Management of Coronary Artery Diseases in Systemic Vasculitides: Complications and Strategies
Abstract
1. Introduction
2. Search Strategy
3. Pathophysiology of Coronary Artery Diseases in Systemic Vasculitides
3.1. Mechanisms of Vascular Inflammation and Damage
3.2. Specific Vasculitides Associated with Coronary Artery Disease
3.2.1. Giant Cell Arteritis
3.2.2. Takayasu Arteritis
3.2.3. Kawasaki Disease
3.2.4. ANCA-Associated Vasculitides
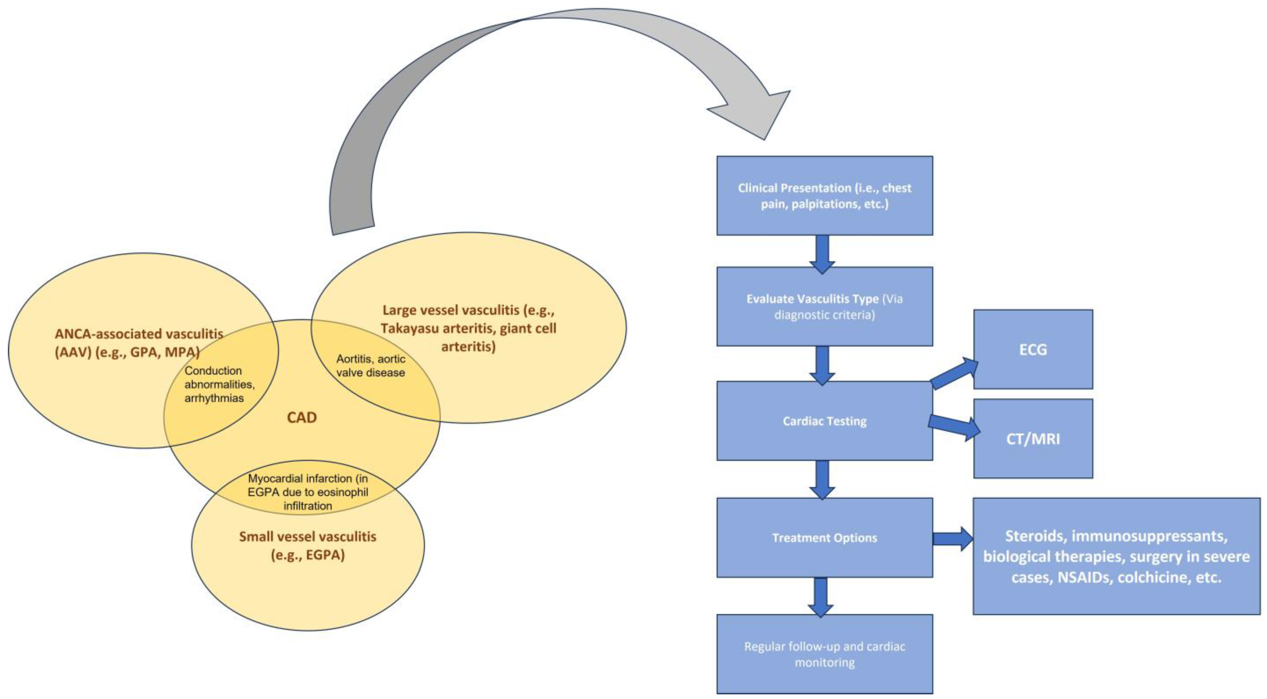
4. Clinical Presentation and Diagnosis
4.1. Symptoms of Coronary Artery Involvement in Vasculitides
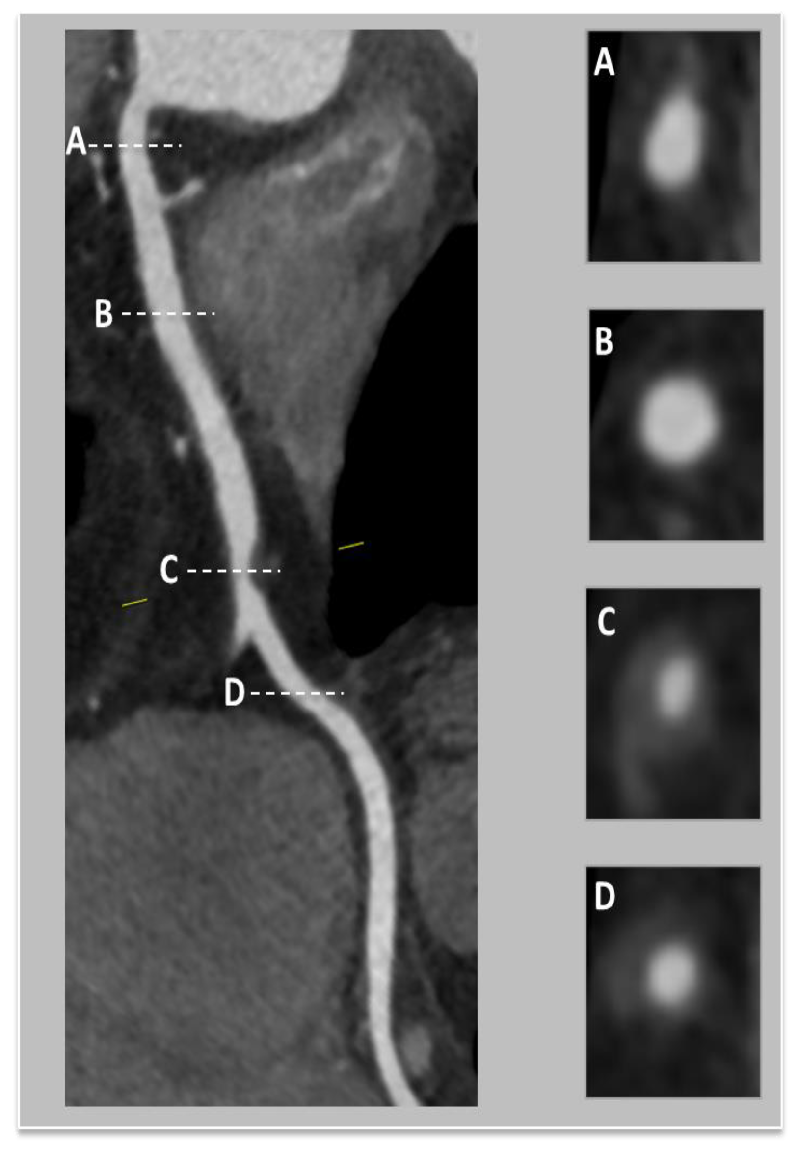
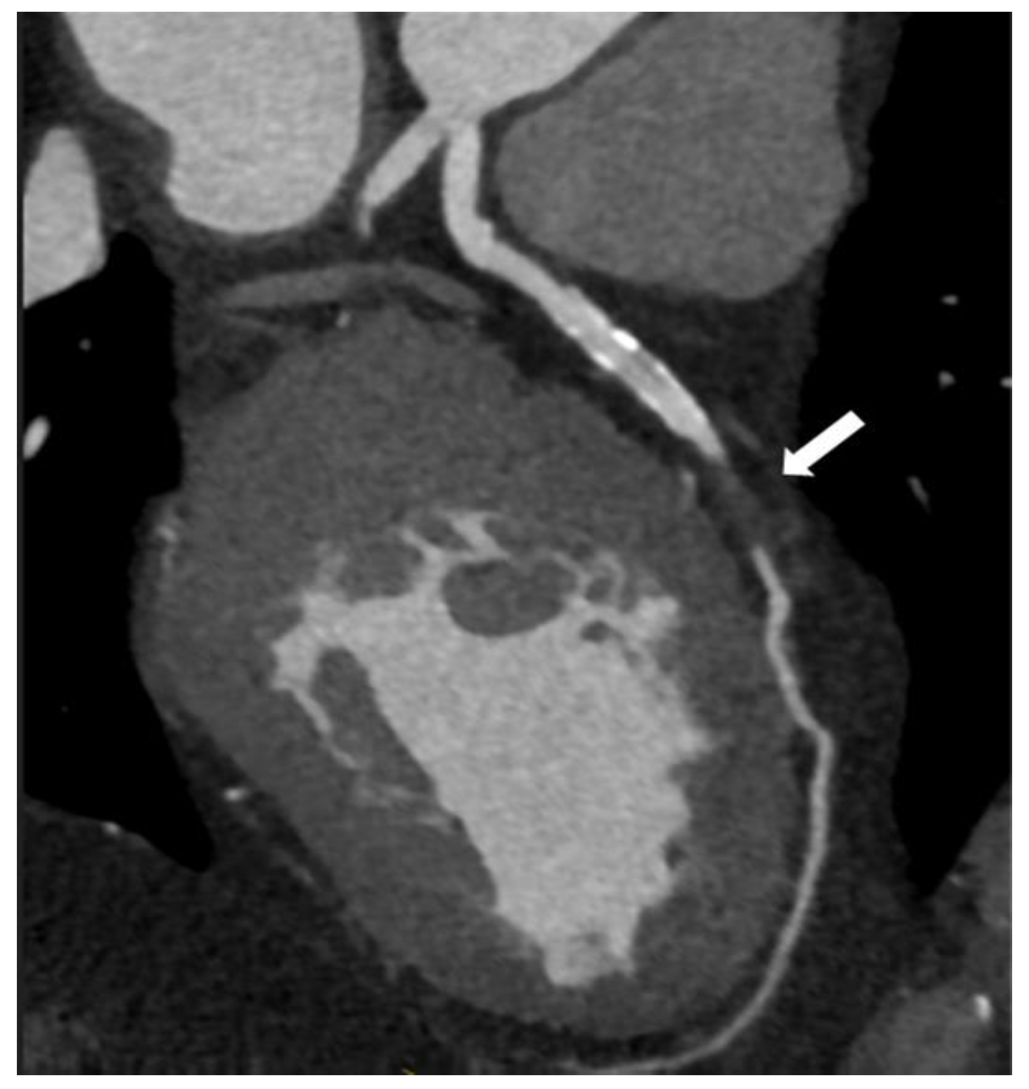
4.2. Diagnostic Imaging and Tests
4.2.1. Transthoracic Echocardiography
4.2.2. Coronary Angiography
4.2.3. Magnetic Resonance Angiography
4.3. Differential Diagnosis of CAD in Systemic Vasculitides
5. Complications of Coronary Artery Diseases in Systemic Vasculitides
6. Management Strategies for CAD in Systemic Vasculitides
6.1. Medical Management
6.2. Interventional and Surgical Approaches for CAD in Systemic Vasculitides
7. Emerging Therapies and Future Directions
7.1. Advances in Targeted Biological Therapies
7.2. Role of Personalized Medicine
7.3. Potential for Novel Treatment Modalities
8. Conclusions
Author Contributions
Funding
Institutional Review Board Statement
Informed Consent Statement
Data Availability Statement
Conflicts of Interest
References
- Vats, V.; Patel, K.; Sharma, D.D.; Almansouri, N.E.; Makkapati, N.S.R.; Nimal, S.; Ramteke, P.; Mohammed Arifuddin, B.; Jagarlamudi, N.S.; Narain, A.; et al. Exploring Cardiovascular Manifestations in Vasculitides: An In-Depth Review. Cureus 2023, 15, e44417. [Google Scholar] [CrossRef] [PubMed] [PubMed Central]
- Ali, A.M.; Yakupoglu, H.Y.; Fuchs, T.A.; Larsen, T.H.; Aukrust, P.; Gunnarsson, R.; Saeed, S. Cardiac Involvement in Systemic and Local Vasculitides: The Value of Noninvasive Multimodality Imaging. Curr. Probl. Cardiol. 2023, 48, 101718. [Google Scholar] [CrossRef] [PubMed]
- Silveira, L.H. Cardiovascular Manifestations of Systemic Vasculitides. Curr. Rheumatol. Rep. 2020, 22, 72. [Google Scholar] [CrossRef]
- Weber, B.; Wallace, Z.S.; Parks, S.; Cook, C.; Huck, D.M.; Garshick, M.; Brown, J.M.; Divakaran, S.; Hainer, J.; Dorbala, S.; et al. Association between Systemic Vasculitis and Coronary Microvascular Dysfunction in the Absence of Obstructive Coronary Artery Disease. Circ. Cardiovasc. Imaging 2023, 16, e014940. [Google Scholar] [CrossRef] [PubMed] [PubMed Central]
- Jeon, C.H.; Kim, Y.K.; Chun, E.J.; Kim, J.A.; Yong, H.S.; Doo, K.W.; Choi, S.I. Coronary artery vasculitis: Assessment with cardiac multi-detector computed tomography. Int. J. Cardiovasc. Imaging 2015, 31 (Suppl. 1), 59–67. [Google Scholar] [CrossRef]
- Warrington, K.J.; Matteson, E.L. A primer on vasculitis. Minn. Med. 2013, 96, 36–39. [Google Scholar] [PubMed]
- Hankard, A.; Puéchal, X.; Martin Silva, N.; Deshayes, S.; Lorcy, N.; Le Gallou, T.; Carron, P.L.; Daugas, E.; Kaplanski, G.; Boutemy, J.; et al. Characteristics of ANCA-associated vasculitis with aneurysms: Case series and review of the literature. Autoimmun. Rev. 2023, 22, 103293. [Google Scholar] [CrossRef] [PubMed]
- Gori, T. Coronary Vasculitis. Biomedicines 2021, 9, 622. [Google Scholar] [CrossRef] [PubMed]
- Greigert, H.; Genet, C.; Ramon, A.; Bonnotte, B.; Samson, M. New Insights into the Pathogenesis of Giant Cell Arteritis: Mechanisms Involved in Maintaining Vascular Inflammation. J. Clin. Med. 2022, 11, 2905. [Google Scholar] [CrossRef] [PubMed] [PubMed Central]
- Bettelli, E.; Carrier, Y.; Gao, W.; Korn, T.; Strom, T.B.; Oukka, M.; Weiner, H.L.; Kuchroo, V.K. Reciprocal developmental pathways for the generation of pathogenic effector TH17 and regulatory T cells. Nature 2006, 441, 235–238. [Google Scholar] [CrossRef] [PubMed]
- Espígol-Frigolé, G.; Planas-Rigol, E.; Ohnuki, H.; Salvucci, O.; Kwak, H.; Ravichandran, S.; Luke, B.; Cid, M.C.; Tosato, G. Identification of IL-23p19 as an endothelial proinflammatory peptide that promotes gp130-STAT3 signaling. Sci. Signal. 2016, 9, ra28. [Google Scholar] [CrossRef] [PubMed] [PubMed Central]
- O’Neill, L.; McCormick, J.; Gao, W.; Veale, D.J.; McCarthy, G.M.; Murphy, C.C.; Fearon, U.; Molloy, E.S. Interleukin-6 does not upregulate pro-inflammatory cytokine expression in an ex vivo model of giant cell arteritis. Rheumatol. Adv. Pract. 2019, 3, rkz011. [Google Scholar] [CrossRef] [PubMed] [PubMed Central]
- Arnaud, L.; Haroche, J.; Mathian, A.; Gorochov, G.; Amoura, Z. Pathogenesis of Takayasu’s arteritis: A 2011 update. Autoimmun. Rev. 2011, 11, 61–67. [Google Scholar] [CrossRef] [PubMed]
- Vaideeswar, P.; Deshpande, J.R. Pathology of Takayasu arteritis: A brief review. Ann. Pediatr. Cardiol. 2013, 6, 52–58. [Google Scholar] [CrossRef] [PubMed] [PubMed Central]
- Espinoza, J.L.; Ai, S.; Matsumura, I. New Insights on the Pathogenesis of Takayasu Arteritis: Revisiting the Microbial Theory. Pathogens 2018, 7, 73. [Google Scholar] [CrossRef] [PubMed] [PubMed Central]
- Hara, T.; Yamamura, K.; Sakai, Y. The up-to-date pathophysiology of Kawasaki disease. Clin. Transl. Immunol. 2021, 10, e1284. [Google Scholar] [CrossRef] [PubMed] [PubMed Central]
- Noval Rivas, M.; Arditi, M. Kawasaki disease: Pathophysiology and insights from mouse models. Nat. Rev. Rheumatol. 2020, 16, 391–405. [Google Scholar] [CrossRef] [PubMed] [PubMed Central]
- Kitching, A.R.; Anders, H.J.; Basu, N.; Brouwer, E.; Gordon, J.; Jayne, D.R.; Kullman, J.; Lyons, P.A.; Merkel, P.A.; Savage, C.O.S.; et al. ANCA-associated vasculitis. Nat. Rev. Dis. Primers 2020, 6, 71. [Google Scholar] [CrossRef] [PubMed]
- Pakbaz, M.; Pakbaz, M. Cardiac Involvement in Eosinophilic Granulomatosis with Polyangiitis: A Meta-Analysis of 62 Case Reports. J. Tehran Heart Cent. 2020, 15, 18–26. [Google Scholar] [CrossRef] [PubMed] [PubMed Central]
- Dalia, T.; Parashar, S.; Patel, N.V.; Gautam, A.; Dai, H.; Bormann, S. Eosinophilic Myocarditis Demonstrated Using Cardiac Magnetic Resonance Imaging in a Patient with Eosinophilic Granulomatosis with Polyangiitis (Churg-Strauss Disease). Cureus 2018, 10, e2792. [Google Scholar] [CrossRef]
- Misra, D.P.; Shenoy, S.N. Cardiac involvement in primary systemic vasculitis and potential drug therapies to reduce cardiovascular risk. Rheumatol. Int. 2017, 37, 151–167. [Google Scholar] [CrossRef] [PubMed]
- McCrindle, B.W.; Rowley, A.H.; Newburger, J.W.; Burns, J.C.; Bolger, A.F.; Gewitz, M.; Baker, A.L.; Jackson, M.A.; Takahashi, M.; Shah, P.B.; et al. Diagnosis, treatment, and long-term management of Kawasaki disease: A scientific statement for health professionals from the American Heart Association. Circulation 2017, 135, e927–e999. [Google Scholar] [CrossRef]
- Johnston, S.L.; Lock, R.J.; Gompels, M.M. Takayasu arteritis: A review. J. Clin. Pathol. 2002, 55, 481–486. [Google Scholar] [CrossRef]
- Guillevin, L.; Mahr, A.; Callard, P.; Godmer, P.; Pagnoux, C.; Leray, E.; Cohen, P.; French Vasculitis Study Group. Hepatitis B virus–associated polyarteritis nodosa: Clinical characteristics, outcome, and impact of treatment in 115 patients. Medicine 2005, 84, 313–322. [Google Scholar] [CrossRef]
- Jennette, J.C.; Falk, R.J.; Bacon, P.A.; Basu, N.; Cid, M.C.; Ferrario, F.; Flores-Suarez, L.F.; Gross, W.L.; Guillevin, L.; Hagen, E.C.; et al. 2012 revised International Chapel Hill Consensus Conference nomenclature of vasculitides. Arthritis Rheum. 2013, 65, 1–11. [Google Scholar] [CrossRef] [PubMed]
- Kronbichler, A.; Bajema, I.M.; Bruchfeld, A.; Mastroianni Kirsztajn, G.; Stone, J.H. Diagnosis and management of ANCA-associated vasculitis. Lancet 2024, 403, 683–698. [Google Scholar] [CrossRef]
- Groh, M.; Pagnoux, C.; Baldini, C.; Bel, E.; Bottero, P.; Cottin, V.; Dalhoff, K.; Dunogué, B.; Gross, W.; Holle, J.; et al. Eosinophilic granulomatosis with polyangiitis (Churg-Strauss): Evolution of disease classifications and treatments over time. J. Autoimmun. 2015, 65, 40–47. [Google Scholar]
- Mavrogeni, S.; Papadopoulos, G.; Douskou, M.; Kaklis, S.; Seimenis, I.; Baras, P.; Nikolaidou, P.; Bakoula, C.; Karanasios, E.; Manginas, A.; et al. Magnetic resonance angiography is equivalent to X-ray coronary angiography for the evaluation of coronary arteries in Kawasaki disease. J. Am. Coll. Cardiol. 2004, 43, 649–652. [Google Scholar] [CrossRef] [PubMed]
- Mavrogeni, S.; Papadopoulos, G.; Douskou, M.; Kaklis, S.; Seimenis, I.; Varlamis, G.; Karanasios, E.; Krikos, X.; Giannoulia, A.; Cokkinos, D.V. Magnetic resonance angiography, function and viability evaluation in patients with Kawasaki disease. J. Cardiovasc. Magn. Reson. 2006, 8, 493–498. [Google Scholar] [CrossRef]
- Singh, S.; Jindal, A.K.; Pilania, R.K. Diagnosis of Kawasaki disease. Int. J. Rheum. Dis. 2018, 21, 36–44. [Google Scholar] [CrossRef] [PubMed] [PubMed Central]
- Khanna, S.; Garikapati, K.; Goh, D.S.L.; Cho, K.; Lo, P.; Bhojaraja, M.V.; Tarafdar, S. Coronary artery vasculitis: A review of current literature. BMC Cardiovasc. Disord. 2021, 21, 7. [Google Scholar] [CrossRef] [PubMed] [PubMed Central]
- Shimizu, T.; Sato, A.; Sakamoto, K.; Seino, Y.; Kijima, M.; Matsumoto, T.; Takeishi, Y. Intravascular ultrasound imaging of isolated and non aorto-ostial coronary Takayasu arteritis: A case report. BMC Cardiovasc. Disord. 2020, 20, 260. [Google Scholar] [CrossRef] [PubMed] [PubMed Central]
- Thangathurai, J.; Kalashnikova, M.; Takahashi, M.; Shinbane, J.S. Coronary Artery Aneurysm in Kawasaki Disease: Coronary CT Angiography through the Lens of Pathophysiology and Differential Diagnosis. Radiol. Cardiothorac. Imaging 2021, 3, e200550. [Google Scholar] [CrossRef] [PubMed] [PubMed Central]
- Andreini, D.; Belmonte, M.; Penicka, M.; Van Hoe, L.; Mileva, N.; Paolisso, P.; Nagumo, S.; Nørgaard, B.L.; Ko, B.; Otake, H.; et al. Impact of coronary CT image quality on the accuracy of the FFRCT Planner. Eur. Radiol. 2024, 34, 2677–2688. [Google Scholar] [CrossRef] [PubMed]
- Misra, D.P.; Sharma, A.; Karpouzas, G.A.; Kitas, G.D. Cardiovascular risk in vasculitis. Best Pract. Res. Clin. Rheumatol. 2023, 37, 101831. [Google Scholar] [CrossRef]
- Pagnoux, C.; Guillevin, L. Cardiac involvement in small and medium-sized vessel vasculitides. Lupus 2005, 14, 718–722. [Google Scholar] [CrossRef] [PubMed]
- Plastiras, S.C.; Moutsopoulos, H.M. Arrhythmias and Conduction Disturbances in Autoimmune Rheumatic Disorders. Arrhythm. Electrophysiol. Rev. 2021, 10, 17–25. [Google Scholar] [CrossRef] [PubMed] [PubMed Central]
- Soulaidopoulos, S.; Madenidou, A.V.; Daoussis, D.; Melissaropoulos, K.; Mavrogeni, S.; Kitas, G.; Dimitroulas, T. Cardiovascular Disease in the Systemic Vasculitides. Curr. Vasc. Pharmacol. 2020, 18, 463–472. [Google Scholar] [CrossRef] [PubMed]
- Cohen Tervaert, J.W. Cardiovascular disease due to accelerated atherosclerosis in systemic vasculitides. Best Pract. Res. Clin. Rheumatol. 2013, 27, 33–44. [Google Scholar] [CrossRef] [PubMed]
- Anzai, F.; Yoshihisa, A.; Takeishi, R.; Hotsuki, Y.; Sato, Y.; Sumita, Y.; Nakai, M.; Misaka, T.; Takeishi, Y. Acute myocardial infarction caused by Kawasaki disease requires more intensive therapy: Insights from the Japanese registry of All Cardiac and Vascular Diseases-Diagnosis Procedure combination. Catheter. Cardiovasc. Interv. 2022, 100, 1173–1181. [Google Scholar] [CrossRef] [PubMed]
- Serpytis, P.; Petrulioniene, Z.; Gargalskaite, U.; Gedminaite, A.; Panaviene, V. Myocardial infarction associated with Kawasaki disease in adult man: Case report and review of literature. Am. J. Med. 2015, 128, e1–e3. [Google Scholar] [CrossRef] [PubMed]
- Zhang, T.; Peng, B.; Tu, X.; Zhang, S.; Zhong, S.; Cao, W. Acute myocardial infarction as the first manifestation of Takayasu arteritis: A case report. Medicine 2019, 98, e15143. [Google Scholar] [CrossRef] [PubMed] [PubMed Central]
- Zanatta, E.; Colombo, C.; D’Amico, G.; d’Humières, T.; Dal Lin, C.; Tona, F. Inflammation and Coronary Microvascular Dysfunction in Autoimmune Rheumatic Diseases. Int. J. Mol. Sci. 2019, 20, 5563. [Google Scholar] [CrossRef]
- Vandeloo, B.; Andreini, D.; Brouwers, S.; Mizukami, T.; Monizzi, G.; Lochy, S.; Mileva, N.; Argacha, J.F.; De Boulle, M.; Muyldermans, P.; et al. Diagnostic performance of exercise stress tests for detection of epicardial and microvascular coronary artery disease: The UZ Clear study. EuroIntervention 2023, 18, e1090–e1098. [Google Scholar] [CrossRef] [PubMed] [PubMed Central]
- Hernández-Rodríguez, J.; Murgia, G.; Villar, I.; Campo, E.; Mackie, S.L.; Chakrabarty, A.; Hensor, E.M.A.; Morgan, A.W.; Font, C.; Prieto-González, S.; et al. Description and Validation of Histological Patterns and Proposal of a Dynamic Model of Inflammatory Infiltration in Giant-cell Arteritis. Medicine 2016, 95, e2368. [Google Scholar] [CrossRef] [PubMed] [PubMed Central]
- Takahashi, K.; Oharaseki, T.; Yokouchi, Y. Histopathological aspects of cardiovascular lesions in Kawasaki disease. Int. J. Rheum. Dis. 2018, 21, 31–35. [Google Scholar] [CrossRef] [PubMed]
- Stanton, M.; Tiwari, V. Polyarteritis Nodosa. [Updated 2023 Feb 22]. In StatPearls [Internet]; StatPearls Publishing: Treasure Island, FL, USA, 2024. Available online: https://www.ncbi.nlm.nih.gov/books/NBK482157/ (accessed on 19 September 2024).
- Masiak, A.; Zdrojewski, Z.; Pęksa, R.; Smoleńska, Ż.; Czuszyńska, Z.; Siemińska, A.; Kowalska, B.; Stankiewicz, C.; Rutkowski, B.; Bułło-Piontecka, B. The usefulness of histopathological examinations of non-renal biopsies in diagnosing granulomatosis with polyangiitis. Reumatologia 2017, 55, 230–236. [Google Scholar] [CrossRef] [PubMed] [PubMed Central]
- Gioffredi, A.; Maritati, F.; Oliva, E.; Buzio, C. Eosinophilic granulomatosis with polyangiitis: An overview. Front. Immunol. 2014, 5, 549. [Google Scholar] [CrossRef] [PubMed] [PubMed Central]
- Park, H.J.; Jung, S.M.; Song, J.J.; Park, Y.B.; Song, J.S.; Lee, S.W. Comparison of Radiological and Histological Findings of Lung Parenchyma in Patients with Antineutrophil Cytoplasmic Antibody-Associated Vasculitis. Yonsei Med. J. 2019, 60, 454–460. [Google Scholar] [CrossRef] [PubMed] [PubMed Central]
- Demirkesen, C.; Öz, B.; Göksel, S. Behçet’s Disease: Pathology. In Behçet’s Syndrome; Yazıcı, Y., Yazıcı, H., Eds.; Springer: New York, NY, USA, 2010. [Google Scholar] [CrossRef]
- Araújo Correia, J.; Crespo, J.; Alves, G.; Salvador, F.; Matos-Costa, J.; Alves, J.D.; Fortuna, J.; Almeida, I.; Campar, A.; Brandão, M.; et al. Biologic therapy in large and small vessels vasculitis, and Behçet’s disease: Evidence- and practice-based guidance. Autoimmun. Rev. 2023, 22, 103362. [Google Scholar] [CrossRef] [PubMed]
- Kotake, T.; Sueyoshi, E.; Sakamoto, I.; Izumida, S. Myocarditis associated with Takayasu arteritis. Eur. Heart J. 2015, 36, 2564. [Google Scholar] [CrossRef]
- Merkel, P.A.; Niles, J.L.; Mertz, L.E.; Lehane, P.B.; Pordeli, P.; Erblang, F. Long-Term Safety of Rituximab in Granulomatosis With Polyangiitis and in Microscopic Polyangiitis. Arthritis Care Res. 2021, 73, 1372–1378. [Google Scholar] [CrossRef] [PubMed] [PubMed Central]
- Geetha, D.; Kallenberg, C.; Stone, J.H.; Salama, A.D.; Appel, G.B.; Duna, G.; Brunetta, P.; Jayne, D. Current therapy of granulomatosis with polyangiitis and microscopic polyangiitis: The role of rituximab. J. Nephrol. 2015, 28, 17–27. [Google Scholar] [CrossRef] [PubMed] [PubMed Central]
- Puéchal, X. Granulomatosis with polyangiitis (Wegener’s). Jt. Bone Spine 2020, 87, 572–578. [Google Scholar] [CrossRef] [PubMed]
- Li, B.; Li, H.; Huang, Q.; Zheng, Y. Optimizing glucocorticoid therapy for Behçet’s uveitis: Efficacy, adverse effects, and advances in combination approaches. Int. Ophthalmol. 2023, 43, 4373–4381. [Google Scholar] [CrossRef]
- Alpsoy, E.; Leccese, P.; Emmi, G.; Ohno, S. Treatment of Behçet’s Disease: An Algorithmic Multidisciplinary Approach. Front. Med. 2021, 8, 624795. [Google Scholar] [CrossRef] [PubMed] [PubMed Central]
- Demirelli, S.; Degirmenci, H.; Inci, S.; Arisoy, A. Cardiac manifestations in Behcet’s disease. Intractable Rare Dis. Res. 2015, 4, 70–75. [Google Scholar] [CrossRef] [PubMed] [PubMed Central]
- Wardle, A.J.; Connolly, G.M.; Seager, M.J.; Tulloh, R.M. Corticosteroids for the treatment of Kawasaki disease in children. Cochrane Database Syst. Rev. 2017, 1, CD011188, Update in: Cochrane Database Syst. Rev. 2022, 5, CD011188. https://doi.org/10.1002/14651858.CD011188.pub3. [Google Scholar] [CrossRef] [PubMed] [PubMed Central]
- Ozen, S.; Batu, E.D. Vasculitis Pathogenesis: Can We Talk about Precision Medicine? Front. Immunol. 2018, 9, 1892. [Google Scholar] [CrossRef] [PubMed] [PubMed Central]
- Kim, B.Y.; Kim, D.; Kim, Y.H.; Ryoo, E.; Sun, Y.H.; Jeon, I.S.; Jung, M.J.; Cho, H.K.; Tchah, H.; Choi, D.Y.; et al. Non-Responders to Intravenous Immunoglobulin and Coronary Artery Dilatation in Kawasaki Disease: Predictive Parameters in Korean Children. Korean Circ. J. 2016, 46, 542–549. [Google Scholar] [CrossRef] [PubMed] [PubMed Central]
- Kikuchi, S.; Okada, K.; Hibi, K.; Maejima, N.; Yabu, N.; Uchida, K.; Tamura, K.; Kimura, K. Coronary arteritis: A case series. Eur. Heart J. Case Rep. 2020, 4, 1–6. [Google Scholar] [CrossRef] [PubMed] [PubMed Central]
- Mourguet, M.; Chauveau, D.; Faguer, S.; Ruidavets, J.B.; Béjot, Y.; Ribes, D.; Huart, A.; Alric, L.; Balardy, L.; Astudillo, L.; et al. Increased ischemic stroke, acute coronary artery disease and mortality in patients with granulomatosis with polyangiitis and microscopic polyangiitis. J. Autoimmun. 2019, 96, 134–141. [Google Scholar] [CrossRef] [PubMed]
- Nygaard, L.; Polcwiartek, C.; Nelveg-Kristensen, K.E.; Carlson, N.; Kristensen, S.; Torp-Pedersen, C.; Gregersen, J.W. Long-term cardiovascular outcomes and temporal trends in patients diagnosed with ANCA-associated vasculitis: A Danish nationwide registry study. Rheumatology 2023, 62, 735–746. [Google Scholar] [CrossRef] [PubMed]
- Wallace, Z.S.; Fu, X.; Harkness, T.; Stone, J.H.; Zhang, Y.; Choi, H. All-cause and cause-specific mortality in ANCA-associated vasculitis: Overall and according to ANCA type. Rheumatology 2020, 59, 2308–2315. [Google Scholar] [CrossRef] [PubMed] [PubMed Central]
- Huang, Z.; Zhang, H.; Wang, M.; Yang, W.; Qiao, S.; Hu, F. Revascularization Versus Medical Therapy in Takayasu’s Arteritis Patients with Coronary Artery Involvement. Rheumatol. Therapy 2021, 8, 119–133. [Google Scholar] [CrossRef] [PubMed] [PubMed Central]
- Regola, F.; Cerudelli, E.; Bosio, G.; Andreoli, L.; Tincani, A.; Franceschini, F.; Toniati, P. Long-term treatment with tocilizumab in giant cell arteritis: Efficacy and safety in a monocentric cohort of patients. Rheumatol. Adv. Pract. 2020, 4, rkaa017. [Google Scholar] [CrossRef]
- Farrah, T.E.; Basu, N.; Dweck, M.; Calcagno, C.; Fayad, Z.A.; Dhaun, N. Advances in Therapies and Imaging for Systemic Vasculitis. Arterioscler. Thromb. Vasc. Biol. 2019, 39, 1520–1541. [Google Scholar] [CrossRef] [PubMed]
- Poledniczek, M.H. Coronary Artery Disease in Granulomatosis with Polyangiitis: A Review. SN Compr. Clin. Med. 2022, 4, 75. [Google Scholar] [CrossRef]
- Yap, B.J.M.; Lai-Foenander, A.S.; Goh, B.H.; Ong, Y.S.; Duangjai, A.; Saokaew, S.; Chua, C.L.L.; Phisalprapa, P.; Yap, W.H. Unraveling the Immunopathogenesis and Genetic Variants in Vasculitis toward Development of Personalized Medicine. Front. Cardiovasc. Med. 2021, 8, 732369. [Google Scholar] [CrossRef] [PubMed] [PubMed Central]
- Lozano, E.; Segarra, M.; Corbera-Bellalta, M.; García-Martínez, A.; Espígol-Frigolé, G.; Plà-Campo, A.; Hernández-Rodríguez, J.; Cid, M.C. Increased expression of the endothelin system in arterial lesions from patients with giant-cell arteritis: Association between elevated plasma endothelin levels and the development of ischaemic events. Ann. Rheum. Dis. 2010, 69, 434–442. [Google Scholar] [CrossRef]
- Planas-Rigol, E.; Terrades-Garcia, N.; Corbera-Bellalta, M.; Lozano, E.; Alba, M.A.; Segarra, M.; Espígol-Frigolé, G.; Prieto-González, S.; Hernández-Rodríguez, J.; Preciado, S.; et al. Endothelin-1 promotes vascular smooth muscle cell migration across the artery wall: A mechanism contributing to vascular remodelling and intimal hyperplasia in giant-cell arteritis. Ann. Rheum. Dis. 2017, 76, 1624–1634. [Google Scholar] [CrossRef]
- US National Library of Medicine. Abatacept for the Treatment of Relapsing, Non-Severe, Granulomatosis with Polyangiitis (Wegener’s). Available online: https://clinicaltrials.gov/ct2/show/NCT02108860 (accessed on 19 September 2024).
- Hu, Y.; Turner, M.J.; Shields, J.; Gale, M.S.; Hutto, E.; Roberts, B.L.; Siders, W.M.; Kaplan, J.M. Investigation of the mechanism of action of alemtuzumab in a human CD52 transgenic mouse model. Immunology 2009, 128, 260–270. [Google Scholar] [CrossRef] [PubMed]
- Walsh, M.; Chaudhry, A.; Jayne, D. Long-term follow-up of relapsing/refractory anti-neutrophil cytoplasm antibody associated vasculitis treated with the lymphocyte depleting antibody alemtuzumab (CAMPATH-1H). Ann. Rheum. Dis. 2008, 67, 1322–1327. [Google Scholar] [CrossRef] [PubMed]
- Gopaluni, S.; Smith, R.; Goymer, D.; Cahill, H.; Broadhurst, E.; Wallin, E.; McClure, M.; Chaudhry, A.; Jayne, D. Alemtuzumab for refractory primary systemic vasculitis-a randomised controlled dose ranging clinical trial of efficacy and safety (ALEVIATE). Arthritis Rheum. Therapy 2022, 24, 81. [Google Scholar] [CrossRef] [PubMed]
- Furie, R.; Petri, M.; Zamani, O.; Cervera, R.; Wallace, D.J.; Tegzová, D.; Sanchez-Guerrero, J.; Schwarting, A.; Merrill, J.T.; Chatham, W.W.; et al. A phase III, randomized, placebo-controlled study of belimumab, a monoclonal antibody that inhibits B lymphocyte stimulator, in patients with systemic lupus erythematosus. Arthritis Rheum. 2011, 63, 3918–3930. [Google Scholar] [CrossRef]
- Jayne, D.R.W.; Bruchfeld, A.N.; Harper, L.; Schaier, M.; Venning, M.C.; Hamilton, P.; Burst, V.; Grundmann, F.; Jadoul, M.; Szombati, I.; et al. Randomized Trial of C5a receptor inhibitor avacopan in ANCA-Associated vasculitis. J. Am. Soc. Nephrol. 2017, 28, 2756–2767. [Google Scholar] [CrossRef]
- US National Library of Medicine. A Phase 3 Clinical Trial of CCX168 (Avacopan) in Patients with ANCA-Associated Vasculitis (ADVOCATE). Available online: https://clinicaltrials.gov/ct2/show/NCT02994927 (accessed on 19 September 2024).
- Wechsler, M.E.; Akuthota, P.; Jayne, D.; Khoury, P.; Klion, A.; Langford, C.A.; Merkel, P.A.; Moosig, F.; Specks, U.; Cid, M.C.; et al. Mepolizumab or placebo for eosinophilic granulomatosis with polyangiitis. N. Engl. J. Med. 2017, 376, 1921–1932. [Google Scholar] [CrossRef]







| Diagnostic Modality | Diagnostic Capabilities | Advantages | Disadvantages |
|---|---|---|---|
| Transthoracic echocardiography | Assessment of myocardial kinetics and presence of ischemia. | Noninvasive Rapid Affordable Safe—Can be performed repeatedly | The necessity of an experienced operator Dependent on a good acoustic window |
| Coronary angiography | Detailed visualization of the coronary artery tree and stenosis quantification. | Potential for therapeutic intervention | Invasive Severe complications Intravenous contrast media used Radiation exposure |
| Coronary computed tomographic angiography (CCTA) | Assess the dimensions and configuration of the arterial wall and lumen Plaque characterization Evaluating the presence, location, and characteristics of aneurysm and stenotic regions Reconstruction of intricate anatomical structures in a three-dimensional model | Noninvasive Greater specificity in cases of aneurysms and thrombosis Suitable for follow-up | Expensive Involves ionizing radiation Requires intravenous contrast media Dependent on an imaging specialist |
| MR angiography | Comprehensive evaluation of the myocardial structure and tissue characterization | Noninvasive Non-ionizing—Useful for the examination of children and pregnant women | Expensive Need for specific software Need for well-trained staff Contraindications such as claustrophobia and metal implants |
| Organ/System Involvement | Vasculitides | Association with CAD Risk | Pathophysiological Mechanism |
|---|---|---|---|
| Kidney | GPA, MPA, PAN | Higher Risk | Chronic inflammation and hypertension due to kidney damage accelerate atherosclerosis. |
| Lung | EGPA, GPA | Higher Risk | Chronic inflammation and hypoxia contribute to increased cardiovascular strain. |
| Skin | Henoch-Schönlein Purpura, Cutaneous Vasculitis | Lower Risk | Typically, localized inflammation with minimal systemic cardiovascular effects. |
| Neurological | AAV (e.g., GPA, EGPA) | Unclear | Vasculitic neuropathies may not directly increase CAD risk, but systemic inflammation can contribute indirectly. |
| Gastrointestinal | PAN, EGPA | Lower Risk | Gastrointestinal involvement has less of a direct impact on CAD, but systemic inflammation may still increase overall cardiovascular risk. |
| Disease Entity | Age of Onset (Female-to-Male Ratio) | Type of Vasculitis | Histological Finding | Cardiovascular Manifestations | Coronary Artery Disease | References |
|---|---|---|---|---|---|---|
| Giant cell arteritis | Over 50 Mostly between 70 and 80 | large vessel | Classical–transmural inflammation with lymphocytes and macrophages arranged in concentric rings surrounding the external and internal elastic lamina and associated with intimal hyperplasia and the loss of elastic fibers ± giant cells; ±necrosis, granulomas; thrombosis | aortic involvement—dissection or aneurysm peripheral vascular diseases venous thromboembolism stroke myocarditis, pericarditis | Possible association with CAD in patients with vasculitis and no identifiable risk factors for CAD | Hernández-Rodríguez et al., 2016 [45] |
| Takayasu arteritis | 18 ÷ 40 (F:M = 9:1) | large vessel | Active, chronic, or healed lesions; Granulomatous vasculitis, mixed inflammatory infiltrate, including giant cells, presence of necrosis, disruption of the elastic lamina, and features of recanalization | 90% aortic involvement a. subclavia involvement—stenosis carotid arteries; renal arteries, pulmonary arteries involvement valvular involvement | Limited stenotic arterial wall lesions due to the inflammation-induced intimal proliferation | Vaideeswar et al., 2013 [14] |
| Kawasaki disease | under 5 | medium-sized arteries—coronary arteritis | Inflammatory cell infiltrates mainly from monocytes and macrophages | endocarditis myocarditis valvular involvement CAD rare—valvular sequelae | Coronary arteritis with aneurysm or thrombotic closure | Takahashi et al., 2018 [46] |
| Polyarteritis nodosa (PAN) | Mostly between 40 and 60 F:M = 1:2 | medium-sized arteries | Early lesions—fibrinoid necrosis with thickening and infiltration of the vessel wall, neutrophils, lymphocytes and eosinophils, leucocytoclasis; thrombi and aneurysmal changes Mature lesions—vessel occlusion secondary to intimal and mural fibrosis; Nerve injury—fiber loss and axonal degeneration. | vasculitis-related cardiomyopathy coronary artery involvement myocarditis myocardial ischemia, infarction | Coronary arteritis coronary artery aneurism rare—coronary dissection | Stanton et al., 2023 [47] |
| Granulomatosis with polyangiitis | Mostly between 40 and 60 F:M = 1:1 | small-to-medium-sized vessels, capillaries, and venules | Ischemic necrosis with a specific “geographical” organization, with the formation of a nonmicrobial neutrophilic abscess (microabscesses) and a polymorphic granuloma containing polymorphonuclear leukocytes, lymphocytes, plasma cells, dendritic cells, eosinophils, and multinucleated giant cells | Rare: pericarditis, pericardial effusion coronary vasculitis coronary artery aneurysms myocarditis endocarditis valvular lesions (aortic valve) conduction system abnormalities (atrial tachycardia, fibrillation, and flutter, AV block) | Coronary vasculitis coronary artery aneurysms | Masiak et al., 2017 [48] |
| Eosinophilic granulomatosis with polyangiitis (EGPA) | Mostly between 35 and 50 F:M = 1:1 | small- and medium-sized vessels | Tissue eosinophilia, necrotizing vasculitis, and eosinophil-rich granulomatous inflammation | myocarditis (eosinophilic) myocarditis with subsequent restrictive or dilated cardiomyopathy heart failure pericarditis complicated with effusion/tamponade tamponade myocardial infarction | Coronary vessels with myocardial infarction and heart failure coronary spasms manifesting as vasospastic angina | Gioffredi et al., 2014 [49] |
| Microscopic polyangiitis (MPA) | Mostly between 50 and 60 F:M = 1:1.8 | small vessel vasculitis | pauci-immune, necrotizing, small vessel vasculitis without clinical or pathological evidence of granulomatous inflammation | Very rare: pericarditis and pericardial effusion/tamponade valvular abnormalities myocarditis left atrial (LA) dilation LV diastolic dysfunction arrhythmia | CAD due to necrosis of the vessel wall with complete heart block | Park et al., 2019 [50] |
| Behcet disease | Mostly between 20 and 40 F:M = 4.9–0.36 | large, medium, or small arteries or veins | Erythema nodosum-like lesion, Septal panniculitis, dermal perivascular lymphocytic infiltrate, widening of the fibrous septa with edema and infiltration of lymphocytes and histiocytes in the subcutaneous fat, lymphocytic vasculitis | cardiovascular association is between 7% and 46% (venous > arterial involvement) superficial vein thrombosis and deep vein thrombosis pericarditis (38%), endocarditis (26%), intracardiac thrombus (19%), and myocardial infarcts ischemic heart disease low ejection fraction | Coronary aneurysms manifesting as acute coronary syndrome coronary obstruction manifesting as angina, acute coronary syndrome, arrhythmia, acute myocardial infarction | Demirkesen et al. 2010 [51] |
Disclaimer/Publisher’s Note: The statements, opinions and data contained in all publications are solely those of the individual author(s) and contributor(s) and not of MDPI and/or the editor(s). MDPI and/or the editor(s) disclaim responsibility for any injury to people or property resulting from any ideas, methods, instructions or products referred to in the content. |
© 2024 by the authors. Published by MDPI on behalf of the Lithuanian University of Health Sciences. Licensee MDPI, Basel, Switzerland. This article is an open access article distributed under the terms and conditions of the Creative Commons Attribution (CC BY) license (https://creativecommons.org/licenses/by/4.0/).
Share and Cite
Shumnalieva, R.; Mileva, N.; Padjen, I.; Siliogkas, P.; Chervenkov, L.; Bakopoulou, K.; Kaouri, I.E.; Vasilska, A.; Miteva, D.; Vassilev, D.; et al. Management of Coronary Artery Diseases in Systemic Vasculitides: Complications and Strategies. Medicina 2024, 60, 1574. https://doi.org/10.3390/medicina60101574
Shumnalieva R, Mileva N, Padjen I, Siliogkas P, Chervenkov L, Bakopoulou K, Kaouri IE, Vasilska A, Miteva D, Vassilev D, et al. Management of Coronary Artery Diseases in Systemic Vasculitides: Complications and Strategies. Medicina. 2024; 60(10):1574. https://doi.org/10.3390/medicina60101574
Chicago/Turabian StyleShumnalieva, Russka, Niya Mileva, Ivan Padjen, Periklis Siliogkas, Lyubomir Chervenkov, Konstantina Bakopoulou, Issa El Kaouri, Anna Vasilska, Dimitrina Miteva, Dobrin Vassilev, and et al. 2024. "Management of Coronary Artery Diseases in Systemic Vasculitides: Complications and Strategies" Medicina 60, no. 10: 1574. https://doi.org/10.3390/medicina60101574
APA StyleShumnalieva, R., Mileva, N., Padjen, I., Siliogkas, P., Chervenkov, L., Bakopoulou, K., Kaouri, I. E., Vasilska, A., Miteva, D., Vassilev, D., & Velikova, T. (2024). Management of Coronary Artery Diseases in Systemic Vasculitides: Complications and Strategies. Medicina, 60(10), 1574. https://doi.org/10.3390/medicina60101574

