Evaluation of Approaches for the Assessment of HER2 Expression in Breast Cancer by Radionuclide Imaging Using the Scaffold Protein [99mTc]Tc-ADAPT6
Abstract
1. Introduction
2. Materials and Methods
2.1. Immunohistochemistry Analysis
2.2. Purification and Labelling of ADAPT6
2.3. Imaging Protocol
2.4. Statistics
3. Results
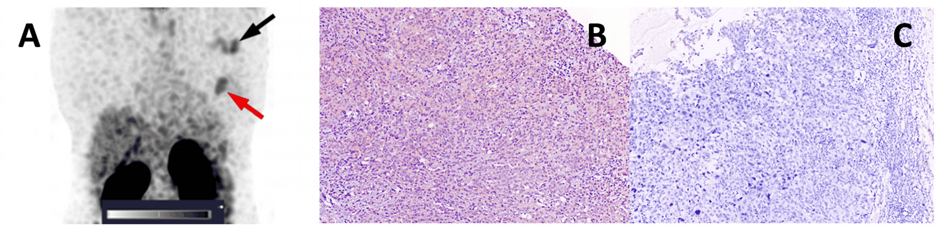
3.1. Biopsies and HER2 Status in LN Metastases
3.2. Compliance with Labelling and Imaging Protocols
3.3. Uptake of [99mTc]Tc-ADAPT6 in Primary Tumour and Tumour-to-Contralateral Ratios
3.4. Uptake of [99mTc]Tc-ADAPT6 in Reference Organs and Tumour-to-Reference Tissue Ratios
3.5. [99mTc] Tc-ADAPT6 in Metastatic Axillary Lymph Nodes, mALN-to-Contralateral and mALN-to-Reference Tissue Ratios
3.6. Determination of the Most Valuable Indicator for the Detection of HER2 Overexpression in Primary Breast Tumours Using [99mTc] Tc-ADAPT6
3.7. Determination of the Most Valuable Indicator for the Detection of HER2 Overexpression in Metastatic Axillary Lymph Nodes Using [99mTc] Tc-ADAPT6 in Breast Cancer Patients
4. Discussion
5. Conclusions
Supplementary Materials
Author Contributions
Funding
Institutional Review Board Statement
Informed Consent Statement
Data Availability Statement
Conflicts of Interest
References
- Han, L.; Li, L.; Wang, N.; Xiong, Y.; Li, Y.; Gu, Y. Relationship of epidermal growth factor receptor expression with clinical symptoms and metastasis of invasive breast cancer. J. Interferon Cytokine Res. 2018, 38, 578–582. [Google Scholar] [CrossRef] [PubMed]
- Slamon, D.J.; Clark, G.M.; Wong, S.G.; Levin, W.J.; Ullrich, A.; McGuire, W.L. Human breast cancer: Correlation of relapse and survival with amplification of the HER-2/neu oncogene. Science 1987, 235, 177–182. [Google Scholar] [CrossRef]
- Slamon, D.J.; Leyland-Jones, B.; Shak, S.; Fuchs, H.; Paton, V.; Bajamonde, A.; Fleming, T.; Eiermann, W.; Wolter, J.; Pegram, M.; et al. Use of chemotherapy plus a monoclonal antibody against HER2 for metastatic breast cancer that overexpresses HER2. N. Engl. J. Med. 2001, 344, 783–792. [Google Scholar] [CrossRef] [PubMed]
- Romond, E.H.; Perez, E.A.; Bryant, J.; Suman, V.J.; Geyer, C.E., Jr.; Davidson, N.E.; Tan-Chiu, E.; Martino, S.; Paik, S.; Kaufman, P.A.; et al. Trastuzumab plus adjuvant chemotherapy for operable HER2-positive breast cancer. N. Engl. J. Med. 2005, 353, 1673–1684. [Google Scholar] [CrossRef] [PubMed]
- Swain, S.M.; Miles, D.; Kim, S.-B.; Im, Y.-H.; Im, S.-A.; Semiglazov, V.; Ciruelos, E.; Schneeweiss, A.; Loi, S.; Monturus, E.; et al. Pertuzumab, trastuzumab, and docetaxel for HER2-positive metastatic breast cancer (CLEOPATRA): End-of-study results from a double-blind, randomised, placebo-controlled, phase 3 study. Lancet Oncol. 2020, 21, 519–530. [Google Scholar] [CrossRef] [PubMed]
- Verma, S.; Miles, D.; Gianni, L.; Krop, I.E.; Welslau, M.; Baselga, J.; Pegram, M.; Oh, D.Y.; Diéras, V.; Guardino, E.; et al. Trastuzumab emtansine for HER2-positive advanced breast cancer. N. Engl. J. Med. 2012, 367, 1783–1791. [Google Scholar] [CrossRef] [PubMed]
- Giordano, S.H.; Franzoi, M.A.B.; Temin, S.; Anders, C.K.; Chandarlapaty, S.; Crews, J.R.; Kirshner, J.J.; Krop, I.E.; Lin, N.U.; Morikawa, A.; et al. Systemic Therapy for Advanced Human Epidermal Growth Factor Receptor 2-Positive Breast Cancer: ASCO Guideline Update. J. Clin. Oncol. 2022, 40, 2612–2635. [Google Scholar] [CrossRef] [PubMed]
- Wolff, A.C.; Hammond, M.E.H.; Allison, K.H.; Harvey, B.E.; Mangu, P.B.; Bartlett, J.M.; Bilous, M.; Ellis, I.O.; Fitzgibbons, P.; Hanna, W.; et al. Human Epidermal Growth Factor Receptor 2 Testing in Breast Cancer: American Society of Clinical Oncology/College of American Pathologist Clinical Practice Guideline Focused Update. Pathol. Lab. Med. 2018, 42, 1364–1382. [Google Scholar] [CrossRef]
- Modi, S.; Saura, C.; Yamashita, T.; Park, Y.H.; Kim, S.B.; Tamura, K.; Andre, F.; Iwata, H.; Ito, Y.; Tsurutani, J.; et al. Trastuzumab Deruxtecan in Previously Treated HER2-Positive Breast Cancer. N. Engl. J. Med. 2020, 382, 610–621. [Google Scholar] [CrossRef]
- Modi, S.; Jacot, W.; Yamashita, T.; Sohn, J.; Vidal, M.; Tokunaga, E.; Tsurutani, J.; Ueno, N.T.; Prat, A.; Chae, Y.S.; et al. Trastuzumab Deruxtecan in Previously Treated HER2-Low Advanced Breast Cancer. N. Engl. J. Med. 2022, 387, 9–20. [Google Scholar] [CrossRef]
- Tarantino, P.; Viale, G.; Press, M.F.; Hu, X.; Penault-Llorca, F.; Bardia, A.; Batistatou, A.; Burstein, H.J.; Carey, L.A.; Cortes, J.; et al. ESMO expert consensus statements (ECS) on the definition, diagnosis, and management of HER2-low breast cancer. Ann Oncol. 2023, 34, 645–659. [Google Scholar] [CrossRef]
- Wolff, A.C.; Somerfield, M.R.; Dowsett, M.; Hammond, M.E.H.; Hayes, D.F.; McShane, L.M.; Saphner, T.J.; Spears, P.A.; Allison, K.H. Human Epidermal Growth Factor Receptor 2 Testing in Breast Cancer: ASCO-College of American Pathologists Guideline Update. J. Clin. Oncol. 2023, 41, 3867–3872. [Google Scholar] [CrossRef]
- Cardoso, F.; Spence, D.; Mertz, S.; Corneliusses-James, D.; Sabelko, K.; Gralow, J.; Cardoso, M.-J.; Peccatori, F.; Paonessa, D.; Benares, A.; et al. Global analysis of advanced/metastatic breast cancer: Decade report (2005–2015). Breast 2018, 39, 131–138. [Google Scholar] [CrossRef]
- Vogel, C.; Malter, W.; Morgenstern, B.; Ludwig, S.; Vehreschild, J.; Hamacher, S.; Mallmann, P.; Kirn, V.; Thangarajah, F. The Role of Previous Therapies and Sites of Metastasis as Influencing Factors on Discordance of ER, PR and HER2 Status between Primary and Metastasized Breast Cancer. Anticancer Res. 2019, 39, 2647–2659. [Google Scholar] [CrossRef]
- Aurilio, G.; Disalvatore, D.; Pruneri, G.; Bagnardi, V.; Viale, G.; Curigliano, G.; Adamoli, L.; Munzone, E.; Sciandivasci, A.; Vita, F.; et al. A meta-analysis of oestrogen receptor, progesterone receptor and human epidermal growth factor receptor 2 discordance between primary breast cancer and metastases. Eur. J. Cancer 2014, 50, 277–289. [Google Scholar] [CrossRef] [PubMed]
- Shachar, S.S.; Mashiach, T.; Fried, G.; Drumea, K.; Shafran, N.; Muss, H.B.; Bar-Sela, G. Biopsy of breast cancer metastases: Patient characteristics and survival. BMC Cancer 2017, 17, 7. [Google Scholar] [CrossRef] [PubMed]
- Tolmachev, V.; Orlova, A.; Sorensen, J. The emerging role of radionuclide molecular imaging of HER2 expression in breast cancer. Semin. Cancer Biol. 2021, 72, 185–197. [Google Scholar] [CrossRef] [PubMed]
- Bragina, O.; Deyev, S.M.; Chernov, V.I.; Tolmachev, V.M. The Evolution of Targeted Radionuclide Diagnosis of HER2-Positive Breast Cancer. Acta Naturae 2022, 14, 4–15. [Google Scholar] [CrossRef] [PubMed]
- Garousi, J.; Lindbo, S.; Nilvebrant, J.; Astrand, M.; Buijs, J.; Sandstrom, M.; Honarvar, H.; Orlova, A.; Tolmachev, V.; Hober, S. ADAPT, a novel scaffold protein-based probe for radionuclide imaging of molecular targets that are expressed in disseminated cancers. Cancer Res. 2015, 75, 4364–4371. [Google Scholar] [CrossRef] [PubMed]
- Lindbo, S.; Garousi, J.; Åstrand, M.; Honarvar, H.; Orlova, A.; Hober, S.; Tolmachev, V. Influence of Histidine-Containing Tags on the Biodistribution of ADAPT Scaffold Proteins. Bioconjug. Chem. 2016, 27, 716–726. [Google Scholar] [CrossRef] [PubMed]
- Tolmachev, V.; Bodenko, V.; Oroujeni, M.; Deyev, S.; Konovalova, E.; Schulga, A.; Lindbo, S.; Hober, S.; Bragina, O.; Orlova, A.; et al. Direct In Vivo Comparison of 99mTc-Labeled Scaffold Proteins. DARPinG3 and ADAPT6, for Visualization of HER2 Expression and Monitoring of Early Response for Trastuzumab Therapy. Int. J. Mol. Sci. 2022, 23, 15181. [Google Scholar] [CrossRef] [PubMed]
- Bragina, O.; von Witting, E.; Garousi, J.; Zeltchan, R.; Sandstrom, M.; Orlova, A.; Medvedeva, A.; Doroshenko, A.; Vorobyeva, A.; Lindbo, S.; et al. Phase I study of 99mTc-ADAPT6. a scaffold protein-based probe for visualization of HER2 expression in breast cancer. J. Nucl. Med. 2021, 62, 493–499. [Google Scholar] [CrossRef]
- Bragina, O.; Chernov, V.; Shulga, A.; Konovalova, E.; Hober, S.; Deyev, S.; Sorensen, J.; Tolmachev, V. Direct Intra-Patient Comparison of Scaffold Protein-Based Tracers, [99mTc]Tc-ADAPT6 and [99mTc]Tc-(HE)3-G3, for Imaging of HER2-Positive Breast Cancer. Cancers 2023, 15, 3149. [Google Scholar] [CrossRef] [PubMed]
- Halim, F.; Yahya, H.; Jaafar, K.N.; Mansor, S. Accuracy Assessment of SUV Measurements in SPECT/CT: A Phantom Study. J. Nucl. Med. Technol. 2021, 49, 250–255. [Google Scholar] [CrossRef] [PubMed]
- Wang, T.; Zhao, L.; Qiao, W.; Sun, N.; Zhao, J.; Xing, Y. The efficacy of 99mTc-HYNIC-PSMA SPECT/CT in detecting primary lesions and metastasis in newly diagnosed prostate cancer. Front. Oncol. 2023, 13, 1165694. [Google Scholar] [CrossRef]
- Bragina, O.; Chernov, V.; Larkina, M.; Rybina, A.; Zelchan, R.; Garbukov, E.; Oroujeni, M.; Loftenius, A.; Orlova, A.; Sörensen, J.; et al. Phase I clinical evaluation of 99mTc-labeled Affibody molecule for imaging HER2 expression in breast cancer. Theranostics 2023, 13, 4858–4871. [Google Scholar] [CrossRef]
- Zhang, Y.; Shi, Y.; Ye, L.; Li, T.; Wei, Y.; Lin, Z.; Chen, W. Improving diagnostic efficacy of primary prostate cancer with combined 99mTc-PSMA SPECT/CT and multiparametric-MRI and quantitative parameters. Front. Oncol. 2023, 13, 1193370. [Google Scholar] [CrossRef]
- Hughes, D.J.; Chand, G.; Johnson, J.; Bailey, D.; Adamson, K.; Goh, V.; Cook, G.J.R. Inter-rater and intra-rater agreement of [99mTc]-labelled NM-01, a single-domain programmed death-ligand 1 (PD-L1) antibody, using quantitative SPECT/CT in non-small cell lung cancer. EJNMMI Res. 2023, 13, 51. [Google Scholar] [CrossRef]
- Jia, X.; Li, X.; Jia, B.; Yang, Y.; Wang, Y.; Liu, Y.; Ji, T.; Xie, X.; Yao, Y.; Qiu, G.; et al. The role of [99mTc]Tc-HFAPi SPECT/CT in patients with malignancies of digestive system: First clinical experience. Eur. J. Nucl. Med. Mol. Imaging 2023, 50, 1228–1239. [Google Scholar] [CrossRef]
- Sandberg, D.; Tolmachev, V.; Velikyan, I.; Olofsson, H.; Wennborg, A.; Feldwisch, J.; Carlsson, J.; Lindman, H.; Sörensen, J. Intra-image referencing for simplified assessment of HER2-expression in breast cancer metastases using the Affibody molecule ABY-025 with PET and SPECT. Eur. J. Nucl. Med. Mol. Imaging 2017, 44, 1337–1346. [Google Scholar] [CrossRef]
- Simeon, R.; Chen, Z. In vitro-engineered non-antibody protein therapeutics. Protein Cell 2018, 9, 3–14. [Google Scholar] [CrossRef]
- Schmidt, M.M.; Wittrup, K.D. A modeling analysis of the effects of molecular size and binding affinity on tumor targeting. Mol. Cancer Ther. 2009, 8, 2861–2871. [Google Scholar] [CrossRef]
- Bragina, O.; Chernov, V.; Schulga, A.; Konovalova, E.; Garbukov, E.; Vorobyeva, A.; Orlova, A.; Tashireva, L.; Sörensen, J.; Zelchan, R.; et al. Phase I Trial of 99mTc-(HE)3-G3, a DARPin-Based Probe for Imaging of HER2 Expression in Breast Cancer. J. Nucl. Med. 2022, 63, 528–535. [Google Scholar] [CrossRef]
- Zhou, N.; Liu, C.; Guo, X.; Xu, Y.; Gong, J.; Qi, C.; Zhang, X.; Yang, M.; Zhu, H.; Shen, L.; et al. Impact of 68Ga-NOTA-MAL-MZHER2 PET imaging in advanced gastric cancer patients and therapeutic response monitoring. Eur. J. Nucl. Med. Mol. Imaging 2021, 48, 161–175. [Google Scholar] [CrossRef]
- Dehdashti, F.; Wu, N.; Bose, R.; Naughton, M.J.; Ma, C.X.; Marquez-Nostra, B.V.; Diebolder, P.; Mpoy, C.; Rogers, B.E.; Lapi, S.E.; et al. Evaluation of [89Zr]trastuzumab-PET/CT in differentiating HER2-positive from HER2-negative breast cancer. Breast Cancer Res. Treat. 2018, 169, 523–530. [Google Scholar] [CrossRef]
- Gondry, O.; Caveliers, V.; Xavier, C.; Raes, L.; Vanhoeij, M.; Verfaillie, G.; Fontaine, C.; Glorieus, K.; De Grève, J.; Joris, S.; et al. Phase II Trial Assessing the Repeatability and Tumor Uptake of [68Ga]Ga-HER2 Single-Domain Antibody PET/CT in Patients with Breast Carcinoma. J. Nucl. Med. 2024, 65, 178–184. [Google Scholar] [CrossRef] [PubMed]
- Zhao, L.; Liu, C.; Xing, Y.; He, J.; O’Doherty, J.; Huang, W.; Zhao, J. Development of a 99mTc-Labeled Single-Domain Antibody for SPECT/CT Assessment of HER2 Expression in Breast Cancer. Mol. Pharm. 2021, 18, 3616–3622. [Google Scholar] [CrossRef] [PubMed]
- Ross, J.S.; Fletcher, J.A.; Bloom, K.J.; Linette, G.P.; Stec, J.; Symmans, W.F.; Pusztai, L.; Hortobagyi, G.N. (2004). Targeted therapy in breast cancer: The HER-2/neu gene and protein. Mol. Cel. Proteom. 2004, 3, 379–398. [Google Scholar] [CrossRef] [PubMed]
- Pai-Scherf, L.H.; Villa, J.; Pearson, D.; Watson, T.; Liu, E.; Willingham, M.C.; Pastan, I. Hepatotoxicity in cancer patients receiving erb-38, a recombinant immunotoxin that targets the erbB2 receptor. Clin. Cancer Res. 1999, 5, 2311–2315. [Google Scholar]
- Dijkers, E.C.; Oude Munnink, T.H.; Kosterink, J.G.; Brouwers, A.H.; Jager, P.L.; de Jong, J.R.; van Dongen, G.A.; Schröder, C.P.; Lub-de Hooge, M.N.; de Vries, E.G. Biodistribution of 89Zr-trastuzumab and PET imaging of HER2-positive lesions in patients with metastatic breast cancer. Clin. Pharm. Therap. 2010, 87, 586–592. [Google Scholar] [CrossRef] [PubMed]
- Divgi, C.R.; Welt, S.; Kris, M.; Real, F.X.; Yeh, S.D.; Gralla, R.; Merchant, B.; Schweighart, S.; Unger, M.; Larson, S.M. Phase I and imaging trial of indium 111-labeled anti-epidermal growth factor receptor monoclonal antibody 225 in patients with squamous cell lung carcinoma. J. Natl. Cancer Inst. 1991, 83, 97–104. [Google Scholar] [CrossRef] [PubMed]
- Pandit-Taskar, N.; O’Donoghue, J.A.; Morris, M.J.; Wills, E.A.; Schwartz, L.H.; Gonen, M.; Scher, H.I.; Larson, S.M.; Divgi, C.R. Antibody mass escalation study in patients with castration-resistant prostate cancer using 111In-J591: Lesion detectability and dosimetric projections for 90Y radioimmunotherapy. J. Nucl. Med. 2008, 49, 1066–1074. [Google Scholar] [CrossRef] [PubMed]






| No. | Age (y) | HER2 Status in Primary Tumour before Imaging (IHC *) | Primary Tumour Status (ER/PgR *) | HER2 Status in Axillary LN before Imaging (IHC) | Axillary LN Status (ER/PgR *) | Clinical Stage before Imaging | Tumor Size (mm) | mALN * (mm) |
|---|---|---|---|---|---|---|---|---|
| 1 ** | 48 | 3+ | ER+/PgR+ | 3+ | ER+/PgR+ | IIB (T2N1M0) | 37 | 23 |
| 2 | 55 | 3+ | ER−/PgR− | 3+ | ER+/PgR+ | IIB (T2N1M0) | 28 | 16 |
| 3 ** | 26 | 3+ | ER+/PgR+ | 3+ | ER+/PgR+ | IIB (T2N1M0) | 49 | 20 |
| 4 | 41 | 3+ | ER+/PgR+ | 3+ | ER+/PgR+ | IIA (T2N1M0) | 22 | 24 |
| 5 | 62 | 1+ | ER+/PgR+ | 1+ | ER+/PgR+ | IIB (T2N1M0) | 34 | 20 |
| 6 ** | 65 | 3+ | ER+/PgR+ | 3+ | ER+/PgR+ | IIB (T2N1M0) | 21 | 37 |
| 7 | 62 | 1+ | ER+/PgR+ | 1+ | ER+/PgR+ | IIB (T2N1M0) | 55 | 32 |
| 8 ** | 55 | 3+ | ER−/PgR− | 3+ | ER−/PgR− | IIB (T2N1M0) | 28 | 30 |
| 9 | 42 | 1+ | ER+/PgR+ | 1+ | ER+/PgR+ | IIA (T2N1M0) | 21 | 25 |
| 10 | 38 | 3+ | ER+/PgR+ | 3+ | ER+/PgR | IIB (T2N1M0) | 38 | 12 |
| 11 | 47 | 1+ | ER+/PgR+ | 1+ | ER+/PgR+ | IIB (T2N1M0) | 38 | 13 |
| 12 | 47 | 1+ | ER+/PgR+ | 1+ | ER+/PgR+ | IIB (T2N1M0) | 23 | 32 |
| 13 ** | 61 | 3+ | ER+/PgR+ | 3+ | ER+/PgR+ | IIB (T3N2M0) | 30 | 32 |
| 14 | 59 | 3+ | ER+/PgR+ | 3+ | ER+/PgR+ | IIB (T2N1M0) | 29 | 16 |
| 15 | 38 | 3+ | ER+/PgR+ | 3+ | ER+/PgR+ | IIB (T2N1M0) | 21 | 26 |
| 16 | 54 | 1+ | ER+/PgR− | 1+ | ER+/PgR− | IV (T3N2M1) | 75 | 47 |
| 17 | 19 | 1+ | ER+/PgR+ | 1+ | ER+/PgR+ | IIB (T2N1M0) | 21 | 17 |
| 18 | 37 | 3+ | ER−/PgR− | 3+ | ER−/PgR− | IIB (T2N1M0) | 23 | 15 |
| 19 | 59 | 1+ | ER+/PgR+ | 1+ | ER+/PgR+ | IIB (T2N1M0) | 36 | 24 |
| 20 | 51 | 3+ | ER+/PR+ | 3+ | ER+/PgR+ | IV (T4N3M1) | 44 | 53 |
Disclaimer/Publisher’s Note: The statements, opinions and data contained in all publications are solely those of the individual author(s) and contributor(s) and not of MDPI and/or the editor(s). MDPI and/or the editor(s) disclaim responsibility for any injury to people or property resulting from any ideas, methods, instructions or products referred to in the content. |
© 2024 by the authors. Licensee MDPI, Basel, Switzerland. This article is an open access article distributed under the terms and conditions of the Creative Commons Attribution (CC BY) license (https://creativecommons.org/licenses/by/4.0/).
Share and Cite
Bragina, O.; Tashireva, L.; Loos, D.; Chernov, V.; Hober, S.; Tolmachev, V. Evaluation of Approaches for the Assessment of HER2 Expression in Breast Cancer by Radionuclide Imaging Using the Scaffold Protein [99mTc]Tc-ADAPT6. Pharmaceutics 2024, 16, 445. https://doi.org/10.3390/pharmaceutics16040445
Bragina O, Tashireva L, Loos D, Chernov V, Hober S, Tolmachev V. Evaluation of Approaches for the Assessment of HER2 Expression in Breast Cancer by Radionuclide Imaging Using the Scaffold Protein [99mTc]Tc-ADAPT6. Pharmaceutics. 2024; 16(4):445. https://doi.org/10.3390/pharmaceutics16040445
Chicago/Turabian StyleBragina, Olga, Liubov Tashireva, Dmitriy Loos, Vladimir Chernov, Sophia Hober, and Vladimir Tolmachev. 2024. "Evaluation of Approaches for the Assessment of HER2 Expression in Breast Cancer by Radionuclide Imaging Using the Scaffold Protein [99mTc]Tc-ADAPT6" Pharmaceutics 16, no. 4: 445. https://doi.org/10.3390/pharmaceutics16040445
APA StyleBragina, O., Tashireva, L., Loos, D., Chernov, V., Hober, S., & Tolmachev, V. (2024). Evaluation of Approaches for the Assessment of HER2 Expression in Breast Cancer by Radionuclide Imaging Using the Scaffold Protein [99mTc]Tc-ADAPT6. Pharmaceutics, 16(4), 445. https://doi.org/10.3390/pharmaceutics16040445

