Abstract
(1) Background: The C-ros oncogene 1 (ROS1) gene translocation is an important biomarker for selecting patients for crizotinib-targeted therapy. The aim of this study was to understand the incidence, diagnostic algorithm, clinical course and objective response to crizotinib in ROS1 translocated lung non-small cell lung cancers (NSCLCs) in Taiwan. (2) Methods: First, we retrospectively studied the ROS1 status in 100 NSCLC samples using break-apart fluorescent in situ hybridization (FISH) and immunohistochemical (IHC) staining to establish a diagnostic algorithm. Then, we performed routine ROS1 IHC tests in 479 NSCLCs, as crizotinib was available from 2018 in Taiwan. We analyzed the objective response rate and the survival impact of crizotinib. (3) Results: Four ROS1 translocations were clustered in epidermal growth factor receptor (EGFR) wild-type adenocarcinomas but not in cases with EGFR mutations. Strong ROS1 expression was positively correlated with ROS1 translocation (p < 0.001). NSCLCs with ROS1 translocation had a poor prognosis compared to those without ROS1 translocation (p = 0.004) in the pre-crizotinib stage. Twenty NSCLCs were detected with ROS1 translocation in 479 wild-type EGFR specimens from 2018. Therefore, the incidence of ROS1 translocation is approximately 4.18% in EGFR wild-type NSCLCs. In these 20 ROS1 translocation cases, 19 patients received crizotinib treatment, with an objective response rate (ORR) of 78.95% (confidence interval = 69.34% to 88.56%), including 1 complete response, 14 partial responses, 3 stable cases and 1 progressive case. Overall survival and progression-free survival were better in the 19 ROS1-translocated NSCLCs of the prospective group with crizotinib treatment than the four ROS1-translocated NSCLCs of the retrospective group without crizotinib treatment. (4) Conclusions: ROS1-translocated NSCLCs had a poor prognosis and could have a beneficial outcome with crizotinib.
1. Introduction
With the success of tyrosine kinase inhibitors (TKIs) in clinical practice, non-small cell lung cancer (NSCLC) has led to widespread research on molecular targets and testing methods [1,2,3,4]. Abnormal oncogene activation by fusion of anaplastic lymphoma kinase (ALK) [5,6], C-ros oncogene 1 (ROS1) [7,8], and Ret proto-oncogene (RET) [9,10] has been identified in NSCLC [11]. Crizotinib, an efficient ALK TKI, is effective for ALK-, ROS1- and RET-translocated positive patients [12,13,14]. ROS1 is a tyrosine-protein kinase that is encoded by the ROS1 gene and has growth or differentiation functions [15]. ROS1 translocation was first identified in lung adenocarcinoma [16], and later, the consequent ROS1 fusion proteins were found to play significant roles in a variety of cancers, such as FIG-ROS1 in cholangiocarcinoma [17] and inflammatory myofibroblastic tumors [16]. In addition, many partners, such as solute carrier family 34 member 2 (SLC34A2), cluster of differentiation 74 (CD74), fused in glioblastoma (FIG), Syndecan 4 (SDC4) and Ezrin (EZR), are rearranged with ROS1 in NSCLC [8,18,19,20]. All these genetic arrangements consist of the 3′ ROS1 kinase domain fused to the 5′ portion of the respective partner gene and result in aberrant activation of downstream signaling and oncogenic effects [18,21]. Although the frequencies of these fusion genes are low, clinical evidence indicates that this subset of NSCLC is potentially responsive to crizotinib. Therefore, the identification of these ROS1 translocations is critical for the optimization of personalized treatment.
To date, several molecular methods have been designed to detect ROS1 translocation, including reverse transcription-polymerase chain reaction (RT–PCR), immunohistochemistry (IHC), and fluorescence in situ hybridization (FISH) [22]. Since lung cancers with ROS1 translocation only account for 1–3% of NSCLCs [23,24], a detection algorithm for the ROS1 fusion gene is important for rapid therapeutic decision. In this study, we investigated the percentage of ROS1 translocations in NSCLC in Taiwan using IHC and FISH and attempted to establish the relationship of ROS1 translocation with ROS1 expression and EGFR mutation. Moreover, we analyzed the clinicopathological features of adenocarcinomas with ROS1 translocation, its impact on survival and the objective response rate to crizotinib.
2. Results
2.1. Retrospective Study on ROS1 Translocation in NSCLC
To determine the frequency of ROS1 translocation in lung cancers and clinical characteristics in Taiwan, we first retrospectively examined 100 NSCLC patients treated at Lin-Kou Chang Gung Memorial Hospital, TaoYuan, Taiwan from 2010 to 2015. An equal number of male and female subjects were used in this study: 33 were current cigarette smokers, the remaining 67 had never smoked. FISH analysis with break-apart ROS1 probes was first adopted to detect ROS1 rearrangements (Figure 1). Among the 100 lung cancers, ROS1 translocation was detected in four adenocarcinomas of the 100 NSCLCs (4%). Age, sex, smoking status, histology grade, and tumor stage all showed no statistically significant association with ROS1 translocation in the study cohort (Table 1).
Figure 1.
Detection of ROS1 translocation genes by FISH analysis. (A) Scheme of ROS1 break-apart probe construction. (B) Positive ROS1 translocation sample with classic combination of fused, green, and red signals (FGR pattern). (C) Positive ROS1 translocation sample with loss of isolated green signal (FR pattern). (D) Positive ROS1 translocation sample with copy number gain (CNG). (E) Negative ROS1 translocation sample.
Table 1.
Characteristics of ROS1 translocated and non-translocated groups in pre-crizotinib period.
2.2. ROS1 Translocation Was Clustered in EGFR Wild-Type NSCLCs
Several studies have indicated that ROS1 translocation usually occurs in EGFR wild-type adenocarcinomas. Therefore, we next studied the status of ROS1 translocation in relation to EGFR mutation in these 100 cases of NSCLC. This cohort included 56 mutant EGFR and 44 wild-type EGFR tumors. The 56 mutant EGFR samples were composed of 26 (46.4%) exon 21 L858R mutants, 21 (37.5%) exon 19 deletions, and nine other mutations (exon 18 G719A, exon 19 L747P, exon 20 T790M, exon 20 insertion, and exon 21 L861Q, 16.1%), as shown in Table 2. All ROS1-translocated NSCLCs were found in the wild-type EGFR population with statistical significance (p = 0.0346).
Table 2.
Relationship between ROS1 and EGFR in lung cancers.
2.3. ROS1 Translocation Was Associated with ROS1 Expression in IHC
Next, we tried to correlate ROS1 expression by clone D4D6 antibody with ROS1 translocation (Figure 2). Eighty-six cases of NSCLC were scored as 0, five cases were scored as 1+, five cases were scored as 2+, and four cases were scored as 3+. All tumors with ROS1 IHC scores of 0, 1+ and 2+ had no ROS1 translocation. In contrast, all four tumors with ROS1 IHC 3+ harbored ROS1 rearrangements. ROS1 expression was positively associated with ROS1 translocation (p < 0.0001) in lung NSCLCs (Table 3).
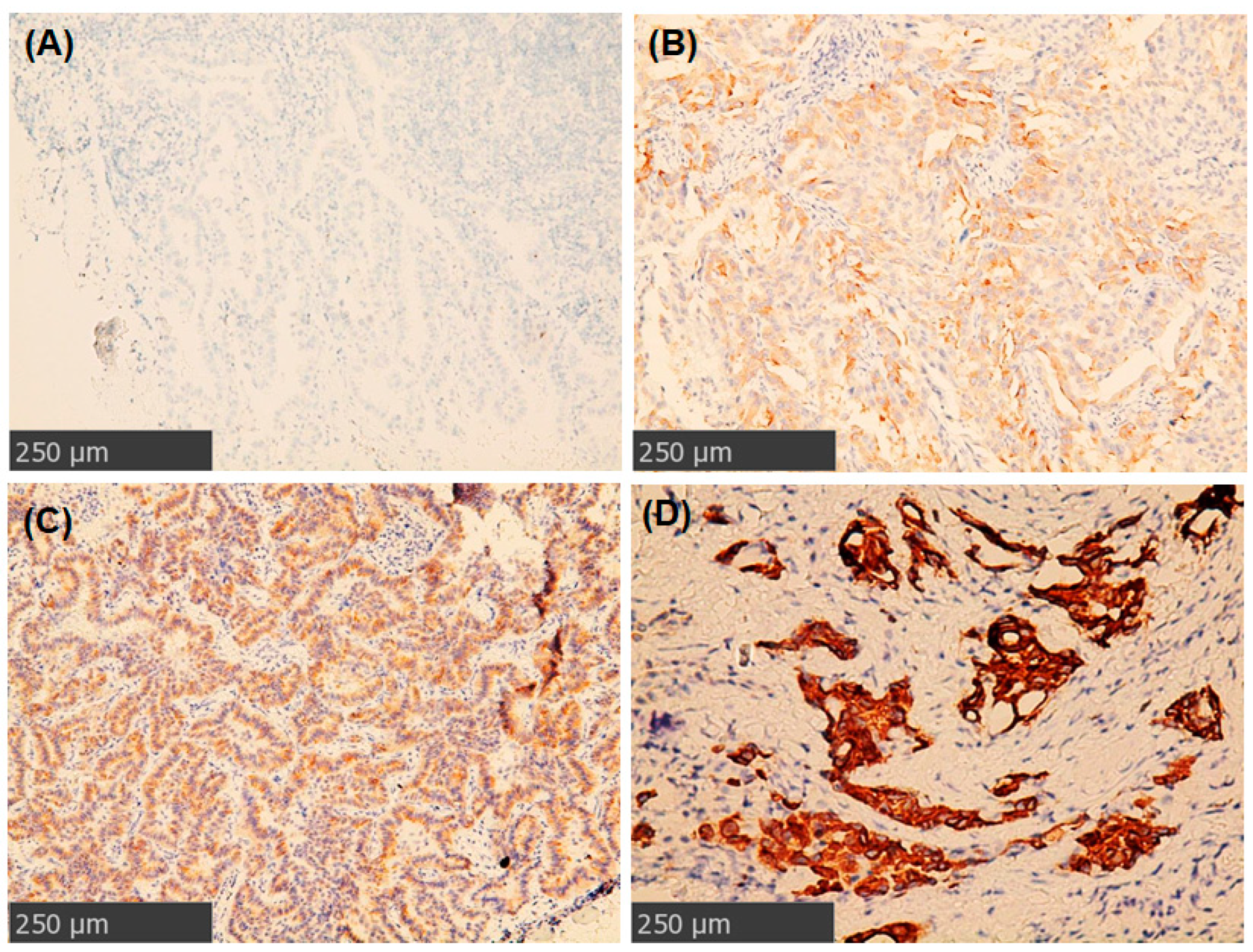
Figure 2.
Grading of ROS1 protein overexpression by IHC staining. (A) A patient with a negative stain for ROS1 (0). (B) A case with weak cytoplasmic staining (1+) for ROS1. (C) A case with moderate (2+) cytoplasmic stain for ROS1. (D) A patient with strong (3+) granular cytoplasmic staining for ROS1.
Table 3.
Association of ROS1 expression with ROS1 translocation.
2.4. Testing Algorithm of ROS1 Tests Based on the Retrospective Study
ROS1 translocation in NSCLCs was significantly correlated with wild-type EGFR and ROS1 IHC expression. For cost-effectiveness, we established a testing algorithm for NSCLCs to select eligible patients for crizotinib starting in 2018 (Figure 3). We first broke down all the test results of ROS1 IHC and FISH in Figure 3. All ROS1 translocation cases were in ROS1 IHC 3+ NSCLCs with wild-type EGFR. Eighteen of 75 ROS1 IHC 3+ cases in EGFR mutant types had no ROS1 rearrangement by FISH assay. Therefore, the testing algorithm was recommended as the following procedure. Each case of NSCLC was first recommended for EGFR mutation. If EGFR was wild type, then the case was tested for ROS1 and ALK by IHC. If ROS1 was IHC 3+, ROS1 FISH was performed to select eligible patients for crizotinib treatment.
Figure 3.
Testing algorithm for selecting ROS1 translocation for crizotinib treatment. A total of 1070 cases were collected from 2018 to 2020 with 479 EGFR wild-type and 591 EGFR mutant. In EGFR wild-type cases, 45 cases showed ROS1 IHC 3+, which included 20 cases that harbored ROS1 translocation. There were 75 cases of ROS1 IHC 3+ in the EGFR mutant group. Eighteen out of these 75 cases are also tested for ROS1 translocation, and none of them had ROS1 translocation. For cost effectiveness, each case of NSCLC was first tested for EGFR mutation assay. If EGFR was wild type, then the case would be tested for ROS1 and ALK by IHC. If the ROS1 was IHC 3+, ROS1 FISH would be performed to select eligible patients for crizotinib treatment.
2.5. ROS1 Translocation Was Detected Prospectively in NSCLCs
A total of 1070 NSCLCs were tested to select eligible patients for adequate targeted therapies from 2018 to 2020. They included 479 EGFR wild-type and 591 EGFR mutant specimens. Since LNCGMH switched the ROS1 antibody from clone D4D6 to clone SDP384 in 2018, we tested the clone SDP384 antibody on EGFR mutant cases to confirm the usability of our algorithm.
In the EGFR wild-type cases, 45 cases were ROS1 IHC 3+. Among the ROS1 IHC 3+ cases, 20 cases showed ROS1 translocation with ROS1 break-apart probes by FISH. The incidence of ROS1 translocation was 4.18% in EGFR wild-type lung NSCLCs in this prospective group, and there were 75 ROS1 IHC 3+ cases in the EGFR mutant group. Eighteen out of these 75 cases were tested for additional ROS1 translocation. None of them had ROS1 translocation by the FISH assay (Figure 3).
The clinical characteristics of the 20 ROS1 FISH+/IHC 3+, FISH-/IHC 3+ 25 cases, and ROS1 IHC (-) 434 cases are shown in Table 4. The ROS1 FISH+/IHC 3+ cases had significantly higher tumor grading and later stage than ROS1 IHC (-), including 0, 1+ and 2+ cases (all p < 0.0001). In addition, ROS1 FISH+/IHC 3+ cases also showed a higher female prevalence than ROS1 IHC (-) cases. There were no significant differences in age, sex, stage or tumor grading when compared between FISH +/IHC 3+, FISH -/IHC 3+ and IHC (-) cases.
Table 4.
Demographics and clinical characteristics in EGFR wild-type prospective cases.
2.6. ROS1 Translocation Correlated with Responsiveness to Crizotinib
In 2018, crizotinib was available for ROS1-translocated NSCLCs in Taiwan. Therefore, we prospectively detected ROS1 translocation in NSCLCs. Among the 45 ROS1 IHC 3+ patients, 19 NSCLCs with ROS1 translocation received crizotinib treatment. One ROS1 rearrangement patient received systemic chemotherapy (cisplatin and paclitaxel). Five of the 25 ROS1 nontranslocated adenocarcinomas also received crizotinib treatment combined with standard chemotherapy. Two of the 25 patients received TKIs (afatinib, gefitinib and osimertinib), and 18 were treated with the standard protocol of chemotherapy only. The treatment responsiveness of crizotinib in ROS1 translocation cases was determined by volume change at 3 months after treatment, as shown in Figure 4. The objective response rate (ORR) is shown in Table 5. The ORR to crizotinib treatment in the ROS1 translocation group was 79% (15/19), with one complete regression. Three cases were interpreted as stable diseases, and one case progressed. The ORR of the ROS1 nontranslocated group was 40% (2/5), and all had only partial regression. There was no statistical significance in ORR between these two groups (p = 0.1870). The progression-free interval was also not significantly different between these two groups. However, we compared the crizotinib-treated ROS1 translocation group with the chemotherapy-treated ROS1 nontranslocation group. The crizotinib-treated ROS1 translocation group showed a better median progression-free interval (9.22 vs. 5.47) with p = 0.0182.
Figure 4.
Waterfall plots of ROS1 translocated cases treated with crizotinib. A total of 19 ROS1 rearranged NSCLC patients received crizotinib treatment, including 1 case with complete remission, 14 cases showing partial regression, 3 cases under stable disease, and 1 case rapidly progressing.
Table 5.
Objective response rate of different treatment in ROS1 IHC 3+ cases.
2.7. Prognosis of the ROS1 Translocated NSCLCs
In the pre-crizotinib stage (retrospective group), the overall 1-, 3-, 5- and 10-year rates of the 100 NSCLCs were 91%, 77%, 69% and 36% (Supplementary Figure S1). Following the 8th edition of the American Joint Committee on Cancer (AJCC 8) lung cancer staging system, we defined TNM stages 1 and 2 as the early-stage group, and patients in TNM stages 3 and 4 were classified into the advanced stage group. The univariate and multivariate analyses of 10-year overall survival are shown in Table 6. There was no survival benefit across age, sex or smoking history. ROS1 translocation (hazard ratio (HR) = 11, p = 0.004), higher tumor grade (HR = 3.4, p = 0.003) and advanced clinical stage (HR = 3.3, p = 0.028) were poor prognostic factors in the univariate analysis. The 10-year survival curves of different tumor grades and clinical stages are shown in Figure 5A,B. Both higher tumor grade (p = 0.0011) and late stage (p = 0.0205) showed poor survival outcomes. In multivariate analysis, ROS1 translocation was also an independent negative factor (HR = 12.9, p = 0.004). Another negative indicator in multivariate analysis was higher tumor grade (HR = 3, p = 0.008). As shown in Figure 6A, the 10-year overall survival rate of the four ROS1-translocated adenocarcinoma patients was worse than that of patients without ROS1 translocation in the pre-crizotinib period (p < 0.0001). In the pre-crizotinib period, two of the four ROS1 rearranged lung cancers received standard chemotherapy and died 6 months after diagnosis. The other two cases were treated with TKI as a first-line treatment (afatinib and gefitinib). The responses were poor after three months. One of them received an additional second-line TKI treatment (osimertinib). However, the disease progressed, and the patient died within one year. The other patient was later enrolled in a crizotinib clinical trial but died at 14 months after diagnosis.
Table 6.
Univariate and multivariate analysis for hazard ration in overall survival.
Figure 5.
Overall survival with different stage and tumor grade in pre-crozotinib stage. (A) Late stage showed a significant worse outcome. (B) High tumor grade also indicated a poor prognostic value. * p < 0.05, ** p < 0.01.
Figure 6.
Overall survivals of non-small cell lung cancers treated with different treatment modalities. The overall survival of ROS1 translocated lung cancers had a poor overall l survival as compared to those without ROS1 translocation (A). The crizotinib treatment reverse the poor prognostic outcome from the pre-crizotinib period ((A), p < 0.0001) to no significant difference in crizotinib stage ((B), p = 0.4243). The progression-free survival in the post-crizotinib period shows no significant difference between ROS1 translocated cases treated with crizotinib and ROS1 non-translocated cases treated with standard chemotherapy (C). *** p < 0.001.
There was no significant difference in the 1-year overall survival (p = 0.4751) and 1-year progression-free survival (p = 0.6758) between ROS1 translocated cases receiving crizotinib and ROS1 nontranslocated cases treated with standard chemotherapy. However, as shown in Figure 6B,C, the poor prognosis related to ROS1 translocation was reversed by crizotinib in the post-crizotinib period.
3. Discussion
The frequencies of ROS1 translocation among lung NSCLC patients have been reported to be 1.7% in the USA [8], 0.7% in Japan [25], 3.1% in Korea [26], and 2–4% in China [27,28]. In this study, we found that approximately 1.9% of NSCLCs carried ROS1 translocations in Taiwan. These results suggest that the frequency of ROS1 translocation in NSCLC may not be affected by race differences. In addition, ROS1 translocation was clustered in EGFR wild-type NSCLC from 7.1% in the pre-crizotinib stage to 4.2% in the post-crizotinib stage.
Age, sex, smoking status, and tumor stage all showed no statistically significant association with ROS1 translocation in our retrospective analysis of 100 cases. However, ROS1 translocation tends to be associated with a higher stage and higher tumor grading in both the pre-crizotinib stage and the post-crizotinib stage. Interestingly, the prevalence of ROS1 translocation was significantly higher in the female group in our 479 EGFR wild-type cases in the prospective group. This sex-related trend was also found in other ROS1 epidemiological studies in Europe [29] and the United Nations [24].
Conventional karyotypic analysis was regarded as unsuitable for the detection of intrachromosomal deletion and inversion events that resulted in gene translocation. Therefore, IHC- [30], RT–PCR- [19] and FISH-based [19] analyses have been used to detect ROS1 translocation or ROS1 fusion genes. Although IHC is the most user-friendly method for pathologists, some primary adenocarcinoma specimens were reported to have ROS1 expression without expressing the ROS1 translocation [20,31,32,33]. Therefore, break-apart FISH should be the gold standard technique, which was also approved by the Food and Drug Agency (FDA) of the United States for the detection of ROS1 rearrangement in NSCLC patients [34]. FISH was the technique used in the clinical trial of crizotinib treatment for NSCLC.
The diagnostic algorithm to detect ROS1 translocation remains under debate. A previous study suggested that all cases with wild-type EGFR should be tested for ROS1 translocation with a FISH assay [26]. In our study, ROS1 translocation was also mutually exclusive to EGFR mutations in both the pre-crizotinib stage (clone D4D6) and the post-crizotinib stage (clone SDP384). This finding was the same as that in previous reports [35]. In the previous correlation of ROS1 IHC with FISH, clone D4D6 had 88% sensitivity and 98% specificity [36], while clone SDP384 showed 98% sensitivity and 76% specificity [37]. The lower specificity rate of clone SDP384 was compatible with our prospective cases, in which 25 out of 45 ROS1 IHC 3+ cases had no ROS1 translocation in FISH assay.
Overall, only a small proportion of EGFR wild-type lung cancers harbored ROS1 translocation. Even in the ROS1 IHC 3+ groups, only 20 of 45 cases had ROS1 rearrangements in our study. None of the ROS1 IHC 0, IHC 1+, or IHC 2+ cases were found to have ROS1 translocation. For cost-effectiveness, we proposed the testing algorithm shown in Figure 3, in which only ROS1 IHC 3+ cases will be performed for FISH study in the EGFR wild-type group. It was also found that ROS1 translocation was an independent poor prognostic factor in several studies [28,38]. We also had the same finding in our retrospective groups.
In the pre-crizotinib stage, some NSCLCs with ROS1 translocation might be treated with TKIs, even without EGFR mutations. Most TKIs, such as erlotinib or gefitinib, target EGFR mutations. Although the ROS1 gene also belongs to the receptor tyrosine kinase family, its molecular structure is different from that of EGFR. Therefore, erlotinib and other TKIs showed little or no treatment effect on tumors harboring ROS1 mutations in previous studies [39,40]. In our retrospective group, two ROS1-rearranged lung cancers were also refractory to first- and second-line TKIs (afatinib, gefitinib and osimertinib).
In 2018, crizotinib was included on the National Health Insurances of Taiwan payment list for the treatment of ALK- and ROS1-translocated NSCLCs. Therefore, 19 of the ROS1-translocated cases received standard crizotinib treatment. The objective response rate was 79%, which was slightly higher than the rates in the European [12,41,42] (72–76%), Pacific [43] (72%) and Asian regions [44] (72%), and similar to or lower than the rates in China (74–94%). In our study, the complete remission rate was 5%, which was lower than those in Europe [12] (17%) and Japan [43] (11%) but higher than that in China [18] (0%). The partial regression rate was 74%, which was slightly higher than other studies (58–72%). The percentages of stable disease ranged from 14% to 21% within 6 months in most of the studies. The rate of stable disease was 16% in our study. The rate of progressive disease ranged from 0 to 10% and was 5% after 3 months of treatment with crizotinib in our study. Thus, the effectiveness of crizotinib is similar regardless of race and region. [12,18,41,42,43]
The progression-free and overall survival durations of ROS1 translocation cases under crizotinib treatment were not significantly different from those of ROS1 nontranslocation cases under chemotherapy in the present study. However, we observed a trend of better progression-free survival. In stage 4 patients, the one-year median progression-free durations of ROS1 translocation cases under crizotinib treatment and ROS1 nontranslocation cases under chemotherapy were 9.22 months (8.82–9.62) and 5.17 months (4.52–6.41), respectively (p = 0.0182). These results are similar to those of the European crizotinib clinical trial, with progression-free durations of 9.1 months for ROS1 translocation in patients treated with crizotinib vs. 7.2 months for the chemotherapy group [12].
The responsiveness in two lung cancers without ROS1 translocation to crizotinib also led to no statistical significance between NSCLCs with and without ROS1 translocation. This might be due to the presence of mutations that were responsive to crizotinib, such as RET translocation, in responsive lung cancers. However, ROS1 translocation cases showed a significantly poor overall survival rate in the pre-crizotinib stage. Therefore, crizotinib could reverse the poor prognosis of ROS1-translocated lung cancers in the crizotinib stage in Taiwan.
4. Materials and Methods
4.1. Tissue Specimens
One hundred paraffin-embedded specimens from patients with lung cancer who underwent surgery for lung cancer at Lin-Kou Chang Gung Memorial Hospital (LKCGMH) from 2010 to 2015 were enrolled in the retrospective study. Clinicopathological data were obtained from patient charts. Another 1070 lung tissue specimens from 2018 to 2020 were prospectively enrolled for this ROS1 study. The study was performed with the approval of the Institutional Review Board.
4.2. Fluorescence in Situ Hybridization Assay
To assess rearrangements in the ROS1 loci, a novel break-apart FISH assay was designed. For the 3′ ROS1 probe, the bacterial artificial chromosome clone used was RP11-1036C2, which was labeled with SpectrumGreen-dUTP (Abbott Molecular/Vysis, Des Plaines, IL, USA). For the 5′ ROS1 probe, the bacterial artificial chromosome clones were SpectrumOrange-dUTP-labeled RP11-835I21. Tissue sections (4 μm thick) were placed onto coated slides, air-dried, and baked overnight at 56 °C. FISH analysis was performed as previously described. Slides were analyzed using a multifiltered fluorescence microscope (Olympus BX61, Southall, Middlesex, UK) following standard procedures. A minimum of 100 cells was scored. When 15% or more single nuclei were found to harbor split (break-apart) signals, the case was classified as positive. We compared the results with our in-house ROS1 break-apart probes with Vysis ROS1 break-apart FISH probes (Abbott Molecular/Vysis, Des Plaines, IL, USA) in 20 lung cancers. The results completely matched.
4.3. EGFR Mutational Analysis
The tumor purity of each sample was examined by pathologists. For cases with less than 25% purity, manual microdissection was performed to enrich the tumor purity. FFPE tissue genomic DNA from each sample was extracted using the QIAamp DNA FFPE Tissue Kit (Qiagen, Hilden, Germany) and was then used for the PCR amplification of EGFR exons 18, 19, 20, and 21 as previously reported. The PCR products were purified for Sanger sequencing [45].
4.4. Immunohistochemistry
ROS1 staining was performed on 4-micrometer paraffin-embedded sections of NSCLC specimens by using the Leica Bondmax system. When using the Leica Bondmax stainer (Leica Biosystems, Wetzlar, Germany), antigen retrieval was performed at 100 °C for 40 min in ER2 solution (ethylenediaminetetraacetic acid (EDTA), pH 9.0). Anti-ROS1 antibodies (Clone D4D6 (Cell Signaling, Danvers, MA, USA) before 2018 and clone SDP384 (Ventana Medical Systems Inc, Tucson, Arizona) after 2018) were used in IHC with the Bond Polymer Refine Detection/polymeric horseradish peroxidase (HRP)-linker antibody conjugate system (Leica Biosystems). IHC scoring was performed as previously described [46]. In brief, IHC 3+ cases typically revealed discernible strong cytoplasmic positivity. IHC 2+ cases showed readily recognizable positivity but with a lower intensity of staining than that seen in IHC 3+ cases. IHC 1+ cases represented faint positivity, with a lower intensity of staining than seen in IHC 2+ cases. Negative cases did not show any staining. ROS1 scoring was conducted according to the criteria described by the manufacturer.
4.5. Statistical Analysis
The correlations between ROS1 translocation, ROS1 expression, and clinical features were assessed by the chi-square test. Survival curves were plotted by the Kaplan–Meier method, with the log-rank test applied for comparison. The Cox proportional hazards regression model was employed to evaluate the independent prognostic factors. All tests were two-sided, and p values < 0.05 were considered statistically significant. The statistical analyses were performed with Prism 5.0 (GraphPad Software, La Jolla, CA, USA) and SPSS (SPSS Inc., Chicago, IL, USA) software.
5. Conclusions
The incidence of ROS1 rearrangement was approximately 4% in EGFR wild-type NSCLC in Taiwan. For cost-effectiveness, it was recommended to test ROS1 translocation in EGFR wild-type NSCLCs. IHC was useful for selecting ROS1 3+ specimens for FISH assay. The ORR to crizotinib in NSCLC was 79% in Taiwan. ROS1 translocated lung cancer is an independent poor prognostic overall survival factor and could be reversed by crizotinib treatment.
Supplementary Materials
The following supporting information can be downloaded at: https://www.mdpi.com/article/10.3390/ijms23105789/s1.
Author Contributions
Conceptualization, T.-C.C.; methodology, H.-S.W., C.-Y.L., S.-C.H. (Sheng-Chi Hsu), S.-C.H. (Shih-Chiang Huang) and T.-C.C.; data curation, H.-S.W. and C.-Y.L.; writing—H.-S.W., C.-Y.L., S.-C.H. (Sheng-Chi Hsu), T.-H.H. and T.-C.C.; writing—review and editing, K.-F.N. and T.-C.C.; funding acquisition, T.-C.C. All authors have read and agreed to the published version of the manuscript.
Funding
This work was supported by grants from Ministry of Health and Welfare (MOHW111-TDU-B-221-114009), Ministry of Science and Technology (109-2320-B-182A-011) and the Chang Gung Memorial Hospital (CMRPG3J0963, CMRPG3K0412 and CMRPG3E0673).
Institutional Review Board Statement
The study was conducted in accordance with the Declaration of Helsinki and approved by the Institutional Review Board of Chang Gung Memorial Hospital (IRB no. 202200633B0).
Informed Consent Statement
Patient consent was waived by Institutional Review Board of Chang Gung Memorial Hospital for the retrospective study and unlink data.
Data Availability Statement
The raw data supporting the conclusions of this article will be made available by the authors, at a reasonable request.
Conflicts of Interest
The authors declare no conflict of interest.
Abbreviations
| ALK | Anaplastic lymphoma kinase |
| CD74 | Cluster of differentiation 74 |
| CI | Confidence interval |
| CR | Complete response |
| EGFR | Epidermal growth factor receptor |
| EZR | Ezrin |
| FGR pattern | Classic combination of fused, green, and red signals |
| FIG | Fused in glioblastoma |
| FISH | Fluorescent in situ hybridization |
| FR pattern | Loss of isolated green signal |
| HR | Hazard ratio |
| IHC | Immunohistochemical |
| NSCLC | Lung non-small cell lung cancer |
| ORR | Objective response rate |
| PD | Progressive disease |
| PR | Partial response |
| RET | Ret proto-oncogene |
| ROS1 | C-ros oncogene 1 |
| SD | Stable disease |
| SDC4 | Syndecan 4 |
| SLC34A2 | Solute carrier family 34 member 2 |
| TKI | Tyrosine kinase inhibitor |
References
- Batson, S.; Mitchell, S.A.; Windisch, R.; Damonte, E.; Munk, V.C.; Reguart, N. Tyrosine kinase inhibitor combination therapy in first-line treatment of non-small-cell lung cancer: Systematic review and network meta-analysis. OncoTargets Ther. 2017, 10, 2473. [Google Scholar] [CrossRef] [PubMed] [Green Version]
- Arbour, K.C.; Riely, G.J. Systemic therapy for locally advanced and metastatic non–small cell lung cancer: A review. JAMA 2019, 322, 764–774. [Google Scholar] [CrossRef] [PubMed]
- Lindeman, N.I.; Cagle, P.T.; Aisner, D.L.; Arcila, M.E.; Beasley, M.B.; Bernicker, E.H.; Colasacco, C.; Dacic, S.; Hirsch, F.R.; Kerr, K. Updated molecular testing guideline for the selection of lung cancer patients for treatment with targeted tyrosine kinase inhibitors: Guideline from the College of American Pathologists, the International Association for the Study of Lung Cancer, and the Association for Molecular Pathology. J. Thorac. Oncol. 2018, 13, 323–358. [Google Scholar] [PubMed] [Green Version]
- Gelatti, A.C.; Drilon, A.; Santini, F.C. Optimizing the sequencing of tyrosine kinase inhibitors (TKIs) in epidermal growth factor receptor (EGFR) mutation-positive non-small cell lung cancer (NSCLC). Lung Cancer 2019, 137, 113–122. [Google Scholar] [CrossRef] [PubMed] [Green Version]
- Cao, Z.; Gao, Q.; Fu, M.; Ni, N.; Pei, Y.; Ou, W.B. Anaplastic lymphoma kinase fusions: Roles in cancer and therapeutic perspectives. Oncol. Lett. 2019, 17, 2020–2030. [Google Scholar] [CrossRef] [Green Version]
- Golding, B.; Luu, A.; Jones, R.; Viloria-Petit, A.M. The function and therapeutic targeting of anaplastic lymphoma kinase (ALK) in non-small cell lung cancer (NSCLC). Mol. Cancer 2018, 17, 52. [Google Scholar] [CrossRef] [Green Version]
- Roskoski, R., Jr. ROS1 protein-tyrosine kinase inhibitors in the treatment of ROS1 fusion protein-driven non-small cell lung cancers. Pharmacol. Res. 2017, 121, 202–212. [Google Scholar] [CrossRef]
- Bergethon, K.; Shaw, A.T.; Ou, S.-H.I.; Katayama, R.; Lovly, C.M.; McDonald, N.T.; Massion, P.P.; Siwak-Tapp, C.; Gonzalez, A.; Fang, R. ROS1 rearrangements define a unique molecular class of lung cancers. J. Clin. Oncol. 2012, 30, 863. [Google Scholar] [CrossRef] [Green Version]
- Takeuchi, K. Discovery stories of RET fusions in lung cancer: A mini-review. Front. Physiol. 2019, 10, 216. [Google Scholar] [CrossRef]
- Cai, W.; Su, C.; Li, X.; Fan, L.; Zheng, L.; Fei, K.; Zhou, C. KIF5B-RET fusions in Chinese patients with non–small cell lung cancer. Cancer 2013, 119, 1486–1494. [Google Scholar] [CrossRef]
- Takeuchi, K.; Soda, M.; Togashi, Y.; Suzuki, R.; Sakata, S.; Hatano, S.; Asaka, R.; Hamanaka, W.; Ninomiya, H.; Uehara, H. RET, ROS1 and ALK fusions in lung cancer. Nat. Med. 2012, 18, 378–381. [Google Scholar] [CrossRef] [PubMed]
- Mazières, J.; Zalcman, G.; Crinò, L.; Biondani, P.; Barlesi, F.; Filleron, T.; Dingemans, A.-M.C.; Léna, H.; Monnet, I.; Rothschild, S.I. Crizotinib therapy for advanced lung adenocarcinoma and a ROS1 rearrangement: Results from the EUROS1 cohort. J. Clin. Oncol. 2015, 33, 992–999. [Google Scholar] [CrossRef] [PubMed]
- Shaw, A.T.; Kim, D.-W.; Nakagawa, K.; Seto, T.; Crinó, L.; Ahn, M.-J.; De Pas, T.; Besse, B.; Solomon, B.J.; Blackhall, F. Crizotinib versus chemotherapy in advanced ALK-positive lung cancer. N. Engl. J. Med. 2013, 368, 2385–2394. [Google Scholar] [CrossRef] [PubMed] [Green Version]
- Gainor, J.F.; Shaw, A.T. Novel targets in non-small cell lung cancer: ROS1 and RET fusions. Oncologist 2013, 18, 865. [Google Scholar] [CrossRef] [PubMed] [Green Version]
- Uguen, A.; De Braekeleer, M. ROS1 fusions in cancer: A review. Future Oncol. 2016, 12, 1911–1928. [Google Scholar] [CrossRef]
- Davies, K.D.; Doebele, R.C. Molecular pathways: ROS1 fusion proteins in cancer. Clin. Cancer Res. 2013, 19, 4040–4045. [Google Scholar] [CrossRef] [Green Version]
- Peraldo Neia, C.; Cavalloni, G.; Balsamo, A.; Venesio, T.; Napoli, F.; Sassi, F.; Martin, V.; Frattini, M.; Aglietta, M.; Leone, F. Screening for the FIG-ROS1 fusion in biliary tract carcinomas by nested PCR. Genes Chromosomes Cancer 2014, 53, 1033–1040. [Google Scholar] [CrossRef]
- Li, Z.; Shen, L.; Ding, D.; Huang, J.; Zhang, J.; Chen, Z.; Lu, S. Efficacy of crizotinib among different types of ROS1 fusion partners in patients with ROS1-rearranged non–small cell lung cancer. J. Thorac. Oncol. 2018, 13, 987–995. [Google Scholar] [CrossRef] [Green Version]
- Davies, K.D.; Le, A.T.; Theodoro, M.F.; Skokan, M.C.; Aisner, D.L.; Berge, E.M.; Terracciano, L.M.; Cappuzzo, F.; Incarbone, M.; Roncalli, M. Identifying and targeting ROS1 gene fusions in non–small cell lung cancer. Clin. Cancer Res. 2012, 18, 4570–4579. [Google Scholar] [CrossRef] [Green Version]
- Warth, A.; Muley, T.; Dienemann, H.; Goeppert, B.; Stenzinger, A.; Schnabel, P.A.; Schirmacher, P.; Penzel, R.; Weichert, W. ROS 1 expression and translocations in non-small-cell lung cancer: Clinicopathological analysis of 1478 cases. Histopathology 2014, 65, 187–194. [Google Scholar] [CrossRef]
- He, Y.; Sheng, W.; Hu, W.; Lin, J.; Liu, J.; Yu, B.; Mao, X.; Zhang, L.; Huang, J.; Wang, G. Different types of ROS1 fusion partners yield comparable efficacy to crizotinib. Oncol. Res. 2019, 27, 901. [Google Scholar] [CrossRef] [PubMed]
- Shan, L.; Lian, F.; Guo, L.; Qiu, T.; Ling, Y.; Ying, J.; Lin, D. Detection of ROS1 gene rearrangement in lung adenocarcinoma: Comparison of IHC, FISH and real-time RT-PCR. PLoS ONE 2015, 10, e0120422. [Google Scholar] [CrossRef] [PubMed]
- Zhang, Q.; Wu, C.; Ding, W.; Zhang, Z.; Qiu, X.; Mu, D.; Zhang, H.; Xi, Y.; Zhou, J.; Ma, L. Prevalence of ROS1 fusion in Chinese patients with non-small cell lung cancer. Thorac. Cancer 2019, 10, 47–53. [Google Scholar] [CrossRef] [PubMed] [Green Version]
- Zhu, Q.; Zhan, P.; Zhang, X.; Lv, T.; Song, Y. Clinicopathologic characteristics of patients with ROS1 fusion gene in non-small cell lung cancer: A meta-analysis. Transl. Lung Cancer Res. 2015, 4, 300. [Google Scholar]
- Arai, Y.; Totoki, Y.; Takahashi, H.; Nakamura, H.; Hama, N.; Kohno, T.; Tsuta, K.; Yoshida, A.; Asamura, H.; Mutoh, M. Mouse model for ROS1-rearranged lung cancer. PLoS ONE 2013, 8, e56010. [Google Scholar] [CrossRef]
- Go, H.; Kim, D.-W.; Kim, D.; Keam, B.; Kim, T.M.; Lee, S.-H.; Heo, D.S.; Bang, Y.-J.; Chung, D.H. Clinicopathologic analysis of ROS1-rearranged non–small-cell lung cancer and proposal of a diagnostic algorithm. J. Thorac. Oncol. 2013, 8, 1445–1450. [Google Scholar] [CrossRef] [Green Version]
- Zhong, S.; Zhang, H.; Bai, D.; Gao, D.; Zheng, J.; Ding, Y. Detection of ALK, ROS1 and RET fusion genes in non-small cell lung cancer patients and its clinicopathologic correlation. Chin. J. Pathol. 2015, 44, 639–643. [Google Scholar]
- Cai, W.; Li, X.; Su, C.; Fan, L.; Zheng, L.; Fei, K.; Zhou, C.; Manegold, C.; Schmid-Bindert, G. ROS1 fusions in Chinese patients with non-small-cell lung cancer. Ann. Oncol. 2013, 24, 1822–1827. [Google Scholar] [CrossRef]
- Marchetti, A.; Barberis, M.; Di Lorito, A.; Pace, M.V.; Di Lisio, C.; Felicioni, L.; Guerini-Rocco, E.; Vingiani, A.; D’Antuono, T.; Liberatore, M. ROS1 gene fusion in advanced lung cancer in women: A systematic analysis, review of the literature, and diagnostic algorithm. Precis. Oncol. 2017, 1, 1–9. [Google Scholar] [CrossRef]
- Fu, S.; Liang, Y.; Lin, Y.-B.; Wang, F.; Huang, M.-Y.; Zhang, Z.-C.; Wang, J.; Cen, W.-J.; Shao, J.-Y. The frequency and clinical implication of ROS1 and RET rearrangements in resected stage IIIA-N2 non-small cell lung cancer patients. PLoS ONE 2015, 10, e0124354. [Google Scholar] [CrossRef]
- Jin, Y.; Sun, P.-L.; Kim, H.; Park, E.; Shim, H.S.; Jheon, S.; Kim, K.; Lee, C.-T.; Chung, J.-H. ROS1 gene rearrangement and copy number gain in non-small cell lung cancer. Virchows Arch. 2015, 466, 45–52. [Google Scholar] [CrossRef] [PubMed]
- Yoshida, A.; Tsuta, K.; Wakai, S.; Arai, Y.; Asamura, H.; Shibata, T.; Furuta, K.; Kohno, T.; Kushima, R. Immunohistochemical detection of ROS1 is useful for identifying ROS1 rearrangements in lung cancers. Mod. Pathol. 2014, 27, 711–720. [Google Scholar] [CrossRef] [PubMed] [Green Version]
- Lee, H.J.; Seol, H.S.; Kim, J.Y.; Chun, S.-M.; Suh, Y.-A.; Park, Y.-S.; Kim, S.-W.; Choi, C.-M.; Park, S.-I.; Kim, D.K. ROS1 receptor tyrosine kinase, a druggable target, is frequently overexpressed in non-small cell lung carcinomas via genetic and epigenetic mechanisms. Ann. Surg. Oncol. 2013, 20, 200–208. [Google Scholar] [CrossRef] [PubMed]
- Bubendorf, L.; Büttner, R.; Al-Dayel, F.; Dietel, M.; Elmberger, G.; Kerr, K.; López-Ríos, F.; Marchetti, A.; Öz, B.; Pauwels, P. Testing for ROS1 in non-small cell lung cancer: A review with recommendations. Virchows Arch. 2016, 469, 489–503. [Google Scholar] [CrossRef] [PubMed]
- Lin, J.J.; Ritterhouse, L.L.; Ali, S.M.; Bailey, M.; Schrock, A.B.; Gainor, J.F.; Ferris, L.A.; Mino-Kenudson, M.; Miller, V.A.; Iafrate, A.J. ROS1 fusions rarely overlap with other oncogenic drivers in non–small cell lung cancer. J. Thorac. Oncol. 2017, 12, 872–877. [Google Scholar] [CrossRef] [Green Version]
- Sholl, L.M.; Sun, H.; Butaney, M.; Zhang, C.; Lee, C.; Jänne, P.A.; Rodig, S.J. ROS1 immunohistochemistry for detection of ROS1-rearranged lung adenocarcinomas. Am. J. Surg. Pathol. 2013, 37, 1441–1449. [Google Scholar] [CrossRef]
- Huang, R.S.; Smith, D.; Le, C.H.; Liu, W.-W.; Ordinario, E.; Manohar, C.; Lee, M.; Rajamani, J.; Truong, H.; Li, J. Correlation of ROS1 immunohistochemistry with ROS1 fusion status determined by fluorescence in situ hybridization. Arch. Pathol. Lab. Med. 2020, 144, 735–741. [Google Scholar] [CrossRef] [Green Version]
- Kim, M.H.; Shim, H.S.; Kang, D.R.; Jung, J.Y.; Lee, C.Y.; Kim, D.J.; Lee, J.G.; Bae, M.K.; Kim, H.R.; Lim, S.M. Clinical and prognostic implications of ALK and ROS1 rearrangements in never-smokers with surgically resected lung adenocarcinoma. Lung Cancer 2014, 83, 389–395. [Google Scholar] [CrossRef]
- Aljohani, H.; Koncar, R.F.; Zarzour, A.; Park, B.S.; Lee, S.H.; Bahassi, E.M. ROS1 amplification mediates resistance to gefitinib in glioblastoma cells. Oncotarget 2015, 6, 20388. [Google Scholar] [CrossRef] [Green Version]
- McCoach, C.E.; Le, A.T.; Gowan, K.; Jones, K.; Schubert, L.; Doak, A.; Estrada-Bernal, A.; Davies, K.D.; Merrick, D.T.; Bunn, P.A. Resistance mechanisms to targeted therapies in ROS1+ and ALK+ non–small cell lung cancer. Clin. Cancer Res. 2018, 24, 3334–3347. [Google Scholar] [CrossRef] [Green Version]
- Michels, S.; Sureda, B.M.; Schildhaus, H.-U.; Franklin, J.; Sebastian, M.; Felip, E.; Grohe, C.; Rodríguez-Abreu, D.; Bischoff, H.; Costa, E.C. Crizotinib in patients with advanced or metastatic ROS1-rearranged lung cancer (EUCROSS): A European phase II clinical trial—Updated progression-free survival, overall survival and mechanisms of resistance. Ann. Oncol. 2019, 30, v637–v638. [Google Scholar] [CrossRef]
- Moro-Sibilot, D.; Faivre, L.; Zalcman, G.; Pérol, M.; Barlesi, F.; Otto, J.; Monnet, I.; Cortot, A.B.; Wislez, M.; Lena, H. Crizotinib in patients with advanced ROS1-rearranged non-small cell lung cancer (NSCLC). Preliminary results of the ACSé phase II trial. J. Clin. Oncol. 2015, 33, 8065. [Google Scholar] [CrossRef]
- Shaw, A.T.; Riely, G.J.; Bang, Y.-J.; Kim, D.-W.; Camidge, D.R.; Solomon, B.J.; Varella-Garcia, M.; Iafrate, A.J.; Shapiro, G.I.; Usari, T. Crizotinib in ROS1-rearranged advanced non-small-cell lung cancer (NSCLC): Updated results, including overall survival, from PROFILE 1001. Ann. Oncol. 2019, 30, 1121–1126. [Google Scholar] [CrossRef] [PubMed]
- Wu, Y.-L.; Yang, J.C.-H.; Kim, D.-W.; Lu, S.; Zhou, J.; Seto, T.; Yang, J.-J.; Yamamoto, N.; Ahn, M.-J.; Takahashi, T. Phase II study of crizotinib in East Asian patients with ROS1-positive advanced non–small-cell lung cancer. J. Clin. Oncol. 2018, 36, 1405–1411. [Google Scholar] [CrossRef] [PubMed]
- Huang, S.-F.; Liu, H.-P.; Li, L.-H.; Ku, Y.-C.; Fu, Y.-N.; Tsai, H.-Y.; Chen, Y.-T.; Lin, Y.-F.; Chang, W.-C.; Kuo, H.-P. High frequency of epidermal growth factor receptor mutations with complex patterns in non–small cell lung cancers related to gefitinib responsiveness in Taiwan. Clin. Cancer Res. 2004, 10, 8195–8203. [Google Scholar] [CrossRef] [PubMed] [Green Version]
- Cao, B.; Wei, P.; Liu, Z.; Bi, R.; Lu, Y.; Zhang, L.; Zhang, J.; Yang, Y.; Shen, C.; Du, X. Detection of lung adenocarcinoma with ROS1 rearrangement by IHC, FISH, and RT-PCR and analysis of its clinicopathologic features. OncoTargets Ther. 2016, 9, 131. [Google Scholar] [CrossRef] [PubMed] [Green Version]
Publisher’s Note: MDPI stays neutral with regard to jurisdictional claims in published maps and institutional affiliations. |
© 2022 by the authors. Licensee MDPI, Basel, Switzerland. This article is an open access article distributed under the terms and conditions of the Creative Commons Attribution (CC BY) license (https://creativecommons.org/licenses/by/4.0/).






