Verproside, the Most Active Ingredient in YPL-001 Isolated from Pseudolysimachion rotundum var. subintegrum, Decreases Inflammatory Response by Inhibiting PKCδ Activation in Human Lung Epithelial Cells
Abstract
1. Introduction
2. Results
2.1. Inhibitory Effects of YPL-001 on TNF-Induced MUC5AC Secretion
2.2. Inhibitory Effects of the Six Iridoids in YPL-001 on the TNF/NF-κB/MUC5AC Pathway in NCI-H292
2.3. The Suppressive Effects of Iridoids 1, 2, and 4 on the TNF-Stimulated Activity of the MUC5AC Promoter
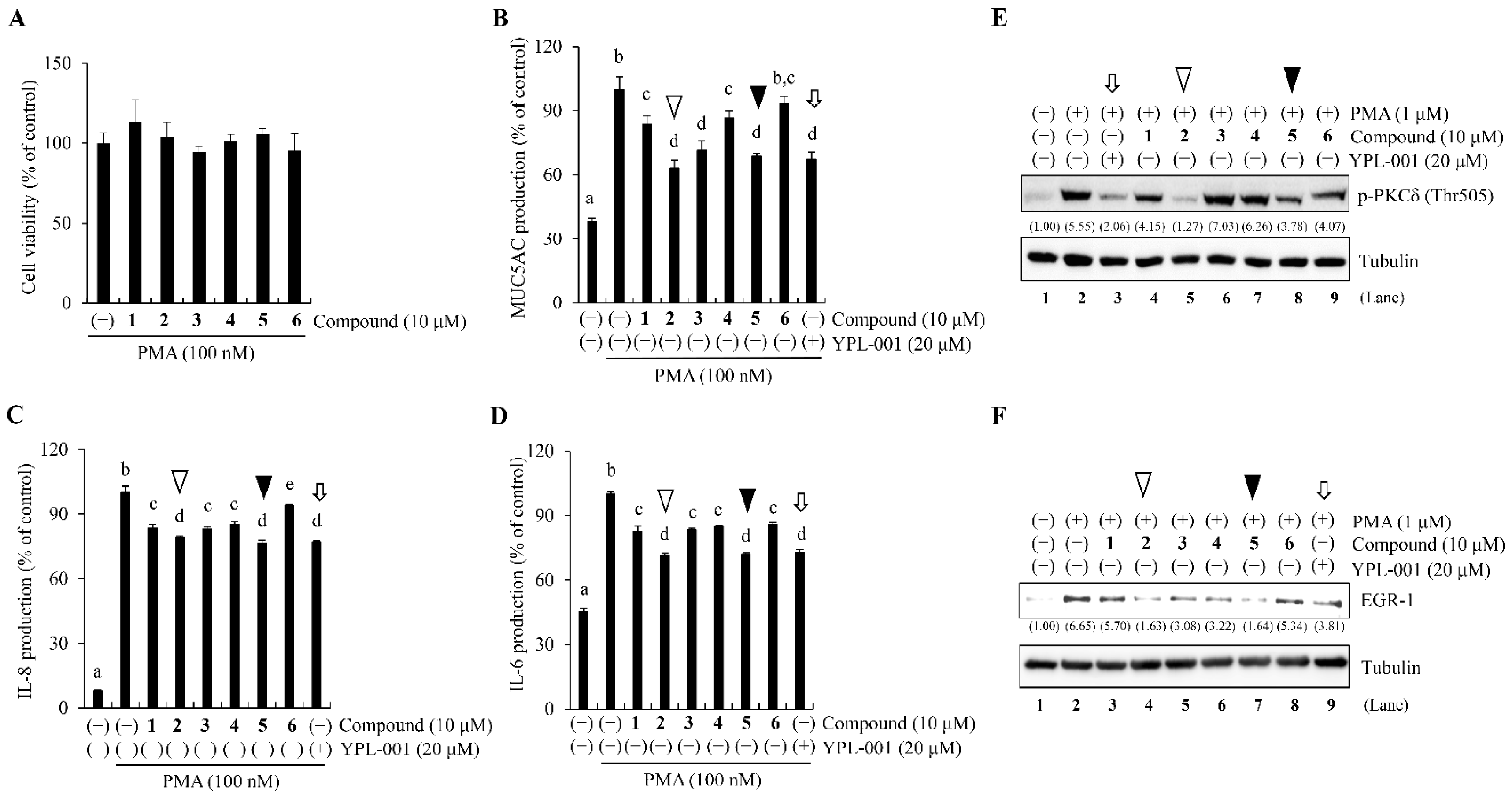
2.4. Iridoids 2 and 5 in YPL-001 Strongly Inhibited PMA/PKCδ-Induced Inflammatory Gene Expression
2.5. Iridoids 2 and 5 in YPL-001 Inhibit PMA/PKCδ-Induced EGR-1 Activation
2.6. Verproside Inhibits Phospho-Activation of PKCδ In Vitro and In Vivo
3. Discussion
4. Materials and Methods
4.1. Plant Materials and Preparation
4.2. Chemicals and Reagents
4.3. Cell Preparation and Culture
4.4. Cell Viability Assay
4.5. Enzyme-Linked Immunosorbent Assay (ELISA)
4.6. Transfection and Sequential Dual-Luciferase Reporter Assay
4.7. Evaluation of mRNA Expression Level
4.8. Western Blot Analysis
4.9. Cigarette-Smoke(CS) Exposure and LPS Treatment in a Mouse COPD Model
4.10. Computational Simulations: Homology Modeling and Molecular Docking
4.11. Determination of PKCδ Kinase Activity under the Cell-Free Condition
4.12. Determination of the Levels of TNF in Bronchoalveolar Lavage Fluid (BALF)
4.13. Histological Examination
4.14. Statistical Analysis
5. Conclusions
Supplementary Materials
Author Contributions
Funding
Institutional Review Board Statement
Informed Consent Statement
Data Availability Statement
Acknowledgments
Conflicts of Interest
References
- Barnes, P.J. COPD 2020: New directions needed. Am. J. Physiol. Lung Cell. Mol. Physiol. 2020, 319, L884–L886. [Google Scholar] [CrossRef] [PubMed]
- Kim, H.P.; Lim, H.; Kwon, Y.S. Therapeutic Potential of Medicinal Plants and Their Constituents on Lung Inflammatory Disorders. Biomol. Ther. 2017, 25, 91–104. [Google Scholar] [CrossRef]
- Oh, S.R.; Lee, M.Y.; Ahn, K.; Park, B.Y.; Kwon, O.K.; Joung, H.; Lee, J.; Kim, D.Y.; Lee, S.; Kim, J.H.; et al. Suppressive effect of verproside isolated from Pseudolysimachion longifolium on airway inflammation in a mouse model of allergic asthma. Int. Immunopharmacol. 2006, 6, 978–986. [Google Scholar] [CrossRef]
- Lee, Y.; Yoo, J.S.; Shin, D.H.; Ryoo, B.H.; Ahn, K.S.; Oh, S.R.; Lee, H.K.; Shin, I.S.; Kim, D.Y.; Kwon, O.K. The composition comprising atc2 purified extract isolated from pseudolysimachion rotundum var. subintegrum for preventing or treating a chronic obstructive pulmonary disease and the use thereof. Patents 9955871, 9 April 2014. [Google Scholar]
- Lee, S.U.; Lee, S.; Ro, H.; Choi, J.H.; Ryu, H.W.; Kim, M.O.; Yuk, H.J.; Lee, J.; Hong, S.T.; Oh, S.R. Piscroside C inhibits TNF-alpha/NF-kappaB pathway by the suppression of PKCdelta activity for TNF-RSC formation in human airway epithelial cells. Phytomedicine 2018, 40, 148–157. [Google Scholar] [CrossRef] [PubMed]
- Lundblad, L.K.; Thompson-Figueroa, J.; Leclair, T.; Sullivan, M.J.; Poynter, M.E.; Irvin, C.G.; Bates, J.H. Tumor necrosis factor-alpha overexpression in lung disease: A single cause behind a complex phenotype. Am. J. Respir. Crit. Care Med. 2005, 171, 1363–1370. [Google Scholar] [CrossRef] [PubMed]
- Schuliga, M. NF-kappaB Signaling in Chronic Inflammatory Airway Disease. Biomolecules 2015, 5, 1266–1283. [Google Scholar] [CrossRef] [PubMed]
- Di Stefano, A.; Caramori, G.; Oates, T.; Capelli, A.; Lusuardi, M.; Gnemmi, I.; Ioli, F.; Chung, K.F.; Donner, C.F.; Barnes, P.J.; et al. Increased expression of nuclear factor-kappaB in bronchial biopsies from smokers and patients with COPD. Eur. Respir. J. 2002, 20, 556–563. [Google Scholar] [CrossRef]
- Lee, I.T.; Yang, C.M. Inflammatory signalings involved in airway and pulmonary diseases. Mediat. Inflamm. 2013, 2013, 791231. [Google Scholar] [CrossRef] [PubMed]
- Lee, J.W.; Kim, M.O.; Song, Y.N.; Min, J.H.; Kim, S.M.; Kang, M.J.; Oh, E.S.; Lee, R.W.; Jung, S.; Ro, H.; et al. Compound K ameliorates airway inflammation and mucus secretion through the regulation of PKC signaling in vitro and in vivo. J. Ginseng. Res. 2022, 46, 496–504. [Google Scholar] [CrossRef] [PubMed]
- Zhang, M.; Tang, J.; Shan, H.; Zhang, Q.; Yang, X.; Zhang, J.; Li, Y. p66Shc Mediates Mitochondrial Dysfunction Dependent on PKC Activation in Airway Epithelial Cells Induced by Cigarette Smoke. Oxid. Med. Cell. Longev. 2018, 2018, 5837123. [Google Scholar] [CrossRef] [PubMed]
- Park, J.-A. Role of Protein Kinase C Delta in Airway Mucin Secretion. Available online: https://repository.lib.ncsu.edu/handle/1840.16/3943 (accessed on 22 October 2022).
- Muthusamy, S.; Shukla, S.; Amin, M.R.; Cheng, M.; Orenuga, T.; Dudeja, P.K.; Malakooti, J. PKCδ-dependent activation of ERK1/2 leads to upregulation of the human NHE2 transcriptional activity in intestinal epithelial cell line C2BBe1. Am. J. Physiol. Gastrointest. Liver Physiol. 2012, 302, G317–G325. [Google Scholar] [CrossRef] [PubMed]
- Reynolds, P.R.; Cosio, M.G.; Hoidal, J.R. Cigarette smoke-induced Egr-1 upregulates proinflammatory cytokines in pulmonary epithelial cells. Am. J. Respir. Cell. Mol. Biol. 2006, 35, 314–319. [Google Scholar] [CrossRef] [PubMed]
- Li, J.; Ye, Z. The Potential Role and Regulatory Mechanisms of MUC5AC in Chronic Obstructive Pulmonary Disease. Molecules 2020, 25, 4437. [Google Scholar] [CrossRef] [PubMed]
- Birru, R.L.; Bein, K.; Wells, H.; Bondarchuk, N.; Barchowsky, A.; Di, Y.P.; Leikauf, G.D. Phloretin, an Apple Polyphenol, Inhibits Pathogen-Induced Mucin Overproduction. Mol. Nutr. Food Res. 2021, 65, e2000658. [Google Scholar] [CrossRef]
- Song, W.Y.; Song, Y.S.; Ryu, H.W.; Oh, S.R.; Hong, J.; Yoon, D.Y. Tilianin Inhibits MUC5AC Expression Mediated Via Down-Regulation of EGFR-MEK-ERK-Sp1 Signaling Pathway in NCI-H292 Human Airway Cells. J. Microbiol. Biotechnol. 2017, 27, 49–56. [Google Scholar] [CrossRef] [PubMed]
- Cao, X.; Coyle, J.P.; Xiong, R.; Wang, Y.; Heflich, R.H.; Ren, B.; Gwinn, W.M.; Hayden, P.; Rojanasakul, L. Invited review: Human air-liquid-interface organotypic airway tissue models derived from primary tracheobronchial epithelial cells-overview and perspectives. Vitr. Cell. Dev. Biol. Anim. 2021, 57, 104–132. [Google Scholar] [CrossRef] [PubMed]
- Choi, J.; Choi, B.K.; Kim, J.S.; Lee, J.W.; Park, H.A.; Ryu, H.W.; Lee, S.U.; Hwang, K.W.; Yun, W.K.; Kim, H.C.; et al. Picroside II Attenuates Airway Inflammation by Downregulating the Transcription Factor GATA3 and Th2-Related Cytokines in a Mouse Model of HDM-Induced Allergic Asthma. PLoS ONE 2016, 11, e0167098. [Google Scholar] [CrossRef] [PubMed]
- Ahn, K.S.; Aggarwal, B.B. Transcription factor NF-kappaB: A sensor for smoke and stress signals. Ann. N. Y. Acad. Sci. 2005, 1056, 218–233. [Google Scholar] [CrossRef] [PubMed]
- Wang, S.-B.; Zhang, C.; Xu, X.-C.; Xu, F.; Zhou, J.-S.; Wu, Y.-P.; Cao, C.; Li, W.; Shen, H.-H.; Cao, J.-F.; et al. Early growth response factor 1 is essential for cigarette smoke-induced MUC5AC expression in human bronchial epithelial cells. Biochem. Biophys. Res. Commun. 2017, 490, 147–154. [Google Scholar] [CrossRef] [PubMed]
- Kim, J.; Kim, Y.S.; Ko, J. CKbeta8/CCL23 and its isoform CKbeta8-1 induce up-regulation of cyclins via the G(i)/G(o) protein/PLC/PKCdelta/ERK leading to cell-cycle progression. Cytokine 2010, 50, 42–49. [Google Scholar] [CrossRef]
- Lee, S.; Ro, H.; In, H.J.; Choi, J.H.; Kim, M.O.; Lee, J.; Hong, S.T.; Lee, S.U. Fisetin inhibits TNF-alpha/NF-kappaB-induced IL-8 expression by targeting PKCdelta in human airway epithelial cells. Cytokine 2018, 108, 247–254. [Google Scholar] [CrossRef] [PubMed]
- Iyoda, T.; Zhang, F.; Sun, L.; Hao, F.; Schmitz-Peiffer, C.; Xu, X.; Cui, M.Z. Lysophosphatidic acid induces early growth response-1 (Egr-1) protein expression via protein kinase Cdelta-regulated extracellular signal-regulated kinase (ERK) and c-Jun N-terminal kinase (JNK) activation in vascular smooth muscle cells. J. Biol. Chem. 2012, 287, 22635–22642. [Google Scholar] [CrossRef] [PubMed]
- Ning, W.; Li, C.J.; Kaminski, N.; Feghali-Bostwick, C.A.; Alber, S.M.; Di, Y.P.; Otterbein, S.L.; Song, R.; Hayashi, S.; Zhou, Z.; et al. Comprehensive gene expression profiles reveal pathways related to the pathogenesis of chronic obstructive pulmonary disease. Proc. Natl. Acad. Sci. USA 2004, 101, 14895–14900. [Google Scholar] [CrossRef] [PubMed]
- Dukel, M.; Tavsan, Z.; Erdogan, D.; Erkan Gok, D.; Ayar Kayali, H. Protein kinase C Inhibitors selectively modulate dynamics of cell adhesion molecules and cell death in human colon cancer cells. Cell. Adh. Migr. 2019, 13, 83–97. [Google Scholar] [CrossRef] [PubMed]
- Samsuzzaman, M.; Uddin, M.S.; Shah, M.A.; Mathew, B. Natural inhibitors on airway mucin: Molecular insight into the therapeutic potential targeting MUC5AC expression and production. Life Sci. 2019, 231, 116485. [Google Scholar] [CrossRef] [PubMed]
- Suissa, S.; Barnes, P.J. Inhaled corticosteroids in COPD: The case against. Eur. Respir. J. 2009, 34, 13–16. [Google Scholar] [CrossRef]
- Lee, S.U.; Sung, M.H.; Ryu, H.W.; Lee, J.; Kim, H.S.; In, H.J.; Ahn, K.S.; Lee, H.J.; Lee, H.K.; Shin, D.H.; et al. Verproside inhibits TNF-alpha-induced MUC5AC expression through suppression of the TNF-alpha/NF-kappaB pathway in human airway epithelial cells. Cytokine 2016, 77, 168–175. [Google Scholar] [CrossRef]
- Barnes, P.J. Kinases as Novel Therapeutic Targets in Asthma and Chronic Obstructive Pulmonary Disease. Pharmacol. Rev. 2016, 68, 788–815. [Google Scholar] [CrossRef] [PubMed]
- Defnet, A.E.; Hasday, J.D.; Shapiro, P. Kinase inhibitors in the treatment of obstructive pulmonary diseases. Curr. Opin. Pharmacol. 2020, 51, 11–18. [Google Scholar] [CrossRef] [PubMed]
- Dempsey, E.C.; Cool, C.D.; Littler, C.M. Lung disease and PKCs. Pharmacol. Res. 2007, 55, 545–559. [Google Scholar] [CrossRef] [PubMed]
- Choi, J.H.; Hwang, Y.P.; Han, E.H.; Kim, H.G.; Park, B.H.; Lee, H.S.; Park, B.K.; Lee, Y.C.; Chung, Y.C.; Jeong, H.G. Inhibition of acrolein-stimulated MUC5AC expression by Platycodon grandiflorum root-derived saponin in A549 cells. Food Chem. Toxicol. 2011, 49, 2157–2166. [Google Scholar] [CrossRef] [PubMed]
- Mondrinos, M.J.; Zhang, T.; Sun, S.; Kennedy, P.A.; King, D.J.; Wolfson, M.R.; Knight, L.C.; Scalia, R.; Kilpatrick, L.E. Pulmonary endothelial protein kinase C-delta (PKCdelta) regulates neutrophil migration in acute lung inflammation. Am. J. Pathol. 2014, 184, 200–213. [Google Scholar] [CrossRef] [PubMed]
- Abdel-Halim, M.; Darwish, S.S.; ElHady, A.K.; Hoppstadter, J.; Abadi, A.H.; Hartmann, R.W.; Kiemer, A.K.; Engel, M. Pharmacological inhibition of protein kinase C (PKC)zeta downregulates the expression of cytokines involved in the pathogenesis of chronic obstructive pulmonary disease (COPD). Eur. J. Pharm. Sci. 2016, 93, 405–409. [Google Scholar] [CrossRef] [PubMed]
- Duquesnes, N.; Lezoualc’h, F.; Crozatier, B. PKC-delta and PKC-epsilon: Foes of the same family or strangers? J. Mol. Cell. Cardiol. 2011, 51, 665–673. [Google Scholar] [CrossRef] [PubMed]
- Rybin, V.O.; Guo, J.; Gertsberg, Z.; Elouardighi, H.; Steinberg, S.F. Protein kinase Cepsilon (PKCepsilon) and Src control PKCdelta activation loop phosphorylation in cardiomyocytes. J. Biol. Chem. 2007, 282, 23631–23638. [Google Scholar] [CrossRef]
- Rybin, V.O.; Guo, J.; Sabri, A.; Elouardighi, H.; Schaefer, E.; Steinberg, S.F. Stimulus-specific differences in protein kinase C delta localization and activation mechanisms in cardiomyocytes. J. Biol. Chem. 2004, 279, 19350–19361. [Google Scholar] [CrossRef]
- Le Good, J.A.; Ziegler, W.H.; Parekh, D.B.; Alessi, D.R.; Cohen, P.; Parker, P.J. Protein kinase C isotypes controlled by phosphoinositide 3-kinase through the protein kinase PDK1. Science 1998, 281, 2042–2045. [Google Scholar] [CrossRef]
- Thai, P.; Loukoianov, A.; Wachi, S.; Wu, R. Regulation of airway mucin gene expression. Annu. Rev. Physiol. 2008, 70, 405–429. [Google Scholar] [CrossRef]
- Lee, S.U.; Oh, E.S.; Ryu, H.W.; Kim, M.O.; Kang, M.J.; Song, Y.N.; Lee, R.W.; Kim, D.Y.; Ro, H.; Jung, S.; et al. Longifolioside A inhibits TLR4-mediated inflammatory responses by blocking PKCdelta activation in LPS-stimulated THP-1 macrophages. Cytokine 2020, 131, 155116. [Google Scholar] [CrossRef] [PubMed]
- Ryu, H.W.; Lee, S.U.; Lee, S.; Song, H.H.; Son, T.H.; Kim, Y.U.; Yuk, H.J.; Ro, H.; Lee, C.K.; Hong, S.T.; et al. 3-Methoxy-catalposide inhibits inflammatory effects in lipopolysaccharide-stimulated RAW264.7 macrophages. Cytokine 2017, 91, 57–64. [Google Scholar] [CrossRef] [PubMed]
- Jaatinen, T.; Laine, J. Isolation of mononuclear cells from human cord blood by Ficoll-Paque density gradient. Curr. Protoc. Stem Cell. Biol. 2007, 1, 2A.1.1–2A.1.4. [Google Scholar] [CrossRef] [PubMed]
- Bodas, M.; Moore, A.R.; Subramaniyan, B.; Georgescu, C.; Wren, J.D.; Freeman, W.M.; Brown, B.R.; Metcalf, J.P.; Walters, M.S. Cigarette Smoke Activates NOTCH3 to Promote Goblet Cell Differentiation in Human Airway Epithelial Cells. Am. J. Respir. Cell. Mol. Biol. 2021, 64, 426–440. [Google Scholar] [CrossRef] [PubMed]
- Ryu, H.W.; Lee, J.W.; Kim, M.O.; Lee, R.W.; Kang, M.J.; Kim, S.M.; Min, J.H.; Oh, E.S.; Song, Y.N.; Jung, S.; et al. Daphnodorin C isolated from the stems of Daphne kiusiana Miquel attenuates airway inflammation in a mouse model of chronic obstructive pulmonary disease. Phytomedicine 2022, 96, 153848. [Google Scholar] [CrossRef] [PubMed]
- Barnes, P.J. Theophylline for COPD. Thorax 2006, 61, 742–744. [Google Scholar] [CrossRef] [PubMed]
- Min, J.H.; Kim, M.G.; Kim, S.M.; Park, J.W.; Chun, W.; Lee, H.J.; Oh, S.R.; Ahn, K.S.; Lee, J.W. 3,4,5-Trihydroxycinnamic acid exerts a protective effect on pulmonary inflammation in an experimental animal model of COPD. Int. Immunopharmacol. 2020, 85, 106656. [Google Scholar] [CrossRef] [PubMed]
- Kim, M.G.; Kim, S.M.; Min, J.H.; Kwon, O.K.; Park, M.H.; Park, J.W.; Ahn, H.I.; Hwang, J.Y.; Oh, S.R.; Lee, J.W.; et al. Anti-inflammatory effects of linalool on ovalbumin-induced pulmonary inflammation. Int. Immunopharmacol. 2019, 74, 105706. [Google Scholar] [CrossRef] [PubMed]







Disclaimer/Publisher’s Note: The statements, opinions and data contained in all publications are solely those of the individual author(s) and contributor(s) and not of MDPI and/or the editor(s). MDPI and/or the editor(s) disclaim responsibility for any injury to people or property resulting from any ideas, methods, instructions or products referred to in the content. |
© 2023 by the authors. Licensee MDPI, Basel, Switzerland. This article is an open access article distributed under the terms and conditions of the Creative Commons Attribution (CC BY) license (https://creativecommons.org/licenses/by/4.0/).
Share and Cite
Oh, E.S.; Ryu, H.W.; Kim, M.-O.; Lee, J.-W.; Song, Y.N.; Park, J.-Y.; Kim, D.-Y.; Ro, H.; Lee, J.; Kim, T.-D.; et al. Verproside, the Most Active Ingredient in YPL-001 Isolated from Pseudolysimachion rotundum var. subintegrum, Decreases Inflammatory Response by Inhibiting PKCδ Activation in Human Lung Epithelial Cells. Int. J. Mol. Sci. 2023, 24, 7229. https://doi.org/10.3390/ijms24087229
Oh ES, Ryu HW, Kim M-O, Lee J-W, Song YN, Park J-Y, Kim D-Y, Ro H, Lee J, Kim T-D, et al. Verproside, the Most Active Ingredient in YPL-001 Isolated from Pseudolysimachion rotundum var. subintegrum, Decreases Inflammatory Response by Inhibiting PKCδ Activation in Human Lung Epithelial Cells. International Journal of Molecular Sciences. 2023; 24(8):7229. https://doi.org/10.3390/ijms24087229
Chicago/Turabian StyleOh, Eun Sol, Hyung Won Ryu, Mun-Ock Kim, Jae-Won Lee, Yu Na Song, Ji-Yoon Park, Doo-Young Kim, Hyunju Ro, Jinhyuk Lee, Tae-Don Kim, and et al. 2023. "Verproside, the Most Active Ingredient in YPL-001 Isolated from Pseudolysimachion rotundum var. subintegrum, Decreases Inflammatory Response by Inhibiting PKCδ Activation in Human Lung Epithelial Cells" International Journal of Molecular Sciences 24, no. 8: 7229. https://doi.org/10.3390/ijms24087229
APA StyleOh, E. S., Ryu, H. W., Kim, M.-O., Lee, J.-W., Song, Y. N., Park, J.-Y., Kim, D.-Y., Ro, H., Lee, J., Kim, T.-D., Hong, S.-T., Lee, S. U., & Oh, S.-R. (2023). Verproside, the Most Active Ingredient in YPL-001 Isolated from Pseudolysimachion rotundum var. subintegrum, Decreases Inflammatory Response by Inhibiting PKCδ Activation in Human Lung Epithelial Cells. International Journal of Molecular Sciences, 24(8), 7229. https://doi.org/10.3390/ijms24087229

