Surgical Resection plus Intraoperative Radiofrequency Ablation versus Chemoembolization for the Treatment of Intermediate-Stage (BCLC B) Hepatocellular Carcinoma with Preserved Liver Function: A Propensity Score-Matched Analysis
Abstract
:Simple Summary
Abstract
1. Introduction
2. Materials and Methods
2.1. Study Patients
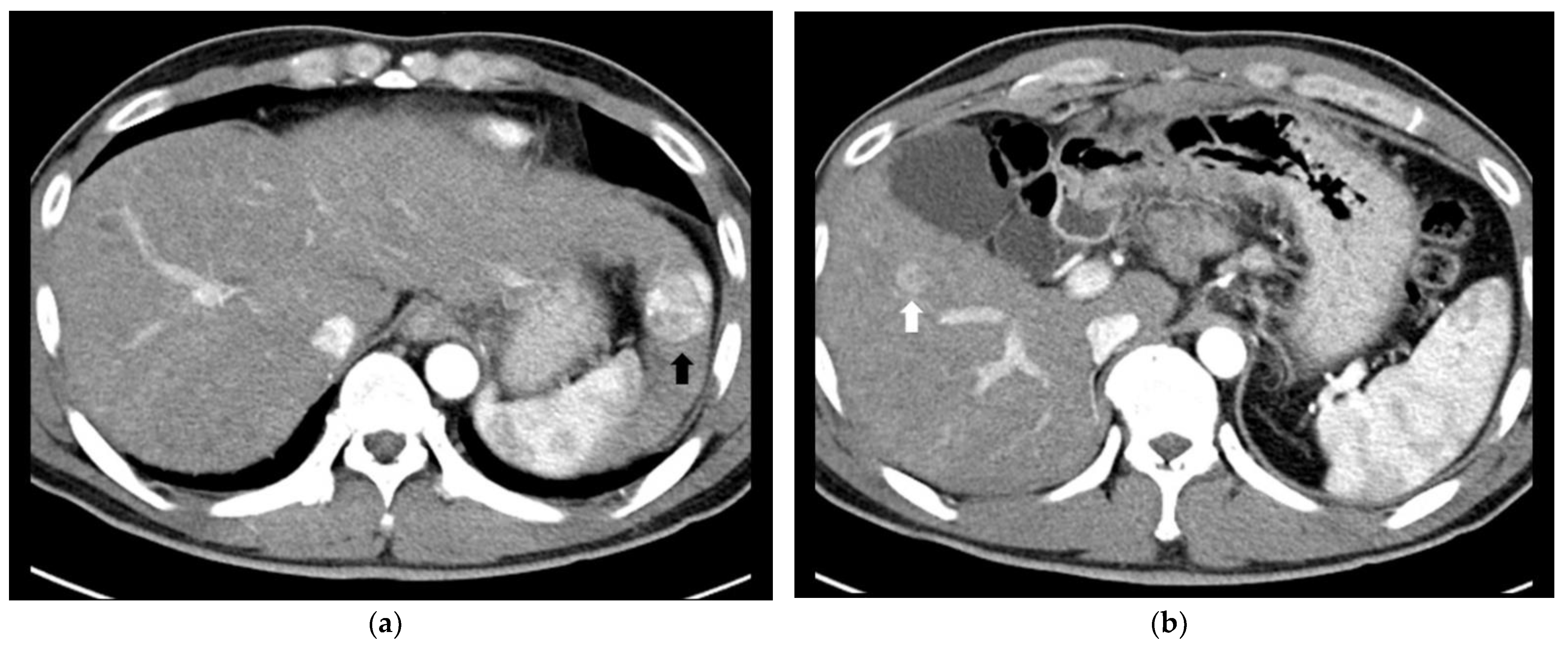
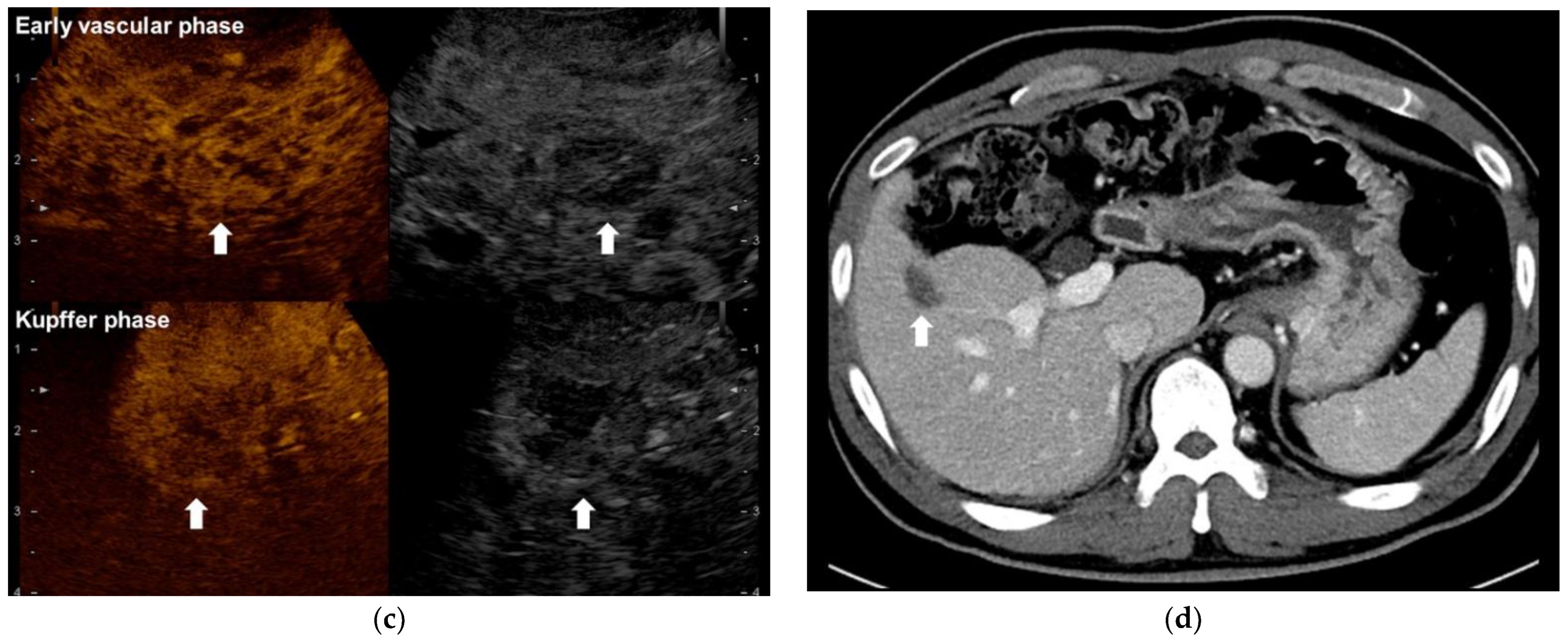
2.2. Surgical Resection plus Intraoperative Radiofrequency Ablation
2.3. Transcatheter Arterial Chemoembolization
2.4. Study Endpoint and Definitions
2.5. Statistical Analysis
3. Results
3.1. Patient Characteristics
3.2. Overall Survival
3.3. Progression-Free Survival
3.4. Multivariable Analyses
3.5. Subgroup Analyses of OS
3.6. Major Complications
4. Discussion
5. Conclusions
Supplementary Materials
Author Contributions
Funding
Institutional Review Board Statement
Informed Consent Statement
Data Availability Statement
Conflicts of Interest
References
- European Association for the Study of the Liver. EASL Clinical Practice Guidelines: Management of hepatocellular carcinoma. J. Hepatol. 2018, 69, 182–236. [Google Scholar] [CrossRef] [PubMed] [Green Version]
- Zhong, J.H.; Ke, Y.; Gong, W.F.; Xiang, B.D.; Ma, L.; Ye, X.P.; Peng, T.; Xie, G.S.; Li, L.Q. Hepatic resection associated with good survival for selected patients with intermediate and advanced-stage hepatocellular carcinoma. Ann. Surg. 2014, 260, 329–340. [Google Scholar] [CrossRef] [PubMed]
- Yin, L.; Li, H.; Li, A.J.; Lau, W.Y.; Pan, Z.Y.; Lai, E.C.; Wu, M.C.; Zhou, W.P. Partial hepatectomy vs. transcatheter arterial chemoembolization for resectable multiple hepatocellular carcinoma beyond Milan Criteria: A RCT. J. Hepatol. 2014, 61, 82–88. [Google Scholar] [CrossRef] [PubMed]
- van Mierlo, K.M.; Schaap, F.G.; Dejong, C.H.; Olde Damink, S.W. Liver resection for cancer: New developments in prediction, prevention and management of postresectional liver failure. J. Hepatol. 2016, 65, 1217–1231. [Google Scholar] [CrossRef] [PubMed] [Green Version]
- Selby, L.K.; Tay, R.X.; Woon, W.W.; Low, J.K.; Bei, W.; Shelat, V.G.; Pang, T.C.; Junnarkar, S.P. Validity of the Barcelona Clinic Liver Cancer and Hong Kong Liver Cancer staging systems for hepatocellular carcinoma in Singapore. J. Hepatobiliary Pancreat. Sci. 2017, 24, 143–152. [Google Scholar] [CrossRef] [PubMed]
- Lee, D.H.; Lee, J.M.; Lee, J.Y.; Kim, S.H.; Yoon, J.H.; Kim, Y.J.; Han, J.K.; Choi, B.I. Radiofrequency ablation of hepatocellular carcinoma as first-line treatment: Long-term results and prognostic factors in 162 patients with cirrhosis. Radiology 2014, 270, 900–909. [Google Scholar] [CrossRef] [Green Version]
- Chu, H.H.; Kim, J.H.; Kim, P.N.; Kim, S.Y.; Lim, Y.S.; Park, S.H.; Ko, H.K.; Lee, S.G. Surgical resection versus radiofrequency ablation very early-stage HCC (≤2 cm Single HCC): A propensity score analysis. Liver Int. 2019, 39, 2397–2407. [Google Scholar] [CrossRef]
- Lee, S.M.; Ko, H.K.; Shin, J.H.; Kim, J.H.; Chu, H.H. Combination of intraoperative radiofrequency ablation and surgical resection for treatment of cholangiocarcinoma: Feasibility and long-term survival. Diagn. Interv. Radiol. 2020, 26, 45–52. [Google Scholar] [CrossRef]
- Yoon, I.S.; Shin, J.H.; Han, K.; Kim, P.N.; Kim, K.H.; Kang, Y.K.; Ko, H.K. Ultrasound-Guided Intraoperative Radiofrequency Ablation and Surgical Resection for Liver Metastasis from Malignant Gastrointestinal Stromal Tumors. Korean J. Radiol. 2018, 19, 54–62. [Google Scholar] [CrossRef] [Green Version]
- Sasaki, K.; Margonis, G.A.; Andreatos, N.; Kim, Y.; Wilson, A.; Gani, F.; Amini, N.; Pawlik, T.M. Combined resection and RFA in colorectal liver metastases: Stratification of long-term outcomes. J. Surg. Res. 2016, 206, 182–189. [Google Scholar] [CrossRef] [Green Version]
- Zhang, T.; Zeng, Y.; Huang, J.; Liao, M.; Wu, H. Combined resection with radiofrequency ablation for bilobar hepatocellular carcinoma: A single-center experience. J. Surg. Res. 2014, 191, 370–378. [Google Scholar] [CrossRef] [PubMed]
- Espinosa, W.; Liu, Y.W.; Wang, C.C.; Lin, C.C.; Wang, J.H.; Lu, S.N.; Hung, C.H. Combined resection and radiofrequency ablation versus transarterial embolization for intermediate-stage hepatocellular carcinoma: A propensity score matching study. J. Formos. Med. Assoc. 2018, 117, 197–203. [Google Scholar] [CrossRef] [PubMed]
- Yan, J.; Man, Z.; Lu, Q.; Ma, K. Long-Term Survival in Patients Receiving Combination Therapy with Resection and Radiofrequency Ablation for Multi-Focal Hepatocellular Carcinoma Classified as Barcelona Clinic Liver Cancer Stage B: A Retrospective Controlled Study. Cancer Manag. Res. 2020, 12, 2613–2621. [Google Scholar] [CrossRef] [PubMed] [Green Version]
- Marrero, J.A.; Kulik, L.M.; Sirlin, C.B.; Zhu, A.X.; Finn, R.S.; Abecassis, M.M.; Roberts, L.R.; Heimbach, J.K. Diagnosis, Staging, and Management of Hepatocellular Carcinoma: 2018 Practice Guidance by the American Association for the Study of Liver Diseases. Hepatology 2018, 68, 723–750. [Google Scholar] [CrossRef] [PubMed] [Green Version]
- Kim, G.H.; Kim, J.H.; Shim, J.H.; Ko, H.K.; Chu, H.H.; Shin, J.H.; Yoon, H.K.; Ko, G.Y.; Gwon, D.I. Chemoembolization for Single Large Hepatocellular Carcinoma with Preserved Liver Function: Analysis of Factors Predicting Clinical Outcomes in a 302 Patient Cohort. Life 2021, 11, 840. [Google Scholar] [CrossRef]
- Salem, R.; Gordon, A.C.; Mouli, S.; Hickey, R.; Kallini, J.; Gabr, A.; Mulcahy, M.F.; Baker, T.; Abecassis, M.; Miller, F.H.; et al. Y90 Radioembolization Significantly Prolongs Time to Progression Compared With Chemoembolization in Patients With Hepatocellular Carcinoma. Gastroenterology 2016, 151, 1155–1163. [Google Scholar] [CrossRef] [Green Version]
- Saad, E.D.; Katz, A. Progression-free survival and time to progression as primary end points in advanced breast cancer: Often used, sometimes loosely defined. Ann. Oncol. 2009, 20, 460–464. [Google Scholar] [CrossRef]
- Brown, D.B.; Gould, J.E.; Gervais, D.A.; Goldberg, S.N.; Murthy, R.; Millward, S.F.; Rilling, W.S.; Geschwind, J.F.; Salem, R.; Vedantham, S.; et al. Transcatheter therapy for hepatic malignancy: Standardization of terminology and reporting criteria. J. Vasc. Interv. Radiol. 2009, 20, S425–S434. [Google Scholar] [CrossRef]
- Mazzaferro, V.; Llovet, J.M.; Miceli, R.; Bhoori, S.; Schiavo, M.; Mariani, L.; Camerini, T.; Roayaie, S.; Schwartz, M.E.; Grazi, G.L.; et al. Predicting survival after liver transplantation in patients with hepatocellular carcinoma beyond the Milan criteria: A retrospective, exploratory analysis. Lancet Oncol. 2009, 10, 35–43. [Google Scholar] [CrossRef]
- Austin, P.C. Optimal caliper widths for propensity-score matching when estimating differences in means and differences in proportions in observational studies. Pharm. Stat. 2011, 10, 150–161. [Google Scholar] [CrossRef] [Green Version]
- Kim, H.O.; Kim, S.K.; Son, B.H.; Yoo, C.H.; Hong, H.P.; Cho, Y.K.; Kim, B.I. Intraoperative radiofrequency ablation with or without tumorectomy for hepatocellular carcinoma in locations difficult for a percutaneous approach. Hepatobiliary Pancreat. Dis. Int. 2009, 8, 591–596. [Google Scholar] [PubMed]
- Park, H.S.; Kim, Y.J.; Yu, M.H.; Jung, S.I.; Jeon, H.J. Real-time contrast-enhanced sonographically guided biopsy or radiofrequency ablation of focal liver lesions using perflurobutane microbubbles (sonazoid): Value of Kupffer-phase imaging. J. Ultrasound Med. 2015, 34, 411–421. [Google Scholar] [CrossRef] [PubMed] [Green Version]
- El-Gendi, A.; El-Shafei, M.; Abdel-Aziz, F.; Bedewy, E. Intraoperative ablation for small HCC not amenable for percutaneous radiofrequency ablation in Child A cirrhotic patients. J. Gastrointest. Surg. 2013, 17, 712–718. [Google Scholar] [CrossRef] [PubMed]
- Itoh, S.; Morita, K.; Ueda, S.; Sugimachi, K.; Yamashita, Y.; Gion, T.; Fukuzawa, K.; Wakasugi, K.; Taketomi, A.; Maehara, Y. Long-term results of hepatic resection combined with intraoperative local ablation therapy for patients with multinodular hepatocellular carcinomas. Ann. Surg. Oncol. 2009, 16, 3299–3307. [Google Scholar] [CrossRef]
- Choi, D.; Lim, H.K.; Joh, J.W.; Kim, S.J.; Kim, M.J.; Rhim, H.; Kim, Y.S.; Yoo, B.C.; Paik, S.W.; Park, C.K. Combined hepatectomy and radiofrequency ablation for multifocal hepatocellular carcinomas: Long-term follow-up results and prognostic factors. Ann. Surg. Oncol. 2007, 14, 3510–3518. [Google Scholar] [CrossRef]
- Cheung, T.T.; Ng, K.K.; Chok, K.S.; Chan, S.C.; Poon, R.T.; Lo, C.M.; Fan, S.T. Combined resection and radiofrequency ablation for multifocal hepatocellular carcinoma: Prognosis and outcomes. World J. Gastroenterol. 2010, 16, 3056–3062. [Google Scholar] [CrossRef] [Green Version]
- Zhou, C.; Zhang, X.; Peng, Y.; Zhou, K.; Hu, J.; Yu, L.; Chen, F.; Qiu, S.; Zhou, J.; Fan, J.; et al. Surgical Resection plus Radiofrequency Ablation versus Radical Surgery for Hepatocellular Carcinoma: A Propensity Score Matching Analysis. J. Cancer 2019, 10, 3933–3940. [Google Scholar] [CrossRef]
- Huang, Y.; Song, J.; Zheng, J.; Jiang, L.; Yan, L.; Yang, J.; Zeng, Y.; Wu, H. Comparison of Hepatic Resection Combined with Intraoperative Radiofrequency Ablation, or Hepatic Resection Alone, for Hepatocellular Carcinoma Patients with Multifocal Tumors Meeting the University of California San Francisco (UCSF) Criteria: A Propensity Score-Matched Analysis. Ann. Surg. Oncol. 2020, 27, 2334–2345. [Google Scholar]
- Zhou, C.; Peng, Y.; Zhou, K.; Zhang, L.; Zhang, X.; Yu, L.; Hu, J.; Chen, F.; Qiu, S.; Zhou, J.; et al. Surgical resection plus radiofrequency ablation for the treatment of multifocal hepatocellular carcinoma. Hepatobiliary Surg. Nutr. 2019, 8, 19–28. [Google Scholar] [CrossRef]
- Reig, M.; Forner, A.; Rimola, J.; Ferrer-Fàbrega, J.; Burrel, M.; Garcia-Criado, Á.; Kelley, R.K.; Galle, P.R.; Mazzaferro, V.; Salem, R.; et al. BCLC strategy for prognosis prediction and treatment recommendation: The 2022 update. J. Hepatol. 2022, 76, 681–693. [Google Scholar] [CrossRef]
- Llovet, J.M.; De Baere, T.; Kulik, L.; Haber, P.K.; Greten, T.F.; Meyer, T.; Lencioni, R. Locoregional therapies in the era of molecular and immune treatments for hepatocellular carcinoma. Nat. Rev. Gastroenterol. Hepatol. 2021, 18, 293–313. [Google Scholar] [CrossRef] [PubMed]
- Federico, P.; Petrillo, A.; Giordano, P.; Bosso, D.; Fabbrocini, A.; Ottaviano, M.; Rosanova, M.; Silvestri, A.; Tufo, A.; Cozzolino, A.; et al. Immune Checkpoint Inhibitors in Hepatocellular Carcinoma: Current Status and Novel Perspectives. Cancers 2020, 12, 3025. [Google Scholar] [CrossRef] [PubMed]
- Chu, H.H.; Kim, J.H.; Shim, J.H.; Gwon, D.I.; Ko, H.K.; Shin, J.H.; Ko, G.Y.; Yoon, H.K.; Kim, N. Neutrophil-to-Lymphocyte Ratio as a Biomarker Predicting Overall Survival after Chemoembolization for Intermediate-Stage Hepatocellular Carcinoma. Cancers 2021, 13, 2830. [Google Scholar] [CrossRef] [PubMed]
- Abd El Aziz, M.A.; Facciorusso, A.; Nayfeh, T.; Saadi, S.; Elnaggar, M.; Cotsoglou, C.; Sacco, R. Immune Checkpoint Inhibitors for Unresectable Hepatocellular Carcinoma. Vaccines 2020, 8, 616. [Google Scholar] [CrossRef]
- Kim, G.H.; Kim, J.H.; Kim, P.H.; Chu, H.H.; Gwon, D.I.; Ko, H.K. Emerging Trends in the Treatment of Advanced Hepatocellular Carcinoma: A Radiological Perspective. Korean J. Radiol. 2021, 22, 1822–1833. [Google Scholar] [CrossRef]






| Variables | Before PSM | After PSM | ||||
|---|---|---|---|---|---|---|
| SR plus IORFA | TACE | SMD | SR plus IORFA | TACE | SMD | |
| No. of patients | 104 | 513 | 95 | 252 | ||
| Age > 60 years, n (%) | 43 (41.3%) | 265 (51.7%) | 0.208 | 40 (42.1%) | 112 (44.4%) | 0.047 |
| Male sex, n (%) | 90 (86.5%) | 443 (86.4%) | 0.005 | 81 (85.3%) | 226 (89.7%) | 0.134 |
| Etiology | 0.143 | 0.067 | ||||
| HBV | 74 (71.2%) | 373 (72.7%) | 70 (73.7%) | 191 (75.8%) | ||
| HCV | 8 (7.7%) | 61 (11.9%) | 8 (8.4%) | 21 (8.3%) | ||
| Alcohol | 8 (7.7%) | 46 (9.0%) | 8 (8.4%) | 17 (6.7%) | ||
| Others | 14 (13.5%) | 33 (6.4%) | 9 (9.5%) | 23 (9.1%) | ||
| Maximal tumor size > 5 cm, n (%) | 44 (42.3%) | 183 (35.7%) | 0.136 | 38 (40.0%) | 98 (38.9%) | 0.023 |
| Tumor number > 2, n (%) | 35 (33.7%) | 238 (46.4%) | 0.262 | 33 (34.7%) | 101 (40.1%) | 0.111 |
| Bilobar tumor extent, n (%) | 65 (62.5%) | 210 (40.9%) | 0.442 | 56 (58.9%) | 133 (52.8%) | 0.124 |
| Bilirubin > 0.9 mg/dL, n (%) | 25 (24.0%) | 154 (30.0%) | 0.135 | 25 (26.3%) | 66 (26.2%) | 0.003 |
| Albumin ≤ 3.5 mg/dL, n (%) | 19 (18.3%) | 170 (33.1%) | 0.345 | 19 (20.0%) | 55 (21.8%) | 0.045 |
| Portal hypertension, n (%) | 9 (8.7%) | 104 (20.3%) | 0.335 | 9 (9.5%) | 32 (12.7%) | 0.103 |
| AFP ≥ 200 ng/mL, n (%) | 25 (24.0%) | 155 (30.2%) | 0.139 | 25 (26.3%) | 54 (21.4%) | 0.115 |
| Analyses | HR | 95% CI | p-Value | |
|---|---|---|---|---|
| PFS | ||||
| Unadjusted | 0.665 | 0.523 | 0.847 | 0.0009 |
| Adjusted | 0.675 | 0.529 | 0.86 | 0.0015 |
| Propensity score matched * | 0.718 | 0.539 | 0.956 | 0.0234 |
| Propensity score matched and adjusted for selected variables † | 0.695 | 0.517 | 0.933 | 0.0155 |
| OS | ||||
| Unadjusted | 0.515 | 0.371 | 0.713 | <0.0001 |
| Adjusted | 0.542 | 0.39 | 0.752 | 0.0003 |
| Propensity score matched * | 0.647 | 0.441 | 0.95 | 0.0263 |
| Propensity score matched and adjusted for selected variables ‡ | 0.579 | 0.384 | 0.874 | 0.0092 |
Publisher’s Note: MDPI stays neutral with regard to jurisdictional claims in published maps and institutional affiliations. |
© 2022 by the authors. Licensee MDPI, Basel, Switzerland. This article is an open access article distributed under the terms and conditions of the Creative Commons Attribution (CC BY) license (https://creativecommons.org/licenses/by/4.0/).
Share and Cite
Kim, G.H.; Kim, J.H.; Ko, H.K.; Chu, H.H.; Kim, S.H.; Shin, J.H.; Gwon, D.I.; Ko, G.-Y.; Yoon, H.-K.; Kim, K.-H.; et al. Surgical Resection plus Intraoperative Radiofrequency Ablation versus Chemoembolization for the Treatment of Intermediate-Stage (BCLC B) Hepatocellular Carcinoma with Preserved Liver Function: A Propensity Score-Matched Analysis. Cancers 2022, 14, 2440. https://doi.org/10.3390/cancers14102440
Kim GH, Kim JH, Ko HK, Chu HH, Kim SH, Shin JH, Gwon DI, Ko G-Y, Yoon H-K, Kim K-H, et al. Surgical Resection plus Intraoperative Radiofrequency Ablation versus Chemoembolization for the Treatment of Intermediate-Stage (BCLC B) Hepatocellular Carcinoma with Preserved Liver Function: A Propensity Score-Matched Analysis. Cancers. 2022; 14(10):2440. https://doi.org/10.3390/cancers14102440
Chicago/Turabian StyleKim, Gun Ha, Jin Hyoung Kim, Heung Kyu Ko, Hee Ho Chu, Seong Ho Kim, Ji Hoon Shin, Dong Il Gwon, Gi-Young Ko, Hyun-Ki Yoon, Ki-Hun Kim, and et al. 2022. "Surgical Resection plus Intraoperative Radiofrequency Ablation versus Chemoembolization for the Treatment of Intermediate-Stage (BCLC B) Hepatocellular Carcinoma with Preserved Liver Function: A Propensity Score-Matched Analysis" Cancers 14, no. 10: 2440. https://doi.org/10.3390/cancers14102440
APA StyleKim, G. H., Kim, J. H., Ko, H. K., Chu, H. H., Kim, S. H., Shin, J. H., Gwon, D. I., Ko, G.-Y., Yoon, H.-K., Kim, K.-H., Shim, J. H., & Kim, N. (2022). Surgical Resection plus Intraoperative Radiofrequency Ablation versus Chemoembolization for the Treatment of Intermediate-Stage (BCLC B) Hepatocellular Carcinoma with Preserved Liver Function: A Propensity Score-Matched Analysis. Cancers, 14(10), 2440. https://doi.org/10.3390/cancers14102440

