Fully Endoscopic Spine Separation Surgery in Metastatic Disease—Case Series, Technical Notes, and Preliminary Findings
Abstract
1. Introduction
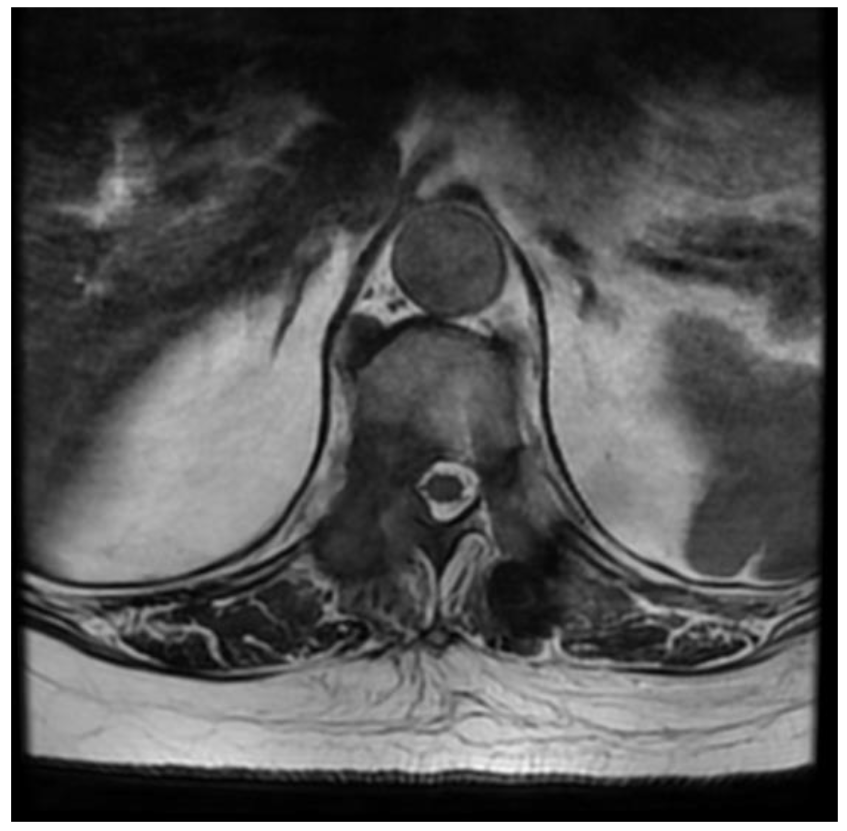
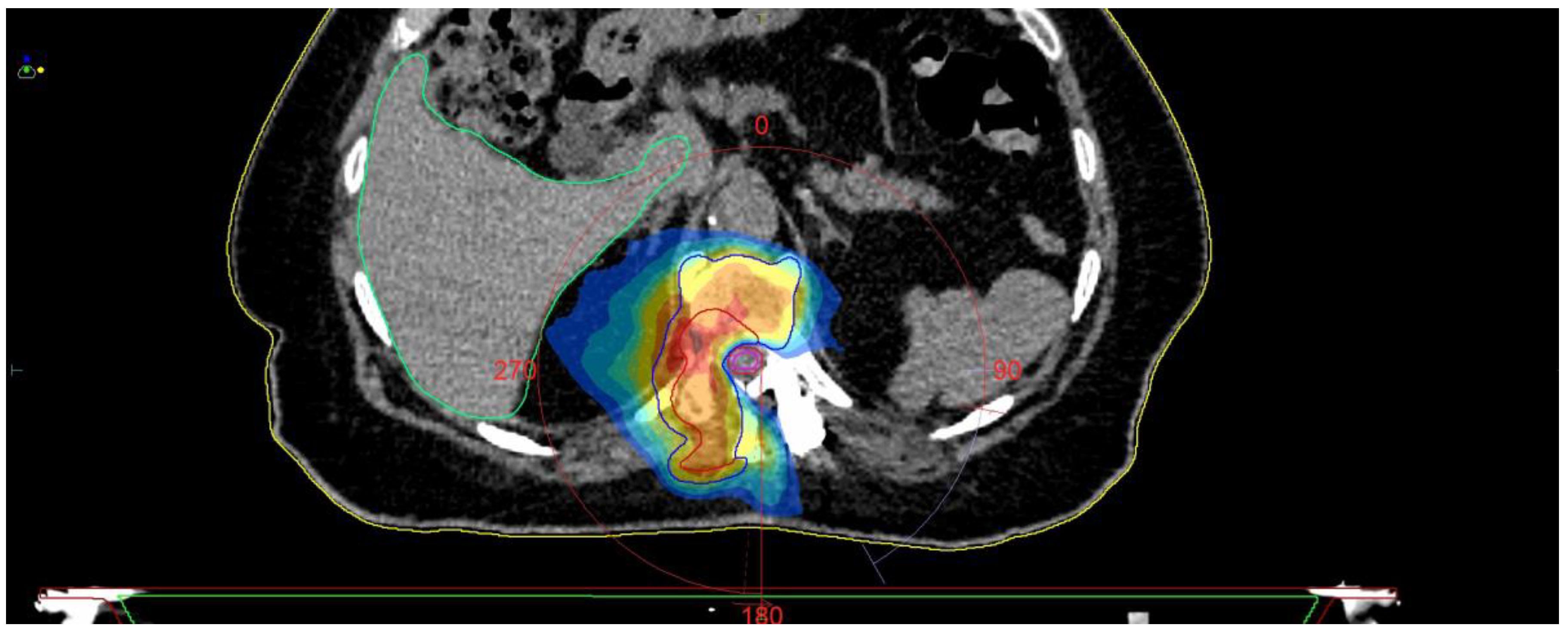
2. Materials and Methods
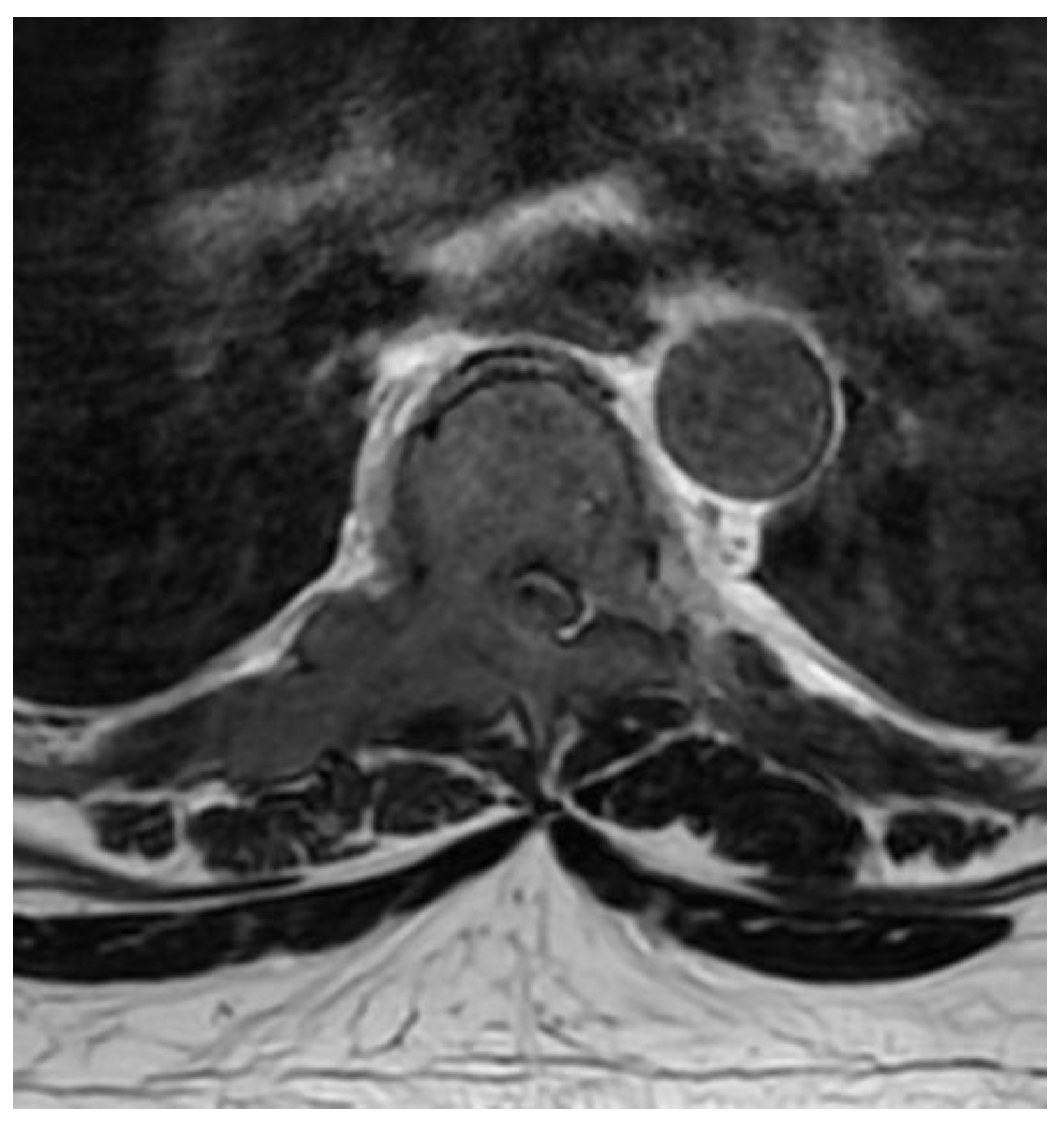
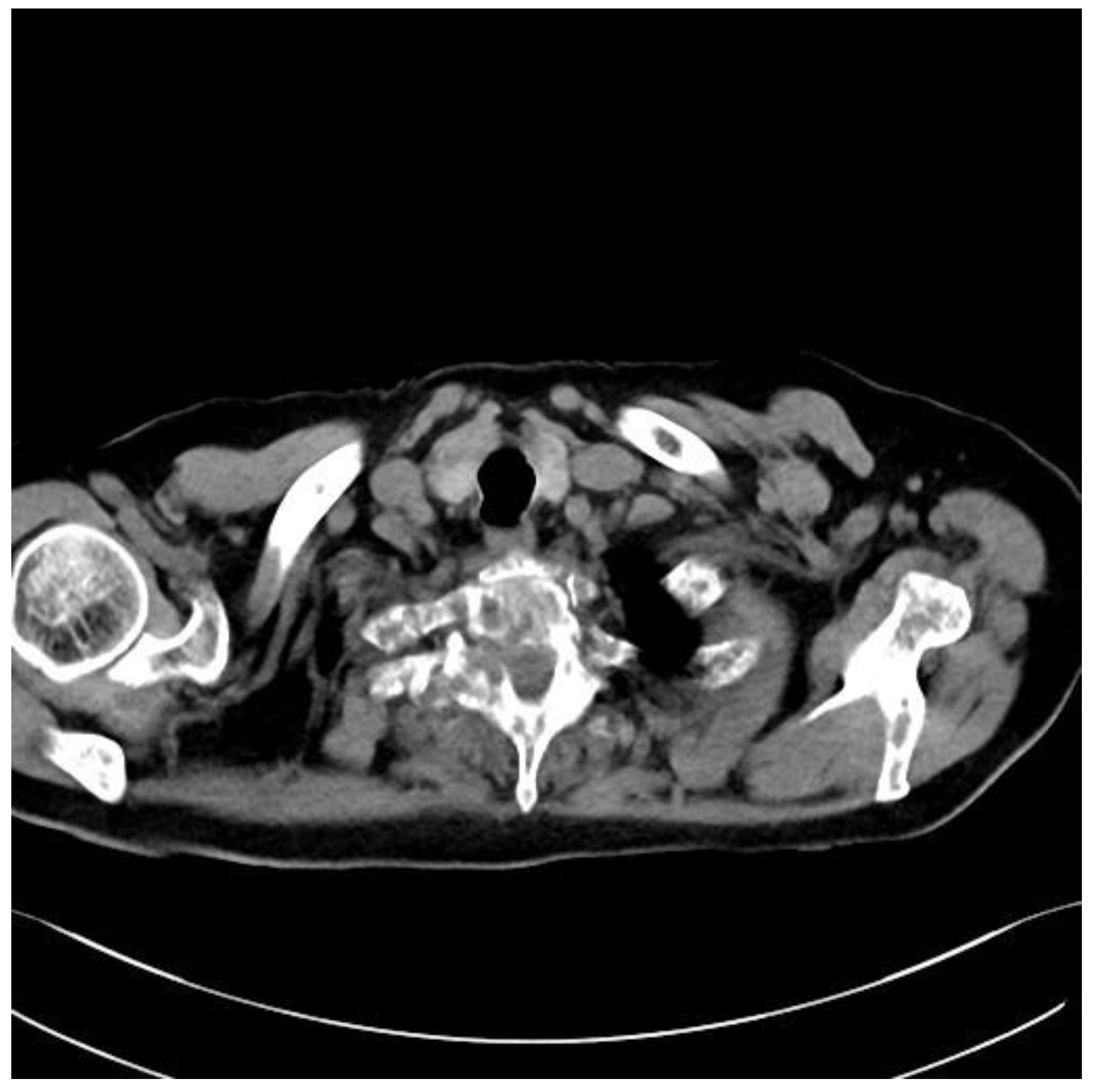
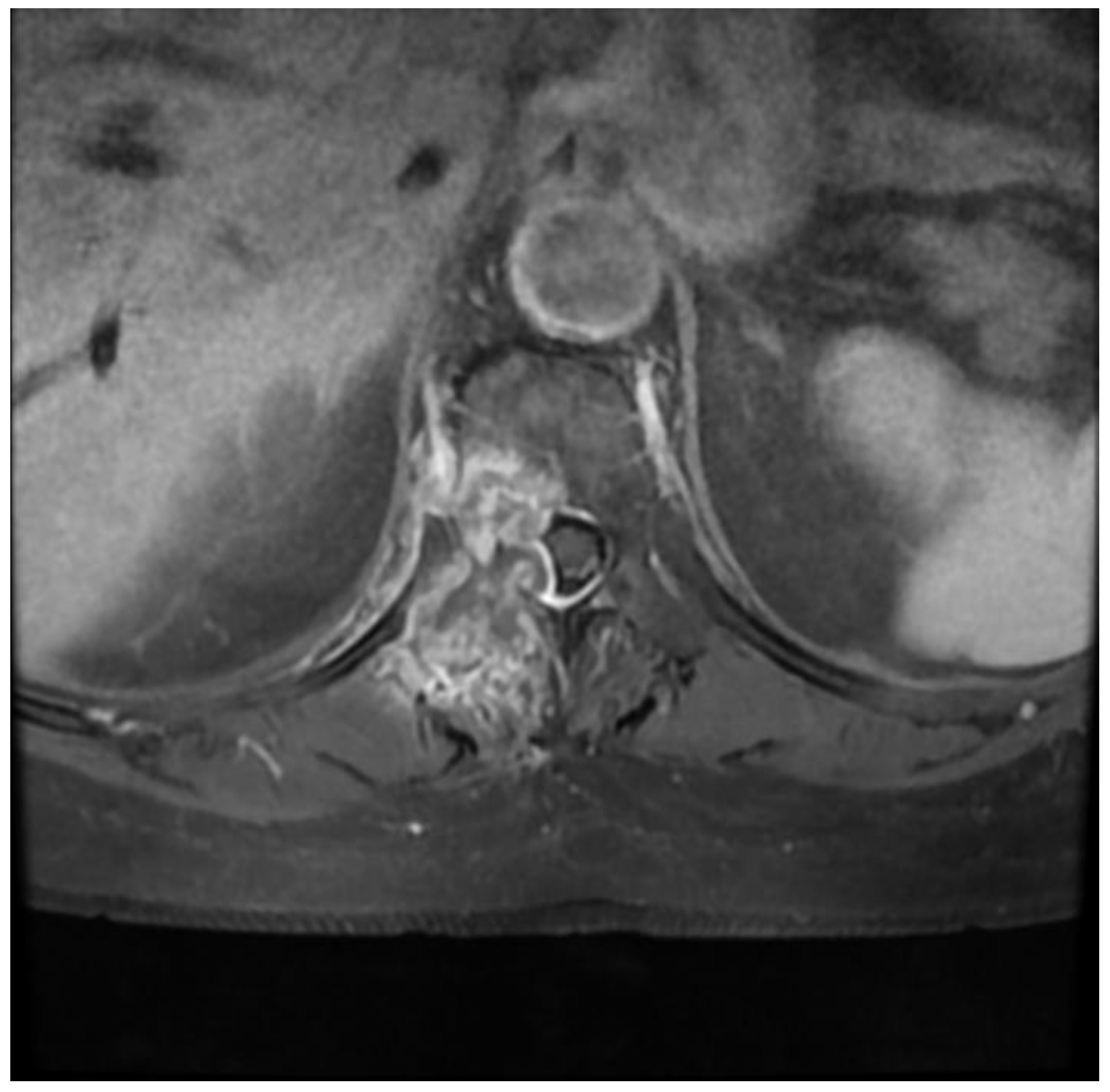
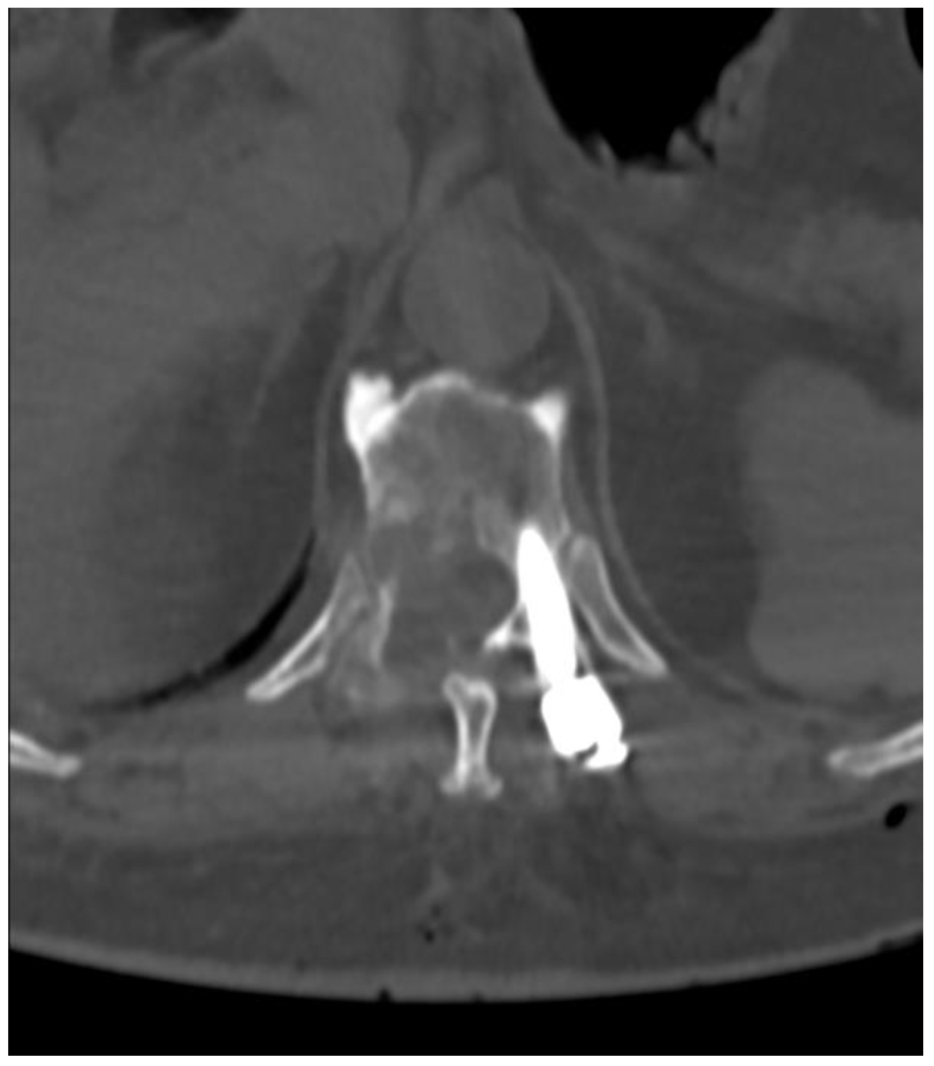
3. Results
4. Discussion
5. Conclusions
Supplementary Materials
Author Contributions
Funding
Institutional Review Board Statement
Informed Consent Statement
Data Availability Statement
Conflicts of Interest
References
- Mossa-Basha, M.; Gerszten, P.C.; Myrehaug, S.; Mayr, N.A.; Yuh, W.T.; Maralani, P.J.; Sahgal, A.; Lo, S.S. Spinal metastasis: Diagnosis, management and follow-up. Br. J. Radiol. 2019, 92, 20190211. [Google Scholar] [CrossRef] [PubMed]
- Broggini, T.; Czabanka, M.; Piffko, A.; Harms, C.; Hoffmann, C.J.; Mrowka, R.; Wenke, F.; Deutsch, U.; Grötzinger, C.; Vajkoczy, P. ICAM1 depletion reduces spinal metastasis formation in vivo and improves neurological outcome. Eur. Spine J. 2015, 24, 2173–2181. [Google Scholar] [CrossRef] [PubMed]
- Ziu, E.; Viswanathan, V.K.; Mesfin, F.B. Spinal Metastasis. In StatPearls; StatPearls Publishing: Treasure Island, FL, USA, 2022. Available online: https://www.ncbi.nlm.nih.gov/books/NBK441950/ (accessed on 3 March 2022).
- Guzik, G. Outcomes of Corpectomy in Patients with Metastatic Cancer. Ortop. Traumatol. Rehabil. 2017, 19, 23–32. [Google Scholar] [PubMed]
- Lo, S.S.; Sahgal, A.; Wang, J.Z.; Mayr, N.A.; Sloan, A.; Mendel, E.; Chang, E.L. Stereotactic body radiation therapy for spinal metastases. Discov. Med. 2010, 9, 289–296. [Google Scholar]
- Palma, D.A.; Olson, R.; Harrow, S.; Gaede, S.; Louie, A.V.; Haasbeek, C.; Mulroy, L.; Lock, M.; Rodrigues, G.B.; Yaremko, B.P.; et al. Stereotactic Ablative Radiotherapy for the Comprehensive Treatment of Oligometastatic Cancers: Long-Term Results of the SABR-COMET Phase II Randomized Trial. J. Clin. Oncol. 2020, 38, 2830–2838. [Google Scholar] [CrossRef] [PubMed]
- Sahgal, A.; Myrehaug, S.D.; Siva, S.; Masucci, G.L.; Maralani, P.J.; Brundage, M.; Butler, J.; Chow, E.; Fehlings, M.G.; Foote, M.; et al. Stereotactic body radiotherapy versus conventional external beam radiotherapy in patients with painful spinal metastases: An open-label, multicentre, randomised, controlled, phase 2/3 trial. Lancet Oncol. 2021, 22, 1023–1033. [Google Scholar] [CrossRef]
- Choi, G.; Pophale, C.S.; Patel, B.; Uniyal, P. Endoscopic Spine Surgery. J. Korean Neurosurg. Soc. 2017, 60, 485–497, Erratum in J. Korean Neurosurg. Soc. 2019, 62, 336. [Google Scholar] [CrossRef]
- Fisher, C.G.; DiPaola, C.P.; Ryken, T.C.; Bilsky, M.H.; Shaffrey, C.I.; Berven, S.H.; Harrop, J.S.; Fehlings, M.G.; Boriani, S.; Chou, D.; et al. A Novel Classification System for Spinal Instability in Neoplastic Disease: An evidence-based approach and expert consensus from the Spine Oncology Study Group. Spine 2010, 35, E1221–E1229. [Google Scholar] [CrossRef]
- Bilsky, M.H.; Laufer, I.; Fourney, D.R.; Groff, M.; Schmidt, M.H.; Varga, P.P.; Vrionis, F.D.; Yamada, Y.; Gerszten, P.C.; Kuklo, T.R. Reliability analysis of the epidural spinal cord compression scale. J. Neurosurg. Spine 2010, 13, 324–328. [Google Scholar] [CrossRef]
- Shao, M.M.; Rubino, S.; DiRisio, D.J.; German, J.W. The History of Neurosurgical Spinal Oncology: From Inception to Modern-Day Practices. World Neurosurg. 2021, 150, 101–109. [Google Scholar] [CrossRef]
- Manabe, J.; Kawaguchi, N.; Matsumoto, S.; Tanizawa, T. Surgical treatment of bone metastasis: Indications and outcomes. Int. J. Clin. Oncol. 2005, 10, 103–111. [Google Scholar] [CrossRef]
- Klimo, p., Jr.; Schmidt, M.H. Surgical Management of Spinal Metastases. Oncologist 2004, 9, 188–196. [Google Scholar] [CrossRef]
- Rose, P.S.; Buchowski, J.M. Metastatic Disease in the Thoracic and Lumbar Spine: Evaluation and management. J. Am. Acad. Orthop. Surg. 2011, 19, 37–48. [Google Scholar] [CrossRef]
- Li, J.; Wei, W.; Xu, F.; Wang, Y.; Liu, Y.; Fu, C. Clinical Therapy of Metastatic Spinal Tumors. Front. Surg. 2021, 8, 626873. [Google Scholar] [CrossRef]
- Armstrong, V.; Schoen, N.; Madhavan, K.; Vanni, S. A systematic review of interventions and outcomes in lung cancer metastases to the spine. J. Clin. Neurosci. 2019, 62, 66–71. [Google Scholar] [CrossRef]
- Hasan, S.; Härtl, R.; Hofstetter, C.P. The benefit zone of full-endoscopic spine surgery. J. Spine Surg. 2019, 5 (Suppl. 1), S41–S56. [Google Scholar] [CrossRef]
- Kumar, N.; Malhotra, R.; Zaw, A.; Maharajan, K.; Naresh, N.; Kumar, A.; Vellayappan, B. Evolution in treatment strategy for metastatic spine disease: Presently evolving modalities. Eur. J. Surg. Oncol. 2017, 43, 1784–1801. [Google Scholar] [CrossRef]
- Bartels, R.H.M.A.; van der Linden, Y.M.; van der Graaf, W.T.A. Spinal Extradural Metastasis: Review of Current Treatment Options. CA Cancer J. Clin. 2008, 58, 245–259. [Google Scholar] [CrossRef]
- Di Perna, G.; Cofano, F.; Mantovani, C.; Badellino, S.; Marengo, N.; Ajello, M.; Comite, L.M.; Palmieri, G.; Tartara, F.; Zenga, F.; et al. Separation surgery for metastatic epidural spinal cord compression: A qualitative review. J. Bone Oncol. 2020, 25, 100320. [Google Scholar] [CrossRef]
- Lin, P.C.; Hsu, F.M.; Chen, Y.H.; Xiao, F. Neoadjuvant Stereotactic Body Radiation Therapy for Spine Metastases. J. Spine Neurosurg. 2018, 7. [Google Scholar] [CrossRef]
- Patchell, R.A.; Tibbs, P.A.; Regine, W.F.; Payne, R.; Saris, S.; Kryscio, R.J.; Mohiuddin, M.; Young, B. Direct decompressive surgical resection in the treatment of spinal cord compression caused by metastatic cancer: A randomised trial. Lancet 2005, 366, 643–648. [Google Scholar] [CrossRef] [PubMed]
- Mobbs, R.J.; Park, A.; Maharaj, M.; Phan, K. Outcomes of percutaneous pedicle screw fixation for spinal trauma and tumours. J. Clin. Neurosci. 2015, 23, 88–94. [Google Scholar] [CrossRef] [PubMed]
- Deutsch, H.; Boco, T.; Lobel, J. Minimally Invasive Transpedicular Vertebrectomy for Metastatic Disease to the Thoracic Spine. J. Spinal Disord. Tech. 2008, 21, 101–105. [Google Scholar] [CrossRef] [PubMed]
- Assaker, R. Minimal access spinal technologies: State-of-the-art, indications, and techniques. Jt. Bone Spine 2004, 71, 459–469. [Google Scholar] [CrossRef] [PubMed]
- Cuschieri, A. Technology for minimal access surgery. Interview by Judy Jones. BMJ 1999, 319. [Google Scholar] [CrossRef]
- Kumar, N.; Tan, J.H.; Thomas, A.C.; Tan, J.Y.H.; Madhu, S.; Shen, L.; Lopez, K.G.; Hey, D.H.W.; Liu, G.; Wong, H. The Utility of ‘Minimal Access and Separation Surgery’ in the Management of Metastatic Spine Disease. Glob. Spine J. 2022, 21925682211049803. [Google Scholar] [CrossRef]
- Massicotte, E.; Foote, M.; Reddy, R.; Sahgal, A. Minimal Access Spine Surgery (MASS) for Decompression and Stabilization Performed as an Out-Patient Procedure for Metastatic Spinal Tumours Followed by Spine Stereotactic Body Radiotherapy (SBRT): First Report of Technique and Preliminary Outcomes. Technol. Cancer Res. Treat. 2012, 11, 15–25. [Google Scholar] [CrossRef]
- Wu, C.; Lee, C.-Y.; Chen, S.C.; Hsu, S.-K.; Wu, M.-H. Functional outcomes of full-endoscopic spine surgery for high-grade migrated lumbar disc herniation: A prospective registry-based cohort study with more than 5 years of follow-up. BMC Musculoskelet. Disord. 2021, 22, 58. [Google Scholar] [CrossRef]
- Gadjradj, P.S.; van Tulder, M.W.; Dirven, C.M.F.; Peul, W.C.; Harhangi, B.S. Clinical outcomes after percuta-neous transforaminal endoscopic discectomy for lumbar disc herniation: A prospective case series. Neurosurg. Focus 2016, 40, E3. Available online: https://thejns.org/focus/view/journals/neurosurg-focus/40/2/article-pE3.xml (accessed on 8 October 2022). [CrossRef]
- Choi, K.-C.; Lee, D.C.; Shim, H.-K.; Shin, S.-H.; Park, C.-K. A Strategy of Percutaneous Endoscopic Lumbar Discectomy for Migrated Disc Herniation. World Neurosurg. 2017, 99, 259–266. [Google Scholar] [CrossRef]
- Yue, J.J.; Long, W. Full Endoscopic Spinal Surgery Techniques: Advancements, Indications, and Outcomes. Int. J. Spine Surg. 2015, 9, 17. [Google Scholar] [CrossRef]
- Li, R.-F.; Qiao, R.-Q.; Xu, M.-Y.; Ma, R.-X.; Hu, Y.-C. Separation Surgery in the Treatment of Spinal Metastasis. Technol. Cancer Res. Treat. 2022, 21, 15330338221107208. [Google Scholar] [CrossRef]
- Rosenthal, D.; Marquardt, G.; Lorenz, R.; Nichtweiß, M. Anterior decompression and stabilization using a microsurgical endoscopic technique for metastatic tumors of the thoracic spine. J. Neurosurg. 1996, 84, 565–572. [Google Scholar] [CrossRef]
- Telfeian, A.E.; Choi, D.B.; Aghion, D.M. Transforaminal endoscopic surgery under local analgesia for ventral epidural thoracic spinal tumor: Case report. Clin. Neurol. Neurosurg. 2015, 134, 1–3. [Google Scholar] [CrossRef]
- Joo, Y.-C.; Ok, W.-K.; Baik, S.-H.; Kim, H.-J.; Kwon, O.-S.; Kim, K.-H. Removal of a vertebral metastatic tumor compressing the spinal nerve roots via a single-port, transforaminal, endoscopic approach under monitored anesthesia care. Pain Physician 2012, 15, 297–302. [Google Scholar]
- Yadav, Y.R.; Ratre, S.; Parihar, V.; Dubey, A.; Dubey, M.N. Endoscopic partial corpectomy using anterior decompression for cervical myelopathy. Neurol. India 2018, 66, 444–451. [Google Scholar] [CrossRef] [PubMed]
- Cofano, F.; Di Perna, G.; Marengo, N.; Ajello, M.; Melcarne, A.; Zenga, F.; Garbossa, D. Transpedicular 3D endoscope-assisted thoracic corpectomy for separation surgery in spinal metastases: Feasibility of the technique and preliminary results of a promising experience. Neurosurg. Rev. 2020, 43, 351–360. [Google Scholar] [CrossRef]
- Sofoluke, N.; Barber, S.M.; Telfeian, A.E.; Hofstetter, C.P.; Konakondla, S. The Role of the Endoscope in Spinal Oncology: A Systematic Review of Applications and Systematic Analysis of Patient Outcomes. World Neurosurg. 2022, 164, 33–40. [Google Scholar] [CrossRef]
- Telfeian, A.E.; Oyelese, A.; Fridley, J.; Doberstein, C.; Gokaslan, Z.L. Endoscopic surgical treatment for symptomatic spinal metastases in long-term cancer survivors. J. Spine Surg. 2020, 6, 372–382. [Google Scholar] [CrossRef]
- Simpson, A.K.; Lightsey, H.M.; Xiong, G.X.; Crawford, A.M.; Minamide, A.; Schoenfeld, A.J. Spinal endoscopy: Evidence, techniques, global trends, and future projections. Spine J. 2022, 22, 64–74. [Google Scholar] [CrossRef]
- Maciejczak, A.; Gasik, R.; Kotrych, D.; Rutkowski, P.; Antoniak, K.; Derenda, M.; Dobiecki, K.; Górski, R.; Grzelak, L.; Guzik, G.; et al. Spinal tumours: Recommendations of the Polish Society of Spine Surgery, the Polish Society of Oncology, the Polish Society of Neurosurgeons, the Polish Society of Oncologic Surgery, the Polish Society of Oncologic Radiotherapy, and the Polish Society of Orthopaedics and Traumatology. Eur. Spine J. 2023, 32, 1300–1325. [Google Scholar] [PubMed]
- Xu, T.; Tian, R.; Qiao, P.; Han, Z.; Shen, Q.; Jia, Y. Application of continuous epidural anesthesia in transforaminal lumbar endoscopic surgery: A prospective randomized controlled trial. J. Int. Med. Res. 2019, 47, 1146–1153. [Google Scholar] [CrossRef] [PubMed]
- Smith, Z.A.; Fessler, R.G. Paradigm changes in spine surgery—Evolution of minimally invasive techniques. Nat. Rev. Neurol. 2012, 8, 443–450. [Google Scholar] [CrossRef]
- Kim, C.H.; Chung, C.K.; Park, C.S.; Choi, B.; Hahn, S.; Kim, M.J.; Lee, K.S.; Park, B.J. Reoperation rate after surgery for lumbar spinal stenosis without spondylolisthesis: A nationwide cohort study. Spine J. 2013, 13, 1230–1237. [Google Scholar] [CrossRef]
- Ruetten, S.; Komp, M.; Merk, H.; Godolias, G. Full-endoscopic interlaminar and transforaminal lumbar discectomy versus con-ventional microsurgical technique: A prospective, randomized, controlled study. Spine 2008, 33, 931–939. [Google Scholar] [CrossRef]
- Yeung, A.T.; Yeung, C.A. Advances in endoscopic disc and spine surgery: Foraminal approach. Surg. Technol. Online 2003, 11, 255–263. [Google Scholar]
- Ammirati, M.; Spiliopoulos, K.; Epstein, C.R.; Gabriel, J.; Bourekas, E.C. Preoperative direct percutaneous embolization of spinal metastasis from renal cell carcinoma. J. NeuroInterv. Surg. 2011, 3, 297–299. [Google Scholar] [CrossRef]










Disclaimer/Publisher’s Note: The statements, opinions and data contained in all publications are solely those of the individual author(s) and contributor(s) and not of MDPI and/or the editor(s). MDPI and/or the editor(s) disclaim responsibility for any injury to people or property resulting from any ideas, methods, instructions or products referred to in the content. |
© 2023 by the authors. Licensee MDPI, Basel, Switzerland. This article is an open access article distributed under the terms and conditions of the Creative Commons Attribution (CC BY) license (https://creativecommons.org/licenses/by/4.0/).
Share and Cite
Latka, K.; Kolodziej, W.; Pawlak, K.; Sobolewski, T.; Rajski, R.; Chowaniec, J.; Olbrycht, T.; Tanaka, M.; Latka, D. Fully Endoscopic Spine Separation Surgery in Metastatic Disease—Case Series, Technical Notes, and Preliminary Findings. Medicina 2023, 59, 993. https://doi.org/10.3390/medicina59050993
Latka K, Kolodziej W, Pawlak K, Sobolewski T, Rajski R, Chowaniec J, Olbrycht T, Tanaka M, Latka D. Fully Endoscopic Spine Separation Surgery in Metastatic Disease—Case Series, Technical Notes, and Preliminary Findings. Medicina. 2023; 59(5):993. https://doi.org/10.3390/medicina59050993
Chicago/Turabian StyleLatka, Kajetan, Waldemar Kolodziej, Kornel Pawlak, Tomasz Sobolewski, Rafal Rajski, Jacek Chowaniec, Tomasz Olbrycht, Masato Tanaka, and Dariusz Latka. 2023. "Fully Endoscopic Spine Separation Surgery in Metastatic Disease—Case Series, Technical Notes, and Preliminary Findings" Medicina 59, no. 5: 993. https://doi.org/10.3390/medicina59050993
APA StyleLatka, K., Kolodziej, W., Pawlak, K., Sobolewski, T., Rajski, R., Chowaniec, J., Olbrycht, T., Tanaka, M., & Latka, D. (2023). Fully Endoscopic Spine Separation Surgery in Metastatic Disease—Case Series, Technical Notes, and Preliminary Findings. Medicina, 59(5), 993. https://doi.org/10.3390/medicina59050993

