Abstract
Small bowel carcinomas (SBC) are uncommon neoplasms, whose predisposing conditions include hereditary syndromes and immune-mediated intestinal disorders including coeliac disease (CD) and Crohn’s disease (CrD). Although both CD-associated SBC (CD-SBC) and CrD-associated SBC (CrD-SBC) arise from an inflammatory background, they differ substantially in tumour cell phenotype, frequency of microsatellite instability and nuclear β-catenin expression, as well as in prognosis. For these patients, high tumour-infiltrating lymphocyte density and glandular/medullary histotype represent independent positive prognostic factors. Dysplasia adjacent to SBC is rare and characterized by intestinal phenotype and nuclear β-catenin in CD, while it is frequent and typified by gastro-pancreatobiliary marker expression and preserved membranous β-catenin in CrD. Recent evidence suggests that Epstein-Barr virus-positive dysplasia and SBC, albeit exceptional, do exist and are associated with CrD. In this review, we summarize the novel pathological and molecular insights of clinical and therapeutic interest to guide the care of CD-SBC and CrD-SBC.
1. Introduction
Small bowel carcinomas (SBC) are remarkably uncommon neoplasms, mostly sporadic. Notwithstanding, several predisposing conditions such as hereditary syndromes –familial adenomatous polyposis, Lynch syndrome, Peutz-Jeghers syndrome, and juvenile polyposis syndrome- and chronic immune-mediated intestinal disorders—coeliac disease (CD) and Crohn’s disease (CrD)—are well-known (Table 1) [1]. The underlying intestinal disorder, i.e., CD or CrD, has been demonstrated to be a stage-independent prognostic factor in patients undergoing surgery for SBC [2]. Although both CD and CrD are sustained by similar pathogenic mechanisms, namely T helper 1 and 17 immune responses [3], CD-associated SBC (CD-SBC) and CrD-associated SBC (CrD-SBC) represent distinct entities in terms of clinical, histopathological, and molecular features (Table 2). The jejunum is the most frequent location for SBC in CD [2], an immune-mediated enteropathy induced by dietary gluten in genetically susceptible individuals [4]. CD-SBC exhibit a high frequency of microsatellite instability (MSI), increased tumour-infiltrating T lymphocytes (TIL), a glandular histotype, and an intestinal phenotype [2,5,6,7]. On the other hand, SBC often localise in the inflamed ileum in CrD [2,8], a form of relapsing transmural inflammatory bowel disease due to an abnormal immune response to commensal microbiota [9]. In particular, SBC always arise in CrD patients with small bowel involvement [8,10]. Most CrD-SBC are microsatellite stable, have low TILs and often show a non-glandular histotype coupled with a non-intestinal phenotype [2,7,8,10,11,12].
Table 1.
Risk factors for small bowel carcinoma.
Table 2.
Clinical, histopathological and molecular features of small bowel carcinomas according to the subgroup.
Understanding oncogenic pathways of SBC is a need with translational implications in order to better characterise this neoplasm. We here review the current knowledge of CD-SBC and CrD-SBC by highlighting new molecular insights from clinical perspectives, in particular in predicting outcome and response to novel therapeutic options.
2. Epidemiology and Risk Factors
Although small intestine represents the 75% of digestive tract length and the 90% of digestive absorptive surface [28], SBC are relatively rare neoplasms and account for less than 5% of all gastrointestinal cancers [29]. However, they correspond to around 40% of all small bowel malignancies [29]. The estimated incidence of SBC varies between 3250 and 5300 cases per year in the USA [30,31], whereas it is about 3600 annual new cases in Europe [32]. The relative risk of developing SBC in CD and CrD raise 14 and 33 times in comparison to the general population, respectively [33,34]. Amongst all SBC, the 13% and the 7% seem to be associated with CD and CrD, respectively [13,34]. The epidemiological features of SBC differ on the basis of underlying chronic immune-mediated intestinal disorders. The median age at CD-SBC diagnosis has been estimated from 53 to 62 years in American, British, Dutch and Italian patients [2,5,6,13,14], while that at CrD-SBC diagnosis seems to be younger varying from 42 to 53 years in most studies (Table 3) [8,10,11,12,15,16,17,18,19,20,21]. Conversely, in an American large-scale retrospective cohort study, CrD-SBC patients presented at a median age of 72.9 years [22]. Recently, the Small Bowel Cancer Italian Consortium also showed an older median age at CrD-SBC diagnosis, i.e. 59 years [2]. We speculate that this discrepancy might be explained by an older age at CrD diagnosis in the latter cohort (50 years) [2] and by a better clinical management of CrD over the last two decades. Sporadic SBC (spo-SBC) patients generally have a higher median age at diagnosis -between 56.5 and 72.1 years- in comparison to both CD-SBC and CrD-SBC [2,5,10,17,20,22]. Risk factors for CD-SBC and CrD-SBC have not thoroughly investigated. According to the well-established protective effects of adherence to gluten-free diet against neoplastic complications in CD [13,35], we believe that a strict gluten-free diet could also reduce the risk of CD-SBC development. Accordingly, Elfström and colleagues [36] demonstrated that the risk of small bowel malignancies in coeliac patients decreases, though not disappearing, after the first year of follow-up, likely by reducing intestinal inflammation and mucosal damage [37].
Table 3.
Studies on small bowel carcinomas associated with coeliac disease or Crohn’s disease.
However, several CD-SBC have been reported in patients under gluten-free diet; therefore, other factors have to be implicated. Interestingly, the median age at CD diagnosis in patients, who develop SBC, ranges from 49 to 59 years (Table 3) [2,5,6], around two-three decades higher than that of patients with CD not evolving into malignant complications [38]. Thus, the diagnostic delay, a known risk factor for refractory CD and, consequently, for enteropathy-associated T-cell lymphoma [39], has been supposed to play a role in CD-SBC. However, only one SBC case has been hitherto described in association with refractory CD [2], a finding suggesting a different pathogenesis between SBC and enteropathy-associated T-cell lymphoma in CD. Conversely, there is no evidence for a role of diagnostic delay in CrD-SBC development in most studies (Table 3), although diagnostic delay is frequently associated with complicated CrD behavior, such as stricturing and penetrating phenotypes [40]. Risk factors reported for CrD-SBC include a long disease duration, a small bowel involvement, a stricturing phenotype and bypassed segment(s) of small bowel [41]. As regards long disease duration, in a French study involving 1935 patients affected by CrD with small bowel involvement at diagnosis a cumulative risk of SBC has been assessed as 0.2% and 2.2% after 10 and 25 years of follow-up, respectively [17]. Although use of 6-mercaptopurine seemed to be a risk factor for CrD-SBC in an American study including seven cases [42], no medical treatment has been unquestionably found to be associated with SBC in larger cohorts [18,43]. On the other hand, small bowel resection and use of salicylates for more than two years protect against SBC in patients with CrD [18]. As regards gender, the rates of female prevalence are extremely heterogeneous in both CD-SBC (25–62%) [2,5,6,13,14] and CrD-SBC (29–60%) [2,8,10,11,12,15,16,17,18,19,20,21,22] so that it is hard to assess a gender predominance in either conditions. However, considering the strong prevalence of CD in women [4], these data may suggest that male gender is at higher risk to develop CD-SBC.
The incidence of SBC cases as a whole is doubled in African Americans (from 10.2 to 14.1 per 1,000,000) compared to Caucasians (from 4.5 to 7.2 per 1,000,000) [44,45]. Conversely, CrD-SBC have been demonstrated to affect more frequently Caucasians in an American large-scale retrospective study from 1992 to 2010 [22]. Likewise, CD-SBC have been reported exclusively in Caucasians in the only study analyzing ethnic differences in this clinical subgroup [13]. It appears that more extensively investigation of epidemiology and risk factors are needed.
3. Histopathology and Molecular Biology
In general, SBC as a whole show a predominance (52–60%) of glandular-type histology, i.e., adenocarcinoma [7]. Nevertheless, medullary-type cancers have been reported in association with CD-SBC [7,46], whereas poorly cohesive, diffuse-type neoplasms or mixed glandular/diffuse cases are more common in CrD-SBC in comparison to CD-SBC and spo-SBC [7,17]. Most CD-SBC, as well as spo-SBC, express intestinal phenotype markers, i.e. the caudal-related homeobox transcription factor (CDX)2, the goblet cell marker mucin (MUC)2, cytokeratin (CK)20 and/or the small bowel brush border marker CD10, while CrD-SBC often feature a metaplastic gastro-pancreatobiliary phenotype, characterized by positivity for the gastric foveolar marker MUC5AC and/or the pancreatobiliary duct marker CK7 [7,20].
A high density of CD3+ and CD8+ TILs mark CD-SBC, while TILs are generally low in CrD-SBC and spo-SBC [2]. This finding points to a greater host immune response against tumour in CD-SBC in comparison with CrD-SBC and spo-SBC, thus leading to a better clinical outcome described in CD-SBC (Table 3). However, this does not prevent tumour growth, probably due to an increased immune tolerance. In particular, it has been hypothesized that programmed cell death ligand 1 (PD-L1) and programmed cell death protein-1 (PD-1), crucial immune checkpoints aimed at inhibiting and escaping immune surveillance, are also implicated in non-familial SBC as well as in colorectal and gastric cancers with MSI and/or Epstein-Barr Virus (EBV) infection [47,48]. An American study on 42 spo-SBC demonstrated PD-1 expression on intratumoural and peritumoural lymphocytes in most cases, and PD-L1 expression on neoplastic cells and immune cells, mainly histiocytes, in a minority of cases [49]. Our preliminary data showed an association between PD-L1 immunoreactivity and TIL density/MSI status in a series of non-familial SBC, including CD-SBC and CrD-SBC [unpublished data]. To the best of our knowledge, no study investigated clonality of TILs in CD-SBC.
Table 4 shows the studies investigating molecular alteration in the cohorts including at least 5 cases of CD-SBC and/or CrD-SBC. MSI, which is a consequence of defective DNA mismatch repair and is verified by mean of molecular and/or immunohistochemical analysis, is found in around one third of all non-familial SBC with significant differences between CD-SBC (65–73% MSI) [2,5,6], CrD-SBC (0–16% MSI) [2,8,10,11,12], and spo-SBC (9–35%) [2,5,10,23,24] (Table 2 and Table 4). MSI induces the anti-tumour immune response supposed to play a crucial role in sustaining a more favourable outcome in these tumours. Genomic profiling of spo-SBC revealed a series of genetic alteration affecting most commonly TP53 (mutated 58% of cases), KRAS (53.6%), APC (26.8%), SMAD4 (17.4%) and PIK3CA (16%) [50,51]. As regards CD-SBC and CrD-SBC, overexpression of the TP53 gene product has been found in about half of cases in both groups, thus confirming the key role of TP53 alterations in small bowel carcinogenesis [2,8,10], as well as in inflammatory bowel disease-associated colorectal cancers [52]. KRAS mutation, which represents an early change in the adenoma–carcinoma sequence of colorectal cancer, has been also found in 31% of CD-SBC and in 12–43% of CrD-SBC [2,8,10,12,53].
Table 4.
Molecular alterations in small bowel carcinomas associated with coeliac disease or Crohn’s disease.
Promoter hypermethylation of APC has been demonstrated in 73% of CD-SBC, whereas nonsense APC mutations have not been reported in CD-SBC [6]. Likewise, allelic loss of APC gene was rare in CrD-SBC [10]. However, the involvement of Wnt/β-catenin pathway has been observed in most CD-SBC and spo-SBC, as suggested by aberrant nuclear expression of β-catenin [7,54,55]. On the contrary, nuclear translocation of β-catenin has been rarely identified in CrD-SBC [7,8]. To the best of our knowledge, there are no data on SMAD4 mutation frequency in CD-SBC and CrD-SBC. BRAF V600E mutation, which is extremely rare in spo-SBC [54], is also absent in both CD-SBC and CrD-SBC [2,10,11] or detected up to 7% of CrD-SBC in other studies [8,12]. Therefore, unlike colorectal cancer [56,57], BRAF mutation does not seem to play a role in inducing MLH1 gene methylation, a frequent finding in CD-SBC [2,6]. No significant difference has been observed in PIK3CA or NRAS mutation rate amongst CD-SBC, CrD-SBC and spo-SBC [2,8]. In addition, genomic profiling identified potentially targetable genetic alterations in most SBC cases (91%) [50]. Laforest and colleagues [58] found ERBB2/HER2 alterations in 12% of spo-SBC, through mutations (7 cases) or amplifications (3 cases). Our group first described HER2 amplification in two CD-SBC and in two CrD-SBC [2].
4. Pathogenesis and Preneoplastic Lesions
The pathogenesis of non-familial SBC is largely unknown due to their rarity. Although dysplastic lesions adjacent to CD-SBC are remarkably rare [7,14,59], the recurrent presence of dysplasia in the superficial part of CrD-SBC as well as in that of spo-SBC has been identified [7,8,60,61]. In particular, in both CrD-SBC and CD-SBC, dysplasia has been described as either flat or raised [7,8,10,11,12,59]. Dysplasia is distant or adjacent to CrD-SBC [7,8,10,11,12], while no dysplasia distant from SBC has been reported in coeliac patients [7,59].
Overexpression of p53 and retained reactivity for mismatch repair proteins are typical features of dysplasia adjacent to both CD-SBC and CrD-SBC [7]. Of note, loss of MLH1 is rarely identified in dysplasia associated with MSI CD-SBC [7], thus suggesting that MLH1-hypermethylation-related MSI is a late process during CD-SBC carcinogenesis. Moreover, the rare dysplastic foci close to the invasive CD-SBC have been found to express nuclear β-catenin, to be compared to the preserved membranous expression of β-catenin in CrD dysplasia [7]. Thus, Wnt pathway activation seems to be an early event in small bowel carcinogenesis in coeliac patients. In keeping with that, overexpression of the Wnt-related transcription factor and stem cell marker Sex-determining Region Y-Box (SOX) 9 has been observed in hyperplastic crypts of untreated CD patients [62], as well as in CD-SBC tumour cells, in direct continuity with SOX-9+ adjacent dysplastic and hyperplastic crypts (Figure 1) [7]. This finding may suggest a histogenetic link between crypt hyperplasia and CD-SBC. On the contrary, gastropancreatobiliary metaplastic changes have been predominantly observed in dysplastic or non-dysplastic mucosa close to CrD-SBC [7,20]. Although small bowel dysplasia has been reported to have a low sensitivity (33%) at enteroscopy in CrD patients at high risk of SBC [63], the identification of MUC5AC-positive or CK7-positive metaplastic changes at perendoscopic biopsies should lead CrD patients to a strict endoscopic follow-up. Immature crypt hyperplasia and gastropancreatobiliary metaplasia might be regarded as putative preneoplastic lesions, likely able to evolve into dysplasia and carcinoma, in CD and CrD, respectively (Figure 1). Therefore, we speculate that an inflammation-hyperplasia-dysplasia-carcinoma sequence occurs in CD-SBC development, whereas an inflammation-metaplasia-dysplasia-carcinoma sequence takes place in CrD-SBC pathogenesis. Additional extensive and prospective studies are necessary to confirm such models of cancerogenesis in order to recognise initial preneoplastic lesions, which may aid in early cancer diagnosis.
Figure 1.
Schematic representation of the pathogenic mechanisms underlying small bowel carcinomas associated with chronic intestinal disorders. In coeliac disease villous atrophy induces crypt hyperplasia, characterised by increased intraepithelial lymphocytes (IEL) similarly to atrophic epithelium. Nuclear Sex-determining Region Y-Box (SOX)-9-positive immature hyperplastic crypts evolve into flat nuclear β-catenin-positive dysplasia, thus leading to coeliac disease-associated carcinoma (CD-SBC). CD-SBC is associated with microsatellite instability (MSI) and high number of tumour-infiltrating lymphocytes (TIL). In Crohn’s disease gastric (MUC5AC+)/pancreatobiliary (CK7+) metaplasia evolves into dysplastic polypoid growth, which lastly becomes Crohn’s disease-associated carcinoma (CrD-SBC). CrD-SBC is almost always microsatellite stable (MSS).
Lytic phase of EBV infection is a frequent event in inflammatory bowel disease, especially in patients who have overused immunomodulators, in particular corticosteroids [64]. Recently, latent phase of EBV infection, known to have a crucial role in gastroesophageal EBV carcinogenesis [65], has been documented in two microsatellite-stable T-cell rich CrD-SBC [25,26]. In both cases EBV has been also found in dysplastic lesions associated with CrD-SBC and in small foci of iuxta-tumoural epithelium apparently in the absence of dysplasia [25,26]. On this basis we support that rarely EBV latent infection might be a very early, crucial event during carcinogenesis in those patients. Up-to-now, no latent infection with EBV has been found in CD-SBC, while EBV does not seem to be involved in the pathogenesis of spo-SBC, as supported by its absence in a cohort of 56 spo-SBC [27].
5. Clinical Presentation and Diagnosis
Duration of the underlying immune-mediated disorder prior to SBC diagnosis differs (Table 3). CD-SBC presented after a median of 1.4–17 years from CD diagnosis comparing to 7–25.2 years from CrD diagnosis in CrD-SBC in studies with the most numerous cohorts of patients with CD-SBC and CrD-SBC, respectively [2,6,8,10,13,14,15,16,17,18,19,20,21]. Notwithstanding, SBC might be diagnosed in a few cases at the same time of underlying inflammatory disorder for both CD and CrD [2,6,10,11,14,17,18,21]. The clinical spectrum of SBC at onset is wide and related to bleeding with subsequent anaemia, positive fecal occult blood test, melena or coffee ground vomiting, to obstruction with symptoms of nausea, vomiting, abdominal pain and unexplained weight loss, or to intussusception and perforation in the locally advanced lesions [1].
In patients with a known diagnosis of CD any of the aforementioned symptoms apart from an isolated anaemia should raise the suspicion for SBC. When concomitant diarrhoea and fever are present, first of all enteropathy-associated T-cell lymphoma has to be ruled out [39], Similarly, in the presence of diarrhoea and intestinal obstruction, ulcerative jejuno-ileitis has to be considered [4]. Once CD-SBC is suspected, an upper endoscopy is recommended in coeliac patients in order to find and sample the lesion, if it is located proximally to the ligament of Treitz (Figure 2). However, as most CD-SBC are jejunal, further diagnostic tests, such as device-assisted enteroscopy, computed tomography enterography and magnetic resonance enterography, are usually needed [66]. Conversely, capsule endoscopy should not be indicated in symptomatic patients with SBC due to its several limitations, including the impossibility to take biopsies for histologic diagnosis and the risk of capsule retention and of missing SBC, in particular in case of proximal site.
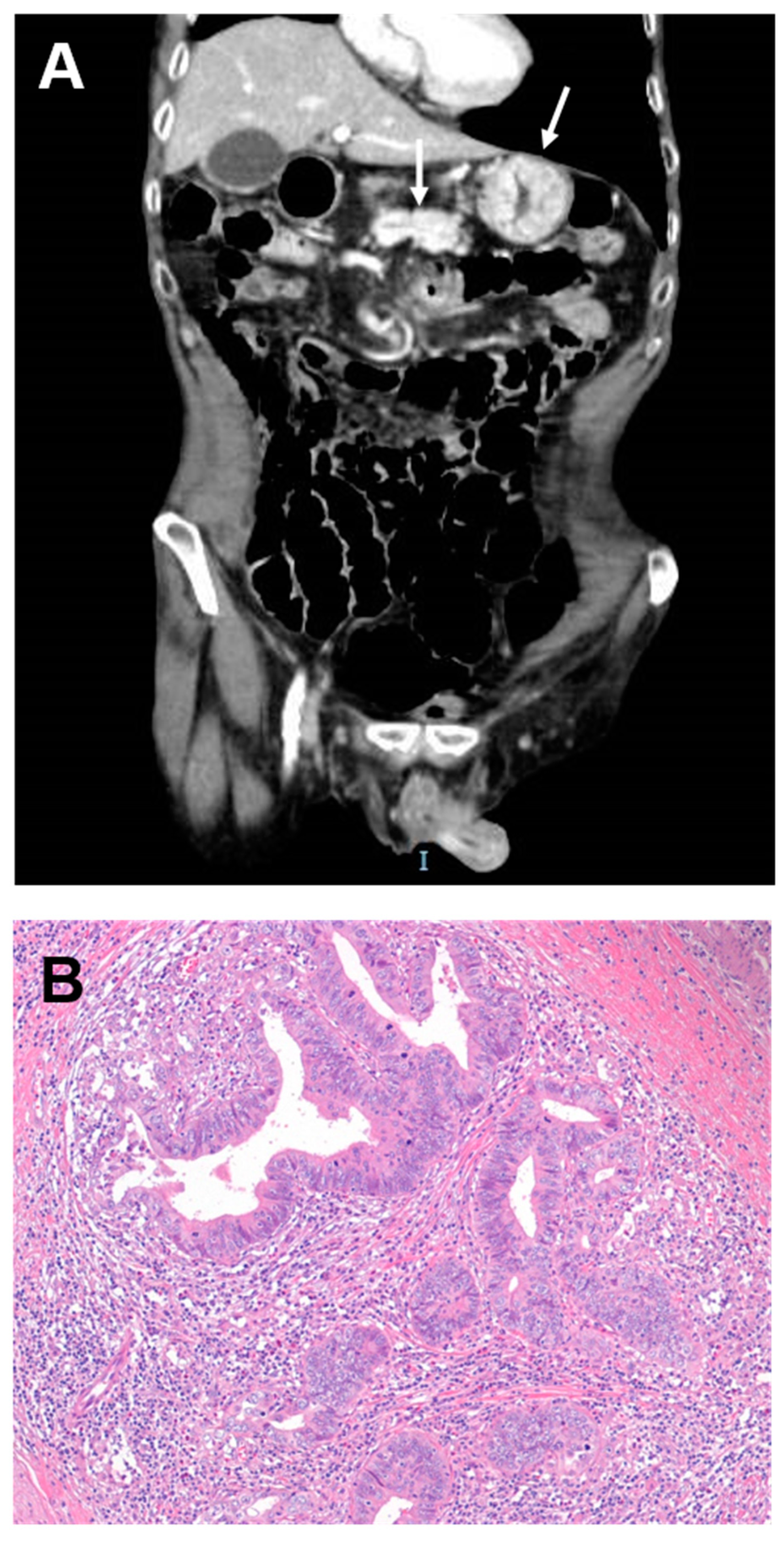
Figure 2.
(A,B) Radiologic and histologic images of a coeliac disease-associated small bowel carcinoma. (A) Computed tomography shows a circumferential mass with shouldered borders causing the wall thickening in the duodenum (arrows). (B) Haematoxylin and eosin staining shows a glandular-type carcinoma with a high tumour-infiltrating lymphocyte density. Original magnification: 100×.
In patients with a known diagnosis of CrD, obstruction is more likely expected to be the manifestation of fibrostenosing behaviour [67]. Likewise, anaemia and positive fecal occult blood test are generally related to active phases of CrD [68]. Therefore, apart from acute bleeding, all the other symptoms of SBC are hard to discriminate from a relapse of CrD [69]. This accounts for the fact that most diagnoses of CrD-SBC are made during the surgery or even post-operatively by the pathologist [70]. Failure to respond to anti-inflammatory therapies could not be considered per se an indicator of CrD-SBC, as it frequently occurs in CrD with intestinal strictures without an inflammatory component [67]. On the other hand, the onset of obstructive symptoms and anaemia in a patient with longstanding quiescent CrD should raise the suspicion for SBC [19]. Ileocolonoscopy is a diagnostic tool only in CrD-SBC located in the last tract of terminal ileum. Otherwise, as nearly all CrD-SBC are located more proximally, retrograde per anal device-assisted enteroscopy is the best tool to identify and biopsy CrD-SBC. Computed tomography enterography and magnetic resonance enterography might help in finding the correct SBC site prior to enteroscopy or laparoscopic surgery [21]. However, computed tomography enterography and magnetic resonance enterography are highly suggestive of CrD-SBC only in a minority of cases showing small bowel mass with localized lymphadenopathy and/or evidence of distant spread, such as liver metastasis or peritoneal carcinomatosis [10,21]. However, the assessment of imaging data by a radiologist specialized in gastrointestinal system could improve the identification of CrD-SBC-related features, including annular mass, nodularity at the extraluminal margins of mass and perforation [21].
In the absence of familial adenomatous polyposis, Lynch syndrome, Peutz-Jeghers syndrome and juvenile polyposis syndrome, both CD and CrD should be considered in any patient with SBC diagnosis.
6. Prognosis and Treatment
SBC prognosis is generally poorer than that of colorectal carcinoma [71]. This finding seems true even in CrD patients, in whom SBC have been found to be more aggressive than large bowel cancers [15]. In an American retrospective study, which enrolled 491 SBC mostly spo-SBC, but also CD-SBC (n = 13), CrD-SBC (n = 23) and SBC associated with familial adenomatous polyposis (n = 10), the median overall survival time was 20.1 months, with a 5-year overall survival rate of 26% [72]. The primary reason for this bad outcome is that patients are often asymptomatic until late disease, and metastases are often already present at SBC diagnosis. Tumour stage has been considered the single most important prognostic factor in all SBC [72]. Poor prognosis is also associated with further factors, such as poor differentiation, positive margins, duodenal site, male gender, black ethnicity and older age at SBC diagnosis [31]. High positive lymph nodes-to-total lymph node ratio and a low number of assessed lymph nodes have been correlated with a reduced survival [72,73,74].
However, overall survival significantly differs between patients with CD-SBC and those with CrD-SBC (Table 3). In particular, the predisposing chronic immune-mediated intestinal disorder, i.e., CD or CrD, has been demonstrated to be a stage-independent prognostic factor in patients undergoing surgery for SBC in the largest study systematically comparing CD-SBC, CrD-SBC and spo-SBC [2]. Five-year overall survival rate is relatively high in CD-SBC, i.e., 64.2% and 83% in an American study and in an Italian study recruiting 17 and 26 patients, respectively [2,5]. Conversely, five-year overall survival rate appears to be worse in CrD-SBC patients, ranging from 26% to 38%, in French, Danish and Italian studies [2,12,17]. In keeping with that, two-year overall survival in CrD-SBC has been reported to be 52% and 56% in an American study and in a French study, respectively [10,21], even lower than five-year overall survival in CD-SBC. Overall survival has been found to be more favourable in CD-SBC in comparison with spo-SBC [2,5], whereas no survival difference has been demonstrated between CrD-SBC and spo-SBC [2,10,17,22]. However, in the large study by Wieghard and colleagues [22] patients with CrD-SBC were diagnosed at an earlier stage (I/II) compared with spo-SBC (55% vs. 32%, p < 0.0001) and were more likely to undergo surgery (81% vs. 72%, p = 0.0016).
Independently of the clinical group, CD or CrD, prognostic factors for SBC include stage, tumour histotype and high TIL density [2,7]. Tumour histology by itself is clinically relevant, as it has been shown how diffuse-, mixed- and solid-types cumulatively considered tend to have a worse prognosis compared to glandular-type and medullary-type cancers [7,46]. Amongst prognostic factors within the CD-SBC group, both MSI and high TILs have been also identified and they correlate one each other [2]. However, only TIL density retains a prognostic power in a multivariable model, presumably due to the fact that several high-TIL SBC showing a good prognosis miss MSI [2]. High TILs in SBC can be induced by additional factors besides MSI status, such as oncogenic viruses. As these regards, it is interesting to note that two non-MSI high-TIL SBC with EBV latent infection described in CrD seem to be associated with a favourable outcome [25,26], probably due to the anti-tumour immune response induced by abnormal peptide production from EBV. Therefore, although these findings need to be confirmed by further evidence, EBV latent infection should be considered in CrD-SBC for a better prognostic evaluation.
Currently, therapies for CD-SBC and CrD-SBC largely derive from recommendations for spo-SBC [75]. Surgery is the mainstay of curative treatment for SBC without distant metastasis (M0), whose possible benefits from adjuvant chemotherapy are controversial [1]. Surgical resection with suitable lymph node sampling is necessary for long-term survival in resectable SBC. Surgery is the only curative therapy for SBC at stage I, whereas it should be followed by adjuvant chemotherapy, such as FOLFOX4 or LV5FU2 or oral fluoropyrimidine for SBC at stage II or III [75]. Systemic chemotherapy is the treatment for non-resectable or metastatic SBC, namely those at stage IV [75]. Several molecular alterations may suggest the response to novel therapies. In particular, KRAS wild-type mutational status has been demonstrated to predict responsiveness to anti-epidermal growth factor receptor monoclonal antibodies cetuximab and panitumumab alone or combined with chemotherapy in metastatic SBC in several case reports [76,77]. Conversely, a recent phase 2 clinical trial of panitumumab showed no response rate of this drug in nine patients with metastatic KRAS wild-type SBC, of which one was associated to inflammatory bowel disease and two to Lynch syndrome [78]. In particular, in this trial seven patients had a progression of SBC, whereas the remaining two ones showed stable SBC [78]. It has been hypothesized that SBC, as well as right-sided colon carcinomas, benefit less from anti-epidermal growth factor receptor agents than left-sided colon carcinomas due to their distinct embryologic origin, namely midgut for SBC and right-sided colon carcinomas and hindgut for left-sided colon carcinomas [78,79]. Although HER2 amplification is rare in CD-SBC and CrD-SBC [2], it is worth being investigated as a potential therapeutic target of anti-HER2 receptor monoclonal antibody trastuzumab [58,80]. Expression of PD-L1 on tumoural and immune cells in SBC should encourage clinical trials aimed at assessing efficacy of anti-PD-L1 monoclonal antibodies avelumab and atezolizumab [49]. In that regard, an open-label phase 2 clinical trial of avelumab is underway in advanced and metastatic SBC [81]. Likewise, an open-label phase 2 clinical trial has been investigating the efficacy of atezolizumab in combination with MEK inhibitor cobimetinib in advanced rare neoplasms, including SBC [82]. The use of anti-PD-1 monoclonal antibodies pembrolizumab and nivolumab might be appropriate in a subset of metastatic MSI SBC [83]. Currently, an open-label phase 2 clinical trial of pembrolizumab is ongoing in non-resectable metastatic or locally advanced SBC [84]. In addition, pembrolizumab has been testing in a large phase 1b clinical trial together with the Hsp90 inhibitor XL888, which inhibits Hsp90 chaperone function and promotes the proteasomal degradation of several oncogenic signaling proteins, such as Her-2 and Met [85]. This trial was designed for many advanced gastrointestinal neoplasms, including SBC too, in order to identify the recommended phase 2 dose for the combination of XL888 and pembrolizumab [85]. Another clinical trial has been assessing response to nivolumab plus the anti-CTLA-4 monoclonal antibody ipilimumab combination immunotherapy in patients with advanced rare neoplasms, including SBC [86]. Briefly, immunotherapy has been changing the therapeutic scenario in several solid tumours, in particular PD-1/PD-L1 pathway blockade should be considered in advanced MSI SBC, as mismatch repair deficiency has been demonstrated to predict response to anti-PD-1 antibodies in eleven types of solid tumours, including SBC [87].
7. Conclusions and Perspectives
It is well-known that chronic inflammation plays a pivotal role in the carcinogenesis of gastrointestinal tract. Although both CD and CrD are disorders sustained by T helper 1 and 17 immune responses, the outstanding differences between CD-SBC and CrD-SBC are remarkable. However, the pathogenic mechanisms underlying CD and CrD show substantial discrepancies regarding immune cell types and pro-inflammatory cytokines implicated. Up-to-now, no surveillance programme has been identified for this uncommmon neoplastic complication in patients with CD or CrD. CD-SBC patients harbour MSI and high TIL more frequently and show a better outcome than CrD-SBC. This seems mainly due to their higher TIL density, which at multivariable analysis showed an independent prognostic value. The prognostic power of histologic structure was independent of the clinical groups, while the non-intestinal phenotype associated with poor outcome was dominant among CrD-SBC. Immature crypt hyperplasia and gastropancreatobiliary metaplasia appear to be putative preneoplastic lesions, likely able to evolve into dysplasia and carcinoma, in CD and CrD, respectively. However, it remains to be investigated as whether these two potential histogenetic factors can be exploited in clinical studies aiming to diagnose cancer at an early, even preneoplastic, stage. EBV latent infection should be considered in SBC irrespective of their histologic type, in light of the better prognosis of the only two EBV+ CrD-SBC cases reported so far [25,26]. Briefly, regardless of clinical groups MSI/TIL status, KRAS mutations, HER2 amplification, PD-L1, and PD-1 expression might help in stratifying patients for targeted anti-cancer therapy in patients with SBC. Although large-scale phase 3 randomized clinical trials are hard to perform due to SBC rarity, novel clinical trial designs and multi-institutional collaborations are crucial to improve management of patients with this orphan cancer.
Author Contributions
Conceptualisation, A.D.S.; Original draft preparation, P.G. and A.V.; Writing—review and editing, P.G., A.V., G.A., A.B., E.S. and A.D.S.; Supervision, O.L., E.S., G.R.C., M.P. and A.D.S.; Fund raising: O.L. All authors approved the final report.
Funding
The APC was funded by San Matteo Hospital Foundation, Pavia, Italy. This research received no external funding.
Conflicts of Interest
The authors declare no conflict of interest.
References
- Raghav, K.; Overman, M.J. Small bowel adenocarcinomas—Existing evidence and evolving paradigms. Nat. Rev. Clin. Oncol. 2013, 10, 534–544. [Google Scholar] [CrossRef] [PubMed]
- Vanoli, A.; Di Sabatino, A.; Furlan, D.; Klersy, C.; Grillo, F.; Fiocca, R.; Mescoli, C.; Rugge, M.; Nesi, G.; Fociani, P.; et al. Small Bowel Carcinomas in Coeliac or Crohn’s Disease: Clinico-pathological, Molecular, and Prognostic Features. A Study from the Small Bowel Cancer Italian Consortium. J. Crohns Colitis 2017, 11, 942–953. [Google Scholar] [CrossRef] [PubMed]
- Di Sabatino, A.; Lenti, M.V.; Giuffrida, P.; Vanoli, A.; Corazza, G.R. New insights into immune mechanisms underlying autoimmune diseases of the gastrointestinal tract. Autoimmun. Rev. 2015, 14, 1161–1169. [Google Scholar] [CrossRef] [PubMed]
- Di Sabatino, A.; Corazza, G.R. Coeliac disease. Lancet 2009, 373, 1480–1493. [Google Scholar] [CrossRef]
- Potter, D.D.; Murray, J.A.; Donohue, J.H.; Burgart, L.J.; Nagorney, D.M.; van Heerden, J.A.; Plevak, M.F.; Zinsmeister, A.R.; Thibodeau, S.N. The role of defective mismatch repair in small bowel adenocarcinoma in celiac disease. Cancer Res. 2004, 64, 7073–7077. [Google Scholar] [CrossRef] [PubMed]
- Diosdado, B.; Buffart, T.E.; Watkins, R.; Carvalho, B.; Ylstra, B.; Tijssen, M.; Bolijn, A.S.; Lewis, F.; Maude, K.; Verbeke, C.; et al. High-resolution array comparative genomic hybridization in sporadic and celiac disease-related small bowel adenocarcinomas. Clin. Cancer Res. 2010, 16, 1391–1401. [Google Scholar] [CrossRef]
- Vanoli, A.; Di Sabatino, A.; Martino, M.; Klersy, C.; Grillo, F.; Mescoli, C.; Nesi, G.; Volta, U.; Fornino, D.; Luinetti, O.; et al. Small bowel carcinomas in celiac or Crohn’s disease: Distinctive histophenotypic, molecular and histogenetic patterns. Mod. Pathol. 2017, 30, 1453–1466. [Google Scholar] [CrossRef]
- Svrcek, M.; Piton, G.; Cosnes, J.; Beaugerie, L.; Vermeire, S.; Geboes, K.; Lemoine, A.; Cervera, P.; El-Murr, N.; Dumont, S.; et al. Small bowel adenocarcinomas complicating Crohn’s disease are associated with dysplasia: A pathological and molecular study. Inflamm. Bowel Dis. 2014, 20, 1584–1592. [Google Scholar] [CrossRef]
- Giuffrida, P.; Corazza, G.R.; Di Sabatino, A. Old and New Lymphocyte Players in Inflammatory Bowel Disease. Dig. Dis. Sci. 2018, 63, 277–288. [Google Scholar] [CrossRef]
- Grolleau, C.; Pote, N.M.; Guedj, N.S.; Zappa, M.; Theou-Anton, N.; Bouhnik, Y.; Panis, Y.; Cazals-Hatem, D.L. Small bowel adenocarcinoma complicating Crohn’s disease: A single-centre experience emphasizing the importance of screening for dysplasia. Virchows Arch. 2017, 471, 611–617. [Google Scholar] [CrossRef]
- Rashid, A.; Hamilton, S.R. Genetic alterations in sporadic and Crohn’s-associated adenocarcinomas of the small intestine. Gastroenterology 1997, 113, 127–135. [Google Scholar] [CrossRef]
- Bojesen, R.D.; Riis, L.B.; Høgdall, E.; Nielsen, O.H.; Jess, T. Inflammatory Bowel Disease and Small Bowel Cancer Risk, Clinical Characteristics, and Histopathology: A Population-Based Study. Clin. Gastroenterol. Hepatol. 2017, 15, 1900–1907. [Google Scholar] [CrossRef] [PubMed]
- Howdle, P.D.; Jalal, P.K.; Holmes, G.K.; Houlston, R.S. Primary small-bowel malignancy in the UK and its association with coeliac disease. QJM 2003, 96, 345–353. [Google Scholar] [CrossRef] [PubMed]
- Bruno, C.J.; Batts, K.P.; Ahlquist, D.A. Evidence against flat dysplasia as a regional field defect in small bowel adenocarcinoma associated with celiac sprue. Mayo Clin. Proc. 1997, 72, 320–322. [Google Scholar] [CrossRef] [PubMed]
- Michelassi, F.; Testa, G.; Pomidor, W.J.; Lashner, B.A.; Block, G.E. Adenocarcinoma complicating Crohn’s disease. Dis. Colon Rectum 1993, 36, 654–661. [Google Scholar] [CrossRef] [PubMed]
- Sigel, J.E.; Petras, R.E.; Lashner, B.A.; Fazio, V.W.; Goldblum, J.R. Intestinal adenocarcinoma in Crohn’s disease: A report of 30 cases with a focus on coexisting dysplasia. Am. J. Surg. Pathol. 1999, 23, 651–655. [Google Scholar] [CrossRef]
- Palascak-Juif, V.; Bouvier, A.M.; Cosnes, J.; Flourié, B.; Bouché, O.; Cadiot, G.; Lémann, M.; Bonaz, B.; Denet, C.; Marteau, P.; et al. Small bowel adenocarcinoma in patients with Crohn’s disease compared with small bowel adenocarcinoma de novo. Inflamm. Bowel Dis. 2005, 11, 828–832. [Google Scholar] [CrossRef]
- Piton, G.; Cosnes, J.; Monnet, E.; Beaugerie, L.; Seksik, P.; Savoye, G.; Cadiot, G.; Flourie, B.; Capelle, P.; Marteau, P.; et al. Risk factors associated with small bowel adenocarcinoma in Crohn’s disease: A case-control study. Am. J. Gastroenterol. 2008, 103, 1730–1736. [Google Scholar] [CrossRef]
- Widmar, M.; Greenstein, A.J.; Sachar, D.B.; Harpaz, N.; Bauer, J.J.; Greenstein, A.J. Small bowel adenocarcinoma in Crohn’s disease. J. Gastrointest. Surg. 2011, 15, 797–802. [Google Scholar] [CrossRef]
- Whitcomb, E.; Liu, X.; Xiao, S.Y. Crohn enteritis-associated small bowel adenocarcinomas exhibit gastric differentiation. Hum. Pathol. 2014, 45, 359–367. [Google Scholar] [CrossRef]
- Weber, N.K.; Fletcher, J.G.; Fidler, J.L.; Barlow, J.M.; Pruthi, S.; Loftus, E.V., Jr.; Pardi, D.S.; Smyrk, T.C.; Becker, B.D.; Pasha, S.F.; et al. Clinical characteristics and imaging features of small bowel adenocarcinomas in Crohn’s disease. Abdom. Imaging 2015, 40, 1060–1067. [Google Scholar] [CrossRef] [PubMed]
- Wieghard, N.; Mongoue-Tchokote, S.; Young, J.I.; Sheppard, B.C.; Tsikitis, V.L. Prognosis of small bowel adenocarcinoma in Crohn’s disease compares favourably with de novo small bowel adenocarcinoma. Colorectal. Dis. 2017, 19, 446–455. [Google Scholar] [CrossRef] [PubMed]
- Warth, A.; Kloor, M.; Schirmacher, P.; Bläker, H. Genetics and epigenetics of small bowel adenocarcinoma: The interactions of CIN, MSI, and CIMP. Mod. Pathol. 2011, 24, 564–570. [Google Scholar] [CrossRef] [PubMed]
- Overman, M.J.; Pozadzides, J.; Kopetz, S.; Wen, S.; Abbruzzese, J.L.; Wolff, R.A.; Wang, H. Immunophenotype and molecular characterisation of adenocarcinoma of the small intestine. Br. J. Cancer 2010, 102, 144–150. [Google Scholar] [CrossRef] [PubMed]
- Vanoli, A.; Di Sabatino, A.; Biancone, L.; Martino, M.; Macciomei, M.C.; Zorzi, F.; Pallone, F.; Solcia, E.; Corazza, G.R. Small bowel Epstein-Barr virus-positive lympho-epithelioma-like carcinoma in Crohn’s disease. Histopathology 2017, 70, 837–839. [Google Scholar] [CrossRef] [PubMed]
- Vanoli, A.; Di Sabatino, A.; Martino, M.; Dallera, E.; Furlan, D.; Mescoli, C.; Macciomei, M.C.; Biancone, L.; Neri, B.; Grillo, F.; et al. Epstein-Barr virus-positive ileal carcinomas associated with Crohn’s disease. Virchows Arch. 2017, 471, 549–552. [Google Scholar] [CrossRef] [PubMed]
- Von Rahden, B.H.; Langner, C.; Brücher, B.L.; Stein, H.J.; Sarbia, M. No association of primary adenocarcinomas of the small bowel with Epstein-Barr virus infection. Mol. Carcinog. 2006, 45, 349–352. [Google Scholar] [CrossRef] [PubMed]
- DeSesso, J.M.; Jacobson, C.F. Anatomical and physiological parameters affecting gastrointestinal absorption in humans and rats. Food Chem. Toxicol. 2001, 39, 209–228. [Google Scholar] [CrossRef]
- Aparicio, T.; Zaanan, A.; Svrcek, M.; Laurent-Puig, P.; Carrere, N.; Manfredi, S.; Locher, C.; Afchain, P. Small bowel adenocarcinoma: Epidemiology, risk factors, diagnosis and treatment. Dig. Liver Dis. 2014, 46, 97–104. [Google Scholar] [CrossRef] [PubMed]
- Kummar, S.; Ciesielski, T.E.; Fogarasi, M.C. Management of small bowel adenocarcinoma. Oncology 2002, 16, 1364–1369. [Google Scholar]
- Bilimoria, K.Y.; Bentrem, D.J.; Wayne, J.D.; Ko, C.Y.; Bennett, C.L.; Talamonti, M.S. Small bowel cancer in the United States: Changes in epidemiology, treatment, and survival over the last 20 years. Ann. Surg. 2009, 249, 63–71. [Google Scholar] [CrossRef] [PubMed]
- Faivre, J.; Trama, A.; De Angelis, R.; Elferink, M.; Siesling, S.; Audisio, R.; Bosset, J.F.; Cervantes, A.; Lepage, C.; RARECARE Working Group. Incidence, prevalence and survival of patients with rare epithelial digestive cancers diagnosed in Europe in 1995–2002. Eur. J. Cancer 2012, 48, 1417–1424. [Google Scholar] [CrossRef] [PubMed]
- Han, Y.; Chen, W.; Li, P.; Ye, J. Association Between Coeliac Disease and Risk of Any Malignancy and Gastrointestinal Malignancy: A Meta-Analysis. Medicine 2015, 94, e1612. [Google Scholar] [CrossRef] [PubMed]
- Canavan, C.; Abrams, K.R.; Mayberry, J. Meta-analysis: Colorectal and small bowel cancer risk in patients with Crohn’s disease. Aliment. Pharmacol. Ther. 2006, 23, 1097–1104. [Google Scholar] [CrossRef] [PubMed]
- Silano, M.; Volta., U.; Vincenzi, A.D.; Dessì, M.; Vincenzi, M.D.; Collaborating Centers of the Italian Registry of the Complications of Coeliac Disease. Effect of a gluten-free diet on the risk of enteropathy-associated T-cell lymphoma in celiac disease. Dig. Dis. Sci. 2008, 53, 972–976. [Google Scholar] [CrossRef] [PubMed]
- Elfström, P.; Granath, F.; Ye, W.; Ludvigsson, J.F. Low risk of gastrointestinal cancer among patients with celiac disease, inflammation, or latent celiac disease. Clin. Gastroenterol. Hepatol. 2012, 10, 30–36. [Google Scholar] [CrossRef] [PubMed]
- Mukherjee, R.; Kelly, C.P.; Leffler, D.A. Gastrointestinal cancer in celiac disease: “The first days are the hardest days, don’t you worry anymore?”. Clin. Gastroenterol. Hepatol. 2012, 10, 4–6. [Google Scholar] [CrossRef]
- Silano, M.; Volta, U.; Mecchia, A.M.; Dessì, M.; Di Benedetto, R.; De Vincenzi, M.; Collaborating Centers of the Italian Registry of the Complications of Coeliac Disease. Delayed diagnosis of coeliac disease increases cancer risk. BMC Gastroenterol. 2007, 7, 8. [Google Scholar] [CrossRef]
- Di Sabatino, A.; Biagi, F.; Gobbi, P.G.; Corazza, G.R. How I treat enteropathy-associated T-cell lymphoma. Blood 2012, 119, 2458–2468. [Google Scholar] [CrossRef]
- Cantoro, L.; Di Sabatino, A.; Papi, C.; Margagnoni, G.; Ardizzone, S.; Giuffrida, P.; Giannarelli, D.; Massari, A.; Monterubbianesi, R.; Lenti, M.V.; et al. The Time Course of Diagnostic Delay in Inflammatory Bowel Disease Over the Last Sixty Years: An Italian Multicentre Study. J. Crohns Colitis 2017, 11, 975–980. [Google Scholar] [CrossRef]
- Cahill, C.; Gordon, P.H.; Petrucci, A.; Boutros, M. Small bowel adenocarcinoma and Crohn’s disease: Any further ahead than 50 years ago? World J. Gastroenterol. 2014, 20, 11486–11495. [Google Scholar] [CrossRef] [PubMed]
- Lashner, B.A. Risk factors for small bowel cancer in Crohn’s disease. Dig. Dis. Sci. 1992, 37, 1179–1184. [Google Scholar] [CrossRef]
- Solem, C.A.; Harmsen, W.S.; Zinsmeister, A.R.; Loftus, E.V., Jr. Small intestinal adenocarcinoma in Crohn’s disease: A case-control study. Inflamm. Bowel Dis. 2004, 10, 32–35. [Google Scholar] [CrossRef]
- Schottenfeld, D.; Beebe-Dimmer, J.L.; Vigneau, F.D. The epidemiology and pathogenesis of neoplasia in the small intestine. Ann. Epidemiol. 2009, 19, 58–69. [Google Scholar] [CrossRef] [PubMed]
- Goodman, M.T.; Matsuno, R.K.; Shvetsov, Y.B. Racial and ethnic variation in the incidence of small-bowel cancer subtypes in the United States, 1995–2008. Dis. Colon Rectum 2013, 56, 441–448. [Google Scholar] [CrossRef] [PubMed]
- Brcic, I.; Cathomas, G.; Vanoli, A.; Jilek, K.; Giuffrida, P.; Langner, C. Medullary carcinoma of the small bowel. Histopathology 2016, 69, 136–140. [Google Scholar] [CrossRef]
- Rosenbaum, M.W.; Bledsoe, J.R.; Morales-Oyarvide, V.; Huynh, T.G.; Mino-Kenudson, M. PD-L1 expression in colorectal cancer is associated with microsatellite instability, BRAF mutation, medullary morphology and cytotoxic tumor-infiltrating lymphocytes. Mod. Pathol. 2016, 29, 1104–1112. [Google Scholar] [CrossRef]
- De Rosa, S.; Sahnane, N.; Tibiletti, M.G.; Magnoli, F.; Vanoli, A.; Sessa, F.; Chiaravalli, A.M. EBV⁺ and MSI Gastric Cancers Harbor High PD-L1/PD-1 Expression and High CD8⁺ Intratumoral Lymphocytes. Cancers 2018, 10, 102. [Google Scholar] [CrossRef]
- Thota, R.; Gonzalez, R.S.; Berlin, J.; Cardin, D.B.; Shi, C. Could the PD-1 Pathway Be a Potential Target for Treating Small Intestinal Adenocarcinoma? Am. J. Clin. Pathol. 2017, 148, 208–214. [Google Scholar] [CrossRef]
- Schrock, A.B.; Devoe, C.E.; McWilliams, R.; Sun, J.; Aparicio, T.; Stephens, P.J.; Ross, J.S.; Wilson, R.; Miller, V.A.; Ali, S.M.; et al. Genomic Profiling of Small-Bowel Adenocarcinoma. JAMA Oncol. 2017, 3, 1546–1553. [Google Scholar] [CrossRef]
- Aparicio, T.; Svrcek, M.; Zaanan, A.; Beohou, E.; Laforest, A.; Afchain, P.; Mitry, E.; Taieb, J.; Di Fiore, F.; Gornet, J.M.; et al. Small bowel adenocarcinoma phenotyping, a clinicobiological prognostic study. Br. J. Cancer 2013, 109, 3057–3066. [Google Scholar] [CrossRef] [PubMed]
- Yaeger, R.; Shah, M.A.; Miller, V.A.; Kelsen, J.R.; Wang, K.; Heins, Z.J.; Ross, J.S.; He, Y.; Sanford, E.; Yantiss, R.K.; et al. Genomic Alterations Observed in Colitis-Associated Cancers Are Distinct from Those Found in Sporadic Colorectal Cancers and Vary by Type of Inflammatory Bowel Disease. Gastroenterology 2016, 151, 278–287. [Google Scholar] [CrossRef] [PubMed]
- Younes, N.; Fulton, N.; Tanaka, R.; Wayne, J.; Straus, F.H., 2nd; Kaplan, E.L. The presence of K-12 ras mutations in duodenal adenocarcinomas and the absence of ras mutations in other small bowel adenocarcinomas and carcinoid tumors. Cancer 1997, 79, 1804–1808. [Google Scholar] [CrossRef]
- Bläker, H.; Helmchen, B.; Bönisch, A.; Aulmann, S.; Penzel, R.; Otto, H.F.; Rieker, R.J. Mutational activation of the RAS-RAF-MAPK and the Wnt pathway in small intestinal adenocarcinomas. Scand. J. Gastroenterol. 2004, 39, 748–753. [Google Scholar] [CrossRef] [PubMed]
- Lee, H.J.; Lee, O.J.; Jang, K.T.; Bae, Y.K.; Chung, J.Y.; Eom, D.W.; Kim, J.M.; Yu, E.; Hong, S.M. Combined loss of E-cadherin and aberrant β-catenin protein expression correlates with a poor prognosis for small intestinal adenocarcinomas. Am. J. Clin. Pathol. 2013, 139, 167–176. [Google Scholar] [CrossRef]
- Fang, M.; Ou, J.; Hutchinson, L.; Green, M.R. The BRAF oncoprotein functions through the transcriptional repressor MAFG to mediate the CpG Island Methylator phenotype. Mol. Cell. 2014, 55, 904–915. [Google Scholar] [CrossRef]
- Serra, R.W.; Fang, M.; Park, S.M.; Hutchinson, L.; Green, M.R. A KRAS-directed transcriptional silencing pathway that mediates the CpG island methylator phenotype. Elife 2014, 3, e02313. [Google Scholar] [CrossRef]
- Laforest, A.; Aparicio, T.; Zaanan, A.; Silva, F.P.; Didelot, A.; Desbeaux, A.; Le Corre, D.; Benhaim, L.; Pallier, K.; Aust, D.; et al. ERBB2 gene as a potential therapeutic target in small bowel adenocarcinoma. Eur. J. Cancer 2014, 50, 1740–1746. [Google Scholar] [CrossRef]
- Rampertab, S.D.; Forde, K.A.; Green, P.H. Small bowel neoplasia in coeliac disease. Gut 2003, 52, 1211–1214. [Google Scholar] [CrossRef]
- Perzin, K.H.; Bridge, M.F. Adenomas of the small intestine: A clinicopathologic review of 51 cases and a study of their relationship to carcinoma. Cancer 1981, 48, 799–819. [Google Scholar] [CrossRef]
- Genta, R.M.; Feagins, L.A. Advanced precancerous lesions in the small bowel mucosa. Best. Pract. Res. Clin. Gastroenterol. 2013, 27, 225–233. [Google Scholar] [CrossRef] [PubMed]
- Senger, S.; Sapone, A.; Fiorentino, M.R.; Mazzarella, G.; Lauwers, G.Y.; Fasano, A. Celiac Disease Histopathology Recapitulates Hedgehog Downregulation, Consistent with wound Healing Processes Activation. PLoS ONE 2015, 10, e0144634. [Google Scholar] [CrossRef] [PubMed]
- Simon, M.; Cosnes, J.; Gornet, J.M.; Seksik, P.; Stefanescu, C.; Blain, A.; Pariente, B.; Nancey, S.; Vuitton, L.; Nachury, M.; et al. Endoscopic Detection of Small Bowel Dysplasia and Adenocarcinoma in Crohn’s Disease: A Prospective Cohort-Study in High-Risk Patients. J. Crohns Colitis 2017, 11, 47–52. [Google Scholar] [CrossRef] [PubMed]
- Ciccocioppo, R.; Racca, F.; Scudeller, L.; Piralla, A.; Formagnana, P.; Pozzi, L.; Betti, E.; Vanoli, A.; Riboni, R.; Kruzliak, P.; et al. Differential cellular localization of Epstein-Barr virus and human cytomegalovirus in the colonic mucosa of patients with active or quiescent inflammatory bowel disease. Immunol. Res. 2016, 64, 191–203. [Google Scholar] [CrossRef] [PubMed]
- Genitsch, V.; Novotny, A.; Seiler, C.A.; Kröll, D.; Walch, A.; Langer, R. Epstein-barr virus in gastroesophageal adenocarcinomas—Single center experiences in the context of current literature. Front. Oncol. 2015, 5, 73. [Google Scholar] [CrossRef] [PubMed]
- Tomba, C.; Sidhu, R.; Sanders, D.S.; Mooney, P.D.; Branchi, F.; Locatelli, M.; Roncoroni, L.; Conte, D.; Bardella, M.T.; Elli, L. Celiac Disease and Double-Balloon Enteroscopy: What Can we Achieve? The Experience of 2 European Tertiary Referral Centers. J. Clin. Gastroenterol. 2016, 50, 313–317. [Google Scholar] [CrossRef] [PubMed]
- Rieder, F.; Latella, G.; Magro, F.; Yuksel, E.S.; Higgins, P.D.; Di Sabatino, A.; de Bruyn, J.R.; Rimola, J.; Brito, J.; Bettenworth, D.; et al. European Crohn’s and Colitis Organisation Topical Review on Prediction, Diagnosis and Management of Fibrostenosing Crohn’s Disease. J. Crohns Colitis 2016, 10, 873–885. [Google Scholar] [CrossRef] [PubMed]
- Bergamaschi, G.; Di Sabatino, A.; Corazza, G.R. Pathogenesis, diagnosis and treatment of anaemia in immune-mediated gastrointestinal disorders. Br. J. Haematol. 2018. [Google Scholar] [CrossRef] [PubMed]
- Baars, J.E.; Thijs, J.C.; Bac, D.J.; Ter Borg, P.C.; Kuipers, E.J.; van der Woude, C.J. Small bowel carcinoma mimicking a relapse of Crohn’s disease: A case series. J. Crohns Colitis 2011, 5, 152–156. [Google Scholar] [CrossRef] [PubMed]
- Collier, P.E.; Turowski, P.; Diamond, D.L. Small intestinal adenocarcinoma complicating regional enteritis. Cancer 1985, 55, 516–521. [Google Scholar] [CrossRef]
- Overman, M.J.; Hu, C.Y.; Kopetz, S.; Abbruzzese, J.L.; Wolff, R.A.; Chang, G.J. A population-based comparison of adenocarcinoma of the large and small intestine: Insights into a rare disease. Ann. Surg. Oncol. 2012, 19, 1439–1445. [Google Scholar] [CrossRef] [PubMed]
- Halfdanarson, T.R.; McWilliams, R.R.; Donohue, J.H.; Quevedo, J.F. A single-institution experience with 491 cases of small bowel adenocarcinoma. Am. J. Surg. 2010, 199, 797–803. [Google Scholar] [CrossRef] [PubMed]
- Overman, M.J.; Hu, C.Y.; Wolff, R.A.; Chang, G.J. Prognostic value of lymph node evaluation in small bowel adenocarcinoma: Analysis of the surveillance, epidemiology, and end results database. Cancer 2010, 116, 5374–5382. [Google Scholar] [CrossRef] [PubMed]
- Dabaja, B.S.; Suki, D.; Pro, B.; Bonnen, M.; Ajani, J. Adenocarcinoma of the small bowel: Presentation, prognostic factors, and outcome of 217 patients. Cancer 2004, 101, 518–526. [Google Scholar] [CrossRef] [PubMed]
- Locher, C.; Batumona, B.; Afchain, P.; Carrère, N.; Samalin, E.; Cellier, C.; Aparicio, T.; Becouarn, Y.; Bedenne, L.; Michel, P.; et al. Small bowel adenocarcinoma: French intergroup clinical practice guidelines for diagnosis, treatments and follow-up (SNFGE, FFCD, GERCOR, UNICANCER, SFCD, SFED, SFRO). Dig. Liver Dis. 2018, 50, 15–19. [Google Scholar] [CrossRef] [PubMed]
- Santini, D.; Fratto, M.E.; Spoto, C.; Russo, A.; Galluzzo, S.; Zoccoli, A.; Vincenzi, B.; Tonini, G. Cetuximab in small bowel adenocarcinoma: A new friend? Br. J. Cancer 2010, 103, 1305. [Google Scholar] [CrossRef] [PubMed]
- Falcone, R.; Roberto, M.; Filetti, M.; Anselmi, E.; Marchetti, P. Anti epidermal growth factor receptor therapy in small bowel adenocarcinoma: Case report and literature review. Medicine 2018, 97, e9672. [Google Scholar] [CrossRef]
- Gulhati, P.; Raghav, K.; Shroff, R.; Varadhachary, G.; Javle, M.; Qiao, W.; Wang, H.; Morris, J.; Wolff, R.; Overman, M.J. Phase II Study of Panitumumab in RAS Wild-Type Metastatic Adenocarcinoma of Small Bowel or Ampulla of Vater. Oncologist 2018, 23, 277-e26. [Google Scholar] [CrossRef]
- Venook, A.P. Right-sided vs left-sided colorectal cancer. Clin. Adv. Hematol. Oncol. 2017, 15, 22–24. [Google Scholar]
- Hamad, A.; Singhi, A.D.; Bahary, N.; McGrath, K.; Amarin, R.; Zeh, H.J.; Zureikat, A.H. Neoadjuvant Treatment with Trastuzumab and FOLFOX Induces a Complete Pathologic Response in a Metastatic ERBB2 (HER2)-Amplified Duodenal Cancer. J. Natl. Compr. Canc. Netw. 2017, 15, 983–988. [Google Scholar] [CrossRef]
- US National Library of Medicine. ClinicalTrials.gov. 2018. Available online: https://clinicaltrials.gov/ct2/show/NCT03000179?term=avelumab&cond=Small+Bowel+Carcinoma&rank=1 (accessed on 18 November 2018).
- US National Library of Medicine. ClinicalTrials.gov. 2018. Available online: https://clinicaltrials.gov/ct2/show/NCT03108131?term=atezolizumab&cond=Small+Bowel+Cancer&rank=1 (accessed on 18 November 2018).
- Le, D.T.; Uram, J.N.; Wang, H.; Bartlett, B.R.; Kemberling, H.; Eyring, A.D.; Skora, A.D.; Luber, B.S.; Azad, N.S.; Laheru, D.; et al. PD-1 Blockade in Tumors with Mismatch-Repair Deficiency. N. Engl. J. Med. 2015, 372, 2509–2520. [Google Scholar] [CrossRef] [PubMed]
- US National Library of Medicine. ClinicalTrials.gov. 2018. Available online: https://clinicaltrials.gov/ct2/show/NCT02949219?term=pembrolizumab&cond=Small+Bowel+Cancer&rank=1 (accessed on 18 November 2018).
- US National Library of Medicine. ClinicalTrials.gov. 2018. Available online: https://clinicaltrials.gov/ct2/show/NCT03095781?term=pembrolizumab&cond=Small+Bowel+Cancer&rank=2 (accessed on 18 November 2018).
- US National Library of Medicine. ClinicalTrials.gov. 2018. Available online: https://clinicaltrials.gov/ct2/show/NCT02834013?term=ipilimumab&recrs=ab&cond=Small+Bowel+Adenocarcinoma&rank=1 (accessed on 18 November 2018).
- Le, D.T.; Durham, J.N.; Smith, K.N.; Wang, H.; Bartlett, B.R.; Aulakh, L.K.; Lu, S.; Kemberling, H.; Wilt, C.; Luber, B.S.; et al. Mismatch repair deficiency predicts response of solid tumors to PD-1 blockade. Science 2017, 357, 409–413. [Google Scholar] [CrossRef] [PubMed]
© 2018 by the authors. Licensee MDPI, Basel, Switzerland. This article is an open access article distributed under the terms and conditions of the Creative Commons Attribution (CC BY) license (http://creativecommons.org/licenses/by/4.0/).

