Abstract
The geographical range of invasive cyanobacteria with high toxigenic potential is widening because of eutrophication and global warming, thus, monitoring their appearance is necessary for safe water quality control. Most invasive cyanobacteria are nostocalean species, and their accurate identification by classical morphological methods may be problematic. In this study, we developed polymerase chain reaction (PCR) primers to selectively identify five invasive cyanobacterial genera, namely, Chrysosporum, Cuspidothrix, Cylindrospermopsis, Raphidiopsis, and Sphaerospermopsis, using genetic markers such as rbcLX, rpoB, rpoC1, and cpcBA, and determined the amplification conditions for each pair of primers. The primer performances were verified on single or mixed nostocalean cyanobacterial isolates. The five primers allowed selective identification of all the target genera. In field samples collected during summer, when cyanobacteria flourished in the Nakdong River, the respective PCR product was observed in all samples where the target genus was detected by microscopic analysis. Besides, weak bands corresponding to Sphaerospermopsis and Raphidiopsis were observed in some samples in which these genera were not detected by microscopy, suggesting that the cell densities were below the detection limit of the microscopic method used. Thus, the genus-specific primers developed in this study enable molecular monitoring to supplement the current microscopy-based monitoring.
1. Introduction
Anthropogenic freshwater eutrophication causes harmful cyanobacterial blooms in streams and lakes worldwide. With the air and water temperatures increasing because of global warming and climate changes causing sudden intense rainfalls or increased water shortage, the intensity and duration of harmful cyanobacterial blooms are expected to increase. Moreover, these environmental changes extend the geographical range of invasive cyanobacteria from their original to new habitats [1,2,3,4]. Notably, most invasive cyanobacteria can produce toxins and gain a competitive advantage over native species, thus being regarded as a severe threat to aquatic ecosystems [2,5]. Therefore, monitoring potentially toxic invasive cyanobacteria is becoming an integral part of water quality control.
Members of the genera belonging to the order Nostocales of cyanobacteria have the advantages of producing dormant cells and fixing nitrogen. Some members of this order are Cylindrospermopsis spp., Sphaerospermopsis spp., Cuspidothrix spp., and Chrysosporum spp., which have been reported to invade new habitats in various environments [2,6,7,8]. These invasive nostocalean cyanobacteria are filamentous organisms, which have some overlapping morphological characteristics with each other and with some non-invasive species. Moreover, they exhibit huge morphological plasticity, and thus are difficult to identify. If cell density is low, the possibility of locating differentiated cells (akinetes and heterocytes)—being key features in identification—is low, leading to difficulties in the identification of cyanobacteria with high accuracy. Therefore, a more accurate and sensitive method than the existing microscopic analysis is needed for the monitoring of invasive nostocalean cyanobacteria.
Molecular phylogenetic systematic research has been conducted utilizing various genome sequences of cyanobacteria. In particular, genes encoding 16S/23S rRNA, the internal transcribed spacer (ITS), ribulose 1,5-bisphosphate carboxylase/oxygenase (Rubisco) large subunit (rbcL), nitrogen fixation (nif) functions, RNA polymerase beta subunit (rpoB), gyrase beta subunit (gyrB), and polyphosphate kinase (ppk) have been investigated as systematic genome markers [9,10,11,12]. The 16S rRNA gene has been most widely used for the identification and phylogenetic analyses. In a previous study, the 16S rRNA, rbcLX, and rpoB genes were used to compare the results obtained by morphological classification and phylogenetic analysis of Nostocales [13]. Moreover, a study was conducted on the identification and filiation of Aphanizomenon spp. using the 16S rRNA, rbcLX, and cpcBA genes [14]. In another study, changes in hereditary characteristics of members of the genus Anabaena depending on their habitat were revealed using the 16S rRNA, rbcLX, and rpoC1 genes [15]. The lineage differentiation of cyanobacteria was studied using the 16S rRNA, rbcLX, and hetR genes [16]. Three genera, Sphaerospermopsis, Cuspidothrix, and Chrysosporum, were separated from the original genus Aphanizomenon based on the polyphasic approach, including ultrastructural and molecular characterization along with the conventional morphological classification [17]. Moreover, taxonomic delimitation of some freshwater planktonic nostocalean taxa, such as genus Cylindrospermopsis and Raphidiopsis, is still under debate [18].
In this study, as the first step in the molecular biological monitoring of invasive cyanobacteria of the order Nostocales, phylogeny and sequence similarities were analyzed to develop the genus-specific PCR primers using the housekeeping 16S rRNA, rbcLX, rpoB, rpoC1, and cpcBA genes. The polymerase chain reaction (PCR) primers developed in this study are expected to allow accurate early detection of potentially toxic invasive cyanobacteria and, consequently, enable their effective management.
2. Materials and Methods
2.1. Target Cyanobacteria
The target cyanobacteria included representatives of the typical invasive nostocalean genera Cylindrospermopsis, Cuspidothrix, Chrysosporum, Sphaerospermopsis, and Raphidiopsis. To obtain the target gene region of the target cyanobacteria, Cylindrospermopsis sp., Cuspidothrix sp., Sphaerospermopsis spp., and Raphidiopsis sp. were isolated from the Nakdong River in Korea and maintained in monocultures [19]. Chrysosporum spp. were not confirmed to appear in the Nakdong River, and therefore, Chrysosporum ovalisporum CS-1034 was obtained from the Australian National Algae Culture Collection. As a positive control, Cuspidothrix issatschenkoi NIVA CYA-711 was obtained from the Norwegian Culture Collection of Algae. Raphidiopsis mediterranea CS-1037 and Cylindrospermopsis raciborskii CS-1101 were obtained from the Australian National Algae Culture Collection (Table 1a). All strains were subcultured in MLA broth at a 2-week interval [20]. For genomic DNA extraction, each culture was proliferated until the late exponential phase and then filtered through a 0.45-μm MicronSep nitrocellulose membrane disk (GVS Life Sciences, Findlay, OH, USA). The filtered cyanobacteria on the membrane disk were stored in a −80 °C freezer until DNA extraction.
Table 1.
List of cultured strains of cyanobacteria (a), mixed strain samples (b) and field samples (with or without cultured strains added) (c) used to test the applicability of developed genus-specific primers; ‘+’ represents addition of the cultured strains, ‘-’ represents no addition of the cultured strains.
2.2. Sampling and Phytoplankton Analysis
To verify the applicability of the developed genus-specific primers for molecular monitoring using field samples, surface water was collected 500 m upstream of each of seven weirs on the Nakdong River from July to September 2019, when cyanobacterial proliferation was vigorous [21]. A total of 50 mL of water was filtered through a 0.45-μm MicronSep nitrocellulose membrane disk (GVS Life Sciences, Findlay, OH, USA), and the filtered sample on the disk was stored in a cryogenic freezer (−80 °C) until DNA analysis. For phytoplankton analysis, water samples were preserved by adding Lugol’s solution to a final concentration of 0.3%. Phytoplankton was classified to the genus or species level under a microscope (Imager M2, Carl Zeiss, Jena, Thüringen, Germany) [22,23]. Cells were counted using a Sedgwick–Rafter counting chamber, and the phytoplankton cell density was expressed as cells per milliliter of water.
2.3. Target Gene Sequences and Phylogenetic Analysis
2.3.1. DNA Extraction
The DNeasy plant mini kit (Qiagen) was used for genomic DNA extraction from cultured cyanobacteria and field samples according to the protocol provided with the kit. To increase the DNA extraction efficiency, the filtered sample stored at −80 °C was incubated at room temperature for 5 min, followed by the addition of lysis buffer. This mixture was sonicated twice for bursts of 10 s each, at a constant amplitude of 20% of 130watt using VCX 130PB (Sonic & Materials, Inc. Newtown, CT, USA). The concentration and purity of the DNA were measured using an Infinite M200 PRO microplate reader (Tecan Austria GmbH, Grödig, Austria). The extracted genomic DNA was stored at −20 °C.
2.3.2. Gene Sequence Characteristics and Phylogenetic Analysis
To develop genus-specific primers, the sequences of housekeeping genetic markers from Aphanizomenon, Cuspidothrix, Cylindrospermopsis, Sphaerospermopsis, and Raphidiopsis species were collected from the GenBank database registered in the US NCBI (National Center for Biotechnology Information, NIH, Bethesda, MD, USA) and all sequence information registered at the time of this study was used; 147 sequences of 16S rRNA, 140 sequences of rbcLX, 133 sequences of cpcBA, 134 sequences of rpoC1, and 65 sequences of rpoB. The DNA sequence similarity and genetic distances of target genes within nostocalean cyanobacteria were analyzed. Gene segments with the same base sequences were used for common sequences in the same species to eliminate sequence variations such as a single nucleotide polymorphism (SNP) within strains. DNA sequence similarity and genetic distance analysis was conducted after cutting off both ends of the aligned sequences, and the Kimura two-parameter model [24] was used in MEGA 6.0. Additionally, parsimony analysis (conserved sites, variable sites, and parsimony-informative sites) was carried out using MEGA 6.0. The DNA sequence similarity was expressed in percentage (%). The total average of sequence similarity was calculated by all sequence similarity values between species and expressed with standard deviation, and the number of samples (n) is the number of sequence similarities used in the calculation of the total average.
Phylogenetic analyses of target gene regions of the nostocalean genera were conducted using MEGA v.6 [24] and ClustalX2 [25], including sequences obtained from GenBank. The maximum-likelihood (ML) analysis of five regions was conducted using the RAxML 7.0.3 program with the default GTRGAMMA model [26]. Further, 200 independent tree inferences were used to identify the best tree. ML bootstrap values were determined using 1000 replicates, and Bayesian analyses were run using MrBayes v.3.1 [27] with the default GTR+G+I model to determine the best available model for the data from each region. Four independent Markov chain Monte Carlo runs were performed simultaneously for all sequence regions until the average standard deviation of split frequencies dropped below 0.01. The trees were sampled every 1000 generations. To ensure likelihood convergence, the first 1000 trees were discarded as burn-in. Microcystis aeruginosa was used as the outgroup.
2.4. Design of Genus-Specific Primers and Determination of PCR Amplification Conditions
Based on the analysis of the collected sequences described in Section 2.3.2, specific primers were designed for a gene with a genus-specific sequence. The sequence was subjected to multiple sequence alignment using MEGA 6.0, and the genus-specific sequence was searched for at intervals of 2 °C, depending on the primer type, in the range of 51 to 59 °C under annealing conditions using Primer3 (http://bioinfo.ut.ee/primer3/ accessed on 20 February 2019). For the selection of genus-specific primers, amplification test by touchdown PCR was performed with annealing temperatures incrementally decreasing by −0.2 °C for each cycle from 62 °C to 50 °C. The characteristics and potential hairpin formation of the search-specific primers were verified using Oligo Calculator version 3.27. Optimization of the annealing temperatures for the selected primers was carried out by performing gradient PCR with annealing temperatures in the range of 50 °C to 62 °C. For amplification of the target gene region, a 20-μL reaction mixture was made by mixing 1 ng of genomic DNA, 10 pmol of each PCR primer, and 10 μL of AccuPower® Taq PCR premix (Bioneer, Deajeon, Korea). PCR was performed at 95 °C for 5min, followed by 30 cycles at 95 °C for 30 s, 55–59 °C (annealing temperature depending on each primer pair) for 30 s, and 1 min at 72 °C, and finally 10 min at 72 °C.
2.5. Verification of the Genus-Specific Primers
To verify the developed primers, one to three strains were cultured for each of the seven nostocalean genera used in this study, including the five-target invasive nostocalean genera (Table 1a). Genomic DNA was extracted from each culture, and PCR for each primer pair was performed. Moreover, single-cultured strains of the seven genera were mixed in seven different combinations (Table 1b). DNA was extracted from each mixed sample, and PCR was conducted using the developed primers.
To confirm the developed PCR primers’ applicability to field samples, surface water was collected 500 m upstream of the Gumi weir on 1 June 2020. Seven cultured cyanobacterial strains were added at different combinations to the collected water, resulting in eight samples (Table 1c), and PCR was performed using the developed primers and genomic DNA extracted from each sample. Furthermore, to verify the applicability of the developed primers for molecular monitoring using field samples, DNA was extracted from 11 field samples in which target cyanobacteria were observed under a microscope and 2 samples in which they were not observed. These samples were collected 500 m upstream of each of the seven weirs (Sangju, SJ; Nakdan, ND; Gumi, GM; Chilgok, CG; Dalseong, DS; Hapcheon-Changnyeong, HC; Changnyeong-Haman, CH) on the Nakdong River [21] between July and September 2019. The PCR results obtained with the developed genus-specific primers were compared with those of the microscopic examination.
To compare the specificity of the PCR primer pair developed in this study to genus Cylindrospermopsis, Cylindrospermopsis-specific PCR primer pair (cyl2-cyl4) developed by Wilson et al. [28] was used for PCR amplification.
Five target cyanobacterial strains were used as a positive control (Table 1a), and sterilized distilled water was used as a negative control. A 1.5% agarose gel was used for electrophoresis, and SiZer-100 (iNtRon, Seongnam, Korea) was used as a DNA marker to determine the sizes of the PCR products.
3. Results
3.1. Selection of Genetic Markers through Phylogenetic Analyses
In this study, to design PCR primers that could selectively distinguish the typical invasive nostocalean cyanobacterial genera, the 16S rRNA, rbcLX, rpoB, rpoC1, and cpcBA genes were used to identify the generic specificity of the target genes through phylogenetic classification.
First, as the 16S rRNA was used as a conventional genomic marker for the classification of many cyanobacteria [29], phylogenetic analysis was performed using longer than 1006 bps of the 16S rRNA of nostocalean cyanobacterial species obtained from the NCBI. Based on the results, the genera Sphaerospermopsis, Cuspidothrix, and Chrysosporum of the target cyanobacteria formed independent clades, and the genera Raphidiopsis and Cylindrospermopsis formed one clade with separate branches (Figure 1).
Figure 1.
Consensus Bayesian tree based on aligned 1006-bp sequences of the 16S rRNA using the GTR+G+I model with Microcystis aeruginosa as an outgroup. The parameters were as follows: assumed equal nucleotide frequency; substitution rate matrix with A–C substitutions = 0.0928, A–G = 0.2562, A–T = 0.0772, C–G = 0.0801, C–T = 0.4256, and G–T = 0.0678; proportion of sites assumed to be invariable = 0.5723; and rates for variable sites assumed to follow a gamma distribution with the shape parameter = 0.2774. The branch lengths are proportional to the amount of character changes. The numbers above the branches indicate the Bayesian posterior probability (left) and maximum-likelihood bootstrap values (right). Posterior probabilities ≥ 0.5 are shown.
Based on the phylogenetic analysis using the cpcBA and rpoB gene sequences (Figure 2 and Figure 3), C. issatschenkoi (synonyms; Anabaena issatschenkoi, Aphanizomenon issatschenkoi) formed an independent clade. C. issatschenkoi also formed one clade with Dolichospermum spp., split into two branches based on the phylogenetic analysis using the rbcLX sequences (Figure 4), and one clade with A. flos-aquae based on the phylogenetic analysis using aligned 373-bp sequences of the rpoC1 gene (Figure 5).
Figure 2.
Consensus Bayesian tree based on aligned 322-bp sequences of cpcBA using the GTR+G+I model with Microcystis aeruginosa as an outgroup. The parameters were as follows: assumed equal nucleotide frequency; substitution rate matrix with A–C substitutions = 0.1590, A–G = 0.2297, A–T = 0.1304, C–G = 0.0518, C–T = 0.3314, and G–T = 0.0974; proportion of sites assumed to be invariable = 0.1173; and rates for variable sites assumed to follow a gamma distribution with the shape parameter = 6.8674. The branch lengths are proportional to the amount of character changes. The numbers above the branches indicate the Bayesian posterior probability (left) and maximum-likelihood bootstrap values (right). Posterior probabilities ≥ 0.5 are shown.
Figure 3.
Consensus Bayesian tree based on aligned 499-bp sequences of rpoB using the GTR+G+I model with Microcystis aeruginosa as an outgroup. The parameters were as follows: assumed equal nucleotide frequency; substitution rate matrix with A–C substitutions = 0.0645, A–G = 0.2786, A–T = 0.0524, C–G = 0.1046, C–T = 0.4546, and G–T = 0.0451; proportion of sites assumed to be invariable = 0.2717; and rates for variable sites assumed to follow a gamma distribution with the shape parameter = 0.9189. The branch lengths are proportional to the amount of character changes. The numbers above the branches indicate the Bayesian posterior probability (left) and maximum-likelihood bootstrap values (right). Posterior probabilities ≥ 0.5 are shown.
Figure 4.
Consensus Bayesian tree based on aligned 993-bp sequences of rbcLX using the GTR+G+I model with Microcystis aeruginosa as an outgroup. The parameters were as follows: assumed equal nucleotide frequency; substitution rate matrix with A–C substitutions = 0.1028, A–G = 0.2947, A–T = 0.1220, C–G = 0.0857, C–T = 0.3330, and G–T = 0.0615; proportion of sites assumed to be invariable = 0.0155; and rates for variable sites assumed to follow a gamma distribution with the shape parameter = 0.9935. The branch lengths are proportional to the amount of character changes. The numbers above the branches indicate the Bayesian posterior probability (left) and maximum-likelihood bootstrap values (right). Posterior probabilities ≥ 0.5 are shown.
Figure 5.
Consensus Bayesian tree based on aligned 373-bp sequences of rpoC1 using the GTR+G+I model with Microcystis aeruginosa as an outgroup. The parameters were as follows: assumed equal nucleotide frequency; substitution rate matrix with A–C substitutions = 0.0455, A–G = 0.4384, A–T = 0.0295, C–G = 0.0844, C–T = 0.3488, and G–T = 0.0531; proportion of sites assumed to be invariable = 0.4420; and rates for variable sites assumed to follow a gamma distribution with the shape parameter = 1.1548. The branch lengths are proportional to the amount of character changes. The numbers above the branches indicate the Bayesian posterior probability (left) and maximum-likelihood bootstrap values (right). Posterior probabilities ≥ 0.5 are shown.
Based on the phylogenetic analysis using the rpoC1 gene, the genera Raphidiopsis and Cylindrospermopsis formed separate branches within the same clade (Figure 5). The genera Raphidiopsis and Cylindrospermopsis also fell under the same clade and were not distinct based on the phylogenetic analysis using the cpcBA gene (Figure 2).
3.2. Design of Genus-Specific PCR Primers
Sequence similarity analysis of the 16S rRNA gene showed high average similarity among the genera (95.1 ± 2.6%; n = 66), and Sphaerospermopsis, Cuspidothrix, Chrysosporum, and Raphidiopsis showed a similarity of 94.6% with other cyanobacteria (Table 2). Although the target genera were distinguished by phylogenetic analysis using the 16S rRNA gene sequences, genus-specific sequences could not be found because of the high sequence similarity among the genera. Thus, this gene was excluded from designing genus-specific primers.
Table 2.
Sequence similarities (%) of target genes (a; 16S rRNA, b; rbcLX, c; cpcBA, d; rpoB, e; rpoC) among nostocalean cyanobacteria.
Based on the sequence similarity of the rbcLX gene, Sphaerospermopsis aphanizomenoides (synonyms; Anabaena aphanizomenoides, Aphanizomenon aphanizomenoides) showed a similarity of 83.4% with the other nostocalean cyanobacteria, which was lower than the total average sequence similarity of 88.3 ± 5.5% (n = 28), and the cpcBA gene was 74.6% similar to those of other compared taxa, which was close to the total average sequence similarity of 74.4 ± 10.2% (n = 45) (Table 2). For the rbcLX gene, with a lower similarity in Sphaerospermopsis spp. than the total average sequence similarity, a characteristic sequence with clear differences of 18 bp (forward) and 25 bp (reverse) in Sphaerospermopsis spp. was selected by a comparative analysis of multiple sequences from the nostocalean cyanobacteria listed in the NCBI database (Figure S1). Consequently, Sphaerospermopsis genus-specific primers Sph-rbcLX-F/R were designed. The sequences of the primer pair, annealing temperature and PCR product size are described in Table 3.
Table 3.
Genus-specific primers developed in this study.
Based on the similarity analysis of the rpoB sequences, C. issatschenkoi was 78.2% similar to the other nostocalean cyanobacteria, which was slightly higher than the total average sequence similarity of 78.0 ± 8.4% (n = 15). Based on the analysis of the cpcBA, rbcLX, and rpoC1 gene sequences, C. issatschenkoi had a similarity of 77.5%, 86.8%, and 76.0%, respectively, to the other nostocalean cyanobacteria, which were slightly higher or lower than the total average sequence similarity of 74.4 ± 10.2% (n = 45), 88.3 ± 5.5% (n = 28), and 75.6 ± 6.7% (n = 55) (Table 2). As C. issatschenkoi formed an independent clade in the rpoB-based phylogenetic tree and the gene had a lower sequence similarity than that of the other genes, rpoB sequences of six species of nostocalean cyanobacteria were subjected to multiple-sequence comparative analysis. The results showed that Cuspidothrix spp. had a characteristic sequence with differences of 4 bp (forward) and 6 bp (reverse) from those in the other genera. Thus, Cuspidothrix genus-specific primers, Cus-rpoB-F/R, were designed using this segment (Table 3 and Figure S2).
The sequence similarities of the rpoC1 and cpcBA genes of R. mediterranea to those of the other compared taxa were 66.4% and 71.7%, respectively, which was lower than the total averages (75.6% and 74.4%, respectively). However, these genes in R. mediterranea showed 96.4% and 98.1% sequence similarity, respectively, with those of C. raciborskii, which was in the same clade by phylogenetic analysis (Table 2). Multiple-sequence comparative analysis of the rpoC1 gene, which showed a high sequence similarity (94.8%) between R. mediterranea and C. raciborskii, found a characteristic sequence with differences of 1 bp (forward) and 3 bp (reverse) between two genera. Based on these results, Raphidiopsis genus-specific primers, Raphi-rpoC1-F/R, were designed (Table 3 and Figure S3). Furthermore, Cylindrospermopsis genus-specific primers, Cyl-rpoC1-F/R, were designed using sequences in the same region (Table 3).
Sequence similarity analysis of rpoC1 and cpcBA genes of C. ovalisporum (synonyms; Anabaena ovalisporum, Aphanizomenon ovalisporum) showed that the values (70.1% and 67.2%, respectively) were lower than the total average values (75.6% and 74.4%, respectively) (Table 2). Based on multiple-sequence comparative analysis of the cpcBA gene, with a lower sequence similarity, a characteristic sequence was selected, which showed differences of 6 bp (forward) and 8 bp (reverse) between C. ovalisporum and other species, and Chrysosporum genus-specific primers, Chry-cpcBA-F/R, were designed (Table 3 and Figure S4).
3.3. Verification of the Genus-Specific Primers
DNA from morphologically and genetically similar members of the seven nostocalean cyanobacterial genera (Table 1a), including the five target genera, was amplified using the developed primers. The results showed that each primer pair amplified a PCR product only for members of the target genus, while no bands were observed for other genera members (Figure 6a). Therefore, it was confirmed that the five pairs of PCR primers designed in this study specifically reacted with the DNA of each target species from the various nostocalean cyanobacterial genera.
Figure 6.
Agarose gel electrophoresis of polymerase chain reaction (PCR) products obtained with genus-specific primers. (a) PCR products from cultured nostocalean cyanobacterial strains (please refer to Table 1a for numbering). (b) PCR products from (upper panel) Sphaerospermopsis aphanizomenoides NRERC-600–603 (1–4) and 605–607 (6–8); Sphaerospermopsis reniformis NRERC-604 and 608 (5 and 9); and (lower panel) Cuspidothrix issatschenkoi NRERC-650–652 and 654–661 (1–11) isolated from the Nakdong River. (c) PCR products from Cylindrospermopsis sp. NRERC-501–504 (1–4) and Raphidiopsis curvata NRERC-701 (5) isolated from the Nakdong River. M: SiZer-100 DNA marker.
Furthermore, DNA was amplified from strains that were isolated from the Nakdong River and identified based on their morphological characteristics. The Cuspidothrix genus-specific primers Cus-rpoB-F/R were used with DNA from 11 strains of C. issatschenkoi (NRERC-650–652 and 654–661), while the Sphaerospermopsis genus-specific primers Sph-rbcLX-F/R were used with DNA from 7 strains of S. aphanizomenoides (NRERC-600–603 and 605–607) and 2 strains of Sphaerospermopsis reniformis (basionym; Anabaena reniformis) (NRERC-604 and 608). The results confirmed the amplification of PCR products of the correct sizes for all isolates (Figure 6b), showing consistency with morphological identification data.
With the Raphi-rpoC1-F/R primer pair, a PCR product was only observed for R. mediterranea CS-1037 but not for other nostocalean strains, including members of the genus Cylindrospermopsis (Figure 6a). This result suggests that this primer pair specifically targets the DNA of Raphidiopsis spp. but not that of Cylindrospermopsis spp., which show high sequence similarity; thus, this primer pair can be used to distinguish members of the two genera in natural water. Meanwhile, after PCR amplification of the same samples using the Cylindrospermopsis-specific PCR primer (cyl2-cyl4) developed by Wilson et al. [28], PCR products were obtained for members of both Cylindrospermopsis and Raphidiopsis, suggesting that the two genera could not be differentiated (Figure 6a). However, after PCR amplification using the Cyl-rpoC1-F/R primers developed in this study, a PCR product was only observed in the Cylindrospermopsis sp. sample but not in that of Raphidiopsis sp. (Figure 6a). Moreover, PCR amplification of DNA from four strains of C. raciborskii (NRERC-501–504) and one strain of R. curvata (NRERC-701), which were isolated from the Nakdong River, was only positive for the respective targets when using the primers Raphi-rpoC1-F/R and Cyl-rpoC1-F/R; however, PCR products were observed for the members of both genera when using the cyl2-cyl4 primers (Figure 6c). Therefore, it is expected that the morphologically and genetically similar genera Raphidiopsis and Cylindrospermopsis can be effectively distinguished using the Raphi-rpoC1-F/R and Cyl-rpoC1-F/R primers developed in this study.
To verify whether the five developed PCR primer pairs could act in a genus-specific manner in mixed samples of multiple nostocalean cyanobacteria, PCR was performed on samples of randomly mixed cultured strains (Table 1b). All five primer pairs only amplified PCR products in the target-positive controls but did not react with DNA from other nostocalean cyanobacteria, confirming that the five pairs of primers could accurately distinguish the target cyanobacteria (Figure 7a).
Figure 7.
Agarose gel electrophoresis of PCR products obtained with genus-specific primers in (a) mixed samples of various cyanobacterial cultures (Table 1b) and (b) field samples mixed with cyanobacterial cultures (Table 1c). Positive (+) and negative (−) controls were used as described in the Materials and Methods. M: SiZer-100 DNA marker.
To investigate the deterrent effect due to interfering substances, such as algae (bacillariophytes, green algae, flagellates, etc.) and organic materials, that could affect the reaction of the five developed PCR primer pairs, cultures of the seven nostocalean cyanobacterial genera were added to the surface water collected from the Nakdong River (spike), and the reaction status of the primers was verified. Based on the microscopic analysis of the phytoplankton in the surface water collected at the Gumi weir section on 1 June 2020, the cell density of the total phytoplankton was 26,344 cells·mL−1, including 17,080 cells·mL−1 of bacillariophytes, 2100 cells·mL−1 of green algae, 2920 cells·mL−1 of flagellates, and 4244 cells·mL−1 of cyanobacteria. The most dominant genus among the cyanobacteria was Pseudanabaena, and the cell density of nostocalean cyanobacteria was 1164 cells·mL−1, with 711 cells·mL−1 of C. issatschenkoi and no other target cyanobacteria from this study. The field samples without added culture samples only generated PCR products with the Cus-rpoB primers but not with the other primers. For the seven field samples with different combinations of cultured cyanobacterial strains (Table 1c), PCR products were obtained with each primer pair when target cyanobacteria were added (Figure 7b). Based on these results, the primers developed in this study can successfully distinguish the target cyanobacteria even when other cyanobacteria and non-cyanobacterial organisms are mixed with the target cyanobacteria.
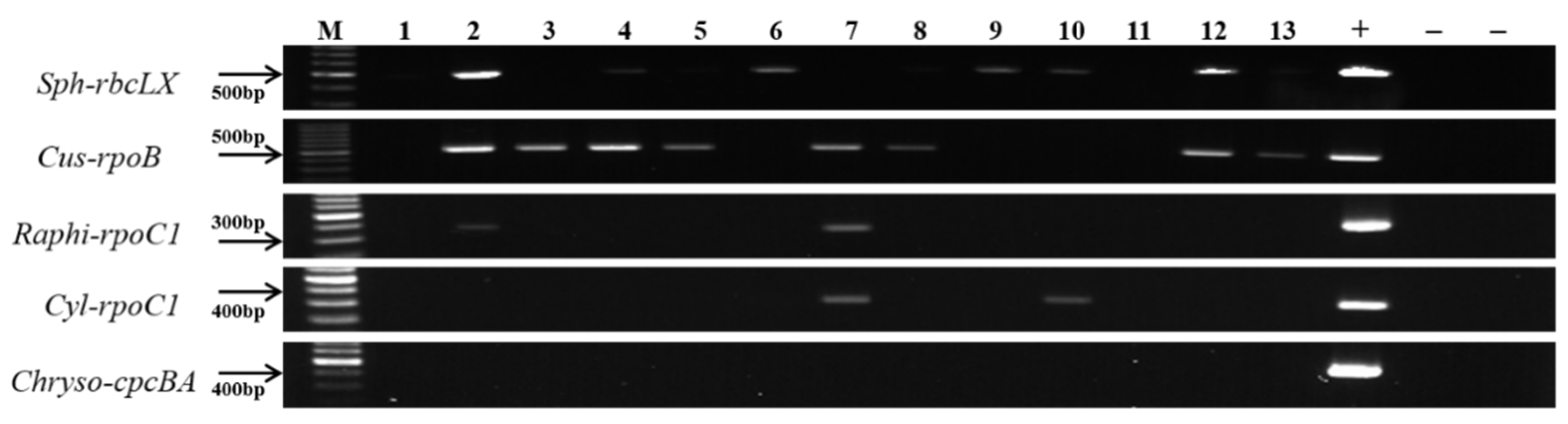
To examine the field applicability of the PCR primers developed in this study, the reaction status of the primers was investigated with the river water. The phytoplankton population analysis was carried out using a microscope on 13 surface water samples collected 500 m upstream of each of seven weirs on the Nakdong River from July to September 2019, the summer season when cyanobacteria flourished in the Nakdong River. The results indicated that bacillariophytes (Aulacoseira spp. and Skeletonema spp.) and cryptophytes (Cryptomonas spp.) were dominant in two (Nos. 10 and 13) and one sample (No. 8), respectively. Cyanobacteria dominated the remaining ten samples. Microcystis spp., Dolichospermum spp., and Merismopedia spp. were dominant in seven (Nos. 2, 4, 6, 8, 9, 11 and 12), one (No. 3), and two (Nos. 1 and 5) samples, respectively. Among the cyanobacteria targeted by the PCR primers developed in this study, Cuspidothrix spp., Cylindrospermopsis spp., and Sphaerospermopsis spp. were observed in eight, two, and six samples, respectively, while Chrysosporum spp. and Raphidiopsis spp. were not observed in any of the 13 samples (Table 4). According to the microscopic analysis, after amplifying the 13 samples with the Cuspidothrix-specific primers, PCR products were detected in all Cuspidothrix-positive samples, but not in other samples. For Chrysosporum spp., consistent results were obtained by microscopy and gene analysis, with no PCR products detected in the 13 samples. For Sphaerospermopsis spp., PCR products were found in the six samples confirmed by microscopy, and a weak electrophoretic band was observed in another sample (No. 13). Raphidiopsis spp. were not observed by microscopic analysis, but a weak band was detected by gene analysis (Nos. 2 and 7) (Figure 8).
Table 4.
Community structure of the phytoplankton in field samples (cells·mL−1); cell densities of total phytoplankton and major groups (upper) and cyanobacterial genera (bottom).
Figure 8.
Agarose gel electrophoresis of PCR products obtained with the genus-specific primers on samples collected from 13 points on the Nakdong River. Positive (+) and negative (−) controls were as described in the Materials and Methods. M: SiZer-100 DNA marker.
4. Discussion
The housekeeping genetic markers used in this study are all genes widely utilized in various phylogenetic studies of cyanobacteria to compensate for the limitation of 16S rRNA. The rbcLX sequence contains rbcL and rbcX, the genes encoding two subunits of the RuBisCO (ribulose-bisphosphate carboxylase), separated by an intergenic spacer (IGS). rbcLX was used to bypass the limitations of rbcL, which had been conventionally widely utilized and was first used to establish the phylogenetic relationship between the genera Dolichospermum (formerly Anabaena) and Aphanizomenon by Gugger [10]. The rpoB and rpoC1 genes encode the beta and gamma subunits of RNA polymerase, respectively, and were used in previous studies for lineage differentiation, including a study on the evolutionary association of chloroplasts of eubacteria and cyanobacteria [30]. rpoB was first used to supplement the limitations of the 16S rRNA in a study by Dalhllöf [9], and rpoC1 was used, along with the 16S rRNA, hetR, and nifH genes, in a study of Thomazeau on the phylogeny of cyanobacteria in sub-Saharan Africa [31], which shows the low genetic diversity of C. raciborskii [32,33]. cpcBA includes sequences of the cpcB and cpcA genes, encoding for phycocyanin subunits, and an IGS. cpcBA was first used as a complementary gene for addressing the limitations of the 16S rRNA gene in a phylogeographical study of the genus Synechococcus [34]. cpcBA was also used as a geographical marker of the genus Cylindrospermopsis in a study by Dyble [35]. Phylogenetic analysis based on these genetic markers, including 16S rRNA, showed that the target nostocalean cyanobacterial genera in this study formed an independent clade from other genera, indicating the availability of these genetic markers in designing PCR primers that specifically distinguish target nostocalean cyanobacterial genera.
In the conventional morphological classification system, Cylindrospermopsis spp. and Raphidiopsis spp., which have a similar trichome shape, were distinguished by forming heterocytes. If conical heterocytes were formed at the end of the trichome, the organism was classified to the genus Cylindrospermopsis; if no heterocytes were formed, the organism was classified to the genus Raphidiopsis [22]. However, it has recently been shown that the genera Raphidiopsis and Cylindrospermopsis form a monophyletic lineage and are not distinguished [18]. Hence, it has been proposed that these two genera are combined in the genus Raphidiopsis based on a phylogenetic study that used the 16S rRNA gene, 16S–23S ITS, and cpcBA sequences [18]. Consequently, a few studies have reported C. raciborskii as Raphidiopsis raciborskii [36,37,38,39]. This study also showed that these two genera were not separated in the phylogenetic tree of 16S rRNA, rpoC1, and cpcBA genes (Figure 1, Figure 2 and Figure 5). However, the integration of the two genera has still been disputed, and many researchers have differentiated Raphidiopsis and Cylindrospermopsis. Accurate identification of Cylindrospermopsis spp. in the proliferation stage, when end cells do not appear to differentiate into heterocytes, is difficult in field samples. However, since Cylindrospermopsis spp. and Raphidiopsis spp. have a nucleotide sequence similarity of about 98.1% in the rpoC1 gene, it is challenging to generate a primer with the conventional primer design method. It was not easy to find the nucleotide sequence section that distinguishes the Raphidiopsis spp. from other genera including Cylindrospermopsis, and even in the section where there is a difference between Raphidiopsis spp. and other genera, the nucleotide sequence different from Cylindrospermopsis did not exceed 3 bp in the entire section. Therefore, since there is only 1 bp difference in forward primer, it is impossible to distinguish between Cylindrospermopsis and Raphidiopsis spp., but in reverse primer, 1 and 2 bp different sequences are located at the 3′ terminus causing primer mismatch. This type of primer design has been reported in a study of Liu’s allele-specific primers for rapeseed (Brassica napus L) and sesame (Sesamum indicum) [40]. According to Liu’s study, the primer mismatch ratio according to the type and position of single nucleotide polymorphism (SNP) base pairs left at the 3′ terminus is different, and using this, allele-specific primer design is possible. The sequence difference between Cylindrospermopsis and Raphidiopsis spp. in the 1st and 4th to 5th position from the 3′ terminus of the reverse primer can cause a mismatch with a probability of 22.5%, 31.7% and 32.9%, respectively. As a result, it was possible to distinguish these two genera in the actual PCR amplification. This result signifies that a high overall similarity of genes does not prevent the primer design and the taxonomic distinction between the two genera. Furthermore, this primer design method can increase primer specificity and be applied in other cyanobacterial species with high genetic similarity.
It is assumed that the discrepancy between the microscopic results and molecular monitoring results in the field samples is due to the difference in the two methods’ detection limits. It is challenging to distinguish S. aphanizomenoides from Aphanizomenon spp. or Dolichospermopsis spp. if an akinete adjacent to a heterocyte is not found, while Raphidiopsis spp. are morphologically similar to Cuspidothrix spp. and Cylindrospermopsis spp., particularly when the trichomes are young. Therefore, for a trichome at its early stage of proliferation, morphological characteristics that serve as identification keys might not have appeared, and thus there is a possibility that it was falsely identified as Aphanizomenon spp. or Cuspidothrix spp., which appeared at relatively high densities. Moreover, we cannot exclude that S. aphanizomenoides and Raphidiopsis spp. appeared at a low density and could not have been detected by our protocol of microscopic analysis but were detected by PCR. In the filamentous cyanobacteria, a few or dozens of cells form one filament, and if the concentration is less than one filament per milliliter, no microscopic detection is registered if 1 mL of water is analyzed, and also more time-consuming methods such as the concentration of samples are needed to detect by microscopy. However, molecular methods such as PCR amplification allow the detection of even a single cell, thus enabling identification at a very low cell density. In this study, PCR products were detected in samples in which target cyanobacteria were not detected by microscopic analysis of 1 mL, whereas DNA was extracted after filtering a minimum of 50 mL of river water. Furthermore, the shape of special cells, such as heterocytes, akinetes, and apical cells, is used for morphological identification of most nostocalean cyanobacteria. However, if a cyanobacterium is present at low concentration, it is difficult to observe a specific cell shape and to identify the organism accurately. Therefore, the use of the PCR primers developed in this study is expected to allow the accurate identification of the target cyanobacteria present at a low concentration.
Although this study was initially aimed to develop species-specific primers, due to the limited sequence information in the NCBI database (number of sequences and differences among the regions sequenced) and a shortage of positive control strains, primers were developed for representative species in each target genus. Although the developed primers distinguished the target genera, the reaction status was not investigated for different species in the genera Cuspidothrix and Cylindrospermopsis. For the genus Sphaerospermopsis, after isolating S. aphanizomenoides and S. reniformis and applying the primers developed in this study, the PCR product was amplified from DNA of both species, suggesting primer specificity, not for S. aphanizomenoides but the genus Sphaerospermopsis. In the case of Raphidiopsis spp., the PCR product was generated not only for R. mediterranea, isolated in Australia, but also for R. curvata, isolated from the Nakdong River, indicating that the primer selectively targeted the genus Raphidiopsis. Therefore, the primers developed in this study were determined to be genus-specific primers that can distinguish the target genera. We plan to additionally confirm their genus-specific properties after securing genetic information and cultured strains for other species in the target genera.
Among the target species used in this study, C. issatschenkoi and C. raciborskii are toxic species that have been reported to produce anatoxin-a and cylindrospermopsin [5,19,36,41]. Raphidiopsis brookii has been reported to secrete saxitoxin [42], and R. curvata has been reported to secrete cylindrospermopsin [43]. Furthermore, it has been reported that R. mediterranea secretes anatoxin [44]. Although Chrysosporum spp. do not secrete saxitoxin, they carry the sxtA gene, suggesting their potential toxigenicity [41,45,46], and are known to secrete cylindrospermopsin [47,48]. S. aphanizomenoides has also been reported to have a potential toxin-producing capability [1,6,49,50]. Moreover, these species are invasive nostocalean cyanobacteria, reported to extend their habitation range; hence, continuous monitoring is required in water habitats where these algae have not yet appeared. However, it is difficult to detect their occurrence accurately with the existing microscopic analysis techniques when there are no or low-density differentiated cells. Primer pairs that can specifically distinguish the target genera of this study have not been reported in previous studies as far as the authors know, and were first developed through this study. Therefore, using the genus-specific primers developed in this study, molecular monitoring, which can provide more accurate identification of cyanobacteria and information on their appearance status, may supplement the existing microscopy-based monitoring and, consequently, allow proactive preparation for the potential cyanotoxin production in the environment.
5. Conclusions
In recent years, the habitats of invasive toxic nostocalean cyanobacteria are continuously expanding, so it is necessary to monitor their appearance in waters where they have never been found. In this study, we developed PCR primers that specifically identify and detect five common invasive nostocalean genera, Chrysosporum, Cuspidothrix, Cylindrospermopsis, Raphidiopsis, and Sphaerospermopsis. Five pairs of PCR primers based on housekeeping genetic markers could accurately detect the target cyanobacteria in the culture and field samples. These results are expected to enable the early detection of potentially toxic invasive cyanobacteria and their effective management. Moreover, these primers can distinguish two genera which have high overall genetic similarity. These results show the applicability of molecular monitoring for morphologically and genetically similar cyanobacterial genera using highly specific primer pairs. The developed primers could distinguish different genera; however, species-level identification could not be achieved because the necessary genetic information for each species is not currently available and because of the lack of corroborative positive control possessed. If these challenges are addressed in the future, primers that can more accurately distinguish different species could be developed.
Supplementary Materials
The following are available online at https://www.mdpi.com/article/10.3390/ijerph18115703/s1, Figure S1: The results of multiple-sequence comparative analysis of rbcLX gene sequences from the nostocalean cyanobacteria; (a) forward, (b) reverse sequence, Figure S2: The results of multiple-sequence comparative analysis of rpoB gene sequences from the nostocalean cyanobacteria; (a) forward, (b) reverse sequence, Figure S3: The results of multiple-sequence comparative analysis of rpoC1 gene sequences from the nostocalean cyanobacteria; (a) forward, (b) reverse sequence, Figure S4: The results of multiple-sequence comparative analysis of cpcBA gene sequences from the nostocalean cyanobacteria; (a) forward, (b) reverse sequence.
Author Contributions
All authors contributed substantially to this study. Conceptualization, H.-K.P., Y.-J.K.; software, I.-S.K.; validation, H.-K.P.; formal analysis, I.-S.K.; investigation, I.-S.K., H.-K.P. and Y.-J.K.; data curation, I.-S.K.; writing—original draft preparation, H.-K.P. and I.-S.K.; writing—review and editing, H.-K.P.; visualization, I.-S.K.; supervision, H.-K.P.; funding acquisition, Y.-J.K. All authors have read and agreed to the published version of the manuscript.
Funding
This research was supported by the National Institute of Environmental Research (NIER), funded by the Ministry of Environment (MOE) of the Republic of Korea, grant number NIER-2020-01-01-030.
Institutional Review Board Statement
Not applicable.
Informed Consent Statement
Not applicable.
Acknowledgments
The authors thank anonymous reviewers and an academic editor for valuable comments improving the manuscript. The authors also thank members of the Freshwater Ecosystem Research Section, Nakdong River Environmental Research Center, NIER for their invaluable field and laboratory assistance.
Conflicts of Interest
The authors declare no conflict of interest.
References
- Kaštovský, J.; Hauer, T.; Mareš, J.; Krautová, M.; Bešta, T.; Komárek, J.; Desortová, B.; Heteša, J.; Hindáková, A.; Houk, V. A review of the alien and expansive species of freshwater cyanobacteria and algae in the Czech Republic. Biol. Invasions 2010, 12, 3599–3625. [Google Scholar] [CrossRef]
- Sinha, R.; Pearson, L.A.; Davis, T.W.; Burford, M.A.; Orr, P.T.; Neilan, B.A. Increased incidence of Cylindrospermopsis raciborskii in temperate zones–is climate change responsible? Water Res. 2012, 46, 1408–1419. [Google Scholar] [CrossRef]
- Sukenik, A.; Hadas, O.; Kaplan, A.; Quesada, A. Invasion of Nostocales (cyanobacteria) to Subtropical and Temperate Freshwater Lakes—Physiological, Regional, and Global Driving Forces. Front. Microbiol. 2012, 3, 86. [Google Scholar] [CrossRef] [PubMed]
- Paerl, H.W.; Gardner, W.S.; Havens, K.E.; McCarthy, M.J.; Newell, S.E.; Qin, B.; Scott, J.T. Mitigating cyanobacterial harmful algal blooms in aquatic ecosystems impacted by climate change and anthropogenic nutrients. Harmful Algae 2016, 54, 213–222. [Google Scholar] [CrossRef]
- Cirés, S.; Ballot, A. A review of the phylogeny, ecology and toxin production of bloom-forming Aphanizomenon spp. and related species within the Nostocales (cyanobacteria). Harmful Algae 2016, 54, 21–43. [Google Scholar] [CrossRef]
- Stüken, A.; Rücker, J.; Endrulat, T.; Preussel, K.; Hemm, M.; Nixdorf, B.; Karsten, U.; Wiedner, C. Distribution of three alien cyanobacterial species (Nostocales) in northeast Germany: Cylindrospermopsis raciborskii, Anabaena bergii and Aphanizomenon aphanizomenoides. Phycologia 2006, 45, 696–703. [Google Scholar] [CrossRef]
- Budzyńska, A.; Rosińska, J.; Pełechata, A. Environmental factors driving the occurrence of the invasive cyanobacterium Sphaerospermopsis aphanizomenoides (Nostocales) in temperate lakes. Sci. Total Environ. 2019, 650, 1338–1347. [Google Scholar] [CrossRef]
- Kokociński, M.; Soininen, J. New insights into the distribution of alien cyanobacterium Chrysosporum bergii (Nostocales, Cyanobacteria). Phycological. Res. 2019, 67, 208–214. [Google Scholar] [CrossRef]
- Dahllöf, I.; Baillie, H.; Kjelleberg, S. rpoB-based microbial community analysis avoids limitations inherent in 16S rRNA gene intraspecies heterogeneity. Appl. Environ. Microbiol. 2000, 66, 3376–3380. [Google Scholar] [CrossRef] [PubMed]
- Gugger, M.; Lyra, C.; Henriksen, P.; Coute, A.; Humbert, J.-F.; Sivonen, K. Phylogenetic comparison of the cyanobacterial genera Anabaena and Aphanizomenon. Int. J. Syst. Evol. Microbiol. 2002, 52, 1867–1880. [Google Scholar]
- Richert, K.; Brambilla, E.; Stackebrandt, E. The phylogenetic significance of peptidoglycan types: Molecular analysis of the genera Microbacterium and Aureobacterium based upon sequence comparison of gyrB, rpoB, recA and ppk and 16SrRNA genes. Syst. Appl. Microbiol. 2007, 30, 102–108. [Google Scholar] [CrossRef] [PubMed]
- Tamas, I.; Svircev, Z.; Andersson, S.G. Determinative value of a portion of the nifH sequence for the genera Nostoc and Anabaena (Cyanobacteria). Curr. Microbiol. 2000, 41, 197–200. [Google Scholar] [CrossRef]
- Rajaniemi, P.; Hrouzek, P.; Kaštovska, K.; Willame, R.; Rantala, A.; Hoffmann, L.; Komárek, J.; Sivonen, K. Phylogenetic and morphological evaluation of the genera Anabaena, Aphanizomenon, Trichormus and Nostoc (Nostocales, Cyanobacteria). Int. J. Syst. Evol. Microbiol. 2005, 55, 11–26. [Google Scholar] [CrossRef] [PubMed]
- Wu, Z.; Shi, J.; Lin, S.; Li, R. Unraveling molecular diversity and phylogeny of Aphanizomenon (nostocales, cyanobacteria) strains isolated from china. J. Phycol. 2010, 46, 1048–1058. [Google Scholar] [CrossRef]
- Katrianna, H.; Fewer, D.P.; Fewer, L.M.; Lyra, C.; Eronen, E.; Sivonen, K. Genetic diversity in strains of the genus Anabaena isolated from planktonic and benthic habitats of the Gulf of Finland (Baltic Sea). FEMS Microbiol. Ecol. 2008, 64, 199–208. [Google Scholar]
- Tomitani, A.; Knoll, A.H.; Cavanaugh, C.M.; Ohno, T. The evolutionary diversification of cyanobacteria: Molecular–phylogenetic and paleontological perspectives. Proc. Natl. Acad. Sci. USA 2006, 103, 5442–5447. [Google Scholar] [CrossRef]
- Komárek, J.; Mareš, J. An update to modern taxonomy (2011) of freshwater planktic heterocytous cyanobacteria. Hydrobiologia 2012, 698, 327–351. [Google Scholar] [CrossRef]
- Aguilera, A.; Gómez, E.B.; Kaštovský, J.; Echenique, R.O.; Salerno, G.L. The polyphasic analysis of two native Raphidiopsis isolates supports the unification of the genera Raphidiopsis and Cylindrospermopsis (Nostocales, Cyanobacteria). Phycologia 2018, 57, 130–146. [Google Scholar] [CrossRef]
- Kim, Y.; Park, H.-K.; Kim, I.-S. Invasion and toxin production by exotic nostocalean cyanobacteria (Cuspidothrix, Cylindrospermopsis, and Sphaerospermopsis) in the Nakdong River, Korea. Harmful Algae 2020, 100, 101954. [Google Scholar] [CrossRef] [PubMed]
- Bolch, C.J.S.; Blackburn, S.I. Isolation and purification of Australian isolates of the toxic cyanobacterium Microcystis aeruginosa Kütz. J. Appl. Phycol. 1996, 8, 5–13. [Google Scholar] [CrossRef]
- Park, H.-K.; Lee, H.-J.; Heo, J.; Yun, J.-H.; Kim, Y.-J.; Kim, H.-M.; Hong, D.-G.; Lee, I.-J. Deciphering the key factors determining spatio-temporal heterogeneity of cyanobacterial bloom dynamics in the Nakdong River with consecutive large weirs. Sci. Total Environ. 2021, 755, 143079. [Google Scholar] [CrossRef]
- Komárek, J. Freshwater Flora of Central Europe Vol. 19/3 Cyanoprokaryota, 3rd Part: Heterocytous Genera; Springer: Berlin, Germany, 2013. [Google Scholar]
- John, D.M.; Whitton, B.M.; Brook, A.J. The Freshwater Algal Flora of the British Isles; An Identification Guide to Freshwater and Terrestrial Algae, 2nd ed.; Cambridge University Press: Cambridge, UK, 2011. [Google Scholar]
- Tamura, K.; Dudley, J.; Nei, M.; Kumar, S. MEGA4: Molecular evolutionary genetics analysis (MEGA) software version 4.0. Mol. Biol. Evol. 2007, 24, 1596–1599. [Google Scholar] [CrossRef] [PubMed]
- Larkin, M.A.; Blackshields, G.; Brown, N.P.; Chenna, R.; McGettigan, P.A.; McWilliam, H.; Valentin, F.; Wallace, I.M.; Wilm, A.; Lopez, R. Clustal W and Clustal X version 2.0. Bioinformatics 2007, 2, 2947–2948. [Google Scholar] [CrossRef] [PubMed]
- Stamatakis, A. RAxML-VI-HPC: Maximum likelihood-based phylogenetic analyses with thousands of taxa and mixed models. Bioinformatics 2006, 22, 2688–2690. [Google Scholar] [CrossRef] [PubMed]
- Ronquist, F.; Huelsenbeck, J.P. MrBayes 3: Bayesian phylogenetic inference under mixed models. Bioinformatics 2003, 19, 1572–1574. [Google Scholar] [CrossRef] [PubMed]
- Wilson, K.M.; Schembri, M.A.; Baker, P.D.; Saint, C.P. Molecular characterization of the toxic cyanobacterium Cylindrospermopsis raciborskii and design of a species-specific PCR. Appl. Environ. Microbiol. 2000, 66, 332–338. [Google Scholar] [CrossRef]
- Stiller, J.W.; McClanahan, A. Phyto-specific 16S rDNA PCR primers for recovering algal and plant sequences from mixed samples. Mol. Ecol. Notes 2005, 5, 1–3. [Google Scholar] [CrossRef]
- Bergsland, K.J.; Haselkorn, R. Evolutionary relationships among eubacteria, cyanobacteria, and chloroplasts: Evidence from the rpoC1 gene of Anabaena sp. strain PCC 7120. J. Bacteriol. 1991, 173, 3446–3455. [Google Scholar] [CrossRef]
- Thomazeau, S.; Houdan-Fourmont, A.; Couté, A.; Duval, C.; Couloux, A.; Rousseau, F.; Bernard, C. The contribution of sub-saharan african strains to the phylogeny of cyanobacteria: Focusing on the nostocaceae (nostocales, cyanobacteria). J. Phycol. 2010, 46, 564–579. [Google Scholar] [CrossRef]
- Fathalli, A.; Jenhani, A.B.R.; Moreira, C.; Welker, M.; Romdhane, M.; Antunes, A.; Vasconcelos, V. Molecular and phylogenetic characterization of potentially toxic cyanobacteria in Tunisian freshwaters. Syst. Appl. Microbiol. 2011, 34, 303–310. [Google Scholar] [CrossRef]
- Fathalli, A.; Jenhani, A.B.R.; Moreira, C.; Azevedo, J.; Welker, M.; Romdhane, M.; Antunes, A.; Vasconcelos, V. Genetic variability of the invasive cyanobacteria Cylindrospermopsis raciborskii from Bir M’cherga reservoir (Tunisia). Arch. Microbiol. 2011, 193, 595–604. [Google Scholar] [CrossRef]
- Robertson, B.R.; Tezuka, N.; Watanabe, M.M. Phylogenetic analyses of Synechococcus strains (cyanobacteria) using sequences of 16S rDNA and part of the phycocyanin operon reveal multiple evolutionary lines and reflect phycobilin content. Int. J. Syst. Evol. Microbiol. 2001, 51, 861–871. [Google Scholar] [CrossRef] [PubMed]
- Dyble, J.; Paerl, H.W.; Neilan, B.A. Genetic characterization of Cylindrospermopsis raciborskii (cyanobacteria) isolates from diverse geographic origins based on nifH and cpcBA-IGS nucleotide sequence analysis. Appl. Environ. Microbiol. 2002, 68, 2567–2571. [Google Scholar] [CrossRef] [PubMed]
- Ballot, A.; Swe, T.; Mjelde, M.; Cerasino, L.; Hostyeva, V.; Miles, C.O. Cylindrospermopsin- and Deoxycylindrospermopsin-Producing Raphidiopsis raciborskii and Microcystin-Producing Microcystis spp. in Meiktila Lake, Myanmar. Toxins 2020, 12, 232. [Google Scholar] [CrossRef] [PubMed]
- De Lima, D.V.N.; Pacheco, A.B.F.; Goulart, C.L. Physiological responses of Raphidiopsis raciborskii (Cyanobacteria) strains to water conductivity: Effect of sodium and magnesiumions. Hydrobiologia 2020, 847, 2449–2464. [Google Scholar] [CrossRef]
- Sidelev, S.; Koksharova, O.; Babanazarova, O.; Fastner, J.; Chernova, E.; Gusev, E. Phylogeographic, toxicological and ecological evidence for the global distribution of Raphidiopsis raciborskii and its northernmost presence in Lake Nero, Central Western Russia. Harmful Algae 2020, 98, 101889. [Google Scholar] [CrossRef]
- Vico, P.; Bonilla, S.; Cremella, B.; Aubriot, L.; Iriarte, A.; Piccini, C. Biogeography of the cyanobacterium Raphidiopsis (Cylindrospermopsis) raciborskii: Integrating genomics, phylogenetic and toxicity data. Mol. Phylogenet. Evol. 2020, 148, 106824. [Google Scholar] [CrossRef]
- Liu, J.; Huang, S.; Sun, M.; Liu, S.; Liu, Y.; Wang, W.; Zhang, X.; Wang, H.; Hua, W. An improved allele-specific PCR primer design method for SNP marker analysis and its application. Plant Methods 2012, 8, 34. [Google Scholar] [CrossRef]
- Cirés, S.; Wörmer, L.; Ballot, A.; Agha, R.; Wiedner, C.; Velázquez, D.; Casero, M.C.; Quesada, A. Phylogeography of cylindrospermopsin and paralytic shellfish toxin-producing Nostocales cyanobacteria from Mediterranean Europe (Spain). Appl. Environ. Microbiol. 2014, 80, 1359–1370. [Google Scholar] [CrossRef] [PubMed]
- Seifert, M.; McGregor, G.; Eaglesham, G.; Wickramasinghe, W.; Shaw, G. First evidence for the production of cylindrospermopsin and deoxy-cylindrospermopsin by the freshwater benthic cyanobacterium, Lyngbya wollei (Farlow ex Gomont) Speziale and Dyck. Harmful Algae 2007, 6, 73–80. [Google Scholar] [CrossRef]
- Ballot, A.; Fastner, J.; Wiedner, C. Paralytic shellfish poisoning toxin-producing cyanobacterium Aphanizomenon gracile in northeast Germany. Appl. Environ. Microbiol. 2010, 76, 1173–1180. [Google Scholar] [CrossRef]
- Namikoshi, M.; Murakami, T.; Watanabe, M.F.; Oda, T.; Yamada, J.; Tsujimura, S.; Nagai, H.; Oishi, S. Simultaneous production of homoanatoxin-a, ana-toxin-a, and a new non-toxic 4-hydroxyhomoanatoxin-a by the cyanobacterium Raphidiopsis mediterranea Skuja. Toxicon 2003, 42, 533–538. [Google Scholar] [CrossRef]
- Ledreux, A.; Thomazeau, S.; Catherine, A.; Duval, C.; Yéprémian, C.; Marie, A.; Bernard, C. Evidence for saxitoxins production by the cyanobacterium Aphanizomenon gracile in a French recreational water body. Harmful Algae 2010, 10, 88–97. [Google Scholar] [CrossRef]
- Casero, M.C.; Ballot, A.; Agha, R.; Quesada, A.; Cirés, S. Characterization of saxitoxin production and release and phylogeny of sxt genes in paralytic shellfish poisoning toxin-producing Aphanizomenon gracile. Harmful Algae 2014, 37, 28–37. [Google Scholar] [CrossRef]
- Banker, R.; Teltsch, B.; Sukenik, A.; Carmeli, S. 7-Epicylindrospermopsin, a toxic minor metabolite of the cyanobacterium Aphanizomenon ovalisporum from Lake Kinneret, Israel. J. Nat. Prod. 2000, 63, 387–389. [Google Scholar] [CrossRef]
- Moreira, C.; Vasconcelos, V.; Antunes, A. Phylogeny and biogeography of cyanobacteria and their produced toxins. Mar. Drugs 2013, 11, 4350–4369. [Google Scholar] [CrossRef] [PubMed]
- Hiripi, L.; Nagy, L.; Kalmár, T.; Kovács, A.; Vörös, L. Insect (Locusta migratoria migratorioides) test monitoring the toxicity of cyanobacteria. Neurotoxicology 1998, 19, 605–608. [Google Scholar] [PubMed]
- Sabour, B.; Loudiki, M.; Oudra, B.; Vasconcelos, V.; Oubraim, S.; Fawzi, B. Contributed article, Dynamics and toxicity of Anabaena aphanizomenoides (Cyanobacteria) water blooms in the shallow brackish Oued Mellah lake (Morocco). Aquat. Ecosyst. Health Manag. 2005, 8, 95–104. [Google Scholar] [CrossRef]
Publisher’s Note: MDPI stays neutral with regard to jurisdictional claims in published maps and institutional affiliations. |
© 2021 by the authors. Licensee MDPI, Basel, Switzerland. This article is an open access article distributed under the terms and conditions of the Creative Commons Attribution (CC BY) license (https://creativecommons.org/licenses/by/4.0/).







