Diabetic Nephropathy, Retinopathy, and Functional Hypogonadism in a Patient with MODY10: A Case Report
Abstract
1. Introduction
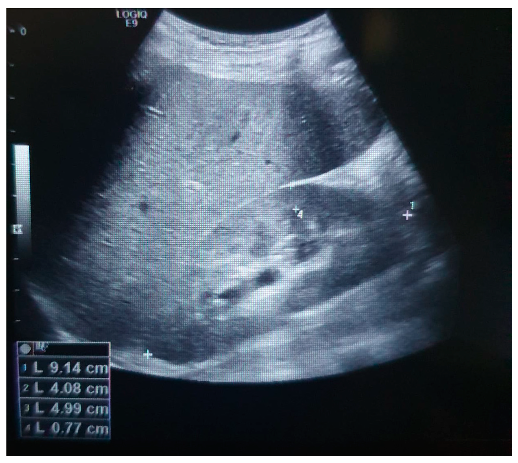
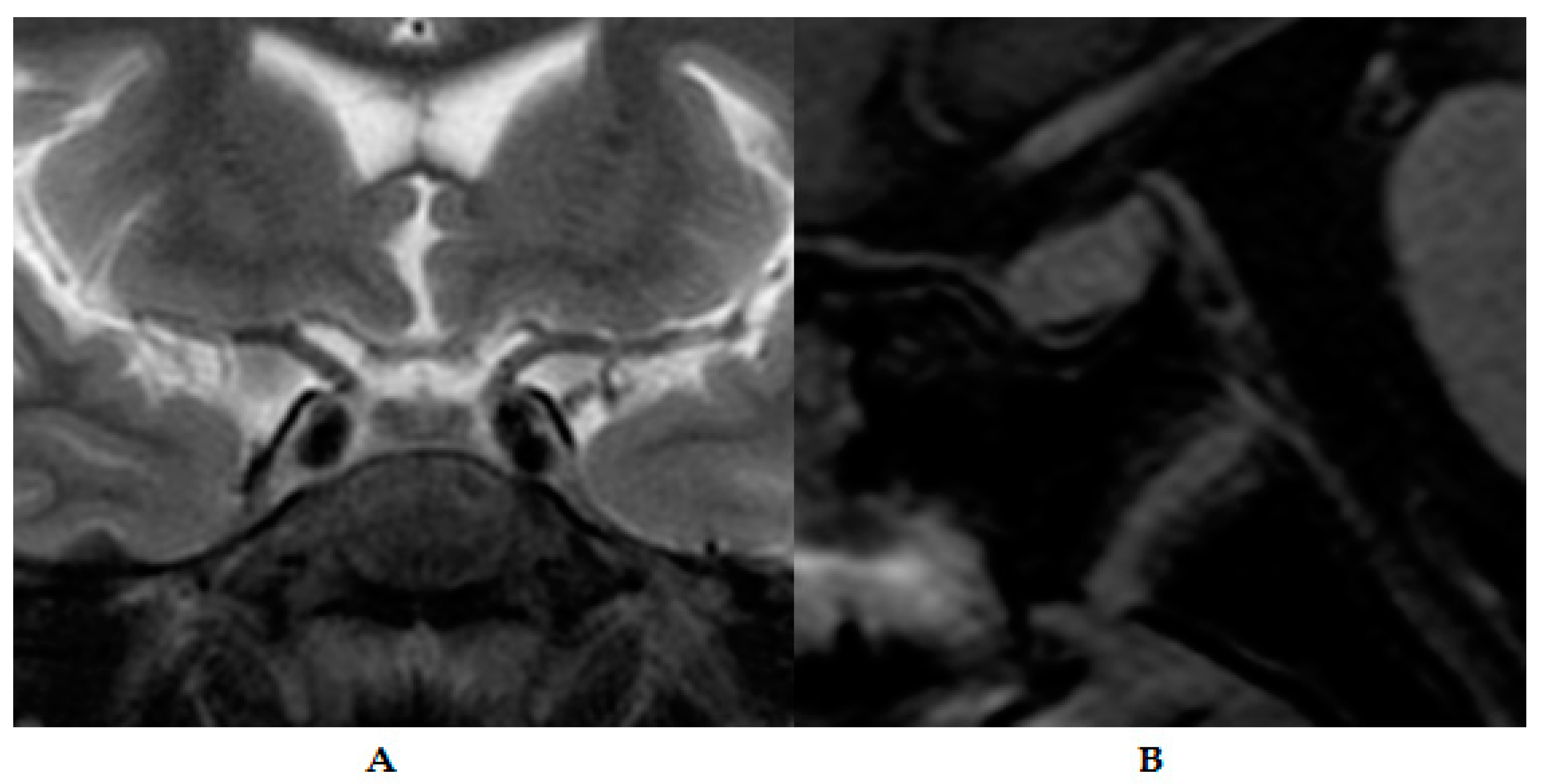
2. Detailed Case Description
3. Discussion
4. Conclusions
Author Contributions
Funding
Institutional Review Board Statement
Informed Consent Statement
Data Availability Statement
Conflicts of Interest
References
- Namazi, N.; Moghaddam, S.S.; Esmaeili, S.; Peimani, M.; Tehrani, Y.S.; Bandarian, F.; Shobeiri, P.; Nasli-Esfahani, E.; Malekpour, M.R.; Rezaei, N.; et al. Burden of type 2 diabetes mellitus and its risk factors in North Africa and the Middle East, 1990–2019: Findings from the Global Burden of Disease study 2019. BMC Public Health 2024, 24, 98. [Google Scholar] [CrossRef] [PubMed]
- Song, S.H. Young-onset type 2 diabetes and retinopathy: Evidence of an adverse phenotype. BMJ Open Diabetes Res. Care 2024, 12, e003899. [Google Scholar] [CrossRef] [PubMed]
- Naaman, S.; Bakris, G. Diabetic Nephropathy: Update on pillars of therapy slowing progression. Diabetes Care 2023, 46, 1574–1586. [Google Scholar] [CrossRef] [PubMed]
- Flores-Mena, K.S.; Jara-Tamayo, K.N.; Herrera-González, P.; Gea-Izquierdo, E. Prevalence and major risk factors of diabetic retinopathy: A cross-sectional study in Ecuador. Bionatura 2017, 2, 427–431. [Google Scholar] [CrossRef]
- Inzucchi, S.; Kitabchi, A.; Rosenstock, J. Diabetes monogénica. J. Clin. Endocrinol. Metab. 2010, 95, E2. [Google Scholar] [CrossRef][Green Version]
- Bonnefond, A.; Unnikrishnan, R.; Doria, A.; Vaxillaire, M.; Kulkarni, R.N.; Mohan, V.; Trischitta, V.; Froguel, P. Monogenic diabetes. Nat. Rev. Dis. Primers 2023, 9, 12. [Google Scholar] [CrossRef]
- Broome, D.T.; Pantalone, K.M.; Kashyap, S.R.; Philipson, L.H. Approach to the Patient with MODY-Monogenic Diabetes. J. Clin. Endocrinol. Metab. 2021, 106, 237–250. [Google Scholar] [CrossRef]
- Nkonge, K.M.; Nkonge, D.K.; Nkonge, T.N. The epidemiology, molecular pathogenesis, diagnosis, and treatment of maturity-onset diabetes of the young (MODY). Clin. Diabetes Endocrinol. 2020, 6, 20. [Google Scholar] [CrossRef] [PubMed]
- Shields, B.M.; Shepherd, M.; Hudson, M.; McDonald, T.J.; Colclough, K.; Peters, J.; Knight, B.; Hyde, C.; Ellard, S.; Pearson, E.R.; et al. Population-based assessment of a biomarker-based screening pathway to aid diagnosis of monogenic diabetes in young-onset patients. Diabetes Care 2017, 40, 1017–1025. [Google Scholar] [CrossRef]
- Younis, H.; Ha, S.E.; Jorgensen, B.G.; Verma, A.; Ro, S. Maturity-onset diabetes of the young: Mutations, physiological consequences, and treatment options. J. Pers. Med. 2022, 12, 1762. [Google Scholar] [CrossRef]
- Edghill, E.L.; Flanagan, S.E.; Patch, A.M.; Boustred, C.; Parrish, A.; Shields, B.; Shepherd, M.H.; Hussain, K.; Kapoor, R.R.; Malecki, M.; et al. Insulin mutation screening in 1,044 patients with diabetes. Diabetes 2008, 57, 1034–1042. [Google Scholar] [CrossRef] [PubMed]
- Sizar, O.; Schwartz, J. Hypogonadism. In StatPearls; StatPearls Publishing: Treasure Island, FL, USA, 2024. [Google Scholar]
- Auble, B.; Dey, J. Monogenetic etiologies of diabetes. Med. Clin. N. Am. 2024, 108, 15–26. [Google Scholar] [CrossRef]
- Shields, B.M.; McDonald, T.J.; Ellard, S.; Campbell, M.J.; Hyde, C.; Hattersley, A.T. The development and validation of a clinical prediction model to determine the probability of MODY in patients with young-onset diabetes. Diabetologia 2012, 55, 1265–1272. [Google Scholar] [CrossRef]
- Ataie-Ashtiani, S.; Forbes, B. A review of the biosynthesis and structural implications of insulin gene mutations linked to human disease. Cells 2023, 12, 1008. [Google Scholar] [CrossRef]
- Rubio-Cabezas, O.; Edghill, E.L.; Argente, J.; Hattersley, A.T. Testing for monogenic diabetes among children and adolescents with antibody-negative clinically defined Type 1 diabetes. Diabet. Med. 2009, 26, 1070–1074. [Google Scholar] [CrossRef] [PubMed]
- Wasserman, H.; Hufnagel, R.B.; Miraldi Utz, V.; Zhang, K.; Valencia, C.A.; Leslie, N.D.; Crimmins, N.A. Bilateral cataracts in a 6-yr-old with new onset diabetes: A novel presentation of a known INS gene mutation. Pediatr. Diabetes 2016, 17, 535–539. [Google Scholar] [CrossRef]
- Harris, A.G.; Letourneau, L.R.; Greeley, S.A.W. Monogenic diabetes: The impact of making the right diagnosis. Curr. Opin. Pediatr. 2018, 30, 558–567. [Google Scholar] [CrossRef] [PubMed]
- Delvecchio, M.; Pastore, C.; Giordano, P. Treatment options for MODY patients: A systematic review of literature. Diabetes Ther. 2020, 11, 1667–1685. [Google Scholar] [CrossRef]
- Aarthy, R.; Aston-Mourney, K.; Mikocka-Walus, A.; Radha, V.; Amutha, A.; Anjana, R.M.; Unnikrishnan, R.; Mohan, V. Clinical features, complications and treatment of rarer forms of maturity-onset diabetes of the young (MODY)—A review. J. Diabetes Complicat. 2021, 35, 107640. [Google Scholar] [CrossRef]
- Ruggenenti, P.; Porrini, E.L.; Gaspari, F.; Motterlini, N.; Cannata, A.; Carrara, F.; Cella, C.; Ferrari, S.; Stucchi, N.; Parvanova, A.; et al. Glomerular hyperfiltration and renal disease progression in type 2 diabetes. Diabetes Care 2012, 35, 2061–2068. [Google Scholar] [CrossRef]
- Yip, J.W.; Jones, S.L.; Wiseman, M.J.; Hill, C.; Viberti, G. Glomerular hyperfiltration in the prediction of nephropathy in IDDM: A 10-year follow-up study. Diabetes 1996, 45, 1729–1733. [Google Scholar] [CrossRef] [PubMed]
- Cherney, D.Z.I.; Perkins, B.A.; Soleymanlou, N.; Maione, M.; Lai, V.; Lee, A.; Fagan, N.M.; Woerle, H.J.; Johansen, O.E.; Broedl, U.C.; et al. Renal hemodynamic effect of sodium-glucose cotransporter 2 inhibition in patients with type 1 diabetes mellitus. Circulation 2014, 129, 587–597. [Google Scholar] [CrossRef] [PubMed]
- Oshima, M.; Jardine, M.J.; Agarwal, R.; Bakris, G.; Cannon, C.P.; Charytan, D.M.; de Zeeuw, D.; Edwards, R.; Greene, T.; Levin, A.; et al. Insights from CREDENCE trial indicate an acute drop in estimated glomerular filtration rate during treatment with canagliflozin with implications for clinical practice. Kidney Int. 2021, 99, 999–1009. [Google Scholar] [CrossRef] [PubMed]
- Ruggenenti, P.; Kraus, B.J.; Inzucchi, S.E.; Zinman, B.; Hantel, S.; Mattheus, M.; von Eynatten, M.; Remuzzi, G.; Koitka-Weber, A.; Wanner, C. Nephrotic-range proteinuria in type 2 diabetes: Effects of empagliflozin on kidney disease progression and clinical outcomes. EClinicalMedicine 2021, 43, 101240. [Google Scholar] [CrossRef] [PubMed]
- Kalay, Z.; Sahin, O.E.; Copur, S.; Danacı, S.; Ortiz, A.; Yau, K.; Cherney, D.Z.I.; Kanbay, M. SGLT-2 inhibitors in nephrotic-range proteinuria: Emerging clinical evidence. Clin. Kidney J. 2022, 16, 52–60. [Google Scholar] [CrossRef] [PubMed]
- Hohendorff, J.; Szopa, M.; Skupien, J.; Kapusta, M.; Zapala, B.; Platek, T.; Mrozinska, S.; Parpan, T.; Glodzik, W.; Ludwig-Galezowska, A.; et al. A single dose of dapagliflozin, an SGLT-2 inhibitor, induces higher glycosuria in GCK- and HNF1A-MODY than in type 2 diabetes mellitus. Endocrine 2017, 57, 272–279. [Google Scholar] [CrossRef] [PubMed]
- Nambam, B.; Schatz, D. Growth hormone and insulin-like growth factor-I axis in type 1 diabetes. Growth Horm. IGF Res. 2018, 38, 49–52. [Google Scholar] [CrossRef] [PubMed]
- Bhattacharya, S.; Kalra, S.; Dutta, D.; Khandelwal, D.; Singla, R. The interplay between pituitary health and diabetes mellitus-The need for “Hypophyseo-Vigilance”. Eur. Endocrinol. 2020, 16, 25–31. [Google Scholar] [CrossRef] [PubMed][Green Version]
- Louters, M.; Pearlman, M.; Solsrud, E.; Pearlman, A. Functional hypogonadism among patients with obesity, diabetes, and metabolic syndrome. Int. J. Impot. Res. 2022, 34, 714–720. [Google Scholar] [CrossRef]
- Castellano, J.; Navarro, V.; Roa, J.; Pineda, R.; Sanchez, M.; Garcia, D.; Vigo, E.; Diez, C.; Aguilas, E.; Pinilla, L.; et al. Alterations in hipothalamic Kiss-1 system in experimental diabetes: Early changes and functional consequences. Neuroendocrinology 2009, 150, 784–794. [Google Scholar]
- Tosur, M.; Philipson, L.H. Precision diabetes: Lessons learned from maturity-onset diabetes of the young (MODY). J. Diabetes Investig. 2022, 13, 1465–1471. [Google Scholar] [CrossRef] [PubMed]
- Guan, Y.; Maloney, K.; Pollin, T. Patients perspectives on the diagnostic journey to a monogenic diagnosis: Barriers and facilitators. J. Genet. Couns. 2020, 29, 1106–1113. [Google Scholar] [CrossRef] [PubMed]
- Anık, A.; Çatlı, G.; Abacı, A.; Böber, E. Maturity-onset diabetes of the young (MODY): An update. J. Pediatr. Endocrinol. Metab. 2015, 28, 251–263. [Google Scholar] [CrossRef] [PubMed]




Disclaimer/Publisher’s Note: The statements, opinions and data contained in all publications are solely those of the individual author(s) and contributor(s) and not of MDPI and/or the editor(s). MDPI and/or the editor(s) disclaim responsibility for any injury to people or property resulting from any ideas, methods, instructions or products referred to in the content. |
© 2024 by the authors. Licensee MDPI, Basel, Switzerland. This article is an open access article distributed under the terms and conditions of the Creative Commons Attribution (CC BY) license (https://creativecommons.org/licenses/by/4.0/).
Share and Cite
Ruiz-Urbaez, R.; Villagómez-Estrada, M.V.; Reyes-Silva, C.; Quishpe-López, D.; Males-Maldonado, D.; Salazar-Vega, J.; Gea-Izquierdo, E. Diabetic Nephropathy, Retinopathy, and Functional Hypogonadism in a Patient with MODY10: A Case Report. Medicina 2024, 60, 830. https://doi.org/10.3390/medicina60050830
Ruiz-Urbaez R, Villagómez-Estrada MV, Reyes-Silva C, Quishpe-López D, Males-Maldonado D, Salazar-Vega J, Gea-Izquierdo E. Diabetic Nephropathy, Retinopathy, and Functional Hypogonadism in a Patient with MODY10: A Case Report. Medicina. 2024; 60(5):830. https://doi.org/10.3390/medicina60050830
Chicago/Turabian StyleRuiz-Urbaez, Rossana, Mariela Viviana Villagómez-Estrada, Carlos Reyes-Silva, Darlyng Quishpe-López, David Males-Maldonado, Jorge Salazar-Vega, and Enrique Gea-Izquierdo. 2024. "Diabetic Nephropathy, Retinopathy, and Functional Hypogonadism in a Patient with MODY10: A Case Report" Medicina 60, no. 5: 830. https://doi.org/10.3390/medicina60050830
APA StyleRuiz-Urbaez, R., Villagómez-Estrada, M. V., Reyes-Silva, C., Quishpe-López, D., Males-Maldonado, D., Salazar-Vega, J., & Gea-Izquierdo, E. (2024). Diabetic Nephropathy, Retinopathy, and Functional Hypogonadism in a Patient with MODY10: A Case Report. Medicina, 60(5), 830. https://doi.org/10.3390/medicina60050830

