IGF2BP2 Promotes Epithelial to Mesenchymal Transition and Metastasis through Stabilizing HMGA1 mRNA in Gastric Cancer
Abstract
Simple Summary
Abstract
1. Introduction
2. Materials and Methods
2.1. Bioinformatics Analysis
2.2. Clinical Samples
2.3. Cell Lines and Cell Culture
2.4. Transfection and Stable Cell Lines Construction
2.5. RNA Extraction and qRT-PCR
2.6. Western Blot
2.7. Cell-Function Assays
2.8. RNA Immunoprecipitation
2.9. RNA Stability Assays
2.10. Animal Studies
2.11. Immunohistochemical Staining
2.12. Statistical Analysis
3. Results
3.1. Increased Expression of IGF2BP2 Was Significantly Correlated with Worse Survival in GC Patients
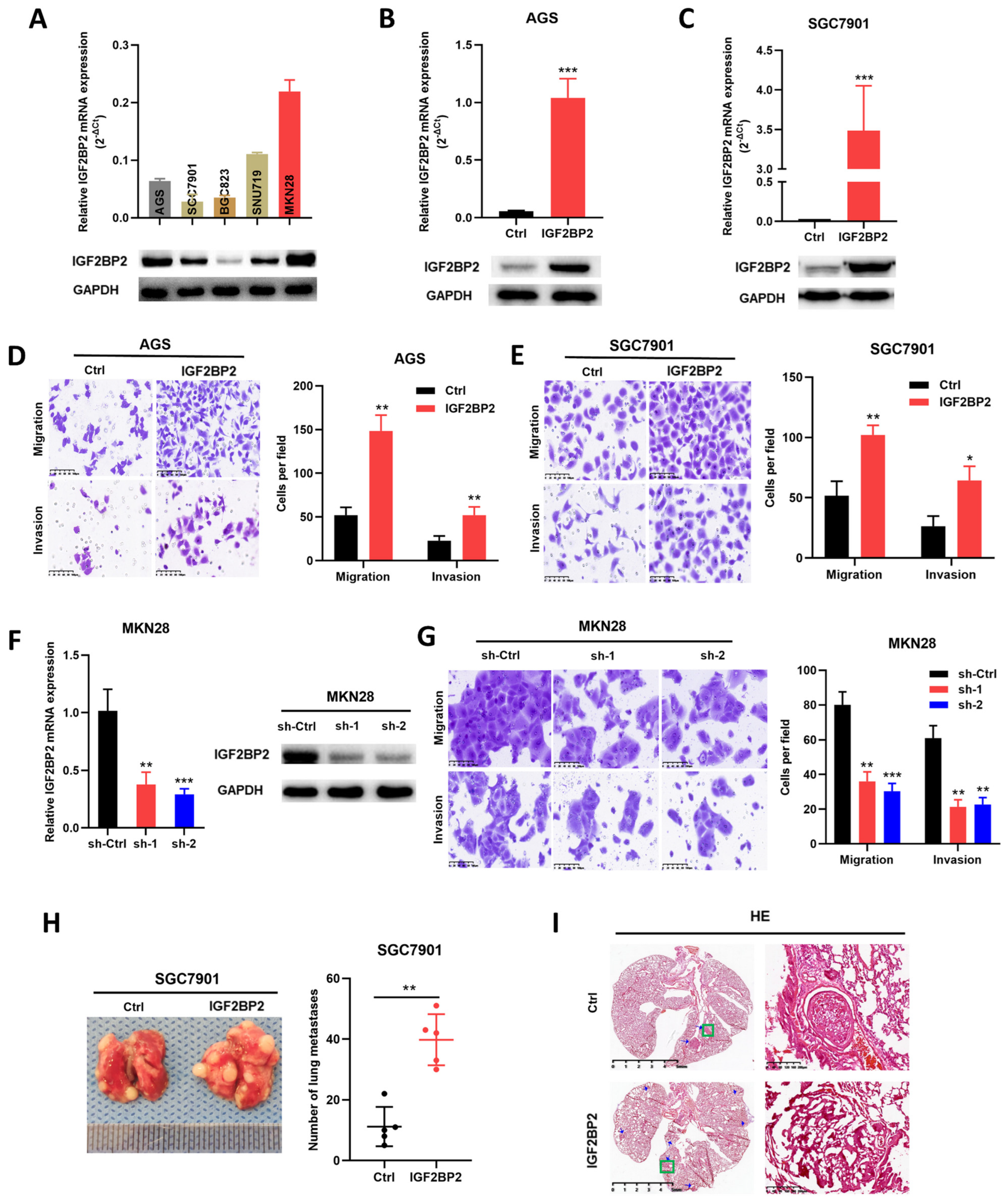
3.2. In Vitro and In Vivo Metastasis of GC Is Promoted by IGF2BP2
3.3. IGF2BP2 Enhances HMGA1 mRNA Stability through Direct Interaction
3.4. IGF2BP2/HMGA1 Axis Enhanced the Migration and Invasion Ability in GC Cells
3.5. IGF2BP2/HMGA1 Axis Promotes EMT of GC
4. Discussion
5. Conclusions
Supplementary Materials
Author Contributions
Funding
Institutional Review Board Statement
Informed Consent Statement
Data Availability Statement
Conflicts of Interest
References
- Bray, F.; Ferlay, J.; Soerjomataram, I.; Siegel, R.L.; Torre, L.A.; Jemal, A. Global cancer statistics 2018: GLOBOCAN estimates of incidence and mortality worldwide for 36 cancers in 185 countries. CA A Cancer J. Clin. 2018, 68, 394–424. [Google Scholar] [CrossRef] [PubMed]
- Bertuccio, P.; Chatenoud, L.; Levi, F.; Praud, D.; Ferlay, J.; Negri, E.; Malvezzi, M.; La Vecchia, C. Recent patterns in gastric cancer: A global overview. Int. J. Cancer 2009, 125, 666–673. [Google Scholar] [CrossRef] [PubMed]
- Vrána, D.; Matzenauer, M.; Neoral, Č.; Aujeský, R.; Vrba, R.; Melichar, B.; Rušarová, N.; Bartoušková, M.; Jankowski, J. From Tumor Immunology to Immunotherapy in Gastric and Esophageal Cancer. Int. J. Mol. Sci. 2018, 20, 13. [Google Scholar] [CrossRef] [PubMed]
- Cao, J.; Mu, Q.; Huang, H. The Roles of Insulin-Like Growth Factor 2 mRNA-Binding Protein 2 in Cancer and Cancer Stem Cells. Stem Cells Int. 2018, 2018, 4217259. [Google Scholar] [CrossRef] [PubMed]
- Bell, J.L.; Wächter, K.; Mühleck, B.; Pazaitis, N.; Köhn, M.; Lederer, M.; Hüttelmaier, S. Insulin-like growth factor 2 mRNA-binding proteins (IGF2BPs): Post-transcriptional drivers of cancer progression? Cell. Mol. Life Sci. 2013, 70, 2657–2675. [Google Scholar] [CrossRef]
- Li, X.; Li, Y.; Lu, H. miR-1193 Suppresses Proliferation and Invasion of Human Breast Cancer Cells Through Directly Targeting IGF2BP2. Oncol. Res. 2017, 25, 579–585. [Google Scholar] [CrossRef]
- Huang, R.-S.; Zheng, Y.-L.; Li, C.; Ding, C.; Xu, C.; Zhao, J. MicroRNA-485-5p suppresses growth and metastasis in non-small cell lung cancer cells by targeting IGF2BP2. Life Sci. 2018, 199, 104–111. [Google Scholar] [CrossRef]
- Ye, S.; Song, W.; Xu, X.; Zhao, X.; Yang, L. IGF2BP2 promotes colorectal cancer cell proliferation and survival through interfering with RAF-1 degradation by miR-195. FEBS Lett. 2016, 590, 1641–1650. [Google Scholar] [CrossRef]
- Wu, X.-L.; Lu, R.-Y.; Wang, L.-K.; Wang, Y.-Y.; Dai, Y.-J.; Wang, C.-Y.; Yang, Y.-J.; Guo, F.; Xue, J.; Yang, D.-D. Long noncoding RNA HOTAIR silencing inhibits invasion and proliferation of human colon cancer LoVo cells via regulating IGF2BP2. J. Cell. Biochem. 2018, 12, 1221–1231. [Google Scholar] [CrossRef]
- Huang, H.; Weng, H.; Sun, W.; Qin, X.; Shi, H.; Wu, H.; Zhao, B.S.; Mesquita, A.; Liu, C.; Yuan, C.L.; et al. Recognition of RNA N-methyladenosine by IGF2BP proteins enhances mRNA stability and translation. Nat. Cell Biol. 2018, 20, 285–295. [Google Scholar] [CrossRef]
- Li, T.; Hu, P.-S.; Zuo, Z.; Lin, J.-F.; Li, X.; Wu, Q.-N.; Chen, Z.-H.; Zeng, Z.-L.; Wang, F.; Zheng, J.; et al. METTL3 facilitates tumor progression via an mA-IGF2BP2-dependent mechanism in colorectal carcinoma. Mol. Cancer 2019, 18, 112. [Google Scholar] [CrossRef] [PubMed]
- Hu, X.; Peng, W.-X.; Zhou, H.; Jiang, J.; Zhou, X.; Huang, D.; Mo, Y.-Y.; Yang, L. IGF2BP2 regulates DANCR by serving as an N6-methyladenosine reader. Cell Death Differ. 2020, 27, 1782–1794. [Google Scholar] [CrossRef] [PubMed]
- Su, Y.; Qian, H.; Zhang, J.; Wang, S.; Shi, P.; Peng, X. The diversity expression of p62 in digestive system cancers. Clin. Immunol. 2005, 116, 118–123. [Google Scholar] [CrossRef] [PubMed]
- Liu, X.; Chen, Z.; Zhao, X.; Huang, M.; Wang, C.; Peng, W.; Yin, J.; Li, J.; He, G.; Li, X.; et al. Effects of IGF2BP2, KCNQ1 and GCKR polymorphisms on clinical outcome in metastatic gastric cancer treated with EOF regimen. Pharmacogenomics 2015, 16, 959–970. [Google Scholar] [CrossRef]
- Meistere, I.; Werner, S.; Zayakin, P.; Siliņa, K.; Rulle, U.; Pismennaja, A.; Šantare, D.; Kikuste, I.; Isajevs, S.; Leja, M.; et al. The Prevalence of Cancer-Associated Autoantibodies in Patients with Gastric Cancer and Progressive Grades of Premalignant Lesions. Cancer Epidemiol. Biomark. Prev. 2017, 26, 1564–1574. [Google Scholar] [CrossRef]
- Kwon, M.-Y.; Ghanta, S.; Ng, J.; Castano, A.P.; Han, J.; Ith, B.; Lederer, J.A.; El-Chemaly, S.; Chung, S.W.; Liu, X.; et al. Mesenchymal stromal cells expressing a dominant-negative high mobility group A1 transgene exhibit improved function during sepsis. J. Leukoc. Biol. 2021, 110, 711–722. [Google Scholar] [CrossRef]
- Que, T.; Zheng, H.; Zeng, Y.; Liu, X.; Qi, G.; La, Q.; Liang, T.; Li, Z.; Yi, G.; Zhang, S.; et al. HMGA1 stimulates MYH9-dependent ubiquitination of GSK-3β via PI3K/Akt/c-Jun signaling to promote malignant progression and chemoresistance in gliomas. Cell Death Dis. 2021, 12, 1147. [Google Scholar] [CrossRef]
- Fedele, M.; Fusco, A. HMGA and cancer. Biochim. Biophys. Acta 2010, 1799, 48–54. [Google Scholar] [CrossRef]
- Teng, K.; Wei, S.; Zhang, C.; Chen, J.; Chen, J.; Xiao, K.; Liu, J.; Dai, M.; Guan, X.; Yun, J.; et al. KIFC1 is activated by TCF-4 and promotes hepatocellular carcinoma pathogenesis by regulating HMGA1 transcriptional activity. J. Exp. Clin. Cancer Res. 2019, 38, 329. [Google Scholar] [CrossRef]
- Hou, P.; Meng, S.; Li, M.; Lin, T.; Chu, S.; Li, Z.; Zheng, J.; Gu, Y.; Bai, J. LINC00460/DHX9/IGF2BP2 complex promotes colorectal cancer proliferation and metastasis by mediating HMGA1 mRNA stability depending on m6A modification. J. Exp. Clin. Cancer Res. 2021, 40, 52. [Google Scholar] [CrossRef]
- Jin, G.H.; Shi, Y.; Tian, Y.; Cao, T.T.; Mao, Y.; Tang, T.Y. HMGA1 accelerates the malignant progression of gastric cancer through stimulating EMT. Eur. Rev. Med. Pharmacol. Sci. 2020, 24, 3642–3647. [Google Scholar] [CrossRef] [PubMed]
- Yang, Q.; Wang, Y.; Li, M.; Wang, Z.; Zhang, J.; Dai, W.; Pei, M.; Hong, L.; Xiao, Y.; Hu, H.; et al. HMGA1 promotes gastric cancer growth and metastasis by transactivating SUZ12 and CCDC43 expression. Aging 2021, 13, 16043–16061. [Google Scholar] [CrossRef] [PubMed]
- Yeung, K.T.; Yang, J. Epithelial-mesenchymal transition in tumor metastasis. Mol. Oncol. 2017, 11, 28–39. [Google Scholar] [CrossRef] [PubMed]
- Yang, J.; Antin, P.; Berx, G.; Blanpain, C.; Brabletz, T.; Bronner, M.; Campbell, K.; Cano, A.; Casanova, J.; Christofori, G.; et al. Guidelines and definitions for research on epithelial-mesenchymal transition. Nat. Rev. Mol. Cell Biol. 2020, 21, 341–352. [Google Scholar] [CrossRef]
- Yue, B.; Song, C.; Yang, L.; Cui, R.; Cheng, X.; Zhang, Z.; Zhao, G. METTL3-mediated N6-methyladenosine modification is critical for epithelial-mesenchymal transition and metastasis of gastric cancer. Mol. Cancer 2019, 18, 142. [Google Scholar] [CrossRef]
- Peng, Z.; Wang, C.-X.; Fang, E.-H.; Wang, G.-B.; Tong, Q. Role of epithelial-mesenchymal transition in gastric cancer initiation and progression. World J. Gastroenterol. 2014, 20, 5403–5410. [Google Scholar] [CrossRef]
- Vasaikar, S.V.; Straub, P.; Wang, J.; Zhang, B. LinkedOmics: Analyzing multi-omics data within and across 32 cancer types. Nucleic Acids Res. 2018, 46, D956–D963. [Google Scholar] [CrossRef]
- Janiszewska, M.; Suvà, M.L.; Riggi, N.; Houtkooper, R.H.; Auwerx, J.; Clément-Schatlo, V.; Radovanovic, I.; Rheinbay, E.; Provero, P.; Stamenkovic, I. Imp2 controls oxidative phosphorylation and is crucial for preserving glioblastoma cancer stem cells. Genes Dev. 2012, 26, 1926–1944. [Google Scholar] [CrossRef]
- Xu, X.; Yu, Y.; Zong, K.; Lv, P.; Gu, Y. Up-regulation of IGF2BP2 by multiple mechanisms in pancreatic cancer promotes cancer proliferation by activating the PI3K/Akt signaling pathway. J. Exp. Clin. Cancer Res. 2019, 38, 497. [Google Scholar] [CrossRef]
- Chaffer, C.L.; Weinberg, R.A. A perspective on cancer cell metastasis. Science 2011, 331, 1559–1564. [Google Scholar] [CrossRef]
- Nielsen, J.; Christiansen, J.; Lykke-Andersen, J.; Johnsen, A.H.; Wewer, U.M.; Nielsen, F.C. A family of insulin-like growth factor II mRNA-binding proteins represses translation in late development. Mol. Cell. Biol. 1999, 19, 1262–1270. [Google Scholar] [CrossRef] [PubMed]
- Schaeffer, V.; Hansen, K.M.; Morris, D.R.; LeBoeuf, R.C.; Abrass, C.K. RNA-binding protein IGF2BP2/IMP2 is required for laminin-β2 mRNA translation and is modulated by glucose concentration. Am. J. Physiol. Ren. Physiol. 2012, 303, F75–F82. [Google Scholar] [CrossRef] [PubMed]
- Dai, N.; Zhao, L.; Wrighting, D.; Krämer, D.; Majithia, A.; Wang, Y.; Cracan, V.; Borges-Rivera, D.; Mootha, V.K.; Nahrendorf, M.; et al. IGF2BP2/IMP2-Deficient mice resist obesity through enhanced translation of Ucp1 mRNA and Other mRNAs encoding mitochondrial proteins. Cell Metab. 2015, 21, 609–621. [Google Scholar] [CrossRef]
- Dai, N.; Ji, F.; Wright, J.; Minichiello, L.; Sadreyev, R.; Avruch, J. IGF2 mRNA binding protein-2 is a tumor promoter that drives cancer proliferation through its client mRNAs IGF2 and HMGA1. Elife 2017, 6, e27155. [Google Scholar] [CrossRef] [PubMed]
- Wang, Y.; Lu, J.-H.; Wu, Q.-N.; Jin, Y.; Wang, D.-S.; Chen, Y.-X.; Liu, J.; Luo, X.-J.; Meng, Q.; Pu, H.-Y.; et al. LncRNA LINRIS stabilizes IGF2BP2 and promotes the aerobic glycolysis in colorectal cancer. Mol. Cancer 2019, 18, 174. [Google Scholar] [CrossRef]
- Zhang, Z.; Xing, Y.; Gao, W.; Yang, L.; Shi, J.; Song, W.; Li, T. N-methyladenosine (mA) reader IGF2BP2 promotes gastric cancer progression via targeting SIRT1. Bioengineered 2022, 13, 11541–11550. [Google Scholar] [CrossRef]
- Liu, D.; Xia, A.D.; Wu, L.-P.; Li, S.; Zhang, K.; Chen, D. IGF2BP2 promotes gastric cancer progression by regulating the IGF1R-RhoA-ROCK signaling pathway. Cell. Signal. 2022, 94, 110313. [Google Scholar] [CrossRef]
- Sleeman, J.P.; Thiery, J.P. SnapShot: The epithelial-mesenchymal transition. Cell 2011, 145, 162.e161. [Google Scholar] [CrossRef]





| Characteristics | No. | IGF2BP2 Expression | χ2 | p | ρ † | p | |
|---|---|---|---|---|---|---|---|
| Low (N = 81) | High (N = 92) | ||||||
| Age | 52.44 ± 11.98 | 58.38 ± 12.57 | |||||
| <60 y | 103 | 60 | 43 | 13.36 | 0.000 *** | 0.278 | 0.000 *** |
| ≥60 y | 70 | 21 | 49 | ||||
| Gender | |||||||
| Male | 116 | 54 | 62 | 0.01 | 0.919 | −0.008 | 0.920 |
| Female | 57 | 27 | 30 | ||||
| Tumor location | |||||||
| Proximal | 41 | 17 | 24 | 1.843 | 0.606 | 0.003 | 0.967 |
| Middle | 41 | 22 | 19 | ||||
| Distal | 75 | 36 | 39 | ||||
| More than 2 | 16 | 6 | 10 | ||||
| Tumor size | |||||||
| <5 cm | 71 | 40 | 31 | 4.381 | 0.036 | 0.159 | 0.037 * |
| ≥5 cm | 102 | 41 | 61 | ||||
| Histologic type | |||||||
| Adenocarcinoma | 151 | 71 | 80 | 1.410 | 0.842 | 0.014 | 0.859 |
| Squamous | 1 | 1 | 0 | ||||
| Signet ring | 11 | 5 | 6 | ||||
| Mucinous | 7 | 3 | 4 | ||||
| Undifferentiated | 3 | 1 | 2 | ||||
| Borrmann classification | |||||||
| Ⅰ | 12 | 6 | 6 | 6.169 | 0.104 | 0.170 | 0.026 * |
| Ⅱ | 40 | 24 | 16 | ||||
| Ⅲ | 102 | 46 | 56 | ||||
| Ⅳ | 19 | 5 | 14 | ||||
| Differentiation | |||||||
| High | 2 | 1 | 1 | 0.621 | 0.733 | −0.056 | 0.464 |
| Moderate | 41 | 17 | 24 | ||||
| Poor | 130 | 63 | 67 | ||||
| Depth of invasion | |||||||
| T1 | 19 | 13 | 6 | 5.283 | 0.152 | 0.160 | 0.035 * |
| T2 | 21 | 11 | 10 | ||||
| T3 | 98 | 44 | 54 | ||||
| T4 | 35 | 13 | 22 | ||||
| Lymph-node metastasis | |||||||
| N0 | 48 | 31 | 17 | 8.533 | 0.036 * | 0.191 | 0.012 * |
| N1 | 73 | 30 | 43 | ||||
| N2 | 32 | 12 | 20 | ||||
| N3 | 20 | 8 | 12 | ||||
| Distant metastases | |||||||
| M0 | 131 | 66 | 65 | 2.748 | 0.097 | 0.126 | 0.098 |
| M1 | 42 | 15 | 27 | ||||
| AJCC pTNM | |||||||
| Ⅰ | 33 | 22 | 11 | 7.451 | 0.059 | 0.184 | 0.015 * |
| Ⅱ | 62 | 28 | 34 | ||||
| Ⅲ | 36 | 16 | 20 | ||||
| Ⅳ | 42 | 15 | 27 | ||||
| Characteristic | Univariate Analysis | Multivariate Analysis | ||||||
|---|---|---|---|---|---|---|---|---|
| p | HR | 95.0% CI for Exp (B) | p | HR | 95.0% CI for Exp (B) | |||
| Lower | Upper | Lower | Upper | |||||
| Gender | 0.025 * | 1.512 | 1.054 | 2.168 | 0.020 * | 1.571 | 1.073 | 2.300 |
| Age | 0.399 | 1.163 | 0.820 | 1.649 | ||||
| Tumor location | 0.662 | 1.046 | 0.855 | 1.280 | ||||
| Tumor size | 0.009 ** | 1.623 | 1.127 | 2.339 | ||||
| Histologic type | 0.423 | 1.069 | 0.908 | 1.258 | ||||
| Borrmann classification | 1.89 × 10−4 *** | 1.680 | 1.275 | 2.213 | ||||
| Differentiation | 0.662 | 1.087 | 0.747 | 1.582 | ||||
| Depth of invasion | 5.46 × 10−6 *** | 1.633 | 1.314 | 2.029 | ||||
| Lymph-node metastasis | 5.67 × 10−9 *** | 1.677 | 1.404 | 2.003 | ||||
| Distant metastases | 4.58 × 10−15 *** | 4.776 | 3.188 | 7.156 | 0.015 * | 3.051 | 1.247 | 7.462 |
| AJCC pTNM | 2.05 × 10−14 *** | 2.051 | 1.699 | 2.477 | ||||
| IGF2BP2 expression | 1.46 × 10−6 *** | 2.406 | 1.672 | 3.462 | 1.90 × 10−4 *** | 2.155 | 1.466 | 3.169 |
| Characteristic | Univariate Analysis | Multivariate Analysis | ||||||
|---|---|---|---|---|---|---|---|---|
| p | HR | 95.0% CI for Exp (B) | p | HR | 95.0% CI for Exp (B) | |||
| Lower | Upper | Lower | Upper | |||||
| Gender | 0.010 * | 1.598 | 1.117 | 2.286 | ||||
| Age | 0.530 | 1.118 | 0.789 | 1.585 | ||||
| Tumor location | 0.550 | 1.063 | 0.869 | 1.301 | ||||
| Tumor size | 0.014 * | 1.578 | 1.098 | 2.267 | ||||
| Histologic type | 0.415 | 1.071 | 0.909 | 1.262 | ||||
| Bornmann classification | 1.95 × 10−4 *** | 1.683 | 1.277 | 2.220 | 0.006 ** | 1.775 | 1.181 | 2.667 |
| Differentiation | 0.580 | 1.112 | 0.764 | 1.618 | ||||
| Depth of invasion | 1.07 × 10−5 *** | 1.601 | 1.291 | 1.985 | ||||
| Lymph-node metastasis | 9.59 × 10−9 *** | 1.658 | 1.390 | 1.978 | ||||
| AJCC pTNM | 5.54 × 10−14 *** | 1.680 | 1.258 | 2.245 | ||||
| IGF2BP2 expression | 3.14 × 10−6 *** | 2.323 | 1.618 | 3.333 | 0.003 ** | 2.009 | 1.268 | 3.184 |
Publisher’s Note: MDPI stays neutral with regard to jurisdictional claims in published maps and institutional affiliations. |
© 2022 by the authors. Licensee MDPI, Basel, Switzerland. This article is an open access article distributed under the terms and conditions of the Creative Commons Attribution (CC BY) license (https://creativecommons.org/licenses/by/4.0/).
Share and Cite
Ouyang, J.; Li, J.; Li, D.; Jiang, J.; Hao, T.; Xia, Y.; Lu, X.; Zhang, C.; He, Y. IGF2BP2 Promotes Epithelial to Mesenchymal Transition and Metastasis through Stabilizing HMGA1 mRNA in Gastric Cancer. Cancers 2022, 14, 5381. https://doi.org/10.3390/cancers14215381
Ouyang J, Li J, Li D, Jiang J, Hao T, Xia Y, Lu X, Zhang C, He Y. IGF2BP2 Promotes Epithelial to Mesenchymal Transition and Metastasis through Stabilizing HMGA1 mRNA in Gastric Cancer. Cancers. 2022; 14(21):5381. https://doi.org/10.3390/cancers14215381
Chicago/Turabian StyleOuyang, Jun, Junqing Li, Dongwei Li, Jianlong Jiang, Tengfei Hao, Yujian Xia, Xiaofang Lu, Changhua Zhang, and Yulong He. 2022. "IGF2BP2 Promotes Epithelial to Mesenchymal Transition and Metastasis through Stabilizing HMGA1 mRNA in Gastric Cancer" Cancers 14, no. 21: 5381. https://doi.org/10.3390/cancers14215381
APA StyleOuyang, J., Li, J., Li, D., Jiang, J., Hao, T., Xia, Y., Lu, X., Zhang, C., & He, Y. (2022). IGF2BP2 Promotes Epithelial to Mesenchymal Transition and Metastasis through Stabilizing HMGA1 mRNA in Gastric Cancer. Cancers, 14(21), 5381. https://doi.org/10.3390/cancers14215381

