Inheritance and Molecular Characterization of a Novel Mutated AHAS Gene Responsible for the Resistance of AHAS-Inhibiting Herbicides in Rapeseed (Brassica napus L.)
Abstract
1. Introduction
2. Results
2.1. Cross-Resistance of the Mutant Line K5 to Different Herbicides
2.2. AHAS Enzyme Activity Assay
2.3. Genetic Investigation of TBM-Resistance of the Mutant Line K5
2.4. Sequence Comparison of the Mutant K5 and Wild-type (WT) BnAHAS Genes
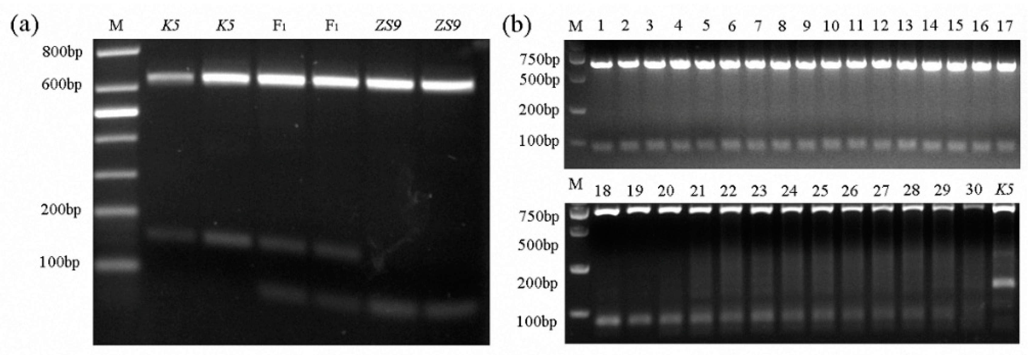
2.5. Development of Allele-Specific (AS) Markers and Co-Segregation Analysis
2.6. Expression of BnAHAS1544T Confers Herbicide Resistance in A. Thaliana Plants
2.7. Development of a Method for Fast-screening TBM-Resistant Mutants in Greenhouse
3. Discussion
4. Materials and Methods
4.1. Plant Materials and Herbicides
4.2. Cross-Resistance of the Mutant line K5 to Different Herbicides
4.3. Enzyme Extraction and Assays of AHAS Activity
4.4. Genetic Analysis of TBM-Resistance in the Mutant K5
4.5. Amplification and Sequence Analysis of BnAHASs
4.6. Development of CAPS Markers for BnAHAS1544
4.7. Arabidopsis Transformation and TBM Treatment
4.8. RNA Extraction and SQ-PCR
4.9. Fast-Screening Method for TBM-Resistant Rapeseed in Greenhouse
4.10. Data analysis
5. Conclusions
Supplementary Materials
Author Contributions
Funding
Acknowledgments
Conflicts of Interest
Abbreviations
| AHAS | Acetohydroxyacid synthase |
| AS | Allele-specific |
| A. thaliana | Arabidopsis thaliana |
| B. napus | Brassica napus L. |
| BSM | Bensufuron-methyl |
| CFE | Carfentrazone-ethyl |
| CAPS | Cleaved amplified polymorphic sequences |
| DAT | Days after treatments |
| EMS | Ethyl methyl sulfonate |
| FU | Florasulam |
| NSF | Nicosulfuron |
| IMI | Imidazolinones |
| MES | Monosulfuron-ester sodium |
| NSTR | Non-target-site resistance |
| PCR | Polymerase chain reaction |
| SU | Sulfonylureas |
| SME | Sulfometuron methyl ester |
| SNP | Single nucleotide polymorphisms |
| TRS | Target-site resistance |
| TBM | Tribenuron-methyl |
| UBC21 | Ubiquitin-conjugating enzyme 21 |
| ZS9 | Zhongshuang No.9 |
References
- Agriculture Usdo. Available online: https://www.usda.gov/ (accessed on 20 October 2018).
- Peschken, D.P.; Thomas, A.G.; Wise, R.F. Loss in yield of rapeseed (Brassica napus, B. campestris) caused by perennial Sowthistle (Sonchus arvensis) in Saskatchewan and Manitoba. Weed Sci. 1983, 31, 740–744. [Google Scholar] [CrossRef]
- Boström, U. Response of weeds and crop yield to herbicide dose decision-support guidelines. Weed Sci. 2009, 50, 186–195. [Google Scholar] [CrossRef]
- Freeman, S.E.; Lutman, P.J.W. The effects of timing of control of weeds on the yield of winter oilseed rape (Brassica napus), in the context of the potential commercialization of herbicide-tolerant winter rape. J. Agric. Sci. 2004, 142, 263–272. [Google Scholar] [CrossRef]
- Sun, Y.Y.; Qu, G.P.; Huang, Q.X.; Lv, J.Y.; Guo, Y.; Wu, H.S. SNP markers for acetolactate synthase genes from tribenuron-methyl resistant mutants in Brassica napus L. Chin. J. Oil Crop Sci. 2015, 37, 589–595. [Google Scholar]
- Hu, M.; Pu, H.; Kong, L.; Gao, J.; Long, W.; Chen, S.; Zhang, J.; Qi, C. Molecular characterization and detection of a spontaneous mutation conferring imidazolinone resistance in rapeseed and its application in hybrid rapeseed production. Mol. Breed. 2015, 35, 46–50. [Google Scholar] [CrossRef]
- Zhang, H.J.; Liu, X.; Zhang, J.; Cui, H.L.; Zhang, C.X.; Zhu, W.D. Registration and use of herbicides in rapeseed fields in China. Sci. Technol. Innov. Her. 2008, 15, 252–253. [Google Scholar]
- Heap, I. Global perspective of herbicide-resistant weeds. Pest Manag. Sci. 2014, 70, 1306–1310. [Google Scholar] [CrossRef]
- Duggleby, R.G.; Mccourt, J.A.; Guddat, L.W. Structure and mechanism of inhibition of plant acetohydroxyacid synthase. Plant Physiol. Biochem. 2008, 46, 309–324. [Google Scholar] [CrossRef]
- Mccourt, J.A.; Duggleby, R.G. Acetohydroxyacid synthase and its role in the biosynthetic pathway for branched-chain amino acids. Amino Acids 2006, 31, 173–210. [Google Scholar] [CrossRef]
- Duggleby, R.G.; Pang, S.S. Acetohydroxyacid Synthase. BMM Rep. 2000, 33, 1–36. [Google Scholar]
- Kleschick, W.A.; Costales, M.J.; Dunbar, J.E.; Meikle, R.W.; Monte, W.T.; Pearson, N.R.; Snider, S.W.; Vinogradoff, A.P. New herbicidal derivatives of 1,2,4-triazolo[1,5-a]pyrimidine. Pest Manag. Sci. 2010, 29, 341–355. [Google Scholar] [CrossRef]
- Santel, H.J.; Bowden, B.A.; Sorensen, V.M.; Mueller, K.H. Flucarbazone-Sodium-A New Herbicide for the Selective Control of Wild Oat and Green Foxtail in Wheat; British Crop Protection Council: Farnham, UK, 1999. [Google Scholar]
- Shaner, D.L.; Anderson, P.C.; Stidham, M.A. Imidazolinones: Potent inhibitors of acetohydroxyacid synthase. Plant. Physiol 1984, 76, 545–546. [Google Scholar] [CrossRef]
- Ray, T. Site of action of chlorsulfuron: inhibition of valine and isoleucine biosynthesis in plants. Plant Physiol. 1984, 75, 827. [Google Scholar] [CrossRef] [PubMed]
- Xu, X.; Wang, G.Q.; Chen, S.L.; Fan, C.Q.; Li, B.H. Confirmation of flixweed (Descurainia sophia) resistance to tribenuron-methyl using three different assay methods. Weed Sci. 2010, 58, 56–60. [Google Scholar] [CrossRef]
- Xu, X.; Liu, G.; Chen, S.; Li, B.; Liu, X.; Wang, X.; Fan, C.; Wang, G.; Ni, H. Mutation at residue 376 of ALS confers tribenuron-methyl resistance in flixweed (Descurainia sophia) populations from Hebei Province, China. Pestic. Biochem. Physiol. 2015, 125, 62–68. [Google Scholar] [CrossRef] [PubMed]
- International Survey of Herbicide Resistant Weeds. Available online: http://www.weedscience.org/Mutations/MutationDisplayAll.aspx (accessed on 1 May 2018).
- Murphy, B.; Tranel, P. Target-site mutations conferring herbicide resistance. Plants 2019, 8, 382. [Google Scholar] [CrossRef]
- Rutledge, R.G.; Quellet, T.; Hattori, J.; Miki, B.L. Molecular characterization and genetic origin of the Brassica napus acetohydroxyacid synthase multigene family. Mol. Gen. Genet. 1991, 229, 31–40. [Google Scholar] [CrossRef] [PubMed]
- Li, H.; Li, J.; Zhao, B.; Wang, J.; Yi, L.; Liu, C.; Wu, J.; King, G.J.; Liu, K. Generation and characterization of tribenuron-methyl herbicide-resistant rapeseed (Brasscia napus) for hybrid seed production using chemically induced male sterility. Theor. Appl. Genet. 2015, 128, 107–118. [Google Scholar] [CrossRef]
- Hattori, J.; Brown, D.; Mourad, G.; Labbé, H.; Ouellet, T.; Sunohara, G.; Rutledge, R.; King, J.; Miki, B. An acetohydroxy acid synthase mutant reveals a single site involved in multiple herbicide resistance. Mol. Gen. Genet. 1995, 246, 419–425. [Google Scholar] [CrossRef]
- Tonnemaker, K.A.; Auld, D.L.; Thill, D.C.; Mallorysmith, C.A.; Erickson, D.A. Development of sulfonylurea-resistant rapeseed using chemical mutagenesis. Crop. Sci. 1992, 32, 1387–1391. [Google Scholar] [CrossRef]
- Swanson, E.B.; Herrgesell, M.J.; Arnoldo, M.; Sippell, D.W.; Wong, R.S.C. Microspore mutagenesis and selection: Canola plants with field tolerance to the imidazolinones. Theor. Appl. Genet. 1989, 78, 525–530. [Google Scholar] [CrossRef] [PubMed]
- Tan, S.; Evans, R.R.; Dahmer, M.L.; Singh, B.K.; Shaner, D.L. Imidazolinone-tolerant crops: history, current status and future. Pest Manag. Sci. 2005, 61, 246. [Google Scholar] [CrossRef] [PubMed]
- Lv, J.; Huang, Q.; Sun, Y.; Qu, G.; Guo, Y.; Zhang, X.; Zhao, H.; Hu, S. Male sterility of an AHAS-mutant induced by tribenuron-methyl solution correlated with the decrease of AHAS activity in Brassica napus L. Front. Plant Sci. 2018, 9, 1014. [Google Scholar] [CrossRef] [PubMed]
- Harker, K.N.; Clayton, G.W.; O’Donovan, J.T.; Blackshaw, R.E.; Stevenson, F.C. Herbicide timing and rate effects on weed management in three herbicide-resistant Canola systems. Weed Technol. 2009, 18, 1006–1012. [Google Scholar] [CrossRef]
- Qu, G.P.; Sun, Y.Y.; Pang, H.X.; Qiang, W.U.; Wang, F.L.; Hu, S.W. EMS mutagenesis and ALS-inhibitor herbicide-resistant mutants of Brassica napus L. Chin. J. Oil Crop Sci. 2014, 36, 25–31. [Google Scholar]
- Hu, M.L.; Pu, H.M.; Gao, J.Q.; Long, W.H.; Qi, C.K.; Zhang, J.F.; Chen, S. Inheritance and gene cloning of an ALS Inhabiting herbicide-resistant mutant line M9 in Brassica napus. Sci. Agric. Sin. 2012, 35, 4326–4334. [Google Scholar]
- Shoba, D.; Raveendran, M.; Manonmani, S.; Utharasu, S.; Dhivyapriya, D.; Subhasini, G.; Ramchandar, S.; Valarmathi, R.; Grover, N.; Krishnan, S.G. Development and genetic characterization of a novel herbicide (imazethapyr) tolerant mutant in Rice (Oryza sativa L.). Rice 2017, 10, 10–17. [Google Scholar] [CrossRef]
- Ghio, C.; Ramos, M.L.; Altieri, E.; Bulos, M.; Sala, C.A. Molecular characterization of Als1, an acetohydroxyacid synthase mutation conferring resistance to sulfonylurea herbicides in soybean. Theor. Appl. Genet. 2013, 126, 2957–2968. [Google Scholar] [CrossRef]
- Hu, M.L.; Pu, H.M.; Gao, J.Q.; Long, W.H.; Chen, F.; Zhou, X.Y.; Zhang, W.; Peng, Q.; Chen, S.; Zhang, J.F. Inheritance and molecular characterization of resistance to AHAS-inhibiting herbicides in rapeseed. J. Integr. Agric. 2017, 16, 2421–2433. [Google Scholar] [CrossRef]
- Haughn, G.W.; Smith, J.; Mazur, B.; Somerville, C. Transformation with a mutant Arabidopsis acetolactate synthase gene renders tobacco resistant to sulfonylurea herbicides. Mol. Gen. Genet. 1988, 211, 266–271. [Google Scholar] [CrossRef]
- Nakka, S.; Thompson, C.R.; Peterson, D.E.; Jugulam, M. Target site-based and non-target site based resistance to ALS inhibitors in Palmer Amaranth (Amaranthus palmeri). Weed Sci. 2018, 65, 1–9. [Google Scholar] [CrossRef]
- Ntoanidou, S.; Kaloumenos, N.; Diamantidis, G.; Madesis, P.; Eleftherohorinos, I. Molecular basis of Cyperus difformis cross-resistance to ALS-inhibiting herbicides. Pestic. Biochem. Physiol. 2016, 127, 38–45. [Google Scholar] [CrossRef] [PubMed]
- Délye, C.; Jasieniuk, M.; Corre, V. Deciphering the evolution of herbicide resistance in weeds. Trends Genet. 2013, 29, 649–658. [Google Scholar] [CrossRef] [PubMed]
- Jugulam, M.; Shyam, C. Non-target-site resistance to herbicides: recent developments. Plants 2019, 8, 417. [Google Scholar] [CrossRef]
- Délye, C. Unravelling the genetic bases of non-target-site-based resistance (NTSR) to herbicides: A major challenge for weed science in the forthcoming decade. Pest Manag. Sci. 2013, 69, 176–187. [Google Scholar] [CrossRef]
- Magha, M.I.; Guerche, P.; Bregeon, M.; Renard, M. Characterization of a spontaneous rapeseed mutant tolerant to sulfonylurea and imidazolinone herbicides. Plant Breed. 1993, 111, 132–141. [Google Scholar] [CrossRef]
- Sebastian, S.A.; Fader, G.M.; Ulrich, J.F.; Forney, D.R.; Chaleff, R.S. Semidominant soybean mutation for resistance to sulfonylurea herbicides. Crop Sci. 1989, 29, 1403–1408. [Google Scholar] [CrossRef]
- Sebastian, S.A.; Chaleff, R.S. Soybean mutants with increased tolerance for sulfonylurea herbicides. Crop Sci. 1987, 27, 948–952. [Google Scholar] [CrossRef]
- Gao, J.Q.; Pu, H.M.; Long, W.H.; Hu, M.L.; Qi, C.K.; Zhang, J.F. Resistance of imidzolidone-resistant oilseed rape to nonselective herbicide imazethapyr. Jiangsu J. Agric. Sci. 2010, 26, 1186–1191. [Google Scholar]
- Xin, X.; Qu, G.; Zhang, R.; Pang, H.; Wu, Q.; Wang, F.; Hu, S. Identification of the tribenuron-methyl tolerance in different rapeseed genotypes. Acta Agric. Boreali-Occident. Sin. 2014, 23, 68–74. [Google Scholar]
- Seefeldt, S.S.; Fuerst, E.P. Log-logistic analysis of herbicide dose-response relationships. Weed Technol. 1995, 9, 218–227. [Google Scholar] [CrossRef]
- IBM Corp. IBM SPSS Statistics for Windows, Version 20.0; IBM Corp: New York, NY, USA, 2013. [Google Scholar]
- Doyle, J.; Doyle, J. A rapid total DNA preparation procedure for fresh plant tissue. Focus 1990, 12, 13–15. [Google Scholar]
- The Arabidopsis Information Resource. Available online: https://www.arabidopsis.org/ (accessed on 1 May 2018).
- Hall, T.A. BioEdit: a user-friendly biological sequence alignment editor and analysis program for Windows 95/98/NT. Nucleic Acids Symp. Ser. 1999, 41, 95–98. [Google Scholar]
- Zhang, X.; Henriques, R.; Lin, S.S.; Niu, Q.W.; Chua, N.H. Agrobacterium-mediated transformation of Arabidopsis thaliana using the floral dip method. Nat. Protoc. 2006, 1, 641–646. [Google Scholar] [CrossRef] [PubMed]






| Herbicide | Lines | I50 (g a.i. ha−1) | Lethal Rate (g a.i. ha−1) | Safety Rate (g a.i. ha−1) | |
|---|---|---|---|---|---|
| Fresh Weight | Dry Weight | ||||
| TBM | ZS9 | 0.36 ± 0.06 | 0.30 ± 0.06 | 0.60 | 0.06 |
| K5 | 25.38 ± 11.67 ** | 28.98 ± 12.99 ** | 60.00–150.00 | 15.00 | |
| BSM | ZS9 | 0.27 ± 0.12 | 0.30 ± 0.15 | 1.50 | 0.15 |
| K5 | 14.91 ± 0.00 ** | 8.79 ± 3.12 ** | >27.00 | 18.00 | |
| MES | ZS9 | 0.39 ± 0.12 | 0.36 ± 0.12 | 1.00 | 0.10 |
| K5 | 19.05 ± 4.59 ** | 19.74 ± 2.61 ** | 30.00–50.00 | 10.00 | |
| Cross and Population | Resistant | Sensitive | Expected Ratio | Ratio | χ2c | P |
|---|---|---|---|---|---|---|
| Plants | Plants | |||||
| K5 × ZS9 | ||||||
| F1 | 89 | 0 | - | - | - | - |
| RF1 | 94 | 0 | - | - | - | - |
| BC1 | 114 | 103 | 1:1 | 1.10:1 | 0.28 | 0.60 |
| F2 | 1059 | 350 | 3:1 | 3.02:1 | 0.02 | 0.89 |
| K5 × SH11 | ||||||
| F1 | 172 | 0 | - | - | - | - |
| RF1 | 164 | 0 | - | - | - | - |
| BC1 | 177 | 172 | 1:1 | 1.03:1 | 0 | 1 |
| F2 | 403 | 127 | 3:1 | 3.17:1 | 0.25 | 0.62 |
| Herbicides | Rates for ZS9 | Rates for K5 | Herbicides | Rates for ZS9 | Rates for K5 |
|---|---|---|---|---|---|
| (g a.i. ha−1) | (g a.i. ha−1) | (g a.i. ha−1) | (g a.i. ha−1) | ||
| Tribenuron-methyl | 0 | 0 | Florasulam | 0 | 0 |
| 0.06 | 3 | 0.6 | 6 | ||
| 0.15 | 6 | 1.5 | 9 | ||
| 0.3 | 15 | 3 | 15 | ||
| 0.6 | 30 | Sulfometuron methyl ester | 0 | 0 | |
| 1.5 | 60 | 150 | 150 | ||
| 3 | 150 | 300 | 300 | ||
| Bensufuron-methyl | 0 | 0 | 600 | 600 | |
| 0.15 | 4.5 | Nicosulfuron | 0 | 0 | |
| 0.3 | 13.5 | 13.5 | 13.5 | ||
| 0.6 | 18 | 27 | 27 | ||
| 1.5 | 27 | 54 | 54 | ||
| 3 | - | - | - | ||
| 4.5 | - | - | - | ||
| Carfentrazone-ethyl | 0 | 0 | Monosulfuron-ester sodium | 0 | 0 |
| 1.5 | 1.5 | 0.1 | 5 | ||
| 3 | 3 | 0.2 | 10 | ||
| 4.5 | 4.5 | 0.5 | 20 | ||
| Imidazole nicotinic | 0 | 0 | 1 | 30 | |
| 49.5 | 49.5 | 2 | 50 | ||
| - | - | 5 | - | ||
| - | - | 10 | - | ||
| Glyphosate | 0 | 0 | Glufosinate | 0 | 0 |
| 15 | 15 | 6 | 6 | ||
| 21 | 21 | 9 | 9 | ||
| 27 | 27 | 15 | 15 |
© 2020 by the authors. Licensee MDPI, Basel, Switzerland. This article is an open access article distributed under the terms and conditions of the Creative Commons Attribution (CC BY) license (http://creativecommons.org/licenses/by/4.0/).
Share and Cite
Huang, Q.; Lv, J.; Sun, Y.; Wang, H.; Guo, Y.; Qu, G.; Hu, S. Inheritance and Molecular Characterization of a Novel Mutated AHAS Gene Responsible for the Resistance of AHAS-Inhibiting Herbicides in Rapeseed (Brassica napus L.). Int. J. Mol. Sci. 2020, 21, 1345. https://doi.org/10.3390/ijms21041345
Huang Q, Lv J, Sun Y, Wang H, Guo Y, Qu G, Hu S. Inheritance and Molecular Characterization of a Novel Mutated AHAS Gene Responsible for the Resistance of AHAS-Inhibiting Herbicides in Rapeseed (Brassica napus L.). International Journal of Molecular Sciences. 2020; 21(4):1345. https://doi.org/10.3390/ijms21041345
Chicago/Turabian StyleHuang, Qianxin, Jinyang Lv, Yanyan Sun, Hongmei Wang, Yuan Guo, Gaoping Qu, and Shengwu Hu. 2020. "Inheritance and Molecular Characterization of a Novel Mutated AHAS Gene Responsible for the Resistance of AHAS-Inhibiting Herbicides in Rapeseed (Brassica napus L.)" International Journal of Molecular Sciences 21, no. 4: 1345. https://doi.org/10.3390/ijms21041345
APA StyleHuang, Q., Lv, J., Sun, Y., Wang, H., Guo, Y., Qu, G., & Hu, S. (2020). Inheritance and Molecular Characterization of a Novel Mutated AHAS Gene Responsible for the Resistance of AHAS-Inhibiting Herbicides in Rapeseed (Brassica napus L.). International Journal of Molecular Sciences, 21(4), 1345. https://doi.org/10.3390/ijms21041345

