Abstract
Penetrating orbital-cranial injuries (POCIs) are difficult cases especially in hospitals in low-middle-income countries (LMIC) where resources are limited. We present a case series of POCI managed in a university hospital in such scenario. A retrospective case series was conducted including patients with POCI in 2011. Mechanism of injury, Glasgow Coma Scale score, imaging, medical and surgical management, complications, and Glasgow Outcome Scale (GOS) score were analyzed. A total of 30 patients with penetrating orbital injuries were admitted from March 2011 to December 2011. Of this group, only four patients were diagnosed with cranial penetration. Computed tomography (CT) angiography revealed orbital fractures and injury to frontal, temporal, or occipital lobes. Urgent craniotomy with isolation of ipsilateral carotid artery was performed. GOS score at discharge was 5 in three patients and 4 in one patient. POCIs are not uncommon in hospitals of LMIC. In such scenarios, a standard approach with CT angiography and early neurosurgical intervention results in good outcome.
Penetrating orbital injuries are uncommon in the civilian setting and are reported with greater frequency in military individuals, often associated with blast fragmentation from improvised explosive devices and other ammunitions [1]. Highvelocity penetrating orbital-cranial injuries (POCIs) are typically found within military practice where they occur as a result of ballistic and explosive trauma [2]. Penetrating injuries may occur through missile or nonmissile mechanisms. Penetration of the missile is more common when the object has a velocity greater than 100 m/s2. High-velocity and low-velocity injuries each result in distinctive patterns of tissue damage, with high velocity typically causing cavitation injury patterns as opposed to simple lacerations [2], and as such they should be considered as separate entities. The majority of civilian penetrating orbital injuries are low-velocity injuries which occur accidentally, often through the individual falling upon the offending object, that is, pencil, bicycle brake handle, or toilet brush handle [3,4,5]. Intentional low-velocity POCIs are presumably due to the protection of the face by the individuals hands as a form of defensive reflex [6].
Chibbaro and Tacconi [7] published a series of cases of POCI, with 18 patients accumulated over a 13-year period. They concluded that a high degree of suspicion of intracranial injury should be maintained, in this patient cohort, as often these patients present with trivial appearing wounds, Glasgow Coma Scale (GCS) score of 14 to 15 and no clinical evidence of intracranial injury. The importance of the rapid diagnosis and appropriate management of these injuries is reflected by the fact that the mortality rate in individuals with these injuries is often significantly higher than in individuals with transcranial injuries not affecting the orbit [8]. One reason for this poorer prognosis is thought to be due to the potential for intracranial contamination with nonsterile sinus content, subsequently increasing the risk of intracranial infections [9].
We present our experience in the management of four patients admitted with POCI over a 10-month period. Through discussion of the nature and management of our cases as well as the review of the relevant literature, we aim to present an insight into how to manage patients with these rare but potentially fatal injuries in areas of low resources such as some hospitals in low-middle-income countries (LMIC), with a basic approach including angio-CT and early surgical management.
Methodology
A retrospective case series was conducted by searching hospital records for patients admitted with penetrating orbital injuries during a 10-month period in 2011. A total of 30 patients with penetrating orbital injuries were admitted from March 2011 to December 2011. Of this group, four patients were diagnosed with cranial penetration. Mechanism of injury, GCS score on arrival, imaging, cranial penetration, medical and surgical management, complications, and Glasgow Outcome Scale (GOS) score were analyzed for these four cases.
Case 1
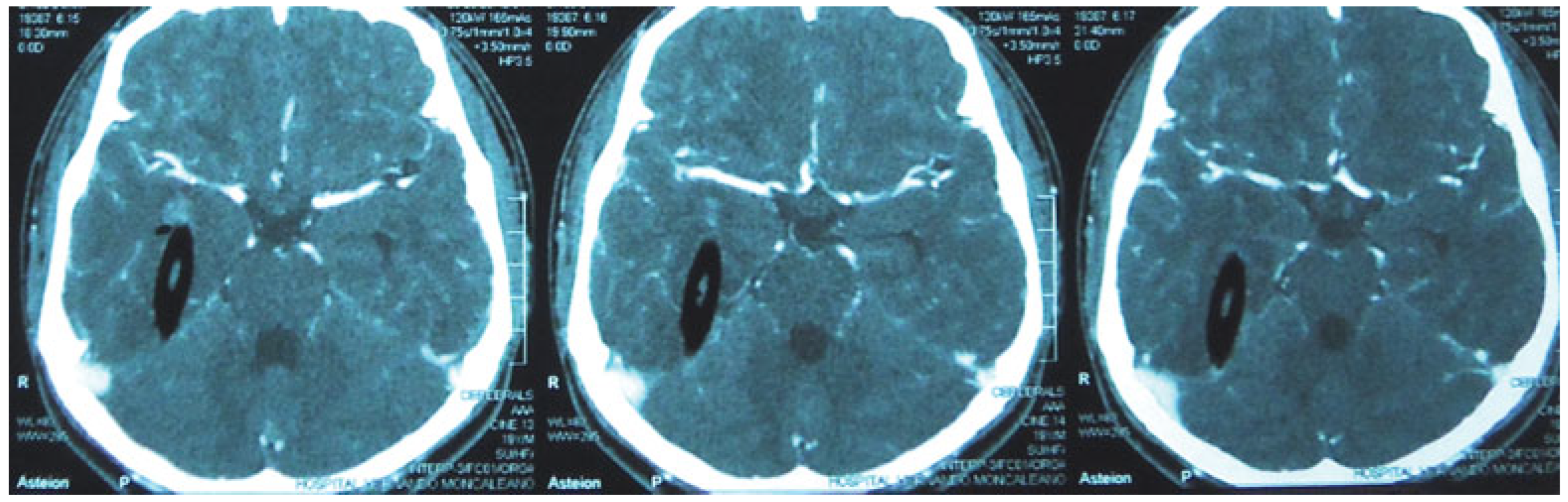
A 19-year-old man presented to the emergency department (ED) 3.5 h after suffering a penetrating injury to his right orbit following collision with a tree branch while running. On arrival at the ED, the patient’s vital signs were blood pressure (BP), 120/80 mm Hg; heart rate (HR), 82; respiratory rate (RR), 22; and GCS of 14. While in the ED, the patient’s GCS score deteriorated significantly to 7. Urgent cranial computed tomography (CT) demonstrated a fracture of the right orbit and associated penetration of a wooden fragment into the temporal and occipital lobes (Figure 1); however, no vascular injury was detected on CT angiography (Figure 2). Urgent craniotomy via a lateral orbital approach was undertaken and following isolation of the ipsilateral carotid artery, retrieval of the penetrating wooden fragment was performed with no significant bleeding. During the postoperative recovery on the intensive care unit, the patient developed an intracranial fungal infection and was treated with amphotericin B. The patient was discharged from the intensive care unit 11 days postinjury with a GOS score of 4 and total loss of vision on the affected side.
Figure 1.
A 19-year-old man with a penetrating injury to his right orbit with tree branch. The right temporal and occipital lobes were compromised.
Figure 2.
Computed tomography angiography showing the right MCA without vascular compromise. Abbreviation: MCA, middle cerebral artery.
Case 2
A 23-year-old man presented to the ED 21 h after sustaining a penetrating left orbital injury with a wooden fragment during a violent confrontation. On arrival at the ED, the patient’s vital signs were BP, 110/70 mm Hg; HR, 80; RR, 18; and GCS score of 15. A cranial CT demonstrated a fracture of the left orbit and associated injury to the ipsilateral frontal lobe; however, CT angiography did not reveal any vascular injury. Three hours following arrival at the ED, the patient underwent urgent craniotomy with a lateral orbital approach and retrieval of the wooden fragment. No significant intraoperative bleeding was experienced. The patient was discharged 10 days after the accident with a GOS score of 5 and partial loss of vision on the affected side.
Case 3
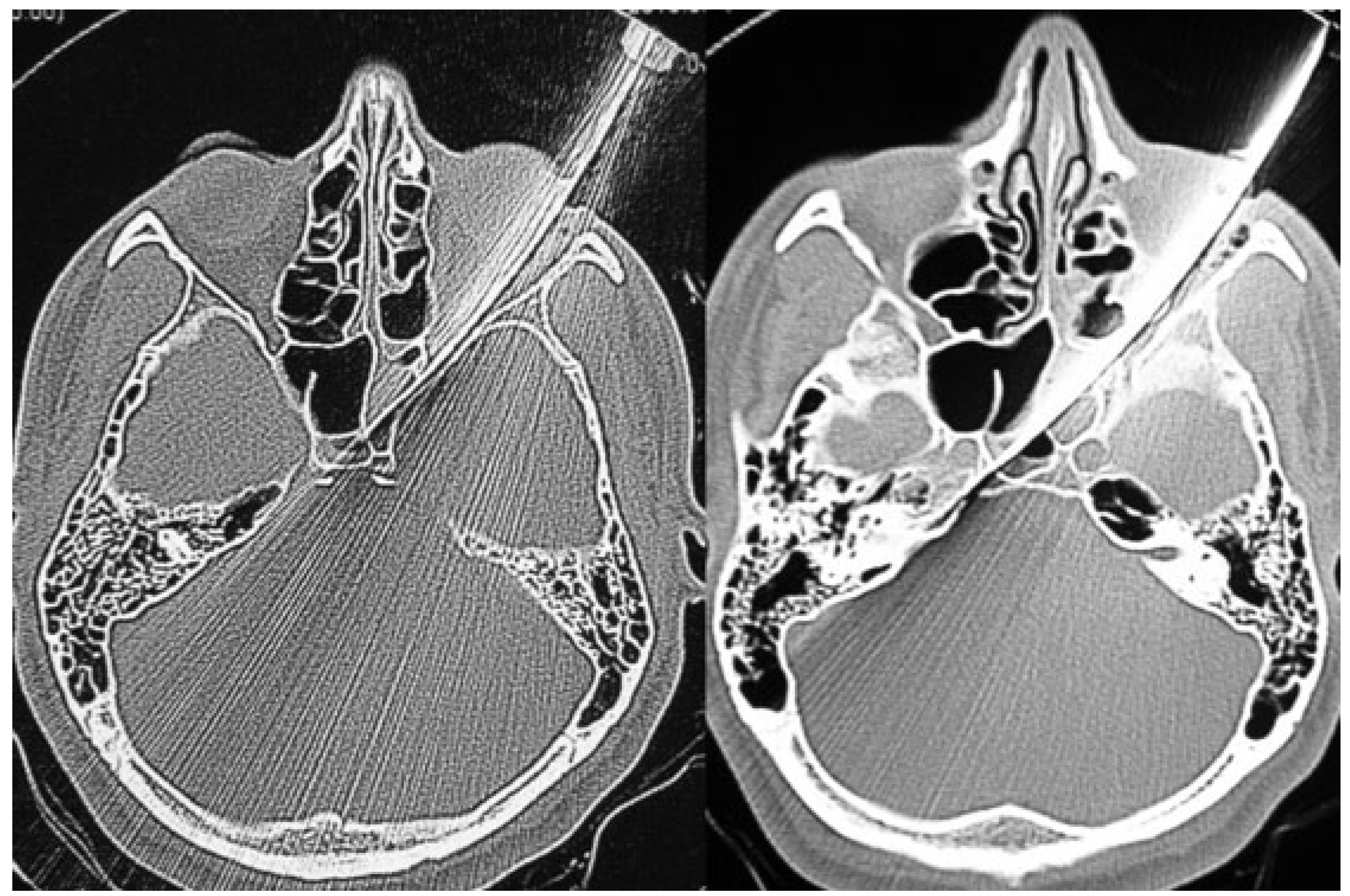
A 24-year-old man was brought to the ED by ambulance 13 h after sustaining a penetrating injury to the left orbit with a 12-cm butcher’s knife during a violent confrontation. Prehospital vital signs were BP, 110/60 mm Hg; HR, 80; RR, 22; and GCS score of 15. During primary survey at the ED, the butcher’s knife remained in situ (Figure 3) within the left orbit, vital signs were BP, 119/80 mm Hg; HR, 117; RR, 20; and GCS score of 15. Cranial CT showed the presence of the 12-cm butcher’s knife and associated left orbital fracture with penetration into the ipsilateral temporal lobe (Figure 4 and Figure 5). Six hours following arrival at the ED, the patient underwent a temporal craniotomy via a lateral orbital approach and, following ipsilateral carotid isolation, the knife was removed with minimal intraoperative bleeding (Figure 6). Six days following admission, the patient was discharged with a GOS score of 5 and normal vision in both eyes.
Figure 3.
The knife remains in situ during the initial assessment and imaging.
Figure 4.
Lateral scout view confirms the penetration of the knife into the temporal fossa.
Figure 5.
Computed tomography image demonstrating the presence of the end of the knife blade anterior to the brain stem without penetration into the posterior cranial fossa.
Figure 6.
Images of surgical intervention and removal of the knife. A left temporal approach was initiated with decompression via the removal of the lateral orbital wall and segment of temporal bone. In addition, isolation and preparation of the ipsilateral carotid artery was achieved; however, this was not used due to non vascular injury during the extraction process.
Case 4
A 23-year-old man attended the ED 4.5 h after sustaining a penetrating left orbital injury with a 5-cm wooden pencil during a motorcycle accident. Vital signs on arrival at the ED were BP, 110/70 mm Hg; HR, 85; RR, 18; and GCS score of 15. Cranial CT demonstrated the presence of the wooden pencil with associated fracture of the left orbit and penetration into the ipsilateral frontal lobe. CT angiography did not demonstrate any vascular injury. The patient underwent craniotomy via a lateral orbital approach. The wooden pencil was removed with minimal intraoperative bleeding. The patient was discharged home 7 days later with a GOS score of 5 and total loss of vision in the affected side.
In addition to surgical intervention, all four patients were also treated with broad-spectrum antibiotics, tetanus prophylaxis, and anticonvulsants.
Discussion
We have reported the incidence of four cases of orbital injury with associated cranial penetration and brain injury. Two of our cases occurred through accidental injury, which remains the most common cause of POCI in civil environments [10]. In the two cases of intentional injury, as is the case in the majority of intentional injuries described [10], it was the patients left orbit that was affected, likely reflecting the fact that the majority of assailants are right handed and therefore it is easier for them to strike for the left side of the victims face.
In cases of low-velocity orbital injury in which the penetrating object remains in situ and clearly visible, as in our patient with a knife injury, patients are typically managed with the expectancy of there being high risk of intracranial injury. This contrasts cases in which the offending object is removed before admission, or the penetrating entity may not be evident upon initial examination with only a superficial appearing wound visible, as in our case with a broken wooden fragment of a tree branch. In cases of this type, with an absence of significant neurological deficit and only an apparently superficial wound, it is tempting for the treating physician to overlook the potential for associated penetrating cranial injuries. The importance of maintaining a high degree of suspicion, even with apparently superficial injuries, is demonstrated by a case report by Turbin et al.11 They described a case in which a 10-year-old girl experienced a penetrating orbital injury from a rocket launcher guide rod, which subsequently passed, via her superior orbital fissure (SOF) into the temporal lobe. Her only visible injury was a small eyelid laceration and corneal abrasion and symptomatically she complained of only mild diplopia; therefore, she was discharged without performance of CT or magnetic resonance imaging (MRI). The extent of her injury was only identified 2 weeks later after a MRI was performed following worsening of her neurological symptoms.
The finding of good GCS scores, on admission, may potentially increase the risk of trivialization of orbital injuries. In our series, all four patients with penetrating intracranial injury had good GCS scores upon initial assessment (15 in three cases, 14 in one case) in the ED. GCS score subsequently deteriorated, before surgical intervention, in only one of our patients (GCS score from 14 to 7). This deterioration may reflect the presence of more extensive intracranial injury in this patient (temporal lobe and occipital lobe affected) compared with the other individuals in which only one lobe was affected.
Identification of the exact point of entry of the object, into the orbit, in low-velocity penetrating orbital injuries, may allow the prediction of specific intracranial patterns of injury [11]. The orbit is a pyramidal-shaped cavity composed of orbital bony walls that converge to form the apex, which contains the SOF, inferior orbital fissure (IOF), and the optic canal (OC). In low-velocity injuries, the tendency is for the penetrating object to follow the anatomical convergence of the orbital walls toward the SOF, IOF, and OC, providing a route of least resistance into the intracranial cavity [11]. In highvelocity injury (i.e., flying shrapnel from an explosive device), the greater forces involved mean that when the object comes into contact with the bones forming the orbit, the object is more likely to fracture the bone as opposed to following the anatomical convergence, resulting in less predictable patterns of intracranial injury. Turbin et al. [11] divided the external orbital region into four zones and identified that the cutaneous entry points of small diameter low-velocity objects into these zones was associated with specific intracranial injuries. Total 90% of objects entering along the medial aspect of the orbit (zone 3) were found to involve the SOF, OC, or sphenoid wing, resulting in injury to the cavernous sinus, temporal lobe, or posterior cranial fossa structures. Conversely, objects with lateral cutaneous entry points (zones 1 and 2) were found to be more likely to penetrate through the orbital roof, culminating in damage to the frontal lobe.
Although low-velocity penetrating injuries from assaults were excluded from Turbin et al. review, both of our cases of intentional injury (both with medial entry points resulting in temporal lobe occipital lobe injury) demonstrated predicted penetrating patterns of injury consistent with the cutaneous entry points. Although successful application of this model of injury prediction in only two cases does not hold any statistical significance, there may be a role for its utilization in the assessment of intentional orbitocranial injury and this warrants further analysis with larger patient numbers.
The absence of ocular injury in all four of our cases demonstrates that penetrating orbital injuries are not commonly associated with the presence of ocular trauma. The fact that the globe consists of a tough sclera and is also relatively mobile within the surrounding intraorbital fat that suspends it, means that often the penetrating object pushes the globe out of the way during its projection without causing significant damage [12].
Obtaining appropriate imaging of the cranial and intracranial structures is fundamental if there is suspicion of orbitocranial penetration. Performing plain skull radiographs in the assessment of penetrating orbital injuries has been shown to be unreliable [13], and we do not recommend their use, in particular, in light of the widespread accessibility to superior imaging tools, that is, CT or MRI. CT is a useful and accurate technique in the assessment of these injuries and is the best radiological method for the evaluation of POCIs involving metallic objects. Although in our cases of penetrating wooden objects, CT performed adequately in identifying the extent of intracranial injury, MRI has been shown to be superior to CT in the detection of wooden intracranial fragments [14,15]. However, the lack of availability of emergency MRI, in low and middle-income countries, and the inappropriateness of its use in the unstable patient may somewhat limit the application of MRI in this patient group.
In all our cases, CT angiography was undertaken and successfully excluded the presence of major intracranial vascular injury. We recommend specific imaging (if available) of the cerebral vasculature during the assessment of orbital penetrating injuries to identify the extent of damage and also to exclude the presence of injury-related vascular complications, that is, cavernous sinus thrombosis, pseudoaneurysm, or carotid dissection. Although there is some evidence regarding the benefits of the role of MR angiography in the management of POCIs [16], the availability of MR is not yet all over the globe, especially in low resources environments.
In our series of cases, surgical intervention in the form of craniotomy formed the backbone of the management of transorbital intracranial injuries. Craniotomy for decompression, as well as for removal of the foreign object, is a key concept in the management of patients with extensive intracranial injury and has been shown to improve survival following severe transorbital brain injury [17]. In cases in which the penetrating object remains in situ, as with our patient with a knife injury, craniotomy allows intracranial vascular control to be achieved before the removal of the object [18]. Vascular control was supplemented through surgical isolation of the ipsilateral carotid artery, before undertaking craniotomy. This basic approach provides a greater degree of bleeding control if a significant intraoperative intracranial vascular injury occurs. The incision is localized over the site of the carotid bifurcation at the level of the upper part of the thyroid cartilage. After incising through the platysma, the sternocleidomastoid is retracted laterally and the carotid sheath is opened along the anterior border of the internal jugular vein. The vein may then be retracted laterally and a silk suture may be looped around the common carotid, giving control over the artery if major bleeding occurs during the removal of the penetrating object. Upon completion of the procedure, wound must be closed in a standard manner.
The successful use of intraoperative CT as an adjunct during craniotomy and the removal of the intracranial object have been described also; however, this service is not currently available at many institutions worldwide. In addition to removal of larger penetrating objects, surgical removal of small penetrating fragments, in particular wooden foreign bodies, is recommended. This is due to the fact that wooden fragments represent an excellent growth medium for bacteria and their presence is associated with intracranial abscess development [19].
In addition to surgical intervention, our patients were also treated with broad spectrum antibiotics, tetanus prophylaxis, and anticonvulsants. In light of the potential for the development of infectious complications in penetrating orbital injury, Chibbaro et al. found that none of their 18 patients with POCI developed seizures, despite not receiving anticonvulsants. In our series, all patients received anticonvulsants, with none subsequently developing seizures. Thus, there remains a clear dispute within the literature [7,20] and an apparent need for future research into the topic. A proposed algorithm for the management of these cases is presented in Figure 7.
Figure 7.
Algorithm for the management of suspected penetrating orbital-cranial injuries.
In our series, two patients suffered total loss of vision on the affected side, one patient had partial loss of vision, and one suffered no loss of vision. Upon discharge from hospital, GOS score was 5 in three of the patients and 4 in only one patient, potentially reflecting a greater degree of cerebral/intracranial injury (two lobes affected vs. one lobe) compared with the other patients. This appears to be supported by Chibbaro et al. who found GOS score of 5 in 16 of their 18 patients, with the other two patients with GOS score of 4 both having suffered more extensive injury, in the form of intracranial hemorrhage, as a result of their injuries.
The mortality rate in patients with penetrating injury had been shown to be approximately 12%, almost double that of individuals with transcranial injuries not involving the orbit. However, outcomes in both our series and that of Chibbaro et al. did not reflect this, with no patients dying as a result of their injury. This potentially indicates the importance of a high indexof suspicion of intracranial injury in these patients, culminating in the prompt diagnosis and rapid treatment, in achieving better outcomes in this patient group.
The immediate life-threatening complication in patients with POCI is associated to intracranial pressure requiring emergency craniotomy. Immediate complications may also include injury to cranial nerves, in particular, those passing into the cranial vault via the cavernous sinus and apex of the orbit. In delayed complications, infection represents the most common event [21], as in one of our cases who developed a fungal infection, and typically presents in the form of cerebral abscesses or meningitis. Although none occurred in our series, delayed complications may also involve intracranial vasculature in the form of carotidcavernous fistula, pseudoaneurysm, and cavernous sinus thrombosis [22,23].
Conclusions
POCIs are rare outside of the military setting but not uncommon in civilian patients managed in hospitals in LMIC. A high index of suspicion of intracranial injury, despite apparent trivial appearing wounds and normal GCS score, is pivotal. Diagnosis through early appropriate imaging (if available) enables timely neurosurgical intervention and medical treatments, resulting in good outcomes even in institutions in such environments.
References
- Ansell, M.J.; Breeze, J.; McAlister, V.C.; Williams, M.D. Management of devastating ocular trauma—Experience of maxillofacial surgeons deployed to a forward field hospital. J R Army Med Corps 2010, 156, 106–109. [Google Scholar] [CrossRef] [PubMed]
- Clark, W.C.; Muhlbauer, M.S.; Watridge, C.B.; Ray, M.W. Analysis of 76 civilian craniocerebral gunshot wounds. J Neurosurg 1986, 65, 9–14. [Google Scholar] [CrossRef]
- Bursick, D.M.; Selker, R.G. Intracranial pencil injuries. Surg Neurol 1981, 16, 427–431. [Google Scholar] [CrossRef] [PubMed]
- Chattopadhyay, S.; Sukul, B.; Das, S.K. Fatal transorbital head injury by bicycle brake handle. J Forensic Leg Med 2009, 16, 352–353. [Google Scholar] [CrossRef] [PubMed]
- Farhadi, M.R.; Becker, M.; Stippich, C.; Unterberg, A.W.; Kiening, K.L. Transorbital penetrating head injury by a toilet brush handle. Acta Neurochir (Wien) 2009, 151, 685–687. [Google Scholar] [CrossRef]
- Shinohara, E.H.; Heringer, L.; de Carvalho, J.P. Impacted knife injuries in the maxillofacial region: Report of 2 cases. J Oral Maxillofac Surg 2001, 59, 1221–1223. [Google Scholar] [CrossRef]
- Chibbaro, S.; Tacconi, L. Orbito-cranial injuries caused by penetrating non-missile foreign bodies. Experience with eighteen patients. Acta Neurochir (Wien) 2006, 148, 937–941. [Google Scholar] [CrossRef]
- Oğuz, M.; Aksungur, E.H.; Atilla, E.; Altay, M.; Soyupak, S.K.; Ildan, F. Orbitocranial penetration of a pencil: Extraction under CT control. Eur J Radiol 1993, 17, 85–87. [Google Scholar] [CrossRef]
- Webster, J.E.; Schneider, R.C.; Lofstrom, J.E. Observations upon the management of orbito-cranial wounds. J Neurosurg 1946, 3, 329–336. [Google Scholar] [CrossRef]
- Daya, N.P.; Liversage, H.L. Penetrating stab wound injuries to the face. SADJ 2004, 59, 55–59. [Google Scholar]
- Turbin, R.E.; Maxwell, D.N.; Langer, P.D.; et al. Patterns of transorbital intracranial injury: A review and comparison of occult and nonoccult cases. Surv Ophthalmol 2006, 51, 449–460. [Google Scholar] [CrossRef] [PubMed]
- McClure, C.C., Jr; Gardner, W.J. Transorbital intracranial stab wounds. Cleve Clin Q 1949, 16, 118–125. [Google Scholar] [CrossRef] [PubMed]
- Lee, J.S.; Lee, J.E.; Oum, B.S.; Cha, S.H. Orbitocranial injury caused by wood. Korean J Ophthalmol 1999, 13, 128–132. [Google Scholar] [CrossRef]
- Glatt, H.J.; Custer, P.L.; Barrett, L.; Sartor, K. Magnetic resonance imaging and computed tomography in a model of wooden foreign bodies in the orbit. Ophthal Plast Reconstr Surg 1990, 6, 108–114. [Google Scholar] [CrossRef]
- Bank, D.E.; Carolan, P.L. Cerebral abscess formation following ocular trauma: A hazard associated with common wooden toys. Pediatr Emerg Care 1993, 9, 285–288. [Google Scholar] [CrossRef]
- du Trevou, M.D.; van Dellen, J.R. Penetrating stab wounds to the brain: The timing of angiography in patients presenting with the weapon already removed. Neurosurgery 1992, 31, 905–911. [Google Scholar] [CrossRef]
- Lin, H.L.; Lee, H.C.; Cho, D.Y. Management of transorbital brain injury. J Chin Med Assoc 2007, 70, 36–38. [Google Scholar] [CrossRef]
- MacEwen, C.J.; Fullarton, G. A penetrating orbitocranial stab wound. Br J Ophthalmol 1986, 70, 147–149. [Google Scholar] [CrossRef]
- Miller, C.F.B.J.; Brodkey, J.S.; Colombi, B.J. The danger of intracranial wood. Surg Neurol 1977, 7, 95–103. [Google Scholar]
- Okay, O.; Dağlioğlu, E.; Ozdol, C.; Uckun, O.; Dalgic, A.; Ergungor, F. Orbitocerebral injury by a knife: Case report. Neurocirugia (Astur) 2009, 20, 467–469. [Google Scholar] [CrossRef]
- Taylor, A.G.P.J.; Peter, J.C. Patients with retained transcranial knife blades: A high-risk group. J Neurosurg 1997, 87, 512–515. [Google Scholar] [CrossRef] [PubMed]
- Braun, J.; Gdal-On, M.; Goldsher, D.; Borovich, B.; Guilburd, J.N. Traumatic carotid aneurysm secondary to cavernous sinus penetration by wood: CT features. J Comput Assist Tomogr 1987, 11, 525–528. [Google Scholar] [CrossRef] [PubMed]
- De Villiers, J.C.S.D.; Sevel, D. Intracranial complications of transorbital stab wounds. Br J Ophthalmol 1975, 59, 52–56. [Google Scholar] [CrossRef] [PubMed]






