Abstract
Background and objective: Mandibular reconstruction following tumor ablative surgery had been a challenge. It has gone through days of temporary stabilization with k-wire, stainless steel reconstruction plate to avascularized and vascularized bone grafts with varying degree of success and failure. Reconstruction with vascularized bone grafts, though most definitive, requires special expertise, expensive equipment, and long operative time. It also produces donor site morbidity and requires a significant learning curve. With the development of transport distraction techniques there has been a paradigm shift from “reconstructive” to “regenerative” surgery. The objective of this study was to identify the feasibility of an internal device for reconstruction of extensive mandibular defects. Methods and material: This article is to highlight a process of attempted mandibular regeneration in two cases using an indigenously designed distractor device. In individuals with extensive post ablative mandibular defects who were unwilling to have a secondary surgical site or were medically unfit for a long reconstructive procedure, the distraction technique can be used to reconstruct the lost mandibular structures. Conclusion: A satisfactory amount of regenerate was achieved using a bifocal distraction osteogenesis technique for extensive defects of the mandible. The custom made device which was used for this purpose was moderately satisfactory and requires further evaluation and refinement.
Preliminary Discussion
Transport distraction osteogenesis technique involves gradual movement of a free segment of bone (transport segment) across an osseous continuity defect that has developed secondary to bone loss due to trauma or oncological resection. Following gradual movement of the transport segment, new bone regenerate forms behind it, thereby filling the defect with bone regenerate.
Illizarov and his colleagues classified bone transport techniques into monofocal, bifocal, and trifocal. Among these, bifocal and trifocal techniques play a major role in regenerating new bone across the continuity defects [1].
There are various designs for the intraoral distractors which have been employed over time with varying degrees of success. We present one such devise where the process of mandibular regeneration by transport distraction is pursued using a distractor device devised for this process.
Our device (Figure 1) is conceptually an “arched plate-guided distractor” [2,3] but the guiding reconstruction plate and the distractor both act as a single working unit, one is connected to the other, and the device is completely intraoral, but requires a dual approach to assemble and stabilize in the region of the defect.
Figure 1.
Diagram of the custom made distractor device with its parts marked.
Indication and Contraindications
The applications for bone regeneration across a defect in the craniofacial region in comparison to bone lengthening are very small. One advantage of using bone transport for reconstruction of mandibular continuity defects is that the neo mandible has the same size and shape as the original mandible. Additionally all local soft tissue viz. gingival, buccal, and lingual sulci are recreated by soft tissue lengthening.
Two cases with different patterns of continuity defects of the mandible were operated in the Department of Oral and Maxillofacial Surgery, Sri Ramachandra Dental College and Hospital, Chennai from 2006 to 2008, in which transport distraction osteogenesis was performed to accomplish the reconstruction process.
The patients were subjected to a through and routine clinical examination. Preoperative clinical examination included definition of the extent of the lesion, especially whether it crossed the midline or if it is restricted to one side, for this will help in the selection of the device design and fabrication of the device to be used.
Details of the patient’s general condition, occupation and socioeconomic status were also noted. These provide a good opportunity to establish the patient’s mental disposition and his attitude toward the proposed treatment, and hence establish the right kind of rapport with the patient which is of monumental importance in such situations. The treatment was expected to be prolonged and so the patient’s full cooperation and patience were vital to attaining a satisfactory result.
The Distractor Device
The device is an arched device consisting of a reconstruction plate bent according to the contours of the mandible and is tissue buried to which a 1-mm calibrated arched guidance rod is attached with a connecting vertical arm as shown in the schematic diagram. The calibrated arched guidance rod is placed completely intraoral to which the transport device is threaded which in turn is transfixed to the underlying transport segment.
Case Reports
Case 1
A 45-year-old man reported with a swelling in the symphysis region of the mandible (Figure 2). Full examination and biopsy revealed the lesion to be due to a plexiform ameloblastoma. The extent of the lesion was from the left parasymphysis region to the right body region of the mandible (Figure 3), and the plan was to resect the pathological segment with adequate margins and to reconstruct the defect using the custom made bifocal distractor device.
Figure 2.
Case 1. A 45-year-old male patient with plexiform ameloblastoma extending from right parasymphysis to second molar region.
Figure 3.
An orthopantomogram view showing the extent of the lesion.
The device was fabricated using the patient’s dental models to replicate the shape of the arch. The device was constructed with surgical grade stainless steel by a bioengineer in our institute under the instruction of the operating surgeons. Following the resection of the tumor, the device was assembled through a combined oral and extraoral approach (Figure 4 and Figure 5). The device was activated after a latency period of 7 days. The duration of activation was 55 days, able to reach the planned docking site and a consolidation period of 2 months was given preceding the removal of the distractor (Figure 6, Figure 7 and Figure 8).
Figure 4.
The resected specimen from case 1.
Figure 5.
The device fixed at the defect site following the resection of the tumor with adequate margins.
Figure 6.
Case 1. Following consolidation. Frontal view.
Figure 7.
Case 1. Intraoral view of the regenerate. Note the teeth included in the transport segment in right posterior mandibular region.
Figure 8.
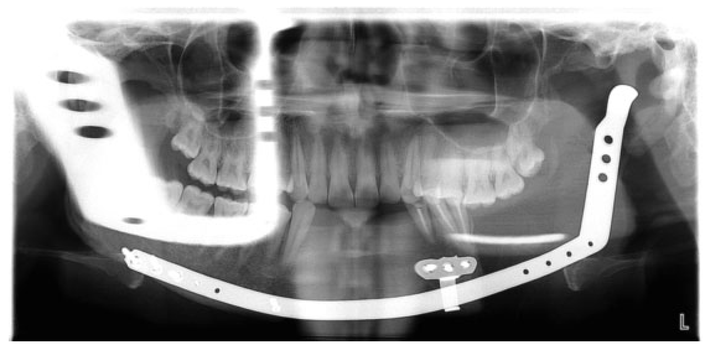
Case 1. Orthopantomogram view showing the newly formed regenerate post consolidation.
Case 2
A 28-year-old man with a previously operated left hemimandibulectomy defect due to plexiform ameloblastoma, was planned for reconstruction by the bifocal distraction method (Figure 9 and Figure 10). The device was custom made with a condylar and vertical ramal component, and the plan was to regenerate the horizontal segment of the lost mandible and leave behind a part of the device itself to substitute for the vertical segment and missing condyle.
Figure 9.
Case 2. A 28-year-old male with a left sided hemimandibular defect, due to surgical resection of ameloblastoma with collapse of the lateral projection of the leftsided angle-ramus region.
Figure 10.
An orthopantomogram view showing the extent of the defect in case 2 along with an attempt to reconstruct using a reconstruction plate.
The existing reconstruction plate was removed and the device was assembled and fixed in situ through a combined oral and extraoral approach (Figure 11). After a latency period of 7 days, activation was performed for a period of 28 days until the transport disc reached the mandibular body region. A consolidation period of 2 months was felt to be mandatory and only the oral component of the appliance was removed (Figure 12, Figure 13, Figure 14 and Figure 15).
Figure 11.
Intraoperative view with the device in situ.
Figure 12.
A frontal skull view radiograph showing the device present.
Figure 13.
Case 2. Following consolidation. Frontal view.
Figure 14.
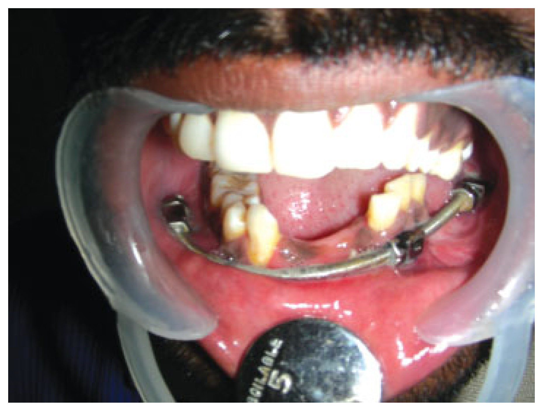
Case 2. Intraoral view with the device following consolidation. Note the teeth included in the transport segment at the left posterior mandibular region.
Figure 15.
Case 2. Orthopantomogram view showing the formed regenerate post consolidation.
Discussion
The capability of the skeleton to restore its structural integrity even after being afflicted with bone lesions reflects the enormous adaptability of bony tissue to changing mechanical environments. Mechanical stimuli may cause either resorption of preexisting bone tissue or the formation of new bone tissue, depending on the differential biologic effects of physical forces. This adaptive function of bone tissue was recognized a century ago as Wolff’s law, which proposed that mathematical calculations could explain the structural observations seen in bone remodeling [4].
Although the applications of craniofacial distraction osteogenesis have dramatically increased in the last decade, distraction osteogenesis still remains one of the most mysterious phenomena in bone biology. Distraction osteogenesis somehow presents a powerful stimulus for tissue anabolism during which new bone forms under the mechanical condition of gradual incremental traction, superimposed on attenuated functional loads. The principle behind osteodistraction is application of defined mechanical strains for reparative callus formation in the osteotomy gap. The procedure is based on the law of tension stress by Lanton, which states that gradual traction on living tissues creates stresses that can stimulate and maintain regeneration and active growth of these tissues [5,6].
Reconstruction of mandibular defects after trauma or tumor resection is one of the most challenging problems facing reconstructive surgeons. The mandible plays a major role in airway protection, support of the tongue and lower dentition, and the muscles of the floor of the mouth permitting mastication, articulation, deglutition, and respiration. It also defines the contour of the lower third of the face.
Interruption of mandibular continuity therefore produces both a cosmetic and functional deformity. The resulting dysfunction after partial loss of the mandible varies from minimal to major and is related to mastication and deglutition. Loss of mandibular continuity results in deviation of the mandible toward the resected side due to the unopposed pull of the remaining muscles of mastication, soft tissue contracture, and scar formation. There is limited range of motion when attempting lateral and protrusive movements of the jaw, with a return to midline on opening or closing secondary to the remaining contralateral muscles of mastication. In addition, malocclusion and problems with proprioception occur.
The present modalities of reconstruction of the mandibular defects include the reconstruction of the severely deficient mandible by transport distraction. This technique offers the surgeon an additional method for treatment of these debilitated patients. Transport distraction osteogenesis involves placement of a reconstruction plate, single or multiple, and osteotomies of the native bone, followed by placement of one or more distraction devices. After a suitable latency period, distraction is begun at a rate of 0.5 mm twice daily [7].
Regenerate Assessment
In both cases, the quality of the newly regenerated bone was assessed before removal of the distractor device. The assessment was performed by radiographs (i.e., orthopantomogram views).
The regeneration process was monitored clinically on a daily basis during the process of activation, and at a frequency of monthly radiographically. The regenerate was classified according to its radiographic character at the end of the “consolidation period,” which is usually twice the length of the activation period.
Samchukov et al. described a novel method of classification of new bone regenerate based on the characteristic appearance as seen on orthopantomogram views during the postconsolidation period (Table 1). The same system of classification was taken as a reference to assess the consolidated new bone regenerate [8].
Table 1.
Classification of Newly Formed Regenerate.
The regenerates in the two cases had a grade of 3 which was an indication of a good regenerate, having the ability to provide satisfactory replacement of the lost structure and able to withstand the functional demands of that area of the mandible.
The assembly of the device intraoperatively was an expected challenge; the device had multiple intricate working components incorporated into it, which made installation difficult. The design was such that it had to be assembled by combining both intraoral and extraoral approach leading to a significant increase in operative time. However, the number of operative hours was substantially less than that required for a standard “free” fibular flap reconstruction technique. The number of surgeons required for the distractor implantation surgery was also less than for the fibular flap, as a second operating team for the harvest of the flap from the donor site can be eliminated.
Neither of the two patients required an intraoperative blood transfusion, again highlighting the minimal morbidity of the procedure.
In both of our cases, the transport segment’s width was kept at a standard 10 mm. As the transport segment was advanced through the defect, its leading edge becomes rounded, and the formation of a fibrocartilagenous cap makes the activation process difficult due to the resistance offered by the cap and scar tissue.
The transport disc is part of the native mandible, thus the bone and soft tissue generated in its movement is of comparable quantity, quality, and size as the native mandible; this provides adequate tissue to rehabilitate the patient. Additionally, transport distraction can be performed immediately after resection in the appropriate patient, who must be evaluated for potential compliance and the possibility of recurrence of malignancy of the resected lesion.
Some disadvantages of transport distraction include the limited design of distraction devices currently available on the market, the prolonged time to complete the reconstruction process, the need for multiple office encounters to monitor the progress of the distraction process, an additional surgery to remove the device, and the possibility of needing a bone graft at the junction of the distraction disc and host bone.
Conclusion
Though each report represents a step forward in surgical technique and patient care, the distraction hardware involved in these two cases appears to be cumbersome to apply and labor intensive to operate, it still proved fruitful with a good follow-up.
The motivation for using this technique in these cases was to test the feasibility of applying the concept of transport distraction osteogenesis in large segmental defects as an alternative to more extensive procedures such as a microvascular flap for the reconstruction of the mandibular defect.
Transport distraction is a relatively less morbid and less complicated procedure than a microvascular reconstruction, but its applicability could not be standardized due to lack of device design guidelines. There is no specific design which is satisfactory in accomplishing the task of reconstructing the mandible adequately [9]. The device in this study is a plate guided distractor which was custom fabricated and had some
inherent flaws. However, the process of a single long duration general anesthetic procedure for a microvascular grafting, which also involves a significant donor site morbidity [10], was replaced by a less morbid, short-duration procedure. It was a highly technique sensitive procedure, also with regard to installation of the distraction and the rate and rhythm of distraction.
The process of transport distraction can be applied and executed with ease in patients with small continuity defects and preferably can be employed as a primary choice of therapy. The microvascular free flap still stands as the gold standard for reconstruction for large mandibular defects [11,12], but transport distraction can also be considered as a second option, or a primary choice in conditions where microvascular flaps are not feasible, either owing to patient factors, surgeon, or according to the availability of resources.
References
- Ilizarov, G.A. The principles of the Ilizarov method. Bull Hosp Jt Dis Orthop Inst 1988, 48, 1–11. [Google Scholar] [PubMed]
- Herford, A.S. Use of a plate-guided distraction device for transport distraction osteogenesis of the mandible. J Oral Maxillofac Surg 2004, 62, 412–420. [Google Scholar] [PubMed]
- Basa, S.; Varol, A. The plate guided transport distraction of mandibular continuity defects. Int J Oral Maxillofac Surg 2005, 34 (Suppl. 1), S1–S181. [Google Scholar]
- Wolff, J. The Law of Bone Remodeling; Springer: Berlin/Heidelberg, Germany; New York, NY, USA, 1986. [Google Scholar]
- Profitt, W.R.; White, R.P. Surgical Orthodontic Treatment; Mosby: St. Louis, MO, USA, 1991; pp. 483–502. [Google Scholar]
- Ilizarov, G.A. The tension-stress effect on the genesis and growth of tissues. Part I. The influence of stability of fixation and soft-tissue preservation. Clin Orthop Relat Res 1989, 238, 249–281. [Google Scholar]
- Ilizarov, G.A. The tension-stress effect on the genesis and growth of tissues: Part II. The influence of the rate and frequency of distraction. Clin Orthop Relat Res 1989, 239, 263–285. [Google Scholar]
- Samchukov, M.L.; Cope, J.B. Craniofacial Distraction Osteogenesis; Mosby Publishing: St. Louis, MO, USA, 2001. [Google Scholar]
- Swennen, G.; Dempf, R.; Schliephake, H. Cranio-facial distraction osteogenesis: A review of the literature. Part II: Experimental studies. Int J Oral Maxillofac Surg 2002, 31, 123–135. [Google Scholar] [PubMed]
- Zimmermann, C.E.; Börner, B.I.; Hasse, A.; Sieg, P. Donor site morbidity after microvascular fibula transfer. Clin Oral Investig 2001, 5, 214–219. [Google Scholar] [PubMed]
- Ferri, J.; Piot, B.; Ruhin, B.; Mercier, J. Advantages and limitations of the fibula free flap in mandibular reconstruction. J Oral Maxillofac Surg 1997, 55, 440–448. [Google Scholar] [CrossRef] [PubMed]
- Mehta, R.P.; Deschler, D.G. Mandibular reconstruction in 2004: An analysis of different techniques. Curr Opin Otolaryngol Head Neck Surg 2004, 12, 288–293. [Google Scholar] [CrossRef] [PubMed]
Publisher’s Note: MDPI stays neutral with regard to jurisdictional claims in published maps and institutional affiliations. |
© 2010 by the author. The Author(s) 2010.

























