Abstract
Small regulatory RNAs (sRNAs) are now widely recognized for their role in the post-transcriptional regulation of bacterial virulence and growth. We have previously demonstrated the biogenesis and differential expression of several sRNAs in Rickettsia conorii during interactions with the human host and arthropod vector, as well as the in vitro binding of Rickettsia conorii sRNA Rc_sR42 to bicistronic cytochrome bd ubiquinol oxidase subunits I and II (cydAB) mRNA. However, the mechanism of regulation and the effect of sRNA binding on the stability of the cydAB bicistronic transcript and the expression of the cydA and cydB genes are still unknown. In this study, we determined the expression dynamics of Rc_sR42 and its cognate target genes, cydA and cydB, in mouse lung and brain tissues during R. conorii infection in vivo and employed fluorescent and reporter assays to decode the role of sRNA in regulating cognate gene transcripts. Quantitative RT-PCR revealed significant changes in the expression of sRNA and its cognate target gene transcripts during R. conorii infection in vivo, and a greater abundance of these transcripts was observed in the lungs compared to brain tissue. Interestingly, while Rc_sR42 and cydA exhibited similar patterns of change in their expression, indicating the influence of sRNA on the mRNA target, the expression of cydB was independent of sRNA expression. Further, we constructed reporter plasmids of sRNA and cydAB bicistronic mRNA to decipher the role of sRNA on CydA and CydB expression. We observed increased expression of CydA in the presence of sRNA but detected no change in CydB expression in the presence or absence of sRNA. In sum, our results demonstrate that the binding of Rc_sR42 is required for the regulation of cydA but not cydB. Further studies on understanding the influence of this interaction on the mammalian host and tick vector during R. conorii infection are in progress.
1. Introduction
Rickettsia conorii, the etiologic agent of Mediterranean spotted fever (MSF), is an obligately intracellular α-proteobacterium primarily transmitted to humans by the pantropical dog tick Rhipicephalus sanguineus [1,2]. Upon infection of the human host via a tick bite, the bacteria exhibit tropism for the microvascular endothelium lining the blood vessels, and infected macrophages are known to play a role in further dissemination throughout the body [1,3,4]. Clinical symptoms of MSF include fever, headache, rashes, vomiting, diarrhea, and tache noire at the site of the tick bite, which can result in significant mortality [5,6,7]. These virulence-related manifestations in accidental human hosts are in sharp contrast to a relatively dormant phenotype observed in infected ticks allowing for transovarial/transstadial transmission to progeny, which supports rickettsial existence and maintenance in nature within the arthropod vector. It is now established that posttranscriptional regulation of the bacterial coding transcriptome by small non-coding RNAs (sRNAs) plays a pivotal role in regulating stress responses, virulence gene expression, and adapting to different host environments [8,9].
The discovery, prevalence, and diversity of the non-coding transcriptome in bacteria have witnessed robust progress in recent years, and a myriad of sRNAs involved in gene regulation have been identified in several bacterial species [8,10,11]. While the trans-acting sRNAs originating from intergenic regions are known to regulate multiple target genes through complementary base pairing involving a stretch of 5–7 nucleotides, the cis-acting sRNAs, originating from the non-coding strand of an open reading frame, are shown to regulate the expression of the complementary cognate gene [9,12]. Several E. coli sRNAs, including AcrZ, GcvB, MicA, and CyaR, are shown to regulate more than 100 target genes involved in different physiological pathways [13,14]. Most recently, dual-function sRNAs, which are chimeric transcripts originating from the intergenic regions, have been identified and are shown to regulate the target genes by direct base pairing and by encoding for a small protein that can also regulate the expression of the target protein. For instance, the Vibrio cholerae chimeric transcript VcdRP expresses a non-coding sRNA, VcdR, involved in reducing cholera toxin production via direct base pairing with target genes and encoding for a 29 amino acid protein, VcdP, which binds to citrate synthase (GltA) resulting in increased enzymatic activity. Both non-coding VcdR sRNA and coding VcdP protein in combination regulate carbon transport and metabolism during host–pathogen interactions [15]. Similarly, E. coli sRNA SgrS also encodes for a small protein, SgrT, and both SgrS and SgrT are known to down-regulate the target glucose permease PtsG via inhibition of mRNA translation and protein function, respectively [16,17].
Despite dense genomes with reduced intergenic regions, obligately intracellular bacteria also encode several sRNAs involved in the regulation of virulence, persistence, and growth [18,19,20]. The Coxiella burnetti trans-acting sRNA CbsR12 is not only shown to regulate genes involved in pyrimidine biosynthesis and the methionine cycle but is also required for the expansion of Coxiella-containing vacuoles and downregulation of the cvpD effector protein transcripts during host cell infection [21]. An average of 34 anti-sense sRNAs originating from the lagging strand of the genes involved in amino acid biosynthesis and nucleotide synthesis pathways are identified in Carsonella, a nutritional endosymbiont of psyllids [22]. Using high-throughput transcriptomic approaches, we identified the sRNAome of Rickettsia species belonging to both the spotted fever and typhus groups, determined the sRNA transcription start sites, confirmed their expression via Northern blotting, and predicted the target genes regulated by trans-acting sRNAs [23,24,25]. Our comparative transcriptomic analysis further identified several differentially and uniquely expressed rickettsial sRNAs during host–pathogen and vector–pathogen interactions in vitro, thus suggesting the role of these non-coding transcripts in the regulation of virulence in the human host and maintenance in tick vectors, respectively [26,27]. Additionally, we employed an electrophoretic mobility shift assay (EMSA) to show the binding of R. conorii trans-acting sRNA Rc_sR42 to cytochrome bd ubiquinol oxidase subunit I and II transcripts; however, the implication of this sRNA–mRNA interaction remains elusive. In this study, we sought to determine the influence of R. conorii sRNA Rc_sR42 on the transcript stability and expression of cydA and cydB genes that are transcribed as a bicistronic messenger RNA.
2. Results
2.1. Transcriptional Changes in R. conorii Rc_sR42, cydA, and cydB during Infection of Mouse b.End3 Cells In Vitro
Our initial studies focused on the transcriptional profiling of R. conorii sRNAs, and we identified Rc_sR42 as one of the highly abundant and differentially expressed sRNAs during host–pathogen and vector–pathogen interactions in vitro. We further confirmed the independent expression of Rc_sR42 and identified cydAB as its cognate target gene by performing electrophoretic mobility shift assays [24]. However, the expression dynamics of cydA and cydB transcripts during expressional changes of sRNA Rc_sR42 are currently unknown. Hence, we performed quantitative RT-PCR to measure concurrent changes in the expression of sRNA and its cognate gene transcripts in R. conorii during the infection of mouse endothelial cells (b.End3) in vitro. All transcripts (Rc_sR42, cydA, and cydB) were significantly upregulated at 3, 24, and 48 h post-infection. sRNA was ~8-fold higher at 3 h and ~17-fold upregulated at 24 and 48 h post-infection compared to the control (Figure 1). Interestingly, while cydA was ~2-fold higher at 3 h and ~5.1-fold upregulated at 24 and 48 h, cydB was ~3.6-, 5.9-, and 8.2-fold upregulated at 3, 24, and 48 h post-infection, respectively (Figure 1). A significant change in the level of expression of cydA and cydB transcripts was observed at 48 h post-infection (Figure 1). Additionally, the changes in sRNA Rc_sR42 expression resulted in similar levels of transcriptional changes in cydA but not cydB, as observed at 24 and 48 h post-infection, thus indicating a potential influence of sRNA on cydA transcript levels.
Figure 1.
Expression profile of Rc_sR42 sRNA, cydA, and cydB coding transcripts in R. conorii during the infection of mouse endothelial (b.End3) cells in vitro. Significant upregulation of both sRNA and coding gene (cydA and cydB) transcripts was observed at 3, 24, and 48 h post-infection when compared to the control. Data are presented as mean ± SEM from three independent biological replicates. # Denotes significant changes (p < 0.05) observed between 3 h vs. 24 h and 3 h vs. 48 h. * and/or # p < 0.05.
2.2. Expression Profile of Rc_sR42, cydA, and cydB in Lung and Brain Tissues of Mice during R. conorii Infection In Vivo
To determine the changes in the expression of sRNA (Rc_sR42) and its cognate bicistronic target gene (cydAB) in vivo, we infected C3H/HeN mice with 2.25 × 105 pfu of viable R. conorii per mouse and harvested the lungs and brain at 4, 24, 48, and 72 h post-infection. The samples collected at 4 h post-infection served as the baseline control. The expression of sRNA and cydAB transcripts was significantly higher in R. conorii-infected lung tissue compared to the brain. For instance, the expression of Rc_sR42 was ~8-fold and ~2-fold upregulated in the lungs and brain, respectively, at 2 days p.i. (Figure 2A,C). At 3 days p.i., cydB was significantly upregulated (~43-fold) in R. conorii during the infection of lung tissues, while no difference in its expression level was seen during the infection of brain tissue (Figure 2B,D). As observed in vitro, a positive correlation in the expression dynamics of Rc_sR42 and cydA was observed in both lung and brain tissues, while no correlation was observed between the sRNA and the cydB transcript (Figure 2).
Figure 2.
Expression profile of Rc_sR42 sRNA (A,C), cydA and cydB coding transcripts (B,D) in R. conorii during the infection of mouse lung (A,B) and brain (C,D) tissues in vivo. Significant changes in the expression of both coding (cydA and cydB) and non-coding (Rc_sR42) transcripts were observed at days 1–3 post-infection compared to the control. # Denotes significant changes (p < 0.05) observed between 3 h vs. 24 h and 3 h vs. 48 h. * p < 0.05, ** p < 0.005, *** p < 0.001.
2.3. Generation of Plasmid Constructs for Expression of Small RNAs and Their Cognate Target Gene Seed Regions
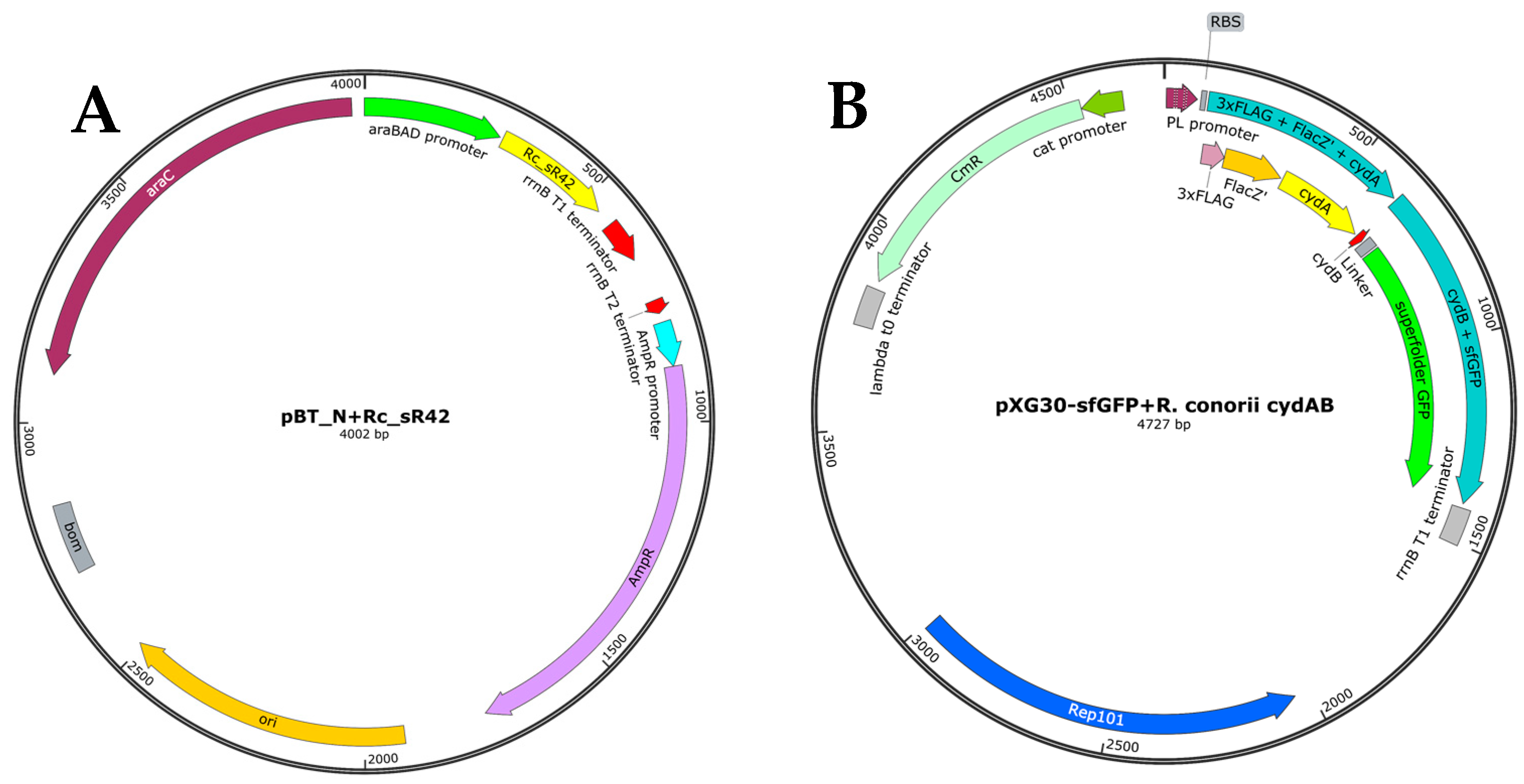
We generated plasmid constructs to decipher the role of R. conorii sRNA Rc_sR42 in cydAB bicistronic transcript stabilization and to determine the impact of sRNA on CydA and CydB protein expression in vitro. A full-length sRNA (Rc_sR42) amplified from the R. conorii genome was cloned in between a strong inducible arabinose promoter and rrnB1 transcriptional terminator (Figure 3A). The expression of Rc_sR42 during arabinose induction was verified via qRT-PCR (File S2). We employed a well-characterized expression plasmid, pXG-30sf carrying FLAG-LacZ and superfolder GFP [28], to clone the partial cydAB bicistronic gene. The partial cydAB coding region encompassing the last 87 amino acids of CydA and containing the sRNA binding seed region, intergenic bases, and the first 7 amino acids for CydB were cloned in-frame to create a single “FLAG-LacZ-cydA-intergenic region-cydB-GFP” coding frame construct under the control of a tetracycline promoter (Figure 3B). The plasmids were transformed into E. coli TOP10 F’ competent cells for functional characterization of the role of sRNA.
Figure 3.
Plasmids constructed for the expression of R. conorii sRNA Rc_sR42 and partial cydAB bicistronic mRNA. (A) Plasmid map showing cloning of the sRNA downstream of an inducible arabinose promoter and upstream of a strong rrnB T1 terminator. (B) pXG30-sfGFP bicistronic plasmid construct expressing last 87 amino acids of cydA tagged to ‘FLAG-LacZ’ at the 3′ end, and first 7 amino acids of cydB tagged to GFP at the 5′ end of the coding sequence.
2.4. The R. conorii sRNA Rc_sR42 Is Required for Transcript Stabilization and Expression of cydA
To test the impact of Rc_sR42 on the expression of the CydA protein, we transformed the plasmid constructs reported above (Figure 3A,B) into E. coli TOP10 F’ cells and induced the expression of sRNA and the “FLAG-LacZ-cydA-intergenic region-cydB-GFP” bicistronic construct with arabinose and aTc, respectively, as described in methods. As “FLAG-LacZ-CydA” is expressed as a single recombinant protein, we tested the FLAG expression through Western blot and LacZ activity via the β-galactosidase assay, as a direct measure for determining the impact of sRNA on cydA transcript stability and translation. Interestingly, the induction of sRNA significantly increased CydA protein expression when compared to the control containing no sRNA expression (Figure 4A,B). The E. coli GlmZ sRNA is known to increase the stabilization and expression of GlmS with no impact on GlmU within the bicistronic GlmUS transcript [28,29]. Accordingly, we observed similar levels of GlmU expression both in the presence and absence of GlmZ sRNA. The quantification of the expression of ‘FLAG-LacZ-CydA’ fusion protein via β-galactosidase assay resulted in a similar level of increase in the expression of CydA protein in the presence of sRNA (Figure 4C), thus showing a positive influence of sRNA on the transcript stability and expression of CydA.
Figure 4.
R. conorii sRNA Rc_sR42 is required for transcript stabilization and expression of cydA. The plasmid construct carrying the translational fusion of the seed region of cydAB mRNA was expressed in the presence/absence of Rc_sR42. The expression of FLAG-LacZ-cydA was measured via Western blotting and β-galactosidase assay. (A) Western blot image showing the expression of the FLAG fusion protein as a measure of translational fusion and GAPDH as the loading control. (B) Quantification of FLAG expression from at least three independent experiments presented as mean ± SEM. (C) Quantification of the expression of the ‘FLAG-LacZ-CydA’ fusion protein via β-galactosidase assay (n ≥ 3). The absorbance observed in negative control served as a baseline. ns = not significant, ** p < 0.01, *** p < 0.001. The pXG0 plasmid containing luciferase served as a blank negative; pXG1 plasmid carrying GFP directly under the control of aTc promoter served as blank positive control; and E. coli glmUS, known to be regulated by glmZ sRNA served as positive control.
2.5. The R. conorii sRNA Rc_sR42 Is Not Involved in the Regulation of cydB
As cydAB is expressed as a bicistronic transcript in R. conorii, we tested if the expression of Rc_sR42 influences the expression of cydB. The expression of the cydB-GFP fusion protein was measured through fluorescence as well as Western blotting in the presence and absence of sRNA expression. Interestingly, sRNA expression did not influence cydB expression, and similar levels of GFP fluorescence intensity were observed in both the presence and absence of sRNA expression (Figure 5A). As expected, the E. coli sRNA GlmZ had a positive effect on the expression of GlmS and was involved in transcript stabilization and production of GlmS protein (Figure 5A). These results were further confirmed via Western blot analysis using α-GFP antibodies (Figure 5B,C).
Figure 5.
Expression of R. conorii cydB in the presence or absence of sRNA Rc_sR42. The bicistronic cydAB transcript containing the sRNA binding seed region was cloned into a pXG-30sf plasmid and expressed in E. coli in the presence or absence of a plasmid expressing sRNA Rc_sR42. The proteins “FLAG-LacZ-CydA” and “CydB-GFP” (in-frame) were induced as described in the Methods section. The expression of GFP was measured to determine the impact of Rc_sR42 on the expression and stability of cydB transcript. (A) Fluorescence (green) intensities of live cultures measured using a SpectraMax iD plate reader. The readings from negative control were used as a baseline, and data are shown as relative fluorescence units (RFU). Data are presented as mean ± SEM (n = 3). (B) Representative Western blot image showing the expression of CydB-GFP (probed with α-GFP antibody) in the presence or absence of sRNA expression. GAPDH served as the sample loading control. (C) Quantification of GFP expression (band intensity) from at least three independent Western blot experiments. Data are presented as mean ± SEM. ns = not significant, ** p < 0.01, *** p < 0.001. The pXG1 plasmid carrying GFP directly under the control of aTc promoter served as blank positive control, while E. coli glmUS, known to be regulated by glmZ sRNA served as positive control.
3. Discussion
Small noncoding RNAs are essential for posttranscriptional regulation of gene expression in all organisms, including bacteria, and are known to play a role in virulence, adaptation to stress, starvation, environmental stimuli, and resistance to antibiotics [9,11,12]. In this study, we have determined the expression dynamics of a trans-acting R. conorii sRNA, Rc_sR42, and its cognate target genes and established a role for the sRNA in transcript stabilization and expression of cytochrome bd ubiquinol oxidase subunit I (cydA) using reporter assays. As dynamic changes in the expression of sRNA can impact the expression of true cognate target genes, we saw a direct correlation of transcript level changes between Rc_sR42 and cydA transcript in cell culture-based systems in vitro and animal models of experimental infection in vivo. Using reporter assays, we have further validated that the binding of Rc_sR42 at the 3′ end of the cydA transcript within the bicistronic cytochrome bd ubiquinol oxidase subunits I and II (cydAB) transcript results in transcript stabilization and expression of its cognate target gene (cydA).
Cytochrome bd is a transmembrane terminal respiratory oxidoreductase that primarily reduces oxygen into the water while producing a proton motive force for ATP synthesis [30]. The cytochrome bd is composed of two main subunits, namely CydA (57 kDa) and CydB (43 kDa), that are known to contain three active redox cofactors (heme b558, heme b595, and heme d) and the Q-loop (in CydA) for quinol binding and oxidation [31]. Recently a smaller subunit (cydX) encoding for a 4 kDa protein involved in the stabilization of the hemes was identified in several bacterial species belonging to α, β, and ɤ-proteobacteria [32,33]. Several factors, including hypoxia, inhibitors of cell wall biosynthesis and oxidative phosphorylation, antibacterial compounds, and reactive oxygen and nitrogen species (ROS and RNS), are known to stimulate the expression of cydAB genes [34]. Evidence suggests that the deletion of cytochrome bd renders bacteria sensitive to hydrogen peroxide-induced oxidative stress, as exhibited by E. coli cydAB deletion mutants [35]. Further, among gut microbes, including E. coli, the cytochrome bdI and bdII oxidases were active and insensitive to hydrogen sulfides (H2S) produced in the intestine, while the activity of heme–copper oxidases (cytochrome bo3) was completely inhibited by H2S [36]. Owing to these unique attributes rendered by cytochrome bd oxidases, it is likely that the genomes of several bacterial pathogens, such as Salmonella, Shigella, Mycobacterium, Listeria, Brucella, and Klebsiella, harbor and encode cydAB. Consistent with these observations, we have also identified that all Rickettsia species belonging to spotted fever, typhus, transitional, and ancestral groups also encode for bicistronic cydAB genes in their genomes, implicating that these genes likely provide protection to the bacterial cell and that their expression is critical for rickettsial survival and persistence during in vitro and in vivo infection. However, we did not identify orthologs of cydX in Rickettsia species, possibly due to sequence divergence, as exemplified by the lack of homology between E. coli cydX and Geobacillus thermodenitrificans cydS genes, despite both genes coding the smaller subunit of the protein complex [31].
As obligately intracellular pathogens, Rickettsia species establish a niche in the nutrient-rich cytosol of host cells within 12–15 min of infection [37]. Upon internalization, the bacteria immediately exhibit metabolic activity, consume oxygen, and release CO2, and O2 consumption was found to be directly proportional to the number of viable bacteria present in the cytosol [38]. This colonization and replication of Rickettsia inside the host cells result in hypoxia, hypercapnia, nutrient depletion, and the production of ROS and RNS during the later stages of the growth. The expression of cydAB is known to make bacterial cells resistant to stress and hypoxia conditions, promote respiration and growth in adverse conditions, and aid in ATP synthesis during nutrient-limiting conditions. After entry into the host cell, rickettsiae import ATP from the host cytosol via ATP/ADP translocases, and, upon depletion, the bacteria utilize aerobic respiration involving CydAB for the synthesis of their ATP [39,40]. Additionally, cytochrome bd oxidases (CydAB) are shown to exhibit a higher affinity (>1000 fold) for oxygen when compared to other bacterial or human cytochromes and aid in scavenging oxygen in hypoxic cytosol during intracellular infection [41]. A 50-fold upregulation of Mycobacterium cydAB was observed in hypoxia and extreme carbon-limiting conditions [42]. In uropathogenic E. coli (UPEC), the deletion of cydAB resulted in reduced intracellular replication, oxygen consumption, nitric oxide tolerance, and extracellular acidification rates. Further, cydAB was shown to be involved in antagonizing pro-apoptotic factors and rewiring of host cell metabolism during UPEC infection of urothelial cells, and the amino acid lysine at position 252 in CydA was shown to be a key residue for bacterial respiration required for intracellular survival [43]. Consistent with these observations, we observed an increased expression of both cydA and cydB transcripts at 24 and 48 h, when compared to 3h post-infection (Figure 1). Additionally, both transcripts were significantly upregulated in R. conorii during the infection of lung and brain tissues in vivo (Figure 2). Interestingly, the transcriptional changes observed for R. conorii cydA were directly proportional to the changes observed in Rc_sR42, thus indicating that both sRNA and cydA collectively may contribute to rickettsial survival, ATP synthesis, and replication during infection via sRNA-mediated stabilization of the cydA transcript (Figure 4).
Most bacterial trans-acting sRNAs are known to bind in the promoter region of the transcript, resulting in either translation initiation or inhibition depending on the availability of the ribosomal binding site for translation [8,11]. However, a few sRNAs are known to bind in the intercistronic regions. For instance, the E. coli Spot 42 sRNA is shown to bind at the intercistronic region of galT-galK within the galETKM polycistronic mRNA, resulting in transcript cleavage and the generation of stable galET transcripts [44]. In this study, we have shown that the binding of R. conorii sRNA, Rc_sR42, at the 3′ end of cydA within the bicistronic cydAB transcripts results in transcript stabilization and expression of cydA (Figure 4). Thus, it is likely that the binding of sRNA within the polycistronic transcript results in the production of relatively stable upstream transcripts. Interestingly, we did not observe any correlation between the transcriptional changes in cydB and Rc_sR42 (Figure 1 and Figure 2). Additionally, we have previously confirmed the bicistronic expression of R. conorii cydAB during host endothelial cell infection in vitro (File S1). Further in-depth analysis of the R. conorii genome resulted in the identification of a putative promoter region within the cydAB operon, which is located 150 bases upstream of the cydB start codon (File S1). Consistent with this observation, we have recently identified primary transcripts mapping to >900 intragenic transcription start sites in the R. conorii genome [27]. Hence, it is likely that, apart from being expressed as a part of a bicistronic transcript, cydB is also expressed as an independent transcript, resulting in differences in expression between cydA and cydB, despite being organized as a bicistronic operon. However, studies aimed at functional characterization of the identified putative promoter region will provide further insight into the expression dynamics of cydAB in vitro and in vivo.
Although the generation of sRNA deletion mutants offers a direct approach for the identification of bonafide target genes, the generation of mutant strains in obligately intracellular pathogens including Rickettsia species remains a challenge largely due to the lack of appropriate genetic tools and protocols and the time-consuming, laborious procedures required for the purification and expansion of clonal populations [45]. Hence, we utilized a well-established and extensively used pXG plasmid-based reporter system to decipher the influence of R. conorii sRNA on its cognate target genes [28,46,47]. This system allows the measurement of the up- or down-regulation of the target gene through multiple ways-fluorescence, Western blotting, and/or biochemical assays. In this study, we employed two independent assays for each target gene and determined the influence of sRNA on cydA via Western blotting and the β-galactosidase assay and cydB via GFP fluorescence and Western blotting. Both assays provide conclusive evidence of the role of Rc_sR42 in the regulation of cydA but not cydB transcripts. Consistent with our observations, E. coli RyhB sRNA was shown to directly regulate cydAB during iron-limiting conditions [48].
In summary, we herein showed for the first time that the expression of R. conorii trans-acting sRNA Rc_sR42 is involved in transcript stabilization and expression of cytochrome bd ubiquinol oxidase subunit I (cydA), which is involved in bacterial respiration and in conferring resistance to oxidative stress conditions during survival and replication in the host cytosol. We have further shown that the transcriptional changes observed in cydA are tightly correlated and directly proportional to the changes in sRNA transcript levels. Ongoing research including identification and mutational analysis of the key residues in the sRNA–mRNA seed region will provide better insights into the mechanisms of base pairing to further delineate the influence of this interaction during host–pathogen and vector–pathogen interactions.
4. Materials and Methods
4.1. Bacterial Strains
Rickettsia conorii strain Malish7 was grown in Vero cells, purified, and stored at −80 °C, as previously described [49,50]. Briefly, monolayers of Vero cells were infected with a seed stock of R. conorii (MOI = 1) and grown at 35 °C, 5% CO2 in Dulbecco’s Modified Eagle medium (Coring, Manassas, VA, USA) containing 2% fetal bovine serum (FBS) (HyClone, Logan, UT, USA) until ~10–15% of the monolayer was lysed or detached (~4–5 days post-infection) from the surface. The Vero cells containing the bacteria were harvested, and R. conorii was purified by differential centrifugation. The purified rickettsial stock was suspended in K36 buffer (100 mM potassium chloride, 15 mM sodium chloride, 50 mM potassium phosphate buffer [pH 7.0]), aliquoted in <500 µL, and stored at −80 °C. The homogeneity of purified rickettsial stock was assessed using Diff-Quik staining (Siemens, Newark, DE, USA) and quantified via citrate synthase (gltA)-based qPCR and plaque assays, as described [24,49].
E. coli strains DH5α and TOP10 F’ (ThermoFisher Scientific, Waltham, MA, USA) were grown in LB medium at 37 °C unless otherwise stated. All E. coli stocks were stored in 15% glycerol at −80 °C.
4.2. Generation of Plasmid Constructs
The plasmid backbone for cloning small RNA was generated by modifying the pBAD/Thio-TOPO vector (ThermoFisher Scientific, Waltham, MA, USA). Briefly, inverse PCR using primer pair pBT-F and pBT-R and pBAD/Thio plasmid as template DNA was performed to remove the HP-thioredoxin-EK site, V5 epitope, and 6X His-tag from the vector and to insert EcoRI, KpnI, and XhoI restriction sites into the modified plasmid. The amplified linear PCR product was cleaned using SV gel and PCR purification kit (Promega, Madison, WI, USA), digested with KpnI (New England Biolabs, Ipswich, MA, USA), and circularized using T4 DNA ligase (New England Biolabs, Ipswich, MA, USA). The modified plasmid containing an arabinose inducible promoter, unique restriction sites listed above, and strong rrnB terminator was verified via Sanger sequencing and named pBT_N. Full-length sRNA, either amplified from R. conorii (Rc_sR42 sRNA) or E. coli (glmZ sRNA) genomic DNA, was cloned into pBT_N plasmid backbone using the unique restriction sites, thus resulting in an sRNA expression plasmid under the tight control of an inducible arabinose promoter and strong transcription terminator. The plasmid containing the sRNA binding target gene seed region was constructed by cloning the target gene amplicon in-frame into pXG30-superfolder GFP (sfGFP) plasmid [28], which mimics an intra-operonic target arrangement (gift from Prof. Jörg Vogel, Helmholtz Centre for Infection Research, Germany). The anhydrotetracycline (aTc) inducible pXG30-sfGFP was specifically chosen for these studies as the binding region of sRNA Rc_sR42 is known to be present at the 3′ end of the cydA gene, which is expressed as a bicistronic cydAB operon in R. conorii [24,28]. Briefly, the R. conorii cydAB operonic gene fragment encoding for the last 87 amino acids of cydA and containing the predicted seed region, intergenic bases, and the first 7 amino acids for the cydB gene was amplified using the primer pair cydAB-30F and cydAB-30R and cloned in-frame into the linearized pXG30-sfGFP plasmid using NsiI and NheI restriction sites. The resulting cydAB intra-operonic plasmid had FLAG and LacZ tagged to cydA at its 5′ end and GFP tagged to cydB at its 3′ end, allowing assessment of sRNA-mediated regulation of both the genes. The E. coli glmUS, known to be regulated by glmZ sRNA, was cloned into pXG30-sfGFP plasmid as described earlier and served as the positive control [29]. The pXG1 plasmid carrying GFP directly under the control of aTc promoter served as blank positive control, while the pXG0 plasmid containing luciferase served as a blank negative control in these studies. All primers used for the generation of plasmid constructs are listed in Table S1 and plasmid maps are shown in Figure 3.
4.3. Induction of Bacterial Cultures
To study the R. conorii sRNA-mediated regulation of the cydAB transcript, we generated E. coli TOP10 F’ strains carrying plasmids coding for sRNA (pBT_N backbone) and/or plasmids carrying the sRNA binding seed region of the target gene (pXG30-GFPsf backbone). The transformed E. coli TOP10 F’ strains (stocks) were stored in 15% glycerol at −80 °C until use. The list of bacterial strains, their respective harboring plasmids, and antibiotic resistance are provided in Table S2. The E. coli stocks carrying the appropriate combination of plasmids were streaked onto LB agar plates containing antibiotic(s) and incubated at 37 °C overnight. A loop of bacterial culture was inoculated in 3mL of LB Broth supplemented with appropriate antibiotic(s) and incubated overnight at 37 °C, 225 rpm. The overnight culture was diluted 1:20 using LB Broth containing antibiotic(s) and incubated at 37 °C, 225 rpm until the optical density (OD600) reached between 0.5 and 0.6, at which point the culture was induced by adding 0.02% arabinose for sRNA expression and/or 100 ng/mL anhydrotetracycline (aTc) for the expression of ‘FLAG-LacZ-target gene fragment-GFP’ cloned in the pXG30-GFPsf plasmid. A sample of the uninduced cultures was run in parallel in all experiments. After induction, the cultures were incubated overnight (~16 h) at 30 °C, 225 rpm. The induced and uninduced samples were used for measuring GFP fluorescence, β-galactosidase assay, and Western blot analysis as described below.
4.4. Measurement of GFP Fluorescence in Live Bacterial Cultures
To ensure equal growth of cultures, the samples were diluted 1:4 with water, and the OD600 of both the uninduced and induced samples was measured. To measure the green fluorescence intensity, the liquid bacterial cultures were diluted 1:2 in 96-well sterile cell culture plates. GFP fluorescence was measured using SpectraMax iD5 plate reader (Molecular Devices, San Jose, CA, USA) for further quantification. The autofluorescence observed in uninduced cultures served as a baseline and was subtracted from the fluorescence values observed in induced cultures.
4.5. β-Galactosidase Assay
The β-galactosidase activity in bacterial cultures was measured on a microplate reader as described by [51]. Briefly, bacterial cultures grown overnight after induction were diluted to obtain a cell density (A600) of ~0.25. The bacterial cells were permeabilized by adding 100 µL of culture (A600 = 0.25) to 1mL of Z buffer (60 mM Na2HPO4.7H2O, 40 mM NaH2PO4.H2O, 10 mM KCl, 1 mM MgSO4.7H2O, 50 mM β-mercaptoethanol) followed by 20 µL of freshly prepared 0.1% SDS and 40 µL of chloroform in a 1.5mL Eppendorf tube. The tubes were mixed well by vortexing, and chloroform was allowed to settle down to the bottom of the tube at room temperature. Permeabilized cells (100 µL) were transferred onto a microplate, 40 µL of O-nitrophenyl-beta-D-galactopyranoside (OPNG) was added to each well, and absorbance readings at A420, A550, and A600 were immediately taken and considered as zero time points. The plates were incubated for an hour in the dark at room temperature, 50 µL of 1M Na2CO3 was added to stop the reaction, and absorbance was determined. Data from a minimum of three independent biological replicates were analyzed and β-galactosidase activity in Miller units was calculated as described by [51].
4.6. Western Blotting
Bacterial cultures with equal cell density (A600) were spun down at 4000× g for 5 min, and the pellet was suspended in 2x SDS PAGE sample buffer. Protein lysates were separated on a denaturing polyacrylamide gel and transferred onto the nitrocellulose membrane. The membranes were blocked in 5% milk and incubated overnight with GFP and FLAG tags primary antibodies at 1:1000 dilution. A compatible horseradish peroxidase (HRP)-conjugated secondary antibody was used, followed by chemiluminescence-based detection. The blots were stripped and probed with GADPH antibody (1:2000) as a loading control to account for variation in protein loaded in individual lanes. A minimum of three independent experiments were performed for each protein, and densitometric analysis was performed using Image J software [52].
4.7. Cell Culture and Infection
The mouse endothelial cell line isolated from brain tissue, bEnd.3 (ATCC CRL2299), was grown in DMEM supplemented with 10% FBS at 37 °C in an atmosphere of 95% O2:5% CO2. The bEnd.3 cells were grown in 25 cm2 cell culture flasks to 90–95% confluence prior to infection with R. conorii (MOI = 5) in minimum volume (500 µL) of medium to facilitate adherence and invasion of host cells. After 15 min, additional (2.5 mL) medium was added to each flask and incubated at 37 °C, 5% CO2. At the end of each time point, the sample was harvested in Tri-Reagent for RNA extraction following our established protocols [50,53]. The sample harvested at 15 min post-infection served as a baseline control for all qPCR experiments. A minimum of three independent biological replicates were performed for each experiment.
4.8. Quantitative Real-Time PCR
Total RNA was extracted following the standard Tri-Reagent protocol. The samples were treated with DNaseI (Invitrogen, Waltham, MA, USA) to remove genomic DNA and reprecipitated using 3M sodium acetate (pH 5.2) and glycogen (Ambion, Austin, TX, USA). The purified total RNA was quantified using a MultiSkan Go spectrophotometer (ThermoFisher Scientific, Waltham, MA, USA), and first-strand synthesis of the complementary DNA (cDNA) was performed using random primers and Superscript II Taq polymerase (Invitrogen, Waltham, MA, USA) following our established protocol [27]. The expression profile of target genes at different time points was assessed through SYBR Green-based relative quantification using gene-specific primers and 16S rRNA as endogenous control. The expression of Rc_sR42 after induction with arabinose was verified using sRNA-specific primers and E. coli 16S rRNA as control (File S2). The gene expression data were analyzed via the ΔΔCT method using a sample harvested at 15 min post-infection (p.i.) as the baseline control [54]. All primer sequences used in this study are listed in Table S1.
4.9. Animal Studies
Six- to eight-week-old C3H/HeN mice purchased from Jackson laboratories were acclimatized in the vivarium for a minimum of three days. The mice were assigned to groups (control or treated), and baseline body weights were recorded one day before infection. Each mouse in the treated group was injected intravenously with a lethal dose (2.25 × 105 pfu/mouse) of viable R. conorii, while control group mice received equal volume saline. Both control and treated mice were housed in an Animal Biosafety Level 3 facility following approved institutional protocol. The animals were monitored twice daily for weight loss and signs of disease. At the end of each time point (4h, 1d, 2d, and 3d p.i.), mice were euthanized, and organs (lungs and brain) were collected aseptically into RNAlaterTM and stored at −20 °C until RNA extraction. The tissues were homogenized using Tissue Lyser II (Qiagen, Germantown, MD, USA), and total RNA was extracted using TRI-reagent following our standard protocol. Owing to the obligately intracellular lifestyle of rickettsial pathogens, data from the tissues of mice infected for 4h served as the baseline control for quantification of the expression of the bacterial target genes on days 1–3 p.i. All protocols used in this study were reviewed and approved by the Institutional Animal Care and Use Committee (IACUC) at the University of Texas Medical Branch (UTMB), Galveston, TX, USA.
4.10. Statistical Analysis
A minimum of three independent biological replicates were performed for each experiment, and statistical analysis was performed using GraphPad Prism version 5.0 (GraphPad Software Inc., San Diego, CA, USA). Comparison between matched and unmatched groups was performed using a paired t-test and a Mann–Whitney U-test, respectively. The p-value for statistical significance was set at <0.05.
Supplementary Materials
The following supporting information can be downloaded at: https://www.mdpi.com/article/10.3390/ijms24044008/s1.
Author Contributions
Conceptualization, H.P.N.; methodology, H.P.N., J.A., A.S., M.M. and Y.Z.; validation, H.P.N., J.A., A.S., M.M. and Y.Z.; formal analysis, H.P.N. and J.A.; investigation, H.P.N. and S.K.S.; resources, H.P.N. and S.K.S.; data curation, H.P.N. and J.A.; writing—original draft preparation, H.P.N. and J.A.; writing—review and editing, H.P.N., J.A., A.S. and S.K.S.; visualization, H.P.N. and S.K.S.; supervision, H.P.N.; project administration, H.P.N. and S.K.S.; funding acquisition, H.P.N. and S.K.S. All authors have read and agreed to the published version of the manuscript.
Funding
This research was funded by the National Institute of Allergy and Infectious Diseases (NIAID), grant numbers 5R01AI127899-04 and 5R21AI149358-02, and pilot funding from the Institute for Human Infections and Immunity at the University of Texas Medical Branch, Galveston, TX, USA.
Institutional Review Board Statement
The animal study protocol number 1804033A was approved by the Institutional Animal Care and Use Committee at the University of Texas Medical Branch, Galveston, TX.
Informed Consent Statement
Not applicable.
Data Availability Statement
All data generated during the study and supporting the reported results are included in this manuscript.
Acknowledgments
We thank Jörg Vogel, Helmholtz Centre for Infection Research, Germany, for kindly providing the pXG-sfGFP series of plasmids, and Alfredo Torres, UTMB, for sharing the E. coli K12 strain MG1655. We are grateful to Jere McBribe, UTMB, for allowing us to use the SpectraMax iD5 plate reader for fluorescent measurements.
Conflicts of Interest
The authors declare no conflict of interest.
References
- Narra, H.P.; Sahni, A.; Walker, D.H.; Sahni, S.K. Recent research milestones in the pathogenesis of human rickettsioses and opportunities ahead. Future Microbiol. 2020, 15, 753–765. [Google Scholar] [CrossRef] [PubMed]
- Ortuno, A.; Sanfeliu, I.; Nogueras, M.M.; Pons, I.; Lopez-Claessens, S.; Castella, J.; Anton, E.; Segura, F. Detection of Rickettsia massiliae/Bar29 and Rickettsia conorii in red foxes (Vulpes vulpes) and their Rhipicephalus sanguineus complex ticks. Ticks Tick Borne Dis. 2018, 9, 629–631. [Google Scholar] [CrossRef] [PubMed]
- Curto, P.; Simoes, I.; Riley, S.P.; Martinez, J.J. Differences in intracellular fate of two spotted fever group Rickettsia in macrophage-like cells. Front Cell Infect. Microbiol. 2016, 6, 80. [Google Scholar] [CrossRef] [PubMed]
- Parola, P.; Paddock, C.D.; Socolovschi, C.; Labruna, M.B.; Mediannikov, O.; Kernif, T.; Abdad, M.Y.; Stenos, J.; Bitam, I.; Fournier, P.E.; et al. Update on tick-borne rickettsioses around the world: A geographic approach. Clin. Microbiol. Rev. 2013, 26, 657–702. [Google Scholar] [CrossRef] [PubMed]
- Helminiak, L.; Mishra, S.; Keun Kim, H. Pathogenicity and virulence of Rickettsia. Virulence 2022, 13, 1752–1771. [Google Scholar] [CrossRef] [PubMed]
- Kim, H.K. Rickettsia-host-tick interactions: Knowledge advances and gaps. Infect. Immun. 2022, 90, e0062121. [Google Scholar] [CrossRef] [PubMed]
- Sahni, S.K.; Narra, H.P.; Sahni, A.; Walker, D.H. Recent molecular insights into rickettsial pathogenesis and immunity. Future Microbiol. 2013, 8, 1265–1288. [Google Scholar] [CrossRef] [PubMed]
- Felden, B.; Augagneur, Y. Diversity and versatility in small RNA-mediated regulation in bacterial pathogens. Front Microbiol. 2021, 12, 719977. [Google Scholar] [CrossRef]
- Svensson, S.L.; Sharma, C.M. Small RNAs in bacterial virulence and communication. Microbiol. Spectr. 2016, 4, 169–212. [Google Scholar] [CrossRef]
- Hor, J.; Matera, G.; Vogel, J.; Gottesman, S.; Storz, G. Trans-acting small RNAs and their effects on gene expression in Escherichia coli and Salmonella enterica. EcoSal. Plus 2020, 9. [Google Scholar]
- Gottesman, S.; Storz, G. Bacterial small RNA regulators: Versatile roles and rapidly evolving variations. Cold Spring Harb. Perspect. Biol. 2011, 3, a003798. [Google Scholar] [CrossRef] [PubMed]
- Storz, G.; Vogel, J.; Wassarman, K.M. Regulation by small RNAs in bacteria: Expanding frontiers. Mol. Cell 2011, 43, 880–891. [Google Scholar] [CrossRef] [PubMed]
- Iosub, I.A.; van Nues, R.W.; McKellar, S.W.; Nieken, K.J.; Marchioretto, M.; Sy, B.; Tree, J.J.; Viero, G.; Granneman, S. Hfq CLASH uncovers sRNA-target interaction networks linked to nutrient availability adaptation. eLife 2020, 9, e54655. [Google Scholar] [CrossRef] [PubMed]
- Faigenbaum-Romm, R.; Reich, A.; Gatt, Y.E.; Barsheshet, M.; Argaman, L.; Margalit, H. Hierarchy in Hfq chaperon occupancy of small RNA targets plays a major role in their regulation. Cell Rep. 2020, 30, 3127–3138.e6. [Google Scholar] [CrossRef] [PubMed]
- Venkat, K.; Hoyos, M.; Haycocks, J.R.; Cassidy, L.; Engelmann, B.; Rolle-Kampczyk, U.; von Bergen, M.; Tholey, A.; Grainger, D.C.; Papenfort, K. A dual-function RNA balances carbon uptake and central metabolism in Vibrio cholerae. EMBO J. 2021, 40, e108542. [Google Scholar] [CrossRef] [PubMed]
- Wadler, C.S.; Vanderpool, C.K. A dual function for a bacterial small RNA: SgrS performs base pairing-dependent regulation and encodes a functional polypeptide. Proc. Natl. Acad. Sci. USA 2007, 104, 20454–20459. [Google Scholar] [CrossRef] [PubMed]
- Lloyd, C.R.; Park, S.; Fei, J.; Vanderpool, C.K. The small protein SgrT controls transport activity of the glucose-specific phosphotransferase system. J. Bacteriol. 2017, 199, e00869-16. [Google Scholar] [CrossRef]
- Thairu, M.W.; Hansen, A.K. It’s a small, small world: Unravelling the role and evolution of small RNAs in organelle and endosymbiont genomes. FEMS Microbiol. Lett. 2019, 366, fnz049. [Google Scholar] [CrossRef]
- Thairu, M.W.; Hansen, A.K. Changes in aphid host plant diet influence the small-RNA expression profiles of its obligate nutritional symbiont, Buchnera. mBio 2019, 10, e01733-19. [Google Scholar] [CrossRef]
- Warrier, I.; Hicks, L.D.; Battisti, J.M.; Raghavan, R.; Minnick, M.F. Identification of novel small RNAs and characterization of the 6S RNA of Coxiella burnetii. PLoS ONE 2014, 9, e100147. [Google Scholar] [CrossRef]
- Wachter, S.; Bonazzi, M.; Shifflett, K.; Moses, A.S.; Raghavan, R.; Minnick, M.F. A CsrA-binding, trans-acting sRNA of Coxiella burnetii is necessary for optimal intracellular growth and vacuole formation during early infection of host cells. J. Bacteriol. 2019, 201, e00524-19. [Google Scholar] [CrossRef] [PubMed]
- Thairu, M.W.; Meduri, V.R.S.; Degnan, P.H.; Hansen, A.K. Natural selection shapes maintenance of orthologous sRNAs in divergent host-restricted bacterial genomes. Mol. Biol. Evol. 2021, 38, 4778–4791. [Google Scholar] [CrossRef] [PubMed]
- Schroeder, C.L.; Narra, H.P.; Rojas, M.; Sahni, A.; Patel, J.; Khanipov, K.; Wood, T.G.; Fofanov, Y.; Sahni, S.K. Bacterial small RNAs in the Genus Rickettsia. BMC Genom. 2015, 16, 1075. [Google Scholar] [CrossRef] [PubMed]
- Narra, H.P.; Schroeder, C.L.; Sahni, A.; Rojas, M.; Khanipov, K.; Fofanov, Y.; Sahni, S.K. Small regulatory RNAs of Rickettsia conorii. Sci. Rep. 2016, 6, 36728. [Google Scholar] [CrossRef] [PubMed]
- Schroeder, C.L.; Narra, H.P.; Sahni, A.; Rojas, M.; Khanipov, K.; Patel, J.; Shah, R.; Fofanov, Y.; Sahni, S.K. Identification and characterization of novel small RNAs in Rickettsia prowazekii. Front. Microbiol. 2016, 7, 859. [Google Scholar] [CrossRef]
- Schroeder, C.L.C.; Narra, H.P.; Sahni, A.; Khanipov, K.; Patel, J.; Fofanov, Y.; Sahni, S.K. Transcriptional profiling of Rickettsia prowazekii coding and non-coding transcripts during in vitro host-pathogen and vector-pathogen interactions. Ticks Tick Borne Dis. 2017, 8, 827–836. [Google Scholar] [CrossRef]
- Narra, H.P.; Sahni, A.; Alsing, J.; Schroeder, C.L.C.; Golovko, G.; Nia, A.M.; Fofanov, Y.; Khanipov, K.; Sahni, S.K. Comparative transcriptomic analysis of Rickettsia conorii during in vitro infection of human and tick host cells. BMC Genom. 2020, 21, 665. [Google Scholar] [CrossRef]
- Corcoran, C.P.; Podkaminski, D.; Papenfort, K.; Urban, J.H.; Hinton, J.C.; Vogel, J. Superfolder GFP reporters validate diverse new mRNA targets of the classic porin regulator, MicF RNA. Mol. Microbiol. 2012, 84, 428–445. [Google Scholar] [CrossRef]
- Urban, J.H.; Vogel, J. Two seemingly homologous noncoding RNAs act hierarchically to activate glmS mRNA translation. PLoS Biol. 2008, 6, e64. [Google Scholar] [CrossRef]
- Borisov, V.B.; Siletsky, S.A.; Paiardini, A.; Hoogewijs, D.; Forte, E.; Giuffre, A.; Poole, R.K. Bacterial oxidases of the cytochrome bd family: Redox enzymes of unique structure, function, and utility as drug targets. Antioxid. Redox Signal 2021, 34, 1280–1318. [Google Scholar] [CrossRef]
- Arutyunyan, A.M.; Sakamoto, J.; Inadome, M.; Kabashima, Y.; Borisov, V.B. Optical and magneto-optical activity of cytochrome bd from Geobacillus thermodenitrificans. Biochim. Biophys. Acta 2012, 1817, 2087–2094. [Google Scholar] [CrossRef] [PubMed]
- Duc, K.M.; Kang, B.G.; Lee, C.; Park, H.J.; Park, Y.M.; Joung, Y.H.; Bang, I.S. The small protein CydX is required for cytochrome bd quinol oxidase stability and function in Salmonella enterica Serovar Typhimurium: A phenotypic study. J. Bacteriol. 2020, 202, e00348-19. [Google Scholar] [CrossRef] [PubMed]
- VanOrsdel, C.E.; Bhatt, S.; Allen, R.J.; Brenner, E.P.; Hobson, J.J.; Jamil, A.; Haynes, B.M.; Genson, A.M.; Hemm, M.R. The Escherichia coli CydX protein is a member of the CydAB cytochrome bd oxidase complex and is required for cytochrome bd oxidase activity. J. Bacteriol. 2013, 195, 3640–3650. [Google Scholar] [CrossRef] [PubMed]
- Mascolo, L.; Bald, D. Cytochrome bd in Mycobacterium tuberculosis: A respiratory chain protein involved in the defense against antibacterials. Prog. Biophys. Mol. Biol. 2020, 152, 55–63. [Google Scholar] [CrossRef]
- Wall, D.; Delaney, J.M.; Fayet, O.; Lipinska, B.; Yamamoto, T.; Georgopoulos, C. arc-dependent thermal regulation and extragenic suppression of the Escherichia coli cytochrome d operon. J. Bacteriol. 1992, 174, 6554–6562. [Google Scholar] [CrossRef]
- Forte, E.; Borisov, V.B.; Falabella, M.; Colaco, H.G.; Tinajero-Trejo, M.; Poole, R.K.; Vicente, J.B.; Sarti, P.; Giuffre, A. The terminal oxidase cytochrome bd promotes sulfide-resistant bacterial respiration and growth. Sci. Rep. 2016, 6, 23788. [Google Scholar] [CrossRef]
- Teysseire, N.; Boudier, J.A.; Raoult, D. Rickettsia conorii entry into Vero cells. Infect. Immun. 1995, 63, 366–374. [Google Scholar] [CrossRef]
- Bovarnick, M.R.; Snyder, J.C. Respiration of typhus rickettsiae. J. Exp. Med. 1949, 89, 561–565. [Google Scholar] [CrossRef]
- Renesto, P.; Ogata, H.; Audic, S.; Claverie, J.M.; Raoult, D. Some lessons from Rickettsia genomics. FEMS Microbiol. Rev. 2005, 29, 99–117. [Google Scholar] [CrossRef]
- Driscoll, T.P.; Verhoeve, V.I.; Guillotte, M.L.; Lehman, S.S.; Rennoll, S.A.; Beier-Sexton, M.; Rahman, M.S.; Azad, A.F.; Gillespie, J.J. Wholly Rickettsia! reconstructed metabolic profile of the quintessential bacterial parasite of eukaryotic cells. MBio 2017, 8, e00859-1. [Google Scholar] [CrossRef]
- Krab, K.; Kempe, H.; Wikstrom, M. Explaining the enigmatic K(M) for oxygen in cytochrome c oxidase: A kinetic model. Biochim. Biophys. Acta 2011, 1807, 348–358. [Google Scholar] [CrossRef] [PubMed]
- Berney, M.; Cook, G.M. Unique flexibility in energy metabolism allows mycobacteria to combat starvation and hypoxia. PLoS ONE 2010, 5, e8614. [Google Scholar] [CrossRef] [PubMed]
- Beebout, C.J.; Robertson, G.L.; Reinfeld, B.I.; Blee, A.M.; Morales, G.H.; Brannon, J.R.; Chazin, W.J.; Rathmell, W.K.; Rathmell, J.C.; Gama, V.; et al. Uropathogenic Escherichia coli subverts mitochondrial metabolism to enable intracellular bacterial pathogenesis in urinary tract infection. Nat. Microbiol. 2022, 7, 1348–1360. [Google Scholar] [CrossRef] [PubMed]
- Jeon, H.J.; Lee, Y.; N, M.P.A.; Wang, X.; Chattoraj, D.K.; Lim, H.M. sRNA-mediated regulation of gal mRNA in E. coli: Involvement of transcript cleavage by RNase E together with Rho-dependent transcription termination. PLoS Genet. 2021, 17, e1009878. [Google Scholar] [CrossRef] [PubMed]
- Walker, D.H.; Blanton, L.S.; Laroche, M.; Fang, R.; Narra, H.P. A vaccine for canine Rocky Mountain spotted fever: An unmet one health need. Vaccines 2022, 10, 1626. [Google Scholar] [CrossRef]
- Tree, J.J.; Granneman, S.; McAteer, S.P.; Tollervey, D.; Gally, D.L. Identification of bacteriophage-encoded anti-sRNAs in pathogenic Escherichia coli. Mol. Cell 2014, 55, 199–213. [Google Scholar] [CrossRef]
- Liu, Z.; Wang, H.; Wang, H.; Wang, J.; Bi, Y.; Wang, X.; Yang, R.; Han, Y. Intrinsic plasmids influence MicF-mediated translational repression of ompF in Yersinia pestis. Front Microbiol. 2015, 6, 862. [Google Scholar] [CrossRef]
- Masse, E.; Vanderpool, C.K.; Gottesman, S. Effect of RyhB small RNA on global iron use in Escherichia coli. J. Bacteriol. 2005, 187, 6962–6971. [Google Scholar] [CrossRef]
- Alhassan, A.; Liu, H.; McGill, J.; Cerezo, A.; Jakkula, L.; Nair, A.D.S.; Winkley, E.; Olson, S.; Marlow, D.; Sahni, A.; et al. Rickettsia rickettsii whole cell antigens offer protection against Rocky Mountain spotted fever in the canine host. Infect. Immun. 2018, 87, e00628-18. [Google Scholar] [CrossRef]
- Narra, H.P.; Sahni, A.; Sepuru, K.M.; Alsing, J.; Sahni, S.K. Sensing the messenger: Potential roles of cyclic-di-GMP in rickettsial pathogenesis. Int. J. Mol. Sci. 2022, 23, 3853. [Google Scholar] [CrossRef]
- Griffith, K.L.; Wolf, R.E., Jr. Measuring beta-galactosidase activity in bacteria: Cell growth, permeabilization, and enzyme assays in 96-well arrays. Biochem. Biophys. Res. Commun. 2002, 290, 397–402. [Google Scholar] [CrossRef]
- Schneider, C.A.; Rasband, W.S.; Eliceiri, K.W. NIH Image to ImageJ: 25 years of image analysis. Nat. Methods 2012, 9, 671–675. [Google Scholar] [CrossRef] [PubMed]
- Sahni, A.; Narra, H.P.; Sahni, S.K. MicroRNA-424 regulates the expression of CX3CL1 (fractalkine) in human microvascular endothelial cells during Rickettsia rickettsii infection. Biochem. Biophys. Rep. 2021, 25, 100897. [Google Scholar] [CrossRef] [PubMed]
- Schmittgen, T.D.; Livak, K.J. Analyzing real-time PCR data by the comparative C(T) method. Nat. Protoc. 2008, 3, 1101–1108. [Google Scholar] [CrossRef] [PubMed]
Disclaimer/Publisher’s Note: The statements, opinions and data contained in all publications are solely those of the individual author(s) and contributor(s) and not of MDPI and/or the editor(s). MDPI and/or the editor(s) disclaim responsibility for any injury to people or property resulting from any ideas, methods, instructions or products referred to in the content. |
© 2023 by the authors. Licensee MDPI, Basel, Switzerland. This article is an open access article distributed under the terms and conditions of the Creative Commons Attribution (CC BY) license (https://creativecommons.org/licenses/by/4.0/).




