Tomographic Imaging of Mucociliary Clearance Following Maxillary Sinus Augmentation: A Case Series
Abstract
:1. Introduction
2. Presentation of Cases
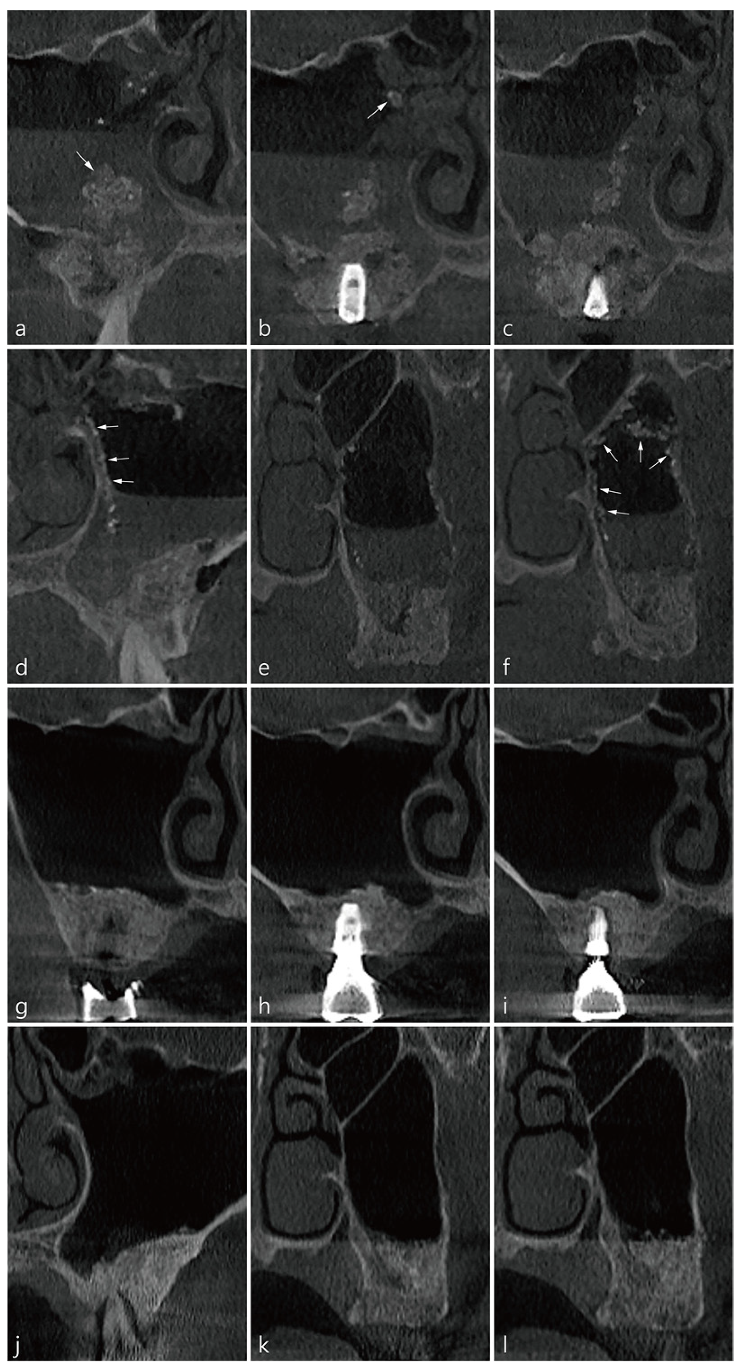
3. Case 1
4. Case 2
5. Case 3
6. Case 4
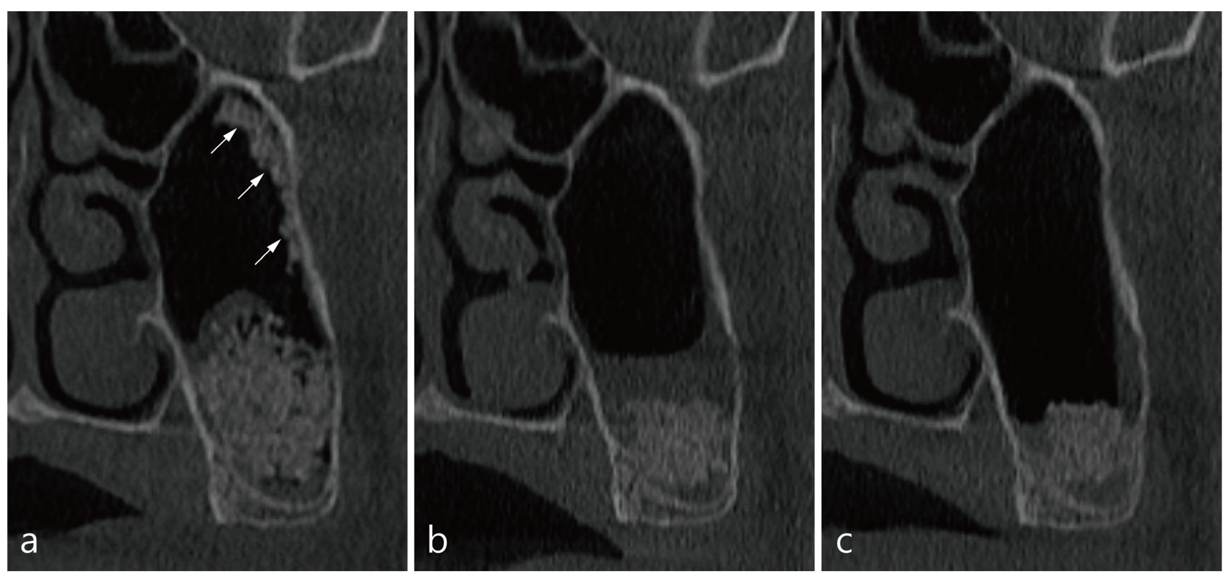
7. Results
8. Discussion
9. Conclusions
Author Contributions
Funding
Institutional Review Board Statement
Informed Consent Statement
Data Availability Statement
Conflicts of Interest
References
- Park, W.B.; Kang, K.L.; Han, J.Y. Factors influencing long-term survival rates of implants placed simultaneously with lateral maxillary sinus floor augmentation: A 6- to 20-year retrospective study. Clin. Oral Implant. Res. 2019, 30, 977–988. [Google Scholar] [CrossRef]
- Duttenhoefer, F.; Souren, C.; Menne, D.; Emmerich, D.; Schon, R.; Sauerbier, S. Long-term survival of dental implants placed in the grafted maxillary sinus: Systematic review and meta-analysis of treatment modalities. PLoS ONE 2013, 8, e75357. [Google Scholar] [CrossRef] [PubMed] [Green Version]
- Beretta, M.; Poli, P.P.; Grossi, G.B.; Pieroni, S.; Maiorana, C. Long-term survival rate of implants placed in conjunction with 246 sinus floor elevation procedures: Results of a 15-year retrospective study. J. Dent. 2015, 43, 78–86. [Google Scholar] [CrossRef]
- Oh, E.; Kraut, R.A. Effect of sinus membrane perforation on dental implant integration: A retrospective study on 128 patients. Implant Dent. 2011, 20, 13–19. [Google Scholar] [CrossRef] [Green Version]
- Lim, H.C.; Nam, J.Y.; Cha, J.K.; Lee, J.S.; Lee, D.W.; Jung, U.W.; Choi, S.H. Retrospective analysis of sinus membrane thickening: Profile, causal factors, and its influence on complications. Implant Dent. 2017, 26, 868–874. [Google Scholar] [CrossRef]
- Guo, Z.Z.; Liu, Y.; Qin, L.; Song, Y.L.; Xie, C.; Li, D.H. Longitudinal response of membrane thickness and ostium patency following sinus floor elevation: A prospective cohort study. Clin. Oral Implant. Res. 2016, 27, 724–729. [Google Scholar] [CrossRef]
- Timmenga, N.M.; Raghoebar, G.M.; van Weissenbruch, R.; Vissink, A. Maxillary sinus floor elevation surgery. A clinical, radiographic and endoscopic evaluation. Clin. Oral Implant. Res. 2003, 14, 322–328. [Google Scholar] [CrossRef] [PubMed]
- Beule, A.G. Physiology and pathophysiology of respiratory mucosa of the nose and the paranasal sinuses. GMS Curr. Top Otorhinolaryngol. Head Neck Surg. 2010, 9, Doc07. [Google Scholar]
- Nolan, P.J.; Freeman, K.; Kraut, R.A. Correlation between Schneiderian membrane perforation and sinus lift graft outcome: A retrospective evaluation of 359 augmented sinus. J. Oral Maxillofac. Surg. 2014, 72, 47–52. [Google Scholar] [CrossRef]
- Anavi, Y.; Allon, D.M.; Avishai, G.; Calderon, S. Complications of maxillary sinus augmentations in a selective series of patients. Oral Surg. Oral Med. Oral Pathol. Oral Radiol. Endod. 2008, 106, 34–38. [Google Scholar] [CrossRef] [PubMed]
- Manor, Y.; Mardinger, O.; Bietlitum, I.; Nashef, A.; Bissan, J.; Chaushu, G. Late signs and symptoms of maxillary sinusitis after sinus augmentation. Oral Surg. Oral Med. Oral Pathol. Oral Radiol. Endod. 2010, 110, e1–e4. [Google Scholar] [CrossRef]
- Park, W.B.; Kang, K.L.; Han, J.Y. Intraoral approach for sinus graft infection following lateral sinus floor augmentation with simultaneous implant placement: A clinical case series. J. Oral Implantol. 2020, 46, 253–262. [Google Scholar] [CrossRef] [PubMed]
- Hunter, W.L., 4th; Bradrick, J.P.; Houser, S.M.; Patel, J.B.; Sawady, J. Maxillary sinusitis resulting from ostium plugging by dislodged bone graft: Case report. J. Oral Maxillofac. Surg. 2009, 67, 1495–1498. [Google Scholar] [CrossRef]
- Chandra, R.K.; Pearlman, A.; Conley, D.B.; Kern, R.C.; Chang, D. Significance of osteomeatal complex obstruction. J. Otolaryngol. Head Neck Surg. 2010, 39, 171–174. [Google Scholar]
- Schwartz-Arad, D.; Herzberg, R.; Dolev, E. The prevalence of surgical complications of the sinus graft procedure and their impact on implant survival. J. Periodontol. 2004, 75, 511–516. [Google Scholar] [CrossRef]
- Pikos, M.A. Maxillary sinus membrane repair: Update on technique for large and complete perforations. Implant Dent. 2008, 17, 24–31. [Google Scholar] [CrossRef] [PubMed] [Green Version]
- Raghoebar, G.M.; Timmenga, N.M.; Reintsema, H.; Stegenga, B.; Vissink, A. Maxillary bone grafting for insertion of endosseous implants: Results after 12-124 months. Clin. Oral Implant. Res. 2001, 12, 279–286. [Google Scholar] [CrossRef] [PubMed]
- Ikeda, K.; Oshima, T.; Furukawa, M.; Katori, Y.; Shimomura, A.; Takasaka, T.; Maruoka, S. Restoration of the mucociliary clearance of the maxillary sinus after endoscopic sinus surgery. J. Allergy Clin. Immunol. 1997, 99, 48–52. [Google Scholar]
- Penttilä, M.; Rautiainen, M.; Koskinen, M.O.; Turjanmaa, V.; Laranne, J.; Pukander, J. Mucociliary Clearance of the Maxillary Sinuses in Patients with Recurrent or Chronic Sinusitis. Am. J. Rhinol. Allergy 1994, 8, 285–290. [Google Scholar] [CrossRef]
- Umeki, S.; Manabe, T. Structure, function and pathophysiology of mucociliary transport system. Nihon Rinsho. 1992, 50, 892–899. [Google Scholar]
- McGowan, D.A.; Baxter, P.W.; James, J. The Maxillary Sinus and Its Dental Implications; Wright, Butterworth-Heinemann Ltd.: Oxford, UK, 1993; pp. 1–25. [Google Scholar]
- Gizurarson, S. The effect of cilia and the mucociliary clearance on successful drug delivery. Biol. Pharm. Bull. 2015, 38, 497–506. [Google Scholar] [CrossRef] [Green Version]
- App, E.M.; Zayas, J.G.; King, M. Rheology of mucus and transepithelial difference: Small airway versus trachea. Eur. Respir. J. 1993, 6, 67–75. [Google Scholar] [PubMed]
- Khoury, F. Augmentation of the sinus floor with mandibular bone block and simultaneous implantation: A 6-year clinical investigation. Int. J. Oral Maxillofac. Implants 1999, 14, 557–564. [Google Scholar] [PubMed]
- Froum, S.; Khouly, I.; Favero, G.; Cho, S.C. Effect of maxillary sinus membrane perforation on vital bone formation and implant survival: A retrospective study. J. Periodontol. 2013, 84, 1094–1099. [Google Scholar] [CrossRef]
- Misch, K.; Wang, H.L. Implant surgery complications: Etiology and treatment. Implant Dent. 2008, 17, 159–168. [Google Scholar] [CrossRef] [PubMed] [Green Version]
- Park, W.B.; Han, J.Y.; Kang, P.; Momen-Heravi, F. The clinical and radiographic outcomes of Schneiderian membrane perforation without repair in sinus elevation surgery. Clin. Implant Dent. Relat. Res. 2019, 21, 931–937. [Google Scholar] [CrossRef] [PubMed]




| Case | Sex | Age | Smoking | Implant Sites | Membrane Perforation (mm) | Membrane Repair | Time (from Graft Delivery to CBCT Scan) |
|---|---|---|---|---|---|---|---|
| 1 | F | 62 | No | #26, #27 | 4 | No | about 30 min |
| 2 | M | 36 | Yes | #16, #17, #26, #27 | Right: 15, Left: 10 | No | Right: about 60 min Left: about 30 min |
| 3 | M | 45 | No | Delayed approach (Left sinus) | 6 | No | about 30 min |
| 4 | M | 47 | No | #26, #27 | 8 | No | about 20 min |
Publisher’s Note: MDPI stays neutral with regard to jurisdictional claims in published maps and institutional affiliations. |
© 2022 by the authors. Licensee MDPI, Basel, Switzerland. This article is an open access article distributed under the terms and conditions of the Creative Commons Attribution (CC BY) license (https://creativecommons.org/licenses/by/4.0/).
Share and Cite
Park, W.-B.; Cho, N.-J.; Kang, P. Tomographic Imaging of Mucociliary Clearance Following Maxillary Sinus Augmentation: A Case Series. Medicina 2022, 58, 672. https://doi.org/10.3390/medicina58050672
Park W-B, Cho N-J, Kang P. Tomographic Imaging of Mucociliary Clearance Following Maxillary Sinus Augmentation: A Case Series. Medicina. 2022; 58(5):672. https://doi.org/10.3390/medicina58050672
Chicago/Turabian StylePark, Won-Bae, Nam-Jun Cho, and Philip Kang. 2022. "Tomographic Imaging of Mucociliary Clearance Following Maxillary Sinus Augmentation: A Case Series" Medicina 58, no. 5: 672. https://doi.org/10.3390/medicina58050672
APA StylePark, W.-B., Cho, N.-J., & Kang, P. (2022). Tomographic Imaging of Mucociliary Clearance Following Maxillary Sinus Augmentation: A Case Series. Medicina, 58(5), 672. https://doi.org/10.3390/medicina58050672

