Digitally Fabricated Dentures for Full Mouth Rehabilitation with Zirconia, Polyetheretherketone and Selective Laser Melted Ti-6Al-4V Material
Abstract
:1. Introduction
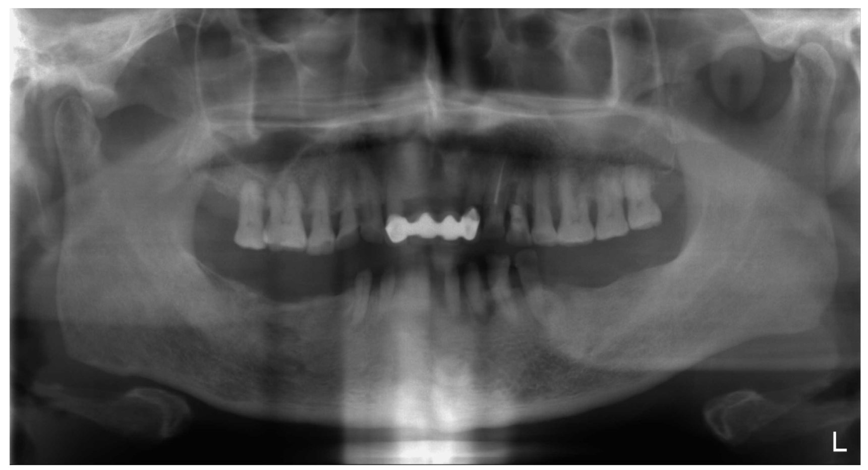
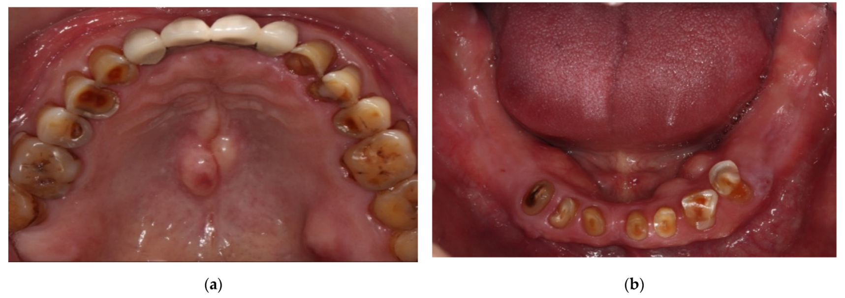
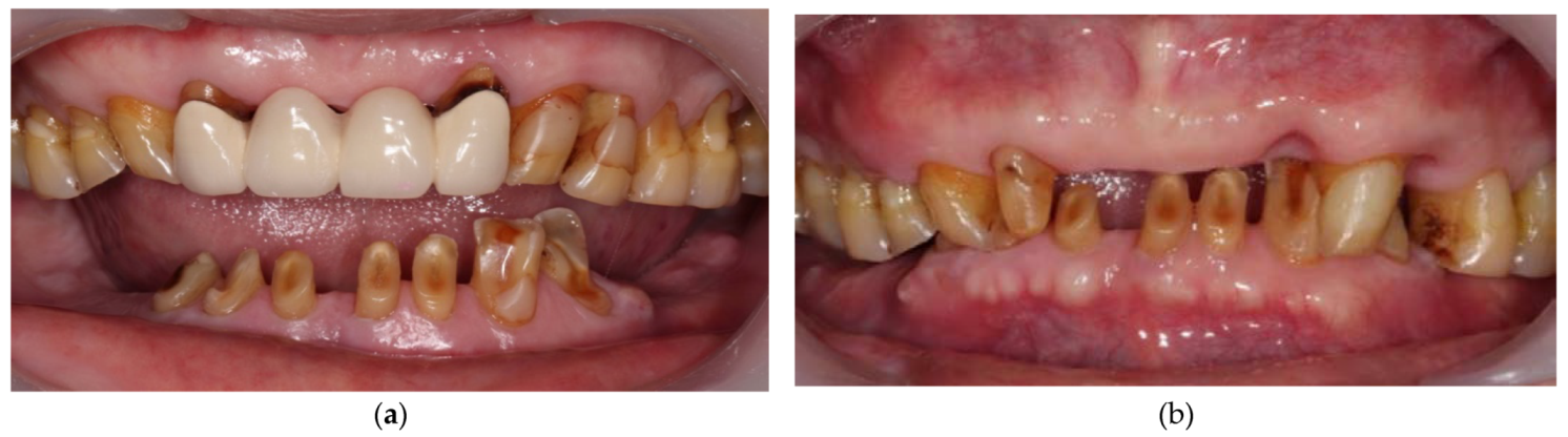
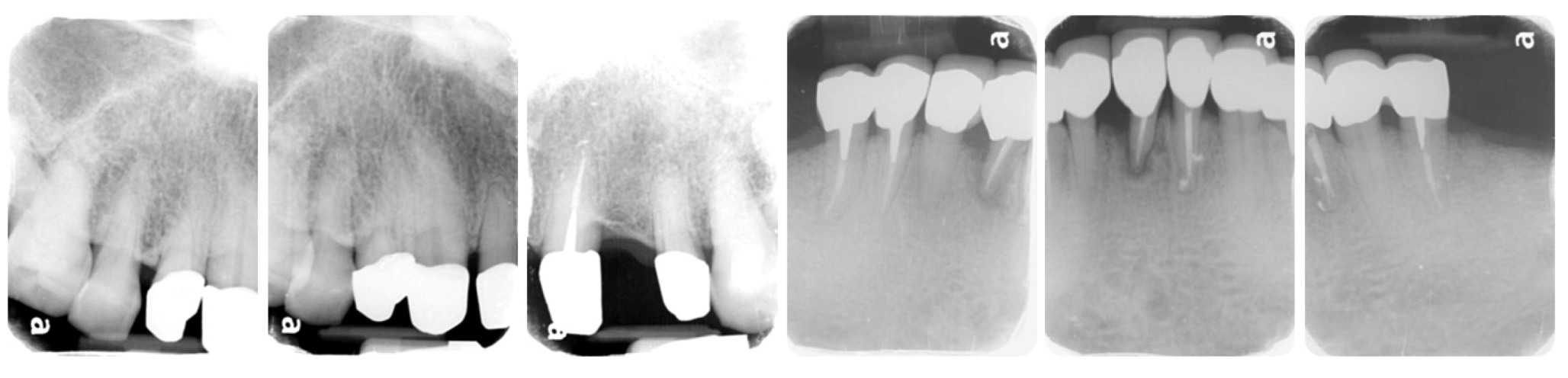
2. Case Description
3. Results
4. Discussion
5. Conclusions
Author Contributions
Funding
Institutional Review Board Statement
Informed Consent Statement
Data Availability Statement
Acknowledgments
Conflicts of Interest
Appendix A
References
- Chen, H.; Li, H.; Zhao, Y.; Zhang, X.; Wang, Y.; Lyu, P. Adaptation of removable partial denture frameworks fabricated by selective laser melting. J. Prosthet. Dent. 2019, 122, 316–324. [Google Scholar] [CrossRef] [PubMed]
- Bajunaid, S.; Altwaim, B.; Alhassan, M.; Alammari, R. The fit accusracy of removable partial denture metal frameworks using conventional and 3D printed techniques: An in vitro study. J. Contemp. Dent. Pract. 2019, 20, 476–481. [Google Scholar] [CrossRef] [PubMed]
- Peng, P.-W.; Hsu, C.-Y.; Huang, H.-Y.; Chao, J.-C.; Lee, W.-F. Trueness of removable partial denture frameworks additively manufactured with selective laser melting. J. Prosthet. Dent. 2020, 127, 122–127. [Google Scholar] [CrossRef] [PubMed]
- Langer, A. Telescope retainers for removable partial dentures. J. Prosthet. Dent. 1981, 45, 37–43. [Google Scholar] [CrossRef]
- Hakkoum, M.A.; Wazir, G. Telescopic denture. Open Dent. J. 2018, 12, 246. [Google Scholar] [CrossRef]
- Langer, A. Telescope retainers and their clinical application. J. Prosthet. Dent. 1980, 44, 516–522. [Google Scholar] [CrossRef]
- Knezović Zlatarić, D.; Čelebić, A.; Valentić-Peruzović, M. The effect of removable partial dentures on periodontal health of abutment and non-abutment teeth. J. Periodontol. 2002, 73, 137–144. [Google Scholar] [CrossRef]
- Barazanchi, A.; Li, K.C.; Al-Amleh, B.; Lyons, K.; Waddell, J.N. Additive technology: Update on current materials and applications in dentistry. J. Prosthodont. 2017, 26, 156–163. [Google Scholar] [CrossRef]
- Bae, E.-J.; Jeong, I.-D.; Kim, W.-C.; Kim, J.-H. A comparative study of additive and subtractive manufacturing for dental restorations. J. Prosthet Dent. 2017, 118, 187–193. [Google Scholar] [CrossRef]
- Yaghmour, A. Clinical Outcome of PEEK as a Material for Dental Restorations A Literature Overview. Int. J. Sci. Technol. Polym. 2019, pp. 8–12. Available online: https://www.researchgate.net/profile/Abdulfattah-Yaghmour/publication/332862484_Clinical_Outcome_of_PEEK_as_a_Material_for_Dental_Restorations_A_Literature_Overview/links/5ccd9ba6a6fdccc9dd8c3995/Clinical-Outcome-of-PEEK-as-a-Material-for-Dental-Restorations-A-Literature-Overview.pdf (accessed on 20 January 2022).
- Stawarczyk, B.; Thrun, H.; Eichberger, M.; Roos, M.; Edelhoff, D.; Schweiger, J.; Schmidlin, P.R. Effect of different surface pretreatments and adhesives on the load-bearing capacity of veneered 3-unit PEEK FDPs. J. Prosthet. Dent. 2015, 114, 666–673. [Google Scholar] [CrossRef] [Green Version]
- Emera, R.M.; Altonbary, G.Y.; Elbashir, S.A. Comparison between all zirconia, all PEEK, and zirconia-PEEK telescopic attachments for two implants retained mandibular complete overdentures: In vitro stress analysis study. J. Dent. Implant. 2019, 9, 24. [Google Scholar] [CrossRef]
- Merk, S.; Wagner, C.; Stock, V.; Eichberger, M.; Schmidlin, P.R.; Roos, M.; Stawarczyk, B. Suitability of secondary PEEK telescopic crowns on zirconia primary crowns: The influence of fabrication method and taper. Materials 2016, 9, 908. [Google Scholar] [CrossRef] [PubMed]
- Schubert, O.; Reitmaier, J.; Schweiger, J.; Erdelt, K.; Güth, J.-F. Retentive force of PEEK secondary crowns on zirconia primary crowns over time. Clin. Oral Investig. 2019, 23, 2331–2338. [Google Scholar] [CrossRef] [PubMed]
- Emera, R.M.; Askar, O.M.; Ahmed, W.S. Two Implants Retained Complete Mandibular Overdenture with Zirconia-PEEK Telescopic Attachment: Radiographic Evaluation of Peri-implant Bone Level Changes. Oral Health Dent. Sci. 2020, 4, 1–7. [Google Scholar] [CrossRef]
- Leake, J.L. An index of chewing ability. J. Public Health Dent. 1990, 50, 262–267. [Google Scholar] [CrossRef] [PubMed]
- Yang, H.-S.; Lang, L.A.; Felton, D.A. Finite element stress analysis on the effect of splinting in fixed partial dentures. J. Prosthet. Dent. 1999, 81, 721–728. [Google Scholar] [CrossRef]
- Mozayek, R.S.; Allaf, M.; Abuharb, M.B. Efficacy of adding a supporting implant in stress distribution of long-span fixed partial dentures: A 3D finite element analysis. J. Dent. Res. Dent. Clin. Dent. Prospect. 2016, 10, 81. [Google Scholar] [CrossRef]
- De Backer, H.; Van Maele, G.; De Moor, N.; Van den Berghe, L. Long-term results of short-span versus long-span fixed dental prostheses: An up to 20-year retrospective study. Int. J. Prosthodont. 2008, 21, 75–85. [Google Scholar]
- Wöstmann, B.; Balkenhol, M.; Weber, A.; Ferger, P.; Rehmann, P. Long-term analysis of telescopic crown retained removable partial dentures: Survival and need for maintenance. J. Dent. 2007, 35, 939–945. [Google Scholar] [CrossRef]
- Koller, B.; Att, W.; Strub, J.-R. Survival rates of teeth, implants, and double crown-retained removable dental prostheses: A systematic literature review. Int. J. Prosthodont. 2011, 24, 109–117. [Google Scholar]
- Verma, R.; Joda, T.; Brägger, U.; Wittneben, J.G. A systematic review of the clinical performance of tooth-retained and implant-retained double crown prostheses with a follow-up of ≥3 years. J. Prosthodont. Implant. Esthet. Reconstr. Dent. 2013, 22, 2–12. [Google Scholar] [CrossRef] [PubMed]
- Schwindling, F.S.; Dittmann, B.; Rammelsberg, P. Double-crown–retained removable dental prostheses: A retrospective study of survival and complications. J. Prosthet. Dent. 2014, 112, 488–493. [Google Scholar] [CrossRef] [PubMed]
- Bridgemana, J.T.; Marker, V.A.; Hummel, S.K.; Benson, B.W.; Pace, L.L. Comparison of titanium and cobalt-chromium removable partial denture clasps. J. Prosthet. Dent. 1997, 78, 187–193. [Google Scholar] [CrossRef]
- Kern, M.; Lehmann, F. Influence of surface conditioning on bonding to polyetheretherketon (PEEK). Dent. Mater. 2012, 28, 1280–1283. [Google Scholar] [CrossRef] [PubMed]
- Rosentritt, M.; Preis, V.; Behr, M.; Sereno, N.; Kolbeck, C. Shear bond strength between veneering composite and PEEK after different surface modifications. Clin. Oral Investig. 2015, 19, 739–744. [Google Scholar] [CrossRef]
- Sproesser, O.; Schmidlin, P.R.; Uhrenbacher, J.; Eichberger, M.; Roos, M.; Stawarczyk, B. Work of adhesion between resin composite cements and PEEK as a function of etching duration with sulfuric acid and its correlation with bond strength values. Int. J. Adhes. Adhes. 2014, 54, 184–190. [Google Scholar] [CrossRef]
- Stawarczyk, B.; Bähr, N.; Beuer, F.; Wimmer, T.; Eichberger, M.; Gernet, W.; Jahn, D.; Schmidlin, P. Influence of plasma pretreatment on shear bond strength of self-adhesive resin cements to polyetheretherketone. Clin. Oral Investig. 2014, 18, 163–170. [Google Scholar] [CrossRef] [Green Version]
- Losertová, M.; Kubeš, V. Microstructure and mechanical properties of selective laser melted Ti6Al4V alloy, IOP Conference Series: Materials Science and Engineering. IOP Publishing: Bristol, UK, 2017; p. 012009. [Google Scholar]
- Davenport, J.; Basker, R.; Heath, J.; Ralph, J.; Glantz, P. Retention. Br. Dent. J. 2000, 189, 646–657. [Google Scholar] [CrossRef]
- Frank, R.P.; Nicholls, J.I. A study of the flexibility of wrought wire clasps. J. Prosthet. Dent. 1981, 45, 259–267. [Google Scholar] [CrossRef]
- Sato, Y.; Tsuga, K.; Abe, Y.; Asahara, S.; Akagawa, Y. Finite element analysis on preferable I-bar clasp shape. J. Oral Rehabil. 2001, 28, 413–417. [Google Scholar] [CrossRef]
- Wang, C.-H.; Lee, H.-E.; Lan, T.-H.; Igarashi, Y. Method of retention control for compromised periodontal bone support abutment of conical crown retained denture. Kaohsiung J. Med. Sci. 2010, 26, 435–443. [Google Scholar] [CrossRef] [Green Version]
- Xie, W.; Zheng, M.; Wang, J.; Li, X. The effect of build orientation on the microstructure and properties of selective laser melting Ti-6Al-4V for removable partial denture clasps. J. Prosthet. Dent. 2020, 123, 163–172. [Google Scholar] [CrossRef] [PubMed] [Green Version]
- Tan, F.-B.; Song, J.-L.; Wang, C.; Fan, Y.-B.; Dai, H.-W. Titanium clasp fabricated by selective laser melting, CNC milling, and conventional casting: A comparative in vitro study. J. Prosthodont. Res. 2019, 63, 58–65. [Google Scholar] [CrossRef] [PubMed]









Publisher’s Note: MDPI stays neutral with regard to jurisdictional claims in published maps and institutional affiliations. |
© 2022 by the authors. Licensee MDPI, Basel, Switzerland. This article is an open access article distributed under the terms and conditions of the Creative Commons Attribution (CC BY) license (https://creativecommons.org/licenses/by/4.0/).
Share and Cite
Lee, W.-T.; Chen, Y.-C. Digitally Fabricated Dentures for Full Mouth Rehabilitation with Zirconia, Polyetheretherketone and Selective Laser Melted Ti-6Al-4V Material. Int. J. Environ. Res. Public Health 2022, 19, 3021. https://doi.org/10.3390/ijerph19053021
Lee W-T, Chen Y-C. Digitally Fabricated Dentures for Full Mouth Rehabilitation with Zirconia, Polyetheretherketone and Selective Laser Melted Ti-6Al-4V Material. International Journal of Environmental Research and Public Health. 2022; 19(5):3021. https://doi.org/10.3390/ijerph19053021
Chicago/Turabian StyleLee, Wei-Ting, and Yung-Chung Chen. 2022. "Digitally Fabricated Dentures for Full Mouth Rehabilitation with Zirconia, Polyetheretherketone and Selective Laser Melted Ti-6Al-4V Material" International Journal of Environmental Research and Public Health 19, no. 5: 3021. https://doi.org/10.3390/ijerph19053021
APA StyleLee, W.-T., & Chen, Y.-C. (2022). Digitally Fabricated Dentures for Full Mouth Rehabilitation with Zirconia, Polyetheretherketone and Selective Laser Melted Ti-6Al-4V Material. International Journal of Environmental Research and Public Health, 19(5), 3021. https://doi.org/10.3390/ijerph19053021

