A Large Ascending Aorta Thrombus in a Patient with Acute Myocardial Infarction—Case Report
Abstract
1. Introduction
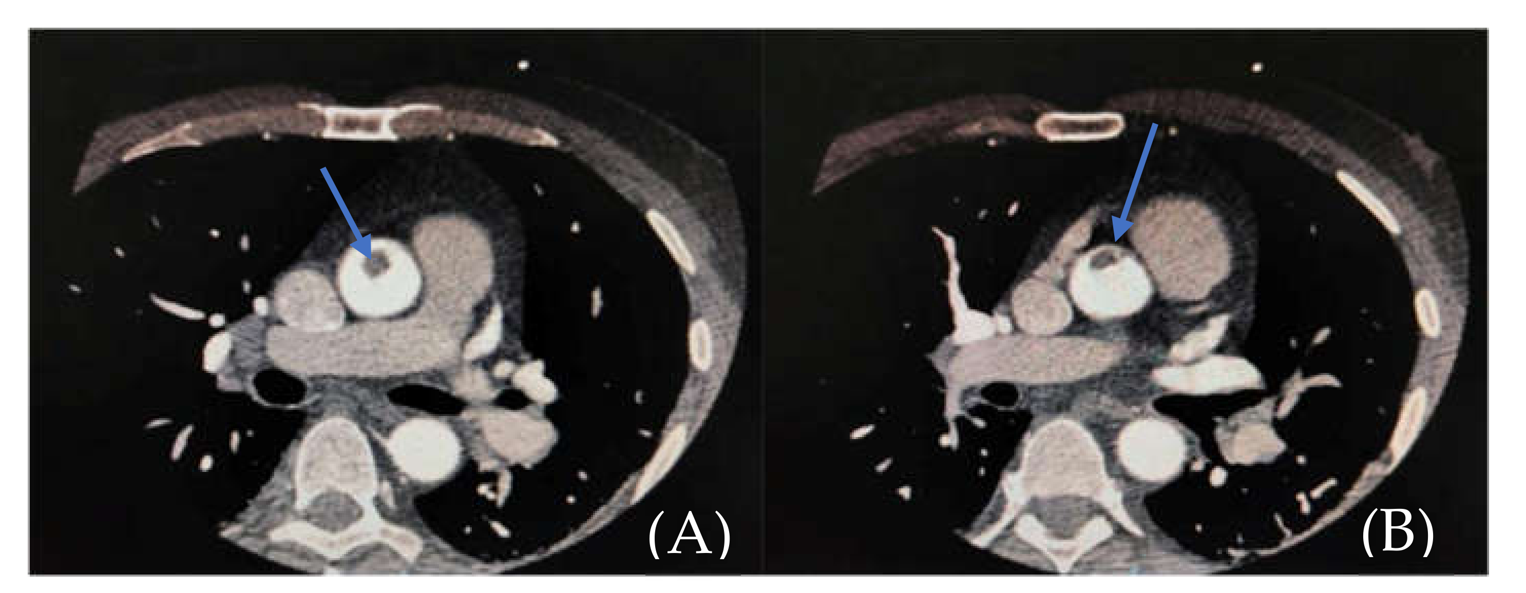
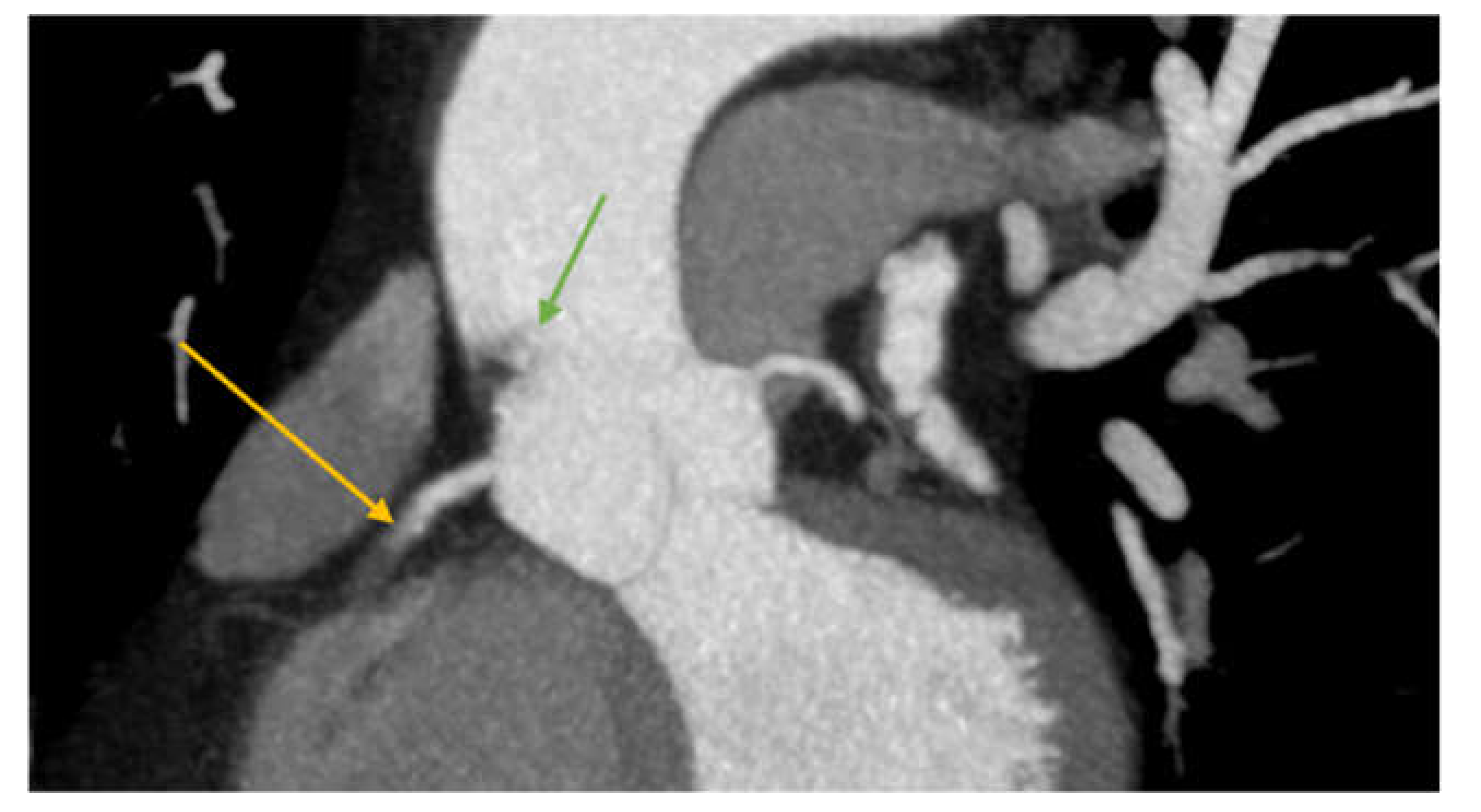
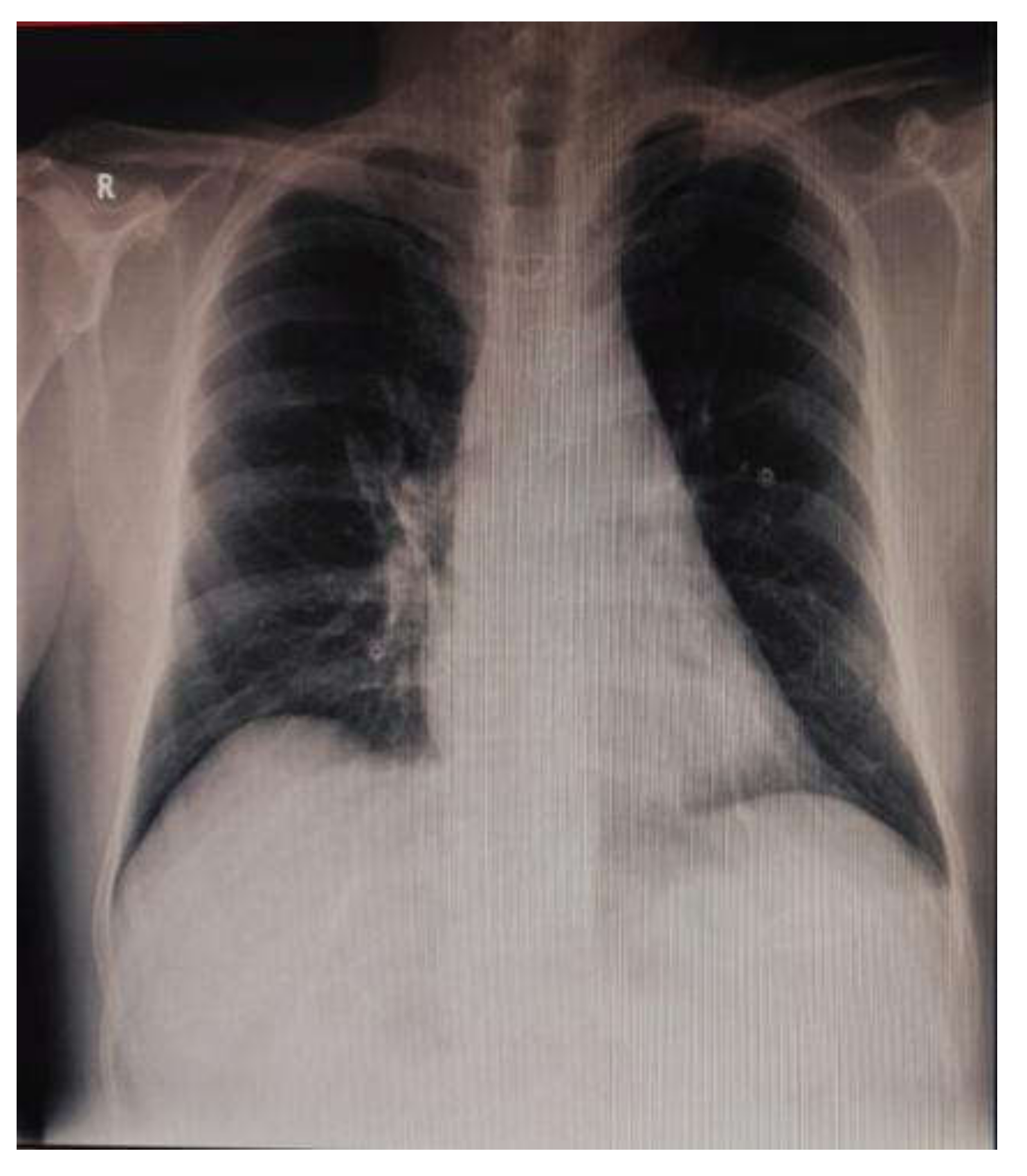
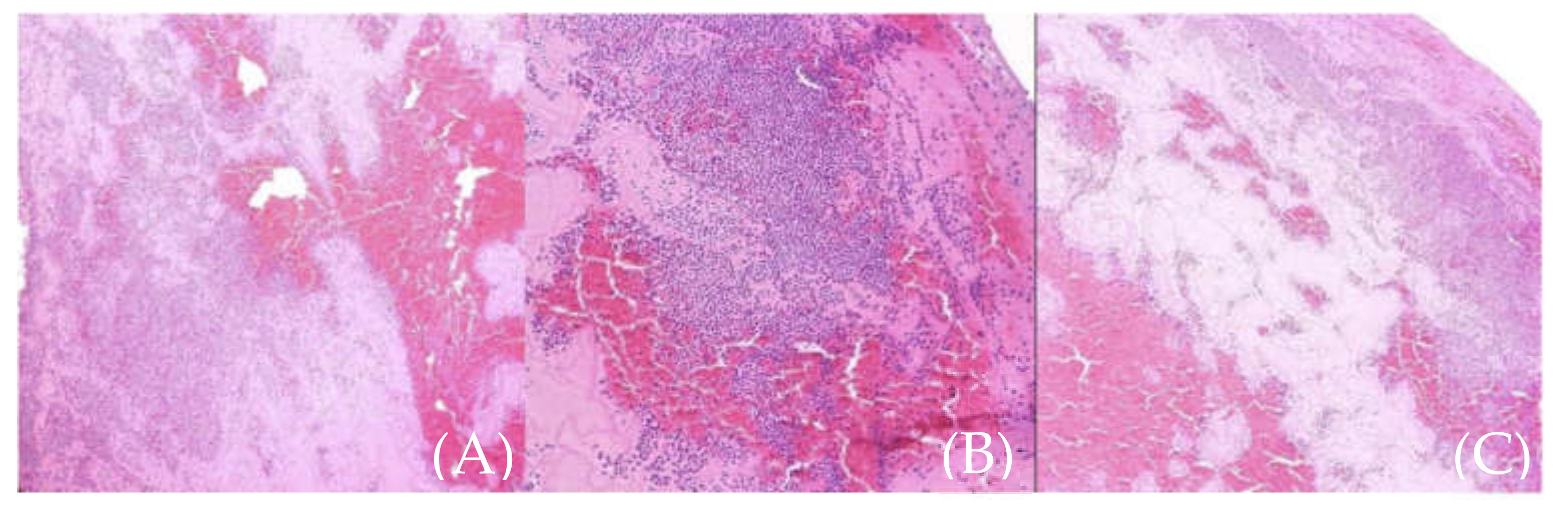
2. Case Report
3. Discussion
4. Conclusions
Author Contributions
Funding
Institutional Review Board Statement
Informed Consent Statement
Data Availability Statement
Acknowledgments
Conflicts of Interest
References
- Cañadas, V.; Vilacosta, I.; Luaces, M.; Bustos, A.; Ferreirós, J.; Aragoncillo, P.; Pérez de Isla, L.; Rodríguez, E. Trombosis en aorta torácica aparentemente normal y embolias arteriales [Thrombosis of an apparently normal thoracic aorta and arterial embolism]. Rev. Esp. Cardiol. 2008, 61, 196–200. [Google Scholar] [CrossRef]
- Ford, S.E.; Ford, P.M. The cardiovascular pathology of anti-phospholipid antibodies: An illustrative case and review of the literature. Cardiovasc. Pathol. 1995, 4, 111–122. [Google Scholar] [CrossRef]
- McGee, G.S.; Pearce, W.H.; Sharma, L.; Green, D.; Yao, J.S.T. Antiphospholipid Antibodies and Arterial Thrombosis. Arch. Surg. 1992, 127, 342–346. [Google Scholar] [CrossRef] [PubMed]
- Wang, B.; Ma, D.; Cao, D.; Man, X. Huge thrombus in the ascending aorta: A case report and literature review. J. Cardiothorac. Surg. 2019, 14, 1–4. [Google Scholar] [CrossRef] [PubMed]
- Neumann, F.-J.; Sousa-Uva, M.; Ahlsson, A.; Alfonso, F.; Banning, A.P.; Benedetto, U.; Byrne, A.R.; Collet, J.-P.; Falk, V. Ghidul privind revascularizarea miocardică ESC/EACTS 2018. Rom. J. Cardiol. 2019, 29, 281–286. [Google Scholar]
- Amarenco, P.; Cohen, A.; Baudrimont, M.; Bousser, M.G. Transesophageal echocardiographic detection of aortic arch disease in patients with cerebral infarction. Stroke 1992, 23, 1005–1009. [Google Scholar] [CrossRef] [PubMed]
- Adam, M.A. The cardiac mass: Is it a thrombus, tumor or vegetation? Take it in the context of the disease. JBR J. Clin. Diagn. Res. 2016, 4, 1. [Google Scholar] [CrossRef]
- Yang, P.; Li, Y.; Huang, Y.; Lu, C.; Liang, W.; Hu, J. A giant floating thrombus in the ascending aorta: A case report. BMC Surg. 2020, 20, 1–6. [Google Scholar] [CrossRef]
- Wu, B.-T.; Li, C.-Y.; Chen, Y.-T. Type A aortic dissection presenting with inferior ST-elevation myocardial infarction. Acta Cardiol. Sin. 2014, 30, 248–252. [Google Scholar]
- Chen, A.; Ren, X. Aortic dissection manifesting as ST-segment–elevation myocardial infarction. Circulation 2015, 131, e503–e504. [Google Scholar] [CrossRef][Green Version]
- Authors/Task Force members; Kolh, P.; Windecker, S.; Alfonso, F.; Collet, J.P.; Cremer, J.; Falk, V.; Filippatos, G.; Hamm, C.; Head, S.J.; et al. 2014 ESC/EACTS Guidelines on myocardial revascularization: The Task Force on Myocardial Revascularization of the European Society of Cardiology (ESC) and the European Association for Cardio-Thoracic Surgery (EACTS)Developed with the special contribution of the European Association of Percutaneous Cardiovascular Interventions (EAPCI). Eur. Heart J. 2014, 35, 2541–2619. [Google Scholar]
- Wang, D.; Zhang, L.-L.; Wang, Z.-Y.; Zhang, Z.-Y.; Wang, Y. The missed diagnosis of aortic dissection in patients with acute myocardial infarction: A disastrous event. J. Thorac. Dis. 2017, 9, E636–E639. [Google Scholar] [CrossRef]
- Shahin, G. Organized thrombus in the ascending aorta originating from the ostium of the right coronary artery. Cardiovasc. Surg. 2002, 10, 62–64. [Google Scholar] [CrossRef]
- Tsilimparis, N.; Hanack, U.; Pisimisis, G.; Yousefi, S.; Wintzer, C.; Rückert, R.I. Thrombus in the non-aneurysmal, non-atherosclerotic descending thoracic aorta—An unusual source of arterial embolism. Eur. J. Vasc. Endovasc. Surg. 2011, 41, 450–457. [Google Scholar] [CrossRef] [PubMed]
- Khosravi, A.; Kermani-Alghoraishi, M.; Pourmoghadas, M. Ascending aorta thrombose: A rare cause of simultaneous acute myocardial infarction and upper limb ischemia. Acta Cardiol. Sin. 2020, 36, 382–385. [Google Scholar]
- Letang, E.; Carballeira, M.R.; Muchart, J.; Torres, J.; De Echagüen, A.O.; Garau, J. Letter to the Editor. Lupus 2005, 14, 336–337. [Google Scholar] [CrossRef] [PubMed]
- Scott, D.J.; White, J.M.; Arthurs, Z.M. Endovascular management of a mobile thoracic aortic thrombus following recurrent distal thromboembolism: A case report and literature review. Vasc. Endovasc. Surg. 2014, 48, 246–250. [Google Scholar] [CrossRef] [PubMed]
- Houmsse, M.; McDavid, A.; Kilic, A. Large de novo ascending aortic thrombus successfully treated with anticoagulation. J. Cardiovasc. Thorac. Res. 2018, 10, 113–114. [Google Scholar] [CrossRef] [PubMed]
- Dhillon, P.; Murdoch, D.; Jayasinghe, R.; Niranjan, S. A case of mobile aortic arch thrombus with systemic embolisation—a management dilemma. Hearth Lung Circ. 2014, 23, e88–e91. [Google Scholar] [CrossRef] [PubMed]
- Gueldich, M.; Piscitelli, M.; Derbel, H.; Boughanmi, K.; Bergoend, E.; Chanai, N.; Folliguet, T.; Fiore, A. Floating thrombus in the ascending aorta revealed by peripheral arterial embolism. Interact. Cardiovasc. Thorac. Surg. 2020, 30, 762–764. [Google Scholar] [CrossRef]
- Stöllberger, C.; Kopsa, W.; Finsterer, J. Resolution of an aortic thrombus under anticoagulant therapy. Eur. J. Cardio-Thorac. Surg. 2001, 20, 880–882. [Google Scholar] [CrossRef]
- Bowdish, M.E.; Weaver, F.A.; Liebman, H.A.; Rowe, V.L.; Hood, D.B. Anticoagulation is an effective treatment for aortic mural thrombi. J. Vasc. Surg. 2002, 36, 713–719. [Google Scholar] [CrossRef]








Publisher’s Note: MDPI stays neutral with regard to jurisdictional claims in published maps and institutional affiliations. |
© 2021 by the authors. Licensee MDPI, Basel, Switzerland. This article is an open access article distributed under the terms and conditions of the Creative Commons Attribution (CC BY) license (https://creativecommons.org/licenses/by/4.0/).
Share and Cite
Moldovan, H.; Bulescu, C.; Sibișan, A.-M.; Țigănașu, R.; Cacoveanu, C.; Nica, C.; Rachieru, A.; Gheorghiță, D.; Zaharia, O.; Bălănescu, Ș.; et al. A Large Ascending Aorta Thrombus in a Patient with Acute Myocardial Infarction—Case Report. Medicina 2021, 57, 1176. https://doi.org/10.3390/medicina57111176
Moldovan H, Bulescu C, Sibișan A-M, Țigănașu R, Cacoveanu C, Nica C, Rachieru A, Gheorghiță D, Zaharia O, Bălănescu Ș, et al. A Large Ascending Aorta Thrombus in a Patient with Acute Myocardial Infarction—Case Report. Medicina. 2021; 57(11):1176. https://doi.org/10.3390/medicina57111176
Chicago/Turabian StyleMoldovan, Horațiu, Cristian Bulescu, Andra-Mădălina Sibișan, Robert Țigănașu, Cătălin Cacoveanu, Claudia Nica, Andreea Rachieru, Daniela Gheorghiță, Ondin Zaharia, Șerban Bălănescu, and et al. 2021. "A Large Ascending Aorta Thrombus in a Patient with Acute Myocardial Infarction—Case Report" Medicina 57, no. 11: 1176. https://doi.org/10.3390/medicina57111176
APA StyleMoldovan, H., Bulescu, C., Sibișan, A.-M., Țigănașu, R., Cacoveanu, C., Nica, C., Rachieru, A., Gheorghiță, D., Zaharia, O., Bălănescu, Ș., & Scafa-Udriște, A. (2021). A Large Ascending Aorta Thrombus in a Patient with Acute Myocardial Infarction—Case Report. Medicina, 57(11), 1176. https://doi.org/10.3390/medicina57111176

