Abstract
Milk is an important component of human nutrition, and its composition and milk yield fundamentally affect the economy of dairy farms. Genetic variability is a fundamental premise for livestock breeding and is commonly used in the identification of individual animals and in selection to improve performance. The aims of this study were to propose a rapid detection method for genes affecting the nutritional value and technological properties of bovine milk (FADS1, FADS2, FASN, SCD, DGAT1, CSN2 and CSN3) and to analyze Slovak Holstein cattle to widen knowledge on their genetic structure for these candidate genes. Genotyping was performed by the polymerase chain reaction-restriction fragment length polymorphism (PCR-RFLP) and artificially created restriction site-polymerase chain reaction (ACRS-PCR) methods. Heterozygosity is an important factor for estimating genetic variation in domestic animals and represents the genetic potential and ability to adapt to the natural environment. In this study, Holstein cattle showed high heterozygosity values for markers FADS1-07 and CSN2-H67P. In contrast, they showed high homozygosity values for markers FADS1-01, FADS2-23, FASN-16024, SCD-T878C, DGAT1-K232A and CSN3-D148A. These results suggest that genetic diversity has been reduced, which may be due to breeding effects.
1. Introduction
Milk is an eminent component of human nutrition and its composition and milk yield significantly affect the economics of dairy farms [1,2]. Over the past 100 years, the range of traits for genetic selection in populations of dairy cattle has expanded to meet the demands of industry and society [3]. Essentially, breeding programs are designed to identify better genotypes for various traits of economic interest based on information about the performance of animals and their relatives, as well as on molecular information, so that their genes can be spread in the population [4]. Current advances, together with the widespread use of molecular genetics, make it possible to identify genes responsible for economically useful traits and use them as selection markers in livestock breeding (marker-assisted selection—MAS) [5,6]. Kyselová et al. [7] suppose that the further study of composite milk protein genotypes in cattle may be important in the future for milk production with defined characteristics.
Many candidate genes have now been identified that are involved in mammary gland development and lactation processes in dairy cows and affect milk production and composition, such as fatty acid desaturase 1 (FADS1), fatty acid desaturase 2 (FADS2), fatty acid synthase (FASN), stearoyl-CoA desaturase (SCD), diacylglycerol acyltransferase 1 (DGAT1), beta-casein (CSN2) and kappa-casein (CSN3) [2,8,9,10,11,12].
Fatty acid desaturase 1 and FADS2 encode the enzymes Δ-5 and Δ-6 desaturase, respectively, which are thought to be rate-limiting enzymes in long-chain polyunsaturated fatty acid (LC-PUFAs) synthesis. Both FADS1 and FADS2 add double bonds at the Δ-5 and Δ-6 position of LC-PUFAs [11,12]. Fatty acid synthase encodes a multifunctional enzyme complex that catalyses the de novo biosynthesis of long-chain fatty acids (FAs) and has been proposed as a promising candidate gene for beef and milk fat composition [10,13,14,15]. The SCD gene is expressed in various tissues [16], where it encodes stearoyl-CoA desaturase that can introduce a double bond at the Δ9,10 position in a wide range of FAs, and is the rate-limiting enzyme in the catalysis of monounsaturated FAa (MUFAs) from saturated FAs (SFAs) [9,17,18]. The DGAT1 is considered a candidate and functional gene for milk production and fat composition and encodes the enzyme acyl-coenzyme A:diacylglycerol acyltransferase involved in livestock lipid metabolism [8,19,20]. The CSN2 and CSN3 loci affect the nutrition and technological properties of milk and selected milk quality parameters [21,22,23] such as milk composition, milk yield, or milk technological traits affecting cheese production [2,24,25,26].
However, several authors have reported that unilateral selection for high performance has led to reduced animal resistance to disease, impaired reproductive performance and shortened the productive life of dairy cattle [27,28,29]. Selection can negatively affect genetic diversity within and between breeds [30], and breeding programs should carefully monitor genetic variability [31]. The genetic diversity of livestock is necessary to meet current production needs in different environments, to enable continuous genetic improvement and to facilitate rapid adaptation to changing breeding goals. The productivity in pastoral species is closely related to the use of different genetic types, but intensively farmed species have developed more genetic uniformity. The Holstein breed dominates the production of dairy cattle [32]. Allelic diversity is an alternative criterion to measure genetic diversity, and some authors consider this parameter the most relevant in conservation programs, as a high number of alleles implies a source of single-locus variation for important traits [33,34]. Ruan et al. [35] have suggested that heterozygosity may effectively reflect different patterns of population structure. Heterozygosity has been widely used because it is proportional to the amount of genetic variance at a locus and lends itself readily to the theoretical consideration of the effect of a limited population size on genetic variation [36]. Estimated inbreeding based on heterozygosity ratio is a key parameter for understanding the amount of mating between related individuals that has occurred in a population [37]. The inbreeding coefficient (FIS) is a measure of inbreeding and is defined as the probability that two alleles in an individual are identical by descent [38]. The aims of this study were to propose a rapid detection method for genes affecting the nutritional value and technological properties of bovine milk (FADS1, FADS2, FASN, SCD, DGAT1, CSN2 and CSN3) and to analyze Slovak Holstein cattle in order to increase the knowledge of their genetic structure for these candidate genes.
2. Materials and Methods
2.1. Animals
A total of 210 Holstein cows were used for the present study. The population of the black and white variant of Holstein cows was collected from two farms in western Slovakia. Genomic DNA was extracted from hair root samples using commercial NucleoSpin Tissue column kit (Macherey-Nagel, Düren, Germany). The isolation procedure was in accordance with the manufacturer’s protocol for DNA extraction from hair roots.
2.2. SNP Genotyping
The genotypes in the eight markers affecting the nutritional value and technological properties of bovine milk were determined in the study: FADS1-01, FADS1-07, FADS2-23, FASN-16024, SCD-T878C, DGAT1-K232A, CSN2-H67P and CSN3-D148A (Table 1).
Table 1.
Analyzed markers and SNP polymorphism of DGAT1, SCD, FADS1, FADS2, FASN, CSN2 and CSN3 genes.
Genotyping was performed by the polymerase chain reaction-restriction fragment length polymorphism (PCR-RFLP) and artificially created restriction site-polymerase chain reaction (ACRS-PCR) methods. Amplification of specific regions of selected genes was performed using MyTaq HS DNA polymerase (Bioline, London, UK) and the identification of the presence of alleles of selected SNP polymorphisms was performed using specific restriction enzymes FastDigest (Thermo Scientific BioScience, Waltham, MA, USA). The reaction mixture in the total volume of 20 μL contained 2 µL template DNA, 1 U MyTaq HS DNA polymerase (Bioline), 1X MyTaq Reaction buffer, 2 mM (1.5 mM for DGAT1-K232A) MgCl2 (Bioline), 0.2 mM dNTP Mix (Bioline) and 0.4 pM of each primer. The PCR cycling condition with gradient thermocycler C1000 TouchTM (Biorad, Hercules, CA, USA) included 95 °C for 3 min followed by 35 cycles of 95 °C for 5 s, 60 °C (66 °C for DGAT1-K232A) for 20 s and 72 °C for 30 s. The reaction was completed by the final elongation step of 72 °C for 10 min. The fragments of restriction digestion were separated by agarose electrophoresis and capillary electrophoresis (markers FADS1-01, FADS1-07, FADS2-23, FASN-16024, SCD-T878C, CSN2-H67P). Agarose electrophoresis was performed on 3% agarose gel (Serva, Odessa, TX, USA) with GelRedTM intercalacting dye (Biotium, Fremont, CA, USA) in 1 × SB buffer [44] at 180 V for 30 min. The visualization and recording of results—restriction fragments describing the presence of specific alleles—was done with the UV light and Olympus C-7070 documentary system. Individuals with a mutant genotype for each marker were confirmed a second time via a genotyping procedure. Capillary electrophoresis was performed on a GenomeLab GeXP genetic analyzer (Beckman Coulter, Brea, CA, USA). The identification of restriction cleavage fragments was only possible with SNP markers in which PCR amplification involved the use of fluorescently labeled primers. Three fluorescent labels were used for the GenomeLab GeXP genetic analyzer (Beckman Coulter): WellRed D2, WellRed D3 and WellRed D4. A mixed sample of fluorescently labeled cleavage fragments of 6 monitored SNP markers was used for multiplex fragmentation analysis. The results of the fragment analysis were evaluated using GenomeLab GeXP software version 10.2 (Beckman Coulter). A summary of molecular genetic methods used to detect selected SNP markers FADS1-01, FADS1-07, FADS2-23, FASN-16024, SCD-T878C, DGAT1-K232A, CSN2-H67P and CSN3-D148A, including amplification conditions, restriction digestion and separation of specific cleavage fragments describing the presence of alleles of the monitored SNP markers is presented in detail in Table 2.
Table 2.
An overview of the molecular genetic methods used for selected markers.
2.3. Genetic Structure
Based on the molecular genetic analyses, the genotypic structure of the population studied was established for polymorphism in FADS1, FADS2, FASN, SCD, DGAT1, CSN2 and CSN3 genes and allelic frequencies were calculated. A statistical significance of the differences between observed and expected genotype frequencies was verified using the Chi-square statistic. Efficiency of allele occurrence was assessed using the following parameters: expected heterozygosity (Heexp), observed heterozygosity (Heobs), polymorphism information content (PIC), expected homozygosity (E), effective number of alleles (ENA), level of possible variability realization (V%) and FIS—population inbreeding level.
Experimental heterozygosity (Heobs) [46]
Polymorphism information content (PIC) [47]
Coefficient of homozygosity (Ca) [48]
Effective number of alleles (ENA) [48]
Level of possible variability realization (V%) [48]
Population inbreeding level (FIS) [37]
3. Results and Discussion
3.1. SNP Identification and Genotyping
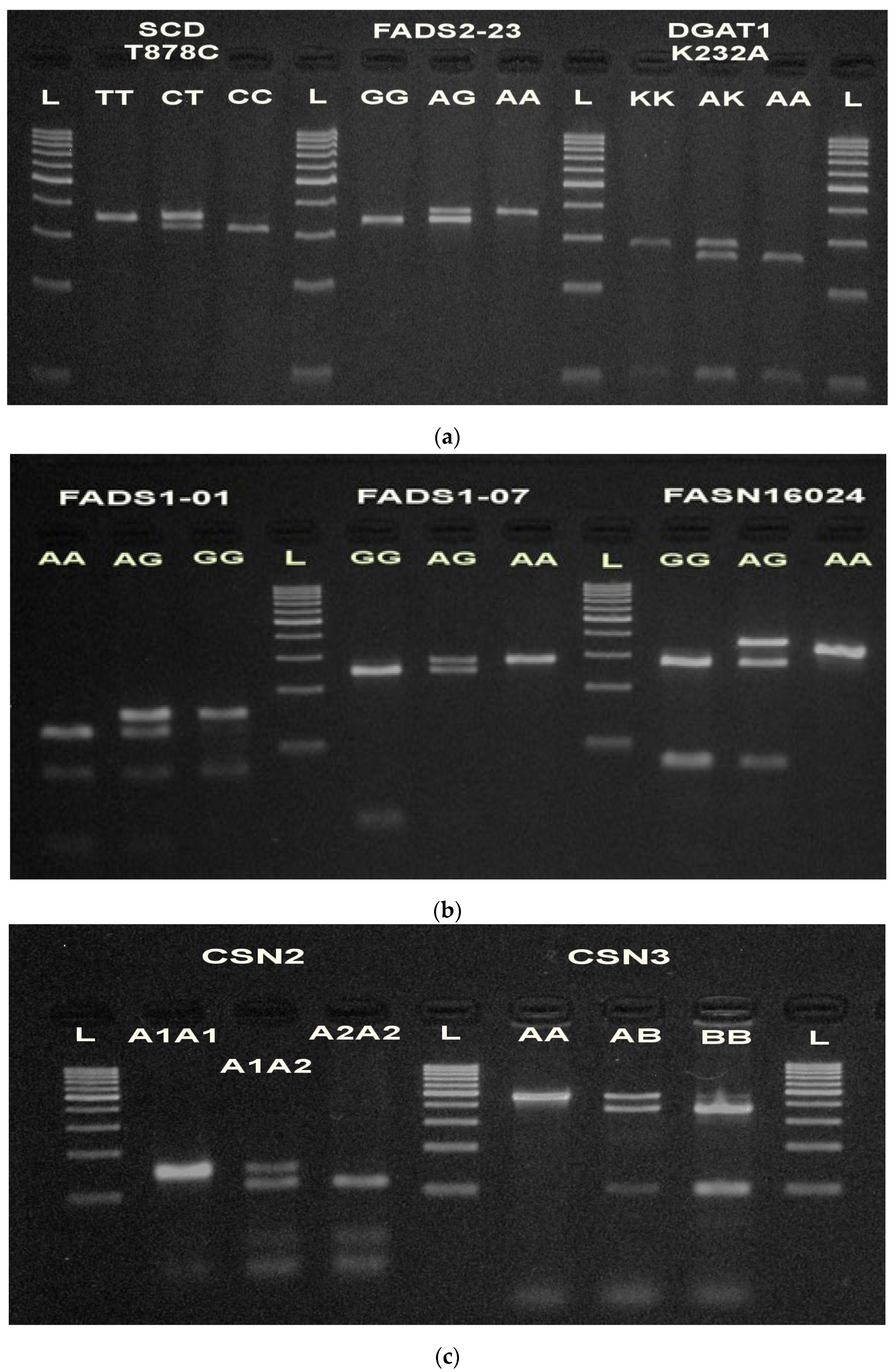
The FADS1-01, FADS1-07, FADS2-23, FASN-16024, SCD-T878C, DGAT1-K232A, CSN2-H67P and CSN3-D148A polymorphisms of Holstein cows detected in PCR-RFLP and ACSR-PCR were determined using 3% agarose gel (Invitrogen, Waltham, MA, USA) containing GelRedTM dye (Biotium) in 1 × SB buffer [44] at 180 V for 30 min and fragments are shown in Figure 1. The ACRS-PCR method was used in the absence of a recognition restriction site or in the case of a reduction in cost (significant differences in the prices of restriction endonucleases).
Figure 1.
Illustration of FADS1-01, FADS1-07, FADS2-23, FASN-16024, DGAT1-K232A, SCD-T878C, CSN2-H67P, CSN3-D148A genotypes on agarose gels. (a) Marker SCD-T878C: genotype TT (350 bp), genotype CT (350 bp, 323 bp, 27 bp), genotype CC (323 bp, 27 bp). Marker FADS2-23: genotype GG (347 bp, 25 bp), genotype AG (378 bp, 347 bp, 25 bp), genotype AA (378 bp). Marker DGAT1-K232A: genotype KK (282 bp, 96 bp), genotype AK (282 bp, 254 bp, 96 bp, 28 bp), genotype AA (254 bp, 96 bp, 28 bp). L—100 bp ladder (Thermo Scientific BioScience); (b) Marker FADS1-01: genotype AA (116 bp, 27 bp), genotype AG (143 bp, 116 bp, 27 bp), genotype GG (143 bp). Marker FADS1-07: genotype GG (231 bp, 30 bp), genotype AG (261 bp, 231 bp, 30 bp), genotype AA (261 bp). Marker FASN-16024: genotype GG (261 bp, 91 bp), genotype AG (353 bp, 261 bp, 91 bp), genotype AA (353 bp). L—100 bp ladder (Thermo Scientific BioScience); (c) Marker CSN2-H67P: genotype A1A1 (138 bp), genotype A1A2 (138 bp, 103 bp, 35 bp), genotype A2A2 (103 bp, 35 bp). Marker CSN3-D148A: genotype AA (443 bp), genotype AB (443 bp, 348 bp, 95 bp), genotype BB (348 bp, 95 bp). L—100 bp ladder (Thermo Scientific BioScience). The lowest fragment with an approximate length of less than 25 bp occurring in CSN2-H67P, CSN3 and DGAT1-K232A genotyping is associated with the presence of primer dimers.
The faster identification of genotypes of markers FADS1-01, FADS1-07, FADS2-23, FASN-16024, SCD-T878C, CSN2-H67P was optimized fragmentation analysis, which is based on the separation of fluorescently labeled fragments in capillary electrophoresis (Figure 2). In our case, we used the GenomeLab GeXP genetic analyzer (Beckman Coulter) and the WellRed D2, WellRed D3 and WellRed D4 fluorescent labels, which were anchored at the 5 ‘end of one of the primers. The reliability of the results obtained using fragmentation analysis in the GenomeLab GeXP genetic analyzer (Beckman Coulter) was evaluated by horizontal electrophoresis on agarose. The principle of experimental design and the subsequent identification of restriction fragments using capillary electrophoresis corresponded to the principle of T-RFLP (Terminal-Restriction Fragment Length Polymorphism) analysis routinely used to identify the presence of individual microorganisms in microbial communities [49,50]. The simultaneous identification of specific restriction fragments in capillary electrophoresis made it possible to shorten the genotyping time for six selected markers, the restriction fragments of which were labeled with WellRed fluorescence chemistry. The design of the experiment consisted in comparing the expected restriction fragments obtained by the initial analysis in the NEBcutter v 2.0 program [51] and the subsequent selection of fluorescent labels D2, D3 and D4. The identification of individual alleles was performed with GenomeLab System ver. 10.2.3.

Figure 2.
Representative results of fragmentation analysis of cleavage fragments of markers SCD-T878C, FADS1-01, FADS1-07, FADS2-23, FASN-16024 and CSN2-H67P in the GenomeLab GeXP genetic analyzer. Electrophoretograms (a–c) show the identification of genotypes of individual markers using fluorescent peaks characterizing the presence of alleles of the analyzed markers. The black peaks correspond to the Beckman WellRED dye D2; the green peaks correspond to the Beckman WellRED dye D3; the blue peaks correspond to the Beckman WellRED dye D4; the red peaks correspond to the Beckman WellRED dye D1 present on the Beckman size standard ladder 600 bp.
3.2. Genetic Structure
The result of the SNP genotyping is shown in Table 3. Population structure is useful information for breeders in designing effective strategies to improve the conservation of livestock genetic resources. In the FADS1-01 marker, the genotype GG and allele G, which are associated with the highest increase in the content of omega-6 fatty acid dihomo-gamma linolenic in milk [11], had a higher frequency than the genotypes AG, AA and the A allele, which reduced the content of dihomo-gamma linolenic acid by 0.009 g.100 g−1 of total fat [11]. Harris [52] reports that dihomo-gamma linolenic acid (DGLA) produces an extra-strong eicosanoid 15-OH-DGLA in the skin, which has exceptional anti-inflammatory properties. Our findings correspond to those of Ibeagha-Awemu et al. [11], which found the highest proportion of the GG genotype and G allele in the population of Canadian Holstein cows. Similarly, Beak et al. [53] observed a higher proportion of the G allele in the Hanwoo beef population, but the most represented genotype was AG.
Table 3.
Genotype and allele frequencies of Holstein cattle for markers FADS1-01, FADS1-07, FADS2-23, FASN-16024, SCD-T878C, DGAT1-K232A, CSN2-H67P and CSN3-D148A.
For the FADS-07 marker, there was observed the largest proportion of the AG genotype and the A allele. As with us, Ibeagha-Awemu et al. [11] report the highest proportion of heterozygous genotype AG and allele A in the population of Canadian Holstein cows and the lowest proportion of genotype GG. Beak et al. [53] also observed a higher proportion of the A allele in the Hanwoo beef population, but the most represented genotype was AA. Ibeagha-Awemu et al. [11] also claim that the AA genotype of the FADS1-07 marker is associated with the highest increase in eicosapentaenoic acid, with allele A inducing an increase in this acid in milk of 0.0042 g.100 g−1 of total fat. Grofová [54] states that eicosapentaenoic acid influences processes related to the action of prothrombotic and pro-inflammatory mediators. Ibeagha-Awemu et al. [11] also found that genotype AA was associated with the highest increase in tricosanoic acid content in milk, while allele A increases the content of this acid in milk by 0.0021 g.100 g−1 of total fat.
In the case of the FADS2-23 marker, the homozygous form of GG had the highest proportion in the bovine population we monitored, which means that the G allele was more numerous than the A allele. Beak et al. [53] observed only the AG genotype in the Hanwoo beef population. Our results are inconsistent with the findings of Ibeagha-Awemu et al. [11], who observed a predominance of homozygous AA genotypes in the Canadian Holstein cattle population, with a lower frequency of heterozygous AG genotypes, and the least homozygous AA genotype. The authors further point out that the marker FADS2-23 is demonstrably associated with the content of omega-6 fatty acids dihomo-gamma linolenic and arachidonic, while the GG genotype, which had a predominance in our population, shows higher values of these acids, while allele A demonstrably reduces the content of dihomo-gamma linolenic acid by 0.008 g.100 g−1 of total fat in milk and arachidonic acid by 0.0071 g.100 g−1 of total fat in milk.
In the tested bovine population, all three genotypes were detected for the FASN-16024 marker, with the GG genotype being present with the highest frequency. The frequency of the G allele, which according to Roy et al. [55] increases the percentage of milk fat, was high and accounted for 83.62%. The observations of Barton et al. [56] in the Simental and Roy et al. study [55] into two Holstein populations, are the same as ours. Schennink et al. [10] also detected the predominance of the G allele in the Holstein–Friesian breed, which was represented in the population by up to 89%. Our results contradict the findings of Kawaguchi et al. [57], who observed the highest proportion of the AA genotype in the Japanese Black Cattle population, with a significant predominance of the A allele with an incidence of up to 90%. Čítek et al. [26] observed only two genotypes AG and GG in the Czech Simmental population, with the predominance of the GG genotype. Abe et al. [39] report that the A allele, which was infrequent in our population, increases the content of stearic acid (C18:0) and oleic acid (C18:1) and affects the ratio of monounsaturated fatty acids to saturated fatty acids. At the same time, allele A reduces the content of myristic acid (C14:0), myristic oil (C14:1), palmitic acid (C16:0) and palmitoleic acid (C16:1).
In the case of the SCD-T878C marker, the CC genotype was the most numerous. The C allele occurred at a high frequency in the study population. The frequencies found are in agreement with the frequencies found in the population of Canadian Holstein cattle [58], Japanese black cattle [59], Chinese Holstein cattle [60] and Polish Holstein cattle [61]. The opposite conclusions were reached by Conte et al. [62], who observed the predominance of the TT genotype in the Italian brown cattle population, with the CT genotype occurring with a lower frequency, and the CC genotype being the least represented. Čítek et al. [26] in the Czech Simmental population and Safina et al. [63] in the population of Holstein cattle observed the highest proportion of the CT genotype, with a lower frequency of the CC genotype and the lowest proportion of the TT genotype. Several studies describe a significant association between TT genotypes and fatty acid composition in milk [40,58,64,65]. Čítek et al. [2] reported that the TT genotype was significantly associated with the lowest milk, protein and fat production and the highest protein content. The C allele has a positive effect on the conversion of exclusively de novo synthesized medium-chain saturated fatty acids to their unsaturated form in the mammary glands of ruminants. The beneficial effect of the C allele on medium-chain unsaturated fatty acids and on the desaturation index is of particular interest because medium-chain saturated fatty acids are most involved in raising cholesterol levels in milk consumers [66]. Mao et al. [60] stated that cows with the CC genotype, which was the most represented in our population, had a higher daily production of milk and fat in milk.
In the population of Holstein cattle in the case of the marker DGAT1-K232A, the most common genotype was AA and the least represented was genotype KK. The results show that the frequency of allele A was very high. Consistent with our findings, the AA genotype was recorded as the most frequent in other studies and the KK genotype was the least frequent [60,62,67]. Barton et al. [56] and Čítek et al. [26] report that, in the Simental cattle population, genotype AA and allele A had a higher frequency than the genotype KA and the K allele; the homozygous genotype KK was not found at all. Conte et al. [62] also argue that the DGAT1 gene could be a candidate gene for different fatty acid content in milk. According to the authors, the AK genotype increases the percentage of unsaturated fatty acids C14:1, C16:1, C18:1, C18:2 and at the same time decreases the content of saturated fatty acids C10:0, C16:0, C18:0, C20:0 and C24:0 versus genotype AA. Contrary to these claims are the observations of other authors who found that the K allele is associated with a higher content of saturated palmitic fatty acid (C16:0) and a lower content of saturated myristic fatty acid (C14:0), C18 unsaturated fatty acids and conjugate linoleum acid [68,69].
All three genotypes were found for the CSN2-H67P marker, the heterozygous A1A2 genotype occurring with the highest frequency. Allele A2 was more numerous than allele A1. In contrast, Oleński et al. [70] in the Holstein cattle population, Ganguly et al. [71] in a population of Holstein crossbreeds and Čítek et al. [26] in the Simental population of cattle detected the predominance of the A2A2 genotype; the A1A2 genotype occurred with a lower frequency and the A1A1 genotype was the smallest. As with us, the predominance of the A2 allele was detected by Manga et al. [72] in the population of Czech spotted and Czech Holstein cattle, and by Beja-Pereira et al. [73] in the population of Pinzgau cattle and Caroli et al. [74] in the Carora breed. In contrast, Hanusová et al. [75] found a higher frequency of the A1 allele in the Holstein cattle population. The presence or absence of the A1 allele is associated with the ratio of saturated and unsaturated fatty acids in milk, and it is known that the high dietary intake of saturated fatty acids is a major risk factor for heart disease. Many studies suggest that the combination of fat and milk protein containing the A1 beta-casein variant is a health risk factor and is associated with diseases such as type I diabetes mellitus [76,77], ischemic heart disease [78] and Sudden Infant Death Syndrome (SIDS) [79].
The CSN3-D148A marker was predominantly represented by the AA genotype. The frequency of allele A was very high and represented 83.33% in the population. Sitkowska et al. [80] and Botaro et al. [81] also found a significant predominance of the AA genotype in the Holstein cattle population and Čítek et al. [26] in the Simental cattle population. Doosti et al. [82] and Gouda et al. [83] found in the Holstein cow population only two genotypes AA and AB with a predominance of genotype AB. The most common variants A and B are associated with milk processing properties [84,85]. Azevedo et al. [86] report that allele B is associated with thermal resistance, shorter coagulation time (10–30%), higher yields of fresh and ripening cheeses (5–8%), better coagulation (20–100%) and micelles of different sizes, which are necessary in the manufacture of cheese. The authors also claim that the yield of curd from milk from cows with the BB genotype is 10% higher compared to milk from cows with the genotype AA.
Based on the χ2-test, it was found that the differences between the expected and observed frequencies of bovine genotypes were statistically non-significant for all analyzed markers.
The effectiveness of alleles in the test population for markers FADS1-01, FADS1-07, FADS2-23, FASN-16024, SCD-T878C, DGAT1-K232A, CSN2-H67P and CSN3-D148A is shown in Table 4 and Table 5.
Table 4.
Effectiveness of alleles for markers FADS1-01, FADS1-07, FADS2-23, FASN-16024, SCD-T878C, DGAT1-K232A, CSN2-H67P and CSN3-D148A in population of Holstein cattle.
Table 5.
The average values of genetic parameters in the population of Holstein cattle.
Livestock breeding is about achieving the best possible production traits, which is the result not only of selection, but also of many molecular genetic methods using candidate genes and quantitative trait loci (QTL). Genetic variability (polymorphism) is a basic prerequisite for livestock breeding and is commonly used in the identification of individual animals and in selection for improved productivity. The estimation of genetic variability within populations is important because it is related to the evolutionary potential of populations, which is usually higher in populations with greater genetic variation [87,88,89]. Determining the genetic parameters of populations, of which the level of heterozygosity is one of the most important, allows us to estimate the influence of the breeding system on the level of inbreeding [90,91]. Heterozygosity is an important factor for estimating the genetic variation in domestic animals [92] and represents genetic potential and adaptability to the natural environment [93]. In our study, Holstein cattle showed high heterozygosity values for markers FADS1-07 (Heobs = 0.533) and CSN2-H67P (Heobs = 0.4619). For the FADS1-07 marker, even the observed heterozygosity (Heobs = 0.533) was higher than expected (Heexp = 0.4853). In contrast, low heterozygosity values were observed for markers FADS1-01, FADS2-23, FASN-16024, SCD-T878C, DGAT1-K232A and CSN3-D148A. Very low heterozygosity values were observed for the markers CSN3-D148A (Heobs = 0.2762) and DGAT1-K232A (Heobs = 0.2810), which may be related to breeding, as these markers are most associated with dairy production. Since high productivity is currently being achieved in commercial breeding herds because of targeted breeding, it would be good to focus on monitoring fitness and health in these herds. Because it is known that the reduction in genetic diversity is a result of breeding for best production, economic gains can significantly affect both the fitness and longevity of animals. This may ultimately have an adverse effect on production in the long term. According to Zang et al. [94], reduced genetic variation is not conducive to long-term sustainable breeding, so a trade-off between genetic progress and inbreeding is required. The loss of genetic variability is an important issue because it can lead to a reduction in the evolutionary potential of populations, and therefore tracking heterozygosity is useful for theoretically assessing the impact of limited population size on genetic variation [36,89]. Wright´s fixation indices (FIS), or F-statistic, are the most commonly used parameters to describe population structure [37]. Intensive genetic interventions and systematic breeding are a source of the high risk of inbreeding and the production of inbred offspring, which has a particularly negative impact on the genetic diversity of small populations [95]. The practice of inbreeding shows that livestock breeds differ in the rate of increase in homozygosity (that is, the inbreeding rate). There is a certain level of inbreeding for each breed, and exceeding it leads to inbreeding depression [91]. FIS is a measure of the deviation of genotypic frequencies from panmictic frequencies, in terms of heterozygous deficiency or excess. It indicates the extent to which heterozygosity is reduced below the expected value. FIS values range from −1 to 1. Negative FIS values indicate an excess of heterozygotes (outbreeding) and positive values indicate a deficiency of heterozygotes (inbreeding), compared to the expectations of the Hardy-Weinberg equilibrium (HWE) [38]. In our case, the average value of FIS present is −0.0218 and indicates a surfeit of heterozygotes in Holstein cows, compared to the HWE expectations.
4. Conclusions
The study of the genetic structure of Slovak Holstein cattle by eight markers demonstrated that the average number of heterozygous genotypes corresponded to the average theoretically expected values, which was confirmed by a negative FIS value. In this study, it was found that Slovak Holstein cattle have higher heterozygosity only for markers FADS1-07 and CSN2-H67P, while average homozygosity indicates sufficient heterozygotes in the population for these markers. Decreased heterozygosity was observed for other markers. In particular, it was found that the analyzed population has very low heterozygosity values for the markers CSN3-D148A and DGAT1-K232A. These results suggest that the genetic diversity of the FADS1-01, FADS2-23, FASN-16024, SCD-T878C, DGAT1-K232A and CSN3-D148A markers is reduced, which may be due to breeding effects.
Author Contributions
M.M. and M.G. designed and performed research; M.M., M.G. and J.G. wrote the paper. All authors have read and agreed to the published version of the manuscript.
Funding
This research was funded by Slovak Research and Development Agency (grant numbers APVV-17-0060 and APVV-20-0161), Cultural and Educational Grant Agency of the Ministry of Education, Science, Research and Sport of The Slovak Republic (grant number 012SPU-4/2019) and Operational Programme Integrated Infrastructure within the project: Sustainable smart farming systems taking into account future challenges 313011W112, co-financed by the European Regional Development Fund.
Institutional Review Board Statement
Not applicable.
Data Availability Statement
Not applicable.
Conflicts of Interest
The authors declare no conflict of interest.
References
- Garcia-Gomez, B.; Vazquez-Oderiz, M.L.; Munoz-Ferreiro, N.; Romero-Rodriguez, M.A.; Vazquez, M. Interaction between rennet source and transglutaminase in white fresh cheese production: Effect on physicochemical and textural properties. LWT-Food Sci. Technol. 2019, 113, 108279. [Google Scholar] [CrossRef]
- Čítek, J.; Brzáková, M.; Hanusová, L.; Hanuš, O.; Večerek, L.; Samková, E.; Křížová, Z.; Hoštičková, I.; Kávová, T.; Straková, K.; et al. Gene polymorphisms influencing yield, composition and technological properties of milk from Czech Simmental and Holstein cows. Anim. Biosci. 2021, 34, 2–11. [Google Scholar] [CrossRef] [PubMed]
- Miglior, F.; Fleming, A.; Malchiodi, F.; Brito, L.F.; Martin, P.; Baes, C.H.F. A 100-Year Review: Identification and genetic selection of economically important traits in dairy cattle. J. Dairy Sci. 2017, 100, 10251–10271. [Google Scholar] [CrossRef] [PubMed]
- Cardoso, V.L.; Pereira Lima, M.L.; Nogueira, J.R.; de Carneiro, R.L.R.; Sesana, R.C.; Oliveira, E.J.; El Faro, L. Economic values for milk production and quality traits in south and southeast regions of Brazil. Rev. Bras. Zootec. 2014, 43, 636–642. [Google Scholar] [CrossRef]
- Smaragdov, M.G. Genomic selection as a possible accelerator of traditional selection. Russ. J. Genet. 2009, 45, 633–636. [Google Scholar] [CrossRef]
- Yudin, N.S.; Voevoda, M.I. Molecular Genetic Markers of Economically Important Traits in Dairy Cattle. Russ. J. Genet. 2015, 51, 506–517. [Google Scholar] [CrossRef]
- Kyselová, J.; Ječmínková, K.; Matějíčková, J.; Hanuš, O.; Kott, T.; Štípková, M.; Krejčová, M. Physiochemical characteristics and fermentation ability of milk from Czech Fleckvieh cows are related to genetic polymorphisms of β-casein, κ-casein, and β-lactoglobulin. Asian-Australas. J. Anim. Sci. 2019, 32, 14–22. [Google Scholar] [CrossRef]
- Grisart, B.; Coppieters, W.; Farnir, F.; Karim, L.; Ford, C.; Berzi, P.; Cambisano, N.; Mni, M.; Reid, S.; Simon, P.; et al. Positional candidate cloning of a QTL in dairy cattle: Identification of a missense mutation in the bovine DGAT1 gene with major effect on milk yield and composition. Genome Res. 2002, 12, 222–231. [Google Scholar] [CrossRef]
- Nakamura, M.T.; Nara, T.Y. Structure, function, and dietary regulation of delta6, delta5, and delta9 desaturases. Annu. Rev. Nutr. 2004, 24, 345–376. [Google Scholar] [CrossRef]
- Schennink, A.; Bovenhuis, H.; Leon-Kloosterziel, K.M.; van Arendonk, J.A.M.; Visker, M.H.P.W. Effect of polymorphisms in the FASN, OLR1, PPARGC1A, PRL and STAT5 genes on bovine milk-fat composition. Anim. Genet. 2009, 40, 909–916. [Google Scholar] [CrossRef]
- Ibeagha-Awemu, E.M.; Akwanji, K.A.; Beaudoin, F.; Zhao, X. Associations between variants of FADS genes and omega-3 and omega-6 milk fatty acids of Canadian Holstein cows. BMC Genet. 2014, 15, 25. [Google Scholar] [CrossRef]
- Li, M.; Gao, Q.; Wang, M.; Liang, Y.; Sun, Y.; Chen, Z.; Zhang, H.; Karrow, N.A.; Yang, Z.; Mao, Y. Polymorphisms in Fatty Acid Desaturase 2 Gene Are Associated with Milk Production Traits in Chinese Holstein Cows. Animals 2020, 10, 671. [Google Scholar] [CrossRef]
- Matsumoto, H.; Inada, S.; Kobayashi, E.; Abe, T.; Hasebe, H.; Sasazaki, S.; Oyama, K.; Mannen, H. Identification of SNPs in the FASN gene and their effect on fatty acid milk composition in Holstein cattle. Livest. Sci. 2012, 144, 281–284. [Google Scholar] [CrossRef]
- Li, C.; Sun, D.; Zhang, S.; Alim, M.A.; Zhang, Q.; Li, Y.; Liu, L. Genetic effects of FASN, PPARGC1A, ABCG2 and IGF1 revealing the association with milk fatty acids in a Chinese Holstein cattle population based on a post genome-wide association study. BMC Genet. 2016, 17, 110. [Google Scholar] [CrossRef]
- Mauric, M.; Masek, T.; Ljoljic, D.B.; Grbavac, J.; Starcevic, K. Effects of different variants of the FASN gene on production performance and milk fatty acid composition in Holstein × Simmental dairy cows. Vet. Med. 2019, 64, 101–108. [Google Scholar] [CrossRef]
- Chung, M.; Ha, S.; Jeong, S.; Bok, J.; Cho, K.; Baik, M.; Choi, Y. Cloning and characterization of bovine stearoyl CoA desaturasel cDNA from adipose tissues. Biosci. Biotechnol. Biochem. 2000, 64, 1526–1530. [Google Scholar] [CrossRef]
- Paton, C.M.; Ntambi, J.M. Biochemical and physiological function of stearoyl-CoA desaturase. Am. J. Physiol.-Endoc. Metab. 2009, 297, E28–E37. [Google Scholar] [CrossRef]
- Li, Y.; Zhou, H.; Cheng, L.; Zhao, J.; Hickford, J. Variation in the stearoyl-CoA desaturase gene (SCD) and its influence on milk fatty acid composition in late-lactation dairy cattle grazed on pasture. Arch. Anim. Breed. 2020, 63, 355–366. [Google Scholar] [CrossRef]
- Dudásová, S.; Miluchová, M.; Gábor, M.; Candrák, J.; Dočkalová, K. Effects of the DGAT1 K232A polymorphism on milk production traits in Holstein cattle. Acta Fytotech. Zootech. 2021, 24, 233–237. [Google Scholar] [CrossRef]
- Pathak, R.K.; Lim, B.; Park, Y.; Kim, J.M. Unraveling structural and conformational dynamics of DGAT1 missense nsSNPs in dairy cattle. Sci. Rep. 2022, 12, 4873. [Google Scholar] [CrossRef]
- Neamt, R.I.; Saplacan, S.; Acatincai, S.; Cziszter, L.T.; Gavojdian, D.; Ilie, D.E. The influence of CSN3 and LGB polymorphisms on milk production and chemical composition in Romanian Simmental cattle. Acta Biochim. Pol. 2017, 64, 493–497. [Google Scholar] [CrossRef] [PubMed]
- Ozdemir, M.; Kopuzlu, S.; Topal, M.; Bilgin, O.C. Relationships between milk protein polymorphisms and production traits in cattle: A systematic review and meta-analysis. Arch. Anim. Breed. 2018, 61, 197–206. [Google Scholar] [CrossRef]
- Čítek, J.; Hanusová, L.; Lískovcová, L.; Samková, E.; Hanuš, O.; Hasoňová, L.; Křížová, Z.; Večerek, L. Polymorphisms in CSN3, CSN2 and LGB Genes and Their Relation to Milk Production in Dairy Cattle in the Czech Republic. Acta Univ. Agric. Silvic. Mendel. Brun. 2019, 67, 19–24. [Google Scholar] [CrossRef]
- Ng-Kwai-Hang, K.F. Genetic polymorphism of milk proteins: Relationships with production traits, milk composition and technological properties. Can. J. Anim. Sci. 1998, 78, 131–147. [Google Scholar]
- Miluchová, M.; Gábor, M.; Candrák, J.; Trakovická, A.; Candráková, K. Association of HindIII-polymorphism in kappa-casein gene with milk, fat and protein yield in Holstein cattle. Acta Biochim. Pol. 2018, 65, 403–407. [Google Scholar] [CrossRef]
- Čítek, J.; Brzáková, M.; Hanusová, L.; Hanuš, O.; Večerek, L.; Samková, E.; Křížová, Z.; Hoštičková, I.; Kávová, T.; Straková, K.; et al. Technological properties of cow’s milk: Correlations with milk composition, effect of interactions of genes and other factors. Czech J. Anim. Sci. 2020, 65, 13–22. [Google Scholar] [CrossRef]
- Samoré, A.B.; Rizzi, R.; Rossoni, A.; Bagnato, A. Genetic parameters for functional longevity, type traits, SCS, milk flow and production in the Italian Brown Swiss. Ital. J. Anim. Sci. 2010, 9, e28. [Google Scholar] [CrossRef]
- Oltenacu, P.A.; Broom, D.M. The impact of genetic selection for increased milk yield on the welfare of dairy cows. Anim. Welf. 2010, 19, 39–49. [Google Scholar]
- Stavetska, R.; Dynko, Y. The Characteristic of Economically Important Traits of Dairy Cows Depending on Type of Body Constitution. EUREKA Life Sci. 2021, 2, 9–15. [Google Scholar] [CrossRef]
- Ollivier, L.; Foulley, J. Aggregate diversity: New approach combining within and between breed genetic diversity. Livest. Prod. Sci. 2005, 95, 247–254. [Google Scholar] [CrossRef]
- Biscarini, F.; Nicolazzi, E.L.; Stella, A.; Boettcher, P.J.; Gandini, G. Challenges and opportunities in genetic improvement of local livestock breeds. Front. Genet. 2015, 6, 33. [Google Scholar] [CrossRef]
- Notter, D.R. The importance of genetic diversity in livestock populations of the future. J. Anim. Sci. 1999, 77, 61–69. [Google Scholar] [CrossRef]
- Barker, J.S.F. Conservation and management of genetic diversity: A domestic animal perspective. Can. J. For. Res. 2001, 31, 588–595. [Google Scholar] [CrossRef]
- Toro, M.A.; Caballero, A. Characterization and conservation of genetic diversity in subdivided populations. Philos. Trans. R. Soc. B 2005, 360, 1367–1378. [Google Scholar] [CrossRef]
- Ruan, D.; Yang, J.; Zhuang, Z.; Ding, R.; Huang, J.; Quan, J.; Gu, T.; Hong, L.; Zheng, E.; Li, Z.; et al. Assessment of Heterozygosity and Genome-Wide Analysis of Heterozygosity Regions in Two Duroc Pig Populations. Front. Genet. 2022, 12, 812456. [Google Scholar] [CrossRef]
- Gautschi, B.; Müller, J.P.; Schmid, B.; Shykoff, J.A. Effective number of breeders and maintenance of genetic diversity in the captive bearded vulture population. Heredity 2003, 91, 9–16. [Google Scholar] [CrossRef]
- Wright, S. Evolution and the Genetics of Populations. The Theory of Gene Frequencies, 2nd ed.; University of Chicago Press: Chicago, IL, USA, 1969; 512p. [Google Scholar]
- Peakall, R.; Smouse, P.E. GENALEX 6: Genetic analysis in Excel. Population genetic software for teaching and research. Mol. Ecol. Notes 2006, 6, 288–295. [Google Scholar] [CrossRef]
- Abe, T.; Saburi, J.; Hasebe, H.; Nakagawa, T.; Misumi, S.; Nade, T.; Nakajima, H.; Shoji, N.; Kobayashi, M.; Kobayashi, E. Novel mutations of the FASN gene and their effect on fatty acid composition in Japanese Black beef. Biochem. Genet. 2009, 47, 397–411. [Google Scholar] [CrossRef]
- Taniguchi, M.; Utsugi, T.; Oyama, K.; Mannen, H.; Kobayashi, M.; Tanabe, Y.; Ogino, A.; Tsuji, S. Genotype of stearoyl-CoA desaturase is associated with fatty acids composition in Japanese Black cattle. Mamm. Genome 2004, 14, 142–148. [Google Scholar] [CrossRef]
- Komisarek, J.; Michalak, A. A relationship between DGAT1 K232A polymorphism and selected reproductive traits in Polish Holstein-Friesian cattle. Anim. Sci. Pap. Rep. 2008, 26, 89–95. [Google Scholar]
- McLachlan, C.N. Breeding and Milking Cows for Milk Free of β-Casein A1. U.S. Patent 7094949, 22 August 2006. [Google Scholar]
- Schlieben, S.; Erhard, G.; Senft, B. Genotyping of bovine kappa-casein following DNA sequence amplification and direct sequencing of kappa-CNE PCR product. Anim. Genet. 1991, 22, 333–342. [Google Scholar] [CrossRef] [PubMed]
- Brody, R.J.; Kern, S.E. Sodium boric acid: A Tris-free, cooler conductive medium for DNA electrophoresis. Biotechniques 2004, 36, 214–216. [Google Scholar] [CrossRef] [PubMed]
- Komisarek, J.; Dorynek, Z. Effect of ABCG2, PPARGC1A, OLR1 and SCD1 gene polymorphism on estimated breeding values for functional and production traits in Polish Holstein-Friesian bulls. J. Appl. Genet. 2009, 50, 125–132. [Google Scholar] [CrossRef] [PubMed]
- Nei, M. Analysis of gene diversity in subdivided populations. Proc. Natl. Acad. Sci. USA 1973, 70, 3321–3323. [Google Scholar] [CrossRef] [PubMed]
- Boltstein, D.; White, R.L.; Skolnik, M.; Davis, R.W. Construction of a genetic linkage map in man using restriction fragment length polymorphism. Am. J. Hum. Genet. 1980, 32, 314–331. [Google Scholar]
- Crow, J.F.; Kimura, M. An Introduction to Population Genetics Theory; Harper and Row: New York, NY, USA, 1970; 591p. [Google Scholar]
- Liu, W.T.; Marsh, T.L.; Cheng, H.; Forney, L.J. Characterization of microbial diversity by determining terminal restriction fragment length polymorphisms of genes encoding 16S rRNA. Appl. Environ. Microbiol. 1997, 63, 4516–4522. [Google Scholar] [CrossRef]
- Dunbar, J.; Ticknor, L.O.; Kuske, C.R. Phylogenetic specificity and reproducibility and new method for analysis of terminal restriction fragment profiles of 16S rRNA genes from bacterial communities. Appl. Environ. Microbiol. 2001, 67, 190–197. [Google Scholar] [CrossRef]
- Vincze, T.; Posfai, J.; Roberts, R.J. NEBcutter: A program to cleave DNA with restriction enzymes. Nucleic Acids. Res. 2003, 31, 3688–3691. [Google Scholar] [CrossRef]
- Harris, W.S. The omega-3 index: From biomarker to risk marker to risk factor. Curr. Atheroscler. Rep. 2009, 11, 411–417. [Google Scholar] [CrossRef]
- Beak, S.H.; Lee, Y.; Lee, E.B.; Kim, K.H.; Kim, J.G.; Bok, J.D.; Kang, S.K. Study on the fatty acid profile of phospholipid and neutral lipid in Hanwoo beef and their relationship to genetic variation. J. Anim. Sci. Technol. 2019, 61, 69–76. [Google Scholar] [CrossRef]
- Grofová, Z. Fatty acids. Med. Pro Praxi 2010, 7, 388–390. [Google Scholar]
- Roy, R.; Ordovas, L.; Zaragoza, P.; Romero, A.; Moreno, C.; Altarriba, J.; Rodellar, C. Association of polymorphisms in the bovine FASN gene with milk-fat content. Anim. Genet. 2006, 37, 215–218. [Google Scholar] [CrossRef]
- Barton, L.; Bures, D.; Kott, T.; Kottova, B. Effects of DGAT1, FABP4, FASN, PPARGC1A, SCD1, SREBP-1 and STAT5A Gene Polymorphisms on the Fatty Acid Composition in Fleckvieh Bulls. In Proceedings of the ICoMST 2011, 57th International Congress of Meat Science and Technology, Ghent, Belgium, 7–12 August 2011. [Google Scholar]
- Kawaguchi, F.; Kakiuchi, F.; Oyama, K.; Mannen, H.; Sasazaki, S. Effect of Five Polymorphisms on Percentage of Oleic Acid in Beef and Investigation of Linkage Disequilibrium to Confirm the Locations of Quantitative Trait Loci on BTA19 in Japanese Black Cattle. Life 2021, 11, 597. [Google Scholar] [CrossRef]
- Kgwatalala, P.M.; Ibeagha-Awemu, E.M.; Mustafa, A.F.; Zhao, X. Influence of stearoyl-coenzyme A desaturase 1 genotype and stage of lactation on fatty acid composition of Canadian Jersey cows. J. Dairy Sci. 2009, 92, 1220–1228. [Google Scholar] [CrossRef]
- Matsuhashi, T.; Maruyama, S.; Uemoto, Y.; Kobayashi, N.; Mannen, H.; Abe, T.; Sakaguchi, S.; Kobayashi, E. Effects of bovine fatty acid synthase, stearoyl-coenzyme A desaturase, sterol regulatory element-binding protein 1, and growth hormone gene polymorphisms on fatty acid composition and carcass traits in Japanese Black cattle. J. Anim. Sci. 2011, 89, 12–22. [Google Scholar] [CrossRef]
- Mao, Y.J.; Chen, R.J.; Chang, L.L.; Chen, Y.; Ji, D.J.; Wu, X.X.; Shi, X.K.; Wu, H.T.; Zhang, M.R.; Yang, Z.P.; et al. Short communication: Effects of SCD1- and DGAT1-genes on production traits of Chinese Holstein cows located in the Delta Region of Yangtze River. Livest. Sci. 2012, 145, 280–286. [Google Scholar] [CrossRef]
- Kulig, H.; Kowalewska-Łuczak, I.; Źukowski, K.; Kunicka, M. SCD1 SNP in relation to breeding value of milk production traits in polish Holstein-Friesian cows. Acta Sci. Pol. Zoot. 2013, 12, 41–48. [Google Scholar]
- Conte, G.; Mele, M.; Chessa, S.; Castiglioni, B.; Serra, A.; Pagnacco, G.; Secchiari, P. Diacylglycerol acyltransferase 1, stearoyl-CoA desaturase 1, and sterol regulatory element binding protein 1 gene polymorphisms and milk fatty acid composition in Italian Brown cattle. J. Dairy Sci. 2010, 93, 753–763. [Google Scholar] [CrossRef]
- Safina, N.Y.; Shakirov, S.K.; Ravilov, R.K.; Sharafutdinov, G.S. Associations of the SCD1 gene SNP with fatty acids composition of Holstein cows. BIO Web Conf. 2020, 27, 00060. [Google Scholar] [CrossRef]
- Mele, M.; Conte, G.; Castiglioni, B.; Chessa, S.; Macciotta, N.P.P.; Serra, A.; Buccioni, A.; Pagnacco, G.; Secchiari, P. Stearoyl-CoA desaturase gene polymorphism and milk fatty acid composition in Italian Friesian cows. J. Dairy Sci. 2007, 90, 4458–4465. [Google Scholar] [CrossRef]
- Schennink, A.; Heck, J.M.; Bovenhuis, H.; Visker, M.H.P.W.; Van Valenberg, H.J.F.; Van Arendonk, J.A.M. Milk fatty acid unsaturation: Genetic parameters and effects of stearoyl-CoA desaturase (SCD1) and acyl CoA: Diacylglycerol acyltransferase 1 (DGAT1). J. Dairy Sci. 2008, 91, 2135–2143. [Google Scholar] [CrossRef] [PubMed]
- Grummer, R.R. Effect of feed on composition of milk fat. J. Dairy Sci. 1991, 74, 3244–3257. [Google Scholar] [CrossRef]
- Kadlecová, V.; Němečková, D.; Ječmínková, K.; Stádník, L. Association of bovine DGAT1 and leptin genes polymorphism with milk production traits and energy balance indicators in primiparous Holstein cows. Mljekarstvo 2014, 64, 19–26. [Google Scholar]
- Schennink, A.; Stoop, W.M.; Visker, M.H.P.; Wheck, J.M.L.; Bovenhuis, H.; Van Der Poel, J.J.; Van Alenberg, H.J.F.; Van Arendonk, J.A.M. DGAT1 underlies large genetic variation in milk-fat composition of dairy cows. Anim. Genet. 2007, 38, 467–473. [Google Scholar] [CrossRef] [PubMed]
- Bouwman, A.C.; Bovenhuis, H.; Visker, M.H.; Van Arendonk, J.A. Genome wide association of milk fatty acids in Dutch dairy cattle. BMC Genet. 2011, 12, 43. [Google Scholar] [CrossRef]
- Oleński, K.; Cieślińska, A.; Suchocki, T.; Szyda, J.; Kamiński, S. Polymorphism in coding and regulatory sequences of beta-casein gene is associated with milk production traits in Holstein-Friesian cattle. Anim. Sci. Pap. Rep. 2012, 30, 5–12. [Google Scholar]
- Ganguly, I.; Kumar, S.; Gaur, G.K.; Singh, U.; Kumar, A.; Kumar, S.; Mann, S.; Sharma, A. Status of β-casein (CSN2) Polymorphism in Frieswal (HF X Sahiwal Crossbred) Cattle. Int. J. Biotechnol. Bioeng. Res. 2013, 4, 249–256. [Google Scholar]
- Manga, I.; Říha, J.; Dvořák, J. Comparison of influence markers CSN3 and CSN2 on milk performance traits in czech spotted and holstein cattle tested at first, fifth and higher lactation. Acta Fytotech. Zootech. 2006, 9, 13–15. [Google Scholar]
- Beja-Pereira, A.; Luikart, G.; England, P.R.; Bradley, D.G.; Jann, O.C.; Bertorelle, G.; Chamberlain, A.T.; Nunes, T.P.; Metodiev, S.; Ferrand, N.; et al. Gene-culture coevolution between cattle milk protein genes and human lactase genes. Nat. Genet. 2003, 35, 311–313. [Google Scholar] [CrossRef]
- Caroli, A.; Chessa, S.; Chiatti, F.; Rignanese, D.; Meléndez, B.; Rizzi, R.; Ceriotti, G. Short communication: Carora cattle show high variability in alpha(s1)-casein. J. Dairy Sci. 2008, 91, 354–359. [Google Scholar] [CrossRef]
- Hanusová, E.; Huba, J.; Oravcová, M.; Polák, P.; Vrtková, I. Genetic variants of beta-casein in Holstein Dairy Cattle in Slovakia. Slovak J. Anim. Sci. 2010, 43, 63–66. [Google Scholar]
- Elliott, R.B.; Harris, D.P.; Hill, J.P.; Bibby, N.J.; Wasmuth, H.E. Type I (insulin-dependent) diabetes mellitus and cow milk: Casein variant consumption. Diabetologia 1999, 42, 292–296. [Google Scholar] [CrossRef]
- Morris, C.A.; Tate, M.L. Method for Altering Fatty Acid Composition of Milk. New Zealand Patent PCT/NZ2003/000140, 15 January 2004. [Google Scholar]
- McLachlan, C.N. Beta-casein A1, ischaemic heart disease mortality, and other illnesses. Med. Hypotheses 2001, 56, 262–272. [Google Scholar] [CrossRef]
- Sun, Z.; Zhang, Z.; Wang, X.; Cade, R.; Elmer, Z.; Fregly, M. Relation of beta-casomorphin to apnea in sudden infant death syndrome. Peptides 2003, 24, 937–943. [Google Scholar] [CrossRef]
- Sitkowska, B.; Neja, W.; Wiśniewska, E. Relations between kappa-casein polymorphism (csn3) and milk performance traits in heifer cows. J. Cent. Eur. Agric. 2008, 9, 641–644. [Google Scholar]
- Botaro, B.G.; De Lima, Y.V.R.; Cortinhas, C.S.; Silva, E.L.F.P.; Rennó, F.P.; Dos Santos, M.V. Effect of the kappa-casein gene polymorphism, breed and seasonality on physicochemical characteristics, composition and stability of bovine milk. Rev. Bras. Zootec. 2009, 38, 2447–2454. [Google Scholar] [CrossRef]
- Doosti, A.; Arshi, A.; Vatankhah, M.; Amjadi, P. Kappa-casein gene polymorphism in Holstein and Iranian native cattle by polymerase chain reaction restriction fragment length polymorphism (PCR-RFLP). Afr. J. Biotechnol. 2011, 10, 4957–4960. [Google Scholar] [CrossRef]
- Gouda, E.M.; Galal, M.K.; Abdelaziz, S.A. Genetic Variants and Allele Frequencies of Kappa Casein in Egyptian Cattle and Buffalo Using PCR-RFLP. J. Agric. Sci. 2013, 5, 9752–9760. [Google Scholar] [CrossRef][Green Version]
- Alipanah, M.; Klashnikova, L.; Rodionov, G. K-casein genotypic frequencies in Russian breed Black and Red Pied cattle. Iran. J. Biotechnol. 2007, 3, 191–194. [Google Scholar]
- Hamza, A.E.; Wang, X.L.; Yang, Z.P. Kappa Casein Gene Polymorphism in Holstein Chinese Cattle. Pak. Vet. J. 2010, 30, 203–206. [Google Scholar]
- Azevedo, A.L.S.; Nascimento, C.S.; Steinberg, R.S.; Carvalho, M.R.S.; Peixoto, M.G.C.D.; Teodoro, R.L.; Verneque, R.S.; Guimarães, S.E.F.; Machado, M.A. Genetic polymorphism of the kappa-casein gene in Brazilian cattle. Genet. Mol. Res. 2008, 7, 623–630. [Google Scholar] [CrossRef] [PubMed]
- Hoffmann, A.A.; Sgrò, C.M.; Kristensen, T.N. Revisiting Adaptive Potential, Population Size, and Conservation. Trends Ecol. Evol. 2017, 32, 506–517. [Google Scholar] [CrossRef] [PubMed]
- Ørsted, M.; Hoffmann, A.A.; Sverrisdóttir, E.; Nielsen, K.L.; Kristensen, T.N. Genomic variation predicts adaptive evolutionary responses better than population bottleneck history. PLoS Genet. 2019, 15, e1008205. [Google Scholar] [CrossRef] [PubMed]
- Schmidt, T.L.; Jasper, M.E.; Weeks, A.R.; Hoffmann, A.A. Unbiased population heterozygosity estimates from genome-wide sequence data. Methods Ecol. Evol. 2021, 12, 1888–1898. [Google Scholar] [CrossRef]
- Cosenza, M.; La Rosa, V.; Rosati, R.; Chiofalo, V. Genetic diversity of the Italian thoroughbred horse population. Ital. J. Anim. Sci. 2019, 1, 538–545. [Google Scholar] [CrossRef]
- Kalashnikov, V.; Khrabrova, L.; Blohina, N.; Zaitcev, A.; Kalashnikova, T. Dynamics of the Inbreeding Coefficient and Homozygosity in Thoroughbred Horses in Russia. Animals 2020, 10, 1217. [Google Scholar] [CrossRef]
- Zhang, M.; Peng, W.F.; Hu, X.J.; Zhao, Y.X.; Lv, F.H.; Yang, J. Global genomic diversity and conservation priorities for domestic animals are associated with the economies of their regions of origin. Sci. Rep. 2018, 8, 11677. [Google Scholar] [CrossRef]
- Groeneveld, L.F.; Lenstra, J.A.; Eding, H.; Toro, M.A.; Scherf, B.; Pilling, D.; Negrini, R.; Finlay, E.K.; Jianlin, H.; Groeneveld, E.; et al. GLOBALDIV Consortium. Genetic diversity in farm animals—A review. Anim. Genet. 2010, 41, 6–31. [Google Scholar] [CrossRef]
- Zhang, P.; Qiu, X.; Wang, L.; Zhao, F. Progress in Genomic Mating in Domestic Animals. Animals 2022, 12, 2306. [Google Scholar] [CrossRef]
- Kasarda, R.; Jamborová, Ľ.; Moravčíková, N. Genetic diversity and production potential of animal food resources. Acta Fytotech. Zootech. 2020, 23, 102–108. [Google Scholar] [CrossRef]
Publisher’s Note: MDPI stays neutral with regard to jurisdictional claims in published maps and institutional affiliations. |
© 2022 by the authors. Licensee MDPI, Basel, Switzerland. This article is an open access article distributed under the terms and conditions of the Creative Commons Attribution (CC BY) license (https://creativecommons.org/licenses/by/4.0/).


