Abstract
The blood coagulation cascade involves the human coagulation factors thrombin and an activated factor VII (fVIIa). Thrombin and fVIIa are vitamin-K-dependent clotting factors associated with bleeding, bleeding complications and disorders. Thrombin and fVIIa cause excessive bleeding when treated with vitamin-K antagonists. In this research, we explored different strains of toxic Microcystis aeruginosa and cyanobacteria blooms for the probable fVIIa-soluble Tissue Factor (fVIIa-sTF) inhibitors. The algal cells were subjected to acidification, and reverse phase (ODS) chromatography-solid phase extraction eluted by water to 100% MeOH with 20%-MeOH increments except for M. aeruginosa NIES-89, from the National Institute for Environmental Studies (NIES), which was eluted with 5%-MeOH increments as an isolation procedure to separate aeruginosins 89A and B from co-eluting microcystins. The 40%–80% MeOH fractions of the cyanobacterial extract are active against fVIIa-sTF. The fVIIa-sTF active fractions from cultured cyanobacteria and cyanobacteria blooms were subjected to liquid chromatography-mass spectrometry (LC-MS). The 60% MeOH fraction of M. aeruginosa K139 exhibited an m/z 603 [M + H]+ attributed to aeruginosin K139, and the 40% MeOH fraction of M. aeruginosa NIES-89 displayed ions with m/z 617 [M − SO3 + H]+ and m/z [M + H]+ 717, which attributed to aeruginosin 89. Aeruginosins 102A/B and 298A/B were also observed from other toxic strains of M. aeruginosa with positive fVIIa-sTF inhibitory activity. The active fractions contained cyanobacterial peptides of the aeruginosin class as fVIIa-sTF inhibitors detected by LC-MS.
1. Introduction
The blood coagulation cascade [1,2,3,4,5] is composed of intrinsic, extrinsic and common pathways involving human coagulation factors. It is initiated by vascular injury and tissue factor (TF) exposure, which triggers the extrinsic pathway [2]. The extrinsic pathway involves activated factor VII-tissue factor (fVIIa-TF) complex activated by Ca2+, cephalin or phospholipid [6]. The activation of the fVIIa-TF complex triggers activation of factor X (fX) to activated factor X (fXa) leading to activation of activated factor II (fIIa) or thrombin generation [2]. Thrombin generation needs fVIIa-TF complex, which initiates coagulation and has become the target of therapeutic studies [7]. The activated factor VII (fVIIa) as a vitamin K-dependent clotting factor, when complexed with tissue factor (TF), activates fXa and fIIa (thrombin) [1,2,3,4]. The vitamin-K-dependent clotting factors IIa (thrombin) and fVIIa are linked to inherited bleeding disorders and complications causing clinical and acquired problems [8]. The vitamin-K-dependent clotting factors could be treated with coumarin or warfarin, which acts as vitamin K antagonists (VKAs) [9]. However, warfarin as a VKA employs excessive bleeding and bleeding complications through the years [9]. The VKAs offer some problems when taken orally, e.g., narrow therapeutic window [9].
The cyanobacteria from freshwater and terrestrial environments are the new treasure troves for drug discovery [10]. They are the promising sources of serine protease inhibitors, cytotoxic metabolites, and antimicrobials [10]. The serine protease inhibitors are mostly peptides of either cyclic or linear structure. These peptides with serine protease inhibitory activities are comprised of anabaenopeptins [11], aeruginosins [12,13,14], micropeptins [14,15,16,17], aeruginopeptins [18], and other peptides. The cyanobacterial peptides with serine protease inhibitory activities could be explored as scaffolds or anticoagulants in the blood coagulation cascade [1,2,3,4,19]. In our review [19], we have hypothesized that the toxic Microcystis cyanobacteria are potent sources of fVIIa-sTF inhibitors. The Microcystis contains toxic microcystins and its associated non-toxic peptides [18]. Mostly, these non-toxic peptides give significant serine protease inhibitory properties, which could be applied as anticoagulants for enzymes in the blood coagulation cascade [1,2,3,4], and could minimize bleeding and bleeding complications [6,20,21]. The serine protease inhibitors biosynthesis by Microcystis strains have promising thrombin, plasmin, and trypsin inhibitory activities, and could be used as anticoagulants of the blood coagulation cascade [19]. We have identified or hypothesized some scaffolds responsible for inhibition against fVIIa-sTF [19]. In this study, we have explored toxic Microcystis using the tandem liquid chromatography-mass spectrometry (LC-MS) technique to identify the potent fVIIa-sTF inhibitors. This research deals with the identification of potent fVIIa-sTF inhibitors from toxic Microcystis cyanobacteria using the technique above.
2. Results and Discussion
Peptide compounds 1–25 (Table 1) previously isolated in our laboratory, like aeruginopeptins, anabaenopeptins, anabaenopeptilides, and microcystins, were tested in thrombin, fVIIa, and fVIIa-sTF inhibitory assays. All of the tested compounds did not inhibit thrombin except spumigins A (21) and J (22) [22]. Compounds 21 and 22 were active at 100 µg/mL and 10 µg/mL, respectively, after a long-term storage. The three compounds (Figure 1), aeruginopeptin 228-B (3), oscillapeptin G (10) and oscillapeptilide 97A (11) were active against fVIIa with slow binding and inhibition from three to six hours at 10 and 1 µg/mL with l-α-cephalin buffer, and without soluble tissue factor (sTF). The sTF improved the activation of fVII to fVIIa in the experiment [23]. The sTF was used as a cofactor and an activator of fVIIa, with the presence of Ca2+ and cephalin or 3-sn-phosphatidylethanolamine. In the experiment, the sTF was utilized rather than TF because our target was fVIIa inhibition and not TF inhibition. Moreover, all compounds displayed no inhibition when further tested for fVIIa-sTF inhibitory assay. As a consequence, we explored 50 cyanobacteria strains, specifically toxic Microcystis and Anabaena, for the probable fVIIa-sTF inhibitory activities. Several cyanobacterial fractions processed in our laboratory (Table 2) gave promising fVIIa-sTF inhibitory activities. The Microcystis aeruginosa NIES-89, K139, M228, TAC 95 (H-strain), NIES-102, NIES-103, NIES-107, NIES-1025, NIES-1058, NIES-1071, NIES-1085, NIES-1099, NIES-1133, NIES-1043, and NIES-298 were found to be active in the fVIIa-sTF inhibitory assays. The 40%–80% MeOH fractions, with 40% and 60% MeOH as the active ones, presented a potent fVIIa-sTF activity at 100 µg/mL and 10 µg/mL for thrombin and fVIIa-sTF. The fVIIa-sTF assay was pursued in the screening of cyanobacterial extracts instead of fVIIa assay since in the human system, fVII partially existed as a complex of fVIIa-TF than fVIIa alone [23].
Table 1.
Peptide compounds tested for fVII, fVIIa-sTF and thrombin assays.
| Structural Class | Compound Name | Serine Protease Inhibitory Assays (µg/mL) | |
|---|---|---|---|
| 1. Aeruginopeptins | 95-A (1) 95-B (2) | thrombin, 10, 1: | (−) |
| fVIIa, 100, 10: | (−) | ||
| fVIIa-sTF, 100, 10, 1: | (−) | ||
| 228-B (3) | thrombin, 10, 1: | (−) | |
| fVIIa, 100, 10: | (+) | ||
| fVIIa-sTF, 100, 10, 1: | (−) | ||
| 917S-A (4) | thrombin, 10: | (−) | |
| 917S-B (5) | fVIIa, 100, 10: | (−) | |
| 917S-C (6) | fVIIa-sTF, 10, 1: | (−) | |
| 2. Anabaenopeptins | A (7) | thrombin, 10: | (−) |
| B (8) | fVIIa, 100, 10: | (−) | |
| C (9) | fVIIa-sTF, 10, 1: | (−) | |
| oscillapeptin G (10) oscillapeptilide 97A (11) | thrombin, 10, 1: | (−) | |
| fVIIa, 100, 10: | (+) | ||
| fVIIa-sTF, 100, 10, 1: | (−) | ||
| oscillapeptilide 97B (12) | thrombin, 10, 1: | (−) | |
| fVIIa, 100, 10: | (−) | ||
| fVIIa-sTF, 100, 10, 1: | (−) | ||
| 3. Anabaenapeptilides | 90-A (13) 90-B (14) | thrombin, 10, 1: | (−) |
| fVIIa, 100, 10: | (−) | ||
| fVIIa-sTF, 100, 10, 1: | (−) | ||
| 202-A (15) 202-B (16) | thrombin, 10:1: | (−) | |
| fVIIa, 100, 10: | (−) | ||
| fVIIa-sTF, 100, 10, 1: | (−) | ||
| oscillamide Y (17) | thrombin, 10, 1: | (−) | |
| fVIIa, 100, 10: | (−) | ||
| fVIIa-sTF, 10, 1: | (−) | ||
| 4. Microcystins | LR (18) | fVIIa-sTF, 100, 10, 1: | (−) |
| RR (19) | fVIIa-sTF, 100, 10, 1: | (−) | |
| YR (20) | fVIIa-sTF, 100, 10, 1: | (−) | |
| 5. Spumigins | A (21) | thrombin: 100, 10, 1: | (+,−,−) |
| fVIIa, 100, 10: | (−) | ||
| fVIIa-sTF, 100, 10, 1: | (−) | ||
| J (22) | thrombin: 10, 1: | (+) | |
| fVIIa, 100, 10: | (−) | ||
| fVIIa-sTF, 100, 10, 1: | (−) | ||
| 6. Other Peptides | nostophycin (23) | thrombin, 10: | (−) |
| fVIIa, 100, 10: | (−) | ||
| fVIIa-sTF, 10, 1: | (−) | ||
| microcyclamide (24) microviridin (25) | thrombin, 10, 1: | (−) | |
| fVIIa, 100, 10: | (−) | ||
| fVIIa-sTF, 10, 1: | (−) | ||
Figure 1.
Compounds active against fVIIa.
Figure 1.
Compounds active against fVIIa.

Table 2.
LC-MS data of M. aeruginosa thrombin and fVIIa-sTF active fractions.
| No. | M. aeruginosa Strain | % MeOH Fraction | Retention Time,tR (min) | (m/z) | Ions Detected | Compounds Detected |
|---|---|---|---|---|---|---|
| 1 | NIES-89 | 40 | 8.3 | 637.89 | [M − SO3 + H]+ | aeruginosin 89A/B (26/27) |
| 8.3 | 717.60 | [M + H]+ | (26/27) | |||
| 8.8 | 638.05 | [M − SO3 + H]+ | (26/27) | |||
| 8.8 | 717.63 | [M + H]+ | (26/27) | |||
| 9.8 | 638.07 | [M − SO3 + H]+ | (26/27) | |||
| 10.2 | 638.03 | [M − SO3 + H]+ | (26/27) | |||
| 45 | 8.3 | 637.81 | [M − SO3 + H]+ | aeruginosin 89A/B (26/27) | ||
| 8.3 | 717.68 | [M + H]+ | (26/27) | |||
| 9.9 | 637.91 | [M − SO3 + H]+ | (26/27) | |||
| 9.9 | 717.40 | [M + H]+ | (26/27) | |||
| 18.9 | 996.05 | [M + H]+ | microcystin-LR (18) | |||
| 2 | K139 | 60 | 5.1 | 603.50 | [M + H]+ | aeruginosin K139 (30) |
| 5.1 | 621.39 | [M + H2O + H]+ | (30) | |||
| 6.2 | 603.34 | [M + H]+ | (30) | |||
| 7.6 | 603.33 | [M + H]+ | (30) | |||
| 8.4 | 603.34 | [M + H]+ | (30) | |||
| 3 | M228 | 60 | 5.2 | 605.48 | [M + H]+ | aeruginosin 298A (32) |
| 6.3 | 621.34 | [M + H2O + H]+ | aeruginosin K139 (30) | |||
| 7.7 | 603.41 | [M + H]+ | (30) | |||
| 8.5 | 603.35 | [M + H]+ | (30) | |||
| 14.9 | 1031.91 | [M + H − H2O]+ | aeruginopeptin 228-B (3) | |||
| 14.9 | 1049.43 | [M + H]+ | (3) | |||
| 15.5 | 1028.27 | [M + H − H2O]+ | aeruginopeptin 228-A (33) | |||
| 18.4 | 1046.05 | [M + H]+ | microcystin-YR (20) | |||
| 4 | TAC 95 | 40 | 5.5 | 605.65 | [M + H]+ | aeruginosin 298A (32) |
| 5.5 | 621.61 | [M + H2O + H]+ | aeruginosin K139 (30) | |||
| 6.5 | 603.61 | [M + H]+ | (30) | |||
| 7.8 | 603.78 | [M + H]+ | (30) | |||
| 8.5 | 603.77 | [M + H]+ | (30) | |||
| 60 | 7.7 | 603.62 | [M + H]+ | aeruginosin K139 (30) | ||
| 8.5 | 603.59 | [M + H]+ | (30) | |||
| 8.8 | 603.92 | [M + H]+ | (30) | |||
| 15.1 | 1132.92 | [M + H − H2O]+ | aeruginopeptin 95B (2) | |||
| 15.4 | 1129.04 | [M + H − H2O]+ | aeruginopeptin 95A (1) | |||
| 5 | NIES-102 | 40 | 1.8 | 653.86 | [M − SO3 + H]+ | aeruginosin 102A/B (34/35) |
| 1.8 | 733.71 | [M + H]+ | (34/35) | |||
| 3.0 | 653.94 | [M − SO3 + H]+ | (34/35) | |||
| 3.0 | 733.69 | [M + H]+ | (34/35) | |||
| 3.5 | 653.96 | [M − SO3 + H]+ | (34/35) | |||
| 3.5 | 733.60 | [M + H]+ | (34/35) | |||
| 6 | NIES-103 | 40 | 4.9 | 653.36 | [M − SO3 + H]+ | aeruginosin 102A/B (34/35) |
| 4.9 | 733.15 | [M + H]+ | (34/35) | |||
| 60 | 5.3 | 653.37 | [M − SO3 + H]+ | aeruginosin 102A/B (34/35) | ||
| 5.3 | 733.07 | [M + H]+ | (34/35) | |||
| 16.0 | 520.14 | [M + 2H]2+ | microcystin-RR (19) | |||
| 16.0 | 1038.61 | [M + H]+ | (19) | |||
| 18.6 | 523.39 | [M + 2H]2+ | microcystin-YR(20) | |||
| 18.6 | 1045.62 | [M + H]+ | (20) | |||
| 19.0 | 995.65 | [M + H]+ | microcystin-LR (18) | |||
| 7 | NIES-107 | 60 | 7.9 | 606.28 | [M + H]+ | aeruginosin 298A (32) |
| 15.9 | 520.10 | [M + 2H]2+ | microcystin-RR (19) | |||
| 15.9 | 1038.58 | [M + H]+ | (19) | |||
| 19.0 | 995.64 | [M + H]+ | microcystin-LR (18) | |||
| 8 | NIES-1025 | 40 | 2.3 | 653.33 | [M − SO3 + H]+ | aeruginosin 102A/B (34/35) |
| 4.9 | 733.14 | [M + H]+ | (34/35) | |||
| 60 | 5.0 | 653.34 | [M − SO3 + H]+ | aeruginosin 102A/B (34/35) | ||
| 5.0 | 733.13 | [M + H]+ | (34/35) | |||
| 15.8 | 520.15 | [M + 2H]2+ | microcystin-RR (19) | |||
| 15.8 | 1038.71 | [M + H]+ | microcystin-RR (19) | |||
| 19.0 | 995.71 | [M + H]+ | microcystin-LR (18) | |||
| 80 | 5.3 | 653.32 | [M − SO3 + H]+ | aeruginosin 102 (34/35) | ||
| 5.3 | 733.18 | [M + H]+ | (34/35) | |||
| 15.7 | 520.14 | [M + 2H]2+ | microcystin-RR (19) | |||
| 15.7 | 1038.71 | [M + H]+ | (19) | |||
| 19.0 | 995.69 | [M + H]+ | microcystin-LR (18) | |||
| 22.5 | 1029.71 | [M + H]+ | microcystin-FR (29) | |||
| 9 | NIES-1058 | 40 | 9.0 | 717.07 | [M + H]+ | aeruginosin 89A/B (26/27) |
| 10.7 | 717.07 | [M + H]+ | (26/27) | |||
| 60 | 8.9 | 717.13 | [M + H]+ | aeruginosin 89A/B (26/27) | ||
| 10.9 | 717.13 | [M + H]+ | (26/27) | |||
| 15.9 | 520.15 | [M + 2H]2+ | microcystin-RR (19) | |||
| 15.9 | 1038.60 | [M + H]+ | (19) | |||
| 18.5 | 1045.60 | [M + H]+ | microcystin-YR (20) | |||
| 10 | NIES-1071 | 60 | 8.5 | 637.40 | [M − SO3 + H]+ | aeruginosin 89A/B (26/27) |
| 8.5 | 717.12 | [M + H]+ | (26/27) | |||
| 9.0 | 637.35 | [M − SO3 + H]+ | (26/27) | |||
| 9.0 | 717.11 | [M + H]+ | (26/27) | |||
| 10.1 | 637.33 | [M − SO3 + H]+ | (26/27) | |||
| 10.1 | 717.09 | [M + H]+ | (26/27) | |||
| 10.4 | 637.33 | [M − SO3 + H]+ | (26/27) | |||
| 10.4 | 717.07 | [M + H]+ | (26/27) | |||
| 15.8 | 513.09 | [M + 2H]2+ | 7-desmethylmicrocystin-RR(28) | |||
| 15.8 | 1024.64 | [M + H]+ | (28) | |||
| 15.9 | 520.12 | [M + 2H]2+ | microcystin-RR (19) | |||
| 15.9 | 1038.60 | [M + H]+ | microcystin-RR (19) | |||
| 19.0 | 995.61 | [M + H]+ | microcystin-LR (18) | |||
| 11 | NIES-1085 | 60 | 9.5 | 637.33 | [M − SO3 + H]+ | aeruginosin 89A/B (26/27) |
| 11.1 | 717.18 | [M + H]+ | (26/27) | |||
| 12 | NIES-1099 | 60 | 8.4 | 637.44 | [M − SO3 + H]+ | aeruginosin 89A/B (26/27) |
| 8.4 | 717.09 | [M + H]+ | (26/27) | |||
| 10.0 | 637.38 | [M − SO3 + H]+ | (26/27) | |||
| 10.0 | 717.11 | [M + H]+ | (26/27) | |||
| 10.3 | 637.36 | [M − SO3 + H]+ | (26/27) | |||
| 10.3 | 717.14 | [M + H]+ | (26/27) | |||
| 15.8 | 520.11 | [M + 2H]2+ | microcystin-RR (19) | |||
| 15.8 | 1038.60 | [M + H]+ | (19) | |||
| 18.4 | 1045.58 | [M + H]+ | microcystin-YR(20) | |||
| 13 | NIES-1133 | 40 | 1.8 | 653.41 | [M − SO3 + H]+ | aeruginosin 102A/B (34/35) |
| 1.8 | 733.14 | [M + H]+ | (34/35) | |||
| 2.3 | 653.44 | [M − SO3 + H]+ | (34/35) | |||
| 2.3 | 733.13 | [M + H]+ | (34/35) | |||
| 3.2 | 653.37 | [M − SO3 + H]+ | (34/35) | |||
| 3.2 | 733.14 | [M + H]+ | (34/35) | |||
| 3.7 | 653.39 | [M − SO3 + H]+ | (34/35) | |||
| 3.7 | 733.11 | [M + H]+ | (34/35) | |||
| 4.0 | 653.35 | [M − SO3 + H]+ | (34/35) | |||
| 4.0 | 733.09 | [M + H]+ | (34/35) | |||
| 60 | 9.0 | 637.39 | [M − SO3 + H]+ | aeruginosin 89A/B (26/27) | ||
| 9.9 | 637.39 | [M − SO3 + H]+ | (26/27) | |||
| 9.9 | 717.34 | [M + H]+ | (26/27) | |||
| 15.6 | 520.16 | [M + 2H]2+ | microcystin-RR (19) | |||
| 15.6 | 1038.56 | [M + H]+ | (19) | |||
| 18.9 | 498.44 | [M + 2H]2+ | microcystin-LR (18) | |||
| 18.9 | 995.70 | [M + H]+ | (18) | |||
| 14 | NIES-1043 | 40 | 6.4 | 733.12 | [M + H]+ | aeruginosin 102A/B (34/35) |
| 10.4 | 717.03 | [M + H]+ | aeruginosin 89A/B (26/27) | |||
| 10.4 | 733.86 | [M + H]+ | (34/35) | |||
| 15 | NIES-298 | 40 | 7.1 | 605.47 | [M + H]+ | aeruginosin 298A (32) |
| 7.1 | 621.40 | [M + H2O + H]+ | aeruginosin K139 (30) | |||
| 60 | 6.6 | 603.37 | [M + H]+ | aeruginosin K139 (30) | ||
| 7.4 | 621.40 | [M + H2O + H]+ | (30) | |||
| 80 | 6.6 | 603.35 | [M + H]+ | aeruginosin K139 (30) | ||
| 6.6 | 621.38 | [M + H2O + H]+ | (30) |
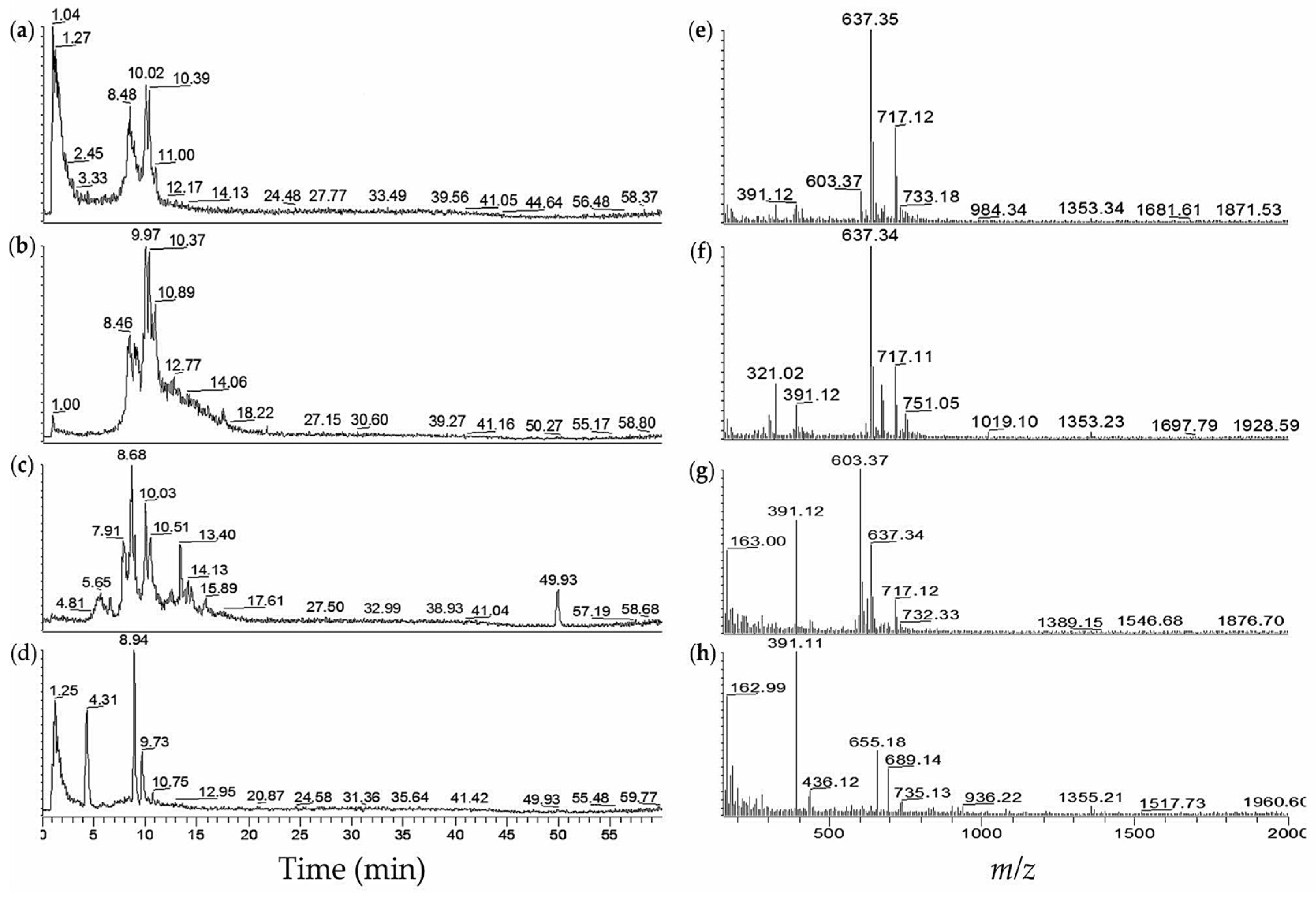
The 40%–65% MeOH fractions of M. aeruginosa NIES-89 extract contained mostly aeruginosins 89A (26) and B (27) with accompanying microcystins-LR (18) with mass to charge (m/z) 996 [M + H]+ at a retention time (tR) 18.9 min (Table 2). Microcystins were also found in M. aeruginosa M228 in the form of microcystin-YR (20) tR 18.4 min. In addition, M. aeruginosa NIES-103 contained microcystins-LR (18) with m/z 995 [M + H]+ at tR 19.0 min, -RR (19) with m/z 520 [M + 2H]2+ and m/z 1038 [M + H]+ at tR 16.0 min, and -YR (20) with m/z 523 [M + 2H]2+ and m/z 1045 [M + H]+ at tR 18.6 min. Compounds 18 and 19 could also be observed in 60% MeOH fraction of M. aeruginosa NIES-1133. Furthermore, compounds 18 and 19 could also be found in M. aeruginosa NIES-107–60% MeOH fraction, and NIES-1025–60% to 80% MeOH fractions with accompanying microcystin-FR (29) at tR 22.5 min with m/z 1029 [M + H]+. Compounds 19 and 20 could also be found in 60% MeOH fractions of M. aeruginosa NIES-1058 and NIES-1099. The M. aeruginosa NIES-1071 contained microcystins-LR (18), -RR (19) and 7-desmethylmicrocystin RR (28) at tR 15.8 min with m/z 513 [M + 2H]2+ and 1024 [M + H]+. Thus, we tested several microcystins (18–20) for inhibition of fVIIa-sTF complex (Table 1). However, microcystins-LR (18), -RR (19), and -YR (20) were not active against fVIIa-sTF. Further analysis of the active fractions by LC-MS, specifically M. aeruginosa K139 [24] and NIES-89 [13], led to the identification of the aeruginosins as the active compounds.
Analysis of the fVIIa-sTF active extracts of M. aeruginosa K139 and NIES-89 by LC-MS [25] gave a good lead for the active compounds present as fVIIa-sTF inhibitors (Figure 2, Table 2). LC-MS analysis of M. aeruginosa K139–60% MeOH fraction identified aeruginosin K139 (30) [24] as the active component with m/z 603 [M + H]+ at tR 5.1–8.4 min (Figure 2a,d). An m/z 621 [M + H2O + H]+ at tR 5.1 min was also found in the MS spectrum as a diagnostic for aeruginosin K139 (30) (Table 2). Aeruginosin K139 (30) was also noted in other toxic M. aeruginosa strains with similarly observed m/z as M. aeruginosa K139. The M. aeruginosa M228, NIES-298, and TAC 95 (H-strain)–40% and 60% MeOH fractions gave similar characteristic patterns as M. aeruginosa K139. However, ions with m/z 605 [M + H]+ at tR 5.2 min, and m/z 1028 [M + H − H2O]+ at tR 15.5 min were assigned as aeruginosin 298A (32) and aeruginopeptin 228-A (33), respectively.
We have isolated aeruginosin K139 (30) but unfortunately, complete chemical shift assignments were not determined [26]. The paper by Nishizawa et al. [24] published aeruginosin K139 (30) chemical structure by MS elucidation. However, the stereochemistry of the compound was not deduced. Aeruginosin K139 (30) will be elucidated completely in our next paper. Moreover, aeruginosin K139 (30) has a chemical structure similar to aeruginosin 602 (31) reported by Welker et al. [27]. Aeruginosins K139 (30) and 602 (31) have identical fragmentation pattern reported by Nishizawa et al. [24] and Welker et al. [27]. Both compounds were also elucidated using the LC-MS technique. However, for consistency, this paper will refer aeruginosin with m/z 603 [M + H]+ as aeruginosin K139 (30), in which our group detected from M. aeruginosa K139.
The 40%–45% MeOH extracts of M. aeruginosa NIES-89 contained a mixture of aeruginosins 89A/B (26/27) [13] with m/z 637 [M − SO3 + H]+ and m/z 717 [M + H]+ at tR 6.0–11.0 min (Figure 2b,c). Further analysis of M. aeruginosa NIES-89–40% MeOH by solvent optimization from 10% to 15% MeCN with 0.1% HCOOH over 60 min using reverse phase super ODS (100 × 2 mm) at 200 °C capillary temperature, exhibited tautomerization [13] of aeruginosins 89A (26) and B (27) with m/z 637 [M − SO3 + H]+and m/z 717 [M + H]+ at tR 30.4, 35.5, 44.2, and 47.3 min (data not shown).
Figure 2.
LC-MS profiles of M. aeruginosa K139 and NIES-89 cyanobacteria fVIIa-sTF active fractions: (a) Total ion chromatogram (TIC) of M. aeruginosa K139–60% MeOH; (b) TIC of M. aeruginosa NIES-89–40% MeOH; (c) TIC of M. aeruginosa NIES-89–45% MeOH; (d) Mass spectrum (MS) of M. aeruginosa K139–60% MeOH, retention time (tR) 7.3–8.5 min; (e) MS of M. aeruginosa NIES-89–40% MeOH, tR 8.8–9.7 min; (f) MS of M. aeruginosa NIES-89–40% MeOH, tR 6.0–7.9 min; (g) MS of M. aeruginosa NIES-89–45% MeOH, tR 7.9–11.3 min.
Figure 2.
LC-MS profiles of M. aeruginosa K139 and NIES-89 cyanobacteria fVIIa-sTF active fractions: (a) Total ion chromatogram (TIC) of M. aeruginosa K139–60% MeOH; (b) TIC of M. aeruginosa NIES-89–40% MeOH; (c) TIC of M. aeruginosa NIES-89–45% MeOH; (d) Mass spectrum (MS) of M. aeruginosa K139–60% MeOH, retention time (tR) 7.3–8.5 min; (e) MS of M. aeruginosa NIES-89–40% MeOH, tR 8.8–9.7 min; (f) MS of M. aeruginosa NIES-89–40% MeOH, tR 6.0–7.9 min; (g) MS of M. aeruginosa NIES-89–45% MeOH, tR 7.9–11.3 min.

We tested other toxic Microcystis strains for the presence of aeruginosins. Aeruginosins could also be found in some other strains of toxic Microcystis, with the presence of aeruginopeptins and microcystins. Indeed, the M. aeruginosa M228 strain was positive against fVIIa-sTF assay. The aeruginopeptins or microcystin-YR (20), with tR 14.9–18.4 min, co-existed with the active compounds. However, testing of the pure compounds of aeruginopeptins and microcystins (Table 1) for fVIIa-sTF assay proved that the potent compounds responsible for such activity were aeruginosins with the ions at m/z 603 [M + H]+ to m/z 621 [M + H2O + H]+. The dominant ions at m/z 603 [M + H]+ among positive fVIIa-sTF cyanobacterial extracts were attributed to aeruginosin K139 (30). The m/z 605 [M + H]+ was dereplicated as aeruginosin 298A (32). In addition, the LC-MS analyses of the fVIIa-sTF potent 40%–60% MeOH fractions of M. aeruginosa TAC 95, NIES-102 (Table 2) and other M. aeruginosa strains contained compounds belonging to the aeruginosin family. The M. aeruginosa TAC 95, 60% MeOH fraction, contained aeruginosin K139 (30) as an active compound with m/z 603 [M + H]+ at tR 7.7–8.8 min (Table 2). The aeruginopeptins 95A (1) and B (2) co-eluted with compound 30 in 60% MeOH fraction of TAC 95 strain. Compounds 1 and 2 eluted subsequently at tR 15.4 and 15.1, with m/z 1129 [M + H − H2O]+ and m/z 1132 [M + H − H2O]+, respectively. In addition, the aeruginosin 298A (32) eluted in 40% MeOH of the aforementioned cyanobacteria strain with tR 5.5 min. In M. aeruginosa NIES-102, aeruginosins 102A (34) and B (35) were present with the m/z 653 [M − SO3 + H]+ at tR 1.8–3.5 min. The presence of compounds 34 and 35 had extended through other strains of toxic M. aeruginosa, i.e., NIES-103, NIES-1025, NIES-1133, and NIES-1043. Compounds 34 and 35 eluted at tR 1.8–6.4 min with m/z 653 [M − SO3 + H]+ and m/z 733 [M + H]+.
The LC-MS spectrum (Figure 2) of aeruginosins 89A (26) and B (27) matched with the data of Ishida et al. [13]. An m/z 637 [M − SO3 + H] was assigned as a desulfated ion, and with an observed [M + H]+ at m/z 717. An observed tautomerization of aeruginosins reported by Ishida’s group [13] was verified in the experiment. In Figure 2b, the 40% ODS MeOH fraction of M. aeruginosa NIES-89 displayed peaks at 6.8, 7.4, 9.2, and 9.6 min with ions m/z 637 [M − SO3 + H]+ and m/z 717 [M + H]+ (Figure 2e,f). An m/z 1353 [2M − SO3 + H]+ could also be observed in the spectrum.
Cyanobacteria blooms collected from Ibaraki and Hyogo, Japan were also processed in our laboratory. The 40%–60% MeOH fractions of JX-1-5 from Ibaraki, Japan were found to be positive in fVIIa-sTF assays. Analysis by LC-MS (Figure 3) showed the presence of aeruginosins 89A (26) and 89B (27) with the ions at m/z 637 [M − SO3 + H]+ and m/z 717 [M + H]+ at tR 8.2–10.2 min. The 60% MeOH fraction of Koyaike 2 from Hyogo contained both aeruginosins 89A/B (26/27) and K139 (30). The LC-MS chromatogram of 40% MeOH fraction (Koyaike 3) had retention times and expected m/z values similar to those of aeruginosins with the ions at m/z 655 to m/z 689.
Figure 3.
LC-MS profiles of fVIIa-sTF active cyanobacterial extracts from algal blooms. (a) Extracted ion chromatogram (EIC m/z 600–800) of JX-1-5 (from Ibaraki)–40% MeOH; (b) EIC m/z 600–800 of JX-1-5–60% MeOH; (c) EIC m/z 600–800 of Koyaike site 2–60% MeOH; (d) EIC m/z 600-800 of Koyaike site 3–40% MeOH; (e) ESI-full MS of JX-1-5–40% MeOH, tR 8.2–10.2 min; (f) ESI-full MS of JX-1-5–60% MeOH, tR 8.1–11.7 min; (g) ESI-full MS of Koyaike site 2–60% MeOH, tR 5.4–14.5 min; (h) ESI-full MS of Koyaike site 3–40% MeOH, tR 0.01–13.7 min.
Figure 3.
LC-MS profiles of fVIIa-sTF active cyanobacterial extracts from algal blooms. (a) Extracted ion chromatogram (EIC m/z 600–800) of JX-1-5 (from Ibaraki)–40% MeOH; (b) EIC m/z 600–800 of JX-1-5–60% MeOH; (c) EIC m/z 600–800 of Koyaike site 2–60% MeOH; (d) EIC m/z 600-800 of Koyaike site 3–40% MeOH; (e) ESI-full MS of JX-1-5–40% MeOH, tR 8.2–10.2 min; (f) ESI-full MS of JX-1-5–60% MeOH, tR 8.1–11.7 min; (g) ESI-full MS of Koyaike site 2–60% MeOH, tR 5.4–14.5 min; (h) ESI-full MS of Koyaike site 3–40% MeOH, tR 0.01–13.7 min.

The EC50s, calculated by Biodatafit [28], of the 40% MeOH fraction of M. aeruginosa NIES-89 containing aeruginosin 89A/B (26/27) were 0.010 µg/mL and 7.123 µg/mL for thrombin and fVIIa, respectively. Thus, the 40% MeOH fraction of M. aeruginosa NIES-89 had computed 0.001 thrombin/fVIIa ratio. The dual inhibitory activity of aeruginosins 89A/B (26/27), and also K139 (30), against thrombin and fVIIa enzymes, make aeruginosins good candidates for fVIIa-sTF inhibitors.
Figure 4.
Aeruginosins detected by LC-MS.
Figure 4.
Aeruginosins detected by LC-MS.

We have detected aeruginosins 98A (36) and B (37) from M. aeruginosa NIES-98. The MeOH fractions from the aforementioned cyanobacteria are not active in the fVIIa-sTF assay. Thus, from our readings, we compare the fVIIa-sTF inhibitory activity of aeruginosins to phenylamidine. Kadono [29] has denoted the importance of phenylamidine P1 moiety in fVIIa inhibition, which has an inhibitory activity against fVIIa-sTF. The presence of the cyclic amino alcohol moiety in aeruginosins may contribute to efficient binding against fVIIa. However, this hypothesis needs to be established by a structure–activity relationship and subject to another paper. Based on Kadono’s paper [29], inhibitors “1–5” with linear structure and containing three peptide bonds exhibit both thrombin and fVIIa inhibitory activities. The number of peptide bonds contributes to the fVIIa inhibitory activity of the compounds and lessens its thrombin inhibition. The addition of one more peptide bond gives promising fVIIa-TF inhibitory activities. This additional peptide bond has been noted in inhibitors “2” to “5” [29] and aeruginosins. The presence of P3 moiety in aeruginosins has certain effects on inhibition of fVIIa and thrombin. The fVIIa and thrombin have the same catalytic triad Ser195-His58-Asp102, S1 pocket, and activation site Arg-Ile [30,31].
Similarly, the structure of aeruginosins could be compared to oscillarin from the cyanobacterium Oscillatoria agardhii [32,33] and dysinosins [33,34,35,36] from a sponge of the family Dysideidae. Both oscillarin and dysinosins have been reported as fVIIa and thrombin inhibitors [33].
Spumigins, similar to aeruginosins, also has thrombin inhibitory activities [22,37]. Both spumigins and aeruginosins are arginine-containing linear peptides. However, only the aeruginosins are active against fVIIa-sTF assay while spumigins A (21) and J (22) do not inhibit fVIIa and fVIIa-sTF. Both spumigins and aeruginosins contain a P1 side chain, which clings to thrombin’s specificity pocket containing Asp 189-engaged in ionic interactions with both classes of inhibitors [22,38].
Aeruginosins from toxic Microcystis cyanobacteria is a class of fVIIa-sTF inhibitors with thrombin-inhibiting activity. The aeruginosins could be developed into a specific fVIIa-sTF inhibitor that may avoid bleeding and bleeding complications. Some common fVIIa scaffolds from our review [19] have been identified, and we have correlated to the scaffolds of the cyanobacteria origin. The arginine and its arginine-derivatives (argininal and argininol) are essential for its fVIIa-sTF inhibition. In addition, structure–activity relationship (SAR) studies will be done in order to deduce the most active scaffold in aeruginosin. We hope to establish a particular SAR study between basic P1 arginine of aeruginosins and fVIIa enzyme. We will also consider the fVIIa enzyme and P3 moiety interaction as proposed in the study. Furthermore, synthesis and modifications have been deemed to make it specific for fVIIa. Assays involving a combination of co-factor(s) and enzymes (TF-fVIIa-fXa-fIIa, etc.) will be performed for a better diagnostic test for the specificity of aeruginosins.
3. Experimental Section
3.1. Culture Condition
Five- liter to ten-liter cyanobacterial cultures of 50 strains M. aeruginosa and Anabaena strains were grown in M. aeruginosa (MA) and C medium with N-Tris(hydroxymethyl) methyl-3-aminopropanesulfonic acid (TAPS) rather than Tris (hydroxymethyl) aminomethane (CT) media [39] for fVIIa-sTF and thrombin inhibitory assays. The M. aeruginosa K139 strain was grown in C medium with Bicine in preference for Tris (hydroxymethyl) aminomethane (CB medium) [24]. The M. aeruginosa strains were obtained from Microbial Culture Collection, National Institute for Environmental Studies (NIES), Japan unless otherwise indicated. The cultures were grown in a 5-L glass bottle by aeration at 20 °C for 2–4 weeks with continuous light except M. aeruginosa NIES-89 under 12L:12D cycle. The algal cells were centrifuged using Kubota 7000 centrifuge at 9000 rpm before lyophilization. The lyophilized cells were stored at −30 °C until micro-extraction.
3.2. Extraction
The freeze lyophilized algal cells (100 mg) were extracted with 3 mL (× 3) 5% acetic acid, homogenized for 30 min, and centrifuged using Kubota 5920 at 4000 rpm. The resulting supernate was evaporated in vacuo at 40 °C. The supernate was eluted by solid phase extraction (SPE) using Sep-Pak® Vac 6 mL (1 g) C18/tC18 cartridge (Waters brand). Increasing concentrations of MeOH from water to 100% MeOH with 20% increments was used to elute the supernate. For M. aeruginosa NIES-89, a 5%-increment MeOH was used to separate aeruginosins from microcystins. The cyanobacterial extracts and pure peptides from Microcystis were subjected for in vitro assays. Standard microcystins were bought from Wako Pure Chemical Industries, Ltd., Osaka, Japan. The thrombin assay was performed following the procedure by Anas et al. [22,40,41], in parallel with fVIIa, fVIIa- sTF assays. The crude MeOH fractions active against fVIIa-sTF were subjected to LC-MS experiment to determine the active compounds present.
3.3. Serine Protease Inhibitory Assays
All assay experiments were done in a cold condition at 4 °C using an ice bucket until pre-incubation and reaction at 37 °C.
3.3.1. Thrombin Inhibitory Assay
Thrombin inhibitory assays were performed following the procedure of Anas et al. [22,40,41] using 1 mg/mL and 100 µg/mL concentrations with H2O, 50% EtOH or 100% EtOH as solvents. The final concentration in each assay was 100 µg/mL and 10 µg/mL, respectively. Leupeptin was used as a positive control from Peptide Institute, Osaka, Japan. The Bz-Phe-Val-Arg·pNA HCl was purchased from Bachem AG (Bubendorf, Switzerland) and used as a substrate. Solvents H2O, 50% EtOH, and 100% EtOH were used as negative controls. Pure compounds were tested at a final concentration of 1 µg/mL unless otherwise indicated.
3.3.2. FVIIa and FVIIa-sTF Assays
Preparation of l-α-Cephalin or 3-sn-Phosphatidylethanolamine Buffer
The fVIIa and fVIIa-sTF assays used l-α-cephalin buffer solution. The fVIIa-sTF assay was performed following the procedure by Nakagura et al. [42] with modification. The l-α-cephalin as buffer solution was prepared as follows: Buffer (A): Five hundred milliliters (500 mL) of water was added to 6.057 g of Tris (hydroxymethyl)aminomethane (Nacalai Tesque, Kyoto, Japan) to make 100 mM Tris-HCl solution; 4.383 g NaCl (Nacalai Tesque) was added to the resulting solution to make 100 mM NaCl, and 500 mg bovine serum albumin (BSA) (Sigma, A7284, St. Louis, MO, USA) was added. The pH was adjusted to 7.40; Buffer (B): A 200 mL of Buffer A was added to 0.3329 g of CaCl2 (Nacalai Tesque). The resulting solution (Buffer B) was adjusted to pH 7.48 before it was stored at 4 °C in preparation for the next day experiment. A 30 µg/mL 3-sn-phosphatidylethanolamine from the bovine brain (Sigma, USA) or l-α-cephalin was added to Buffer B on the day of the experiment.
FVIIa Assay
The 80 µL 3-sn-phosphatidylethanolamine buffer, 50 µL of 100 mM fVIIa enzyme in a buffer, and 20 µL of sample solution were dispensed in each well of a 96-well plate (Iwaki: 3881-096, Tokyo, Japan). The 96-well plate with the solution was pre-incubated at 37 °C for 5 min separately together with 1 mM of Chromozyme t-PA (N-Methylsulfonyl-d-Phe-Gly-Arg-4-nitranilide acetate), from Roche Diagnostics (Mannheim, Germany), dissolved in water as a substrate. The 50 µL of the substrate was added, and the mixture was agitated to start the reaction. The absorbance was noted at 405 nm using Thermo Scientific Multiskan FC microplate photometer until favorable binding was observed.
FVIIa-sTF Assay
The same buffer preparation for fVIIa assay was used for the fVIIa-sTF inhibitory assay. The fVIIa: sTF ratio was 0.30 µg/mL: 0.39 µg/mL, and was prepared in Section 3.3.2.
Preparation of FVIIa Enzyme
The human factor VIIa (HFVIIa) enzyme, purchased from Enzyme Research Laboratories, South Bend, IN, USA, was added and adjusted with 20 mM Tris-HCl/0.1 M NaCl/pH 7.4. The final enzyme concentration should be 95.06 µg/mL. The 100 µL enzyme solutions were stored in plastic cryogenic vials (Iwaki: 2712-002, Tokyo, Japan) at −80 °C until use. The fVIIa enzyme, 95.06 µg/mL, and 100 µL volume solution was added to 7.822 mL of 3-sn-phosphatidylethanolamine buffer on the assay preparation.
Preparation of Soluble Tissue Factor (sTF or F3-28H)
The sTF or Recombinant Human Soluble Tissue Factor (F3-28H) or Human F3 was purchased from Creative Biomart, Shirley, NY, USA. The sTF was added with 10 mM PBS, pH 7.4, to make 1 mM (25.624 µg/mL), and transferred in 300 µL volumes in plastic cryogenic vials (Iwaki: 2712-002, Tokyo, Japan), stored at −80 °C until use. The sTF solution (25.624 µg/mL, 300 µL) was added to 4.7 mL of the 3-sn-phosphatidylethanolamine buffer in an amber bottle before use.
3.4. FVIIa-sTF Assay Procedure
The 30 µL buffer, 100 µL fVIIa-sTF, and 20 µL sample solutions were added to a well in a 96-well plate. The solution was pre-incubated at 37 °C for 5 min, together with 1 mM Chromozym t-PA in water as a substrate. A 50-µL substrate was added to start the reaction, agitated, and the absorbance was monitored at 405 nm using Thermo Scientific Multiskan FC microplate photometer. The initial and final readings were noted for 40 min.
3.5. LC-MS Preparation of Samples and Determination of fVIIa-sTF Active Compounds
Acetonitrile (99.8% purity) was purchased from Necalai Tesque, Ultrapure Water (LC/MS grade), and Formic Acid (abt. 99%, LC/MS grade) was purchased from Wako Pure Chemical Industries, Ltd., Osaka, Japan. The reversed-phase C18 (ODS) methanol fractions, which were positive for fVIIa-sTF assays, were subjected to LC-MS and dereplicated to know the active compounds present.
One hundred microliters (100 µL) of 100 µg/mL from an EtOH solution of positive ODS fractions was transferred to a small vial. The EtOH solution was evaporated in vacuo at 40 °C before adding 100 µL of 10% MeCN to make up 100 µg/mL solution for LC-MS analysis.
The LC-MS analysis was performed using Thermo Finnigan LCQ deca XP Plus LCMS analytical instrument with Agilent 1100 Series capillary liquid chromatography system. The samples were analyzed using a solvent gradient from 10% MeCN with 0.1% HCOOH to 100% MeCN with 0.1% HCOOH over 60 min. The analysis was done using reversed phase super ODS (TSK-gel, TOSOH Bioscience, Tokyo, Japan) 50 × 2 mm column, with flow rate 0.2 mL/min, 30 °C column oven, with 200 °C capillary temperature, and UV detection at 220 nm. Solvent optimization of M. aeruginosa NIES-89 40% MeOH fraction used gradient elution from 10% MeCN with 0.1% HCOOH to 15% MeCN with 0.1% HCOOH over 60 min using the aforementioned conditions and parameters. The LC-MS data were processed in Xcalibur Qual Browser ver. 1.2–1.3. The total ion chromatogram (TIC) and extracted ion chromatogram (EIC) were treated, and peaks were identified for the probable compounds present.
4. Conclusions
This research paves a new avenue for toxic Microcystis study on its role in medical research. We deduce the importance of serine protease inhibitory peptides aeruginosins from toxic Microcystis strains and relate it to the blood coagulation cascade using the LC-MS technique. Argal-containing aeruginosins are potent fVIIa-sTF inhibitors, which could be found in 40% to 80% MeOH ODS fractions in the study. Aeruginosins are potent fVIIa-sTF inhibitors, and we have detected six aeruginosins by LC-MS. The 40% MeOH fraction of M. aeruginosa NIES-89 containing a mixture of aeruginosins 89 A (26) and B (27) displays an EC50 value of 7.123 µg/mL for fVIIa inhibitory assay and a thrombin inhibitory activity of 0.010 µg/mL. The aeruginosin 89 A (26)/B (27) has a dual inhibitory activity against thrombin and fVIIa with 0.001 thrombin/fVIIa inhibition ratio. We need to develop or increase the thrombin/fVIIa ratio for aeruginosin by subjecting it to a structure–activity relationship (SAR) study in the future. Increasing the thrombin/fVIIa ratio could make aeruginosin more specific to fVIIa, which could be done by peptide modification. Future directions of this research aim to establish the structure-activity relationship (SAR) study of different aeruginosins present in this paper. This research is our preliminary study for aeruginosins as probable fVIIa-sTF inhibitors of the blood coagulation cascade. We aim at establishing the concrete fVIIa-sTF scaffolds, which will result in less bleeding and bleeding complications from cyanobacteria, specifically Microcystis, as our future research. We need to develop a new drug that could inhibit fVIIa with less bleeding and bleeding complications in the future.
Acknowledgments
Andrea Roxanne J. Anas is grateful to the Hori Sciences and Art Foundation (Grant No. 260312) for partly funding this research. Spumigins A and J have been kindly provided by Prof. Tatsufumi Okino of Graduate School of Environmental Science Hokkaido University, Japan. The M. aeruginosa K139 has been courteously supplied by Prof. Tomoyasu Nishizawa of Ibaraki University.
Author Contributions
A.R.J. Anas and K.I. Harada contributed to writing and editing the manuscript. Both of them conceptualized the whole research project with K.I. Harada as the project leader. K.I. Harada provided guidance to A. Nakajima, C. Naruse, and M. Tone. The fVIIa-sTF assay was developed by A. Nakajima with the guidance of A.R.J. Anas. Identification and comparison of aeruginosin scaffolds was done by C. Naruse with the supervision of K.I. Harada. The fVIIa-sTF assays and ODS isolation of NIES-1025, NIES-1043, NIES-1058, NIES-1071, NIES-1099, NIES-1133 were done by M. Tone and C. Naruse with the supervision of K. I. Harada. The LC-MS analyses and interpretation of data of the aforementioned M. aeruginosa strains were done by M. Tone with the guidance of A.R.J. Anas. The ODS isolation and LC-MS analyses of all cyanobacteria samples were done by A. Nakajima, C. Naruse and M. Tone with the supervision of A.R.J. Anas and K.I. Harada. Optimization of 50 strains cultured cyanobacteria was done by H. Asukabe with the guidance of A.R.J. Anas. The growth condition of M. aeruginosa NIES-89, as a slow grower, was optimized by H. Asukabe and A.R.J. Anas.
Conflicts of Interest
The authors declare no conflicts of interest.
References
- Davie, E.W. A brief historical review of the waterfall/cascade of blood coagulation. J. Biol. Chem. 2003, 278, 50819–50832. [Google Scholar] [CrossRef] [PubMed]
- Davie, E.W.; Fujikawa, K.; Kisiel, W. The coagulation cascade: Initiation, maintenance, and regulation. Biochemistry 1991, 30, 10363–10370. [Google Scholar] [CrossRef] [PubMed]
- Davie, E.W.; Fujikawa, K.; Kurachi, K.; Kisiel, W. The role of serine proteases in the blood coagulation cascade. Adv. Enzymol. Relat. Areas Mol. Biol. 1979, 48, 277–318. [Google Scholar] [PubMed]
- Davie, E.W.; Ratnoff, O.D. Waterfall sequence for intrinsic blood clotting. Science 1964, 145, 1310–1312. [Google Scholar] [CrossRef] [PubMed]
- Scandura, J.M.; Ahmad, S.S.; Walsh, P.N. A binding site expressed on the surface of activated human platelets is shared by factor X and prothrombin. Biochemistry 1996, 35, 8890–8902. [Google Scholar] [CrossRef] [PubMed]
- Henry, B.L.; Desai, U.R. Recent research developments in the direct inhibition of coagulation proteinases-inhibitors of the initiation phase. Cardiovasc. Hematol. Agents Med. Chem. 2008, 6, 323–336. [Google Scholar] [CrossRef] [PubMed]
- Dennis, M.S.; Roberge, M.; Quan, C.; Lazarus, R.A. Selection and characterization of a new class of peptide exosite inhibitors of coagulation factor VIIa. Biochemistry 2001, 40, 9513–9521. [Google Scholar] [CrossRef] [PubMed]
- Weston, B.W.; Monahan, P.E. Familial deficiency of vitamin K-dependent clotting factors. Haemophilia 2008, 14, 1209–1213. [Google Scholar] [CrossRef] [PubMed]
- Ansell, J.; Hirsh, J.; Hylek, E.; Jacobson, A.; Crowther, M.; Palareti, G. Pharmacology and management of the vitamin K antagonists: American College of Chest Physicians evidence-based clinical practice guidelines. Chest 2008, 133 (Suppl. 6), 160S–198S. [Google Scholar] [CrossRef] [PubMed]
- Chlipala, G.E.; Mo, S.; Orjala, J. Chemodiversity in freshwater and terrestrial cyanobacteria—A source for drug discovery. Curr. Drug Targets 2011, 12, 1654–1673. [Google Scholar] [CrossRef] [PubMed]
- Harada, K.; Fujii, K.; Shimada, T.; Suzuki, M. Two cyclic peptides, anabaenopeptins, a third group of bioactive compounds from the cyanobacterium Anabaena flos.aquae NRC 525-17. Tetrahedron Lett. 1995, 36, 1511–1514. [Google Scholar] [CrossRef]
- Murakami, M.; Ishida, K.; Okino, T.; Okita, Y.; Matsuda, H.; Yamaguchi, K. Aeruginosins 98-A and B, trypsin inhibitors from the blue-green alga Microcystis aeruginosa NIES-98. Tetrahedron Lett. 1995, 36, 2785–2788. [Google Scholar] [CrossRef]
- Ishida, K.; Okita, Y.; Matsuda, H.; Okino, T.; Murakami, M. Aeruginosins, protease inhibitors from the cyanobacterium Microcystis aeruginosa. Tetrahedron 1999, 55, 10971–10988. [Google Scholar] [CrossRef]
- Adiv, S.; Carmeli, S. Protease inhibitors from Microcystis aeruginosa bloom material collected from the Dalton Reservoir, Israel. J. Nat. Prod. 2013, 76, 2307–2315. [Google Scholar] [CrossRef] [PubMed]
- Okino, T.; Murakami, M.; Haraguchi, R.; Munekata, H.; Matsuda, H.; Yamaguchi, K. Micropeptins A and B, plasmin and trypsin inhibitors from the blue-green alga Microcystis aeruginosa. Tetrahedron Lett. 1993, 34, 8131–8134. [Google Scholar] [CrossRef]
- Gesner-Apter, S.; Carmeli, S. Protease inhibitors from a water bloom of the cyanobacterium Microcystis aeruginosa. J. Nat. Prod. 2009, 72, 1429–1436. [Google Scholar] [CrossRef] [PubMed]
- Adiv, S.; Aharonv-Nadborny, R.; Carmeli, S. Micropeptins from Microcystis aeruginosa collected in Dalton reservoir, Israel. Tetrahedron 2010, 66, 7429–7436. [Google Scholar] [CrossRef]
- Harada, K.I.; Mayumi, T.; Shimada, T.; Fujii, K.; Kondo, F.; Park, H.D.; Watanabe, M.F. Co-production of microcystins and aeruginopeptins by natural cyanobacterial bloom. Environ. Toxicol. 2001, 16, 298–305. [Google Scholar] [CrossRef] [PubMed]
- Anas, A.R.J.; Harada, K.-I. Evaluation of serine protease inhibitors as potent fVIIa-sTF inhibitors in the blood coagulation cascade. Lett. Drug Des. Discov. 2016, 13, 3–23. [Google Scholar] [CrossRef]
- Palareti, G.; Leali, N.; Coccheri, S.; Poggi, M.; Manotti, C.; D'Angelo, A.; Pengo, V.; Erba, N.; Moia, M.; Ciavarella, N.; Devoto, G.; Berrettini, M.; Musolesi, S. Bleeding complications of oral anticoagulant treatment: An inception-cohort, prospective collaborative study (ISCOAT). Lancet 1996, 348, 423–428. [Google Scholar] [CrossRef]
- López, J.A.; Kearon, C.; Lee, A.Y. Deep venous thrombosis. Hematol. Am. Soc. Hematol. Educ. Program 2004, 1, 439–456. [Google Scholar] [CrossRef] [PubMed]
- Anas, A.R.J.; Kisugi, T.; Umezawa, T.; Matsuda, F.; Campitelli, M.R.; Quinn, R.J.; Okino, T. Thrombin inhibitors from the freshwater cyanobacterium Anabaena compacta. J. Nat. Prod. 2012, 75, 1546–1552. [Google Scholar] [CrossRef] [PubMed]
- Østerud, B.; Bjørklid, E. Sources of tissue factor. In Seminars in Thrombosis and Hemostasis; Stratton Intercontinental Medical Book Corporation c1974: New York, NY, USA, 2006; pp. 11–23. [Google Scholar]
- Nishizawa, A.; Arshad, A.B.; Nishizawa, T.; Asayama, M.; Fujii, K.; Nakano, T.; Harada, K.-I.; Shirai, M. Cloning and characterization of a new hetero-gene cluster of nonribosomal peptide synthetase and polyketide synthase from the cyanobacterium Microcystis aeruginosa K-139. J. Gen. Appl. Microbiol. 2007, 53, 17–27. [Google Scholar] [CrossRef] [PubMed]
- Harada, K.I.; Nakano, T.; Fujii, K.; Shirai, M. Comprehensive analysis system using liquid chromatography–mass spectrometry for the biosynthetic study of peptides produced by cyanobacteria. J. Chromatogr. A 2004, 1033, 107–113. [Google Scholar] [CrossRef] [PubMed]
- Nakano, T.; Harada, K.I. Meijo University: Nagoya, Japan, Unpublished work. 2003.
- Welker, M.; Maršálek, B.; Šejnohová, L.; Von Doehren, H. Detection and identification of oligopeptides in Microcystis (cyanobacteria) colonies: Toward an understanding of metabolic diversity. Peptides 2006, 27, 2090–2103. [Google Scholar] [CrossRef] [PubMed]
- BioDataFit, version 1.02; software for EC50 calculation; Chang BioScience Inc.: Castro Valley, CA, USA, 2002–2013.
- Kadono, S. Selective inhibition mechanism of factor VIIa/tissue factor revealed from X-ray crystal structure analysis. J. Crystallogr. Soc. Jpn. 2006, 48, 147–152. [Google Scholar] [CrossRef]
- Hagen, F.S.; Gray, C.L.; O'Hara, P.; Grant, F.J.; Saari, G.C.; Woodbury, R.G.; Hart, C.E.; Insley, M.; Kisiel, W.; Kurachi, K.; Davie, E.W. Characterization of a cDNA coding for human factor VII. Proc. Natl. Acad. Sci. USA 1986, 83, 2412–2416. [Google Scholar] [CrossRef] [PubMed]
- Becker, R.C.; Spencer, F.A. Thrombin: Structure, biochemistry, measurement, and status in clinical medicine. J. Thromb. Thrombolysis 1998, 5, 215–229. [Google Scholar] [CrossRef] [PubMed]
- Konetschny-Rapp, S.; Krell, H.-W.; Martin, U. Isolation of Oscillarin. PCT WO96/11941, 1996. [Google Scholar]
- Ersmark, K.; del Valle, J.R.; Hanessian, S. Chemistry and biology of the aeruginosin family of serine protease inhibitors. Angew. Chem. Int. Ed. Engl. 2008, 47, 1202–1223. [Google Scholar] [CrossRef] [PubMed]
- Carroll, A.R.; Buchanan, M.S.; Edser, A.; Hyde, E.; Simpson, M.; Quinn, R.J. Dysinosins B–D, inhibitors of factor VIIa and thrombin from the Australian sponge Lamellodysidea chlorea. J. Nat. Prod. 2004, 67, 1291–1294. [Google Scholar] [CrossRef] [PubMed]
- Carroll, A.R.; Pierens, G.K.; Fechner, G.; de Almeida Leone, P.; Ngo, A.; Simpson, M.; Hyde, E.; Hooper, J.N.A.; Boström, S.-L.; Musil, D.; Quinn, R.J. Dysinosin A: A novel inhibitor of Factor VIIa and thrombin from a new genus and species of Australian sponge of the family Dysideidae. J. Am. Chem. Soc. 2002, 124, 13340–13341. [Google Scholar] [CrossRef] [PubMed]
- Hanessian, S.; Del Valle, J.R.; Xue, Y.; Blomberg, N. Total synthesis and structural confirmation of chlorodysinosin A. J. Am. Chem. Soc. 2006, 128, 10491–10495. [Google Scholar] [CrossRef] [PubMed]
- Fujii, K.; Sivonen, K.; Adachi, K.; Noguchi, K.; Sano, H.; Hirayama, K.; Suzuki, M.; Harada, K.-I. Comparative study of toxic and non-toxic cyanobacterial products: Novel peptides from toxic Nodularia spumigena AV1. Tetrahedron Lett. 1997, 38, 5525–5528. [Google Scholar] [CrossRef]
- Goyal, N. Synthesis and Biological Evaluation of Aeruginosin Based Compounds and Self-Assembly of Glucosamine Based Compounds. Ph.D. Thesis, University of New Orleans, New Orleans, LA, USA, 2011. [Google Scholar]
- Kasai, F.; Kawachi, M.; Erata, M.; Watanabe, M.M. NIES Collection: List of Strains, 7th ed.National Institute for Environmental Studies: Tsukuba, Japan, 2004; Volume 182.
- Kaplan, N.P.; Colowick, N.P.; Laszlo, L. Proteolytic enzymes Part B. In Methods in Enzymology; Academic Press: New York, NY, USA, 1976; Volume XLV. [Google Scholar]
- Shin, H.J.; Murakami, M.; Matsuda, H.; Yamaguchi, K. Microviridins D–F, serine protease inhibitors from the cyanobacterium Oscillatoria agardhii (NIES-204). Tetrahedron 1996, 52, 8159–8168. [Google Scholar] [CrossRef]
- Nakagura, T.; Tabata, K.; Kira, K.; Hirota, S.; Clark, R.; Matsuura, F.; Hiyoshi, H. Selective tissue factor/factor VIIa Inhibitor, ER-410660, and its prodrug, E5539, have anti-venous and anti-arterial thrombotic effects with a low risk of bleeding. Thromb. Res. 2013, 13, 271–279. [Google Scholar]
© 2015 by the authors; licensee MDPI, Basel, Switzerland. This article is an open access article distributed under the terms and conditions of the Creative Commons by Attribution (CC-BY) license (http://creativecommons.org/licenses/by/4.0/).