Spacer Block Technique Was Superior to Intramedullary Guide Technique in Coronal Alignment of Femoral Component after Fixed-Bearing Medial Unicompartmental Knee Arthroplasty: A Case–Control Study
Abstract
1. Introduction
2. Materials and Methods
3. Surgical Technique
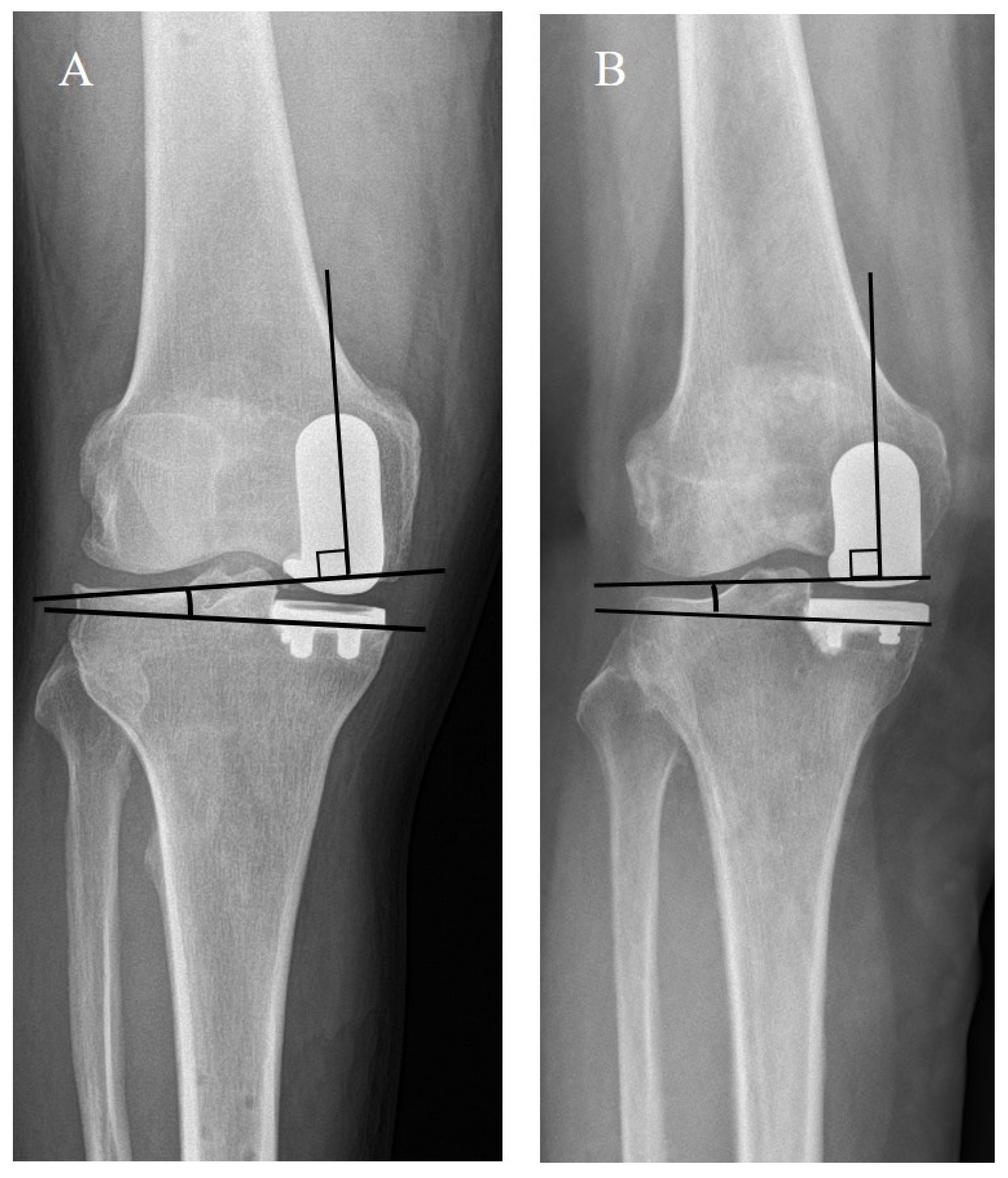
4. Clinical and Radiological Assessment
5. Statistical Analysis
6. Results
7. Discussion
8. Conclusions
Author Contributions
Funding
Institutional Review Board Statement
Informed Consent Statement
Data Availability Statement
Conflicts of Interest
References
- Foran, J.R.H.; Brown, N.M.; Della Valle, C.J.; Berger, R.A.; Galante, J.O. Long-term Survivorship and Failure Modes of Unicompartmental Knee Arthroplasty. Clin. Orthop. Relat. Res. 2013, 471, 102–108. [Google Scholar] [CrossRef] [PubMed]
- Friesenbichler, B.; Item-Glatthorn, J.F.; Wellauer, V.; von Knoch, F.; Casartelli, N.; Maffiuletti, N.A. Short-term functional advantages after medial unicompartmental versus total knee arthroplasty. Knee 2018, 25, 638–643. [Google Scholar] [CrossRef] [PubMed]
- Matsumoto, T.; Muratsu, H.; Kubo, S.; Kuroda, R.; Kurosaka, M. Intra-operative joint gap kinematics in unicompartmental knee arthroplasty. Clin. Biomech. 2013, 28, 29–33. [Google Scholar] [CrossRef] [PubMed]
- Al-Dadah, O.; Hawes, G.; Chapman-Sheath, P.J.; Tice, J.W.; Barrett, D.S. Unicompartmental vs. segmental bicompartmental vs. total knee replacement: Comparison of clinical outcomes. Knee Surg. Relat. Res. 2020, 32, 47. [Google Scholar] [CrossRef]
- Niinimäki, T.; Eskelinen, A.; Mäkelä, K.; Ohtonen, P.; Puhto, A.-P.; Remes, V. Unicompartmental Knee Arthroplasty Survivorship is Lower Than TKA Survivorship: A 27-year Finnish Registry Study. Clin. Orthop. Relat. Res. 2014, 472, 1496–1501. [Google Scholar] [CrossRef]
- Van Der List, J.P.; Zuiderbaan, H.A.; Pearle, A.D. Why Do Medial Unicompartmental Knee Arthroplasties Fail Today? J. Arthroplast. 2015, 31, 1016–1021. [Google Scholar] [CrossRef]
- Epinette, J.-A.; Brunschweiler, B.; Mertl, P.; Mole, D.; Cazenave, A.; French Society for Hip and Knee. Unicompartmental knee arthroplasty modes of failure: Wear is not the main reason for failure: A multicentre study of 418 failed knees. Orthop. Traumatol. Surg. Res. 2012, 98, S124–S130. [Google Scholar] [CrossRef]
- Kim, J.-G.; Kasat, N.S.; Bae, J.-H.; Kim, S.-J.; Oh, S.-M.; Lim, H.-C. The radiological parameters correlated with the alignment of the femoral component after Oxford Phase 3 unicompartmental knee replacement. J. Bone Jt. Surgery. Br. Vol. 2012, 94, 1499–1505. [Google Scholar] [CrossRef]
- Zhu, G.-D.; Guo, W.-S.; Zhang, Q.-D.; Liu, Z.-H.; Cheng, L.-M. Finite Element Analysis of Mobile-bearing Unicompartmental Knee Arthroplasty: The Influence of Tibial Component Coronal Alignment. Chin. Med. J. 2015, 128, 2873–2878. [Google Scholar] [CrossRef]
- Deschamps, G.; Chol, C. Fixed-bearing unicompartmental knee arthroplasty. Patients’ selection and operative technique. Orthop. Traumatol. Surg. Res. 2011, 97, 648–661. [Google Scholar] [CrossRef]
- Gulati, A.; Chau, R.; Simpson, D.; Dodd, C.; Gill, H.; Murray, D. Influence of component alignment on outcome for unicompartmental knee replacement. Knee 2009, 16, 196–199. [Google Scholar] [CrossRef] [PubMed]
- Argenson, J.-N.A.; Parratte, S. The Unicompartmental Knee: Design and technical considerations in minimizing wear. Clin. Orthop. Relat. Res. 2006, 452, 137–142. [Google Scholar] [CrossRef] [PubMed]
- Tuecking, L.-R.; Savov, P.; Richter, T.; Windhagen, H.; Ettinger, M. Clinical validation and accuracy testing of a radiographic decision aid for unicondylar knee arthroplasty patient selection in midterm follow-up. Knee Surg. Sport. Traumatol. Arthrosc. 2020, 28, 2082–2090. [Google Scholar] [CrossRef] [PubMed]
- Jang, K.-M.; Lim, H.C.; Han, S.-B.; Jeong, C.; Kim, S.-G.; Bae, J.-H. Does new instrumentation improve radiologic alignment of the Oxford® medial unicompartmental knee arthroplasty? Knee 2017, 24, 641–650. [Google Scholar] [CrossRef] [PubMed]
- Kort, N.; van Raay, J.; Thomassen, B. Alignment of the femoral component in a mobile-bearing unicompartmental knee arthroplasty: A study in 10 cadaver femora. Knee 2007, 14, 280–283. [Google Scholar] [CrossRef][Green Version]
- Ma, B.; Long, W.; Rudan, J.F.; Ellis, R.E. Three-Dimensional Analysis of Alignment Error in Using Femoral Intramedullary Guides in Unicompartmental Knee Arthroplasty. J. Arthroplast. 2006, 21, 271–278. [Google Scholar] [CrossRef]
- Levine, B.; Rosenberg, A.G. The Simple Unicondylar Knee: Extramedullary Technique. Clin. Sports Med. 2014, 33, 77–85. [Google Scholar] [CrossRef]
- Kim, T.K.; Mittal, A.; Meshram, P.; Kim, W.H.; Choi, S.M. Evidence-based surgical technique for medial unicompartmental knee arthroplasty. Knee Surg. Relat. Res. 2021, 33, 2. [Google Scholar] [CrossRef]
- Matziolis, G.; Mueller, T.; Layher, F.; Wagner, A. The femoral component alignment resulting from spacer block technique is not worse than after intramedullary guided technique in medial unicompartimental knee arthroplasty. Arch. Orthop. Trauma Surg. 2018, 138, 865–870. [Google Scholar] [CrossRef]
- Sarmah, S.S.; Patel, S.; Hossain, F.S.; Haddad, F.S. The radiological assessment of total and unicompartmental knee replacements. J. Bone Jt. Surgery. Br. Vol. 2012, 94, 1321–1329. [Google Scholar] [CrossRef]
- Mittal, A.; Meshram, P.; Kim, W.H.; Kim, T.K. Unicompartmental knee arthroplasty, an enigma, and the ten enigmas of medial UKA. J. Orthop. Traumatol. 2020, 21, 15. [Google Scholar] [CrossRef] [PubMed]
- Kazarian, G.S.; Barrack, T.N.; Okafor, L.; Barrack, R.L.; Nunley, R.M.; Lawrie, C.M. High Prevalence of Radiographic Outliers and Revisions with Unicompartmental Knee Arthroplasty. J. Bone Jt. Surg. 2020, 102, 1151–1159. [Google Scholar] [CrossRef] [PubMed]
- Harvie, P.; Sloan, K.; Beaver, R.J. Three-Dimensional Component Alignment and Functional Outcome in Computer-Navigated Total Knee Arthroplasty: A Prospective, Randomized Study Comparing Two Navigation Systems. J. Arthroplast. 2011, 26, 1285–1290. [Google Scholar] [CrossRef]
- Lad, D.G.; Thilak, J.; Thadi, M. Component alignment and functional outcome following computer assisted and jig based total knee arthroplasty. Indian J. Orthop. 2013, 47, 77–82. [Google Scholar] [CrossRef] [PubMed]
- Huijbregts, H.J.T.A.M.; Khan, R.J.K.; Fick, D.P.; Hall, M.J.; Punwar, S.A.; Sorensen, E.; Reid, M.J.; Vedove, S.D.; Haebich, S. Component alignment and clinical outcome following total knee arthroplasty: A randomised controlled trial comparing an intramedullary alignment system with patient-specific instrumentation. Bone Jt. J. 2016, 98, 1043–1049. [Google Scholar] [CrossRef]
- Citak, M.; Dersch, K.; Kamath, A.F.; Haasper, C.; Gehrke, T.; Kendoff, D. Common causes of failed unicompartmental knee arthroplasty: A single-centre analysis of four hundred and seventy one cases. Int. Orthop. 2014, 38, 961–965. [Google Scholar] [CrossRef] [PubMed]
- Suzuki, T.; Ryu, K.; Kojima, K.; Iriuchishima, T.; Saito, S.; Nagaoka, M.; Tokuhashi, Y. Evaluation of spacer block technique using tensor device in unicompartmental knee arthroplasty. Arch. Orthop. Trauma. Surg. 2015, 135, 1011–1016. [Google Scholar] [CrossRef]
- Kinsey, T.L.; Anderson, D.N.; Phillips, V.M.; Mahoney, O.M. Disease Progression After Lateral and Medial Unicondylar Knee Arthroplasty. J. Arthroplast. 2018, 33, 3441–3447. [Google Scholar] [CrossRef]





| Variable | Intramedullary Guide Group | Spacer Block Group | p Value |
|---|---|---|---|
| No. of subjects | 39 | 76 | |
| Age (year) | 64.9 ± 9.1 | 66.4 ± 6.3 | n.s † |
| Sex (male/female) | 4/35 | 6/70 | n.s * |
| BMI (kg/m2) | 26.0 ± 3.3 | 26.2 ± 3.2 | n.s † |
| Clinical parameters | |||
| Flexion contracture of knee (°) | 2.6 ± 4.0 | 3.8 ± 6.2 | n.s † |
| Maximal flexion angle of knee (°) | 136.7 ± 8.4 | 132.4 ± 11.4 | n.s † |
| Hospital for Special Surgery score | 64.0 ± 12.1 | 59.7 ± 19.8 | n.s † |
| Knee Society Knee Score | 54.1 ± 20.8 | 48.4 ± 21.0 | n.s † |
| Knee Society Function Score | 41.8 ± 17.9 | 37.6 ± 16.1 | n.s † |
| Pain visual analog scale (0–10) | 6.5 ± 2.0 | 7.2 ± 1.9 | n.s † |
| WOMAC | 48.0 ± 12.2 | 48.5 ± 11.3 | n.s † |
| Radiological parameters | |||
| Mechanical femorotibial angle (°) | −6.6 ± 4.1 | −5.3 ± 2.9 | 0.05 † |
| Medial proximal tibial angle (°) | −3.5 ± 2.6 | −3.3 ± 2.2 | n.s † |
| Tibial posterior slope (°) | 9.9 ± 2.8 | 9.7 ± 3.0 | n.s † |
| Variable | Intramedullary Guide Group (N = 39) | Spacer Block Group (N = 76) | p Value |
|---|---|---|---|
| Clinical parameters | |||
| Flexion contracture of knee (°) | 1.2 ± 2.6 | 0.3 ± 1.1 | n.s |
| Maximal flexion angle of knee (°) | 134.4 ± 8.8 | 135.7 ± 5.5 | n.s |
| Hospital for Special Surgery score | 95.6 ± 3.0 | 90.3 ± 9.0 | n.s |
| Knee Society Knee Score | 93.5 ± 4.5 | 92.5 ± 9.2 | n.s |
| Knee Society Function Score | 88.5 ± 8.4 | 91.7 ± 8.0 | n..s |
| Pain visual analog scale (0–10) | 1.0 ± 1.3 | 1.5 ± 1.7 | n.s |
| WOMAC | 8.9 ± 7.0 | 9.1 ± 13.3 | n.s |
| Radiological parameters | |||
| Mechanical FT angle (°) | −1.8 ± 3.7 | −0.3 ± 3.2 | 0.025 |
| Difference from preoperative value (°) | 4.8 ± 3.5 | 5.0 ± 2.2 | n.s |
| Coronal femoral component angle (α) (°) | 2.4 ± 4.9 | −1.1 ± 3.2 | <0.001 |
| Number of outlier in α angle (<−10 or 10<) | 3 | 0 | 0.014 |
| Coronal tibial component angle (β) (°) | −1.0 ± 4.3 | −3.0 ± 2.4 | 0.001 |
| Difference from preoperative MPTA (°) | 2.4 ± 4.9 | 0.2 ± 2.8 | 0.003 |
| Sagittal femoral component angle (°) | 3.1 ± 8.7 | 5.0 ± 4.1 | n.s |
| Sagittal tibial component angle (°) | 7.2 ± 3.5 | 8.2 ± 2.7 | n.s |
| Difference from preoperative tibial posterior slope (°) | −2.8 ± 4.0 | −1.4 ± 3.4 | n.s |
| Coronal FT component congruence angle (°) | 3.4 ± 4.5 | 1.9 ± 2.6 | 0.028 |
Disclaimer/Publisher’s Note: The statements, opinions and data contained in all publications are solely those of the individual author(s) and contributor(s) and not of MDPI and/or the editor(s). MDPI and/or the editor(s) disclaim responsibility for any injury to people or property resulting from any ideas, methods, instructions or products referred to in the content. |
© 2022 by the authors. Licensee MDPI, Basel, Switzerland. This article is an open access article distributed under the terms and conditions of the Creative Commons Attribution (CC BY) license (https://creativecommons.org/licenses/by/4.0/).
Share and Cite
Lee, O.-S.; Lee, M.C.; Shin, C.Y.; Han, H.-S. Spacer Block Technique Was Superior to Intramedullary Guide Technique in Coronal Alignment of Femoral Component after Fixed-Bearing Medial Unicompartmental Knee Arthroplasty: A Case–Control Study. Medicina 2023, 59, 89. https://doi.org/10.3390/medicina59010089
Lee O-S, Lee MC, Shin CY, Han H-S. Spacer Block Technique Was Superior to Intramedullary Guide Technique in Coronal Alignment of Femoral Component after Fixed-Bearing Medial Unicompartmental Knee Arthroplasty: A Case–Control Study. Medicina. 2023; 59(1):89. https://doi.org/10.3390/medicina59010089
Chicago/Turabian StyleLee, O-Sung, Myung Chul Lee, Chung Yeob Shin, and Hyuk-Soo Han. 2023. "Spacer Block Technique Was Superior to Intramedullary Guide Technique in Coronal Alignment of Femoral Component after Fixed-Bearing Medial Unicompartmental Knee Arthroplasty: A Case–Control Study" Medicina 59, no. 1: 89. https://doi.org/10.3390/medicina59010089
APA StyleLee, O.-S., Lee, M. C., Shin, C. Y., & Han, H.-S. (2023). Spacer Block Technique Was Superior to Intramedullary Guide Technique in Coronal Alignment of Femoral Component after Fixed-Bearing Medial Unicompartmental Knee Arthroplasty: A Case–Control Study. Medicina, 59(1), 89. https://doi.org/10.3390/medicina59010089

