Therapeutic Effects of Treating COVID-19 Vaccine-Induced Anti-TIF1-γ-Positive Dermatomyositis
Abstract
:1. Introduction
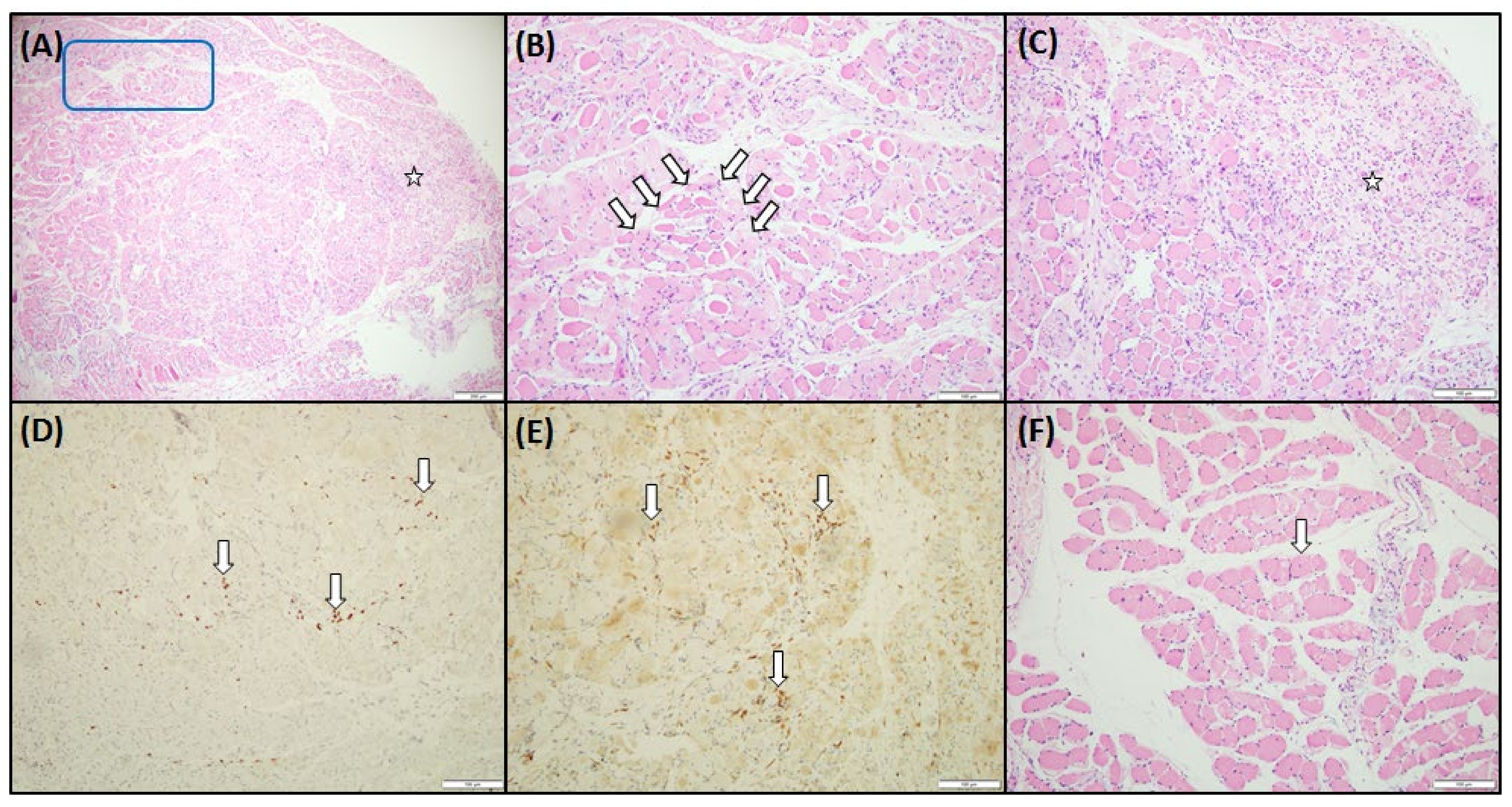
2. Case Report
3. Discussion
4. Conclusions
Author Contributions
Funding
Institutional Review Board Statement
Informed Consent Statement
Data Availability Statement
Conflicts of Interest
References
- Gambichler, T.; Boms, S.; Susok, L.; Dickel, H.; Finis, C.; Abu Rached, N.; Barras, M.; Stücker, M.; Kasakovskiet, D. Cutaneous findings following COVID-19 vaccination: Review of world literature and own experience. J. Eur. Acad. Dermatol. Venereol. 2022, 36, 172–180. [Google Scholar] [CrossRef] [PubMed]
- Stübgen, J.P. A review on the association between inflammatory myopathies and vaccination. Autoimmun. Rev. 2014, 13, 31–39. [Google Scholar] [CrossRef] [PubMed]
- Lundberg, I.E.; Tjärnlund, A.; Bottai, M.; Werth, V.P.; Pilkington, C.; Visser, M.; Alfredsson, L.; Amato, A.A.; Barohn, R.J.; Liang, M.H.; et al. 2017 European League Against Rheumatism/American College of Rheumatology classification criteria for adult and juvenile idiopathic inflammatory myopathies and their major subgroups. Ann. Rheum. Dis. 2017, 76, 1955–1964. [Google Scholar] [CrossRef] [PubMed]
- Cobos, G.A.; Femia, A.; Vleugels, R.A. Dermatomyositis: An Update on Diagnosis and Treatment. Am. J. Clin. Dermatol. 2020, 21, 339–353. [Google Scholar] [CrossRef] [PubMed]
- Waldman, R.; DeWane, M.E.; Lu, J. Dermatomyositis: Diagnosis and treatment. J. Am. Acad. Dermatol. 2020, 82, 283–296. [Google Scholar] [CrossRef] [PubMed]
- Chen, Y.; Xu, Z.; Wang, P.; Li, X.M.; Shuai, Z.W.; Ye, D.Q.; Pan, H.-F. New-onset autoimmune phenomena post-COVID-19 vaccination. Immunology 2022, 165, 386–401. [Google Scholar] [CrossRef] [PubMed]
- Chaima, K.; Mariem, A.; Sana, B.; Khadija, S.; Mariem, R.; Massara, B.; Emna, B.; Sonia, B.; Abderrahman, M.; Hamida, T. Vaccine-induced dermatomyositis following COVID-19 vaccination. Dermatol. Ther. 2022, 35, e15749. [Google Scholar] [CrossRef] [PubMed]
- Camargo Coronel, A.; Jiménez Balderas, F.J.; Quiñones Moya, H.; Hernández Zavala, M.R.; Mandinabeitia Rodríguez, P.; Hernández Vázquez, J.R.; Zarco, S.Z.; De Jesús Aguilar Castillo, S. Dermatomyositis post vaccine against SARS-CoV-2. BMC Rheumatol. 2022, 6, 20. [Google Scholar] [CrossRef] [PubMed]
- Venkateswaran, K.; Aw, D.C.; Huang, J.; Angkodjojo, S. Dermatomyositis following COVID-19 vaccination. Dermatol. Ther. 2022, 35, e15479. [Google Scholar] [CrossRef] [PubMed]
- Waller, R.; Ahmad, N. 1. TIF1-γ associated dermatomyositis. Rheumatol. Adv. Pract. 2019, 3 (Suppl. S1), rkz030. [Google Scholar] [CrossRef]
- Yoshida, A.; Ikegami, T.; Igawa, K. Two cases of anti-TIF1-γ antibody positive dermatomyositis with manifested symptoms after SARS-CoV-19 vaccination. J. Eur. Acad. Dermatol. Venereol. 2022, 36, e517–e520. [Google Scholar] [CrossRef] [PubMed]
- Tjärnlund, A.; Tang, Q.; Wick, C.; Dastmalchi, M.; Mann, H.; Tomasová Studýnková, J.; Chura, R.; Gullick, N.; Salerno, R.; Rönnelid, J.; et al. Abatacept in the treatment of adult dermatomyositis and polymyositis: A randomised, phase IIb treatment delayed-start trial. Ann. Rheum. Dis. 2018, 77, 55–62. [Google Scholar] [CrossRef] [PubMed]
- Rodziewicz, M.; Kiely, P. The successful use of subcutaneous abatacept in refractory anti- human transcriptional intermediary factor 1-gamma dermatomyositis skin and oesphagopharyngeal disease. Rheumatology 2018, 57, 1866–1867. [Google Scholar] [CrossRef] [PubMed]
- Rider, L.G.; Aggarwal, R.; Machado, P.M.; Hogrel, J.Y.; Reed, A.M.; Christopher-Stine, L.; Ruperto, N. Update on outcome assessment in myositis. Nat. Rev. Rheumatol. 2018, 14, 303–318. [Google Scholar] [CrossRef]











| Classification Criteria | Yes/No | Our Patient |
|---|---|---|
| Age of onset of first symptom | Yes | 90 years old |
| Objective symmetric weakness, usually progressive, of the proximal upper extremities | Yes | Muscle power in both sides’ proximal upper extremities scored 2, and distal scored 3 |
| Objective symmetric weakness, usually progressive, of the proximal lower extremities | Yes | Muscle power in both sides’ proximal lower extremities scored 1, and distal scored 2 |
| Neck flexors are relatively weaker than neck extensors | No | General weakness of her neck |
| In the legs, proximal muscles are relatively weaker than distal muscles | Yes | Muscle power in both sides’ proximal lower extremities scored 1, and distal scored 2 |
| Heliotrope rash | No | Skin rash on her face, probable but could not accurately be defined as Heliotrope rash |
| Gottron’s papules | No | Probable but could not define |
| Gottron’s sign | No | Probable but could not define |
| Dysphagia or esophageal dysmotility | Yes | Dysphagia |
| Anti-Jo-1 (anti-Histidyl-tRNA synthetase) autoantibody positivity | No | Negative |
| Elevated serum levels of CK or LDH or AST or alanine aminotransferase (ALT) | Yes | CK: 4858 U/L (normal range 41–153 U/L) LDH: 380 U/L (normal range < 40 U/L) AST: 72 U/L (normal range < 40 U/L) |
| Endomysial infiltration of mononuclear cells surrounding, but not invading, myofibers | Yes | Muscle biopsy |
| Perimysial and/or perivascular infiltration of mononuclear cells | Yes | Muscle biopsy |
| Perifascicular atrophy | Yes | Muscle biopsy |
| Rimmed vacuoles | No | Absent |
| Score: 11.4 (>8.7), 99% probability of diagnosing as dermatomyositis | ||
Disclaimer/Publisher’s Note: The statements, opinions and data contained in all publications are solely those of the individual author(s) and contributor(s) and not of MDPI and/or the editor(s). MDPI and/or the editor(s) disclaim responsibility for any injury to people or property resulting from any ideas, methods, instructions or products referred to in the content. |
© 2023 by the authors. Licensee MDPI, Basel, Switzerland. This article is an open access article distributed under the terms and conditions of the Creative Commons Attribution (CC BY) license (https://creativecommons.org/licenses/by/4.0/).
Share and Cite
Wu, C.-F.; Chen, W.-T.; Chen, Y.-L.; Liu, F.-C. Therapeutic Effects of Treating COVID-19 Vaccine-Induced Anti-TIF1-γ-Positive Dermatomyositis. Medicina 2023, 59, 1688. https://doi.org/10.3390/medicina59091688
Wu C-F, Chen W-T, Chen Y-L, Liu F-C. Therapeutic Effects of Treating COVID-19 Vaccine-Induced Anti-TIF1-γ-Positive Dermatomyositis. Medicina. 2023; 59(9):1688. https://doi.org/10.3390/medicina59091688
Chicago/Turabian StyleWu, Chih-Feng, Wan-Ting Chen, Yen-Lin Chen, and Feng-Cheng Liu. 2023. "Therapeutic Effects of Treating COVID-19 Vaccine-Induced Anti-TIF1-γ-Positive Dermatomyositis" Medicina 59, no. 9: 1688. https://doi.org/10.3390/medicina59091688
APA StyleWu, C.-F., Chen, W.-T., Chen, Y.-L., & Liu, F.-C. (2023). Therapeutic Effects of Treating COVID-19 Vaccine-Induced Anti-TIF1-γ-Positive Dermatomyositis. Medicina, 59(9), 1688. https://doi.org/10.3390/medicina59091688

