Folate-Targeted Nanocarriers Co-Deliver Ganciclovir and miR-34a-5p for Combined Anti-KSHV Therapy
Abstract
1. Introduction
2. Results and Discussion
2.1. Preparation and Characterization of PEI-FA
2.2. Preparation and Characterization of ZIF-8/PEI-FA and GCV@ZIF-8/PEI-FA
2.3. Drug Loading Rate and In Vitro GCV Release Ability of GCV@ZIF-8/PEI-FA
2.4. Preparation and Characterization of ZIF-8/PEI-FA+miR-34a-5p and GCV@ZIF-8/PEI-FA+miR-34a-5p
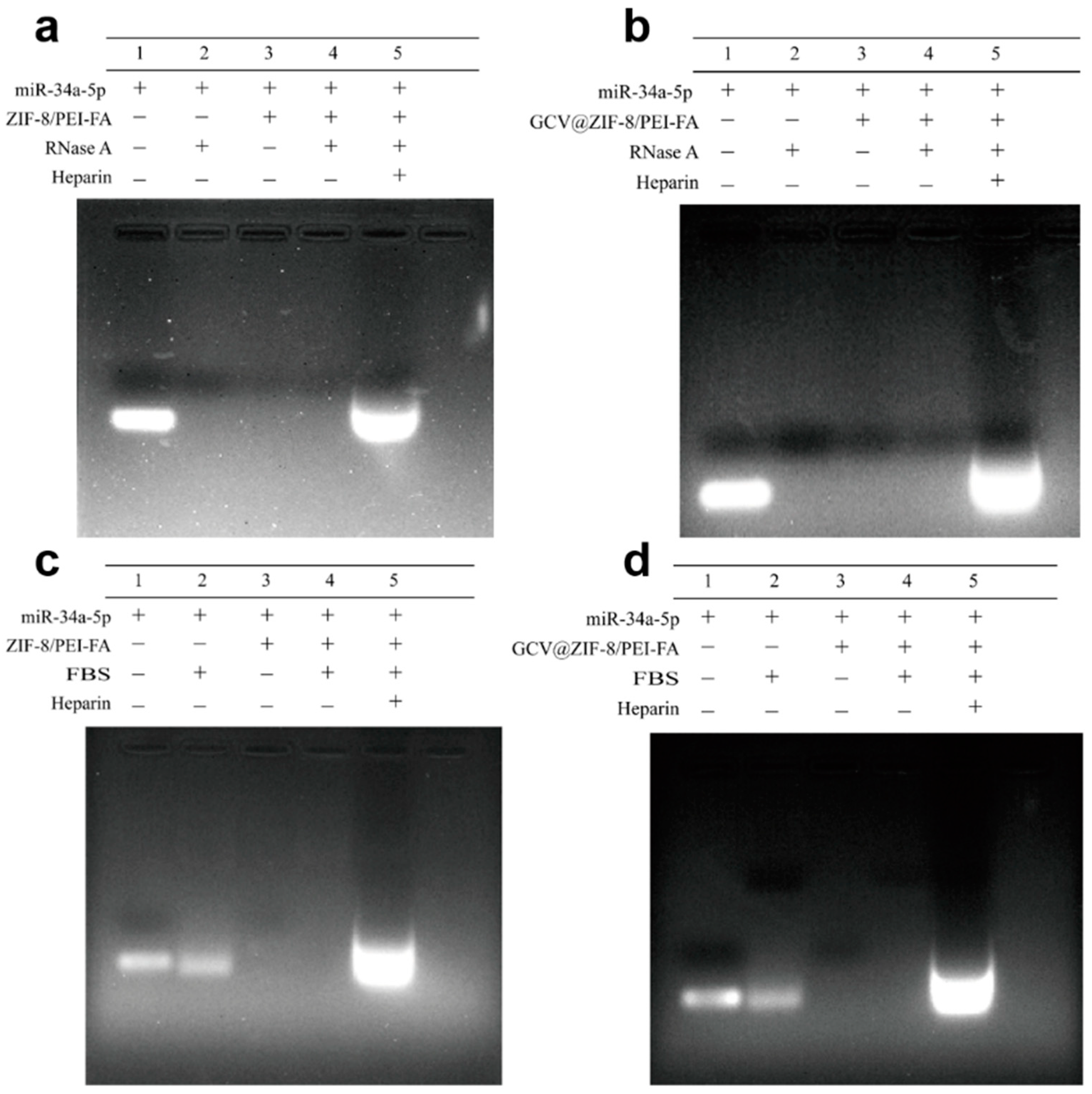
2.5. Protective Effects of ZIF-8/PEI-FA and GCV@ZIF-8/PEI-FA on miR-34a-5p
2.6. In Vitro Biosafety Analysis
2.7. GCV@ZIF-8/PEI-FA Toxicity Analysis of KMM and SK-RG Cells
2.8. miR-34a-5p Delivery
2.9. Cellular Uptake
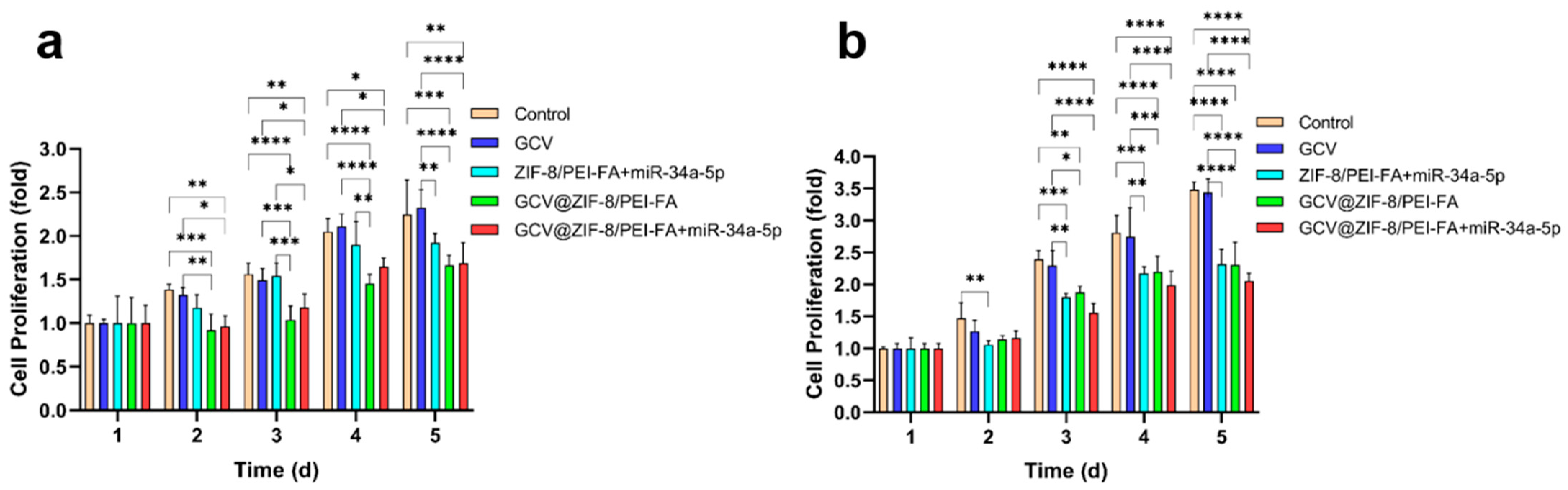
2.10. Cell Proliferation Effect
2.11. Cell Migration and Wound Healing Effect
2.12. KSHV Genes Expression Effect
3. Materials and Methods
3.1. Materials
3.2. Preparation of ZIF-8/PEI-FA and GCV@ZIF-8/PEI-FA
3.2.1. Preparation of PEI-FA
3.2.2. Preparation of ZIF-8/PEI-FA
- (1)
- (Zn(NO3)2·6H2O) (240 mg) was added to methanol (10 mL) and stirred at room temperature to form a clarified solution. Then, 2-MIM (480 mg) was dissolved in methanol (10 mL) and added to the mixture. After stirring for 12 h, the mixture was centrifuged (8000 rpm, 10 min) with anhydrous ethanol 3 times; the ZIF-8 product was obtained after drying at 40 °C for 12 h in a vacuum drying oven.
- (2)
- The ZIF-8 and PEI-FA were added to PBS (at a dosage ratio of 1:2), ultrasound-dissolved, and stirred at room temperature for 24 h. Then, the solution was centrifuged (13,000 rpm, 10 min) 3 times with deionized water, and the obtained ZIF-8/PEI-FA product was freeze-dried.
3.2.3. Preparation of GCV@ZIF-8/PEI-FA
3.3. Preparation of ZIF-8/PEI-FA+miR-34a-5p and GCV@ZIF-8/PEI-FA+miR-34a-5p
3.4. Characterization of Drug-Carrying Nanocomplexes
3.5. Drug Loading Rate and In Vitro Release of GCV
3.5.1. Calculation of Drug Loading Rate
3.5.2. In Vitro GCV Release Experiment
3.6. Gel Retardation Assay
3.7. Protection Experiment of miR-34a-5p
3.8. In Vitro Hemolysis Test
3.9. In Vitro Stability Test
3.10. Cell Culture and Toxicity Test
3.11. Cell Uptake Assay
3.12. Cell Proliferation Assay
3.13. Transwell and Wound Healing Assay
3.14. RNA Extraction and Real-Time PCR
3.15. Statistical Analysis
4. Conclusions
Supplementary Materials
Author Contributions
Funding
Institutional Review Board Statement
Informed Consent Statement
Data Availability Statement
Conflicts of Interest
References
- Purushothaman, P.; Uppal, T.; Sarkar, R.; Verma, S.C. KSHV-Mediated Angiogenesis in Tumor Progression. Viruses 2016, 8, 198. [Google Scholar] [CrossRef] [PubMed]
- Kang, S.; Myoung, J. Primary lymphocyte infection models for KSHV and its putative tumorigenesis mechanisms in B cell lymphomas. J. Microbiol. 2017, 55, 319–329. [Google Scholar] [CrossRef] [PubMed]
- McHugh, D.; Caduff, N.; Barros, M.H.M.; Rämer, P.C.; Raykova, A.; Murer, A.; Landtwing, V.; Quast, I.; Styles, C.T.; Spohn, M.; et al. Persistent KSHV Infection Increases EBV-Associated Tumor Formation In Vivo via Enhanced EBV Lytic Gene Expression. Cell Host Microbe 2017, 22, 61–73.e7. [Google Scholar] [CrossRef] [PubMed]
- Valiya Veettil, M.; Krishna, G.; Roy, A.; Ghosh, A.; Dutta, D.; Kumar, B.; Chakraborty, S.; Anju, T.R.; Sharma-Walia, N.; Chandran, B. Kaposi’s Sarcoma-Associated Herpesvirus Infection Induces the Expression of Neuroendocrine Genes in Endothelial Cells. J. Virol. 2020, 94, e01692-19. [Google Scholar] [CrossRef] [PubMed]
- Chen, J.; Zhang, H.; Chen, X. Pemetrexed inhibits Kaposi’s sarcoma-associated herpesvirus replication through blocking dTMP synthesis. Antivir. Res. 2020, 180, 104825. [Google Scholar] [CrossRef] [PubMed]
- Chen, J.; Dai, L.; Goldstein, A.; Zhang, H.; Tang, W.; Forrest, J.C.; Post, S.R.; Chen, X.; Qin, Z. Identification of new antiviral agents against Kaposi’s sarcoma-associated herpesvirus (KSHV) by high-throughput drug screening reveals the role of histamine-related signaling in promoting viral lytic reactivation. PLoS Pathog. 2019, 15, e1008156. [Google Scholar] [CrossRef] [PubMed]
- Coen, N.; Duraffour, S.; Snoeck, R.; Andrei, G. KSHV targeted therapy: An update on inhibitors of viral lytic replication. Viruses 2014, 6, 4731–4759. [Google Scholar] [CrossRef]
- Wang, V.; Davis, D.A.; Deleage, C.; Brands, C.; Choi, H.S.; Haque, M.; Yarchoan, R. Induction of Kaposi’s Sarcoma-Associated Herpesvirus-Encoded Thymidine Kinase (ORF21) by X-Box Binding Protein 1. J. Virol. 2020, 94, e01555-19. [Google Scholar] [CrossRef]
- Li, Q.Y.; van den Anker, J.; Wu, Y.E.; Hao, G.X.; Zhao, W. Optimizing ganciclovir and valganciclovir dosing regimens in pediatric patients with cytomegalovirus infection: A spotlight on therapeutic drug monitoring. Expert Rev. Clin. Pharmacol. 2023, 16, 727–739. [Google Scholar] [CrossRef]
- Yang, W.; Mak, W.; Gwee, A.; Gu, M.; Wu, Y.; Shi, Y.; He, Q.; Xiang, X.; Han, B.; Zhu, X. Establishment and Evaluation of a Parametric Population Pharmacokinetic Model Repository for Ganciclovir and Valganciclovir. Pharmaceutics 2023, 15, 1801. [Google Scholar] [CrossRef]
- Ärlemalm, A.; Helldén, A.; Karlsson, L.; Carlsson, B. Rapid determination of acyclovir, its main metabolite 9-carboxymethoxymethylguanine, ganciclovir, and penciclovir in human serum using LC-MS/MS. Biomed. Chromatogr. 2022, 36, e5315. [Google Scholar] [CrossRef] [PubMed]
- Wu, S.; Wu, Z.; Xu, H.; Zhang, J.; Gu, W.; Tan, X.; Pan, Z.; Cao, D.; Li, D.; Yang, L.; et al. miR-34a-5p inhibits the malignant progression of KSHV-infected SH-SY5Y cells by targeting c-fos. PeerJ 2022, 10, e13233. [Google Scholar] [CrossRef] [PubMed]
- Tan, X.; Jia, F.; Wang, P.; Zhang, K. Nucleic acid-based drug delivery strategies. J. Control. Release 2020, 323, 240–252. [Google Scholar] [CrossRef] [PubMed]
- Xu, C.F.; Iqbal, S.; Shen, S.; Luo, Y.L.; Yang, X.; Wang, J. Development of “CLAN” Nanomedicine for Nucleic Acid Therapeutics. Small 2019, 15, e1900055. [Google Scholar] [CrossRef]
- Khizar, S.; Alrushaid, N.; Alam Khan, F.; Zine, N.; Jaffrezic-Renault, N.; Errachid, A.; Elaissari, A. Nanocarriers based novel and effective drug delivery system. Int. J. Pharm. 2023, 632, 122570. [Google Scholar] [CrossRef] [PubMed]
- Jianqin, Y.; Xuehua, L.; Yan, L.; Fashun, L.; Hongli, Y.; Yifei, L.; Zhipeng, L.; Yu, T.; Bin, H.; Yong, S. Nanodrug delivery systems and cancer stem cells: From delivery carriers to treatment. Colloids Surf. B Biointerfaces 2022, 217, 112701. [Google Scholar] [CrossRef]
- Qiao, L.; Yang, H.; Gao, S.; Li, L.; Fu, X.; Wei, Q. Research progress on self-assembled nanodrug delivery systems. J. Mater. Chem. B 2022, 10, 1908–1922. [Google Scholar] [CrossRef] [PubMed]
- Fangling, L.; Dongdong, C.; Wenyi, G.; Lin, C.; Zhongpeng, Q.; Zhiyong, L.; Dongmei, L.; Xuhong, G. Delivery of miR-34a-5p by Folic Acid-Modified β-Cyclodextrin-Grafted Polyethylenimine Copolymer Nanocarriers to Resist KSHV. ACS Appl. Nano Mater. 2023, 6, 10826–10836. [Google Scholar] [CrossRef]
- Qiu, C.; Wu, Y.; Shi, Q.; Guo, Q.; Zhang, J.; Meng, Y.; Wang, C.; Xia, F.; Wang, J.; Xu, C. Advanced strategies for nucleic acids and small-molecular drugs in combined anticancer therapy. Int. J. Biol. Sci. 2023, 19, 789–810. [Google Scholar] [CrossRef]
- Cacciola, N.A.; Cuciniello, R.; Petillo, G.D.; Piccioni, M.; Filosa, S.; Crispi, S. An Overview of the Enhanced Effects of Curcumin and Chemotherapeutic Agents in Combined Cancer Treatments. Int. J. Mol. Sci. 2023, 24, 12587. [Google Scholar] [CrossRef]
- Liu, Q.; Zhang, T.X.; Zheng, Y.; Wang, C.; Kang, Z.; Zhao, Y.; Chai, J.; Li, H.B.; Guo, D.S.; Liu, Y.; et al. Calixarene-Embedded Nanoparticles for Interference-Free Gene-Drug Combination Cancer Therapy. Small 2021, 17, e2006223. [Google Scholar] [CrossRef] [PubMed]
- Xu, J.; Chen, T.; Sun, T.; Yu, C.; Yan, D.; Zhu, L. Erythrocyte membrane camouflaged siRNA/chemodrug nanoassemblies for cancer combination therapy. Biomater. Sci. 2022, 10, 6601–6613. [Google Scholar] [CrossRef] [PubMed]
- Ziqi, Z.; Qiaomei, K.; Manni, W.; Ling, Z.; Ke, J. Pore Space Partition Approach of ZIF-8 for pH Responsive Codelivery of Ursolic Acid and 5-Fluorouracil. ACS Mater. Lett. 2023, 5, 466–472. [Google Scholar] [CrossRef]
- Song, Y.; Han, S.; Liu, S.; Sun, R.; Zhao, L.; Yan, C. Biodegradable Imprinted Polymer Based on ZIF-8/DOX-HA for Synergistically Targeting Prostate Cancer Cells and Controlled Drug Release with Multiple Responses. ACS Appl. Mater. Interfaces 2023, 15, 25339–25353. [Google Scholar] [CrossRef] [PubMed]
- Arora, S.; Kumar, V.; Kapil, L.; Agrawal, A.K.; Singh, A.; Singh, C. Piperine loaded metal organic frameworks reverse doxorubicin induced chemobrain in adult zebrafish. J. Control. Release 2023, 355, 259–272. [Google Scholar] [CrossRef] [PubMed]
- Xu, Y.; Li, Z.; Xiu, D.; Sun, G.; Snow, C.D.; Wang, Y.; Wang, Y.; Belfiore, L.A.; Tang, J. Histidine polypeptide-hybridized nanoscale metal–organic framework to sense drug loading/release. Mater. Des. 2021, 205, 109741. [Google Scholar] [CrossRef]
- Li, Y.; Zhang, K.; Liu, P.; Chen, M.; Zhong, Y.; Ye, Q.; Wei, M.Q.; Zhao, H.; Tang, Z. Encapsulation of Plasmid DNA by Nanoscale Metal-Organic Frameworks for Efficient Gene Transportation and Expression. Adv. Mater. 2019, 31, 1901570. [Google Scholar] [CrossRef]
- Cui, C.; Qian, H.; Wang, J.; Kang, J.; Ma, W.; Nian, Y.; Sun, Z.; Weng, H. Targeted miR-34a delivery with PD1 displayed bacterial outer membrane vesicles-coated zeolitic imidazolate framework nanoparticles for enhanced tumor therapy. Int. J. Biol. Macromol. 2023, 247, 125692. [Google Scholar] [CrossRef] [PubMed]
- Zhao, H.; Li, T.; Yao, C.; Gu, Z.; Liu, C.; Li, J.; Yang, D. Dual Roles of Metal-Organic Frameworks as Nanocarriers for miRNA Delivery and Adjuvants for Chemodynamic Therapy. ACS Appl. Mater. Interfaces 2021, 13, 6034–6042. [Google Scholar] [CrossRef] [PubMed]
- Yanfen, Z.; Langyu, Y.; Hao, W.; Jionghua, H.; Yinshan, L.; Sheng, C.; Xiaoling, G.; Mengmeng, Y.; Songpei, L.; Lingmin, Z. Bioinspired metal-organic frameworks mediated efficient delivery of siRNA for cancer therapy. Chem. Eng. J. 2021, 426, 131926. [Google Scholar] [CrossRef]
- Rui, M.; Yanwen, S.; Ruomu, C.; Kunzheng, W.; Pei, Y. Enhanced Osteogenic Activity and Bone Repair Ability of PLGA/MBG Scaffolds Doped with ZIF-8 Nanoparticles Loaded with BMP-2. Int. J. Nanomed. 2023, 18, 5055–5072. [Google Scholar] [CrossRef]
- Xia, X.; Song, X.; Li, Y.; Hou, W.; Lv, H.; Li, F.; Li, Y.; Liu, J.; Li, X. Antibacterial and anti-inflammatory ZIF-8@Rutin nanocomposite as an efficient agent for accelerating infected wound healing. Front. Bioeng. Biotechnol. 2022, 10, 1026743. [Google Scholar] [CrossRef] [PubMed]
- Guo, H.; Liu, L.; Hu, Q.; Dou, H. Monodisperse ZIF-8@dextran nanoparticles co-loaded with hydrophilic and hydrophobic functional cargos for combined near-infrared fluorescence imaging and photothermal therapy. Acta Biomater. 2021, 137, 290–304. [Google Scholar] [CrossRef] [PubMed]
- Geng, L.; Lu, T.; Jing, H.; Zhou, Y.; Liang, X.; Li, J.; Li, N. Iron-based and BRD4-downregulated strategy for amplified ferroptosis based on pH-sensitive/NIR-II-boosted nano-matchbox. Acta Pharm. Sin. B 2022, 13, 863–878. [Google Scholar] [CrossRef] [PubMed]
- Liu, B.; Hu, F.; Zhang, J.; Wang, C.; Li, L. A Biomimetic Coordination Nanoplatform for Controlled Encapsulation and Delivery of Drug-Gene Combinations. Angew. Chem. Int. Ed. Engl. 2019, 58, 8804–8808. [Google Scholar] [CrossRef] [PubMed]
- Ita, K. Polyplexes for gene and nucleic acid delivery: Progress and bottlenecks. Eur. J. Pharm. Sci. 2020, 150, 105358. [Google Scholar] [CrossRef] [PubMed]
- Wang, D.; Wang, L.; Zheng, L.; Chen, J.; Zhang, W.; Zhou, W.; Yang, X.; Jiang, L.; Jin, X.; Yu, X.; et al. Enhancing the Management of Metastatic Tumors by Robust Co-Delivery of 5-Fluorouracil/MicroRNA-10b Inhibitor Using EGFR-Targeted Nanovehicles. Adv. Healthc. Mater. 2023, 12, e2202989. [Google Scholar] [CrossRef]
- Kong, X.; Li, D.; Mansouri, A.; Kang, G.; Sayood, K.; West, J.; Wood, C. Bone Marrow-Derived SH-SY5Y Neuroblastoma Cells Infected with Kaposi’s Sarcoma-Associated Herpesvirus Display Unique Infection Phenotypes and Growth Properties. J. Virol. 2021, 95, e0000321. [Google Scholar] [CrossRef]













Disclaimer/Publisher’s Note: The statements, opinions and data contained in all publications are solely those of the individual author(s) and contributor(s) and not of MDPI and/or the editor(s). MDPI and/or the editor(s) disclaim responsibility for any injury to people or property resulting from any ideas, methods, instructions or products referred to in the content. |
© 2024 by the authors. Licensee MDPI, Basel, Switzerland. This article is an open access article distributed under the terms and conditions of the Creative Commons Attribution (CC BY) license (https://creativecommons.org/licenses/by/4.0/).
Share and Cite
Li, F.; Cao, D.; Gu, W.; Li, D.; Liu, Z.; Cui, L. Folate-Targeted Nanocarriers Co-Deliver Ganciclovir and miR-34a-5p for Combined Anti-KSHV Therapy. Int. J. Mol. Sci. 2024, 25, 2932. https://doi.org/10.3390/ijms25052932
Li F, Cao D, Gu W, Li D, Liu Z, Cui L. Folate-Targeted Nanocarriers Co-Deliver Ganciclovir and miR-34a-5p for Combined Anti-KSHV Therapy. International Journal of Molecular Sciences. 2024; 25(5):2932. https://doi.org/10.3390/ijms25052932
Chicago/Turabian StyleLi, Fangling, Dongdong Cao, Wenyi Gu, Dongmei Li, Zhiyong Liu, and Lin Cui. 2024. "Folate-Targeted Nanocarriers Co-Deliver Ganciclovir and miR-34a-5p for Combined Anti-KSHV Therapy" International Journal of Molecular Sciences 25, no. 5: 2932. https://doi.org/10.3390/ijms25052932
APA StyleLi, F., Cao, D., Gu, W., Li, D., Liu, Z., & Cui, L. (2024). Folate-Targeted Nanocarriers Co-Deliver Ganciclovir and miR-34a-5p for Combined Anti-KSHV Therapy. International Journal of Molecular Sciences, 25(5), 2932. https://doi.org/10.3390/ijms25052932

