, L.; Krupar, R.; Watermann, C.; Paulsen, F.-O.; Offermann, A.; Bruchhage, K.-L.; Wollenberg, B.; et al. Immunologic “Cold” Squamous Cell Carcinomas of the Head and Neck Are Associated With an Unfavorable Prognosis. Front. Med. 2021, 8, 622330. [Google Scholar] [CrossRef]
- Chuang, C.-Y.; Chien, Y.-C.; Lin, C.-W.; Chou, C.-H.; Chen, S.-C.; Liu, C.-L.; Bai, L.-Y.; Yang, S.-F.; Yu, Y.-L. TRIM21 Polymorphisms Are Associated with Susceptibility and Clinical Status of Oral Squamous Cell Carcinoma Patients. Int. J. Med. Sci. 2021, 18, 2997–3003. [Google Scholar] [CrossRef]
- Ben-Chetrit, E.; Chan, E.K.; Sullivan, K.F.; Tan, E.M. A 52-KD Protein Is a Novel Component of the SS-A/Ro Antigenic Particle. J. Exp. Med. 1988, 167, 1560–1571. [Google Scholar] [CrossRef]
- Jones, E.L.; Laidlaw, S.M.; Dustin, L.B. TRIM21/Ro52—Roles in Innate Immunity and Autoimmune Disease. Front. Immunol. 2021, 12, 738473. [Google Scholar] [CrossRef]
- McEwan, W.A.; Tam, J.C.H.; Watkinson, R.E.; Bidgood, S.R.; Mallery, D.L.; James, L.C. Intracellular Antibody-Bound Pathogens Stimulate Immune Signaling via the Fc Receptor TRIM21. Nat. Immunol. 2013, 14, 327–336. [Google Scholar] [CrossRef]
- Sun, J.; Chen, X.; Ji, X.; Meng, S.; Wang, W.; Wang, P.; Bai, J.; Li, Z.; Chen, Y. TRIM21 Deficiency Promotes Cell Proliferation and Tumorigenesis via Regulating P21 Expression in Ovarian Cancer. Bioengineered 2022, 13, 6024–6035. [Google Scholar] [CrossRef]
- Chen, X.; Li, Z.; Yong, H.; Wang, W.; Wang, D.; Chu, S.; Li, M.; Hou, P.; Zheng, J.; Bai, J. Trim21-Mediated HIF-1α Degradation Attenuates Aerobic Glycolysis to Inhibit Renal Cancer Tumorigenesis and Metastasis. Cancer Lett. 2021, 508, 115–126. [Google Scholar] [CrossRef]
- Ding, Q.; He, D.; He, K.; Zhang, Q.; Tang, M.; Dai, J.; Lv, H.; Wang, X.; Xiang, G.; Yu, H. Downregulation of TRIM21 Contributes to Hepatocellular Carcinoma Carcinogenesis and Indicates Poor Prognosis of Cancers. Tumor. Biol. 2015, 36, 8761–8772. [Google Scholar] [CrossRef]
- Sjöstrand, M.; Ambrosi, A.; Brauner, S.; Sullivan, J.; Malin, S.; Kuchroo, V.K.; Espinosa, A.; Wahren-Herlenius, M. Expression of the Immune Regulator Tripartite-Motif 21 Is Controlled by IFN Regulatory Factors. J. Immunol. 2013, 191, 3753–3763. [Google Scholar] [CrossRef]
- Rah, B.; Rather, R.A.; Bhat, G.R.; Baba, A.B.; Mushtaq, I.; Farooq, M.; Yousuf, T.; Dar, S.B.; Parveen, S.; Hassan, R.; et al. JAK/STAT Signaling: Molecular Targets, Therapeutic Opportunities, and Limitations of Targeted Inhibitions in Solid Malignancies. Front. Pharmacol. 2022, 13, 821344. [Google Scholar] [CrossRef] [PubMed]
- Foss, S.; Watkinson, R.E.; Grevys, A.; McAdam, M.B.; Bern, M.; Høydahl, L.S.; Dalhus, B.; Michaelsen, T.E.; Sandlie, I.; James, L.C.; et al. TRIM21 Immune Signaling Is More Sensitive to Antibody Affinity Than Its Neutralization Activity. J. Immunol. 2016, 196, 3452–3459. [Google Scholar] [CrossRef] [PubMed]
- Brauner, S.; Zhou, W.; Backlin, C.; Green, T.M.; Folkersen, L.; Ivanchenko, M.; Löfström, B.; Xu-Monette, Z.Y.; Young, K.H.; Møller Pedersen, L.; et al. Reduced Expression of TRIM21/Ro52 Predicts Poor Prognosis in Diffuse Large B-Cell Lymphoma Patients with and without Rheumatic Disease. J. Intern. Med. 2015, 278, 323–332. [Google Scholar] [CrossRef] [PubMed]
- Zhou, W.; Zhang, Y.; Zhong, C.; Hu, J.; Hu, H.; Zhou, D.; Cao, M. Decreased Expression of TRIM21 Indicates Unfavorable Outcome and Promotes Cell Growth in Breast Cancer. CMAR 2018, 10, 3687–3696. [Google Scholar] [CrossRef] [PubMed]
- Wu, Z.; Wang, Y.; Yu, Z.; Meng, Z.; Duan, W.; Zhang, W.; Fang, J. TRIM21—A Potential Biomarker for the Prognosis of Thyroid Cancer. Exp. Ther. Med. 2022, 24, 761. [Google Scholar] [CrossRef]
- Zhao, Z.; Wang, Y.; Yun, D.; Huang, Q.; Meng, D.; Li, Q.; Zhang, P.; Wang, C.; Chen, H.; Lu, D. TRIM21 Overexpression Promotes Tumor Progression by Regulating Cell Proliferation, Cell Migration and Cell Senescence in Human Glioma. Am. J. Cancer Res. 2020, 10, 114–130. [Google Scholar]
- Wang, F.; Zhang, Y.; Shen, J.; Yang, B.; Dai, W.; Yan, J.; Maimouni, S.; Daguplo, H.Q.; Coppola, S.; Gao, Y.; et al. The Ubiquitin E3 Ligase TRIM21 Promotes Hepatocarcinogenesis by Suppressing the P62-Keap1-Nrf2 Antioxidant Pathway. Cell. Mol. Gastroenterol. Hepatol. 2021, 11, 1369–1385. [Google Scholar] [CrossRef]
- Massa, S.T.; Osazuwa-Peters, N.; Christopher, K.M.; Arnold, L.D.; Schootman, M.; Walker, R.J.; Varvares, M.A. Competing Causes of Death in the Head and Neck Cancer Population. Oral Oncol. 2017, 65, 8–15. [Google Scholar] [CrossRef]
- Lop, J.; del Prado Venegas, M.; Pujol, A.; Sauter, B.; Vásquez, R.; Casasayas, M.; Quer, M.; León, X. Causes of Long-Term Mortality in Patients with Head and Neck Squamous Cell Carcinomas. Eur. Arch. Otorhinolaryngol. 2022, 279, 3657–3664. [Google Scholar] [CrossRef]
- Zhang, P.; Li, X.; He, Q.; Zhang, L.; Song, K.; Yang, X.; He, Q.; Wang, Y.; Hong, X.; Ma, J.; et al. TRIM21–SERPINB5 Aids GMPS Repression to Protect Nasopharyngeal Carcinoma Cells from Radiation-Induced Apoptosis. J. Biomed. Sci. 2020, 27, 30. [Google Scholar] [CrossRef]
- Chen, Y.-P.; Chan, A.T.C.; Le, Q.-T.; Blanchard, P.; Sun, Y.; Ma, J. Nasopharyngeal Carcinoma. Lancet 2019, 394, 64–80. [Google Scholar] [CrossRef]
- Gillison, M.L.; Chaturvedi, A.K.; Anderson, W.F.; Fakhry, C. Epidemiology of Human Papillomavirus–Positive Head and Neck Squamous Cell Carcinoma. JCO 2015, 33, 3235–3242. [Google Scholar] [CrossRef]
- Klapper, L.; Ribbat-Idel, J.; Kuppler, P.; Paulsen, F.-O.; Bruchhage, K.-L.; Rades, D.; Offermann, A.; Kirfel, J.; Wollenberg, B.; Idel, C.; et al. NR2F6 as a Prognostic Biomarker in HNSCC. Int. J. Mol. Sci. 2020, 21, 5527. [Google Scholar] [CrossRef]
- Idel, C.; Ribbat-Idel, J.; Kuppler, P.; Krupar, R.; Offermann, A.; Vogel, W.; Rades, D.; Kirfel, J.; Wollenberg, B.; Perner, S. EVI1 as a Marker for Lymph Node Metastasis in HNSCC. Int. J. Mol. Sci. 2020, 21, 854. [Google Scholar] [CrossRef]
- Paulsen, F.-O.; Idel, C.; Ribbat-Idel, J.; Kuppler, P.; Klapper, L.; Rades, D.; Bruchhage, K.-L.; Wollenberg, B.; Brägelmann, J.; Perner, S.; et al. CDK19 as a Potential HPV-Independent Biomarker for Recurrent Disease in HNSCC. Int. J. Mol. Sci. 2020, 21, 5508. [Google Scholar] [CrossRef]
- Watermann, C.; Pasternack, H.; Idel, C.; Ribbat-Idel, J.; Brägelmann, J.; Kuppler, P.; Offermann, A.; Jonigk, D.; Kühnel, M.P.; Schröck, A.; et al. Recurrent HNSCC Harbor an Immunosuppressive Tumor Immune Microenvironment Suggesting Successful Tumor Immune Evasion. Clin. Cancer Res. 2020. [Google Scholar] [CrossRef]
- Klapper, L.; Idel, C.; Kuppler, P.; Jagomast, T.; von Bernuth, A.; Bruchhage, K.-L.; Rades, D.; Offermann, A.; Kirfel, J.; Perner, S.; et al. TRIM24 Expression as an Independent Biomarker for Prognosis and Tumor Recurrence in HNSCC. J. Pers. Med. 2022, 12, 991. [Google Scholar] [CrossRef]
- Bottner, J.; Ribbat-Idel, J.; Klapper, L.; Jagomast, T.; Lemster, A.-L.; Perner, S.; Idel, C.; Kirfel, J. Elevated LSD1 and SNAIL Expression Indicate Poor Prognosis in Hypopharynx Carcinoma. Int. J. Mol. Sci. 2022, 23, 5075. [Google Scholar] [CrossRef]
- Brierley, J.; Gospodarowicz, M.K.; Wittekind, C. (Eds.) TNM Classification of Malignant Tumours, 8th ed.; John Wiley & Sons, Inc: Chichester, UK; Hoboken, NJ, USA, 2017; ISBN 978-1-11926-357-9. [Google Scholar]
- Braun, M.; Goltz, D.; Shaikhibrahim, Z.; Vogel, W.; Böhm, D.; Scheble, V.; Sotlar, K.; Fend, F.; Tan, S.-H.; Dobi, A.; et al. ERG Protein Expression and Genomic Rearrangement Status in Primary and Metastatic Prostate Cancer—A Comparative Study of Two Monoclonal Antibodies. Prostate Cancer Prostatic Dis. 2012, 15, 165–169. [Google Scholar] [CrossRef]
- Scheble, V.J.; Braun, M.; Beroukhim, R.; Mermel, C.H.; Ruiz, C.; Wilbertz, T.; Stiedl, A.-C.; Petersen, K.; Reischl, M.; Kuefer, R.; et al. ERG Rearrangement Is Specific to Prostate Cancer and Does Not Occur in Any Other Common Tumor. Mod. Pathol. 2010, 23, 1061–1067. [Google Scholar] [CrossRef]
- Bankhead, P.; Loughrey, M.B.; Fernández, J.A.; Dombrowski, Y.; McArt, D.G.; Dunne, P.D.; McQuaid, S.; Gray, R.T.; Murray, L.J.; Coleman, H.G.; et al. QuPath: Open Source Software for Digital Pathology Image Analysis. Sci. Rep. 2017, 7, 16878. [Google Scholar] [CrossRef] [PubMed]
- The Jamovi Project. jamovi, Version 2.3; jamovi: Sydney, Australia, 2021. Available online: https://www.jamovi.org (accessed on 11 April 2022).
- Therneau, T.M.; Lumley, T.; Elizabeth, A.; Cynthia, C. Survival: A Package for Survival Analysis in R. 2022. Available online: https://cran.r-project.org/web/packages/survival/index.html (accessed on 11 April 2022).
- Harrison, E.; Drake, T.; Ots, R. Finalfit: Quickly Create Elegant Regression Results Tables and Plots When Modelling. 2022. Available online: https://CRAN.R-project.org/package=finalfit (accessed on 11 April 2022).
- R Core Team. R: A Language and Environment for Statistical Computing; R Core Team: Vienna, Austria, 2022. [Google Scholar]
- Kassambara, A.; Kosinski, M.; Biecek, P.; Fabian, S. Survminer: Drawing Survival Curves Using “Ggplot2”. 2021. Available online: https://cran.r-project.org/web/packages/survminer/index.html (accessed on 3 July 2022).
- Tang, Y.; Horikoshi, M.; Li, W. Ggfortify: Unified Interface to Visualize Statistical Results of Popular R Packages. R J. 2016, 8, 474. [Google Scholar] [CrossRef]
- Wickham, H.; Averick, M.; Bryan, J.; Chang, W.; McGowan, L.; François, R.; Grolemund, G.; Hayes, A.; Henry, L.; Hester, J.; et al. Welcome to the Tidyverse. JOSS 2019, 4, 1686. [Google Scholar] [CrossRef]
- Ahlmann-Eltze, C.; Patil, I. Ggsignif: R Package for Displaying Significance Brackets for “Ggplot2”. PsyArXiv. 2021. Available online: https://cran.r-project.org/web/packages/ggsignif/index.html (accessed on 3 July 2022).
- Schneider, C.A.; Rasband, W.S.; Eliceiri, K.W. NIH Image to ImageJ: 25 Years of Image Analysis. Nat. Methods 2012, 9, 671–675. [Google Scholar] [CrossRef]
Disclaimer/Publisher’s Note: The statements, opinions and data contained in all publications are solely those of the individual author(s) and contributor(s) and not of MDPI and/or the editor(s). MDPI and/or the editor(s) disclaim responsibility for any injury to people or property resulting from any ideas, methods, instructions or products referred to in the content. |
© 2023 by the authors. Licensee MDPI, Basel, Switzerland. This article is an open access article distributed under the terms and conditions of the Creative Commons Attribution (CC BY) license (https://creativecommons.org/licenses/by/4.0/).





